МРТ плеча во фронтальной проекции норма
Добавил пользователь Владимир З. Обновлено: 22.11.2025
Нередко пациентов интересует, можно ли самостоятельно расшифровать фото МРТ, что означают темные и светлые участки на снимках, где посмотреть примеры изображений здорового головного мозга. На эти вопросы ответим в нашей статье.
Магнитно-резонансная томография - один из наиболее информативных методов диагностики. Технология является неинвазивной и абсолютно безопасной для людей любого возраста. Лечащий врач назначает процедуру при подозрении на опухоли или при наличии в анамнезе пациента патологий сосудов (особенно важна диагностика после инсультов), гормональных нарушений, эпилептических припадков. Расшифровка МРТ головного мозга помогает выявить причины:
- тошноты и рвоты по утрам;
- стойкого повышения артериального/внутричерепного давления;
- регулярных головных болей (у людей старше 50 лет данный симптом может указывать на предынсультное состояние);
- внезапного ухудшения зрения;
- судорожных приступов;
- резкого изменения поведения;
- шума в ушах, головокружений;
- частых потерь сознания и других симптомов поражения органа.
МРТ необходима в случае подозрения на новообразования (диагностика покажет степень инвазии опухоли в здоровые ткани), для отслеживания динамики патологического процесса, контроля результатов лечения, в том числе хирургического.
Детям сканирование на магнитно-резонансном томографе делают для определения причин отставания в развитии, приступов судорог, при выраженной гидроцефалии (один из признаков аномалии - увеличение размеров головы) и пр. Применение контраста расширяет возможности исследования: дополнительные средства визуализации позволяют выявить болезни церебральных сосудов, онкологические и другие процессы.
Как выглядит фото снимок МРТ головного мозга?
Магнитно-резонансная томография помогает диагностировать целый ряд заболеваний. Заключение МРТ головного мозга отражает:
- врожденные пороки развития органа;
- патологии сосудистой системы;
- острые нарушения кровообращения (ишемический и геморрагический инсульты на разных стадиях);
- наличие кист, опухолей (расшифровка МРТ головного мозга не является окончательным диагнозом, для верификации характера новообразования проводится биопсия);
- демиелинизирующие процессы (рассеянный склероз и др.);
- инфекционно-воспалительные заболевания;
- последствия черепно-мозговых травм;
- нарушение обмена веществ в головном мозге;
- нейродегенеративные расстройства и др.
МР-снимок церебральных структур в режиме Т2 (аксиальная проекция)
Анализ результатов МРТ головного мозга заключается в расшифровке снимков, выполненных в трех плоскостях (аксиальной, сагиттальной и коронарной) с шагом среза от 1 мм. Сканирование области интереса проводят в разных режимах. Основными являются Т1 и Т2 ВИ. Отличие режимов друг от друга состоит в отображении структур, содержащих жидкость. Ткань с большим количеством воды в режиме Т1 имеет на фото темную окраску, в Т2 - светлую. По-разному выглядит серое вещество головного мозга. В последовательности Т2 субстанция визуализируется в светлом оттенке.
МР-снимок головного мозга в режиме Т1 (аксиальная проекция)
Для сканирования церебральных структур применяют и другие режимы - с целью снижения интенсивности сигнала от жира, изучения распределения протонов водорода в мозговой ткани и т.д.
При описании фотографий врач сравнивает полученные показатели с образцами нормы. Для правильной интерпретации снимков МРТ специалист должен разбираться в строении головного мозга человека. Нужно знать размеры каждой структуры, понимать, что значат отклонения от нормальных параметров, хорошо ориентироваться в вопросах физиологии и патологической анатомии.
Норма МРТ головного мозга
Нормальное состояние ткани мозга на МР-снимке головы (сагиттальная проекция)
Формирование заключения при расшифровке МРТ головного мозга - сложный многоэтапный процесс. Изучение картины начинают с полушарий. Контуры должны быть четкими, округлой формы. В норме на изображениях полушарий нет грубых вдавливаний и выпячиваний. Далее исследуют структуру вещества головного мозга. При отсутствии патологий очаговые и диффузные изменения на фото не наблюдаются. Третий этап изучения снимков - оценка желудочковой системы. Любое уменьшение или увеличение размера последней или ее отдельных частей считают отклонением. При МРТ с усилением у здорового человека контрастное вещество быстро покидает сосудистое русло и концентрируется в области патологических изменений.
Как читать результаты МРТ головного мозга?
В заключении врач описывает состояние рассматриваемых структур. При обнаружении в результатах магнитно-резонансной томографии патологического очага специалист оценивает следующие параметры:
- положение - локализация помогает определить, какие отделы головного мозга поражены и прогнозировать последствия;
- форму, размер зоны поражения;
- контуры;
- оттенок - по изменению тона серого цвета на томографических снимках (участки затемнения, просветления) врач может сделать вывод о природе патологического процесса;
- специфические характеристики, свойственные тому или иному заболеванию.
Результаты МРТ мозга с контрастом показывают наличие опухоли (пораженная часть выделена красным): патологический очаг, в отличие от здоровой ткани, интенсивно накапливает усилитель, четкие границы и связь с твердой оболочкой дают возможность предположить доброкачественное образование
Томограммы должен расшифровывать специалист. Прочитать снимки самостоятельно можно лишь приблизительно. Профессионал увидит на фото:
- опухоли - для доброкачественных образований характерны ровность краев и наличие капсулы, опасные патологии, как правило, отличаются нечеткими границами, имеют собственную сосудистую сеть и внедряются в окружающие структуры; множественные очаги на картине могут указывать на метастазы;
- болезни сосудов:
- стеноз - сужение стенок артерий и вен;
- мальформации - неправильное соединение сосудов;
- аневризмы - выпячивание стенки артерий (просвет может быть расширен более, чем в два раза);
- признаки тромбоза - в описании МРТ мозга с контрастом указывают, что имеется окклюзия (прекращение кровотока) или дефект наполнения сосуда;
- атеросклеротические бляшки и т.д.
- гидроцефалию - на патологическое скопление ликвора указывает расширение полости желудочков и/или субарахноидальных пространств;
- инсульт - область, пострадавшая от гипоксии,;
- рассеянный склероз - в разных областях белого вещества появляются мелкие очаги демиелинизации;
- возрастные изменения - МРТ-картина головного мозга показывает истончение коры, сокращение гиппокампа, расширение извилин и др.

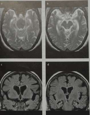
Атрофия головного мозга при болезни Альцгеймера на снимках МРТ: а, b - Т2 ВИ в аксиальной проекции, с, d - режим FLAIR в коронарной плоскости. Визуализируются истончение коры теменной и височной долей, особенно в области гиппокампа. Височные рога боковых желудочков расширены
При врожденных пороках МР-снимки патологии головного мозга детально сравнивают с нормой. Некоторые аномалии не представляют опасности для жизни и не требуют лечения.
После обследования во многих клиниках предусмотрена консультация с врачом лучевой диагностики. Доктор дает пояснения по поводу обнаруженных изменений. Для пациента расшифровывается, какие структуры головного мозга затронуло поражение, с чем связан патологический процесс, обсуждаются вероятные последствия. В некоторых ситуациях требуется многократное магнитно-резонансное сканирование для наблюдения динамики и определения скорости прогрессирования заболевания.
Точно расшифровать МРТ головного мозга без помощи специалиста нельзя. Человек без медицинского образования не сумеет различить нормальные показатели и отклонения, понять значение изменения цвета и т.д. Чтобы читать снимки, надо знать множество нюансов. Одинаковые патологии могут по-разному выглядеть в зависимости от возраста человека. Поставить правильный диагноз прио расшифровке МРТ головного мозга способен лишь опытный врач.
Что показывает КТ плечевого сустава, КТ или МРТ - что лучше?
КТ плечевого сустава обосновано сделать, если выполненные ультразвуковое исследование и рентгенография не смогли уточнить причину появления жалоб или есть веские подозрения на патологию костно-суставного аппарата данной области. Данное исследование полезно при наличии противопоказаний к магнитно-резонансной томографии (МРТ). Во время КТ-сканирования создаются изображения поперечного сечения плеча с помощью рентгеновских камер и специальных программ. Компьютерная томография плеча может быть выполнена нативно или с контрастированием.
Что показывает КТ плечевого сустава
Фото компьютерной томографии плечевого сустава
Плечевой сустав самый подвижный в организме человека. Огромный диапазон перемещений приводит к его нестабильности, поэтому вывихи и травмы регистрируются часто. Дислокация суставной головки из своего ложа увеличивает вероятность повреждения, что часто приводит к дегенеративному процессу, при котором окружающие сустав ткани постепенно разрушаются и перестают нормально функционировать. Что можно обнаружить на томограммах? КТ плечевой кости демонстрирует сложность перелома, смещение отломков и угол, образуемый их положением. Способность визуализировать изображения в осевой, сагиттальной и корональной плоскостях, а также в трехмерном формате, помогает в интерпретации картины повреждения и предоперационном планировании.
КТ плеча позволяет диагностировать следующие патологические процессы:
инфекционное поражение суставного аппарата;
тромбообразование в сосудах плечевого сустава;
системные заболевания соединительной ткани с вовлечением плечевого сочленения;
разрывы сухожилий, мышц, связочного аппарата;
посттравматические повреждения (вывих, подвывих, перелом, растяжение, ушиб) и осложнения (остеонекроз, рубцовые деформации и пр.);
дистрофические изменения рассматриваемой области;
опухолевый процесс (включая метастатические поражения) в суставе.
Окончательно диагноз верифицируют с учетом совокупности результатов всех исследований. Эффективность терапии выше после прохождения полной диагностики, а схема лечения напрямую связана с патогенетическим фактором. КТ плечевого сустава позволяет врачу дать оценку костям, мягким тканям, костно-суставным сочленениям и обнаружить отклонения.
Как делают КТ плечевых суставов
Положение пациента во время исследования
Сделать КТ плечевой кости в Санкт-Петербурге можно в одном из диагностических центров, в отделении радиологии больницы или клиники, где есть компьютерный томограф. Предварительно нужно записаться, связавшись с оператором через форму сайта или по телефону. Возможно прохождение обследования в экстренном порядке в день обращения.
Как проходит процедура КТ плечевой кости
Техник попросит Вас принять определенную позу; для дополнительной фиксации конечности могут быть использованы подушки или ремни - это поможет сохранить правильное положение и получить качественные изображения. Вам также может потребоваться задержать на несколько секунд дыхание во время коротких отдельных сканирований, чтобы предотвратить размытость на снимках. Из соседней комнаты техник с помощью пульта дистанционного управления переместит Вас вглубь томографа, и начнется сама процедура, во время которой специальные датчики будут вращаться вокруг тела. Для экстренных ситуаций в ходе сканирования под рукой есть кнопка для связи с персоналом. После завершения необходимо подождать некоторое время, чтобы техник убедился в качестве полученных томограмм: они должны быть четкие, чтобы в дальнейшем врач мог их правильно прочитать. Типичная КТ занимает 5-10 минут, что актуально в диагностике острых травматических повреждений.
Подготовка к исследованию плеча
Нативная компьютерная томография плечевой кости - один из неинвазивных тестов визуализации, и ее прохождение не требует особой подготовки. Достаточно выбрать свободную удобную одежду без замков и металлических застежек, убрать украшения: заколки, цепочки, часы и пр. Косточки бюстгальтера также могут привести к появлению артефактов на изображениях, поэтому об этом лучше позаботиться заранее. С собой нужно взять результаты предыдущих обследований и выписки из стационара, если таковые есть. После диагностики можно заниматься привычными делами.
Контрастирование

Введение в вену контраста через катетер
Контрастирование значительно улучшает четкость томограмм и позволяет рассмотреть мельчайшие детали, которые не показывает простое (нативное) компьютерное сканирование, рентгенография и УЗИ плечевого сустава. В большинстве случаев внутривенного усиления не требуется, а его использование зарезервировано для патологических процессов, подозрительных на опухоль или абсцесс кости. Если процедура подразумевает введение контрастного вещества, есть определенные нюансы, которые необходимо знать:
Внутривенная инъекция радиофармпрепарата на голодный желудок повышает вероятность развития вегетативной симптоматики: головокружения, тошноты, слюнотечения. Поэтому перед обследованием, за 30-45 мин., нужно неплотно перекусить.
Если ранее отмечалась аллергическая реакция на контраст, сообщите об этом врачу. Ощущение горячих приливов, учащенное сердцебиение, легкие диспепсические расстройства, которые исчезли через несколько минут самостоятельно, рассматриваются как вариант нормы и не являются противопоказаниями к контрасту.
От приема Метформина при сахарном диабете необходимо отказаться за 36 часов до КТ с усилением, отмену лекарства следует обязательно обсудить с эндокринологом.
Перед обследованием с контрастированием, даже если никогда не было заболеваний почек, необходим анализ крови на креатинин. Результаты действительны в течение 10 дней.
Показания и противопоказания
Компьютерная томография имеет свои показания и противопоказания
Если альтернативные методы визуализации не дают исчерпывающей информации или есть противопоказания к МРТ, КТ является хорошей альтернативой для установления диагноза. Компьютерное сканирование плеча обычно используют для оценки состояния сустава после протезирования, переломов, вывихов. Врач может назначить это исследование, если пациента беспокоят боли в плече, характерные пощелкивания, ограничение объема движения, припухлость и покраснение кожных покровов над суставом.
Как и при любом рентгеновском исследовании, во время прохождения компьютерной томографии присутствует некоторое облучение. Его уровень абсолютно безопасен для взрослых, если диагностика проводится на современном качественном томографе. Во время беременности, лактации и в детском возрасте до 14 лет радиационное воздействие может оказать неблагоприятное влияние на организм, поэтому предпочтительнее сделать МРТ или УЗИ плечевого сустава. Компьютерное сканирование для этой категории лиц может быть выполнено по жизненным показаниям. Женщине, не исключающей желанную беременность на ранних сроках, необходимо воздержаться от любых рентгенологических обследований.
Существуют ограничения и по весу пациента: КТ невозможно по техническим причинам, если масса тела превышает 150 кг.
Противопоказания для контрастной КТ
Современные радиофармпрепараты имеют минимальный риск развития побочных эффектов, но некоторой категории пациентов КТ с усилением не назначают. Абсолютными противопоказаниями к введению контраста служат:
реакции гиперчувствительности (поливалентная аллергия, крапивница, отек Квинке, анафилактический шок) на радиофармпрепарат.
хроническая почечная недостаточность в стадии суб- и декомпенсации.
состояние после трансплантации почки, нефрэктомии.
В этих случаях вопрос о возможности выполнения компьютерной томографии с введением контраста решается в индивидуальном порядке.
В диагностическом центре “Магнит” (Санкт-Петербург) можно сделать КТ и МРТ плеча в удобное для Вас время. Действует гибкая система скидок, мы работаем в режиме 24/7. В ночные часы цены обследования ниже. Современный томограф, высокое качество снимков, опытные специалисты, индивидуальных подход к каждому пациенту - все, что необходимо для определения причины болезни.
Фото томографии плечевого сустава
КТ при нестабильности плеча
А - дисплазия гленоида;
В - повреждение Хилл-Сакса (субхондральный перелом), дефект головки плечевой кости после вывиха плеча;
С - повреждение Банкарта (отрыв ободка от костной впадины с вывихом плеча вперед, разрушение краев лопаточной впадины - места прикрепления хряща);
D - повреждение Хилл - Сакса в переднем отделе суставной губы;
Е - 3D-реконструкция переднего вывиха плеча;
F- задний перелом с вывихом плеча.
Наиболее часто КТ плечевого сустава выполняют по поводу травматических повреждений. Они различаются по механизму альтерации: падение на вытянутую руку, прямой удар и пр. Врач-рентгенолог после анализа томограмм выявляет причину, а ортопед определяет оптимальную тактику ведения. Иногда повреждение может быть настолько серьезным, что пациенту необходимо эндопротезирование плечевого сустава.
Рентгенограмма и компьютерная томограмма у пациента с тяжелым переломом и вывихом правого плечевого сустава до операции
При соблюдении всех рекомендаций (ношение ортеза, дальнейшая разработка, динамическое наблюдение с контрольной КТ плеча и пр.) качество жизни не страдает.
МРТ плечевого сустава что показывает
МРТ плечевого сустава - метод диагностики болезней крупных суставов, который обладает множеством преимуществ. Он не требует проведения болезненных процедур, необходимых при эндоскопическом исследовании или анализе внутрисуставной жидкости. МРТ - очень безопасная процедура, из-за отсутствия облучения, которая может применяться даже во время беременности и у детей. В основе магнитно-резонансной томографии - использование магнитных полей и радиоволн, взаимодействие которых позволяет получать подробные снимки исследуемой области. По ним врачи легко определяют, какое заболевание беспокоит пациента.
Строение и анатомия плечевого сустава
Плечевой сустав - самое подвижное сочленение у человека, образованное головкой плечевой кости и лопаткой. Отсутствие у него мощных связок компенсируется мышцами плечевого пояса и верхних конечностей, окружающих плечо наподобие корсета. С одной стороны это обеспечивает большую подвижность, с другой — объясняет, почему плечевой сустав легко вывихнуть.
По периферии сустав окружен короткими связками, образующих суставную капсулу. Она объединяет сустав в одно целое и удерживает суставные поверхности головки плечевой кости и лопатки в оптимальном положении. Внутренняя поверхность суставной капсулы покрыта синовиальной оболочкой, продуцирующей жидкость в полость сустава, играющей роль смазки и питающей хрящ.
На МРТ плечевых суставов хорошо видны все анатомические структуры, образующие сочленение. Метод позволяет оценить состояние мягких тканей и хрящей плеча, связок, суставной капсулы, полости сустава, сухожилий и мышц.
Какие бывают заболевания плечевого сустава
Все болезни плечевого сустава можно поделить на несколько групп:
- травмы (вывихи, переломы, разрывы связок и сухожилий) и их последствия (нестабильность плечевого сустава, привычный вывих плеча);
- дегенеративно-дистрофические патологии (остеоартрозы);
- воспалительные заболевания (артриты, бурситы, тендиниты, синовиты);
- новообразования.
МРТ плечевого сустава используется для диагностики всех возможных заболеваний, возникающих в данной области.

Травмы плечевого сустава
Травмы плеча - одна из самых частых причин для обращения к травматологу. Как указывалось выше, особенности плечевого сустава способствуют частым вывихам, разрывам связок и сухожилий, из-за чего возникают такие состояния как привычный вывих и нестабильность плечевого сустава. При прямом физическом воздействии могут диагностироваться внутрисуставные переломы головки плечевой кости и суставной впадины лопатки.
Дегенеративно-дистрофические патологии плечевого сустава
Остеоартроз или деформирующий остеоартроз - патология, возникающая при нарушении питания суставных хрящей. Непосредственной причиной болезни может быть травма, воспаление, нарушения обмена веществ, врожденная предрасположенность, асептический некроз головки плечевой кости. В результате происходит замедление естественного процесса обновления хрящевых тканей, которые постепенно истончаются и замещаются грубой соединительной и костной тканью. Человек испытывает боль, ограничение подвижности сустава, нарушение функции верхних конечностей.
Воспалительные заболевания плечевого сустава
Воспаление суставной сумки (артрит) и окружающих плечевой сустав мягких тканей (бурситы, синовиты, тендиниты) может возникать как следствие основного заболевания (ревматизм, ревматоидный артрит), так и в результате попадания инфекции, вследствие хронической или острой травмы. В 15% случаев установить причину данной группы болезней невозможно.
Новообразования
Плечевой сустав может поражаться как первичными опухолями мягких тканей и костей, так и при метастазировании из отдаленных очагов. Не редкость и доброкачественные новообразования.
Симптомы, при которых стоит сделать МРТ плеча
Магнитно-резонансная томография плечевых суставов показана при наличии следующих жалоб пациента:
- боли в плечевом суставе, часто усиливающиеся при движении в плече;
- ограничение подвижности, нарушение функции верхних конечностей на больной стороне;
- отёк, покраснение кожи в области плечевого сустава;
- хруст, щелчки, дискомфорт, возникающие при движениях в плече и/или в определенном положении руки;
- новообразования, узлы и шишки, определяющиеся в области плеча невооруженным взглядом или при прощупывании.
В каких случаях МРТ делать запрещено
МР-томография - безопасный метод диагностики, однако это справедливо при соблюдении правил предосторожности и отсутствии противопоказаний. В противном случае исследование может нанести вред здоровью. МРТ запрещается проводить, если:
- у пациента имеется кардиостимулятор, дефибриллятор, кохлеарный имплант или любое другое медицинское устройство, имплантированное в организм;
- вес пациента превышает 130 кг, окружность тела больше 150 см (человек такой комплекции физически не может поместиться в аппарат);
- пациент - ребенок до 5 лет (дети младше не могут сохранять неподвижность во время всего исследования, из-за чего МРТ должно проводиться в специализированном детском лечебном учреждении под наркозом);
- пациент - беременная в I триместре беременности (исследование не рекомендуется “на всякий случай”, несмотря на то что за много лет применения МРТ ни разу не стало источником проблем со здоровьем у женщины или плода);
- в теле пациента имеются металлические инородные тела - мелкая металлическая стружка в глазах, не извлеченные пули, осколки (это особенно важно для пациентов, перенесших операции на головном мозгу и сосудах - в таких случаях врачи часто используют металлические клипсы, которые устанавливаются на артерии для остановки кровотечения).
МРТ плечевого сустава - подготовка
МР-томография плечевых суставов проводится в любое удобное для пациента время, исследование не требует предварительной подготовки. Нет необходимости в диете, разрешается есть и пить, но комфортнее проходить обследование после легкого, а не плотного приема пищи.

Так как при проведении исследования оборудование генерирует мощные магнитные поля, пациентам для их же безопасности запрещается иметь любые посторонние предметы из металла, а также электронные устройства. При приближении к аппарату для проведения томографии металл может с силой притянуться к магниту установки и нанести травму, или стать причиной ожога, а сотовый телефон или другой гаджет выйти из строя или даже загореться.
МРТ плечевого сустава с контрастом
МР-томография может проводиться с контрастом - специальным препаратом, который вводят внутривенно во время исследования для повышения точности диагностики. Заболевания могут иметь схожий вид на снимках - введение контраста поможет точно определить, что это - опухоль или киста (стоимость контраста оплачивается отдельно и зависит от объёма введенного препарата).
Как проходит МРТ плечевого сустава
Исследование проводится в отдельном помещении, где установлен томограф - аппарат для МР-томографии, имеющий вид большого цилиндра с цилиндрическим отверстием в центре. Данное отверстие или канал томографа оборудовано подвижным столом. В начале процедуры на него укладывается пациент в положении лежа на спине. На область плеча устанавливают дополнительные катушки - они помогают сделать изображение четче. На уши пациента надевают наушники - во время работы аппарат сильно шумит, и это может испугать чувствительного человека. Через наушники также можно общаться с оператором и слушать музыку - некоторые наши пациенты берут с собой на флешке любимые композиции, чтобы расслабиться во время процедуры. После завершения укладки стол перемещается в туннель аппарата, для начала обследования.

Все, что нужно от пациента - сохранять неподвижность и выполнять все указания оператора. После завершения исследования стол выезжает наружу, после чего необходимо подождать 15-30 минут до завершения расшифровки снимков.
МРТ плечевого сустава, сколько делают по времени
МРТ-сканирование плеча занимает 30 минут. Если во время обследования возникла необходимость в контрасте, это займет дополнительные 15 минут.
Что показывает МРТ плечевого сустава
Пациентам всегда интересуются, что же показывает МРТ плечевого сустава. Зная это, мы решили, что просто сделать заключение и отдать снимки недостаточно - каждый посетитель нашего центра получает личную консультацию врача МРТ диагностики после обследования. Мы обязательно подробно расскажем вам, если МРТ плечевого сустава покажет признаки заболевания. Вы сможете посмотреть снимки с пояснениями врача-специалиста, узнать, какой болезни соответствуют обнаруженные изменения, к какому врачу следует обратиться для дальнейшего лечения.

МРТ или КТ плечевого сустава, что лучше
Компьютерная томография или КТ - ещё один метод диагностики, внешне похожий, но совершенно отличающийся от МРТ. В отличие от МР-томографии КТ использует рентгеновское излучение, из-за чего это исследование лучше подходит для диагностики заболеваний костей, образующих плечевой сустав. Хрящ, мышцы, связки на КТ-снимках практически не видны. Можно сделать вывод - МРТ идеально подходит для диагностики заболеваний самого сустава и его мягких тканей, в то время как КТ назначается в основном при переломах головки плечевой кости и лопатки.
МРТ плечевого сустава, что показывает?

МРТ плечевого сустава
Для диагностики заболеваний опорно-двигательного аппарата обычно используют рентген. В случае поражения мягкотканных элементов сочленений применяют ультразвуковую диагностику. Однако перечисленные методы не позволяют четко визуализировать все структуры сустава. При низкой информативности рентгенографии и УЗИ врач назначает магнитно-резонансную томографию. Это безопасная и высокоинформативная диагностическая процедура, которая отражает состояние всех элементов сочленения, позволяя выявить большинство заболеваний. От того, что показывает МРТ плечевого сустава, зависит тактика лечения. Преимуществом метода является его информативность даже при самых ранних патологических изменениях.
Заболевания плечевого сустава
Сочленение функционирует полноценно, если здоровы все его элементы:
- кости;
- хрящи;
- синовиальная оболочка;
- кровеносные сосуды;
- нервы;
- мышцы;
- сухожильный аппарат.
Явление магнитно-ядерного резонанса позволяет получить послойные изображения исследуемой зоны (срезы). По результатам МР-сканирования сложно выявить костные или сосудистые патологии, однако можно детально рассмотреть мягкие ткани и обнаружить следующие повреждения:
- поражения стабилизаторов плечевого сустава (губ, капсул, связок и т.п.);
- растяжения и разрывы мышц (двуглавой, трапециевидной, дельтовидной, ромбовидной и др.);
- перелом Хилла-Сакса (изменение формы наружной части головки плечевой кости);
- разрыв сухожилий ротаторной манжеты;
- (не)полные вывихи плечевой кости;
- артроз (деструктивно-дистрофические процессы);
- сращение суставных поверхностей сочленения;
- артрит (воспалительные процессы инфекционной, аутоиммунной или иной природы в сочленении);
- патологические характеристики (наличие крови, гноя) и изменение объема синовиальной жидкости;
- воспаление суставной сумки, мышц;
- остеохондропатии (нарушения трофики костей и хрящей, которые приводят к их некрозу);
- гнойные процессы (абсцесс, флегмона, остеомиелит);
- аномалии развития;
- нейропатии, поражения плечевого сплетения;
- дистрофию сухожилий;
- склеро- или некротические изменения элементов сочленения;
- новообразования.

МРТ плечевого сустава
Нативное МРТ досконально отражает анатомию плечевого сустава. Исследование с контрастированием позволяет выявить мельчайшие очаги воспаления, опухоли и нарушения кровообращения.
Процедуру проводят для оценки последствий травм или постановки диагноза. МРТ плечевого сустава используют с целью наблюдения за динамикой развития заболеваний и эффективностью назначенного лечения. Исследование не несет лучевой нагрузки и полностью безопасно для здоровья.
МРТ при боли в плечевом суставе
Диагностическую процедуру чаще назначает врач-травматолог или ортопед. Основным показанием для проведения МРТ являются боли в плечевом суставе. Исследование позволяет выявить причины дискомфортных ощущений. Другими поводами для МР-сканирования являются:
- щелчки, хруст в сочленении и др.;
- отек в области сустава;
- тугоподвижность, ограниченность хода сочленения или его гипермобильность;
- покраснение кожи;
- локальная гипертермия;
- деформация сочленения;
- укорочение или удлинение руки на стороне поражения и др.
МР-исследование плеча с контрастированием проводят при подозрении на воспалительную или опухолевую природу патологии, при признаках дистрофии. Магнитно-резонансную томографию назначают при травмах, если лучевые методы диагностики противопоказаны или повреждение застарелое.
Периодически проходить МРТ рекомендуют лицам с системными аутоиммунными заболеваниями, спортсменам, а также людям, плечевые суставы которых подвергаются повышенным нагрузкам в силу профессиональной деятельности. Исследование проводят на этапе планирования хирургического вмешательства для определения объема и вида операции.
Как проходит МРТ плечевого сустава?
В диагностическом центре «Магнит» процедуру проводят по предварительной записи. Во время регистрации необходимо уведомить медперсонал о наличии металлических конструкций в организме (эндопротезов, штифтов, пластин и пр.). Для МРТ есть четкие противопоказания, связанные именно с перечисленным. Вам потребуется предоставить официальный документ о том, из какого материала выполнена конструкция. Сертификат можно взять в клинике, где проводили операцию по установке последней.
Процедура МРТ плечевого сустава не требует от пациента специфических действий для подготовки. Нужно прийти в клинику за 10-15 минут до назначенного времени, чтобы заполнить документы и пройти инструктаж. Если планируется контрастирование, стоит слегка перекусить за 45 минут до процедуры, чтобы снизить вегетативные реакции на препарат. Женщинам в период грудного вскармливания следует сделать запас молока на 2 кормления, которые придется пропустить в случае, если будет вводиться контрастное вещество.

Перед исследованием пациент должен снять все украшения и предметы одежды с металлическими элементами. За пределами диагностического кабинета нужно оставить электронные устройства (часы, телефон, слуховой аппарат и т.п.). Порядок проведения МРТ плечевого сустава следующий:
- Пациент заходит в кабинет томографии, укладывается на передвижную платформу аппарата. Транспортер перемещается так, чтобы исследуемая область оказалась в центре рамки устройства.
- Чтобы стабилизировать положение сустава, лаборант фиксирует тело и руку пациента ремнями или валиками. В свободную конечность дает кнопку для экстренной связи. При беспокойстве или возникновении каких-либо неприятных ощущений можно ей воспользоваться и процедура будет приостановлена. Томограф работает довольно шумно, поэтому пациенту предлагают прослушивание расслабляющей музыки через наушники. Также можно воспользоваться обычными берушами.
- Рентген-техник выходит в соседний кабинет, откуда наблюдает за пациентом через стекло, проверяет исправность громкой связи, дает указание лежать спокойно и включает аппаратуру. Полная неподвижность нужна для получения четких снимков.
- По завершении диагностики пациенту отдают его личные вещи и предлагают подождать результатов.
МРТ плечевого сустава противопоказано женщинам в первом триместре беременности, а также лицам, у которых стоит кардиостимулятор или инсулиновая помпа. Для контрастных исследований используют безопасные препараты на основе хелатов гадолиния, которые не оказывают негативного влияния на организм. Однако беременным женщинам МРТ с контрастированием противопоказано на любом сроке.
Пациентам с клаустрофобией исследование проводят на аппаратах открытого типа. Они считаются менее точными, но не требуют помещения в камеру. Людям с острой болью, гиперкинезами или иными неврологическими расстройствами предлагают обследоваться под седацией в условиях стационара.
МРТ плечевого сустава, сколько по времени длится?
На заполнение документов, опрос и подготовку пациента уходит примерно 10-15 минут. Магнитно-резонансное сканирование занимает около 15-20. Контрастирование продляет время проведения процедуры до получаса. Подготовка результатов врачом-рентгенологом занимает от 15 до 60 минут. Чтобы пройти МРТ плечевого сустава, пациенту придется провести в клинике от 1 до 2 часов, что определяется сугубо в индивидуальном порядке.

МРТ плеча
Расшифровка фото снимков МРТ плечевого сустава
Результатом МР-сканирования являются послойные изображения исследуемой области в трех, взаимноперпендикулярных проекциях. Анализом фото занимается врач-рентгенолог, который фиксирует и описывает любые отклонения структуры сустава от нормы.
Пациент получает заключение в виде документа и полного набора снимков на информационном носителе. Рентгенолог может дать пояснения относительно изменений, выявленных при исследовании, посоветовать, к какому врачу обратиться, однако он не ставит диагноз, не назначает лечение и не дает прогнозов. В расшифровке результатов МРТ плечевого сустава указывают:
- характеристики основных структур (размеры, однородность и пр.);
- наличие признаков воспаления, дегенерации тканей, опухолей;
- изменения хрящей;
- последствия травм;
- признаки обызвествления в структурах сустава;
- наличие очагов некроза, рубцевания;
- аномалии суставной щели;
- патологическое скопление жидкости.
По данным заключения и снимкам врач может обнаружить признаки таких заболеваний:
- пери-, артрит;
- артроз;
- остеомиелит;
- подагру;
- остеоартроз;
- плексит (воспаление нервных стволов плечевого сплетения);
- бурсит, синовит;
- нейропатии;
- опухоли и др.
Копии описания могут быть отправлены на электронную почту, если Вы указали ее адрес во время заполнения документов. За оригиналом разрешается прийти в любой другой день, однако в данном случае получить пояснения рентгенолога невозможно.
При необходимости можно воспользоваться услугой «второе мнение», которая подразумевает расшифровку полученных данных еще одним специалистом. Опция особенно полезна при атипичном течении заболевания, длительном анамнезе.
Что лучше УЗИ, КТ или МРТ плечевого сустава?
Врач назначает процедуру исходя из особенностей клинического случая. УЗИ применяют с целью экспресс-диагностики. Изображения, полученные с помощью ультразвука, недостаточно четкие, чтобы поставить точный диагноз. Метод малоинформативен на ранних этапах развития дегенеративно-дистрофических заболеваний. УЗИ плечевого сустава целесообразно при необходимости быстро оценить последствия травмы или исключить осложнения, или в случае противопоказаний у пациента к другим методам диагностики.

УЗИ плеча
Компьютерная томография является быстрым и информативным исследованием. Однако эта диагностическая процедура предпочтительна при подозрениях на переломы, гематомы и кровоизлияния. По фото, полученным при КТ, можно оценить контуры и плотность костной ткани, а вот более рыхлые структуры невозможно разглядеть в достаточной для постановки диагноза мере. Метод применяют с целью быстрой диагностики переломов или е если пациент страдает от острой боли, поскольку исследование длится всего несколько минут.
МРТ считают особенно информативной процедурой при суставных патологиях. Методика безопасна (имеет минимум противопоказаний и не несет лучевой нагрузки), занимает мало времени. При помощи МРТ можно выявить заболевания плечевого сустава на самых ранних этапах их развития.
Для исследования сосудов сочленения КТ более информативна, чем МР-ангиография. Однако первый метод базируется на ионизирующем облучении, а потому не применяется для пациентов, которым недавно делали аналогичные обследования или рентген, или при наличии противопоказаний.
Что покажет магнитно-резонансного томография плечевого сустава

МРТ плечевого сустава (МРТ плеча) в большинстве случаев делается для того, чтобы выявить изменения в структуре тканей организма обследуемого. Магнитно-резонансная томография хорошо оказывает инфекционные заболевания, воспалительные процессы, опухоли и повреждения сустава, костей и мягких тканей. Томографическая диагностика плеча в медицинских клиниках СПб осуществляется по направлению врача. Также человек может пройти обследование, записавшись на диагностику суставов по своей инициативе. Такая возможность представлена в связи с тем, что исследование при помощи МР томографа является безопасной диагностической процедурой, в ходе которой организм человека не испытывает никакой лучевой нагрузки, и направление от врача на МРТ плечевого сустава не носит обязательный характер.
Запись в день обращения
Что такое МРТ плечевого сустава
В основе метода МРТ лежит использование особого аппарата - томографа, создающего сильное магнитное поле и использующего сигналы радиоволн, чтобы сделать снимки исследуемой области. Это позволяет производить диагностику в трех плоскостных срезах, что обеспечивает объемность и точность результатов. МРТ плечевого сустава - это оптимальный способ обследовать связки, мышцы и хрящи, причем полученная в результате диагностики информация будет куда более полной, нежели после ультразвукового, рентгеновского или компьютерно-томографического исследования. Для проведения обследования МРТ плеча не применяются рентгеновские лучи, поэтому данный вид диагностики является совершенно безвредным для пациента.
Что видно на МРТ плечевого сустава
В ходе МРТ плечевого сустава врач оценит все основные структуры области плеча: сустав, акромиально-ключичное сочленение, ротаторную манжетку, мышцы и сухожилия. Особое внимание диагност будет обращать на:
- Каковы взаимоотношения в суставе - изменена ли форма и положение головки плечевой кости, однородность ее структуры.
- Суставная щель равномерна и не расширена, смежные суставные поверхности имеют четкие и ровные контуры.
- Хрящевое покрытие равномерно по толщине и интенсивности сигнала.
- Субхондральные костные структуры не изменены.
- В полости плечевого сустава, преимущественно в полости аксиллярного кармана, определяется выпот, синовиальная оболочка не утолщена.
- Отмечается скопление жидкости в полости субакромиальной и субдельтовидной синовиальных сумок.
- Хрящевая губа прослеживается отчетливо и структура ее однородна.
- Плечелопаточные связки не деформированы.
- Щель акромиально-ключичного сочленения равномерна и не расширена.
- Клювовидно-акромиальная и клювовидно-ключичные связки хорошо дифференцируются. Сухожилия подлопаточной мышцы утолщены и разволокнены и не деформированы. Структура тканей мышц не имеет признаков фиброзно-жировой дегенерации.
- Сухожилие длинной головки бицепса равномерно по толщине и интенсивности сигнала, располагается в межбугорковой борозде, определяется на всем протяжении.
ЗАПИСЬ НА ПРИЕМ
Показания
Проведение процедуры МРТ плечевого сустава показано в следующих случаях:
- Наличие сильных продолжительных болевых ощущений;
- При подозрении на появление новообразований;
- В случае травм - как спортивного, так и бытового характера;
- Для диагностики патологии развития суставной сумки;
- При подозрении на артрит, остеоартроз, полиартрит;
- В случае растяжения связок или вывиха сустава;
- При болезнях мышц, сухожилий и связок.



Процедура томографии плечевого сустава
МРТ плечевого сустава может осуществляться на любом из двух типов томографов - закрытом и открытом. Во многих медицинских клиниках Санкт-Петербурга и Лен. области используется закрытая модель устройства, которая представляет собой цилиндрическую трубу, куда на подвижной платформе помещается пациент. МРТ плечевого сустава на аппарате открытого типа осуществляется на томографе, который открыт с боков: это позволяет диагностировать в комфортных условиях детей, а также пациентов, кто страдает клаустрофобией или избыточным весом.
Магнитно-резонансная томография является совершенно безболезненной процедурой. Пациент не испытывает никаких болезненных ощущений, в крайнем случае он может чувствовать некоторое тепло в диагностируемой зоне, но такая реакция является совершенно нормальным следствием воздействия магнитного поля на ткани и структуры человеческого тела. Во время обследования пациент должен находиться в неподвижном положении, не разговаривать и не кашлять. Диагностика МРТ плечевого сустава занимает в среднем около 30-40 минут.
Подготовка
МРТ плечевого сустава не требует особой подготовки. Однако если врач медицинского центра СПб назначил МРТ плеча с использованием контрастного вещества, то перед помещением в аппарат пациенту его введут внутривенно. В этом случае за 2 часа до процедуры обследуемому необходимо прекратить употребление пищи и жидкости. Если обследование проводится пациенту, страдающему от клаустрофобии, врачи рекомендуют проводить диагностику в аппарате МРТ открытого типа или принимать легкие седативные препараты. Перед МР сканированием пациента попросят снять с себя одежду с металлическими элементами, украшения, очки, часы, предложат оставить за пределами МРТ кабинета все электронные приборы.
Как сделать МРТ в СПб недорого
- МРТ в ночное время - это возможность сэкономить до 35% от стоимости на диагностику. Ночные цены в клиниках СПб стартуют с 23.00 и действуют до 8.00.
- Акции и скидки выходного дня или в праздничные и предпраздничные дни. Самые выгодные предложения на МРТ можно найти в медицинских центрах Санкт-Петербурга в декабре-январе и августе.
- Выбор правильного томографа и качественная подготовка к обследованию, чтобы не пришлось переделывать сканирование.
- Эксклюзивные скидки Службы бесплатной записи на МРТ!
Сколько стоит МРТ плеча
Стоимость МРТ плеча в клиниках СПб зависит от трех основных факторов: срезовой мощности томографа, протокола сканирования и наличия акций и скидок. Обычно в цену уже включено само сканирование, рентгенологическое заключение и распечатка томограмм на пленочный или электронный носитель по выбору диагностического центра. При необходимости получить оба вида носителя потребуется небольшая доплата.
МРТ сакроилеальных сочленений
Основная стоимость МРТ плечевого сустава определяется мощностью томографа, которая зависит от силы индукции его магнита, измеряемой в Тесла. Чем она выше, тем дороже обойдется услуга диагностики. Чтобы пройти МРТ плеча максимально недорого, можно выбирать аппараты с мощностью 0,2-0,5 Тесла открытого типа. Это самый выгодный и комфортный вариант исследования, но он менее информативный, чем томография на установка 1,5-3 Тесла. Самый точный способ сделать МРТ плечевого сустава - это пройти сканирование на сверхвысокопольном томографе 3 Тесла. Однако стоимость МРТ на 3 Тесла будет достаточно высокой, так как для ее проведения применяется дорогой и высокотехнологичный аппарат.
Расшифровка МРТ плечевого сустава
После завершения обследования врач предоставляет пациенту результаты в течение около получаса. Помимо письменного заключения в большинстве диагностических центров СПб обследуемому выдается диск с записью всех изображений исследуемой области. В случае необходимости МРТ снимки Вам смогут распечатать за небольшую плату.
Пример МРТ заключения плечевого сустава
Плоскость сканирования: аксиальная, корональная, сагиттальная
Вид исследования: левый плечевой сустав
На серии МР томограмм взвешенных по Т1 и Т2 в трех проекциях получено изображение плечевого сустава. Контуры суставных поверхностей ровные, чёткие, не деформированы краевыми костными разрастаниями. Суставная щель не сужена, признаков подвывиха головки плечевой кости не выявлено. Мелкие кисты до 2-Змм в головке плечевой кости.
Фиброзно-хрящевая губа гленоида обычно расположена, форма её не изменена, целостность не нарушена.
Количество жидкости в полости плечевого сустава физиологическое. Небольшое количество жидкости в подклювовидной сумке. Определяется незначительное количество жидкости по ходу сухожилия длинной головки бицепса.
Субакромиальное расстояние - 6,5мм. Жидкости в подакромиальной сумке не определяется.
Дельтовидная мышца без особенностей.
Акромиально-ключичное сочленение - смежные поверхности акромиона и ключицы не деформированы.
Суставная ямка лопатки с ровными чёткими контрами, краевыми костными разрастаниями не деформирована. Гиалиновый хрящ не истончен.
Подклювовидный бурсит, незначительное количество жидкости по ходу сухожилия длинной головки бицепса.
Противопоказания
К противопоказаниям для проведения томографии плечевого сустава относят:
- наличие у пациента инсулинового насоса, нервных стимуляторов и неферромагнитных имплантатов, протезов внутреннего уха с металлическими составляющими, к примеру - наличие протеза, позволяющего компенсировать потерю слуха некоторым пациентам с выраженной или тяжелой степенью нейросенсорной (сенсоневральной) тугоухости;
- наличие протезов клапанов сердца и декомпенсированная сердечная недостаточность;
- клаустрофобия в сильной форме с приступами панических атак.
Наличие на теле пациента татуировок, выполненные с помощью металлосодержащих красок, за исключением титаносодержащих красок, также может стать противопоказанием к проведению МРТ исследования плеча.
Относительным противопоказанием к МРТ является потребность в физиологическом мониторинге.
Читайте также:
- Какой градусник выбрать? Чем померить температуру?
- Вискодиссекция, лазерная коагуляция при диабетической тракционной отслойке сетчатки (ТОС). Рекомендации
- Синдром Бенье (Besnier)
- Техника абляции эндометрия шаровым элекродом. Подготовка и послеоперационный уход
- Гемоглобин. Роль гемоглобина в транспорте кислорода
