КТ анатомия грудной клетки в норме
Добавил пользователь Валентин П. Обновлено: 21.01.2026
Сегмент S1 (апикальный или верхушечный) правого лёгкого. Относится к верхней доле правого лёгкого. Топографически проецируется на грудную клетку по передней поверхности 2 ребра, через верхушку лёгкого до ости лопаточной кости.
Сегмент S2 (задний) правого лёгкого. Относится к верхней доле правого лёгкого. Топографически проецируется на грудную клетку по задней поверхности паравертебрально от верхнего края лопатки до её середины.
Сегмент S3 (передний) правого лёгкого. Относится к верхней доле правого лёгкого. Топографически проецируется на грудную клетку спереди от 2 до 4 рёбер.
Сегмент S4 (латеральный) правого лёгкого. Относится к средней доле правого лёгкого. Топографически проецируется на грудную клетку в передней подмышечной области между 4 и 6 рёбрами.
Сегмент S5 (медиальный) правого лёгкого. Относится к средней доле правого лёгкого. Топографически проецируется на грудную клетку жду 4 и 6 рёбрами ближе к грудине.
Сегмент S6 (верхний базальный) правого лёгкого. Относится к нижней доле правого лёгкого. Топографически проецируется на грудную клетку в паравертебральной области от середины лопатки до её нижнего угла.
Сегмент S7 правого лёгкого. Топографически локализуется с внутренней поверхности правого легкого, располагается ниже корня правого лёгкого. Проецируется на грудную клетку от 6 ребра до диафрагмы между грудинной и срединноключичной линиями.
Сегмент S8 (передний базальный) правого лёгкого. Относится к нижней доле правого лёгкого. Топографически отграничен спереди главной междолевой бороздой, снизу диафрагмой, сзади — задней подмышечной линией.
Сегмент S9 (латеральный базальный) правого лёгкого. Относится к нижней доле правого лёгкого. Топографически проецируется на грудную клетку между лопаточной и задней подмышечной линиями от середины лопаточной кости до диафрагмы.
Сегмент S10 (задний базальный) правого лёгкого. Относится к нижней доле правого лёгкого. Топографически проецируется на грудную клетку от нижнего угла лопатки до диафрагмы, по бокам отграничен околопозвоночной и лопаточной линиями.
Сегмент S1+2 (верхушечно-задний) левого лёгкого. Представляет комбинацию из С1 и С2 сегментов, что обусловлено наличием общего бронха. Относится к верхней доле левого лёгкого. Топографически проецируется на грудную клетку по передней поверхности от 2 ребра и вверх, через верхушку до середины лопаточной кости.
Сегмент S3 (передний) левого лёгкого. Относится к верхней доле левого лёгкого. Топографически проецируется на грудную клетку спереди от 2 до 4 ребра.
Сегмент S4 (верхний язычковый) левого лёгкого. Относится к верхней доле левого лёгкого. Топографически проецируется на грудную клетку по передней поверхности от 4 до 5 ребра.
Сегмент S5 (нижний язычковый) левого лёгкого. Относится к верхней доле левого лёгкого. Топографически проецируется на грудную клетку по передней поверхности от 5 ребра до диафрагмы.
Сегмент S6 (верхний базальный) левого лёгкого. Относится к нижней доле левого лёгкого. Топографически проецируется на грудную клетку в паравертебральной области от середины лопатки до её нижнего угла.
Сегмент S8 (передний базальный) левого лёгкого. Относится к нижней доле левого лёгкого. Топографически отграничен спереди главной междолевой бороздой, снизу диафрагмой, сзади — задней подмышечной линией.
Сегмент S9 (латеральный базальный) левого лёгкого. Относится к нижней доле левого лёгкого. Топографически проецируется на грудную клетку между лопаточной и задней подмышечной линиями от середины лопаточной кости до диафрагмы.
Сегмент S10 (задний базальный) левого лёгкого. Относится к нижней доле левого лёгкого. Топографически проецируется на грудную клетку от нижнего угла лопатки до диафрагмы, по бокам отграничен околопозвоночной и лопаточной линиями.
Представлена рентгенограмма правого лёгкого в боковой проекции с указанием топографии междолевых щелей.
Лёгкие располагаются в грудной клетке, занимая большую ее часть, и отделены друг от друга средостением. Размеры лёгких неодинаковые вследствие более высокого положения правого купола диафрагмы и положения сердца, смещенного влево.
В каждом лёгком различают доли, разделенные глубокими щелями. Правое лёгкое состоит из трёх долей, левое — из двух. На правую верхнюю долю приходится 20% лёгочной ткани, на среднюю — 8%, правую нижнюю — 25%, левую верхнюю — 23%, левую нижнюю — 24%.

Главные междолевые щели проецируются справа и слева одинаково — от уровня остистого отростка 3 грудного позвонка они направляются косо вниз и вперед и пересекают 6 ребро у места перехода его костной части в хрящевую.
Дополнительная междолевая щель правого лёгкого проецируется на грудную клетку по ходу 4 ребра от средней подмышечной линии до грудины.
На рисунке обозначены: Upper Lobe — верхняя доля, Middle Lobe — средняя доля, Lower Lobe — нижняя доля


Левый бронх
Left main bronchus — левый главный бронх
Left upper lobe bronchus — левый верхнедолевой бронх
Сегмент S1+2 (верхушечно-задний) левого лёгкого. Представляет комбинацию из С1 и С2 сегментов, что обусловлено наличием общего бронха. Относится к верхней доле левого лёгкого. Топографически проецируется на грудную клетку по передней поверхности от 2 ребра и вверх, через верхушку до середины лопаточной кости.
Сегмент S3 (передний) левого лёгкого. Относится к верхней доле левого лёгкого. Топографически проецируется на грудную клетку спереди от 2 до 4 ребра.
Сегмент S4 (верхний язычковый) левого лёгкого. Относится к верхней доле левого лёгкого. Топографически проецируется на грудную клетку по передней поверхности от 4 до 5 ребра.
Сегмент S5 (нижний язычковый) левого лёгкого. Относится к верхней доле левого лёгкого. Топографически проецируется на грудную клетку по передней поверхности от 5 ребра до диафрагмы.Left lower lobar bronchus — левый нижнедолевой бронх
Сегмент S6 (верхний базальный) левого лёгкого. Относится к нижней доле левого лёгкого. Топографически проецируется на грудную клетку в паравертебральной области от середины лопатки до её нижнего угла.
Сегмент S8 (передний базальный) левого лёгкого. Относится к нижней доле левого лёгкого. Топографически отграничен спереди главной междолевой бороздой, снизу диафрагмой, сзади — задней подмышечной линией.
Сегмент S9 (латеральный базальный) левого лёгкого. Относится к нижней доле левого лёгкого. Топографически проецируется на грудную клетку между лопаточной и задней подмышечной линиями от середины лопаточной кости до диафрагмы.
Сегмент S10 (задний базальный) левого лёгкого. Относится к нижней доле левого лёгкого. Топографически проецируется на грудную клетку от нижнего угла лопатки до диафрагмы, по бокам отграничен околопозвоночной и лопаточной линиями.
Правый бронх
Right main bronchus — правый главный бронх
Intermediate bronchus — средний бронхRight upper lobar bronchus — правый верхнедолевой бронх
Сегмент S1 (апикальный или верхушечный) правого лёгкого. Относится к верхней доле правого лёгкого. Топографически проецируется на грудную клетку по передней поверхности 2 ребра, через верхушку лёгкого до ости лопаточной кости.
Сегмент S2 (задний) правого лёгкого. Относится к верхней доле правого лёгкого. Топографически проецируется на грудную клетку по задней поверхности паравертебрально от верхнего края лопатки до её середины.
Сегмент S3 (передний) правого лёгкого. Относится к верхней доле правого лёгкого. Топографически проецируется на грудную клетку спереди от 2 до 4 рёбер.Right middl lobar bronchus — правый среднедолевой бронх
Сегмент S4 (латеральный) правого лёгкого. Относится к средней доле правого лёгкого. Топографически проецируется на грудную клетку в передней подмышечной области между 4 и 6 рёбрами.
Сегмент S5 (медиальный) правого лёгкого. Относится к средней доле правого лёгкого. Топографически проецируется на грудную клетку жду 4 и 6 рёбрами ближе к грудине.Right lower lobar bronchus — правый нижнедолевой бронх
Сегмент S6 (верхний базальный) правого лёгкого. Относится к нижней доле правого лёгкого. Топографически проецируется на грудную клетку в паравертебральной области от середины лопатки до её нижнего угла.
Сегмент S7 правого лёгкого. Топографически локализуется с внутренней поверхности правого легкого, располагается ниже корня правого лёгкого. Проецируется на грудную клетку от 6 ребра до диафрагмы между грудинной и срединноключичной линиями.
Сегмент S8 (передний базальный) правого лёгкого. Относится к нижней доле правого лёгкого. Топографически отграничен спереди главной междолевой бороздой, снизу диафрагмой, сзади — задней подмышечной линией.
Сегмент S9 (латеральный базальный) правого лёгкого. Относится к нижней доле правого лёгкого. Топографически проецируется на грудную клетку между лопаточной и задней подмышечной линиями от середины лопаточной кости до диафрагмы.
Сегмент S10 (задний базальный) правого лёгкого. Относится к нижней доле правого лёгкого. Топографически проецируется на грудную клетку от нижнего угла лопатки до диафрагмы, по бокам отграничен околопозвоночной и лопаточной линиями.
КТ грудной клетки (легкие, плевра, средостение и сердце)
В этом модуле e-Anatomy приведена нормальная КТ-анатомия грудной клетки (легкие, плевра, сердце, аорта, лимфатические узлы и другие соответствующие анатомические структуры).
Цель модуля - помочь радиологам в их ежедневной практике. Особое внимание уделено таким темам, как сегментарная анатомия легких; группы лимфатических узлов согласно Международной ассоциации по изучению рака легкого (IASLC) в классификации клинической стадии рака легкого; измерение размеров грудной аорты в планировании транскатетерной замены аортального клапана (TAVR) или в последующем наблюдении аневризмы грудной аорты. Модуль является средством изучения лучевой анатомии грудной клетки и рассчитан на студентов медицинских институтов, а также врачей, проходящих обучение в ординатуре по специальности «Радиология», «Пульмонология», «Онкология» или «Торакальная хирургия».
Материалы и методы
Компьютерная томография грудной клетки была проведена французским радиологом Антуаном Мишо (Antoine Micheau MD, Imaios) с помощью Siemens Somatom Definition Edge. Пациент - мужчина, 43 года, без патологических изменений. Технические особенности:
| Collimation: 128 x 0.6 mm | Tube settings: 100 kV, 70 eff. mAs |
| Pitch: 1.7 | DLP: 172 mGy cm |
| Scan time: 2.5 s | CTDIvol: 2.77 mGy |
| Scan length: 580 mm | Eff. dose: 2.49 mSv |
| Rotation time: 0.28 s | Heart rate: 64 bpm |
Осуществлялось введение йодсодержащего контрастного вещества (Omnipaque [Iohexol] 350 мг йода/мл). КТ проводилась с ЭКГ-синхронизацией.
Здесь представлены изображения (паренхиматозное и средостенное окно) с многоплановыми реконструкциями (MPR) во фронтальной (корональной) и сагиттальной плоскостях.
Используя метод объемного рендеринга, мы получили изображения грудной клетки: общая анатомия, пластическая анатомия, кости грудной клетки, мышцы грудной клетки, трахея и бронхи, легкие, сосуды грудного отдела, грудная аорта, легочные артерии, легочные вены и верхняя полая вена.
Названия анатомических структур соответствуют Terminologia Anatomica 2 и были нанесены радиологом Антуаном Мишо (Antoine Micheau MD).
При обозначении анатомических структур, мы обнаружили следующие анатомические вариации.
Список использованных источников:
Anatomical variants and notes from the author about the anatomical labeling of the thorax CT:
- In the lower lobe of the left lung, there is an inconstant subsuperior pulmonary segment that is seen in approximately 30% of individuals, located between the superior and basal segments of the lower lobe. For pedagogical purposes, we included it in the superior segment of right lower lung, but we termed his bronchus as subpsuperior bronchus (S*), and his artery as subsuperior artery (A*).
- The lower lobe of the right lung has two superior segmental bronchi, with separate origins from the right inferior lobar bronchus.
- In the lower left lobe, it is not clear if there is a common basal anteromedial segment, or if these segments are separated (this is the option we chose for labeling, but consequently, the anterior segment appears to be slightly lateral and the lateral segment appears to be slightly posterior….).
- Segmental and subsegmental pulmonary arteries are generally parallel to segmental and subsegmental bronchi and run alongside them. This is in contrast to the course of most pulmonary veins, which run independently of bronchi within interlobular septa. In this module, the segmental arteries were named according to the bronchopulmonary segments that they feed, following the Terminologia Anatomica 2 (we just added the terms interlobar arteries, used in daily practice). However, the proximal portions of the arteries can run independently of their respective bronchi for short segments. Frequently, there are also accessory arteries from neighboring segments, particularly in the right upper lobe. Segmental and subsegmental pulmonary arteries vary considerably in the location of their origins, in whether they arise as common trunks with other arteries or as separate arteries, and in their number. Here are the variations encountered in this e-Anatomy module:
- There is an additional segmental middle lobar artery, draining the upper lateral part of middle lobe, and connected directly to the left lower lobe artery.
- There are two separate superior and subsuperior segmental arteries in the right lung.
- There are at least 3 separate superior segmental arteries in the left lung.
КТ сегменты — схема
Сегменты левого легкого
Сегмент S1+2 (верхушечно-задний) левого лёгкого. Представляет комбинацию из С1 и С2 сегментов, что обусловлено наличием общего бронха. Относится к верхней доле левого лёгкого. Топографически проецируется на грудную клетку по передней поверхности от 2 ребра и вверх, через верхушку до середины лопаточной кости.
Сегмент S3 (передний) левого лёгкого. Относится к верхней доле левого лёгкого. Топографически проецируется на грудную клетку спереди от 2 до 4 ребра.Сегмент S4 (верхний язычковый) левого лёгкого. Относится к верхней доле левого лёгкого. Топографически проецируется на грудную клетку по передней поверхности от 4 до 5 ребра.Сегмент S5 (нижний язычковый) левого лёгкого. Относится к верхней доле левого лёгкого. Топографически проецируется на грудную клетку по передней поверхности от 5 ребра до диафрагмы.
Что показывает КТ грудной клетки, подготовка, показания и противопоказания

КТ органов грудной клетки - усовершенствованный способ рентгенографической визуализации, который использует излучение для создания детальных изображений грудины, грудино-ключичных суставов, ребер, прилежащих мягких тканей и органов (в первую очередь, легких).
Исследование проводят, если после выполненной обычной рентгенографии причина жалоб осталась неясной или есть подозрение на патологический процесс в данной области. Компьютерная томография органов грудной клетки может быть выполнена в качестве альтернативы МРТ, если у пациента есть противопоказания к проведению магнитно-резонансного сканирования. Для лучшей визуализации возможно введение контрастного вещества. Основным преимуществом КТ является его способность одновременно демонстрировать кости, мягкие ткани (при контрастировании) и кровеносные сосуды.
Что показывает КТ грудной клетки

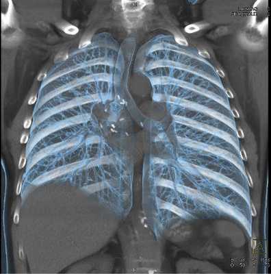
Мультиспиральная КТ грудной клетки, 3D-реконструкция
Специалисты выделяют в средостении три области: центральное (сосудистое пространство с перикардом и его содержимым, сосудами и лимфатическими узлами), переднее (жировая клетчатка, вилочковая железа, внутренние грудные артерии и лимфоидные ткани) и заднее (трахея, пищевод, нисходящая часть грудной аорты, лимфоузлы и паравертебральные пространства грудной клетки). Соответственно, все патологические процессы, которые протекают в данных зонах, могут быть видны.
Грудина, ребра и их сочленения - основные структуры передней стенки грудной клетки - подвержены различным анатомическим аномалиям и патологическим процессам, которые в некоторых случаях требуют лечения. Врач обосновано направит на диагностическую процедуру, если у пациента имеет место необъяснимый длительный кашель, загрудинные боли, кровохарканье, увеличение регионарных лимфоузлов, ограничение в движении плеча, скованность в области грудного отдела позвоночника и др. КТ органов грудной клетки и средостения может показать следующие изменения:
Остеоартроз (остеоартрит) - распространенная патология, затрагивающая чаще грудино-ключичные суставы. На компьютерной томограмме, в отличие от рентгенограммы, можно увидеть субхондральный склероз, кисты, сужение суставной щели и изменения в волокнистой хрящевой ткани диска. Серонегативные артриты, подагра и некоторые иные заболевания также могут затрагивать соединения отделов грудины между собой и с окружающими костными структурами, что убедительно видно на КТ.
Ранняя диагностика септического артрита грудино-ключичного сустава важна для своевременного начала лечения, так как существует высокий риск осложнений - целлюлита, остеомиелита, медиастинита, септического шока. В запущенных случаях можно увидеть абсцесс и формирование свищевого хода. Изменения, которые видны при КТ органов грудной клетки, включают воспалительные процессы в твердых структурах (разрушение суставных поверхностей, расширение суставной щели), в органах и тканях (диффузная инфильтрация, скопление жидкости, газа, размытость границ, реактивное увеличение лимфоузлов). Осложнившуюся пневмонию, плеврит, абсцесс легкого и мягких тканей грудной клетки можно диагностировать с помощью КТ. Исследование также показывает изменения со стороны сердца и клапанного аппарата.
Острые и травматические состояния.
В результате сильного физического воздействия (чаще - вследствие ДТП) возникают один или несколько переломов грудины. Компьютерная томография позволяет диагностировать сочетанные травмы (повреждения ребер, грудного отдела позвоночника, легких и сердца) и осложнения (легочные ателектазы, гемо- и пневмоторакс, гемоперикард). Спонтанные переломы грудины возникают при наличии новообразования (множественная миелома, метастазирование), остеопороза и могут имитировать острые коронарные заболевания. С помощью КТ грудной клетки возможна диагностика врожденных аномалий сосудов или приобретенных патологий: тромбоэмболии легочной артерии, диссекции аорты и пр. По данным КТ ОГК выявляют причины ишемии, дисфункцию сердечных клапанов.
После выполнения стернотомии (операция обеспечивает лучший доступ к сердцу) есть вероятность осложнений: расхождения краев раны, вторичный остеомиелит грудины или ребер, медиастинит и медиастинальная гематома, плевральный выпот. После хирургических вмешательств на сердце и сосудах могут развиться неблагоприятные последствия (инфицирование электродов кардиостимулятора, инфекционно-воспалительные осложнения и пр.). Эти состояния с помощью КТ дифференцируют с нормальными послеоперационными изменениями. У таких пациентов выполняют компьютерное сканирование в динамике. Осложнения могут присутствовать и после вмешательств на легких и прочих структурах. В экстренных ситуациях преимущество КТ - быстрота получения результатов.
Новообразования и метастазирование.
Большинство неопластических процессов грудины носит метастатический характер, что объясняется прямым проникновением из соседних органов или гематогенным путем. Рак молочной и щитовидной желез, легкого, почки, толстой кишки и лимфомы - самые распространенные источники метастазов грудины. КТ грудной клетки с контрастом - золотой стандарт в диагностике рака легких, позволяет увидеть изменения на начальной стадии, при которой возможно радикальное лечение. Компьютерное сканирование показывает также новообразования средостения, которые многообразны по морфологии и генезу. Наиболее часто встречаются тимомы, кисты, нейрогенные опухоли, злокачественные лимфомы. С помощью сканирования при дисфагии можно предположить рак пищевода, но во всех случаях окнчательный диагноз подтверждает морфологическое исследование.
Нередко пациенты задают вопрос: “Что сделать - КТ или МРТ органов грудной клетки?” К каждому исследованию есть свои показания и противопоказания, но способы часто являются взаимодополняющими. Специалисты диагностического центра могут подсказать, что предпочтительнее в каждом конкретном случае, но лучше, если на руках будет направление от лечащего врача.
Как делают КТ органов грудной клетки

Положение пациента во время КТ грудной клетки
На диагностическую процедуру необходимо предварительно записаться, но возможно выполнение в день обращения, по жизненным показаниям. Современные КТ-сканеры могут исследовать большие участки тела всего за несколько секунд, что особенно подходит для пациентов, испытывающих трудности с длительной неподвижностью и маленьких детей. Рентген-техник размещает пациента на столе, для обеспечения неподвижности возможно использование фиксирующих ремней и подушек. Излишняя мобильность приводит к появлению размытости на изображениях. Наблюдение за ходом процедуры ведется из смежного кабинета, через стекло. Для экстренных случаев есть кнопка связи с персоналом. Стол с пациентом скользит вглубь томографа, вокруг тела начинает вращаться множество рентгеновских датчиков, передавая изображения поперечного сечения грудной клетки на экран монитора. Снимки с помощью специальной компьютерной программы могут быть переформатированы в другие плоскости. Полученные в результате диагностики данные легко перенести на любой носитель или распечатать. Неприятных ощущений во время КТ органов грудной клетки и средостения нет, технический шум, который производит работающее оборудование, можно нивелировать, если воспользоваться наушниками. Сканирование длится менее минуты, вся процедура с подготовкой и укладкой занимает не более получаса.
Для улучшения визуализации в некоторых случаях (преимущественно, в диагностике злокачественных новообразований и для оценки динамики после проведения химиолучевой терапии) выполняют КТ органов грудной клетки с контрастом. Препарат вводят внутривенно, перед этим обязательно оценивают уровень креатинина в крови. Усиленная радиофармпрепаратом компьютерная томография помогает уточнить диагноз при туберкулезе (количество очагов, их расположение, состояние лимфоузлов), но окончательная верификация происходит после оценки результатов комплексного обследования (пробы Манту, диаскинтеста, и, при необходимости, биопсии). Воспаление и повреждение паренхимы легких обычно хорошо видны на КТ без контрастного усиления. Если есть опасения по поводу осложнений, радиофармпрепарат может помочь дополнительно определить степень выраженности патологического процесса.
КТ органов грудной клетки детям проводят исключительно по жизненным показаниям в специальных диагностических центрах при педиатрических клиниках.
Подготовка к исследованию

Перед прохождением диагностики убедитесь в отсутствии противопоказаний
Каких-либо длительных мероприятий подготовка к КТ грудины не подразумевает, для нативного исследования достаточно выбрать удобную одежду без металла, снять украшения. Если предстоит введение контрастного вещества, за 40-50 минут до начала процедуры необходимо неплотно перекусить, что поможет предотвратить или уменьшить вегетативные реакции (легкую тошноту, слюнотечение, головокружение). Пациенты, страдающие сахарным диабетом и принимающие Метформин, по согласованию с эндокринологом должны отказаться от препарата за 48 часов до процедуры. Во время лактации рекомендуют сделать запас молока на два кормления.
Показания и противопоказания к КТ грудины
КТ грудины входит в компьютерное сканирование грудной клетки. Диагностика не является рутинным методом обследования и выполняется, если причина заболевания остается неясной или изменения на рентгенограммах требуют уточнения.
Перечислим основные показания к КТ грудины и грудной клетки:
подозрение на патологический процесс в легких, плевре, сердце, грудине, суставах, средостении;
пред- и послеоперационное обследование;
определение зоны для лучевого воздействия при злокачественных новообразованиях соответствующей области;
отслеживание динамики после проведенного лечения.
Противопоказания к КТ грудины и грудной полости
Современная аппаратура позволяет минимизировать лучевую нагрузку по сравнению с обычной рентгенографией в 1,5-2 раза: КТ ОГК безопасна для большинства людей. Исключение - беременные женщины и дети в возрасте до 14 лет. По техническим причинам диагностическая процедура невыполнима у пациентов с выраженным ожирением (выше 150 кг).
Противопоказания к выполнению контрастирования:
хроническая почечная недостаточность с повышением уровня креатинина;
Введение индикаторного препарата недопустимо, если во время или после предыдущего контрастирования развилась серьезная реакция гиперчувствительности по типу отека Квинке или анафилаксии. Небольшая тошнота, металлический привкус, головокружение, приливы жара рассматриваются как вариант нормы и не являются противопоказаниями к КТ с усилением.
Фото томографии грудной клетки
Расшифровка снимков происходит в тот же день. Полученные изображения анализирует врач-рентгенолог, который и выдает заключение. Определить верный диагноз непросто, ведь среди нескольких десятков оттенков черного, серого и белого необходимо вычленить несоответствующий норме и интерпретировать результат. Представим Вашему вниманию несколько фото томографии грудной клетки:

КТ без контраста у пациента с интерстициальным заболеванием легких в анамнезе и трансплантацией правого легкого показывает суженный участок анастомоза правого бронха (красная стрелка). Собственное левое легкое уменьшено в размерах, с признаками бронхоэктазов, бронхиолоэктазов (черная стрелка). Сужение центрального дыхательного пути на выдохе у трансплантированного легкого (синяя стрелка).

Выпот (красные стрелки) в обеих плевральных полостях.
КТ средостения что показывает

В диагностике заболеваний органов грудной полости часто используют инструментальные исследования. Одним из наиболее эффективных методов является КТ средостения с контрастом. Компьютерная томография позволяет визуализировать строение внутренних структур без инвазивных манипуляций. Исключение составляет внутривенное введение «окрашивающего» йодсодержащего раствора.

КТ средостения, аксиальная, сагиттальная и фронтальная проекции
Для исследования тканей используют ионизирующие потоки. В отличие от линейной рентгенографии, во время КТ заданную область можно сканировать на определенной глубине. В результате получают фотографии тонких (от 0,5 мм) срезов рассматриваемой зоны. Большей эффективностью отличается компьютерная томография твердых тканей (кости, хрящи) и полых органов. Для повышения информативности сканирования применяют болюсное усиление.
КТ средостения с контрастом назначают для визуализации мягких тканей, сосудистой системы, новообразований. Метод обеспечивает детальное изучение внутренних органов и анатомических структур грудной полости.
Что покажет КТ средостения?
Компьютерная томография визуализирует форму, размеры, особенности строения внутренних органов и морфологических образований грудной полости. На основании результатов КТ оценивают состояние трех отделов средостения:
Каждое пространство имеет условные границы и включает в себя определенные анатомические структуры. В протоколе исследования врач указывает изучаемый отдел с дальнейшим описанием состояния внутренних органов.

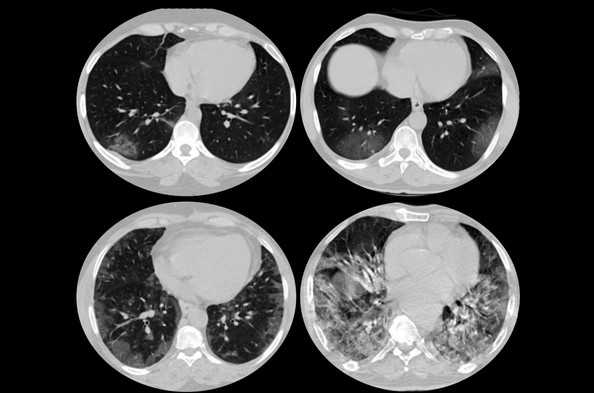
Метастатическое поражение легких
В зону сканирования при КТ средостения и грудной клетки входят:
сердце и перикард;
тимус (вилочковая железа);
трахея, бронхи, легкие;
восходящий отдел и дуга аорты;
верхняя и нижняя полые вены;
жировая клетчатка средостения;
легочные вены и артерии;
грудина и ребра;
грудной отдел позвоночника.
Костные структуры на снимках КТ имеют светлый оттенок, анатомические образования с низкой плотностью выглядят как затемненные участки.
Тимус на томограммах хорошо определяется в детском возрасте. После 25 лет начинается процесс замещения железы жировой тканью. Максимальная толщина анатомического образования у взрослых в норме не превышает 1,3 см.
Лимфатические узлы представляют собой обособленные мягкотканные элементы округлой формы. Патологические процессы приводят к увеличению размеров, иногда наблюдают слияние органов.
КТ средостения с контрастом показывает нарушения кровоснабжения грудной полости, сосудистые патологии, очаги ишемии и некроза. Метод позволяет выявить малейшие изменения структуры изучаемых органов. На снимках видны воспалительные, дегенеративные, неопластические явления костных элементов, эпителиальных оболочек, легочной ткани.
Компьютерная томография груди и шеи визуализирует проходимость воздухоносных путей, показывает наличие мокроты, инородных тел, образований в просвете трахеи и бронхов. На основании инструментального исследования оценивают объем поражения легких, функциональность дыхательной системы.

Пневмоторакс на снимке КТ (стрелка указывает на область, заполненную воздухом)
Томограммы отражают скопление газа в плевральной или грудной полости. При травмах по снимкам можно определить разрывы стенок кровеносных сосудов, очаги внутренних кровоизлияний и последствия геморрагий.
КТ средостения показывает, что происходит в области перикарда. Процедура позволяет оценить состояние камер, коронарных сосудов, определить степень функциональности сердечной мышцы
При наличии новообразования компьютерная томография помогает уточнить локализацию, размеры опухоли, определить характер онкологического процесса. На снимках с контрастированием хорошо видны:
особенности строения очага;
взаимодействие с окружающими здоровыми тканями.
В отношении костного каркаса оценивают однородность, форму твердых структур. По результатам сканирования определяют смещение морфологических элементов, нарушения целостности твердых тканей, дегенеративные явления.
Показания и противопоказания к КТ средостения
Компьютерную томографию грудной клетки используют в диагностике заболеваний дыхательной, сердечно-сосудистой, костно-мышечной систем. Поводом для аппаратного исследования служат характерные симптомы:
цианоз носогубного треугольника, пальцев рук и ног;
боли в грудной полости;
слабость, озноб, повышение температуры тела.
КТ назначают при наличии затемнений, расширении границ средостения и корней легких на рентгенограммах.
С помощью компьютерной томографии грудной полости диагностируют:
инфекционные поражения (туберкулез);
системные заболевания (саркоидоз, лимфогранулематоз);
дивертикулы или стеноз пищевода (кольца Шацкого);
лимфаденопатии (реактивные и инфекционные);
пневмо- и гемоторакс;
последствия травм грудной клетки;
диафрагмальные грыжи и пр.
Показанием для исследования служит необходимость оценки состояния средостения при подготовке к торакальной операции.

Туберкулез легких на КТ (множественные очаги)
Особенностью компьютерной томографии является лучевая нагрузка на организм пациента. Ограничениями к нативной процедуре служат:
ранний детский возраст;
состояние здоровья, исключающее применение рентгена (лучевая болезнь).
Противопоказания к контрастной процедуре связаны с использованием йодсодержащего раствора. Вещество может вызвать аллергию, влияет на работу выделительной и эндокринной систем.
КТ средостения с контрастом не назначают в случае:
почечной недостаточности - процесс выведения препарата усиливает нагрузку на выделительную систему;
индивидуальной непереносимости йода - возможно появление аллергической реакции;
гиперфункции щитовидной железы - введение контраста усиливает клинические признаки тиреотоксикоза;
терапии сахарного диабета препаратами на основе Метформина - одновременное применение с йодом провоцирует рост концентрации молочной кислоты и повышает нагрузку на почки.
При соблюдении ограничительных мер компьютерная томография не оказывает негативного влияния на организм пациента.
Как делают КТ средостения?
Для компьютерной томографии используют сложное оборудование. КТ-аппарат состоит из передвижного стола и кольцевой части, внутри которой находятся излучатели и датчики.

Компьютерная томография легких и органов средостения
Пациент ложится на транспортер лицом вверх. Для повышения качества изображений необходимо соблюдать неподвижность на протяжении всего сеанса. Смена положения тела приводит к искажению картины, появлению артефактов на снимках.
Стол с пациентом перемещается внутри кольца томографа. Сканирующие элементы движутся по кругу, делая за полный оборот несколько снимков. Процедура получила название мультиспиральной компьютерной томографии. МСКТ обеспечивает:
снижение лучевой нагрузки;
сокращение времени сканирования;
повышение качества изображений.
В результате получают фотографии аксиальных срезов, с помощью которых достраивают сагиттальную и фронтальную проекции. Для уточнения локализации патологического очага и оценки взаимного расположения анатомических структур средостения реконструируют 3D-модель рассматриваемой зоны.

Вирусная (ковидная) пневмония на томограмме
КТ средостения и легких занимает от 5 до 10 минут. При использовании контрастного усиления продолжительность диагностической процедуры увеличивается. Инъекцию делают после серии нативных снимков. Сканирование приостанавливают, через внутривенный катетер пациенту вводят «окрашивающий» раствор. В течение 10-15 минут препарат заполняет просвет сосудов грудной полости, после чего сканирование продолжают.
КТ средостения с контрастом занимает не более получаса. Через 1-2 дня происходит полное очищение организма от следов йодсодержащего раствора.
Как подготовиться к КТ средостения?
Компьютерную томографию проводят по предварительной записи. На процедуру следует прийти за 10-15 минут до начала. При себе желательно иметь паспорт, полис, направление лечащего врача, результаты предыдущих обследований.
Перед КТ необходимо заполнить бумаги, снять украшения и аксессуары из железа, можно переодеться в удобный костюм или пижаму.
Нативная процедура не требует специальной подготовки. При наличии противопоказаний необходимо предупредить специалиста. Женщины, подозревающие беременность, проходят дополнительное обследование. При подтверждении гестации врач подберет альтернативный способ инструментальной диагностики.
КТ средостения с контрастом требует более тщательных подготовительных мер. Пациент сдает кровь на креатинин. Анализ должен быть свежим, давностью не более 7 дней. Некоторые клиники проводят экспресс-тестирование перед процедурой. Повышенное содержание креатинина свидетельствует о нарушении функциональности почек.
Больные сахарным диабетом до КТ средостения и легких с контрастом проходят консультацию у эндокринолога. При лечении Метформином препарат нужно отменить за 72 часа до процедуры. При необходимости пациенту на период обследования назначают аналогичное гипогликемическое средство.
При заболеваниях щитовидной железы с признаками гипертиреоза может потребоваться анализ на гормоны. Решение о необходимости данного обследования принимает врач-эндокринолог.
Диагностический центр «Магнит» проводит КТ средостения и легких с использованием современного 16-срезового томографа фирмы Siemens.

Трехмерная реконструкция грудной клетки
Читайте также:
