КТ, МРТ при хондросаркоме основания черепа
Добавил пользователь Валентин П. Обновлено: 22.11.2025
Хондросаркома - это злокачественная хрящевая опухоль, составляющая до 25% всех злокачественных опухолей костей. В большинстве случаев они возникают в длинных трубчатых костях у пожилых пациентов. Могут быть как первичными, так и вторичными при малигнизации существующей доброкачественной хрящевой опухоли. При визуализации хондросаркомы характеризуются минерализацией хрящевого матрикса по типу колец и арок, признаки агрессивного роста в виде литических изменений, фестончатости эндоста и инвазии мягких тканей.
Эпидемиология
Возникают в 40-50 лет, с небольшим преобладанием у мужчин 1.5-2:1.
Патология
Классификация
Хондросаркомы могут возникать первично (de novo), или вторично в существующем хрящевом образовании.
Первичные хондросаркомы
- интрамедуллярная хондросаркома (первичная центральная хондросаркома)
- юкстокортикальная хондросаркома
- светлоклеточная хондросаркома
- миксоидная хондросаркома
- мезенхимальная хондросаркома
- внескелетная хондросаркома
- дедифферинцированная хондросаркома
Вторчные хондросаркомы
- из остеохондромы
- солитарная остеохондрома
- наследственные множественные экзостозы
- солитарная энхондрома
- болезнь Олье
- синдром Маффучи
Клиническая картина
Основные жалобы на боли, могут возникать патологические переломы, может определяться пальпаторно. Иногда имеется гипергликемия за счет паранеопластического синдрома.
Диагностика
Выявляемые изменения зависят от подтипа опухоли, но должны включать что-либо из ниже изложенных типичных признаков хондросаркомы. В основном, хондросаркомы, к моменту диагностики имеют крупные размеры, обычно более >4 см в диаметре (более 10 см в 50% случаев).
Рентгенография
- деструкция (50%)
- интраоссальная кальцинация: ~70% (по типу колец и арок или по типу попкорна) : поражение более чем на две трети толщины кортикального слоя (с сравнением с энхондромой, при которой фестончатость распространяется менее чем на две трети)
- рисунок изъеденный молью при высокой степени
- ремоделирование и истончение надкостницы, периостальная реакция являются полезными признаками в дифференциальной диагностике между энхондромой и хондросаркомой низкой степени злокачественности
Обобщено, при компьютерной томографии мы видим те же признаки, что и при рентгенографии, но с лучшей их визуализацией:
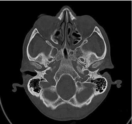
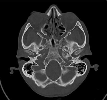
КТ основания черепа
![КТ основания черепа фото]()
КТ основания черепа - метод медицинской визуализации, основанный на использовании рентгеновских лучей, и применяющийся для диагностики патологических процессов, локализующихся в нижних отделах черепной коробки. Позволяет получать серии послойных снимков области интереса, толщиной от 0,5 мм, с высоким разрешением и четкостью. Благодаря этому компьютерная томография - один из самых точных и достоверных методов диагностики, незаменимый при некоторых патологиях и заболеваниях мозговой части черепа.
![Схематическое изображение основания черепа]()
Схематическое изображение основания черепа
Основание черепа - область, образуемая затылочной, височными, решетчатой, лобной и клиновидной костями. Внутренняя поверхность данной анатомической структуры играет роль площадки, на которой покоится головной мозг. Через большое отверстие затылочной кости проходит ствол мозга. Наружная поверхность основания черепа богата нервными волокнами, кровеносными сосудами, связками и сухожилиями.
![3D-реконструкция с помощью компьютерной томографии]()
Основание черепа: вид изнутри и снизу
Из-за данных анатомических особенностей любая патология, возникающая в этой области, как правило, приводит к тяжелым последствиям. В подобных условиях для диагностики с успехом используется компьютерная томография основания черепа. Более того, КТ основания черепа может быть более информативным и специфичным методом обследования, по сравнению с магнитно-резонансной томографией.
Показания для КТ основания черепа
Компьютерная томография основания черепа применяется для диагностики следующих патологий и заболеваний:
доброкачественные и злокачественные новообразования, локализующиеся в области передней, средней и задней черепной ямки;
метастазы области основания черепа;
закрытые и открытые переломы передней, средней и задней черепных ямок , трещины затылочной, височной, клиновидной, лобной или решетчатой костей;
фиброзная дисплазия костей основания черепа;
миеломная болезнь, протекающая с поражением костей рассматриваемой анатомической области ;
кисты, абсцессы, остеомиелит костей основания черепа, воспалительные заболевания височной (мастоидит), решетчатой (этмоидит), лобной (фронтит) или клиновидной (сфеноидит) кости;
подготовка и планирование хирургических вмешательств в области основания черепа.
![3D-реконструкция с помощью компьютерной томографии]()
3D-реконструкция с помощью компьютерной томографии
Показанием для проведения КТ основания черепа могут служить следующие жалобы больного:
нарушение зрения, выпадение полей зрения, двоение в глазах;
ухудшение слуха, шум в ушах, головокружение;
неврологические симптомы поражения черепномозговых нервов - невропатия лицевого нерва, парезы, параличи мягкого неба, языка; косоглазие; изменение способности различать запахи; затруднения при глотании, жевании; расстройства артикуляции; повышенное слюноотделение; нарушение тактильной, тепловой чувствительности кожи лица и пр.;
черепно-мозговая травма, протекающая с признаками повреждения целостности костей основания черепа (симптом “очков” - кровоизлияние в периорбитальную клетчатку, истечение спинномозговой жидкости из носа, наружного слухового прохода и другие симптомы);
судороги, потеря сознания, коматозное состояние, рвота и прочее .
Противопоказания для КТ основания черепа
КТ основания черепа противопоказано в следующих случаях:
Беременность: использование рентгеновских лучей в компьютерной томографии сильно снижает возможность применения метода у женщин на любом сроке беременности, из-за выраженного негативного воздействия на развивающийся плод. По этой причине обследование проводят только в исключительных случаях, когда потенциальная польза от КТ превосходит возможный вред;
Детский возраст: негативное воздействие рентгеновского излучения более выражено у детей. По этой причине компьютерная томография противопоказана у пациентов младше 5 лет. Детям в возрасте от 5 до 18 лет исследование проводится только при наличии четких показаний и направления лечащего врача;
Масса тела пациента и обхват туловища, превышающие предельно допустимые для томографа (150 кг и 150 см соответственно).
КТ основания черепа с контрастом
Компьютерная томография поддерживает использование контрастных препаратов. Это расширенная методика проведения обследования, предусматривающая введение в кровоток пациента неионного раствор йода. Контраст, распределяясь по организму, проникает во все органы и ткани, избирательно накапливаясь в тех местах, где нарушен гематоэнцефалический барьер, или имеется воспаление, инфекция, опухоль. Йод, входящий в состав контрастного препарата, задерживает почти 100% рентгеновских лучей, из-за чего возникает эффект “подсветки” патологии, облегчающий диагностику соответствующего заболевания.
![Снимок КТ основания черепа]()
Снимок КТ основания черепа
Противопоказания для КТ основания черепа с контрастом
КТ с контрастом противопоказано при наличии следующих патологий и состояний:
Почечная недостаточность: контраст в основном выводится почками. При нарушении их функции выведение контрастного препарата нарушается, что сопровождается острым повреждением тканей почек. Клинически это проявляется прогрессирующим увеличением уровня сывороточного креатинина в течение 1-2 суток после обследования. Данная патология известна как контраст-индуцированная нефропатия. Факторы риска: пожилой возраст, хронические заболевания почек, сахарный диабет, обезвоживание, высокие дозы контрастных препаратов. Обязательное проведение анализа крови на креатинин позволяет выявить скрытую почечную недостаточность и предупредить осложнения;
Аллергия на йод: в большинстве случаев аллергические реакции не представляют опасности для здоровья и протекают в виде кожного зуда, высыпаний на коже, тошноты, рвоты. Однако у пациентов с анафилаксией введение рентгеноконтрастных препаратов может спровоцировать отек верхних дыхательных путей, потерю сознания, остановку дыхания. По этой причине наличие аллергии на йод - противопоказание для введения контраста;
Индивидуальная непереносимость рентгеноконтрастных препаратов: клинически проявляется в виде тяжелой реакции на введение контраста и сопровождается рвотой, потерей сознания, коматозным состоянием. Является абсолютным противопоказанием для КТ с контрастным усилением. Встречается исключительно редко;
Сахарный диабет на фоне лечения метформином, использующемся для снижения уровня глюкозы крови, который в сочетании с контрастом, может провоцировать кетоацидоз - патологическое увеличение концентрации азотистых продуктов обмена веществ и кетоновых основания. Это грозное осложнение наблюдается у больных сахарным диабетом, сопровождается потерей сознания, комой. Для профилактики подобного осложнения следует обратиться к эндокринологу, который изменит схему лечения;
Заболевания щитовидной железы, сопровождающиеся гипертиреозом: йод - основной компонент гормонов щитовидной железы. При введении контраста их уровни в организме резко увеличиваются, что может служить провоцирующим фактором, вызывающим тиреотоксический криз - грозное осложнение заболеваний щитовидной железы, сопровождающееся тошнотой, рвотой, сердечно-сосудистой недостаточностью, нарушением функции почек, лихорадкой, острым психозом, комой;
Грудное вскармливание: контрастные препараты проникают в грудное молоко. Избыток йода в них может вызвать нарушении функции щитовидной железы у грудных детей. По этой причине при проведении КТ основания черепа с контрастом необходимо: временно перейти на искусственное вскармливание или питание заранее сцеженным грудным молоком. Контраст полностью выводится из организма в течение нескольких часов - в это время необходимо минимум дважды сцеживать излишки молока, чтобы предупредить лактостаз.
Как подготовиться к КТ основания черепа
Проведение компьютерной томографии основания черепа не требует специальной подготовки. В день обследования разрешается легкий завтрак. Следует предупредить обезвоживание, провоцируемое интенсивными физическими нагрузками, приемом алкоголя. Рекомендуется отказаться от курения.
![Трехмерные реконструкции, выполненные с помощью КТ]()
Трехмерные реконструкции, выполненные с помощью КТ
Методика проведения КТ основания черепа
Компьютерная томография проводится на специальном оборудовании - томографе. Это устройство в виде кольца, в котором находится подвижный источник рентгеновских лучей и детекторы, вращающийся по окружности вокруг тела пациента. Для этого в центре томографа имеется отверстие, называемое апертурой. Во время сканирования пациент находится в положении лежа головой к устройству, на столе, проходящем через аппарат.
Само обследование не сопровождается неприятными ощущениями, абсолютно безболезненно. Следует четко выполнять указания медицинского персонала, соблюдать неподвижность. Само сканирование занимает всего пару минут. При использовании контрастных препаратов обследование может длиться более 15 минут. Контраст вводится внутривенно в середине процедуры.
![Методика выполнения КТ основания черепа]()
Методика выполнения КТ основания черепа
Перед обследованием обязательно сообщите сотрудникам нашей клиники об имеющихся у пациента проблемах со здоровьем, хронических заболеваниях, перенесенных травмах, оперативных вмешательствах, аллергических реакциях.
Расшифровка полученных снимков может занять до 2 часов, в зависимости от количества пациентов. Результаты обследования в виде письменного заключения врача-рентгенолога и компакт-диска с полученными изображениями необходимо передать вашему лечащему врачу. Вы также можете получить консультацию врача-диагноста, чтобы узнать, что обнаружило обследование.
Что покажет КТ основания черепа
На снимках, полученных во время обследования, визуализируются анатомические и костные структуры основания черепа, включающие в себя основание мозга, ствол мозга, черепно-мозговые нервы, краниовертебральную область, область таламуса, гипоталамуса, гипофиза, турецкого седла, перекреста зрительных нервов. Исследуется нормальное строение вышеперечисленных анатомических образований, обнаруживаются участки с отклонениями от нормы в виде новообразований, кист, воспалительных процессов. Оценивается протяженность обнаруженных патологий, их связь с окружающими органами и тканями. Изучается влияние патологического процесса на функции ЦНС.
КТ основания черепа при переломах
Перелом основания черепа - последствие избыточных нагрузок на тело человека, соответствующих травмам при падении с высоты, дорожно-транспортных происшествиях, авариях, ударном воздействии. Состояние пациентов в таких случаях оценивается как тяжелое и крайне тяжелое. По этой причине КТ основания черепа у таких больных требует экстренной госпитализации в специализированное лечебное учреждение, оснащенное всем необходимым оборудованием. Обследование проводится с участием узких специалистов, таких как нейрохирурги, хирурги, реаниматологи, травматологи, невропатологи. По этой причине наш медицинский центр напоминает - при подозрении на переломы основания черепа необходимо срочно обратится за специализированной медицинской помощью, а не заниматься самодиагностикой.
Хондросаркома
Хондросаркома - это злокачественная опухоль скелета, происходящая из хрящевой ткани. Может развиваться на неизмененных костях или образовываться в результате перерождения некоторых доброкачественных опухолей. Проявляется прогрессирующими болями и припухлостью в области поражения. В некоторых случаях отмечается местное повышение температуры, расширение сети подкожных вен над зоной опухоли и ограничение движений в близлежащем суставе. Возможно несколько вариантов течения - от относительно благоприятного, с медленным ростом и поздним метастазированием до неблагоприятного, с быстрым ростом и ранним появлением метастазов. Патология диагностируется по результатам рентгенографии, КТ, МРТ. Лечение хирургическое - резекция кости, ампутация или экзартикуляция.
МКБ-10
![Хондросаркома]()
Общие сведения
Хондросаркома - второе по распространенности злокачественное новообразование скелета. По различным данным составляет от 7 до 16% от общего количества злокачественных опухолей костей. Лечение хирургическое - радикальная операция, при которой производится удаление новообразования вместе с окружающими тканями. Примерно в 60% случаев болезнь выявляется у пациентов среднего и пожилого возраста (40-60 лет). Однако страдать этим заболеванием могут люди всех возрастов. Самое раннее появление опухоли отмечено в возрасте 6 лет, самое позднее - в возрасте 90 лет. У мужчин хондросаркома обнаруживается в 1,5-2 раза чаще, чем у женщин.
Причины хондросаркомы
Причины возникновения новообразования не выяснены. Неоплазия может развиваться первично или выявляться при озлокачествлении ряда диспластических процессов. Возможно поражение любых костных структур, однако чаще страдают кости таза, кости плечевого пояса, ребра, плечевые и бедренные кости.
Классификация
С учетом происхождения все хондросаркомы делятся на первичные и вторичные. Первичные, в свою очередь, подразделяются на центральные (растущие внутри кости) и периостальные или периферические (растущие по наружной поверхности кости). Среди вторичных хондросарком выделяют опухоли, возникшие в результате озлокачествления хондром, хондромиксоидных фибром, хондробластом, костно-хрящевых экзостозов или опухолей при хондроматозе костей (болезни Олье-Маффучи). Первичные хондросаркомы выявляются в 90% случаев, вторичные - 10% случаев.
В зависимости от особенностей строения различают типичные, светлоклеточные, анапластические и недифференцированные хондросаркомы. Кроме того, существует классификация степени злокачественности хондросарком с учетом особенностей опухоли, выявленных во время гистологического исследования:
- 1 степень злокачественности. Межклеточное вещество преимущественно состоит из хондроидной ткани, в которой расположены хондроциты с плотными мелкими ядрами. Многоядерных клеток мало, фигуры митоза отсутствуют.
- 2 степень злокачественности. Межклеточное вещество чаще миксоидное, клеток больше, чем при 1 степени злокачественности, отмечаются скопления клеток по периферии долек. Ядра увеличены, выявляются единичные фигуры митоза. Есть зоны разрушения (некроза).
- 3 степень злокачественности. Межклеточное вещество миксоидное. Клетки располагаются в межклеточном веществе группами или тяжами. Выявляется большое количество клеток неправильной или звездчатой формы. Много многоядерных клеток и клеток с увеличенными ядрами. Наблюдаются фигуры митоза. Есть обширные некротические очаги.
Чем выше степень злокачественности хондросаркомы, тем больше вероятность раннего образования метастазов и возникновения рецидива при хирургическом удалении опухоли.
Симптомы хондросаркомы
Клиническая картина зависит от вида и степени дифференцировки клеток опухоли. При высокодифференцированной хондросаркоме болезнь может развиваться в течение нескольких лет. Как правило, такое течение наблюдается у больных в возрасте 30 лет и старше. При изучении истории болезни выясняется, что пациента длительное время беспокоили сначала неприятные ощущения, а потом слабые, медленно прогрессирующие боли в области поражения. Болевой синдром мог усиливаться в ночное время, ослабевал под действием обезболивающих препаратов, но не исчезал после отдыха.
Опухоль может достигать значительных размеров, вызывать визуально видимую деформацию или определяться при пальпации. В ряде случаев также отмечается повышение температуры кожи и расширение подкожных вен над областью хондросаркомы, хотя эти симптомы выражены не так значительно, как при других злокачественных опухолях костей. Иногда выявляется ограничение движений в близлежащем суставе.
При низкодифференцированных формах хондросаркомы наблюдается более бурное течение. Как правило, до обращения пациента к врачам проходит не более 1-3 месяцев. Основной жалобой, как и в предыдущем случае, является боль в месте поражения, иногда усиливающаяся в ночное время и не исчезающая после отдыха. Однако при низкодифференцированных формах опухоли боли устойчивее к действию анальгетиков.
Болевой синдром отличается постоянством и быстро нарастает. Припухлость также увеличивается быстрее, чем при относительно благоприятном варианте течения. Повышение местной температуры, ограничение движений в расположенном рядом суставе и расширение подкожных вен встречается с той же частотой, что и при высокодифференцированных опухолях. Низкодифференцированные формы хондросаркомы чаще возникают в молодом и юношеском возрасте и отличаются более высокой частотой рецидивов.
При всех видах хондросарком большого размера, расположенных в области костей таза, может наблюдаться ряд характерных симптомов, обусловленных давлением опухоли на соседние органы и ткани. При сдавлении седалищного сплетения возникают боли, отдающие в ягодицу и по задней поверхности бедра. При сдавлении шейки мочевого пузыря возможны затруднения мочеиспускания. При сдавлении подвздошной вены может развиться односторонний отек нижней конечности на стороне поражения.
Отдаленные метастазы чаще возникают при низкодифференцированных формах хондросарком. Злокачественные клетки попадают в другие органы с током крови (гематогенным путем). Обычно поражаются регионарные лимфатические узлы, печень, легкие и головной мозг. Для периостальных хондросарком характерен особый вид метастазирования. Вокруг таких опухолей существует реактивная зона - область, отделяющая новообразование от окружающих тканей. Периферические хондросаркомы прорастают эту зону и образуют так называемые прыгающие метастазы (сателлитные узлы) - очаги злокачественных клеток, не имеющие непосредственной связи с основной опухолью. Такие очаги располагаются либо в самой реактивной зоне, либо поблизости от нее в толще здоровых тканей.
Диагностика
Диагностику заболевания осуществляют врачи-онкологи, к которым больных обычно направляют травматологи и ортопеды. Клинические симптомы при хондросаркоме неспецифичны, поэтому диагноз выставляется на основании дополнительных исследований. При центральных хондросаркомах на рентгеновских снимках обнаруживается очаг деструкции неправильной формы с нечеткими очертаниями, обычно расположенный в метадиафизе. Иногда опухоль выглядит крапчатой из-за мелких очажков обызвествления. Кость вокруг очага вздута.
При периферических хондросаркомах на рентгенограммах выявляется контрастное образование бугристой формы с нечеткими контурами, расположенное на наружной поверхности кости. В переходной зоне между нормальной костью и измененной опухолевой тканью отмечается неравномерное уплотнение. Кортикальный слой кости в этой зоне неровный. Как и при центральной хондросаркоме, может выявляться крапчатость из-за участков обызвествления.
Для уточнения диагноза выполняют трепанобиопсию кости. Забор материала производится из нескольких участков опухоли. В процессе гистологического исследования определяется степень злокачественности хондросаркомы. Как правило, перечисленных исследований достаточно для точной диагностики. В отдельных случаях могут понадобиться дополнительные методы: МРТ кости, компьютерная томография и остеосцинтиграфия. Для выявления метастазов в легких пациентам с хондросаркомой назначается рентгенография грудной клетки.
Лечение хондросаркомы
Пациенты госпитализируются в отделение онкологии. Большинство хондросарком устойчивы к химиотерапии и лучевой терапии, поэтому основным способом лечения при этом заболевании является хирургическая операция. При хондросаркомах 1 и 2 степени злокачественности выполняется удаление новообразования. Хондросаркому иссекают единым блоком вместе с тканями реактивной зоны и некоторым запасом окружающих здоровых тканей, чтобы в ране не осталось опухолевых клеток. В зависимости от размера и локализации опухоли проводится либо резекция части кости, либо ее удаление с последующим эндопротезированием.
При хондросаркомах 3 степени злокачественности может потребоваться радикальное хирургическое вмешательство - ампутация или экзартикуляция пораженной конечности. Если из-за общих противопоказаний или труднодоступности опухоли ее оперативное удаление невозможно, проводится химио- и лучевая терапия. Однако эти методы являются лишь паллиативными, направленными на замедление роста хондросаркомы, и не обеспечивают излечения.
Прогноз и профилактика
Прогноз при хондросаркомах всегда серьезный. Исход зависит от степени злокачественности неоплазии. При 1 степени пятилетняя выживаемость составляет 90%, при 2 степени - 45-60%, при 3 степени - около 30%. Профилактические мероприятия не разработаны.
Хондрома
Хондрома - это доброкачественное новообразование, состоящее из клеток зрелого хряща (как правило, гиалинового). Может развиваться на любых костях, однако чаще всего поражаются трубчатые кости кисти. Склонна к медленному росту, течение благоприятное. На начальных этапах клиника скудная или отсутствует, поэтому небольшие хондромы часто становятся случайной находкой при проведении рентгенографии по другому поводу. По мере роста возникает деформация, при расположении в области сустава возможны артралгии, реже - синовит. Диагноз выставляется на основании рентгенологического исследования и данных биопсии. Лечение оперативное - иссечение опухоли.
Хондрома - это доброкачественная опухоль, состоящая из зрелых хрящевых клеток. Обычно растет медленно, и долгое время может оставаться бессимптомной. Симптомы обычно появляются при сдавлении расположенных поблизости анатомических структур. Течение благоприятное, однако, возможно перерождение в злокачественную опухоль (хондросаркому), поэтому требуется хирургическое удаление. Лечение осуществляется в плановом порядке в условиях стационара. Опухоли склонны к рецидивированию.
В практике специалистов в сфере ортопедии и травматологии хондромы встречаются достаточно часто. Они составляют примерно 10-12% от общего числа новообразований скелета. Страдают преимущественно пациенты молодого возраста (от 10 до 30 лет), пик заболеваемости приходится на 11-16 лет.
Причины хондромы
Причины развития неизвестны. Обычно хондромы бывают солитарными (одиночными). При наличии диспластических процессов возможно образование множественных вторичных опухолей. Источником хондромы может являться нормальный хрящ (ростковый, суставной), участки дистопированного (расположенного в нетипичном месте) хряща или очаги эмбрионального неокостеневшего хряща.
Патанатомия
Чаще всего хондрома возникает на костях фаланг пальцев, пястных костях кисти и метатарзальных костях стопы. Из длинных трубчатых костей наиболее часто поражается бедренная кость, реже - плечевая кость и кости голени. Может также развиваться на плоских костях, в мягких тканях, хрящах гортани и околоносовых пазух. Представляет особую опасность при образовании в области основания черепа, поскольку при интракраниальном расположении сдавливает мозговые структуры.
При локализации в области носовых пазух вызывает затруднение носового дыхания, при образовании в области эпифизов трубчатых костей может стать причиной синовита. В отдельных случаях возможны патологические переломы. Хондромы проксимальных отделов плечевой и бедренной костей, а также хондромы грудины, лопатки и таза достаточно часто подвергаются злокачественному перерождению. При этом озлокачествление хондром коротких трубчатых костей (стопы, кисти) встречается чрезвычайно редко и считается казуистическим случаем.
В зависимости от расположения хондромы по отношению к кости в ортопедии и клинической онкологии выделяют два вида опухолей:
- Энхондрома. Образуется внутри кости. В процессе роста энхондрома деформирует кость, как бы распирая ее изнутри.
- Экхондрома. Образуется на наружной поверхности кости, растет в сторону мягких тканей.
Симптомы хондромы
Клиническое течение в значительной степени зависит от локализации неоплазии. Как правило, на начальных стадиях заболевание протекает бессимптомно. Чрезвычайно медленный рост, характерный для этого новообразования, приводит к тому, что с момента образования хондромы до появления первых признаков болезни может пройти несколько лет или даже десятилетий. Однако, возможны и исключения (при расположении в области трахеи, околоносовых пазух, основания черепа и т. д.), поскольку при такой локализации хондромы рано начинают сдавливать расположенные рядом анатомические образования.
При локализации в области мелких трубчатых костей (кисть, стопа) в ходе пальпации в некоторых случаях выявляется небольшое безболезненное утолщение. Боли могут возникать в тех случаях, когда новообразование достигает значительных размеров и начинает сдавливать нервные стволы, расположенные по боковым поверхностям пальцев. При образовании хондромы в метафизо-диафизарной и метафизо-эпифизарных областях длинных трубчатых костей симптомы на начальных стадиях также отсутствуют. По мере роста опухоли появляются проходящие артралгии (боли в суставе без признаков воспаления). Если хондрома достигает достаточно крупных размеров, возможно развитие синовита.
При локализации хондромы в области грудной клетки в 90% поражаются ребра. В подавляющем числе случаев хондрома образуется в месте перехода костной части ребра в хрящевую и чаще всего обнаруживается в области II-IV ребра. На начальных стадиях течение бессимптомное. По мере роста опухоли вначале возникает косметический дефект, а уже через некоторое время (иногда - несколько лет) присоединяется болевой синдром. Несмотря на то, что хондрома является доброкачественной опухолью, она проявляет тенденцию к прорастанию внутреннего листка надкостницы и плевры. При вовлечении в процесс плевры у больного появляется боль в грудной клетке, усиливающаяся при дыхании.
Осложнения
Увеличиваясь в размере, хондрома может прорастать значительную часть поперечника кости. При этом прочная костная ткань замещается более мягкой и нежной хрящевой, поэтому опухоли больших размеров, вне зависимости от их локализации, могут становиться причиной патологических переломов. Характерными признаками таких переломов являются резкая боль, крепитация и патологическая подвижность в области повреждения в отсутствие травмы или после незначительной травмы.
Хондромы, растущие из основания черепа и расположенные в его полости, рано начинают сдавливать головной мозг. Опухоль увеличивается медленно, поэтому симптомы сдавления возникают постепенно. Возможны головокружения, головные боли, нарушения координации движений (вестибулярная атаксия), параличи и парезы конечностей. Рост хондромы в области околоносовых пазух становится причиной затрудненного дыхания через нос.
Диагностику осуществляют врачи-онкологи и травматологи-ортопеды. Из-за скудной и неспецифической симптоматики основным методом диагностики хондром являются дополнительные инструментальные исследования. Эндохондромы в области костей скелета (кроме основания черепа) можно обнаружить в ходе обычного рентгенологического исследования. Для постановки диагноза экзохондромы, как правило, приходится применять другие методики, поскольку хрящевая опухоль не рентгеноконтрастна и не видна на фоне мягких тканей.
Для эндохондромы в области коротких трубчатых костей (кисти, стопы) характерно ограниченное гомогенное просветление, которое зачастую занимает весь поперечник кости. На рентгенограммах длинных трубчатых костей хондромы выглядят, как облаковидные просветления неправильной формы, иногда - с тенями обызвествления. Рентгенологическая картина хондромы в ряде случаев может напоминать однокамерную костную кисту, локализованный очаг фиброзной дисплазии и гигантоклеточную кистозную опухоль. Необходимо также исключить признаки озлокачествления хондромы. Для уточнения диагноза выполняют биопсию с последующим гистологическим исследованием материала.
Типичная хондрома из гиалинозной хрящевой ткани представляет собой лакуны, в центре которых лежат одиночные клетки, разделенные нормальным, миксоматозным или отечным веществом. При изменении межклеточного вещества клетки часто имеют звездчатую или веретенообразную форму. В межклеточном веществе обычно обнаруживаются очаги кальцификации.
Ядра клеток доброкачественной опухоли мелкие, слегка скругленные. Одна клетка обычно содержит одно ядро. При злокачественном перерождении ядра становятся более крупными, «пухлыми», круглыми или приобретают неправильную форму. Возрастает количество двухядерных клеток. На начальных стадиях озлокачествления в хондроме сохраняются очаги неизмененных хрящевых клеток, поэтому при подозрении на злокачественное перерождение опухоли рекомендуется брать биоптат в нескольких участках. Для обнаружения экзохондром применяется магнитно-резонансная томография и компьютерная томография с биопсией опухоли.
При выявлении хондром основания черепа и околоназальных синусов рентгенография также малоинформативна, поэтому в таких случаях используется КТ или МРТ. Перед началом инструментальной диагностики врач-невролог или нейрохирург проводит неврологическое обследование для уточнения локализации поражения. В ходе КТ черепа и МРТ головного мозга осуществляется точное определение местонахождения хондромы, ее формы, размеров и отношения к соседним органам и тканям. В заключение для уточнения диагноза выполняется биопсия (если это возможно при данном месторасположении хондромы).
Лечение хондром
Лечение оперативное, осуществляется в плановом порядке в условиях специализированного отделения (обычно онкологического). Тактика и объем хирургического вмешательства определяются с учетом локализации опухоли и ее влияния на соседние органы и ткани. Хондромы, расположенные в области коротких трубчатых костей стопы и запястья, удаляются в пределах здоровых тканей. При необходимости проводится пластика костного дефекта гомо- или аллотрансплантатом. Хондромы в области длинных трубчатых костей, а также грудины, лопатки и таза необходимо удалять радикально, следуя принципам оперативного лечения пациентов со злокачественными новообразованиями (хондросаркомами), поскольку в этом случае достаточно велик риск озлокачествления опухоли.
Тактика лечения хондромы в области основания черепа выбирается с учетом ее локализации, размеров, отношения к соседним тканям, наличия сопутствующих заболеваний, общего состояния больного и риска развития осложнений. Стандартом является хирургическое лечение. Возможно традиционное хирургическое удаление опухоли костей черепа, малоинвазивное оперативное вмешательство (с использованием эндоскопа, введенного через носовые ходы) или радиохирургическая операция.
При лечении хондром основания черепа также может использоваться лучевая терапия. Обычно она применяется на этапе подготовки к оперативному вмешательству для уменьшения размера новообразования или в послеоперационном периоде для полного уничтожения клеток опухоли, которые могли остаться после операции. Вместе с тем, в ряде случаев лучевая терапия становится основным методом лечения хондром основания черепа. Это происходит при наличии противопоказаний и проведению хирургического вмешательства, например, при наличии серьезных соматических заболеваний или тяжелом общем состоянии больного.
![Хондросаркома]()
Данный вид рака представляет собой опухоль злокачественного характера, которая идет из хрящевой ткани. Это может быть перерожденная из доброкачественного образования опухоль или же опухоль, которая развивается на костях, не претерпевающих изменений. Это второе по степени распространения среди рака скелета заболевание.
Возраст, в котором данное заболевание обычно появляется, - сорок-шестьдесят лет. Причем мужчины болеют этим видом рака чаще, чем женщины.
Одним из признаков данного заболевания становится припухлость кожи в области очага рака и усиливающийся болевой синдром. Также может наблюдаться увеличение венозной сетки над злокачественной опухолью, некоторое повышение температуры, ограниченность движений в суставе.
Хондросаркома чаще всего требует хирургического вмешательства, причем опухоль удаляется с соседними тканями.
Причины
Нельзя с точной уверенностью говорить о причинах возникновения хондросаркомы. Чаще всего поражаются такие кости, как тазовые, кости плечевого пояса, реберные и бедренные.
Происхождение
По своему происхождению хондросаркома бывает двух видов:
Первичная
Такой вид хондросаркомы выявляется в 90% случаев и делится еще на два подвида:
- Периостальный (этот подвид хондросаркомы растет снаружи костной поверхности);
- Центральный (этот подвид хондросаркомы образуется внутри кости).
Вторичная
Выявляется в 10% случаев и образуется из следующих видов опухолей:
- Хондробластомы;
- Хондромы;
- Фибромы хондромиксоидного характера;
- Экзостозы костно-хрящевого характера;
- Опухоли при заболевании Олье-Маффучи.
Особенности строения
Если смотреть на строение хондросаркомы, то выделяют следующие ее подвиды:
- Недифференцированные;
- Анапластические;
- Светлоклеточные;
- Типичные.
Степень злокачественности
По этому признаку учитываются результаты гистологических исследований, на основе которых определяется степень злокачественности хондросаркомы:
- I степень злокачественности: отсутствие фигур митоза, малое количество многоядерных клеток, в хондроидной ткани присутствуют плотные мелкоядерные хондроциты;
- II степень злокачественности: наличествуют клеточные скопления по долевой периферии, наблюдается увеличение ядер, есть зоны разрушения и некоторые фигуры митоза, межклеточное вещество, таким образом, миксоидного характера;
- III степень злокачественности: также миксоидное межклеточное вещество с расположением в нем клеток группами и тяжами, большое количество клеток неправильной формы, наличествует большое количество многоядерных и увеличенноядерных клеток, есть митоз и обширные области разрушения.
![]()
От степени злокачественности данного вида рака напрямую зависит, как быстро будут образовываться метастазы при течении болезни, и возможен ли рецидив в случае удаления патологического новообразования.
Симптомы
Симптоматика и развитие болезни зависит от вида хондросаркомы.
На протяжении многих лет болезнь развивается при хондросаркоме высокодифференцированного характера. Вначале беспокоят некомфортные ощущения в зоне поражения, потом постепенно появляется болевой синдром, который начинает прогрессировать, усиливается ночью и не исчезает после моментов отдыха. Опухоль при этом виде рака может быть довольно большой и хорошо определяется при ощупывании больного места. Над опухолью могут быть увеличены вены, повышается местная температура, в расположенном рядом суставе могут быть ограничены движения.
Более стремительное течение болезни наблюдается при хондросаркоме низкодефференцированного характера. Обычно симптомы появляются в первые месяцы течения заболевания. Появляется болевой синдром, усиливающийся ночью и не проходящий после моментов отдыха. Он быстро нарастает, стремительно растет и опухоль. Наблюдается местное повышение температуры, расширение вен над опухолью, движения в соседнем суставе становятся ограничены. Такая форма хондросаркомы часто может рецидивировать через некоторое время после операции.
Если хондросаркома расположена в тазовых костях, то опухоль производит давление на близкорасположенные ткани, органы. Из-за этого возникает болевой синдром по задней бедренной поверхности и в ягодице, может быть затруднено мочеиспускание, может отекать нижняя конечность.
Возникновение метастаз отдаленного характера возможно у хондросаркомы низкодифференцированной формы. Как правило, местом поражения становятся лимфоузлы, легкие, головной мозг и печень.
Особый вид сателлитных метастаз появляется при периостальной хондросаркоме. Эти метастазы не имеют связи с основной опухолью, располагаются в здоровых тканях или в реактивной зоне.
Диагностирование
Вначале пациент направляется к онкологу, который осматривает пораженное место и назначает различные исследования: рентгенографию, трепанобиопсию, и, как дополнительные исследования, - МРТ, КТ и остеосцинтиграфию.
Рентгенография
Если у пациента центральная хондросаркома, то на снимке будет неправильной формы очаг разрушения, его края будут нечетки, из-за мелких очагов опухоль может принимать крапчатый вид.
Если у больного периферическая хондросаркома, то на рентгене будет видна бугристой формы контрастная опухоль, ее края будут нечетки, располагаться она будет на наружной костной поверхности. Будет неравномерное уплотнение между опухолью и нормальной костью. Опухоль может иметь крапчатый вид, кортикальный костный слой будет неровным.
Трепанобиопсия кости
При этом методе исследования забирается биоматериал из разных участков образования. Производится гистологическое исследование, в результате которого будет определена степень злокачественности рака.
Лечение
Основной способ лечения хондросаркомы - хирургический, так как этот вид рака, в основном, устойчив к лучевой терапии и химиотерапии.
Если у пациента злокачественная хондросаркома I или II степени, то опухоль удаляется хирургическим путем. Вначале ее иссекают с тканью реактивной зоны и запасом близлежащей здоровой ткани. Далее может быть произведена резекция части кости или полное ее удаление (это зависит от места и размеров опухоли). Далее возможно эндопротезирование.
При злокачественной саркоме III степени возможна экзартикуляция или ампутация конечности, где находится хондросаркома.
Если удаление опухоли невозможно, то делается химиотерапия или лучевая терапия. Эти методы могут замедлить рост хондросаркомы.
Прогноз
Исход болезни будет зависеть от степени злокачественности хондросаркомы.
Выживаемость при I степени - девяносто процентов.
Выживаемость при II степени - пятьдесят процентов.
Выживаемость при хондросаркоме III степени - тридцать процентов.
В клинике Onco.Rehab применяются методы интегративной онкологии, поэтому при обращении к нам Вы можете рассчитывать на эффективное лечение и максимальное увеличение продолжительности жизни.
Читайте также:









