Хронический остеомиелит бактериальной этиологии: атлас фотографий
Добавил пользователь Владимир З. Обновлено: 22.11.2025
Информацию из данного раздела нельзя использовать для самодиагностики и самолечения. В случае боли или иного обострения заболевания диагностические исследования должен назначать только лечащий врач. Для постановки диагноза и правильного назначения лечения следует обращаться к Вашему лечащему врачу.
Для корректной оценки результатов ваших анализов в динамике предпочтительно делать исследования в одной и той же лаборатории, так как в разных лабораториях для выполнения одноименных анализов могут применяться разные методы исследования и единицы измерения.
Остеомиелит: причины появления, симптомы, диагностика и способы лечения.
Определение
Остеомиелит - это тяжелый инфекционно-воспалительный процесс, поражающий все элементы кости. Под термином «остеомиелит» в настоящее время понимают неспецифическое гнойное или гнойно-некротическое поражение костной ткани (остит), костного мозга (миелит), надкостницы (периостит) и окружающих мягких тканей.
Причины появления остеомиелита
Ведущая роль в развитии заболевания принадлежит патогенным стафилококкам (золотистый стафилококк обнаруживается почти у 90% больных остеомиелитом), гемолитическим стрептококкам, грамотрицательной кишечной и анаэробной микрофлоре, грибковым инфекциям.
Специалисты считают, что в развитии остеомиелита имеют значение снижение реактивности организма больного (в результате травмы, переохлаждения, сенсибилизации) и нарушение кровоснабжения поражаемого отдела кости.
Основными путями проникновения инфекции в костную ткань являются:
- Гематогенный - патогенные микроорганизмы из какого-либо источника инфекции (например, фурункулов, кариозных зубов, воспалительных очагов в деснах, миндалинах или придаточных пазухах, легких, мочеполового тракта и др.) с током крови проникают в костную ткань, приводя к развитию остеомиелита. Воспалительный процесс начинается с внутренних слоев кости - в первую очередь поражается костный мозг, губчатое вещество кости. В последующем процесс переходит на компактное вещество (наружный плотный слой кости) и надкостницу. Данный вид остеомиелита часто встречается в детском возрасте. Особенностью костной ткани у детей является ее обильное кровоснабжение. В большинстве случаев остеомиелит развивается в зонах роста костей (метафизах). При этом чаще поражаются длинные (большеберцовая, бедренная или плечевая) кости конечностей ребенка. У взрослых гематогенный остеомиелит, как правило, поражает тело позвонков.
- Прямое инфицирование костной ткани может наблюдаться при открытых переломах, обширных, глубоких ранах. Посттравматический остеомиелит развивается вторично после открытых переломов. Особую группу составляет остеомиелитическое повреждение костей после ДТП, спортивных травм, огнестрельных и минно-взрывных ранений, поскольку в характере перелома играет роль обширное поражение окружающих тканей. При этом возникает не только дефицит костной, но и мягких тканей с образованием больших дефектов. В некоторых случаях данным путем может происходить проникновение патогенных бактерий при различных хирургических ортопедических вмешательствах.
- Инфицирование из близлежащих гнойных очагов (контактный путь) - патогенные бактерии проникают в костную ткань из длительно существующих гнойно-воспалительных очагов в окружающих мягких тканях. Данная форма в основном встречается у взрослых. В процесс обычно вовлечена одна кость, но иногда наблюдается поражение нескольких участков. Экзогенное распространение инфекции от сопредельных зараженных тканей или открытых ран вызывает около 80% случаев остеомиелита и часто имеет полимикробный характер. Факторами риска у взрослых являются мужской пол, пожилой возраст, истощение, ослабленный иммунитет, длительный прием глюкокортикоидов, гемодиализ, серповидноклеточная анемия (наследственное заболевание, которое характеризуется образованием патологического белка гемоглобина в эритроцитах) и употребление инъекционных наркотиков. Травмы, ишемия, инородные тела, пролежни, повреждение тканей лучевой терапией также предрасполагают к остеомиелиту.
Остеомиелит, обусловленный инфицированием окружающих тканей, часто локализуется в области стоп (у больных с сахарным диабетом или заболеваниями периферических сосудов).
Любой остеомиелит может перейти в хроническую форму, имея, в конечном счете, общую патофизиологию с нарушением целостности оболочки мягких тканей, наличием окружающей омертвевшей, инфицированной и реактивной новой костной ткани.

Классификация заболевания
Остеомиелит различают:
- по пути инфицирования: экзогенный и эндогенный;
- по этиологии:
- острый гематогенный остеомиелит, вызванный золотистым стафилококком, стрептококками, коагулаза-отрицательными стафилококками, Haemophilus influenzae, грамотрицательными микроорганизмами;
- остеомиелит позвоночника, вызванный золотистым стафилококком, грамотрицательными кишечными палочками, микобактериями туберкулеза, грибами;
- остеомиелит при наличии местного очага или сосудистой недостаточности, вызванный комбинацией аэробных и анаэробных микроорганизмов;
- остеомиелит, развившийся на фоне инфекции протезных аппаратов, вызванной коагулаза-отрицательными стафилококками, золотистым стафилококком, коринеформными бактериями, грамотрицательными микроорганизмами.
- острый гематогенный остеомиелит:
- генерализованный (септикотоксемия, септикопиемия),
- очаговая форма;
- после перелома,
- огнестрельный,
- послеоперационный;
- абсцесс Броди,
- альбуминозный (Оллье),
- склерозирующий (Гарре).
- острая (2-4 недели);
- подострая (от 2 недель и более):
- выздоровление,
- продолжение процесса;
- обострение,
- ремиссия,
- выздоровление.
- остеомиелит трубчатых костей (эпифизарный, метафизарный, диафизарный, тотальный);
- остеомиелит плоских костей.
К симптомам заболевания относят боль в области пораженной кости, сопровождающуюся общей реакцией организма (при остром остеомиелите) или без нее (при хроническом остеомиелите).
Первые признаки остеомиелита в острой форме:
- сильная распирающая боль в пораженной кости;
- выраженный локальный отек, который приводит к натяжению кожного покрова;
- температура тела поднимается до 38оС;
- при постукивании можно определить очаг воспаления - в этом месте пациент чувствует наибольшую болезненность.
![Кость.jpg]()
Признаки остеомиелита кости часто дополняются симптомами общей интоксикации, если инфекция распространяется на соседние ткани или проникает в кровь. У пациента в таком случае наблюдаются:
- высокая температура (около 39оС);
- сильная головная боль;
- лихорадка, озноб;
- бледные кожные покровы;
- учащенное сердцебиение;
- тошнота и рвота.
Если у пациента наблюдается хронический остеомиелит, симптомы кардинально меняются. Клиническая картина становится стертой. Основные признаки остеомиелита хронической формы:
- боль уменьшается, приобретает ноющий характер;
- появляются свищи (каналы, соединяющие гнойный очаг с внешней средой) с гнойным отделяемым, которые часто имеют выход далеко от локализации воспаления.
Развитие остеомиелита у детей сопровождается теми же симптомами что и у взрослых, хотя патология чаще протекает в легкой форме без общей интоксикации и осложнений.
Остеомиелит позвоночника обычно вызывает локальную боль в спине с паравертебральным (по сторонам позвоночного столба) мышечным спазмом, которые не поддаются консервативному лечению. На поздних стадиях заболевание может привести к компрессии спинного мозга или нервных корешков с радикулопатией и слабостью или онемением конечностей. Повышения температуры тела, как правило, не наблюдается.
Диагностика остеомиелита
При подозрении на остеомиелит необходимо выполнить следующие лабораторные исследования:
- общий анализ крови и определение скорости оседания эритроцитов;
Синонимы: Общий анализ крови, ОАК. Full blood count, FBC, Complete blood count (CBC) with differential white blood cell count (CBC with diff), Hemogram. Краткое описание исследования Клинический анализ крови: общий.
С-реактивный белок - белок острой фазы, чувствительный индикатор повреждения тканей при воспалении, некрозе, травме. Синонимы: Анализ крови на СРБ; С-реактивн�.
Рентгенологическое исследование считается одним из наиболее эффективных методов диагностики остеомиелита. Признаки патологии у детей видны на снимке уже на 5-й день, а у взрослых — только через 2 недели от начала воспалительного процесса.
Самым точным и эффективным видом диагностики является радионуклидная сцинтиграфия костей. С помощью специальных препаратов, накапливающихся в зоне очага болезни, можно точно выявить начало поражения кости. Однако этот метод не позволяет провести дифференциальную диагностику между инфекцией, переломами и опухолями.
Скопление гноя в мягких тканях выявляют с помощью ультразвукового исследования.
Исследование мягких тканей для выявления патологических изменений и диагностики новообразований.
Для лечения большое значение имеет биопсия очага воспаления костной ткани (аспирационная или открытая) и посев гнойного отделяемого на флору с определением чувствительности к антибиотикам и бактериофагам.
Синонимы: Wound/tissue Culture. Aerobic Bacteria Identification and Antibiotic Susceptibility extended testing. Краткое описание исследования «Посев раневого отделяемого и тканей на микрофлору и определе.
Синонимы: Wound/tissue Culture. Aerobic Bacteria Identification. Antibiotic Susceptibility and Bacteriophage Efficiency testing. Краткое описание исследования «Посев раневого отделяемого и тканей на микрофлору, �.
К каким врачам обращаться
Лечение остеомиелита
Консервативные методы лечения в большинстве случаев стандартизированы и включают антибиотикотерапию с определением микробного возбудителя и чувствительности микроорганизмов к антибактериальным препаратам, противовоспалительную терапию. Большое значение имеет проведение иммуномодулирующей терапии, в том числе с использованием методов квантовой гемотерапии (реинфузия обработанной ауто- и донорской крови и др.), а в отдельных случаях гормонотерапии.
В большинстве случаев хирургическое лечение остеомиелита направлено, прежде всего, на ликвидацию очага гнойно-некротического поражения, замещение остаточных полостей или образовавшихся дефектов.
При остром гематогенном остеомиелите начальная антибиотикотерапия должна включать полусинтетические пенициллины или ванкомицин и цефалоспорины 3-го или 4-го поколения. При хроническом остеомиелите, возникающем в результате распространения инфекции с окружающих мягких тканей, особенно у больных диабетом, лечение проводят с использованием препаратов, эффективных как против грамположительных и грамотрицательных аэробов, так и против анаэробной флоры.
Осложняет лечение хронической формы заболевания нарушение кровоснабжения кости, которое затрудняет проникновение антибактериальных препаратов, снижает эффективность местного иммунного ответа в костной ткани.
Некоторые симптомы остеомиелита свидетельствуют о том, что болезнь перешла в крайне тяжелую форму. Нередко единственным выходом в этой ситуации становится хирургическое вмешательство. Главная его цель — удаление гнойного очага воспаления. Это в разы ускоряет процесс выздоровления и улучшает общее самочувствие больного.
Показания к операции:
- гнойная форма заболевания;
- флегмона надкостницы;
- наличие свищей и секвестров;
- обширное гнойное течение заболевания.
В последние годы широко разрабатываются методы закрытия костной полости, такие как мышечная или кожно-мышечная пластика.
Существуют современные методы, которые позволяют сохранить имплантаты при остеосинтезе (хирургической репозиции костных отломков при помощи различных фиксирующих металлических конструкций) в случае ранних нагноений. Это вакуумная терапия, применение гидрохирургической системы, ультразвуковой кавитации и других методов обработки ран, которые дают возможность предотвратить развитие так называемой бактериальной биопленки на поверхности имплантата, что, в свою очередь, позволяет сохранить имплантат и конечность.
Остеомиелит - тяжелое заболевание, поэтому даже при своевременном и компетентном лечении есть риск возникновения нежелательных последствий. Остеомиелит кости может вызвать как самостоятельные осложнения, так и такие, которые возникают как следствие хирургического вмешательства. Некоторые из них требуют отельного лечения. Прогрессирование гнойно-воспалительного процесса приводит к разрушению костной ткани, нарушается ее кровоснабжение, что еще больше усиливает некротические процессы в кости. Заболевание может вызвать такие нарушения:
- развитие абсцессов и свищей, нарывов в мягких тканях и на коже;
- возникновение флегмоны — пропитывания мышечных волокон гноем;
- развитие артрита с образованием гнойных масс в полостях;
- самопроизвольные переломы;
- анкилозные сращивания суставных частей;
- контрактурная неподвижность мышечных соединений.
Гнойно-воспалительные поражения костей приводят к инвалидизации около 55% пациентов. Остеомиелит может закончиться потерей конечности, если речь идет о поражении руки или ноги.
В связи с особенностью локализации остеомиелитического процесса у детей в последующем может наблюдаться замедление развития костей за счет повреждения воспалительным процессом зон роста.
Разрушение позвонков, сдавливание спинного мозга может приводить к двигательным и чувствительным нарушениям.
Профилактика остеомиелита
Для снижения риска развития остеомиелита рекомендуется:
- своевременно реагировать на возникновение инфекционных процессов в организме;
- проводить лечение гайморита, кариеса, воспаления носоглотки и верхних дыхательных путей;
- осуществлять тщательную обработку ран, обморожений и ожогов, чтобы исключить возможность их инфицирования;
- вести здоровый образ жизни, избегать чрезмерных физических нагрузок, недоедания, следить за сбалансированностью питания;
- не допускать переохлаждения организма.
Симптомы остеомиелита челюсти в зависимости от этиологии и формы заболевания
![Фото: Внешние симптомы остеомиелита]()
Одонтогенным остеомиелитом принято называть гнойное воспалительное поражение костной ткани, причиной которого является распространение патологической микрофлоры из больного зуба. Заболевание преимущественно развивается у пациентов в возрасте 20-40 лет.
Симптомы остеомиелита челюсти включают боль, отек и асимметрию лица. Лечение такой патологии требует комплексного подхода с применением хирургии и консервативной терапии.
Этиология заболевания
Гнойно-воспалительное поражение костной ткани развивается в результате проникновения в челюсть болезнетворных бактерий. Микрофлора остеомиелитных очагов, в основном, представлена стафилококками, стрептококками и гнилостными бактериями.
В 70-х годах нагноение кости, как правило, вызывали стафилококки, устойчивые к действию антибиотиков. В современной хирургической стоматологии врачи применяют синтетические антибактериальные средства широкого спектра действия.
В некоторых случаях болезнь может провоцировать острая травма челюстно-лицевой области. Травматический остеомиелит челюстей при переломе считается достаточно редкостным осложнением и является следствием нагноения краев травмы.
![Постравматический остеомиелит нижней челюсти]()
Патогенез остеомиелита
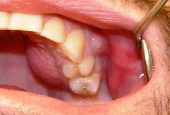
Источник инфицирования кости - это бактерии околозубных тканей, радикулярные кисты и опухолеподобные процессы челюстей. Самой распространенной причиной остеомиелита является периодонтит больших коренных зубов.
![Гнойный периодонтит нижней челюсти]()
Специалисты выделяют несколько теорий патогенеза остеомиелита:
- Инфекционно-эмболическая теория. Заболевание развивается из-за проникновения в кость патологической микрофлоры через капилляры. В мельчайших кровеносных сосудах при этом образовываются тромбы из бактерий, которые провоцируют развитие болезни.
- Теория изменения реактивности организма. Сторонники этого направления утверждают, что остеомиелит развивается на фоне системного снижения иммунитета.
- Нейротрофическая теория. Гнойно-некротическое поражение костной ткани является результатом хронического раздражения нервных окончаний.
Ученые, изучив патогенез и признаки остеомиелита челюсти, установили ключевую роль в развитии некроз кости снижению защитных механизмов (переохлаждение, стрессы, переутомление, вирусы и сопутствующие хронические заболевания).
Клиническая картина одонтогенного остеомиелита
Специфика протекания болезни зависит от формы остеомиелита, распространенности патологии, локализации бактериального очага и индивидуальных особенностей организма.
Классификация клинических форм остеомиелита
Наглядная классификация клинических разновидностей этого заболевания представлена в таблице ниже:
![Острая стадия остеомиелита]()
![Ограниченный остеомиелит челюсти]()
![Подострая стадия остеомиелита]()
![Диффузный остеомиелит нижней челюсти]()
![Хронический остеомиелит]()
Признаки остеомиелита
Заболевание, как правило, протекает с повышением температуры тела, которая может быть субфебрильной или достигать значительных показателей. Выраженность такой воспалительной реакции зависит от индивидуальных особенностей организма.
Так, например, воспалительно-некротическое поражение челюсти у пожилых пациентов не вызывает подъема температуры тела, а у детей в первые дни наблюдается гипергическая реакция (39-40ᵒС).
![Повышение температуры тела у пациентов с остеомиелитом]()
Одним из основных симптомов гнойно-некротического поражения костной ткани является отек мягких тканей и выделение гноя из пародонтальных карманов.
Остеомиелит верхней челюсти, симптомы которого редко сопровождаются припухлостью, встречается намного реже, чем нагноение нижней челюсти. Это объясняется тем, что верхнечелюстная кость имеет пористую структуру, что способствует активному выделению экссудата из одонтогенного очага воспаления.
При ограниченном остеомиелите больной жалуется на периодические приступы интенсивной боли, которая локализируется в области причинного зуба. В то же время диффузное воспалительное поражение сопровождается разлитым болевым синдромом. Дискомфортные ощущения пациент ощущает в области половины или всей челюсти.
![Боль при остеомиелите нижней челюсти]()
Во время осмотра больного врач обращает внимание на следующие признаки гнойного поражения костной ткани:
- асимметрия челюстно-лицевой области, выраженность которой будет зависеть от распространенность патологического процесса;
- увеличение и болезненность региональных лимфатических узлов;
- ограниченное открывание рта вследствие воспалительной контрактуры жевательных мышц;
- подвижность одного или нескольких зубов;
- выделение гноя из зубодесневого кармана.
В большинстве случаев острый одонтогенный остеомиелит челюстей провоцирует интоксикацию организма, что клинически проявляется общим недомоганием, хронической усталостью, головными болями, потерей работоспособности и быстрой утомляемостью.
![Чувство «постоянной усталости» при остеомиелите нижней челюсти]()
Диагностика заболевания
Инструкция по диагностике гнойных заболеваний челюстно-лицевой области требует проведения стоматологом следующих процедур:
- сбор анамнеза болезни;
- визуальный осмотр больного и пальпация подчелюстных лимфатических узлов;
- инструментальный осмотр ротовой полости;
- рентгенограмма в прямой и боковой проекции;
- ортопатомограмма и прицельная рентгенография причинного зуба;
- компьютерная и магнитно-резонансная томография.
Цена проведения диагностики зависит от количества процедур и необходимости осуществления томографических методик исследования костной ткани.
![Ортопатомограмма пациента с травматическим остеомиелитом]()
Основные методы терапии
Остеомиелит челюсти, симптом и лечение которого тесно связаны между собой, подлежит терапии только в условиях хирургического стационара. Радикальное вмешательство при этом включает удаление причинного зуба и вскрытие гнойного очага в кости. В последующем хирург дренирует рану и периодически промывает ее раствором антисептиков.
Параллельно с хирургическим методом терапии специалисты назначают больному консервативное лечение. Антибиотики при остеомиелите челюсти должны обладать широким спектром действия. В этот комплекс также входят препараты дезинтоксикаионного, иммуностимулирующего и общеукрепляющего действия.
Остеомиелит
Остеомиелит - воспаление костного мозга, при котором обычно поражаются все элементы кости (надкостница, губчатое и компактное вещество). В зависимости от этиологии остеомиелита он подразделяется на неспецифический и специфический (туберкулезный, сифилитический, бруцеллезный и т. п.); посттравматический, гематогеный, послеоперационный, контактный. Клиническая картина зависит от вида остеомиелита и его формы (острая или хроническая). Основу лечения острого остеомиелита составляет вскрытие и санация всех гнойников, при хроническом остеомиелите - удаление полостей, свищей и секвестров.
МКБ-10
![МРТ стопы. Остеомиелит таранной и большеберцовой кости с наличием обширной зоны деструкции костной ткани.]()
![КТ стопы. Посттравматический хронический остеомиелит пяточной кости с наличием секвестра (красная стрелка) и свищевого хода (синяя стрелка).]()
Общие сведения
Остеомиелит (от лат. osteon кость + myelos костный мозг + itis воспаление) - воспаление костного мозга, при котором обычно поражаются все элементы кости (надкостница, губчатое и компактное вещество). По статистике, остеомиелит после травм и операций составляет 6,5% всех болезней опорно-двигательного аппарата. Чаще поражает бедренную и плечевую кость, кости голени, позвонки, нижнечелюстные суставы и верхнюю челюсть. После открытых переломов диафиза трубчатых костей посттравматический остеомиелит возникает в 16,3% случаев. Мужчины болеют остеомиелитом чаще женщин, дети и пожилые - чаще людей молодого и среднего возраста.
Классификация
Выделяют неспецифический и специфический остеомиелит. Неспецифический остеомиелит вызывают гноеродные бактерии: золотистый стафилококк (90% случаев), стрептококк, кишечная палочка, реже - грибки. Специфический остеомиелит возникает при туберкулезе костей и суставов, бруцеллезе, сифилисе и т. д.
В зависимости от пути, которым микробы проникают в кость, различают эндогенный (гематогенный) и экзогенный остеомиелит. При гематогенном остеомиелите возбудители гнойной инфекции заносятся через кровь из удаленного очага (фурункул, панариций, абсцесс, флегмона, инфицированная рана или ссадина, тонзиллит, синусит, кариозные зубы и пр.). При экзогенном остеомиелите инфекция проникает в кость при ранении, операции или распространяется с окружающих органов и мягких тканей.
В начальных стадиях экзогенный и эндогенный остеомиелит различаются не только по происхождению, но и по проявлениям. Затем отличия сглаживаются и обе формы болезни протекают одинаково. Выделяют следующие формы экзогенного остеомиелита:
- посттравматический (после открытых переломов);
- огнестрельный (после огнестрельных переломов);
- послеоперационный (после проведения спиц или операций на костях);
- контактный (при переходе воспаления с окружающих тканей).
Как правило, остеомиелит вначале протекает остро. В благоприятных случаях заканчивается выздоровлением, в неблагоприятных - переходит в хронический. При атипичных формах остеомиелита (абсцессе Броди, альбуминозном остеомиелите Оллье, склерозирующем остеомиелите Гарре) и некоторых инфекционных болезнях (сифилисе, туберкулезе и др.) острая фаза воспаления отсутствует, процесс носит первично-хронический характер.
Острый остеомиелит
Проявления острого остеомиелита зависят от пути проникновения инфекции, общего состояния организма, обширности травматического поражения кости и окружающих мягких тканей. На рентгенограммах изменения видны спустя 2-3 недели с начала заболевания.
Гематогенный остеомиелит
Как правило, развивается в детском возрасте, причем треть пациентов заболевает в возрасте до 1 года. Достаточно редкие случаи развития гематогенного остеомиелита у взрослых на самом деле являются рецидивами болезни, перенесенной в детском возрасте. Чаще поражает большеберцовую и бедренную кости. Возможно множественное поражение костей.
Из удаленного очага воспаления (абсцесс мягких тканей, флегмона, инфицированная рана) микробы с кровью разносятся по организму. В длинных трубчатых костях, особенно - в их средней части хорошо развита широкая сеть сосудов, в которой скорость кровотока замедляется. Возбудители инфекции оседают в губчатом веществе кости. При неблагоприятных условиях (переохлаждение, снижение иммунитета) микробы начинают усиленно размножаться, развивается гематогенный остеомиелит. Выделяют три формы заболевания:
Септико-пиемическая форма. Характерно острое начало и выраженная интоксикация. Температура тела поднимается до 39—40°, сопровождается ознобом, головной болью и повторной рвотой. Возможны потеря сознания, бред, судороги, гемолитическая желтуха. Лицо больного бледное, губы и слизистые оболочки синюшны, кожа сухая. Пульс учащенный, давление снижено. Селезенка и печень увеличиваются, иногда развивается бронхопневмония.
На 1-2 сутки болезни появляется точно локализованная, резкая, сверлящая, распирающая или рвущая, усиливающаяся при малейших движениях боль в области поражения. Мягкие ткани конечности отечны, кожа горячая, красная, напряженная. При распространении на близлежащие суставы развивается гнойный артрит.
Через 1-2 недели в центре поражения формируется очаг флюктуации (жидкость в мягких тканях). Гной проникает в мышцы, образуется межмышечная флегмона. Если флегмону не вскрыть, она может вскрыться самостоятельно с образованием свища или прогрессировать, приводя к развитию параартикулярной флегмоны, вторичного гнойного артрита или сепсиса.
Местная форма. Общее состояние страдает меньше, иногда остается удовлетворительным. Преобладают признаки местного воспаления кости и мягких тканей.
Адинамическая (токсическая) форма. Встречается редко. Характеризуется молниеносным началом. Преобладают симптомы острого сепсиса: резкое повышение температуры, тяжелый токсикоз, судороги, потеря сознания, выраженное снижение артериального давления, острая сердечно-сосудистая недостаточность. Признаки костного воспаления слабые, появляются поздно, что затрудняет постановку диагноза и проведение лечения.
Посттравматический остеомиелит
Возникает при открытых переломах костей. Развитию болезни способствует загрязнение раны в момент травмы. Риск развития остеомиелита увеличивается при оскольчатых переломах, обширных повреждениях мягких тканей, тяжелых сопутствующих повреждениях, сосудистой недостаточности, снижении иммунитета.
Посттравматический остеомиелит поражает все отделы кости. При линейных переломах зона воспаления обычно ограничена местом перелома, при оскольчатых переломах гнойный процесс склонен к распространению. Сопровождается гектической лихорадкой, выраженной интоксикацией (слабость, разбитость, головная боль и т. д.), анемией, лейкоцитозом, повышением СОЭ. Ткани в области перелома отечны, гиперемированы, резко болезненны. Из раны выделяется большое количество гноя.
![МРТ стопы. Остеомиелит таранной и большеберцовой кости с наличием обширной зоны деструкции костной ткани.]()
МРТ стопы. Остеомиелит таранной и большеберцовой кости с наличием обширной зоны деструкции костной ткани.
Огнестрельный остеомиелит
Чаще возникает при обширных поражениях костей и мягких тканей. Развитию остеомиелита способствует психологический стресс, снижение сопротивляемости организма и недостаточная обработка раны.
Общие симптомы сходны с посттравматическим остеомиелитом. Местная симптоматика при остром огнестрельном остеомиелите нередко выражена слабо. Отек конечности умеренный, обильное гнойное отделяемое отсутствует. О развитии остеомиелита свидетельствует изменение раневой поверхности, которая становится тусклой и покрывается серым налетом. В последующем воспаление распространяется на все слои кости.
Несмотря на наличие очага инфекции, при огнестрельном остеомиелите обычно наступает сращение кости (исключение - значительная раздробленность кости, большое смещение отломков). При этом гнойные очаги оказываются в костной мозоли.
Послеоперационный остеомиелит
Является разновидностью посттравматического остеомиелита. Возникает после операций по остеосинтезу закрытых переломов, ортопедических операций, проведения спиц при наложении компрессионно-дистракционных аппаратов или наложении скелетного вытяжения (спицевой остеомиелит). Как правило, развитие остеомиелита вызвано несоблюдением правил асептики или большой травматичностью операции.
Контактный остеомиелит
Возникает при гнойных процессах окружающих кость мягких тканей. Особенно часто инфекция распространяется с мягких тканей на кость при панариции, абсцессах и флегмонах кисти, обширных ранах волосистой части головы. Сопровождается увеличением отека, усилением болей в области повреждения и образованием свищей.
Лечение
Только в стационаре в отделении травматологии. Выполняют иммобилизацию конечности. Проводят массивную антибиотикотерапию с учетом чувствительности микроорганизмов. Для уменьшения интоксикации, восполнения объема крови и улучшения местного кровообращения переливают плазму, гемодез, 10% раствор альбумина. При сепсисе применяют методы экстракорпоральной гемокоррекции: гемосорбцию и лимфосорбцию.
Обязательным условием успешного лечения острого остеомиелита является дренирование гнойного очага. На ранних стадиях в кости делают трепанационные отверстия с последующим промыванием растворами антибиотиков и протеолитических ферментов. При гнойных артритах выполняют повторные пункции сустава для удаления гноя и введения антибиотиков, в некоторых случаях показана артротомия. При распространении процесса на мягкие ткани образовавшиеся гнойники вскрывают с последующим открытым промыванием.
Хронический остеомиелит
При небольших очагах воспаления, комплексном и своевременном лечении, преимущественно у молодых пациентов восстановление костной ткани преобладает над ее разрушением. Очаги некроза полностью замещаются вновь образованной костью, наступает выздоровление. Если этого не произошло (примерно в 30% случаев), острый остеомиелит переходит в хроническую форму.
Примерно к 4 неделе при всех формах острого остеомиелита происходит секвестрация - образование омертвевшего участка кости, окруженного измененной костной тканью. На 2-3 месяц заболевания секвестры окончательно отделяются, на месте разрушения кости формируется полость и процесс становится хроническим.
Симптомы
При переходе острого остеомиелита в хронический состояние пациента улучшается. Боли уменьшаются, становятся ноющими. Формируются свищевые ходы, которые могут выглядеть, как сложная система каналов и выходить на поверхность кожи далеко от места повреждения. Из свищей выделяется умеренное количество гнойного отделяемого.
В период ремиссии состояние пациента удовлетворительное. Боли исчезают, отделяемое из свищей становится скудным. Иногда свищи закрываются. Продолжительность ремиссии при остеомиелите колеблется от нескольких недель до нескольких десятков лет, зависит от общего состояния и возраста больного, локализации очага и т. д.
Развитию рецидива способствуют сопутствующие заболевания, снижение иммунитета и закрытие свища, приводящее к скоплению гноя в образовавшейся костной полости. Рецидив болезни напоминает стертую картину острого остеомиелита, сопровождается гипертермией, общей интоксикацией, лейкоцитозом, повышением СОЭ. Конечность становится болезненной, горячей, краснеет и отекает. Состояние пациента улучшается после открытия свища или вскрытия гнойника.
![КТ стопы. Посттравматический хронический остеомиелит пяточной кости с наличием секвестра (красная стрелка) и свищевого хода (синяя стрелка).]()
КТ стопы. Посттравматический хронический остеомиелит пяточной кости с наличием секвестра (красная стрелка) и свищевого хода (синяя стрелка).
Осложнения
Хронический остеомиелит часто осложняется переломами, образованием ложных суставов, деформацией кости, контрактурами, гнойным артритом, малигнизацией (злокачественным перерождением тканей). Постоянно существующий очаг инфекции влияет на весь организм, вызывая амилоидоз почек и изменения внутренних органов. В период рецидива и при ослаблении организма возможен сепсис.
Диагностика
Постановка диагноза при хроническом остеомиелите в большинстве случаев не вызывает затруднений. Для подтверждения проводят МРТ, КТ или рентгенографию. Для выявления свищевых ходов и их связи с остеомиелитическим очагом выполняют фистулографию.
Операция показана при наличии остеомиелитических полостей и язв, гнойных свищей, секвестров, ложных суставах, частых рецидивах с интоксикацией, выраженной болью и нарушением функции конечности, малигнизации, нарушении деятельности других органов и систем вследствие хронической гнойной инфекции.
Выполняют некрэктомию (секвестрэктомию) - удаление секвестров, грануляций, остеомиелитических полостей вместе с внутренними стенками и иссечение свищей с последующим промывным дренированием. После санации полостей проводят костную пластику.
4. Острый остеомиелит: клинический протокол/ Экспертная комиссия по вопросам развития здравоохранения - 2013
Остеомиелит челюсти - симптомы и лечение
Что такое остеомиелит челюсти? Причины возникновения, диагностику и методы лечения разберем в статье доктора Дунаевской Натальи Вадимовны, стоматолога-ортопеда со стажем в 16 лет.
Над статьей доктора Дунаевской Натальи Вадимовны работали литературный редактор Вера Васина , научный редактор Пётр Козлов и шеф-редактор Маргарита Тихонова
![Дунаевская Наталья Вадимовна, стоматолог-ортопед - Краснодар]()
Определение болезни. Причины заболевания
Остеомиелит челюсти (osteomyelitis of the jaws) — это гнойно-некротический процесс, который развивается в кости и костном мозге челюсти с вовлечением окружающих мягких тканей. Другое название заболевания — «некроз челюсти».
При острой форме остеомиелита в области повреждённого зуба возникает боль, которая усиливается при надавливании на челюсть. Наблюдается выраженный отёк, покраснение и припухлость, лицо становится несимметричным. Пациент жалуется на головные боли и общую слабость, температура тела повышается до 39 °C.
![Остеомилеит челюсти [19]]()
Распространённость
Острым и хроническим остеомиелитом болеют люди всех возрастов и обоих полов. Однако чаще заболевание встречается у мужчин, потому что они, как правило, несвоевременно обращаются за медицинской помощью [8] . Средний возраст пациентов составляет 39 лет [7] .
Выделяют следующие виды остеомиелита челюсти:
- Одонтогенные — развиваются из-за инфекции в зубе и составляют 74,2 % от всех случаев остеомиелита [18] .
- Травматические — возникают после травмы, например при переломе челюсти. Зачастую заболевание развивается, когда пациент обращается в больницу только на 7-10-й день после повреждения [5] .
- Гематогенные — инфекция попадает с током крови из какого-либо органа. Встречаются при хронических и острых инфекциях: скарлатине, дифтерии и хроническом тонзиллите.
Согласно статистике, 15 % больных остеомиелитом поступают в отделение в состоянии алкогольного опьянения и при опросе указывают на частый приём алкогольных напитков, 13 % сейчас или в прошлом употребляли наркотики, следовательно страдают иммунодефицитами.
У 45,7 % больных остеомиелитом, поступивших в стационар, выявлено обострение хронического процесса и нагноение мягких тканей, из которых 47,6 % случаев составляют флегмоны, а 52,4 % — абсцессы.
У 13 % пациентов с остеомиелитом челюсти выявляются гепатиты В и С, а у 2 % — ВИЧ-инфекция [5] .
Причины остеомиелита челюсти
- Позднее обращение к стоматологу — зуб долго болел, но дискомфорт подавлялся домашними методами лечения, например полосканиями с содой и солью.
- Хронические инфекционные и вирусные болезни: тонзиллит, синусит, гайморит и ангина.
- Инъекции или переливание крови, при которых инфекция может попасть в кровоток. В стоматологии часто применяют плазмолифтинг — в область слизистой оболочки дёсен инъекционно вводят обогащённую тромбоцитами плазму собственной крови пациента. При нарушении правил безопасности микробы могут попасть в кровоток.
- Травматизм, частые переломы и ранения.
- Туберкулёз и сифилис суставов.
- Аллергия.
- Иммунодефицит на фоне заболеваний или длительного приёма некоторых препаратов, например при химиотерапии.
- Стрессы, физическое и нервное истощение. При длительном стрессе нарушаются защитные функции организма и человек становится восприимчивым к инфекциям [17] .
- В очень редких случаях — нарушение функции височно-нижнечелюстного сустава.
При обнаружении схожих симптомов проконсультируйтесь у врача. Не занимайтесь самолечением - это опасно для вашего здоровья!
Симптомы остеомиелита челюсти
Симптомы зависят от типа остеомиелита, течения болезни и степени поражения тканей.
Симптомы острой формы остеомиелита подразделяются на два вида:
- Местные симптомы:
- В области повреждённого зуба возникает боль. Она усиливается при ощупывании, постукивании и лёгком надавливании на челюсть и мягкие ткани. Неприятные ощущения чаще более выражены на участках рядом с больным зубом и снижаются при давлении на него.
- Поражённый зуб постепенно расшатывается, и возникает синдром «клавиш» — соседние зубы тоже становятся подвижными.
- Шейные и подчелюстные лимфатические узлы увеличиваются и болят.
- В некоторых случаях нарушается чувствительность губ и ухудшаются вкусовые ощущения.
- Общие симптомы:
- возникают головные боли, особенно в области висков;
- развивается общая слабость и утомляемость, нарушается сон;
- температура тела повышается до 39 °C.
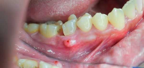
После острой стадии наступает подострая. На десне образуется гнойничок или свищ, через который гнойные выделения и воспалительная жидкость выходят наружу.
![Свищ на десне]()
Затем боль утихает, но очаг инфекции остаётся, поэтому сохраняется высокая температура и нарастает слабость. Если в этот период не обратиться к врачу, то инфекция распространится по всему организму и человек может погибнуть.
Хроническая форма длится от нескольких месяцев до нескольких лет. Описанные выше симптомы то появляются, то стихают или даже полностью исчезают. При длительном течении болезни зубы становятся подвижными, челюсть утолщается и могут измениться контуры лица.
Как правило, при хроническом остеомиелите пациенты не обращают внимания на болезненные симптомы, а повышение температуры и слабость связывают с простудными заболеваниями [4] .
Патогенез остеомиелита челюсти
Выделяют три теории происхождения остеомиелита:
- Инфекционно-эмболическая теория. Основоположники этой теории считали, что костная ткань воспаляется из-за нарушения кровоснабжения. Инфекция оседает в кровеносных сосудах и закупоривает мелкие капилляры. В результате этого питательные вещества и кислород не поступают к кости, возникает гнойное воспаление и некроз. Данная теория признана некорректной после того, как было подробно исследовано строение кровеносной системы, костей и окружающих тканей [7] .
- Нервно-трофическая теория. Её приверженцы полагают, что остеомиелит развивается при обострениях болезней зубов, например при периодонтите. Также к болезни приводят нарушения в работе иммунной системы. При частых обострениях заболеваний зубов наступает сенсибилизация — иммунные клетки перестают распознавать инфекцию и развивается гнойно-некротический процесс.
- Гематогенная теория. Первоначально воспаление развивается в костном мозге и проявляется отёком и покраснением кожи. Из-за отёка увеличивается внутрикостное давление и, как следствие, сдавливаются сосуды в костном канале. Это приводит к закупорке сосудов и развитию гнойно-некротического процесса [13][14][15] .
Остальные причины — травмы, аллергия, стрессы, нарушение функции височно-нижнечелюстного сустава — провоцируют развитие остеомиелита без хронического воспаления в зубе. Такой остеомиелит можно отнести к неодонтогенному: травматическому и аллергическому. Но и в этом случае заболевание развивается на фоне нарушенного движения крови по сосудам, ухудшения её свёртываемости и гнойно-некротических процессов.
Классификация и стадии развития остеомиелита челюсти
Остеомиелит классифицируют в зависимости от распространённости, источника инфицирования и рентгенологических признаков.
Виды остеомиелита челюсти
Отдельно выделяют нетипичный остеомиелит челюсти, когда процесс протекает бессимптомно: температура тела не повышается, костная ткань разрушается незначительно, свищи не образуются. Такую форму называют первично-хроническим остеомиелитом [7] [8] .
Стадии остеомиелита челюстей
- Острая — длится 14 суток.
- Подострая — наступает на 15-20-е сутки.
- Хроническая — от 30 суток до нескольких лет.
- Обострение хронического остеомиелита [8] .
Осложнения остеомиелита челюсти
Среди осложнений остеомиелита можно выделить местные и общие. Местные возникают непосредственно в полости рта, а общие затрагивают весь организм. Общие осложнения приводят к тяжёлым последствиям, долго лечатся и иногда заканчиваются гибелью пациента.
Местные осложнения:
- разрушение кости;
- выпадение зубов из-за увеличения их подвижности;
- хроническое воспаление в полости рта;
- появление кист внутри челюсти, что характерно для острой фазы заболевания;
- контрактура височно-нижнечелюстного сустава — состояние, при котором сложно или невозможно открыть рот; ;
- флегмона — разлитое гнойное воспаление мягких тканей;
- лимфаденит — множественное увеличение лимфатических узлов [4][9] .
![Флегмона при остеомиелите челюсти]()
Общие осложнения:
Диагностика остеомиелита челюсти
Диагностика заболевания включает:
- сбор жалоб;
- визуальный осмотр;
- лабораторные исследования;
- инструментальные методы.
Сбор жалоб
Пациенты обычно жалуются на слабость, недомогание, плохое самочувствие и высокую температуру тела. Они отмечают, что зуб стал подвижным, нарушилась речь, трудно открывать рот и принимать пищу. Некоторые пациенты указывают на отёк лица с «больной» стороны.
- спрашивает о недавних травмах челюстно-лицевой области;
- выясняет, есть ли общие соматические заболевания, например сахарный диабет, болезни мочеполовой системы и желчнокаменная болезнь;
- уточняет, когда возникли симптомы, проявились ли они впервые или уже были раньше;
- узнаёт, как давно пациент посещал стоматолога.
Осмотр
Врач обращает внимание на бледность кожи и асимметричность лица, вызванную отёком мягких тканей. При ощупывании выявляется, что регионарные лимфатические узлы с поражённой стороны увеличены и болезненны. Пациент с трудом открывает рот, язык обложен налётом, изо рта исходит неприятный запах [7] .
При осмотре полости рта заметны покраснение и отёк слизистой оболочки в области больного зуба и близлежащих тканей. Зуб разрушен, подвижен при пальпации, боль усиливается при постукивании по нему. Подвижными и болезненными также могут быть несколько неповреждённых зубов в зоне поражения.
Лабораторные исследования
- Общий анализ крови. На активный воспалительный процесс указывают:
- повышение СОЭ до 40-70 мм/ч;
- лейкоцитоз, сдвиг лейкоцитарной формулы влево;
- положительная проба на С-реактивный белок;
- уменьшение альбуминов и повышение глобулинов;
- рост показателей активности щелочной и кислой фосфатазы.
- Биохимический анализ крови — позволяет исключить сахарный диабет и оценить функции почек и печени.
- Общий анализ мочи — при остеомиелите в ней появляется белок, клетки крови, гиалиновые и зернистые цилиндры.
Инструментальные методы диагностики
Компьютерная томография (КТ) — самый информативный метод диагностики остеомиелита челюсти. Это 3D-исследование, которое позволяет определить очаг инфекции и степень выраженности воспаления, его длительность и характер. С помощью КТ можно выявить не только крупные, но и мелкие образования, единичные и групповые, а также проанализировать, насколько далеко распространилась инфекция.
![Компьютерная томография]()
В некоторых случаях в свищевой ход вводят контрастное вещество. Такой метод исследования с контрастом называется фистулографией [9] [10] .
Рентгенография в первую неделю, как правило, не выявляет изменения в кости — в этот период воспалена только верхушка корня зуба. К концу второй недели кость разрушается и становится прозрачнее.
Дифференциальная диагностика
- между видами остеомиелита: одонтогенным, травматическим и гематогенным;
- острым периоститом;
- добро- и злокачественными новообразованиями;
- поражением полости рта специфическими инфекционными заболеваниями: туберкулёзом, сифилисом, актиномикозом.
Лечение остеомиелита челюсти
Лечение проводится только в стационаре под наблюдением врача и может быть медикаментозным и хирургическим [9] . По отдельности эти методы мало результативны и даже могут навредить пациенту. Схемы лечения зависят от стадии заболевания.
Лечение острого и подострого остеомиелита
При первом посещении срочно удаляют запущенный повреждённый зуб. Затем полость рта тщательно промывают антибиотиками. Это необходимо сделать, чтобы убрать из раны микробов и гной.
В следующие дни рану обрабатывают дезинфицирующими средствами и вводят инъекции противомикробных препаратов. С их помощью удаётся воздействовать непосредственно на очаг инфекции и не дать ей распространиться. В дополнение к основному лечению применяют питательные составы с витаминами С и группы В.
На подострой стадии болезни важно сдержать распространение инфекции и не дать воспалению перейти на окружающие ткани.
Для этого применяют:
- капельницы с антибиотиками;
- препараты, снижающие или подавляющие воспаление;
- резиновый дренаж для оттока экссудата.
![Резиновый дренаж]()
Также в кровоток вводят витаминные комплексы и препараты, очищающие организм от микробов и продуктов их жизнедеятельности. Конкретные лекарства и дозировки подбирает лечащий врач.
Дополнительной терапией после основного лечения могут стать методы физиотерапии: УВЧ-терапия или лечение непостоянными токами. Считается, что они ускоряют процессы заживления [7] [16] .
Лечение хронического остеомиелита
При появлении некротизированных полостей с распадом кости и окружающих её тканей потребуется операция. Для этого повреждённую область рассекают, поражённые участки убирают и накладывают шину. В дальнейшем с помощью рентгенологических методов врач контролирует, как восстанавливается костная ткань [11] .
Чтобы помочь организму бороться с инфекцией, дополнительно принимают антибиотики в таблетках. Чаще всего назначают Метронидазол и усиливают его эффект препаратами из группы цефалоспоринов 3-4-го поколения.
Если состояние пациента не улучшается, то добавляют фторхинолоны или Рифампицин. Основная задача антибиотиков — не дать бактериям размножаться [7] . Лекарства помогают уменьшить воспаление и удержать патологический процесс в пределах поражённого участка.
Также ротовую полость ежедневно обрабатывают бактерицидными средствами, применяют капельницы с витаминами и плазмозамещающими жидкостями, которые очищают организм от токсинов.
Дополнительно рекомендовано полоскать рот настоями ромашки, зверобоя, мяты и окопника. Фитосредства уменьшают воспаление, ускоряют выздоровление и практически не имеют побочных эффектов.
Прогноз. Профилактика
Если пациент при первых признаках остеомиелита обращается к врачу, то прогноз благоприятный. Если же болезнь запущена, то делать какие-либо выводы сложно: неизвестно, хватит ли у организма сил для борьбы с инфекцией. В тяжёлых случаях могут развиться опасные осложнения, от которых человек может погибнуть [9] .
Самым непредсказуемым является гематогенный остеомиелит. Развитие всех других форм, как правило, можно предотвратить. Для этого достаточно придерживаться простых правил:
Хронический остеомиелит - это хронический воспалительный процесс, поражающий все элементы кости: костный мозг, надкостницу, компактное и губчатое вещество. Обычно становится исходом острого остеомиелита, реже наблюдается первично хроническое течение. Характерно чередование ремиссий и обострений. В фазе обострения наблюдаются симптомы общей интоксикации, боли, отек, гиперемия пораженного отдела и образование свищей. В фазе ремиссии симптомы сглаживаются или исчезают. Диагноз выставляется с учетом анамнеза, клинических проявлений, данных рентгенографии и других исследований. Лечение чаще оперативное, производится секвестрэктомия, по показаниям выполняются реконструктивные вмешательства.
![Хронический остеомиелит]()
![КТ локтевого сустава. Утолщение кортикального слоя плечевой кости за счет гиперостоза/остеосклероза (желтая стрелка), периостальные наложения (синяя стрелка), свищевые ходы (красная стрелка).]()
Хронический остеомиелит - хроническое воспаление кости. Обычно возникает после острого остеомиелита. Может поражать любую кость, однако чаще страдают длинные трубчатые кости. Отмечается преобладание больных с поражением нижних конечностей. Хронический остеомиелит выявляется у людей любого возраста и пола. Характерно длительное течение с чередованием обострений и ремиссий. Продолжительность ремиссий может колебаться от нескольких недель до нескольких лет.
Длительно существующее воспаление оказывает разрушительное влияние не только на кость, но и на другие органы. Пораженный сегмент может искривляться или укорачиваться, иногда в зоне воспаления формируется ложный сустав. Ограничивается подвижность соседних суставов, возникают контрактуры. При локализации очага в околосуставной зоне возможно развитие гнойного артрита. Свищи с постоянным гнойным отделяемым доставляют пациентам существенные неудобства, являются источником неприятного запаха, затрудняют общение, негативно влияют на карьеру и личную жизнь. У больных, много лет страдающих остеомиелитом, часто выявляются дистрофические изменения внутренних органов и амилоидоз почек.
![Хронический остеомиелит]()
Причины
Хронический остеомиелит может стать исходом любой формы острого остеомиелита. У детей преобладают хронические гнойные процессы, возникшие на фоне гематогенного остеомиелита. У взрослых первое место по распространенности занимает хронический посттравматический остеомиелит, который обычно развивается на фоне открытых переломов, но может возникать и после оперативных вмешательств по поводу закрытых повреждений кости (такой остеомиелит называют послеоперационным).
Хронический остеомиелит также часто развивается после огнестрельных переломов, сопровождающихся обширным повреждением тканей, разрушенных в результате прямого воздействия снаряда и образования зоны коммоции. Заживление таких ран всегда происходит через нагноение, что способствует формированию хронического гнойного очага в области поврежденной кости. Относительно редко встречаются хронические воспаления кости, обусловленные контактным распространением инфекции (из близко расположенной гнойной раны, флегмоны либо абсцесса).
Патогенез
Первично в очаге воспаления, как правило, действуют грамположительные гноеродные бактерии (стафилококки, пневмококки или стрептококки). По мере хронизации процесса грамположительная флора замещается грамотрицательной или дополняет ее, образуя микробные ассоциации. В посевах из очагов хронического остеомиелита могут обнаруживаться клебсиелла, вульгарный протей, кишечная палочка, синегнойная палочка и другие микроорганизмы.
Вероятность перехода острого остеомиелита в хронический зависит от множества факторов, в числе которых общее состояние организма, наличие или отсутствие иммунных нарушений, особенности строения и кровоснабжения костной ткани, состояние системы кровообращения и т. д. Хронический остеомиелит чаще развивается у пациентов, страдающих от тяжелых соматических заболеваний и сочетанных травм, а также у ослабленных и истощенных больных. Большое значение имеет площадь поражения кости и окружающих мягких тканей.
Острый остеомиелит переходит в хронический спустя примерно месяц после появления первых симптомов. К этому моменту в кости формируются секвестры, начинается отторжение некротизированных тканей, образуются свищи. При отсутствии эффекта от лечебных мероприятий, проводимых в течение 1,5 месяцев с момента начала заболевания, можно говорить о хроническом гнойном воспалении кости. В последующем процесс протекает волнообразно, при этом частота и тяжесть обострений могут существенно варьироваться.
Симптомы хронического остеомиелита
В фазе ремиссии больной чувствует себя удовлетворительно. В пораженной области обычно сохраняется свищ с небольшим количеством гнойного отделяемого, однако признаки общей интоксикации отсутствуют. Иногда свищ закрывается. Местное воспаление слабо выражено, преобладают признаки хронического вялотекущего процесса. Мягкие ткани в зоне остеомиелитического очага уплотнены, кожа с багровым, реже - синюшным оттенком. При хроническом остеомиелите конечности пораженный сегмент, как правило, утолщен, может выявляться отечность дистальных отделов, обусловленная нарушениями крово- и лимфообращения.
Обострение напоминает стертую картину острого остеомиелита. У пациента повышается температура, появляется слабость, разбитость, боли в мышцах и другие симптомы интоксикации. Отек пораженного сегмента увеличивается. Кожа краснеет, болевой синдром становится более интенсивным. Возможно образование межмышечных флегмон, сопровождающееся ухудшением общего состояния и появлением интенсивных распирающих или дергающих болей, нарушающих сон пациента.
Мягкие ткани в области флегмоны становятся напряженными, местная температура повышается. В ряде случаев при пальпации удается определить участок флюктуации. Количество отделяемого по свищу увеличивается. Если в период ремиссии свищ закрылся, состояние больного улучшается после образования нового свища или нескольких свищей, которые могут формироваться как в непосредственной близости от гнойных очагов, так и на значительном удалении.
Диагностика
Основным инструментальным методом исследования при хроническом остеомиелите является рентгенография. На рентгенограммах определяются признаки разрушения кости в сочетании с элементами пролиферации. В области гнойного очага видна полость, часто выявляются секвестры в виде плотных теней с неровными контурами и сохраненным костным рисунком. Вокруг зоны воспаления определяются участки склероза. В фазе обострения возникает периостит, количество и характер периостальных наслоений зависят от давности и выраженности процесса.
Иногда из-за значительного склерозирования кости мелкие очаги на рентгенограммах не выявляются. Кроме того, рентгенография не позволяет оценить изменения мягких тканей, поэтому в сомнительных случаях больных дополнительно направляют на КТ кости и МРТ. Важной частью предоперационного исследования является фистулография, по результатам которой определяется объем и тактика оперативного вмешательства. Фистулография дает возможность увидеть направление свищевого хода, который нередко бывает извилистым и имеет сложную форму. При помощи этого исследования можно определить объем полостей, выявить связь свища с секвестром и т. д.
![КТ локтевого сустава. Утолщение кортикального слоя плечевой кости за счет гиперостоза/остеосклероза (желтая стрелка), периостальные наложения (синяя стрелка), свищевые ходы (красная стрелка).]()
КТ локтевого сустава. Утолщение кортикального слоя плечевой кости за счет гиперостоза/остеосклероза (желтая стрелка), периостальные наложения (синяя стрелка), свищевые ходы (красная стрелка).
Лечение хронического остеомиелита
Лечение проводят специалисты в области травматологии и ортопедии. Лечебная тактика определяется в зависимости от состояния больного, выраженности, распространенности и стадии патологических изменений, а также наличия сопутствующих осложнений со стороны пораженного сегмента (ложные суставы, укорочение или грубая деформация конечности) и выраженности дистрофических изменений внутренних органов. В период обострения назначают антибиотики и средства для стимуляции иммунитета, осуществляют дренирование гнойных полостей при помощи специальных игл или катетеров.
Полости и свищи промывают растворами антибиотиков. Межмышечные флегмоны вскрывают и дренируют. Хирургические вмешательства выполняют после стихания острых воспалительных явлений. Проводится секвестрэктомия - полностью удаляются очаги некроза, грануляции и участки избыточного склерозирования. Свищевые ходы иссекают, основываясь на данных фистулографии. Осуществляют промывание операционной раны растворами антисептиков. После полного очищения раны оставшиеся костные стенки перфорируют, удаленные участки замещают костными трансплантатами.
В ряде случаев проводится более сложное, многоэтапное лечение хронического остеомиелита. При ложных суставах, укорочении и выраженной деформации может потребоваться остеотомия, резекция участка кости, не вовлеченного в патологический процесс и другие лечебные мероприятия. Для исправления угловых деформаций и удлинения пораженного сегмента конечности врачи-травматологи накладывают аппараты Илизарова.
Прогноз и профилактика
Прогноз зависит от давности заболевания, объема поражения, состояния здоровья пациента и радикальности хирургического вмешательства. При свежих процессах и полном иссечении небольших очагов часто наблюдается полное выздоровление. При застарелом остеомиелите прогноз ухудшается из-за трофических изменений мягких тканей, обширной дистрофической перестройки кости, ухудшения местного кровоснабжения и неблагоприятного общего фона, обусловленного нарушением деятельности различных органов. Тем не менее, оперативное лечение показано даже в запущенных случаях, поскольку хронический гнойный процесс оказывает негативное влияние на все органы и может стать причиной серьезного ухудшения здоровья пациента. Профилактика включает предупреждение и адекватное лечение травм и заболеваний, которые могут стать причиной остеомиелита.
3. Остеомиалит. Клинические рекомендации / Общероссийская общественная организация травматологов-ортопедов России (АТОР) - 2016
4. Хронический остеомиелит: диагностика, лечение, профилактика / Винник Ю. С., Маркелова Н. М., Шагеев А. А. // Сибирское медицинское обозрение - 2009
Читайте также:
- Болезни уха. Отит среднего уха
- Ювелирные украшения и психология. Как золото и бриллианты могут изменить психику?
- Техника, этапы операции артроскопической репозиции и интрамедуллярного остеосинтеза малоберцовой кости
- Диагностика микозов
- Проникновение пыли в лимфатические пути легких. Пневмококки в лимфатических путях

















![Остеомилеит челюсти [19]](/pimg3/xronicheskiy-osteomielit-bakterialnoy-C19D3D0.jpg)






