История хирургии рака височной кости
Добавил пользователь Владимир З. Обновлено: 02.11.2025
Опухоли определяются как новообразования, которые состоят из бесконтрольно делящихся клеток, и эти опухоли можно обнаружить также в костях. Постоянная боль в костях, считается наиболее важным симптомом определения костных опухолей. Специалист Медицинского Центра Анадолу (Anadolu Medical Center) в области ортопедии и травматологии профессор Каан Эрлер (Kaan Erler), говорит, что «в большинстве случаев опухолей костей, причина не известна, и иногда имеет генетическую природу. Здоровые ткани заменяются аномальными тканями.
Опухоль ослабляет кости и приводит к патологическим переломам. Если вовремя не предпринять необходимые меры, быстро развивающиеся (агрессивные) опухоли начинают двигаться в направлении других тканей и вызывают метастазы».
Профессор, доктор Эрлер, говорит, что большинство опухолей костей являются доброкачественными. И добавляет: «Рак, который начинается в кости (первичный) отличается от рака, который начинается в других частях тела и перемещается в кости (вторичный). Развитие опухолей и наносимый ими ущерб тканям зависит от их биологического поведения. Некоторые из них выявляются случайно, некоторые вызывают серьезные проблемы». Профессор, доктор Эрлер, ответил на наши вопросы по поводу диагностики и лечения опухолей костей.
Каковы наиболее распространенные опухоли кости?
Наиболее распространенные опухоли кости первичного происхождения следующие:
- Множественная миелома: Это наиболее распространенный вид первичной опухоли кости. Это злокачественная опухоль костного мозга. Каждый год ее выявляют у 20 человек на миллион. Наиболее часто встречается в возрасте от 50-70 лет и может поражать любую кость.
- Остеосаркома: Это второй вид наиболее распространенной первичной опухоли костного происхождения. Часто встречающаяся у подростков и расположенная в области колена, она приводит к смертельному исходу в 2-3 случаях на миллион каждый год. Реже эта опухоль локализуется в области бедра и плечевой зоне.
- Саркома Юинга: В основном, встречается в возрасте между 5-20 годами. Она характеризуется обширным новообразованием в мягких тканях и разрушает кость. Чаще всего локализуется в области верхних и нижних конечностей, тазовой кости и груди.
- Хондросаркома: Чаще всего встречается в возрасте между 40-70 годами. Она провоцирует новообразования в области бедра, тазовой кости и плеча.
Какие симптомы бывают при опухолях на костях?
Большинство пациентов с опухолью на костях жалуются на боль. Боль, как правило, имеет характер длительной, вызывающей дискомфорт с низкой интенсивностью, так называемая «тупая» боль. Боль сохраняется даже когда пациент отдыхает, и она усиливается по ночам. Травма не является причиной, но боль усиливается после травмы. В ослабленных костях наблюдается патологический перелом, который увеличивает боль. Некоторые опухоли вызывают лихорадку и ночную потливость. Иногда новообразования бывают безболезненные. Некоторые опухоли обнаруживаются случайно во время рентгена после травм лодыжки.
Что нужно сделать в случае такого рода болезненной ситуации?
Если человек думает, что у него может быть опухоль кости, ему необходимо сразу обратиться к врачу.
Какие меры предпринимаются на этапе постановки диагноза?
Доктор берет подробную историю пациента для того, чтобы узнать анамнез пациента. Анамнез включает в себя все детали — от используемых препаратов до всех предыдущих заболеваний.
Исследуется размер и подвижность опухоли, ее связь с суставами и является ли она проросшей, и проводится обследование других систем, если это необходимо. В первую очередь пациенту делают рентген. Различные опухоли кости дают разные изображения на рентгене. Некоторые показывают избыток кальцификации, некоторые показывают резорбцию кости. Иногда мы видим их сочетание.
Достаточно ли рентгена для определения опухоли, или необходим еще какой-нибудь метод? Некоторые опухоли можно увидеть на рентгене, но для того, чтобы определить тип опухоли, мы используем подробные методы визуализации, такие как томография, МРТ, сцинтиграфия, ПЭТ и томография легких. Мы используем томографию, чтобы увидеть детали кости, и МРТ, чтобы увидеть рост опухоли в кости или чтобы увидеть распространение опухоли в другие удалённые места. Сцинтиграфия кости дает информацию о биологической активации опухоли и о том, есть ли метастазы.
Какие анализы используются для диагностики онкологии костей?
Общий анализ крови или мочи. Биопсия, которая используется для получения образца ткани, еще один вид анализа, и она должна проводиться в центре, где хирургическое вмешательство будет выполняться специалистом в области ортопедической онкологии. Исследование может проводиться в виде биопсии иглой или открытой биопсии. Опыт патолога важен не менее чем выбор метода исследования.
Как проходит лечение рака кости?
Лечение опухолей кости - всегда результат командной работы. Основные члены этой команды — это ортопед-онколог, онколог, радиолог, радиоонколог, патолог. Цель лечения заключается в преодолении рака и защите пораженных конечностей.
Есть ли улучшения в лечении костных опухолей по мере развития медицины? Есть ли изменения в хирургических методах?
Раньше, для того, чтобы удалить опухоль из организма, существовал, в основном, метод ампутации конечностей. Но теперь доступен хирургический подход, который позволяет и удалить опухоль, и защитить конечности. Хирургическое лечение может быть проведено путем удаления центра опухоли или ее удаления вместе с небольшим участком здоровой кожи.
Цель лечения заключается в обеспечении функционирования конечности после онкотерапии. Этому способствует, в частности, развитие реконструктивной хирургии. Также часто применяются протезы, костные трансплантаты, которые являются частью кости, взятой из других частей скелета, используемые для заживления пораженного участка и методы биологической реконструкции.
Каковы другие методы опухолей на кости?
Некоторые опухоли костей чувствительны к лучевой терапии. Лучевая терапия может использоваться как самостоятельно лечение или совместно с другими методами лечения. Химиотерапия может быть использована для лечения в зависимости от биологического поведения заболевания. Она может быть применена до или после операции.
Есть ли разница между полами в отношении риска появления этой болезни?
Мы можем привести информацию по этому вопросу в США. Злокачественные опухоли костей определяются в 2500 случаях в год, доброкачественные — в 200 000-300 000. Метастазы в кости встречаются у 250 000 - 300 000 случаев в год. Разницы между полами с точки зрения риска заболевания опухолями кости не выявлено.
Что бы вы хотели сказать о последующем наблюдении пациентов после лечения?
Последующее наблюдение пациента делается сначала через короткие промежутки времени, и само наблюдение будет проводиться в течение многих лет. С помощью этого метода, рецидив заболевания или его распространение на другие органы обнаруживается на ранней стадии, и составляется план лечения. На этом этапе пациенту нужна психологическая поддержка и возврат к полноценной общественной жизни. Рак легких, молочной железы, щитовидной железы и предстательной железы являются основными причинами метастаз, не считая первичной злокачественной опухоли кости. Кроме того, необходимо тщательно исследовать причины боли в костях, которые возникают в пожилом возрасте.
Что такое ампутация?
Ампутация — это удаление пораженной части тела для того, чтобы спасти жизнь пациента в случае невозможности сохранения органа. Например, если речь идет о развитии заболевания в ноге, нога должна быть ампутирована. Но мы сейчас далеки от такого хирургического подхода благодаря развитию в области диагностики и лечения. Если в 80-х годах 90% пациентов с диагнозом «рак» лечили бы именно методом ампутации, то теперь этот процент составляет менее 10%.
Что вы можете сказать о доброкачественных опухолях костей и их лечении?
Наиболее распространенные доброкачественные опухоли костей — это не остеогенная фиброма, простая киста кости, остеохондрома, опухоль гигантских клеток, хрящевая опухоль и фиброзная дисплазия. Так как лечение доброкачественных опухолей костей зависит от типа опухоли и возраста пациента, в большинстве случаев достаточно наблюдения за пациентом. В некоторых случаях медикаментозное лечение успокаивает боль. В некоторых случаях, особенно у пациентов-детей, опухоли могут со временем спонтанно исчезнуть. Некоторые доброкачественные опухоли могут переродиться в злокачественные опухоли и тогда могут начать развиваться метастазы. Иногда врач рекомендует удаление опухоли. Такой подход предотвращает возможные патологические переломы. Некоторые опухоли могут возникать снова, хотя они были вырезаны. Опухоль гигантских клеток является наиболее встречаемой доброкачественной опухолью, которая может иметь агрессивный ход развития. В некоторых случаях остеохондрома, которая локализуется в нескольких областях, может переродиться в рак.
БУДЬТЕ ВНИМАТЕЛЬНЫ К ДАННЫМ СИМПТОМАМ!
Специалист в области ортопедии и травматологии, профессор Каан Эрлер говорит: «Если вы испытываете боль, несмотря на то, что вы отдохнули или, если у вас есть подозрения на опухоль кости, пожалуйста, немедленно обратитесь к врачу. Ортопеды-онкологи помогут вам в любой ситуации».
История хирургии рака височной кости
Кафедра оториноларингологии - хирургии головы и шеи Медицинского института Северо-Кавказской государственной гуманитарно-технологической академии;
Карачаево-Черкесская республиканская клиническая больница, Черкесск, Россия 369000
Карачаево-Черкесская республиканская клиническая больница, Черкесск, Россия, 369000
Гигантская остеома сосцевидного отростка височной кости
Журнал: Вестник оториноларингологии. 2014;(4): 52‑54
Гюсан А.О., Ламкова А.Х. Гигантская остеома сосцевидного отростка височной кости. Вестник оториноларингологии. 2014;(4):52‑54.
Giusan AO, Lamkova AKh. The giant osteoma of the mastoid process of the temporal bone. Vestnik Oto-Rino-Laringologii. 2014;(4):52‑54. (In Russ.).
До настоящего времени остеомы височной кости относят к казуистическим наблюдениям [1]. Рост остеом может наблюдаться в различных областях височной кости. В большинстве случаев описаны остеомы, исходящие из задней стенки наружного слухового прохода [2], реже - из его верхней и передней стенок [3], из внутреннего слухового прохода [4, 5], барабанной полости, чешуи височной кости 6, сосцевидного отростка 12.
Обычно остеома возникает в каменисто-сосцевидной области, исходной точкой бывают либо одна из воздухоносных ячеек, либо корковый слой одной из внутренних полостей височной кости. Если остеома среднего уха возникает в основании сосцевидного отростка, то она может достигать значительных размеров, заполняя почти всю ретроаурикулярную область.
Остеома среднего уха развивается вследствие пролиферации межкостной или периостальной соединительной ткани, которая метаплазирует в губчатую кость, покрытую корковым слоем. Несмотря на то что васкуляризация остеомы незначительна, она в достаточной степени обеспечивает растущую опухоль необходимыми питательными веществами.
Остеома может иметь компактную, губчатую, хрящевую или смешанную структуру. Известны две формы роста остеом: экзофитная, когда опухоль растет в просвет наружного слухового прохода, и эндофитная - при росте опухоли в толщу сосцевидного отростка. Большинство остеом, особенно обычная остеома костей черепа, представляют собой пороки развития. Встречаются во всех возрастных группах, но наиболее часто между 2-м и 3-м десятилетиями жизни. Соотношение лиц женского и мужского пола - 2:1. Замечено, что чаще остеома начинает расти в период полового созревания.
Остеома среднего уха эволюционирует очень медленно (многие годы) и нередко на каком-то этапе развития перестает увеличиваться. Лишь тогда, когда остеома сопровождается теми или иными функциональными расстройствами или является причиной косметического дефекта, она подлежат хирургическому удалению. Объем хирургического вмешательства определяется локализацией опухоли, ее величиной и распространением.
Клинические проявления остеомы зависят от ее размеров и локализации. Нередко остеома височной кости не сопровождается клиническими признаками. Ее обнаруживают случайно при рентгенологическом исследовании черепа. Некоторые больные жалуются на головную боль, вестибулярные расстройства, чувство тяжести в голове.
Диагностика остеомы среднего уха не вызывает затруднений. Для визуализации размеров и топографии опухоли и выяснения состояния полостей среднего уха и пирамиды височной кости показана рентгенография. На рентгенограмме остеома выглядит как добавочное образование костной плотности и структуры с четкими и ровными контурами (без признаков перифокальных изменений).
Остеома среднего уха не отграничена от костной ткани, из которой она происходит, а плавно переходит в нее.
Приводим собственное наблюдение остеомы сосцевидного отростка. Больная У., 1987 г.р., поступила в ЛОР-отделение республиканской больницы с жалобами на наличие опухолевидного образования за левой ушной раковиной. Впервые заметила появление припухлости за левым ухом 15 лет назад, однако за лечебной помощью не обращалась. В последние месяцы опухоль стала быстро увеличиваться. Выяснить какие-либо причины возникновения остеомы не удалось.

При осмотре общее состояние удовлетворительное, внутренние органы без патологических изменений. Анализы крови и мочи в норме. ЛОР-осмотр: нос, глотка, гортань - без патологии. В заушной области слева пальпируется плотное опухолевидное образование округлой формы, безболезненное, кожные покровы над ним не изменены, подвижны (рис. 1). Рисунок 1. Остеома левого сосцевидного отростка.
Отоскопия: в слуховых проходах патологического отделяемого нет, стенки их не изменены, барабанные перепонки с обеих сторон серого цвета, блестящие, с четко выраженными опознавательными знаками.
Шепотную и разговорную речь на оба уха больная воспринимает на расстоянии 6 м.
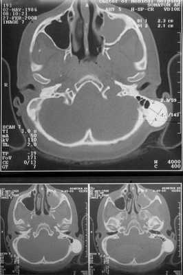
Больная консультирована нейрохирургом, невропатологом, окулистом. В неврологическом статусе патологических изменений не выявлено. Обнаружена ангиопатия сетчатки обоих глаз с венозным полнокровием. Проведена компьютерная томография височных костей. На серии томограмм получены изображения височных костей нормальной пневматизации, слева в задних отделах сосцевидного отростка крупноячеистое строение. По заднему краю левого сосцевидного отростка отмечается утолщение кости с четкими округлыми контурами, гомогенной структуры, без мягкотканного компонента, гиперинтенсивной плотности до +1600 ед.Н. Наружный и внутренний слуховые проходы с обеих сторон не деформированы, нормальных размеров, с четкими контурами, патологических включений в области внутреннего уха не выявлено.

Заключение: КТ-признаки остеомы сосцевидного отростка левой височной кости (рис. 2). Рисунок 2. КТ остеомы сосцевидного отростка височной кости.
Клинический диагноз: остеома сосцевидного отростка левой височной кости. После получения согласия больной на хирургическую операцию под общим обезболиванием под интубационным наркозом проведено удаление костной опухоли. Выделение остеомы из окружающих костных тканей проводили с помощью фрезы и распатора. Опухоль располагалась близко к сигмовидному синусу, однако нарушения его целостности удалось избежать.
После удаления остеомы единым блоком операционная рана была промыта раствором мирамистина и послойно ушита.

Удаленная костная опухоль имела значительные размеры - 4,5×4,5 см, массу - 32 г (рис. 3). Рисунок 3. Удаленная костная опухоль.
Результаты гистологического исследования: компактная остеома, образованная сплошной костной массой волокнистого строения с узкими сосудистыми каналами.
Через 9 дней в удовлетворительном состоянии больная выписана из отделения.
Особенностью приведенного наблюдения является редкость локализации остеомы в области сосцевидного отростка височной кости и большие размеры, что не помешало ее удалению единым блоком.
Кафедра оториноларингологии Российского университета Дружбы народов, Москва
Кафедра челюстно-лицевой хирургии и хирургической стоматологии Российского национального медицинского университета им. Н.И. Пирогова Минздравсоцразвития России, Москва
Кафедра оториноларингологиии Российского университета дружбы народов, Москва, Россия, 117198
Этиология и патогенез гломусных опухолей (хемодектом) основания черепа
Журнал: Вестник оториноларингологии. 2016;81(3): 26‑29
Цель работы — описать историю развития этиологии и патогенеза гломусной опухоли (хемодектомы) основания черепа. В работе приведены хронологические таблицы развития исследований этиологии, патогенеза, хирургического лечения при данном заболевании, анализ и обсуждение спорных мест номенклатуры.
Локализация и функции гломусов головы и шеи
В 1941 г. S. Guild [1] описал сосудистую ткань на луковице яремной вены и на мысе улитки, которую он назвал гломусной тканью. Новообразования, которые возникали из этой ткани, в различные периоды времени получали название рецептом, хемодектом, нехромафинных опухолей, экстраадреналовых гломусных опухолей, а также опухолей, напоминающих каротидное тельце (carotidbodyliketumors).
Гломусная опухоль (хемодектома) — это новообразование из органов эндокринной системы, которые способны продуцировать биогенные амины, а также выполнять хеморецепторную функцию — реагировать на изменения концентрации О 2 , СО 2 и рН крови и передавать информацию об этом в бульбарные центры головного мозга [2, 3]. Гломусы имеют общее происхождение с мозговым слоем надпочечника и возникают из эмбриональных симпатических клеток нервной ткани [4]. Другими словами — это совокупность нейроэктодермальных клеток экстраадреналовой локализации. На этапе внутриутробного развития данная система как эндокринный орган функционирует до тех пор, пока не завершится формирование мозгового вещества надпочечников — основного источника катехоламинов. Функции клеток гломусов идентичны таковым в мозговом веществе надпочечников. Как и надпочечники, они могут содержать катехоламины и выделять их по изменениям нейрональных или химических сигналов наподобие обычных эндокринных органов.
Самым крупным органом из этой группы принято считать само мозговое вещество надпочечника, вторым по размеру — аортальный гломус [4]. Остальные гломусы, локализация которых представлена в табл. 1, имеют значительно меньшие размеры в пределах 0,6—4 мм в диаметре.

Таблица 1. Гломусные опухоли (хемодектомы) и места их исходного роста в организме человека
Таким образом, гломусные опухоли (хемодектомы) могут возникать во всех местах нервной системы. Остановимся только на тех, которые локализуются в области головы и шеи.
Блуждающие, яремные и барабанные гломусы представляют собой цепочку, идущую по ходу ветвей языкоглоточного и блуждающего нервов с локализацией:
— в области нижнего, среднего и верхнего узлов блуждающего нерва;
— в адвентиции луковицы яремной вены;
— в области мыса улитки;
— по ходу барабанной ветви IX нерва (нерва Якобсона);
— по ходу заднеушной ветви X нерва (нерва Арнольда).
История изучения и проблемы терминологии
История исследования опухолей, растущих из гломусов основания черепа, сравнительно невелика. Впервые барабанный и яремный гломус описал в 1941 г. S. Guild [1]. Опухоль, возникающую из них, впервые обнаружил в 1945 г. H. Rosenwasser [5].
С момента первого описания опухоли ее название неоднократно изменялось. До настоящего времени специалисты, занимающиеся этой патологией, называют ее по-разному. Часто при микроскопии ставят диагноз гемангиомы [6, 7]. В хронологической последовательности история терминологии гломусных опухолей представлена в табл. 2 [8].

Таблица 2. Хронология изменения терминов гломусных опухолей
Название хемодектомы или рецептомы предполагает функциональную роль гломусов только в качестве рецепторных образований.
Однако установлено, что помимо рецепторной функции, они обладают эндокринной активностью и могут секретировать биологически активные вещества, например катехоламины или серотонин. Немаловажным моментом может являться то, что с этими опухолями имеют дело и общие хирурги-онкологи, и сосудистые хирурги, и оториноларингологи [9], которые в своих работах чаще всего обозначают их как гломусные или хемодектомы. Термин «параганглиома» для них достаточно редкий. Однако иногда гломусными опухолями называют новообразования барорецепторов (тельца Барре—Масона и т. д.) [9], не имеющих отношения к симпатико-адреналовой системе. Термин «нехромаффинная параганглиома», периодически используемый и сейчас, основан на реакции осаждения солей хромовой кислоты клетками опухоли, что дает возможность судить о наличии или отсутствии их симпатической активности. В настоящее время эта реакция представляет только исторический интерес. Соответственно, устарел и термин.
Деление гломусных опухолей (хемодектом) по классификации ВОЗ на симпатические и парасимпатические представляется недостаточно обоснованным, поскольку не учитывается возможность существования неактивных форм. Могут существовать также опухоли, секретирующие множество биогенных аминов, как относящихся к парасимпатическому или симпатическому отделу нервной системы, так и не относящихся ни к одному из них.
Другая часть термина указывает либо на исходную локализацию (яремная, барабанная или вагусная гломусная опухоль), либо на зону поражения — среднее ухо, сосцевидный отросток или блуждающий нерв) [5].
Даже при небольшом объеме новообразования поражаются как пирамида височной кости, так и яремное отверстие. У многих больных зона распространения захватывала основание черепа, верхние отделы шеи, а также головной мозг. Поэтому имеет смысл остановиться на термине гломусная опухоль (хемодектома). Например, гломусная опухоль (хемодектома) основания черепа с ростом в заднюю черепную ямку или с распространением в заднюю черепную ямку и паравертебрально. Исходную локализацию при распространенной опухоли можно определить на основании детального анализа хронологии симптомов заболевания [10].
Этиология гломусных опухолей
Этиология гломусных опухолей (хемодектом) основания черепа в настоящее время неизвестна. Анализ данных литературы, а также собственных наблюдений показал, что в 75% наблюдений этим заболеванием страдают лица женского пола в возрасте 40—45 лет. Вероятно, этиологическим моментом служит перестройка гормональной системы организма. В молодом возрасте фактором, вызывающим рост опухоли, может явиться беременность. В возрасте 20—30 лет чаще встречаются гормонально-активные формы.
Если сделать небольшой экскурс в историю, то можно вспомнить, что существуют уницентрическая [11] и мультицентрическая теории возникновения опухолей [12]. По первой теории, новообразование под воздействием различных онкогенов может возникать из одного зачатка, в частности из гломуса. Согласно второй, онкогенный фактор может быть общим для нескольких гломусов сразу. Возможно, этим фактом объясняется наличие множественных фopм опухолей [13—18], двусторонних яремных гломусных опухолей, сочетание опухоли яремного гломуса с забрюшинной феохромоцитомой, диссеминированных форм и т. д. [19]. Гломусные опухоли могут сочетаться с невриномой слухового нерва [20]. Описан единственный случай сочетания гломусной опухоли (хемодектомы) с арахноидальной кистой задней черепной ямки [21]. Иногда гломусные опухоли могут быть первично-множественными. Первично-множественные гломусные опухоли (хемодектомы) бывают синхронными и метахронными. Первично-множественные синхронные новообразования в пределах височной кости и основания черепа могут восприниматься как один распространенный процесс, а первично-множественные метахронные новообразования этой локализации — как рецидив опухоли после ранее возникшего удаленного очага [10, 12, 13, 18].
Некоторые исследователи связывают образование гломусных опухолей с хронической гипоксией. При ней наблюдалась гипертрофия гломусов в ответ на длительную кислородную недостаточность [22], например при врожденных пороках сердца.
Генетический аспект гломусных опухолей
Имеются данные о роли наследственного фактора в возникновении гломусных опухолей, передача которого происходит по аутосомно-доминантному типу [23]. Существует семейные формы этих опухолей [24, 25], составляющие, по данным литературы, менее 1—2% от общего числа наблюдений.
Анализ генома хемодектом выявил значительную разницу между наследственными и спорадическими опухолями по наличию или отсутствию хромосомы 11q23 соответственно. Другими словами, если наличие данной хромосомы установлено, то гломусные опухоли (хемодектомы) могут передаваться по наследству. Если ее нет, то опухоль, если когда-нибудь возникнет, то спорадически, как и любое другое новообразование. Таким образом, ранняя идентификация 11q23 может служить индикатором наследственного фактора онкогенеза данного вида опухолей [26, 27].
В заключение следует отметить, что гломусные опухоли (хемодектомы) основания черепа были описаны сравнительно недавно — в 1945 г. Они возникают из гломусов, расположенных в среднем ухе или яремной ямке, и относятся к экстраадреналовой эндокринной системе. Способны реагировать на изменения концентрации СО 2 , информируя об этом бульбарные центры головного мозга, а также продуцировать биогенные амины. Могут расти как экстра-, так и интракраниально. Возникают в период эндокринных изменений организма. Причиной также могут служить хроническая гипоксия и наследственная предрасположенность. О наследственном характере хемодектом можно судить только в тех случаях, если больному меньше 18 лет, а также в случае билатеральных или множественных опухолей и положительного тестирования на указанные выше гены. Наследование происходит по аутосомно-доминантному типу. Тестирование на определенные гены позволяет определить спорадический или генетически детерминированный характер гломусной опухоли (хемодектомы).
Особенности трансмаксиллярного трансназального доступа к опухолям основания черепа
Трансмаксиллярный трансназальный подход наиболее целесообразен при экстрадуральной локализации опухолей основания черепа.

Опухоли основания черепа, вовлекающие глазницу, околоносовые пазухи, носоглотку, являются сложной, комплексной проблемой, требующей специального подхода при определении тактики лечения. Анатомические особенности основания черепа с проходящими через него нервными и сосудистыми структурами представляют собой значительные ограничения для проведении хирургических подходов. Вовлечение в неопластический процесс указанных выше анатомических образований вызывает сложности при удалении этих новообразований ринохирургами, офтальмохирургами или нейрохирургами. При этом объем хирургических вмешательств, как правило, ограничен "зоной интереса" специалиста - хирурга. Следствием этого является нерадикальность операций, а также необоснованное расширение понятия "неоперабельность". В настоящее время, как новое направление в медицине, развивается хирургия основания черепа, задачей которой является разработка и внедрение методов лечения больных с опухолями основания черепа на основе опыта накопленного в ринохирургии, офтальмохирургии, нейрохирургии, хирургической стоматологии и пластической хирургии. Как правило, больные с опухолями основания черепа, распространяющимися в глазницу и околоносовые пазухи направляются после определения внутричерепного распространения процесса на компьютерных томограммах в нейрохирургическое учреждение. Таким образом, ответственность за дальнейшую судьбу больного ложится на специалистов нейрохирургического учреждения. При этом возникает ряд специальных проблем, связанных со спецификой этих больных: предоперационная подготовка, послеоперационное ведение, в которых большую роль играет совместная работа отоневрологов, офтальмологов, нейрохирургов.
При существующем большом разнообразии как транскраниальных, так и трансфациальных (и их комбинаций) передних доступов к основанию черепа, ни один из них не является идеальным. В частности, группа транскраниальных подходов к основанию черепа предполагает краниотомию, что негативно сказывается на эффекте проведенной операции вследствие тракции и компрессии вещества мозга. Трансфациальные доступы также имеют большое количество разнообразных недостатков, представленных ограниченностью доступа и обзора, высокой потенциальной возможностью инфицирования, косметическими дефектами.
Проблема выбора оптимального трансфациального доступа к опухолям основания черепа по следующим критериям: 1) минимальной травматизации сосудисто-нервных образований, 2) полноте визуализации области операции 3) манипуляционной свободе хирурга 4) косметическому эффекту, до сих пор остается нерешенной.
Учитывая анатомическую сложность данного подхода и высокую вероятность травматизации нервно-сосудистых образований основания черепа без специальной подготовки, трансмаксиллярный трансназальный доступ к опухолям основания черепа должен быть отработан отработан на блок-препаратах, приготовленных по специальной методике. Исследования проводится на препаратах, изъятых во время аутопсии у людей, при жизни не имевших опухолей основания черепа. Препараты должны представлять участок основания черепа, передней границей передней границей которого являлась задняя поверхность верхнечелюстных пазух, боковые границы проходили по латеральным отделам больших крыльев основной кости, по верхушке пирамиды височной кости и включали овальные отверстия. Задней границей препаратов являлась середина ската основной кости. Компьютерное моделирование этапов оперативного доступа в трехмерном изображении осуществляется с помощью компьютерной рабочей станции с программным обеспечением для построения объемной реконструкции.
Клинические проявления у пациентов с опухолями основания черепа манифестируют четырьмя основными группами симптомов: носовыми, слуховыми, глазничными и неврологическими.
В группу назальных симптомов включены одно- (и двухстороннее) ощущение заложенности носа и нарушение носового дыхания, различные по характеру выделения из носовых ходов (слизистые, слизисто-гнойные, гнойные) и носовые кровотечения. Нарушение обоняния вызывается как нарушением носового дыхания, так и распространением опухоли на слизистую оболочку решетчатой кости с деструкцией обонятельных хеморецепторов.
Слуховые симптомы возникают вследствие нарушения дренажной функции евстахиевой трубы опухолевой тканью и представляются ощущением периодической заложенности в ухе, снижением слуха и болью. Указанные клинические проявления имеют преимущественно односторонний характер.
Симптомы поражения глазницы и ее содержимого больных могут быть представлены различными клиническими вариантами, обусловленными непосредственным внедрением опухолевого узла в орбитальную полость. Наиболее часто отмечался экзофтальм, отличительной особенностью которого являлись отсутствие костных деструктивных изменений лицевого скелета, вызванный венозным застоем в орбите из-за нарушения проходимости кавернозного синуса и глазничных вен. Экзофтальм, сопровождающийся деструкцией стенок орбиты встречается реже. Нарушения движения глазного яблока, сопровождающиеся диплопией сопровождают все указанные наблюдения. Офтальмоскопически в этих группах больных выявляются застойные явления на глазном дне, сужение полей зрения. Очень редко встречается амавроз, одно-или двусторонний из-за опухолевого прорастания в каналы зрительных нервов и интраканальной компрессии нервных волокон.
Неврологические нарушения, обусловленные компрессией и (или) инфильтрацией опухолевой тканью лицевого скелета, были представлены в анализируемом материале различной степени парезами ветвей тройничного нерва. Клинические симптомы заключались в возникновении боли, парестезий и гипестезии в щеке, крыле носа, верхней губе и передних 4-х зубах. Односторонняя нейропатия проявляется сенсорными феноменами и дополняется гипо- или атрофией жевательных мышц. Изменение вкуса обусловлено нейродистрофическими изменения слизистой оболочки ротовой полости вследствие поражения мандибулярной ветви тройничного нерва.
Проведенное нейроанатомическое исследование позволяет уточнить особенности строения основания черепа для практического применения доступа, подготовить варианты хирургических манипуляций при предполагаемых осложнениях, разработать технические нюансы взависимости от локализации опухоли в конкретном случае.
После резекции передней стенки верхнечелюстной пазухи с сохранением инфраорбитального нерва, лобного отростка верхнечелюстной пазухи, верхней и средней носовых раковин, образуется полость, отграниченная с одной стороны латеральной стенкой верхнечелюстной пазухи, а с противоположной -латеральной стенкой носовой полости. На данном этапе достижимы нижне-медиальная поверхность ипсилатеральной орбиты, медиальная стенка контралатеральной орбиты. Возможно расширение объема вмешательства путем резекции медиальной стенки контралатеральной верхнечелюстной пазухи.
После удаления задней стенки верхнечелюстной пазухи открывается крылонебная ямка. В последней располагаются крылонебный узел, крылонебная артерия и верхнечелюстной нерв. Крылонебная артерия после идентификации может быть коагулирована для предупреждения риска интраоперационного повреждения и кровотечения. Верхнечелюстной нерв может быть использован как указатель расположения округлого отверстия и задне-латеральных отделов кавернозного синуса.
После удаления задних отделов решетчатой кости и передней стенки сфеноидальной пазухи удаляется слизистая оболочка последней. Поскольку к верхне-латеральной стенке пазухи прилежит канал зрительного нерва, необходимо крайне осторожно выполнять данную манипуляцию во избежание повреждения зрительного нерва в случае прорастания опухолью стенки костного канала. После удаления слизистой оболочки сфеноидальной пазухи обнажается задняя ее стенка, представляющая собой переднюю границу средних отделов ската основной кости. Резекция боковой стенки основной пазухи позволяет осуществить доступ к медиальнам отделам кавернозного синуса. Удалением задне-нижних отделов сошника и костных структур ската визуализируется твердая мозговая оболочка базальных отделов задней черепной ямки.
Для удобства оценки хирургического вмешательства трансмаксиллярный трансназальный подход к опухолям основания черепа можно разделить на четыре этапа: 1) антромаксиллярный, 2) назальный, 3) сфеноидально-кавернозный, 4) кливусный.
Выполнение антромаксиллярного этапа заключается в сублабиальном доступе к верхнечелюстной пазухе и крылонебной ямке с сохранением инфраорбитального нерва, визуализацией нервно-сосудистых образований крылонебной ямки. Возможен доступ к круглому отверстию основания черепа, руководствуясь, как направляющим, ходом инфраорбитального нерва.
При назальном этапе доступа, после резекции латеральной стенки носовой полости, выполняется удаление носовых раковин и формируется большая полость через которую возможен подход к медиальной стенке контралатеральной орбиты, решетчатой и основной кости.
Сфенокавернозный этап включает резекцию передней стенки основной пазухи с удалением ее слизистой. На данном этапе возможно проведение декомпрессии канала зрительного нерва, а после резекции латеральной стенки основной пазухи достижима медиальная стенка кавернозного синуса.
На кливусном этапе доступа доступна средняя и частично нижняя треть ската, а после удаления задней стенки пазухи основной кости визуализируется твердая мозговая оболочка ба-зальных отделов задней черепной ямки
Степень радикальности удаления опухоли определяется при контрольном радиологическом исследовании, при этом тотальным удалением считалось отсутствие на КТ и МРТ снимках остатков опухоли, субтотальным менее 10% от дооперационных снимков, а остальные случаи относятся к частичному удалению.
Вывод: трансмаксиллярный трансназальный подход наиболее целесообразен при экстрадуральной локализации опухолей основания черепа. Данным оперативным доступом возможно удаление опухолей решетчатой кости, медиальных и нижних отделов глазницы, основной пазухи и ската, а также гайморовой и носовой полостей. Представленная хирургическая методика может быть также использована при распространенных экстра-интракраниальных новообразованиях как один из этапов комплексного хирургического вмешательства.
Применение эндоскопической ассистенции в хирургическом лечении больных с опухолями мосто-мозжечкового угла
Данная работа посвящена проведению описательно-сравнительного анализа серии из 33 оперативных вмешательств по поводу опухолей мосто-мозжечкового угла, проведенных в НИИ нейрохирургии им. Н.Н. Бурденко с 2010 по 2012 год, в ходе которых была применена методика эндоскопической ассистенции. Все пациенты были оперированы посредством ретросигмовидного субокципитального доступа в положении «полусидя». Применение ЭА в хирургии опухолей ММУ позволило увеличить радикальность проводимых вмешательств, снизить риск развития послеоперационных осложнений путем сохранения анатомической целостности черепных нервов и важных сосудистых образований, и обеспечением сохранности костных структур основания задней черепной ямки. Данные преимущества позволили сохранить и улучшить качество жизни пациентов с опухолями ММУ в послеоперационном периоде.

Введение.
Применение эндоскопической техники в хирургии опухолей основания черепа является одной из наиболее современных технологий на сегодняшний день. За последние 10 лет значительно возрос интерес к изучению эффективности применения эндоскопической ассистенции (ЭА) в хирургии опухолей задней черепной ямки и в частности, опухолей мостомозжечкового угла (ММУ). Несмотря на большое количество публикаций по данной теме 6, не существует единого мнения насчет пользы эндоскопии в хирургии новообразований данной области. При этом, лишь в незначительной доли публикаций приводится сравнение результатов применения эндоскопии со схожими по нозологическим характеристикам группами больных, где ЭА не применялась. Целью настоящего исследования являлось проведение сравнительно-описательного анализа результатов лечения в НИИ нейрохирургии пациентов с опухолями мосто-мозжечкового угла, подвергшихся оперативному лечению с применением ЭА.
Материалы и методы.
Исследуемая серия включала 33 пациентов (24 женщины, 9 мужчин), оперированных по поводу опухолей ММУ с применением ЭА в НИИ нейрохирургии им. Н.Н. Бурденко с 2010 по 2012 гг. В нее вошли 23 пациента с вестибулярной шванномой (70%), 4 пациента с менингиомами задней черепной ямки (ЗЧЯ) различной локализации (12%), а также 5 пациентов с эпидермоидной кистой (15%) и 1 пациент с липомой мостомозжечкового угла (3%). Медиана возраста пациентов составила 44 года (возрастной диапазон 15 - 68 лет). Включение пациентов в исследуемую группу осуществлялось проспективно, при условии, что удаление опухолей производилось одной бригадой хирургов (В.Ш; В.П.). Основным критерием исключения из группы служили тяжелые соматические заболевания, наличие которых могло повлиять на исход оперативного вмешательства, вне зависимости от особенностей хирургического вмешательства. Данные о пациентах отражены в таблице 1.
Для анализа эффективности применения эндоскопической ассистенции при удалении опухолей ММУ, была сформирована контрольная группа пациентов, которым также проводилось удаление опухолей ММУ без применения эндоскопии. Данная группа состояла из 25 пациентов с невриномами слухового нерва и 5 пациентов с менинигиомами ЗЧЯ (9 мужчин, 21 женщина, возраст 15-70 лет, медиана - 47,4 лет). Включение пациентов в обе группы производилось рандомизированно, с применением соответствующего программного обеспечения.
Все пациенты контрольной группы были также оперированы в период с 2010 по 2012 гг. в НИИ нейрохирургии им. акад. Н.Н. Бурденко (Табл.1).
Всем пациентам была выполнена МРТ головного мозга. У пациентов с вестибулярными шванномами и менингиомами, распространявшимися в область внутреннего слухового прохода, была выполнена КТ в «костном» режиме для оценки внутреннего слухового прохода (ВСП) на стороне опухоли и визуализации положения верхней луковицы внутренней яремной вены.
Для проведения эндоскопической ассистенции использовались ригидные эндоскопы 30° и 70° с системой линз Hopkins, диаметром 2.7 мм и длиной 12 см. Для фиксации эндоскопа при проведении эндоскопически-контролируемых манипуляций, в 5 случаях был использован механический фиксатор эндоскопа.
Послеоперационное наблюдение и выполнение контрольной МРТ головного мозга с контрастным усилением выполнялось у пациентов обеих групп через 3, 6, 12 месяцев после операции. Критерием тотальности удаления опухоли являлось отсутствие как интракраниального, так и интраканального компонента (для вестибулярных шванном) опухоли.
Для статистического анализа использовался пакет «STATISTICA for Windows v. 10». Объектом обработки являлись результаты хирургического лечения. Для проведения анализа использовались следующие методы: χ², χ² Пирсона, максимального правдоподобия χ² и др. для таблиц сопряженности. Критерием статистической достоверности получаемых данных нами считалась общепринятая величина p
Результаты.
Все пациенты обеих групп были оперированы с применением ретросигмовидного субокципитального доступа, производимого в положении полусидя на операционном столе. При подготовке пациента к оперативному вмешательству в 23 случаях производилась установка стимулятора лицевого нерва (Medtronic NIM 3.0), не требующая применения в операционной специального нейрофизиологического оборудования и присутствия специалиста. Стойка с эндоскопическим оборудованием подготавливалась также до проведения операционного доступа, с учетом длины световода и провода камеры эндоскопа.
После проведения основного этапа вмешательства - удаления большей части опухоли и трепанации задней стенки внутреннего слухового прохода (ВСП), производилась эндоскопическая инспекция ложа удаленной опухоли и просвета ВСП с целью контроля тотальности удаления внутриканальной части опухоли. При удалении эпидермоидных кист мостомозжечкового угла инспекция области ВСП не требовалась, однако существовала необходимость проведения контроля арахноидальных цистерн на наличие остатков опухоли. В случае обнаружения остатков новообразования в цистернах ММУ, производилось эндоскопически-контролируемое их удаление, а также, при необходимости осуществлялся контроль положения волокон лицевого нерва под контролем эндоскопа. Необходимо отметить, что проведенная эндоскопическая инспекция устранила необходимость проведения дополнительной ретракции гемисферы мозжечка и манипуляций со нейроваскулярными структурами для инспекции цистерн ММУ, получения дополнительного угла обзора и усиления освещенности операционной раны.
В нашей основной, исследованной группе, применить эндоскопическую ассистенцию удалось у всех пациентов. В одном случае, после удаления парастволовой части капсулы холестеатомы, отмечались эпизоды нестабильной гемодинамики, сопровождавшиеся значительным снижением pCO2 крови. Данное обстоятельство потребовало ускорения проведения заключительного этапа операции и не позволило в полной мере провести эндоскопическую инспекцию цистерн мостомозжечкового угла.
Необходимо также отметить, что в 23 случаях при проведении эндоскопической ассистенции без дополнительной тракции мозжечка, был обнаружен остаток опухоли. Удаление резидуальной части опухоли выполнено у 18. В одном случае проведение тотальной резекции опухоли было затруднено ввиду наличия выраженного, распространенного в область внутреннего слухового прохода матрикса опухоли у пациентки с менингиомой задней поверхности пирамиды височной кости, в другом - крайне плотным сращением капсулы опухоли и корешком лицевого нерва у пациентки с вестибулярной шванномой. Во всех случаях дополнительной резекции опухоли нами использовалась как эндоскопическая эксплорация ложа опухоли, так и эндоскопически-контролируемые хирургические манипуляции (удаление опухоли, локация лицевого нерва в месте вхождения его во внутренний слуховой проход и пр.).
В этой группе добиться тотального удаления опухоли удалось в 72% случаев. Факторами, не позволившими произвести тотальное удаление опухоли, были не технические характеристики микрохирургической техники или эндоскопа, а особенности роста опухоли, ее распространение на основание черепа и интимное сращение с нейроваскулярными структурами. Последний факт во всех случаях был выявлен только при помощи эндоскопической ассистенции.
Более важным является тот факт, что в 70 % случаев только эндоскопическая ассистенция позволила выявить остаток опухоли. Например, у пациентов с вестибулярными шванномами, именно применение методики позволило на интраоперационном этапе обнаружить остаток опухоли во внутреннем слуховом проходе, убедиться в безопасности планируемого дополнительного рассверливания задней стенки внутреннего слухового прохода и удалить остаток опухоли под контролем эндоскопа. У пациентов с холестеатомами мосто-мозжечкового угла применение методики позволило выявить и удалить недоступные обзору микроскопа фрагменты новообразования (нередко находившиеся на задней поверхности корешков черепных нервов).
Данные манипуляции, несомненно, также имели важное значение для предотвращения развития послеоперационного асептического менингита.
При сравнении основной и контрольной групп пациентов по частоте развития пареза лицевого нерва, данное осложнение чаще отмечалось у пациентов из контрольной группы (p=0,0035). При этом, за благоприятный исход принималась оценка от 1 до 2 баллов по шк. Хаус-Бракманн, остальные результаты (3-6 баллов) оценивались, как развитие значимого пареза лицевого нерва.
Также в контрольной группе пациентов отмечалась меньшая радикальность удаления опухоли (в 57% по данным контрольной МРТ отмечался остаток опухоли) по сравнению с исследуемой (30% вмешательств носили субтотальный характер), при проведении теста χ2 показатель p=0,0179 (Табл. 2).
При проведении анализа исходов по шкале Карновского, медиана оценки качества жизни у пациентов контрольной группы равнялась 75,33 (ст. отклонение ± 8,60), в то время как у пациентов основной группы - 80,6. (Рис.2). Проведенное с помощью теста Мана-Уитни исследование показало статистическую достоверность данного отличия (p=0,01).
В мировой литературе приведено достаточно иллюстративных работ, подтверждающих эффективность применения эндоскопии в хирургии опухолей мостомозжечкового угла [1,2,3,5,8,9]. Основным преимуществом метода выделяется возможность инспекции «слепых» для микроскопа зон, в частности - внутреннего слухового прохода. Ряд авторов также выдвигает гипотезу о необязательности резекции задней стенки ВСП в случае применения ЭА [4]. Следует отметить, что данное предложение справедливо только для опухолей с незначительным распространением во внутренний слуховой проход. Поскольку таких пациентов в нашей серии не было, в 100% случаев трепанация задней стенки ВСП была необходимостью.
Несмотря на большое количество существующих публикаций, сравнение результатов лечения пациентов с применением ЭА и без нее, проводилось лишь в единичных случаях. Более того, за последние 10 лет не встречается публикаций, описывавших результаты, полученные в смешанных группах больных. Это обстоятельство может отчасти объяснить отсутствие четко сформулированных показаний к применению ЭА в зависимости от типа опухоли. По данным Y. Kumon и соавт., в группе с применением методики отмечалась как большая радикальность вмешательств, так и меньшее количество рецидивов в послеоперационном периоде [6]. Авторами не получено статистически-достоверной разницы в частоте сохранения «полезного» слуха и функции лицевого нерва. В нашей серии такая разница получена (p<0,05), что также отразилось на сравнении исходов операций с точки зрения качеств жизни пациентов. Сохранение функции лицевого являлось важным также с той точки зрения, что большинство оперированных нами пациентами являются женщинами.
На основании полученных результатов, нами отработан алгоритм проведения ЭА при удалении опухолей мосто-мозжечкового угла (Рис. 1). Следует отметить, что первичная инспекция образований данной локализации возможна только при размерах опухоли не более 20 мм. Также, применение эндоскопической техники при удалении опухолей больших и гигантских размеров нередко затруднено ввиду выраженного кровотечения. Поскольку существующий инструментарий не позволяет выполнить эффективный гемостаз при использовании только эндоскопа, хирургу приходится возвращаться к стандартной микрохирургической методике. Более того, изначально подразумеваемый субтотальный характер вмешательств в случае большого размера опухоли, делает применение ЭА нецелесообразным.
Наибольшая эффективность применения ЭА отмечалась нами в хирургии эпидермоидных кист мостомозжечкового угла. Этому способствуют особенности послеоперационного ложа опухоли - деформированный мозг на протяжении всей операции сохраняет свое положение и тем самым, создает необходимо для проведения инспекции протранство. Применение эндоскопа позволяло обнаружить фрагменты опухоли в цистернах мосто-мозжечкового угла, недоступных для инспекции с помощью операционного микроскопа (Рис. 3). Применение методики в случае удаления вестибулярных шванном позволяло инспектировать внутренний слуховой проход и в случае обнаружения остатков опухоли производить их удаление, тем самым, добиваться радикального характера вмешательства. Осмотр области трепанации задней стенки внутреннего слухового прохода с целью обнаружения костных дефектов побуждал нас применять меры профилактики ликвореи и в некоторых случаях, проводить пластику сформировавшихся дефектов (Рис. 5). При удалении менингиом задней поверхности височной кости, в том числе с распространением в область внутреннего слухового прохода, применение эндоскопической техники позволяло оценить степень инвазии опухолевой ткани в костные структуры, а также установить источник кровотечения, нередко выпадающий из «поля зрения» микроскопа (Рис. 4).
Радикальность проводимых операций зависела не только от размеров опухоли, ее связи с мозговыми структурами, но и от степени внедрения образования в область внутреннего слухового прохода. Применение ЭА было эффективным способом выявления остатков опухоли и в ряде случаев, именно проведение эндоскопической инспекции позволяло изменять тактику операции, ввиду повышения риска травматизации черепных нервов в результате дальнейшего удаления опухоли.
Эндоскопическая ассистенция является эффективной методикой, используемой в хирургии опухолей мосто-мозжечкового угла. Она позволяет провести безопасную инспекцию мостомозжечкового угла, оценить степень радикальности удаления новообразований и протяженность резекции кости в случае трепанации внутреннего слухового прохода. Данные возможности позволяют снизить риск развития послеоперационных осложнений и добиться большей радикальности удаления опухолей, а следовательно, сохранить и в некоторых случаях, улучшить качество жизни пациентов.
Одновременная работа с микрохирургической техникой и эндоскопом требует навыка, а эндоскопический вид анатомии ММУ - особого восприятия. Поэтому наш первый опыт подтверждает необходимость прохождения специального тренинга.
Читайте также:
- Забрюшинное введение воздуха. Диагностика внутригрудного зоба и опухолей щитовидной железы
- История тренировок по плаванию. Методы
- Заболевания придаточных полостей носа. Гнойные синуиты
- Гардероб на вылет в Крым. Что с собой захватить на отдых в Крыму?
- Боли при поражениях костей. Первичная хондросаркома. Саркома Юинга.
