Идиопатическая внутричерепная гипертензия на МРТ головного мозга
Добавил пользователь Владимир З. Обновлено: 21.11.2025
Идиопатическая внутричерепная гипертензия (ИВГ), также известная как псевдотумор головного мозга - синдром с симптомами повышенного внутричерепного давления при отсутствии объемного образования или гидроцефалии. Перевод [22].
Терминология
Устаревший термин доброкачественная внутричерепная гипертензия нежелательно использовать по той причине, что в некоторых случаях данный синдром характеризуется агрессивной клинической картиной и прогрессирующей потерей зрения.
Интересно, что по мере появления данных о наличии у пациентов с идиопатической внутричерепной гипертензией стеноза венозных синусов некоторые авторы в настоящее время выступает за возвращение к более старому термину - псевдотумор головного мозга, поскольку в данном случае внутричерепная гипертензия не является идиопатической. Альтернативным решением данного вопроса является перенос таких пациентов в группу больных вторичной внутричерепной гипертензией [15].
Эпидемиология
Наиболее часто ИВГ страдают женщины среднего возраста, страдающие ожирением, хотя этиологическую связь между ожирением у женщин и ИВГ еще предстоит выяснить. Реже данный синдром встречается у мужчин (обычно пожилых), еще реже - у тучных [15]. Среди детей ИВГ встречается крайне редко [15].
Клиническая картина
Наиболее характерны головные боли, нарушения зрения (транзиторная или прогрессирующая потеря зрения), синхронный с пульсом тиннитус, фотопсия и глазная боль [15].
Отек диска зрительного нерва встречается не всегда; может быть односторонним (включая синдром псевдо-Фостер-Кеннеди), что делает окончательный диагноз не столь однозначным [6]. При неврологическом осмотре может быть паралич 6 пары черепно-мозговых нервов.
Менингоцеле со вторичным истеканием ликвора может проявляться в виде ринореи, отореи и реккурентным бактериальным менингитом [7,9]. У таких пациентов ИВГ часто проявляется только после восстановления твердомозговой оболочки, что связано, по-видимому, с нормализацией внутричерепного давления при истечении ликвора [9].
Патология
Этиопатогенез ИВГ до конца не изучен. Предполагается вовлечение различных механизмов в развитие данного синдрома - снижение абсорбции ликвора, увеличение продукции ликвора, увеличение внутрисосудистого объема, повышение внутричерепного венозного давления и гормональные нарушения [1,15].
Взаимосвязь с другими патологиями
ИВГ ассоциирована с такими патологиями, как:
- эндокринные заболевания
- адреналовая недостаточность
- болезнь Кушинга
- гипопаратиреоз
- гипотиреоз
- избыточный прием тироксина у детей
- доксициклин [2]
Диагностика
КТ/МРТ
Проведение КТ или МРТ головного мозга у пациентов с ИВГ является обязательным этапом диагностики для исключения таких причин повышения внутричерепного давления, как опухоли ГМ, тромбоз венозных синусов, гидроцефалия и т.д.
При отсутствии причин внутричерепной гипертензии имеется ряд радиологических признаков, говорящих в пользу ИВГ [3, 6 - 9, 15]:
- зрительные нервы
- значительное расширение субарахноидальных пространств нервов (45%)
- вертикальная извитость зрительных нервов (40%)
- отек диска зрительного нерва
- уплощение заднего полюса склеры (80%)
- интраокулярная протрузия головки зрительного нерва
- (70%)
- увеличенные меккелевы полости [9, 18]
- менингоцеле малого размера в области височной кости и большого крыла клиновидной кости [9]
- расширенные ликворосодержащие пространства глазодвигательного нерва в латеральной стенке кавернозного синуса [18]
- латеральные сегменты поперечных синусов
- нет признаков текущего/прошлого венозного тромбоза [8]
Если костные изменения являются постоянными, то остальные - динамические и обратимы при лечении [3].
Очень важно принимать во внимание возраст и пол пациентов при оценке выявленных изменений, поскольку у пожилых, особенно у мужчин, «пустое» турецкое седло в некоторых случаях может быть вариантом возрастной нормы.
Лечение и прогноз
В лечении ИВГ применяются люмбальная пункция, использование диуретиков (ацетазоламид) и люмбоперитониальное шунтирование. У пациентов с прогрессирующей потерей зрения проводится иссечение оболочки зрительного нерва.
Стентирование венозных синусов уже использовалось в ряде случаев, и в данный момент проводятся его клинические испытания [13, 14]. Однако, данный вопрос является противоречивым, поскольку необходимо выяснить, является ли стеноз причиной или следствием ИВГ [11,12]. Также имеются данные о спонтанном разрешении стеноза [6].
История и этимология
Впервые ИВГ была описана в 1893 году Генрихом Квинке как «meningitis serosa». Термин «псевдотумор головного мозга» был введен позднее 1904, а в 1955 году получила название «доброкачественной идиопатической гипертензией» (не стоит путать с доброкачественной внутричерепной гипотензией) [15].
Дифференциальный диагноз
При наличии внутричерепной гипертензии и отека диска зрительного нерва необходимо помнить и о других возможных причинах. Варианты венозной обструкции (тромбоз венозных синусов или нарушения венозного оттока в шее) могут характеризоваться подобными внутричерепными радиологическими проявлениями.
В дополнение к сказанному, у пациентов с выраженной эктопией миндалин мозжечка проявления практически идентичны таковым при аномалии Киари I, что дополнительно осложняется схожими демографическими особенностями и схожими клиническими проявлениями. По мнению некоторых авторов было выдвинуто предположение, что некоторые случаи симптоматической внутричерепной гипертензии являются следствием аномалии Киари I. Поэтому необходимо сделать все возможное для различения данных патологий, поскольку тактика лечения для каждой из них различается, а декомпрессия задней черепной ямки у пациентов с ИВГ может иметь неблагоприятный исход [21].
Литература
Silbergleit R, Junck L, Gebarski SS, Hatfield MK. Idiopathic intracranial hypertension (pseudotumor cerebri): MR imaging. (1989) Radiology. 170 (1 Pt 1): 207-9. doi:10.1148/radiology.170.1.2909098 - Pubmed
Digre KB. Not so benign intracranial hypertension. (2003) BMJ (Clinical research ed.). 326 (7390): 613-4. doi:10.1136/bmj.326.7390.613 - Pubmed
Zagardo MT, Cail WS, Kelman SE, Rothman MI. Reversible empty sella in idiopathic intracranial hypertension: an indicator of successful therapy?. (1996) AJNR. American journal of neuroradiology. 17 (10): 1953-6. Pubmed
Higgins JN, Cousins C, Owler BK, Sarkies N, Pickard JD. Idiopathic intracranial hypertension: 12 cases treated by venous sinus stenting. (2003) Journal of neurology, neurosurgery, and psychiatry. 74 (12): 1662-6. Pubmed
De Lucia D, Napolitano M, Di Micco P, Niglio A, Fontanella A, Di lorio G. Benign intracranial hypertension associated to blood coagulation derangements. (2006) Thrombosis journal. 4: 21. doi:10.1186/1477-9560-4-21 - Pubmed
Suzuki H, Takanashi J, Kobayashi K, Nagasawa K, Tashima K, Kohno Y. MR imaging of idiopathic intracranial hypertension. (2001) AJNR. American journal of neuroradiology. 22 (1): 196-9. Pubmed
Schuknecht B, Simmen D, Briner HR, Holzmann D. Nontraumatic skull base defects with spontaneous CSF rhinorrhea and arachnoid herniation: imaging findings and correlation with endoscopic sinus surgery in 27 patients. (2008) AJNR. American journal of neuroradiology. 29 (3): 542-9. doi:10.3174/ajnr.A0840 - Pubmed
James L. Leach, Robert B. Fortuna, Blaise V. Jones, Mary F. Gaskill-Shipley. Imaging of Cerebral Venous Thrombosis: Current Techniques, Spectrum of Findings, and Diagnostic Pitfalls1. (2006) RadioGraphics. 26 Suppl 1: S19-41; discussion S42-3. doi:10.1148/rg.26si055174 - Pubmed
Rohr A, Dörner L, Stingele R, Buhl R, Alfke K, Jansen O. Reversibility of venous sinus obstruction in idiopathic intracranial hypertension. (2007) AJNR. American journal of neuroradiology. 28 (4): 656-9. Pubmed
Scoffings , Pickard and Higgins. Resolution of transverse sinus stenoses immediately after CSF withdrawal in idiopathic intracranial hypertension J Neurol Neurosurg Psychiatry 2007;78:8 911-912
Degnan AJ, Levy LM. Pseudotumor cerebri: brief review of clinical syndrome and imaging findings. (2011) AJNR. American journal of neuroradiology. 32 (11): 1986-93. doi:10.3174/ajnr.A2404 - Pubmed
Aiken AH, Hoots JA, Saindane AM, Hudgins PA. Incidence of cerebellar tonsillar ectopia in idiopathic intracranial hypertension: a mimic of the Chiari I malformation. (2012) AJNR. American journal of neuroradiology. 33 (10): 1901-6. doi:10.3174/ajnr.A3068 - Pubmed
Factors Determining the Clinical Significance of an “Empty” Sella Turcica Amit M. Saindane, Paolo P. Lim, Ashley Aiken, Zhengjia Chen, and Patricia A. Hudgins American Journal of Roentgenology 2013 200:5, 1125-1131
San Millán D, Kohler R. Enlarged CSF spaces in pseudotumor cerebri. (2014) AJR. American journal of roentgenology. 203 (4): W457-8. doi:10.2214/AJR.14.12787 - Pubmed
Bejjani GK. Association of the Adult Chiari Malformation and Idiopathic Intracranial Hypertension: more than a coincidence. (2003) Medical hypotheses. 60 (6): 859-63. Pubmed
Fukuoka T, Nishimura Y, Hara M, Haimoto S, Eguchi K, Yoshikawa S, Wakabayashi T, Ginsberg HJ. Chiari Type 1 Malformation-induced Intracranial Hypertension with Diffuse Brain Edema Treated with Foramen Magnum Decompression: A Case Report. (2017) NMC case report journal. 4 (4): 115-120. doi:10.2176/nmccrj.cr.2016-0278 - Pubmed
Alnemari A, Mansour TR, Gregory S, Miller WK, Buehler M, Gaudin D. Chiari I malformation with underlying pseudotumor cerebri: Poor symptom relief following posterior decompression surgery. (2017) International journal of surgery case reports. 38: 136-141. doi:10.1016/j.ijscr.2017.07.039 - Pubmed
Внутричерепная гипертензия у детей
Внутричерепная гипертензия у детей — это повышение интракраниального давления, которое вызвано органическими церебральными поражениями, соматическими и инфекционными заболеваниями. Основные симптомы патологии: интенсивные головные боли, тошнота и рвота, зрительные нарушения. У младенцев внутричерепная гипертензия характеризуется выбуханием родничка, изменениями поведения, срыгиваниями. Для диагностики проводятся нейросонография, томография головного мозга, по показаниям — люмбальная пункция. Лечение повышенного ВЧД (внутричерепного давления) включает охранительный режим и диету, медикаменты (диуретики, ноотропы, витамины), нейрохирургические операции.
МКБ-10
![Внутричерепная гипертензия у детей]()
Общие сведения
Внутричерепная гипертензия относится к одному из наиболее распространенных синдромов в детской неврологии, но самостоятельным диагнозом является только один ее вид — идиопатическая (первичная) ВЧД. Наиболее часто гипертензивные состояния встречаются у новорожденных и грудничков, что вызвано антенатальными и перинатальными факторами. Особенность заболевания у детей раннего возраста — длительное субклиническое течение, что затрудняет своевременную диагностику и начало лечения.
![Внутричерепная гипертензия у детей]()
Причины
В первый год жизни ведущую роль в формировании внутричерепной гипертензии играют внутриутробные инфекции (краснуха, сифилис, герпесвирусное заражение), аномалии ЦНС (микроцефалия, артериовенозные мальформации, гидроцефалия), признаки которых определяются сразу после рождения. Частой причиной проблемы выступают интранатальные повреждения — родовая травма, асфиксия. У детей любого возраста встречаются следующие этиологические факторы:
- Инфекции. Чаще всего вторичные формы расстройства развиваются при менингитах и энцефалитах, которые вызваны вирусной или бактериальной флорой. Признаки внутричерепной гипертензии выявляются при менингизме, обусловленном инфекционными поражениями другой локализации.
- Объемные образования. Опухоли и кисты служат типичной причиной гипертензионных состояний, поскольку они сдавливают и сдвигают мозговое вещество в замкнутом пространстве. Церебральные новообразования — распространенная проблема для детей, которая составляет до 14,7% от всех случаев онкопатологии.
- Нарушения кровообращения. Кровоизлияния в вещество мозга и желудочки — нередкая причина повышения внутричерепного давления. Проблема также возникает при тромбозе венозных синусов, болезнях системы крови (анемии, идиопатической тромбоцитопенической пурпуре, гемофилии).
- Черепно-мозговая травма. Травмы и отравления занимают третье место в структуре первичной заболеваемости у детей, поэтому детские неврологи часто сталкиваются с этой причиной внутричерепной гипертензии. Признаки нарушения ликвородинамики наблюдаются при сотрясении или ушибе головного мозга.
- Метаболические расстройства. Интракраниальное давление может изменяться при ожирении, сахарном диабете, дисфункции надпочечников. У девочек-подростков патологию могут спровоцировать гормональные колебания при становлении менструального цикла.
- Ятрогенные факторы. Типичным лекарственным фактором развития внутричерепной гипертензии является длительное применение кортикостероидов или их резкая отмена. Реже признаки проблемы проявляются в ходе лечения детей цитостатиками, некоторыми антибиотиками, витамином А.
Патогенез
Полость черепа представляет собой замкнутое пространство, которое не способно к расширению, поэтому даже незначительное изменение внутрикраниального давления сопровождается соответствующей неврологической симптоматикой. Исключение составляют маленькие дети, у которых благодаря податливости костей и швов длительное время может быть компенсированное состояние, а патологические признаки появляются при значительном возрастании внутричерепной гипертензии.
Симптомы
Главное клиническое проявление патологии — головная боль, которая беспокоит 92% детей с высоким ВЧД. Пациенты школьного возраста, которые могут детально описать свои ощущения, предъявляют жалобы на интенсивные распирающие боли, которые усиливаются утром после пробуждения, становятся невыносимыми при наклонах головы вниз и резких движениях. Болевой синдром сопровождается тошнотой, иногда рвотой, затуманиванием зрения и мельканием «мушек» перед глазами.
При медленном нарастании интракраниального давления дети жалуются на усталость, нарушения сна, сложности с запоминанием и концентрацией внимания. Характерные признаки идиопатической внутричерепной гипертензии — шум и тяжесть в голове, боль в глазах, яркие вспышки или двоение предметов. У 26% больных на фоне сдавления зрительных нервов прогрессирующе снижается зрение.
В грудном и раннем возрасте клиническая картина патологии отличается. Основным симптомом является изменение поведения малыша: чрезмерное беспокойство и плаксивость, безучастность к раздражителям и постоянная сонливость, отказ от груди или смеси. На повышение ВЧД указывает выбухание большого родничка, монотонный крик, рвота «фонтаном». Постепенно увеличивается объем головы и возникает гипертензионно-гидроцефальный синдром.
Осложнения
Основная опасность внутричерепной гипертензии — компрессия мозговых структур в полости черепа и поражение жизненно важных центров. При нарастающем интракраниальном давлении есть риск дислокационного синдрома — вклинения мозгового ствола с расстройством базовых жизненных функций (дыхания, сердцебиения). Если ребенку вовремя не оказать медицинскую помощь, возможен летальный исход.
У малышей не диагностированная интракраниальная гипертензия чревата нарушениями психического развития вплоть до формирования олигофрении. Хроническое повышение уровня внутричерепного давления зачастую вызывает психоэмоциональные и минимальные неврологические изменения. Возможно формирование астенического синдрома, ухудшение когнитивных способностей ребенка.
Диагностика
Во время физикального осмотра детский невролог обращает внимание на зрительные и глазодвигательные нарушения, патологические рефлексы, вегетативную дисфункцию. Диагностика внутричерепной гипертензии у детей представляет сложную задачу, что обосновано отсутствием способов точного измерения ВЧД и размытыми границами его нормы (в среднем — более 200 мм вод. ст.). Чтобы выявить объективные признаки повышенного интракраниального давления и установить причины этого состояния применяются:
- Нейросонография. Ультразвуковая диагностика информативна у детей первого года жизни, поскольку она проводится через незакрытый большой родничок. Врач исследует состояние внутричерепных структур, выявляет расширения желудочков, подозрительные новообразования. Метод дополняют УЗДГ сосудов головы.
- КТ головного мозга. Оценивая снимки, специалист получает информацию о состоянии церебрального вещества и желудочковой системы, замечает признаки объемных образований и кровоизлияний. Для уточнения данных назначается МРТ головного мозга с веносинусографией.
- Осмотр глазного дна. При офтальмоскопии обнаруживают двусторонний отек дисков зрительных нервов, ангиопатию сетчатки, но у части пациентов эти признаки могут отсутствовать. Иногда отечность является первым признаком проблемы при незначительном повышении давления либо бессимптомном течении расстройства.
- Люмбальная пункция. Метод позволяет достоверно определить наличие и степень внутричерепной гипертензии, но из-за риска вклинения мозга исследование имеет ограниченные показания. Еще одна инвазивная процедура измерения давления — пункция мозговых желудочков в нейрохирургическом отделении.
Лечение внутричерепной гипертензии у детей
Консервативная терапия
Немедикаментозное лечение предусматривает охранительный режим, ограничение учебных нагрузок, сокращение времени пользования гаджетами. В остром периоде необходимы госпитализация и строгий постельный режим. Для нормализации водного баланса ребенку подбирают диету с уменьшением жидкости и соли, при этом у грудничков такая коррекция не проводится, вскармливание выполняется по требованию. Медикаментозное лечение включает несколько групп препаратов:
- Диуретики. Дегидратационная терапия петлевыми и осмотическими мочегонными средствами рекомендована для профилактики и лечения отека мозга как основного фактора тяжести состояния при внутричерепной гипертензии.
- Седативные препараты. Детям в основном назначается магния сульфат, который корректирует гемодинамические и ликвородинамические показатели, устраняет психоневрологические признаки патологии.
- Ноотропы. Нейрометаболические препараты повышают устойчивость нейронов к гипоксии, уменьшают их повреждение. Лекарства также восстанавливают когнитивные функции мозга у детей.
- Витамины. Инъекционные формы витаминов группы В используются для улучшения функционирования нервной системы, стимуляции ее восстановления, предупреждения неврологического дефицита.
Хирургическое лечение
Помощь детских нейрохирургов требуется при неэффективности консервативного лечения, стойкости клинической симптоматики или обнаружении объемных новообразований в ЦНС. При остром повышении ВЧД для предупреждения дислокации мозга назначают декомпрессионную трепанацию черепа, наружное вентрикулярное дренирование. Плановые операции направлены на коррекцию врожденных аномалий, удаление опухолей.
Прогноз и профилактика
У детей, страдающих внутричерепной гипертензией, прогноз зависит от своевременности диагностики и начала терапии. Признаки острого и быстро прогрессирующего повышения ВЧД ассоциированы с высоким риском нарушения витальных функций. Однако применение комплексной медикаментозной терапии и оказание хирургической помощи (при наличии показаний) значительно снижает вероятность неблагоприятных исходов.
Профилактика гипертензии начинается в антенатальном периоде путем наблюдения за беременной, соблюдения норм асептики и антисептики, ранней диагностики инфекций, выбора оптимальной тактики родоразрешения. Постнатальные профилактические меры включают предупреждение нейроинфекций и детского травматизма, взвешенное назначение лекарственных средств, особенно кортикостероидов.
1. Идиопатическая внутричерепная гипертензия/ А.В. Сергеев // Журнал неврологии и психиатрии. — 2016.
2. Доброкачественная внутричерепная гипертензия у детей. Клинический протокол диагностики и лечения. — 2015.
3. Гипертензионно-гидроцефальный синдром и синдром доброкачественной гипертензии у детей раннего возраста/ Л.Л. Громова// Педиатрический вестник Южного Урала. — 2013.
4. Влияние внутричерепной гипертензии на мозговой кровоток у детей с серозным менингитом/ Ю.А. Росин// Журнал инфектологии. — 2010.
Идиопатическая внутричерепная гипертензия
![]()
Введение
Идиопатическая внутричерепная гипертензия (ВЧГ) является заболеванием неясной этиологии, которое преимущественно поражает женщин детородного возраста, страдающих ожирением. Первичной проблемой является хронически повышенное внутричерепное давление (ВЧД), и самое важное неврологическое проявление — это отёк зрительного нерва, что может привести к вторичной прогрессирующей атрофии зрительного нерва, потере зрения и возможной слепоте.Хотя идиопатическая внутричерепная гипертензия и доброкачественная внутричерепная гипертензия являются синонимами в литературе, первое обозначение более предпочтительно.
Признаки и симптомы
Пациенты с ВЧГ обычно проявляют следующие симптомы, связанные с повышенным ВЧД и отёком зрительного нерва. Симптомы ВЧГ могут быть следующие:
Головные боли (обычно неспецифические, с варьирующим типом, местом и частотой проявления);
Ухудшение зрения (обычно страдает зрительное поле, но редко бывает и потеря остроты зрения);
Диплопия (обычно горизонтальная из-за паралича шестой пары черепных нервов, но редко бывает и вертикальная);
Пульсирующий звон в ушах;
Корешковая боль (обычно в руках, редкий симптом).
Редко пациенты с повышенным ВЧД и отеком зрительного нерва могут не проявлять никаких симптомов.
Зрительные симптомы отёка зрительного нерва могут быть следующие:
Временное ухудшение зрения, как правило при переходе в горизонтальное положение;
Прогрессирующая потеря периферического зрения на одном или обоих глазах (что связано с поражением нервных волокон и увеличением слепого пятна);
Размывание и искажение (метаморфопсия) центрального зрения из-за отека макулы или оптической нейропатии;
Внезапная потеря зрения (например при скоротечной ВЧГ).
Неспецифические симптомы ВЧГ могут включать в себя головокружение, тошноту, рвоту, фотопсии и ретробульбарную боль.
Наиболее значимым физическим симптомом является билатеральный отёк зрительного диска, вторично за повышением ВЧД. Редко, в более выраженных случаях, может ухудшаться макулярное (центральное) зрение. К значимым симптомам также относится паралич VI пары черепных нервов.
Плохими прогностическими признаками являются атрофический отёк зрительного нерва вместе с субретинальным излиянием. Отёк зрительного нерва, который не подвергается лечению, приводит к прогрессированию потери периферического зрения и поражению нервных волокон.
Редко внезапная потеря центрального зрения обусловлена ишемической оптической нейропатией или окклюзией сосудов.
Зрительные функциональные тесты являются наиболее важными в неврологическом обследовании для диагностики и наблюдения пациентов с ВЧГ. В такие тесты входят:
Офтальмоскопия, фотография зрительного нерва и, в некоторых случаях, оптическая когерентная томография;
Формальная оценка зрительного поля;
Обследование подвижности глазного яблока.
Диагностика
Как правило, лабораторные исследования не являются обязательными, но некоторые авторы советуют сдавать анализы крови в зависимости от клинической картины, включая следующие исследования:
Развёрнутый анализ крови;
Полный профиль прокоагулянтов (только у пациентов с предшествующей историей болезни, включающей тромбозы или данные МРТ, указывающие на окклюзию синусов твёрдой мозговой оболочки при магнито-резонансной венографии).
Исследования с использованием нейровизуализации необходимы, чтобы исключить вероятность поражения мозга до проведения люмбальной пункции. Кроме того, важно исключить возможность тромбоза синуса твёрдой оболочки. В итоге наиболее предпочтительным методом является МРТ головного мозга с контрастом (например гадолинием). По крайней мере, в начале исследования пациента, можно провести компьютерную томографию, чтобы исключить повреждение мозга, если МРТ недоступно.
Как только поражение мозга исключено, обычно пациенту назначается люмбальная пункция, которая включает в себя следующие исследования:
обнаружение повышенного давления ликвора,
количественный электрофорез белков,
наличие аэробной бактериальной культуры,
наличие кислотоустойчивых бацилл,
криптококковый антиген (особенно у пациентов с ВИЧ),
маркеры сифилиса (например, быстрый плазменный реагин),
опухолевые маркеры и цитологическое исследование (у пациентов с наличием рака в истории болезни или с клиническими признаками, указывающими на злокачественность).
Ведение пациентов с ВЧГ
Целью терапии является сохранение функции зрительно нерва при одновременном лечении ВЧД.
Фармакологическая терапия может быть следующей:
Ацетазоламид (наиболее эффективное средство для снижения ВЧД) и фуросемид, реже другие диуретики;
Для профилактики головной боли — амитриптилин, пропранолол, другие средства против мигрени, или топирамат;
Кортикостероиды для снижения ВЧД при ВЧГ воспалительной этиологии или как дополнительное средство при терапии ацетазоламидом.
Как правило терапия кортикостероидами применяется только на краткосрочной основе и только у пациентов имеющих выраженную потерю зрительной функции, так как в отсроченной перспективе кортикостероиды могут вызвать набор веса тела и вынужденный отказ от их применения в терапии.
Если зрительная функция ухудшается при вышеописанной максимально возможной медикаментозной терапии, следует серьёзно рассмотреть вариант хирургического вмешательства . Таковыми могут быть:
Иссечение оболочки зрительного нерва, вынужденная мера для декомпрессии жидкости, окружающей нерв;
Установка люмбоперитонеального или вентрикулоперитонеального шунта;
Стентирование внутричерепного венозго синуса.
Лечение ВЧГ с повторяющимися люмбальными пункциями является для нас интересным только в историческом аспекте, так как объём ликвора быстро восстанавливается. Однако в некоторых случаях, когда пациенты отказываются или по каким-то причинам не могу пройти хирургическую терапию, люмбальная пункция оказывается применимой (например беременные женщины). В частности использование люмбальной пункции может быть использовано для случаев когда ВЧД возрастает быстро и нужно принять меры до того как проведение операции будет возможно.
Мета-анализы, сравнивающие эти методы, говорят о следующем:
252 операции по декомпрессии оболочек зрительного нерва: визуальные дефекты улучшены или устранены в 80% случаев.
31 операция по установке вентрикулоперитонеального шунта: визуальные дефекты улучшены или устранены в 38,7% случаев.
44 операции по установке люмбоперитонеального шунта: визуальные дефекты улучшены или устранены в 44,6% случаев.
17 операций по установке внутричерепных венозных стентов: визуальные дефекты улучшились или были устранены в 47% случаев.
Конечно же существуют различные выгоды и риски, связанные с каждым из этих вмешательств.
В долгосрочной перспективе базой для лечения пациентов с ВЧГ является снижение веса тела. Ограничения физической активности не требуется, даже напротив, настоятельно рекомендуется диета в сочетании с программой физических упражнений.
Некоторые пациенты с ВЧГ показывают значительное улучшение при применении бариатрической хирургии (раздел хирургии, занимающийся лечением ожирения).
Идиопатическая внутричерепная гипертензия на МРТ головного мозга
статью в формате PDF
Дефиниция. Идиопатическая внутричерепная гипертензия (ИВГ) - состояние, которое характеризуется повышением интракраниального (внутричерепного) давления, без наличия объемного образования, венозного тромбоза или инфекционного поражения головного мозга.
На сегодняшний день под первичным синдром ИВГ (истинная ИВГ) принято считать состояние, которое сопровождается повышением внутричерепного давления (ВЧД) без каких-либо этиологических факторов, возможно на фоне ожирения [90% женщин с ИВГ страдает ожирением] (см. далее раздел «этиология»). Для описания вторичного повышения ВЧД на фоне некоторых редких причин (см. далее раздел «этиология») используется термин «pseudotumor cerebri». Эпидемиологические исследования (см. далее) указывают на достоверно большую распространенность ИВГ по сравнению с pseudotumor cerebri, 90 и 10% соответственно.
Эпидемиология. ИВГ встречается во всех возрастных группах, в т.ч. в детском и пожилом возрасте (чаще всего - в возрасте 30 - 40 лет), у женщин - приблизительно в 8 раз чаще, чем у мужчин (1 случай на 100 тыс. населения и 19 случаев на 100 тыс. молодых женщин с избыточной массой тела). В настоящее время продолжается пересмотр данных по распространенности ИВГ, согласно базовому эпидемиологическому исследованию средняя ежегодная заболеваемость ИВГ составляет 2 случая на 100 000 населения. Нельзя исключить, что на фоне глобальной эпидемии ожирения распространенность ИВГ будет увеличиваться, особенно в целевой группе женщин молодого возраста.
Обратите внимание! Ранее синонимом «ИВГ» (помимо «pseudotumor cerebri») являлась «доброкачественная внутричерепная гипертензия (ДВЧГ)». В настоящее время от использования термина «ДВЧГ» (который ввел в практику Foley в 1955 г.) отказались, поскольку последний не точно отображает суть процесса. Доброкачественность заключается только в том, что это не опухолевый процесс. Учитывая резкое снижение зрительных функций при развитии вторичной атрофии зрительных нервов, о доброкачественности речь не идет ([ . ] при несвоевременной диагностике около 2% пациентов необратимо теряют зрение).
Этиология и патогенез ИВГ недостаточно изучены. Среди наиболее значимых предрасполагающих факторов отмечается роль ожирения, преимущественно у женщин молодого возраста (доказано, что снижение массы тела является одним из наиболее эффективных методов терапии ИВГ). Выявленная достоверная ассоциация ИВГ с избыточной массой тела ставит новые вопросы относительно патогенеза (патофизиологических механизмов) данного заболевания. Большинство теорий (патогенеза) сводится к обсуждению нарушений венозного оттока и/или абсорбции цереброспинальной жидкости (ЦСЖ). При этом не получено каких-либо доказательств, указывающих на ее избыточную секрецию. В настоящее время продолжается обсуждение роли венозных микротромбов, нарушения метаболизма витамина А, жиров и эндокринной регуляции обмена натрия и воды в развитии ИВГ. В последнее время в качестве возможного механизма развития ИВГ все чаще рассматривают интракраниальную венозную гипертензию, связанную с различными стенозами синусов твердой мозговой оболочки (Higgins, 2002; Ogungbo, 2003; Stranding, 2005) и приводящую к нарушению абсорбции ЦСЖ (ликвора). Сужение чаще всего встречается в дистальных отделах поперечного синуса либо в месте перехода поперечного синуса в сигмовидный с одной стороны, либо с обеих сторон.
Причину развития pseudotumor cerebri (вторичной внутричерепной гипертензии) связывают с рядом патологических состояний, перечень которых продолжает пополняться. Ведущее место отводят именно протромбофилическому статусу, перенесенным тромбозам синусов и центральных вен, дефициту протеинов C и S, постинфекционным (менингит, мастоидит) осложнениям. В редких случаях pseudotumor cerebri развивается во время беременности и при приеме оральных гормональных контрацептивов, в том числе вследствие нарушений системы гемостаза. Продолжает обсуждаться ассоциация некоторых метаболических и эндокринных расстройств с pseudotumor cerebri - болезнь Аддисона, гипер-, гипотиреоз, анемия, прием тетрациклинов, витамина А, солей лития и анаболических стероидов. В итоге можно выделить 5 основных этиологических групп вторичного синдрома pseudotumor cerebri: [1] нарушение или блок венозного оттока (внешняя или внутренняя компрессия, тромбофилии, системная патология, инфекционные причины); [2] эндокринные и метаболические причины (болезнь Аддисона, гипер-, гипотиреоз, дефицит витамина D); [3] прием лекарственных препаратов, токсических веществ (тетрациклины, амиодарон, циметидин, ретинол, циклоспорин, лития карбонат и др.); [4] на фоне отмены некоторых лекарственных средств (глюкокортикостероиды, гонадотропный гормон, даназол); [5] системные заболевания (саркоидоз, системная красная волчанка, тромбоцито-пеническая пурпура и др.).
Клиника. Синдром ИВГ характеризуется следующими признаками(Dandy, 1937, модификация Wall, 1991): [1] симптомы внутричерепной гипертензии (включая односторонний или двусторонний отек диска зрительного нерва); [ 2] при люмбальной пункции определяется повышение ВЧД выше 200 мм вод. ст.; [3] отсутствие очаговой неврологической симптоматики (за исключением, в некоторых случаях, пареза VI пары черепно-мозговых нервов); [4] отсутствие деформации, смещения или обструкции желудочковой системы; другой патологии головного мозга по данным магнитно-резонансной томографии, за исключением признаков повышения давления цереброспинальной жидкости; [5] несмотря на высокий уровень ВЧД, сознание пациента, как правило, сохранено; [6] отсутствие других причин повышения ВЧД.
Основным клиническим проявлением заболевания является головная боль (>90%) различной интенсивности. Для головной боли характерны все типичные черты цефалгического синдрома при повышении ВЧД: более выраженная интенсивность в утренние часы, тошнота, иногда рвота, усиление боли при кашле и наклоне головы. Согласно данным Международного общества головной боли, цефалгический синдром при ИВГ должен точно совпадать с дебютом заболевания и регрессировать по мере снижения ВЧД.
Транзиторные зрительные нарушения в виде потемнения (затуманивание) перед глазами встречаются в 35 - 72% случаев. Симптомы зрительных нарушений могут предшествовать головной боли, и в начале заболевания проявляться в виде эпизодов кратковременного затуманивания зрения, выпадения полей зрения или горизонтальной диплопии. Среди других клинических проявлений ИВГ отмечаются шум в голове (60%), фотопсии (54%), ретробульбарная боль (44%), диплопия (38%), прогрессирующее снижение зрения (26%). В неврологическом статусе иногда отмечаются признаки поражения VI пары, часто низкой степени выраженности в виде ограничения движения глазных яблок кнаружи. При офтальмоскопии выявляется двусторонний или односторонний отек диска зрительного нерва различной степени выраженности. В 10% случаев это приводит к необратимому снижению зрения, особенно при несвоевременно начатом лечении.
Диагностика. Алгоритм обследования пациентов с подозрением на ИВГ и pseudotumor cerebri включает в себя:
I. ИВГ с отеком диска зрительного нерва . A . Отек диска зрительного нерва. B . Отсутствие отклонений в невроло-гическом статусе, за исключением патологии черепных нервов (ЧМН). C . Данные магнитно-резонансной томографии (МРТ). Отсутствие изменений оболочек и паренхимы головного мозга по данным МРТ без/с контрастным усилением гадолинием для пациентов группы риска (молодые женщины с избыточной массой тела). Отсутствие отклонений по данным МРТ головного мозга без/с контрастного усиления гадолинием и МР-венографии во всех остальных группах пациентов. D . Нормальный состав ЦСЖ. E . Увеличение давления ЦСЖ при выполнении любмальной пункции >250 мм вод.ст. у взрослых и >280 вод. ст. у детей (>250 мм вод.ст. при выполнении люмбальной пункции без наркоза и у детей без избыточной массы тела). Диагноз ИВГ является достоверным при соблюдении всех критериев A - E. Диагноз ИВГ считается вероятным при положительных критериях A - D, но при меньшем, чем указано в пункте E, давлении ЦСЖ.
II. ИВГ без отека диска зрительного нерва . Диагностика ИВГ в случае отсутствия отека диска зрительного нерва возможна при соблюдении критериев B - E и выявлении признаков одно- или двустороннего поражения отводящего нерва. При отсутствии признаков отека зрительного нерва и пареза VI пары ЧМН диагноз ИВГ может быть только предположительным при условии выполнения пунктов B - E и дополнительных МР-критериев (минимум 3 из 4): «пустое турецкое седло»; уплощение задней поверхности глазного яблока; расширение периоптического субарахноидального пространства с (или без) повышенной извитостью зрительного нерва; стеноз поперечного синуса.
Лечение. Для эффективной терапии ИВГ должен быть использован мультидисциплинарный подход, который включает динамическое наблюдение невролога, офтальмолога, участие диетолога и реабилитолога. Пациентам обязательно необходимо объяснить высокий риск развития осложнений ИВГ, в первую очередь потери зрения, при отсутствии своевременной терапии. Основными направлениями консервативной терапии ИВГ является снижение массы тела (в т.ч. доказана эффективность бариатрической хирургии при ИВГ) и применение ингибитора карбоангидразы ацетазоламида (диакарб). Препаратами второй линии для фармакотерапии ИВГ являются топирамат, фуросемид и метилпреднизолон. Топирамат и петлевой диуретик фуросемид могут быть использованы при развитии нежелательных лекарственных реакций на фоне приема диакарба (парестезия, дисгевзия, утомляемость, снижение уровня CO 2 , тошнота, рвота, диарея и шум в ушах). Кроме того, следует учитывать снижение массы тела на фоне приема топирамата. Только в случае рефрактерности к лекарственной терапии или быстропрогрессирующем злокачественном течении ИВГ рассматривается вопрос оперативного нейрохирургического лечения с проведением шунтирования (относительно эффективности стентирования поперечных синусов у пациентов с ИВГ и стенозом или окклюзией по данным МР-венографии в настоящее время имеются противоречивые данные). Метод повторных люмбальных пункций в настоящее время используется достаточно редко.
Подробнее об ИВГ в следующих источниках:
статья «Идиопатическ ая внутричерепная гипертензия» А.В. Сергеев, ГБОУ ВПО «Первый Московский государственный медицинский университет им. И.М. Сеченова», Москва, Россия (Журнал неврологии и психиатрии, №5, 2016);
клинические рекомендации «Диагностика и лечение доброкачественной внутричерепной гипертензии», обсуждены и утверждены на Пленуме Правления Ассоциации нейрохирургов России г. Казань, 02.06.2015 [читать];
статья «Идиопатическая внутричерепная гипертензия и место ацетазоламида в лечении» Автор: Н.В. Пизова, д.м.н., проф. каф. неврологии и медицинской генетики с курсом нейрохирургии ГБОУ ВПО ЯГМУ (Consilium Medicum, Неврология и ревматология, №01 2016) [читать];
статья «Начальный опыт эндоваскулярного стентирования поперечного синуса при идиопатической внутричерепной гипертензии» А.Г. Луговский, М.Ю. Орлов, Ю.Р. Яроцкий, В.В. Мороз, И.И. Скорохода, Е.С. Егорова, ГУ «Институт нейрохирургии имеми акад. А.П. Ромоданова НАМН Украины», г. Киев (журнал «Ендоваскулярна нейрорентгенохірургія» №4, 2014) [читать];
статья «Доброкачественная внутричерепная гипертензия (pseudotumor cerebri)» Ю.С. Астахов, Е.Е. Степанова, В.Н. Бикмул-лин (РМЖ, «Клиническая Офтальмология» №1 от 04.01.2001 стр. 8) [читать];
статья «Доброкачественная внутричерепная гипертензия: клинические наблюдения» Р.В. Магжанов, А.И. Давлетова, К.З. Бахтиярова, Е.В. Первушина, В.Ф. Туник; ФГБОУ ВО «Башкирский государственный медицинский университет» Минздрава РФ, Уфа, Россия; ГБУЗ «Республиканская клиническая больница им. Г.Г. Куватова», Уфа, Россия (журнал «Анналы клинической и экспериментальной неврологии» №3, 2017 ) [читать]
Показывает ли МРТ внутричерепное давление
Все клиники сети ЦМРТ оснащены современным высокоточным оборудованием. МРТ и другие виды диагностики проводят опытные и квалифицированные специалисты.
Консультация специалиста после диагностики со скидкой 50%.
![изображение]()
Внутричерепная гипертензия — патологическое состояние, при котором выявляется повышенное внутричерепное давление. Формируется при новообразованиях в мозговой ткани, черепно-мозговой травме, кровотечениях и других недугах. Для постановки диагноза с помощью инструментальных исследований следует записаться на прием к неврологу.
Рассказывает специалист ЦМРТ
Дата публикации: 10 Ноября 2021 года
Дата проверки: 30 Ноября 2021 года
Содержание статьи
Что такое внутричерепное давление
Череп представляет собой плотную костную структуру, защищающую головной мозг. Внутри присутствует большое количество крови и цереброспинальной жидкости, циркулирующей по желудочкам и специальным полостям. Все перечисленные анатомические структуры оказывают воздействие на костные стенки и формируют давление. В норме измерение ВЧД показывает результат от 8 до 15 мм рт. ст.
Что нужно знать о внутричерепном давлении
Существуют множество факторов, влияющих на циркуляцию крови и ликвора в черепном пространстве. Поскольку показатель ВЧД часто меняется, важно знать, как его проверять. Самостоятельно провести измерение не получится, поэтому при обнаружении патологических признаков потребуется неврологический осмотр. Часто врачи оценивают показатель ВЧД по косвенным признакам.
Диагностику проводят при обнаружении следующих симптомов:
- сильной головной боли
- болезненности в области глаз
- распирающих ощущений в области черепа
- нарушения сна
- тошноты и рвоты
Если цефалгия и другие нарушения долго не проходят, следует обратиться к специалисту. Врач расскажет, как меряют внутричерепное давление и снижают его при наличии патологии.
Причины повышенного внутричерепного давления
Увеличение показателя ВЧД возникает преимущественно по следующим причинам:
- присутствие объемного патологического образования в мозговых тканях (например, аневризмы или опухоли)
- отечность мозговых тканей на фоне воспалительного процесса, инфекции, интоксикации или других изменений в организме
- увеличение объема крови в органе из-за нарушения кровообращения
- ликвородинамические расстройства, характеризующиеся увеличением объема цереброспинальной жидкости
Проверить ВЧД недостаточно. Для установления причин его изменения требуются инструментальные и лабораторные исследования.
Показывает ли МРТ внутричерепное давление?
Этот высокотехнологичный метод визуализации анатомических структур, не связанный с воздействием рентгеновского излучения, позволяет безопасно и с высокой эффективностью определить этот диагностический показатель у пациента. МР-диагностика определяет высокое внутричерепное давление по следующим «маркерам»: частично пустое турецкое седло, расширенные оболочки зрительных нервов, уплощенные задние части глазных яблок, щелевидные желудочки.
Такой способ исследования помогает специалисту определить причину формирования заболевания и подобрать схему лечения. МРТ головы дифференцирует состояние от других патологий со схожей клинической картиной.
Какая МРТ покажет высокое внутричерепное давление?
Если доктор обнаруживает симптоматику такой патологии или просто хочет проверить показатель, назначается магнитно-резонансная томография головного мозга и его сосудистых структур. МР-ангиография при необходимости дополнительно выявит сгусток крови в венозном синусе, вызывающий закупорку.
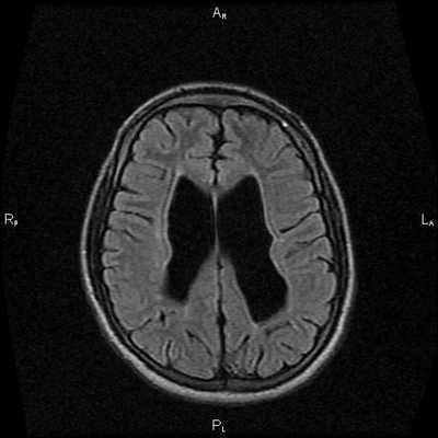
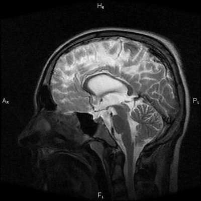
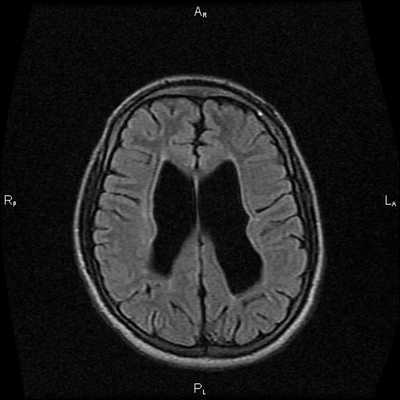
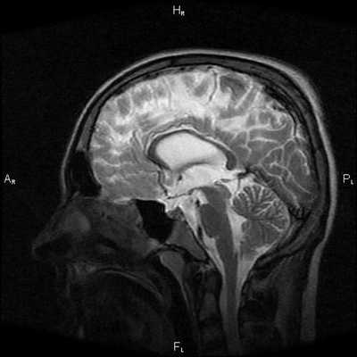
Пациентка Ш. 83 лет
Проблема: жалобы на снижение памяти, повышенную утомляемость. Пациентка была направлена на МРТ головного мозга с целью исключения различных патологий.
Врач ЦМРТ
При МРТ головного мозга установлено: МРТ признаки хронической недостаточности мозгового кровообращения; выраженная открытая внутренняя гидроцефалия, свидетельствующая о признаках атрофических изменений в головном мозге.
![МРТ снимок внутричерепного давления]()
![МРТ снимок внутричерепного давления]()
Особенности проведения МРТ при внутричерепной гипертензии
Специалист предварительно объясняет пациенту правила подготовки. При использовании контраста предварительно нужно воздержаться от питания за несколько часов до исследования. Исключается наличие противопоказаний. Врач помогает больному расположиться на столе томографа и проводит фиксацию.
Во время сканирования рентгенолог находится в отдельном кабинете и проводит анализ получаемых данных. Обычно вся процедура занимает не более 45 минут. При необходимости дополнительно применяют контрастирование.
Описание МРТ- снимка в ЦМРТ
В клинике ЦМРТ результаты исследования можно получить уже в течение часа после прохождения процедуры. Доступна услуга «Второе мнение» — специалисты центре проводят расшифровку исследования, проведенного ранее для уточнения, подтверждения или опровержение диагноза. Это позволяет оценить тактику лечения и при необходимости внести коррективы.
Читайте также:






