Исследование на наличие врожденной дисплазии или вывиха бедра. Методы
Добавил пользователь Евгений Кузнецов Обновлено: 01.11.2025
Категории МКБ: Врожденный вывих бедра двусторонний (Q65.1), Врожденный вывих бедра неуточненный (Q65.2), Врожденный вывих бедра односторонний (Q65.0), Врожденный подвывих бедра двусторонний (Q65.4), Врожденный подвывих бедра односторонний (Q65.3), Коксартроз в результате дисплазии двусторонний (M16.2)
Общая информация
Краткое описание
Приложение 15 к приказу
Республики Беларусь
13.06.2006 №484
КЛИНИЧЕСКИЕ ПРОТОКОЛЫ
диагностики и хирургического лечения больных
с дисплазией тазобедренных суставов и болезнью Пертеса
1. Клинический протокол диагностики и хирургического лечения больных с дисплазией тазобедренного сустава.
1.1. Обоснование выбора методики лечения дисплазии тазобедренного сустава.
Проблема лечения диспластического тазобедренного сустава является одной из наиболее важных в современной ортопедии. Значительная частота данной патологии и ее ранние последствия в виде коксартроза и инвалидизации больных придают ей не только медицинскую, но и социальную значимость.
В большинстве случаев только своевременно проведенное реконструктивно-восстановительное вмешательство на костях таза и бедра позволяет предотвратить или замедлить развитие дегенеративно дистрофического процесса в тазобедренном суставе.
Выбор реконструктивно-восстановительного вмешательства у подростков и взрослых базируется на использовании классификации дисплазии тазобедренного сустава.
I тип - дисплазия с преобладанием тазового компонента патологии. Данный тип дисплазии характеризуется преимущественным недоразвитием вертлужной впадины. Ненормальности со стороны проксимального отдела бедренной кости весьма незначительны или полностью отсутствуют, шеечно-диафизарный угол и угол антеторсии остаются нормальными или близкими к норме.
II тип - дисплазия с преобладанием бедренного компонента патологии. Для второго типа дисплазии характерным является наличие отклонений со стороны проксимального отдела бедренной кости, выражающееся в избыточной антеторсии или увеличении шеечно-диафизарного угла (coxa valga). Вертлужная впадина поражена незначительно или развитие ее соответствует норме.
III тип - смешанная форма дисплазии с наличием отклонений одинаковой степени тяжести как со стороны вертлужной впадины, так и проксимального отдела бедра. При этом каждый из компонентов сустава может характеризоваться крайним недоразвитием, что в целом усугубляет тяжесть поражения сустава и ведет к быстрому развитию или прогрессированию коксартроза.
IY тип - это дисплазия, характеризующаяся многоплоскостной деформацией проксимального отдела бедренной кости и высоким стоянием большого вертела (вертельным компонентом). При этом артикуло- трохантерическая дистанция составляет 0,5 см и менее. Вертельный компонент может сочетаться как с тазовым, так и с бедренным компонентом дисплазии или одновременно с обоими.
I тип дисплазии имеет место в 50,4% наблюдений, II тип - в 17,1% наблюдений, III тип - в 12,2% наблюдений и IY тип - в 20,3 % наблюдений.
Для облегчения выбора тактики лечения следует использовать алгоритм лечебных мероприятий, в основе которого лежит данная классификация.
1.2. Показания и противопоказания к хирургическому лечению.
1.2.1. Показанием к операции служит инконгруэнтность суставных поверхностей, нарушение соотношений в тазобедренном суставе, нестабильность сустава, что проявляется уменьшением угла Виберга до 20° и менее, разрывом линии Шентона и латерализацией головки бедра. Вмешательство должно быть выполнено при отсутствии коксартроза или его начальных стадиях (не позднее I-II стадии процесса).
Показания к операции по международной статистической классификации болезней и проблем, связанных со здоровьем (10 пересмотр):
Врожденный вывих бедра односторонний (Q65.0);
Врожденный вывих бедра двусторонний (Q65.1);
Врожденный вывих бедра неуточненный (Q65.2);
Врожденный подвывих бедра односторонний (Q65.3);
Врожденный подвывих бедра двусторонний (Q65.4);
Коксартоз в результате дисплазии двусторонний (M16.2).
1.2.2. Противопоказания к хирургическому лечению делятся на абсолютные и относительные.
Абсолютными являются:
острые инфекционные заболевания;
хронические инфекционные заболевания в стадии обострения;
психические заболевания в стадии обострения;
острые соматические заболевания;
хронические соматические заболевания в стадии суб- и декомпенсации.
Относительные противопоказания:
хронические соматические заболевания в стадии ремиссии;
грубые анатомические изменения со стороны сочленяющихся поверхностей тазобедренного сустава.
2. Клинический протокол диагностики и хирургического лечения пациентов с болезнью Пертеса.
2.1. Обоснование выбора методики.
Болезнь Пертеса относится к группе остеохондропатий и характеризуется развитием аваскулярного некроза головки бедра. Заболевание проходит ряд стадий и часто заканчивается формированием грубой деформации головки бедренной кости с увеличением ее размеров с последующей вторичной деформацией вертлужной впадины, развитием подвывиха и относительной гипертрофией большого вертела. Возникшая ин конгруэнтность суставных поверхностей и нарушение соотношений в сочленении являются причиной развития раннего коксартроза и инвалидизации больного, что придает проблеме не только медицинскую, но и социальную значимость.
До последнего времени основным методов лечения являлся консервативный, однако его низкая эффективность, высокий процент неудовлетворительных результатов и невозможность восстановления нормальных соотношений в тазобедренном суставе привели к пересмотру в выборе тактики лечения. Практиковавшиеся ранее хирургические способы лечения (туннелезация шейки и головки бедренной кости, введение в шейку алло- и аутотрансплантатов, вмешательства на мягких тканях области тазобедренного сустава) так же оказались не способными изменить ситуацию в лучшую сторону кардинальным образом.
На сегодняшний день хирургическая тактика лечения на ранних стадиях процесса (II-III стадии) направлена на профилактику формирования деформации головки бедра и его подвывиха и базируется на принципе «перманентного матричного моделирования» головки бедренной кости вертлужной впадиной после выполнения тройной остеотомии таза.
В стадии исхода, когда соотношения в суставе уже нарушены и имеется деформация головки бедра задачей вмешательства является восстановления правильных соотношений в суставе и профилактика коксартроза. Наиболее перспективными вмешательствами при этом являются тройная остеотомия таза и комплекс многоцелевых остеотомий бедренной кости, включающий ротационные и двойные остеотомии.
2.2. Показания и противопоказания к хирургическому лечению.
2.2.1. Показанием к операции по международной статистической классификации болезней и проблем, связанных со здоровьем (10 пересмотр):
Болезнь Пертеса (M91.1).
Показанием к операции на ранних стадиях болезни Пертеса (II-III стадии) служит увеличение поперечного размера фрагментированной головки бедренной кости до размеров, превышающих протяженность впадины, что сопровождается формированием подвывиха.
Показанием к операции в стадии исхода болезни Пертеса являются инконгруэнтность суставных поверхностей, нарушение соотношений в тазобедренном суставе, снижение стабильности сустава (уменьшением угла Виберга менее 20°). Реконструктивно-восстановительное вмешательство должно быть выполнено при отсутствии коксартроза или на его начальных стадиях (не позднее I-II стадии коксартроза).
2.2.2. Противопоказания к хирургическому лечению делятся на абсолютные и относительные.
Абсолютные противопоказания:
острые инфекционные заболевания;
хронические инфекционные заболевания в стадии обострения;
психические заболевания в стадии обострения;
острые соматические заболевания;
хронические соматические заболевания в стадии суб- и декомпенсации.
Относительные противопоказания:
хронические соматические заболевания в стадии ремиссии;
грубые анатомические изменения со стороны сочленяющихся поверхностей тазобедренного сустава.
Диагностика
1.3. Дооперационное обследование.
1.3.1. Рентгенологическое обследование.
Рентгенография обоих тазобедренных суставов с захватом верхней трети обоих бедер на пленке 40/30 см - прямая, с отведением и внутренней ротацией, по Лауэнштейну, 24/30 см - боковые (пораженного сустава, по показаниям или ревизии 40/30 см) с расстояния 1-1,2 м рентгентрубки от кассеты. Рентгенография поясничного отдела позвоночника (2 проекции).
1.3.2. Лабораторное и функциональное обследование:
общий анализ крови;
общий анализ мочи;
анализ крови на группу и резус-фактор;
биохимическое исследование крови: общий белок и его фракции (а, в, у), билирубин (непрямой, прямой), глюкоза, мочевина, щелочная фосфатаза, аланинаминотрансфераза (далее-АлАТ), аспаспартатаминотранс- фераза (далее-АсАТ), электролиты (K, Na, Cl, Ca);
коагулограмма: протромбиновый индекс (далее-ПТИ), уровень фибриногена и активированного частичного тромбопластинового времени (далее-АЧТВ), тромбиновое время (далее-ТВ);
исследование крови на реакцию Вассермана (далее-RW); исследование функции внешнего дыхания (спирография); электрокардиография (далее-ЭКГ).
1.3.3. Дополнительное обследование (по показаниям):
компьтерная томография (далее-КТ) - в случаях многоплоскостной
деформации проксимального отдела бедра и вертлужной впадины;
магнитно-резонансная томография (далее-МРТ) - при подозрении на заинтересованность мягкотканных структур тазобедренного сустава и проксимального отдела бедра (при диагностической возможности стационара);
электромиография (далее-ЭМГ) конечностей; ультразвуковое исследование (далее-УЗИ) внутренних органов.
1.3.4. Клиническое консультирование и обследование врачей:
педиатра (терапевта), невролога, кардиолога, эндокринолога, гематолога и других специалистов по показаниям.
1.3.5. Анестезиологическое обследование.
Больной осматривается врачом-анестезиологом-реаниматологом после проведенного лабораторного и функционального обследования. По показаниям согласовывается проведение дополнительного обследования, консультирования смежными специалистами, выполнение подготовительных лечебных мероприятий.
2.3. Дооперационное обследование.
2.3.1. Рентгенологическое обследование.
Рентгенография обоих тазобедренных суставов с захватом верхней трети обоих бедер на пленке 40/30 см - прямая, с отведением и внутренней ротацией, по Лауэнштейну, 24/30 см - боковые (пораженного сустава, по показаниям или ревизии 40/30 см) с расстояния 1-1,2 м рентгентрубки от кассеты. Рентгенография поясничного отдела позвоночника (2 проекции).
2.3.2. Лабораторное и функциональное обследование:
общий анализ крови;
общий анализ мочи;
анализ крови на группу и резус-фактор;
коагулограмма: ПТИ, уровень фибриногена и АЧТВ;
биохимическое исследование крови: общий белок с его фракциями, АлАТ, АсАТ, билирубин с его фракциями, глюкоза, мочевина, электролиты (K, Na, Cl, Ca);
исследование крови на RW;
исследование функции внешнего дыхания (спирография);
ЭКГ.
2.3.3. Дополнительное обследование (по показаниям):
КТ - в случаях многоплоскостной деформации проксимального отдела бедра и вертлужной впадины;
МРТ - при подозрении на заинтересованность мягкотканых структур тазобедренного сустава и проксимального отдела бедра (при диагностической возможности стационара);
ЭМГ конечностей;
УЗИ внутренних органов.
2.3.4. Клиническое консультирование и обследование врачей:
педиатра (терапевта), невролога, кардиолога, эндокринолога, гематолога и других специалистов по показаниям.
2.3.5. Анестезиологическое обследование.
Больной осматривается врачом-анестезиологом-реаниматологом после проведенного лабораторного и функционального обследования. По показаниям согласовывается проведение дополнительного обследования, консультирования смежными специалистами, выполнение подготовительных лечебных мероприятий.
Лечение
Лучевые методы диагностики дисплазии тазобедренного сустава

Дисплазия тазобедренных суставов (ДТБС) (врожденный вывих бедра) — врожденное нарушение развития сустава. До сих пор эта патология является одной из наиболее сложных проблем ортопедии, более того, на фоне дисплазии часто формируется диспластический коксартроз — дегенеративно-дистрофическое заболевание, в 60 % случаев ведущее к снижению трудоспособности и в 11,5 % — к инвалидности. В связи с этим на первый план выходит ранняя диагностика заболевания, которую можно осуществлять при помощи нескольких лучевых методов. В данном обзоре были рассмотрены рентгенологический, ультразвуковой, метод компьютерной и магнитно-резонансной томографии с обсуждением достоинств и недостатков каждого.
Ключевые слова: дисплазия тазобедренных суставов, лучевые методы диагностики, схема Хильгенрейнера.
Дисплазия тазобедренных суставов (ДТБС) (врожденный вывих бедра) — врожденное нарушение развития сустава, заключающееся в дисконгруэнтности суставных поверхностей (головка бедренной кости, вертлужная впадина), их неправильном взаимном расположении [1, с.2].
До сих пор эта патология является одной из наиболее сложных проблем ортопедии, более того, на фоне дисплазии часто формируется диспластический коксартроз — дегенеративно-дистрофическое заболевание, в 60 % случаев ведущее к снижению трудоспособности и в 11,5 % — к инвалидности [2, с.6]. Важно отметить, что, при таком большом проценте участия заболевания в нарушении жизнедеятельности, до настоящего времени не установлены точные причины его развития. По мнению некоторых авторов, к таковым можно отнести сочетание примерно четырех факторов из ниже перечисленных: «преждевременное излитие околоплодных вод, ОРВИ в первом триместре беременности, курение матери, возраст матери моложе 20 лет, хронические заболевания органов малого таза, патология костно- мышечной системы у ближайших родственников, бактериальный вагиноз, анемия, токсоплазмоз, патология костно-мышечной системы у матери, тазовое предлежание плода во время беременности и в родах» [1, с.4].
В связи со столь низкой точностью прогноза на первый план выходит ранняя диагностика заболевания, которую можно осуществлять при помощи нескольких лучевых методов. Так, на первом месте по распространенности — рентгенологический метод. Он не позволяет оценить трехмерное строение сустава, но дает достаточно информации об изменении костных структур. У детей до 6 месяцев применение рентгенологического метода рекомендуется совместно с ультразвуковым методом диагностики, т к именно этот метод позволяет визуализировать большой объем хрящевой ткани, наблюдаемый у детей [1, с.54]. Помимо перечисленных, также используется методы компьютерной и магнитно-резонансной томографии, но они применяются не так широко и не в целях первичной установки диагноза.
В данной работе мы рассмотрим перечисленные методы диагностики дисплазии тазобедренного сустава, их достоинства и недостатки.
Рентгенологический метод
Помимо широкой диагностической ценности метода, стоит отметить, что выделенные 4 типа изучаемой патологии были установлены именно по рентгенологическим данным:
- первый тип, с преобладанием тазового компонента патологии: наличествуют диспластические изменения вертлужной впадины (впадина мелкая, неглубокая), а отклонения проксимального отдела бедра незначительны, или вообще отсутствуют;
- второй тип, с преобладанием бедренного компонента: деформация шейки бедра (антеторсия либо вальгусная деформация — см. рис 1-2); вертлужная впадина поражена незначительно, либо ее развитие нормальное;
- третий тип: выраженные отклонения и вертлужной впадины, и бедренного компонента сустава; при данном типе обе поверхности мгут быть сильно недоразвиты;
- четвертый тип: многоплоскостная деформация бедра.
Рис.1Нормальная торсия [3]
Рис.2 Антеторсия [3]
Как уже говорилось, хрящевая ткань в возрасте до 6 месяцев выполняет значительную часть сустава, в связи с чем медиальный отдел шейки, продольная ось костной её части, а тем более перпендикуляр к поверхности метафиза, занимают по отношению к анатомической оси более латеральное положение, чем ожидается увидеть. В связи с этим, рентгенологическим критерием правильности анатомических соотношений в тазобедренном суставе у детей до 6-месячного возраста является пересечение оси шейки с контуром крыши вертлужной впадины на уровне ее медиальной четверти (рис.3). Рентгенологическим признаком децентрации является направленность оси шейки бедренной кости (или перпендикуляра к метафизу) в пределах от границы медиальной и следующей четверти крыши до границы третьей и последней четвертей, подвывиха — на латеральную четверть крыши вертлужной впадины вплоть до касательного положения к ее латеральному краю. Пересечение оси шейки с латеральным краем надацетабулярной части подвздошной кости отражает состояние вывиха [4].

Рентгеновский снимок делают в положении ребенка на спине при вытянутых и параллельно уложенных ножках.
Исследование сустава проводится в трех проекциях:
- задней: анализируется положение суставных поверхностей во фронтальной плоскости (смещения головки бедренной кости кверху и кнаружи);
- аксиальной и крестцово-вертлужной: оцениваются смещения кпереди/кзади, а также исследуется сустав на предмет патологического поворота бедренной кости вокруг вертикальной оси [5, с.14]
Проводится измерение нескольких показателей в соответствии со схемой Хильгенрейнера (рис.4) [5, с.15-17]:
- величина ацетабулярного угла: это угол крыши вертлужной впадины, образованный в месте пересечения линии, проведенной через Y-образные хрящи, и касательной к верхнему краю вертлужной впадины. В норме у детей до 3х месяцев его величина находится между 30 о -20 о (значение в 20 о достигается примерно к 1 году)
- величина h: расстояние от горизонтальной линии Хильгенрейнера до наивысшей точки проксимального отдела бедра. В норме она симметрична с обеих сторон и примерно равна 9-12 мм. Свидетельством патологии является уменьшение этой величины
- величина d: расстояние от дна вертлужной впадины до величины h. В норме она также одинакова справа и слева и составляет не более 15 мм.
- Линия Шентона: дуга, соединяющая дистальный контур шейки бедра с нижней частью горизонтальной ветви лобковой кости. При малейшем смещении дуга искривляется и прерывается, что особенно заметно при вывихе.

Рис. 4 Схема Хильгенрейнера.
Ультразвуковое исследование
В настоящее время Американская Академия хирургов-ортопедов (AAOS) ультразвуковой метод считает равным по ценности рентгенологическому. Более того, именно исходя из данных УЗ-исследований формируется понятие о положительной динамики лечения патологии [6, с.1].
Техника исследования [7, с. 2-4]:
Так как хрящ — это гипоэхогенная мягкая ткань, ее легко визуализировать УЗ-методом. Вертлужная впадина представляет собой комплекс оссифицированной ткани и хрящевой, причем у новорожденных хрящевые перетяжки имеют форму буквы «Y». Большая часть хряща вертлужной впадины соответствует по сонографическим характеристикам головке бедренной кости, однако отделить эти два образования возможно. Как правило, при движении в суставе возникают микропузырьки синовиальной жидкости, позволяющие визуализировать границу между двумя суставными поверхностями. С латеральной стороны губы вертлужной впадины хрящевая ткань переходит в фиброзно-хрящевую, которая обладает повышенной эхогенностью и покрывает головку бедра сверху.
Точки оссификации начинают виднеться в головке бедра между 2ым-8ым месяцем жизни, причем у мальчиков обычно позже. С началом оссификации возрастает содержание кальция в костях, однако его еще недостаточно для четкой визуализации рентгенологическим методом, поэтому есть мнение, что УЗ-исследование является первоочередным для детей до 1 года (4 месяца добавлено для случаев с задержкой процесса окостенения).
Исследование направлено на определение трех показателей:
- позиция головки бедренной кости на предмет абдукции/аддукции. Описывается позиция как нормальная/смещенная/неправильная;
- стабильность таза при движении;
- степень развития компонентов сустава: глубина впадины, конфигурация суставных поверхностей. Обращается внимание не на углы, как при рентгенологическом исследовании, а на общее взаиморасположение.
Что касается самой техники исследования, оно проводится в трех проекциях:
- поперечная нейтральная (Transverse neutral view): датчик направляется горизонтально в вертлужную впадину, при этом исследуется место сочленения бедренной кости с ней, визуализируется центр сустава. Если сустав деформирован, между его поверхностями будет эхо от мягких тканей, размеры и выраженность которого зависят от степени мальформации
- поперечная изогнутая (Transverse flexion view): нога отводится из нейтральной позиции на 90 о , датчик устанавливается в заднелатеральном положении над суставом, исследуется головка бедренной кости (в норме имеет конфигурацию буквы “U”, которая максимально выражена при максимальном отведении, а при полном приведении ноги конфигурация может меняться на “V”)
- коронарная изогнутая (Coronal flexion view): положение пациента то же, что и в предыдущей проекции, а датчик перемещается на 90 о , исследуется вся полость сустава, в том числе взаимное расположение его частей и точки окостенения
Магнитно-резонансная томография
Метод магнитно-резонансной томографии (МРТ) в настоящее время получает все большее распространение, однако, ввиду своей высокой стоимости, все еще не используется как рутинное исследование. Тем не менее, многие патологические состояния таза могут быть идентифицированы на ранней стадии именно посредством МРТ, т. к. сустав включает большой процент мягких тканей. В настоящее время МРТ активно используется для разрешения спорных случаев: диференциации синовита от септического артрита и остеомиелита, диагностики воспалительных заболеваний сустава, опухолей кости, а также ранней диагностики и контроля болезни Пертеса (остеохондропатия головки бедренной кости) [8, с.8].
В случае ДТБС МРТ может использоваться в тяжелых случаях для уточнения информации перед хирургическим вмешательством, т. к. на МР-томограммах не только воспроизводятся все углы и прочие данные, что видны на рентгенограмме, но и визуализируется сустав в целом: рельеф поверхности головки бедренной кости, внутрисуставные взаимодействия, аномалии хрящевой ткани. Помимо этого, метод МРТ доказал свою непревзойденность в исследовании вертлужной впадины: дифференцировки разрывов губы от других видов повреждений, а также от вариантов нормы [8, с.9-10].
Пожалуй, единственная область заболеваний таза, где КТ является более эффективным, чем МРТ — это опухоли костной ткани, т. к. именно КТ позволяет судить в степени кальцификации и внутрикостных образованиях [8, с.10]. В остальном же, равно как и в случае ДТБС, КТ применяется мало, т. к. информативность метода не превышает ранее перечисленные, а лучевая нагрузка и стоимость намного больше, чем при рентгене и УЗИ. Однако, для справедливости, стоит сказать о данном методе и продемонстрировать его возможности. Например, КТ может быть использовано для точного измерения торсии и версии бедра. Нормальные значения торсии: у новорожденных — примерно 32 о , у взрослых 10 о -20 о ; нормальные величины версии: 5 о -25 о [8, с.11].
Заключение
Таким образом, в настоящее время существует несколько эффективных методов диагностики дисплазии тазобедренного сустава. Каждый из них должен применяться с учетом особенностей пациента (возраст, тяжесть состояния, степень дисплазии), о чем уже говорилось выше. Такой подход обеспечит наиболее раннюю диагностику, что, в свою очередь, обеспечит максимально возможный положительный прогноз для каждого конкретного пациента.
Основные термины (генерируются автоматически): бедренная кость, впадина, магнитно-резонансная томография, рентгенологический метод, сустав, хрящевая ткань, тазобедренный сустав, дегенеративно-дистрофическое заболевание, латеральный край, ранняя диагностика.
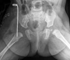
Методики хирургического лечения врожденного вывиха бедра у детей
Применяется у детей первого года жизни при неудаче консервативного лечения.
Раннее установление факта невправимости бедра консервативными способами и выполнение операции на первом году жизни дает возможность уменьшить травматичность хирургического вмешательства. Нет необходимости вмешиваться на костях таза и бедра.
Рентгенограммы больной Т., 10 месяцев. Диагноз: врожденный вывих бедра справа.



2. Открытое вправление бедра в сочетании с транспозицией вертлужной впадины (подвздошной остеотомией таза)
Применяется у детей старше 1 года в тех ситуациях, когда врожденный вывих бедра сочетается с выраженным недоразвитием вертлужной впадины.
Разработанная нами методика подвздошной остеотомии не требует использования трансплантата. То есть, при фиксации фрагментов остеотомии тазовой кости нет необходимости в использовании чужеродных тканей или заборе собственного костного трансплантата.
«Способ хирургического лечения детей с патологией тазобедренного сустава» (патент РФ на изобретение № 2405486 от 10.12.2010 г.)




3. Открытое вправление бедра в сочетании с подвздошной остеотомией таза по Salter и укорачивающей корригирующей (деторсионно-варизирующей) остеотомией бедра
В тех случаях, когда головка бедра смещена высоко относительно впадины, помимо собственного открытого вправления бедра возникает необходимость вмешательства как на тазовой, так и на бедренной кости - т.н. «классическая триада».
Операция применяется у детей от 2 до 6-7 лет и позволяет обеспечить хорошие отдаленные результаты лечения у большинства пациентов.
Вывих тазобедренного сустава причины, симптомы, методы лечения и профилактики
Вывих тазобедренного сустава — редкая травма, на долю которой приходится не более 5% от общего количества вывихов. Заключается в смещении суставных поверхностей костей. Формируется, как правило, после воздействия значительной травмирующей силы на высокой скорости. Также вывих может быть врождённым и связанным с дисплазией тазобедренного сустава, нарушениях его формирования во время внутриутробного развития. Для лечения травматических вывихов обратитесь к травматологу или хирургу.

Причины вывиха тазобедренного сустава
Вывих происходит в результате непрямой травмы, когда бедренная кость действует на область тазобедренного сустава, как рычаг. Из-за интенсивного воздействия головка кости разрывает суставную капсулу, травмирует связки и сама выходит из суставной впадины. Задний вывих чаще всего сопровождает дорожные аварии, когда повернута, согнутая или приведённая нога резко вращается или сгибается. Передний вывих характерный для падений со значительной высоты с приземлением на согнутую, отведённую и повернутую кнаружи ногу.
Статью проверил
Дата публикации: 24 Марта 2021 года
Дата проверки: 24 Марта 2021 года
Дата обновления: 24 Октября 2022 года
Содержание статьи
Симптомы вывиха тазобедренного сустава
- Происходит деформация поражённой области, травмированная нога занимает вынужденное положение;
- тазобедренный сустав меняет форму, что становится заметно визуально;
- пациент страдает от выраженной изматывающей боли;
- травмированная нога укорачивается, по сравнению со здоровой конечностью.
Как диагностировать
Врач ЦМРТ оценивает деформацию визуально, записывает жалобы пациента и проводит рентген, чтобы исключить костные повреждения:
МРТ (магнитно-резонансная томография)
УЗИ (ультразвуковое исследование)
Дуплексное сканирование
Компьютерная топография позвоночника Diers
Чек-ап (комплексное обследование организма)
КТ (компьютерная томография)
К какому врачу обратиться
Травматические вывихи лечат травматолог или хирург. Ребенка с врожденной патологией необходимо показать педиатру, который привлечёт к дальнейшему лечению ортопеда или других специалистов.
Как лечить вывих тазобедренного сустава
В ходе лечения вывиха тазобедренного сустава травматолог выполняет следующее:
- проводит вправление по методу Джанелидзе или Кохера с анестезией;
- накладывает скелетное вытяжение, которое нужно носить от 10 недель;
- назначает обезболивающие препараты;
- при развитии артроза подбирает медикаментозную терапию.
Последствия
При вывихе часто происходит повреждение сосудов, которые отвечают за питание головки кости. Без лечения эта травма чревата аваскулярным некрозом, разрушением костной ткани, сильной болью и невозможностью передвигаться.
Возможности ультразвуковой диагностики патологий тазобедренных суставов у детей в первые 6 месяцев жизни

Содержит актуальную клиническую информацию по ультрасонографии и ориентирован на врачей ультразвуковой диагностики, выходит с 1996 года.
Введение
Анатомически правильное строение тазобедренного сустава у детей первых дней жизни позволяет в дальнейшем ребенку удерживать туловище в вертикальном положении, ограничивать разгибание в тазобедренном суставе, обеспечивая правильную походку, возможность справляться с физическими нагрузками [1]. Тазобедренный сустав - это чашеобразный сустав (разновидность шаровидного), образован суставной поверхностью головки бедренной кости, которая покрыта гиалиновым хрящом на всем протяжении (кроме ямки) и вертлужной впадиной тазовой кости, покрытой хрящом только в области полулунной поверхности, а на остальном протяжении выполнена жировой клетчаткой и покрыта синовиальной мембраной [2].
Врожденная дисплазия тазобедренных суставов проявляется повышенной подвижностью, слабостью связочного аппарата, несформировавшейся вертлужной впадиной тазовой кости (плоская), в результате чего головка бедренной кости не занимает правильное положение в вертлужной впадине. Дисплазия проявляется к концу первого года жизни, когда ребенок начинает ходить (движения асимметричны и затруднены). Вывих тазобедренного сустава резко ограничивает движения и приводит к развитию калечащей походки, нарушению осанки с последующим искривлением позвоночника.
Проведение своевременного ультразвукового исследования (УЗИ) тазобедренных суставов у детей первых 3 мес жизни позволяет визуализировать структуры сустава, которые еще не подверглись оссификации. У детей в возрасте от 3 до 6 мес УЗИ дает возможность определения сроков оссификации без лучевой нагрузки, выявить дисплазию, определить правильную тактику лечения, провести курс терапии и наблюдать за развитием суставов в динамике.
Материалы и методы
УЗИ тазобедренных суставов было проведено 395 детям в возрасте до 6 мес по методу Г. Рейнгарда [3] с одновременной оценкой развития костно-хрящевого соотношения сустава, определением сонографических типов тазобедренных суставов.
Результаты
В ходе обследования тазобедренных суставов у 395 детей были выявлены следующие типы тазобедренных суставов.
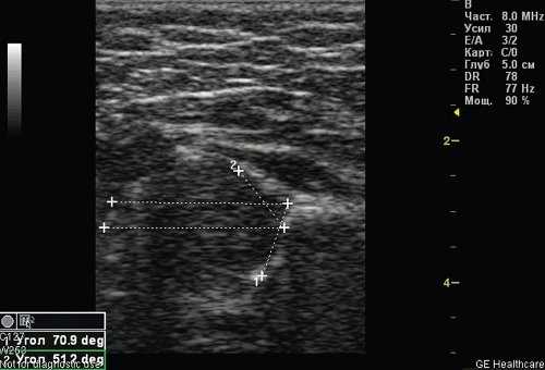
По результатам УЗИ у 286 (72,41%) детей диагностированы типы 1а и 1б тазобедренных суставов (по Г. Рейнгарду). Клинически и сонографически типы 1а и 1б соответствуют возрасту ребенка - это здоровые суставы. Костная часть вертлужной впадины хорошо определяется, костный эркер слегка сглажен или прямоугольный, хрящевая часть крыши охватывает головку бедренной кости, костно-хрящевое соотношение больше или равно 2/3. Угол α больше или равен 60°. Угол β меньше 55° - тип 1а (рис. 1); угол β больше 55° - тип 1б.

Рис. 1. Тазобедренный сустав тип 1а.
1 - угол α=70,9°;
2 - угол β=51,2°.
У 35 (4,81%) детей выявлена простая двусторонняя дисплазия тазобедренных суставов, без пространственных нарушений (рис. 2). В результате данной патологии происходит задержка сроков оссификации (формирования ядра), которая связана с пониженным содержанием кальция в организме ребенка (впоследствии при увеличении физической нагрузки на суставы, когда ребенок после 6 мес начинает сидеть и стоять, может произойти деформация головки бедренной кости).

Рис. 2. Простая дисплазия - задержка сроков оссификации без пространственных нарушений (ребенок 5 мес).
Тип 2а тазобедренных суставов (рис. 3) диагностирован у 46 (11,6%) детей. Это вариант физиологической задержки развития тазобедренных суставов у детей в возрасте до 12 нед, при котором угол α меньше 59°, но больше 50°, соответственно угол β больше 60°.

Рис. 3. Тазобедренный сустав тип 2а.
1 - угол α=55,9°;
2 - угол β=69,2°.
Тип 2б тазобедренных суставов выявлен у 25 (6,33%) детей - дисплазия тазобедренных суставов у детей старше 3 мес (рис. 4). Костная вертлужная впадина недостаточно развита, костный эркер закруглен, костнохрящевое соотношение меньше 2/3, хрящевая часть крыши охватывает головку бедренной кости. Угол α меньше 59°, но больше 50°, угол β больше 60°.

Рис. 4. Тазобедренный сустав тип 2б.
1 - угол α=53,4°;
2 - угол β=62,6°.
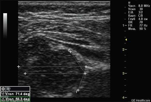
Тип 2с тазобедренных суставов (рис. 5) обнаружен у 2 (0,51%) детей. Это вариант тяжелой дисплазии в любом возрасте. Все составляющие сустава недоразвиты. Костная часть вертлужной впадины уплощена, костный эркер закруглен или плоский, хрящевая часть вертлужной впадины расширена, но еще охватывает головку бедра. Угол α меньше 49°, но больше 43°, угол β больше 65°, но меньше 72°. Такой тип суставов без соответствующего лечения, влечет прогрессирующее децентрирование головки бедра.

Рис. 5. Тазобедренный сустав тип 2с.
1 - угол α=46,0°;
2 - угол β=71,6°.
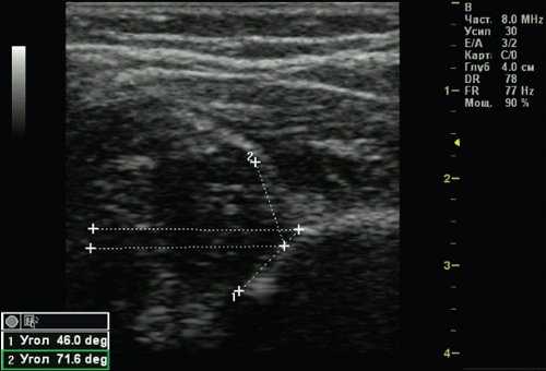
У 1 (0,25%) ребенка выявлен 3а тип тазобедренного сустава - врожденный вывих бедра (рис. 6). Костная часть вертлужной впадины и эркер плоские, хрящевая часть вертлужной впадины смещается краниально, так как головка бедра не может быть зафиксирована в вертлужной впадине, происходит ее децентрация. Структура хрящевой части крыши не изменена. Угол α меньше 43°.

Рис. 6. Тазобедренный сустав тип 3а.
1 - угол α=42,9°;
2 - угол β=79,3°.
Все 106 детей, с выявленной патологией, были направлены на консультацию к врачу-ортопеду. После курса физиотерапии, широкого пеленания, при необходимости, на контрольном УЗИ (50 детей), были выявлены следующие изменения:
- Из 8 детей с простой двусторонней дисплазией тазобедренных суставов, без пространственных нарушений, с задержкой сроков оссификации, у 2 изменений не наблюдалось, а у 6 детей сроки оссификации соответствовали возрасту.
- Из 25 детей с тазобедренными суставами типа 2а после проведенного курса лечения у 10 установлен тип 1а, у 7 - тип 1б, у 3 - тип 2б, у 5 детей имела место простая двусторонняя дисплазия тазобедренных суставов, без пространственных нарушений, с задержкой сроков оссификации.
- Из 17 детей с тазобедренными суставами типа 2б после проведенного курсалечения у 5 установлен тип 1а, у 7 - тип 1б, у 1 - тип 2б, у 4 детей сохранялась простая двусторонняя дисплазия тазобедренных суставов, без пространственных нарушений, с задержкой сроков оссификации.
В результате 35 (70%) детей со своевременно диагностированной патологией после проведенной терапии имеют здоровые суставы 1-го типа, 15 (30%) детей, с сохранившейся патологией были направлены на повторный курс терапии.
Заключение
Проведенное исследование подтверждает необходимость УЗИ тазобедренных суставов детям в возрасте до 6 мес в амбулаторных условиях, позволяющего избежать неоправданной лучевой нагрузки. Использование полученной информации дает возможность своевременного проведения корректирующей терапии для всех типов тазобедренных суставов в раннем периоде с последующим правильным их формированием.
Литература
- МакНелли Ю. Ультразвуковые исследования костномышечной системы: Практическое руководство. Издательский дом Видар-М, 2007. 400 с.
- Синельников Р.Д., Синельников Я.Р. Атлас анатомии человека.Учебное пособие. 2-е издание, стереотипное. В 4-х томах. Т. 1. М.: Медицина, 1996. 344 с.
- Рейнгард Г. Сонография тазобедренных суставов новорожденных. Диагностические и терапевтические аспекты: Руководство. 5-е издание // Сонографические типы тазобедренных суставов / Изд-во Том. ун-та, 2005. 196 с.
Журнал "SonoAce Ultrasound"
Читайте также:
