Изготовление частичного пластинчатого протеза. Методика получения анатомического частичного гипсового оттиска.
Добавил пользователь Евгений Кузнецов Обновлено: 21.11.2025
Пластиночные протезы - это съемные ортопедические конструкции, устраняющие жевательные и эстетические проблемы зубного ряда. Пластиночные протезы бывают двух видов: полностью съемный пластиночный протез и частично съемный.Такое протезирование является одним из самых доступных.
Содержание
Съемный пластиночный протез: цена в Москве
Протезирование зубов полными съемными пластиночными протезами (нейлон)
Протезирование зубов полными съемными пластиночными протезами, слепочная ложка (без стоимости протеза)
Протезирование частично съемными пластиночными протезами (иммедиат протез)
Протезирование зубов полными съемными пластиночными протезами (акрил), починка протеза (без стоимости протеза)
Протезирование зубов полными съемными пластиночными протезами (акрил), клиническая перебазировка (без стоимости протеза)
Протезирование зубов полными съемными пластиночными протезами (акрил), лабораторная перебазировка (без стоимости протеза)
Протезирование частично съемными пластиночными протезами (акрил до 3х зубов)
Протезирование частично съемными пластиночными протезами (временный, более 3х зубов)
Протезирование частично съемными пластиночными протезами, слепочная ложка(без стоимости протеза)
Протезирование зубов полными съемными пластиночными протезами (акрил)
Специалисты по пластиночным протезам

Маламуж Олег Сергеевич
Опыт работы — 24 года

Орлова Ольга Александровна
Опыт работы — 18 лет

Радько Оксана Юрьевна
Опыт работы — 17 лет

Жуков Андрей Александрович
Опыт работы — 21 год

Богорад Светлана Михайловна
Опыт работы — 26 лет

Соловьев Михаил Александрович
Опыт работы — 22 года

Юнаева Стелла Владимировна
Общая информация
Для восстановления жевательных функций и возвращения красивой улыбки при полном или частичном отсутствии зубов стоматологи рекомендуют протезирование. Процедура направлена на замещение утраченных элементов искусственными аналогами.
Если у пациента нет возможности оплатить дорогую протезную конструкцию, выход есть. Это пластиночный протез, отличающийся доступной стоимостью. Выбор материала и типа конструкции осуществляется совместно с ортопедом, учитывая характер клинической картины.
Виды и конструктивные особенности съемных пластиночных протезов
Пластиночный протез при полном отсутствии зубов (полный) восстанавливает зубы пациента, если они были утрачены. Изделие полностью перекрывает небо. Это плохо влияет на привыкание, произношение и вкусовые ощущения. Однако при полной адентии и невозможности восстановления полноценной функциональности зубочелюстной системы другими методами или конструкциями, такой ортопедический аппарат является лучшим вариантом, который позволяет вернуть пациенту жевательную способность.
Примечательно! Сегодня пациенты могут установить конструкцию нового поколения с тонким литым базисом.
Съемный зубной протез при частичном отсутствии зубов (частичный) считается нефизиологическим изделием.То есть нагрузки, возникающие в процессе акта жевания, он передает на слизистую оболочку полости рта, а через нее - на альвеолярную часть, челюстную кость, небо.
Установка такого ортопедического продукта оправдана при наличии здоровых зубов. Частичный пластиночный протез имеет меньший размер в сравнении с полным изделием, что положительно сказывается на адаптации и дальнейшем качестве жизни пациента.
На заметку! Любой пластиночный ортопедический аппарат состоит из каркаса и базиса искусственных зубов. Некоторые виды дополняются фиксаторами.
Пластиночные протезы: фото






Необходимость полного или частичного протезирования
Протезирование зубов - наиболее востребованная процедура в клиниках Москвы. Утрата даже одного фрагмента - это выраженный эстетический и психологический дискомфорт. Нарушение целостности зубного ряда ухудшает состояние полости рта и негативно сказывается на здоровье всего организма в целом. Если такую неприятность не устранить в кратчайшие сроки, человека ждут серьезные нарушения в работе органов ЖКТ.
В ряде случаев пластиночный зубной протез - это оптимальный способ, помогающий вернуть ровные и белые зубы, восстановить эффективность жевания и уверенно чувствовать себя в обществе.
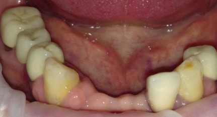
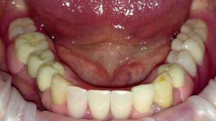
Примеры результатов до и после установки пластинчатого протеза




Пластиночные съемные протезы для верхней и нижней челюсти
Восстановление целостности верхнего и нижнего зубного ряда съемными протезными конструкциями характеризуется существенными различиями. Они обусловлены различным анатомическим строением каждой из челюстей.
Частичный пластиночный протез на нижнюю челюсть

На подвижной челюсти отмечается слабая фиксация подобных конструкций, т.к. оптимальные условия для прочной установки базиса отсутствуют. Поэтому в этом случае стоматологи рекомендуют пациентам использовать в качестве опорных элементов импланты и устанавливать не полный съемный пластиночный протез, а частичный.
Частичный съемный пластиночный протез на верхнюю челюсть

На верхней челюсти в качестве надежной опоры выступает небо, однако при этом ортопедическое изделие должно соответствовать более строгим эстетическим требованиям.
Материалы
Съемные протезы пластиночные бывают акриловые, нейлоновые и бюгельные.
- Акриловые полимеры значительно повышают функциональную ценность и эстетическую значимость системы.
- Нейлон в биологическом отношении сводит к минимуму процент осложнений.
- Бюгельные ортопедические продукты в зубном протезировании относятся к условно-съемному типу конструкций. Крепления и дуга изготавливается из сплавов металла, базис - из пластмассы, зубы - из пластических масс, керамики, металлокерамики.
Бюгельные системы на аттачментах позволяют сохранить естественную биомеханику челюсти.
Процесс изготовления съемных пластиночных протезов на видео
Этапы изготовления полного съемного пластиночного протеза
Процесс изготовления съемных пластиночных протезов не отличается сложными манипуляциями по сравнению с процедурой создания большинства несъемных аппаратов (мост, коронка).
- первичная консультация ортопеда, осмотр ротовой полости;
- диагностика и обсуждение с пациентом оптимальных параметров конструкции;
- снятие оттисков;
- изготовление модели челюсти и определение особенностей прикуса;
- создание и примерка восковой системы;
- шлифовка готового аппарата, устранение косметических недостатков;
- примерка и фиксация протеза.
Если технология изготовления полного съемного пластиночного протеза выполнена специалистом правильно, то пациент не будет испытывать неприятных ощущений в процессе эксплуатации изделия.
Процесс изготовления частичных съемных пластиночных протезов также проходит в соответствии с перечисленными этапами.
Техника изготовления съемных пластиночных протезов на видео
Заявка отправлена
, спасибо за проявленный интерес. В течение 15 минут наш менеджер перезвонит вам.
Фиксация пластиночных протезов
Пластиночный протез на верхнюю челюсть и нижний челюстной ряд при частичной беззубости отличается надежной фиксацией за счет наличия кламмеров и аттачменов. Форма конструкции может изменяться, в зависимости от зоны установки и количества утраченных зубов. Для прочного закрепления предварительное препарирование соседних элементов не требуется.
Способы фиксации:
- Металлические скобы, зажимы (кламмеры). Приспособления могут быть гнутыми или литыми. Выходят из основания изделия и обхватывают пришеечную зону опорной единицы. Из-за способности повреждать защитный слой зубов сегодня такие крючки применяются в исключительных случаях.
- Аттачменты. Представляют собой замковое устройство, состоящее их матрицы и патрицы. Первая часть вставляется в протез, а вторая - в опору (зуб, коронка). Надежная фиксация обеспечивается защелкиванием обеих частей по принципу кнопочного механизма.
- Безметалловые кламмеры. Лучший инновационный вариант фиксации, при котором механические повреждения эмали исключены.
Установка полного аппарата может проводиться следующими способами:
- Замки и крючки. Использование такой методики возможно при наличии нескольких зубов.
- Присоски. Для верхней челюсти они выступают дополнительным элементом крепления.
- Импланты. На предварительно внедренные в челюстную кость титановые стержни можно устанавливать не только несъемные, но и съемные конструкции.
Показания
Показания к установке полного съемного пластиночного протеза
Универсальные накладки подходят как для одного зуба, так и для передних, и жевательных зубов. Они выдерживают большую нагрузку и необходимы, когда:
- отсутствие возможности имплантации и наличие запретов к вживлению внутрикостных изделий;
- запрет на установку бюгельных протезов и мостов;
- полная или частичная адентия.
Показания к установке частично съемного пластиночного протеза
Частичный съемный пластиночный протез может устанавливаться временно. На период изготовления постоянной конструкции. Ортопед может посоветовать установку аппарата в следующих случаях:
- отсутствие боковых зубов при условии наличия опорных элементов;
- противопоказания к имплантации;
- наличие ограничений к несъемному протезированию.
Противопоказания
Представленные конструкции нельзя применять при:
- воспалении десневой ткани;
- иммунопатологических процессах в организме;
- наличии в анамнезе эпилепсии и серьезных психологических расстройств.
Их ношение также не рекомендуется при аллергических реакциях организма на используемый материал и выраженных воспалительных процессах в ротовой полости.
Преимущества
Плюсы полных съемных пластиночных протезов
К плюсам полных съемных аппаратов с присасывающим эффектом можно отнести:
- минимум ограничений к установке;
- отсутствие фиксаторов;
- низкая цена;
- привлекательный и натуральный вид искусственных элементов;
- отсутствие возрастных ограничений и потребности проведения дискомфортных подготовительных процедур (обточка эмали).
Плюсы частично съемных пластиночных протезов
Частично съемные конструкции отличаются следующими достоинствами:
- прозрачность (относительно мягкой пластмассы);
- гибкость и низкая аллергенность;
- низкая цена.
Недостатки
Минусы частично съемных пластиночных протезов
Частично съемный пластиночный протез имеет ряд недостатков, а именно:
- неравномерное распределение жевательных нагрузок;
- наличие дугообразной пластины, создающей дискомфортные ощущения при разговоре и во время еды.
Минусы полных съемных пластиночных протезов
Протезирование зубов полными съемными пластмассовыми протезами влечет за собой ряд негативных моментов:
- невозможность употребления в пищу вязких, липких продуктов питания;
- короткий срок эксплуатации (в среднем менять изделие необходимо каждые 5 лет);
- необходимость использования специального клея для фиксации системы на нижней челюсти.
Особенности
Пластинчатые ортопедические протезы съемного типа можно использовать при полном отсутствии зубов. Такими конструкциями специалисты моделируют как верхнюю, так и нижнюю челюсть. Обычно изделия оснащены объемным базисом (пластиночный протез на нижнюю челюсть имеет уменьшенный вариант конструкции, повторяющей рельеф протезного ложа). Это обеспечивает качественное прилегание.
Если сравнивать съемные изделия пластиночного типа, например, с современным бюгельным протезом, то последний имеет литой металлический каркас, значительно повышающий прочность аппарата и равномерное распределение жевательных нагрузок.
Ремонт съемных пластинчатых протезов
Ортопедические конструкции съемного типа относятся к числу хрупких приспособлений. Особенно велика вероятность поломки в точке соприкосновения мягкой опорной части с аналогами зубов. Починить протезы не всегда возможно. Успех ремонтных работ зависит от характера повреждений.
При выходе из строя крепежных деталей или наличии небольших сколов техники проводят реставрацию. Перелом пластиночного протеза не подлежит восстановлению. В таких ситуациях конструкцию заменяют.
Установка пластиночного протеза в Москве
Мы предлагаем выгодные цены на протезирование съемными и частичными протезами. Каждый пациент получает профессиональные стоматологические услуги и качественный результат.
Более того, итоговая сумма к оплате за протезирование снижается с учетом объема проведенных работ. Наш приоритет - красота и здоровье вашей улыбки!
Возможно Вам будет интересно
Отзывы пациентов
Установила полный протез съемного типа на верхнюю челюсть. Очень довольна результатом. На четвертый день ношения конструкция перестала «плавать» во рту, сроднилась с тканями. Теперь я без стеснения могу разговаривать и улыбаться. Дополнительно хочу поблагодарить специалистов клиники. Дали хорошие рекомендации по уходу и эксплуатации протеза в период адаптации.
Лидия, 62 года | 30.10.2019
Вопросы и ответы про пластиночные протезы
✅ Подскажите, какова актуальность съемных пластиночных протезов сегодня?
Добрый день! При наличии противопоказаний к другим методам протезирования, полной беззубости, обширных дефектах твердых и мягких тканей, полученных вследствие операций, травм, серьезных расстройствах жевательных функций и различных деформаций использование съемных протезов не только актуально, но и крайне необходимо. Только таким способом в перечисленных случаях можно в полной мере восстановить функции жевания, глотания, речевую способность.
✅ Здравствуйте! Скажите, какие могут быть осложнения при пользовании пластиночными протезами?
Добрый день! Да, нежелательные последствия после установки пластиночного протеза действительно могут возникнуть. Но они обычно связаны с недостаточной гигиеной полости рта, некачественной подготовкой к протезированию, поломкой протеза, ошибками в ходе изготовления и изменением прикуса. При соблюдении всех врачебных рекомендаций в период эксплуатации осложнений удается избежать. Помимо этого, в наших клиниках профессионализм специалистов находится на высшем уровне, поэтому погрешности в создании и установке конструкции исключены.
Изготовление штампованной коронки этапы изготовления
Штампованные коронки представляют собой один из распространенных вариантов реставраций для восстановления эстетики зубных рядов, функциональных характеристик. Это имитации естественной формы зуба в виде колпачка, который одевается на подготовленную культю, либо стандартный абатмент или индивидуальный.
Все этапы процесса изготовления и установки делят на клинический и лабораторный, предлагаем подробнее ознакомиться с каждым из них.

Изготовление коронок для зубов, препарирование

Затем формируется два оттиска с верхней и нижней челюсти пациента:
В этом случае задействуются оттискные массы, альгинатные или полиэфирные. Процесс проходит по классической схеме с использованием ложек, в которые загружается состав, после чего вдавливается на челюсть и фиксируется до схватывания отпечатка. Готовые изделия оцениваются на предмет соответствия требованиям реставрации, дезинфицируются.

Изготовление коронок — чередование этапов
Далее начинается первый лабораторный этап - отливаются гипсовые модели челюстей, а так же формируются восковые базисы с окклюзионными валиками, которые позволяют выявить соотношения челюстей и единиц при естественных движениях. Валики используются не для всех операций.
Затем снова проводится клинический этап, который сводится к определению центральной окклюзии. Это основное отношение челюстей, которое необходимо для создания качественной реставрации.
Снова лабораторный этап, подразумевающий подготовку придесневой части гипсовой единицы, это необходимо для изготовления штампованной коронки. В процессе происходит гравировка шейки скальпелем, придающая контуру четкость и выраженную ступеньку границы, шейка обозначается химическим карандашом.

Модели из гипса фиксируются в артикуляторе или окклюдаторе, осматриваются визуально на предмет явных отклонений, проверяется степень разобщения с антагонистами. Четкость контуров шейки повышается за счет снятия излишков или наплывов гипса, для этого задействуется глазной скальпель. Шейка обводится химическим карандашом, по апроксимальным сторонам штампа проводится сепарация.
Изготовление коронок — моделирование и штампы
Моделирование проводят при помощи специального одноименного воска, на гипсовую культю он укладывается слой за слоем до получения необходимого объема. Затем заготовка обрабатывается для передачи естественной геометрии и всех поверхностей коронковой части.

Последовательность следующая:
До линии шейки сохраняется небольшой отступ, буквально в 1-1,5 мм, в противном случае будет увеличен объем этого участка и не удастся добиться плотного обхвата основания искусственным изделием. Важно воссоздать компонент не полностью идентичный природному, а уменьшить его объем на толщину металла будущей коронки.

Затем формируется штамп из гипса - заготовка для металлического. Из гипса плоской пилочкой вырезается модель, диаметр нижней части которой равен диаметру шейки зуба. После выпиливания штамп опускается в холодную воду на 5-10 минут.
Более сложным и многоэтапным является изготовление штампа из металла.
Для этого создается форма из двух половин, которая создается на основе металлической рамки со следующими параметрами:
— борта высотой 20 мм;
— длина 150-200 мм, но может быть больше.

В эту форму заливают замешанный гипс, который сглаживается шпателем. За это время (пока заполнялась и разглаживалась рамка) заготовки штампов пробыли в холодной воде достаточное время, их извлекают. В гипс компоненты погружаются апроксимальной стороной на половину, расстояние между заготовками 5 мм. Затвердевшую гипсовую форму извлекают из металлической рамки и выравнивают поверхность, по краям бруска формируют два углубления в виде конуса.
Брусок погружают в воду, холодную, выдерживают так 2-3 минуты и заливают 20-30 мм гипса, чтобы получить вторую половину формы. Выдерживается необходимое время для твердения, после чего форма раскрывается, заготовки удаляются, ложе расширяется у основания и обе половины совмещают по созданным ранее коническим выступам.
Заливается для штампов легкоплавкие металлы, которые расплавляются в специальной ложке, оснащенной деревянной ручкой. Для заливки используются отверстия в ложе, далее необходимо выждать время для застывания металла. Охлажденные половинки с штампами раскрывают, готовые компоненты удаляют и отправляют на дальнейшие этапы.
Изготовление коронок — гильза и предварительная штамповка
Гильза для выполнения следующего этапа используется стандартная, диаметр подбирается аналогичный диаметру шейки зуба. Если из существующего ассортимента ничего не подходит, можно подогнать под необходимые параметры стандартную гильзу, путем ее протяжки.
Для этого используются аппараты “Шарп”, “Самсон” или аналогичные по возможностям. Если деталь подготовлена правильно, то на штамп она натягивается плотно, с приличным усилием. После постановки ее обжигают.

Далее необходимо провести предварительную штамповку коронки, с этой целью гильза обрабатывается механически на наковальне, небольшим молотком, снова проводится обжиг. Теперь первый штамп используется, чтобы выбить в свинцовой пластинке углубление, идентичное жевательной поверхности и режущей кромке на штампе.
Гильза надевается на штамп и он вбивается в другую гильзу, которая помещена в углубление свинцовой пластины. Необходимо получить отпечаток поверхности зуба, после чего гильза повторно проходит этап температурной обработки (обжига).
Изготовление коронок — окончательная штамповка
Окончательная штамповка коронки проводится двумя методами:
— по методу Паркера.
В первом случае после описанной предварительной штамповки нужно получить контрштамп. Для этого второй штамп покрывается липким пластырем толщиной в пределах 0,25-0,28 мм. Кювету с конически сужающимся дном заливают легкоплавким сплавом и погружают в него полностью штамп коронковой частью вниз. После твердения сплава на кольце-подставке выбиваются контрштампы при помощи пестика.

Далее контрштампы раскалывают зубилом на две половины, пластырь с металлической детали удаляется, надевается отожженная гильза и вставляется в контрштамп на место ложа. Контрштампы помещаются в кювету, коронка штампуется молотком, необходимо наносить удары до того момента, пока контршатмп не дойдет до исходной позиции на дне кюветы.
Метод Паркера подразумевает использование одноименного аппарата, в нем происходит окончательная штамповка с использованием нового штампа.
Конструктивно аппарат Паркера - это массивная пустотелая основа и цилиндр, который в нее входит. Полость заполняется вулканизированным каучуком/мольдином, в этом веществе происходит окончательная штамповка за счет помещения в него гильзы коронковой частью внутрь и механического воздействия (ударами молотка по цилиндру). При необходимости используют пресс, развивающий давление в 2-3 атмосферы.
Готовая коронка снимается со штампа, очищается, кипятится в пробирке с соляной кислотой. Кромка обрезается коронковыми ножницами, необходимо точно соблюсти линию углубления. Если выпускается изделие из стали, то края обрабатываются карборундовыми камнями, если из золота - то достаточно использовать напильник для сглаживания.
Финальные клинико лабораторные этапы изготовления штампованной коронки
В финале изготовленная коронка примеряется в ротовой полости и все выявленные недостатки корректируются. Важно убедиться в отсутствии видимых повреждений и гладкости поверхности, все поверхности и края должны быть четко выражены.
Материалы и изготовление пластиночного протеза

Пластиночный протез является наиболее распространенным из простых и доступных методов съемного протезирования при полном или частичном отсутствии зубов. Рассмотрим материалы и этапы его изготовления.
Из чего изготавливают пластиночный протез?
Для начала напомним общие требования к материалу:
- Отсутствие воздействия на слизистую оболочку полости рта и организм в целом;
- Эстетичность;
- Высокая прочность, низкая истираемость;
- Сохранность формы при использовании;
- Легкость в уходе;
- Отсутствие неприятного вкуса и запаха;
- Должен подвергаться починке;
- Должен быть технологичным.
Пластиночные протезы состоят из базиса ( основы) и искусственных зубов. Также при частичном отсутствии зубов присутствуют опорно-удерживающие элементы ( кламмера).
Базис изготавливают из:
Акриловых пластмасс
Пластмассы — это полимеры, представляющие большую группу высокомолекулярных соединений, получаемых химическим путем из природных материалов или химическим синтезом из низкомолекулярных соединений. Одним из свойств полимеров является их высокая технологичность, способность при нагревании и давление формоваться и устойчиво сохранять приданную им форму, что и объясняет их широкое использование в ортопедической стоматологии. Пластмассы изготавливаются из порошка и жидкости.
Преимущества:
- Доступная стоимость;
- Простая технология изготовления ( возможны различные комбинации цвета и размера);
- Небольшие сроки изготовления протеза;
- Легкость в уходе.
Недостатки:
- При длительном использовании конструкции материал начинает выделять особые вещества, которые могут вызвать местную аллергическую реакцию;
- Акриловые пластмассы являются пористыми соединениями. При низкой гигиене полости рта и некачественном уходе за протезом происходит его обсеменение микроорганизмами, что способствует снижению местного иммунитета. А это может послужить причиной развития воспалительных заболеваний слизистой оболочки полости рта;
- Вероятность травмирования мягких тканей полости рта.
Нейлона

Нейлон представляет собой эластичный материал.
Достоинства:
- Гипоаллергенность;
- Высокая эстетика (полная имитация естественных зубов и десны);
- При частичном отсутствии зубов опорные не подвергаются обработке;
- Гибкость материала обеспечивает короткий срок адаптации, а также оказывает наименьшее механическое воздействие на мягкие ткани полости рта;
- Простой уход;
- При бережном использовании достаточно долго служат.
Не смотря на существенные положительные качества, протезы из нейлона имеют свои недостатки:
- Фиксирующие элементы не передают нагрузку на сохранные зубы. В результате слизистая оболочка принимает на себя жевательную нагрузку, что приводит к постепенному поражению пародонта и к дальнейшему воспалительному процессу;
- Отсутствие жесткого каркаса приводит к тому, что жевательное давление распределяется неравномерно. В последствии это приводит к атрофии костной ткани челюстей;
- По технологическим причинам протез из нейлона не подвергается полировке. Такая конструкция впитывает и сохраняет посторонние запахи;
- Необходима частая коррекция;
- Высокая стоимость.
Материал для базиса подбирается, основываясь на индивидуальные особенности организма и состояние полости рта.
Искусственные зубы

Для пластиночных протезов искусственные зубы изготавливаются из пластмассы.
Различают фронтальные (передние) и жевательные (коренные) группы, выпускаются комплектами в гарнитурах.
Зубы из пластмассы по внешнему виду очень схожи с эмалью естественных зубов. При изготовлении можно варьировать с цветом и оттенком. Искусственные зубы прочно соединены с базисом за счет однородности материала ( их соединение происходит при полимеризации пластмассы основы). Также они легко поддаются корректировке как техником в лаборатории, так и врачом при сдаче протеза. Гарнитуры выпускаются несколькими фасонами и оттенками, возможно множество комбинаций. За счет этого можно гармонично подобрать и изготовить протез соответственно индивидуальным параметрам лица.
С течением времени технология изготовления искусственных зубов прогрессировала.
Фирма «Heraeus Kulzer» предложила изготавливать акриловые искусственные зубы инъекционно-компрессионным методом (постоянное инъецирование материала во время полимеризации для компенсации его усадки с последующим уплотнением материала до гомогенного состояния). Благодаря этому они невероятно прочны.
Украинская фирма «Стома» выпускает искусственные зубы в виде гарнитуров Эстедент, Эстедент-02. Они имеют следующие положительные свойства: имитация анатомической формы, цвета зуба; высокие показатели прочности; флюоресцирующий эффект ( как при естественном, так и искусственном освещении). Эстедент-Д используется при протезировании детей в период временного и сменного прикуса.
Искусственные зубы «Executive» («Dentsply» ,США) имеют пять различимых зон оттенков, что позволят максимально точно имитировать естественные зубы.
Также в нашей стране нашли применение гарнитуры «Мегастар» (Великобритания), «Ivoclar» (Лихтенштейн) и др.
При подборе искусственных зубов учитывается не только цвет естественных зубов (если они есть), но и форма лица, конституция пациента. Благодаря широкому выбору искусственных зубов по цвету и форме возможен индивидуальный подход в каждом клиническом случае.
Кламмеры

При частичном отсутствии зубов одним из способов фиксации протеза в полости рта является наличие кламмеров. Обычно их изготавливают из металла. Они плотно охватывают зуб, могут служить лишь как удерживающий элемент, а также выступать в качестве опоры, то есть передавать жевательное давление на зуб. Заметны при разговоре и улыбке.
Кламмера из эластичного материала (нейлоновые протезы) могут выполнять лишь удерживающую функцию. Прекрасная эстетика, но ненадежны, могут деформироваться и ломаться.
Этапы изготовления пластиночного протеза
- Беседа с пациентом (необходимо уточнить жалобы, наличие хронических заболеваний, аллергических реакций и т.д);
- Осмотр полости рта, оценка состояния мягких тканей и уровень гигиены;
- Дополнительные исследования ( рентгенография, анализы и пр, если это необходимо);
- Выбор конструкции;
- Снятие оттисков с верхних и нижней челюстей;
- Изготовление гипсовой модели, затем шаблона из воска с прикусными валиками;
- Примерка в полости рта, определение взаимоположения челюстей, цвета и формы зубов, выбор фиксирующих элементов ( если есть сохраненные зубы);
- Укрепление моделей в артикулятор , постановка искусственных зубов на восковом базисе , размещение в базисе фиксирующих элементов;
- Примерка в полости рта, коррекция при необходимости;
- Замена воска на конечный материал, обработка, полировка протеза;
- Примерка в полости рта, коррекция. Рекомендации по уходу.
Пластиночные протезы зарекомендовали себя как доступные по цене, быстрые в изготовлении и эстетичные конструкции.
Этапы изготовления зубных протезов
Отсутствие нескольких зубов или всего челюстного ряда - проблема с которой могут столкнуться люди разного возраста. Конечно, чаще всего за этой услугой обращаются пожилые. Изготовление полного или съемного протеза - комплексный процесс, основанный на тесном сотрудничестве врача-стоматолога и зубного техника.

Эта работа состоит из нескольких клинических и лабораторных этапов сбора данных и работы. Оставим в стороне профильные стоматологические и ортопедические вопросы, и рассмотрим подробнее основные лабораторные стадии производства частичных ортопедических конструкций двух данных видов.
Часть 1. Этапы изготовления полного съемного протеза
Изготовление ложки
На начальном этапе необходимо сделать первичный оттиск челюсти пациента, или так называемую ортопедическую ложку, изготовляемую в свою очередь непрямым либо прямым способом из специального воска. В непрямом случае, ее изготовляют непосредственно с гипсового слепка, снимаемого с челюсти. Уже с помощью этого оттиска, в лаборатории, создается пластиковая ложка. Прямой способ считается более практичным, так как здесь учитываются мягкие ткани в ротовой полости больного.

Ортопедическая ложечка из металла стандартных размеров, как правило, чуть больше размеров челюсти, а избыток используемого материала способен деформировать мягкие ткани, что исказит точность получаемых сведений. При непрямой технологии, впоследствии может стать необходимой дополнительная коррекция. Ложка изготавливается в течение 20 минут, и считается сделанной при условии правильной установки, без изменения положения при внешнем воздействии.
Окантовка оттиска
Модель из гипса промывают в воде и применяют для базиса (основы). Пластину нагревают специальной горелкой с одной стороны, когда противоположная прикладывается к гипсовому слепку.

Процедура немного отличается если речь идет о верхней челюсти пациента: пластина прикладывается изначально непосредственно к нёбному месту, и только после к самим зубам и отросткам со стороны нёба. В момент зажима пластины, очень важно сохранять плотность слоя на всей поверхности, не допуская его деформации и растяжения. Стабильная толщина обеспечит в дальнейшем более плотное прилегание.

После того как зуботехник удостоверится что пластина повторяет форму слепка, и все технологические нюансы выполнены верно, излишки воска удаляются с соблюдением намеченных ранее границ. Окклюзионные валики изготавливаются из аналогичной пластины, также из воска. Изделие разрезают и подплавляют с каждой стороны горелкой, после этого сворачивают и придают пластинке округлую форму, которая схожа с валиком. Часть изделия после этого отрезают таким образом, что ширина остающегося объекта равнялась бы непосредственно ширине недостающего зубного ряда.

Полученный элемент, устанавливается непосредственно по центру альвеолярного отростка. После он уже переклеивается с помощью специальных составов. Необходимо, чтобы в поперечном сечении валик напоминал трапецию. Для этого, поверхности на которой будет происходить смыкание (окклюзия) придают плоскую форму, и приблизительно на один или два миллиметра делают выше зубного ряда, расположенного рядом.

Валик во фронтальном отделе не должен превышать по ширине 8 миллиметров, когда в боковом отделе она может доходить до 1,2 сантиметра. Форма, придаваемая боковым граням, должна обеспечить максимально невидимый переход от основы к валику. Восковую основу после того как она охлаждена, снимают с модели, придают ей округлую форму при помощи разогретого шпателя, одновременно избегая проникновения жидкого воска внутрь получившегося изделия, напоследок дополнительный раз сверяются с толщиной. Все чаще техники используют передовые технические решения, которые требуют использования для создания протезов скан боди и другие варианты элементов.
Создание зубов
После получения от стоматолога-ортопеда всех необходимых сведений, а также гипсовых слепков пациента, специалист вводит информацию в артикулятор запуская операцию по изготовлению искусственных образцов. Гипсовые модели, если на этой стадии они еще не были изготовлены, создаются из кламмера. В зависимости от индивидуальных характеристик, определяется будущая постановка рядов: на искусственных деснах либо же на приточке. Оттенки базиса подбираются на основе многочисленных оттенков, стараясь подобрать максимально естественный и натуральный вариант.

Финальная подгонка
На финальной стадии, специалист проверяет насколько хорошо совпадают противопоставленные зубы (антагонисты), подгоняет плотность прилегания, дополняя недостающие части будущего протеза. Когда все мелочи доведены до совершенства, убирается воск и формируется рельеф.

Выполненная в лаборатории конструкция проверяется уже в стоматологическом кабинете самим пациентом, где происходит выявление дефектов. При их обнаружении, и невозможности устранить сразу (в крайних случаях), модель отправляется на доработку обратно в лабораторию.
Часть 2. Изготовление частичных съемных протезов
Частичные съемные протезы применяются в тех случаях, когда на требуется восполнить только определенную челюстную часть, и где зубной ряд не был разрушен полностью. Процесс создания подобной рабочей ортодонтической конструкции, как и в случае с полным вариантом, подразумевает несколько лабораторно-клинических этапов. Здесь мы также сосредоточились на вопросах изготовления в лаборатории, и на описании технологических процессов, выполняемых зубными техниками.

Изготовление ложки
В самом начале создается ложка, для чего применяется гипсовая заготовка. Среди выбираемых для этого материалов можно назвать воск, пластмассу или термопластик. Для получения слепка с протезного ложа используют пластик или гипс, либо гипсово-пластиковые конструкции. Рельеф слепочного материала ввиду жесткости отпечатывается и сохраняется в точности, без труда восстанавливается по фрагментам после извлечения из ротовой полости.

Существуют два вида: стандартные, изготавливаемые из стали, алюминия или пластика; и индивидуальные. Данный предмет конструктивно носит из следующих частей: ручки, зубная ложа, ручки и борты. В случае верхней челюсти, этот список будет дополнен сводом, а в случае с нижней - вырезом для языка.

В случае, когда слепок изготовлен из более эластичных масс, выбирают перфорированные ложки (с отверстием), с которой легко закреплять основу при выведении из рта. При использовании стандартных видов, кромки бортиков дополнительно обклеивают специальным пластырем.
Окантовка оттиска
Аналогично как в случае с полными съемными ортодонтическими конструкциями, специалист, применяя рабочие оттиски, изготавливает базис и модель протеза из воска, а также окклюзионные валики из того же самого сырья.

Установка зубов
На предпоследней стадии, специалист устанавливает зубы на модельную основу, правильно подбирая их габариты и естественные цветовые оттенки.

Создание готового изделия
В заключении, восковые части заменяются пластмассовыми. Так, техник первым делом гипсует в кювете базисы (так называемое финальное моделирование). Затем происходит удаление и замена материала, применённого для заготовки. После завершения полимеризации, получившееся изделие шлифуется, полируется и готово к первой примерке.
Обычно, частичные протезы подходят сразу после первой примерки, так как они были созданы по реальным оттискам. Тем не менее, может потребоваться доработка и подгонка, с еще одной, финишной, отправкой в лабораторию к специалисту.
Пластинчатые протезы зубов

При полной потере зубов (адентии) или отсутствии большого их количества в стоматологии уже на протяжении века используют съемный пластинчатый протез.
- Когда используется: при любых условиях, когда нет аллергии на акрил
- Вид анестезии: нет необходимости
- Время процедуры: от 30 минут (4 визита)
- Период лечения: от 1,5 недель до 3-х недель
- Период заживления: от 3 недель после последнего удаления
- Возрастные ограничения: с 18 лет (в нашей клинике)
Что такое пластинчатый протез
Из самого названия можно отметить, что пластинчатый зубной протез — конструкция, которая представляет собой пластину плотно прилегающую к десне и являющаяся по сути искусственной десной с вставленными зубами. При установке на верхнюю челюсть пластинчатый протез часто закрывает ⅔ неба, на нижней — проходит широкой полосой под языком.

Показания для установки пластинчатых протезов на зубы:
- полная или частичная адентия;
- использование их в качестве временных конструкций, как промежуточный этап в восстановлении зубов;
- невозможность имплантации по показаниям или финансовым соображениям;
- аллергические реакции на металл.
Относительные
- Болезни десен, пародонтит, гингивит;
- пульпиты и болезни особенно опорных зубов;
- перенесенные недавно инфекционные заболевания, прохождение химиотерапии и другого лечения (организм ослаблен).
Абсолютные
- Заболевания крови;
- психические расстройства, болезнь Альцгеймера, эпилепсия;
- шатание зубов;
- аллергия на материалы.
Восстановление зубного ряда может быть проведено используя:
- частичные пластинчатые протезы. При утрате одного или нескольких зубов. В данном случае не надо обтачивать соседние зубы, т.к. фиксация осуществляется с помощью кламмеров (металлические или безметалловые) или замков аттачменов.
- полные съемные пластинчатые протезы. При полном отсутствии зубов или большом количестве. Они более объемные, особенно на верхнюю челюсть и крепятся на присосках или металлических крючках.

В зависимости от материала бывают:
Акриловые протезы
Самый распространенный вид съемного пластинчатого протеза — протез из акриловой пластмассы. Данный метод протезирования существует давно, он очень хорошо отработан. Его преимущество в том, что это доступный вид и при достаточно невысокой цене получается нормальное качество. Недостаток — для фиксации используются металлические крючки, которые видны при разговоре. Многим пациентам не нравится присутствие такого косметического дефекта, который выдает, что у человека есть протез.

Такие протезы хорошо использовать при недавнем удалении зубов. Это вызвано тем, что при удалении большого количества зубов и установке протеза, конструкция очень сильно просаживается через какое-то время на десне. Появляется дискомфорт при жевании, и протез плохо держится. А ввиду того, что акриловый протез гораздо дешевле, чем из других материалов, его не жалко переделать в такой ситуации, чем дорогой аналог.
Достаточно современный материал на пластинчатые зубные протезы. Acry Free используется в том случае, когда у человека проявляются аллергические реакции на акрил.
Он обладает большей гибкостью и эластичностью. За счет этого полный съемный пластинчатый протез или частичный можно сделать немного тоньше.

Отсутствуют крючки. Фиксация происходит за счет накладок на края зубов, при этом они сливаются с цветом десны и незаметны. Легкость — еще одно преимущество.
- цена на пластинчатый протез зубов из акри фри в два раза дороже, чем из акрила;
- большие требования к состоянию десен. Они должны быть здоровыми, а опорные зубы крепкими, так как накладки более крепко обхватывают их;
- не рекомендуется ставить сразу после удаления. Лучше всего, если пройдет полгода иначе протез сильно просядет на десну, им невозможно будет пользоваться.
Нейлоновые протезы
Нейлон не так давно появился в стоматологической практике. Материал еще более эластичный. Пластинчатый протез для зубов можно изготовить еще тоньше, чем предыдущие рассмотренные виды. Отсутствие крючков, наличие накладок на края зубов по цвету похожие на свою десну отвечают за отличную эстетику. Гипоаллергенность.
Читайте также:

