КТ, МРТ при лангергансоклеточном гистиоцитозе основания черепа
Добавил пользователь Евгений Кузнецов Обновлено: 01.11.2025
ФГУ "НИИ пульмонологии" ФМБА России
ФГБУ "НИИ морфологии человека" РАМН, Москва
Научно-исследовательский институт скорой помощи им. Н.В. Склифосовского, Москва
ФГБОУ ВО «Первый Московский государственный медицинский университет им. И.М. Сеченова» Минздрава России, 119991, Москва, Россия;
ФГБУ «Научно-исследовательский институт пульмонологии Федерального медико-биологического агентства», 115682, Москва, Россия
ГБУЗ "НИИ скорой помощи им. Н.В. Склифосовского" Департамента здравоохранения Москвы;
ФГУ "НИИ пульмонологии" Федерального медико-биологического агентства России, Москва, Россия
Патоморфологические особенности лангергансоклеточного гистиоцитоза легких
Журнал: Архив патологии. 2014;76(6): 56‑60
Приведена клинико-рентгенологическая характеристика лангергансоклеточного гистиоцитоза легких (ЛКГЛ). Описаны патогистологические изменения в легких, охарактеризован клеточный состав гранулемы, приведены методы, позволяющие подтвердить диагноз ЛКГЛ. Приведено наблюдение ЛКГЛ с тяжелой дыхательной недостаточностью, по поводу которой проведена двусторонняя трансплантация легких с гистологическим исследованием удаленных легких.
Лангергансоклеточный гистиоцитоз легких (ЛКГЛ) (ранее используемые названия: легочная эозинофильная гранулема, легочный лангергансоклеточный гранулематоз, легочный гистиоцитоз Х) является редким заболеванием легких, его распространенность оценивают как 1:560 000 или 3-5% всех интерстициальных заболеваний легких. ЛКГЛ выявляют, как правило, в возрасте 20-40 лет у пациентов-курильщиков (обычно стаж курения свыше 10 пачек/лет) [1]. Курение считается единственным этиологически доказанным фактором заболевания. ЛКГЛ морфологически характеризуется формированием гранулем лапчатого вида, в состав которых входят клетки Лангерганса, пигментированные макрофаги, эозинофилы, лимфоциты, плазматические клетки.
Клетки Лангерганса впервые описаны P. Langerhans [2], впоследствии Birbeck при электронно-микроскопическом исследовании обнаружил, что клетки Лангерганса содержат в цитоплазме характерные гранулы, или Х-тельца [3].
Предполагают, что дендритические клетки могут появляться в легких из циркулирующих дендритических клеток под действием хемокинов, в результате дифференцировки предшественников под действием местных цитокинов, а также, возможно, в результате пролиферации предполагаемых клеток-предшественников непосредственно в легком или легочных макрофагов, трансдифференцирующихся в дендритические клетки [4].
«Эпителиальный» тип дендритических клеток характеризуется экспрессией CD1a, E-кадхерина, лангерина и S-100 [4].
Считают, что скопление клеток Лангерганса в легких происходит в результате пролиферации предполагаемых клеток-предшественников, возможно клональной. Однако ЛКГЛ не имеет характерных черт опухолевого заболевания, поскольку клетки Лангерганса пролиферируют медленно, болезнь часто спонтанно регрессирует. Кроме того, в конечной фиброзно-кистозной стадии заболевания клетки Лангерганса практически отсутствуют [5].
Некоторые авторы доказали, что пролиферация клеток Лангерганса при этом заболевании является клональной, однако это само по себе не подтверждает неопластический характер болезни и не указывает на злокачественный потенциал пролиферирующих клеток [6].
Таким образом, является ли настоящее заболевание воспалительным или неопластическим, в настоящее время не доказано.
Цель работы - описать клинико-рентгеноморфологические особенности ЛКГЛ.
Пациенты предъявляют неспецифические жалобы на кашель с отделением скудного количества мокроты, на одышку. Реже возникают жалобы на слабость, субфебрилитет, снижение массы тела, в единичных случаях - на кровохарканье, и тогда дифференциальный диагноз проводят прежде всего с туберкулезом легких. Гистиоцитоз легких в 10% наблюдений осложняется спонтанным пневмотораксом, который клинически проявляется внезапной резкой болью в грудной клетке и усилением одышки. Кроме того, у ряда больных выявляют тяжелую легочную гипертензию. Гистиоцитоз легких может протекать бессимптомно, в этом случае диагноз удается установить после выполнения рентгенологического исследования легких.
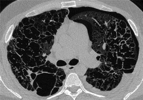
Рентгенологическая картина гистиоцитоза легких меняется в зависимости от стадии развития заболевания. Наиболее информативным рентгенологическим методом исследования при ЛКГЛ является компьютерная томография высокого разрешения (КТВР). На ранних стадиях заболевания при выполнении КТВР выявляют мелкие (3-6 мм, реже до 1 см) симметричные узелки в верхних и средних отделах легких, по мере прогрессирования заболевания появляются полости (рис. 1) Рисунок 1. КТ легких. Множественные симметричные узелки и полости в верхних отделах легких. , число которых со временем нарастает при одновременном регрессе узелков [7]. При длительном течении заболевания определяются множественные полости и участки «сотового легкого» (рис. 2) Рисунок 2. КТ легких. Множественные полости и участки «сотового легкого». . Для гистиоцитоза легких, в отличие от других интерстициальных заболеваний легких, патогномонично симметричное поражение верхних и средних отделов легких, поражение нижних отделов легких имеет место при тяжелом течении заболевания. Гистиоцитоз у взрослых чаще протекает в форме изолированного поражения легких, однако в 15% наблюдений имеет место поражение костей скелета, реже лимфатических узлов, кожи и других органов [8].
При гистологическом исследовании выявляют перибронхиолярные гранулемы типичного лапчатого вида (рис. 3) Рисунок 3. Перибронхиолярная гранулема «лапчатого вида», в состав которой входят гистиоциты, пигментированные макрофаги, эозинофилы и лимфоциты. Окраска гематоксилином и эозином. ×100. за счет распространения на прилежащие межальвеолярные перегородки разнообразного состава. Обязательным компонентом гранулем являются клетки Лангерганса, которые представляют собой клетки с эозинофильной цитоплазмой с плохо очерченными границами, ядра этих клеток бобовидной формы с извитой ядерной мембраной, ядрышки отсутствуют (рис. 4) Рисунок 4. Гранулема, состоящая из гистиоцитов и большого числа эозинофилов. Окраска гематоксилином и эозином. ×200. [9]. В состав гранулем могут входить пигментированные макрофаги и эозинофилы, лимфоциты, плазматические клетки, фибробласты, изредка гигантские клетки инородных тел. После стихания процесса на месте гранулемы остается «звездчатый» рубец. Наличие пигментированных макрофагов в составе гранулем и в просветах альвеол отражает аддикцию к курению. Помимо гранулем характерной лапчатой формы обнаруживают гранулемы неправильной формы, а также инфильтраты различной величины (рис. 5) Рисунок 5. Перибронхиолярный инфильтрат, состоящий из гистиоцитов, пигментированных макрофагов, эозинофилов, лимфоцитов. Окраска гематоксилином и эозином. ×100 . На поздних стадиях развития заболевания гистологически определяются участки интерстициального фиброза с наличием кистозных полостей, выстланных однорядным кубическим эпителием, в стенках которых определяются очаговые лимфогистиоцитарные инфильтраты (рис. 6) Рисунок 6. Интерстициальный фиброз с наличием кистозных полостей, выстланных кубическим эпителием, с очаговыми лимфогистиоцитарными инфильтратами в их стенках. Окраска гематоксилином и эозином. ×100. .
При выявлении типичных лапчатых гранулем диагноз ЛКГЛ становится очевиден. Однако при выявлении лишь мелких перибронхиолярных инфильтратов (рис. 7) Рисунок 7. Мелкий перибронхиолярный инфильтрат, состоящий из гистиоцитов и лимфоцитов. Окраска гематоксилином и эозином. ×400. либо только участков интерстициального фиброза с очаговой лимфогистиоцитарной инфильтрацией установить диагноз становится затруднительно. В сомнительных случаях диагноз подтверждает иммуногистохимическое исследование с антителами к CD1a, S100 и CD207 (лангерина), которое выявляет клетки Лангерганса в составе инфильтратов и гранулем (рис. 8, 9) Рисунок 8. Клетки Лангерганса в перибронхиолярном инфильтрате. Иммуногистохимическая реакция с антителами к CD1a. ×400 Рисунок 9. Клетки Лангерганса в мелком перибронхиолярном инфильтрате. Иммуногистохимическая реакция с антителами к CD1a. ×400. .
В качестве демонстрации тяжелого течения ЛКГЛ приводим следующее наблюдение.

Пациент П., 36 лет с анамнезом курения 20 пачка/лет, в настоящее время отказался от курения в связи с тяжестью состояния. Предъявлял жалобы на одышку в покое, усиливающуюся при минимальной физической нагрузке, кашель с отделением светлой мокроты и редкие эпизоды кровохарканья. Впервые за медицинской помощью обратился в 2010 г., был диагностирован рецидивирующий правосторонний пневмоторакс (3 эпизода), выполнен плевродез. В дальнейшем пациент стал отмечать одышку, не купирующуюся бронходилататорами. В 2013 г. в течение 6 мес принимал кортикостероиды. В июне и июле 2013 г. перенес 3 эпизода левостороннего пневмоторакса. При КТВР в июле 2013 г. выявлены множественные воздушные полости во всех отделах легких (рис. 10) Рисунок 10. КТВР. Множественные тонкостенные полости, сливающиеся между собой, субплевральные участки интерстициального фиброза. , сливающиеся между собой, а также участки «сотового легкого», внутригрудные лимфатические узлы увеличены до 1,8 см. При рентгенологическом исследовании костей скелета литические очаги не выявлены. На ЭКГ выявлено резкое отклонение электрической оси сердца вправо и блокада задней ветви левой ножки пучка Гиса, что отражает перегрузку правых отделов сердца. При ЭхоКГ выявлена трикуспидальная регургитация 2-й степени с градиентом давления 50 мм рт.ст. и дилатация правых отделов сердца как подтверждение вторичной легочной артериальной гипертензии. При исследовании функции внешнего дыхания ЖЕЛ =2,39 л (46,1%), ОФВ 1 =1,30 л (30,4%), ОФВ 1 /ЖЕЛ =54,51%, DLCO =10,40 (29,6%), что отражает выраженное нарушение вентиляции легких по обструктивному типу. В связи с тяжестью состояния в сентябре пациент был включен в лист ожидания трансплантации легких в НИИ СП им. Н.В. Склифосовского, в октябре выполнена успешная двусторонняя пересадка легких. В настоящее время состояние пациента удовлетворительное.

При макроскопическом исследовании висцеральная плевра обоих легких неравномерно утолщена с фрагментами спаек, на разрезах во всех отделах легких определяются множественные округлые воздушные полости диаметром от 1 до 5 см (рис. 11) Рисунок 11. Макропрепарат легкого на разрезе. Множественные полости различного размера. .
При гистологическом исследовании в ткани легкого выявляются поля интерстициального фиброза с множественными гистиоцитарными инфильтратами и наличием полостей, выстланных однорядным кубическим эпителием, в сохранной ткани легкого стенки альвеол несколько утолщены за счет пролиферации миофибробластов, что подтверждено при проведении иммуногистохимической реакции с антителами к актину гладких мышц (рис. 12 а, б) Рисунок 12. Пролиферация гладкомышечных клеток в стенках альвеол. а - окраска гематоксилином и эозином. ×100, б - иммуногистохимическая реакция с антителами к SMA. ×100. , в части просветов - скопления пигментированных макрофагов. Гистиоцитарная природа клеток подтверждена экспрессией в них CD1a (рис. 13) Рисунок 13. Инфильтрат из клеток Лангерганса в стенке кистозной полости. Иммуногистохимическая реакция с антителами к CD1a. ×40. . Отмечается фиброэластоз интимы ветвей легочной артерии с реканализацией части из них.
Особенностью приведенного клинического наблюдения является субтотальное поражение легких с участками интерстициального фиброза и признаками вторичной артериальной гипертензии, а также пролиферация миофибробластов в межальвеолярных перегородках.
ЛКГЛ является редким заболеванием легких с многообразными патоморфологическими проявлениями, варьирующими от мелких перибронхиолярных инфильтратов до субтотального интерстициального фиброза, диагностика которого опирается на иммуногистологическое исследование с антителами к CD1a, S100 и CD207 (лангерину).
Уникальный случай МРТ-диагностики: Гистиоцитоз из клеток Лангерганса
В одном из наших центров МРТ-диагностики в Сочи было проведено обследование пациента с интересной и редкой патологией.
Подросток 13 лет предъявлял жалобы на боли в грудном отделе позвоночника в течение 2 месяцев. При этом наличие повышенной температуры (лихорадки) и каких-либо травм он категорически отрицал.
Показания МРТ диагностики
При проведении МРТ грудного отдела позвоночника были выявлены следующие изменения: значительное понижение высоты тела 2 грудного позвонка (Th2), его уплощение. На этом фоне отмечалось увеличение высоты смежных с телом уплощенного позвонка межпозвонковых дисков - Th1/2 и Th2/3 с нерезко выраженным повышением интенсивности МР-сигнала от данных дисков (симптом «трамвайной колеи»).
Помимо выявленных изменений в теле Th2 позвонка, также отмечалось уменьшение размеров, деформация тела Th6 позвонка с наличием паравертебрального (кпереди и в боковые стороны от тела деформированного позвонка) и эпидурального (в направлении позвоночного канала, спинного мозга) мягкотканых компонентов. Спинной мозг не сдавлен, но отмечаются начальные признаки искривления вертикальной оси позвоночника на уровне Th6 позвонка (усиление грудного кифоза).
Трактовка результатов
Наша задача, как врачей лучевой диагностики, состоит не только в полной описательной картине выявляемых патологических изменений, но и максимально точной ее трактовке (какое именно заболевание или патологический процесс вызвал данные изменения).
В связи с этим нашими докторами было предложено несколько возможных патологических состояний, которые могут давать похожую МР-картину, а именно:
а) обсуждалась возможность воспалительного характера выявленных изменений - спондилита
б) травматический характер патологии, т.е. переломы тел Th2, Th6 позвонков травматического характера (несмотря на то, что пациент отрицает наличие у себя травм позвоночника, мы должны анализировать и такую возможность)
в) переломы тел позвонков метастатического характера (предположение основано на возможности наличия первичной опухоли в организме пациента, которая дает отдаленные метастазы с поражением позвонков, с их последующим переломом)
г) специфическое поражение тел позвонков вследствие гранулематозного воспаления (доброкачественный процесс), гистиоцитоз Лангерганса.
Скайп-планерка
Kоллегиальное обсуждение интересных, редких и уникальных случаев в формате скайп-конференции стало неотъемлемой частью нашей работы, способствующей принятию правильного диагностического решения, минимизации рисков ошибок и обмена опыта между докторами.
Из предложенного дифференциального диагностического ряда врачи сети во время совместного обсуждения исключили такие патологии, как спондилит и перелом травматического характера.
При дальнейшем обсуждении были выявлены типичные признаки, характерные для болезни Лангерганса, а именно: форма деформированных позвонков, симптом «трамвайной колеи», определенная форма деформации тела Th6 позвонка с наличием мягкотканых компонентов, возраст пациента, клинические данные.
С учетом этого коллегиально пришли к выводу, что картина нехарактерна для метастатического поражения тел позвонков, и что наиболее вероятный диагноз в данном случае - именно болезнь Лангерганса.
Болезнь Лангерганса
Гистиоцитоз из клеток Лангерганса (прежние термины: гистиоцитоз Х, болезнь Хенда-Шюллера-Крисчена, эозинофильная гранулема, болезнь Таратынова, болезнь Леттерера-Сиве) - исключительно разнообразное по клиническим проявлениям и течению заболевание, характеризующееся накоплением и/или пролиферацией в очагах поражения клеток с характеристиками эпидермальных гистиоцитов - клеток Лангерганса.
В 1987 г. историческое название “Гистиоцитоз Х” было предложено заменить термином “Гистиоцитоз из клеток Лангерганса”, так как последний отражает гистогенетическое происхождение клеток, составляющих морфологическую и патофизиологическую основу данного заболевания.
Гистиоцитоз из клеток Лангерганса - редкое заболевание, причины которого не известны, в детском возрасте встречается с частотой 3-4 случая на 1 миллион детского населения в год, у взрослых - еще реже, с частотой не превышающей 1: 560 000 взрослых.
Эффективность МРТ диагностики
В данном случае метод МРТ дал возможность с высокой вероятностью предположить болезнь Лангерганса при первичном исследовании. Несмотря на то, что при рентгенографии позвоночника также можно выявить отдельные симптомы, характерные для этой болезни, следует отметить, что метод МРТ позволяет получить гораздо более диагностически значимую и полную информацию.
С помощью МРТ обследования были оценены не только состояние костных структур у пациента, но и прилежащих мягких тканей, межпозвонковых дисков. Все это в совокупности позволило с наибольшей точностью сформулировать диагностическое заключение.
Как сообщает доктор центра «МРТ Эксперт Сочи» Е. Болховитина, полученные данные пациент отправил в цифровом формате для удаленного консультирования в ведущие центры диагностики
Москвы и Израиля. С нашими выводами там полностью согласились и дали пациенту рекомендации на дообследование в нашем центре для последующего лечения. Для окончательного подтверждения диагноза необходимо проведение биопсии и морфологическое обследование.
Легочный лангергансоклеточный гистиоцитоз
(эозинофильная гранулема, легочный гранулематоз X, легочный лангергансоклеточный гранулематоз, гистиоцитоз X)
, MD, MAS, University of Colorado School of Medicine
Легочный лангергансоклеточный гранулематоз (ЛЛКГ) представляет собой пролиферацию моноклональных клеток Ларгенганса в интерстиции и воздушных пространствах легкого. Этиология заболевания неизвестна, курение имеет первостепенное значение. Проявлениями являются одышка, кашель, усталость и плевритическая боль. Диагноз основывается на данных анамнеза и лучевых исследований, в некоторых случаях выполняется бронхоальвеолярный лаваж и биопсия. Лечение предполагает прекращение курения. Во многих случаях назначают кортикостероиды, но их эффективность неизвестна. Трансплантация легкого, как правило, эффективна, если сочетается с отказом от курения. Пятилетняя выживаемость составляет около 74%. Пациенты имеют повышенный риск развития рака.
Лангергансоклеточный гистиоцитоз - это заболевание, при котором моноклональные CD1а-позитивные клетки Лангерганса (разновидность гистиоцитов) инфильтрируют бронхиолы и интерстиций альвеол, где обнаруживаются в сочетании с лимфоцитами, плазматическими клетками, нейтрофилами и эозинофилами. ЛЛКГ - одно из проявлений гистиоцитоза из клеток Лангерганса Лангергансоклеточный гистиоцитоз Лангергансоклеточный гистиоцитоз (ЛКГ) представляет собой распространение дендритных одноядерных клеток с инфильтрацией в органы, локально или диффузно. Чаще всего наблюдается у детей. Манифестация. Прочитайте дополнительные сведенияЭтиология ЛЛКГ неизвестна, но заболевание встречается почти исключительно у курящих представителей европеоидной расы в возрасте 20-40 лет. Мужчины и женщины заболевают в равной степени. У женщин заболевание развивается позже, но различия по полу для параметру возраста возникновения может отображать различияв курительном поведении. Патофизиологические механизмы включают увеличение и пролиферацию клеток Лангерганса под действием цитокинов и факторов роста, выделяемых альвеолярными макрофагами в ответ на сигаретный дым.
Клинические проявления
Типичными клиническими проявлениями лангергансоклеточного гистиоцитоза являются одышка, непродуктивный кашель, утомляемость, потеря веса и плевритическая боль. У 10 - 25% пациентов развивается внезапный, спонтанный пневмоторакс Пневмоторакс Пневмоторакс - это скопление воздуха в плевральной полости, что приводит к частичному или полному коллапсу легкого. Пневмоторакс может развиваться спонтанно, в результате травм или медицинских. Прочитайте дополнительные сведенияУ приблизительно 15% пациентов заболевание протекает бессимптомно и диагностируется случайно при рентгенографии грудной клетки, назначенной по другой причине.
КТ, МРТ при лангергансоклеточном гистиоцитозе основания черепа
Гистиоцитоз из клеток Лангерганса - группа заболеваний клеток с длинным отростками-дендритами. Они образуются в костном мозге и в норме находятся в коже, слизистых оболочках и в легких. Эти клетки были открыты в позапрошлом веке Паулем Лангергансом и с тех пор носят его имя.
Гистиоцитозы из клеток Лангерганса бывает двух типов:
Гистиоцитоз из клеток Лангерганса с изолированным поражением легких
Этот вид гистиоцитоза является не опухолевым, а реактивным процессом. В этом случае заболевшие клетки остаются нормальными и есть вероятность, что они поправятся сами. Чаще всего он развивается в ответ на воздействие на легкие (курение!) у предрасположенных людей. Появляется сухой кашель, одышка, а при компьютерной томографии вместо нежной губчатой ткани легких доктор видит участки без легочной ткани - буллы.
Рисунок 1. Нормальная КТ-картина легких Рисунок 2. Легочные КТ-изменения у пациента с гистиоцитозом
Легочная ткань вокруг булл теряет прочность, и, если не приступить к лечению, то она при обычном дыхании может порваться, и воздух из легкого попадет в грудную клетку. Возникает осложнение - пневмоторакс, при котором спадается одно легкое, и больному внезапно становится трудно дышать. В этом случае требуется уже хирургическое лечение: на несколько дней вводят специальные трубочки (дренажи) в грудную клетку, чтобы выпустить воздух. В тяжелых случаях приходится отсекать пораженный участок легкого.
Диагноз
Чтобы установить диагноз «гистиоцитоз из клеток Лангерганса», нужно взять фрагмент легкого на гистологический и иммуногистохимический анализ. Если диагноз подтвердился, то всех пациентов ради исключения системного процесса необходимо обследовать для оценки сохранности костной ткани (рентгенография черепа, костей грудной клетки и таза) и исключить изменения в других органах (печень, кожа…), если есть жалобы.
Лечение
Самая частая причина легочного гистиоцитоза - это курение, поэтому первое действие -- бросить курить. Уже полный отказ от курения приводит к значительному улучшению самочувствия пациента: уменьшается кашель и одышка. Половина пациентов выздоравливает полностью. Если пациент бросил курить, а ему не стало легче, стоит начинать системную терапию преднизолоном или короткими курсами химиопрепаратов. Пациенты с легочным поражением предрасположены к бронхитам или другим инфекциям легких, поэтому для уменьшения риска необходима вакцинация от наиболее частых инфекций - гриппа и пневмококка.
Гистиоцитоз из клеток Лангерганса с внелегочным поражением
Причина развития этого вида гистиоцитоза пока неизвестна. Чаще всего болезнь появляется в коже, костях, зубах, в головном мозге, гипофизе… Могут поражаться и легкие. Как правило, пациенты чувствуют себя нормально, пока не появляются жалобы со стороны пораженных органов: боли в месте роста опухоли, одыщка… Если болезнь появляется в гипофизе (это маленький участок мозга, отвечающий за эндокринную систему, обмен веществ), то развивается несахарное мочеизнурение (несахарный диабет) или другие эндокринные расстройства.
Чтобы установить диагноз «гистиоцитоз из клеток Лангерганса», необходимо взять на анализ фрагмент опухоли или измененной ткани. Для исключения системности заболевания необходимо сделать рентгенографию костей, а при наличии жалоб обследовать и другие органы.
Выбор терапии внелегочного гистиоцитоза зависит от того, насколько болезнь распространена. Одиночные поверхностные опухоли кожи можно удалить хирургически или использовать местное облучение. Детей с множественным поражением лечат длительным введением малых доз химиопрепаратов. Когда попытались применить к взрослым детские схемы лечения, то оно тоже подействовало положительно, однако многие пациенты жаловались на неприятные побочные эффекты терапии. Поэтому взрослых пациентов лечат по другим схемам.
Современные методики лечения позволяют полностью вылечить более 65% пациентов с гистиоцитозами.
Эозинофильная гранулёма, лангергансоклеточный гистиоцитоз, фистульный симптом Эннебера
Эозинофильная гранулёма — это гранулематозная фаза болезни Хенда-Шюллера-Крисчена. Некоторые авторы рассматривают эозинофильную гранулёму как опухоль. Эозинофильная гранулёма сравнительно редкое заболевание. Эозинофильная гранулема встречается в любом возрасте, но преимущественно у детей и молодых лиц.
Заболевание (лангергансоклеточный гистиоцитоз) сменило несколько имен, в том числе болезнь Хенда-Шюллера-Крисчена, болезнь Абта-Леттерера-Сиве, и гистиоцитоз х, пока не был переименован в 1985 году изучающим гистиоцитоз сообществом.

На компьютерной томографии (КТ) видно поражение черепа с классическими для эозинофильной гранулёмы скошенными краями.
Эозинофильная гранулёма протекает как очаговый остеолитический (растворение кости) процесс в кости с предпочтительной локализацией в своде черепа (чаще лобной кости), рёбрах, длинных трубчатых костях, тазу. Височная кость одна или с другими очагами — излюбленная локализация эозинофильной гранулёмы.
При одиночном поражении эозинофильной гранулёмой прогноз хороший (возможен фиброз со спонтанным излечением), однако наблюдается и переход в злокачественный гистиоцитоз. При множественном поражении эозинофильной гранулёмой прогноз плохой.
Течение заболевания эозинофильной гранулёмы — как при хроническом гнойном среднем отите (гноетечение из уха, грануляции или полип в наружном слуховом проходе, иногда боль в ухе, нередко парез лицевого нерва). Наблюдается отёчность позади ушной раковины или (реже) кпереди и кверху, редко — свищ.
При инфильтративном поражении капсулы, эндооста лабиринта — у пациента наблюдаются симптомы поражения внутреннего уха. При рентгенологическом исследовании выявляется костный дефект без реактивного склероза в сосцевидном отростке или чаще височной кости. Иногда дефект костной ткани пальпируется через отёчные ткани. При распространённом процессе эозинофильной гранулёмы возможна деструкция (разрушение) всей пирамиды височной кости с симптомами поражения черепных нервов.

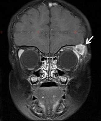
МРТ головного мозга и костей черепа с контрастирование - T1 взвешенное изображение на коронарном срезе демонстрирует эозинофильную гранулему как массу, накапливающую контраст, в области левой орбиты на уровне верхней части височной кости.
Читайте также:
