КТ, МРТ при метастатическом поражении височной кости
Добавил пользователь Валентин П. Обновлено: 11.12.2025
Височная кость человеческого черепа представляет собой сложное костное парное образование. Эта костная структура имеет сложную форму и структуру. Височные кости являются несущими частями черепной коробки, к ним крепятся части слухового аппарата. Они защищают вестибулярный аппарат и внутреннее ухо. Кость служит опорой жевательного аппарата - она сочленена с подвижной частью челюсти. По своему строению она состоит из трех частей, каждая из которых выполняет свои функции и несколько отличается по структуре ткани от соседних. Изнутри к височной кости примыкают артерии и нервные волокна. Роль височной кости очень велика, поэтому ее повреждение неизменно ведет к поражению структур внутреннего уха, вестибулярного аппарата, нарушению слуха, равновесия, головным болям или головокружению.
Любое изменение структуры или формы височной кости влияет на кровеносную систему, питающую мозг, либо на органы слуха и зрения, либо непосредственно на мозг. Такую же опасность несут и воспаления ячеистых структур сосцевидного отростка кости (одной из составляющих частей), новообразования на внутренней части кости, изменения наружного слухового прохода.
Возможность получения большого количества срезов на высокопольном томографе экспертного класса в Медицинском центре «Гарантия» облегчает точную диагностику. Часто болевые ощущения в области височной кости вызываются совершенно разными причинами, которые при обычных методах диагностики очень трудно определить. Часто требуются повторные исследования. В таком случае КТ использовать не рекомендуется - использование рентгеновского излучения, даже столь малой интенсивности, в области мозга очень нежелательно.
МРТ височных костей: показания
МРТ височной кости имеет огромное диагностическое значение.
Исследование должно быть назначено в следующих случаях:
- Боли в области среднего уха.
- Нарушения зрения или слуха по неизвестной причине.
- Гнойные выделения из слухового прохода.
- Нарушения работы челюстного аппарата.
- Травмы в височной области.
- Необходимость подготовки к операции на черепе и последующий контроль результатов операции.
- Отиты и другие заболевания воспалительного характера в области височной кости.
- Абсцессы и инфекции головы.
- Опухоли и подозрение на опухоли.
- Дегенеративные явления органа слуха.
- Проблемы с координацией движения и сохранением равновесия.
- Нарушения работы жевательных мышц.
- Нарушения вкусовых ощущений.
МРТ височных костей - что показывает?
МРТ височных костей позволяет выявить такие заболевания, как острые и хронические отиты, воспаления внутреннего уха, опухоли доброкачественного и злокачественного характера, травмы и переломы височных костей, наличие инфекционного процесса в данной области, отосклероз и другие дегенеративные патологии.
МРТ височных костей: противопоказания
МРТ не следует проводить в следующих случаях:
- Во время беременности и лактации. Беременным МРТ может быть назначена только по строгим показаниям, если польза от диагностики значительно перевешивает возможный риск для плода. При грудном вскармливании можно сделать простое исследование МРТ, не назначается МРТ с контрастированием, или же, в случае острой необходимости, матери следует отказаться от кормления грудью как минимум на сутки после исследования.
- Наличие в организме пациента металлических конструкций или электронных имплантов, в том числе зубных протезов из металла, отличного от титана.
- Почечная недостаточность - является противопоказанием к проведению МРТ с контрастированием, поскольку в этом случае нормальное выведение контраста из организма нарушается, и может наступить интоксикация.
- Вес пациента более 130 кг.
- Аллергия или склонность к аллергическим реакциям (для введения контраста).
Подготовка к МРТ-Исследованию
Специальной подготовки к МРТ височной кости не требуется.
КАК ДЕЛАЮТ?
Пациент укладывается на кушетку, которая затем помещается в цилиндрический тоннель томографа так, чтобы голова пациента находилась внутри тоннеля. Обследование длится около 25 минут. Если проводится контрастирование, то это время увеличивается до 45 минут.
В течение всей процедуры пациент должен сохранять неподвижность, поскольку от этого зависит четкость снимков. При необходимости голову пациента также могут зафиксировать специальными мягкими валиками. В связи со сложностью исследования, результаты обследования с расшифровкой врача обычно выдаются на руки пациенту на следующий день, а по экстренным показаниям - в течение часа. В заключении врач подробно описывает обнаруженные патологии и дает рекомендации. С результатами пациент в дальнейшем может обратиться к своему лечащему врачу, который направил его на МРТ, либо к специалисту, рекомендованному врачом.
Изображения исследования МРТ записывают на компакт-диск и выдают пациенту.
На МРТ височной кости цена зависит от репутации клиники и используемого в ходе обследования оборудования.
ИСПОЛЬЗОВАНИЕ КОНТРАСТНОГО ВЕЩЕСТВА
В тех случаях, когда есть подозрение на наличие опухоли, или необходимо уточнить более четко границы патологии, может быть назначена МРТ с контрастированием. Контраст вводится внутривенно после проведения бесконтрастного сканирования строго по показаниям. Распространяясь с кровотоком и накапливаясь в пораженных тканях, контрастное вещество способствует лучшей визуализации проблемных участков, позволяет косвенно судить о злокачественности опухоли, ее структуре. Контрастное вещество представляет собой препарат на основе редкоземельного металла гадолиния, который не наносит вреда организму и полностью выводится в течение суток естественным путем.
МРТ при опухолях костей
Порой бывает так, что сами врачи-диагносты задают себе вопрос: а верно показывает ли МРТ опухоль костей? Или может быть неясное пятно - это всего лишь ошибка сканера? При таких ситуациях врач должен провести детализированную томографию с контрастным усилением. Дополнительно может быть проведена процедура МР-сканирования костных сочленений. Для этого медики вводят пациенту путем инъекции безвредное контрастное вещество, которое концентрируется вокруг тканей, имеющих более интенсивное кровообращение. Таким образом, при повторном сканировании, вещество будет заметно оттенять метастазы и новообразования. В отличие от классической МРТ-процедуры, контрастная значительно увеличивает ценность диагноза и его ошибочная постановка практически сводится к нулю.

Необходимость визуализации опухолей посредством МРТ
Новообразования на снимках можно обнаружить уже на начальной стадии рака. Современный аппарат МРТ способен улавливать самые малейшие колебания в неоплазиях.
МР-томография при подозрении (выявлении) онкозаболевания костей проводится в следующих случаях:
- При диагностике кости были выявлены доброкачественные образования/уплотнения невнятного происхождения, которые угрожают перейти в стадию злокачественной опухоли. В данной ситуации требуется проходить МРТ пару раз в год.
- Выявлена опухоль на начальной стадии иными методами диагностики и для ее лечения требуется несложная операция без применения химио- или радиотерапии, а требуется лишь уточнение местоположения образования.
- При противоположных диагнозах, поставленных с помощью иных методов (после рентгенограммы и УЗИ).
- Перед осуществлением хирургического вмешательства в целях составления плана ликвидации опухоли. МРТ-снимок позволит увидеть уровень разрастания, повреждения соседних сосудов, решить вопрос о необходимости участия в операции нейрохирурга или кардиохирурга.
- В целях наблюдения за эффектом от осуществляемого лечения. МРТ не применяет опасного излучения, поэтому проводить процедуру можно несколько раз в год.
Для проведения сканирования костей шеи и груди в обязательном порядке применятся контрастная томография. Поэтому, вопросов вроде «Видна ли опухоль на МРТ?» возникать не должно. Только с ее помощью можно четко визуализировать результат. Кости в данных отделах имеют полую структуру и малое количество молекул воды, поэтому сигнал проходит хуже, а МРТ-сканер выдает нечеткую картинку, из-за чего врач имеет неполную информацию.
Как выглядят опухоли на снимках
Обычно на снимках различные новообразования выделяются своими контурами, отлично видимы на общем фоне. Злокачественную опухоль возможно опознать по неоднородной структуре, имеющей вкрапления и уплотнения. А при рассмотрении в различных плоскостях она может выглядеть бугристой с некоторыми ответвлениями.
При проведении МРТ новообразования на костях должны выглядеть как четкие включения округлых форм с ясными границами. При решетчатом способе сканирования картинка должна получатся более ясной. При поперечном способе сканирования вторичные опухоли могут отображаться в более светлых тонах, а то и вовсе сливаться с обычной анатомической областью. Ввод контрастного препарата позволит устранить проблему и повысить яркость участков, подвергшихся поражению.

В остальном, при сканировании костей, достаточно хорошо должны просматриваться окружающие капилляры. Однако, при неровных контурах опухоли они могут мешать обзору либо вообще имитировать раздвоение новообразования. При изучении результатов МР-обследования костей, онколог обязательно должен обратить внимание на состояние лимфоузлов, ибо они первыми при возникновении рака задерживают пораженные клетки и вовлекаются в злокачественное развитие.
Как выявляются метастазы
При образовании метастазов пациент вполне сохраняет работоспособность, не замечая изменений. Для предупреждения новых заболеваний костей, врачи рекомендуют проходить периодические обследования после хирургического вмешательства по удалению опухоли (после прохождения курса лечения от рака).
Здесь диагностика может проводиться различными методами:
- Если УЗИ или КТ выявили проблемные участки, где видны неясной природы контуры, то МР-сканированию подлежат только они.
- В стадии ремиссии же рекомендуется проходить обследование всего тела. Именно оно поможет выявить своевременно новые метастазы, уплотненные кальцинаты или опухоли костей на МРТ.

Ошибки при проведении процедуры МРТ
Врачи ценят МРТ-обследование при раке костей за его повышенную информативность. Но всегда существует малый процент ошибок, которые могут возникнуть по следующим основаниям:
- Низкий уровень квалификации диагноста. Врач должен постоянно повышать уровень своего образования, изучать новые технологи и методы постановки онкодиагнозов.
- При появлении опухолей на костях аппарат МРТ может пропустить их в 1-2% случаев вследствие высокой плотности костной ткани.
- Использование устаревших аппаратов с пониженной мощностью. МРТ-сканеры с мощностью ниже 1,5 Тл хорошо подойдут для обследования пищеварительного тракта, но не для обнаружения опухолей в костных тканях.
Чтобы предотвратить ошибки в диагнозе, прежде чем посетить кабинет магнитно-резонансного обследования, пациент должен узнать, хватит ли мощности сканера МРТ обнаружить рак костей. Перед обращением в медучреждение рекомендуется ознакомиться с отзывами других пациентов, убедиться в квалификации врачей.
Метастазы в костях
Метастазы в костях среди всех прочих локализаций вторичных злокачественных новообразований имеют самый благоприятный прогноз в отношении продолжительности жизни заболевшего. Процесс лечения иногда растягивается на годы, а при раке молочной и предстательной желёз - на десятилетие. Влияние костных поражений на качество жизни не столь позитивно, именно они обуславливают тот тяжелый и плохо поддающийся коррекции болевой синдром, который так пугает пациентов и их близких. Однако, наш опыт показывает, что метастазы в костях хорошо поддаются лечению. Хирург-онколог, Сергеев Петр Сергеевич
Какие злокачественные заболевания осложняются
метастазами в костях

Практически все злокачественные новообразования могут дать метастазы в костную систему, но более всего присущи раку молочной и предстательной железы, реже - раку легких и органов желудочно-кишечного тракта, очень нечасто развиваются при опухолях яичников и головного мозга. Замечено, что при метастазировании только в кости скелета, даже многоочаговом, но без поражения других органов и систем, у пациента гораздо выше вероятность прожить несколько лет, чем при метастазах в легкие, а тем более печень и головной мозг. Костные поражения трудно лечатся, эффект зачастую ограничивается стабилизацией опухолевой деструкции - разрушения кости, тем не менее, при умелом лечении это «замирание» рака может продолжаться несколько лет.
Какие кости поражаются при раке
Принципиально возможно развитие метастаза в любой кости скелета, но чаще всего опухолевые клетки задерживаются в костях с лучшим кровоснабжением, где всегда есть достаточное питание для продолжения неуправляемого деления. Очень редко метастазы образуются в мелких косточках кисти и стопы, но часты в обильно пронизанных сосудистой сетью костях таза, позвонках и ребрах, нередко поражают кости черепа, за исключением лицевого скелета. Наибольшую опасность для пациента несёт опухолевое поражение позвонков и трубчатых костей конечностей, когда в месте деструкции при обычной нагрузке случается перелом, лишающий возможности двигаться, а при патологическом переломе шейного позвонка высока вероятность паралича из-за сдавления спинного мозга отломками разрушенной опухолью кости.




Какими бывают метастазы в костях
Раковые клетки разрушают ткань кости, вызывая её деструкцию, которая может проявляться как разрежением костной ткани с образованием бескостных участков, так и увеличением патологической, гораздо менее прочной и чётко структурированной костной массы.
- Деструкция с «разъеданием» костной структуры на рентгенограммах выглядит как дефект - «дырка», такой вариант метастазирования называют остеолитическим, что буквально означает «съеденная кость».
- При утолщении кости за счёт опухоли рентгенограмма выявляет «плюс ткань», тогда говорят об остеопластическом метастазировании.
- Как правило, у больного встречаются оба вида метастазов с превалированием одного из вариантов, в большинстве случаев остеолитического.
По распространённости выделяют:
- множественные - более десятка вовлечённых в процесс костей, но также обозначается и обширное метастатическое поражение только одной кости;
- единичные - до десяти очагов или не более десятка патологически изменённых костей;
- солитарный - единственный очаг.
Диагностика метастазов в костях

До «эры визуализации» деструктивные изменения скелета выявляли при рентгенологическом обследовании и остеосцинтиграфии - изотопном исследовании. Остеосцинтиграфия очень чувствительна, она обнаруживает крохотные опухолевые образования, не видимые на рентгенограммах, поэтому и сегодня она актуальна и обязательна для каждого онкологического пациента.
Рентгенография способна обнаружить очаг более сантиметра, КТ высокочувствительна, но уступает МРТ при необходимости параллельной визуализации прилежащих к кости мягких тканей и суставов. Наилучшая диагностика - ПЭТ и МРТ или КТ. Остеосцинтиграфия признана стандартным методом скрининга - диагностика для 100% больных раком, по местам накопления изотопа в виде «горячих точек» выполняется прицельное рентгенологическое или визуализирующее исследование - МРТ или КТ.
Динамическое наблюдение за течением метастазирования и оценка результатов лечения должны осуществляться одним способом, на одном аппарате и, желательно, одним и тем же специалистом. Если до начала терапии не удалось выполнить МРТ, а было сделано только КТ, то и оценивать итоги терапии надо по КТ
Клинические проявления метастазов в кости
В начальной стадии костное метастазирование проявляется болевым синдромом только у каждого шестого онкологического больного, у абсолютного большинства вначале процесса нет никаких признаков. Боль появляется при проникновении раковых клеток в обильно иннервированную покровную костную ткань - надкостницу, внутри кости нервных окончаний почти нет, поэтому и боли не бывает.
Считается, что остеолитические очаги чаще вызывают боли, а остеопластические протекают без симптомов, но могут проявляться выбуханием - «наростом» в месте поражения.
Неблагоприятное осложнение опухолевого поражение кости - патологический перелом в месте деструкции:
- Часто переломы позвонков без существенного смещения происходят незаметно для больного и выявляются при рентгенологическом обследовании.
- Шейные позвонки при переломе могут защемить спинной мозг, вызывая разнообразные нарушения двигательной активности.
- Не остаются незамеченными для пациента переломы конечностей, особенно бедра или плеча, сопровождающиеся усилением боли в месте деструкции и нарушением движений.
- Переломы ребер могут проявиться клиникой межреберной невралгии.
- Кости таза преимущественно ломаются в области лона или вертлужной впадины, как правило, боли невысокой интенсивности, но существенно изменяется походка.
Химиотерапия при метастазах в костях

Преимущественно при костных поражениях используют лекарственный метод - химиотерапию или гормонотерапию, для минимизации возможных осложнений в виде переломов и повышения концентрации кальция в крови дополнительно вводят бисфосфонаты. Бисфосфонаты помогают уменьшить болевой синдром.
Химиотерапия проводится длительно, частые контрольные обследования нецелесообразны, поскольку костная ткань на месте уничтоженной опухоли растет очень медленно. Практически всегда при химиотерапии достигается хороший обезболивающий эффект. При интенсивном болевом синдроме зону деструкции можно облучить, в обязательном порядке лучевой терапии подлежит метастазирование в шейные позвонки, что снижает вероятность перелома.
Операция при метастазах в костях


Хирургическое лечение при метастазировании в скелет преследует одну из двух целей:
- Радикальная операция - полное удаление раковых очагов;
- Паллиативная операция -восстановление функции кости после перелома.
Радикальное лечение возможно при отсутствии первичного рака и одиночном метастатическом поражении скелета. После стабилизации роста солитарного - единственного костного метастаза, с помощью курсов химиотерапии, ставится вопрос об оперативном лечении. Как правило, таким способом лечат поражения конечностей.
Сегодня есть возможность заменить протезом пораженные кости верхних и нижних конечностей, но чаще к операции прибегают при патологическом переломе, когда из-за обширной опухолевой деструкции маловероятно восстановление костной целостности. Операция сложная, требующая плановой подготовки, в том числе и нескольких предварительных курсов химиотерапии и долгого лекарственного лечения после операции.

Такие вмешательства выполняются специальной бригадой, владеющей навыками онкологов и травматологов-ортопедов, в специальной операционной, оснащенной рентгеновским оборудованием, но лучше - КТ-установкой. Опухоль разрушает не только кость, но и прорастает в окружающие мягкие ткани - мышцы, сухожилия и суставы, очень важно для будущего восстановления удалить всё поражённое раком, поэтому во время оперативного вмешательства возникает необходимость уточнения объективной реальности с помощью высокоточной КТ.
Современная онкологическая помощь требует высокоточного оборудования для диагностики, дорогостоящих лекарств и, обязательно, опытных специалистов, владеющих инновационными хирургическими методиками. Правильное лечение должен подбирать консилиум из нескольких специалистов, владеющих разными методами терапии. Мы подскажем, где это уже делается на высоком уровне и с хорошими результатами.
Что покажет КТ височных костей, как делают, подготовка и противопоказания

Височная кость является важной анатомической структурой - она участвует в формировании черепной коробки, здесь расположен слуховой аппарат, проходят крупные нервы и артерии. Обычные методы диагностики, такие как рентгенография или УЗИ, зачастую не позволяют диагностировать патологические изменения в этой области. КТ височных костей − более точное исследование, которое дает возможность выявлять заболевания на ранней стадии.
Что покажет КТ височных костей
Во время КТ получают послойные снимки височной кости и окружающих тканей в трех плоскостях. Толщина среза составляет всего несколько миллиметров, что позволяет врачу-рентгенологу рассмотреть не только все анатомические образования, но и минимальные патологические изменения.
На полученных снимках хорошо видны следующие структуры:
пирамида височной кости;
ячейки и антрум сосцевидного отростка;
улитка, преддверие, передний и задний полукружный каналы;
слуховые косточки среднего уха;
стенки наружного слухового прохода;

Снимок (томограмма) височных костей в осевой проекции
С помощью КТ височных костей можно выявить любые заболевания воспалительного, травматического, опухолевого характера. Метод применяется для диагностики следующих патологий:
объемных образований, кист костной ткани и слухового аппарата;
воспалительных процессов (мастоидиты, отиты, остеомиелиты);
травматических повреждений (трещины, переломы);
дегенеративных изменений (отосклероз, дисплазия);
Большим преимуществом КТ перед другими диагностическими методами является возможность получения трехмерной модели височной кости. 3D-изображение необходимо перед хирургическим вмешательством, часто по поводу установки имплантата внутреннего уха, поскольку дает максимально четкое представление об особенностях анатомии у конкретного пациента.
Иногда во время КТ височной кости дополнительно вводят контрастирующее вещество на основе йода. Введенный фармпрепарат хорошо поглощает рентгеновские лучи и делает изображения более отчетливыми. Контрастирование необходимо для уточнения характера изменений в мягкотканных образованиях, прилегающих к височной кости. Также методика позволяет отчетливо визуализировать церебральные артерии и вены. Вместе с тем, данная процедура обходится немного дороже стандартного исследования: пациенту нужно будет доплатить за количество использованного контраста.
Показания к КТ височных костей
В большинстве случаев КТ височных костей назначают ЛОР-врачи, неврологи, нейрохирурги, реже специалисты другого профиля. Обычно основанием для проведения томографии являются выявленные на рентгенограмме или во время УЗИ патологические изменения. Именно КТ височных костей позволяет разрешить все сомнения и поставить точный диагноз.
Показаниями для компьютерной томографии височной кости служат:
нарушения работы слухового аппарата (прогрессирующее ухудшение слуха, звон или шум в ухе и пр.);
вестибулярные расстройства (головокружение, шаткость при ходьбе);
длительный болевой синдром в области уха, в половине головы, особенно сопровождающийся неврологической симптоматикой;
выделения из слухового прохода различного характера (гной, кровь, ликвор);
клинические данные, свидетельствующие об опухолевом процессе;
нарушение работы лицевого нерва с развитием слабости мимической мускулатуры;
травмы головы с подозрением на перелом основания черепа и височной кости.
Также рекомендуют КТ височных костей перед запланированным хирургическим вмешательством, для контроля за проводимой терапией.
Кому противопоказана КТ височной кости
Компьютерная томография височных костей не проводится женщинам в период беременности, поскольку рентгеновские лучи негативно влияют на развитие плода. В случае томографии с контрастированием противопоказаниями являются:
нарушение фильтрационных характеристик почек;
непереносимость препаратов на основе йода;
повышенная функция щитовидной железы.
Как проходит компьютерная томография височных костей
Записаться в диагностический центр «Магнит» можно по телефону, указанному на сайте. Сотрудник подберет для вас наиболее удобное время, разъяснит особенности процедуры, одновременно вы сможете уточнить точную стоимость обследования.
Идя на томографию, потребуется взять с собой направление, имеющиеся на руках медицинские документы. В случае запланированной КТ височных костей с контрастированием нужно заранее сдать анализ на креатинин. Он необходим для оценки функционального состояния почек.
В центре «Магнит» обследование проводят на современном мультиспиральном томографе Siemens. Аппарат установлен в отдельной комнате, где и будет проходить сканирование.

Внешний вид компьютерного томографа и положение пациента на столе аппарата перед началом исследования
Непосредственно перед исследованием специалист центра проинструктирует больного и предложить занять положение на спине на столе томографа.
Во время сканирования стол с пациентом будет плавно перемещаться по направлению к тоннелю аппарата. Таким образом, голова будет находиться на уровне источника излучения и датчиков. Каких-либо неприятных ощущений во время исследования не возникает, тем более что сама процедура длится всего 1-2 минуты.
Все это время персонал будет находиться в соседней комнате и наблюдать за ходом исследования. В тоннеле томографа есть переговорное устройство, по которому пациент всегда может связаться с медперсоналом.
КТ височной кости с введением контраста длится немного дольше: от 15 до 25 минут, так как исследование включает несколько этапов. Первоначально выполняют нативное сканирование, после которого внутривенно вводят йодсодержащий препарат (Ультравист). Контраст относительно редко вызывает побочные реакции, иногда наблюдаются небольшое головокружение или подташнивание. Эти неприятные явления самостоятельно проходят в течение нескольких минут. Завершающий этап - повторное сканирование с получением максимально контрастных изображений.
После получения снимков и их обработки компьютерной программой врачу потребуется некоторое время для анализа данных. Обычно на это уходит не более 1,5-2 часов .
Когда назначают КТ височных костей детям
Данный вид исследования рекомендуют детям только при наличии веских оснований. Это связано с тем, что организм ребенка более чувствителен к рентгеновскому излучению, чем у взрослого пациента. КТ височных костей назначают тогда, когда другие методы исследования (рентген, УЗИ, МРТ) не дают достаточно информации для постановки диагноза. Детям компьютерная томография височных костей чаще всего проводится в случае черепно-мозговой травмы с переломами костей черепа, одностороннего нарушения слуха, при подозрении на новообразование.
В центре «Магнит» мультиспиральную КТ делают детям начиная с пяти лет. Современное оборудование и программное обеспечение позволяют подобрать оптимальный режим сканирования и, таким образом, существенно снизить лучевую нагрузку на организм. Процедуру с контрастированием в нашем центре проводят детям, достигшим двенадцатилетнего возраста.

Положение ребенка на столе компьютерного томографа перед исследованием
Компьютерная томография височной кости не причиняет маленькому пациенту дискомфорта или боли. Поскольку сканирование длится считанные минуты, дети хорошо переносят диагностику. Однако при запланированной томографии родителям все же следует психологически подготовить ребенка: рассказать о процедуре и почему так важно ее пройти.
Преимущества КТ височных костей
Компьютерная томография является оптимальным вариантом для исследования костей, в том числе черепа. Костная ткань хорошо поглощает рентгеновские лучи, в результате получают четкие ее изображения. Данный метод незаменим в диагностике скрытых переломов и трещин, он хорошо выявляет деструктивные изменения.

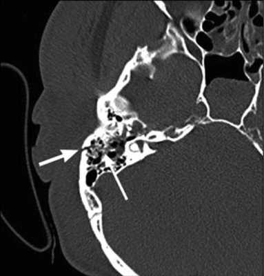
На КТ-снимке виден перелом пирамиды височной кости (указан стрелками)
Другими преимуществами мультиспиральной томографии являются:
высокая скорость сканирования;
относительно низкий уровень лучевой нагрузки;
неинвазивность и безболезненность;
доступность для выполнения пациентам с ферромагнитными имплантатами, электронными устройствами;
возможность получения трехмерной модели исследуемой зоны.
КТ височных костей имеет вполне доступную цену. В диагностическом центре «Магнит» ее можно пройти за 2450 рублей. Такая низкая, по сравнению с другими медучреждениями Санкт-Петербурга, цена объясняется проводимой в этом месяце специальной акцией.
МРТ костей таза что показывает

Таз - часть скелета человека, обеспечивает прикрепление к туловищу нижних конечностей, является опорой и вместилищем для органов. Симптомы патологических процессов в указанной зоне, вне зависимости от природы, схожи. МРТ костей таза - ведущее исследование для выявления причины заболеваний костно-мышечной системы.

Магнитно-резонансная томография демонстрирует подвздошную, лобковую, седалищную кости, симфиз (спереди) и копчик (сзади), тазобедренные суставы, внутренние органы (мочевой пузырь, простату, матку, часть кишечника и пр.)
Сначала чаще используют компьютерную томографию. При сохранении необъяснимой боли в течение недели без видимых рентгенологических признаков показано выполнение магнитно-резонансного сканирования. Процедура важна для диагностики угрожающих состояний: аваскулярного некроза, злокачественного опухолевого процесса и пр. МР-томография демонстрирует максимально подробные изображения мягкотканных структур: мышц, связок, сухожилий, нервно-сосудистых пучков, что необходимо для определения правильного диагноза и дифференциации ряда суставных синдромов.

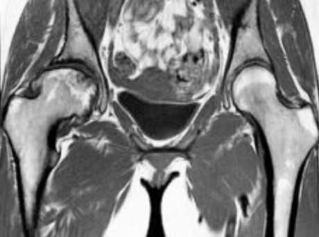
МРТ: симфизит, стрелка указывает на утолщение капсулы, неровность контуров
В основе исследования лежит принцип магнитного резонанса - фиксации перемещения ионов водорода под влиянием создаваемого аппаратом поля и электрических импульсов с последующей визуализацией данных с помощью компьютерной программы. Рентгеновского излучения, способного нанести вред человеческому организму, нет. Диагностическая процедура подходит для обследования беременных со второго триместра гестации и новорожденных в возрасте от 1 месяца. Для получения более контрастных снимков используют внутривенное введение препарата с парамагнетическими свойствами на основе хелатов редкоземельного металла гадолиния.
Заболевания костей малого таза

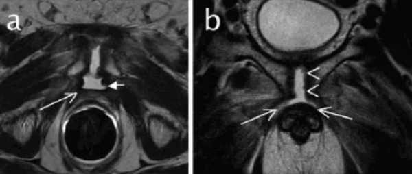
МРТ-признаки остеомиелита лонных костей: расширение сочленения и скопление жидкости с формированием параартикулярных затеков (длинные стрелки), разрастание грануляционной ткани (короткие стрелки), Т2-ВИ, аксиальная (а) и коронарная (в) плоскости
Магнитно-резонансное сканирование нашло применение в травматологической, ортопедической, ревматологической, онкологической практиках, так как генез патологических процессов многообразен. Исследования проводят для диагностики причин острой и хронической боли.
Что покажет МРТ костей таза:
- отек, присутствие инородного тела, крови, больших скоплений жидкости;
- повреждения крупных мышц и сухожилий при травматизации, перелом костей таза, в том числе, с разрывом кольца;
- дегенеративные изменения в суставах с разрушением хрящевой ткани (остеопороз) и аваскулярный некроз тазобедренных сочленений (видны на бесконтрастной МРТ);
- расхождение лонных костей (симфизиолиз), гипоплазию таза (недоразвитие, врожденный синостоз), дисплазию бедра или врожденный вывих и пр.;
- атрофию мышц, окружающих сустав;
- синдром отека костного мозга;
- туберкулезное, сифилитическое поражение (окончательная диагностика требует проведения специальных тестов);
- защемление нервных окончаний;
- остеохондропатию головки бедренной кости (болезнь Пертеса);
- наличие обширных участков воспаления, дегенеративные процессы в сухожилиях (тендинит), синовиальной сумке (бурсит), суставах (артрит, артроз, спондилез) и пр.;
- неопластические процессы: остео-, хондро-, фибросаркому, гистиоцитому, костные метастазы, поражение лимфатических узлов;
- повреждения апофиза, стрессовые переломы таза, шейки, диафиза бедренной кости и пр.;
- анкилозирующий спондилит крестцово-подвздошных сочленений (болезнь Бехтерева);
- внутрисуставные разрывы губ (диагностируют с помощью магнитно-резонансной артрограммы, подразумевающей введение контраста в тазобедренный сустав под контролем ультразвука) и др.;
- неполноценную конфигурацию вертлужной впадины;
- плексит пояснично-крестцового сочленения;
В экстренных ситуациях при острой травме с повреждением костей малого таза первоначально проводят КТ (из-за быстроты получения результатов). Магнитно-резонансную томографию могут назначить после стабилизации состояния.
МРТ костей малого таза: подготовка

Длительность сканирования - 25-30 минут, во время процедуры необходима максимальная неподвижность
Особенных мероприятий для исследования данной анатомической области не требуется: необходимо оставить все предметы, содержащие металл, за пределами диагностической комнаты и выбрать удобную просторную одежду без молний, заклепок, украшений и пр.
Боль в малом тазу может быть вызвана патологическим процессом внутренних структур (иррадиация в кости или суставы). Поэтому для возможности оценки отделов репродуктивного, мочевыводящего и кишечного тракта в зоне интереса за 2-3 дня до сканирования следует исключить из рациона питания газообразующие продукты и напитки: горох, фасоль, капусту, черный хлеб, молоко, квас, пиво и др. На обследование следует прийти после 4-6 часового голода.
Для предотвращения вегетативных реакций на введение препарата за 20-30 минут до диагностики с контрастом рекомендуют неплотно перекусить. Пища в небольшом количестве перед процедурой не нарушит визуализации.
МРТ костей таза и жизненно важных органов данной анатомической области технически проводят по-разному: для изучения конкретной структуры используют вариативные последовательности и режимы, выжидают определенный промежуток времени для достижения контраста и пр. Врач при предварительной оценке изображений и явном подозрении на заболевание какого-либо органа может изменить алгоритм диагностики. Правильная подготовка к МРТ позволит получить более качественные снимки. Все выявленные изменения будут описаны в заключении.
Возьмите с собой результаты предыдущей диагностики: рентгено- и ультрасонографии, КТ, МРТ, ПЭТ, выписки из больницы. Для проведения исследования необходимы паспорт, направление, полис ОМС/ДМС (если МРТ оплачивает страховая компания).
МРТ костей таза с контрастом

МРТ костей таза показывает множественные очаги, что говорит о метастатическом поражении
Магнитно-резонансное сканирование с контрастированием улучшает возможности визуализации. Исследование с усилением проводят для диагностики опухолевого процесса, включая обнаружение метастазов в костях таза, раннего выявления рецидива новообразования после лечения, уточнения степени выраженности воспалительного процесса, деструкции и пр. Контраст на основе гадолиния обладает высоким профилем безопасности и не требует предварительной оценки функции почек. Побочные эффекты на введение парамагнетика регистрируют крайне редко. В 99,9 % случаев исследование проходит без осложнений. Противопоказания к контрастированию:
- аллергическая реакция на гадолиний в анамнезе (при предыдущем МР-сканировании);
- получение заместительной очистительной терапии по поводу терминальной стадии почечной недостаточности;
- период вынашивания малыша;
- ранний детский возраст.
Общие противопоказания к МРТ:
- имплантированные кардио-, нейростимуляторы, слуховые аппараты, инъекторы для подачи лекарств, протезированные суставы, сосудистые клипсы и пр.;
- объем бедер больше диаметра барабана;
- острое состояние, подразумевающее реанимационную помощь;
- психические и неврологические заболевания с неконтролируемой двигательной активностью.
Расшифровка снимков МРТ костей таза

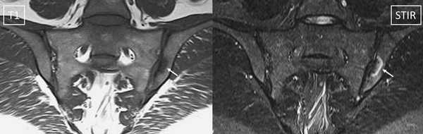
МРТ крестцово-подвздошных суставов - типичный воспалительный сакроилеит при аксиальном спондилоартрите (стрелки)
Выявлением изменений на снимках и расшифровкой результатов занимается рентгенолог. Заключение МРТ не является окончательным диагнозом и требует интерпретации врача, направившего на исследование, с учетом всех данных: симптомов, лабораторных тестов, результатов биопсии и пр.
В норме крестцово-подвздошные сочленения обычной конфигурации, симметричны с обеих сторон, ширина не изменена. Костно-суставные взаимоотношения не нарушены, периартикулярные и пресакральные ткани без видимых изменений. Краевых остеофитов, отека, деформации нет. Пояснично-крестцовый переход и видимые крылья подвздошных костей без особенностей. Позвоночные сакральные отверстия симметричны, не расширены.
При обнаружении объемного образования врач указывает локализацию, размер, контуры, взаимоотношение с окружающими тканями, интенсивность МР-сигнала в разных режимах и соответствие последнего той или иной ткани.
Пациент получает запись с ходом диагностической процедуры и заключение на руки. В начале документе указаны:
- тип томографа, напряженность магнитного поля;
- плоскости сканирования;
- толщина среза;
- импульсные последовательности;
- проведение/отсутствие контрастного усиления.

МРТ: двусторонний склероз подвздошной кости с сужением суставной щели (стрелка)
В диагностическом центре “Магнит” в СПб исследования проводят на современном томографе экспертного класса с напряженностью поля 1,5 Тесла, что позволяет получить диагностически ценные изображения. В ночные часы предусмотрена 30% скидка на МРТ костей таза. Приходите - мы Вас ждем!
Читайте также:
- Показания к хирургической фиксации акромиальной кости (os acromiale)
- Рефлексогенные зоны грудной полости. Нервные сплетения грудной клетки. Фасциально-клетчаточные пространства заднего средостения.
- Псевдотумор орбиты: причины, диагностика, лечение
- Былая эффективность пенициллинотерапии менингита. Принципы лечения пенициллином менингита
- Техника перевязки легочной артерии. Послеоперационный период перевязки легочной артерии
