Костно-мышечная система при избытке и недостатке фтора - лучевые признаки
Добавил пользователь Евгений Кузнецов Обновлено: 22.11.2025
Как известно, терпение и труд все перетрут. Эта народная мудрость вполне применима и к заботе о здоровье полости рта. Однако даже если вы тщательно чистите зубы, ежедневно пользуетесь зубной нитью и стараетесь избегать употребления сладкой пищи и напитков, ваши зубы и десны все равно могут быть подвержены невидимым угрозам, о которых вы, вероятно, даже не подозреваете. И одна из таких угроз - дефицит фтора, который сулит серьезные последствия.
Что такое фтор?
Фтор - это широко распространенный в природе химический элемент, соединения которого содержатся в земной коре, вулканических газах, термальных и артезианских водах. Он входит в состав растительных тканей и присутствует в костях животных и человека. Что касается здоровья полости рта, соединения фтора эффективно защищают зубы от кариеса.
Зубная эмаль постоянно подвергается деминерализации и реминерализации. При деминерализации происходит вымывание минеральных компонентов из структуры эмали или другой твердой ткани зуба. Значительное снижение их концентрации приводит к разрушению зубов. Напротив, в ходе процесса реминерализации ионы фтора проникают в твердые ткани зуба, и баланс минералов в эмали восстанавливается.
Признаки дефицита фтора
Одним из самых красноречивых признаков дефицита фтора является кариес. Бактерии, скапливающиеся на зубах в составе зубного налета, потребляют сахара и углеводы, продуцируя органические кислоты, которые разрушают зубную эмаль.
Ярким свидетельством недостатка фтора является высокий уровень кариеса у детей. Во многих регионах России отмечается низкое содержание фторидов в питьевой воде, что повышает риск возникновения стоматологических заболеваний у населения. В целях профилактики кариеса зубов в подобных случаях иногда прибегают к фторированию воды. По данным исследователей, потребление фторированной воды снижает вероятность развития кариеса у детей и взрослых на 25-30 %.
Влияние на общее состояние здоровья
Кариес - наиболее очевидная, но отнюдь не единственная стоматологическая проблема. Образующийся на поверхности зубов бактериальный налет также может провоцировать заболевания десен. К сожалению, многие люди не уделяют должного внимания здоровью десен - и совершенно напрасно, ведь оно существенно влияет на общее состояние здоровья. При заболеваниях пародонта бактерии могут с кровотоком распространиться из ротовой полости в другие органы и ткани, что нередко становится причиной атеросклероза, развития сердечно-сосудистых заболеваний и инсульта.
Восполнение дефицита фтора
Существует несколько вариантов восстановления оптимального уровня фторидов в организме как в домашних условиях, так и в условиях стоматологического кабинета.
- Средства личной гигиены. Обеспечить надлежащий уход за полостью рта легко и просто с помощью фторидсодержащих зубных паст и ополаскивателей, которые можно применять в качестве местной индивидуальной профилактики.
- Естественные источники фтора. Фториды естественным образом поступают в организм с питьевой водой и пищевыми продуктами, достигая костные ткани с кровотоком.
- Препараты фтора. При недостатке фтора в организме стоматолог или другой врач может назначить прием специальных препаратов.
- Профессиональное фторирование. Эффективное и безопасное насыщение эмали фторидами с использованием гелей, лаков или пенок возможно только в стоматологической клинике.
Восполнение дефицита фтора имеет важное значение для профилактики и лечения стоматологических заболеваний. Однако прочным фундаментом для здоровья зубов и десен, несомненно, является тщательная гигиена полости рта. Чистите зубы не реже двух раз в день фторидсодержащей пастой и ежедневно пользуйтесь зубной нитью. И конечно, не забывайте регулярно посещать стоматолога. Если вам кажется, что эмаль ваших зубов необходимо укрепить, запишитесь на прием к врачу, который проведет диагностику и при необходимости назначит курс реминерализующей терапии и глубокого фторирования зубов.
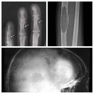
Костно-мышечная система при избытке и недостатке фтора - лучевые признаки
Хотя начало научного развития о хронической фтористой интоксикации связывается с именём K. Рохольма (1937), описавшего остеосклеротический эффект фторидов и предложившего первую классификацию профессионального костного флюороза, флюороз вошёл в литературу ещё до К. Рохольм с описания остеомаляции и остеопороза у домашнего скота, пасшегося в окружности алюминиевых заводов. Последующие изучение костной ткани, полученной при секционных исследованиях случаев с выраженными стадиями флюороза обнаружило снижение механической прочности и статическую неполноценность кости, объяснявшихся качественными изменениями костной ткани: беспорядочной структурой кости; неравномерной и недостаточной степенью минерализации костного матрикса, что рентгенологически проявлялось остеопорозом.
С самого начала изучения флюороза развитие остеопороза при нём было настолько очевидным, что каждый исследователь считал необходимым дать ему объяснение. Сам К.Рохольм объяснял развитие остеопороза теорией о дозах, полагая, что остеопорозное действие характерно для больших доз. А.Гринберг считал остеопороз начальным этапом развития флюороза, а остеосклероз - финальным процессом. Напротив, М.Сориано и Ф.Манчон относили остеопороз к завершающей, "атрофической" стадии интоксикации фтором. Р.Д.Габович, А.Авцын и А.Жаворонков подходили к объяснению неоднозначности ответной реакции с позиции дозозависимого ответа. Объяснения же типа "парадоксальная реакция" носили эмоциональную окраску, ничего не объясняя по существу.
Прижизненные гистологические исследования костной ткани у человека при хронической фтористой интоксикации фторидами, выполненные зарубежными исследователями, также выявили манифестные проявления не только остеосклероза, но и остеопороза в виде линейных дефектов костеобразования, пористости коркового слоя; губчатого перерождения компактного вещества (так называемая спонгиозация компакты); перестройки компактной кости в пластинчатую вплоть до образования волокнистой кости; неравномерности и недостаточности минерализации костного матрикса с образованием "озёр" остеоида; мозаичности узора линий цементации. В отечественной литературе публикации по аналогичным исследованиям практически отсутствовали. В единственной (и то аутопсийной) работе по гистологическому состоянию костной ткани у детей с зубным флюорозом также было констатировано качественное нарушение остеогенеза: изменения формы костных балок; уменьшение клеток костной ткани; огрубение клеточно-волокнистой кости.
Но наиболее убедительные доказательства костного флюороза как остеопороза, остеомаляции, рахита, как дистрофического процесса - в противоположность клинической трактовке его как остеосклероза - обнаружились при изучении экспериментального флюороза и флюороза у сельскохозяйственных животных, обитающих в промышленных зонах или получавших пищевые добавки, которые не были должным образом дефторированы.
Эти исследования подтверждали минерализующий и оссифицирующий (resp - остеосклерозирующий) эффекты фторидов. Но наиболее демонстративным были всё же признаки нарушенного остеогенеза с развитием остеомаляции и порозности скелета: усиление остеокластического рассасывания кости; расширенные и нерегулярно расположенные лакуны резорбции с образованием крупных резорбционных полостей; увеличение зон периостеоцитарного остеолиза. Разнообразнее были представлены изменения в новообразовании костной ткани и её перестройке: замедление или остановка энхондрального окостенения; уменьшение количества хондроцитов в растущей кости; снижение плацдарма новообразования кости, меченного тетрациклином; прекращение пери- и эндостального остеогенеза; уменьшение аппозиционного роста кости; снижение интенсивности образования костного матрикса; неравномерность толщины и размеров костных балок, их меньший, чем в норме, диаметр; возникновение бесструктурной жидкой кости; увеличение диаметра гаверсовых каналов; неравномерная минерализация, а порой и недоминерализация костного матрикса; образование широких остеоидных швов; ломаные линии цементации; неравномерное истончение кортикального слоя вплоть до его исчезновения с сохранностью только периоста; образование вместо кости фиброзной ткани, появление хрящевых очагов в глубине костной ткани. Качественные изменения остеогенеза позволяли говорить о спонгиозации компакты, под которой понимается превращение компактной кости, характеризующейся гаверсовыми каналами, в пластинчатую.
Подводя итоги своим собственным экспериментальным наблюдениям и многочисленным в литературе публикациям по экспериментальному флюорозу А.Авцын и А.Жаворонков свели все многообразие костных изменений при этой патологии к трём устойчивым признакам: атипизму вновь образованной кости, спонгиозации компакты и повышенному новообразованию первоначально фиброзной кости. Замещения костных балок остеоидной и соединительной тканью они охарактеризовали как фиброзно-дистрофический процесс, который, по их мнению, и составляет сущность костных изменений при флюорозе.
Дополнительный свет на понимание механизмов нарушения остеогенеза при флюорозе пролили данные по состоянию костной ткани у лиц, леченных физиологическими дозами фторидов по причине остеопороза (Ю.Франке, Г.Рунге; Б.Лоренс Риггзс, Л.Джозеф Мелтон III). Оказалось, что даже эти дозы фтора уже вызывают отклонения в остеогенезе качественного характера. Под влияние фторидов новообразующейся действительно в повышенном количестве матрикс недостаточно минерализуется, формируя расширенную остеоидную кайму. В остеоцитарных лакунах появляются очаги деминерализации; в глубине гнёздно закладывающейся новообразованной кости развиваются дефекты минерализации, а её трабекулы выглядят нерегулярными. Выявилась разобщенность процессов новообразования кости от её резорбции, в связи с чем объём остеоида нарастал, матрикс и остеоциты становились беспорядочно расположенным. Новообразованная кость не всегда была пластинчатой. Наряду с ней образовывалась и волокнистая кость, только в последующем превращавшаяся в нормальную. Созревание новообразованной кости затягивается на годы, заканчиваясь обычно уже после прекращения приёма фторидов.
Эти особенности влияния фтора на остеогенез помешали ему стать панацеей в лечения остеопороза. Многие авторы негативно относятся к профилактическому в отношении развития остеопороза приёму фторидов или употребления фторированной воды в связи с развитием остеомаляции, учащением случаев переломов и обострения артрозов. Негативным влиянием фторидов на остеогенез объясняются рекомендации по воздержанию от употребления фторсодержащих препаратов при беременности и в педиатрической практике.
Развитие качественных нарушения остеогенеза как при лечении физиологическими дозами фтора, так и при поступлении избыточных его доз стали связывать с его остеобластическим эффектом, который ранее рассматривался только с количественной стороны. Выяснилось, что фториды, воздействуя на остеобласты, нарушают синтез ими костного матрикса, в первую очередь, в качественном отношении, а при чрезмерно больших дозах - и в количественном. Качественные дефекты костного матрикса лежат в основе перечисленных выше гистологических изменений ("иррегулярный" матрикс по Ю.Франке и Г.Рунге). Так что остеотропность фторидов имеет, как оказалось, не только оссифицирующую, но и оборотную, диаметрально противоположную по содержанию сторону - остеопорозную. Описанный в литературе «fluoride bone effect», как кость-укрепляющий, фактически благоприятный, желательный для кости остеосклеротический эффект гиперфторозной ситуации, предохраняющий, якобы, кость хотя бы от возрастного остеопороза, оказался фактически мифом. При фтористом воздействии неполноценное качество кости до поры до времени лишь маскируется и компенсируется возросшим её неполноценным количеством, подвергающегося избыточной
минерализации.
Казалось бы, что в свете выявившегося негативного влияния фторидов на качественное и количественное состояние кости хроническая интоксикация фторидами должна была рассматриваться как одна из причин развития остеопороза. Впрочем, к этому выводу в начале 80-ых годов прошлого века пришли А.Авцын и А.Жаворонков, рекомендовав профпатологам обратить внимание на принципиальную возможность развития при флюорозе остеопороза. Однако эти рекомендации остались не услышанными. Ни одна классификация хронической фтористой интоксикации остеопороза в себя так и не включает, равно как различные классификации остеопороза не относят воздействие фтора (фторидов) к причине его развития. Флюороз как рассматривался, так и продолжает рассматриваться остеосклеротическим процессом. П.Ревелл в 1993 году описывает флюороз в разделе "Гиперостозы" вместе с другими склерозирующими заболеваниями кости, и это при том, что при всей очевидности этиологического фактора флюороза экспериментальной модели его, отвечавшей бы клиническим представлениям о нём как об остеосклерозе , создать так и не удалось!.
Закосневшему общепринятому пониманию остеосклеротического механизма патогенности фторидов, не намного отличающемуся от содержащегося в коммерческой рекламе зубной пасты "blend-a-med", подстать и глубоко "научное" определение флюороза как ". заболевания многих систем и органов" (Руководство по профпатологии, 1983). Как здесь не вспомнить слова И.В.Давыдовского об опасности для медицинской науки застоя на сугубо медицинских представлениях о вещах, достаточно глубокое понимание которых возможно лишь в плане биологическом и естественно-историческом.
К объяснению сущности фтористой остеопатии было решено подойти с позиций закономерностей филогенетического развития тканей опорного скелета. Предварительно мы выполнили светомикроскопическое исследование трепанатов из гребня подвздошной кости у 48 работников алюминиевого завода. В 45 случаях гистологическая картина нарушенного остеогенеза оказалась аналогичной описанной выше. Дополнительно было выявлено образование хрящевой ткани в глубине губчатой ткани.
Решение задачи облегчалось тем обстоятельством, что сравнительно-эволюционное изучение процесса развития опорных тканей и выявление общебиологических закономерностей процесса регенерации кости и хряща, было проведено Ст.Кромпехером ещё в первой половине прошлого столетия. Использование исторического метода для оценки состояния остеогенеза при различных видах репаративного остеосинтеза привело этого исследователя к заключению о том, что коррелирующие между собой филогенетические и онтогенетические данные, а также клинические проявления физиологической и патологической регенерации тканей опорного скелета подчиняются общим биологическим закономерностям. Филогенез опорных тканей в объёме, достаточном для интерпретации клинических данных, может быть схематизировано представлен в следующем виде. Развитие опорных тканей начинается с возникновения желатиноподобной ткани со слизистым основным веществом. Этому уровню организации животных свойственно отсутствие системы капилляров и крайне низкий, аноксический, уровень окислительного метаболизма. Глюкоза и гликоген не окисляясь расходуются на построение мукополисахаридов примитивной волокнистой соединительной ткани, почему сам обмен носит название мукополисахаридного, или фибропластического. На следующих ступенях эволюции происходит возникновение хондроидной и хрящевой тканей. Слабое развитие системы капилляров в состоянии обеспечить лишь гипоксическое состояние, низкий метаболизм с анаэробным гликолитический механизмом обмена до стадии молочной кислоты. Поэтому в этих опорных структурах ещё относительно высоко содержание мукополисахаридов. Тип обмена в мезенхимальных структурах, дифференцирующихся в направлении образования хондроидной и хрящевой ткани, характеризуется как хондроидальный.
Костная ткань, имеющая высокие метаболические свойства, возникает на более высокой ступени развития, когда создались условия для окислительного метаболизма. Нормоксия создала условия и для процесса кальцификации. Поэтому, хотя кость у человека образуется несколькими путями: непосpедственно пеpвичным (ангиогенным) остеогенезом; путем соединительно-тканной (десмальной, или интрамембранозной) оссификации и путем хрящевого (энхондрального) окостенения - имеются исторические доказательства того, что непосредственным филогенетическим предшественником ткани костной была ткань хрящевая.
Сама костная ткань в ходе эволюционного развития также претерпела усложнения, касающиеся соотношения клеточно-межклеточных компонентов, состава и архитектоники костного матрикса, соотношения объёма костной массы с объёмом заключенной внутри неё полостей, а также численности камбиальных элементов, объясняющей степень пролиферативной и индукторной способности за счёт стромальных клеток.. Незрелая (первичная; непластинчатая; грубоволокнистая и сетчатая) костная ткань содержала бόльшую, чем зрелая кость, долю клеток, большее количество протеогликанов и гликопротеидов, больше кальция и имела менее упорядоченное расположение коллагеновых волокон. Сменяющая её зрелая кость, первоначально губчатая (трабекулярная, спонгиозная), приобрела более упорядоченное, слоистое, пластинчатое строение. Концентрическое развитие этих пластинок вокруг гаверсовых каналов с сосудами и формированием остеонов трансформировало пластинчатую кость в компактную, плотную, возникновением которой и завершился путь филогенетического развития опорных тканей.
Возвращаясь к предмету обсуждения, нетрудно заметить, что при воздействии фторидов остеогенез уклоняется в сторону развития менее дифференцированной костной ткани. Однако несовершенный остеогенез осуществляется при этом не беспорядочно-анархически, а только в исторически очерченных рамках. Возвращение остеогенеза к менее совершенным, но эволюционно предопределенным стадиям дифференцировки костной ткани, повторение им как бы вспять истории своего развития, носящее в биологической литературе определение "рекапитуляция", и составляет, по-нашему, сущность фтористой остеопатии.
Фториндуцированная рекапитуляция проявляется в развитии гиперостозов благодаря сохранившимся в надкостнице в большом количестве камбиальных элементов и повышенного содержания грубоволокнистой, мало дифференцированной соединительной ткани со свойственной этим элементам выраженной пролиферативной способности. На рекапитуляцию указывает не только поднадкостнично выраженная, как ни в каких других участках кости, пролиферация эндоста, но и возникновение фокусов хрящевой ткани. В кортикальном слое возращение к более низшему уровню структурной организации демонстрируется спонгиозацией компакты, при которой компактная кость приобретает черты пластинчатой.
Таким образом, рекапитуляция затрагивает различные аспекты остеогенеза: остеонность сменяется на пластинчатость; компактная кость - на губчатую; более зрелая кость - на менее зрелую; ангиогенный тип образования кости - на энхондральный и десмальный тип образования. Рекапитуляция имеет место и при использовании лечебных доз фторидов: первоначально образующаяся кость содержит волокнистые структуры, которые лишь через несколько лет, как и у ребёнка, превращаются в пластинчатую кость.
Вполне понятно, что понятие "остеопороза" совершенно непреемлемо для выражения сущности изменений костной ткани при фтористой интоксикации как состояния морфологической рекапитуляции. Понятие "фтористая остеопатия" указывает лишь на причинно-следственные взаимоотношения, но ничего не раскрывает в существе процесса. Характеру найденных изменений больше бы подходило определение "несовершенного остеогенеза", обозначающему нарушение костеобразования, что и имеет место в действительности. Однако понятие "несовершенный остеогенез" исторически укрепилось за заболеваниями с наследственно обусловленными нарушениями костеобразования. Поэтому мы сочли невозможным воспользоваться и эти термином.
В медицинской литературе проявление филогенетически древних черт организации обозначается понятием "атавистического". Поэтому для характеристики сущности фтористой остеопатии нами предлагается понятие "атавистический остеогенез".
Гиперпаратиреоз - симптомы и лечение
Что такое гиперпаратиреоз? Причины возникновения, диагностику и методы лечения разберем в статье доктора Курашова О. Н., эндокринолога со стажем в 28 лет.
Над статьей доктора Курашова О. Н. работали литературный редактор Маргарита Тихонова , научный редактор Сергей Федосов
Определение болезни. Причины заболевания
Гиперпаратиреоз — это эндокринное заболевание, развивающееся при чрезмерном количестве паратиреоидного гормона (паратгормона) в организме, который выделяется околощитовидными железами.

Существуют разные формы данного нарушения.
Первичный гиперпаратиреоз помимо нарушения околощитовидных желёз и избыточного выделения паратиреоидного гормона сопровождается верхне-нормальным или повышенным содержанием кальция в крови. Среди эндокринных заболеваний он встречается довольно часто: по распространённости эта форма гиперпаратиреоза находится на третьем месте после сахарного диабета и патологий щитовидной железы.
Ежегодная заболеваемость первичной формой составляет около 0,4-18,8% случаев на 10000 человек, а после 55 лет — до 2% случаев. [6] [12] У женщин эта патология возникает чаще, чем у мужчин — примерно 3:1. Преобладающее число случаев первичного гиперпаратиреоза у женщин приходится на первое десятилетия после менопаузы.
Первичный гиперпаратиреоз может быть как самостоятельным заболеванием, так и сочетаться с другими наследственными болезнями эндокринной системы. [1] [12] Он проявляется многосимптомным поражением различных органов и систем, что приводит к значительному снижению качества жизни с последующей инвалидизацией, а также к риску преждевременной смерти.
Причины возникновения связаны с развитием в одной или нескольких околощитовидных железах таких патологий, как:
- солитарная аденома — до 80-85% случаев;
- гиперплазия (диффузное увеличение желёз) — до 10-15 % случаев;
- рак — до 1-5% случаев;
- спорадические заболевания — до 90-95% случаев.
В 5% случаев на возникновение первичного гиперпаратиреоза влияет наследственность.
При вторичном гиперпаратиреозе кроме общих клинических признаков заболевания отличается снижением кальция и повышением фосфора в крови. Эта форма болезни обычно развивается как реакция компенсации и сочетает в себе усиленный синтез паратгормона и изменения в паращитовидных железах. Как правило, обнаруживается при синдроме недостаточного всасывания кальция в тонком кишечнике, дефиците витамина D и хронической почечной недостаточности.
Третичный гиперпаратиреоз развивается в случае аденомы околощитовидной железы и повышенном выделении паратгормона в условиях длительного вторичного гиперпаратиреоза.
Псевдогиперпаратиреоз развиваться п ри других злокачественных опухолях, которые способны продуцировать вещество, похожее на паратгормон.
При обнаружении схожих симптомов проконсультируйтесь у врача. Не занимайтесь самолечением - это опасно для вашего здоровья!
Симптомы гиперпаратиреоза
Гиперпаратиреоз протекает длительно и бессимптомно и может быть выявлен случайно во время обследования по поводу другого заболевания.
У пациентов с гиперпарат иреозом одновременно возникают симптомы поражения различных органов и систем: язва желудка, остеопорозные проявления, мочекаменная и желчнокаменная болезни и другие. При пальпации шеи в зоне паращитовидных желёз можно нащупать достаточно большую "аденому".
Развивается быстрая утомляемость при физической повседневной нагрузке, мышечная слабость, ноющая головная боль, затруднение при ходьбе (особенно во время подъёма по лестнице или при преодолении больших расстояний), формируется как бы переваливающаяся походка.
У большинства людей с гиперпаратиреозом нарушено восприятие и память, они эмоционально неуравновешенны, тревожны, депрессивны.
При опросе пациенты с подозрением на нарушение функции околощитовидных желёз обычно жалуются на:
- длительно существующие боли в костях рук и ног, неровности и деформирующие изменения, возникающие при надавливании, частые судороги в ногах;
- эмоциональную неустойчивость, беспокойство и нарушение концентрации внимания, возникающее при нахождении в обществе;
- частое желание пить жидкость — вплоть до жажды с учащённым мочеиспусканием (не связанное с сахарным или несахарным диабетом);
- прерывистое нарушение сна и значительную утомляемость при выполнении любой работы;
- неуверенность и шаткость при ходьбе;
- повышенную потливость всего тела и конечностей;
- периодические сердцебиения днём и ночью;
- искривления и переломы (в основном трубчатых костей) при непредсказуемых обстоятельствах (даже при движениях лёжа в постели) — возникает в позднем периоде заболевания, сопровождается ноющими болями в позвоночнике.
Если патологический процесс в костях продолжает развиваться, это может стать причиной расшатывания и выпадения здоровых зубов, а также деформации костей скелета, в связи с которой пациенты становятся ниже ростом. Возникающие переломы очень медленно восстанавливаются, часто с деформациями р ук и ног и образованием непрочных суставов. На конечностях появляются кальцинаты — результат отложения солей.
У женщин с повышенной функцией щитовидной железы в менопаузе риск костных осложнений возрастает.
В большинстве случаев первые проявления гиперпаратиреоза сопровождаются:
- давно диагностированными нарушениями опорно-двигательного аппарата;
- хроническими заболеваниями почек (мочекаменная болезнь, отложение солей кальция в почках);
- нарушениями желудочно-кишечного тракта (панкреатит и кальцинат поджелудочной железы);
- выраженными, ранее нелеченными нейрокогнитивными и психическими расстройствами; в сочетании с гипертрофией миокарда левого желудочка (утолщением стенок сердца), а также нарушением проводимости и ритма сердца — зависят от уровня паратгормона.
При развитии поражения сосудов в виде кальциноза и склероза нарушается питание тканей и органов, а повышенный уровень кальция в крови способствует развитию и ухудшению ишемической болезни сердца.
Гиперпаратиреоз с нехарактерными симптомами и постепенным началом часто сопровождается:
- тошнотой, периодическими желудочными болями, рвотой, метеоризмом, снижением аппетита, резким падением веса;
- возникновением пептических язв с кровотечениями;
- поражением поджелудочной железы и желчного пузыря;
- на поздних стадиях — нефрокальцинозом, признаками прогрессирующей почечной недостаточности с последующей уремией (крайне опасным отравлением организма).
Патогенез гиперпаратиреоза
Кальций является важным компонентом, который влияет на прочность костей и обменные процессы в организме. В норме уровень кальция, а также фосфора поддерживает паратгормон, выделяемый околощитовидными железами.
При аденоме или ином нарушении этих желёз взаимосвязь кальция и паратгормона нарушается: если раньше повышенное содержания кальция сдерживало уровень паратгормона, то теперь развивается дефект рецепторов, чувствительных к кальцию, которые расположены на поверхности главных клеток паращитовидных желёз.
В связи с этим в организме происходит ряд нарушений:
- активируются остеобласты (молодые клетки костей) и увеличивается количество остеокластов (клеток, уничтожающих старые костные ткани), что приводит к ускорению естественного разрушения (растворения) костей и костеобразования — если уровень паратгормона повышен довольно длительно, то процессы разрушения начинают преобладать;
- снижается почечный порог обратного всасывания фосфатов (проявляется гипофосфатемией и гиперфосфатурией);
- в кишечнике всасывается дополнительное количество кальция; [2][7][9]
- в случае гиперплазии (увеличения количества клеток паращитовидных желёз) происходит нерегулируемая гиперпродукция паратгормона. [17]

При избытке паратгормона усиливается выведение из костной ткани кальция и фосфора. Клинически это проявляется изменениями в костях: их искривлением и размягчением, возникновением переломов. При этом уровень кальция в костях снижается, а его уровень в крови заметно увеличивается, т. е. возникает гиперкальциемия. Она проявляется мышечной слабостью, избыточным выделением минералов с мочой при усиленном мочеиспускании и постоянной жаждой, что приводит к почечнокаменной болезни и нефрокальцинозу — накоплению и отложению солей кальция в главной ткани почек. Также избыток кальция в крови становится причиной нарушения тонуса сосудов и возникновения артериальной гипертензии. [1] [12]
У пациентов с первичным гиперпаратиреозом часто наблюдается острая нехватка витамина D, а после оперативного лечения заболевания повышается вероятность развития синдрома голодных костей — последствия гиперкальциемии. [15]
Классификация и стадии развития гиперпаратиреоза
Как уже говорилось, бывает первичный, вторичный и третичный гиперпаратиреоз. При этом первичную форму заболевания разделяют на три вида:
- субклинический — заболевание развивается без явных проявлений, можно заподозрить только по результатам биохимии крови;
- клинический — возникают выраженные симптомы болезни (нарушения опорно-двигательного аппарата, почек и ЖКТ);
- острый первичный — возникновение гиперкальциемического криза.
Согласно МКБ 10, выделяют четыре формы заболевания:
- первичный гиперпаратиреоз;
- вторичный гиперпаратиреоз;
- иные формы гиперпаратиреоза;
- неуточнённый гиперпаратиреоз.
Другая классификация гиперпаратиреоза, опубликованная в 2014 году, по степени выраженности симптомов разделяет заболевание на три формы:
- нормокальциемическую — определяется неизменными показателями общего и ионизированного кальция (с поправкой на альбумин), а также паратгормона за весь период наблюдения (двукратное определение этих показателей с интервалом в 3-6 месяцев);
- мягкую — можно установить при появлении жалоб (низкотравматичных переломов) и лабораторном подтверждении умеренно повышенного уровня кальция и паратгормона в крови;
- манифестную — возникает впервые, причём остро, сопровождается нарушениями костной ткани или внутренних органов, возникает риск развития гиперкальциемического криза.
В зависимости от того, какие именно органы или системы поражены, выделяют:
- костный гиперпаратиреоз — де формация конечностей, внезапные переломы, возникающие как бы сами по себе, остеопороз с возможными кистозными образованиями, болезнь Реклингхаузена;
- висцеральный гиперпаратиреоз — поражением внутренних органов:
- почечный — отличается тяжёлым течением, возникают частые приступы почечной колики, возможно развитие почечной недостаточности;
- желудочно-кишечный — холецистит, панкреатит, язвенная болезнь желудка и двенадцатиперстной кишки;
- смешанный гиперпаратиреоз — одновременное возникновение костных и висцеральных нарушений.
Осложнения гиперпаратиреоза
Длительное течение заболевания сказывается на формировании костей. Так, н а поздних стадиях вовремя не диагностированного гиперпаратиреоза наблюдаются:
- разрушение дистальных или концевых фаланг конечностей;
- сужение дистального отдела ключиц;
- очаги разрушения костей черепа;
- бурые опухоли длинных костей.


Самое тяжёлое осложнение гиперпаратиреоза — гиперкальциемический криз. Он возникает внезапно после резкого повышения уровня кальция в крови до 3,5-5 ммоль/л (в норме этот показатель составляет 2,15-2,50 ммоль/л). [17] Проявляется резким обострением всех симптомов гиперпаратиреоза.
Пусковые механизмы осложнения — острые инфекционные заболевания (чаще всего ОРВИ), внезапный перелом, длительный постельный режим, беременность, бесконтрольный приём препаратов, содержащих кальций и витамин D, а также тиазидных мочегонных средств.
Риск возникновения криза зависит от того, насколько повышен уровень кальция в крови. [17]
Поражение зубов из-за избытка фтора в воде: лечение флюороза

Сам по себе фтор ядовитый и может вызвать ожог. Но он необходим нам для нормальной жизнедеятельности. В организме фтор присутствует в виде соединений с кальцием и фосфором и укрепляет костные ткани, в том числе и зубы. Недостаток фтора приводит к кариесу. И всё же избыток этого элемента не менее опасен: зубы становятся хрупкими, возникает риск развития флюороза и других заболеваний организма. На этой странице мы дадит ответы на вопросы о признаках флюороза, причинах возникновения и лечении этого заболевания.
Флюороз при избытке фтора
Флюороз — это хроническое заболевание, поражающее зубную эмаль. Оно развивается годами под длительным воздействием фтора на организм. Болезнь проявляется в виде множественных пигментных пятен на эмали, чаще — на верхних зубах. Признаки флюороза:
штрихи: на верхних и нижних резцах проявляются штрихи или тонкие полосы, могут быть размытыми или чётко выраженными;
пятна: они имеют светлый оттенок и расплывчатую форму, плавно переходят в естественный оттенок эмали;
в крапинку: потемнения имеют чёткие границы, матовый оттенок, могут быть в виде пятен или точек, присутствуют крапинки с тёмными углублениями;
эрозии: поряжение эмали, значительные углубления вплоть до оголения дентина;
деструкция: сильное разрушение эмали и дентина, форма коронки зуба искажается, зубы могут обламываться.
Стадии болезни: лёгкая, умеренная, средняя и тяжёлая. На лёгкой стадии пигментация слабо заметна, поражает не более ¼ зубов. Умеренная стадия отличается более заметными потемнениями на половине зубов. При средней появляются тёмные пятна, эмаль становится тонкой и чувствительной. На тяжёлой стадии к потемнениям эмали добавляются эрозии, коронки деформируются, поражаются до ¾ зубов.
Одна из основных причин развития флюороза зубов — избыток фтора в питьевой воде. Говорить об избытке можно, когда количество этого вещества превышает 2,5 мг/л (при норме 1-1,5 мг/л). Помимо воды фтор мы получаем из:
фруктов (виноград, клубника, персики),
овощей (лук, чеснок, морковь),
зубных паст и ополаскивателей с содержанием фтора,
лекарств и БАДов,
Важно отличать флюороз от кариеса. Причины развития этих болезней противоположны: кариес — результат недостатка фтора, флюороз — избытка. И всё же внешне они похожи. Как их отличить? Кариес затрагивает отдельные зубы и их участки, флюороз проявляется равномерно на всех зубных единицах. Пятна при флюорозе могут быть и белыми, и жёлтыми, и коричневыми одновременно. Кариес проявляется в виде сплошного однотонного пятна. Флюороз возникает на любой поверхности зуба, а кариес — только на жевательных и межзубных участках.

Лечение флюороза зубов
В первую очередь нужно заняться водой. Сдайте образец своей питьевой воды на анализ в лабораторию. Если результат покажет избыток фтора, меняйте источник получения воды: приобретайте в специальных автоматах и бутилированную. Можно установить фильтр на трубу для подачи воды.
Изменение питания. Исследуйте свой рацион и ограничьте употребление фторсодержащих продуктов. Отказываться от них совсем не стоит, особенно если речь идёт о нужных нам овощах и фруктах. Иначе вы лишите себя полезных микроэлементов.
Подбор гигиенических средств. Замените зубную пасту и ополаскиватель, если они обогащены фтором. Рекомендуем подобрать средства для гигиены полости рта совместно со стоматологом.
Отбеливание. Здесь мы говорим о профессиональной процедуре в кабинете стоматолога. При поражении зубов из-за фтора народные средства беспомощны. К тому же эта болезнь поражает эмаль, и вы можете сильно ей навредить. Способ отбеливания подбирают индивидуально по степени и виду заболевания. Зачастую применяют лазерное отбеливание: сначала обрабатывают все зубы, затем — пигментные пятна. При правильном уходе за зубами эффекта от процедуры хватит на несколько лет.
В случае сильного повреждения эмали и невозможности восстановления эстетики врачи рекомендуют прибегнуть к установлению коронок или виниров на зубы в зоне улыбки.
Как определить содержание фтора в организме.
Вы можете сдать анализ крови для определения уровня фтора крови. Но такую услугу предоставляют не все клиники. К тому же анализ на уровень фтора в крови дороже аналогичных процедур. Это связано со сложностью проведения процедуры: очень сложно точно определить уровень фтора, потому что при малейшем нарушении условий исследования или хранения биоматериала показания изменяются.
Флюороз — не единственное последствие избытка фтора в воде. Зубы имеют наиболее выраженные признаки, но этот элемент вызывает и другие изменения: истощение организма, разрушение печени, заболевания щитовидной железы. Поэтому проблема куда глубже, чем «некрасивая улыбка». Первая причина избытка фтора — вода. Используйте фильтрованную или бутилированную воду для ежедневного употребления. При первых признаках проявления флюороза обращайтесь за помощью к стоматологу.
Самодиагностика: как понять, что в питании недостаточно витаминов и минералов?

Иногда мы не понимаем сигналы собственного тела, которое подсказывает - в питании не хватает определенных веществ, включая витамины или минералы. Как определить проблему и решить ее? Обсудим подробнее.
Для тех, кто обращает внимание на свои пищевые привычки и старается поддерживать вес, контроль количества калорий становится приоритетом, поскольку основная цель - не набрать массу. Но, несмотря на то, что контроль за потреблением калорий, безусловно, является одним из наиболее важных аспектов здорового питания, важно не игнорировать еще и важность потребления достаточного количества питательных веществ. А при уменьшении калорийности и объема порций этого добиться сложно.
Достаточное потребление питательных веществ (особенно если это витамины и минералы) оказывает огромное влияние на общее состояние здоровья. Дефицит питательных веществ встречается гораздо чаще, чем мы думаем, особенно у тех, кто сидит на диете. Внимательно и придирчиво оцените ваше самочувствие, ищите у себя эти 7 признаков дефицита питательных веществ. Если они есть - стоит беспокоиться и подумать о восполнении дефицита за счет комплексов витаминов и пищи.
Необъяснимая потеря веса
Постоянная потеря веса, которая происходит, когда вы не преследуете такую цель - похудеть, является одним из наиболее очевидных признаков того, что вы не получаете достаточного количества питательных веществ. Для обновления и восстановления клеток организм полагается как на макроэлементы, так и на микроэлементы. Без них тело начнет разрушать собственные запасы менее жизненно важных тканей, включая жир и мышцы.
Усталость
Частая усталость и слабость являются признаками недостатка железа в организме, что приводит к состоянию, называемому анемией, которое может быть фатальным (если его своевременно не устранить при помощи комплексов с железом). Дефицит магния также может вызывать у вас чувство усталости и частые мигрени.
Слабые и мягкие кости
Хрупкие кости могут быть признаком дефицита витамина D или кальция, поскольку эти питательные вещества отвечают за повышение плотности костей. Магний имеет синергетические отношения с кальцием, поэтому убедитесь, что вы получаете достаточно первого, чтобы оптимизировать усвоение второго.
Медленное заживление ран
Когда заживление ран занимает больше времени, чем обычно, это может быть признаком дефицита цинка. Как правило, для заживления большинства кожных ран не требуется более двух-трех недель, хотя в более глубоких и тяжелых случаях может потребоваться более длительный процесс заживления.
Куриная слепота
Куриная слепота (плохое зрение в сумерках) может быть признаком дефицита витамина А, поскольку одна из функций этого витамина направлена на здоровье глаз. Другие симптомы включают сухость глаз, инфекции горла и грудной клетки.
Нарушение когнитивных функций
Недостаток питательных веществ может нарушить функции вашего мозга и затруднить концентрацию, собранность и запоминание даже самых элементарных вещей. Например, дефицит железа или витамина B12 может привести к замедлению реакции или к неточным воспоминаниям.
Проблемы внешности и самочувствия
Дефицит йода может привести к проблемам со щитовидной железой, которые могут грозить развитием множества заболеваний, одним из наиболее известных является зоб (аномально увеличенная щитовидная железа). При нем типична постоянная зябкость, набор веса, сухость кожи. Другие признаки включают выпадение волос, изменения частоты сердечных сокращений и обильные или нерегулярные менструации у женщин.
Диета и проблемы дефицита отдельных веществ
Мы всегда слышим о том, как важно употреблять широкий спектр витаминов и минералов, садясь на диету. Но до тех пор, пока мы не ощутим проблемы со здоровьем, мы действительно не осознаем всей важности поступления витаминов и минералов. Чувство усталости без причины, упадок сил, бледность и постоянное недомогание могут быть признаками дефицита определенных питательных веществ. Недостаток витаминов и минералов также может иметь долгосрочные последствия для нашего здоровья.
Если в диете мало этих веществ, нужно пополнять их при помощи добавок. Эти важные питательные вещества играют в организме разные роли - все, от синтеза тканей организма, таких как наши кости и мышцы, до передачи нервных сигналов по всему телу в качестве предшественников тысяч ферментов в организме, до удаления или нейтрализации отходов из организма.
Поскольку не все витамины и минералы естественным образом вырабатываются в организме, подчеркивается важность получения их из цельных продуктов и добавок. Количество каждого питательного вещества, которое вы должны потреблять, зависит от вашего возраста, стадии жизни, состояния здоровья (если вы страдаете хроническим заболеванием или нет), беременности и кормления грудью, а также от количества выполняемой вами физической активности, а также от интенсивности и уровня нагрузок. Если в рационе не присутствует достаточное количество витаминов и минералов, риски дефицита питательных веществ могут иметь далеко идущие последствия.
Есть некоторые (но не все) общие признаки дефицита конкретных питательных веществ, которые возникают чаще всего.
Витамин А
Он участвует в иммунной функции, здоровье кожи, зрении, репродуктивной функции и работе нервной системы. Признаки и симптомы дефицита:
- Куриная слепота.
- Сухая кожа и волосы.
- Красные или белые шишки, похожие на прыщи (на щеках, руках, бедрах или ягодицах).
- Рецидивирующий конъюнктивит.
- Дальтонизм.
- Воспаление, отек век и краснота глаз.
- Дегенерация желтого пятна.
- Угревая сыпь.
Витамин C
Это антиоксидант, используемый для нейтрализации вредных химических веществ в организме. В отличие от большинства животных, люди не могут синтезировать витамин С самостоятельно, поэтому очень важно получать его с пищей или добавками. Признаки и симптомы дефицита:
- Сухая кожа.
- Грубые или секущиеся волосы.
- Кровоточащие десны.
- Гингивит.
- Плохое заживление ран.
- Плохой иммунитет - повторяющиеся простуды и грипп.
- Потеря зубов.
- Анемия.
- Носовые кровотечения.
- Синяки.
- Отсроченное заживление ран.
- Мышечная слабость.
- Усталость.
Витамин D
Он играет роль в иммунной функции и способствует росту костей. В целом, получить суточную дозу витамина D невероятно легко. Всего около 10 минут пребывания на солнце в день достаточно, чтобы удовлетворить ваши ежедневные потребности в витамине D. Признаки и симптомы дефицита:
- Избыточный вес или ожирение.
- Депрессия.
- Ноющие кости и суставы.
- Низкая минеральная плотность костей.
- Остеопороз - пористые и хрупкие кости.
- Остеомаляция - размягчение кости.
- Рахит (тяжелое костно-деформирующее заболевание у детей) - искривление ног, искривление позвоночника, потеря мышечной массы.
- Мышечная слабость.
Витамин Е
Это антиоксидант, который защищает клетки организма от повреждений, мышечной слабости и неврологических проблем. Признаки и симптомы дефицита:
- Проблемы с глазами, такие как ретинопатия и катаракта.
- Проблемы с кожей, такие как прыщи, волдыри, рубцовая ткань, растяжки.
- Легкая анемия.
- Проблемы с фертильностью.
- Нарушения функции мозга.
Витамин К
Он помогает при свертывании крови и предотвращает проблемы со свертыванием. Признаки и симптомы дефицита:
- Легко возникают синяки.
- Легко кровоточат мелкие раны.
- Обильные менструальные периоды.
- Кровь в моче или стуле.
- Остеопороз.
- Низкая минеральная плотность костей.
Витамин B12
Этот витамин играет ключевую роль в нормальном функционировании мозга и нервной системы, а также образовании красных кровяных телец. Недостатки обычно проявляются в виде анемии, но также могут вызывать дегенерацию спинного мозга и плохое развитие мозга. Признаки и симптомы дефицита:
- Онемение и покалывание в руках, ногах или ступнях.
- Шатающаяся ходьба, проблемы с равновесием.
- Анемия.
- Опухший или воспаленный язык.
- Желтуха.
- Слабость.
- Усталость.
- Паранойя и галлюцинации.
- Когнитивные трудности или потеря памяти.
- Потеря зрения.
Другие витамины группы B
Они включают B1 (тиамин), B2 (рибофлавин), B3 (ниацин), B5 (пантотеновая кислота), B6, B7 (биотин) и фолиевая кислота. Признаки и симптомы дефицита:
- Проблемы со зрением.
- Усталость.
- Надпочечниковая недостаточность.
- Отеки (задержка жидкости).
- Частый грибок ногтей и кожи.
- Бледная кожа.
- Перхоть.
Фолиевая кислота
Благодаря своей роли в развитии и функционировании мозга, потребность в фолиевой кислоте существенно возрастает во время беременности. Без достаточного количества фолиевой кислоты у ребенка могут возникнуть дефекты нервной трубки. В целом у населения дефицит может проявляться как анемия из-за проблем с производством красных кровяных телец, психического здоровья или неврологических проблем.
Незаменимые жирные кислоты (омега-3)
Эти кислоты играют решающую роль в работе мозга, а также нормальном росте и развитии. Признаки и симптомы дефицита:
- Сухая или зудящая кожа.
- Чешуйчатая или шелушащаяся кожа.
- Растрескивание или шелушение кончиков пальцев или кожи.
- Маленькие красные шишки на тыльной стороне плеч.
- Смешанная жирная и сухая кожа.
- Экзема.
- Сухие глаза.
- Плохое заживление ран.
- Пониженный иммунитет.
Кальций
Вашему организму нужен кальций, чтобы поддерживать прочность костей и зубов, а также поддерживать структуру и функции скелета. Признаки и симптомы дефицита:
- Онемение и покалывание вокруг рта, пальцев рук и ног.
- Мышечные спазмы.
- Усталость.
- Грубые волосы.
- Ломкие ногти.
- Сухая кожа.
- Псориаз.
- Остеопороз.
- Низкая минеральная плотность костей.
Железо
Оно необходимо для производства красных кровяных телец и оптимизации переноса кислорода по всему телу. Признаки и симптомы дефицита:
- Анемия.
- Усталость и утомляемость.
- Одышка.
- Головокружение.
- Бледная кожа.
- Холод в руках и ногах.
- Слабость.
- Обильные менструальные периоды.
- Головные боли.
Магний
Этот минерал помогает поддерживать нормальную работу нервов и мышц, поддерживает здоровую иммунную систему и укрепляет кости. Признаки и симптомы дефицита:
- Мышечные сокращения и судороги.
- Ненормальные сердечные ритмы.
- Онемение и покалывание в пальцах и стопах.
- Синдром беспокойных ног.
- Усталость.
- Тики или спазмы век.
- Приливы.
- Беспокойство или стресс.
- Повышенное артериальное давление.
Дефицит цинка может привести к летаргии и проблемам с психическим здоровьем, снижению иммунной функции, дерматиту и замедленному заживлению ран, а также задержке физического развития и полового созревания. Признаки и симптомы дефицита:
- Низкий иммунитет.
- Рецидивирующие простуды и грипп.
- Диарея.
- Грубые, ломкие, истонченные волосы.
- Акне, экзема и другие кожные проблемы.
- Язвы во рту.
- Белые пятна на ногтях.
- Перхоть.
- Растяжки.
- Тики и спазмы век.
Преодоление дефицита питательных веществ
Недостаток питательных веществ может нанести вред вашему здоровью, поскольку увеличивает риск развития хронических заболеваний, которые не всегда легко вылечить. Важно, чтобы ваш рацион оставался максимально насыщенным питательными веществами. Замена бедной питательными веществами пищи - один из простейших способов мгновенного улучшения. Обычные виновники в этой области - закуски, такие как чипсы и газировка. Замена их такими альтернативами, как запеченный картофель и минеральная вода, обеспечит ваш организм большим количеством питательных веществ, а также поможет избежать чрезмерного употребления вредностей, поскольку продукты с высоким содержанием питательных веществ обладают более насыщающим эффектом.
Однако если вы испытываете какие-либо из вышеупомянутых признаков и симптомов, первым шагом будет посещение врача, чтобы поставить правильный диагноз. Вам также необходимо проверить, есть ли какие-либо основные заболевания, которые могли привести к недоеданию, поскольку эти проблемы следует решить в первую очередь. Если проблема с гиповитаминозе и снижении поступления минералов, врач подберет для вас комплекс, который нужно будет принимать как минимум 2-3 месяца, чтобы насытить тело недостающими элементами.
Читайте также:
