КТ, МРТ при метастатической нейробластоме головы и шеи
Добавил пользователь Евгений Кузнецов Обновлено: 21.11.2025
Нейробластома - эмбриональная опухоль, возникающая в процессе внутриутробного или раннего постнатального периода жизни из стволовых нервных клеток - нейробластов.
Впервые описание этой опухоли, названной впоследствии «детской глиомой», дал Рудольф Людвиг Карл Вирхов в 1864 году. Позднее в 1891 году немецким ученым патоморфологом Феликсом Маршандом был определен источник опухоли - клетки симпатической нервной системы и надпочечники. Симпатическая нервная система - это часть автономной (вегетативной) нервной системы. Она контролирует непроизвольную работу внутренних органов человека, например, работу сердца, кишечника, мочевого пузыря, процесс кровообращения.
Эпидемиология
Нейробластома составляет около 7-8% от всех злокачественных новообразований в детском и подростковом возрасте. Это наиболее часто возникающий вид детских новообразований после опухолей кроветворной и центральной нервной системы. Примерно 40% случаев заболевания встречается на первом году жизни, с возрастом количество случаев уменьшается. Средний возраст на момент диагностирования составляет 19 месяцев.
Причины и риски
Причины появления опухоли до конца не изучены. Нейробластома возникает в том случае, когда нормальные нейробласты не созревают в нервные клетки. Вместо этого они продолжают бесконтрольно расти и делиться. Предполагают, что эти несозревшие (эмбриональные) нервные клетки начинают мутировать еще до рождения ребенка, когда начинают меняться хромосомы и/или происходит сбой в регулировании работы генов. Как подтверждают актуальные исследования, у большинства детей болезнь не является наследственной̆. Только около 1% случаев нейробластомы имеют наследственную основу, чаще всего, вследствие мутаций в гене, который̆ называется ALK (или ген киназы анапластической лимфомы), либо в гене PHOX2B. На сегодняшний̆ день нет клинических исследований, доказывающих, что внешние факторы (окружающая среда, вредные условия работы родителей ребенка, прием каких-либо медикаментов, курение и употребление алкоголя во время беременности) могут стать причиной болезни.
Клиническая картина при нейробластоме
Нейробластома может возникать в любой анатомической области, где располагается симпатическая нервная система: надпочечники, шейный, грудной и брюшной симпатический отделы, параганглии.
Самой частой локализацией нейробластомы является забрюшинное пространство (одинаково часто опухоль диагностируется в надпочечниках и паравертебральных забрюшинных ганглиях). У 15% детей нейробластома локализуется в заднем средостении. Реже опухоль возникает в области таза (6%) и шеи (2%) (рис. 1).

Рис. 1. Локализация нейробластомы
При ранних стадиях заболевания у многих детей может не быть никаких симптомов. Опухоль у них находят случайно, например, при плановом УЗИ обследовании младенцев при диспансеризации. Как правило, жалобы у детей появляются тогда, когда опухоль уже успела сильно вырасти и давит на соседние органы, нарушая их работу, или когда опухоль дала метастазы.
Среди общих симптомов заболевания можно выделить следующие: потеря веса, слабость, костные и суставные боли, некупируемая диарея.
Большинство проявлений болезни и их выраженность зависят от расположения опухоли и ее взаимосвязи с соседними органами и тканями. Так, для пациентов в возрасте до 2-х лет при забрюшинной локализации характерно увеличение размеров живота, лихорадка и потеря веса. Нейробластома забрюшинного пространства пальпируется через переднюю брюшную стенку в виде бугристого, несмещаемого опухолевого узла (рис. 2). У детей старшего возраста заболевание может манифестировать болевым синдромом, обусловленным метастатическим поражением костей, респираторными нарушениями, увеличением размеров живота, появлением запоров. У пациентов с большими забрюшинными опухолями можно обнаружить развитую сеть подкожных вен, развернутые края грудной клетки.

Рис. 2. Нейробластома забрюшинного пространства
Локализация опухоли в шейно-грудном отделе симпатического отдела позвоночника вызывает синдром Горнера (сужение зрачка, разные размеры зрачков, покраснение и/или опущение верхнего века и небольшое поднятие нижнего). Другими изменениями в области глаз могут быть кровоизлияния в кожу или слизистую оболочку, «синяки» на веках и под глазами. На поздней стадии болезни иногда появляются черные круги вокруг глаз (гематома в виде очков) (рис. 3).

Рис. 3.1. Симптом «очков»

Рис. 3.2. Симптом «очков» при метастазах в орбиту
Поражение заднего средостения может стать причиной сухого кашля, дыхательных расстройств, деформации грудной клетки, частого срыгивания. При локализации опухоли в полости таза отмечают нарушение функции тазовых органов (периодическое недержание мочи, нарушение акта дефекации), отёки нижних конечностей.
При распространении опухоли в позвоночный канал и сдавлении ею спинного мозга могут развиваться слабость в ногах, неустойивость походки, параличи нижних конечностей, а также дисфункции органов малого таза (задержка мочеиспускания или непроизвольное мочеиспускание, запоры).
Редко, примерно в 2-4% всех случаев, у детей встречается ассоциированный с нейробластомой церебеллярный синдром («опсоклонус-миоклонус» или энцефалопатия Кинсбурна), характеризующийся некоординированными, нерегулярными движениями туловища и конечностей, миоклонусом и хаотичными движениями глазных яблок.
Нейробластома ‒ гормонопродуцирующая опухоль, способная к секреции физиологически активных веществ - катехоламинов ‒ адреналина, норадреналина и дофамина. В моче, как правило, повышено выведение их метаболитов ‒ ванилилминдальной и гомованилиновой кислот. В 95% случаев гормональная активность нейробластомы тем больше, чем выше степень её злокачественности. Эффекты секретируемых гормонов вызывают специфические клинические симптомы нейробластомы ‒ резкое повышение артериального давления, диарею (вызывается секрецией вазоактивного интестинального полипептида), потливость, эмоциональную лабильность, периодическое повышение температуры.
Нейробластома метастазирует чаще всего в костный мозг, кости, в отдаленные лимфатические узлы, печень или кожу, редко — в головной мозг или легкие. Признаки отдалённых метастазов можно обнаружить в виде экзофтальма, кровоизлияний в орбиты, опухолевых узлов на голове.
Среди особенностей течения нейробластомы можно выделить следующие:
- Регрессия - способность опухоли к спонтанному или индуцированному минимальной полихимиотерапией или лучевой терапией уменьшению (инволюции). Как правило, это происходит у детей до 1 года с IVS стадией заболевания.
- Реверсия - способность опухоли трансформироваться из более злокачественных форм в доброкачественные ганглионевромы (спонтанно или индуцированно).
- В некоторых случаях опухолевый процесс имеет обратную направленность: склонность к агрессивному течению и быстрому метастазированию.
Гистологическая классификация
Существующая гистологическая классификация нейробластомы INPC-Shimada основана на степени зрелости (дифференцировки) опухолевой ткани и выделяет 4 категории (от недифференцированных до зрелых форм):
1) нейробластома, бедная шванновской стромой: недифференцированная, низкодифференцированная, дифференцированная;
2) нодулярная ганглионейробластома;
Стадии заболевания
Существует несколько систем стадирования нейробластомы. Наиболее точной является модифицированная система, разработанная Международным противораковым союзом (INSS) (табл. 1).

Диагностика нейробластомы
Лабораторные методы
В клиническом анализе крови при поражении костного мозга может наблюдаться снижение показателей крови: анемия, лейконейтропения, тромбоцитопения.
В сыворотке крови также можно определить специфические для нейробластомы маркеры: нейрон-специфическую енолазу (НСЕ), уровень метаболитов катехоламинов, лактатдегидрогеназу (ЛДГ) и ферритин.
Простым в выполнении специализированным тестом при диагностировании нейробластомы является определение уровня ванилилминдальной и гомованилиновой кислот в анализе мочи. Их также называют «тестом на оценку метаболитов катехоламинов в моче». Данный анализ может проводиться при сборе мочи ребенка в течение суток или в однократной порции мочи.
Перед началом специфической терапии всегда проводится верификация диагноза; диагноз нейробластомы ставится при гистологическом исследовании биоптата первичной опухоли или метастазов, или при сочетании наличия опухолевых клеток в костном мозге и повышенного уровня суточной экскреции катехоламинов.
Молекулярно-генетическое исследование
Для установления степени злокачественности нейробластомы выполняется ряд генетических исследований: мутация MYCN, делеция хромосом 1р или 11q . Наличие данных мутаций является неблагоприятным фактором прогноза заболевания.
Инструментальные методы
Ультразвуковое исследование
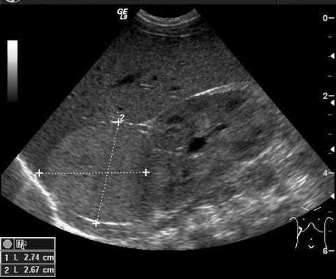
Ультразвуковой метод исследования позволяет выявить наличие опухоли и ее расположение по отношению к внутренним органам. УЗИ позволяет оценить степень местного и отдаленного распространения злокачественного процесса и выявляет метастатическое поражение печени и лимфатических узлов (рис. 4).

Рис. 4. УЗИ образования правого надпочечника
Компьютерная томография брюшной полости и забрюшинного пространства
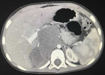
Компьютерная томография более детально дает информацию об анатомическом отношении опухоли к окружающим тканям и органам, позволяет оценить структуру опухоли (рис. 5).

Рис. 5. КТ нейрогенного образования забрюшинного пространства справа
Магнитно-резонансная томография органов брюшной полости, забрюшинного пространства и позвоночника
МРТ органов брюшной полости и забрюшинного пространства ‒ это безопасный и высокоинформативный метод исследования, который позволяет не только уточнить локализацию опухоли, точные размеры новообразования и соотношение его с окружающими тканями, но и выявить метастатические очаги в печени и брюшной полости. Также МРТ дает возможность оценить состояние костных структур и мягких тканей позвоночного столба и позвоночного канала (рис. 6).

Рис. 6. МРТ нейрогенного образования забрюшинного пространства слева
Радиоизотопные исследования
Одним из наиболее информативных специфических методов топической диагностики нейробластом является сцинтиграфия с метайодбензилгуанидином (МЙБГ), меченным 123I. МЙБГ по своей химической структуре сходен с катехоламинами в организме. Это вещество концентрируется в тех опухолях, которые вырабатывают катехоламины. МЙБГ метят радиоактивным изотопом йода (например, 123I) в безопасной для жизни дозе, и готовый препарат внутривенно вводят в кровоток. Накапливаясь в клетках опухоли, он дает излучение. Эти сигналы регистрирует специальная камера и переводит их в изображение. Таким образом, метод позволяет выявить не только первичную опухоль, но и наличие регионарных и отдаленных метастазов (рис. 7).

Рис. 7. Сцинтиграфия с метайодбензилгуанидином (визуализируется первичная паравертебральная опухоль с метастазами в кости черепа)
Остеосцинтиграфия - метод сканирования костей скелета с помощью внутривенного введения радиофармпрепарата. Радиофармпрепарат накапливается участками, пораженными опухолевыми клетками в костях, что видно на снимках, выполняемых гамма-камерой. Таким образом, данный метод исследования позволяет выявить возможные метастазы костей скелета.
Исследование костного мозга (миелограмма и трепанобиопсия) используется для уточнения наличия поражения опухолевыми клетками костного мозга.
Лечение нейробластомы
Учитывая разнообразные сценарии развития исхода заболевания (от спонтанной регрессии до летального исхода от прогрессирования), в терапии нейробластомы предлагаются риск-адаптированные принципы. Стратификация пациентов проводится согласно факторам риска до начала лечения (как правило, это клинические и молекулярно-генетические данные) и на основании ответа опухоли во время лечения (response-adapted). При выделении групп риска перед началом лечения используются следующие прогностические критерии: стадия заболевания, возраст на момент диагностики, результаты молекулярно-генетических данных — амплификация MYCN и делеция короткого плеча 1р (рис. 8).

Рис. 8. Стратификация пациентов на группы риска согласно наличию факторов неблагоприятного прогноза
Неоадъювантная (предоперационая) полихимиотерапия
- Необходимость проведения полихимиотерапии определяется стадией заболевания и наличием или отсутствием неблагоприятных клинических и биологических факторов (n-myc амплификация, делеции короткого плеча 1р).
- Полихимиотерапия позволяет уменьшить размеры первичной опухоли, чтобы сделать хирургическое вмешательство более безопасным и радикальным.
- Базовыми препаратами для лечения нейробластомы являются винкристин, циклофосфамид, антрациклины, ифосфамид, препараты платины, этопозид.
Особенности хирургического лечения
- При локализованных стадиях заболевания лечение может ограничиться полным удалением опухоли.
- При III-IV стадиях заболевания оперативный этап проводится после проведения предоперационной (неоадъювантной) полихимиотерапии, которая направлена на сокращение размеров опухоли с целью последующего радикального удаления образования.
- В тех случаях, когда полное удаление опухоли невозможно, в послеоперационном периоде лечение дополняется лучевой терапией.
Адъювантная (постоперационная) полихимиотерапия
Лекарственное лечение необходимо начать через 5-7 дней после оперативного вмешательства. При отсутствии показаний для проведения 2-й линии полихимиотерапии в схемах лечения используются те же базовые препараты, как и при неоадъювантной терапии.
Лучевая терапия
- Лучевая терапия используется для уничтожения любых опухолевых клеток, которые невозможно удалить хирургическим путем и/или которые не были разрушены посредством предыдущих терапий.
- При нерадикальном характере операции с наличием активной остаточной опухоли проводится облучение остаточной опухолевой ткани, вовлеченных в процесс лимфатических узлов и зон связи опухоли с окружающими органами и тканями.
- Облучение осуществляется ежедневно, начиная с 5-7-го дня после операции.
- По показаниям проводится облучение метастатических очагов (с лечебной, иногда с противоболевой целью).
В случае наличия неблагоприятных прогностических факторов, в частности выявления в опухоли мутации MYCN онкогена, рекомендовано проведение высокодозной полихимиотерапии с аутологичной трансплантацией гемопоэтических стволовых клеток.
Для больных с высоким риском развития рецидива (распространенные стадии заболевания с наличием неблагоприятных молекулярно-генетических маркеров) рекомендовано проведение «поддерживающей» дифференцирующей терапии 13-цис-ретиноевой кислотой и пассивной иммунотерапией антиGD2 моноклональными антителами.
Иммунотерапия
Иммунотерапия - новый метод лечения нейробластомы, который используется для уничтожения раковых клеток. Дисиалоганглиозид GD2 - молекула- антиген, экспрессируемая клетками нейробластомы, это делает ее идеальной мишенью для иммунотерапии антителами: антитело действует против этой молекулы. Клетки иммунной системы могут способствовать гибели клеток нейробластомы.
В НМИЦ онкологии им. Н.Н. Петрова проводятся все этапы лечения, включая минимально-инвазивные операции (лапаро- и торакоскопические), тандемную трансплантацию и пассивную иммунотерапию.
Интенсифицируя терапию у детей с нейробластомой группы высокого риска (с включением тандемной высокодозной полихимиотерапии в консолидацию и пассивной иммунотерапии в постконсолидацию) удалось повысить результаты выживаемости на 20%.
Рекомендации после лечения
- После успешного лечения нейробластомы ребенку необходимо проходить врачебный контроль, который может включать осмотр и консультацию детского онколога, анализ крови на онкомаркеры (ЛДГ, НСЕ), анализ мочи на метаболиты катехоламинов, УЗИ и КТ/МРТ, сцинтиграфию с МЙБГ и другие исследования.
- Детский онколог проводит осмотр 1 раз в 1,5-2 мес в течение первого года после окончания лечения, 1 раз в 3 мес ‒ в течение 2-го года, 1 раз в 6 мес ‒ на протяжении следующих 2 лет, в дальнейшем ‒ 1 раз в год.
- С учета больных не снимают.
СПИСОК ЛИТЕРАТУРЫ
Авторы:

- Изможерова Рина Игоревна;
- Сенчуров Евгений Михайлович;
- Михайлова Елена Андреевна;
- Иванова Светлана Вячеславовна;
- Фасеева Наталья Дмитриевна;
- Борокшинова Ксения Михайловна;
- Жук Ирина Николаевна.


Под научной редакцией:
Кулева С.А.
Заведующий детским онкологическим отделением, врач-детский онколог, ведущий научный сотрудник, профессор, доктор медицинских наук, главный внештатный детский специалист-онколог Комитета по здравоохранению Санкт-Петербурга
Что вам необходимо сделать
Если вы хотите узнать побольше о бесплатных возможностях ФБГУ НМИЦ онкологии им. Н.Н. Петрова Минздрава России, получить очную или заочную консультацию по диагностике и лечению, записаться на приём, ознакомьтесь с информацией на официальном сайте.
Если вы хотите общаться с нами через социальные сети, обратите внимание на аккаунты в ВКонтакте и Одноклассники.
Нейробластома
Нейробластома - злокачественное новообразование симпатической нервной системы эмбрионального происхождения. Развивается у детей, обычно располагается в надпочечниках, забрюшинном пространстве, средостении, шее или области таза. Проявления зависят от локализации. Наиболее постоянными симптомами являются боли, повышение температуры и снижение веса. Нейробластома способна к регионарному и отдаленному метастазированию с поражением костей, печени, костного мозга и других органов. Диагноз устанавливается с учетом данных осмотра, УЗИ, КТ, МРТ, биопсии и других методик. Лечение - оперативное удаление неоплазии, радиотерапия, химиотерапия, пересадка костного мозга.

Общие сведения
Нейробластома - недифференцированная злокачественная опухоль, происходящая из эмбриональных нейробластов симпатической нервной системы. Нейробластома является самой распространенной формой рака экстракраниальной локализации у детей раннего возраста. Составляет 14% от общего количества злокачественных новообразований у детей. Может быть врожденной. Нередко сочетается с пороками развития. Пик заболеваемости приходится на 2 года. В 90% случаев нейробластома диагностируется в возрасте до 5 лет. У подростков выявляется очень редко, у взрослых не развивается. В 32% случаев располагается в надпочечниках, в 28% - в забрюшинном пространстве, в 15% - в средостении, в 5,6% - в области таза и в 2% - в области шеи. В 17% случаев определить локализацию первичного узла не удается.
У 70% больных нейробластомой при постановке диагноза выявляются лимфогенные и гематогенные метастазы. Чаще всего поражаются регионарные лимфоузлы, костный мозг и кости, реже - печень и кожа. Крайне редко обнаруживаются вторичные очаги в головном мозге. Уникальной особенностью нейробластомы является способность к повышению уровня дифференцировки клеток с трансформацией в ганглионеврому. Ученые считают, что нейробластома в отдельных случаях может протекать бессимптомно и завершаться самостоятельной регрессией или созреванием до доброкачественной опухоли. Вместе с тем, часто наблюдаются быстрый агрессивный рост и раннее метастазирование. Лечение нейробластомы проводят специалисты в сфере онкологии, эндокринологии, пульмонологии и других областей медицины (в зависимости от локализации неоплазии).

Причины нейробластомы
Механизм возникновения нейробластомы пока не выяснен. Известно, что опухоль развивается из эмбриональных нейробластов, которые к моменту рождения ребенка не созрели до нервных клеток. Наличие эмбриональных нейробластов у новорожденного или ребенка младшего возраста не обязательно приводит к формированию нейробластомы - небольшие участки таких клеток часто выявляются у детей в возрасте до 3 месяцев. В последующем эмбриональные нейробласты могут трансформироваться в зрелую ткань или продолжить делиться и дать начало нейробластоме.
В качестве основной причины развития нейробластомы исследователи указывают приобретенные мутации, возникающие под влиянием различных неблагоприятных факторов, однако определить эти факторы пока не удалось. Отмечается корреляция между риском возникновения опухоли, аномалиями развития и врожденными нарушениями иммунитета. В 1-2% случаев нейробластома носит наследственный характер и передается по аутосомно-доминантному типу. Для семейной формы неоплазии типичен ранний возраст начала болезни (пик заболеваемости приходится на 8 месяцев) и одновременное или практически одновременное образование нескольких очагов.
Патогномоничным генетическим дефектом при нейробластоме является потеря участка короткого плеча 1-ой хромосомы. У трети пациентов в опухолевых клетках обнаруживаются экспрессия либо амплификация N-myc онкогена, подобные случаи рассматриваются как прогностически неблагоприятные из-за быстрого распространения процесса и устойчивости неоплазии к действию химиопрепаратов. При микроскопии нейробластомы выявляются круглые мелкие клетки с темными пятнистыми ядрами. Характерно наличие очагов кальцификации и кровоизлияний в ткани опухоли.
Классификация нейробластомы
Существует несколько классификаций нейробластомы, составленных с учетом размера и распространенности новообразования. Российские специалисты обычно используют классификацию, которую в упрощенном виде можно представить следующим образом:
- I стадия - выявляется одиночный узел размером не более 5 см. Лимфогенные и гематогенные метастазы отсутствуют.
- II стадия - определяется одиночное новообразование размером от 5 до 10 см. Признаки поражения лимфоузлов и отдаленных органов отсутствуют.
- III стадия - выявляется опухоль диаметром менее 10 см с вовлечением регионарных лимфоузлов, но без поражения отдаленных органов, либо опухоль диаметром более 10 см без поражения лимфоузлов и отдаленных органов.
- IVА стадия - определяется неоплазия любого размера с отдаленными метастазами. Оценить вовлеченность лимфоузлов не представляется возможным.
- IVВ стадия - выявляются множественные новообразования с синхронным ростом. Наличие либо отсутствие метастазов в лимфоузлы и отдаленные органы установить не удается.
Симптомы нейробластомы
Для нейробластомы характерно значительное разнообразие проявлений, что объясняется разными локализациями опухоли, вовлечением тех или иных близлежащих органов и нарушением функций отдаленных органов, пораженных метастазами. На начальных стадиях клиническая картина нейробластомы неспецифична. У 30-35% пациентов возникают локальные боли, у 25-30% наблюдается повышение температуры тела. 20% больных теряют в весе либо отстают от возрастной нормы при прибавке массы тела.
При расположении нейробластомы в забрюшинном пространстве первым симптомом заболевания могут стать узлы, определяемые при пальпации брюшной полости. В последующем нейробластома может распространяться через межвертебральные отверстия и вызывать компрессию спинного мозга с развитием компрессионной миелопатии, проявляющейся вялой нижней параплегии и расстройством функций тазовых органов. При локализации нейробластомы в зоне средостения наблюдаются затруднения дыхания, кашель, дисфагия и частые срыгивания. В процессе роста неоплазия вызывает деформацию грудной клетки.
При расположении новообразования в области таза возникают расстройства дефекации и мочеиспускания. При локализации нейробластомы в области шеи первым признаком болезни обычно становится пальпируемая опухоль. Может выявляться синдром Горнера, включающий в себя птоз, миоз, эндофтальм, ослабление реакции зрачка на свет, нарушения потоотделения, гиперемию кожи лица и конъюнктивы на стороне поражения.
Клинические проявления отдаленных метастазов при нейробластоме также отличаются большим разнообразием. При лимфогенном распространении выявляется увеличение лимфоузлов. При поражении скелета возникают боли в костях. При метастазировании нейробластомы в печень наблюдается быстрое увеличение органа, возможно - с развитием желтухи. При вовлечении костного мозга отмечаются анемия, тромбоцитопения и лейкопения, проявляющиеся вялостью, слабостью, повышенной кровоточивостью, склонностью к инфекциям и другими симптомами, напоминающими острый лейкоз. При поражении кожных покровов на коже больных нейробластомой образуются голубоватые, синеватые или красноватые плотные узлы.
Для нейробластомы также характерны метаболические расстройства в виде повышения уровня катехоламинов и (реже) вазоактивных интестинальных пептидов. У пациентов с такими расстройствами наблюдаются приступы, включающие в себя побледнение кожи, гипергидроз, диарею и повышение внутричерепного давления. После успешной терапии нейробластомы приступы становятся менее выраженными и постепенно исчезают.
Диагноз выставляют с учетом данных лабораторных анализов и инструментальных исследований. В список лабораторных методов, используемых в ходе диагностики нейробластомы, включают определение уровня катехоламинов в моче, уровня ферритина и мембрано-связанных гликолипидов в крови. Кроме того, в процессе обследования пациентам назначают тест на определение уровня нейронспецифической енолазы (NSE) в крови. Этот анализ не является специфичным для нейробластомы, поскольку увеличение количества NSE также может наблюдаться при лимфоме и саркоме Юинга, но имеет определенную прогностическую ценность: чем ниже уровень NSE, тем более благоприятно протекает заболевание.
План инструментального обследования в зависимости от локализации нейробластомы может включать в себя КТ, МРТ и УЗИ забрюшинного пространства, рентгенографию и КТ органов грудной клетки, МРТ мягких тканей шеи и другие диагностические процедуры. При подозрении на отдаленное метастазирование нейробластомы назначают радиоизотопную сцинтиграфию костей скелета, УЗИ печени, трепанобиопсию либо аспирационную биопсию костного мозга, биопсию кожных узлов и другие исследования.
Лечение нейробластомы может проводиться с использованием химиотерапии, лучевой терапии и оперативных вмешательств. Тактику лечения определяют с учетом стадии болезни. При I и II стадии нейробластомы осуществляют хирургические вмешательства, иногда - на фоне предоперационной химиотерапии с использованием доксорубицина, цисплатина, винкристина, ифосфамида и других препаратов. При III стадии нейробластомы предоперационная химиотерапия становится обязательным элементом лечения. Назначение химиопрепаратов позволяет обеспечить регрессию новообразования для последующего проведения радикальной операции.
В некоторых случаях наряду с химиотерапией при нейробластомах применяют лучевую терапию, однако, в настоящее время этот метод все реже включают в схему лечения из-за высокого риска развития отдаленных осложнений у детей младшего возраста. Решение о необходимости лучевой терапии при нейробластоме принимают индивидуально. При облучении позвоночника учитывают возрастной уровень толерантности спинного мозга, при необходимости применяют защитные средства. При облучении верхних отделов туловища защищают плечевые суставы, при облучении таза - тазобедренные суставы и, по возможности, яичники. На IV стадии нейробластомы назначают высокодозную химиотерапию, выполняют трансплантацию костного мозга, возможно - в сочетании с хирургическим вмешательством и лучевой терапией.
Прогноз при нейробластоме
Прогноз при нейробластоме определяется возрастом ребенка, стадией заболевания, особенностями морфологического строения опухоли и уровнем ферритина в сыворотке крови. С учетом всех перечисленных факторов специалисты выделяют три группы больных нейробластомой: с благоприятным прогнозом (двухлетняя выживаемость составляет более 80%), с промежуточным прогнозом (двухлетняя выживаемость колеблется от 20 до 80%) и с неблагоприятным прогнозом (двухлетняя выживаемость составляет менее 20%).
Наиболее значимым фактором является возраст пациента. У больных младше 1 года прогноз при нейробластоме более благоприятный. В качестве следующего по значимости прогностического признака специалисты указывают локализацию неоплазии. Больше всего неблагоприятных исходов наблюдается при нейробластомах в забрюшинном пространстве, меньше всего - в средостении. Обнаружение в образце ткани дифференцированных клеток свидетельствует о достаточно высокой вероятности выздоровления.
Средняя пятилетняя выживаемость пациентов с нейробластомой I стадии составляет около 90%, II стадии - от 70 до 80%, III стадии - от 40 до 70%. У больных с IV стадией этот показатель существенно меняется в зависимости от возраста. В группе детей до 1 года, имеющих нейробластому IV стадии, пять лет с момента постановки диагноза удается прожить 60% пациентов, в группе детей от 1 до 2 лет - 20%, в группе детей старше 2 лет - 10%. Профилактические меры не разработаны. При наличии случаев заболевания нейробластомой в семье рекомендуется консультация генетика.
МРТ при опухоли спинного мозга и позвоночника

Онкология спинного мозга и позвонков - это направление, которое является одним из самых сложных с точки зрения раннего выявления новообразований, их дифференциальной диагностики и лечения. До сих пор онкологические болезни центральной нервной системы приводят к высокой смертности пациентов из-за поздней диагностики заболевания. В настоящее время медицинские клиники начали более активно и широко использовать возможности МРТ спинного мозга и МРТ позвоночника, чтобы диагностировать опухоли на ранних стадиях и повысить уровень выживаемости пациентов.
Магнитно-резонансная томография при опухоли спинного мозга и самих позвонков позволяет:
- обнаружить очаги поражения размером до 2-3 мм;
- судить о злокачественном потенциале объемного образования;
- дифференцировать опухолевое поражение первичного и вторичного типа;
- стадировать рак.
Симптомы опухоли спинного и головного мозга
Большинство опухолей позвоночника на начальных стадиях не дает никакой неврологической симптоматики. При появлении небольшого новообразования, которое является единичным, пациент может и не заметить особых изменений в состоянии здоровья. Только достигнув определенных размеров или распространившись в тканях, опухоли дают о себе знать:
- Большая часть опухолей в спинном мозге приводит к появлению боли и онемения из-за стеноза спинно-мозгового канала.
- Множественные метастазы способны вызвать компрессионный перелом позвоночника.
Из-за особенностей строения спинномозгового канала симптомы болезни в районе грудного отдела позвоночника появляются позже, чем в шейном и поясничном отделе, поскольку здесь канал анатомически шире, и новообразование должно достигнуть ощутимых размеров, чтобы начать перекрывать спинно-мозговой канал.
ЗАПИСЬ НА ПРИЕМ
Классификация опухолей
В медицине все новообразования принято делить на доброкачественные и злокачественные. Те и другие еще подразделяются на типы. Среди злокачественных новообразований выделяют первичные или метастатические. Доброкачественные опухоли бывают приобретенными и врожденными. Локация опухоли в позвоночнике может быть разнообразной. Она способна поражать спинной мозг, позвонки, мозговые оболочки, сосуды.
Опухоли сосудов позвоночника
Гемангиома позвоночника - это самая распространенная опухоль сосудов позвоночника. Она развивается из сосудов, создает большое количество кровяных полостей, связанных капиллярами. Это новообразование является доброкачественным, формируется чаще всего в верхних поясничных или нижних грудных позвонках. Возраст пациентов с данным недугом, как правило, варьируется от 40 до 60 лет. При такой опухоли у человека наблюдаются болезненные ощущения в спине, возможен перелом. Диагностика гемангиомы требует проведения МРТ позвоночника в ангиорежиме.
Опухоли позвонков
Большинство объёмных образований позвонков будут иметь приставку “остео” - (от греческого osteon - кость). Если в названии образования есть элемент “саркома”, это обычно указывает на злокачественный характер образования. Из чаще всего встречающихся доброкачественных опухолей позвонков можно отметить:
- хондрому;
- остеому;
- остеобластому;
- фиброму;
- остеоид-остеому;
- остеобластокластому.
Среди злокачественных новообразований позвонков чаще всего встречаются следующие:
- хондросаркома;
- фибросаркома;
- миеломная болезнь;
- саркома Юинга;
- остеогенная саркома.
Самыми распространенными злокачественными образованиями позвонков являются метастатические поражения. Позвоночник является наиболее распространенным местом скелетных метастазов (около двух третей всех опухолей кости). Преимущественно они локализуются в грудном и пояснично-крестцовом отделе позвоночника. Десять процентов пациентов с карциномой в ходе заболевания имеют метастазы в позвоночнике. Метастазирует в костные структуры позвоночника чаще всего рак молочной железы, рак предстательной железы, рак легких, рак щитовидной железы, рак почек.
Диагностировать опухолевые образования в позвонках лучше всего с помощью КТ позвоночника или МРТ позвоночника с контрастом.
Опухоли спинного мозга
Опухоли, появившиеся в спинно-мозговом канале или в спинном мозге, относят к внутриканальным новообразованиям. При этом их делят на врожденные и приобретенные.
Врожденные опухоли спинного мозга
В список врожденных образований спинного мозга входят:
- тератомы;
- липомы;
- ангиолипомы;
- менингоцеле;
- миеломенингоцеле;
- дермоидные и эпидермоидные кисты.
Как правило, липомы - это внемозговые образования. Они располагаются в позвоночных каналах равными частями. Диагноз характерен для детей и подростков не старше 15 лет.
Дермоидные кисты чаще всего бывают овальной или округлой формы. Они имеют толстые, но при этом неравномерные стенки. Нередко диагноз сопровождается еще одним дегенеративным проявлением - расщеплением позвоночника. Дермоидные кисты, как правило, обосновываются в люмбосакральном отделе, их делят на костномозговые или внемозговые.
Эпидермоидные кисты характерны для более зрелого возраста.
Тератомы - новообразования в крестцово-копчиковом отделе позвоночного столба. У детей чаще всего развивается доброкачественная опухоль. Она располагается снаружи, а также внутри костей таза. У зрелых мужчин диагностируют чаще злокачественные тератомы, которые дают множественные костные метастазы.
Миеломенингоцеле - это врожденный дефект спинного мозга. Эта грыжа чаще всего определяется в поясничной области младенца, как только он рождается на свет.
При диастематомиелии спинной мозг разделяет так называемая спикула или костный шип. Этот разделитель может быть образован хрящевой тканью.
| МРТ опухоль позвоночника | МРТ опухоль спинного мозга | МРТ киста спинного мозга |
Приобретенные опухоли спинного мозга
К приобретенным опухолям спинного мозга относят интрамедуллярные образования, опухоли внутреннего канала мозга и кисты.
- параглиомы;
- глиомы;
- астроцитомы;
- мультиформные глиобластомы;
- олигодендроглиомы;
- меланомы;
- ангиобластомы.
Астроцитомы чаще всего локализуются в шейном, а также грудном отделах позвоночника.
Эпендимомы обычно поражают конечную нить спинного мозга. Они способны привести к истончению позвонковой дуги, эрозии позвонка, в дальнейшем к переломам.
Внутриканальные внемозговые образования:
Для менингиомы характерно поражение грудной части позвоночного столба.
Нейрофибромы способны развиваться в абсолютно любом отделе позвоночного столба.
Сирингогидромиелия представляет собой образование спинномозговых кист.



КТ или МРТ при опухоли спинного мозга
Диагностику опухолевых заболеваний спинного мозга и позвонков чаще всего проводят при помощи КТ позвоночника или МРТ позвоночника с контрастом. Чтобы выяснить, какой из методов лучше справится с этой задачей, необходимо разобраться в механизме действия каждого из методов.
Компьютерная томография - это рентгенологический вид диагностики. Она дает прекрасную возможность определить новообразование в костных структурах даже на ранних стадиях развития. Однако на КТ визуально сложно разделить патологическую и здоровую ткань в спинном мозге. Для этих целей пациенту проводят процедуру КТ-миелографии с введением контрастного вещества. Использование йодосодержащего контраста не всегда приемлемо. У некоторых пациентов может быть аллергия на состав или серьезная болезнь почек, при которых контраст не применяют. Не стоит забывать и о лучевой нагрузке. В среднем при КТ всего позвоночника пациент получит дозу облучения, равную 5-8 мЗв. Поэтому при диагностике объёмных образований спинного мозга и оболочек приоритетным методом обследования будет МРТ позвоночника с программой миелография.
Магнитно-резонансный томограф лучше визуализирует мягкие и мозговые ткани и позволяет дифференцировать здоровую ткань и ткань патологическую. МРТ при опухоли поможет определить место очага, вид злокачественного новообразования и степень инвазии в соседние ткани. Кроме того, при МР-томографии не используются вредные рентгеновские лучи, и потому диагностику можно проводить неограниченное количество раз беременным женщинам и детям.
Метастатическое поражение костей головы при нейробластоме 3/5 (2)
— это злокачественная опухоль, развивающаяся из эмбриональных нейробластов симпатической нервной системы. Метастазы нейробластомы встречаются в 70% случаев при установлении первичного диагноза. Метастатические клетки могут распространяться как гематогенным путем и поражать костный мозг (75,7%), кости (63,7%), печень (22,4%), структуры головного мозга/орбит (20,8%), так и лимфогенным путем, поражая региональные и отдаленные лимфатические узлы (34%).
Методы лучевой визуализации при диагностике нейробластом активно используются не только для локализации и уточнения размеров первичного очага, но и для поиска метастазов и уточнения стадии заболевания. В зависимости от стадии заболевания используют разные протоколы лечения.
МР и КТ семиотика:
Чаще всего на КТ-изображениях определяется диффузное поражение костей в виде узурации кортикального слоя с наличием множественных мелких остеолитических очагов, а также наличием выраженного игольчатого периостита*.
На МР-изображениях визуализируется диффузное утолщение кости за счет реакции надкостницы с активным довольно равномерным накоплением парамагнетика всей толщиной патологических изменений.
Не редко могут быть обнаружены крупные параоссальные солидные компоненты, которые могут оказывать компрессионное воздействие на окружающие ткани и органы.
*Игольчатый (=спикулообразный периостит) - вид реакции надкостницы, при котором происходит ее отслоение с наличием лучистого рисунка между надкостницей и кортикальным слоем. Лучистый рисунок формируется за счет полосок, расположенных перпендикулярно к кортикальному слою кости- оссификаты вокруг сосудов.
Дифференциальна диагностика:
Метастатическое поражение костей головы при нейробластоме необходимо дифференцировать с остеомиелитом, фиброзной дисплазией, саркомой Юинга, поражением при гематологических заболеваниях (ОЛЛ), гиперостозом.
Данный случай интересен наличием у пациента с низкодифференцированной нейробластомой довольно типичной картины поражения костей головы.
На МР-изображениях определяется утолщение клиновидной кости, лобной кости, верхней и нижней челюстей с наличием выраженного периостита. Костная структура у перечисленных костей нарушена с признаками активного накопления контрастного препарата. Кортикальный слой истончен, контур его нечеткий.
Стенки верхнечелюстных пазух выраженно изменены, не прослеживаются, с тотальным выполнением патологическими массами просвета пазух (зеленые стрелки).
На КТ-изображениях мы видим картину костей «изъеденных молью»- множественные мелкие остеолитические очаги, а также диффузный игольчатый периостит (голубые стрелки).
МРТ и КТ при метастазах в мозге - что покажет
МРТ головного мозга с контрастом, КТ головного мозга с контрастом являются аппаратными методами диагностики метастаз в головном мозге. Исходя из первичных симптомов, истории болезни, противопоказаний и диагностических целей, врач невролог или онколог назначает необходимые способы обследования.
В большинстве случаев, МРТ головного мозга с контрастом выбирается как первичный метод диагностики. Если результаты исследования носят тревожный или неясный характер, дополнительно назначается:
Метастазы головного мозга возникают при распространении раковых клеток из области первоначального образования. Любой рак может распространиться на головной мозг, но наиболее часто это состояние возникает при раке легких, молочной железы, толстой кишки, почек и меланоме. Метастазы могут образовывать одну или несколько опухолей в головном мозге. По мере роста опухолей создается давление на окружающие ткани головного мозга, что приводит к снижению их функциональности. Явление сопровождается симптомами, такими как головная боль, изменения личности, потеря памяти и судороги. Лечение матастазного рака может включать хирургическое вмешательство, лучевую терапию, химиотерапию, иммунотерапию или комбинацию нескольких методов. Зачастую лечение часто направлено на уменьшение боли и симптомов, вызванных раком.
Симптомы метастатического рака головы
Признаки, вызванные метастазами мозга могут варьироваться в зависимости от местоположения, размера и скорости роста метастатических опухолей:
- головная боль, иногда сопровождающаяся тошнотой и рвотой;
- психические изменения, такие как трудности запоминания;
- судороги;
- слабость или онемение на одной стороне тела.
Причины
Метастазы мозга возникают, когда раковые клетки открепляются от области первоначального зарождения. Клетки могут перемещаться по кровотоку или лимфатической системе и метастазировать в головной мозг, где начинается их размножение. Метастатический рак, который распространяется из своего первоначального местоположения, известен под названием первичного рака. Например, рак, распространившийся из молочной железы в головной мозг, называется метастатическим раком молочной железы, а не раком головного мозга.
МРТ или КТ при метастазах в головном мозге что лучше выбрать
При подозрении на метастазы в головной мозг, онколог проводит ряд исследований:
- Неврологический осмотр. Неврологический осмотр может включать проверку зрения, слуха, равновесия, координации, силы и рефлексов. Обнаружение проблем позволяет выявить пораженную область мозга.
- Магнитно-резонансная томография головного мозга с контрастом используется для диагностики метастазов в головной мозг.
- Компьютерная томография (КТ) и позитронно-эмиссионная компьютерная томография (ПЭТ- КТ) используется, если первичная опухоль, вызывающая метастазы в головной мозг не обнаружена.
Признаки метастазов мозга на КТ
- Может наблюдаться гиперденсный геморрагический компонент различной степени выраженности.
- Накапливающее контраст объемное образование с отсутствием «доброкачественного» склеротического ободка.
- Метастазы могут выглядеть как накапливающие контраст двояковыпуклые объемные образования, смещающие головной мозг.
Признаки метастазов мозга на МРТ
- Объемные образования имеют гипоинтенсивный по отношению к серому веществу (СВ) сигнал.
- Геморрагический компонент с соответствующими сигнальными характеристиками.
- Гиперинтенсивное утолщение.
- Гиперинтенсивный вазогенный отек.
- Может наблюдаться ограничение диффузии в области МПТМО.
- Накапливающие контраст двояковыпуклые образования, смещающие головной мозг.
- Инвазия в нижележащую мозговую ткань
Разница между МРТ и КТ
Компьютерная томография и магнитно-резонансная томография используются для получения изображений органов и тканей в трехмерной проекции. Разница в томографии заключается в том, что при МРТ используются радиоволны, а при КТ - рентгеновские лучи для получения изображения. Хотя оба томографических метода имеют высокую информативность, есть диагностические различия, которые могут сделать каждый из них более подходящим вариантом в зависимости от обстоятельств.
КТ-сканирование более быстрая форма диагностики, чем магнитно-резонансная томография, и обычно используется для экстренного обследования. При использовании как КТ, так и МРТ существуют определенные риски. Они зависят от типа визуализации, а также от способа ее проведения. К рискам КТ относятся: вред для внутриутробного ребенка при беременности и доза радиации. Риски МРТ включают реакции на металлические импланты в теле из-за сильного магнитного поля, громкий шум от аппарата, повышенная, клаустрофобические риски.
Если врачу нужны более детальные изображения мягких тканей, связок или органов высоким состоянием воды, обычно назначается магнитно-резонансная томография. Если необходимо получить хорошие изображение костных структур и полых органов, обычно рекомендуется компьютерная томография.
Читайте также:
- Экономика профилактики заболеваний. Экономика вакцинации и приема аспирина
- Укладка при рентгенограмме плечевого сустава в косой ПЗ проекции (метод Грэши)
- Углекислый газ. Транспорт углекислого газа.
- Состав газовой среды бактерий. Посев аэробных бактерий. Посев анаэробных бактерий. Метод Фортнера. Метод Цейсслера. Метод Вейнберга.
- Гемопоэз при хроническом идиопатическом миелофиброзе (ХИМФ)
