КТ, МРТ при лимфопролиферативном образовании глазницы
Добавил пользователь Евгений Кузнецов Обновлено: 11.12.2025
Глаза - это окно в мир. Большинство людей могут лишь отдаленно представить себе, что значит быть в постоянной темноте.
О глазе, его «вместилище»- глазных орбитах - и обнаружении их патологии с помощью магнитно-резонансной томографии мы беседуем сегодня с врачом-рентгенологом «МРТ Эксперт Липецк» Чеботаревой Галиной Николаевной.
- Галина Николаевна, скажите, пожалуйста, что такое МРТ органов зрения и в каких случаях оно показано?
Это исследование включает в себя диагностику глазниц (орбит), в которых, помимо глаза, располагаются зрительный нерв, жировая клетчатка, мышцы глаза и некоторые другие анатомические образования.
МРТ глаза рекомендовано при любых жалобах со стороны органов зрения: его ухудшении, ограничении полей зрения, ощущении инородного тела или давления в области глаза.
- Что выявляет магнитно-резонансная томография глаза и глазных орбит?
Диагностика оценивает состояние передней камеры глаза, хрусталика, стекловидного тела, оболочек и мышц глазного яблока, жировой клетчатки, зрительного нерва, слезных желез. На МРТ определяются их размеры, взаимное расположение, наличие воспалительных изменений, новообразований, атрофии, структурных дефектов, инородных тел.
- Чем отличается МРТ глазных орбит и КТ?
При большей части патологических изменений МРТ орбит глаз является методом выбора, поскольку она лучше «покажет» мягкие ткани. КТ более предпочтительна при подозрении на инородные тела глазницы, особенно металлические, когда МРТ может быть противопоказано. Кроме того, компьютерная томография лучше выявляет патологию костных структур (т.е. собственно глазницы - например, при травме), кальцификаты (в частности, при ретинобластоме).
- МРТ глаза проводится с контрастом или без?
Процедура выполняется как с контрастным усилением, так и без него.
- Необходима ли подготовка к проведению МРТ глаза?
Девушкам не рекомендуется использование косметики на глазах (туши, теней), поскольку при выполнении снимков могут появляться артефакты, мешающие интерпретации снимков. Перед проведением диагностики обязательно уточняется наличие противопоказаний к магнитно-резонансной томографии.
- Как проводится магнитно-резонансная томография глазных орбит и сколько времени занимает процедура?
Во время обследования рекомендуется зафиксировать взгляд, и до его завершения стараться смотреть в эту точку (в том числе и при закрытых глазах). В процессе исследования делаются мелкие компьютерные «срезы» орбиты и ее структур в трех проекциях. Продолжительность процедуры составляет 10-12 минут. Если она дополняется контрастным усилением, время немного увеличивается.
- Галина Николаевна, возможно ли сделать МРТ глазных орбит в центрах «МРТ Эксперт»? Необходимо ли направление от врача для записи?
Это исследование относится к стандартным и проводится во всех центрах «МРТ Эксперт». Направление от доктора необязательно, однако при его наличии врач-рентгенолог может целенаправленно ответить на какие-то вопросы, поставленные лечащим врачом, возможно, подозревающим какое-то конкретное заболевание. Вообще же исследование проводится в полном объеме вне зависимости от ситуации.
- Предположим, МРТ глазных орбит и глазных нервов выявило патологию. Что делать дальше? К какому врачу обращаться?
Это зависит от того, какую патологию мы выявили. Это может быть офтальмолог, эндокринолог, невролог, онколог, нейрохирург. В заключении мы всегда указываем, консультация врача какой специальности необходима.
Чеботарева Галина Николаевна
Выпускница Курского государственного медицинского университета 2005 года, специальность «Лечебное дело».
В 2006 году закончила интернатуру по специальности «Неврология», в 2012 году - по специальности «Рентгенология».
В настоящее время занимает должность врача-рентгенолога в «МРТ Эксперт Липецк».
Подробнее о Галине Чеботаревой можно прочитать здесь, в наших социальных сетях.
Лимфома орбиты
Лимфома орбиты - это злокачественная Т- или В-клеточная опухоль, которая располагается в зоне глазного яблока и окружающих его тканей. Развитию заболевания способствуют вирусные инфекции, дизиммунные процессы, генетические факторы и токсические влияния. Патология проявляется экзофтальмом, затруднениями при движении глазом, опущением верхнего века. Для диагностики опухоли используют УЗИ глазного яблока, КТ и МРТ орбиты, биопсию с цитологическим и иммунологическим исследованием. Лечение первичных форм проводится методом лучевой терапии, при диссеминированных вариантах используют полихимиотерапию.
МКБ-10



Общие сведения
Орбитальные лимфомы в основном имеют неходжкинское происхождение и составляют до 4% всех экстранодулярных новообразований этого типа. Первичное поражение тканей орбиты встречается в 3 раза чаще, чем вовлечение глазницы при диссеминированной форме. К группе риска принадлежат люди старше 60 лет. Крайне редко поражение периорбитальных тканей вызвано лимфомой Ходжкина. Орбитальная лимфома распространена в современной офтальмологии, однако при ее ранней диагностике и подборе адекватной терапии могут возникать трудности, решение которых требует мультидисциплинарного подхода.

Причины
Этиологическая структура лимфомы орбиты аналогична другим вариантам злокачественных лимфопролиферативных заболеваний. Точные причины развития болезни пока не установлены. Предполагается, что для начала опухолевого процесса необходима комбинация эндогенных и экзогенных факторов риска. Наиболее значимые этиологические факторы лимфомы орбиты:
- Иммунные нарушения. Лимфопролиферативные процессы характерны для людей с первичными синдромами иммунодефицита, нелеченой ВИЧ-инфекцией. Более высокий риск заболевания среди пациентов, которые получают иммуносупрессивную терапию, перенесли операцию по трансплантации костного мозга или внутренних органов.
- Инфекции. Развитие неходжкинской лимфомы орбиты связывают с заражением вирусом Эпштейна-Барр, Т-лимфотропным вирусом 1 типа, герпесвирусом 8 типа. К группе вероятных провоцирующих факторов относят возбудителей вирусных гепатитов В и С. Большое значение имеет хроническая хламидийная инфекция органа зрения.
- Токсические воздействия. Провоцирующим фактором лимфомы могут выступать некоторые гербициды и инсектициды, промышленные отравляющие вещества. Вероятность болезни коррелирует с частотой и длительностью интоксикации, поэтому в группе риска находятся люди с профессиональными заболеваниями.
- Отягощенная наследственность. Риск злокачественной опухоли орбиты повышается у пациентов, которые имеют в геноме однонуклеотидные полиморфизмы. Предрасполагающим фактором является наличие родственников первой линии, болеющих ходжкинской или неходжкинской лимфомой.
Патогенез
В 90% случаев первичный клон опухолевых клеток развивается из нормальных В-лимфоцитов, в которых под действием разных факторов нарушаются процессы деления, и начинается неограниченный рост. Образование лимфомы связывают с рядом нарушений клеточного апоптоза, утратой контроля над дифференцировкой лимфоцитов, активацией онкогенов. Опухоль увеличивается в размерах, вытесняя здоровые ткани и вызывая компрессию структур орбиты.
Классификация
При постановке диагноза орбитальной лимфомы применяются стандартные подходы к систематизации заболевания. Неходжкинские лимфопролиферативные опухоли подразделяются на В-клеточные и Т-клеточные, что зависит от клеток-предшественников новообразования. В орбите зачастую определяются MALT-лимфомы, которые принадлежат к индолентным (вялотекущим) формам и ассоциированы со слизистыми оболочками.

Симптомы лимфомы орбиты
Большинство случаев новообразования имеют односторонний характер. Поскольку патология сопровождается разрастанием лимфоидной ткани, глазное яблоко на стороне поражения смещается наружу - возникает экзофтальм. Если лимфома орбиты расположена пристеночно, возникает боковой экзофтальм, глаз сдвигается в противоположную от очага сторону. При локализации опухоли в зоне мышечной воронки, экзофтальм имеет осевой характер.
Для лимфомы орбиты характерно постепенное нарастание экзофтальма и его умеренный характер (выступание глазного яблока в среднем на 5-6 мм). По мере роста опухоли пациенты предъявляют жалобы на затруднения при повороте глаза, невозможность полностью сомкнуть веки, сухость и чувство «песка» в глазах из-за недостаточного увлажнения конъюнктивы. Зрительная функция не страдает, однако возможно двоение в глазах и ограничение полей зрения из-за птоза века.
Изредка орбитальная лимфома имеет быстропрогрессирующее течение. В таком случае экзофтальм стремительно увеличивается, сопровождается повышением внутриглазного давления и болями в пораженном глазу. Несмыкание век вызывает кератопатию. В редких случаях наблюдается вовлечение мышц и других тканей орбиты. Такие проявления характерны для длительно существующей нелеченой лимфомы, иммунокомпрометированных групп пациентов.
Осложнения
Первичная лимфома орбиты, которая является наиболее частой формой болезни, без лечения может переходить в системное лимфопролиферативное заболевание. Спустя 10 лет от манифестации локальной лимфомы более 30% людей сталкиваются с другими формами экстранодулярного поражения. Иммуносупрессия на фоне лимфопролиферативных состояний обуславливает предрасположенность пациента к инфекционным заболеваниям, которые нередко становятся причиной смерти.
Диагностика
Пациенты с характерными жалобами первично обращаются к врачу-офтальмологу. При подозрении на лимфопролиферативный процесс к обследованию привлекают онколога или онкогематолога. Данные физикального осмотра при лимфоме орбиты малоинформативны: определяется экзофтальм, отек периорбитальных тканей, покраснение конъюнктивы глаза. Чтобы поставить точный диагноз, используют ряд инструментальных и лабораторных методов:
- УЗИ глаза. Эхосонография проводится на этапе первичной диагностики, чтобы определить наличие объемного новообразования, исключить другие причины внешних глазных симптомов. УЗИ не дает возможности дифференцировать разные виды опухолей, поэтому обязательно дополняется другими видами диагностики.
- КТ орбиты. На КТ-снимках лимфома орбиты имеет вид объемного образования неоднородной структуры. Опухоли бывают единичными или множественными, контуры новообразования имеют нечеткие границы. При запущенной форме болезни по данным КТ определяется разрушение костной стенки глазницы.
- МРТ орбиты. На МРТ-снимках определяются объемные новообразования неправильной формы, которые изоинтенсивны по отношению к мышцам орбиты и гиперинтенсивны относительно жировой клетчатки. Изредка визуализируется утолщение и инфильтрация глазных мышц.
- Тонкоигольная аспирационная биопсия. При цитологической диагностике биоптатов опухоли определяются атипические клетки с патологией клеточных мембран. Большинство опухолей орбиты имеют В-клеточное происхождение. Для установления типа лимфомы и выбора тактики лечения назначается иммунологическое исследование биоптатов.
- Лабораторная диагностика. Пациентам рекомендованы анализы на ВИЧ-инфекцию, вирусные гепатиты и герпесвирусы, чтобы исключить ассоциированную патологию. Всем больным лимфомами проводятся клинический и биохимический анализы крови, коагулограмма, иммунограмма.
Дифференциальная диагностика
Лимфому орбиты необходимо дифференцировать с кавернозной гемангиомой, опухолями оболочек зрительного нерва, гемангиоперицитомой, метастазами в периорбитальную зону. Обязательно исключают редкие опухоли глазницы: невриному, рабдомиосаркому. Большие трудности для практической онкологии представляет дифференциальная диагностика между лимфомой и доброкачественной гиперплазией лимфоидной ткани орбиты.

Лечение лимфомы орбиты
Консервативная терапия
Основным методом лечения является наружное облучение орбиты. Это самый результативный способ уничтожения злокачественной опухоли, который показан большинству пациентов, независимо от стадии и гистологического типа заболевания. При своевременном начале лучевой терапии удается достичь регресса симптоматики, частичного или полного восстановления подвижности глазного яблока.
В случае диссеминированной неходжкинской лимфомы, протекающей с вовлечением тканей орбиты, радиотерапию дополняют полихимиотерапией. Комбинированное высокодозное лечение признано оптимальным вариантом для достижения длительной ремиссии и улучшения отдаленного прогноза для пациента. Конкретные наименования и сочетания цитостатиков подбираются врачом-онкологом по результатам полной диагностики опухоли.
Хирургическое лечение
При единичной лимфоме небольшого размера операцией выбора является иссечение опухоли в пределах здоровых тканей. Благодаря микрохирургической технике операции во многих случаях удается сохранить зрительную функцию и эстетичный внешний вид пациента. Гигантские опухоли, занимающие большую часть глазницы, являются показанием к радикальной операции - экзентерации орбиты. Учитывая калечащий характер вмешательства, его проводят достаточно редко.
Прогноз и профилактика
При первичной лимфоме средняя 5-летняя выживаемость составляет более 83%, что является хорошим показателем для лимфопролиферативных состояний. В этом случае прогноз для жизни и сохранности зрительной функции благоприятный. Менее оптимистичный прогноз при диссеминированных вариантах болезни. Учитывая сложность и многогранность этиопатогенеза заболевания, результативные меры профилактики пока не разработаны.
1. Особенности клинической картины злокачественной лимфомы орбиты/ А.Ф. Бровкина// Вестник офтальмологии. - 2019. - №5.
4. Злокачественные лимфомы органа зрения. Проблемы и перспективы (взгляд офтальмолога)/ Е.Е. Гришина// Современная онкология. - 2006. - №4.
Что показывает МРТ глазных орбит и зрительного нерва
МРТ глаза — процедура, которая позволит вам вовремя выявить какие-либо заболевания глазных обрит и своевременно их пресечь.
Сегодня современная медицина располагает большим количеством методов диагностики патологии глаза. Среди них - ультразвуковое исследование, компьютерная томография, рентгенография и другие. Однако в случае с рядом заболеваний ни один из этих методов не способен в полной мере провести комплексную диагностику и выявить причину возникших симптомов. Некоторые патологии возможно выявить только с помощью МРТ глазных орбит и зрительных нервов.
Преимущество этого вида исследования заключается в возможности увидеть орган в нескольких проекциях, и с помощью специального программного обеспечения сформировать трехмерное изображение исследуемой зоны. Это делает МРТ самым современным и высокотехнологичным методом. Ранее ни один и способов обследования не позволял в таком объеме и с таким высоким качеством визуализации выявлять различные заболевания, в том числе сложнейшие патологии.

Глазницы - это полости, ограниченные костями черепа. В них расположены глазные яблоки. Полость глазных впадин сообщается с расположенными рядом носовыми, черепными и другими полостями с помощью нервов и сосудов. Именно поэтому глазные заболевания зачастую сопровождаются воспалительными процессами в других зонах, расположенных в непосредственной близости к глазным.
По этой же причине травмы и воспаления этого участка наиболее опасны, так как расположены достаточно близко к мозговым оболочкам и венам. Отсюда можно сделать вывод, что своевременная МРТ орбиты глаз позволяет не только выявить возможные патологии структур глазницы, но и предотвратить начало заболевания в других органах, расположенных на голове человека.
Для чего делают МРТ глазных орбит?
Глазница представляет собой соединение различных структур, среди которых и сосуды, и нервы, и мышцы, а также другие составляющие. Благодаря МР-диагностике возможно оценить однородность и целостность этих структур, выявить опухоли, структурные нарушения тканей, травмы, тромбозы, разрывы, аневризмы и любые воспалительные процессы.
- глазного яблока
- зрительных нервов
- слезных желез
- глазных мышц
- жировой клетчатки
- ретробульбарной зоны

Малейшие нарушения в функционировании зрительного нерва, чаще всего, приводят к резкому падению зрения. В этом случае требуется максимально оперативная и наиболее точная диагностика, которая позволит быстро выявить причину, принять срочные меры для лечения заболевания и прекращения снижения зрения. В большинстве случаев от того, насколько быстро будет выявлена природа заболевания, зависит эффективность лечения и возможность полного восстановления зрения.
МРТ орбиты глаза позволяет наиболее быстро получить точные данные о состоянии глазницы и ее составляющих, определить наличие заболеваний, патологий, масштаб и степень распространения. Процедура проводится быстро, без облучения и какого-либо дискомфорта для пациента.
МР-томография может проводиться как по инициативе пациента, так и по назначению лечащего врача. При необходимости перед проведением сеанса вам будет предоставлена бесплатная консультация врача-рентгенолога с целью наиболее точного определения зоны и методики исследования.
Показания к проведению МРТ глаза
Магнитно-резонансная томография орбит глаза делается в первую очередь при подозрении на наличие новообразование. Обследование позволяет точно определить их местонахождение, а также спланировать хирургическое вмешательство, если это необходимо.
МРТ зрительного нерва - что показывает:
- воспаление орбит и придаточных пазух носа;
- нарушения зрительного пути;
- воспаление зрительных нервов;
- травмы глаза;
- подозрение на наличие инородного тела;
- демиелинизирующие заболевания (рассеянный склероз, поперечный миелит, болезнь Девика, миелинолиз среднего моста);
- повышенное внутричерепное давление;
- нарушение кровотока
- тиреоид-ассоциированная орбитопатия;
- некоторые случаи глаукомы;
- подтверждение результатов, полученных с помощью других методов диагностики.
Для получения максимально точного изображения диагностируемой области, важно перед началом обследования отказаться от макияжа, использования лака для волос, так как некоторые виды косметики содержат частицы металла, которые могут исказить результат. Дополнительно в некоторых случаях МРТ глазниц делается с использованием контрастного вещества, что позволяет получить более качественные и детальные снимки.

Как проводится МРТ глазных орбит и зрительного нерва?
МРТ глаза - абсолютно безболезненная и безопасная процедура, которая не требует предварительной подготовки и осуществляется в течение 20-30 минут. Результаты этого обследования врач-рентгенолог сразу в процессе диагностики. В некоторых случаях в процессе МР-томографии специалистом, осуществляющим диагностику, может быть принято решение о проведении дополнительного исследования для наиболее точной постановки диагноза, например, МРТ с контрастом. Контрастное вещество подсвечивает систему сосудов, что позволяет наиболее четче визуализировать обследуемую зону. Продолжительность сеанса МРТ с контрастом увеличивается до 60-90 минут.
Нередко при определенных показаниях проводится обследование одновременно нескольких зон - это позволяет уменьшить количество дополнительных обследований и наиболее быстро выявить имеющуюся патологию. Такой процедурой является МРТ головного мозга и глазных орбит. Назначается она при наличии головных болей неясного характера, резком снижении зрения, полученных травмах, подозрениях на тромбозы, аневризмы и новообразования. После завершения томографии уже в течение часа вы получите результаты с экспертным заключением и рекомендациями, которые лягут в основу для постановки диагноза вашим лечащим врачом. Результаты могут быть получены как в распечатанном, так и электронном виде, и на диске. В случае если у вас нет возможности ожидать результаты в течение часа, они могут быть направлены вам по электронной почте.
Что выбрать: КТ или МРТ глаз
Помимо МРТ глазных орбит, для диагностики органов зрения часто делают компьютерную томографию. КТ - это метод рентгеновского исследования, при котором пучок рентгеновских лучей проходит через ткани тела в разных направлениях постепенно. Компьютерно-томографический метод исследования покажет многослойные срезы в аксиальной, коронарной, сагиттальной проекции.
При диагностике орбиты глаза толщина слоев колеблются от менее 1 мм до 3 мм. Современное диагностическое КТ оборудование покажет диагностируемую область в трех измерениях. Компьютерная томография проводится быстро - процедура занимает всего несколько секунд. Возможно использование контрастного вещества для получения более детального изображения.
МРТ глазных орбит, что показывает - и что используется при диагностике орбит глаза, как дополнение к УЗИ и КТ. По сравнению с компьютерной томографией, МРТ дает более широкие возможности дифференциации тканей и делается во всех плоскостях. В то же время данный метод обследования безвреден, что очень важно. При его проведении не используется вредное рентгеновское излучение. Поэтому магнитно-резонансная томография может назначаться детям и беременным женщинам при отсутствии противопоказаний. МРТ глаза занимает примерно 20 минут или больше, в зависимости от типа проверки.
Если говорить об эффективности диагностического метода, то процедура МРТ орбит - это более безопасное обследование, которое эффективнее, чем КТ, при оценке костных стенок и кальцификатов. Важная область применения МРТ - нейроофтальмология. Данный метод исследования можно использовать для визуализации, например, демиелинизирующих изменений в головном мозге и нервных окончаниях, также он покажет другие повреждения зрительного пути, включая гиперпластические изменения.
Современные технологии позволяют расширить возможности диагностики с помощью ангиографии и функционального МРТ исследования. Это дает возможность с помощью томографа выявить практически любую патологию зрительных органов быстро, безопасно, с высокой точностью.
Противопоказания к магнитно-резонансной томографии
Метод МР-диагностики современен, уникален и высокотехнологичен, однако и у него есть некоторые противопоказания, большая часть которых связана с взаимодействием металлов и магнита. Главным и абсолютным противопоказанием является наличие металлических элементов, как на теле человека, так и внутри его организма.
Пациенты с кардиостимуляторами, кровоостанавливающими клипсами, встроенными слуховыми аппаратами, инсулиновыми помпами, имплантами, протезами, пластинами, брекетами, зубными коронками и другими металлическими деталями не допускаются в процедуре. Однако есть некоторые металлы, например, титан, которые не нагреваются при взаимодействии с магнитами, поэтому при наличии титановых металлических элементов, пациенты допускаются к томографии.

В любом случае, если у вас есть какие-либо металлосодержащие элементы, прежде всего, вам необходимо проконсультироваться с врачом. Также к особой группе пациентов, которым необходим предварительный допуск к процедуре, являются люди с наличием татуировок на теле. На протяжении многих лет для изготовления татуировок во многих салонах использовались краски с мелкими частицами металла. Если вы относитесь к такой категории, очень важно предварительно уточнить состав краски на вашем теле, и только в случае отсутствия металла в ней записаться на прохождение МРТ глаза.
Также МР-диагностика противопоказана беременным в первом триместре и женщинам в период лактации. На остальных сроках беременности проведение МРТ орбит и зрительного нерва возможно при наличии соответствующих показаний врача. Исключением является только введение контрастного вещества - эта процедура запрещена на всех сроках.
Особенно внимательно необходимо отнестись к диагностике пациентов, страдающих психическими заболеваниями, болеющих клаустрофобией и тех, кто в силу своего тяжелого диагноза не может долгое время находиться в неподвижном состоянии.
Диагностика первичной лимфомы глазницы на снимках МРТ и КТ головы
Какой метод диагностики лимфомы глазницы выбрать: МРТ или КТ
Метод выбора
Делают ли КТ головы при лимфоме глазницы
- Объемное образование с ослаблением сигнала от мягких тканей и четкими контурами
- Возможна инфильтрация слезной железы и мышц глазного яблока (реконструкция во фронтальной плоскости!)
Что покажут снимки МРТ головы с контрастом при лимфоме глазницы
- Изоинтенсивное объемное образование на Т1 - и Т2-взвешенном изображении
- Выраженное усиление сигнала после введения гадолиния
Отличительные признаки лимфомы
- Объемное образование с четкими контурами, обычно расположенное в передневерхнем отделе глазницы
- Усиление сигнала после контрастирования
Что хотел бы знать лечащий врач
Какие заболевания имеют симптомы, схожие с лимфомой глазницы
Реактивная гиперплазия лимфоидной ткани:
- Бывает трудно отличить от лимфомы
-Необходимо гистологическое подтверждение
Ложная опухоль глазницы:
- Диффузное поражение или очаг с нечеткими контурами
Плазмоцитома:
Гистиоцитоз:
- Остеолитические очаги с ровными контурами
Лечение
- лимфома имеет местное лечение — местная лучевая терапия (стадия IE)
- Системная химиотерапия (например, CHOP) при диссеминированном поражении
Врачи каких специальностей диагностируют и лечат лимфому глазницы
- Офтальмолог (осмотр, определение стадии и симтомы лимфомы)
- Онколог (лучевая терапия, химиотерапия)
Прогноз
- Локальное поражение: частота ремиссии составляет 75-100%
- При неходжкинской лимфоме конъюнктивы риск системного заболевания ниже, чем при лимфоме глазницы
- Лимфома 4 стадии имеет прогноз менее благоприятный - ремиссия около 5 лет у 70-84% больных. Число рецидивов — 30-35%.
Возможные осложнения и последствия
- Присоединение инфекций
- Анемия, лейкопения, тромбоцитопения, лейкоцитоз
- Метаболические нарушения

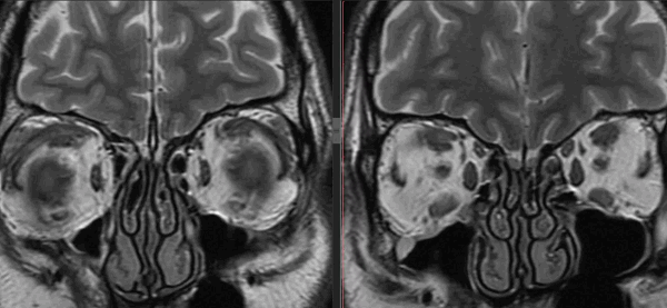
КТ глазницы с контрастированием. Правосторонняя лимфома вне конуса, образованного глазодвигательными мышцами, с поражением слезной железы.

а, b Двусторонние внутриглазничные лимфомы. На Т1 -взвешенном изображении очаги выглядят как гипоинтенсивные объемные образования (а) с выраженным усилением после введения гадолиния (b).
КТ, МРТ при лимфопролиферативном образовании глазницы
ФГБУ «Московский НИИ глазных болезней им. Гельмгольца» Минздрава России, Москва
ФГБУ "Московский НИИ глазных болезней им. Гельмгольца" Минздрава России
ФГБУ «Московский НИИ глазных болезней им. Гельмгольца» Минздрава России, ул. Садовая-Черногрязская, 14/19, Москва, Российская Федерация, 105062
Неходжкинская лимфома (случай сочетанного поражения глаз и орбиты)
Журнал: Вестник офтальмологии. 2015;131(3): 82‑89
В статье представлен полный клинический, инструментальный и морфологический анализ крайне редкого патологического состояния — сочетанного поражения глаз и орбиты лимфопролиферативным процессом.
Злокачественные лимфомы органа зрения представляют собой гетерогенную группу опухолей, характеризующихся злокачественной трансформацией лимфоидной ткани, и являются вариантом экстранодального поражения лимфоидной ткани (неходжкинские лимфомы — НХЛ).
В последние годы в мировой практике отмечается значительное увеличение числа экстранодальных лимфом. По данным И.В. Поддубной и Ю.Н. Балакиревой [1, 2], экстранодальные формы НХЛ составляют 24—48% всех НХЛ, а НХЛ органа зрения — 4,1—8% от всех экстранодальных лимфом.
Наиболее часто НХЛ органа зрения поражает орбиту и придаточный аппарат глаз и обычно развивается из железистых структур слезной железы, век и конъюнктивы. В последние годы отмечается значительное увеличение общего числа больных с периокулярными лимфомами. Например, частота лимфом среди всех злокачественных опухолей орбиты составляет 37,3—55% [3—5].
Сочетанное поражение интраокулярной и периокулярной лимфомой — крайне редкое явление, и в современной литературе имеются описания лишь единичных клинических наблюдений [20, 21].
Материал и методы
Мужчина 52 лет обратился в нашу клинику с жалобами на выстояние левого глаза и двоение в течение 2 мес. Проведен анализ клинической симптоматики. Инструментальные методы исследования включали флюоресцентную ангиографию (ФАГ) (Digital retinal Camera CX-1, «Canon», Япония), высокоразрешающее ультразвуковое дуплексное сканирование (УЗДС) (Voluson 730 Pro, «General Electric Healthcare», Австрия), компьютерную томографию (КТ). Диагноз верифицирован с помощью цитологического и гистологического (отделение патогистологии института, руководитель — проф. И.П. Хорошилова-Маслова) методов исследования.
Результаты и обсуждение
При осмотре пациента отмечены легкий отек век и периорбитальных тканей слева, стационарный экзофтальм слева (асимметрия между двумя глазами 3 мм), ограничение подвижности левого глаза по горизонтали, в крайних отведениях (рис. 1). Внутриглазное давление обоих глаз в пределах нормы. Зрение обоих глаз 1,0 со слабой миопической коррекцией. Передний отрезок глаз — без изменений, стекловидное тело прозрачное. Периметрия позволила выявить единичные относительные скотомы в центральной зоне левого глаза, поля зрения правого глаза были в пределах нормы.

Рис. 1. Внешний вид больного. Легкий стационарный экзофтальм слева со смещением глаза книзу.
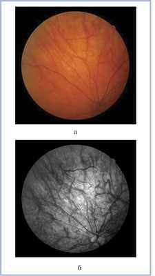
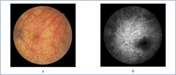
При офтальмоскопии слева отмечен желтоватый фон глазного дна. Артерии сетчатки сужены и извиты, вены сужены, выпрямлены. Легкий прозрачный отек сетчатки по ходу основных крупных сосудистых пучков сетчатки и у диска зрительного нерва. Визуализируются крупные, неправильного хода, резко извитые новообразованные сосуды. В субретинальном пространстве определялось образование желтоватого цвета, диффузно распространяющееся кверху и книзу от диска зрительного нерва без вовлечения в процесс макулярной зоны (рис. 2, а). В артериальную фазу ФАГ определялась крупнопятнистая гиперфлюоресценция центрального отдела глазного дна до средней периферии с наиболее выраженными изменениями в перипапиллярной зоне (см. рис. 2, б).

Рис. 2. Офтальмоскопическая картина (а) и флюоресцентная ангиограмма (б) глазного дна левого глаза.
При осмотре глазного дна правого глаза также определялся желтый оттенок глазного дна (менее выраженный, чем слева), отмечались нарушение хориоидального рисунка, прозрачный, диффузный легкий отек сетчатки, которые более отчетливо визуализировались на ФАГ (рис. 3, а, б).

Рис. 3. Офтальмоскопическая картина (а) и флюоресцентная ангиограмма (б) глазного дна правого глаза.
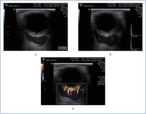
КТ позволила выявить ретробульбарную ткань с достаточно четкими границами, локализующуюся вокруг зрительного нерва, а также утолщение хориоидеи слева (рис. 4). Патологических изменений справа по данным КТ выявлено не было. С помощью УЗДС слева в В-режиме непосредственно за задним полюсом глаза (вокруг зрительного нерва) определяли гипоэхогенную, практически однородную опухолевую ткань с четкими неровными контурами. Одновременно выявили диффузное утолщение хориоидального слоя в области заднего полюса глаза — до 2,5 мм (рис. 5, а). Ультразвуковой денситометрический анализ, проведенный на основе двумерных серошкальных гистограмм, продемонстрировал крайне низкие значения акустической плотности ткани (А=3—12 усл. ед.) (см. рис. 5, б). В режиме цветового допплеровского картирования (ЦДК) отмечена гиперваскуляризация ретробульбарного и интраокулярных очагов с высокими линейными характеристиками кровотока. Следует отметить, что два указанных процесса — внутриглазной и орбитальный имели единую васкуляризацию (см. рис. 5, в). Патологических изменений в правом глазу по данным ультразвукового исследования выявлено не было.

Рис. 4. Компьютерная томограмма орбит в аксиальной (а) и сагиттальной (б) проекциях.

Рис. 5. Результаты дуплексного сканирования. а — утолщение хориоидеи; б — денситометрические показатели акустической плотности опухоли в В-режиме; в — множественные собственные сосуды опухоли, единая васкуляризация внутриглазного и орбитального очагов в режиме ЦДК.
Данные клинического и комплексного инструментального обследования позволили предположить лимфому с одномоментным вовлечением глаза и орбиты слева и начальный процесс с правой стороны.
Для подтверждения диагноза и определения дальнейшей тактики ведения больного первым этапом лечения была эксплораторная орбитотомия с биопсией образования. Во время операции непосредственно за глазным яблоком выявлена диффузно распространяющаяся опухолевая ткань светло-розового цвета с выраженной собственной сосудистой сетью, инфильтрирующая мягкие ткани орбиты, интимно контактирующая с задним полюсом глаза и оболочками зрительного нерва. Цитологически, иммуноцитохимически и гистологически была верифицирована В-клеточная лимфома (рис. 6), в связи с чем больной был направлен на консультацию к онкогематологам и нейрохирургам. Полное обследование у этих специалистов (включающее в том числе стернальную пункцию и магнитно-резонансную томографию головного мозга) не выявило патологии в других системах органов, в связи с чем процесс был расценен как первичная лимфома органа зрения с вовлечением обоих глаз и левой орбиты. Больному был назначен курс полихимиотерапии (ПХТ).

Рис. 6. Морфологическая картина. а — результат цитологического исследования. Обилие пролимфоцитов. Окраска по Паппенгейму. Ув. 1000; б — результат иммуноцитохимического исследования. Выраженная положительная реакция на CD20 (коричневое окрашивание); в — гистологический препарат. Окраска гематоксилином и эозином. Ув. 100 и 400. Разрастание лимфоидных клеток средних размеров (в 1,5 раза крупнее малых лимфоцитов) с ядрами округлой и неправильной формы, дифференцируются немногочисленные клетки более крупных размеров.
В настоящее время, спустя 6 мес после постановки диагноза и проведения 4 курсов ПХТ, состояние больного удовлетворительное. Патологических изменений со стороны ЦНС и других систем органов на данный момент не выявлено. Зрение обоих глаз с миопической коррекцией 1,0. Клинически отмечается положительная динамика в виде уплощения и уменьшения площади поражения (рис. 7, 8). Аналогичные результаты демонстрируют и инструментальные методы исследования (рис. 9). Однако в связи с наличием остаточного опухолевого процесса больной был направлен к гематологам для продолжения курса лечения (ПХТ).

Рис. 7. Офтальмоскопическая картина (а) и флюоресцентная ангиограмма (б) глазного дна левого глаза через 6 мес после ПХТ. Отмечается уплощение очага и уменьшение ретинального отека.

Рис. 8. Офтальмоскопическая картина (а) и флюоресцентная ангиограмма (б) глазного дна правого глаза через 6 мес после ПХТ.

Рис. 9. Дуплексное сканирование левого глаза и орбиты через 6 мес после ПХТ. Определяется уменьшение размеров опухолевой ткани в В-режиме (а), сохранность собственной васкуляризации в режиме ЦДК (б).
Сочетанное поражение глаза и орбиты НХЛ — крайне редкое явление. Как правило, диагностика орбитальной лимфомы не вызывает серьезных трудностей. В большинстве случаев клинико-инструментальная диагностика позволяет заподозрить лимфопролиферативный процесс. Диагностические ошибки могут иметь место при небольших периневрально расположенных образованиях, симулирующих опухоль зрительного нерва [22, 23], а также при перибульбарных лимфомах, которые нередко могут расцениваться как задний склерит [24].
Значительные сложности возникают в диагностике внутриглазного процесса. Офтальмоскопическая картина не однозначна и может симулировать ряд воспалительных процессов (так называемый «маскарадный синдром») [13]. Описаны случаи первичной внутриглазной лимфомы, симулирующей гранулематозный пантувеит, витриит и диффузный васкулит сетчатки [14]. Нередко внутриглазная лимфома симулирует метастатические опухоли хориоидеи, хориоидальную эффузию при заднем склерите [11, 14—16].
Следует обратить внимание, что в нашем случае внутриглазные очаги локализовались в хориоидее (менее типичная локализация для первичной лимфомы), в то время как сетчатка и стекловидное тело (наиболее частая локализация внутриглазной лимфомы) оставались интактными.
Из инструментальных методов исследования следует признать высокую информативность УЗДС, демонстрирующего типичные признаки лимфопролиферативного процесса: практически однородный гипоэхогенный очаг с выраженной «густой» собственной сосудистой сетью, с высокими линейными скоростными характеристиками кровотока в них. ФАГ оказалась наиболее чувствительным и единственным инструментальным методом, позволившим выявить начальный туморозный процесс в правом глазу.
Патогенез сочетанного поражения лимфомой глаза и орбиты, как впрочем и изолированной внутриглазной НХЛ, окончательно не изучен и может носить лишь предположительный характер [11]. Известно, что ретинальная лимфома (с/без вовлечения стекловидного тела) нередко бывает первичной, хотя чаще всего сочетается с ПЛЦНС [9, 11]. Отсутствие поражения других органов у данного пациента позволяет предположить первичный процесс в органе зрения. С другой стороны, бинокулярный характер поражения и имеющиеся сведения о возможном метахронном поражении органа зрения и головного мозга не исключают вероятности системного характера процесса с первичной манифестацией в органе зрения [14]. Например, описаны случаи развития лимфомы ЦНС через 2,5 года после выявления внутриглазного очага [14].
В литературе представлены некоторые гипотезы механизмов одновременного поражения глаз и орбиты НХЛ, среди которых рассматривается локальная инвазия лимфоидных клеток через зрительный нерв [18] или через послеоперационную рану [25]. Имеются данные о возможной злокачественной трансформации лимфоидных клеток при локальном воспалительном процессе, что было отмечено у больных с иммунодефицитными состояниями [26]. P. Panda и соавт. [27] представили случай лимфомы орбиты в сочетании с пантувеитом, определяя, что поражение оболочек глаза является вторичным и носит не опухолевый, а воспалительный характер.
Анализируя наш клинический случай, можно предположить следующие возможные механизмы развития сочетанного поражения глаза и орбиты. Во-первых, скорее всего имеет место системный характер поражения с первичной манифестацией в органе зрения. Во-вторых, на наш взгляд, у больного имело место первичное поражение сосудистых оболочек глаза с вторичной инфильтрацией (через естественные отверстия в глазу и оболочки зрительного нерва) в орбиту. Кстати, в пользу данного механизма косвенно может свидетельствовать инфильтрация опухолевой тканью заднего полюса глаза и зрительного нерва, что было выявлено во время диагностической орбитотомии, а также юкстапапиллярная локализация очага. В-третьих, что маловероятно, одновременное сочетанное поражение НХЛ различных структур органа зрения может рассматриваться как казуистика.
Заключение
Таким образом, сочетанное поражение глаза и орбиты лимфопролиферативным процессом является крайне редкой онкопатологией с вовлечением в процесс органа зрения, механизм возникновения которой остается окончательно не ясным.
Наличие орбитального процесса требует тщательного исследования глазного дна обоих глаз с использованием комплекса современный инструментальных методов исследования с целью исключения вовлечения в опухолевый процесс оболочек глаза. Глазная симптоматика может быть первичным звеном в системном процессе, что требует постоянного динамического контроля со стороны гематологов и нейрохирургов для своевременного выявления генерализации процесса, в частности лимфомы ЦНС. Несмотря на то что данная категория больных получает лечение у онкогематологов, роль офтальмолога высоко значима как в постановке правильного диагноза, взятии биопсийного материала, тесной кооперации с гистологами и онкогематологами, участии в планировании лечения, так и в динамическом наблюдении для определения эффективности проводимой терапии.
Читайте также:
- Техника, этапы операции при внутрисуставном переломе пяточной кости
- Торможение актиновой нити тропонин-тропомиозиновым комплексом. Теория храпового механизма сокращения
- Результаты лечения посттравматической афакии. Особенности
- Судорожный статус в неврологии. Лечение судорожного статуса
- Поражение глаз и зрения на производстве каучука
