КТ, МРТ при контрастировании внутривисочного сегмента лицевого нерва
Добавил пользователь Евгений Кузнецов Обновлено: 21.11.2025
Первичное поражение лицевого нерва: Вероятно, имеет вирусную этиологию (вирус простого герпеса); острое периферическое повреждение VII черепного нерва.
Вторичное поражение лицевого нерва: Опухоли (невринома, шваннома), сдавление объемным образованием (особенно опухолями околоушной слюнной железы), саркоидоз, болезнь Лайма, холестеатома или диссеминированный энцефаломиелит.
Клинические проявления
- Внезапно возникающий паралич лицевого нерва
- Возможен продромальный период, включающий нарушения вкуса или односторонние боли в области лица.
Признаки неврита лицевого нерва на КТ и МРТ снимках
Метод выбор
В каких случаях проводят КТ лицевого нерва при неврите
- При идиопатической нейропатии лицевого нерва (паралич Белла) отклонений от нормы не выявляется
- Объемное образование во внутреннем слуховом проходе
- Деструкция или объемное образование в пирамиде височной кости
- Перелом, проходящий через канал лицевого нерва
- Опухоль околоушной слюнной железы.
Что покажут снимки МРТ при неврите лицевого нерва
- Линейное или очаговое усиление вдоль канала лицевого нерва, особенно в сосцевидной части
- Объемное образование (например, невринома).
Отличительные признаки
- Выраженное усиление после введения гадолиния во внутреннем слуховом проходе, наружном колене лицевого нерва или его сосцевидной части.
Что хотел бы знать лечащий врач
- Усиление сигнала от лицевого нерва
- Исключение других причин
Какие заболевания имеют симптомы, схожие с невритом лицевого нерва
Невринома лицевого нерва
- Интенсивное усиление, четко очерченное объемное образование во внутреннем слуховом проходе или канале лицевого нерва.
Нормальное усиление
- Незначительное линейное увеличение интенсивности сигнала после введения гадолиния, но не в пирамиде височной кости или сосцевидном отростке.
Лечение
- Симптоматическое лечение
- Стероидная или противовирусная терапия
- При вторичном поражении лицевого нерва - лечение основного заболевания.
Врачи каких специальностей диагностируют и лечат паралич лица
- Невропатолог (первичное обращение пациента, лечение)
Прогноз
- Симптомы обычно подвергаются обратному развитию в течение нескольких дней или недель
Возможные осложнения и последствия
- Неврит лицевого нерва сохраняется в 10-20% случаев.

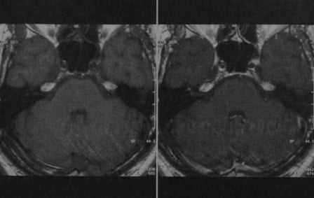
Усиление по ходу лицевого нерва после введения гадолиния у мальчика 15 лет с остро возникшим невритом правого лицевого нерва.

CISS-последовательность: незначительный отек канала лицевого нерва. Фронтальная проекция: выраженное усиление лицевого нерва в его канале.
МРТ и УЗИ при невропатии лицевого нерва - что покажет

МРТ черепно-мозговых нервов, УЗИ нервов являются аппаратными методами диагностики невропатии лицевого нерва. Исходя из первичных симптомов, истории болезни, противопоказаний и диагностических целей, врач невролог назначает необходимые способы обследования.
В большинстве случаев, МРТ черепно-мозговых нервов выбирается как первичный метод диагностики. Если результаты исследования носят тревожный или неясный характер, дополнительно назначается:
УЗИ и МРТ - что лучше выбрать
Выбор необходимого способа обследования должен осуществлять опытный врач. Назначение метода диагностики специалист делает исходя из самочувствия пациента, симптомов заболевания, противопоказаний и целей диагностики.
При ультразвуковом исследовании врач использует безвредные высокочастотные звуковые волны для создания изображений органов и тканей. Во время исследования пациент лежит на диагностической кушетке. Специалист по УЗИ наносит на кожу зоны обследования прозрачный гель на водной основе. Затем проводит по зоне обследования ручным прибором, называемым датчиком. Он посылает высокочастотные звуковые волны, которые отражаются от структур и органов тела. Эти волны передаются на компьютер, который использует их для создания изображений.
При магнитно-резонансной томографии используются безвредное магнитное поле и радиоволны для создания изображений. Аппарат МРТ представляет собой длинную трубу. Во время этого исследования пациент лежит на томографическом столе, который задвигается в сканер. Аппарат создает сильное магнитное поле, которое заставляет молекулы воды в организме совершать колебательные движения. На базе этого резонанса томограф создает четкие трехмерные изображения органов и тканей.
С точки зрения информативности
Ультразвуковая диагностика - это более субъективный метод диагностики, поскольку его точность во многом зависит от профессиональных движений рук УЗИ врача. МРТ - это более точный и объективный вид обследования, и ее информативность, специфичность превышает результаты ультразвукового исследования.
С точки зрения безопасности
МРТ и УЗИ — это методы диагностики, которые не имеют лучевой нагрузки. Поэтому эти обследования пациент может осуществлять по личной инициативе.
С точки зрения доступности
В медицинских центрах Санкт-Петербурга самым доступным методом диагностики является УЗИ. МРТ — это экспертные и дорогостоящие виды обследования. Поэтому магнитно-резонансную томографию врачи обычно назначают в качестве дополнительной диагностики, если первичное УЗИ выявил серьезную патологию или пациенту нужно дообследование.
С точки зрения стоимости
Самыми экономичными видами исследования являются УЗИ. Магнитно-резонансная томография — это высокотехнологичные способы обследования, поэтому их стоимость будет существенно выше УЗИ.
С точки зрения противопоказаний
УЗИ является безвредным методом диагностики, у него нет противопоказаний. Оно доступно для всех пациентов вне зависимости от возраста. МРТ имеет два основных противопоказания - это наличие металла и электронных приборов в теле пациента.
МРТ лицевого нерва
Лицевой нерв отвечает за функционирование мимических мышц лица и обеспечивает их взаимодействие с центральной нервной системой. Воспаления или другие патологические процессы могут влиять на работу лицевого нерва. Нарушения могут проявляться визуальными дефектами (например, ассиметричностью лица) и болевыми ощущениями. Чтобы правильно поставить диагноз и приступить к лечению, необходимо провести диагностику. Обследование лицевого нерва обычно проводится при помощи магнитно-резонансной томографии.
Преимущества и недостатки
Магнитно-резонансная томография — уникальная процедура, при помощи которой можно получить серию снимков в различных проекциях, в том числе в срезе. Это позволяет специалисту визуализировать конкретную область и выявить патологические процессы. Благодаря высокому качеству снимков можно диагностировать даже минимальные признаки патологических процессов. Для многих пациентов существенными плюсами являются такие факторы:
- Пациентам не требуется ничего делать - но нужно сохранять абсолютно неподвижное состояние.
- Во время магнитно-резонансной томографии нет боли или дискомфорта.
- Перед МРТ не нужна сложная подготовка, достаточно ознакомиться с некоторыми рекомендациями врача.
- Делать магнитно-резонансную томографию не вредно для здоровья, поскольку лучевая нагрузка при проведении процедуры отсутствует.
- Вы сможете получить снимки и заключение врача буквально через 1,5 часа после диагностики.
- Из недостатков можно отметить только тот факт, что МРТ обычно имеет более высокую стоимость, чем другие неинвазивные методы диагностики.
Показания к проведению МРТ
Врач может назначить проведение магнитно-резонансной томографии при подозрении на воспаление лицевого нерва или другие патологические процессы. Диагностика назначается при наличии следующих жалоб со стороны пациента:
- Болевые ощущения в заушной зоне;
- Заметная ассиметрия лица;
- Онемение части лица;
- Слезотечение;
- Повышенное слюноотделение;
- Опущение века или невозможность полностью закрыть глаз;
- Разглаживание морщин в в области носогубного треугольника и лба;
- Нарушение чувства вкуса;
- Сухость во рту.
Противопоказания
Процедура диагностики при помощи магнитных волн имеет некоторые ограничения:
- Нельзя проходить обследование людям с кардиостимуляторами, установленными штифтами, спицами, имплантами;
- Врачи не рекомендуют делать МРТ беременным, т.к. исследований влияния магнитных волн на плод и течение беременности не проводилось;
- Патологические состояния, при которых человек не может находиться в условиях замкнутого пространства или не способен сохранять неподвижное состояние.
Магнитно-резонансная томография с контрастированием не проводится при лактации, беременности, почечной недостаточности, аллергической реакции на используемые препараты.
Подготовка
Магнитно-резонансная томография лицевого нерва может осуществляться без предварительной подготовки. Для повышения информативности процедуры необходимо ознакомиться с некоторыми рекомендациями от врача:
- Контрастное МРТ осуществляется исключительно натощак;
- Если ранее вы проходили диагностику лицевого нерва, постарайтесь найти и принести с собой результаты или снимки;
- Во время диагностики на пациенте не должно быть ничего металлического, поэтому лучше заранее снять украшения и другие аксессуары, содержащие металл;
- Во время проведения процедуры постарайтесь максимально расслабиться. При необходимости перед обследованием можно принять седативные растительные препараты. Особенно это актуально для тех, кого пугает необходимость находиться в замкнутом пространстве;
- При записи уточните, нужно ли брать с собой домашнюю одежду, или вам выдадут одноразовый халат.
Как проводят МРТ лицевого нерва
- При входе в кабинет нужно отключить мобильный телефон и выложить из карманов монеты, банковские карты и металлические изделия.
- Если на вашей одежде есть металлическая фурнитура, необходимо будет переодеться.
- Если это требуется, пациенту в вену вводят контрастный препарат.
- Затем автоматический выдвижной стол заезжает внутрь томографа, двери закрываются, обследование начинается.
- Длительность процедуры обычно не превышает 40 минут. Как только исследование закончится, выдвижной стол покинет пределы томографа, после чего можно будет переодеваться и ждать результатов.
Особенности МРТ
Непосредственно перед началом обследования специалист должен провести небольшой инструктаж. В первую очередь нужно сообщить о том, что внутри томографа будет слышен громкий и ритмичный шум. Не беспокойтесь, внутри томографа хорошее освещение, там есть вентиляция, громкая связь и кнопка тревоги. Кнопку нажимают в том случае, если стало плохо, пациент ощущает сильный страх, тревожность, головокружение или тошноту. Случается это довольно редко, большинство людей хорошо переносят процедуру.
МРТ с использованием контрастных веществ
Контрастные вещества представляют собой инъекции для внутривенного введения. Они хорошо переносятся организмом и не накапливаются в тканях. Буквально через 24 часа вещество полностью выйдет естественным путем.
МРТ с дополнительным контрастным усилением актуально в том случае, если есть подозрение на наличие новообразований или сосудистых патологий, которые могут сдавливать лицевые нервы, нарушая их работу. Введение препарата осуществляется непосредственно перед началом магнитно-резонансной томографии.
Интерпретация результатов
После того как снимки сделаны, врачу предстоит их расшифровать. Заключение будет выдано буквально через 1-1.5 часа в печатном или цифровом виде.
В ходе диагностики часто удаётся диагностировать:
- Неврит лицевого нерва;
- Наличие новообразований;
- Травмы лицевого нерва.
Неврит - это воспаление лицевого нерва. Это распространенная патология, которая может возникнуть из-за сильного переохлаждения, инфекционного или воспалительного заболевания. Часто неврит провоцируют сильные интоксикации организма и рост новообразований. При выявлении патологических процессов дополнительно может быть назначено МРТ головного мозга.
Если вас беспокоят тревожные симптомы — не затягивайте с походом к доктору. Ранняя диагностика повышает шансы вернуть прежний вид лицу и забыть о проблемах. Будьте здоровы!
МРТ и КТ при невралгии тройничного нерва - что покажет

МРТ головного мозга, КТ черепа являются аппаратными методами диагностики невралгии тройничного нерва. Исходя из первичных симптомов, истории болезни, противопоказаний и диагностических целей, врач невролог назначает необходимые способы обследования. В большинстве случаев, электромиография и анализы крови выбирается как первичный метод диагностики. Дополнительно назначается МРТ головного мозга по протоколу вазо-невральный конфликт. Если тройничная невралгия возникла после травмы черепа дополнительно назначается КТ черепа.
Признаки невропатии тройничного нерва
Признаки невропатии тройничного нерва:
- острая, колющая, пульсирующая или жгучая боль по ходу движения нерва
- чрезвычайная чувствительность к прикосновениям к лицу
- боль во время действий, которые не должны ее вызывать, например, ощущения ветра на коже
- лицевая мышечная слабость
- паралич на одну сторону лица
- непереносимость тепла.
Причины невропатии тройничного нерва
Нейропатия тройничного нерва - это повреждение нервов, вызванное рядом различных заболеваний. К состояниям здоровья, которые могут вызывать невропатию, относятся:
- аутоиммунные заболевания. Синдром Шегрена, волчанка, ревматоидный артрит, синдром Гийена-Барре, хроническая воспалительная демиелинизирующая полинейропатия и васкулит
- инфекции. К ним относятся некоторые вирусные или бактериальные инфекции, включая болезнь Лайма, опоясывающий лишай, вирус Эпштейна-Барра, гепатиты В и С, проказу, дифтерию и ВИЧ
- наследственные заболевания. Такие расстройства, как болезнь Шарко-Мари-Тута, являются наследственными типами невропатии
- лекарства и токсичные вещества. Некоторые препараты и вещества, особенно те, которые используются для лечения рака, могут вызвать нейропатию
- травма лица или давление на нерв. Травмы лица приводят к разрыву или повреждению нервов
- недостаток витаминов. Витамины группы В, включая В-1, В-6 и В-12, витамин Е и ниацин имеют решающее значение для здоровья нервов
В ряде случаев причина заболевания тройничного нерва не может быть установлена.
Когда следует обратиться к врачу
МРТ и КТ в диагностике невралгии тройничного нерва
Нейропатия тройничного нерва имеет множество потенциальных причин. Типичная невропатия тройничного нерва должна быть дифференцирована от зубной боли, кластерной головной боли, коленчатой невралгии, языкоглоточной невралгии, постгерпетической нейропатии или крылонебной невралгии. Поэтому помимо физического обследования, которое включает анализы крови, для диагностики обычно требуется:
- полный медицинский анамнез. Невролог изучит историю болезни, симптомы, образ жизни, воздействие токсинов, питьевой режим и семейную историю заболеваний нервной системы
- неврологический осмотр.
- анализ крови. Выявляет недостаток витаминов, диабет, ненормальную иммунную функцию и другие признаки заболеваний, которые могут вызвать нейропатию
- МРТ черепных нервов позволят обнаружить защемление нервов, опухоли или другие аномалии, влияющие на функцию тройничного нерва. МРТ может выявить вазо-невральный конфликт, который, как полагают, вызывает боль при тройничной невралгии. Чувствительность и селективность МРТ, однако, в целом не может подтвердить или опровергнуть определенную нервно-сосудистую компрессию. Таким образом, наиболее важным аспектом в диагностике являются точные анамнестические сведения.
- КТ черепа при пост-травматической невралгии
- исследование функции нервов. Электромиография регистрирует электрическую активность в мышцах для выявления повреждения нервов. Тонкая игла вводится в мышцу для измерения электрической активности при ее сокращении. Одновременно с получением электромиограммы врач проводит исследование нервной проводимости. Плоские электроды помещаются на кожу, и слабый электрический ток стимулирует нервы. Врач записывает реакцию нервов на электрический ток
- другие исследования на функции нервов. Включают: вегетативное рефлекторное, сенсорное обследование и исследование пота
- биопсия кожи. Врач удаляет небольшой участок кожи, чтобы найти уменьшение нервных окончаний.
Разница между МРТ и КТ
Компьютерная томография и магнитно-резонансная томография используются для получения изображений органов и тканей в трехмерной проекции. Разница в томографии заключается в том, что при МРТ используются радиоволны, а при КТ - рентгеновские лучи для получения изображения. Хотя оба томографических метода имеют высокую информативность, есть диагностические различия, которые могут сделать каждый из них более подходящим вариантом в зависимости от обстоятельств.
КТ-сканирование более быстрая форма диагностики, чем магнитно-резонансная томография, и обычно используется для экстренного обследования. При использовании как КТ, так и МРТ существуют определенные риски. Они зависят от типа визуализации, а также от способа ее проведения. К рискам КТ относятся: вред для внутриутробного ребенка при беременности и доза радиации. Риски МРТ включают реакции на металлические импланты в теле из-за сильного магнитного поля, громкий шум от аппарата, повышенная, клаустрофобические риски.
Если врачу нужны более детальные изображения мягких тканей, связок или органов высоким состоянием воды, обычно назначается магнитно-резонансная томография. Если необходимо получить хорошие изображение костных структур и полых органов, обычно рекомендуется компьютерная томография.
Надо ли делать МРТ при неврите лицевого нерва?

Отвечает Черкасова С.А.:
врач-рентгенолог высшей категории
При данной патологии проведение МРТ необходимо в первую очередь для исключения опухоли. МРТ головного мозга при неврите лицевого нерва проходит в два этапа: сначала проводится стандартное исследование для оценки состояния головного мозга, а затем лицевой нерв исследуется более тонкими срезами (1,2 мм) в 3D импульсной последовательности в аксиальной плоскости.
Опытные врачи

Врач высшей категории

Пашкова Анна Александровна
Кандидат медицинских наук



Александров Тимофей Александрович

Томограф экспертного класса

- Напряженность магнитного
поля — 1,5 Тл (высокопольный) - Высокое качество изображения
- Тонкие срезы
- Все виды МРТ-исследований
Как проходит процедура МРТ-исследования
Запись исследования на ваш выбор*| на диск | на пленку | на флешку |
Частые вопросы о МРТ-исследованиях

Артефакты (от лат. artefactum) - это погрешности, допущенные человеком, в процессе исследования. Артефакты значительно ухудшают качество изображения. Существует обширная группа физиологических (другими словами, относящихся к поведению человека) артефактов: двигательные, дыхательные, артефакты от глотания, моргания, случайных неуправляемых движений (тремор, гипертонус). Все артефакты, связанные с человеческим фактором, легко преодолеваются, если человек в процессе исследования полностью расслаблен, дышит ровно и свободно, без глубоких глотательных движений и частых морганий. Однако в медицинской практике нередки случаи использования легкого наркоза.
Магнитно-резонансная томография не имеет возрастных ограничений, поэтому ее можно проводить детям с самого рождения. Но ввиду того, что во время процедуры МРТ необходимо соблюдать неподвижность, обследование маленьких детей проводится в условиях анестезиологического пособия (поверхностного наркоза). В нашем центре исследование под наркозом не осуществляется, поэтому мы обследуем детей исключительно с семилетнего возраста.
Все противопоказания к проведению МРТ можно разделить на абсолютные и относительные.
Абсолютными противопоказаниями к проведению МРТ являются следующие особенности пациента: наличие у него кардиостимулятора (водителя ритма сердца) и других вживляемых электронных устройств, присутствие ферримагнитных (железосодержащих) и электрических протезов стремечка (после реконструктивных операций на среднем ухе), гемостатических клипс после операций на сосудах головного мозга, брюшной полости или легких, металлических осколков в области глазницы, крупных осколков, дроби или пуль вблизи сосудисто-нервных пучков и жизненно важных органов, а также беременность до трех месяцев.
К относительным противопоказаниям относятся: клаустрофобия (боязнь замкнутого пространства), наличие в теле пациента массивных не ферримагнитных металлических конструкций и протезов, наличие ВМС (внутриматочной спирали). Кроме того, все пациенты с магнитосовместимыми (не ферримагнитными) металлическими конструкциями могут обследоваться только по прошествии месяца после проведенного оперативного вмешательства.
Направление врача - необязательное условие посещения центра МРТ. Нам важна Ваша забота о своем здоровье, согласие на проведение обследования, а также отсутствие противопоказаний для проведения МРТ.
Любому человеку знакома головная боль, но если она повторяется подозрительно часто, безусловно, это нельзя оставить без внимания. Мы рекомендуем пациенту с сильными головными болями пройти МРТ головного мозга и его сосудов. В отдельных случаях этого может быть недостаточно, потому как не всегда причина головных болей связана именно с патологией головного мозга. Головные боли могут быть следствием шейного остеохондроза, поэтому наши специалисты дополнительно советуют пройти МРТ шейного отдела позвоночника и сосудов шеи.
Средняя продолжительность одного исследования в нашем центре составляет от 10 до 20 минут, однако, все зависит от выявленных изменений: иногда для уточнения заболевания врач-рентгенолог может расширить протокол исследования и прибегнуть к использованию контрастного усиления. В таких случаях время исследования увеличивается.
Магнитно-резонансная томография - это полностью безвредный и безопасный метод лучевой диагностики. В основе получения изображения МРТ отсутствует ионизирующие излучение, свойственное методу компьютерной томографии (КТ). Но существуют противопоказания, с которыми необходимо ознакомиться, перед тем как записаться на обследование.
Абсолютным противопоказанием к МРТ является беременность до трех месяцев. При подозрении на ургентные (угрожающие жизни) заболевания женщины решение о проведении МРТ в ранние сроки беременности принимает врач-гинеколог.
В нашем центре можно пройти МРТ во время беременности во втором и третьем триместре - для этого необходимо предоставить направление от лечащего врача, назначившего МРТ, а также справку от акушера-гинеколога о том, что проведение магнитно-резонансной томографии разрешено.
Читайте также:
- Строение ядер клеток. Химический состав клеток
- Ультразвуковое исследование при беременности. Оценка жизнеспособности плода
- Психологический портрет мужчины-изменника. Как предостеречь себя от измен?
- Отсутствие оргазма. Клинические примеры нарушения оргазма.
- Бронхиальная астма. Изменения легких при бронхиальной астме.
