Колоноскопия при болезни Крона. Эндоскопическая картина
Добавил пользователь Евгений Кузнецов Обновлено: 21.01.2026
Ольга, тогда рекомендую Вам дообследование:
- Ирригоскопия (рентгенконтрастное обследование кишечника) на наличие долихосигмы - "провисания" части толстой кишки (врожденнаая анатомическая особенность, приводящая к запорам).
- Фекальный кальпротектин (определяет наличие воспалительных процессов в стенке кишечника).
По УЗИ ОБП есть признаки наличия густой желчи в желчном пузыре, то есть она там накапливается и своевременно в кишечник не попадает. Это также косвенно может стать причиной запоров. Кроме того, также имеются и признаки того, что часть желчи попадает не в кишечник, а в желудок (дуодено-гастральный рефлюкс по ФГДС). Нарушения попадания желчи в кишечник могут стать причиной появления дисбактериоза, и в связи с этим - метеоризма и вздутия.
Рекомендую Вам курс лечения:
- Рабепразол 20 мг по 1 таб 2 р/сут 4 нед; - уменьшит воспаление в желудке;
- Итоприда гидрохлорид 50 мг по 1 таб 3 р/сут 4 нед; - будет препятствовать забросу желчи в желудок;
- Урсодезоксихолевая кислота 250 мг по 2 капс. на ночь в течение 3 мес. Будет разжижать желчь, уменьшит проявлеия дуоденогастрального рефлюкса.
Что можно сделать с запорами?
- Пить больше жидкости. Вода формирует кал. Также можно пить отвары или компоты из чернослива и кураги, если не любите воду.
- Небольшие физические нагрузки - активная ходьба не менее 30 мин/день, не менее 5 раз в неделю. Помогут также упражнения на пресс, которые легко выполнять дома.
- Наладить питание - каша овсяная, гречневая; овощи приготовленные на пару или отварные, или запеченные. Более подробно можете посмотреть: Диета №3 по Певзнеру.
- В случае, если ничего из этого не помогает, можно добавить препараты
- Мукофальк - настой из препарата, принимается 1-2 р/сут за 30 мин до еды.
- Дюфалак 20-40 мл по 1 дозе/сут утром. Препараты в случае чего можно сочетать между собой.Внимание! Дюфалак может вызвать вздутие живота, поэтому при вздутии (даже если дюфалак не будете пить, и при этом все равно есть вздутие) можно добавить:
- Эспумизан по 2 таб 3 р/Сут во время еды симптоматически при вздутии.
Колоноскопия при болезни Крона. Эндоскопическая картина
У больных, страдающих неспецифическим язвенным колитом (НЯК) и болезнью Крона (БК), имеется высокий риск развития интраэпителиальной неоплазии (ИЭН; прежнее название - дисплазия) и колоректального рака (КРР), что обусловливает необходимость обязательного проведения эндоскопических исследований. Однако при стандартной эндоскопии со случайным забором множественных биоптатов часть поражений остается невыявленной [1].

На протяжении последнего десятилетия в клиническую практику были внедрены разнообразные эндоскопические методики, позволяющие улучшить диагностику и результаты лечения воспалительных заболеваний кишечника (ВЗК). Как известно, стандартная эндоскопия позволяет исследовать только поверхностные слои слизистой оболочки (СО) кишечника и прилегающие кровеносные сосуды при малом увеличении (рис. 1). Рисунок 1. Картина болезни Крона в стадии обострения, полученная с помощью стандартной эндоскопии с высоким разрешением. Видны язвы, отек и гиперемия участка СО кишки. Для преодоления этих ограничений были разработаны методы эндоскопической визуализации, позволяющие получать более детальные изображения СО кишечника. К их числу относятся хромоэндоскопия и эндоскопия с увеличением. Кроме того, новые эндоскопы позволяют проводить гистологические исследования in vivo в реальном времени.
В данном обзоре представлена концепция передовых эндоскопических технологий, используемых в ВЗК.
Хромоэндоскопия
При хромоэндоскопии используются разнообразные способы окрашивания с целью выявления деталей строения СО и сосудистого рисунка подслизистой основы. Это повышает вероятность обнаружения патологических изменений и, следовательно, эффективность диагностики. В настоящее время хромоэндоскопия применяется в двух модификациях: с использованием красителей и без них.

В первом случае применяются биосовместимые красители (рис. 2), Рисунок 2. Хромоэндоскопия с окрашиванием индигокармином. Улучшенная видимость изменений в слизистой оболочке при длительно текущем неспецифическом язвенном колите (а) и анализ картины ямок желез на участке подозреваемых поражений (б). в том числе абсорбционные (0,1-0,5% раствор метиленового синего, 0,2% раствор крезилового фиолетового) и контрастные красители (0,2-0,4% индигокармин). Дополнительным преимуществом этой методики является 3-4-кратное повышение частоты выявления ИЭН [2, 3]. В то же время методика имеет ряд ограничений. Процедура обследования занимает много времени и требует дополнительных затрат на приобретение оборудования для распыления красителя; последний не всегда равномерно распределяется по поверхности СО кишечника, что препятствует детальному анализу субэпителиальной капиллярной сети, который имеет большое значение для ранней диагностики неоплазии.

Это обусловило появление хромоэндоскопии без использования красителей, известной также как виртуальная хромоэндоскопия (рис. 3). Рисунок 3. Виртуальная хромоэндоскопия с использованием системы FICE. а - изображение, полученное с помощью стандартной эндоскопии; б-г - изображения, полученные с использованием системы FICE. Ее вариантами являются узкоспектральная эндоскопия (NBI; Olympus, Токио, Япония), эндоскопия с использованием системы Fuji Intelligent Chromo Endoscopy (FICE, Fujinon, Токио, Япония) и эндоскопия в режиме i-Scan (Pentax, Токио, Япония).
При NBI-эндоскопии используются эндоскопы с оптическими фильтрами, встроенными внутрь источника света, которые сужают полосу пропускания, усиливая тем самым контрастность кровеносных сосудов и улучшая их визуализацию. Методики FICE и i-Scan основаны на том же физическом принципе, что NBI, однако при их использовании не требуются оптические фильтры в видеоэндоскопе благодаря применению технологии компьютерной оценки спектральных параметров. В отличие от NBI-эндоскопии, при FICE и i-Scan виртуальное эндоскопическое изображение формируется в видеопроцессоре и реконструируется в реальном времени посредством максимального усиления интенсивности суженного синего цвета с одновременным уменьшением до минимальной величины интенсивности суженных полос красного и зеленого цветов; таким способом достигается усиление контрастности капилляров и поверхности СО.
В одном из последних исследований оценивалась эффективность увеличивающей колоноскопии с использованием NBI для диагностики ИЭН при НЯК. Было установлено, что наблюдаемая с помощью NBI неясная картина может служить поводом для дальнейшего обследования и выявления дисплазии у пациентов с НЯК [4]. Другое исследование, включавшее 50 пациентов с длительно текущим НЯК, продемонстрировало умеренную точность диагностики ИЭН методом NBI (чувствительность 75%, специфичность 81%) [5]. Кроме того, NBI может использоваться для определения тяжести воспаления у больных с неактивным НЯК [6].
Совсем недавно показано [7], что использование FICE не повышает вероятность обнаружения язвенных и эрозивных участков СО кишечника при БК [7]. Однако эти предварительные данные нуждаются в подтверждении в более крупных проспективных исследованиях.
Увеличительная эндоскопия

В методике увеличительной эндоскопии (или Zoom-эндоскопии) используются подвижные линзы для варьирования степени увеличения вплоть до 150-кратного (рис. 4). Рисунок 4. Эндоскопия слизистой оболочки подвздошной кишки при большом увеличении у пациента с болезнью Крона в стадии ремиссии. Хорошо видны ворсинки. При окрашивании всей ободочной кишки метиленовым синим хромоэндоскопии в комбинации с увеличительной эндоскопией расширяет возможности выполнения прицельной биопсии у больных с длительно текущим НЯК, а также ранней диагностики ИЭН и КРР [2]. При хромоэндоскопии достигается гораздо более достоверная, чем при обычной колоноскопии, корреляция между результатами оценки тяжести (р=0,0002) и объема (р<0,0001) воспаления СО толстой кишки, с одной стороны, и сопутствующими гистологическими изменениями, с другой стороны. Кроме того, хромоэндоскопия позволяет целенаправленно получать больше биопсийного материала и значительно точнее выявлять ИЭН (р=0,003).
Эти наблюдения были подтверждены D. Hurlstone и соавт. [3] в проспективном исследовании, включавшем 162 больных с длительно текущим НЯК, которые обследовались с помощью стандартной колоноскопии. После выявления слабых изменений СО кишечника производили прижизненное окрашивание индигокармином. Затем определяли макроскопический тип и характер окрашивания СО толстой кишки. Хромоэндоскопия с увеличением и прицельной биопсией значительно повышала эффективность диагностики ИЭН и число выявляемых плоских неопластических поражений по сравнению со стандартной колоноскопией.
Спектроскопия
Спектроскопия - комплекс оптических методов, включая флуоресцентную и отражательную спектроскопию, спектроскопию рассеивания света и оптическую когерентную томографию. Результаты спектроскопии зависят от длины волны источника света и особенностей исследуемой ткани. На основании различий спектральных характеристик отраженного клетками света можно определить спектры, специфичные для того или иного расстройства, например ишемии, воспаления или злокачественного заболевания [10].
В одном из исследований флуоресцентная эндоскопия использовалась для взятия биоптатов под оптическим контролем с целью диагностики ИЭН при НЯК. В качестве экзогенного флуорофора применяли 5-аминолевулиновую кислоту. Чувствительность и специфичность методики при выявлении диспластических изменений СО составляли 100 и 62% соответственно [11]. Недавно проведено сравнение методов для обнаружения невидимой плоской ИЭН с использованием флуоресценции протопорфирина IX и стандартной 4-квадрантной биопсии [12]. С помощью стандартной 4-квадрантной биопсии с использованием источника белого света ИЭН выявлена у 7% обследованных пациентов, а с помощью флуоресцентной эндоскопии - у 24% больных (р=0,02). Чувствительность и специфичность дифференциации больных с дисплазией и без нее оценивались в 100 и 81% случаев соответственно. Чувствительность и специфичность дифференциации ткани СО с диспластическими изменениями и в их отсутствие составляли в 73 и 81% соответственно.
Конфокальная лазерная эндомикроскопия

Методика конфокальной лазерной эндомикроскопии применяется с 2004 г. Она позволяет увидеть СО кишечника in vivo в реальном времени при 1000-кратном увеличении во время эндоскопии [13]. В настоящее время имеются два устройства, разрешенных к применению Администрацией США по контролю за лекарственными препаратами и пищевыми продуктами - FDA (рис. 5). Рисунок 5. Конфокальная лазерная эндомикроскопия с использованием встроенного (iCLE, а) либо автономного (рCLE, б) зондов. Выявляются расширенные микрососуды, повышенная сосудистая проницаемость и нарушенная структура крипт при активном язвенном колите. Одно устройство встраивается в дистальный наконечник эндоскопа высокого разрешения (iCLE, Pentax, Токио, Япония), а другое представляет собой автономный зонд, свободно проходящий через рабочий канал большинства стандартных эндоскопов (pCLE, Cellvizio, Mauna Technologies, Париж, Франция). Лазерный источник синего света генерирует возбуждающее излучение с длиной волны 488 нм, а отраженный свет определяется на волне >505 нм. При эндомикроскопии требуется применение системных (флуоресцеин) либо топических (акрифлавин, крезиловый фиолетовый) флуоресцентных красителей [14].
Эндомикроскопия позволяет исследовать СО только в ограниченном поле зрения, тотальная эндомикроскопия всего желудочно-кишечного тракта невозможна. Поэтому целенаправленной эндомикроскопии должна предшествовать макроскопическая визуализация подозрительных участков.
В настоящее время проведен ряд исследований с целью оценки возможности использования эндомикроскопии для in vivo диагностики ВЗК.
О. Watanabe и соавт. [15] сравнивали эндомикроскопическую картину воспаленной и невоспаленной СО прямой кишки у 17 больных НЯК и у 14 человек контрольной группы. Конфокальные изображения сопоставляли с данными обычного гистопатологического исследования. Эндомикроскопия позволяла визуализировать структуру крипт, капилляров и воспалительных клеток, давая такую же информацию, как гистопатологические методы.
Недавно предложена новая классификация воспалительной активности при НЯК на основании данных эндомикроскопических исследований [16], включая архитектонику крипт и микрососудистые изменения. Авторы продемонстрировали надежность эндомикроскопической оценки воспалительной активности в реальном времени у больных НЯК и достоверную корреляцию ее изменений с гистологическими изменениями (в обоих случаях р
Мы предприняли оценку пригодности эндомикроскопии для выявления in vivo изменений, ассоциирующихся с БК. Используя зонд pCLE, мы показали, что эндомикроскопия позволяет с высокой точностью определять изменения, ассоциирующиеся с БК. Более того, pCLE с такой же точностью, как гистологическое исследование (0xEA;=0,8, неопубликованные данные), позволяла выявлять остаточное макроскопическое невидимое воспаление СО.
Согласно существующим методическим указаниям рекомендуется исследовать большое количество биоптатов при проведении обзорной колоноскопии по поводу НЯК. Однако это не гарантирует выявления всех плоских очагов поражения. Имеется публикация [17], описывающая применение хромоэндоскопии для предварительного выявления поражений при длительно текущем НЯК с целью их последующего эндомикроскопического исследования и сопоставления полученных данных с результатами стандартной эндоскопии с биопсией случайно выбранных участков. При комбинации хромо- и эндомикроскопии выявлено в 4,75 раза больше случаев неоплазии, чем при стандартной колоноскопии (р=0,005); к тому же, при такой комбинации требовалось на 50% меньше биоптатов (р=0,008). Наличие неопластических изменений прогнозировалось с чувствительностью 94,7%, специфичностью 98,3% и точностью 97,8%.
В одном из последних исследований проспективно оценивались клиническая необходимость и прогностическая значимость эндомикроскопии при дифференциации in vivo дисплазии и аденомоподобных опухолей [18]. Точность эндомикроскопии достигала 97%, а ее результаты полностью соответствовали гистологическому диагнозу (0xEA;=0,91).
Эндоцитоскопия

Эндоцитоскопия (Olympus, Токио, Япония) - новый метод визуализации, позволяющий получать изображения СО кишечника при 1400-кратном увеличении микроскопа (рис. 6). Рисунок 6. Эндоцитоскопия. Позволяет визуализировать различные цитологические и структурные особенности слизистой оболочки, включая размер, взаимное расположение и плотность клеток. Для эндоцитоскопии используется контактный световой микроскоп, обеспечивающий визуализацию клеточной структуры поверхностного эпителиального слоя в плоскости, параллельной поверхности СО. Существуют системы для использования в составе дистального наконечника эндоскопа (iEC) или в качестве автономных зондов (pEC). В последнем случае применяются портативные минизонды, которые вводятся через вспомогательный канал обычного эндоскопа. Эта система обеспечивает получение изображений исследуемого участка диаметром около 0,5 мм при сверхвысоком увеличении: ×570 (рЕС), ×580 (iEС) или ×1400 (зЕС) на 19-дюймовом мониторе. Для эндоцитоскопии необходима предварительная подготовка СО посредством ее обработки адсорбируемыми контрастными красителями, такими как метиленовый синий или толуидиновый синий [19].
Недавно обнаружено, что эндоцитоскопия является ценным инструментом для осмотра поверхности СО кишечника 22. Некоторые авторы предлагают использовать эту методику для оценки in vivo состояния СО двенадцатиперстной кишки при целиакии (глютеновой энтеропатии) [21]. Кроме того, эндоцитоскопия позволяет выявлять изменения в нормальной СО, окружающей очаги КРР, и обнаруживать неоплазию в очагах аберрантных крипт [22]. Наконец, показано, что с помощью эндоцитоскопии можно дифференцировать инвазивный рак и аденому толстой кишки [23, 24].
Данные ПО эндоцитоскопической диагностики ВЗК in vivo в настоящее время отсутствуют. Тем не менее высокая разрешающая способность этой новой методики делает ее перспективной для использования с целью исследования поверхности СО на клеточном и субклеточном уровне.
Капсульная эндоскопия
Капсульная эндоскопия (КЭ) разработана для исследования СО тонкой кишки. В настоящее время имеется две системы КЭ. Одна производится компанией Given Imaging (Norcroscc, Джорджия, США), другая - компанией Olympus (Токио, Япония). Капсула, пассивно перемещающаяся по кишечнику за счет перистальтики, передает цветные изображения его внутренней оболочки [25].
КЭ может использоваться для оценки состояния СО тонкой кишки в случаях сомнительного диагноза БК [26]. Из-за опасности задержки капсулы в кишечнике больных с подтвержденной БК предложен модифицированный продукт - капсула, растворяющаяся в течение примерно 30 ч после приема, что обеспечивает ее прохождение. Кроме того, для удаления застрявших капсул применяется баллонная эндоскопия [27]. Е. Dubcenko и соавт. проанализировали данные по КЭ у пациентов с БК при подтвержденном поражении тонкой кишки или подозрении на него и сопоставили их с результатами радиологических, эндоскопических и гистологических исследований [28]. Окончательный диагноз поражения тонкой кишки вследствие активной БК был поставлен у 74% пациентов. Чувствительность и специфичность методики КЭ составила 89,6 и 100% соответственно, а прогностическая ценность положительного и отрицательного полученного с ее помощью результата - 100 и 76,9% [28]. Кроме того, показано, что КЭ имеет преимущества перед push-энтероскопией и энтероклизисом [29].
Заключение
Современные эндоскопические методы произвели революцию в диагностике и лечении ВЗК. Их новейшие варианты позволяют обнаруживать все больше и больше особенностей строения СО и подслизистой основы кишечника. Однако из-за большого увеличения и, соответственно, уменьшения поля зрения необходимо обязательно проводить предварительную оценку участков СО, в которых предполагается поражение. Хромоэндоскопия с использованием технологий витального или виртуального окрашивания позволяет выявлять ограниченные поражения, а конфокальная лазерная эндомикроскопия или эндоцитоскопия - с высокой точностью прогнозировать ИЭН. Вместе с тем для оценки применения описанных новых методик эндоскопической визуализации в клинической практике необходимы дальнейшие исследования. Более того, в настоящее время отсутствует система возмещения расходов на обследование больных прогрессивными методами эндоскопической визуализации, включая эндомикроскопию, эндоцитоскопию и спектроскопию. Поэтому традиционная эндоскопия с забором множественных биоптатов из случайно выбранных участков остается «золотым стандартом» диагностики ВЗК.
Болезнь Крона — хроническое прогрессирующее воспалительное заболевание, характеризующееся трансмуральным гранулематозным воспалением различных отделов ЖКТ (любого его отдела), сочетающееся со многими внекишечными проявлениями [1]. Распространенность и заболеваемость составляют 10—15 и 5—10 случаев на 100 000 населения соответственно [2].
Болезнь Крона встречается примерно одинаково часто среди мужчин и женщин [1]. Период манифестации заболевания чаще приходится на возраст 15—35 лет [3]. Наибольшее распространение болезни наблюдается преимущественно в развитых странах и представляет актуальную проблему [4].
Своевременная диагностика болезни Крона очень сложна, иногда правильный диагноз устанавливается спустя 3—5 лет от начала заболевания [5]. Стенозирующее течение болезни Крона встречается у 28,8% больных [6]. По результатам исследований Е.В. Ивановой и соавт. (2011), стриктуры были выявлены в 53,3% случаев.
Как известно, чаще всего при болезни Крона вовлекается илеоцекальный переход [7]. Дифференциальная диагностика включает заболевания, для которых характерны язвенные поражения тонкой кишки: туберкулез, иерсиниоз, сальмонеллез, шигеллез, кампилобактериоз, а также энтеропатию, вызванную лекарственными препаратами, лучевую энтеропатию, новообразования. Подобное разнообразие клинических вариантов не позволяет с легкостью поставить диагноз, лишь на основе эндоскопической картины.
Сложна дифференциальная диагностика между болезнью Крона и туберкулезом, так как между ними имеется патогенетическое сходство — подобный механизм формирования гранулем [7]. В обоих случаях чаще болеют молодые люди, наиболее часто вовлекается илеоцекальный переход [7], воспаление носит трансмуральный гранулематозный характер, но при туберкулезе гранулемы могут иметь казеоз, а при болезни Крона казеоз отсутствует. Наблюдаются похожие проявления: абдоминальные боли, диарея, потеря веса, отсутствие аппетита, формирование инфильтратов в брюшной полости, непроходимость, перфорации [2].

О сложности диагностики свидетельствует тот факт, что до сих пор не существует единственного диагностического метода, единого «золотого стандарта» диагностики болезни Крона. На Международной конференции по капсульной эндоскопии (ICCE, 2006/2007) [8] приняты критерии, по совокупности которых можно заподозрить болезнь Крона (см. таблицу). Основные критерии, позволяющие заподозрить болезнь Крона
Диагноз болезни Крона можно заподозрить при наличии у пациента хотя бы одного признака из раздела, А (клинические проявления заболевания) и одного признака из любого другого раздела (внекишечные проявления заболевания).
Согласно рекомендациям Российской группы по изучению воспалительных заболеваний кишечника (2009 г.) [9], диагноз болезни Крона должен быть подтвержден эндоскопическим и морфологическим и/или рентгенологическим методом [1].
Такой специфический признак, как неказеозные гранулемы, выявляется очень редко [10]. По литературным данным [3, 11], гранулемы находят приблизительно в 10—20% случаев биопсий, по некоторым источникам — несколько чаще (36%) [1].
Таким образом, болезнь Крона остается актуальной проблемой в силу своей относительной редкости, наличия тяжелых осложнений и объективной трудности в диагностике.
Приводим клинический случай.
Цель — обратить внимание на сложность диагностики и необходимость комплекса исследований для выявления болезни Крона.
Материал и методы
Исследование проводилось на материале больной Ч., 34 года, которая обратилась в консультативную поликлинику ГБУЗ ООКБ к врачу-гастроэнтерологу с жалобами на периодические схваткообразные боли в правой половине живота, периодическую задержку стула и газов, ухудшение аппетита и снижение веса примерно на 5—7 кг в течение последних трех месяцев. Примесей слизи и крови в кале не было. Каких-либо заболеваний ранее больная не отмечала, медикаментов не принимала, пищевой и лекарственной аллергии не имела. Туберкулез отрицает.
При обследовании использовались методы: клинические, рентгенологические (КТ, ирригография, обзорная рентгенография брюшной полости, пассаж бария по кишечнику), эндоскопический — колоноскопия.
Результаты
В лабораторных анализах выявлена СОЭ до 25, лейкоцитоз до 10 тыс. Кожные покровы чистые, бледные, регионарные лимфоузлы не увеличены, язык влажный, обложенный белым налетом. Температура тела нормальная. При пальпации живота в правой подвздошной области определялось болезненное опухолевидное образование до 8—10 см в диаметре. Симптомов «плеска» и «падающей капли», а также симптомов раздражения брюшины не было. На обзорной рентгенограмме грудной клетки патологии не выявлено. Микроскопия кала без особенностей.

Колоноскопия. При осмотре перианальной области изменений не отмечено. Геморроидальные узлы не увеличены. При пальцевом исследовании прямой кишки болей и патологических образований не выявлено. Тонус сфинктера сохранен. Толстая кишка осмотрена, включая купол слепой кишки. При осмотре со стороны восходящей ободочной кишки особенностей области баугиниевой заслонки не замечено, она имела уплощенную форму (рис. 1). Рис. 1. Больная Ч., 34 года. Колоноскопия. Эндофото. Изменения илеоцекальной области. а — баугиниева заслонка; b — язва; с — устье аппендикулярного отростка; d — купол слепой кишки. Слепая кишка отклонена медиально и деформирована, из-за чего ее форму определить затруднительно. По этой же причине не удалось провести фронтальный осмотр баугиниевой заслонки, но на участке нижней губы баугиниевой заслонки, обращенном к отверстию, выявлена язва (см. рис. 1) средней глубины, неправильной формы, с невыраженным воспалительным валом, ровным дном и налетом серого фибрина. Размеры язвы не определены из-за деформации этой области. Отмечалась повышенная плотность стенки этой области при инструментальной пальпации, перистальтика отсутствовала. Проведение колоноскопа диаметром 1,2 см через отверстие баугиниевой заслонки оказалось невозможным из-за его сужения. Произведен забор фрагментов слизистой оболочки с краев и дна язвы для гистологического и цитологического исследования. Область купола слепой кишки и устья аппендикулярного отростка — без особенностей (см. рис. 1).
Заключение гистологического исследования биоптатов со слизистой оболочки краев и дна язвы баугиниевой заслонки: очаговое склерозирование стромы с преимущественно лимфоидно-клеточной инфильтрацией.
Заключение цитологического исследования: слизистая толстой кишки с умеренной воспалительной инфильтрацией. Опухолевой ткани не найдено.
При обследовании верхних отделов ЖКТ выявлен хронический гастрит, ассоциированный с Helicobacter pylori.
Выполнена компьютерная томография, при которой на задней поверхности слепой кишки обнаружено образование 49×43 мм с довольно четкими контурами, плотностью до 45 едН. Образование несколько компримирует кишку, прилежит к поясничной мышце. Заключение К.Т.: образование брюшной полости? аппендикулярный инфильтрат?

При ирригоскопии выявлена деформация слепой кишки и «изъеденность» ее медиального контура (рис. 2). Рис. 2. Больная Ч., 34 года. Ирригограмма илеоцекального перехода и восходящей ободочной кишки. а — слепая кишка; b — восходящая ободочная кишка; с — ось восходящей ободочной кишки; d — ось слепой кишки; e — изъеденность медиального контура слепой кишки; α — угол между осями восходящей ободочной и слепой кишки. Слепая кишка отклонена медиально, образуя угол 39° по отношению к восходящей ободочной кишке.
Больной была выполнена обзорная рентгенограмма брюшной полости, при которой свободного газа, а также чаш Клойбера не выявлено. Кроме этого, после перорального приема сернокислого бария проводился контроль пассажа бария по кишечнику, при этом отмечалось замедленное прохождение его в толстую кишку до 10—12 ч. В результате комплекса исследований больной были определены показания к операции в связи с частичной кишечной непроходимостью, среди возможных причин которой не исключались болезнь Крона, аппендикулярный инфильтрат, туберкулез, новообразование илеоцекальной области.
Выполнена лапаротомия, правосторонняя гемиколэктомия с формированием илеотрансверзоанастомоза бок в бок.

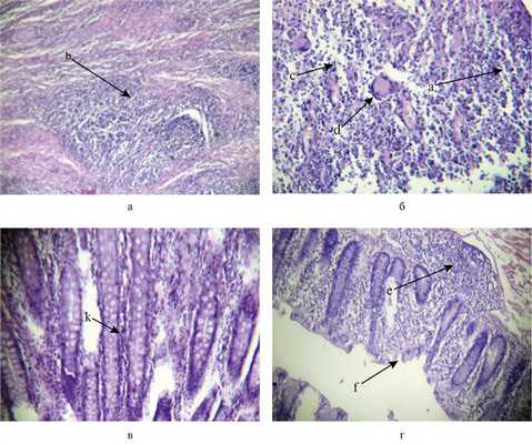
Макропрепарат илеоцекальной области представлял собой конгломерат (рис. 3), Рис. 3. Больная Ч., 34 года. Макропрепараты илеоцекального перехода после правосторонней гемиколэктомии. Фото. b — язва; k — просвет восходящей ободочной кишки; i — просвет слепой кишки; m — просвет подвздошной кишки. состоящий из спаянных между собой петель восходящей ободочной, слепой и подвздошной кишок. При рассечении этого участка определялась значительная плотность ткани, деформация стенки, элементы баугиниевой заслонки не дифференцировались, в районе предполагаемой нижней губы баугиниевой заслонки — глубокая язва, неправильной формы, с плотными краями.

Заключение послеоперационного гистологического исследования удаленного макропрепарата илеоцекального перехода (рис. 4): Рис. 4. Больная Ч., 34 года. Микропрепараты илеоцекального перехода. а — лимфоидно-клеточная инфильтрация; b — лимфоидная гиперплазия; с — склерозирование стенки; d — клетки Пирогова—Лангханса; е — крипт-абсцесс; f — язва; k — бокаловидные клетки. Окраска гематоксилином и эозином; ув. 40 (а, б), ув. 100 (в, г). склерозирование всех слоев стенки с выраженной лимфоцитарной инфильтрацией и очаговой лимфоидной гиперплазией. Определяются гигантские клетки Пирогова—Лангханса, крипт-абсцессы, глубокая язва. Количество бокаловидных клеток сохранено. Данная картина соответствует болезни Крона.
Дифференциальная диагностика болезни Крона должна включать заболевания, для которых характерны язвенные поражения: энтеропатию, вызванную лекарственными препаратами, лучевой нагрузкой, а также язвенный колит, туберкулез, иерсиниоз, сальмонеллез, шигеллез, кампилобактериоз. Но больная лекарственных препаратов не принимала, лучевому воздействию не подвергалась, инфекции были исключены по результатам лабораторных исследований. Против язвенного колита свидетельствует отсутствие изменений в прямой кишке. Нельзя было исключить опухоль илеоцекального перехода, так как пальпаторно определялось объемное образование в правой подвздошной области, выявлено снижение Hb в крови, имелись соответствующие клинические признаки. Можно подумать о туберкулезе кишечника, так как распространенность его в России составляет 78,7 случая на 100 000 населения, а в некоторых регионах — до 395,8 случаев [2]. Кроме того, имеется патогенетическое и клиническое сходство этих заболеваний. R-графия легких в 50% случаев при туберкулезе может соответствовать норме [2]. В биоптатах, полученных при колоноскопии, такой специфический признак, как гранулема (при туберкулезе — казеозная, при болезни Крона — неказеозная), а также бактерии туберкулеза, встречаются нечасто [1]. Но перфорация язвы как осложнениe болезни Крона и формирование инфильтрата с частичной кишечной непроходимостью стоят на первом месте. Поэтому больная была прооперирована в связи с частичной кишечной непроходимостью, причиной которой могли быть болезнь Крона, туберкулез, опухоль илеоцекального перехода, аппендикулярный инфильтрат. Результаты послеоперационного морфологического исследования илеоцекального перехода, трансмуральные поражения стенки кишки, склерозирование, лимфоидная инфильтрация, гигантские клетки Пирогова—Лангханса, язвы, сохранение бокаловидных клеток, послеоперационное лечение утвердили подозрения в болезни Крона илеоцекального перехода, осложненной перфорацией язвы и формированием инфильтрата с частичной кишечной непроходимостью.
Заключение
Диагностика болезни Крона илеоцекального перехода и ее осложнений обусловлена объективными трудностями, требует комплекса методов, основывается на критериях, включая клинические проявления, а также лабораторные, рентгенологические, эндоскопические, иногда оперативные данные. Важным в диагностике является морфологическое подтверждение (трансмуральное поражение, эрозии, глубокие язвы, наличие клеток Пирогова—Лангханса, гранулем, сохранение бокаловидных клеток).
Авторы заявляют об отсутствии конфликта интересов.
Сведения об авторах
Фатеев Иван Николаевич — д.м.н., доцент, профессор кафедры оперативной хирургии и клинической анатомии;
ДИФФЕРЕНЦИАЛЬНАЯ ДИАГНОСТИКА ЯЗВЕННОГО КОЛИТА И БОЛЕЗНИ КРОНА
Несмотря на то, что этиология язвенного колита и болезни Крона остаётся неизвестной, дифференциальная диагностика этих двух заболеваний осуществима на основании данных. В типичных случаях дифференциальная диагностика не вызывает затруднений.
Точность диагностики зависит от опыта и настороженности врача. Диагностика воспалительных заболеваний кишечника должна осуществляться на основании всестороннего анализа всех доступных данных.
Колоноскопия является здесь наиболее ценным методом исследования, так как визуальные патологические проявления в прямой кишке особенно важны для дифференциальной диагностики. Проведение повторных и более тщательных осмотров на предмет выявления эндоскопических признаков поражения показали возрастание степени точности диагностики. Колоноскопия, тем не менее, уступает рентгенологическому исследованию в получении верного представления о целостной картине поражения.
Первым шагом в проведении морфологической диагностики является умение правильно оценить именно целостную картину поражения и придерживаться её особенностей при последующем вдумчивом анализе отдельных признаков. Имеются разнообразные патоморфологические проявления воспалительного процесса толстой кишки, характер которых может отличаться в зависимости от локализации зоны поражения. Поэтому недостаточно исследовать лишь отдельные поражённые сегменты, так как это может стать причиной неверного заключения о сути заболевания.
Причиной ошибочной диагностики может также стать недостаточная информация о каждом конкретном случае заболевания, в частности о течении патологического процесса. Любая информация должна быть максимально основана на объективных данных. При язвенном колите всегда имеется первичное воспалительное поражение слизистой оболочки прямой кишки, которое впоследствии непрерывно распространяется на проксимальные отделы.
При болезни Крона воспаление имеет трансмуральный характер, изменения на поверхности слизистой оболочки зачастую менее выражены, чем в глубоких слоях кишечной стенки (неравномерное, непропорциональное воспаление). Болезнь Крона почти всегда представлена в виде прерывистого поражения, при этом прямая кишка редко вовлекается в процесс, в ней обнаруживается лишь несколько рассеянных изолированных язв.
Визуальная картина слизистой оболочки при каждом заболевании в значительной степени отличается. При язвенном колите имеются зернистость и геморрагическое пропитывание слизистой, а также довольно выраженная кровоточивость слизистой оболочки в активной стадии процесса.
Изменения слизистой оболочки при болезни Крона вероятно появляются вторично по отношению к воспалению глубоких слоёв кишечной стенки. Ввиду этого поверхностные проявления представлены язвами, локализующимися на фоне визуально нормальной слизистой оболочки. Диффузное воспаление слизистой с наличием гиперемии и геморрагии, как правило, отсутствует при болезни Крона.
Однако при наличии локализованной формы такого воспаления и скачкообразного характера поражения диагностика болезни Крона представляется вполне возможной. Внутренние и наружные свищи специфичны для болезни Крона, но в некоторых случаях могут иметь место и при язвенном колите. Роль ирригоскопии заключается, в частности, в наглядной демонстрации таких свищей.


Наиболее крупные язвы имеют округлую или продолговатую форму. Они резко отграничены от окружающей слизистой оболочки и покрыты белым налётом. По мере увеличения до крупных размеров язвы почти всегда приобретают продольную направленность. Продольные язвы могут быть более 20 см в длину, обычно они имеют линейную форму. Несмотря на размер, язвы при болезни Крона имеют изолированный характер, чётко визуализируются на фоне интактной слизистой оболочки. Рядом расположенные продольные язвы являются ранней фазой «булыжной мостовой», которая формируется за счёт этих язв, а также поперечных и подслизистого отёка. В законченном виде «булыжная мостовая» выглядит так, как если бы округлые булыжники одинакового или различного размера выстилали поверхность слизистой оболочки (Рис. 3-3).
При болезни Крона кишечная стенка значительно утолщается, налицо трансмуральный характер воспаления. Трансмуральное воспаление предрасполагает к формированию свищей.
Колит Крона может локализоваться в различных сегментах толстой кишки. Morson выделяет три основных типа поражения при болезни Крона: диффузное поражение, поражение стриктурирующего типа, изолированное поражение прямой кишки [17]. Любой из этих вариантов может сочетаться с поражением подвздошной кишки. Терминальный отдел подвздошной кишки часто вовлекается в патологический процесс при болезни Крона, что представляет собой одно из основных отличий от язвенного колита. Отличительным признаком илеита при БК являются длинные продольные язвы. Частота поражения колеблется от 50 до 80%. [5,21].
Важное диагностическое значение имеют анальные проявления [10, 18]. Анальные поражения встречаются примерно у 75% больных, страдающих болезню Крона. Они включают хронические трещины, свищи и язвы. Наличие анальных проявлений зачастую свидетельствует о латентном течении болезни Крона.
Болезнь Крона не имеет патогномоничных признаков, однако, накопленный опыт патогистологических исследований позволяет установить диагноз. Гистологические признаки, характерные для болезни Крона, включают трансмуральное поражение (встречается не всегда), выраженную клеточную инфильтрацию, лимфангиэктазию, перилимфангит, лимфостаз и, среди всего прочего, неказеозные саркоидные () гранулёмы. Диагностически ценными являются лимфоидные скопления, локализующиеся в глубине кишечной стенки. Несмотря на то, что характерные гистологические признаки схожи с таковыми при поражении других отделов пищеварительного тракта, утолщение кишечной стенки и обструктивный лимфостаз менее выражены при колите, чем при илеите Крона.
Обнаруженная саркоидная гранулёма является достоверным гистологическим маркером БК [2,11]. Несмотря на то, что саркоидные гранулёмы встречаются не только при БК, они весьма характерны для этого заболевания, особенно если они многочисленны и располагаются в глубоких слоях кишечной стенки. Гранулёма состоит из скопления эпителиоидных гистиоцитов и гигантских клеток типа Ланганса, хотя последние могут отсутствовать. Они имеют крошечные размеры и обычно лишены лимфоцитарного венчика. Казеозный некроз всегда отсутствует. Саркоидные гранулёмы встречаются не всегда и отсутствуют приблизительно в 25% случаев [18].
Биологическое значение саркоидной гранулёмы при БК не вполне ясно. Гранулёма рассматривается в качестве некоего адаптивного механизма для устранения или изоляции причинного агента болезни Крона [2, 23]. Маловероятно, что возникновение гранулом при болезни Крона является следствием реакции на вторичное внесение кишечного содержимого внутрь кишечной стенки при изъязвлении слизистой оболочки.
Glass и Baker [8] выделили две группы больных: с гранулёмами и без них. Они привели доказательства, что наличие гранулём является благоприятным признаком. Chambers и Morson [2] также доказали, что высокое содержание гранулём в толстой кишке и анусе свидетельствует о благоприятном прогнозе, но не является прогностическим критерием при поражении тонкой кишки.
Наряду с саркоидной грануломой весьма важным характерным признаком болезни Крона является образование . Трещины по типу «порезов ножом» проникают в глубокие слои кишечной стенки, а иногда и в периинтестинальные ткани. Подобные трещины наблюдаются в 25% случаев колита Крона [18].
В слизистой оболочке обнаруживают обычно неспецифическое воспаление. В присутствии активного воспаления относительно хорошо сохранена как архитектоника желез, так и популяция бокаловидных клеток с нормальным содержанием слизи. Наличие «интерстициального воспаления» наводит на мысль о колите Крона, а является одним из наиболее важных отличий от язвенного колита, если обнаруживается при гистологическом исследовании биоптатов. При болезни Крона, хотя и редко, но могут встречаться . Подслизистый слой расширен вследствие лимфостаза, лимфангиэктазии и клеточной инфильтрации. Как правило, воспалительная реакция наиболее выражена в подслизистом слое, а не в слизистой оболочке (неравномерное воспаление).
Читайте также:
