Исход родов для матери при перенашивании беременности. Исход родов для плода при переношенной беременности.
Добавил пользователь Евгений Кузнецов Обновлено: 22.11.2025
Сколько можно ждать, если роды не начинаются, и как проходит индукция родов. Беременность, которая длится больше 42 недель, считается переношенной и несет риски для матери и ребенка. Врачи предлагают стимулировать роды, но решающее слово остается за матерью. Эта информация поможет вам в принятии решения.
Когда беременность считается переношенной
Беременность должна длиться 40 недель», — казалось бы, это общеизвестный факт. Но на деле роды могут начаться с 37-й по 42-ю неделю — и они будут считаться своевременными. Но если в 42 полные недели женщина не родила, такая беременность считается переношенной. При этом в некоторых исследованиях «пороговым» периодом называют срок в 41 неделю.
Причины перенашивания беременности до конца не ясны, при этом известно, что в группе риска женщины с ожирением, первородящие и старше 30 лет.
Какие риски несет переношенная беременность
Главное — значительно увеличивается вероятность мертворождения: в 40 недель это 2-3 случая на 1000 родов, после 42-х недель — 4-7 случаев. Происходит старение плаценты, снижается количество околоплодных вод. В них может попасть меконий — первородный кал, который в норме должен отходить у младенца уже после родов. Попадая в дыхательные пути, мекониальные воды могут привести к проблемам с легкими у новорожденного.
Еще одно осложнение — макросомия, то есть большие размеры плода. Кожа у таких детей сухая, ладони и стопы сморщенные, словно «распаренные» в воде, а волосы и ногти длинные.
У переношенных детей плотные кости черепа, поэтому не происходит конфигурации головки в родах. То есть она не может принять вытянутую форму за счет нахождения костей черепа друг на друга, как это бывает в норме. На этапе потуг такие роды протекают тяжелее.
Не стоит забывать и о рисках для матери: удваивается вероятность кесарева сечения, возрастает риск тяжелых разрывов промежности.
Что делать при переношенной беременности
- Пересчитать срок беременности. Расчет от первого дня последней менструации не всегда корректен. Цикл может быть нерегулярным или длинным, и тогда овуляция происходит позже. В этом случае срок беременности должен быть пересчитан в сторону уменьшения. Самый достоверный способ расчета — по данным УЗИ в I триместре. На ранних сроках по размерам плода можно максимально точно назвать предполагаемую дату родов.
- В 41 неделю и 6 дней рекомендована госпитализация. В роддоме вам проведут обследование, выполнят допплерометрию и КТГ-мониторинг, чтобы убедиться, что с плодом все в порядке. Врачи оценят состояние шейки матки и ее «готовность» к родам. Далее вам предложат индукцию родов, то есть их стимуляцию с помощью определенных препаратов и процедур.
- Если женщина отказывается от индукции родов, продолжается ежедневный мониторинг состояния плода. Если же пациентка соглашается на индукцию, начинается подготовка к родам.
Мы рекомендуем госпитализироваться чуть раньше, чтобы был запас времени для обследования и при необходимости — для подготовки шейки матки к родам. Согласно клиническим рекомендациям, индукция родовой деятельности возможна уже с 41-й недели беременност».
Как проходит индукция родов
Все зависит от степени готовности шейки матки. В норме перед родами она сглаживается, размягчается — такая шейка матки называется «зрелой». Однако у 80% женщин с переношенной беременностью шейка матки к родам не готова. Для ее созревания используются различные методики.
Способы подготовки могут быть разными, от быстрых до медленных. Чаще всего применяется препарат мифепристон, который вызывает созревание шейки матки. Как правило, в течение двух суток роды начинаются сами и ничем не отличаются от обычных. Если этого не происходит, мы делаем индукцию родов — вскрытие плодного пузыря.
При отсутствии эффекта от родовозбуждения назначается кесарево сечение. Также оно проводится, если по данным КТГ и допплерографии видно, что плод страдает (испытывает дистресс).
Что безопаснее: индукция родов или пассивное ожидание
Ученые авторитетного международного сообщества Кокрейн проанализировали исследования с участием 18 795 младенцев. В группе политики стимулирования родов было зафиксировано всего 2 случая мертворождения, тогда как в группе выжидательной тактики - 16. При этом нельзя отрицать, что индукция родов тоже несет риски. Чтобы максимально их снизить, необходим грамотный выбор тактики и методов родовозбуждения врачами. При этом финальное решение всегда остается за матерью.
Перенашивание беременности - симптомы и лечение
Что такое перенашивание беременности? Причины возникновения, диагностику и методы лечения разберем в статье доктора Коротковой Оксаны Владимировны, гинеколога со стажем в 9 лет.
Над статьей доктора Коротковой Оксаны Владимировны работали литературный редактор Маргарита Тихонова , научный редактор Светлана Симанина и шеф-редактор Лада Родчанина

Определение болезни. Причины заболевания
Процесс беременности, задуманный природой, рассчитан на 287 дней. Отклонения от этих сроков возможны, но для них всегда существует веская причина. Если дата родов, рассчитанная доктором, уже прошла, а роды так и не наступили, следует предполагать перенашивание беременности.

Переношенная беременность — это беременность, длящаяся более 42 недель или более 294 дней [12] . Она встречается примерно в 4-14 % случаев [1] [5] [7] . Чаще с ней сталкиваются первородящие женщины после 30 лет [3] . Причём каждая беременность, закончившаяся запоздалыми родами, увеличивает риск переношенности при последующей беременности.
Все изменения в плаценте, которые происходят при перенашивании, приводят к длительным затяжным родам и могут стать причиной родовых травм плода (переломов ключиц, различных гематом) и других осложнений. Все они опасны для новорождённого и нарушают процесс его адаптации к внеутробной жизни.
Причины перенашивания многообразны. В большинстве случаев оно развивается при сочетании причин, факторов риска, особенностей организма беременной и самого плода. К ним относятся:
- недостаточная перестройка нервной системы женщины к родам — неправильное соотношение в работе симпатической и парасимпатической нервной системы, недостаточно сформированная родовая доминанта (особая рефлекторная система, отвечающая за своевременное наступление родов);
- эндокринные патологии — сахарный диабет, ожирение , гипотиреоз ;
- гормональный дисбаланс, в частности снижение уровня эстриола, отвечающего за готовность матки и половых путей к родам;
- осложнения беременности — маловодие или хроническая плацентарная недостаточность;
- психические травмы.
Причинами перенашивания беременности могут стать нарушения женской репродуктивной системы:
- генитальный инфантилизм (недоразвитие полового аппарата);
- аномалии развития репродуктивной системы — дисфункция яичников, нарушения менструального цикла;
- перенесённые гинекологические инфекции;
- травмы половых органов;
- искусственные или самопроизвольные аборты в анамнезе.
Причинами перенашивания со стороны плода могут быть его хромосомные аномалии (синдром Дауна, поликистоз почек) или тяжёлые пороки развития:
- анэнцефалия (отсутствие головного мозга); (увеличение объёма жидкости в головном мозге);
- микроцефалия (маленький головной мозг) [2][8] .
При обнаружении схожих симптомов проконсультируйтесь у врача. Не занимайтесь самолечением - это опасно для вашего здоровья!
Симптомы перенашивания беременности
К симптомам перенашивания беременности относят уплотнение матки за счёт маловодия, уменьшение размера живота, снижение веса беременной относительно последних измерений, выделения из молочных желёз. При этом шейка матки не указывает на биологическую готовность родовых путей к родоразрешению. Также выявляются признаки ухудшения состояния плода:
- по данным УЗИ — маловодие, структурные изменения в плаценте, её преждевременное созревание, нарушение кровотока в артериях пуповины или маточных артериях;
- по данным кардиотокографического исследования (КТГ) — снижение компенсаторных возможностей плода, признаки его гипоксии (нехватки кислорода).
При рождении переношенный младенец отличается характерным внешним видом. Его кожа и слизистые оболочки, а также пуповина и плацента окрашены в зелёный или жёлтый цвет. Если количество защитной сыровидной смазки снижено, то кожа и слизистые покровы плода становятся сухими. При отсутствии смазки они сморщиваются из-за контакта с околоплодными водами. Кожа стоп и ладоней новорождённого выглядит распаренной, как после бани. На руках и ногах видны длинные ногти [1] [5] [6] [11] .

При перенашивании ребёнок, как правило, крупный, его рост и головка увеличены. Но возможен и другой вариант, когда рождается небольшой по весу малыш с уменьшенным количеством подкожно-жировой клетчатки (в связи с задержкой роста плода), но с вышеописанными признаками перезрелости. Плотность костей черепа новорождённого повышена, роднички маленькие, а швы узкие, что затрудняет процесс приспособления головки плода к родовым путям матери — как следствие, это становится причиной травм матери во время родов.
Патогенез перенашивания беременности
Основное звено патогенеза переношенной беременности — это изменения со стороны плаценты (плацентарная недостаточность). Они вызывают внутриутробный дефицит кислорода у плода. Такое отклонение приводит к выраженным изменениям и нарушению состояния ребёнка. При этом плацентарная дисфункция, дисбаланс эндокринной системы плода, наличие факторов риска перенашивания не позволяют родам начаться в срок, усугубляя уже имеющиеся нарушения.
При беременности плацентарная дисфункция проявляется нарушением кровотока в маточных артериях и/или артериях пуповины [1] [8] . При морфологическом исследовании плаценты диагностируются признаки сниженной циркуляции крови, образование мелких тромбов, склероз ворсин и сосудов и снижение количества капилляров. Также в ней могут быть обнаружены кальцинаты — локальные скопления кальция в очаге нарушенного кровотока.

Для выживания плода при дефиците поступающего к нему кислорода организм запускает процесс централизации кровообращения. При этом в жизненно важных органах малыша, таких как мозг, сердце и печень, кровоток сохраняется, а в мышцах, кишечнике, почках и остальных органах уменьшается.
Из-за снижения кровотока в почках плода выделение мочи значительно уменьшается, развивается маловодие. Также изменяется характер околоплодных вод: они теряют прозрачность, становятся мутными, приобретают желтоватый или зеленоватый оттенок из-за примеси мекония — первых фекалий ребёнка.
За счёт изменения состава околоплодных вод нарушается выработка сурфактанта — вещества, которое не даёт альвеолам слипаться во время выдоха. Это вызывает патологию лёгочной ткани и нарушение дыхания после рождения. Также снижается защитная функция лёгких: в водах увеличивается число бактерий, что повышает риск инфицирования лёгочной ткани [1] [8] [11] .
На фоне плацентарной недостаточности пуповина становится тонкой. Из-за этого повышается риск сдавления пуповины, возникновения гипоксии или асфиксии в ходе родов. Сниженное поступление кислорода в организм малыша приводит к накоплению продуктов обмена веществ — развивается закисление внутренней среды плода (метаболический ацидоз), на фоне которого возникает кислородная недостаточность в тканях.
Тканевая гипоксия повышает проницаемость сосудистых стенок у плода, что приводит к задержке жидкости в тканях. В случае скопления жидкости в головном мозге может развиться отёк мозга. Такое состояние является неблагоприятным фактором во время родов: оно повышает чувствительность мозга к воздействию кислородной недостаточности и увеличивает риск развития осложнений при возможной родовой травме.
Следствием внутриутробной гипоксии также является нарушение сокращения миокарда у плода. Оно влияет на обмен веществ, что в итоге затрудняет адаптацию новорождённого к новым внеутробным условиям жизни.
Классификация и стадии развития перенашивания беременности
В зависимости от состояния ребёнка выделяют два типа переношенной беременности:
- Запоздалые роды плодом без признаков перезрелости (пролонгированная беременность). Характерны для женщин с дисфункцией яичников младше 30 лет. Ребёнок рождается крупным, но без признаков переношенности. Шейка матки зрелая. По данным УЗИ и КТГ нет признаков изменения плаценты и нарушений плода. Околоплодные воды прозрачные, нормальной окраски. При гистологии плаценты отсутствуют характерные изменения. Нередко такие роды являются результатом неверно определённого срока беременности.
- Запоздалые роды перезрелым плодом (истинное перенашивание). Характерны для первой беременности у женщин старше 30 лет с инфекциями, передающимися половым путём, хроническими воспалительными заболеваниями гениталий и запоздалыми родами в анамнезе. Шейка матки незрелая или недостаточно зрелая. По данным УЗИ выявляют изменения в плаценте и маловодие, по данным КТГ отмечают признаки гипоксии плода. После рождения плод имеет признаки переношенности: большой или малый вес новорождённого, сморщенная желтоватая или зеленоватая кожа с отсутствием сыровидной смазки на ней, плотные кости черепа, длинные ногти. Гистология плаценты выявляет её структурные изменения [1][7][8] .
Чем больше срок истинного перенашивания, тем выше риск осложнений и неблагоприятного исхода данной беременности. Возможны:
- травмы половых органов матери во время родов из-за большого размера плода и плотности костей его черепа;
- травмы ребёнка, гипоксическое поражение его нервной системы и проблемы с дыханием [1][6][10] .
Осложнения перенашивания беременности
Для плода большую опасность представляет асфиксия (острая гипоксия) и отслойка плаценты. Нехватка кислорода внутри утробы стимулирует плод выполнить несвоевременные дыхательных движения. Они приводят к заглатыванию вод и возможному воспалению лёгочной ткани — пневмониту. Если в водах есть примесь мекония (первородного кала), то велика вероятность мекониальной аспирации — проникновения содержимого кишечника новорождённого в его лёгкие.

В результате гипоксии и централизации кровообращения во время внутриутробного развития возможны ишемические поражения миокарда, почек и кишечника плода — развивается кислородное голодание клеток этих органов и нарушаются процессы тканевого дыхания. При длительной ишемии возможно стойкое нарушение работы органов, вплоть до их отмирания (некроз кишечника, почечная недостаточность и др.).
Центральная нервная система переношенного плода также становится очень чувствительной к недостатку кислорода и возможным травмам. Поэтому гипоксия может нарушить работу нервной системы и привести к отставанию ребёнка в физическом и нервно-психическом развитии [1] [5] [6] .
Помимо прочего возможны травмы плода во время родов. Они связаны с большим размером головки малыша, узкими родничками и плотностью костей его черепа [1] [4] [10] .
У матери часто наблюдается клиническая картина узкого таза, возникают травмы половых органов (разрывы шейки матки, влагалища или промежности), послеродовые кровотечения (как результат перерастянутой матки), септические и эмболические осложнения.
При клинически узком тазе возникает диспропорция размеров плода и таза матери. Роды через естественные родовые пути в этом случае невозможны. Как правило, проводится оперативное родоразрешение.
Возникновение септических осложнений связано с инфекцией, которая приобретает системный характер. Возможно развитие хориоамнионита (воспаления хориона и инфекции в амниотической жидкости), послеродового эндометрита , сепсиса (заражения крови) и септического шока.
Эмболические осложнения возникают при появлении в кровотоке женщины фрагментов инородных тканей (тромбов, амниотической жидкости и др.). При этом возникают чрезвычайно опасные процессы, такие как ТЭЛА , эмболия околоплодными водами и септическая эмболия с высокой вероятностью смертельного исхода.
Диагностика перенашивания беременности
Диагноз переношенной беременности устанавливают на основании данных анамнеза (истории болезни) и совокупности результатов обследования:
- выявление факторов, которые относят беременную к группе риска (дисфункции яичников, заболевания гениталий, аборты и самопроизвольные выкидыши);
- правильный подсчёт даты родов, УЗИ в первом триместре беременности ;
- ультразвуковая фетометрия (измерение плода) — отсутствие увеличения плода при осмотре в динамике, выявление синдрома задержки роста (симметричное или асимметричное уменьшение окружности головки и живота плода) [1][5] ;
- оценка объёма и структуры околоплодных вод — появление взвеси из-за наличия сыровидной смазки, пушковых волос, эпидермиса и мекония, уменьшение объёма околоплодных вод (чем меньше их объём, тем выше риск истинного перенашивания беременности);
- ультразвуковая оценка зрелости плаценты : снижение её толщины, обратное развитие плаценты с комплексом её структурных изменений (кальцинаты, кисты);
- кардиотокография (КТГ) — при гипоксии плода отмечается изменение подвижности плода (от усиления до полной неподвижности), изменение числа сердечных сокращений, снижение компенсаторных возможностей плода при физической нагрузке;
- допплерометрия в маточных артериях и артериях пуповины — регистрируется нарушение кровотока разной степени выраженности;
- оценка гемодинамики плода — скорость кровотока в средней мозговой артерии, аорте, венозном протоке и нижней полой вене плода снижена (говорит о степени централизации кровотока у плода);
- оценка зрелости шейки матки ;
- амниоскопия — осмотр нижнего полюса плодного пузыря с помощью амниоскопа (отмечается уменьшение прозрачности и изменение цвета околоплодных вод).

Окончательный диагноз устанавливается после рождения и осмотра ребёнка и плаценты. При патогистологическом исследовании плаценты наблюдается жировая инволюция (замещение биологически активной ткани на нефункционирующую жировую ткань), кальцинаты и жёлто-зелёное окрашивание оболочек.
Дифференциальная диагностика:
- запоздалые роды плодом без признаков перезрелости — характерна задержка наступления родов, отсутствие патологии по результатам УЗИ и КТГ, рождение ребёнка без признаков переношенности, отсутствие характерных изменений в плаценте по результатам гистологии.
- своевременное рождение ребёнка с признаками перезрелости — может быть связано с особенностями созревания плаценты и организма беременной;
- рождение крупного плода пригестационном сахарном диабете — у новорождённого нет признаков переношенности.
Лечение перенашивания беременности
Ведение беременности при перенашивании имеет свои особенности. Пристальное внимание должно уделяться беременным с факторами риска. Своевременная госпитализация в роддом необходима для обследования беременной и решения вопроса о способе ведения родов. Выбор метода зависит от многих факторов: данных анамнеза, готовности к родам, состояния и предполагаемого веса плода, сопутствующих заболеваний женщины.
Проведение оперативного родоразрешения показано при сочетании факта перенашивания с такими осложняющими факторами, как:
- возраст матери (30 лет и старше);
- очень крупный или очень маленький плод;
- отсутствие готовности к родам — незрелая шейка матки, неправильное положение плода;
- гипоксия плода;
- беременность после ЭКО;
- неудачи при предыдущих беременностях и родах в анамнезе.
При более благоприятной ситуации, но неготовности родовых путей, необходимо дополнительно подготовить шейку матки к родам. Для этого применяют различные методы:
- отслоение нижнего полюса плодного пузыря от стенок матки;
- баллонная дилатация шейки матки с помощью катетера Фолея — позволяет механически расширить шейку матки;
- дилататоры природного (ламинарии) и синтетического происхождения — оказывают расслабляющее действие, способствуют выработке эндогенных простагландинов в шейке матки;
- возможно использование простагландина Е либо антипрогестагенов ( Мифепристона ) [1][5][6][11] .

Роды при пролонгированной беременности без признаков перезрелости плода чаще всего протекают без выраженных осложнений, но требуют пристального наблюдения за их ходом.
Запоздалые роды с признакам перезрелости плода часто осложняются. Поэтому для своевременного решения вопроса о выборе способа родоразрешения важна оценка каждого периода беременности. Во время консервативных родов (через естественные родовые пути) необходимо проводить постоянный мониторинг за состоянием плода [1] [9] .
Для родовозбуждения можно использовать амниотомию — искусственный разрыв оболочек плодного пузыря. Она проводится исключительно при зрелой шейке матки и хорошем состоянии плода.

В послеродовом периоде очень важно принимать профилактические меры для предупреждения кровотечения, которое может возникнуть в связи с особенностью строения матки, задержкой частей плаценты, разрывом мягких тканей и нарушением гемостаза (свёртывающей системы крови). Для этого проводится тщательный осмотр родовых путей на выявление разрывов, учёт кровопотери, клинический и лабораторный контроль анализов крови и применение утеротоников, которые стимулируют сокращение матки.
Прогноз. Профилактика
При своевременной и адекватной оценке состояния плода, а также правильном выборе тактики родоразрешения прогноз благоприятный [13] . По наблюдениям врачей, показатели физического, неврологического и психического развития переношенных детей не отличаются от состояния детей, рождённых при неосложнённых своевременных родах. Менее благоприятный прогноз возможен при тяжёлой гипоксии плода, родовой травме и мекониальной аспирации.
Переношенная беременность
Переношенная беременность - увеличение сроков гестации до 42 недель и более, приводящее к запоздалым родам и рождению плода с признаками перезрелости. Переношенная беременность сопровождается дегидратацеий - уменьшением количества околоплодных вод, снижением массы тела у беременной, признаками старения плаценты, уплотнением костей черепа у плода, гипоксией плода. Переношенную беременность диагностируют по данным анамнеза, результатам УЗИ, кардиотокографии, амниоскопии. Переношенная беременность требует проведения амниотомии, медикаментозной стимуляции родовой деятельности или оперативного родоразрешения.
МКБ-10
Общие сведения
Продолжительность физиологической беременности в среднем составляет 40 недель или 280 календарных дней от начала последней менструации. Это время является достаточным и оптимальным для развития зрелого плода, способного к внеутробному существованию. После 40 недель гестации о переношенной беременности судят не по календарным срокам, а по состоянию плаценты, плода и фетоплацентарного кровотока. Поэтому при удлинении сроков гестации на 10-14 дней в акушерстве и гинекологии различают пролонгированную и переношенную беременность.
Пролонгацией физиологической беременности считают увеличение сроков гестации до 290-294 дней при отсутствии признаков старения плаценты и перезрелости плода. При истинном перенашивании беременность заканчивается рождением перезрелого плода с морфофункциональными изменениями в плаценте. К признакам переношенной беременности относится уменьшение количества околоплодных вод, отсутствие первородной смазки, сморщивание и сухость кожи ребенка, появление в водах примеси мекония, вследствие чего их цвет становится сероватым или зеленоватым.
Переношенная беременность встречается примерно в 4% случаев. Опасность переношенной беременности заключается в высокой вероятности осложненных родов, оперативного родоразрешения, неблагоприятного исхода родов.
Причины переношенной беременности
Фоном для переношенной беременности могут служить многочисленные факторы, негативно отражающиеся на репродуктивной функции женщины. Переношенная беременность часто протекает у женщин с нарушением менструальной функции (ранней или поздней менархе, нерегулярными менструациями, альгодисменореей), половым инфантилизмом. Неблагополучно на течении беременности в будущем могут сказываться инфекции детского возраста - корь, скарлатина, паротит, краснуха и др., а также перенесенные во время настоящей беременности грипп или ОРВИ.
Среди причин переношенной беременности нередко отмечаются эндокринные заболевания женщины (нарушения в работе щитовидной железы, сахарный диабет и др.), заболевания ЖКТ, печени. Эти состояния могут нарушать гормональный обмен и обусловливать инертность матки, ее пониженную возбудимость. К изменениям в нервно-мышечной регуляции деятельности матки также могут приводить воспаления репродуктивных органов (аднекситы, эндометриты, цервициты), опухоли матки (миома, фиброма), дисфункция яичников, гестозы, искусственное прерывание беременности в анамнезе.
Переношенная беременность может быть обусловлена недостаточной физической активностью, длительным постельным режимом, испытанными женщиной психическими травмами и эмоциональными потрясениями. Кроме всего выше названного, перенашиванию беременности способствует медикаментозная терапия при угрозе выкидыша, предшествующие роды крупным плодом, первые роды в возрасте старше 30 лет, тазовое предлежание плода, патология предыдущей беременности. Не исключается, что переношенная беременность может быть вызвана заболеваниями плода, прежде всего, пороками развития ЦНС (гидроцефалией, анэнцефалией, микроцефалией), болезнью Дауна, поликистозом почек, патологией надпочечников и др.
Поскольку в наступлении, протекании беременности и развитии родовой деятельности задействованы сложные механизмы с участием центральной нервной системы, гормонов (эстрогенов, гестагенов, глюкокортикоидов, ХГЧ, ацетилхолина, катехоламинов, серотонина, гистамина), энзимов, электролитов, микроэлементов и витаминов, фактически любой сбой в системе нейроэндокринной регуляции может послужить толчком к переношенной беременности.
Симптомы переношенной беременности
О переношенной беременности, свидетельствует, прежде всего, не превышение хронологических сроков гестации, а изменения со стороны плаценты и плода. При переношенной беременности после 290 дней гестации у женщины происходит уменьшение объемов живота на 5-10 см, а массы тела на 1 килограмм и более, что обусловлено уменьшением околоплодных вод. На этом фоне у беременной снижается тургор кожи, отмечается увеличенная плотность матки и незрелость шейки. Может появиться выделение из сосков молока вместо молозива.
Проведение влагалищного исследования у пациентки с переношенной беременностью выявляет повышенную плотность костей черепа у плода, узость родничков и костных швов. При аускультации живота выслушиваются приглушенные тоны сердца плода с неправильной частотой и ритмом, свидетельствующие о гипоксии плода. Объективное подтверждение диагноза переношенной беременности может быть получено с помощью инструментальных исследований.
Диагностика переношенной беременности
Диагностику переношенной беременности начинают с уточнения гестационного срока. Для этого учитывается совокупность результатов всех используемых методов: отсчет от даты последней менструации (правило Негеле), срока овуляции, оплодотворения, первого шевеления, выслушивания сердечных тонов, данных УЗИ и др.
Объективное акушерское исследование при переношенной беременности позволяет выявить уменьшение живота в окружности наряду с высоким стоянием дна матки; задержку в нарастание массы тела беременной или потерю веса. Подвижность плода при переношенной беременности снижается в результате маловодия, а сам плод перестает расти. Гинекологическое исследование позволяет определить уплотнение черепных костей плода, сужение на головке швов и родничков, неготовность шейки матки к родам.
Картина УЗ-исследования при переношенной беременности характеризуется уменьшением общего объема и полным отсутствием «передних вод», отсутствием хлопьевидных включений сыровидной смазки в амниотических водах, наличием в водах мекония. Допплерография маточно-плацентарного кровотока определяет признаки старения плаценты, которая в полной мере не обеспечивает питание и кислородное снабжение плода: петрификаты в плаценте, уменьшение ее толщины, сниженную интенсивность фетоплацентарного и маточно-плацентарного кровотока. Все эти данные указывают на перезрелость плода и испытываемую им гипоксию. Уменьшение ЧСС плода (менее 110-120 уд. в мин.) или увеличение (свыше 160 уд. в мин.) по результатам кардиотокографии подтверждают нарушения в состоянии плода.
Для диагностики переношенной беременности может применяться методика цервикальной амниоскопии - эндоскопического исследования характера околоплодных вод через неповрежденную стенку плодного пузыря. Зеленоватый цвет вод, свидетельствующий о примеси мекония, указывает на внутриутробную гипоксию плода. Амниоскопия может проводиться только в ситуациях, когда шейка матки мягкая и приоткрыта для введения прибора.
Окончательно факт переношенной беременности подтверждается после родов. Перезрелый плод характеризуется зеленоватой окраской кожных покровов, наличием мацерации кожи, уменьшением или отсутствием сыровидной смазки, гипотрофией подкожно-жировой клетчатки, уплотнением костей черепа. Осмотр последа выявляет темно-зеленую окраску пуповины и плодных оболочек, наличие участков обызвествления (петрификатов) в тканях плаценты.
Тактика ведения родов при переношенной беременности
Беременные на сроке 41 недели беременности подлежат госпитализации в отделении патологии беременных, где после дообследования решается вопрос о тактике родов. При переношенной беременности возможно развитие самопроизвольной родовой деятельности, однако при ее отсутствии прибегают к искусственному родовозбуждению.
При неготовности шейки матки в течение нескольких дней используется местное введение специальных гормональных гелей, под воздействием которых шейка размягчается, а цервикальный канал расширяется. Затем назначается терапия, стимулирующая сократительную активность матки. Естественные роды при переношенной беременности требуют непрерывного контроля сердечной деятельности плода (выслушивания сердцебиения, проведения фонокардиографии плода).
В ряде случаев (при остро развившейся внутриутробной гипоксии плода, слабости родовых сил, клинически узком тазе, тазовом предлежании плода, наличии рубца на матке и др.) прибегают к оперативному родоразрешению женщин с переношенной беременностью с применением вакуум-экстракции, наложением акушерских щипцов или с помощью кесарева сечения.
Осложнения переношенной беременности и их профилактика
Роды, сопровождающие переношенную беременность, могут осложниться затяжным течением, преждевременным излитием вод, развитием дискоординированной родовой деятельностью, гипо- и атоническими кровотечениями, инфекционными осложнениями (эндометритом, метротромбофлебитом, маститом). В послеродовом периоде в связи со сниженной сократительной способностью матки нередко развивается лохиометра.
Опасности переношенной беременности для ребенка заключаются в возможной гипоксии плода и асфиксии новорожденного, развитии поражений головного мозга, получении родовых травм, аспирации мекония и околоплодных вод. Состояние детей, родившихся от переношенной беременности, отягощается выраженной желтухой, гормональными кризами, инфекционными поражениями кожи, неврологическими нарушениями. Впоследствии они нередко отстают от нормального физического и психического развития.
Ведение беременности у пациенток, составляющих группу риска по перенашиванию, требует серьезного внимания со стороны акушера-гинеколога. В случае ненаступления родов в предполагаемый срок необходима госпитализация беременной в родильный дом для уточнения сроков гестации, состояния плода и решения вопроса о родоразрешении.
Осложнения родов
Осложнения родов — патологические состояния, которые возникают в процессе родовой деятельности, связаны с ней, влияют на течение и исход родов. Проявляются нарушением сократительной активности миометрия, болевым синдромом, кровотечениями, ухудшением общего состояния роженицы (головокружением, слабостью, потерей сознания, комой). Для диагностики используют приемы наружного акушерского осмотра, влагалищное исследование, кардиотокографию, реже — УЗИ, в последовом периоде — ревизию родовых путей и матки. Тактика ведения родов при осложнениях определяется характером выявленной патологии, может предполагать как естественное, так и оперативное родоразрешение.
На сегодняшний день только 37% родов протекают физиологически. В остальных случаях определяются различные виды осложнений, а 23-25% родов завершаются хирургическим путем. По результатам исследований в сфере акушерства и гинекологии, наиболее частыми осложнениями являются разрывы шейки матки (до 27% случаев родов) и промежности (7-15%), преждевременное излитие околоплодных вод (12-15%), аномалии родовых сил (около 10%), инфекционные процессы (2-8%), кровотечения (2-5%) и преждевременная отслойка плаценты (0,45-1,2%). При неправильном ведении осложненные роды представляют угрозу здоровью и жизни как матери, так и плода. Несмотря на постоянное снижение показателей материнской смертности, ежегодно при родах в России умирает до 200 женщин.
Причины осложнений родов
Патологическое течение родов может быть обусловлено провоцирующими факторами со стороны матери, плода и его оболочек. Основными причинами нарушений, возникающих в родах, являются:
- Патологическая беременность. При осложненном гестационном периоде возрастает риск нарушений в родах — преждевременной отслойки плаценты, слабости родовых сил, декомпенсации хронических заболеваний матери, кровотечений.
- Анатомические особенности родовых путей. Узкий таз, объемные образования шейки, влагалища, органов малого таза, высокая промежность становятся физическими препятствиями для прохождения плода. При инфантилизме, седловидной матке и других аномалиях развития чаще снижается сократительная активность миометрия. Возрастное уменьшение эластичности тканей повышает вероятность их разрыва.
- Воспалительные заболевания. При наличии эндометрита, цервицита, кольпита, хориоамнионита возрастает риск кровотечений, родового травматизма матери, инфицирования ребенка при прохождении по родовым путям.
- Ранее перенесенные инвазивные вмешательства. Рубцово-измененные ткани половых органов хуже растягиваются, менее устойчивы к нагрузкам, возникающим в родах. Поэтому у женщин после гинекологических операций и диагностических манипуляций (абортов, выскабливаний и т. п.) чаще наблюдаются такие осложнения, как травмы мягких тканей.
- Травмы в прошлых родах. Рубцы, сформировавшиеся после прошлых разрывов промежности, шейки и тела матки, более подвержены повреждениям.
- Экстрагенитальная патология. Гипертоническая болезнь, сахарный диабет, почечная недостаточность, миопия и прочие хронические заболевания могут декомпенсироваться в родах. Некоторые из них повышают вероятность кровотечений, затяжного течения, ДВС-синдрома и других осложнений.
- Неправильное положение и предлежание. Роды при косом положении, тазовом, лобном или затылочном предлежании сопровождаются родовым травматизмом, преждевременным излитием околоплодных вод, выпадением пуповины и мелких частей плода. Естественное родоразрешение при поперечном положении плода невозможно.
- Анатомические особенности ребенка. При больших размерах, гидроцефалии или грубых врожденных дефектах плоду сложнее пройти по родовому каналу. В таких случаях возрастает вероятность женского и пренатального травматизма.
- Многоплодная беременность. Роды более чем одним ребенком, особенно если они первые, чаще характеризуются осложненным течением с повышенным риском кровотечений и травматизма.
- Патология плодных оболочек. Кровотечения, гипоксия плода и другие осложнения родов могут быть вызваны ранним разрывом амниотического пузыря, обвитием или выпадением пуповины, мало- или многоводием, плотным прикреплением, приращением, врастанием, прорастанием или преждевременной отслойкой нормально либо низко расположенной плаценты.
- Врачебные ошибки. Неправильная тактика ведения беременности и родов, выбор неподходящего способа родоразрешения или вида оперативного вмешательства, необоснованная стимуляция родовой деятельности чреваты риском травматизма, иных осложнений и даже гибели женщины или ребёнка.
Классификация
В основу клинической классификации осложнений положены уровень возникающих нарушений (патология родов, повреждения у матери или плода), их характер и время возникновения. Разновидностями патологических родов являются:
- Преждевременные роды. При начале родовой деятельности до 37 недели выше вероятность возникновения осложнений у плода. Поэтому даже при нормальном течении они считаются осложненными.
- Затяжные роды. Увеличение продолжительности родов из-за слабой или дискоординированной родовой деятельности, клинически либо анатомически узкого таза и других причин повышает риск травм, гипоксии, послеродовых кровотечений.
- Стремительные роды. При бурных сокращениях матки чаще возникают разрывы мягких тканей родовых путей, травмы плода, отслойка плаценты, нарушения плацентарного кровотока, гипотонические кровотечения.
- Оперативное родоразрешение. Поскольку при кесаревом сечении, наложении вакуум-экстрактора или щипцов, акушерском повороте и других вмешательствах возрастает риск развития осложнений у женщины и ребенка, такие роды заведомо рассматриваются как осложненные.
У женщины в связи с родами возможные следующие типы осложнений:
- Родовой травматизм. Под действием значительных растягивающих нагрузок в период родов возникают разрывы промежности, влагалища, шейки матки и ее тела. В наиболее тяжелых случаях наблюдаются травмы сфинктера и стенки прямой кишки, расхождение тазовых костей.
- Декомпенсация экстрагенитальных заболеваний. Значительные физические нагрузки, сопряженные с родами, способны спровоцировать гипертонический криз, острую сердечную, мозговую, почечную или печеночную недостаточность, диабетическую кому, отслойку сетчатки и иные нарушения.
- Кровотечения. При разрывах тканей, нарушениях в свертывающей системе крови, частичном или полном приращении плаценты, гипотонии миометрия нередко возникают длительные кровотечения, приводящие к значительным кровопотерям, гиповолемическому шоку и ДВС-синдрому.
- Эмболия околоплодными водами. Грозное осложнение, вызванное попаданием амниотической жидкости в кровоток матери. В 70-80% случаев заканчивается гибелью женщины, в 60-80% — смертью плода.
- Задержка частей последа в матке. Даже при отсутствии кровотечения фрагменты плаценты, приросшие или вросшие в стенку матки, представляют угрозу для здоровья женщины. Они могут стать питательным субстратом для развития воспаления либо переродиться.
- Послеродовые воспалительные процессы. При тяжелых и затяжных родах, различных инвазивных вмешательствах повышается риск развития эндометритов, аднекситов, цервицитов, перитонита и сепсиса.
Основными осложнениями родов со стороны плода считаются:
- Пренатальный травматизм. При родах ребенок может получить травму позвоночника, перелом ключицы и плечевой кости. Возможны внутриорганные кровоизлияния в ткани головного мозга, почек, печени, надпочечников, нарушения мозгового кровообращения, формирование кефалогематомы.
- Острая гипоксия. Уменьшение или полное прекращение поступления крови от матери к ребенку из-за отслойки плаценты или пережатия пуповины сопровождается кислородным голоданием. При длительной гипоксии могут возникать необратимые изменения в тканях плода.
- Инфицирование в родах. При клиническом течении или бессимптомном носительстве у матери инфекций родовых путей возможно заражение ребенка условно-патогенной флорой, возбудителями герпеса, гонореи, хламидиоза и других заболеваний.
С учетом времени появления последствий, связанных с родами, различают осложнения периода схваток (преждевременное начало, затяжное течение и др.), потужного периода (гипоксия плода, родовой травматизм, декомпенсация сопутствующей патологии), последового периода (кровотечения), послеродового периода (воспалительные заболевания). Кроме того, выделяют отдаленные последствия родов, связанные с их осложненным течением, — эктропион и рубцовую деформацию шейки матки, опущение и выпадение влагалища, матки, хорионэпителиому у женщины, ДЦП, другие инвалидизирующие симптомокомплексы и заболевания у ребенка.
Симптомы осложнений родов
Об осложненном течении родов могут свидетельствовать изменения в силе и характере схваток, болевой синдром, влагалищные выделения, нарушения общего самочувствия женщины, шевеление плода. При слабой родовой деятельности роженица отмечает редкие короткие схватки, которые обычно отличаются меньшей болезненностью. Дискоординированные схватки сопровождаются ощутимым повышением тонуса миометрия, неправильным ритмом его сокращения и расслабления, неравномерной силой схваток и болезненностью родовой деятельности. Обычно при этом женщина ощущает выраженное беспокойство.
Хотя при отсутствии анестезии боль всегда присутствует в родах, изменение ее интенсивности может свидетельствовать о развитии осложнений. Чаще выраженный болевой синдром возникает при угрожающем и начавшемся разрыве матке. Непосредственно в момент разрыва боль уменьшается, а сокращения миометрия прекращаются. Если в родах или сразу после них женщина жалуется на резкую («стреляющую») боль в области лонного сочленения, можно заподозрить расхождение или разрыв тазового кольца.
Появление обильных водянистых выделений из влагалища свидетельствует об излитии околоплодных вод. В отличие от своевременного вскрытия плодного пузыря в нормальных родах, его преждевременный разрыв считается осложнением, часто провоцирует ослабление родовой деятельности, выпадение во влагалище частей плода или пуповины. Кровянистые выделения в первом периоде родов обычно являются следствием преждевременного отслаивания плаценты. Во втором периоде они чаще всего сопровождают разрывы родовых путей, а в третьем возникают в результате гипотонии миометрия или задержки частей плаценты в маточной полости.
При развитии экстрагенитальных осложнений родов наблюдаются общие изменения в самочувствии женщины. Она может почувствовать внезапную слабость, головокружение, потерю четкости зрения, «мушки» или пелену перед глазами, сильное сердцебиение, потливость, ощущение холода, дрожь. В межсхваточном периоде и, тем более, во время схваток шевеления плода обычно не ощущаются, но при возникновении гипоксии дискомфорт, испытываемый ребенком, заставляет его активно шевелиться. Поэтому возросшая активность плода в периоде между схватками должна стать поводом для настороженности акушера-гинеколога.
Диагностика
Диагностические мероприятия во время родов направлены на оценку состояния роженицы и ребёнка, своевременное выявление осложнений и определение их тяжести. При подозрении на осложненное течение родов рекомендованы:
- Наружное акушерское исследование. Позволяет определить форму и размеры матки, высоту стояния ее дна, степень раскрытия шейки (ориентировочно), соответствие размеров таза и головки ребенка, оценить частоту, силу и ритмичность схваток, выявить участки локальной болезненности.
- Влагалищный осмотр. Применяется для определения состояния шейки матки, степени ее раскрытия, целостности амниотического пузыря, предлежащей части плода и особенностей его продвижения по родовым путям. В ходе обследования во влагалище может выявляться кровь, пуповина, части плода.
- Кардиотокография. Позволяет осуществлять мониторирование сократительной активности матки и сердцебиения плода, вовремя обнаруживать признаки гипоксии и других угроз ребенку, сопровождающихся учащением или замедлением сердечной деятельности.
- Гинекологическое УЗИ. Из-за быстрой динамики родов при их ведении ультразвуковые исследования назначают намного реже, чем при беременности. В некоторых случаях с их помощью уточняют положение плода, пуповины, состояние плаценты и рубца на матке.
- Осмотр родовых путей после родов. Ревизия шейки матки с помощью специальных ложкообразных зеркал дает возможность вовремя выявить и ушить ее разрывы. Затем на предмет разрывов осматривают влагалище и промежность.
- Ручное обследование матки. Является лечебно-диагностической процедурой. Проводится в случае подозрения на задержку в полости матки фрагментов плаценты.
При необходимости женщине назначают общий анализ крови, ЭКГ, мониторинг пульса и АД. Поскольку патологические состояния напрямую связаны с процессом родов, дифференциальная диагностика проводится между различными видами осложнений. По показаниям к ведению родов привлекают анестезиолога-реаниматолога, терапевта, невропатолога, неонатолога.
Лечение осложнений родов
Акушерская тактика направлена на выбор оптимального способа родоразрешения с минимизацией последствий для роженицы и плода. Выбор конкретных препаратов и техник определяется видом осложнений. В естественных осложненных родах назначаются:
- Стимуляторы сокращений матки. Усиливают схватки и ускоряют процесс родов у пациенток с осложнениями в виде первичной или вторичной слабости родовой деятельности.
- Токолитики. Позволяют расслабить маточную мускулатуру при бурных или дискоординированных схватках, гипертонусе, угрозе разрыва рубца.
- Обезболивающие средства. В зависимости от интенсивности боли и ее субъективного восприятия роженицей применяется широкий спектр препаратов и способов, от назначения анальгетиков до эпидуральной или паравертебральной анестезии и общего наркоза.
- Седативные препараты. Уменьшают эмоциональное напряжение, потенцируют эффект обезболивающей терапии, позволяют женщине лучше контролировать процесс родов в ответ на инструкции акушерок и врачей.
Осложнение родов кровотечением служит показанием для назначения инфузионной терапии с использованием гемостатиков, кровозамещающих растворов и препаратов крови, ингаляций кислорода через маску. При сохраняющемся кровотечении после рождения ребенка показана ревизия родовых путей на разрывы с их последующим ушиванием и ручной осмотр полости матки для обнаружения и извлечения остатков плаценты. В стремительных родах, при рождении крупного плода, ребенка с гидроцефалией или в нефизиологичном положении/предлежании, при использовании акушерских пособий или операций возрастает угроза повреждения родовых путей. Поэтому роженице в плановом порядке производят эпизиотомию.
Неправильное предлежание и положение плода является показанием для использования одного из акушерских пособий — поворота плода на головку (по Архангельскому) или ножку, классического ручного или пособия по Цовьянову при тазовом предлежании. Если положение плода препятствует естественным родам, рекомендовано кесарево сечение. При угрозе матери и ребенку для более быстрого завершения родов могут применяться акушерские операции — вакуум-экстирпация плода, его экстракция за тазовый конец или наложение акушерских щипцов. При гибели ребенка и невозможности завершения родов естественным путем или кесаревым сечением выполняют плодоразрушающие операции.
Срочное родоразрешение кесаревым сечением показано при остром возникновении угрозы жизни роженицы и ребенка (разрыве матки, отслойке плаценты, выпадении пуповины). В ряде случаев полостная операция завершается экстирпацией матки. Гистерэктомия осуществляется при массивных разрывах с формированием интралигаментарных гематом, продолжающемся кровотечении, врастании плаценты, длительном безводном периоде с осложнением его инфекционным процессом.
Прогноз и профилактика
Прогноз осложненных родов зависит от вида патологии, своевременности ее диагностики и адекватности акушерской тактики. В подавляющем большинстве случаев исход благоприятен для ребенка и для матери. В России показатель материнской смертности снижался из года в год и в 2016 году достиг исторического минимума — 8,3 случая на 100 тыс. родов. Младенческая, в том числе интранатальная смертность также постоянно сокращается. Для профилактики осложнений родов важна своевременная постановка на учет и динамическое наблюдение в женской консультации, лечение выявленных сопутствующих заболеваний и осложнений беременности, плановая госпитализация в роддом при наличии показаний. Ключевую роль для предупреждения интранатальных угроз играет правильный выбор способа родоразрешения и профессионализм медицинского персонала при ведении родов.
Рубец на матке после операции кесарева сечения: современные представления и тактика ведения беременности и родов

На протяжении последних лет частота операций кесарева сечения (КС) неустанно растет. Это обусловлено в основном расширением круга показаний к проведению операции — как в интересах матери, так и в интересах плода. Еще в начале XX века врачи следовали правилу: «Однажды кесарево сечение — всегда кесарево сечение». Подобная позиция иногда встречается и сегодня, в ее основе лежат два момента: во-первых, процесс родов с риском разрыва матки представляет собой опасность как для матери, так и для плода, и, во-вторых, плановая операция кесарева сечения в большинстве случаев рассматривается как фактически безопасная операция (хотя нельзя не сделать оговорку о том, что эта безопасность тоже весьма условна).
Вместе с тем многие практикующие врачи не исключают возможности ведения родов у беременной с рубцом на матке через естественные родовые пути. Целесообразность такой тактики широко обсуждается, но до сих пор так и не выработалось общее понимание многих ее аспектов и не были введены единые критерии для ее применения. Факт наличия рубца на матке обозначается на всех этапах — от планирования беременности до послеродового периода. Подобная настороженность вызвана возможными осложнениями, самым грозным из которых является разрыв матки по рубцу. Задачей акушера в такой ситуации является объективная оценка состояния беременной, принятие решения об оптимальном сроке родоразрешения и тактике ведения родов.
Для оценки общей картины в первую очередь интересны данные о предшествующих беременностях: их течение, срок родоразрешения, наличие осложнений, непосредственные показания к оперативному вмешательству. Также учитывается настрой женщины и ее желание или нежелание рожать самостоятельно. Важна давность беременности, закончившейся операцией кесарева сечения, поскольку «возраст» рубца коррелирует со степенью его состоятельности: для формирования зрелой соединительной ткани рубца необходимо от 8 до 12 месяцев, а восстановление морфофункциональной полноценности миометрия происходит через 1-2 года. Наиболее благоприятным промежутком времени от операции до следующих родов считается промежуток от 2 до 5 лет.
Чаще всего роды через естественные родовые пути проходят успешно, если предшествующая операция была выполнена по тазовому предлежанию плода (частота КС при тазовом предлежании составляет от 60-70 до 90 %). Факторы, позволяющие рассматривать возможность естественных родов у беременной с рубцом на матке, включают в себя прошлые операции КС по анатомическому несоответствию и случаи, когда роды происходят у повторнородящей женщины, уже имеющей естественные роды в анамнезе. Определенное внимание отводится технике выполнения прошлой операции — наиболее часто КС выполняется путем разреза в нижнем сегменте матки (НСМ), поскольку при доношенном сроке беременности он полностью развернут и является наиболее тонким местом стенки матки, при этом хорошо кровоснабжается, что создает благоприятные условия для формирования полноценного соединительнотканного рубца. Однако по-прежнему встречаются вертикальные разрезы (корпоральное кесарево сечение) или перевернутый Т-образный разрез. Последние два типа выполнения сечения матки более предрасполагают к молниеносному, так называемому «взрывному» разрыву матки. После поперечного сечения матки в нижнем сегменте чаще встречаются «тихие» неполные разрывы, которые в большинстве своем становятся случайной находкой (0,5-2 % случаев среди плановых операций).
При составлении плана родов важен срок родоразрешения — в его определении большую роль играет не только непосредственный срок беременности, но и биофизический профиль плода. Как правило, предпочтительнее роды на сроках 37-39 недель, а тенденция к перенашиванию беременности и вовсе недопустима в связи с тем, что растущий плод растягивает матку и чрезмерная нагрузка на рубец может привести к его расхождению.
Основным критерием при решении вопроса о сроке и порядке родоразрешения женщины с рубцом на матке является состоятельность имеющегося рубца. Несостоятельность рубца на матке в структуре показаний к повторному кесареву сечению составляет свыше 30 %. Существует несколько методов определения состоятельности рубца, однако единого мнения по их трактовке нет, также как и не найдено универсального и достоверного способа, позволяющего отследить динамику изменений рубца в течение беременности и определить его запас прочности. Каждый существующий метод исследования зачастую является малоинформативным при рассмотрении его результатов отдельно от других, при этом четкая корреляция между результатами различных диагностических методов отсутствует.
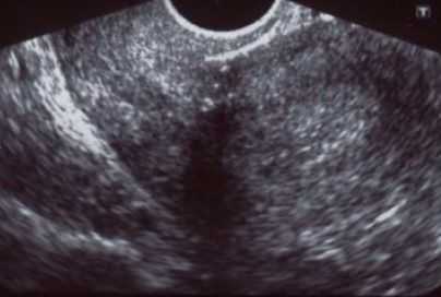
В течение беременности для оценки состояния рубца матки наиболее часто применяется ультразвуковое исследование, в ходе которого определяется эхоструктура и толщина рубца на всем протяжении, наличие кровотока в нем. К ультразвуковым маркерам несостоятельности рубца относят визуализацию дефекта миометрия в проекции рубца в виде «ниш» со стороны полости матки и обнаружение признаков некроза миометрия. Отсутствие кровотока в рубце служит неблагоприятным признаком в пользу несостоятельности рубца или его неполной состоятельности. По данным различных авторов, толщина рубца, при которой его можно назвать состоятельным, колеблется от 2 до 4-5 мм (при доношенном сроке), при этом учитывается равномерность его толщины на всем протяжении — то есть тонкий, но имеющий одинаковую на всем протяжении толщину рубец считается более надежным.

Рисунок 1 | Состоятельный рубец на матке

Рисунок 2 | Частично несостоятельный рубец. Определяются истончение миометрия и соединительнотканные включения в области рубца

Рисунок 3 | Несостоятельный рубец. Выявляется «ниша» в области рубца, миометрий не определяется
Оценка рубца может производиться посредством гистерографии с применением рентгеноконтрастных веществ. Исследование проводится как минимум через полгода после операции кесарева сечения, на 18-21 день менструального цикла. К признакам несостоятельности рубца при этом методе исследования относят смещение матки в сторону или вверх, фиксацию ее к передней брюшной стенке; уплощение, истончение или зазубренность передней стенки матки, дефекты наполнения полости матки, нишеобразные углубления в ней. Состояние рубца также можно оценить в ходе магнитно-резонансной томографии (МРТ) органов малого таза; этот метод обладает большими диагностическими возможностями, но в обычной клинической практике не имеет широкого применения.
При гистероскопическом исследовании визуализируется полость матки и место рубца (он может и не визуализироваться) или собственно рубец в виде плохо васкуляризированной соединительной ткани, расположенной среди мышечных волокон, или бессосудистого соединительнотканного рубца. Возможно взятие образца послеоперационного рубца с последующим гистологическим и иммуногистохимическим исследованием биоптата.
Необходимо отметить, что целесообразно оценивать состояние рубца в каждом триместре беременности, однако на решение о выборе тактики ведения родов непосредственно будут влиять данные последнего, наиболее близкого к моменту родов исследования.
По данным различных исследований и наблюдений, при наличии рубца на матке после операции кесарева сечения роды через естественные родовые пути возможны у 25-70 % женщин. При этом естественные роды не рекомендованы беременным с рубцом на матке, имеющим отягощенный соматический анамнез (сахарный диабет, бронхиальная астма, хронические заболевания почек и сердечно-сосудистой системы и т. д.) или осложнения текущей беременности (преэклампсия, плацентарная недостаточность и т. д.).
Дискутабельным остается вопрос о возможности применения утеротоников в родах. Никто не оспаривает необходимость пристального наблюдения за роженицей и особой осторожности при применении окситоцина или препаратов простагландинов, и в имеющихся в литературе случаях с описанием индукции родов и усиления родовой деятельности эти препараты не приводили к возникновению осложнений в родах.
Нет единой позиции относительно необходимости ручного обследования полости матки в раннем послеродовом периоде. Наряду с тем, что бессимптомный «тихий» разрыв полости матки (между делом — не всегда определяющийся в ходе ручного обследования) не требует лечения, риск внесения инфекции при выполнении этой манипуляции, равно как и риск превращения расхождения рубцовых тканей в большой разрыв, сохраняется. Наиболее щадящей здесь представляется концепция активного наблюдения за родильницей в раннем послеродовом периоде, оценка кровопотери и выполнение ручного обследования по общим показаниям.
В настоящее время активно разрабатываются различные методики, в том числе и интраоперационные, способствующие формированию максимально полноценного послеоперационного рубца на матке. Применяются препараты дополнительного гемостаза и активаторы пролиферации, также существуют исследования метода точечного введения 10 % раствора этанола в область шва, что снижает риск разрыва матки в последующих родах или уменьшает объем кровотечения при повторном кесаревом сечении. Рассматривалось применение медицинских клеев, однако они обладают общим недостатком, вызывая воспалительный процесс в тканях и, как следствие, формирование несостоятельного рубца и выраженного спаечного процесса в брюшной полости. Описано формирование полноценного соединительнотканного рубца при использовании гемостатической губки, в составе которой присутствовал коллаген.
Заслуживает отдельного внимания пластика рубца на матке (метропластика) — оперативный метод, реализующийся, как правило, посредством плановой лапароскопии. Операция включает в себя иссечение несостоятельного рубца и создание нового. При технически правильном выполнении операции, неосложненном течении послеоперационного периода с активно протекающими процессами неоваскуляризации и репарации в области рубца она позволяет улучшить репродуктивные исходы. Длительное время считалось, что иссечение старого рубца на матке, как на мышечном органе, трудоемко и неперспективно, поскольку рубец все равно имеет место быть. Тем не менее по результатам ряда исследований можно предполагать, что метропластика может стать одним из рутинных методов коррекции несостоятельных рубцов на матке не только после операций кесарева сечения, но и после миомэктомии.
В общем и целом, на сегодняшний день рубец на матке как таковой не является показанием к проведению повторной операции кесарева сечения. При этом каждый клинический случай требует отдельного рассмотрения и индивидуального подхода, а иногда — дополнительных исследований и постоянного наблюдения в течение всего периода беременности, родов и послеродового периода.
Читайте также:
