КТ, МРТ при добавочной слюнной железе в поднижнечелюстном пространстве
Добавил пользователь Евгений Кузнецов Обновлено: 01.01.2026
или позвоните по телефону
Наши консультанты помогут в выборе клиники
Другие статьи
Простой способ предотвратить сахарный диабет, мигрень, гипертонию и остеопороз
Речь пойдёт о магнии в пище, воде и добавках. Это элемент, который широко.
Самое эффективное упражнение от простатита и аденомы: средство от ветерана
История, которую я сейчас рассказываю, основана на реальных событиях. Есть у.
Диагностика здоровья во время мобилизации
Что делать, если во время пребывания в запасе человек серьезно заболел, но не.
Кто попадает под мобилизацию по здоровью?
Имеют место случаи, когда в военном билете призывника отмечена основная.
Инсульт, который не видно на КТ
Важно понимать, что МРТ и КТ это принципиально разные исследования. И данный.
Записаться на МРТ головного мозга
Средняя цена
МРТ головного мозга от 3500 руб
Вам может быть интересно
Люди, занимающиеся спортом на профессиональном или любительском уровне, находятся в зоне риска. Этот вид деятельности находится на первом месте по числу травм острого и хронического характера. Особенно страдает опорно-двигательный аппарат, так как на него ложится основная нагрузка, приходятся прямые удары и другие приложенные силы, которые тело не всегда способно конструктивно выдержать.
Треть жизни офисного работника проходит в сидячем положении за компьютером. Такие люди редко успевают перекусить, ежедневно пребывают в стрессе и часто берут на себя больше обязанностей, чем могут осилить.
Травматизм стоит на первом месте в списке заболеваемости людей. Он считается главной причиной первичной инвалидности и гибели взрослого населения трудоспособного возраста, а также детей. Зачастую наивысший уровень травматизма приходится: у женщин на возраст от 30 до 59 лет и у мужчин в период с 20 до 49 лет.
В 2020 году мир поразила новая инфекция зооморфного бета-коронавируса COVID-19. Эта инфекция, передающаяся воздушно-капельным путем быстро достигла масштабов пандемии. Она опасна тяжелыми осложнениями, некоторые из них носят длительный характер и получили название "постковидный синдром".
Существует около 10 теорий этиологии остеохондроза. Они связаны с патологиями сосудов, гормональным дисбалансом, аутоиммунными процессами, повышенными механическими нагрузками, наследственной предрасположенностью. При юношеской форме этиофакторами становятся: быстрый рост, поднятие тяжестей, врожденная или приобретенная недостаточность хрящевой ткани, гиподинамия, неравномерные нагрузки.
Творческими способностями называется умение придумывать нестандартные или принципиально новые идеи, применять для решения задач привычные вещи необычным способом. Креативность является важным качеством при приеме на работу. Такие люди лучше ориентируются в разных обстоятельствах, легче воспринимают новое.
МРТ слюнных желез: когда необходима?
Слюнные железы важны для процесса пищеварения. Но пока они работают нормально, люди редко задумываются об их здоровье. Когда нужна МРТ слюнных желез, рассказала врач-рентгенолог «Клиники Эксперт» Новосибирск Екатерина Валерьевна Романец.
- Екатерина Валерьевна, что показывает МРТ слюнных желез? Какие болезни выявляют с помощью этого исследования?
- Слюнные железы - важный орган, играющий значительную роль в функционировании пищеварительной системы. Магнитно-резонансная томография показывает их строение, нарушения в структуре железистой ткани, а также состояние окружающих тканей, позволяет обнаружить патологические процессы (например, воспаление, конкременты в протоках железы, опухолевые образования). Чаще всего прицельное исследование слюнных желез требуется в двух направлениях - стоматология и онкология (в том числе для исключения онкопатологии). Стоматологи могут назначить дополнительную диагностику при наличии признаков воспаления в ротовой полости, не связанных с состоянием зубов и дёсен.
Чаще всего прицельное исследование
слюнных желез требуется в двух направлениях -
стоматология и онкология
(в том числе для исключения онкопатологии)
- При каких си мптома х назначают МРТ слюнных желез?
- Исследование может потребоваться при следующих симптомах:
- сухость во рту или обильное слюноотделение;
- боли при глотании и пережёвывании пищи вне связи с зубами и дёснами;
- припухлость в подчелюстной и околоушной области;
- объёмные образования в области расположения железы.
- Что такое аденома слюнной железы?
- Так называется доброкачественное образование в структуре железы. Аденома может возникать в больших и малых железах. Наиболее часто поражаются околоушные слюнные железы. Точные причины возникновения образований, в частности аденомы, на сегодня полностью не изучены. Основными теориями развития заболевания являются вирусное поражение, воспалительные изменения, травмы железы, вредные привычки (алкоголь и курение), несбалансированное питание. Аденома характеризуется медленным ростом и на начальных этапах может никак не проявлять себя.
Основными жалобами, при которых врач может заподозрить у пациента наличие аденомы слюнной железы, являются дискомфорт и неприятные ощущения в области железы, нарушение слюноотделения, болезненность в местах расположения крупных желез. Аденома слюнной железы хорошо видна на МРТ.
- Как правило, за одно обследование проверяют все слюнные железы или только группу?
- Слюнные железы делятся на две группы: большие и малые. Малые расположены в слизистой оболочке полости рта и плохо визуализируются. Большие включают три парных железы. Обычно за один сеанс МРТ проводят осмотр всей группы: околоушных, подъязычных и подчелюстных слюнных желез. Они хорошо видны. Более того, при других МРТ-исследованиях в области головы (например, МРТ головного мозга) эти железы тоже попадают в поле зрения врача, хотя их не осматривают детально. Однако врач может заметить признаки патологии, в этих случаях нередко требуется дообследование.
- Что информативнее: УЗИ, КТ или МРТ слюнных желез?
- Сейчас по информативности на первом месте стоит МРТ, за ним следует КТ. Магнитно-резонансная томография является безопасной, неинвазивной и наиболее информативной методикой обследования. Позволяет оценить размеры и форму, структуру железы, детализировать информацию о протоках, рассмотреть соседние анатомические структуры.
КТ, МРТ, УЗИ - что, где и когда? Читайте нашу статью
- В каких случаях магнитно-резонансная томография слюнных желез проводится с контрастированием?
- Томографию железистой ткани всегда предпочтительно выполнять с контрастированием. МРТ слюнных желез без контраста возможна, но тогда мы лишаемся важной диагностической информации, позволяющей отличать друг от друга схожие патологии. Поэтому МРТ слюнных желез с контрастом - общепринятая практика, а без контраста - исключение для тех, кому противопоказано введение контрастного вещества.
Подробнее об МРТ с контрастом можно узнать здесь
- Как долго длится МРТ слюнных желез?
- В зависимости от сложности ситуации и индивидуальных особенностей пациента оно может проходить от 15 до 30 минут.
- Есть ли какие-либо особенности подготовки именно к МРТ слюнных желез?
- Нет, какой-либо специфической подготовки от желающего сделать МРТ слюнных желез не требуется.
Беседовала Дарья Ушкова
Редакция рекомендует:
Для справки:
Романец Екатерина Валерьевна
В 2011 году окончила Новосибирский государственный медицинский университет, факультет «Лечебное дело».
В 2011-2013 годах прошла ординатуру по специальности «Фтизиатрия», в 2014 году - первичную переподготовку по специальности «Рентгенология».
С октября 2014 года работает врачом-рентгенологом в «Клиника Эксперт» Новосибирск.
Другие статьи по теме
Что может послужить поводом для МРТ простаты и как подготовиться к этой. О чём расскажет МРТ простаты?
За что в организме человека отвечает поджелудочная железа? Как в диагностике её. МРТ поджелудочной железы: когда она необходима?
Надпочечники — это «фабрика» по производству гормонов. Нарушения в работе надпочечников могут. МРТ надпочечников: кому может понадобиться такая диагностика?
МРТ слюнных желез что показывает
МРТ слюнных желез — неинвазивный метод визуализации мягких тканей ротовой полости, в частности органов, вырабатывающих слюну. Позволяет оценить характер работы желез, степень сохранности секреторной активности, присутствие инородных тел и опухолей. В деле раннего выявления патологий указанного участка МРТ слюнных желез находится вне конкуренции: это единственная безопасная методика, обладающая достаточной информативностью.

В каких ситуациях прибегают к МРТ слюнных желез?
- Воспалительные процессы в ротовой полости и области секретирующих органов. В том числе гнойного характера.
- Врожденные и приобретенные дефекты развития желез.
- Боли в процессе пережевывания пищи вне связи с зубами и деснами.
- Ксеростомия. Недостаточный объем вырабатываемой слюны.
- Гиперсаливация. Обратный процесс: избыток выработки слюнной жидкости.
- Боли во время открывании рта.
- Специфические фиброзные изменения. Требуют проведения МРТ околоушной слюнной железы и иных структур.
Какие патологии можно выявить посредством МРТ слюнных желез?
- Ксеростомия.
- Ангина. В некоторых случаях как инцидентальная находка в процессе проведения МРТ околоушной слюнной железы.
- Опухоли и иные неопластические процессы в области секретирующих органов. Как злокачественные, так и доброкачественные.
- Конкременты в протоках слюнной железы (саливолиты).
- Воспаление.
- Фиброз секретирующих органов.
МРТ слюнных желез с контрастом
МРТ с контрастом дает возможность на ранних стадиях выявить опухолевые образования в структуре слюнных желез, определить их размеры, локализацию, форму, строение, степень васкуляризации (кровоснабжения). Это требуется, в том числе, перед проведением хирургического лечения для определения объемов вмешательства и стратегии терапии, биопсией. На основании данных МРТ с контрастом можно сделать предварительный вывод о злокачественности или доброкачественности новообразования.

Перечень противопоказаний к проведению МРТ слюнных желез
- Боязнь замкнутого пространства. При использовании высокопольных томографов с широким тоннелем такая проблема не возникает.
- Присутствие металлических протезов и имплантатов в организме обследуемого: коронок и т.д.
- Наличие кардиостимулятора, инсулиновой помпы.
- Беременность в начальной стадии (1 триместр).
- Избыточная масса тела, свыше 120 кг. Вопрос о целесообразности и возможности исследования решается в индивидуальном порядке.
В каких случаях нельзя провести МРТ слюнных желез с контрастом?
- Наличие аллергической реакции на препараты гадолиния.
- Бронхиальная астма в тяжелой декомпенсированной форме.
- Почечная недостаточность в анамнезе. Возможна интоксикация организма из-за медленного выведения контрастирующего вещества.
Как подготовиться к процедуре?
Специальной подготовки не требуется. До начала исследования нужно снять с себя металлические предметы: часы, украшения. Отложить банковские карты и мелкие деньги.

Результаты
Описание и расшифровка результатов занимает от 20 до 30 минут. По окончании врач-диагност отдает пациенту протокол исследования и снимки в печатном или цифровом виде.
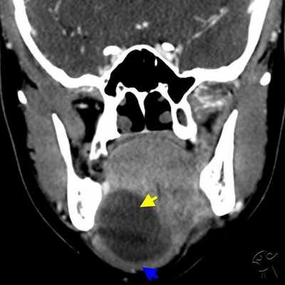
КТ, МРТ при добавочной слюнной железе в поднижнечелюстном пространстве
Для выявления болезней слюнных желез (сиалоаденит, синдром Шегрена, закупорка протоков камнями) применяются лучевые методы - КТ, МРТ, УЗИ. Специфичность компьютерной томографии при нозологических формах около 100%, достоверность - 98%. Показатели высокие для достоверной верификации патологии околоушных, подчелюстных желез. Ограничивает повсеместное применение метода радиационное облучение. Разовая обследование не приносит вреда, но не рекомендуется делать сканирование часто (за исключением верификации новообразований).
МР-томография хорошо дифференцирует изменения железистых структур. Стоимость оборудования и техническое обслуживание высокое. Установлены аппараты в крупных мегалополисах, что снижает доступность исследования для населения.

КТ-сиалография применяется при остром и хроническом течении слюннокаменной болезни, сиалоаденита, паротита, паротите Шегрена. Способ позволяет правильно поставить диагноз, выявить локализацию, распространенность, стадию патологического процесса.
Синдром Шегрена проявляется поражением тканей организма компонентами собственной иммунной системы (антитела). Вначале воспалительный процесс по клинике подобен паротиту. Заподозрить запущенный процесс позволяет появление псевдолимфом, лимфоаденопатия, являющиеся маркерами для назначения гормонального лечения. Терапия снижает скорость прогрессирования.
Показания к КТ сиалографии
Назначается КТ ротовой полости, пазух, слюнных желез только при невозможности получения диагностической информации другими нерадиационными методами.
Показания к КТ-сиалографии:
- Увеличение подчелюстной, околоушной области;
- Онемение лица при жевании;
- Частые гнойные ангины;
- Подозрение на рак слюнной железы;
- Аномалии лицевого скелета.
Ранняя диагностика опухоли повышает выживаемость пациентов. Своевременная верификация новообразования позволяет хирургам провести радикальное иссечение образования с высокими шансами на полное излечение.
КТ-признаки слюннокаменной болезни
Отечность, увеличение околоушной и поднижнечелюстной областей, не проходящие после приема фармацевтических препаратов - показание к лучевой диагностике. Симптомы обуславливает не только сиалоаденит. Слюннокаменная закупорка (сиалолитиаз) определяется после КТ-сиалографии по следующим признакам:
- Увеличение размеров поврежденного органа;
- Сохранение однородности структуры;
- Расширение протока.
Дополнительно врач лучевой диагностики укажет плотность ткани. Признак является дифференциальным маркером определения эффективности проводимой терапии с целью отслеживания динамики на повторных томограммах.
Повышается информативность применением дигитальной субтракционной сиалографии - контрастирование (введение йодсодержащего препарата) протоков с последующей рентгенографией в двух проекциях. Обследование в российской медицине не распространено. Применяется научными институтами, но европейские специалисты активно используют возможности анализа в клинических целях.
Тонкосрезовая СКТ головы и слюнных желез с трехмерным моделированием (3D) создает пространственную структуру, с помощью которой врачи устанавливают внутрипротоковое расположение камня.
Применение обследования помогает обнаружить аденокарциному слюнной железы - злокачественную опухоль, склонную к быстрому прогрессированию, прорастанию близлежащих тканей. Онкология чаще обнаруживается случайно, так как не имеет специфических внешних признаков.
КТ-проявления болезни Шегрена
Аутоиммунное поражение железистой ткани сопровождается симметричным изменением органов (с обеих сторон). Использование КТ-сиалографии позволяет выявить специфические проявления нозологии:

- Зернистость поднижнечелюстной и околоушной железистой ткани;
- Снижение плотности;
- Шейная лимфаденопатия;
- Псевдолимфомы;
- Уменьшение размеров слюнных желез.
К аутоиммунному поражению может присоединяться бактериальная или грибковая инфекция околоушно-жевательной области. Томограммы показывают аналогичные нарушения жевательной мышцы, крыловидного пространства, поднижнечелюстной полости.
Сиалография при раке
Отечность, онемение жевательной мышцы при открывании рта, боль челюсти во время жевания пищи могут появляться при раке. Процент встречаемости доброкачественных железистых образований выше, чем злокачественных аналогов.
Компьютерная сиалография с 3D-реконструкцией позволяет изучить образование в пространственном представлении. Диагностическая информация важна специалистам для определения, сколько живут люди с опухолями слюнной железы. Чем крупнее злокачественное образование, тем выше вероятность летального исхода в ближайшие 5-10 лет. Только ранняя верификация и грамотное хирургическое иссечение опухолевого узла навсегда избавляет от смертельной опасности.
Как проходит компьютерная томография слюнных желез
Длительность сканирования не превышает 30 минут. На высокопольных аппаратах (с высоким магнитным полем) процедура занимает 5-10 минут. Если планируется введение контраста, за 4 часа до исследования исключается употребление пищи и прием жидкости.
Во время КТ пазух носа, головного мозга пациент лежит на столе неподвижно. Все остальные манипуляции выполняет оборудование - продвигается в диагностический тоннель, делает томограммы через нужное количество миллиметров.
Описание врач лучевой диагностики формирует примерно через 1 час после анализа серии снимков. При желании записать томограммы можно на оптический диск для предоставления лечащему врачу или анализа другим независимым специалистом.
Звоните нам по телефону 8 (812) 241-10-46 с 7:00 до 00:00 или оставьте заявку на сайте в любое удобное время
УЗИ слюнных желёз: каковы возможности этого метода диагностики?
Слюна - один из важнейших компонентов процесса пищеварения - вырабатывается специальными железами. Какие заболевания характерны для слюнных желёз? Как в их диагностике может помочь УЗИ? Как проводят эту процедуру?
На эти и другие вопросы отвечает врач ультразвуковой диагностики «Клиника Эксперт» Смоленск Юлия Васильевна Сафронова.
— Среди желёз внешней секреции особое место занимают железы, вырабатывающие слюну - одну из важных биологических жидкостей организма. Юлия Васильевна, расскажите, сколько слюнных желёз в организме человека и где они расположены?
— В нашем организме три пары крупных слюнных желёз: околоушные, подчелюстные и подъязычные. Околоушные расположены за нижней челюстью, на уровне мочки уха. Подчелюстные слюнные железы лежат среди мышц дна полости рта, а подъязычные - в толще мышечной ткани под языком. Кроме того, в тканях губ, щёк, нёба есть множество мелких слюнных желёз. Все они выделяют слюну, необходимую человеку для нормального процесса пищеварения.
— Какими заболеваниями могут поражаться слюнные железы?
— Например, воспалительными - это острые и хронические сиалодениты, абсцессы, флегмоны. Слюнные железы могут поражаться опухолевыми (доброкачественными и злокачественными) и аутоиммунными процессами. Так как у этих желёз есть выводные протоки, может развиться сиалолитиаз (камни в слюнных железах). Кроме того, у детей иногда наблюдаются врождённые аномалии развития желёз, их протоков, либо полное отсутствие железы (или желёз).
— С помощью каких диагностических методов можно исследовать слюнные железы?
— Околоушные и подчелюстные слюнные железы оцениваются с помощью ультразвукового исследования, магнитно-резонансной и компьютерной томографии. Подъязычные железы не визуализируются при УЗИ, поэтому их исследуют с помощью КТ, МРТ или рентгена с контрастированием. Существуют также методы радиоизотопной диагностики слюнных желёз, но они не получили широкого распространения из-за своей токсичности.
Очаговые поражения мелких слюнных желёз чаще выявляются при стоматологическом осмотре.
— Давайте подробнее поговорим об ультразвуковом исследовании. Что показывает УЗИ слюнных желёз?
— При ультразвуковом исследовании мы оцениваем структуру слюнных желёз, их размеры. Также мы видим кровоснабжение железы, состояние её протоков. УЗИ помогает обнаружить воспаление, камни, новообразования в слюнных железах.
— Кому и в каких случаях назначают это исследование?
— Ультразвуковая диагностика - это, как правило, первый этап исследования слюнных желёз. На УЗИ слюнных желёз направляют стоматологи, терапевты или ЛОР-врачи при жалобах пациентов на боли в подчелюстной или околоушной области, на затруднение глотания, при усиленном или ослабленном слюноотделении, наличии уплотнений в местах проекции слюнных желёз. Иногда пациенты обращаются самостоятельно.
Хочу подчеркнуть, что УЗИ - это своеобразный скрининговый метод исследования слюнных желёз. Для более точной диагностики иногда приходится направлять пациентов на компьютерную или магнитно-резонансную томографию.
— Юлия Васильевна, расскажите, пожалуйста, как делают УЗИ слюнных желёз
— В классическом варианте пациент ложится спиной на кушетку, под шею подкладывается валик. Пациент поднимает высоко подбородок. Доктор наносит на исследуемую область специальный гель и с помощью линейного датчика осматривает подчелюстную, околоушную область, где расположены слюнные железы и прилежащие к ним лимфатические узлы. Процедура проводится с двух сторон. В ходе исследования фиксируются размеры желёз, состояние их структуры, проходимость протоков. Все эти данные фиксируются в заключении, которое пациент получает по окончании исследования. Вся процедура в среднем занимает до 15 минут.
— Существуют ли возрастные ограничения для этого метода исследования?
— Нет, так как УЗИ - это безопасный метод. Поэтому УЗИ слюнных желёз можно делать как грудничку, так и человеку преклонного возраста.
— А есть ли противопоказания к проведению УЗИ слюнных желёз?
— Абсолютных противопоказаний нет. Мы не проводим процедуру в том случае, если в зоне исследования есть гнойничковые поражения кожи или открытые раны.
Беседовала Севиля Ибраимова
Записаться на УЗИ слюнных желёз можно здесь
ВНИМАНИЕ: услуга доступна не во всех городах
Редакция рекомендует:
Для справки:
Сафронова Юлия Васильевна
В 2006 г. закончила Смоленскую государственную медицинскую академию
2006-2007 гг. - клиническая интернатура по терапии
В 2009 г. получила сертификат по ультразвуковой диагностике и малоинвазивным технологиям под ультразвуковым контролем
В 2013 г. защитила кандидатскую диссертацию по терапии
В настоящее время - врач ультразвуковой диагностики в «Клиника Эксперт» Смоленск
В каких случаях показано УЗИ лимфоузлов? Как проводят это исследование? Существуют ли. УЗИ лимфоузлов: для чего выполняется это исследование?
Печень — один из важнейших органов, что отмечали ещё древние греки. Шекспир. УЗИ печени и желчного пузыря: когда бывает нужно его сделать?
Диагностика и лечение сосудистых патологий, в частности, атеросклероза - вопросы, актуальные во. Дуплексное сканирование брахиоцефальных артерий: зачем оно нужно?
Читайте также:
- Доступ и ход операции дренирования псевдокисты поджелудочной железы в желудок
- Функция пазух носа и механизм их воспаления
- Причины и клиника множественного рака толстого кишечника. Диагностика множественных опухолей толстой кишки
- Зарубежный опыт по параличу диафрагмы. Частота пареза диафрагмы при туберкулезе
- Эндопротез, артродез мелких суставов кисти и стопы
