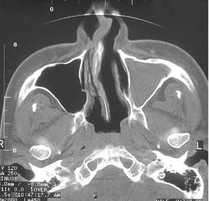
Исследование придаточных пазух носа. Осмотр и проекция пазух носа
Добавил пользователь Валентин П. Обновлено: 22.11.2025
Рентген — это широко применяемый тип исследования на специальном аппарате, который использует особый вид излучения. Он позволяет визуализировать какие-либо патологии, новообразования, полипы или травмы. Также данный тип обследования позволяет проверить, насколько успешно проходит лечение или восстановление после травм.
Показания к исследованию
Врач назначает рентген носа в следующих случаях:
- Постоянные головные боли, концентрирующиеся в области верхней части головы и глазниц
- Травма носа, челюсти, лба
- Не проходящая заложенность носа
- Появление внезапного дискомфорта в области глаз, переносицы на фоне высокой температуры и гнойных выделений
- Периодическое отделение крови из носа
Также данное обследование может быть назначено перед проведением стоматологического хирургического вмешательства в области верхней челюсти.
Рентген околоносовых пазух позволяет определить такие заболевания и нарушения, как:
- Злокачественные и доброкачественные новообразования, кисты и полипы
- Этмоидит
- Фронтит
- Гайморит
- Травмы и переломы костных стенок придаточной пазухи
Противопоказания к процедуре
К использованию данного обследования существуют следующие противопоказания:
- Период беременности и кормления грудью
- Возраст пациента менее семи лет (кроме ситуаций, сопровождающихся гнойным воспалением или переломом стенки пазухи)
- Периодичность использования — не чаще двух-трех раз в год
- Аллергия на йод (при необходимости проведения исследования с контрастированием)
По показаниям вместо рентгена пазух можно использовать МРТ или УЗИ.
Лучевая нагрузка у данного метода невелика, поэтому ограничений для его применения не много.
Как проводится исследование
Порядок действий при проведении рентгена носовых пазух таков:
- Перед процедурой необходимо снять различные металлические предметы: украшения, съемные протезы, очки и т. п., чтобы избежать искажения изображения
- Пациент устраивается лежа или сидя на специальной кушетке, которая фиксирует положение головы во время анализа
- Затем верхнюю часть тела пациента накрывают фартуком, который препятствует ее облучению
- После этого в течение нескольких минут делается снимок в четырех проекциях:
- Снимок сбоку — показывает границы лобной, верхнечелюстной и клиновидной пазух; при этом больной открывает рот и касается подбородком экрана
- Подбородочно-черепная проекция — позволяет осмотреть клиновидную и стенки лобной пазухи
- Позиция Уотерса — демонстрирует строение передней части ячеек решетчатой пазухи и дна глазницы, верхнечелюстных пазух; больной прижимается к экрану подбородком и запрокидывает голову назад
- Задне-передняя проекция — показывает сверху решетчатую и лобную пазухи; пациент наклоняет голову вперед и прислоняется к экрану лбом и носом
- При необходимости может быть проведено обследование с контрастированием — в этом случае в пазухи вводится йодосодержащий раствор
Результаты исследования должен посмотреть квалифицированный специалист, который сможет правильно расшифровать снимки.
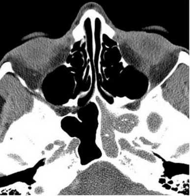
Нормальная рентгенологическая картина
При просмотре результатов рентгенограммы врач может определить наличие отклонений от нормы. В нормальном состоянии на снимке должны быть отображены следующие элементы:
- Треугольная носовая полость с носовыми раковинами и ходами должна быть симметрично разделена перегородкой пополам, при этом раковины выглядят теневыми областями, а ходы — осветленными
- Треугольные верхнечелюстные пазухи должны иметь четкие границы и располагаться по двум сторонам от полости
- Пространство между глазницами отображает решетчатую пазуху, разделенную тонкими стенками
- Над глазницами видны лобные пазухи, которые могут иметь костные перегородки и различную форму
Что может обнаружить рентгенолог
Результат обследования показывает различные отклонения, которые свидетельствуют о заболеваниях или травмах. Это такие нарушения, как:
- Светлое пятно круглой формы вне границы пазухи — свидетельствует о появлении кисты или другого подобного новообразования
- Утолщение стенок, сопровождающееся сужением просвета пазухи — является признаком хронического воспалительного процесса
- Перелом или искажение формы костной стенки, плотные фрагменты — признак травмы
- Плотное новообразование — показывает наличие опухоли
- Утолщение слизистой, жидкость в пазухе — являются признаками острого воспалительного процесса
При проведении исследования с контрастированием также определяются признаки синусита: как острой формы, так и хронической.
Преимущества и недостатки рентгена носовых пазух
Как и любой другой диагностический метод, рентген носа обладает положительными и отрицательными сторонами:
МРТ пазух носа что показывает

Магнитно-резонансная томография хорошо отражает структуру и состояние мягких тканей организма. Метод информативен относительно участков тела со сложной анатомией, сочетающих в себе рыхлые и плотные зоны, слизистые оболочки. Одной из таких структур является носоглотка. Здесь дыхательные ходы сообщаются с полостями в лицевых костях. Последние называют околоносовыми синусами, или придаточными пазухами. Изучить строение указанных структур при обычном осмотре нельзя. Состояние придаточных пазух оценивают с помощью визуализационных диагностических процедур.

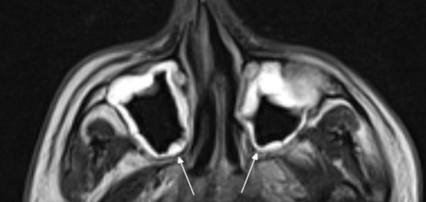
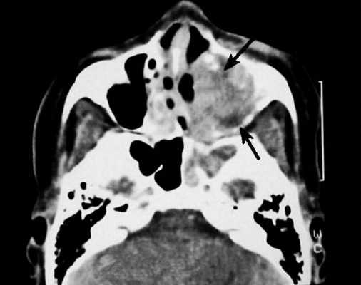
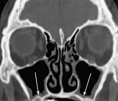
На снимке концентрическая воспалительная гипертрофия (указана стрелками) слизистой оболочки гайморовых пазух
Компьютерную томографию применяют для изучения строения костной ткани и выявления патологической жидкости в синусах носа. Исследование пазух на магнитном аппарате дает информацию о состоянии слизистых оболочек, отражает наличие новообразований. Отталкиваясь от того, что показывает МРТ пазух носа, врач может составить для пациента прогноз и назначить лечение. Процедура безопасна и высокоинформативна.
МРТ пазух носа, как делают?
Магнитно-резонансное сканирование проводят по записи. Диагностику можно пройти по собственной инициативе, без направления доктора. Но предварительная консультация с профильным специалистом предпочтительна и позволит избежать напрасной траты времени и средств.
В медицинский центр лучше прийти за 5-10 минут до сеанса, чтобы без спешки заполнить бланки. МРТ носа проходит в 3 этапа:
- Перед началом процедуры нужно снять с себя металлические предметы и электронные устройства (украшения, ремень, заколки, часы), одежду с замками, крючками, кнопками и другой фурнитурой. Аксессуары и личные вещи оставляют в кабинке. В диагностическом кабинете нужно лечь на платформу томографа, в целях безопасности мягкими ремешками фиксируют тело, положение головы стабилизируют с помощью специальной подставки. В руки пациента дают кнопку экстренной связи. Так как томограф работает шумно, на время обследования предлагают воспользоваться наушники. По завершении приготовлений пациент остается в кабинете МРТ один, но в любой момент может общаться с сотрудниками центра по двусторонней громкой связи. Врач контролирует ход процедуры через стекло из соседнего кабинета.

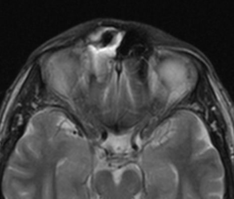
Концентрическая воспалительная гипертрофия ячеек решетчатой кости (указана стрелками)
- Сканирование (активный этап МРТ носовых пазух). Рентгенолог дает указание соблюдать неподвижность и включает томограф. Во время проведения процедуры лучше полностью расслабиться и успокоиться. Для профилактики искажения снимков нельзя двигаться, нежелательно открывать глаза. Сканирование длится 15 минут. При проведении МРТ с контрастным усилением процедуру прерывают для подачи усилителя. После внутривенной инъекции препарата работу томографа возобновляют. Применение контрастного вещества продлевает время исследования носовых пазух на 15 минут.
- Получение результатов. По завершении сканирования рентгенолог приступает к расшифровке снимков околоносовых пазух. Пациент может забрать личные вещи и провести время до выдачи результатов в холле ДЦ либо покинуть клинику и вернуться к моменту готовности заключения. Расшифровка МР-сканов занимает от 15 минут до часа. При выдаче результатов рентгенолог может кратко пояснить выявленные патологии, порекомендовать, к какому врачу стоит обратиться.
Показания и противопоказания к МРТ пазух носа
Магнитно-резонансную томографию проводят при симптомах аномалий строения синусов или развития в них патологического процесса. Поводами для назначения процедуры могут быть следующие ситуации:
- признаки поражения пазух, выявленные при риноскопии (патологическое отделяемое из соустий, гиперемия слизистой, новообразования в дыхательных путях);
- частые обострения хронического синусита;
- рецидивирующий ринит;
- головные боли невыясненного генеза;
- ощущение давления в области проекции пазух;
- носовые кровотечения;
- стекание слизи по задней стенке глотки;
- нарушение зрения;
- боль в области глазниц;
- слизистые или гнойные выделения из носа;
- травмы лицевого скелета;
- затрудненное носовое дыхание;
- утрата обоняния;
- недостаточно информативные результаты КТ.

МРТ пазух носа проводят для выявления неопластических процессов. Контрастное усиление помогает в предварительной дифференциации добро- и злокачественных опухолей, но окончательные выводы делают по заключению гистологического исследования тканей. Результаты томографического сканирования полости носа, лобных пазух, решетчатого лабиринта и других структур используют при планировании хирургических операций. Процедуру назначают для контроля эффективности лечения гайморита, фронтита и других заболеваний.
Абсолютными противопоказаниями к МР-сканированию являются:
- наличие в теле кардиостимулятора, генератора нервных импульсов, инсулиновой помпы;
- имплантаты из металла с ферромагнитными свойствами;
- аппарат Илизарова;
- общее тяжелое состояние больного и необходимость в проведении реанимационных мероприятий.
К относительным противопоказаниям причисляют те, при которых процедуру проводить нежелательно. В этом случае исследование откладывают на более благоприятное время или делают после определенной подготовки. Список относительных противопоказаний к МРТ пазух:
- вес более 130 кг и обхват туловища от 150 см (при необходимости процедуру проводят на открытом томографе);
- клаустрофобия (альтернатива — использование аппарата другого типа, наркоз);
Контрастное усиление противопоказано людям с декомпенсированной почечной и печеночной недостаточностью, во время вынашивания плода на любом сроке.

Магнитно-резонансная томография гайморовых синусов
Подготовка к МРТ придаточных пазух носа
Специфические мероприятия накануне не нужны. Следует подготовить документы (паспорт, направление, результаты других исследований, при наличии таковых). На процедуру лучше надеть вещи свободного кроя из приятных материалов, не стесняющих движения во время нахождения в туннеле томографа.
При наличии в теле имплантатов, установленных стоматологических конструкций (брекеты, протезы, вкладки) нужно подготовить документ с характеристикой изделия. Подойдет выписка из медицинской карты или паспорт. При отсутствии информации об имплантате вопрос о проведении процедуры решают коллегиально.
Подготовка к контрастной МРТ подразумевает легкий перекус за 40-45 минут до начала исследования. Можно съесть немного печенья, бутерброд, йогурт, банан. Такая мера ослабит или предотвратит вегетативные реакции организма на препарат.
Женщинам, поддерживающим лактацию, стоит позаботиться о запасе сцеженного молока или смеси для малыша. После введения контрастного препарата младенца нельзя прикладывать к груди на протяжении 6-12 часов (до выхода вещества).
КТ или МРТ носа, что лучше?

Слева — КТ-снимок одонтогенной кисты в верхнечелюстном синусе, справа — МР-фото образования (указано стрелкой) в гайморовой пазухе

Компьютерная и магнитно-резонансная томография отличаются по своей сути. КТ подразумевает воздействие на организм рентгеном. Изображение формируется в результате улавливания аппаратом Х-лучей, прошедших сквозь рассматриваемую анатомическую область. Плотные структуры организма в большей степени поглощают излучение, поэтому на снимках выглядят светлыми. КТ незаменима для исследования костей. Мягкие ткани лучше отображаются после введения контраста на основе йода. Компьютерная томография занимает несколько минут, поэтому востребована в экстренной медицине.
Магнитно-резонансное изображение измененной лобной пазухи
В основе МРТ лежит воздействие на организм магнитного поля, под влиянием которого меняется траектория движения протонов водорода. Томограф улавливает импульсы и преобразует их в картинку.
Водород есть в тканях, насыщенных жидкостью, поэтому МРТ детально показывает рыхлые структуры организма. Оборудование мощностью от 1,5 Тл дает подробные снимки изучаемой области. Изображения производят послойно, с шагом от 1-2 мм. Это позволяет выявлять патологические очаги размером от 3 мм.
МРТ пазух носа показывает мягкотканные элементы синусов. По характерным морфологическим изменениям, искажению сигнала, особенностям распределения контраста можно сделать выводы о наличии, распространенности и сути патологического процесса.
Магнитно-резонансная томография дает возможность изучить кровеносные сосуды без применения контраста. КТ и МРТ дополняют друг друга и применяются в различных ситуациях. Сочетание методов позволяет получить максимум сведений о патологических изменениях в носовых раковинах, костных тканях и рыхлых структурах синусов.

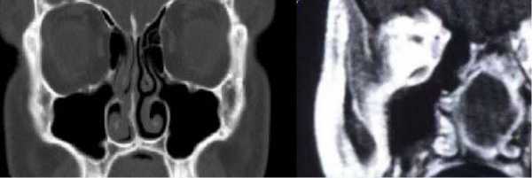
Пиоцеле (скопление гноя) задних клеток решетчатой кости
Строение пазух носа
Синусы — полости в лицевых костях, выстланные изнутри эпителиальной тканью. Данные анатомические структуры сообщаются с носоглоткой через небольшие отверстия (соустья), формируя единую систему.
Пазухи регулируют температуру, влажность, давление воздушного потока, направляющегося в нижние дыхательные пути. На слизистой оболочке носа и синусов задерживаются микрочастицы грязи и аллергенов, которые выводятся за счет движения ресничек мерцательного эпителия. Пазухи задействованы в формировании тембра голоса, анатомические особенности синусов определяют его уникальность для каждого человека.

Схематичное изображение синусов
Пазухи, расположенные в верхнечелюстных костях, называют гайморовыми, в лобных — фронтальными. Они парные. Есть основной синус, расположенный в клиновидной кости, и решетчатый лабиринт.
Инфекционно-воспалительные процессы слизистой оболочки носа распространяются на близлежащие ткани и провоцируют синусит. Хронические изменения предрасполагают к формированию новообразований в пазухах. Нарушения аэрации (насыщения воздухом) и дренажа полостей ведут к размножению патогенной микрофлоры с развитием гнойно-некротических изменений.
Пазухи находятся близко к внутричерепным структурам (мозг), зрительному аппарату, среднему и внутреннему уху. Без лечения острое воспаление в синусах может перейти в хроническую форму, распространиться на близлежащие ткани и вызвать серьезные осложнения.
Расшифровка томографии носа
При МРТ получают серию снимков интересующей анатомической области. На срезах различные структуры просматриваются в виде участков разных оттенков серого. Понять, что показывает МРТ придаточных пазух носа, без медицинского образования, совершенных знаний анатомии и опыта расшифровки снимков, невозможно. Изображения трактует врач-рентгенолог. Специалист оценивает анатомию пазух, выявляет отклонения от нормы, изучает особенности морфологии подозрительного участка, обращает внимание на изменение МР-сигнала на снимках, сделанных в разных плоскостях и режимах. Все наблюдения и выводы врач фиксирует в протоколе.
В заключении описывают характеристики патологического процесса, но не ставят окончательный диагноз. Этим занимается лечащий врач, используя результаты МРТ и других диагностических процедур. Магнитно-резонансная томография синусов помогает выявить изменения воспалительного характера, патологический выпот, аномалии строения носоглотки и сообщающихся пространств. Показывает доброкачественные образования (кисты, полипы), неопластические процессы.
Рентген пазух носа: особенности исследования
Расшифровка результатов рентгенологического исследования может быть следующей:
- норма (с учетом возраста пациента);
- наличие затемнений в околоносовых пазухах;
- утолщения;
- видимая травматизация или присутствие инородного тела.
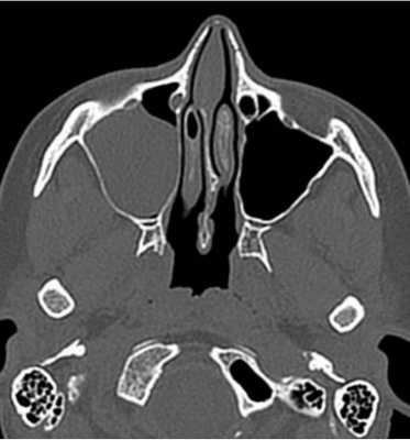
Норма
Рентген пазух носа здорового человека выглядит так:
- Носовая перегородка разделяет носовую полость на симметричные стороны треугольника.
- Белые полосы, проходящие справа и слева разделенной области — это носовые ходы.
- Треугольные полости по бокам носа — гайморовы пазухи.
- Между глазницами расположена решетчатая пазуха с тонкими стенками, ячейки которой должны хорошо просматриваться.
- Выше глазниц определяются лобные пазухи, которые могут иметь различную форму. Допускается их разделение костными перегородками.
- В пазухах должен находиться воздух. Их края, как и контуры костей, должны быть четкими и ровными.
Фото снимка здорового человека
Затемнения, полости и утолщения на снимке
О диагностировании патологии можно говорить, если снимки показывают следующее:
- затемнение участка;
- утолщение;
- наличие полости разной формы;
- деформация костной ткани.
Для острого воспаления характерны утолщение слизистой и деформация ее границ (при гнойном содержимом). Наличие и уровень жидкости устанавливаются по горизонтальному разграничению в пазухах. О составе содержимого рентген не расскажет, для этого понадобится сделать пункцию (прокол). Если воспаление носит хронический характер, слизистая утолщается, а просвет в пазухе становится меньше.
Синусит
Синусит на рентгеновском снимке выглядит как затемнение, которое имеет характерные отличия при различных патологиях.
Расшифровывать снимки следует так:
- При гиперпластическом синусите выражено утолщение слизистой непосредственно возле кости. При этом внутренний контур становится волнообразным, расплывчатым.
- При катаральном синусите отмечается утолщение стенок слизистой с полным или частичным затемнением. Наличие светлой полости в центре пазухи свидетельствует о хронизации процесса.
- При экссудативном синусите затемнение околоносовых пазух происходит с горизонтальным разграничением, отображающим уровень заполненности жидкостью.
- При вазомоторном и аллергическом синуситах отмечается выраженная отечность слизистой.
Гайморит
Гайморит представляет собой воспаление оболочек гайморовых пазух.
Диагностируется гайморит следующих видов:
- Экссудативный. Наличие жидкости в верхних пазухах с одной или двух сторон.
- Пристеночный. Локализация воспаления возле костных стенок. Края слизистой при этом деформированы и направлены вовнутрь пазухи.
- Полипозный. Наблюдается выпирание участков слизистой, которое может быть как единичным, так и множественным.
Новообразования и кисты в пазухах
Если снимки околоносовых пазух определяют полость с плотным содержимым, это свидетельствует о наличии добро- или злокачественного образования. В большинстве случаев новообразования находятся случайно при диагностировании других патологий.
Киста носовой пазухи определяется как светлый участок округлой формы, расположенный за пределами слизистой пазухи. Края у нее четкие и ровные.
Травмы костей
Если кость сломана или произошло смещение, это будет видно на рентгенограмме. Травмы костей на снимках могут отображаться как плотные фрагменты в пазухах. Снимок помогает установить место перелома и смещение отломков кости, если они присутствуют. Тяжелые переломы сопровождает кровотечение, которое будет отображаться жидкостью в носовых пазухах. Врач также может обнаружить старое повреждение, фиксирующееся на снимке в виде костной мозоли.
Инородные тела
Инородное тело на снимке имеет контуры в соответствии с тем, что конкретно попало в носовую полость. Как правило, это бусинки или другие предметы круглой формы, помещаемые детьми в нос. На рентгене они представляют собой участки разной затемненности.
Фотогалерея
Правосторонний гайморит Киста в левой гайморовой пазухе Синусит. Фронтальная и гайморовая пазухи Травма носовой полости
Как проходит и сколько длится процедура
Длительность исследования составляет несколько минут.
Делают рентгенографию в зависимости от показаний следующим образом:
- Пациент заходит в специальную комнату. Дети сопровождаются взрослыми.
- В положении стоя или сидя врач-рентгенолог фиксирует голову в нужном для получения снимка положении. Это может быть прямая или боковая плоскость, проекция подбородка, затылочно-лобной части или затылочно-подбородочной. Ребенку держит голову один из родителей.
- Необходимо сделать глубокий вдох и задержать дыхание на несколько секунд.
- Врач сообщит о завершении процедуры.
- Снимок проявляется в течение 15-20 минут.
Опасен ли рентген — рассказывается на видео от канала Жить Здорово.
Противопоказания к рентгенологическому обследованию
Рентген придаточных пазух имеет несколько противопоказаний. Этот метод запрещается делать:
- Беременным женщинам. Несмотря на то что исследование имеет небольшие показатели облучения, будущим мамам оно противопоказано вследствие сильной чувствительности плода к лучевой нагрузке. Применение рентгеновских аппаратов во время беременности может стать причиной появления врожденных дефектов у ребенка.
- Детям до 15 лет. Для пациентов младше этого возраста рентген носовых пазух может назначаться крайне редко, поскольку гамма-лучи могут негативно повлиять на рост костей ребенка.
- Людям, страдающим заболеваниями психического характера. В таких случаях больные не в состоянии зафиксировать голову и не двигаться несколько минут.
- За месяц до ЭКО. Самыми уязвимыми к облучению считаются клетки половой системы. Облученные сперматозоиды у мужчин и пораженная яйцеклетка женщины неспособны к зачатию. Поэтому гинекологи рекомендуют проходить рентген-исследование как минимум за месяц до экстракорпорального оплодотворения.
В очень редких случаях врач может выдать направление на рентгенографию детям до 15 лет и беременным женщинам. Но это происходит, если исследование оправдывает риск вероятного вреда, к которому способен привести диагностируемое заболевание.
Подготовка к рентгену
Подготовка к процедуре сводится к двум правилам:
- снять украшения и другие металлические предметы, расположенные в области головы (цепочка, серьги, заколки, обруч);
- надеть специальный фартук (свинцовый), который выдается непосредственно перед рентгеном.
Ограничений, связанных с приемом пищи или жидкости нет.
Следует уточнить, когда и как делать рентген при наблюдении болезни в динамике. Например, если пациент делает промывания околоносовых пазух методом «кукушка», рентгенография выполняется перед тем, как пазухи будут очищены от жидкости.
Что может выявить врач на рентгенограммах
Эта процедура дает широкие возможности для постановки и подтверждения различных заболеваний околоносовых синусов. Полученные снимки (рентгенограммы) помогают врачам визуализировать и рассмотреть такие анатомические части: лобные, гайморовые (верхнечелюстные) пазухи, решетчатый лабиринт, глазницы и кости лицевого черепа.

Воспаление гайморовых и лобных пазух
На рентгенограмме придаточных пазух носа можно обнаружить:
- дефекты в структуре органа и прилегающих мягких тканях;
- наличие некоторых воспалительных заболеваний: острый или хронический синусит, гайморит, фронтит, пансинусит;
- травматическое повреждение лицевого скелета,
- инородные предметы;
- опухолевые образования (доброкачественные и злокачественные), кисты носовой полости;
- искривление носовой перегородки;
- дефекты развития, врожденные и приобретенные аномалии ППН.
Метод используется повсеместно в практической работе врачей-отоларингологов и является основанием для постановки диагноза.
С помощью рентгенографии хорошо диагностируются болезни ЛОР-органов, травмы, наличие посторонних предметов. Эта методика позволяет визуализировать патологическое содержимое в околоносовых синусах, изменения слизистой оболочки, выстилающей пазухи (отечность, полипы и другие). В норме околоносовые пазухи заполнены воздухом и не отличаются от глазниц. Если в них есть жидкость (гной, кровь и др.), образуются затемнения (снижение пневматизации) с горизонтальной верхней границей.
Своевременно сделав снимок придаточных пазух носа, удается избежать осложнений, чреватых необратимыми последствиями, например, остеомиелита, менингита.
Признаки поражения пазух носа на рентгене
Расшифровка результатов исследования выглядит следующим образом:
Заболевание
Признаки
По краям стенок пазухи у кости можно увидеть утолщение и покраснение слизистой оболочки
Выявляют затемнение в области синуса, в котором определяется горизонтальный уровень жидкости
Визуализируется утолщение слизистой оболочки пазухи
Аллергический и вазомоторный синусит
Происходит увеличение толщины слизистой оболочки на кости. Аллергический процесс характеризуется различной и непостоянной картиной, поэтому для этой патологии исследование неинформативно
Хронический гайморит вне обострения — имеется четкая граница между слизистой и костью. Если определяется плавный переход границы — это признак хронического синусита в стадии обострения
Определяется полость округлой формы с правильными краями
Инородные тела в носу
Визуализируются формы и контуры различных инородных предметов
В месте нахождения опухоли наблюдается затемнение и уплотнение структуры окружающих мягких тканей
Что показывает КТ пазух носа? Как делают, КТ или МРТ что лучше?

Околоносовые пазухи (синусы) представляют собой углубления в костях черепа. Слизистые оболочки полостей чувствительны к воздействию бактерий и вирусов и часто воспаляются на фоне простуды, гриппа, хронических заболеваний, инфекций во рту. КТ носа - один из самых точных методов диагностики патологий на любых стадиях развития.
Синусы - сравнительно небольшие по размеру структуры, и для их изучения необходим диагностический прибор с высокой разрешающей способностью. Этому условию соответствуют МСКТ - современные мультиспиральные томографы. Приборы оснащены большим количеством излучателей и детекторов рентгеновских волн. За одно вращение сканирующей системы регистрируются сразу несколько срезов, что обеспечивает максимальную точность информации и сокращает время процедуры.

Тотальное заполнение жидкостью (кровью?) левой верхнечелюстной пазухи, повреждение носовой перегородки на компьютерной томограмме
Что показывает КТ пазух носа
Процедура КТ носа и околоносовых пазух дает возможность изучить строение анатомических структур и выявить особенности патологического процесса. Обследование рассматриваемой области на компьютерном томографе показывает:
деструктивные изменения и травматические повреждения лицевых костей;
утолщение слизистой оболочки носа и синусов;
искривление носовой перегородки;
воспаления внутри пазух (КТ покажет гайморит, фронтит, этмоидит, сфеноидит);
абсцессы носовой перегородки;
полипы, гранулемы, кисты слизистой оболочки воздухоносных полостей лицевого черепа;
опухоли в околоносовых пазухах;
скопление крови, экссудата, гноя в синусах;
дополнительные пустоты (соустья);
инородные тела в носовых ходах и костных углублениях;
кровоизлияния в пазухи и мягкие ткани;
стоматологические патологии (врастание корня или смещение зуба в гайморову пазуху);
воспаления в горле и носоглотке;
остеомиелит лицевых костей;

Киста в носовой пазухе
Как делают КТ пазух носа
Не все пациенты знают, что представляет собой КТ пазух носа, как делают процедуру, и насколько она безвредна. Как и любое рентгеновское обследование, компьютерная томография дает человеку определенную дозу радиации. Но при соблюдении мер предосторожности ухудшения здоровья можно не опасаться.
Обследование не причинит вреда, если пациент будет руководствоваться следующими принципами:
проходить КТ по направлению врача в случае недостаточной информативности иных диагностических методов;
принимать во внимание имеющиеся противопоказания;
учитывать суммарную дозу облучения при различных исследованиях в течение года;
при необходимости сделать повторный анализ рассматривать возможность не компьютерной диагностики, а МРТ (она считается безопасной даже для маленьких детей).
Томограф, на котором проводят КТ носа и околоносовых пазух, включает в себя передвижную кушетку и рентгеновскую установку. Устройство сканирует носовые пазухи, изображения поступают на компьютерный монитор, специалист их анализирует и занимается подготовкой описания.
Перед процедурой пациента просят снять с себя все, что содержит металл: очки, зубные протезы, шпильки, серьги, слуховой аппарат и прочее, чтобы избежать искажения снимков. Врач коротко рассказывает о КТ пазух носа - что это, сколько длится сеанс, как себя вести и что делать при появлении дискомфортных ощущений. Пациент располагается на кушетке, которую помещают в кольцо томографа. Сканирование занимает около 10 минут: все время необходимо лежать без движения.
Если требуется контрастирование, процедура состоит из двух частей. Сначала делают обычные снимки, затем обследование останавливают, вводят необходимый препарат и продолжают диагностику.
Компьютерная томография пазух абсолютно безболезненна. Единственный раздражающий фактор - характерные щелчки аппарата, но эта проблема легко решается при помощи противошумных вкладышей или наушников.

Фото: Процедура компьютерной томографии придаточных пазух носа
Подготовка к исследованию околоносовых пазух
Если не планируется применение контраста, КТ носа не требует никакой подготовки. Вам не надо будет соблюдать диету или менять привычный образ жизни.
Диагностику с контрастированием предваряет определение уровня креатинина в крови. Повышение показателей свидетельствует о проблемах с почками, при которых процедура противопоказана.

КТ с контрастом: процесс внутривенного введения усилителя - фото
Дополнительная подготовка рекомендуется женщинам в период лактации. После обследования с контрастом придется отказаться от двух кормлений подряд (молоко сцеживают и выливают). Лучше заранее позаботиться о запасах питания для малыша.
Что лучше - МРТ или КТ пазух носа
Многих пациентов интересует вопрос, что лучше - КТ или МРТ придаточных пазух носа. Данные способы диагностики решают разные задачи, поэтому выбор метода обследования зависит от конкретного случая.
В основе МРТ - влияние радиочастотных импульсов на объект, помещенный в магнитное поле высокой напряженности. С помощью этой технологии лучше всего изучать сплошные мягкие ткани. КТ применяет рентгеновское облучение, которое наиболее четко визуализирует кости и полые органы. К последним и относятся носовые пазухи.
Магнитную томографию делают:
для подтверждения/исключения перфорации дна гайморовой пазухи в результате травм или стоматологических заболеваний;
при подозрении на опухоль, полипы, кисту;
для оценки состояния слизистых оболочек синусов;
при головных болях неясного происхождения.
Также МРТ показывает воспалительные явления и кровоизлияния в околоносовые полости.

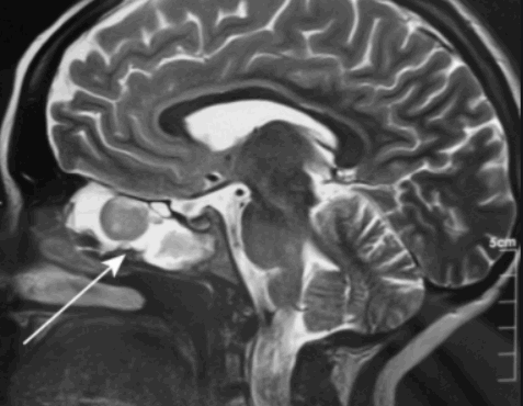
Магнитная томография околоносовых пазух: левосторонний сфеноидит
КТ-диагностику придаточных пазух делают при острых воспалениях, рецидивирующих синуситах. Исследование на компьютерном томографе покажет трещины и переломы лицевых костей, остеомиелит, осложнивший травму или стоматологическое заболевание, метастазы, распространившиеся из соседних анатомических участков.

Компьютерная томограмма носовых пазух: правосторонний гайморит
Отдавая предпочтение магнитно-резонансному обследованию или КТ носа, врач учитывает ограничения. МРТ не проводят при наличии на (в) теле элементов из металла. Происходящие в томографе процессы могут вызвать повреждение данных конструкций и самого аппарата. КТ пазух носа - это не магнит, а рентген. Металлические объекты не нарушают работу устройства, но могут проявиться на фото и спровоцировать погрешности в описании.
Из-за облучения к КТ-исследованию гайморовых пазух носа не допускаются беременные женщины (любая доза радиации вредна для плода). В такой ситуации лучший вариант - МРТ, диагностика проводится строго по показаниям.
КТ носа с контрастом
Мультиспиральные аппараты способны предоставить достаточно информации о костных структурах и присутствии в синусах жидкости, поэтому чаще КТ-анализ носа и околоносовых пазух делают без контраста. При подозрении на наличие опухоли необходимы более детальные изображения. Для повышения качества картинки применяют контрастирующее средство.
В вену вводят специальный препарат с йодом. Вещество быстро распространяется по тканям организма и окрашивает мельчайшие сосуды, включая те, которые питают новообразование. После новой серии КТ-снимков полости носа врач получает достоверные сведения о расположении и размерах опухоли, имеющей собственную сосудистую сетку. Выявляя очаги дополнительного кровоснабжения, спиральная томография (МСКТ) помогает обнаружить новообразования на начальных стадиях.

Плоскоклеточный рак на КТ носовых пазух с контрастом. Ткань опухоли отмечена длинной стрелкой, деструктивные изменения кости левого верхнечелюстного синуса - короткой.
Показания и противопоказания к томографии
Прежде всего, компьютерная томография пазух носа делается для диагностики воспалений слизистых оболочек, особенно при образовании гноя или рецидивирующем течении синусита.
Другие показания к проведению процедуры:
частые головные, лицевые, зубные боли на фоне заложенности носа и обильных выделений;
хронические простуды с регулярными обострениями;
повторяющиеся носовые кровотечения, не связанные с повышением артериального давления;
болевые ощущения, чувство распирания в области пазух;
затруднение носового дыхания;
воспаление носослезного канала;
подозрение на кисту, полип, абсцесс, опухоль;
орбитальные и внутричерепные осложнения инфекционных заболеваний ЛОР-органов;
попадание постороннего предмета в воздухоносную полость;
подозрение на кровоизлияние в пазухи;
отеки, боли в носовой области;
гранулемы, кисты около корней зубов верхней челюсти.
КТ полости носа и околоносовых пазух является важным мероприятием при планировании операций и контроле динамики после хирургического вмешательства. Обследования проводятся при неэффективности лечения синуситов с целью коррекции тактики терапии.
Противопоказания к компьютерной томографии:
ранний возраст (из-за вреда облучения КТ не рекомендуют делать детям до 5 лет);
вес пациента выше 150 кг и обхват груди (живота) больше 150 см.
Обследование с контрастом не проводится при:
аллергии, непереносимости йода;
гиперфункции щитовидной железы;
тяжелой печеночной либо почечной недостаточности;
приеме метформина больными сахарным диабетом.

КТ носовых пазух (фронтальный срез). Стрелками отмечено утолщение слизистых оболочек
Фото томографии пазух носа
Снимки МСКТ показывают контуры, структуру, плотность всех частей пазух. По фото врач может произвести оценку:
расположения носовой перегородки;
путей дренирования синусов;
симметричности сторон носа и пазух;
степени пневматизации придаточных полостей;
состояния слезных протоков.
КТ дает изображения в поперечной (аксиальной) проекции. В специальной программе фото можно увеличить и рассмотреть мельчайшие детали. При помощи реформатирования рентгенолог реконструирует картинку в желаемой анатомической плоскости. Чаще всего это две дополнительные проекции - корональная (фронтальная) и сагиттальная (делит объект на левую и правую части). Также есть возможность создать объемную модель, отрезать «лишние» фрагменты, что упрощает изучение области интереса и облегчает трактовку данных.

Процесс оценки врачом компьютерной томограммы
КТ или МРТ пазух носа
У нас есть услуга «второе мнение». В клинику можно обратиться с уже описанными снимками или просто принести томограммы и получить консультацию по результатам КТ или МРТ придаточных пазух носа.
КТ носоглотки

КТ носоглотки - неинвазивное усовершенствованное рентгенологическое исследование, которое позволяет дать оценку неопластическим болезням носа, околоносовых пазух, парафарингеального пространства. Компьютерная томография - преимущественный по сравнению с МРТ способ визуализации зон с тонкими костными структурами (околоносовые пазухи, орбита). Для диагностики патологических процессов в областях с преобладанием мягких тканей необходимо выполнение контрастирования или проведение магнитно-резонансного сканирования. Компьютерная томография носоглотки выдает последовательные объемные изображения, выстраиваемые с помощью специальной программы. Это значительно упрощает диагностику и позволяет быстро и точно установить причину недуга.
Что показывает КТ носоглотки и пазух носа?

Анатомическое строение носоглотки и гортани
Носоглотка может быть вовлечена в ряд патологических процессов, врожденных или приобретенных. Киста Торнвальдта, базальные энцефалоцеле, эпидермоиды, дермоиды, гамартромы, аденоиды развивают неприятную симптоматику, которая требует своевременной установки диагноза и соответствующего лечения. В носоглотку и пазухи носа могут распространяться патологии из соседних областей. Ранняя диагностика особенно важна в определении злокачественных опухолевых процессов, ведь радикальная терапия осуществима на начальных стадиях заболевания.
КТ носоглотки и пазух носа показывает:
Воспаление. Поражение аденоидов (разрастание лимфоидной ткани), распространение патогенной микрофлоры из пазух носа или из очага остеомиелита основания черепа, грибковые или гранулематозные инфекции (туберкулез, сифилис) можно предположить по результатам исследования. Данные патологии развиваются на фоне иммуносупрессивных состояний (ВИЧ, сахарный диабет, получение терапии, подавляющей иммунитет и пр.). Компьютерное сканирование является радиологическим исследованием выбора при оценке околоносовых пазух у пациента с синуситами.
Новообразования. Назофарингеальная карцинома - наиболее часто встречающаяся опухоль в носоглотке, составляет около 80% известных злокачественных поражений. Второе место занимают лимфомы. К редким злокачественным новообразованиям относят меланомы, рабдомиосаркомы, опухоли слюнных желез. Доброкачественное течение имеет ювенильная назофарингеальная ангиофиброма, гемангиома, инвертируемая (переходно-клеточная) папиллома. По данным КТ носоглотки рентгенолог может только предположить опухолевый процесс, окончательный диагноз устанавливают по результатам патоморфологического исследования.
Врожденные аномалии. Атрезия хоан нарушает процесс формирования носа и околоносовых пазух. На томограммах видно, если формирующие лицевой скелет структуры соединены неполно или разобщены, что привело к пороку развития. Аномалии: агенезия (отсутствие какого-либо элемента наружного носа или внутренних структур), гипергенезия (избыток тканей), дисгенезия (ассиметрия, искривление) и пр.) видны у ребенка с рождения. КТ носоглотки у детей выполняют в качестве предоперационной диагностики.
Компьютерная томография незаменима при получении травмы, инородном теле в носовой пазухе, носоглотке или гортани, так как быстрота получения результата помогает сэкономить время. Онкологи могут назначить компьютерное сканирование для отслеживания динамики после терапии, так как КТ может показывать даже мельчайшие изменения.
Как делают КТ носоглотки

Положение пациента при исследовании на компьютерном томографе
В Санкт-Петербурге сделать КТ носоглотки можно в диагностическом центре “Магнит”. Исследование проводят по предварительной записи или по экстренным показаниям в день обращения, что нужно согласовать заранее. Перед диагностикой выясняют сопутствующие заболевания, собирают аллергоанамнез (при планируемом контрастировании). Техник укладывает пациента на стол, придает необходимое положение, обеспечивает неподвижность. Наблюдение ведется из смежной комнаты с окном. Общение с персоналом осуществляется по громкой связи. Процедура запускается с помощью специальной кнопки, и стол томографа скользит вглубь тоннеля. Вокруг тела начинают вращаться датчики, полученная информация автоматически передается на компьютер. Если выполняют КТ носоглотки с контрастированием, в середине исследования внутривенно вводят радиофармпрепарат. Длительность диагностической процедуры - 15-20 минут. Каких-либо болевых ощущений нет. После окончания можно заняться привычными делами. Лучевая нагрузка при КТ на современных томографах минимальна и не приводит к развитию неблагоприятных последствий. Полученная в результате исследования информация может быть сохранена на любой электронный носитель или распечатана.
КТ или МРТ носоглотки, что лучше?

КТ (справа) и МРТ (слева) носовых пазух в коронарной проекции - фото
МРТ не подразумевает использование радиации для диагностики, поэтому более широко применяется у беременных женщин и детей. К каждому исследованию есть перечень показаний и противопоказаний, но оба метода визуализации в большинстве наблюдений являются взаимодополняющими. КТ показана для пациентов с кардиостимуляторами, имплантами, так как магнитное поле может привести к поломке приборов.
Для оценки опухолей придаточных пазух чаще проводят и КТ, и МРТ. Компьютерная томография обеспечивает качественную визуализацию деталей костной ткани, анатомические ориентиры у основания черепа. Магнитно-резонансное сканирование, по сравнению с КТ, лучше дифференцирует опухоль мягких тканей от воспалительного или геморрагического процесса, внутричерепные осложнения и метастатическую инвазию. При лимфоаденопатии шеи более показательна КТ. Чтобы избежать ненужных затратных исследований, лучше, если конкретный тип диагностики указывает лечащий врач. Если Вы решили пройти исследование самостоятельно, специалисты центра “Магнит” подскажут подходящий с учетом конкретной ситуации способ визуализации.
Подготовка к исследованию носоглотки
Какой-либо глобальной подготовки к компьютерной томографии носоглотки и придаточных пазух носа не требуется. Предыдущие результаты исследований, выписки из стационара лучше принести с собой. Металлические предметы, включая ювелирные изделия, очки, заколки, зубные протезы, оказывают влияние на качество снимков. Поэтому вышеперечисленное лучше оставить дома или удалить до обследования.
Если планируется КТ с контрастированием, необходимо предоставить результат анализа крови на креатинин, не более чем 10-дневной давности. В диагностическом центре “Магнит” (Санкт-Петербург) это тестирование можно пройти непосредственно перед КТ. Для этого нужно явиться в клинику за 15 минут до начала диагностической процедуры.
Введение контраста иногда сопровождаться развитием вегетативных симптомов, уменьшить их проявления можно с помощью неплотного перекуса за 40 минут до сканирования. Пациенты с СД, принимающие Метформин и его аналоги, должны воздержаться от сахароснижающей терапии за 48 часов до диагностики: отмену препарата необходимо обязательно согласовать с эндокринологом! Кормящим мамам следует сделать запас молока на 2 раза, а для предотвращения мастита сцеживаться.
Показания и противопоказания

Перед КТ носоглотки скажите врачу о беременности, аллергии на йодсодержащий контраст
Если в результате обычной рентгенографии диагноз вызывает сомнения или требует уточнения, обосновано сделать КТ носоглотки. Исследование проводят в качестве предоперационной подготовки для оценки важных анатомических ориентиров и их вариаций. Перечислим жалобы, при которых показано проведение КТ:
тризм (неспособность нормально открыть рот за счет мышечного спазма);
кровянистые выделения из носа (из одной ноздри);
необъяснимые носовые кровотечения;
постоянная ринорея с неустановленной причиной;
боль в носу, заложенность;
аденоидный тип лица;
пальпируемые (увеличенные) регионарные лимфоузлы;
КТ носоглотки и гортани чаще выполняют пациентам для контроля стадии опухолевого процесса уже диагностированного и леченного рака носоглотки. Симптомы, при которых обоснована диагностика:
затруднение при приеме пищи или глотании;
чувство инородного тела в горле;
дискомфорт (онемение) в нижней части лица;
хрипота/изменение качества голоса;
боль в шее, ушах или челюстях.
Противопоказания к нативному КТ - детский возраст и беременность, к контрастированному компьютерному сканированию добавляются реакции гиперчувствительности на радиофармпрепарат и заболевания почек с повышением уровня креатинина. Для пациентов с выраженной степенью ожирения (больше 150 кг) закрытая КТ технически невыполнима, так как объем тела превышает размер тоннеля томографа.
КТ носоглотки ребенку

КТ околоносовых пазух ребенка с врожденной изолированной расщелиной неба во фронтальной и аксиальной проекциях - фото
Рентгенологические исследования в детском возрасте выполняют исключительно по жизненным показаниям, если результаты иных способов диагностики (эндоскопия, МРТ) требуют уточнения. Решение принимается коллегиально врачами нескольких специальностей. КТ носоглотки детям до 12 лет чаще проводят в отделениях лучевой диагностики при педиатрических клиниках. Не стоит отказываться от диагностики из-за ложных соображений о вреде для здоровья. В некоторых ситуациях (травма, подозрение на опухоль) последствия бездействия хуже выполненного КТ.
Фото томографии носоглотки
По результатам КТ любые вопросы можно задать рентгенологу, но окончательный диагноз установит лечащий врач с учетом совокупности данных выполненных исследований. Для специалиста фото томографии носоглотки привычно, опытный глаз может отличить норму от грубой патологии. Представим и Вашему вниманию снимки с объяснениями, чтобы понять суть одного из современных способов диагностики - компьютерной томографии:

Фото - Рак носоглотки, с распространением на окологлоточное пространство (стрелкой указана зона инвазии)
Читайте также:
