Причины приобретенных пороков сердца - симптомы, рекомендации
Добавил пользователь Евгений Кузнецов Обновлено: 11.12.2025
Врожденные пороки сердца - это возникшие внутриутробно (до рождения ребенка) анатомические дефекты сердца, его клапанного аппарата или его сосудов. Эти дефекты могут встречаться изолированно или в сочетании друг с другом.
Врожденный порок сердца может проявляться сразу после рождения ребенка или протекать скрыто. Врожденные пороки сердца встречаются с частотой 6-8 случаев на каждую тысячу родов, что составляет 30% от всех пороков развития. Они занимают первое место по смертности новорожденных и детей первого года жизни. После первого года жизни смертность резко снижается, и в период от 1 года до 15 лет погибают не более 5% детей. Понятно, что это большая и серьезная проблема.
Лечение врожденных сердечных аномалий возможно только хирургическим путем. Благодаря успехам кардиохирургии стали возможны сложные реконструктивные операции при ранее неоперабельных ВПС. В этих условиях основной задачей в организации помощи детям с ВПС является своевременная диагностика и оказание квалифицированной помощи в хирургической клинике.
Сердце - это, как бы внутренний насос, состоящий из мышц, который постоянно перекачивает кровь по сложной сети сосудов в нашем организме. Сердце состоит из четырех камер. Две верхних называют предсердиями, а две нижних камеры - желудочками. Кровь последовательно поступает из предсердий в желудочки, а затем в магистральные артерии благодаря четырем сердечным клапанам. Клапаны открываются и закрываются, пропуская кровь только в одном направлении. Поэтому, правильная и надежная работа сердца обусловлена правильным строением.
Причины возникновения врожденных пороков сердца
В небольшой части случаев врожденные пороки имеют генетическую природу, основными же причинами их развития считают внешние воздействия на формирование организма ребенка преимущественно в первом триместре беременности (вирусные, напр., краснуха, и другие заболевания матери, алкоголизм, наркомания, применение некоторых лекарственных средств, воздействие ионизирующего излучения - радиации и др.).
Одним из немаловажных факторов является также здоровье отца.
Проявления врожденных пороков сердца
При большом количестве разнообразных ВПС семь из них встречаются наиболее часто: дефект межжелудочковой перегородки (ДМЖП) - составляет около 20% всех случаев врождённых пороков сердца, а дефект межпредсердной перегородки (ДМПП), открытый артериальный проток (ОАП), коарктация аорты, стеноз аорты, стеноз легочной артерии и транспозиция крупных магистральных сосудов (ТКС) — по 10-15% каждый.
Существует более 100 различных врожденных пороков сердца. Классификаций их очень много, последняя классификация, использующаяся в России, соответствует Международной классификации болезней. Часто используется разделение пороков на синие, сопровождающиеся синюшностью кожи, и белые, при которых кожные покровы бледной окраски. К порокам синего типа относится тетрада Фалло, транспозиция магистральных сосудов, атрезия легочной артерии, к порокам белого типа - дефект межпредсердной перегородки, дефект межжелудочковой перегородки и другие.
Чем раньше выявлен врожденный порок сердца, тем больше надежды на своевременное его лечение. Врач может заподозрить наличие у ребенка порока сердца по нескольким признакам:
Ребенок при рождении или вскоре после рождения имеет голубой или синюшный цвет кожи, губ, ушных раковин. Или синюшность появляется при кормлении грудью, крике малыша. При белых пороках сердца может возникнуть побледнение кожи и похолодание конечностей.
Врач при прослушивании сердца выявляет шумы. Шум у ребенка не обязательный признак порока сердца, однако, он заставляет подробнее обследовать сердце.
У ребенка обнаруживают признаки сердечной недостаточности. Обычно это очень неблагоприятная ситуация.
Обнаруживаются изменения на электрокардиограмме, рентгеновских снимках, при эхокардиографическом исследовании.
Даже имея врожденный порок сердца, некоторое время после рождения ребёнок может выглядеть внешне вполне здоровым в течение первых десяти лет жизни. Однако в дальнейшем порок сердца начинает проявлять себя: ребенок отстает в физическом развитии, появляется одышка при физических нагрузках, бледность или даже синюшность кожи. Для установки истинного диагноза необходимо комплексное обследование сердца с применением современного высокотехнологичного дорогостоящего оборудования.
Осложнения
Врожденные пороки могут осложняться сердечной недостаточностью, бактериальным эндокардитом, ранними затяжными пневмониями на фоне застоя в малом круге кровообращения, высокой легочной гипертензией, синкопэ (кратковременная потеря сознания), стенокардитическим синдромом и инфарктом миокарда (наиболее характерны для стенозов аорты, аномального отхождения левой коронарной артерии), одышечно-цианотическими приступами.
Профилактика
Так как причины возникновения врождённых пороков сердца до сих пор мало изучены, сложно определить необходимые профилактические мероприятия, которые гарантировали бы предотвращение развития врождённых пороков сердца. Однако забота родителей о своем здоровье может значительно снизить риск появления врожденных заболеваний у ребенка.
Прогноз
При раннем выявлении и возможности радикального лечения прогноз относительно благоприятный. При отсутствии такой возможности — сомнительный или неблагоприятный.
Что может сделать Ваш врач?
Лечение ВПС принципиально можно поделить на хирургическое (в большинстве случаев оно единственное является радикальным) и терапевтическое (чаще является вспомогательным).
Чаще всего вопрос о хирургическом лечении ставиться еще до рождения ребенка, если это касается «синих пороков». Поэтому в таких случаях роды должны протекать в роддомах при кардиохирургических больницах.
Терапевтическое лечение необходимо, если сроки операции можно перенести на более поздний срок.
Если вопрос касается «бледных пороков», то лечение будет зависеть от того, как будет себя вести порок по мере роста ребенка. Скорее всего, все лечение будет терапевтическим.
Что можете сделать Вы?
Нужно предельно внимательно отнестись к своему здоровью и здоровью своего будущего ребенка. Прийти обдуманно к вопросу о продолжение рода.
Если Вы знаете, что в вашей семье или семье супруга/супруги есть родственники с пороками сердца, то есть вероятность того, что может родиться ребенок с пороком сердца.
Для того, чтобы не упустить такие моменты, беременной необходимо предупредить своего доктора об этом, проходить все УЗИ во время беременности.
Перед началом применения любого препарата посоветуйтесь со специалистом и ознакомьтесь с инструкцией по применению.
Недостаточность митрального клапана - симптомы и лечение
Что такое недостаточность митрального клапана? Причины возникновения, диагностику и методы лечения разберем в статье доктора Верещагиной Натальи Валентиновны, терапевта со стажем в 29 лет.
Над статьей доктора Верещагиной Натальи Валентиновны работали литературный редактор Вера Васина , научный редактор Сергей Федосов и шеф-редактор Лада Родчанина
Определение болезни. Причины заболевания
Недостаточность митрального клапана — порок, при котором из-за неполного смыкания створок клапана возникает обратный ток крови (регургитация) из левого желудочка в левое предсердие [8] .

Патология проявляется слабостью, головокружением, ощущением нехватки кислорода и утомлением, так как при заболевании нарушается кровоснабжение головного мозга. Без лечения тяжёлая регургитация митрального клапана может стать причиной сердечной недостаточности и нарушений сердечного ритма (аритмии).
Причины митральной недостаточности:
- ;
- бактериальный эндокардит;
- отложение солей кальция в тканях клапана;
- заболевания соединительной ткани — ревматоидный артрит, системная красная волчанка, склеродермия, синдромы Марфана и Элерса-Данло;
- травматический отрыв створок клапана при тяжёлой физической нагрузке;
- травмы при хирургических операциях на клапане;
- утолщение створок клапана;
- опухоли предсердия;
- лучевая терапия [8] .
Митральная недостаточность находится на первом месте среди всех приобретённых клапанных пороков сердца. Патология редко встречается изолированно, зачастую она сочетается с митральным стенозом и с пороками аортального клапана. Распространённость недостаточности митрального клапана в сочетании с пролапсом митрального клапана среди населения составляет 2-6 % [15] .
При обнаружении схожих симптомов проконсультируйтесь у врача. Не занимайтесь самолечением - это опасно для вашего здоровья!
Симптомы недостаточности митрального клапана
Симптомы заболевания:
- общая слабость и головокружение;
- учащённое сердцебиение;
- одышка, возникающая даже при незначительных нагрузках;
- ноющие, давящие и колющие боли в сердце, которые могут отдавать в левое плечо и руку;
- "неудовлетворённость вдохом" — больной делает один вдох за другим, но ощущает нехватку воздуха и впадает в панику;
- частые простудные заболевания;
- кровотечения из носа и дёсен, длительные менструации у женщин;
- ухудшение памяти, панические атаки, тревога, мнительность (это связано с нехваткой снабжения головного мозга кислорода, нарушением обменных процессов и замедлением передачи импульсов между нейронами);
- дрожь в теле;
- частое появление синяков;
- дискомфорт при нахождении в закрытом и душном помещении, возможны обмороки;
Постоянная тревога часто приводит пациента на консультацию к психиатру или неврологу. Очень важно не допустить таких больных в профессиональный спорт, так как чрезмерные нагрузки могут вызвать смерть на тренировках и соревнованиях.
У пациенток с митральной недостаточностью во время беременности возможны перебои в работе сердца, особенно нежелательные при родах, но в основном беременность протекает без осложнений [3] [4] .
Патогенез недостаточности митрального клапана
Сердце человека состоит из четырёх камер: правое и левое предсердия, правый и левый желудочки. Между предсердиями и желудочками расположены входные клапаны — трикуспидальный и митральный. На выходе из желудочков находятся похожие по строению выходные клапаны — лёгочный и аортальный.

Клапаны имеют створки, которые открываются и закрываются во время сердечных сокращений. Иногда клапаны не открываются или не закрываются должным образом, при этом нарушается ток крови.
Митральный клапан состоит из двух створок и открывается, позволяя крови течь в левый желудочек. Затем клапан закрывается, чтобы кровь не текла обратно в левое предсердие. При митральной недостаточности этот клапан закрывается неплотно, в результате чего кровь попадает обратно в левое предсердие.
В патогенезе первичной или врождённой недостаточности митрального клапана важную роль играет хронический дефицит ионов магния. Нехватка магния приводит к тому, что фибробласты вырабатывают неполноценные эластин, коллаген и фибронектин, а также к нарушению свойств ферментов, регулирующих обмен коллагена. В результате нарушается строение и функции соединительных тканей сердца [14] .
Вторичная форма митральной недостаточности возникает в результате перенесённых заболеваний и травм. При патологии происходит расширение полости левого желудочка, прогибание створок митрального клапана, дисфункция сосочков мышц и разрыв сухожильных хорд, соединяющих клапаны с сосочковыми мышцами. Иногда причиной развития вторичной недостаточности митрального клапана становится кальциноз клапанного фиброзного кольца. Кальциноз митрального кольца — это хронический дегенеративный процесс, при котором происходит отложение кальция в кольце клапана. Митральное кольцо при кальцификации становится утолщённым и менее гибким. Хотя изначально кальциноз митрального клапана считался возрастным дегенеративным процессом, накапливаются данные о том, что его развитию способствуют атеросклероз и генетически обусловленные нарушения кальций-фосфорного обмена [16] .

Классификация и стадии развития недостаточности митрального клапана
В течении заболевания выделяют три периода:
- Компенсация дефекта клапана усиленной работой левого предсердия и левого желудочка. Это продолжительный период хорошего самочувствия, но уже на этой стадии начинают появляться первые характерные симптомы: слабость, головокружение, частые простудные заболевания, чувство нехватки воздуха, перебои в работе сердца, одышка.
- Развитие венозной митральной недостаточности. Больные жалуются на одышку и учащённое сердцебиение. При интенсивной физической нагрузке наблюдаются приступы сильной одышки и кровохарканье.
- Одышка уменьшается, но пациент ощущает тяжесть в правом подреберье. Появляются отёки, уменьшается количество мочи, набухают шейные вены. Кровохарканье усиливается, развивается отёк лёгких, возникают нарушения сердечного ритма (мерцательная аритмия и наджелудочковая экстрасистолия) и тромбоэмболические осложнения.
С учётом выраженности обратного тока крови выделяют четыре степени митральной недостаточности: с незначительной митральной регургитацией, с умеренной, выраженной и тяжёлой.
Стадии митральной недостаточности:
- Митральный возврат крови составляет 20-25 %. На этой стадии пациент здоров.
- Митральный возврат крови в пределах 25-50 % от систолического объёма крови. Развивается застой крови в лёгких второй степени. Появляются кашель, одышка, перебои в работе сердца.
- Выраженная недостаточность митрального клапана. Возврат крови в левое предсердие составляет 50-90 %. Возникают кашель, кровохарканье, приступы удушья, увеличивается печень, появляются отёки [8] .
Осложнения недостаточности митрального клапана
Осложнения порока:
- Кровохарканье и отёк лёгких. Проявляется одышкой, затруднённым вдохом, влажным кашлем. В мокроте появляется кровь. Температура тела повышается до субфебрильных ( 37-38 °C ) и фебрильных ( 38-39 °C ) значений. Необходима срочная госпитализация в отделение реанимации.
- Нарушения сердечного ритма в виде мерцательной аритмии и наджелудочковой экстрасистолии. Проявляются перебоями в работе сердца, головокружением, слабостью, обмороками. Требуется госпитализация в отделение кардиологии.
- Тромбоэмболические осложнения (тромбоз левого предсердия, сосудов кишечника, почек, головного мозга). Последствия будут зависеть от локализации тромба. При тромбозе сосудов головного мозга возможен инсульт. Если тромб находится в почках и сосудах кишечника, то пациент испытывает острые боли в животе. Необходима госпитализация в отделение реанимации [8][9] .

Диагностика недостаточности митрального клапана
При сборе анамнеза кардиолог уточняет:
- ощущает ли пациент нехватку воздуха при вдохе;
- беспокоят ли перебои в работе сердца;
- возникает ли одышка при незначительных физических нагрузках;
- мучает ли тревога, страх смерти, панические атаки.
При аускультации ("выслушивании" сердца) выявляется систолический шум у верхушки и над основанием сердца. Важное значение для диагностики митральной недостаточности имеет фонокардиография (ФКГ). ФКГ - это метод исследования работы сердечной мышцы, который основан на регистрации и последующем анализе звуков, возникающих во время работы сердца .
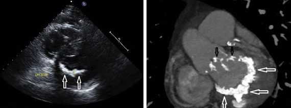
Другой важный инструментальный метод диагностики — эхокардиография (Эхо-КГ) . Эхо-КГ — это безболезненное ультразвуковое исследование, которое позволяет исследовать работу сердца в реальном времени. Эхокардиография покажет уменьшение эластичности клапана, его повреждение, размер отверстия митрального клапана и расстояние между его створками. Также при исследовании можно увидеть разрыв папиллярной мышцы и провисание клапанных створок в полость левого предсердия [4] [8] [9] .

Лечение недостаточности митрального клапана
При обострении заболевания необходим постельный режим. Также следует принимать препараты, содержащие магний и B6 по две таблетки три раза в день (например, "Магнелис").
Обязательно следует проводить лечение и профилактику осложнений. Для предупреждения тромбоэмболии пациентам старше 30-40 лет назначают препарат "Тромбо АСС", препятствующий тромбообразованию .
Если беспокоит частый пульс (более 80 ударов в минуту), то назначаются бета-адреноблокаторы, диуретики, антикоагулянты, нитроглицерин.
Если пациент страдает от приступов тревоги, то в качестве симптоматической терапии можно рекомендовать короткий курс феназепама на ночь.
Если развивается сердечная недостаточность и нарушается сердечный ритм, то проводят лечение бета-адреноблокаторами, диуретиками, ингибиторами ангиотензинпревращающего фермента, антикоагулянтами, блокаторами кальциевых каналов.
При значительной недостаточности митрального клапана показано оперативное лечение.
Основные хирургические методы коррекции митральной недостаточности:
- пластика митрального клапана;
- протезирование с частичным или полным сохранением хордального аппарата;
- протезирование без сохранения хордального аппарата.
Своевременное хирургическое вмешательство позволяет достичь хороших результатов и не допустить развитие осложнений.

Прогноз. Профилактика
При соблюдении рекомендаций врача прогноз благоприятный.
Для профилактики осложнений следует:
- ежегодно проходить осмотр у терапевта и кардиолога и проводить эхокардиографию сердца (Эхо-КГ);
- принимать препараты магния, а для предупреждения тромбоэмболии — антикоагулянты;
- исключить тяжёлые физические нагрузки, переохлаждение и перегрев;
- снизить эмоциональные перегрузки;
- отдыхать в дневные часы;
- при тревожных расстройствах принимать успокоительные препараты, освоить методы аутотренинга и расслабления мышц;
- проходить санаторно-курортное лечение [4] .
При ревматизме и после перенесённой ангины для профилактики недостаточности митрального клапана назначают антибиотик "Бициллин-3". Препарат подавляет развитие стрептококковой и стафилококковой инфекций.
После 40 лет всем пациентам, страдающим недостаточностью митрального клапана, необходимо контролировать уровни фибриногена, РФМК (растворимых фибринмономерных комплексов), D-димера (продукта распада фибрина). Эти анализы нужны для предотвращения тромбоэмболии лёгочной артерии и артерий внутренних органов. При повышении вышеуказанных показателей назначают антикоагулянты.
Если недостаточность митрального клапана обнаружена у ребёнка и его беспокоит слабость, головокружение, расстройство внимания, то рекомендуется временно перейти на домашнее обучение. Таким детям следует избегать чрезмерных физических нагрузок, им разрешена только лечебная физкультура.
Если при проведении Эхо-КГ обнаружено сильное прогибание створок клапана, то необходима консультация у кардиохирурга. Восстановление клапана или его замена могут потребоваться при эндокардите, сердечной недостаточности, нарушениях ритма, сильных болях в грудной клетке, признаках застоя в лёгочной системе (одышке, уменьшении объёма вдоха и ощущении нехватки воздуха).
Сочетанные пороки сердца
Сочетанные (сложные) пороки сердца - врожденные или приобретенные аномалии сердца, при которых имеется одновременное поражение нескольких сердечных клапанов или сочетание нескольких анатомических дефектов. Проявления сочетанных пороков сердца зависят от преобладания в структуре порока того или иного анатомического дефекта, сочетания поражений и их взаимного влияния. Диагностика сочетанных пороков сердца основывается на данных эхокардиографии (в т. ч. фетальной), электрокардиографии, рентгенографии грудной клетки, аортографии, вентрикулографии, катетеризации полостей сердца. При сочетанных пороках сердца проводится консервативное лечение сопровождающих их гемодинамических нарушений (легочной гипертензии, сердечной недостаточности) или хирургическая коррекция (многоклапанное протезирование и др.).
Общие сведения
Сочетанные (сложные, многоклапанные) пороки сердца характеризуются одновременным поражением двух или трех сердечных клапанов и отверстий - митрального, трикуспидального, аортального и легочного. Теоретически допускается существование у одного пациента сразу восьми пороков сердца - митрального стеноза и митральной недостаточности, трикуспидального стеноза и трикуспидальной недостаточности, стеноза устья аорты и аортальной недостаточности, стеноза устья легочной артерии и недостаточности клапана легочной артерии. Однако такое множественное поражение в кардиологии встречается чрезвычайно редко.
Среди сложных приобретенных пороков сердца чаще встречается сочетанное поражение митрального и аортального клапанов (митрально-аортальный порок - 44%), митрального и трехстворчатого клапанов (митрально-трикуспидальный порок - 10%) и всех трех перечисленных клапанов (митрально-аортально-трикуспидальный порок - 11%).
Более редкими сочетаниями являются митрально-аортальная недостаточность, аортальная недостаточность в сочетании с комбинированным митральным пороком, комбинированный аортальный порок в сочетании с комбинированным митральным пороком и др. Вовлечение клапанов в патологический процесс может происходить одновременно или последовательно.
К сочетанным врожденным порокам сердца также относятся триада Фалло, тетрада Фалло, синдром Шона, аномалия Эбштейна, комплекс Эйзенменгера и др., при которых клапанные пороки сочетаются с дефектами перегородок и магистральных сосудов сердца.
Причины
Сложные врожденные пороки сердца формируются внутриутробно вследствие нарушения кардиогенеза. Аномалии сердечно-сосудистой системы плода могут развиваться при наличии следующих риск-факторов: токсикозов I триместра, заболеваний беременной женщины (краснуха, сахарный диабет), угрозы самопроизвольного прерывания беременности, случаев мертворождения в анамнезе, наследственной отягощенности по ВПС в данной семье и т. д. Тератогенным действием обладают некоторые лекарственные препараты, принимаемые в период беременности (талидомид, прогестагены, препараты лития, противосудорожные средства и др.), алкоголь, ионизирующая радиация.
Формирование сочетанных приобретенных пороков сердца чаще связано с перенесенным ревматизмом, системной красной волчанкой, бактериальным эндокардитом, атеросклерозом, травмой сердца. Сочетанные пороки сердца резко отрицательно влияют на гемодинамику, поскольку нарушения кровообращения, свойственные каждому изолированному пороку, при их сочетании суммируются, приводя к быстрому развитию декомпенсации.
Симптомы сочетанных пороков сердца
Клиническая картина сочетанных пороков сердца полиморфна и определяется превалированием симптомов одного дефекта над другим или их взаимным усилением. В некоторых случаях проявления одного порока могут сглаживаться компенсирующим влиянием другого.
Так, при митрально-аортальном пороке с преобладанием стеноза клиническую картину определяют признаки митрального стеноза - одышка, сердцебиение, ощущения перебоев в работе сердца, кровохарканье, обусловленное легочной гипертензией. При физикальном обследовании больных с сочетанным митрально-аортальным пороком сердца выявляются акроцианоз, митральный румянец, феномен «кошачьего мурлыканья». Развитие левожелудочковой недостаточности сопровождается приступами сердечной астмы и отеком легких.
Доминирование в течении порока стеноза устья аорты более благоприятно - такой сочетанный порок сердца длительнее остается компенсированным. Наличие в клинике сочетанного порока сердца приступов головных болей, головокружения, кратковременных обморочных состояний заставляет думать о превалировании аортальной недостаточности.
Сочетанный митрально-трикуспидальный порок сердца с преобладанием с недостаточности трехстворчатого клапана характеризуется бледностью кожных покровов с желтушным оттенком, выраженным акроцианозом, одышкой, набуханием и пульсация вен шеи, ранним развитием сердечной недостаточности. Проявлениями митрально-аортально-трикуспидального порока сердца служат распространенной цианоз, артериальная гипотония, стойкое увеличение печени, отеки поясницы и нижних конечностей, гидроторакс, асцит.
В целом сочетанные пороки сердца протекают тяжелее, чем изолированные. Частыми причинами гибели больных с приобретенными сочетанными пороками сердца становятся сердечно-сосудистая недостаточность, тромбоэмболии, пневмонии.
По данным отечественных кардиологов и кардиохирургов (А. Горбачевский, Л. Бокерия), 14% детей, рожденных с тяжелыми сочетанными пороками сердца, умирает в первую неделю жизни, 25% - в первый месяц, 40% - в течение первого года жизни. Подобная статистика свидетельствует о необходимости проведения тщательного пренатального скрининга, выявления ВПС у плода, принятия взвешенного решения о целесообразности пролонгирования или искусственного прерывания беременности.
Диагностика сочетанных пороков сердца
Диагностика сочетанных пороков сердца сложна ввиду взаимного наслоения различных клинических симптомов. Первичную информацию об имеющемся пороке сердца кардиолог получает при осмотре больного, перкуссии и аускультации сердца.
Дальнейший диагностический поиск, необходимый для дифференциальной диагностики сочетанных пороков сердца, включает проведение инструментального обследования. Электрокардиография и суточное ЭКГ мониторирование позволяют выявить признаки гипертрофии сердечной мышцы, имеющиеся нарушения сердечного ритма. С помощью фонокардиографии регистрируются и оцениваются тоны и шумы в сердце, косвенно свидетельствующие о поражении клапанного аппарата.
По рентгенограмме при сочетанных пороках сердца нередко визуализируется гипертрофия миокарда, расширение камер сердца, застойные явления в легких и т. д. Наиболее информативным видом диагностики сочетанных пороков сердца служит эхокардиография с допплеркардиографией, дающая четкое представление о состоянии клапанного аппарата, наличии дефектов перегородок, патологической внутрисердечной гемодинамики.
МСКТ или МРТ сердца позволяют рассмотреть послойное пространственное изображение структур органа, что является особенно ценным для диагностики сочетанных пороков. Более точная топическая и дифференциальная диагностика сочетанных пороков сердца осуществляется с помощью специальных методов исследования - вентрикулографии, аортографии, зондирования полостей сердца, флебографии. Пациентам с сочетанными пороками сердца и ИБС требуется проведение коронарографии.
Лечение сочетанных пороков сердца
В лечении сочетанных пороков сердца применяются консервативные медикаментозные и радикальные хирургические методы. Лекарственная терапия направлена, главным образом, на коррекцию сердечной недостаточности (диуретики, сердечные гликозиды), профилактику тромбоэмболических осложнений (антикоагулянты), улучшение метаболизма сердечной мышцы (инозин, препараты калия), устранение аритмий (β-адреноблокаторы и др.). Лечебные мероприятия при сочетанных пороках сердца касаются также основного заболевания, в связи с чем проводятся курсы противоревматической терапии, профилактики инфекционного эндокардита и т. д.
Кардиохирургическое вмешательство при сочетанных пороках сердца противопоказано при диффузном кардиосклерозе, эмфиземе легких, гепатите, тяжелом гломерулонефрите, обострении ревмокардита, злокачественных опухолях. Для сложных врожденных пороков сердца разработаны одномоментные или поэтапные способы радикальной коррекции.
Прогноз и профилактика сочетанных пороков сердца
Прогноз естественного течения сочетанных пороков сердца крайне неблагоприятен. Пятилетняя выживаемость при многоклапанных пороках составляет 35,5 - 44,5%, десятилетняя - 6-9,6%. Результаты операций при сочетанных пороках сердца хуже, чем при изолированном поражении одного из клапанов. Тем не менее, послеоперационная 5-летняя выживаемость довольно высока - 72 %.
Профилактика сочетанных пороков сердца заключается в исключении тератогенных воздействий, предупреждении первичного и возвратного ревмокардита и септического эндокардита. Больные с сочетанными пороками сердца должны находиться в постоянном поле зрения кардиолога, ревматолога, кардиохирурга; получать рациональную медикаментозную терапию.
Комбинированный митральный порок сердца
Комбинированный митральный порок сердца - сочетанное поражение, характеризующееся недостаточностью двустворчатого клапана и стенозом левого предсердно-желудочкового отверстия. Митральный порок сердца проявляется слабостью, снижением переносимости физической нагрузки, одышкой, кровохарканьем, акроцианозом, сердцебиением, перебоями в работе сердца. Диагностика митрального порока сердца предполагает анализ анамнестических, аускультативных, инструментальных (электрокардиографических, фонокардиографических, рентгенологических, эхокардиографических) данных. Медикаментозная терапия митрального порока сердца включает профилактику рецидивов ревматической лихорадки, инфекционного эндокардита, лечение аритмии, антикоагулянтную терапию; хирургическое лечение заключается в протезировании митрального клапана.
Комбинированный митральный порок сердца (митральная болезнь) - приобретенный порок сердца, сочетающий недостаточность атриовентрикулярного клапана со стенозом левого атриовентрикулярного отверстия и проявляющийся соответствующими нарушениями внутрисердечной гемодинамики. Комбинированный митральный порок сердца встречается в кардиологии значительно чаще, чем изолированная митральная недостаточность или митральный стеноз.
При митральном пороке сердца может отмечаться преобладание стеноза отверстия или недостаточности клапана или иметь место примерно одинаковое сочетание стеноза и недостаточности. В связи с этим выделяют митральный порок с умеренным стенозом и значительной недостаточностью; митральный порок со значительным стенозом и умеренной недостаточностью; митральный порок со значительным стенозом и значительной недостаточностью.
Причины комбинированного митрального прока сердца
Комбинированный митральный порок сердца практически всегда формируется вследствие перенесенного ревматизма. Рецидивы ревматических атак вызывают поражение створок митрального клапана, приводя к их сращению по комиссурам, развитию фиброза, склероза и кальциноза створок, поражению подклапанных структур. Одновременно при ревматическом эндокардите нарастает рубцевание и стенозирование левого предсердно-желудочкового отверстия.
Кроме ревматического поражения, в формировании митрального порока сердца велика роль вторичных неспецифических факторов. В их ряду наибольшее значение придается гемодинамическим воздействиям, которым постоянно подвержен митральный клапан. Это приводит к дополнительным надрывам створок в области комиссур. Дальнейшая организация мест надрывов сопровождается срастанием створок и прогрессированием митрального порока сердца.
Деформация створок митрального клапана и рубцовый стеноз предсердно-желудочкового отверстия выражены значительнее, чем при изолированных митральных пороках сердца. Створки клапана утолщены, их края вывернуты; клапанное отверстие сужено и теряет способность увеличиваться в размерах; хорды утолщены и укорочены, имеется выраженный кальциноз.
Особенности гемодинамики при комбинированном митральном пороке сердца
Изменения внутрисердечной гемодинамики при комбинированном митральном пороке сердца обусловлены сочетанием признаков, свойственных каждому из пороков в отдельности, и зависят от преобладания стеноза атриовентрикулярного отверстия или недостаточности митрального клапана.
При митральном пороке сердца развиваются гипертрофия и дилатация левого предсердия, правого и левого желудочков. Вслед за этим нарастают застойные явления в венах малого круга кровообращения и легочная гипертензия. Декомпенсация комбинированного порока характеризуется признаками правожелудочковой недостаточности и застоя крови в большом круге кровообращения. Снижается объем сердечного выброса, особенно при физической нагрузке (фиксированный ударный объем).
Симптомы комбинированного митрального прока сердца
В анамнезе пациентов с комбинированным митральным пороком сердца имеются сведения о перенесенном тяжелом эндомиокардите или панкардите, наличии экстракардиальных симптомов ревматизма, позднем начале лечения, длительной активности ревматического процесса или повторных рецидивах заболевания.
Субъективные проявления митрального порока сердца характеризуются одышкой, кашлем, кровохарканьем, сердцебиением, перебоями и болью в области сердца, снижением толерантности к физической нагрузке. Ухудшение самочувствия может вызываться острой респираторной или бронхолегочной инфекцией.
Объективно выявляются бледность кожных покровов, акроцианоз, тахикардия, фибрилляция предсердий. Больные с митральным пороком сердца астеничны, нередко имеют черты физического инфантилизма. Комбинированный митральный порок сердца быстро декомпенсируется; в поздних стадиях определяется набухание шейных вен, периферические отеки, гепатомегалия.
Осложнениями митрального порока сердца служат мерцательная аритмия, артериальная легочная гипертензия, тромбоэмболии.
Диагностика комбинированного митрального прока сердца
В случае преобладания стеноза левого атриовентрикулярного отверстия (при его площади 0,5-1,0 см2 и небольшом объеме митральной регургитации) в картине митрального порока сердца преобладают симптомы стеноза. Признаками митрального стеноза служат диастолический шум, хлопающий I тон, звук открытия митрального клапана и др.
Если в структуре комбинированного митрального порока сердца недостаточность атриовенрикулярного клапана превалирует над стенозом (при площади митрального отверстия 1,5-2 см2), аускультативно выявляется интенсивный и длительный систолический шум, занимающий всю систолу. При одинаковой степени выраженности стеноза и недостаточности определяется ослабление I тона над верхушкой сердца и акцент II тона над легочной артерией; наряду с интенсивным систолическим шумом выслушивается диастолический.
На электрокардиограмме регистрируются признаки гипертрофии левого предсердия и желудочков. Фонокардиография выявляет типичные изменения шумов сердца, характеризующие митральный стеноз и митральную недостаточность. Рентгенография грудной клетки обнаруживает расширение границ сердца, кальциноз в проекции митрального клапана, изменения легочного рисунка.
С помощью эхокардиографии подтверждается диагноз митрального порока сердца и определяются превалирующие изменения (стеноз или недостаточность). Допплерэхокардиография помогает оценить величину регургитации и диастолического градиента давления на митральном клапане. При необходимости для получения этих сведений прибегают к зондированию полостей сердца и вентрикулографии.
Дифференциальная диагностика при комбинированном митральном пороке сердца проводится с гипертрофической кардиомиопатией и дефектом межпредсердной перегородки.
Лечение комбинированного митрального порока сердца
Медикаментозная терапия при комбинированном митральном пороке сердца направлена на профилактику рецидивов ревматической лихорадки, инфекционного эндокардита, лечение аритмий, предупреждение тромбоэмболических осложнений.
Оперативное лечение митрального порока сердца проводится при выраженной клинической картине и величине регургитации свыше 40% от ударного объема крови. При комбинированном митральном пороке сердца обычно выполняется протезирование митрального клапана. При отсутствии кальциноза и нормальной подвижности клапана прибегают к клапаносохраняющему вмешательству - пластике митрального клапана (аннулопластике) с использованием искусственного полужесткого кольца.
Показатели улучшения качества жизни и выживаемости после кардиохирургической операции у больных с комбинированным митральным пороком сердца значительно ниже, чем после комиссуротомии по поводу изолированного стеноза.
Прогноз и профилактика комбинированного митрального порока сердца
В целом течение митрального порока сердца неблагоприятно. Исход заболевания определяется темпами прогрессирования нарушений гемодинамики, частотой и тяжестью повторных ревматических атак, развитием осложнений. При выраженных гемодинамических нарушениях быстро снижается сократительная функция гипертрофированного, рубцово и дистрофически измененного миокарда, что рано приводит к сердечной недостаточности и летальному исходу.
Больные с комбинированным митральным пороком сердца должны находиться под наблюдением кардиолога, ревматолога и кардиохирурга. Беременность при данном пороке допустима при условии полной компенсации кровообращения.
Рекомендации в области профилактики митрального порока сердца касаются предупреждения ревматических атак, провоцируемых инфекционными заболеваниями: фарингитом, тонзиллитом, скарлатиной и др.
Приобретенные пороки сердца
Причины развития пороков сердца
Причиной поражения клапанов чаще всего являются ревматизм, атеросклероз, инфекционный эндокардит. Намного реже встречаются пороки сердца вследствие сифилитического поражения, травмы, диффузных заболеваний соединительной ткани (болезнь Бехтерева, системная склеродермия, дерматомиозит) или дегенеративных изменений створок с включением солей извести. В створках клапанов развивается воспалительный процесс, приводящий к их повреждению, разрушению и рубцовой деформации. При нарушенной функции клапанов сердце работает с повышенной нагрузкой. Развивается гиперторофия (утолщение) отделов сердца. В дальнейшем полости сердца расширяются, падает сократительная способность сердечной мышцы, появляются признаки сердечной недостаточности.
Симптомы
Симптомы заболевания зависят от пораженного клапана или комбинации пораженных клапанов. По состоянию общей гемодинамики выделяют компенсированные, субкомпенсированные и декомпенсированные пороки.
Больного могут беспокоить учащенные сердцебиения, одышка, отеки и другие проявления сердечной недостаточности.
Диагностика
Диагностику и лечение пороков сердца проводит кардиолог на основании клинических симптомов, аускультации сердца и дополнительных методов исследования:
- электрокардиографии (ЭКГ);
- эхокардиографии (ЭХО-КГ);
- рентгенографии грудной клетки.
Зондирование полостей сердца и ангиография проводятся лишь при показаниях к хирургическому лечению пороков.
Лечение приобретенных пороков сердца
Консервативное лечение направлено на профилактику рецидивов и осложнений основного заболевания, коррекцию нарушения ритма сердца, профилактику и лечение сердечной недостаточности.
Основной вид лечения - хирургический. Пациент с приобретенным пороком сердца нуждается в своевременной консультации кардиохирурга, чтобы не оказались пропущенными сроки эффективного хирургического лечения.
Читайте также:
