Хронический гнойный средний отит как причина менингита. Менингит при остром среднем отите
Добавил пользователь Евгений Кузнецов Обновлено: 01.01.2026
Отогенный менингит - воспаление мягкой мозговой оболочки, возникающее в связи с распространением на нее воспалительного процесса со стороны уха.
Что провоцирует / Причины Отогенного менингита:
Заболевание чаще развивается при остром среднем отите, особенно у детей грудного возраста. Это связано с двумя особенностями: значительно развитой сосудистой связью между спонгиозной костью сосцевидного отростка и мозговыми оболочками и выраженными костными дегисценциями в крыше барабанной полости и пещеры сосцевидного отростка.
Симптомы Отогенного менингита:
Первыми предвестниками бывают симптомы менингизма: сильная головная боль, высокая температура тела, тошнота, рвота, учащение пульса. В этот ранний период выраженных симптомов менингита еще нет и при спинномозговой пункции жидкость прозрачна, хотя давление уже может быть повышено.
Симптомы менингита появляются постепенно, в сочетании с признаками энцефалита (менингоэнцефалита). Ребенок становится вялым, апатичным, обычно лежит на боку, с подтянутыми ногами и запрокинутой головой (поза «легавой собаки», «капельмейстера»), пульс слабый, но резко учащенный, иногда провалы в сознании, у грудных детей напряжение родничков, тошнота, периодическая рвота, светобоязнь, нарушение чувствительности, парестезии. Выражены менингеальные симптомы Кернига, Брудзинского.
При хроническом гнойном среднем отите менингиту обычно предшествует экстра- и субдуральный абсцессы, хотя это и не является правилом, особенно при обострениях.
В отдельных случаях осложнения развиваются очень быстро, иногда в течение нескольких часов. Это так называемые молниеносные формы заболевания.
Диагностика Отогенного менингита:
При исследовании глазного дна определяют нечеткие границы диска зрительного нерва. При спинномозговой пункции жидкость сначала светлая, вытекает под большим давлением, но вскоре становится мутной, гноевидной, резко выражен плеоцитоз.
Лечение Отогенного менингита:
На этапе развития менингизма на фоне острого гнойного среднего отита лечение должно быть очень активным, хотя и консервативным. Производят парацентез, применяют антибиотики широкого спектра действия в больших дозах, дегидратационную терапию и т.д.
В случае отсутствия эффекта в течение нескольких дней при остром отите производят расширенную антромастротомию с обнажением средней черепной ямки.
Даже при бурно протекающем остром среднем отите во время операции часто не обнаруживают выраженных деструктивных изменений: кость полнокровна, местами грануляционная ткань, свободного гноя нет.
При хроническом гнойном среднем отите в сочетании с подтвержденным менингитом тактика однозначная - срочная расширенная радикальная операция в сочетании с активной противовоспалительной терапией.
Сложности в тактике возникают в менее очевидных случаях. Во-первых, иногда менингит не гнойный, а серозный. В этих случаях он может быть туберкулезного происхождения. Если даже такая этиология исключается и имеются основания считать его отогенным, при серозном менингите следует начинать с активной консервативной терапии и оперировать только при ухудшении состояния или переходе серозного менингита в гнойный.
Активная противовоспалительная терапия при отогенном серозном менингите в 80-90% случаев позволяет избежать тяжелой, особенно у ребенка в таком состоянии, операции.
Правильное представление об отогенных внутричерепных осложнениях исключительно важно для педиатра.
Во-первых, первоначальные симптомы обусловлены нарушениями функций жизненно важных органов и систем и трактуются как самостоятельные (бронхопневмония, абсцессы легких, психические расстройства) заболевания. При появлении таких симптомов родители обращаются прежде всего к педиатрам, которые часто не имеют так называемой отиатрической настороженности.
Во-вторых, несвоевременная диагностика в данном случае связана со смертельным риском, так как отогенные внутричерепные осложнения без лечения практически всегда заканчиваются летально.
В-третьих, педиатр должен четко представлять тактику лечения этих больных, понимать значение своевременного хирургического вмешательства, не поддаваться на уговоры родителей и немедленно госпитализировать больного в специализированное отделение.
Отогенные внутричерепные осложнения часто возникают как бы внезапно, на фоне кажущегося здоровья, ведь течение хронического среднего отита может быть многолетним, не сопровождаться болью («боль - сторожевой пес организма»), к нему привыкают и обычно считают, что это не болезнь, а лишь неудобство.
Современные лечебные возможности при своевременной диагностике позволяют в большинстве случаев спасти жизнь ребенка при внутричерепных отогенных осложнениях.
К каким докторам следует обращаться если у Вас Отогенный менингит:
Вас что-то беспокоит? Вы хотите узнать более детальную информацию о Отогенного менингита, ее причинах, симптомах, методах лечения и профилактики, ходе течения болезни и соблюдении диеты после нее? Или же Вам необходим осмотр? Вы можете записаться на прием к доктору .
Менингит в результате отита
Менингит — это бактериальное или вирусное воспаление мягкой мозговой оболочки. Менингит при отите (отогенный) возникает в результате распространения инфекции в субарахноидальное пространство из полостей среднего и внутреннего уха или является следствием других внутричерепных осложнений (экстра-, субдуральный или мозговой абсцесс, тромбоз сигмовидного синуса).
Наиболее частыми возбудителями менингита при отите служат кокки (стрепто-, стафило-, дипло- и пневмококки), значительно реже — другие виды микробов. Однако нередко в спинномозговой жидкости не удается выявить какую-либо микрофлору.
Чаще всего инфекция при отогенном менингите распространяется контактным или лабиринтогенным путем. При первом обычно имеются выраженные изменения вплоть до разрушения в кости, отделяющей полости среднего уха от мозговых оболочек. При этом иногда лептоменингиту предшествует воспаление твердой мозговой оболочки (эпидуральный или субдуральный абсцесс). При лабиринтогенном менингите инфекция из пораженного лабиринта распространяется через водопроводы улитки и преддверия и внутренний слуховой проход. Этот путь инфекции при менингите встречается чаще, чем при других внутричерепных осложнениях.
Менингит возникает обычно при мастоидите, осложняющем острый гнойный средний отит, и хроническом гнойном отите (эпитимпаните), особенно осложненном холестеатомой.
В начальной стадии острого воспаления среднего уха менингит чаще всего является следствием гематогенного распространения инфекции (по сосудистым путям). Это так называемая молниеносная форма менингита, наиболее неблагоприятная. Патологическая анатомия. Начальные воспалительные изменения мягких мозговых оболочек (гиперемия, отечность) распространяются и на кору головного мозга. Серозный экссудат в субарахноидальном пространстве при менингите становится в дальнейшем гнойным. Одновременно в коре головного мозга при менингите иногда появляются участки размягчения и нагноения. Таким образом, каждый менингит является по существу менингоэнцефалитом.
Твердая мозговая оболочка при менингите также становится гиперемированной, напряженной. Воспаление оболочек при менингите чаще выражено на основании мозга (базальный менингит), иногда распространяется на полушария большого мозга или ограничивается только ими. Еще реже менингит наблюдается лишь в области мозжечка, иногда распространяясь и на оболочки спинного мозга. В особо тяжелых случаях гнойный воспалительный процесс при менингите распространяется на все субарахноидальное пространство большого мозга, мозжечка и спинного мозга.

Симптомы и течение менингита при отите
Головная боль при менингите часто интенсивная, почти постоянна. Головная боль при менингите появляется раньше других симптомов. Вначале головная боль при менингите может ограничиться областью затылка или лба, затем стать диффузной. Очень часто головная боль при менингите сопровождается тошнотой и рвотой.
Температура при менингите повышается до 39-40° С и выше и имеет характер continua. Пульс обычно ускорен, но иногда отмечается брадикардия. Общее состояние пациента при менингите тяжелое, лицо часто бледное, землистого цвета, измученное, язык сухой.
Сознание пациента при менингите спутанное, переходящее в бред. Больной апатичен, нередко отмечается двигательное возбуждение, усиливающееся при посторонних раздражениях (звук, свет). Характерно положение больного с запрокинутой головой, согнутыми в коленях ногами для устранения излишнего натяжения твёрдой мозговой оболочки.
Ригидность мышц затылка и симптомы Кернига и Брудзинского всегда выражены у пациента при менингите. Иногда отмечаются пирамидные симптомы (патологические рефлексы — Бабинского, Оппенгейма, Гордона и др.). Изредка бывают судороги конечностей.
Нередко при базальном менингите наблюдаются параличи отводящего, а иногда глазодвигательного и других черепных нервов. Редко возникают очаговые мозговые симптомы, заставляющие прибегнуть к безуспешной и даже небезвредной пункции мозга.
Спинномозговая жидкость (ликвор) выходит при люмбальной пункции обычно под значительно повышенным давлением. Она теряет прозрачность, становится мутной, иногда почти чисто гнойной. Плеоцитоз в ликворе значительно варьирует от умеренного повышения до такого числа клеток, которое невозможно сосчитать. Обычно преобладают нейтрофилы, при дальнейшем благоприятном течении отмечается лимфоцитарная реакция, но такое соотношение клеточных элементов далеко не постоянно, особенно при лечении антибиотиками. Содержание белка, как правило, повышено, часто значительно. Процентное содержание сахара и хлоридов, наоборот, понижено.

Люмбальную пункцию (ЛП ) проводят для измерения ликворного давления, исследования проходимости субарахноидального пространства спинного мозга, определения цвета, прозрачности и состава спинномозговой жидкости.
Использование антибиотиков привело к значительным изменениям клиники менингита. Симптомы стали стертыми, иногда даже невыраженными, другой характер приобрело течение менингита. Так, нередки случаи менингита с субфебрильной или нормальной температурой, с легкой головной болью, с мало выраженными менингеальными симптомами, нарушением сознания и другими мозговыми симптомами при общем удовлетворительном или даже хорошем состоянии. Нередко отмечающиеся значительные модификации в спинномозговой жидкости (снижение плеоцитоза, изменение клеточного состава в сторону лимфоцитоза и т. д.) и гемограмма также маскируют истинную картину заболевания.
Течение менингита при своевременном хирургическом вмешательстве, отсутствии других осложнений и рациональном применении антибиотиков и сульфаниламидных препаратов большей частью благоприятное, чаще всего заболевание по истечении 3-4 недели заканчивается выздоровлением. Однако наблюдается затяжное течение (до нескольких месяцев), обычно интермиттирующего характера (так называемые рецидивирующие менингиты). Эта форма менингита обусловлена рядом факторов:
- оставшиеся после операции на ухе гнойные очаги в лабиринте или верхушке пирамиды височной кости
- глубокие эпидуральные абсцессы
- отграниченные скопления гноя в субарахноидальном пространстве, не поддающиеся вследствие фибринозно-пластического осумкования воздействию антибиотиков (они же могут обусловить очаговые мозговые симптомы)
При перемежающемся течении менингита с рядом вспышек и затуханий постепенно возрастает резистентность бактерий. Прогноз при таком течении менингита большей частью плохой. Смертельный исход свойствен также гематогенной форме менингита, при которой нередко симптомы так молниеносно нарастают, что на вскрытии не удается установить видимых (макроскопически) изменений оболочек.
Диагностика менингита при отите
При наличии характерных менингеальных симптомов и картины спинномозговой жидкости диагноз несложен. Установив менингит, необходимо выяснить ряд обстоятельств — связан ли он с заболеванием уха, не является ли он эпидемическим цереброспинальным или туберкулезным менингитом, не является ли он следствием другого отогенного внутричерепного осложнения (например, экстрадурального или мозгового абсцесса).
Острое воспаление или обострение хронического гнойного воспаления среднего уха говорит в пользу отогенного характера менингита. Нахождение в спинномозговой жидкости менингококков или туберкулезных микобактерий выявляет характер менингита. Однако микобактерии высеваются при туберкулезе далеко не всегда. Для туберкулезного менингита характерны прозрачная жидкость, вытекающая при пункции под высоким давлением, лимфоцитарная реакция ликвора, выпадение пленки фибрина. Уточнению диагноза способствует выявление органного туберкулеза. Однако это удается далеко не всегда, а в то же время клиническое течение туберкулезного менингита может быть атипичным.
Наряду с туберкулезным менингитом следует дифференцировать отогенный менингит от цереброспинального менингита. Последний характеризуется внезапным началом, отсутствием всякой продромы, которая при отогенном менингите может быть в виде постепенно нарастающей головной боли за несколько дней до развитой картины заболевания. Если при гнойном менингите имеется картина острого среднего отита или обострения хронического гнойного среднего отита не следует медлить с операцией на ухе.
В преобладающем большинстве случаев операционные находки подтверждают правильность принятого решения. На операции чаще всего удается обнаружить и другие внутричерепные осложнения, если менингит возник на их почве. При отсутствии таких находок необходимо тщательное наблюдение за неврологической симптоматикой и динамикой изменений спинномозговой жидкости, учитывая прежде всего возможность нераспознанного абсцесса мозга. Подозрение в отношении абсцесса мозга должно возникнуть при отсутствии улучшения неврологического статуса с одновременной тенденцией к нормализации ликвора и при белковоклеточной диссоциации в ликворе (повышенное содержание белка при незначительном плеоцитозе).
Лечение менингита при отите
Операция на височной кости (простая или общеполостная в зависимости от характера отита) с широким обнажением твердой мозговой оболочки в средней и задней черепной ямке. При выявлении сопутствующего осложнения (эпидуральном или субдуральный абсцесс, абсцесс мозга, тромбофлебит сигмовидного синуса) производится соответствующее вмешательство. Вмешательство на лабиринте или верхушке пирамиды даже при осложнении необязательно. Очень часто явления гнойного лабиринтита или петрозита ликвидируются после обычной операции на височной кости и медикаментозного лечения. Однако при отсутствии успеха или неполном эффекте указанное вмешательство на лабиринте или верхушке пирамиды следует произвести.
Послеоперационное лечение состоит в применении антибиотиков и сульфаниламидов. Лечение необходимо сочетать с пероральным приемом нистатина во избежание развития кандидоза (по 500 000 ЕД 3-4 раза в день) и витаминотерапией (аскорбиновая кислота и комплекс витаминов группы В).
Для снижения внутричерепного давления проводят дегидратацию: 10-15 мл 25% раствора магния сульфата в/м, 10 мл 2,4% раствора эуфиллина в/в, капельно, 1-2 мл 2% раствора лазикса в/в или в/м или фуросемид (1-2 таблетки) внутрь. Производят люмбальные пункции (в тяжелых случаях через 2-3 дня, при начинающейся санации ликвора — через 4-5 дней), причем выпускается умеренное количество ликвора. При выраженном клиническом улучшении и приближении к нормализации ликвора пункции прекращают. В тяжелых случаях после удаления жидкости эндолюмбально вводят антибиотики.
При особо тяжелых формах менингита с угрожающим нарастанием внутричерепного давления, не поддающимся указанному лечению, в дополнение к произведенной операции показано вскрытие боковой цистерны мозга. В тяжелых случаях менингоэнцефалита применяют также введение антибиотиков через просвет сонных артерий.
Внутричерепные осложнения при воспалениях среднего уха (отита)
Внутричерепные осложнения могут возникать как при острых, так и при хронических гнойных отитах (воспалениях среднего уха). Как правило, причиной осложнений бывает гнойное воспаление среднего уха, однако имеются наблюдения, когда виновным оказывался негнойный средний отит без прободения барабанной перепонки. При остром воспалительном процессе внутричерепные осложнения чаще всего возникают лишь после мастоидита.
При хронических гнойных средних отитах внутричерепные осложнения возникают значительно чаще, чем при остром воспалении среднего уха. Наблюдаются они главным образом при хронических эпитимпанитах и мезо-эпитимпанитах, особенно осложнённых холестеатомой. Все же изредка описываются осложнения и при хронических мезотимпанитах.
Магнитно-резонансная томография (МРТ) головного мозга проводится при подозрении на внутричерепные осложнения при воспалении среднего уха (отите).
Распространение инфекции из полостей среднего уха на мозг, его оболочки и венозные пазухи твёрдой мозговой оболочки происходит:
- контактным путём (чаще всего)
- по сосудистым путям (главным образом венозным, но иногда артериальным и лимфатическим)
При контактном пути распространения инфекции (преимущественно при хронических гнойных средних отитах) в результате постепенного разрушения костных стенок барабанной полости и сосцевидного отростка (главным образом крыши и внутренней стенки сосцевидного отростка в области сигмовидной борозды), а также лабиринта, когда воспалительный очаг начинает непосредственно соприкасаться с оболочками мозга (средней и задней черепных ямок), воспалительный процесс может ограничиваться в течение некоторого времени наружной поверхностью твёрдой мозговой оболочки. В других случаях он распространяется глубже и переходит на паутинную и мягкую оболочки мозга и даже на вещество мозга.
При проникновении инфекции в сигмовидный синус обычно развивается сепсис.

Гнойный отит или воспаление среднего уха. Сквозь барабанную перепонку просвечивается уровень воспалительной жидкости (гноя) красного цвета.
Возбудителями внутричерепных отогенных осложнений чаще всего являются стрептококки, затем стафилококки, пневмококки, реже кишечная палочка, протей, анаэробы и т. д. К внутричерепным отогенным осложнениям относятся:
Профилактика внутричерепных осложнений при воспалениях среднего уха (отита)
К мерам, предупреждающим развитие внутричерепных осложнений, относится своевременное, правильное и систематическое лечение острого и хронического среднего отита. При недоброкачественном течении хронического гнойного отита (образование холестеатомы, грануляций, полипов) наилучшим является оперативный метод лечения.
Операция на ухе производится по типу тимпанопластики (при отсутствии выраженного неврита слухового нерва) или как обычная общеполостная операция среднего уха.

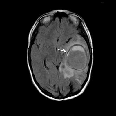
МРТ головного мозга. Резко ограниченная овальная масса левой височной и теменной доли (отогенный абсцесс головного мозга, белая стрелка) после недавней операции на левом среднем ухе.
Гнойный менингит ( Бактериальный менингит )
Гнойный менингит — воспалительный процесс, возникающий в мягкой оболочке головного мозга при проникновении в нее гноеродных микроорганизмов (пневмококков, менингококков, стрептококков и пр.). Гнойный менингит характеризуется высокой температурой тела, интенсивной головной болью, тошнотой, рвотой, нарушениями со стороны черепно-мозговых нервов, ранним появлением менингеальных симптомов, гиперестезией, расстройством сознания, психомоторным возбуждением. Диагностировать гнойный менингит можно на основании типичной клинической картины и данных анализа цереброспинальной жидкости. Гнойный менингит является показанием к обязательному проведению антибиотикотерапии. Применяются противоотечные препараты, глюкокортикостероиды, транквилизаторы, противосудорожные средства и пр. симптоматическая терапия.
МКБ-10

Общие сведения
Гнойный менингит — это воспаление мозговых оболочек (менингит), имеющее бактериальную этиологию. Гнойный менингит встречается с частотой 3,3 случаев на 100 тыс. населения. Заболеванию подвержены все возрастные категории, но наиболее часто гнойный менингит развивается у детей до 5 лет. Отмечено, что гнойный менингит часто возникает на фоне ослабленного состояния иммунной системы. Повышение заболеваемости наблюдается в зимне-весенний период. С начала 90-х годов прошлого века произошло существенное снижение заболеваемости гнойным менингитом, уменьшение числа летальных исходов и случаев развития тяжелых осложнений.

Причины возникновения гнойного менингита
К развитию гнойного менингита может приводить не только менингококковая инфекция, но также пневмококки, гемофильная палочка и другие бактерии. Почти половина случаев гнойного менингита приходится на долю гемофильной палочки. В 20% причиной гнойного менингита является менингококк, в 13% случаев — пневмококк. У новорожденных гнойный менингит зачастую возникает в результате стрептококковой инфекции, сальмонеллеза или инфицирования кишечной палочкой.
В зависимости от механизма проникновения возбудителя в оболочки головного мозга в неврологии выделяют первичный и вторичный гнойный менингит. Первичный гнойный менингит развивается при гематогенном распространении возбудителя из полости носа или глотки, куда он попадает из внешней среды. Заражение происходит от больных лиц и носителей воздушно-капельным и контактным путем. Прямое инфицирование мозговых оболочек возможно при переломе черепа и открытой черепно-мозговой травме, открытых повреждениях сосцевидного отростка и придаточных пазух носа, недостаточно тщательном соблюдении правил асептики в ходе нейрохирургических вмешательств.
Вторичный гнойный менингит возникает на фоне имеющегося в организме первичного септического очага, инфекция из которого проникает в оболочки головного мозга. Контактное распространение гноеродных микроорганизмов может наблюдаться при абсцессе головного мозга, остеомиелите костей черепа, септическом синустромбозе. Гематогенное и лимфогенное распространение возбудителя возможно из инфекционного очага любой локализации, но наиболее часто происходит при длительно протекающих инфекциях лор-органов (остром среднем отите, хроническом гнойном среднем отите, синуситах).
Проникновению возбудителей гнойного менингита через гематоэнцефалический барьер способствует ослабленное состояние иммунной системы организма, которое может быть вызвано частыми ОРВИ, гиповитаминозом, перенесенным стрессом, физическими перегрузками, резкой сменой климата.
Классификация гнойного менингита
В зависимости от тяжести клинических проявлений гнойный менингит классифицируется на легкую, среднетяжелую и тяжелую формы. Тяжелые формы заболевания наблюдаются в основном на фоне резкого снижения иммунитета и у пациентов с удаленной селезенкой.
По особенностям течения выделяют молниеносный, абортивный, острый и рецидивирующий гнойный менингит. Наиболее часто встречается острый гнойный менингит с типичными общемозговыми и оболочечными симптомами. Молниеносное течение гнойного менингита с первых часов заболевания характеризуется быстрым нарастанием отека головного мозга, приводящего к нарушению сознания и витальных функций. Абортивный вариант отличается стертой клинической картиной, в которой на первый план выходят симптомы интоксикации. Рецидивирующий гнойный менингит может наблюдаться при недостаточном или запоздалом лечении острой формы заболевания, а также при наличии в организме хронического очага гнойной инфекции.
Симптомы гнойного менингита
Инкубационный период первичного гнойного менингита в среднем длится от 2 до 5 суток. Типично острое начало с резкого повышения температуры тела до 39-40°С, сильного озноба, интенсивной и нарастающей головной боли, тошноты и многократной рвоты. Могут наблюдаться психомоторное возбуждение, бред, нарушения сознания. В 40% случаев гнойный менингит протекает с судорожным синдромом. Специфичные для менингита оболочечные симптомы (симптом Кернига, Брудзинского, Гийена, ригидность затылочных мышц) выражены с первых часов заболевания и усиливаются на 2-3-й день. Типичны выраженная гиперестезия и снижение брюшных рефлексов на фоне общего повышения глубоких рефлексов. Возможно появление диффузной сыпи геморрагического характера.
Очаговая симптоматика, сопровождающая гнойный менингит, чаще всего заключается в нарушении функций различных черепно-мозговых нервов. Наиболее часто наблюдается поражение глазодвигательных нервов, приводящее к двоению, развитию косоглазия, опущению верхнего века и появлению разницы в размере зрачков (анизокории). Реже отмечается неврит лицевого нерва, поражение тройничного нерва, расстройство функции зрительного нерва (выпадение полей зрения, снижение остроты зрения) и преддверно-улиткового нерва (прогрессирующая тугоухость). Более тяжелая очаговая симптоматика свидетельствует о распространении воспалительных изменений на вещество головного мозга или о развитии сосудистых нарушений по типу ишемического инсульта, обусловленных васкулитом, рефлекторным спазмом или тромбозом сосудов головного мозга.
При переходе воспалительного процесса на вещество мозга говорят о развитии менингоэнцефалита. При этом гнойный менингит протекает с присоединением характерной для энцефалита очаговой симптоматики в виде парезов и параличей, нарушений речи, изменений чувствительности, появления патологических рефлексов, повышения мышечного тонуса. Возможны гиперкинезы, галлюцинаторный синдром, нарушения сна, вестибулярная атаксия, расстройства поведенческих реакций и памяти. Распространение гнойного процесса на желудочки мозга с развитием вентрикулита проявляется спастическими приступами по типу горметонии, сгибательными контрактурами рук и разгибательными ног.
Осложнения гнойного менингита
Ранним и грозным осложнением, которым может сопровождаться гнойный менингит, является отек головного мозга, приводящий к сдавлению мозгового ствола с расположенными в нем жизненно важными центрами. Острый отек головного мозга, как правило, возникает на 2-3-й день заболевания, при молниеносной форме — в первые часы. Клинически он проявляется двигательным беспокойством, нарушением сознания, расстройством дыхания и нарушениями со стороны сердечно-сосудистой системы (тахикардия и артериальная гипертензия, в терминальной стадии сменяющиеся брадикардией и артериальной гипотонией).
Среди прочих осложнений гнойного менингита могут наблюдаться: септический шок, надпочечниковая недостаточность, субдуральная эмпиема, пневмония, инфекционный эндокардит, пиелонефрит, цистит, септический панофтальмит и др.
Диагностика гнойного менингита
Типичные клинические признаки, наличие менингеальных симптомов и очаговой неврологической симптоматики в виде поражения черепно-мозговых нервов, как правило, позволяют неврологу предположить у пациента гнойный менингит. Более затруднительна диагностика в случаях, когда гнойный менингит имеет абортивное течение или возникает вторично на фоне симптомов существующего септического очага другой локализации. Чтобы подтвердить гнойный менингит необходимо произвести люмбальную пункцию, в ходе которой выявляется повышенное давление ликвора, его помутнение или опалесцирующая окраска. Последующее исследование цереброспинальной жидкости определяет увеличенное содержание белка и клеточных элементов (в основном за счет нейтрофилов). Выявление возбудителя производится в ходе микроскопии мазков цереброспинальной жидкости и при ее посеве на питательные среды.
С диагностической целью производят также анализ крови и отделяемого элементов кожной сыпи. При предположении о вторичном характере гнойного менингита проводятся дополнительные обследования, направленные на поиск первичного инфекционного очага: консультация отоларинголога, пульмонолога, терапевта; рентгенография околоносовых пазух, отоскопия, рентгенография легких.
Дифференцировать гнойный менингит необходимо от вирусного менингита, субарахноидального кровоизлияния, явлений менингизма при других инфекционных заболеваниях (сыпном тифе, лептоспирозе, тяжелых формах гриппа и др.).
Лечение гнойного менингита
Все имеющие гнойный менингит пациенты подлежат лечению в условиях стационара. Таким больным должна быть неотложно проведена люмбальная пункция и бактериоскопическое исследование ликвора. Сразу же после установления этиологии менингита пациенту назначается антибиотикотерапия. В большинстве случаев она представляет собой сочетание ампициллина с препаратами цефалоспоринового ряда (цефтриаксоном, цефотаксимом, цефтазидимом). При гнойном менингите неустановленной этиологии стартовая терапия заключается во внутримышечном введении аминогликозидов (канамицина, гентамицина) или их комбинации с ампициллином. Тяжело протекающий гнойный менингит может потребовать внутривенного или интратекального введения антибиотиков.
С целью уменьшения гидроцефалии и отека мозга при гнойном менингите назначают дегидратационную терапию (фуросемид, маннитол). Патогенетическое лечение гнойного менингита также включает применение глюкокортикостероидных препаратов (дексаметазона, преднизолона), дозы которых зависят от тяжести заболевания. Наряду с этим производится необходимая симптоматическая терапия. При нарушениях сна назначаются транквилизаторы; для купирования психомоторного возбуждения и судорог — литические смеси (хлорпромазин, дифенгидрамин, тримеперидина), диазепам, вальпроевая кислота; при гиповолемии и развитии инфекционно-токсического шока проводится инфузионная терапия.
В восстановительном периоде после перенесенной острой фазы гнойного менингита рекомендован прием ноотропных и нейропротекторных препаратов, витаминотерапия и общеукрепляющее лечение. Лечение пациентов, имеющих вторичный гнойный менингит, должно включать ликвидацию первичного септического очага, в том числе и путем хирургического вмешательства (санирующая операция при среднем отите, фронтотомия, этмоидотомия, сфенотомия, удаление внутримозгового абсцесса и т. п.).
Прогноз гнойного менингита
По некоторым данным в 14% случаев гнойный менингит приводит к летальному исходу. Однако при своевременно начатом и корректно проведенном лечении гнойный менингит имеет в основном благоприятный прогноз. После перенесенного менингита может наблюдаться астения, ликворно-динамические нарушения, нейросенсорная тугоухость, отдельные слабо выраженные очаговые симптомы. Тяжелые последствия гнойного менингита (гидроцефалия, амавроз, глухота, деменция, эпилепсия) в наше время являются редкостью.
Профилактика гнойного менингита
На сегодняшний день наиболее эффективным способом, позволяющим предупредить гнойный менингит, является вакцинация. Прививки проводится против основных возбудителей гнойного менингита: гемофильной палочки, менинго- и пневмококков. В России эти вакцины не считаются обязательными и вводятся по показаниям или по желанию пациентов.
Вакцинация против гемофильной инфекции проводится в основном детям в возрасте от 3 месяцев до 5 лет и людям, страдающим иммунодефицитными состояниями в результате ВИЧ-инфекции, проведения иммуносупрессивной терапии онкозаболеваний, удаления тимуса или селезенки и т. п. Вакцинация против менингококковой инфекции рекомендована детям после 18 месяцев и взрослым. Детям до 18 месяцев вакцинация проводится по эпидемическим показаниям (например, если менингококковый гнойный менингит диагностирован у одного из членов семьи). В регионах, опасных по менингококковому гнойному менингиту, вакцинация должна проводиться пациентам с иммунодефицитом и людям, имеющим анатомические дефекты черепа. Вакцинация против пневмококковой инфекции показана часто болеющим детям, пациентам с частыми пневмониями и отитами, в случаях пониженного иммунитета.
Хронический гнойный средний отит
Хронический гнойный средний отит — это гнойный воспалительный процесс в полости среднего уха, имеющий хроническое течение. Хронический гнойный средний отит характеризуется кондуктивной или смешанной тугоухостью, гноетечением из слухового прохода, болью и шумом в ухе, иногда головокружением и головной болью. Хронический гнойный средний отит диагностируется по данным отоскопии, исследований слуха, бактериологического посева ушных выделений, рентгенологических и томографических обследований височной кости, анализа вестибулярной функции и неврологического статуса пациента. Пациенты, имеющие хронический гнойный средний отит, лечатся как консервативными, так и хирургическими методами (санирующая операция, мастоидотомия, антротомия, закрытие фистулы лабиринта и др.).

Хронический гнойный средний отит — это отит, более 14 дней сопровождающийся постоянным гноетечением из уха. Однако многие специалисты в области клинической отоларингологии указывают на то, что хроническим следует считать средний отит с гноетечением, продолжающемся более 4 недель. По данным ВОЗ, хронический гнойный средний отит наблюдается у 1-2% населения и в 60% случаев приводит к стойкому снижению слуха. Более, чем в 50% случаев хронический гнойный средний отит начинает свое развитие в возрасте до 18 лет. Хронический гнойный средний отит может стать причиной гнойных внутричерепных осложнений, которые в свою очередь могут привести к гибели больного.
Причины
Возбудителями при хроническом гнойном среднем отите, как правило, являются несколько патогенных микроорганизмов. Наиболее часто это стафилококки, протей, клебсиелла, псевдомония; в редких случаях — стрептококки. У пациентов с длительным течением хронического гнойного среднего отита наряду с бактериальной флорой зачастую высеваются возбудители отомикоза — дрожжевые и плесневые грибы. Непосредственные причины:
- Острый средний отит. В подавляющем большинстве случаев хронический гнойный средний отит является результатом перехода в хроническую форму острого среднего отита или развития адгезивного среднего отита.
- Травмы уха. Развитие заболевания также возможно при инфицировании барабанной полости в результате травмы уха, сопровождающейся повреждением барабанной перепонки.
- Другие заболевания ЛОР-органов. Возникновение хронического гнойного среднего отита бывает обусловлено нарушением функции слуховой трубы при евстахиите, аэроотите, аденоидах, хроническом синусите;
Способствуют развитию хронического гнойного среднего отита из острого различные иммунодефицитные состояния (ВИЧ-инфекция, побочный эффект лечения цитостатиками или рентгенотерапии), эндокринопатии (гипотиреоз, ожирение, сахарный диабет), нерациональная антибиотикотерапия или неоправданное сокращение сроков лечения острого гнойного отита.
Классификация
Хронический гнойный средний отит имеет 2 клинические формы:
- Мезотимпанит(туботимпанальный отит). Составляет около 55% и отличается развитием воспалительного процесса в пределах слизистой оболочки барабанной полости без вовлечения ее костных образований.
- Эпитимпанит(эпитимпано-антральный отит) На долю эпитимпанита приходятся остальные 45% случаев хронического гнойного среднего отита. Он сопровождается деструктивными процессами в костной ткани и во многих случаях ведет к образованию холестеатомы уха.
Симптомы
Основными клиническими признаками хронического гнойного среднего отита являются гноетечение из уха, понижение слуха (тугоухость), ушной шум, болевые ощущения в ухе и головокружение. Гноетечение может носить постоянный или периодический характер. В период обострения заболевания количество отделяемого, как правило, увеличивается. Если в барабанной полости происходит разрастание грануляционной ткани или имеются полипы, то отделяемое из уха может носить кровянистый характер.
Хронический гнойный средний отит характеризуется кондуктивным типом тугоухости, обусловленным нарушением подвижности слуховых косточек. Однако длительно протекающий хронический гнойный средний отит сопровождается смешанной тугоухостью. Возникающие при этом нарушения в работе звуковоспримающей части слухового анализатора вызваны пониженным в результате длительного воспаления кровообращением в улитке и повреждением волосковых клеток лабиринта медиаторами воспаления и токсическими веществами, образующимися в ходе воспалительной реакции. Повреждающие вещества проникают из барабанной полости во внутреннее ухо через окна лабиринта, проницаемость которых увеличивается.
Болевой синдром обычно выражен умеренно и возникает лишь в периоды, когда хронический гнойный средний отит переходит в фазу обострения. Обострение может быть спровоцировано ОРВИ, фарингитом, ринитом, ларингитом, ангиной, попаданием жидкости в ухо. В период обострения также имеет место повышение температуры тела и появление чувства пульсации в ухе.
Осложнения
Эпитимпанит имеет более тяжелое течение, чем мезотимпанит. Этот хронический гнойный средний отит сопровождается костной деструкцией, в результате которой образуются скатол, индол и пр. химические вещества, придающие ушному отделяемому зловонный запах. При распространении деструктивного процесса на латеральный полукружный каналец внутреннего уха, у пациента наблюдается системное головокружение. При деструкции стенки костного лицевого канала отмечается парез лицевого нерва. Эпитимпанит чаще приводит к развитию гнойных осложнений: мастоидита, лабиринтита, менингита, абсцесса головного мозга, арахноидита и пр.
Диагностика
Диагностировать хронический гнойный средний отит позволяют данные эндоскопии, исследований слухового анализатора, бактериологического посева отделяемого из уха, рентгенографии черепа, КТ и МСКТ черепа с прицельным исследованием височной кости.
- Осмотр уха.Отоскопия и микроотоскопия проводятся после туалета наружного уха с тщательным очищением наружного слухового прохода. Они выявляют наличие перфорации в барабанной перепонке. Причем хронический гнойный средний отит, протекающий по типу мезотимпанита, отличается наличием перфорации в натянутой области барабанной перепонки, в то время как для эпитимпанита типично расположение перфорации в ненатянутой области.
- Исследование слуховой функции. Хронический гнойный средний отит характеризуется понижением слуха по данным аудиометрии, кондуктивной или смешанной тугоухостью по данным пороговой аудиометрии, нарушением подвижности слуховых косточек по данным акустической импедансометрии. Также проводится оценка проходимости евстахиевой трубы, электрокохлеография, отоакустическая эмиссия.
- Исследования вестибулярного анализатора. Хронический гнойный средний отит, сопровождающийся вестибулярными расстройствами, является показанием для электронистагмографии, стабилографии, видеоокулографии, прессорной пробы, непрямой отолитометрии.
При наличие в клинике заболевания неврологических нарушений необходимы консультации невролога и МРТ головного мозга.

Лечение хронического гнойного среднего отита
Гнойный отит без костной деструкции и осложнений может лечиться медикаментозными методами под амбулаторным наблюдением отоларинголога. Такая медикаментозная терапия направлена на снятие воспалительного процесса. В случаях, когда хронический гнойный средний отит протекает с костной деструкцией, она является по сути предоперационной подготовкой больного.
Если хронический гнойный средний отит сопровождается парезом лицевого нерва, головной болью, неврологическими нарушениями и/или вестибулярными расстройствами, то это свидетельствует о наличии деструктивного процесса в кости и развитии осложнений. В такой ситуации необходимо скорейшая госпитализация пациента в стационар и рассмотрение вопроса о его хирургическом лечении.
Консервативная терапия
Хронический гнойный средний отит обычно подлежит консервативному или предоперационному лечению в течение 7-10 дней. В этот период ежедневно производят туалет уха с последующим промыванием барабанной полости растворами антибиотиков и закапывание в ухо антибактериальных капель. Учитывая, что хронический гнойный средний отит сопровождается перфорацией в барабанной перепонке, в качестве ушных капель нельзя применять ототоксичные антибиотики аминогликозидного ряда. Можно использовать ципрофлоксацин, норфлоксацин, рифампицин, а также их комбинацию с глюкокортикостероидами.
Хирургическое лечение
С целью полной санации и функционального восстановления хронический гнойный средний отит с костной деструкцией нуждается в хирургическом лечении. В зависимости от распространенности гнойного процесса хронический гнойный средний отит является показанием к санирующей операции с мастоидопластикой или тимпанопластикой, атикоантротомией, мастоидотомией, лабиринтотомией и пластикой фистулы лабиринта, удалением холестеатомы. Если хронический гнойный средний отит сопровождается разлитым воспалением с угрозой развития осложнений, то проводится общеполостная операция на ухе.
Прогноз
Своевременно проведенная санация хронического гнойного очага в ухе обеспечивает благоприятный исход заболевания. Чем раньше проведено лечение, тем больше шансов на восстановление и сохранение слуха. В запущенных случаях, когда хронический гнойный средний отит приводит к значительным костным разрушениям и/или развитию осложнений, для восстановления слуха необходимо проведение реконструктивных операций. В отдельных случаях при наиболее неблагоприятном исходе пациентам требуется слухопротезирование.
Читайте также:
- Техника аппаратного промывания желудка. Чем промывать желудок при отравлении?
- Выделительная система плода. Иммунная система плода.
- Тесты для определения гинекологических заболеваний
- Рентгенограмма после операции по поводу травмы таза, тазобедренного сустава, бедра
- Диагностика сфингомиелиноза. Изменения органов при болезни Ниманна—Пика
