КТ, МРТ при инвазивной макроаденоме гипофиза
Добавил пользователь Евгений Кузнецов Обновлено: 09.01.2026

МРТ аденомы гипофиза является информативным способом дифференциальной диагностики новообразований в области железы. Исследование основано на свойствах магнитного поля и проводится с помощью сложной аппаратуры, преобразующей полученную информацию в послойные фото сканируемой области.

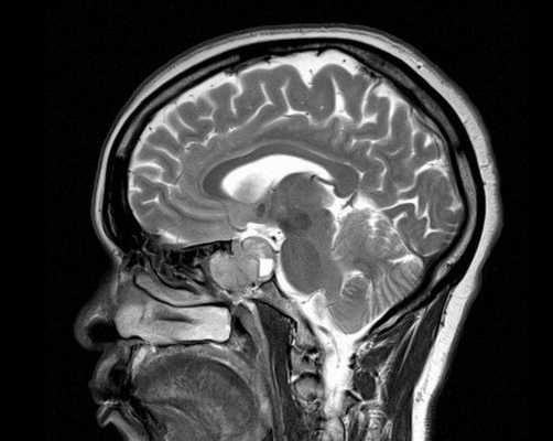
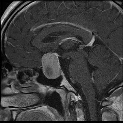
Снимок МРТ головного мозга в двух проекциях
Как выглядит аденома гипофиза на МРТ?
Гипофиз - небольшая железа, расположенная в ямке турецкого седла клиновидной кости. Ее размеры в норме не превышают 2 см. От полости черепа гипофиз ограничен диафрагмой седла, а участок задней доли железы соединяется с гипоталамусом.
Наружная оболочка анатомического образования представляет собой соединительнотканную капсулу, покрывающую переднюю и заднюю доли гипофиза. Основная часть - аденогипофиз - составляет 80% от веса железы. Задняя доля - нейрогипофиз - представлена воронкой и нервной частью.
Гипофиз вырабатывает гормоны, которые регулируют важные физиологические процессы в теле человека:
- соматотропин - отвечает за рост и развитие;
- тиреотропин - влияет на работу щитовидной железы;
- адренокортикотропный гормон - стимулирует деятельность коры надпочечников;
- пролактин - влияет на уровень прогестерона в яичниках (у женщин), усиливает лактацию;
- гонадотропные гормоны - регулируют функции половых желез у обоих полов;
- меланоцитотропин - участвует в распределении меланина;
- окситоцин - стимулирует гладкую мускулатуру матки, вызывая сокращение мышечных волокон;
- вазопрессин - регулирует водно-солевой баланс организма.
Патологические процессы, протекающие в тканях железы, влияют на гормональную регуляцию деятельности всего организма.
Аденома гипофиза встречается чаще других заболеваний, поражающих этот отдел головного мозга. Опухоль выявляют при проведении МРТ турецкого седла, этот метод диагностики является наиболее информативным и точным.
В процессе анализа снимков, полученных в результате магнитно-резонансной томографии, визуализируют структуру железы и окружающих тканей, прослеживается форма и размеры гипофиза. Малейшие изменения строения будут замечены врачами и позволят диагностировать аденому, независимо от ее размера.
О наличии новообразования в области турецкого седла сигнализируют следующие симптомы:
- деформация дна гипофизарной ямки;
- асимметрия железы;
- неоднородная структура гипофиза очагового характера;
- смещение воронки от срединной линии.
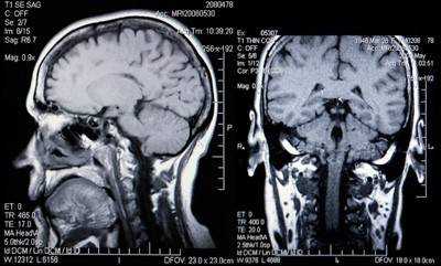
Опухоль гипофиза на снимке МРТ
Аденома может воздействовать на окружающие ткани, сдавливая нервные окончания и затрудняя диагностику заболеваний головного мозга. Новообразование располагается в области турецкого седла, но возможно прорастание опухоли в костные пазухи, желудочки головного мозга, базальную поверхность больших полушарий. На фото тонких срезов изучаемой зоны все эти патологические изменения хорошо видны. МРТ показывает границы и локализацию опухоли гипофиза, помогает классифицировать новообразование и назначить результативное лечение.
МРТ аденомы гипофиза с контрастом
Проведение магнитно-резонансной томографии аденомы гипофиза всегда требует введения контрастного вещества. Аппарат выявляет структурные изменения и позволяет заподозрить диагноз уже в процессе нативного обследования, но, при малых размерах опухоли и для дифференцирования с иными патологиями, требуется томография с применением специального раствора.
МРТ аденомы гипофиза с контрастом применяется при подозрении на развитие онкологического процесса. Дифференцировать доброкачественную опухоль от аденокарциномы поможет введение раствора солей гадолиния во время исследования.
Процедура не требует специальной подготовки и начинается с серии нативных снимков, на которых отчетливо видна локализация и размеры новообразования. После внутривенного введения контраста томограф покажет сеть кровеносных сосудов, питающих эту область. Благодаря визуализации характера кровоснабжения опухоли, выявляют особенности ее контура и структуры. Это позволяет исключить злокачественный процесс, который радикально отличается от доброкачественного образования.
Томография с контрастированием безопасна для человека, препарат гадолиния выводится почками в течение суток. Попадая в кровь, раствор повышает четкость изображения поврежденных участков при МРТ, позволяет определить степень развития патологии и выявить заболевание на ранних стадиях. Такой метод отличается высокой информативностью и позволяет оценить малейшие изменения состояния тканей железы.
При наличии опухоли, МРТ гипофиза проводят с контрастом, если нет противопоказаний к его использованию. Обследование не назначают в следующих случаях:
- сопутствующие заболевания крови;
- прием лекарственных средств на основе бета-блокаторов;
- аллергия на контрастное вещество (встречается крайне редко);
- тяжелые нарушения работы почек;
- беременность в I триместре без согласования с врачом;
- наличие металлических имплантов.
МРТ аденомы гипофиза с контрастом проводят с осторожностью при некоторых сердечно-сосудистых заболеваниях и психических отклонениях.
Микроаденомы на МРТ-снимках
Малый размер опухоли затрудняет ее диагностирование, такие процессы могут протекать бессимптомно. Но выявление новообразования на ранних стадиях повышает шансы на успешное лечение и благоприятный прогноз в дальнейшем.
Магнитно-резонансное обследование позволяет увидеть измененные участки и определить микроаденомы, чей размер не превышает 10 мм. Кистозная форма отличается наличием четких границ, при МРТ такие опухоли проявляются и имеют вид темного пятна на снимках.
Другие методы исследования в этом случае малоэффективны. Благодаря МРТ головного мозга, кистозную микроаденому дифференцируют от других процессов, имеющих похожие признаки:
- краниофарингиома;
- арханоидальная киста;
- кистозный процесс кармана Ратке.
Метод определяет заболевание и помогает предугадать последствия развития опухоли, которые зависят от локализации очага поражения.

Киста кармана Ратке на МРТ
Размеры и виды аденом гипофиза
Аденомы гипофиза классифицируют в зависимости от размера и местоположения, а также от изменения выработки определенных гипофизарных гормонов.
По величине различают:
- пикоаденомы - их размер не превышает 3 мм;
- микроаденомы - диаметром от 3 до 10 мм;
- макроаденомы - от 10 до 30 мм величиной, или опухоли, разросшиеся за пределы турецкого седла;
- гигантские аденомы - размером более 30 мм.
Небольшие образования часто протекают практически бессимптомно. При макроаденоме пациент может жаловаться на головную боль, нарушения зрения, головокружения, обмороки.
Если аденома не выходит за границы турецкого седла, ее называют эндоселлярной. Опухоли, разрастающиеся за пределами костного образования, именуют эндоэкстраселлярными.
В отношении выработки гормонов различают активные аденомы (влияют на синтез гипофизарных гормонов) и неактивные, чье развитие не сказывается на работе эндокринной системы организма. Активные образования подразделяют на виды в зависимости от гормона, образование которого они стимулируют:
- соматотропинома - увеличивает количество соматотропина, вызывает гигантизм у детей и акромегалию у взрослых;
- пролактинома - усиливает выработку пролактина и стимулирует образование молока в грудных железах;
- гонадотропинома - является причиной роста гонадотропных гормонов, что приводит к нарушениям со стороны работы органов половой системы;
- тиреотропинома - стимулирует синтез тиреотропина, провоцирует заболевания щитовидной железы,
- болезнь Иценко-Кушинга - при избыточной выработке АКТГ повышается уровень гормонов, синтезируемых корой надпочечников;
- смешанные аденомы - приводят к усилению выработки сразу нескольких гормонов.
В зависимости от вида и размера аденомы гипофиза, пациенты жалуются на специфические симптомы, наличие которых является показанием для МРТ головного мозга:
- слепота, косоглазие, диплопия, выпадение полей зрения;
- головные боли, головокружения;
- ожирение или дистрофия;
- снижение либидо, эректильная дисфункция;
- гинекомастия у мужчин и галакторея у обоих полов;
- бесплодие;
- гигантизм у детей и акромегалия у взрослых.
Характер симптомов зависит от вида опухоли гипофиза и от локализации процесса.
Фото томографии аденомы гипофиза
Опухоль гипофиза на МРТ выглядит как участок округлой формы с четкими границами

Макроаденома гипофиза на снимке МРТ

Выявление микроаденомы гипофиза с помощью МРТ: изображения в разных проекциях

Гигантская аденома гипофиза на МРТ
МРТ или КТ гипофиза при опухоли: что лучше?
Обследование головного мозга и гипофиза с помощью магнитного поля является наиболее информативным и результативным по сравнению с рентгенологическим и ультразвуковым излучением.
КТ эффективна в оценке состояния костных структур и полостных образований. Гипофиз представлен мягкими тканями, поэтому магнитно-резонансная томография дает точную картину, показывает малейшие изменения строения и формы железы.
При подозрении на опухоль гипофиза компьютерную томографию назначают в тех случаях, когда есть противопоказания к магнитно-резонансному обследованию. Для повышения качества визуализации во время процедуры применяют контрастирование, благодаря которому картина получается более полной и информативной.
Клиника “Магнит” проводит магнитно-резонансную томографию головного мозга и гипофиза с использованием современного оборудования, что гарантирует достоверность и точность результатов обследования.
МРТ гипофиза что показывает

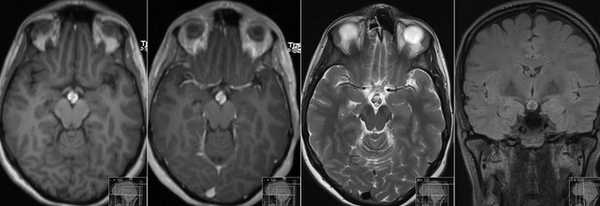
МРТ гипофиза при краниофарингиоме: сканы в разных проекциях
Магнитно-резонансная томография - один из высокоинформативных способов инструментальной диагностики. Исследование показывает мельчайшие изменения в структуре органов, предположительный характер патологии, взаимоотношение с близлежащими структурами. Скульптурирование многоплоскостных изображений во время МР-сканирования подразумевает использование принципа ядерно-магнитного резонанса, но не рентгеновских лучей. Атомы водорода в клетках воды, попав в поле, генерируемое аппаратом, начинают перестраиваться, при обретении привычного положения выделяется определенное количество энергии, которое фиксируют датчики, а обрабатывает компьютерная программа. Какого-либо вредоносного воздействия на организм во время диагностической процедуры нет, при условии отсутствия в теле металлических составляющих. Врач получает возможность рассматривать патологический очаг в любой плоскости, что невозможно при обычной рентгенографии или КТ.

Анатомия гипофиза
Гипофиз - придаток головного мозга весом менее половины грамма, расположенный в особом углублении - ямке турецкого седла клиновидной кости черепа. Состоит из трех долей - передней (аденогипофиза), промежуточной и задней (нейрогипофиза). Гормоны, вырабатываемые питуитарной железой, влияют на рост человека, обмен веществ, гомеостаз, репродуктивную функцию и пр. Сделать МРТ содержимого турецкого седла обосновано при появлении жалоб, свидетельствующих о поражении нижнего мозгового придатка, изменениях в гормональном профиле. При новообразованиях небольшого размера для более четкой визуализации исследование всегда проводят с контрастированием.
Что показывает МРТ гипофиза:
- доброкачественные и злокачественные новообразования, в том числе микро- и макроаденомы;
- кисты;
- аномалии питуитарной железы и гипоталамуса, сочетание их с дефектами прочих срединных структур;
- пустое турецкое седло (уменьшение в размерах железы на фоне климакса, некротизации, разрыва неопухолевой кисты, хирургического вмешательства).
Какой врач назначает МРТ гипофиза?

На МРТ гипофиза чаще направление выдает эндокринолог
Можно значительно повысить качество получаемых изображений гипофиза при проведении МРТ, если выполнить контрастирование, то есть ввести в кровеносное русло специальное контрастное вещество. При этом информативность проводимой томографии возрастает, позволяя уточнить локализацию, размер образования, его связь с окружающими структурами и интенсивность кровообращения. МРТ гипофиза с контрастированием практически всегда выполняют перед оперативным вмешательством по удалению аденомы или другой опухоли данной области мозга.
МРТ питуитарной железы может назначить любой специалист: эндокринолог, онколог, невролог, нейрохирург, терапевт, гинеколог, андролог. Так как исследование абсолютно безопасно, МР-сканирование головного мозга сделают и при самостоятельном обращении. Чтобы пройти МРТ гипофиза бесплатно, необходимо направление от консилиума врачей или онколога, подозревающего злокачественное новообразование. Обратиться можно в четко указанную клинику, с которой у медучреждения заключен договор.
Состояния, при которых обосновано провести углубленную диагностику состояния гипофиза:
- головные боли рецидивирующего характера, необъяснимые с помощью прочих способов исследования (могут сочетаться с кратковременными потерями сознания), парестезии на лице;
- прогрессирующее ухудшение зрения (сужение или выпадение полей диплопия, слепота, косоглазие);
- сбой/отсутствие менструального цикла, бесплодие, галакторея вне лактации, задержка полового развития;
- гинекомастия, снижение потенции и либидо у мужчин, сексуальная дисфункция при исключении сосудистых, неврологических и психоэмоциональных причин, изменения в спермограмме, свидетельствующие об инфертильности;
- отклонение от нормальных показателей уровней гормонов в крови, вырабатываемых питуитарной железой: пролактина, тиреотропина, соматотропина, ЛГ и ФСГ, АКТГ, окситоцина, вазопрессина, меланоцитотропина (актуально для гормонопродуцирующих опухолей);
- гигантизм с равномерным развитием скелета, хрящей, тканей, органов у детей или акромегалия у взрослых пациентов с завершившимся половым созреванием (укрупнение верхней челюсти, появление межзубных промежутков, диспропорции за счет укрупнения дистальных отделов конечностей, башенный череп и пр.);
- карликовость;
- избыточный вес с преимущественным распределением жира в области лица, шеи, плечевого пояса с одновременной атрофией мышц рук и ног, появление красно-фиолетовых растяжек-стрий на коже в области бедер, предплечий, образование кровоподтеков при незначительном нажатии, пигментация эпидермиса в местах трения, гирсутизм у женщин и пр.;
- плаксивость, бессонница, тахикардия, похудание, экзофтальм, сухость кожных покровов, выпадение/ломкость волос и ногтей;
- полиурия (выработка неконцентрированной мочи до 5 и более литров в сутки), жажда, частое мочеизнурение и др.
Основные нозологии, при которых МРТ гипофиза проводят в качестве подтверждения и определения дальнейшей тактики ведения:
- акромегалия, гигантизм;
- болезнь Иценко - Кушинга;
- несахарный диабет;
- синдром Шихана;
- карликовость;
- гипер- и гипотиреоз;
- гипогонадизм гипофизарного генеза;
- гиперпролактинемия.
Информативно ли МРТ гипофиза без контраста?

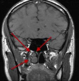
МРТ гипофиза с контрастом и без: А- гипофиз нормальных размеров (обведено кругом), В - симметричные кальцификации (стрелки)
Вопрос что лучше сделать: “МРТ гипофиза с контрастом или без?” - должен решить врач. Последний порекомендует приемлемые для получения качественных изображений характеристики аппарата: сканы, сделанные с помощью низкопольных аппаратах с открытым контуром малоинформативны. Оптимально пройти обследование на томографе с мощностью от 1,5 Тесла.
Учитывая размер гипофиза (с горошину), МРТ преимущественно выполняют с введением контрастного вещества. В качестве красителя используют растворимые соли (хелаты) гадолиния, которые не представляют опасности для организма и при накоплении тканями обеспечивают лучшую визуализацию. Побочные эффекты встречаются менее, чем у 1% людей. Контрастирование ограничивают:
- значимая аллергическая реакция (по типу отека Квинке) на гадолиний в анамнезе;
- беременность независимо от срока;
- продвинутая форма почечной недостаточности, подразумевающая проведение заместительной очистительной терапии.
МРТ гипофиза с контрастом в детском возрасте до 12 лет проводят в стенах больницы. Усиленную магнитно-резонансную томографию назначают в рамках предоперационной оценки перед удалением опухоли (в том числе аденомы) или кисты мозгового придатка, для определения характера изменений тканей после вмешательства (позволяет дифференцировать сформировавшийся рубец от рецидива новообразования) и пр. В качестве дополнительного способа проводят еще и КТ, которая лучше демонстрирует изменения, исходящие из костных структур и показывает патологии турецкого седла, кровоизлияния в питуитарную железу. МРТ гипофиза без контраста малоинформативна.
Подготовка к МРТ гипофиза

Для получения качественных снимков во время процедуры МРТ гипофиза следует лежать неподвижно
С собой в клинику необходимо взять результаты предыдущих исследований, выписки из стационара, касающихся заболевания, направление, паспорт, деньги. МРТ гипофиза не подразумевает каких-либо подготовительных мероприятий и может быть выполнена в момент обращения. Есть ряд нюансов:
- Перед процедурой МРТ следует сдать на хранение все изделия, содержащие металл - ключи, банковские карты, монеты, часы и пр. Одежда предпочтительнее свободного кроя, без молний.
- До начала диагностики пациент заполняет анкету, где указывает присутствие функционирующих кардиостимулятора, инъектора для подачи лекарств, нейростимулятора, наличие скоб и клипс, установленных на сосуды, шрапнели, стружки в теле и прочих предметов, являющихся противопоказаниями к магнитно-резонансной томографии. Женщине следует оповестить врача о беременности раннего срока - МРТ гипофиза считают безопасной для плода, начиная со второго триместра.
- Если планируется выполнение контрастирования в период лактации, необходимо заранее сделать запас молока на несколько последующих кормлений (16-20 часов), излишки сцеживают и утилизируют.
- У некоторых пациентов на введение препарата на основе гадолиния развиваются реакции со стороны вегетативной нервной системы - тошнота, металлический или соленый привкус во рту, головокружение. Вероятность их появления меньше, если за 40 минут до исследования неплотно перекусить, например, выпить сладкий чай с печеньем.
- МРТ гипофиза детям до 5 лет, неспособным выполнять требования медперсонала, пациентам с психическими заболеваниями и клаустрофобией проводят в госпитальных условиях под седацией.
- Длительность диагностической процедуры - около 35-45 минут, для избежания появления размытостей на сканах следует лежать максимально неподвижно. Препятствий к повседневной деятельности, вождению автомобиля после МРТ нет.
Опухоль гипофиза на МРТ

Аденома гипофиза на МРТ
Наиболее часто на томограммах обнаруживают аденому гипофиза - доброкачественное новообразование, исходящее из передней доли. Опухоли могут произрастать из любого отдела питуитарной железы, что вызывает многообразие клинических проявлений. Аденома гипофиза локализуется в области турецкого седла, при значительном росте возможно распространение на костные пазухи, желудочки головного мозга, базальную поверхность больших полушарий. Вышеописанные структуры врач может рассматривать в виде многоплоскостных объемных изображений, состоящих из множества срезов, что позволяет уточнить:
- размеры и границы опухоли;
- ее взаимосвязь с окружающими структурами - супраселлярной и мозговой цистернами, перекрестом зрительных нервов, пазухой основной кости, спинкой и бугорком седла, кавернозными синусами и пр.;
- предположительный характер (доброкачественный или злокачественный, первичный или метастатический, окончательная верификация доступна после морфологического исследования). Анализируют постконтрастные снимки, интенсивность накопления красителя (аденомы в подавляющем большинстве задерживают препарат медленнее, чем ткани гипофиза, для злокачественных опухолей характерен усиленный ангиогенез). Дифференциацию проводят с краниофарингиомой, кистой кармана Ратке и арахноидальной жидкостной полостью, имеющих схожие признаки на МР-сканах.
Специалист делает вывод о наличии новообразования гипофиза при обнаружении деформации дна одноименной ямки, асимметрии самой железы, неоднородности ее структуры, смещении воронки от срединной линии.
Нормальные размеры гипофиза на МРТ
Нормальные размеры, масса и объем гипофиза на МРТ коррелируют с полом, возрастом. У беременных допускается увеличение питуитарной железы, но после родоразрешения в течение 6 месяцев параметры возвращаются к среднестатистическим.
Микроаденома гипофиза на МРТ

Магнитно-резонансная томография является одним из наиболее эффективных методов диагностики заболеваний центральной нервной системы (ЦНС). Изучение интракраниальных (внутричерепных) структур происходит при помощи безопасного индукционного поля, без ионизирующей лучевой нагрузки и инвазивных манипуляций.

Гипофиз на снимке МРТ
Электромагнитный импульс вызывает смещение атомов водорода в диполях воды. Колебания заряженных частиц регистрируют при помощи чувствительных детекторов, затем информацию обрабатывают и преобразуют в серию фотографий тонких срезов исследуемого участка. Послойные снимки транслируют на монитор компьютера для детального изучения врачом-рентгенологом.
При подозрении на наличие новообразования гипофиза применяют специальный режим сканирования, предусматривающий регулирование толщины сканируемых срезов от 1 мм, небольшое поле зрения, использование контрастного препарата. Благодаря тонкой настройке оборудования и болюсному усилению, микроаденома гипофиза на МРТ определяется на раннем этапе развития. Магнитно-резонансная томография позволяет увидеть образование размером от 3 мм.
Признаки микроаденомы гипофиза
Клиническую картину новообразований турецкого седла определяют размеры, тип и локализация опухоли. Секретирующие микроаденомы вызывают характерную симптоматику в зависимости от продуцируемого гормона. Неврологические проявления и гипопитуитаризм (функциональная недостаточность гипофиза или гипоталамуса) встречаются редко, что обусловлено незначительными размерами очага (от 3 до 10 мм). Компрессия структур головного мозга характерна для макроаденом, достигших 30 мм в диаметре.

Признаки новообразования в области турецкого седла на снимке МРТ
Названия секретирующих опухолей соответствуют наименованию выделяемого гормона:
- пролактиномы - продуцируют секрет, стимулирующий выработку молока грудными железами;
- тиреотропиномы - вызывают болезнь Иценко-Кушинга и другие патологические состояния щитовидной железы;
- соматотропиномы - приводят к развитию гигантизма в детском возрасте, у взрослых становятся причиной акромегалии;
- гонадотропиномы - влияют на работу половой системы.
В случаях, когда наблюдается усиление секреции нескольких гормонов, говорят о смешанной аденоме.
Клиническая картина заболевания имеет ряд специфических симптомов, сигнализирующих о наличии эндокринных нарушений:
- изменение веса (ожирение или дистрофия) без видимых причин;
- эректильная дисфункция (у мужчин);
- бесплодие;
- снижение либидо, аноргазмия;
- гигантизм в детском возрасте;
- увеличение стоп, кистей рук, укрупнение черт лица (нос, подбородок, надбровные дуги);
- аменорея (нарушения цикла вплоть до отсутствия менструаций) у женщин;
- потливость, слабость, нервное возбуждение и пр.
- киста кармана Ратке;
- краниофарингиома;
- арахноидальная киста.
Своевременное определение заболевания способствует выбору оптимального метода лечения. Применяют лучевую и лекарственную терапию, в некоторых случаях необходимо хирургической вмешательство.
Аденома гипофиза, как выглядит на фото-снимке МРТ?
Магнитно-резонансная томография обеспечивает сканирование области турецкого седла в трех взаимно перпендикулярных проекциях. Послойные монохромные снимки детализируют состояние анатомических структур зоны интереса, показывая малейшие изменения формы, размера, строения рассматриваемого объекта.

Микроаденома гипофиза (указана стрелкой) на снимке МРТ
На основании полученных изображений врач может реконструировать 3D-модель, позволяющую определить расположение сканируемых образований, взаимодействие здоровых и пораженных тканей.
Микроаденома гипофиза на снимках МРТ имеет ряд характерных признаков:
- неоднородная структура;
- округлая форма;
- очаг имеет гипоинтенсивный сигнал на Т1-взвешенных изображениях;
- выраженная граница, отделяющая образование от здоровых тканей;
- при наличии кровоизлияний и кист наблюдается усиление сигнала на Т2-взвешенных изображениях.
Томограммы позволяют уточнить размеры и расположение очага. При локализации опухоли в турецком седле говорят о эндоселлярной аденоме. Образования, выходящие за пределы костного кармана, называют эндоэкстраселлярными.
Для лучшей визуализации микроаденомы применяют динамическое контрастирование. Метод подразумевает использование короткого временного промежутка, когда велика разница сигналов между новообразованием и участками с нормальной структурой. На снимках МРТ с динамическим усилением аденома гипофиза в первой фазе исследования выглядит как гипоинтенсивный очаг на фоне умеренно контрастирующих здоровых тканей железы.
Заключение МРТ аденома гипофиза
Сеанс магнитно-резонансной томографии занимает от 15 (нативная процедура) до 30 (при использовании контрастного усиления) минут. Полученные изображения записывают на CD-диск и отдают пациенту вместе с расшифровкой и заключением врача-рентгенолога. Время ожидания результатов исследования составляет около 20 минут, при подготовке «Второго мнения» - до 2 часов. Анализ фотографий двумя специалистами позволяет исключить возможность врачебной ошибки.
Протокол МРТ содержит следующие данные:
- расположение, размеры, форма железы;
- особенности строения передней и задней долей гипофиза;
- наличие посторонних включений, образований;
- локализация, размеры опухоли;
- структура образования (наличие четкого контура, включений);
- взаимодействие аденомы с окружающими тканями;
- состояние анатомических структур турецкого седла.
Врач описывает особенности кровоснабжения изучаемого участка, последствия компрессии структур головного мозга тканями новообразования. В заключении указывают признаки аденомы при различных режимах сканирования (Т1, Т2, МРТ с динамическим контрастированием).

Результаты МР-сканирования на аппарате мощностью 1,5 Тл
Что показывает МРТ аденомы гипофиза

МРТ аденомы гипофиза — это наиболее точный метод диагностики наличия заболевания. При проведении процедуры используется только качественное, высокоточное лабораторное оборудование. Процедура МРТ гипофиза считается абсолютно безвредной, в сравнении с альтернативными методами диагностики.
Что представляет из себя аденома гипофиза и как она выглядит на МРТ?
Гипофиз - это железа небольших размеров, которая расположена в основании головного мозга в ямке турецкого седла клиновидной кости. Согласно нормальным показателям, размер железы не превышает 2 см, а вес - 0,8 грамм.
Аденома гипофиза - это доброкачественное новообразование, развивающиеся в результате нарушения работы железы.
Гипофиз выполняет ряд функций, без которых представить нормальную работу организма человека невозможно. Являясь своеобразным посредником между головным мозгом и всеми железами организма, гипофиз контролирует работу эндокринной системы, вырабатывая гормоны, которые отвечают за ключевые физиологические процессы в организме:
- вазопрессин - регулирует водно-селевой баланс;
- гонадотропные гормоны - участвуют в регулировании функции половых желез (у мужчин и женщин);
- тиреотропин - оказывает влияние на работу щитовидки;
- соматотропин - гормон, отвечающий за развитие и рост;
- адренокортикотропный гормон - оказывает стимулирующее воздействие на деятельность коры надпочечников;
- пролактин - усиливает лактацию у женщин, воздействует на уровень прогестерона в яичниках;
- меланоцитотропин - регулирует распределение меланина в организме.
Также железа способствует выработке окситоцина, гормона, отвечающего за стимуляцию мускулатуры матки. Гипофиз является одной из главных желез в организме человека. В связи с важными функциями, возложенными на железу, в случае возникновения патологических процессов, они оказывают непосредственное влияние на всю эндокринную систему организма.
Встречается аденома гипофиза чаще других заболеваний, которые способны поражать работу головного мозга. Выявить новообразование можно путем проведения МРТ. Данный метод диагностики является наиболее безопасным, точным и информативным. Если диагностировать заболевания на ранних стадиях развития, то значительно увеличивается шанс эффективного лечения с использованием щадящих методов.
При помощи снимков, полученных в результате проведения лабораторного обследования, прослеживается размер железы, форма, структура гипофиза и окружающих тканей. МРТ позволяет диагностировать даже малейшие изменения в нормальной работе железы, независимо от её размеров, локализации и формы.
Факторы, указывающие на наличие новообразования:
- смещение воронки от срединной линии и деформация дна гипофизарной ямки;
- асимметрия железы;
- неоднородная структура гипофиза.
Нередко, новообразование воздействует на окружающие ткани, сдавливая нервные окончания и затрудняя при этом саму диагностику заболевания. Аденома локализуется в области турецкого седла клиновидной кости черепа, но бывают клинические ситуации, когда возможно прогрессирование болезни до костных пазух, базальной поверхности больших полушарий, желудочков головного мозга.
При помощи магнитно-резонансной томографии видны все паталогические изменения, благодаря чему можно точно диагностировать локализацию аденомы и границы новообразования. Также МРТ позволяет не только классифицировать заболевание, но и назначить наиболее эффективное, комплексное лечение.
МРТ с контрастом
Введение контрастного вещества - это обязательное мероприятие для диагностирования аденомы при помощи проведения МРТ. Аппарат при помощи магнитного поля и радиочастотных импульсов обнаруживает структурные изменения в исследуемой зоне, что в свою очередь позволяет диагностировать новообразование уже в процессе проведения обследования. Однако для дифференцирования с другими возможными патологиями и при малых размерах опухоли, вводится концентрация контрастного раствора.
Применяется специальный контрастный раствор в случаях, когда есть подозрения на развитие онкологического процесса. Введение раствора солей гадолиния во время проведения магнитно-резонансной томографии позволяет дифференцировать доброкачественное новообразование от аденокарциномы.
Получить бесплатную консультацию
Консультация ни к чему Вас не обязывает
Для проведения МРТ с применением контрастного вещества предварительная подготовка не назначается. Процедура начинается с серии снимков, на которых можно детально рассмотреть размеры и место локализации опухоли. Введение контрастного вещества внутривенным способом, позволяет томографу отчетливо детализировать сеть кровеносных сосудов, которые питают исследуемую зону. Благодаря этому можно с высокой точностью дифференцировать доброкачественное новообразование, от развития злокачественной опухоли.
МРТ с применением контрастирования считается абсолютно безопасным методом обследования. Попадая в кровь, контрастный раствор не только повышает четкость получаемого изображения, но и позволяет выявить заболевание на ранних стадиях развития. С помощью томографии с контрастированием можно получить более информационные результаты обследования и оценить даже малейшие изменения состояния тканей железы. Введенный раствор гадолиния выводится из организма в течение суток.
При наличии опухоли и отсутствии противопоказаний к применению контраста, магнитно-резонансная томография проводится с контрастированием для более точной детализации всех тканей и новообразований. Проведения МРТ с контрастом противопоказано при:
- наличии металлических имплантов;
- заболеваниях крови;
- беременности;
- аллергических реакциях на вводимое вещество;
- тяжелых заболеваниях почек.
Также процедура противопоказана при приеме медикаментозных препаратов на основе бета-блокаторов. С особой осторожностью процедура проводится при психических отклонениях, а также наличии некоторых сердечно-сосудистых заболеваний.
Микроаденомы на МРТ-снимках

С помощью проведения обследования можно точно определить поверженные участки ткани, а также диагностировать микроаденомы размером менее 10 мм. Кистозная форма заболевания отличается присутствием четких границ, которые на снимках имеют вид темного пятна. Диагностировать кистозную форму при помощи других методов исследования затруднительно.
МРТ позволяет дифференцировать кистозную микроаденому от:
- кистозного процесса кармана Ратке;
- краниофарингиомы;
- арахноидальной кисты.
Магнитно-резонансная томография позволяет определить заболевание и предугадать дальнейшее развитие.
Аденома гипофиза — размеры и виды
Аденома гипофиза классифицируется в зависимости от места локализации, размера.
По величине бывают:
- гигантские - размер более 30 мм;
- макро - 10-30 мм;
- микроаденомы - от 3 до 10 мм;
- пикоаденомы - размер не превышает 3 мм.
В большинстве случаев, небольшие новообразования протекают в бессимптомной форме.
Эндоселлярной называют аденому, не выходящую за границу турецкого седла. Эндоэкстраселлярные - опухоли за пределами костного образования. Аденомы бывают активные и неактивные. В зависимости от гормона, который стимулирует активные аденомы, она подразделяется на виды:
- пролактинома;
- тиреотропинома;
- соматотропинома;
- смешанные аденомы;
- гонадотропинома.
В зависимости от размера и вида опухоли, заболеванию характерны специфические симптомы. Показания для проведения МРТ:
- выпадение полей зрения;
- диплопия, косоглазие, слепота;
- частая мигрень, головокружение;
- дистрофия или избыточный вес;
- галакторея у мужчин и женщин, гинекомастия у мужчин;
- бесплодие;
- эректильная дисфункция.
Симптоматика зависит от места локализации и вида опухоли гипофиза.
КТ или МРТ: что лучше?
В отличие от ультразвукового и рентгеновского излучения, обследование головного мозга при помощи магнитно-резонансной томографии для диагностирования аденомы гипофиза считается наиболее результативным и информативным методом.
Компьютерная томография считается эффективной для оценки состояния полостных образований и костных структур. В связи с тем, что гипофиз представлен мягкими тканями, именно МРТ позволяет получить наиболее точную, детализованную картину с изображением всех мельчайших изменений формы и строения железы. КТ назначается в случаях, когда есть противопоказания к проведению МРТ.
Записаться на приём
Запишитесь на приём и получите профессиональное обследование в нашем центре
Что покажет МРТ гипофиза - процедура, подготовка, расшифровка

МРТ гипофиза - это высокоинформативный метод томографического, то есть, послойного сканирования области турецкого седла, в котором находится питуитарная железа. Альтернативное название МРТ турецкого седла или МРТ питуитарной железы. Принцип работы магнитно-резонансного томографа заключается в послойном сканировании тканей головного мозга в различных проекциях и создания объемных 3D изображений. Процедура достаточно проста в применении - она не требует сложной подготовки, выполняется в короткие сроки, безболезненна, имеет минимальные побочные явления и противопоказания.
Показания
Сделать томографию данного участка головного мозга в диагностических центрах Санкт-Петербурге можно как по рекомендации невролога, гинеколога, эндокринолога, так и по личной инициативе пациента. Обычно направление на МРТ гипофиза выдается лечащим врачом пациента при наличии:
- нарушений в работе гормональной системы;
- сахарного диабета;
- черепно-мозговых травм;
- расстройства функционирования эндокринной системы;
- подозрения на кисту или микроаденому гипофиза.
Что покажет МРТ гипофиза с контрастом
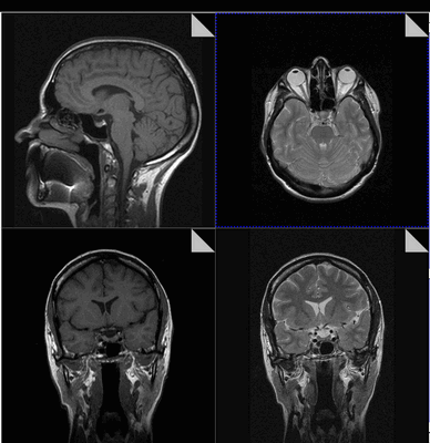
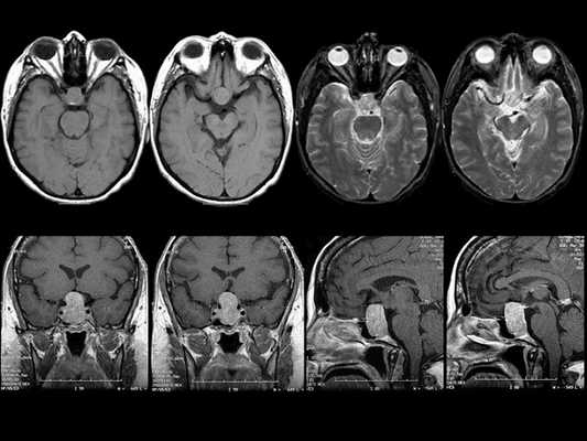
Поскольку данный орган головы очень мал в размерах (в среднем от 5 до 13 мм), для получения максимально точных томограмм в большинстве случаев МРТ гипофиза делают с контрастом. В ходе обследования получаются изображения области турецкого седла в корональной, аксиальной и сагиттальной проекциях. Рентгенолог по данным снимках в своем заключении отметит следующие особенности:
- размеры гипофиз в турецком седле и возможные увеличения структур;
- расположение воронки гипофиза;
- признаки деформации хиазма и супраселлярной цистерны;
- расстояние от хиазмы до верхнего контура гипофиза;
- однородность или неоднородность структур аденогипофиза;
- состояние медиобазальных отделов височных долей;
- качество внутренних сонных артерий;
- состояние соседних структур головного мозга - боковые желудочки;
- признаки патологии в зоне зрительного перекреста;
- состояние медиобазальных отделов височных долей.
МРТ гипофиза видео
МРТ при микроаденоме гипофиза
Микроаденома гипофиза - это частный случай доброкачественного очагового образования небольших размеров. По данным медицинской статистики подобные изменения ткани железы встречаются у 10-15% населения Санкт-Петербурга. В подавляющем большинстве случаев такое новообразование не имеет никаких клинических проявлений. Свое влияние на состояние здоровья пациента аденома гипофиза может оказывать в том случае, если ее размеры увеличиваются, и она начинает давить на соседние структуры, вызывая неврологические патологии или гормональные сбои.
Поскольку диагностировать микроаденому по клиническим симптомам сложно, ее визуализация возможна только с помощью магнитно-резонансной томографии. Признаками микроаденомы на МРТ станут:
- При нативном сканировании в отделах аденогипофиза определяется зона гипоинтенсивного МР-сигнала на Т1-ВИ, округлой формы, с четкими, неровными контурами.
- После внутривенного введения парамагнитного контрастного препарата контрастное усиление выражено неравномерно, определяется равномерное накопление контрастного препарата неизмененной тканью гипофиза с задержкой контрастирования от выявленного участка в аденогипофизе.
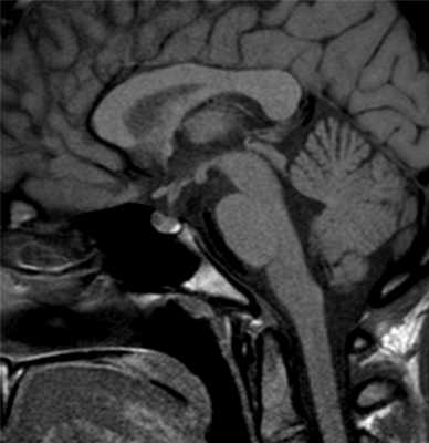
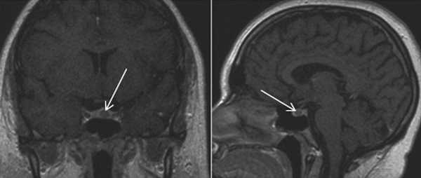
МРТ гипофиза - киста кармана Ратке
Область гипофиза также подвержена кистозным изменениям. Кистозные образования в зоне турецкого седла встречаются существенно реже, чем в мозговом веществе и оболочках. Известны следующие разновидности гипофизарных кист:
- Кармана Ратке
- Интермедиальная
- Эпидермальная
- Коллоидная
- Паразитарная
- Арахноидальная
Киста — это полое новообразование, заполненное жидкостью. Она носит доброкачественный характер и редко увеличивается в размерах. Самой распространенной формой кист гипофиза является киста кармана Ратке - образование, развивающееся между двумя долями гипофиза у основания головного мозга. Чаще всего киста кармана Ратке образуется во время эмбриологического развития из предшественника гипофиза. Диагностика данного кистозного образования возможна с помощью МРТ гипофиза. Признаками кисты Ратке на МРТ будет:
- на нативных изображениях между нейро- и аденогипофизом определяется зона измененного МР-сигнала с ровными четкими контурами, гипоинтенсивного МР-сигнала на Т1-ВИ, гиперинтенсивного на Т2-ВИ.
Процедура
МРТ гипофиза проходит абсолютно безболезненно и не вызывает чувства дискомфорта. Обследование осуществляется с помощью магнитно-резонансного томографа со сканирующим блоком, компьютером и выдвижной частью для размещения пациента. Внутри сканирующего блока расположен мощный магнит и радиочастотный датчик. Когда голова пациента попадает в зону обследования, под воздействием электромагнитного поля в клетках тканей головы атомы водорода начинают совершать колебательные движения. Специальные датчики томографа преобразуют данные об этом резонансе в трехмерные изображения на экране компьютера. Эти томограммы просматривает и интерпретирует диагност. На их основании он составляет свое рентгенологическое заключение.
Сколько длится МРТ гипофиза
- Средняя продолжительность томографии составляет 10 -15 минут в нативной бесконтрастной версии. потребует 35-45 минут.
- Подготовка рентгенологического заключения занимает 30-40 минут. В сложных случаях анализ томограмм и процедура второго независимого мнения может занять до 48 часов.
Результаты
Итогом магнитно-резонансной томографии гипотеза станет серия снимков зоны турецкого седла, записанная на электронный или пленочный носитель, и заключение врача.
Пример МРТ заключения гипофиза
- На серии МР-томограмм расположение и форма турецкого седла в пределах нормы. Края его дна и стенок четко ограничены от окружающих тканей.
- Гипофиз нормального положения, равномерной однородной структуры, с ровными контурами, верхний контур слегка вогнут. Размеры железы: переднезадний 9мм, высота 4мм, латеральный 16мм. Патологически измененного сигнала от ткани гипофиза не выявлено.
- После внутривенного введения контрастного вещества определяется равномерное его накопление в ткани железы, участков задержки его накопления, патологического накопления в ткани железы не определяется.
- Воронка симметрична, нормальных размеров, расположена по срединной линии. Хиазма не изменена. Расстояние от верхней поверхности гипофиза до хиазмы 9мм. Расстояние между медиобазальными отделами височных долей 31мм.
- Кавернозные синусы не деформированы. Зрительный перекрест, сифоны сонных артерий не изменены.
- Прилежащие отделы головного мозга не изменены.
- Пазуха клиновидной кости четко прослеживается, пневматизация ее не изменена.
Заключение: МР-признаков микроаденомы гипофиза не определяется.
Противопоказания
МР-томография имеет ряд ограничений. Пациенты, у которых стоят несъемные стальные протезы или железные штифты, не смогут пройти данное обследование, поскольку сильное магнитное поле томографа может нагреть или сдвинуть эти импланты, создав угрозу кровотечения или ожога.
Ограничением к МРТ могут стать кардиостимуляторы или другие электронные приспособления в теле. Магнитное поле томографа может вывести из строя эти искусственные водители ритма. Чтобы ответить, можно ли делать с вашим имплантом диагностику, нужно посмотреть в паспорте изделия наличие отметки - “совместим с МРТ”.
Иногда противопоказанием к МР-исследованию является боязнь закрытого пространства, хотя, если клаустрофобия находится в легкой степени, седативное средство, применяемое до исследования, упростит прохождение процедуры таким пациентам.
От чего зависит стоимость томографии гипофиза
| Вид исследования | Минимальная Цена | Цена на 3 Тесла |
|---|---|---|
| МРТ головного мозга | от 2800 руб. | от 5200 руб. |
| МРТ сосудов головного мозга | от 2800 руб. | от 8200 руб. |
| МРТ гипофиза | от 2800 руб. | от 5200 руб. |
| МРТ пазух носа | от 2800 руб. | от 5200 руб. |
| МРТ орбит и зрительных нервов | от 3200 руб. | от 5200 руб. |
| МРТ уха и слуховых нервов | от 3200 руб. | от 5200 руб. |
| МРТ черепно-мозговых нервов | от 3200 руб. | от 5200 руб. |
| Стоимость введения контрастного вещества | от 3500 руб. | от 3500 руб. |

Разница между МРТ головного мозга и гипофиза
МРТ гипофиза не следует путать с МРТ головного мозга. В ходе томографии мозга гипофиз визуализируется, но менее прицельно, и врач может провести только обзорную оценку железы. Магнитно-резонансная томография гипофиза - это узконаправленное исследование, когда фокусом сканирования становится именно сама питуитарная железа и зона турецкого седла. Иногда врачи могут назначить комплексную МРТ головного мозга и гипофиза. Обычно поводом для такого обследования являются подозрения на обширные опухолевые поражения.
МРТ или КТ гипофиза - что лучше
МРТ гипофиза является приоритетным методом сканирования зоны турецкого седла и питуитарной железы. Магнитно-резонансное обследование структур головного мозга обладает большей информативностью и не оказывает лучевого влияния на организм обследуемого. КТ гипофиза используют в основном в качестве альтернативы магнитно-резонансной томографии, когда у пациента есть противопоказания к МРТ. Выбор между МРТ и КТ зависит исключительно от наличия соответствующих показаний для обследования тем или иным образом. КТ гипофиза не рекомендуется проводить чаще одного раза в полгода, поэтому, в случае необходимости повторного исследования, назначают магнитно-резонансную томографию.
Читайте также:
