Синдром Элерса-Данлоса (Ehlers-Danlos) - синонимы, авторы, клиника
Добавил пользователь Владимир З. Обновлено: 13.12.2025
Синдром Элерса-Данло - гетерогенная наследственная болезнь соединительной ткани с разными типами наследования. Частичное клиническое описание этого синдрома впервые было сделано ещё в 1657 г. голландским хирургом Д. ван Мекреном с зарисовкой больного. Первая документальная фотография (больной позировал, сильно растянув кожу на груди) была сделана в 1880 г. В России синдром подробно описал А.Н. Черногубов (1891), назвав его генерализованным нарушением соединительной ткани. Однако он не продолжил этих наблюдений, а за границей был опубликован только реферат его работы. Позже этот синдром был описан Э. Элерсом (1901) и Х.А. Данло (1908) и назван по имени этих учёных.
Основные клинические характеристики синдрома Элерса-Данло обусловлены врождённой гиперрастяжимостью соединительной ткани в связи с нарушениями синтеза коллагена, обусловленными мутациями в разных генах коллагена. Идентифицировано (клинически, биохимически, молекулярно-генетически) 10 типов синдрома Элерса-Данло, которые с клинико-генетической точки зрения должны считаться самостоятельными нозологическими формами.
Основные симптомы синдрома Элерса-Данло:
Кожа: сверхрастяжимость (щёки, под наружными концами ключиц, локти, колени), бархатистость, хрупкость, кровоточивость, тёмно-коричневые веснушки (более 20), рубцы (множественные, типа папиросной бумаги, келоидные), стрии в области поясницы, просвечивающие вены, расхождение послеоперационных швов.
Суставы: пассивное разгибание мизинца на 90° и более, приведение большого пальца кисти к предплечью, переразгибание локтевого сустава на 10° и более, переразгибание коленного сустава на 10° и более, свободное касание ладонями пола при несогнутых коленях, переразгибание межфаланговых, запястных, голеностопных и других суставов, привычный вывих суставов, плоскостопие.
Зубы: частичная адонтия, сверхкомплектные зубы, опалесцирующая эмаль, пародонтоз, множественный кариес.
Таким образом, при синдроме Элерса-Данло имеются нарушения (первичные или вторичные) во всех системах организма. Наиболее важными диагностическими признаками являются гиперэластичность кожи; подкожные узелки (сферулы), легче прощупываемые на передней поверхности голени; переразгибание суставов; повышенная ранимость тканей; симптомы геморрагического диатеза; пролапс митрального клапана.
Сочетание симптомов разных типов синдрома Элерса-Данло с аутосомно-доминантным типом наследования
Соединительнотканная дисплазия
Соединительнотканная дисплазия - группа полиморфных в клиническом отношении патологических состояний, обусловленных наследственными или врожденными дефектами синтеза коллагена и сопровождающихся нарушением функционирования внутренних органов и опорно-двигательного аппарата. Наиболее часто соединительнотканная дисплазия проявляется изменением пропорций тела, костными деформациями, гипермобильностью суставов, привычными вывихами, гиперэластичной кожей, клапанными пороками сердца, хрупкостью сосудов, мышечной слабостью. Диагностика основана на фенотипических признаках, биохимических показателях, данных биопсии. Лечение соединительнотканной дисплазии включает ЛФК, массаж, диету, медикаментозную терапию.

Общие сведения
Соединительнотканная дисплазия - понятие, объединяющее различные заболевания, обусловленные наследственной генерализованной коллагенопатией и проявляющиеся снижением прочности соединительной ткани всех систем организма. Популяционная частота соединительнотканной дисплазии составляет 7-8%, однако предполагается, что отдельные ее признаки и малые недифференцированные формы могут встречаться у 60-70% населения. Соединительнотканная дисплазия попадает в поле зрения клиницистов, работающих в разных медицинских областях - педиатрии, травматологии и ортопедии, ревматологии, кардиологии, офтальмологии, гастроэнтерологии, иммунологии, пульмонологии, урологии и др.
Причины
В основе развития соединительнотканной дисплазии лежит дефект синтеза или структуры коллагена, белково-углеводных комплексов, структурных белков, а также необходимых ферментов и кофакторов. Непосредственной причиной рассматриваемой патологии соединительной ткани выступают различного рода воздействия на плод, приводящие к генетически детерминированному изменению фибриллогенеза внеклеточного матрикса. К таким мутагенным факторам относятся:
- неблагоприятная экологическая обстановка,
- неполноценное питание и вредные привычки матери,
- стрессы,
- отягощенное течение беременности и пр.
Некоторые исследователи указывают на патогенетическую роль гипомагниемии в развитии соединительнотканной дисплазии, основываясь на выявлении дефицита магния при спектральном исследовании волос, крови, ротовой жидкости. Синтез коллагена в организме кодируется более 40 генами, в отношении которых описано свыше 1300 видов мутаций. Это обусловливает разнообразие клинических проявлений соединительнотканных дисплазий и усложняет их диагностику.
Классификация
Соединительнотканная дисплазия подразделяются на дифференцированные и недифференцированные. К числу дифференцированных дисплазий относятся заболевания с определенным, установленным типом наследования, четкой клинической картиной, известными генными дефектами и биохимическими нарушениями. Наиболее типичными представителями данной группы наследственных заболеваний соединительной ткани служат синдром Элерса-Данлоса, синдром Марфана, несовершенный остеогенез, мукополисахаридозы, системный эластоз, диспластический сколиоз, синдром Билса (врожденная контрактурная арахнодактилия) и др. Группу недифференцированных соединительнотканных дисплазий составляют различные патологии, чьи фенотипические признаки не соответствуют ни одному из дифференцированных заболеваний.
По степени выраженности выделяют следующие виды соединительнотканных дисплазий: малые (при наличии 3-х и более фенотипических признаков), изолированные (с локализацией в одном органе) и собственно наследственные заболевания соединительной ткани. В зависимости от преобладающих диспластических стигм различают 10 фенотипических вариантов соединительнотканной дисплазии:
- Марфаноподо6ная внешность (включает 4 и более фенотипических признака скелетной дисплазии).
- Марфаноподо6ный фенотип (неполный набор признаков синдрома Марфана).
- МАSS-фенотип (включает поражение аорты, митрального клапана, скелета и кожи).
- Первичный пролапс митрального клапана (характеризуется ЭхоКГ-признаками митрального пролапса, изменениями со стороны кожи, скелета, суставов).
- Классический элерсоподобный фенотип (неполный набор признаков синдрома Элерса-Данлоса).
- Гипермобильный элерсоподобный фенотип (характеризуется гипермобильностью суставов и сопутствующими осложнениями - подвывихами, вывихами, растяжениями, плоскостопием; артралгиями, вовлечением костей и скелета).
- Гипермобильность суставов доброкачественная (включает повышенный объем движений в суставах без заинтересованности костно-скелетной системы и артралгий).
- Недифференцированная соединительнотканная дисплазия (включает 6 и более диспластических стигм, которых, однако, недостаточно для диагностики дифференцированных синдромов).
- Повышенная диспластическая стигматизация с преимущественными костно-суставными и скелетными признаками.
- Повышенная диспластическая стигматизация с преимущественными висцеральными признаками (малыми аномалиями сердца или других внутренних органов).
Поскольку описание дифференцированных форм соединительнотканной дисплазии подробно дано в соответствующих самостоятельных обзорах, в дальнейшем речь пойдет о ее недифференцированных вариантах. В том случае, когда локализация соединительнотканной дисплазии ограничена одним органом или системой, она является изолированной. Если дисплазия соединительной ткани проявляется фенотипически и захватывает, как минимум, один из внутренних органов, данное состояние рассматривается как синдром соединительнотканной дисплазии.
Симптомы соединительнотканной дисплазии
Фенотипические признаки
Внешние признаки соединительнотканной дисплазии представлены конституциональными особенностями, аномалиями развития костей скелета, кожи и др. Пациенты с дисплазией соединительной ткани имеют астеническую конституцию: высокий рост, узкие плечи, дефицит массы тела. Нарушения развития осевого скелета могут быть представлены сколиозом, кифозом, воронкообразной или килевидной деформациями грудной клетки, ювенильным остеохондрозом.
Краниоцефальные стигмы соединительнотканной дисплазии нередко включают долихоцефалию, нарушения прикуса, аномалии зубов, готическое небо, несращение верхней губы и нёба. Патология костно-суставной системы характеризуется О-образной или Х-образной деформацией конечностей, синдактилией, арахнодактилией, гипермобильностью суставов, плоскостопием, склонностью к привычным вывихам и подвывихам, переломам костей.
Со стороны кожных покровов отмечается повышенная растяжимость (гиперэластичность) или, напротив, хрупкость и сухость кожи. Нередко на ней без видимых причин возникают стрии, пигментные пятна либо очаги депигментации, сосудистые дефекты (телеангиэктазии, гемангиомы). Слабость мышечной системы при соединительнотканной дисплазии обусловливает склонность к опущению и выпадению внутренних органов, грыжам, мышечной кривошее. Из других внешних признаков соединительнотканной дисплазии могут встречаться такие микроаномалии, как гипо- или гипертелоризм, лопоухость, асимметрия ушей, низкая линия роста волос на лбу и шее и др.
Изменения со стороны внутренних органов
Висцеральные поражения протекают с заинтересованностью ЦНС и вегетативной нервной системы, различных внутренних органов. Неврологические нарушения, сопутствующие соединительнотканной дисплазии, характеризуются вегето-сосудистой дистонией, астенией, энурезом, хронической мигренью, нарушением речи, высокой тревожностью и эмоциональной неустойчивостью. Синдром соединительнотканной дисплазии сердца может включать в себя пролапс митрального клапана, открытое овальное окно, гипоплазию аорты и легочного ствола, удлинение и избыточную подвижность хорд, аневризмы коронарных артерий или межпредсердной перегородки.
Следствием слабости стенок венозных сосудов служит развитие варикозного расширения вен нижних конечностей и малого таза, геморрой, варикоцеле. Пациенты с соединительнотканной дисплазией имеют склонность к возникновению артериальной гипотензии, аритмий, атриовентрикулярных и внутрижелудочковых блокад, кардиалгий, внезапной смерти.
Кардиальным проявлениям нередко сопутствует бронхолегочный синдром, характеризующийся наличием кистозной гипоплазии легких, бронхоэктазов, буллезной эмфиземы, повторных спонтанных пневмотораксов. Характерно поражение ЖКТ в виде опущения внутренних органов, дивертикулов пищевода, гастроэзофагеального рефлюкса, грыжи пищеводного отверстия диафрагмы. Типичными проявлениями патологии органа зрения при соединительнотканной дисплазии служат близорукость, астигматизм, дальнозоркость, нистагм, косоглазие, подвывих и вывих хрусталика.
Со стороны мочевыделительной системы может отмечаться нефроптоз, недержание мочи, почечные аномалии (гипоплазия, удвоение, подковообразная почка) и пр. Репродуктивные нарушения, ассоциированные с соединительнотканной дисплазией, у женщин могут быть представлены опущением матки и влагалища, метро- и меноррагией, самопроизвольными абортами, послеродовыми кровотечениями; у мужчин возможен крипторхизм. Лица, имеющие признаки соединительнотканной дисплазии, склонны к частым ОРВИ, аллергическим реакциям, геморрагическому синдрому.
Диагностика
Заболевания из группы соединительнотканных дисплазий не всегда диагностируются правильно и своевременно. Часто больные с теми или иными признаками дисплазии наблюдаются у врачей разных специальностей: травматологов, неврологов, кардиологов, пульмонологов, нефрологов, гастроэнтерологов, офтальмологов и др. Распознавание недифференцированных форм соединительнотканной дисплазии усложняется отсутствием единых алгоритмов диагностики.
Наибольшей диагностической значимостью обладает выявление совокупности фенотипических и висцеральных признаков. С целью обнаружения последних широко применяются ультразвуковые (ЭхоКГ, УЗИ почек, УЗИ органов брюшной полости), эндоскопические (ФГДС), электрофизиологические (ЭКГ, ЭЭГ), рентгенологические (рентгенография легких, суставов, позвоночника и др.) методы. Выявление характерных полиорганных нарушений, главным образом, со стороны опорно-двигательной, нервной и сердечно-сосудистой систем с высокой степенью вероятности свидетельствует о наличии соединительнотканной дисплазии.
Дополнительно исследуются биохимические показатели крови, система гемостаза, иммунный статус, проводится биопсия кожи. В качестве метода скрининг-диагностики соединительнотканной дисплазии предложено проводить исследование папиллярного рисунка кожи передней брюшной стенки: выявление неоформленного типа папиллярного рисунка служит маркером диспластических нарушений. Семьям, где имеются случаи соединительнотканной дисплазии, рекомендуется пройти медико-генетическое консультирование.
Лечение соединительнотканной дисплазии
Специфического лечения соединительнотканной дисплазии не существует. Пациентам рекомендуется придерживаться рационального режима дня и питания, оздоровительных физических нагрузок. С целью активизации компенсаторно-приспособительных возможностей назначаются курсы ЛФК, массажа, бальнеотерапии, физиотерапии, иглорефлексотерапии, остеопатии.
В комплексе лечебных мероприятий, наряду с синдромальной медикаментозной терапией, используются метаболические препараты (L-карнитин, коэнзим Q10), препараты кальция и магния, хондропротекторы, витаминно-минеральные комплексы, антиоксидантные и иммуномодулирующие средства, фитотерапия, психотерапия.
Прогноз
Прогноз соединительнотканной дисплазии во многом зависит от степени выраженности диспластических нарушений. У пациентов с изолированными формами качество жизни может не нарушаться. У больных с полисистемным поражением повышен риск ранней и тяжелой инвалидизации, преждевременной смерти, причинами которой могут выступать фибрилляция желудочков, ТЭЛА, разрыв аневризмы аорты, геморрагический инсульт, тяжелые внутренние кровотечения и др.
Синдром Элерса — Данлоса: что это и как с ним жить

Удивительная гибкость, эластичная кожа и постоянная боль. Все это — проявления синдрома Элерса — Данлоса. Рассказываем о том, можно ли его вылечить и как люди с этим синдромом чувствуют себя в обществе
Что такое синдром Элерса — Данлоса
Синдром Элерса — Данлоса (Синдром Элерса-Данло, СЭД) — это группа наследственных заболеваний, которые поражают соединительные ткани: в первую очередь кожу, суставы и стенки кровеносных сосудов. Задача соединительной ткани — обеспечить прочность и эластичность основных структур тела. Синдром Элерса — Данлоса делает суставы слишком гибкими, а кожу — растяжимой и хрупкой. Это становится проблемой, если, например, образуется рана, на которую нужно наложить швы — кожа у человека с СЭД часто недостаточно прочна, чтобы удержать их. А более тяжелые формы СЭД могут даже привести к разрыву стенок кровеносных сосудов, кишечника или матки.
Вызывает все эти проявления генетическая проблема с выработкой коллагена — важнейшего белка мышц, кровеносных сосудов, костей и других органов. Люди с СЭД имеют дефектный ген, который приводит к «слабому» коллагену или недостаточному количеству нормального коллагена. Это нарушает способность соединительной ткани поддерживать мышцы и органы.
В зависимости от типа СЭД, дефектный ген может быть унаследован от одного или обоих родителей. Иногда он не наследуется, а проявляется у человека впервые.
По данным 2016-2017 годов, как минимум у 1 человека из 5 000 есть проявления СЭД, причем 80-90% проявлений — это подвижность суставов. По приблизительным оценкам, около 2 млн человек в Великобритании, 10 млн в США, 17 млн в Европе и 255 млн во всем мире могут иметь такой синдром. Некоторые из редких, тяжелых проявлений СЭД опасны для жизни.
Чтобы поддержать больных с такими формами синдрома, в 1985 году была основана международная некоммерческая организация «Общество Элерса — Данлоса» (Ehlers-Danlos Society). Общество помогает проводить научные исследования СЭД и работает над распространением информации о синдроме. Логотип Общества — зебра, произошел от известного на Западе выражения: «Когда слышишь стук копыт, думай, что это лошади, а не зебры». Подразумевается, что при постановке диагноза врачи часто не принимают во внимание необычные и малораспространенные заболевания. Нередки случаи, когда пациенту с СЭД ставят другие диагнозы, так как медицинские работники не осведомлены о признаках синдрома.
История открытия синдрома Элерса — Данлоса
Еще в 400 году до н.э., Гиппократ заметил, что у кочевников и скифов вокруг суставов имеются следы прижиганий. Он посчитал, что этими шрамами и рубцами кочевники хотят как-то зафиксировать слишком подвижные суставы. В 1657 году голландский врач Иов Янсзон ван Микерин описал юношу 23 лет с настолько эластичной кожей, что он мог растянуть ее от подбородка вниз до груди и от колена до середины голени. При этом такая эластичность была только у правой половины его тела.
В 1892 году врач Мясницкой больницы в Москве Андрей Черногубов представил первое подробное описание синдрома. Он рассказал о двух пациентов с повышенной мобильностью крупных суставов. Один из них был 17-летний молодой человек с эпилепсией, у которого была «хрупкость и гиперэластичность кожи, неспособность удерживать швы, гипермобильность и вывих суставов, а также псевдоопухоли коленей, локтей и других областей». В России долгое время синдром Элерса — Данлоса (СЭД) был известен как синдром Черногубова.
Позднее, в 1901 году, датский дерматолог Эдвард Лауриц Элерс опубликовал описание болезни пациента со слабыми суставами и гиперэластичностью кожи, с предрасположенностью к образованию синяков. Семь лет спустя французский врач Анри-Александр Данлос (Данло) проводил осмотр пациента с похожими симптомами. В 1936 году английский дерматолог Фредерик Паркер Вебер объединил все случаи с гиперэластичностью и хрупкостью кожи, а также подвижностью суставов под общим названием «синдром Элерса-Данлоса».
Как проявляется синдром Элерса — Данлоса
Как отмечает доктор медицинских наук, профессор, директор Института методологии профессионального развития Анатолий Стремоухов, классификаций СЭД много, но самая удобная для понимания синдрома — классификация по клиническим проявлениям заболевания. Согласно ей, выделяют 10 типов СЭД. Все они имеют свои наборы признаков, некоторые типы схожи между собой.
Например, тип I — классический, «тяжелая форма», диагностируется чаще, чем другие. При СЭД первого типа у человека очень эластичная растяжимая кожа, которая легко подвергается ранам, кровотечениям. Шрамы образуются быстро, а заживают медленно. У человека с первым типом СЭД очень подвижные суставы, возможен деформированный скелет. Для женщины велика опасность преждевременных родов.
Второй, «мягкий», тип похож на классический, но имеет менее выраженные проявления: нет такой хрупкости и эластичности, как в первом случае, а подвижность наблюдается только в области стоп и кистей.
Третий тип СЭД — «гипермобильный», когда эластичность кожи минимальна, а вот суставы гиперподвижны. Около 90% всех случаев СЭД приходится на гипермобильный тип.
Есть и другие, менее распространенные типы. Клиника Мэйо, один из крупнейших частных медицинских и исследовательских центров мира, выделяет признаки и симптомы СЭД, характерные для большинства типов:
- Чрезмерная подвижность суставов. Боль в суставах и вывихи — обычное явление.
- Эластичная и легко растягивающаяся кожа, которая к тому же может быть необычайно мягкой и бархатистой.
- Хрупкая легко повреждаемая кожа, которая плохо заживает, на ней остается много тонких шрамов.
Тяжесть этих проявлений меняется от человека к человеку и зависит от конкретного типа синдрома.
Как врачи выявляют синдром Элерса — Данлоса
Кливлендская клиника, крупный частный медицинский центр США, объясняет, как врачи определяют СЭД у пациентов:
- Генетическое тестирование как самый распространенный способ выявления дефектного гена.
- Биопсия — тест, во время которого врач берет образец кожи и рассматривает его под микроскопом в поисках признаков заболевания, таких как специфические гены и генные мутации (аномалии).
- Физический осмотр, при котором врач определяет, насколько сильно растягивается кожа и насколько подвижны суставы.
- Рентгеновские снимки и компьютерная томография позволяют получить изображения внутренних частей тела, на которых можно увидеть отклонения от нормы, проблемы с работой сердца, искривление костей.
В России диагноз СЭД ставят на основе визуального осмотра, а также с помощью ЭМГ — электромиографии, которая позволяет оценить состояние скелетных мышц и нервов. Для определения типа СЭД можно сделать анализы на типы коллагена: многие частные клиники предлагают анализы на выявление синдрома.
Как синдром Элерса — Данлоса влияет на жизнь
Синдром по-разному влияет на человека в течение жизни. У него могут быть диагностированы другие заболевания: неврологические, связанные с позвоночником или сердечно-сосудистой системой. Например, сосудистый тип синдрома может привести к разрыву кровеносных сосудов, что, в свою очередь, может вызвать внутреннее кровотечение или инсульт. У людей с этим типом также повышен риск разрыва органов.
- боль в суставах и мышцах, в определенные периоды довольно сильная;
- слабость соединительных тканей, что может приводит к образованию грыж;
- изнуряющая хроническая усталость, которая негативно влияет на умственные и физические способности;
- заболевания сердца и сосудов;
- расстройства желудочно-кишечного тракта;
- гинекологические проблемы.
Кроме того, человек с СЭД может чувствовать головокружение, ухудшение памяти и внимания, изменения в потоотделении, иметь психологические трудности.
Лечение синдрома Элерса — Данлоса
Синдром невозможно вылечить, но существует поддерживающая терапия, смягчающая проявления СЭД. Общество Элерса — Данлоса выделяет ключевые идеи такой терапии:
- Подход к проводимому лечению должен быть целостным, сфокусированным на осложнениях и желании пациента уменьшить те проявления, которые мешают ему полноценно жить.
- Не следует ждать мгновенных результатов: часто требуются месяцы регулярных упражнений, чтобы остановить ухудшение состояния. Могут пройти годы, прежде чем пациент почувствует уменьшение боли. Хроническую усталость, как и боль, можно уменьшить с помощью лечебной физкультуры, но происходит это очень медленно.
- Комплексное применение лекарств, физиотерапии и дополнительных процедур работает гораздо лучше, чем редкий прием одного или двух лекарств. Некоторым пациентам может требоваться продуманная и широкая программа по избавлению от хронической боли.
- Общая цель терапии — научиться держать боль под контролем, сделать ее терпимой, так как устранить полностью ее, скорее всего, не получится.
- Когнитивно-поведенческая терапия и психологическое консультирование должны быть частью терапии СЭД.
В России пациенты получают поддерживающую терапию в зависимости от типа синдрома. Неврологические и сосудистые препараты может выписать генетик, также могут быть прописаны физиопроцедуры, ЛФК, курс массажа. Что касается получения инвалидности по СЭД, то с этим непросто: чаще можно получить инвалидность по другому тяжелому сопутствующему СЭД заболеванию. По утверждению самих больных, инвалидность по СЭД все же можно получить, если из-за синдрома происходит ограничение жизнедеятельности.
Известные люди с синдромом Элерса — Данлоса
В прошлом людей с СЭД можно было увидеть в цирках и странствующих шоу. Их называли «Эластичная леди» или «Резиновый человек» — из-за их способностей растягивать свою кожу и удивительной гибкости. В 1880 была сделана первая фотография человека с СЭД: это был Феликс Верле, акробат с эластичной кожей, который, помимо прочего, мог выгибать ноги в обратную сторону. Еще об одном «резиновом человеке», Джеймсе Моррисе, даже сняли в 1902 году документальный фильм.

От синдрома страдали и некоторые известные люди — например, у скрипача-виртуоза Никколо Паганини были очень подвижные суставы и деформация грудной клетки, что, возможно, указывает на то, что у него тоже был СЭД.
Среди людей с синдромом есть артисты, модели, спортсмены. Американская певица Сиа поделилась, что живет с синдромом и страдает от хронической боли. А певица Мика Дельгадо, солистка поп-панк группы Yours Truly, даже записала песню о своем опыте жизни с СЭД.

Аллиза Сили — американская паратриатлонистка. После того, как в 2010 году у нее диагностировали синдром Элерса — Данлоса с сопутствующими заболеваниями, Сили прошла через ряд серьезных медицинских вмешательств, включая ампутацию левой ноги. Это не помешало ей завоевать золотую медаль в женском триатлоне на летних Паралимпийских играх 2016 года.
Синдром Элерса-Данлоса (Ehlers-Danlos) - синонимы, авторы, клиника
РНЦХ им. акад. Б.В. Петровского РАМН
РНЦХ им. акад. Б.В. Петровского РАМН, Москва
Отделение кардиохирургическое Российского научного центра хирургии им. акад. Б.В. Петровского, Москва, Россия
лаборатория медицинской генетики Российского научного центра хирургии им. акад. Б.В. Петровского, Москва, Россия
ФГБУ РНЦХ им. акад. Б.В. Петровского РАМН
Диагностика и хирургическое лечение больных с cосудистым типом синдрома Элерса—Данло
Журнал: Кардиология и сердечно-сосудистая хирургия. 2017;10(6): 79‑84
Чрезвычайные ситуации в сосудистой хирургии, связанные со спонтанными разрывами (СР) периферических артерий крупного и среднего диаметра, опасны для жизни и требуют своевременного неотложного лечения [1, 2]. Исследование Global Burden Disease [3, 4] продемонстрировало, что общее число летальных исходов по причине аневризм и расслоения аорты выросло с 2,49 на 100 000 до 2,78 на 100 000 случаев за период с 1990 по 2010 г.
Пациенты с наследственными дисплазиями соединительной ткани (НДСТ) в течение жизни могут неоднократно нуждаться в разных типах хирургических вмешательств, в первую очередь в реконструктивных вмешательствах на сосудах и сердце. НДСТ — клинически и генетически гетерогенная группа заболеваний, связанная с наследственными нарушениями синтеза и функционирования коллагеновых и эластических белков. Клиническая дифференциальная диагностика НДСТ чрезвычайно трудна вследствие сходства симптоматики. И если «марфаноидный фенотип» хорошо известен кардиологам и сосудистым хирургам, то внешний вид пациентов с сосудистым типом синдрома Элерса—Данло (СЭД IV) редко дифференцируется в клинике. Клиническая диагностика синдрома СЭД основана на Вильфраншских критериях 1998 г. [9]. Сбор семейного анамнеза и проведение ДНК-диагностики является необходимым этапом в подтверждении диагноза сосудистого типа СЭД [27]. Лабораторное тестирование рекомендуется лицам, имеющим два и более диагностических симптома. Верификация генетической причины заболевания у пробанда позволяет проводить подтверждающую, раннюю и пресимптоматическую диагностику заболевания (в том числе пренатальную по запросу семьи) у всех родственников, доступных для обследования [16]. Заболевание является полиорганным и жизнеугрожающим, вследствие риска разрыва сосудов среднего и крупного калибра, а также полых органов (кишечник, матка, мочевой пузырь). Продолжительность жизни больных значительно снижена, при естественном течении заболевания выживаемость к 50 годам не превышает 50% [5, 6]. Частота СЭД IV (MIM 130 050) составляет 1:250 000—1:100 000 населения, однако возможна недооценка истинной распространенности этого заболевания вследствие гиподиагностики [5].
В отечественной литературе мы не обнаружили случаев хирургического лечения пациентов с генетически подтвержденным СЭД IV типа [1, 2, 11]. В настоящей работе представлен пример мультидисциплинарного подхода, обеспечившего успешное лечение 2 пациентов с сочетанием хирургического лечения, таргетной терапии, а также медико-генетическим консультированием и ДНК-диагностикой пациентов с сосудистым типом СЭД.
Материал и методы
В отделении кардиохирургии № 1 (хирургии аорты и ее ветвей) Российского научного центра хирургии им. Б.В. Петровского за последние 10 лет было только 2 пациента с генетически подтвержденным СЭД IV типа, что составило 0,2% от всех больных с различными формами дисплазий, пролеченных за этот период. Всех пациентов с подозрением на НДСТ, госпитализированных в отделение, консультировали в лаборатории медицинской генетики ФГБНУ «Российский научный центр хирургии им. акад. Б.В. Петровского», что позволяло уточнить диагноз и корригировать дальнейшее лечение.
Клинические данные пациентов приведены в таблице. Таблица 1. Клинические характеристики пациентов Примечание. ЛПклА — левая подключичная артерия; ПА — почечная артерия; ВоА — восходящая аорта; АК — аортальный клапан; СР миокарда — спонтанный разрыв миокарда.
Больной З., 16 лет, поступил в ноябре 2010 г. для оперативного лечения в отделение хирургии аорты и ее ветвей РНЦХ им. акад. Б.В. Петровского.
Из анамнеза известно, что в ноябре 2008 г. почувствовал нарастающую боль в левом плечевом суставе, позже появилась пульсирующая припухлость. Госпитализирован бригадой СМП в больницу Сыктывкара, где диагностирован разрыв аневризмы левой подключичной артерии, с прорывом в левую плевральную полость, гемоторакс объемом до 2 л. Экстренно выполнено протезирование левой подключичной артерии. Через 6 мес после вмешательства при проведении планового обследования выявлен тромбоз протеза с признаками ишемии левой верхней конечности. В апреле 2010 г. по месту жительства в отделении микрохирургии предпринята попытка репротезирования, однако операция оказалась безуспешной ввиду выраженных изменений стенки подключичной артерии (резкое истончение, отсутствие эластичности). При гистологическом исследовании отмечалась очаговая аплазия мышечного слоя и отсутствие внутренней эластической мембраны артерии. Тогда же, по данным ангиографии, диагностирована аневризма правой почечной артерии.
При поступлении предьявлял жалобы на слабость и сильные боли в левой верхней конечности. Больной истощен (рост 170 см, масса тела 45 кг). Отмечается выраженная термоасимметрия верхних конечностей, а также гипотрофия, снижение силы и тонуса в левой верхней конечности.

Больной проконсультирован врачом-генетиком. При осмотре были выявлены признаки дисплазии соединительной ткани (рис. 1). Рис. 1. Особенности фенотипа, характерные для сосудистого типа СЭД. а — гипермобильность суставов кистей, б — «папиросные рубцы» после травмы.
Кожа гиперэластичная, тонкая, подкожные вены ясно видны под кожей грудной клетки, несколько «папиросных» рубцов, послеоперационные келоидные рубцы, гипотония лицевых мышц, выраженная гипермобильность суставов, искривление позвоночника, небольшое воронкообразное искривление грудины, плоскостопие обеих стоп, синдактилия II—IV пальцев стоп, небо высокое, неправильный рост зубов, в анамнезе пупочная и паховая грыжи. Отмечал частое появление подкожных гематом, усилившихся в последнее время. Указаний на заболевания печени, которые могли бы послужить причиной гипокоагуляции, в анамнезе или истории болезни не обнаружено. Характерный для сосудистого типа СЭД фенотип (узкий нос, тонкие губы), обусловленный снижением подкожного жирового слоя, не отмечался [5, 10]. Семейный анамнез не известен (ребенок усыновлен).

С целью подтверждения диагноза, последующего медико-генетического консультирования семьи и оценки риска хирургических осложнений был выполнен поиск мутаций в гене COL3A1 методом прямого секвенирования по Сенгеру, кодирующих участков и прилегающих интронных областей. Была выявлена замена p. Gly183Ser в 6-м экзоне гена COL3A1 в гетерозиготном состоянии, приведшая к появлению миссенс-мутации (рис. 2). Рис. 2. ДНК-диагностика сосудистого типа синдрома СЭД у пациента З. Фрагмент прямого секвенирования 6-го экзона гена COL3A1. Стрелкой указана мутация c.547G>A (p.Gly183Ser) в гетерозиготном состоянии.

Пациенту выполнено аутовенозное сонно-плечевое шунтирование слева. Вследствие выраженных изменений больших подкожных вен на обеих нижних конечностях (малый диаметр, сегментарная деструкция стенки) шунт сформирован из трех фрагментов, забранных с обеих нижних конечностей. Хирургическое вмешательство усложнилось наличием грубых рубцовых деформаций в этой зоне после двух ранее перенесенных реконструкций (рис. 3, а,). Рис. 3. Интраоперационное фото: а — послеоперационный рубец в месте предыдущих реконструкций; б — дистальный анастомоз с плечевой артерией; в — проксимальный анастомоз с левой общей сонной артерией; г — конечный вид реконструкции из надключичного доступа. Левая общая сонная артерия выделена из надключичного доступа, левая плечевая артерия эксплорирована в верхней трети плеча. Выполнен анастомоз аутовенозного шунта с плечевой артерией по типу конец в бок атравматической полипропиленовой нитью 6/0. Шунт проведен под малой и большой грудными мышцами и над ключицей к левой общей сонной артерии. Сформирован анастомоз шунта с левой общей сонной артерией по типу конец в бок атравматической полипропиленовой нитью 6/0 (см. рис. 3, б, в).
Послеоперационный период протекал без осложнений. При контрольном дуплексном сканировании сонно-плечевой аутовенозный шунт слева проходим, кровоток по шунту Vs=2,8 м/с. Больной выписан на 7-е сутки после операции. Протезирование почечной артерии по поводу аневризмы выполнено в дальнейшем по месту жительства.
Больной П., 46 лет, поступил для оперативного лечения в отделение хирургии аорты и ее ветвей РНЦХ им. акад. Б.В. Петровского с жалобами на периодические боли в области сердца, давящего характера, возникающие при физической нагрузке, учащенное сердцебиение.
Из анамнеза: три сотрясения головного мозга, ишемический инсульт, перевязка правой внутренней подвздошной артерии по причине разрыва ложной посттравматической аневризмы верхней ягодичной артерии. Семейный анамнез отягощен: родители умерли от сердечно-сосудистых заболеваний, сестра страдает варикозной болезнью с 15 лет.
При физикальном осмотре отмечаются признаки дисплазии соединительной ткани: кожа гиперэластичная, бархатистая на ощупь, «положительный симптом щипка», характерные потертости на коленях, «папиросные» рубцы, экхимозы, нарушение осанки, поперечное плоскостопие обеих стоп, высокое небо, неправильный рост зубов, выраженная гипермобильность суставов.

Заключение генетика: СЭД. Был выполнен поиск мутаций в гене COL3A1 методом прямого секвенирования по Сенгеру, кодирующих участков и прилегающих интронных областей (рис. 4). Рис. 4. ДНК-диагностика сосудистого типа синдрома СЭД у пациента П. Фрагмент прямого секвенирования 45-го экзона гена COL3A1. Стрелкой указана мутация c. 3301G>A (p.Gly1101Arg) в гетерозиготном состоянии.
По данным эхокардиографии диагностирован порок аортального клапана с аортальной недостаточностью 2—3 степени, кардиомегалия (КДР 6,5 см, КДО 220 мл). При Д.С. периферических артерий выявлена патологическая извитость и деформация хода внутренних сонных артерий с обеих сторон, наружные подвздошные артерии S-образно извиты.

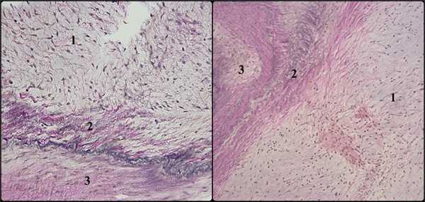
Пациенту выполнено протезирование аортального клапана механическим протезом. Из интраоперационных особенностей отмечается спонтанный разрыв корня аорты на 2/3 диаметра проксимальнее области аортотомного шва ввиду выраженной дисплазии тканей и повторное подключение аппарата И.К. Ткани взяты на гистологическое исследование (рис. 5). Рис. 5. Морфологическая картина дисплазии соединительной ткани аортального клапана и аорты: рыхлая соединительная ткань с явлениями дезорганизации и миксоматозом (1), истончение и неравномерное распределение эластических волокон (2), очаговый склероз (3). Окраска пикрофуксином по Ван-Гизону с докраской на эластические волокна — ×100 (а), × 50 (б).
Произведена пластика восходящей аорты ксеноперикардом с использованием тефлоновых полосок. Ранний послеоперационный период осложнился кровотечением с тампонадой сердца и гемотораксом после удаления дренажей на 2-е сутки. При ревизии перикарда и средостения отмечались спонтанные разрывы в области передней стенки правого желудочка и задней стенки левого желудочка. Раны ушиты на тефлоновых прокладках. Пациент выписан на 12-е сутки.
В течение жизни пациенты, имеющие клинические проявления сосудистого типа СЭД (аневризмы периферических и висцеральных артерий крупного и среднего диаметра, спонтанные разрывы полых органов в анамнезе, варикозную болезнь в молодом возрасте, каротидно-кавернозные фистулы, гипермобильность суставов, гиперэластичнось кожи, стрии, папиросные и келоидные рубцы, деформации грудной клетки, позвоночника, нижних конечностей, патология глаз, грыжи и т. п.), с высокой частотой попадают в хирургический стационар для оказания различных видов хирургической помощи [11]. Зачастую первичное вмешательство является неэффективным, как показано в первом клиническом примере, что связано в первую очередь с системной патологией, и поэтому требуются повторные операции [12]. Однако в отсутствие патогномоничных биомаркеров при стертых и неспецифичных клинических проявлениях клиническая диагностика НДСТ и оценка хирургических рисков только по фенотипическим особенностям очень субъективна. Поэтому «золотым стандартом» диагностики сосудистого типа СЭД является подтверждающая ДНК-диагностика (выявление мутаций в гене COL3A1), которая была впервые разработана в лаборатории медицинской генетики РНЦХ им. акад. Б.В. Петровского.
Коллаген III типа является основной структурной единицей в архитектонике соединительнотканного остова дермы, связок, сухожилий, капсул суставов, стенки аорты и крупных артерий, вен, подслизистого слоя полых органов, что напрямую коррелирует с широким спектром осложнений при IV типе СЭД [17]. Коллаген III типа принадлежит к гомотримерным фибриллярным коллагенам. Он формируется при сочетании трех мономеров или α-цепей белка-предшественника протоколлагена. Последовательность аминокислот тройной спирали характеризуется повторами Gly-X-Y последовательностей, где X и Y часто представлены пролином и гидроксипролином. Для того чтобы обеспечить правильное связывание α-мономеров и стабильность коллагеновых волокон, не должно быть перерывов в повторах глицин-X-Y триплетов, а длина тройной спирали должна оставаться одинаковой для каждой α-цепи. Поэтому практически все мутации, приводящие к замене глицина на другую аминокислоту (как у представленных пациентов), являются патогенными и приводят к снижению содержания коллагена III до 10—15% от нормы [14, 15]. Другие мутации в гене COL3A1, при которых содержание нормального коллагена составляет не менее 50%, ассоциированы с более мягким течением заболевания, более поздними сосудистыми осложнениями, отсутствием кишечных осложнений и лучшим долгосрочным прогнозом [16].
M. Pepin и соавт. [8] на когорте из 220 пациентов также доказали, что в 92% случаев причиной отсроченной смерти у пациентов с СЭД IV типа являлись сосудистые осложнения.
Варикозная болезнь часто встречается у данной категории пациентов, однако хирургическое лечение приводит в большинстве случаев к рецидивам. Разрыв кишечника чаще всего включает сигмовидную кишку.
Каждый пациент требует специализированного анестезиологического подхода [23]. Анестезиологические службы должны быть готовы к переливанию большого объема гемокомпонентов, сердечным аномалиям и порокам развития, требующим определенной оценки во время предоперационной подготовки [24]. Особое внимание стоит уделить нарушениям проводимости миокарда, вторичной митральной недостаточности и атриомегалии. Согласно руководству National Institute for Clinical Excellence, все постановки центральных венозных катетеров и артериальные пункции должны проводиться строго под УЗИ-контролем в целях снижения риска образования гематом, ложных аневризм, спонтанных разрывов сосудов [23]. В литературе описаны случаи эрозии сосудистой стенки в месте стояния катетера, осложненные эффузией крови в плевральную полость и перикард. Ввиду этого катетеры необходимо удалять как можно скорее [25]. Также персонал должен быть ориентирован на максимально прецизионную и бережную интубацию, ввиду склонности больных к кровоточивости и травматизации тканей. Обычная ларингоскопия может стать причиной травмы десен, слизистой полости рта, мягкого неба, вывиха височно-нижнечелюстного сустава. Рекомендовано использовать вспомогательную фиброоптическую бронхоскопию для интубации с целью минимизации травмы и определения точного положения интубационной трубки [26]. Любая фиксация катетеров, трубок, электродов может сопровождаться образованием экхимозов. При укладке больного возможна дислокация суставов. Все внутримышечные и подкожные инъекции могут сопровождаться образованием гематом [23].
Тип генетического повреждения и расположение мутации позволяют адекватно ориентировать врача на этапе планирования вмешательства с целью достижения максимально радикального результата хирургического лечения. Деликатное, атравматичное, прецизионное отношение к тканям, использование зажимов с мягким покрытием, баллонных окклюдеров, мягких ретракторов, тефлоновых прокладок при наложении анастомозов позволяют исключить осложнения в послеоперационном периоде.
В настоящее время разрабатывается новый подход к лечению, направленный на репрессию мутантного гена с использованием специфических аллельспецифичных малых интерферирующих РНК (siRNA). Эффективность такого подхода уже была показана в культуре кожных фибробластов больного с васкулярным типом СЭД, что может служить основой для разработки максимально персонализированной этиологической терапии этого заболевания [15].
Заключение
Подтвержденный диагноз сосудистого типа СЭД, как и почти любого системного заболевания, утяжеляет дальнейший прогноз даже при успешно выполненном хирургическом лечении и требует детального консультирования пациентов перед выпиской. Всем пациентам также рекомендовано динамическое наблюдение с ежегодными консультациями профильных специалистов. Предпочтения в диагностике стоит отдавать неинвазивным методам. Аутосомно-доминантный тип наследования сосудистого типа СЭД позволяет ожидать накопления заболевания в семье, что требует выполнения каскадного семейного скрининга. План динамического наблюдения и профилактики осложнений для родственников-носителей мутации в гене COL3A1 должен соответствовать программе мониторинга здоровья пациента.
X Международная студенческая научная конференция Студенческий научный форум - 2018

Актуальность. Синдром Элерса-Данло - наследственное системное заболевание соединительной ткани, которое вызывается генетической мутацией, влияющей на синтез коллагена. Основные клинические характеристики синдрома: врождённая гиперрастяжимость соединительной ткани в связи с нарушениями синтеза коллагена; клинические, биохимические, молекулярно-генетические типы.
Синдром Элерса-Данло - типичный пример разнолокусной гетерогенности. Все локусы, мутации в которых вызывают синдром, имеют отношение к синтезу белков волокнистых элементов соединительной ткани (главным образом коллагена). Коллагеновые волокна имеют неправильную форму и расположены неупорядоченно.
Данный вид синдрома передается генетически и наследуется от родителей к детям. Выделяют разные формы заболевания. Гиперэластичная кожа и гипермобильность суставов являются результатом генетических изменений, которые способствуют воспроизведению патологического протеина коллагена (обычный протеин, так называемый «клей» тканей).В 2001 году учеными была обнаружена новая форма данного вида синдрома, причиной которой является генетическая патология протеина, отличного от коллагена, который также играет роль при "склеивании" клеток ткани (включая кожу, сухожилия, мышцы и кровеносные сосуды). Патология этого протеина, называемого тинасцином, также приводит к появлению синдрома. Ученые полагают, что тинасцин может играть роль в регулировании нормальной дистрибуции коллагена в соединительных тканях тела.
Актуальность проблемы синдрома Элерса-Данло обусловлена присутствием нарушений, первичных или вторичных, во всех системах организма.
Цель: изучить развитие синдрома Элерса-Данло, этиологию, частоту встречаемости и патогенез, а также лечение.
Задачи:
Проанализировать этиологию и встречаемость болезни
2) Изучить патогенез и клиническую картину болезни
3) Рассмотреть лечение болезни
4) Разобрать мониторинг терапии и прогноз
Этиология и встречаемость
Классический тип заболевания наблюдается при мутациях в гене COL5A1, COL5A2 или COL1A1. Данные мутации влияют на синтез фибриллярных коллагенов I и V типа. Путь наследования — аутосомно-доминантный. Патология встречается с частотой 2 — 5 случаев на 100 000 населения.
Гиперподвижный тип возникает при мутации гена COL3A1 или гена TNXB, наследуется по аутосомно-доминантному типу и встречается с частотой 1:10 000 — 15 000.
Сосудистый тип развивается при наличии мутаций в гене COL3A1. Мутация передается по аутосомно-доминантному типу и вызывает нарушение синтеза проколлагена (коллаген типа III). Наблюдается у 1 человека на 100 000.
Кифосколиозный тип отличается аутосомно-рецессивным типом наследования и мутациями гена PLOD1. При данной мутации наблюдается дефицит лизингидролазы. Встречается редко - к настоящему времени описано всего около 60 случаев.
Артрохалазия вызывается мутациями генов COL1A1 или COL1A2, путь наследования - аутосомно-доминантный. Мутации затрагивают коллаген I типа (выявляются нарушения в местах расщепления проколлагена). Наблюдается крайне редко - к настоящему времени выявлено около 30 случаев.
Дерматоспараксис, при котором патологический процесс затрагивает преимущественно кожу. Это аутосомно-рецессивное расстройство вызывается мутацией гена ADAMTS2. Наблюдается крайне редко - зафиксировано всего около 10 случаев заболевания данного типа.
У 90% больных выявляется 1-3-й тип синдрома.
Патогенез и клиническая картина
Основой патогенетических процессов являются дегенеративные изменения соединительной ткани, которые вызываются нарушением биосинтеза коллагена.
Коллаген является группой близкородственных фибриллярных белков (известно 19 типов), в состав которых входят остатки нестандартных аминокислот (на 3-гидроксипролин, 4-гидроксипролин и 5-гидроксилизин приходится около 21 % от общего числа остатков).
Основные клинические характеристики синдрома Элерса-Данло обусловлены врождённой гиперрастяжимостью соединительной ткани в связи с нарушениями синтеза коллагена, обусловленными мутациями в разных генах коллагена. Идентифицировано (клинически, биохимически, молекулярно-генетически) 11 типов синдрома Элерса-Данло, которые с клинико-генетической точки зрения должны считаться самостоятельными нозологическими формами.
Синдром Элерса-Данло I типа
Дети с синдромом Элерса-Данло I типа должны находиться под регулярным наблюдением кардиолога. Проводится динамичный эхокардиографический контроль за состоянием митрального клапана и размером аорты. При нарушении процесса реполяризации в миокарде рекомендуется проведение курсов кардиотрофической терапии. Санация очагов инфекции и оперативные вмешательства должны проводиться на фоне антибактериальной терапии с целью профилактики инфекционного эндокардита.
Синдром Элерса-Данло II типа (классический тип)
Как и при I типе синдрома.
Синдром Элерса-Данло Ш типа (гипермобильный)
Синдром Элерса-Данло IV типа (сосудистый тип)
Специфическое лечение СЭД сосудистого типа в настоящее время отсутствует. Помимо симптоматического лечения проводятся профилактические мероприятия и генетическое консультирование. Пациентам следует рекомендовать носить с собой письмо или карту с указанием характера их болезни, группы крови и контактных данных врача. Пациентам и их семьям должна быть оказана психологическая помощь и поддержка. Следует избегать приема антиагрегантов, антикоагулянтов и препаратов, повышающих артериальное давление.
Синдром Элерса-Данло V типа
При развитии кардиомегалии, легочной гипертензии (не более 2 стадии), мерцания-трепетания предсердий показано протезирование клапана. В остальных случаях проводится консервативная терапия сердечными гликозидами, диуретиками, вазодилататорами. Всем детям должна проводиться антибактериальная профилактика инфекционного эндокардита.
Синдром Элерса-Данло VI типа (кифосколиоз)
См. синдром Элерса-Данлоса I типа.
Синдром Элерса-Данло VII типа (артроклазийная мультикомплексная миотония)
Специфическое лечение отсутствует.
Синдром Элерса-Данло VIII типа (тип дермоспараксис)
Синдром Элерса-Данло X типа
Сидром лечится в соответствие с теми проявлениями болезни, которые наблюдаются у каждого пациента в отдельности.
Важно не допускать какого-либо повреждения кожи, т.е. нужно ее защищать (от повреждений, травм, солнца). При травмировании необходим тщательный уход, как и при инфицировании. Наложение швов может быть очень трудным, т.к. кожа очень чувствительна.
Специфическая терапия болезни отсутствует.
Синдром Элерса — Данлоса для большинства типов отличается благоприятным прогнозом (серьезный прогноз только у классического типа из-за риска развития артропатий (вторичных поражений суставов) и сосудистого типа из-за риска разрывов сосудов и кровотечений).
Таким образом, мы изучили такое заболевание, как синдром Элерса-Данло. Выяснили, что данное заболевание вызывается генетической мутацией, влияющей на синтез коллагена в человеческом организме, что приводит к нарушениям во всех системах организма. Заболевание передается генетически от родителя к детям. Выделяется 11 типов болезни. Наиболее важными диагностическими признаками являются гиперэластичность кожи, подкожные узелки (сферулы), легче прощупываемые на передней поверхности голени, переразгибание суставов, повышенная ранимость тканей, симптомы геморрагического диатеза, пролапс митрального клапана. Поскольку специфического лечения синдрома Элерса - Данлоса не существует, терапия направлена на устранение симптомов заболевания. Прогноз заболевания для большинства типов благоприятный. Серьезный прогноз только у классического.
С.Д. Подымова. Болезни печени: Руководство. - 4 издание, переработанное и дополненное. - М.: ОАО «Издательство «Медицина», 2005. - 768 с.
. Т.М. Игнатова. Ранняя диагностика болезни Вильсона-Коновалова: радикальное улучшение прогноза. Врач, 2004, № 12
Журнал: Вестник молодого ученого №2 (9) 2013. Стр 35-44. Болезнь Вильсона: общие принципы терапии, лечение в специальных ситуациях, мониторинг терапии и прогноз.
Читайте также:
- Кроветворные ткани. Кроветворение в желточном мешке. Кроветворение в печени. Кроветворение в красном костном мозге и тимусе.
- Продукты распада урана. Поражающее действие продуктов деления урана
- Амелобластома: причины, симптомы и лечение
- Показания и противопоказания к тимпаноцентезу в детей
- Острота зрения в норме у плода и новорожденного
