История хирургии вестибулярной шванномы
Добавил пользователь Владимир З. Обновлено: 21.11.2025
Ежегодно невринома слухового нерва выявляется примерно у одного из 100 тысяч человек. На долю этого заболевания приходится 11 - 12 % всех опухолей головного мозга. Болезнь может развиться как у молодых, так и у пожилых людей, но чаще всего обнаруживается в возрасте от 30 до 50 лет. У детей опухоли этого типа не встречаются вовсе. Женщины страдают данным недугом втрое чаще, чем мужчины. В последние годы количество диагностированных случаев невриномы слухового нерва увеличивается. Впрочем, не в последнюю очередь это объясняется количественным и качественным ростом МРТ-диагностики.
Что такое невринома слухового нерва?
Невринома слухового нерва - это доброкачественная (нераковая) опухоль. Несмотря на название, она не затрагивает собственно слуховой нерв, который состоит из двух корешков с разными функциями: улитковый отвечает за проведение слуховых импульсов в головной мозг, а вестибулярный связан с равновесием. Невриномы образуются в вестибулярном корешке, а именно - в его шванновских (оболочковых) клетках. Отсюда их второе название неврином - шванномы.
Внешне невринома слухового нерва (вестибулярная шваннома, акустическая невринома, акустическая шваннома) выглядит как плотный узел округлой, овальной или неправильной формы с бугристой поверхностью. В ее ткань нередко вкраплены кисты различных размеров, заполненные жидкостью. Опухоли обычно растут медленно и не распространяются на другие органы. Однако нередко ухудшают качество жизни человека: он теряет слух, возможность держать равновесие, поражаются лицевые нервы. Хотя невринома слухового нерва не является раком, она может быть опасна: вырастая до большого размера, новообразование начинает давить на головной мозг или его ствол, что приводит к постоянным головным болям, в редких случаях - к нарушению ясности сознания.
Типы невриномы слухового нерва
Невриномы слухового нерва бывают двух видов
- односторонние. Возникают спорадически, не наследуются и не связаны с другими новообразованиями центральной нервной системы;
- двусторонние. Встречаются у больных с нейрофиброматозом второго типа, который является генетической патологией и передается от родителей детям. У страдающих данным заболеванием людей, помимо шванном, как правило, развиваются также другие опухоли внутри головы и в позвоночнике.
Причины и группы риска
Причина развития невриномы слухового нерва на сегодня неизвестна. Также не выявлены какие-либо факторы риска развития невриномы, помимо предрасположенности к их возникновению в связи с генетически наследуемым заболеванием
Симптомы
Данное заболевание развивается по разным сценариям. В одних случаях новообразование остается небольшим, до полутора сантиметров в диаметре, никак себя не проявляет и не мешает жизни человека. Такая невринома не требует оперативного вмешательства, достаточно будет наблюдать за ее состоянием, посещая врача раз в год.
В других случаях опухоль разрастается и начинает давить на улитковый корешок слухового нерва, а при особо больших размерах - на ствол головного мозга. В связи с этим возникают следующие симптомы:
- постепенно развивающаяся или внезапная потеря слуха на одно ухо;
- тиннитус (звон в ухе). Он отмечается у 60 % пациентов;
- ощущение заложенности уха;
- проблемы с равновесием, головокружение и неустойчивость при резких поворотах головы или наклонах. Встречается у 60% заболевших;
- рвота, тошнота, вызванные нарушениями в работе вестибулярного аппарата. Встречаются крайне редко;
- онемение, чувство покалывания на пораженной опухолью стороне лица. В запущенных случаях болезнь приводит к парезу (ослаблению или параличу) лицевого и отводящего нервов;
- тупые, ноющие боли в голове, возникающие из-за сдавливания невриномой ствола головного мозга. Возникают на поздних стадиях;
- к симптомам поздней стадии относятся также расстройство зрения, трудности с жеванием и глотанием.
Симптомы невриномы слухового нерва нарастают медленно и часто ошибочно принимаются за нормальные возрастные изменения. Надо быть внимательным: если звон в ухе длится более двух месяцев, вам следует обратиться к врачу.
Диагностика
Заболевание выявляется в результате проверки слуха и последующей инструментальной диагностики. Как правило, врач проводит ряд исследований:
- проверка слуха. Во время обычного осмотра врач-отоларинголог может заметить снижение слуха у пациента. В этом случае будет назначен специальный тест, который называется аудиограмма для оценки слуха в обоих ушах;
- слуховой тест на ответную реакцию ствола мозга. В ходе этого исследования измеряется скорость электрических импульсов, проходящих от внутреннего уха к мозгу. Замедление или отсутствии импульса почти всегда указывает на наличие шванномы;
- электронистагмография. Тест, который позволяет выявить наличие проблемы по нистагму - непроизвольному движению глазных яблок. В ушной канал вводятся холодная и теплая вода, а специальный прибор фиксирует и анализирует движение глаз;
- Магнитно-резонансная томография (МРТ).
Если предыдущие исследования с большой долей вероятности указывают на шванному, наиболее информативным инструментальным методом визуализации считается МРТ. Это современное высокоточное неинвазивное исследование, которое позволяет определить размер и локализацию опухоли, а также увидеть состояние окружающих ее органов и тканей. Магнитно-резонансная томография проводится по назначению лечащего врача или по желанию пациента при наличии головных болей, головокружений, при подозрении на опухоль (ухудшение зрения, слуха, нарушение речи, чувствительности и движений в конечностях).
После проведения основной МР томографии может понадобиться уточняющее исследование для постановки дифференциального диагноза, уточнения размеров опухолевого процесса и степени вовлечения окружающих органов и структур. В таком случае назначается МРТ с контрастным усилением, в ходе которого в вену пациента вводится контрастное вещество. Изображения, полученные с применением контраста, дают не только точное представление о размере и границах невриномы, но позволяют оценить функциональные нарушения в органах.
Стадии заболевания
- 1-я стадия. Размеры опухоли не превышает 2,5 см. Отмечаются симптомы поражения слуха и вестибулярного аппарата, например, глухота на одно ухо. Возможны также частичное нарушение вкуса, легкий парез лицевого нерва;
- 2-я стадия. Невринома выросла до 2,5- 3,5 см. Симптомы усиливаются: возникает неконтролируемое движение глазных яблок, нарушается равновесие и координация движений;
- 3-я стадия. Размеры опухоли превысили 4 см. Она уже сильно давит на головной мозг, вследствие чего нистагм становится более заметным, возможны нарушения зрения. Скапливание жидкости в желудочках головного мозга (гидроцефалия) может привести к изменению сознания и нарушению психики пациента.
Лечение невриномы слухового нерва
На данный момент существует три основных вида лечения - выжидательная тактика (наблюдение), хирургическая операция и лучевая терапия. Выбор метода зависит от параметров конкретного случая. Врач определит оптимальное лечение, ориентируясь на следующие показатели:
- размер и место опухоли;
- возраст пациента;
- общее состояние здоровья;
- уровень слуха;
- предпочтение больного.
Выжидательная тактика. Показана в тех случаях, когда опухоль мала, расположена таким образом, что не сдавливает близлежащие нервы. Либо, несмотря на достаточно крупный размер, ничем себя не проявляет и не беспокоит пациента. Наблюдение также выбирается в качестве метода, если пациенту противопоказано оперативное вмешательство в силу пожилого возраста или ослабленности организма.
Врач порекомендует наблюдать за развитием процесса, ежегодно делать МР исследование и приходить на консультацию;
Хирургическая операция. Хирургия невриномы слухового нерва - очень сложная и тонкая операция. Показана людям молодого возраста в тех случаях, когда опухоль растет, симптомы усиливаются, а радиохирургия не дает ожидаемого результата. Проводится для сохранения зрения, слуха, лицевого нерва. Хирургическая операция может быть проведена через различные доступы: сосцевидный отросток (транслабиринтный доступ); за ухом (ретросигмоидный доступ); над ухом (средняя ямка).
Операция идет под анестезией, предполагает трепанацию черепа. Восстановительный период длиться от полгода до года.
Лучевая терапия
Гамма-нож
Операции на установке Гамма-нож представляют собой неинвазивный (бескровный) метод лечения неврином слухового нерва, по своей эффективности не уступающий открытой хирургии и значительно снижающим риск послеоперационных осложнений. На сегодняшний день в мире известно более чем о 28 тысяч пациентов с невриномами слухового нерва, пролеченных с помощью Гамма-ножа, и их количество продолжает возрастать.
Целью радиохирургического лечения является предотвращение дальнейшего роста опухоли с минимизацией риска осложнений со стороны прилегающих невральных структур. Биолологические эффекты радиохирургического лечения неврином слухового нерва связаны с разрушением опухолевой ДНК и тромбозом сосудов, питающих опухоль.
Операции на Гамма-ноже показаны больным, у которых наибольший размер опухоли не превышает 3 см. А также - пациентам с остаточными и рецидивирующими опухолями после проведенного микрохирургического удаления.
До начала радиохирургического лечения проводится обследование, позволяющее определить точное положение опухоли и прилегающих нервных образований. Выполняется трехмерная реконструкция, отображающая детальную микрохирургическую анатомию этой области. Для этой цели с помощью МРТ получают четкую визуализацию опухоли и нервов во внутреннем слуховом проходе и области мосто-мозжечкового угла.
С помощью планирующей системы Gamma Planи автоматической позиционирующей системывозможно проводить очень точное облучение опухоли (точность 0,5 мм), избегаяповреждения черепных нервов и других важных отделов мозга.

Преимуществами лечения на Гамма-ноже являются высокая степень сохранения функции лицевого нерва (в 98%) и слуха (в 80%). Полностью отсутствуют осложнения, связанные с открытой операцией (менингит, ликворея). Лечение проводится за один день. Госпитализации и послеоперационного восстановительного периода не требуется. Большинство пациентов возвращаются к своему обычному образу жизни на следующий деньпосле операции.

Слева - МРТпациентки М., 65 лет. Обратилась в радиохирургический центр МИБС с диагнозом-невринома правого VIII нерва. Проведено радиохирургическое лечение, доза по краю невриномы составила 13 Грей, в изоцентре опухоли 21,7 Грей.
Справа - контрольное МРТ через 1,5 года после операции. Отмечается уменьшение объёма опухоли на 47%.
Кибер-нож
Роботизированная радиохирургическая система Кибер-нож, предназначенная для лечения доброкачественных и злокачественных опухолей. В отличие от Гамма-ножа, не имеет ограничений, связанных с размером новообразования. Принцип воздействия радиации на невриному, а также преимущества перед хирургическом вмешательством аналогичны описанным выше, а разделе о Гамма-ноже.
Отдаленные результаты радиохирургического лечения хорошо изучены на протяжении более 50 лет. Уровень контроля за опухолью (отсутствие роста после радиохирургического лечения) составляет 95%. Безопасность лечения и отсутствие побочных эффектов подтверждены длительными периодами наблюдения. На МРТ исследовании, выполненном через 6-12 месяцев после операции, видно, что контраст перестает накапливаться в центре опухоли. После чего новообразование начинает замещаться соединительной тканью. радиационный ответ обычно проявляется через 6-12 месяцев ввидепотери контрастного усиления в центре опухоли, после чего опухоль начинает замещаться соединительной тканью.
История хирургии вестибулярной шванномы
Телефон регистратуры поликлиники:
Телефон регистратуры лучевой диагностики:
Гамма-нож
![]() |
Вестибулярная шваннома (невринома VIII нерва, акустическая невринома) представляет собой доброкачественное новообразование, возникающее из шванновских клеток вестибулярной порции VIII нерва.
Заболеваемость невриномами слухового нерва составляет примерно 1 случай на 100000 населения в год. Каждый год в Российской Федерации появляется 1500 новых случаев неврином слухового нерва. Среди первичных интракраниальных опухолей вестибулярные шванномы вестибулярные шванномы занимают 4-е место (после глиом, менингиом и аденом гипофиза), составляя до 6-10% всех верифицированных опухолей мозга и поражая преимущественно лиц работоспособного возраста (30-60 лет), на который приходится более 80% случаев. Вестибулярные шванномы составляют около 30% опухолей задней черепной ямки и до 90% новообразований мосто-мозжечкового угла. Несколько чаще встречаются у женщин, чем у мужчин, примерное соотношение 3:2.
Клиническая картина зависит от размеров опухоли. При небольших размерах симптоматики может не быть вовсе. По мере увеличения опухоли в размерах появляется симптоматика, зависящая от того, какие структуры сдавливает опухоль:
- Поражения нервов.
- Нарушение слуховой и вестибулярной функции.
- Расстройства функции вкуса на передней 2/3 языка и слюноотделения (XIII нерв).
- Расстройства функций каудальной группы нервов.
- Расстройства функции мимической мускулатуры.
- Глазодвигательные нарушения.
- Симптомы раздражении/компрессии ствола головного мозга.
- Различные виды нистагма.
- Пирамидная симптоматика.
- Мозжечковая симптоматика.
- Гипертензионно-дислокационный синдром.
Наиболее информативным методом выявления вестибулярных шванном является МРТ головного мозга с контрастным усилением в режиме Т1 и Т2. Это исследование позволяет определить размеры опухоли, наличие перитуморозного отека, наличие признаков окклюзионной гидроцефалии, которая может быть следствием сдавления опухолью IV желудочка. Кроме этого МРТ позволяет провести дифференциальную диагностику с другими опухолями схожей локализации (чаще с менингиомой задней грани пирамиды височной кости). Еще одним стандартом диагностики является КТ в костном режиме. Независимо от снижения слуха стандартом является проведение аппаратной аудиографии.
Классификация KOOS
I стадия: опухоль находится в пределах внутреннего слухового прохода, диаметр экстраканальной части составляет 1-10 мм.
II стадия: опухоль вызывает расширение канала внутреннего слухового прохода, и выходит в мостомозжечковый угол, ее диаметр составляет, 11-20 мм.
III стадия: опухоль распространяется до ствола головного мозга без его компрессии, диаметр составляет 21 - 30 мм.
IV стадия: опухоль вызывает компрессию ствола головного мозга, ее диаметр более 30 мм.
Классификация M. Samii
Т1 - интрамеатальная опухоль.
Т2 - интра-экстрамеатальная опухоль.
Т3а - опухоль заполняет мостомозжечковую цистерну.
Т3b - опухоль распространяется до ствола головного мозга.
Т4а - опухоль вызывает компрессию ствола.
Т4b - опухоль грубо деформирует ствол мозга и IV желудочек.
Тактика лечения
В зависимости от размеров опухоли, клинической симптоматики, возраста больного, тяжести его состояния, наличия сопутствующей патологии возможны 3 варианта тактики лечения:
- динамическое наблюдение;
- хирургическое лечение;
- стереотаксическая радиохирургия.
Динамическое наблюдение
Учитывая, что вестибулярная шваннома является доброкачественной опухолью с невысокими темпами роста, при небольших ее размерах, отсутствии или минимальном неврологическом дефиците возможен выбор выжидательной тактики. Особенно такой подход оправдан у пожилых людей, или у пациентов с выраженной декомпенсированной соматической патологией. Однако, в большинстве случаев, учитывая риски, связанные с возможным ростом опухоли, более оправданным считается выбор активной тактики.
Хирургическое лечение
Наличие у пациента вестибулярной шванномы является показанием к хирургическому лечению. Большие и гигантские размеры опухоли (более 3,5 см.) являются абсолютным показанием к хирургическому лечению. При меньших размерах возможно проведение радиохирургического лечения.
Для удаления вестибулярных шванном в настоящее время используются три основных доступа: транслабиринтный, ретросигмовидный (наиболее часто используемый) и доступ через среднюю черепную ямку. Каждый из них обладает своими преимуществами и своими же недостатками. В последние годы в связи с развитием микрохирургической техники результаты хирургического лечения пациентов значительно улучшились. Летальность после удаления вестибулярных шванном колеблется в пределах (0-3%), рецидивы опухоли наблюдаются в 5-10%.
В настоящее время превалирующим фактором результативности хирургического лечения считается качество жизни пациента, поэтому интраоперационная тактика в большей степени должна быть нацелена на достижение именно этой цели. Такие послеоперационные осложнения как паралич лицевого нерва (до 25%), нарушения глотания, глазодвигательные нарушения, несут существенную угрозу инвалидизации, поэтому проведение таких операций диктуют высокие требования к профессиональной подготовке оперирующего нейрохирурга. Из послеоперационных осложнений также следует отметить ликворею у 2-20% пациентов, которая иногда может потребовать проведение повторной операции для закрытия ликворного свища; кровоизлияние в ложе операции (1-2%); отек мозжечка и ствола мозга; гемипарез; менингит (1,2%); раневую инфекцию (1,2%); парез VI черепного нерва (1-2%) и парезы других, ниже расположенных черепных нервов; подкожную гематому (3%).
Стереотаксическая радиохирургия
Целью радиохирургического метода является контроль роста опухоли. Стабилизация процесса и даже уменьшение размеров наблюдается в 85-94% случаев, что соответствует мировым данным. Другим критерием эффективности лучевой терапии является высокий (до 98%) показатель отсутствия операции после проведения облучения. Важным также является сохранение функции улиткового и других черепных нервов в случаях, когда это возможно, а также улучшение неврологического статуса пациента. Эффективность применения Гамма-ножа при лечении больных с вестибулярными шванномами создало реальную альтернативу хирургическому лечению при опухолях, размеры которых не превышают 3,5 см, при этом метод радиохирургии лишен недостатков хирургического метода лечения.
После облучения опухоли гамма-ножом возможно как уменьшение ее размеров, так и временное их увеличение. Третьим возможным вариантом развития событий может быть продолженный рост опухоли, однако, это происходит нечасто (от 0 до 7% в течение 10 лет).
Версия для слабовидящих Карта сайта
Невринома слухового нерва (шваннома)

Среди поражений периферических нервов чаще встречается невринома Мортона (стопы), которая характеризуется фиброзным утолщением (разрастанием) тканей стопы вокруг подошвенного нерва. Среди новообразований головного мозга наиболее часто встречается невринома слухового нерва (поражение преддверно-улиткового нерва). Преддверно-улитковый (слуховой) нерв состоит из слуховой части, которая передает в церебральные центры сигналы от слуховых рецепторов и вестибулярной, несущей сигналы от вестибулярных рецепторов улитки.
Частота встречаемости по данным разных авторов варьирует в пределах 0,6-1,9/100 тысяч населения. Опухоль является преимущественно доброкачественной, развивается медленно на протяжении многих лет. Злокачественная шваннома — достаточно редкое явление, встречающееся в 4-7% всех случаев. Невринома головного мозга сама по опасности не представляет, однако со временем по мере ее роста и увеличения размеров происходит сдавление прилегающих структур.
Чаще (в 1,5-2 раза) заболевание встречается у женщин. Опухоль может образоваться у лиц любого возраста (чаще 30-40 лет). Заболевание не встречается у детей до периода начала полового созревания. Невриномы не обусловлены заболеваниями ЦНС, возникают спорадически, не наследуются. Невринома слухового нерва в подавляющем большинстве случаев является односторонней. На долю двусторонних неврином приходится лишь 4% случаев (у пациентов с нейрофиброматозом II-го типа).
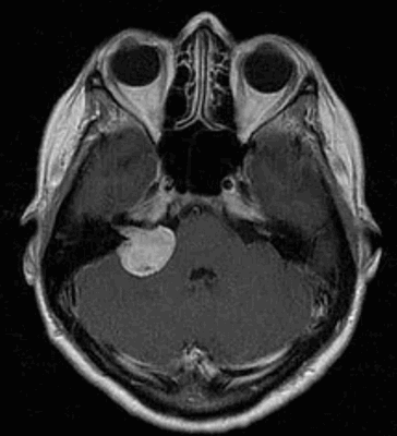
Наиболее частая локализация опухоли — у входа во внутренний слуховой проход на концевой части слухового нерва. Поскольку слуховой нерв вместе вестибулярным и двигательным лицевым нервом нерв входят в единый внутренний слуховой проход на основании черепа, то увеличение опухоли сдавливает все прилежащие нервы, вызывая типичную клиническую симптоматику (рис. ниже).

В большинстве случаев опухоль растет медленно. Темпы ее роста варьируют в пределах 1-10 мм/год и по мере роста невриномы из внутреннего слухового канала распространяются в мостомозжечковый угол. При отсутствии своевременного и адекватного лечения существует значительный риск потери слуха, вкусового восприятия, зрения и различных церебральных осложнений, о чем свидетельствуют в том числе отзывы пациентов, посещающих специализированный форум.

Патогенез

При росте в мостомозжечковый угол после достижения размера 1,5 см в диаметре, она начинает воздействовать (сдавливать) на латеральные поверхности ствола мозга, вызывая смещение в контралатеральную сторону ствола мозга. При достижении размера 2 см опухоль оказывает давление в направлении вверх/вперед, вызывая компрессию тройничного нерва, что проявляется нарушением чувствительности на соответствующей половине лица/снижением роговичного рефлекса. Опухоль в мостомозжечковом углу при размере в 4 см воздействует на IV желудочек/сильвиев водопровод с постепенным развитием окклюзионной гидроцефалии.
Макроскопически невринома выглядит как бугристое образование неправильной формы, окруженное желтоватого оттенка капсулой. Опухоль как правило в окружающие ткани не врастает на разрезе могут быть видны кисты. На фото выше представлен макроскопический вид невриномы слухового нерва.
Классификация
В основе классификации невриномы лежат размеры/положение опухоли относительно внутреннего слухового прохода и ствола головного мозга, в соответствии с чем несколько классификаций.
Классификация W. Koos (стадии роста опухоли):
- I стадия —невринома за пределы внутреннего слухового прохода не выходит, размеры опухоли не превышают 10 мм;
- II стадия — невринома выходит в мостомозжечковый угол, размеры опухоли до 20 мм;
- III стадия — невринома достигает ствола головного мозга, но его, не сдавливает, размеры опухоли до 30 мм;
- IV стадия — невринома сдавливает ствол головного мозга, размеры опухоли превышают 30 мм.
Классификация по M. Samii (стадии невриномы):
- Т1 —невринома расположена непосредственно во внутреннем слуховом проходе;
- Т2 — невринома растет из внутреннего слухового прохода;
- Т3а — невринома заполняет цистерну мостомозжечкового угла;
- Т3b — невринома достигает ствола мозга;
- Т4а — невринома сдавливает ствол головного мозга;
- Т4b — невринома грубо деформируют 4-й желудочек/ствол мозга.
Также различают односторонние и двусторонние невриномы слухового нерва.
Причины
Этиология невриномы слухового нерва неизвестна, как и не выявлены факторы риска ее развития, кроме предрасположенности к их возникновению в связи с наследственным заболеванием (нейрофиброматозом второго типа), обусловленное мутацией в локусе 22 хромосомы. Принято считать, что риск развития невриномы возрастает под действием ионизирующего излучения, неблагоприятных факторов внешней среды, нарушениях гормонального фона, неправильного питания.
Симптомы невриномы слухового нерва обусловлены несколькими процессами:
- поражением черепных нервов;
- компрессией сосудов головного мозга;
- сдавлением/смещением ствола мозга;
- сдавлением 4-го желудочка.
Клиническая картина определяется размерами/локализацией опухоли и может быть представлена следующими синдромами:
Кохлеовестибулярный синдром. Характеризуется расстройствами слуха и симптоматикой поражения вестибулярного аппарата. Вначале появляются симптомы раздражения VIII нерва, проявляющиеся «характерным» шумом в виде свиста, звона, шума прибоя, который появляется задолго (в течение нескольких лет) до развития внутричерепной гипертензии. Шум соответствует локализации опухоли. Постепенно развиваются явления выпадения: вначале развивается частичная глухота на высокие тона, а позже полная потеря слуха/костной проводимости со стороны локализации опухоли. У 60% больных появляются симптомы поражения вестибулярного нерва (расстройства вестибулярной системы), что проявляется ощущением неустойчивости (головокружением) при резких поворотах тела/головы, спонтанным нистагмом и выпадением вестибулярной возбудимости. Пациенты могут жаловаться на боли в затылке на стороне опухоли, иррадиирущие в шею.
Синдромы сдавливания черепных нервов. Наиболее часто вначале отмечается компрессия лицевого нерва. Несмотря на то, что лицевой нерв страдает относительно мало по сравнению с отдаленными нервами его компрессия проявляется на стороне поражения легкой недостаточностью/парезом его ветвей, значительно реже — спазмом лицевой мускулатуры.
Со стороны лицевого нерва относительно резкие нарушения развиваются при локализации невромы во внутреннем слуховом проходе, когда лицевой нерв вместе с его промежуточной порцией сильно сдавливается, что выражается в нарушении на стороне поражения слюноотделения/потере вкуса на передних 2/3 языка. Зачастую имеют место изменения и со стороны тройничного нерва: гипестезия в полости носа/ослабление роговичного рефлекса на стороне опухоли. На поздней стадии могут отмечаться гипестезии в области 1-2 ветви (изменение кожной чувствительности), отсутствие роговичного рефлекса. Могут присутствовать двигательные нарушения в виде атрофии жевательной мускулатуры, что проявляется при открывании рта отклонением нижней челюсти в сторону паралича.
Далее по частоте поражения занимают языкоглоточный/отводящий нервы. Нарушения со стороны отводящего нерва проявляются преходящей диплопией и недоведением до наружной спайки века края радужки при отведении глаза в сторону опухоли, а со стороны языкоглоточного нерва — полным отсутствием/снижением вкуса в зоне задней трети языка. Значительно реже отмечаются расстройства XI и XII пар ЧМН (черепно-мозговых нервов). Как правило расстройства ЧМН характерны для опухолей, растущих в каудальном направлении, или при больших размерах опухоли. Имеет большие размеры. Односторонний парез подъязычного нерва (XII) выражается в отклонении кончика/атрофии мышц соответствующей половины языка. При поражении блуждающего нерва наблюдается односторонний парез мягкого неба/голосовых связок с нарушением глотания и фонации.
Синдром сдавления ствола головного мозга. В случаях медиального роста опухоли развиваются одновременно нарушения со стороны ствола мозга и соответствующей половины мозжечка. Симптомы нарушения проводящих путей ствола мозга (пирамидные симптомы) выражены незначительно и зачастую парадоксально (наблюдаются на стороне опухоли, не контрлатерально), что обусловлено более сильным влиянием на проводящие пути противолежащей пирамиды височной кости. Это проявляется в том, что слабовыраженные, а так как оказывает, чем сама опухоль. Расстройства чувствительности встречаются крайне редко.
Синдром компрессии мозжечка. Симптоматика мозжечковой компрессии обусловлена выпадением функций сдавленного полушария/нарушениями проводимости сдавленной ножки мозжечка. Симптомы мозжечковых расстройств проявляются проявляющимися на стороне опухоли в виде замедленности движений/гипотонии мышц конечностей, атаксии, промахивания при проведении колено-пяточной/пальце-носовой проб, отклонение в сторону пораженного полушария мозжечка в позе Ромберга, спонтанный нистагм на стороне опухоли.
Внутричерепная гипертензия. Симптоматика внутричерепной гипертензии проявляется головными болями, особенно по утрам после пробуждения, застойными дисками зрительных нервов, рвотой.
Особенности клинической картины во многом определяются направлением роста опухоли: для латеральных неврином, рост которых происходит преимущественно во внутренний слуховой проход характерны: раннее выпадение слуха, вестибулярной функции, а также вкуса на стороне опухоли на передней 2/3 языка. Чаще выявляется более выраженный периферический парез лицевого нерва. Значительно позже развиваются: застой на глазном дне/внутричерепная гипертензия. Для опухолей с медиооральным направлением роста характеро раннее появление стволовой симптоматики/повышение внутричерепного давления. Каудальный рост опухоли характеризуется грубым ранним нарушением функций блуждающего, языкоглоточного и добавочного нервов. Для орального роста характерны грубые симптомы со стороны ствола мозга/раннее развитие внутричерепного давления.
Специфика клинических проявлений во многом определяются величиной опухоли:
- На 1 стадии симптоматика проявляется нарушением функции слухового, тройничного лицевого нервов и сопровождается парестезиями на стороне опухоли/лицевыми болями ноющего характера, которые вначале протекают по типу пароксизмов, а позже — становятся постоянными. Одновременно с лицевой болью появляются парез мимических мышц, лицевая асимметрия, утрата вкуса на передних 2/3 языка, нарушение саливации, диплопия и сходящееся косоглазие. Стволовые/гипертензионные симптомы выражены слабо или отсутствуют.
- На 2 стадии отмечаются нарушения ликвороциркуляции. Характерно полное выпадение вестибулярной/слуховой порций VIII нерва, полное выпадение вкуса, поражение V и VI нервов. Присоединяется стволовая/мозжечковая симптоматика в виде вертикального/горизонтального нистагма, ослабление оптонистагма, проявляются выраженные нарушения функций прилегающих ЧН.
- 3 стадия проявляется тоничным нистагмом при взгляде вниз, усиливаются мозжечковые расстройства, полностью выпадает оптонистагм, появляются нарушения глотания, речи, резко выраженные гипертензионно/гидроцефальные симптомы.
Анализы и диагностика
Постановка диагноза «невринома» базируется на характерной клинической симптоматике, жалобах пациента, неврологическом обследовании и данных инструментальных методов обследования: отоскопии, аудиометрии, электрокохлеографии, стабилографии, электронистагмографии, вестибулометрии, КТ/МРТ головного мозга с контрастным усилением, прицельной рентгенографии черепа в области височной кости.
1 Российский научно-исследовательский нейрохирургический институт имени профессора А.Л. Поленова - филиал ФГБУ «Северо-Западный федеральный медицинский исследовательский центр»
Работа основана на результатах лечения 90 пациентов с диагнозом «вестибулярная шваннома». Проведен анализ магнитно-резонансных томограмм, неврологического статуса, хирургических осложнений. Нами использовался стандартный диагностический комплекс: неврологический осмотр, нейроофтальмологический, отоневрологический и нейрофизиологический методы исследования. В своей работе мы использовали нейрофизиологический мониторинг, включающий в себя регистрацию акустических стволовых вызванных потенциалов, электронейромиографию мимической мускулатуры лица, регистрацию потенциала действия слухового нерва (впервые). В нашей работе достигнуты высокие функциональные показатели в отношении акустико-фациальной группы нервов в сочетании с высоким процентом хирургической радикальности опухоли. Обсуждены основные аспекты хирургической тактики, направленные на сохранение функции слухового анализатора, лицевого нерва и значимость применения интраоперационного нейрофизиологического мониторинга. Представлен анализ повреждений вестибуло-кохлеарного нерва в зависимости от размеров, характера роста опухоли.
1. Delgado T.E. Intraoperative monitoring of facial muscle evoked responses obtained by intracranial stimulation of the facial nerve: A more accurate technique for facial nerve dissection / T.E. Delgado, W.A. Bucheit // Neurosurgery. - 1979. - Vol. 4. - P. 418-421.
2. Frerebeau P., Benezech J., Uziel A., Coubes P., Segnarbiex F., Malonga M.: Hearing preservation after acoustic neurinoma operation. Neurosurgery. - 1987. - Vol. 21. - Р. 197-200.
3. Eldridge R. Summary: Vestibular schwannoma Consensus Development Conference / R. Eldridge, D. Parry // Neurosurgery. - 1992. - V. 30. - P. 962-964.
4. Kanzaki J., Ogawa K., Inoue Y., Shiobara R., Toya S.: Quality of hearing preservation in acoustic neuroma surgery. Am J Otol. - 1998. - Vol. 19. - Р. 644-648.
5. Inoue Y., Ogawa K., Kanzaki J.: Quality of life of vestibular schwannoma patients after surgery. Acta Otolaryngol. - 2001. - Vol. 121. - Р. 59-61.
6. What is the real incidence of vestibular schwannoma? / M. Tos, S.E. Stangerup // Arch. Otolaryngol. Head Neck Surg. - 2004. - V. 130, № 2. - P. 216-220.
7. Anderson D.E., Leonetti J., Wind J.J., Cribari D., Fahey K.: Resection of large vestibular schwannomas: facial nerve preservation in the context of surgical approach and patient-assessed outcome. J Neurosurgery. - 2005. Vol. 102. - Р. 643-649.
Вестибулярная шваннома (акустическая невринома, нейролемма) - это медленно растущее доброкачественное новообразование. Как правило, развивается из верхней предверной части вестибуло-кохлеарного нерва в месте перехода «центрального» и «периферического» типов миелина, на расстоянии 8-12 мм от места выхода корешка из ствола головного мозга, вблизи от входа во внутренний слуховой проход, так называемая зона Оберштайнера - Редлиха. В 5 % случаев могут развиваться из кохлеарной части предверно-улиткового нерва [3]. Частота возникновения составляет 1 случай на 100 000 населения [6]. Акустические невриномы составляют до 12 % всех первичных интракраниальных новообразований [3]. Прошло более трех веков, когда профессор E. Sandifort описал первый случай односторонней опухоли слухового нерва. Однако первое успешное удаление вестибулярной шванномы датируется 1894 годом сэром C. Ballance. Дальнейшие попытки хирургического лечения ВШ сопровождались высокой летальностью или глубокой инвалидизацией пациентов. На сегодняшний день благодаря развитию хирургических технологий, а в частности, интраоперационного электронейрофизиологического мониторирования, операционного микроскопа, и адекватному анестезиологическому пособию, достигнуты хорошие результаты в хирургии вестибулярных шванном. Современная хирургия ВШ подразумевает не только тотальное удаление опухоли, но и достижение высоких показателей качества жизни, что невозможно без сохранения функции лицевого и слухового нервов. В начале ХХ века дисфункция лицевого нерва считалась неотъемлемой частью операции по поводу опухолей боковой цистерны моста. Такое мнение существовало до конца 70 годов, когда E. Delgado (1979) внедрил интраоперационную электромиографию для мониторирования лицевого нерва, это нововведение наряду с микрохирургической техникой повысило шансы сохранить функцию лицевого нерва у большинства пациентов [1]. Первая успешная слухосохраняющая операция выполнена в 1987 году Elliott и McKissock с использованием стандартного ретросигмовидного доступа [2]. Основой слухосберегающих операций на тот промежуток времени являлся размер опухоли, считалось что, чем меньше опухоль (не более 15 мм), тем выше шансы сохранить слух полноценным. Однако с 1980 года приводятся клинические примеры, указывающие на возможность сохранения кохлеарного нерва, даже при больших и гигантских вестибулярных шванномах. На сегодняшний день размер опухоли влияет только на выбор хирургического пособия, техники и тактики ведения пациентов. Возможность сохранения слуха формируется в ходе планирования на основе индивидуальной тактики и мультидисциплинарных подходов. Работа основана на анализе результатов проспективного когортного исследования, проводимого в отделении хирургии опухолей головного и спинного мозга № 2 (РНХИ им. Проф. А.Л. Поленова- филиал СЗФМИЦ) с 2013 года, направленного на повышение качества жизни больных с опухолями боковой цистерны моста путем сохранения функции кохлеарного нерва.
Проанализировать результаты обследования и хирургического лечения больных с вестибулярными шванномами больших и гигантских размеров. Отследить особенности техники оперативного вмешательства с применением нейрофизиологического мониторинга. Улучшить функциональные результаты в хирургическом лечении вестибулярных шванном (сохранение слуха).
Материалы и методы исследования
В работе проведен анализ результатов обследования и хирургического лечения 90 пациентов с верифицированными вестибулярными шванномами преимущественно больших размеров, оперированных в РНХИ им. проф. А.Л. Поленова с 2013 г. по 2014 г. Нами заложено два основных направления в нашей работе - это хирургическое и нейрофизиологическое. Первое направление включало изучение топографо-анатомического варианта опухоли, распространенность новообразования и степень ее биологической агрессивности. Любое хирургическое вмешательство тщательно планировалось с использованием современных методов нейровизуализации, позволяющих оценить взаимоотношение опухоли с магистральными сосудами и краниальными нервами. Задачами хирургии является сочетание максимальной радикальности с сохранением функции черепных нервов. При больших и гигантских шванномах использовался стандартный ретросигмовидный доступ, но с укладкой больного в сидячем положении, что обеспечивает на наш взгляд, лучший обзор опухоли, баланс ликвородинамики, меньшую тракцию полушария мозжечка и адекватную декомпрессию ствола головного мозга, непрерывное «промывание» раны как дополнительный метод гемостаза, исключающий скопление крови в ране и окклюзию цистерн. Второе направление сводилось к многофункциональному интраоперационному мониторингу. Все пациенты были разделены нами на две группы: 1-я группа - глухие, 2-я группа- с сохранным слухом. Возраст пациентов варьировал от 24 до 83 лет, средний возраст составил 45,4 ± 3,2 г. Отмечено преобладание женщин - 71 (78,8 %), мужчин - 19 (21,1 %). Преимущественное расположение опухоли было правосторонним - 62 (68,8 %), левосторонним - 28 (31,1 %). Длительность заболевания колебалась от 1 года до 17 лет. Размеры опухоли определялись по данным КТ и/или МРТ. Размеры опухоли варьировались от 25 мм до 42,1 мм. В первую группу (глухие) вошли - 70 (77,8 %) пациентов, во вторую группу (с сохранным слухом) - 20 (22,2 %) пациентов. В нашей работе мы использовали общепринятые классификации вестибулярных шванном (Koos, M. Sammi). У большинства пациентов, поступающих в стационар, выявлены вестибулярные шванномы больших и гигантских размеров (Koos IV). Причины этого явления весьма разнообразны и требуют отдельного целенаправленного исследования. Радикальность удаления опухоли оценивалась по Токийской классификации (1998 г.). Всем пациентам проводился дооперационный диагностический стандартный клинический комплекс, включающий в себя: неврологическое, отоневрологическое, нейроофтальмологическое, нейрофизиологическое обследование. У пациентов с сохранным слухом проводили в дооперационном периоде аудиометрию, подтверждающую и определяющую степень сохранности слуха по шкале Gardner-Robertson [4, 5, 6]. Функцию лицевого нерва при поступлении и в раннем послеоперационном периоде оценивали по шкале House-Brackmann [5, 6, 7]. Тяжесть состояния в момент поступления в отделение и при выписке оценивали по шкале Karnofsky. У 2 (2,2 %) больных состояние оценивалось в 50 %, в 60-70 % у 45 пациентов (женщин - 42 (46,6 %); мужчин - 3 (3,3 %)), в 80-90 % (мужчин - 15 (16,6 %), женщин - 28 (31,1 %)).
В качестве анестезиологического пособия использована тотальная внутривенная анестезия препаратами направленного рецепторного действия. На всех этапах операции использовался многофункциональный интраоперационный нейрофизиологический мониторинг. Использовали регистрацию акустических стволовых вызванных потенциалов (АСВП), мониторинг функционального состояния лицевого нерва путем электромиографии мимической мускулатуры. Для непосредственной стимуляции использовали монополярный электростимулятор с силой тока 1 мА. Для верификации и отслеживания функции слухового нерва использовали потенциал действия слухового нерва. Система регистрации потенциала действия слухового нерва состояла из наушников звуковой стимуляции (рис. 1), кохлеарного плоского регистрирующего электрода (рис. 2), звуковых катушек (рис. 3).
Распределение пациентов в контрольной группе по функциональной оценке слуха (Gardner-Robertson) в дооперационном периоде
Невринома слухового нерва (вестибулярная шваннома)
Невринома слухового нерва или вестибулярная шваннома - опухоль доброкачественного течения, которая поражает 8 пару черепно-мозговых нервов. Болезнь не дает метастазы, но может увеличиваться в размере, сдавливать окружающие ткани, приводить к полной потере слуха и другим неприятным симптомам. Лечение невриномы слухового нерва в клинике Бурденко состоит из ряда диагностических и лечебных мероприятий, позволяющих хирургическим путем удалить опухоль, используя для этого современное оборудование.
Согласно врачебным наблюдениям и статистическим данным, невринома занимает 10 часть от всех онкологических заболеваний головного мозга. Чаще диагностируется у людей среднего возраста, требует грамотной лечебной терапии.
Причины и симптомы невриномы слухового нерва
Несмотря на достижения в современной неврологии и онкологии, точные причины невриномы слухового нерва неизвестны. Спусковым механизмом для развития опухолевидного процесса могут выступать:
- воздействие радиации;
- контакт с ядовитыми и токсическими веществами;
- нейротоксины;
- инфекционные заболевания среднего уха;
- сосудистая дисфункция;
- последствия черепно-мозговая травма;
- наследственность.
Большая доля развития вестибулярной шванномы отводится генетической предрасположенности. Так если один из родителей болеет этим недугом, вероятность того, что он проявиться у ребенка составляет 50%.
В начале развития болезни, когда размер опухоли не превышает 2.5 см, клинические признаки практически отсутствуют. Изредка отмечается тошнота, повышенная усталость, головная боль и головокружение. По мере роста образования, симптоматика становится более выраженной, сопровождается:
- заложенность уха;
- ощущение давления в области внутреннего уха;
- звуковые ощущения в виде шума, писка или звона в ушах;
- головокружение;
- шаткость походки;
- снижение слуха на стороне повреждения.
Когда опухоль достигает 3 - 4 см, оно начинает черепномозговые нервы и сосуды, в результате чего состояние больного ухудшается. На данном этапе болезни проявляются следующие признаки:
- зрительные нарушения;
- паралич и парез мимических мышц;
- тремор подбородка;
- онемение части лица.
Характерным симптомом является острая или ноющая боль, которая напоминает зубную. По мере роста опухоли, болевой синдром проявляется все чаще, отдает в затылок, присоединяется рвота, которая не связанна с приемом пищи. Когда образование оказывает давление на мозжечок, у больного нарушается походка, координация движений, нарушаются вкусовые качества, речь, глотательный рефлекс. На последних стадиях патология приводит к полной потере слуха.
Чтобы не допустить прогрессирование патологии, лечение невриномы головного мозга нужно проводить при первых признаках. Своевременная диагностика с последующим лечением существенно увеличивает шансы на выздоровление.
Методы лечения
Если есть подозрения на опухоль в головном мозге, нужно как можно быстрее обратиться за врачебной помощью. После собранного анамнеза, осмотра, врач назначит ряд диагностических обследований:
- аудиометрия;
- электронистагмография;
- рентгенография височных костей;
- биопсия;
- МРТ или КТ.
Результаты исследований помогут врачу определить локализацию и размер образования, поставить правильный диагноз, назначить необходимое лечение.
Терапия при вестибулярной шванноме справа или слева зависит от размера опухоли. На начальной стадии лечение может проводиться при помощи консервативной терапии, которая будет включать прием нескольких групп лекарственных препаратов, позволяющих уменьшить клинические признаки болезни, замедлить или остановить рост опухоли. В основном врачи назначают препараты следующих фармакологических групп:
- мочегонные;
- противовоспалительные;
- глюкокортикостероиды;
- обезболивающие;
- цитостатики.
Выбор конкретного лекарства, дозы и длительность их применения определяется врачом для каждого пациента.
Категорически запрещено проводить самолечение или использовать народные методы, поскольку они не только не принесут должного результата.
Лечение невриномы мостомозжечкового угла или слухового нерва при небольшом образовании проводят при помощи лучевой терапии, которая также дает хорошие результаты. В случае если опухоль не поддается консервативным методикам или имеет достаточно большие размеры, единственным способом избавиться от болезни будет выступать оперативное лечение невриномы слухового нерва.
К радикальным способам относят удаление невриномы слухового нерва хирургическим путем. Процедура может проводиться тремя способами:
- Транслабиринтный - проводиться через наружную стенку лабиринтной части среднего уха. В процессе операции удаляется небольшой сегмент среднего уха и сама опухоль. Больной полностью утрачивает возможность слышать на одно ухо, также присутствуют большие риск нарушения функций вестибулярного нерва.
- Субокципитальный - доступ к опухоли проводится путем вскрытия черепа под затылком. Используется при больших образованиях. Сохранить слух после удаления невриномы слухового нерва данным методом можно в 45% случаях.
Если размер образования не превышает 2 см в диаметре, удалить его можно через среднюю черепную ямку. Прогноз при таком хирургическом вмешательстве положительный.
Все операции проводятся под общим наркозом с трепанацией черепа. Длительность хирургического вмешательства зависит от многих факторов, может занять от 2-х до 6-ти часов. Восстановительный период после операции - продолжительный. Больной длительное время находиться в стационаре, затем переводится на амбулаторное лечение.
Удаление невриномы слухового нерва в Бурденко
Институт нейрохирургии им. Бурденко в Москве относится к одной из крупных клиник, где проводятся операции по удалению опухолей головного и спинного мозга. Каждый пациент, обратившийся в клинику имеет возможность проконсультироваться у лучших врачей нейрохирургов столицы. Специалисты не только проведут осмотр и назначат необходимое обследование, но и подберут наиболее эффективное лечение.
Удаление невриномы слухового нерва в Бурденко проводится при помощи современного оборудования, которое с высокой точностью позволяет врачу провести иссечение опухоли в структурах головного мозга.
Клиника оснащена собственной клинической лабораторией, стационаром, также пациентам и их родственникам предоставляются комфортные условия для перебивания. За время своего существования, врачи нейрохирурги провели сотни успешных операций по удалению невриномы слухового нерва. Стоимость операции по удалению невриномы слухового нерва в институте нейрохирургии в Москве зависит от сложности операции и самой методики ее проведения.
Возможные риски и осложнения
Негативные последствия после удаления невриномы слухового нерва достаточно высокие. В процессе операции могут быть затронуты сосуды и нервные окончания. К распространенным осложнениям относят:
- нарушение координации;
- невозможность полностью закрыть глаз;
- проблемы с глотанием;
- частичные онемения;
- возникновение рецидива;
- менингит;
- послеоперационные кровоизлияния;
- частые головные боли.
Прогноз после лечения предугадать сложно. Все зависит от возраста больного, сопутствующих заболеваний, а также на каком этапе болезни проводилось лечение. Чем больше опухоль, тем хуже прогноз.
Специфической профилактики для невриномы слухового нерва нет. Вовремя диагностировать болезнь помогут ежегодные медицинские осмотры.
Читайте также:

