Показания к хирургической фиксации акромиальной кости (os acromiale)
Добавил пользователь Евгений Кузнецов Обновлено: 27.01.2026
MINAR® Mинимально Инвазивная Aкромиально-ключичная Реконструкция — малоинвазивный метод хирургического лечения вывиха акромиального конца ключицы в Клинике на Комарова.
Вывих акромиального конца ключицы
Вывих акромиального конца ключицы - достаточно частая травма, возникающая главным образом от сильного удара сверху вниз по плечевому суставу (падение на область плечевого сустава). При этой травме рвутся связки, соединяющие ключицу и лопатку, и после этого, ключица под действием тяги мышц смещается кверху.
Симптомы вывиха акромиального конца ключицы
Основным симптомом вывиха является боль в акромиально-ключичном сочленении и ограничение движения в плечевом суставе. Если вывих полный - то ключица выпирает и определяется симптом клавиши: при нажатии на среднюю треть ключицы, она вправляется, если отпустить, то ключица становится в исходное положение.
Диагностика вывиха акромиального конца ключицы
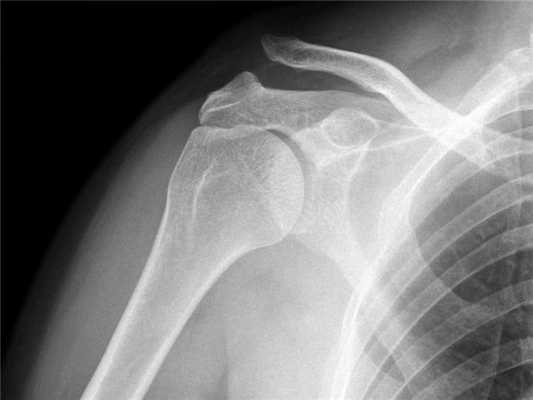
Практически во всех случаях определить получение вывиха ключицы оказывается достаточно легко, с учетом проявляемых клинических признаков. Из дополнительных методов исследования больному может быть назначено проведение рентгеновского исследования. Для правильного установления диагноза, целесообразно выполнять рентгенограмму здорового и больного плеча на одной пленке.

Лечение вывиха акромиального конца ключицы
Тактика лечения определяется тяжестью вывиха. Консервативное лечение показано при вывихах I-II типа. Данное лечение состоит в иммобилизации руки слинг повязкой на 3-5 недель до исчезновения боли. Далее выполняют контрольную рентгенографию и принимается решение о реабилитационном восстановлении.

Оперативное лечение вывиха акромиального конца ключицы
Один из вариантов оперативного лечения вывиха акромиального конца ключицы — синтез крючкообразной пластиной. Данная фиксация очень надежна, но имеет определенные недостатки.
- Во-первых, для данной операции требуется большой разрез (7-10 сантиметров).
- Во-вторых, при установке пластины, крючок заводят под акромиальный отросток, располагая рядом с вращательной манжеткой. В дальнейшем, при движении плечом, сухожилия травмируются о пластину, вызывая дискомфорт, болевые ощущения, ограничение движения. В результате это может привести к повреждению сухожилий вращательной манжетки (сухожилия надостной мышцы).
- В-третьих, известны случаи, когда происходил перелом ключицы по внутреннему краю пластины.
В связи с этим пластину рекомендуется удалять через 4-6 месяцев. А это повторная операция.
Методика MINAR
Методика MINAR (Minimally Invasive Acromioclavicular Reconstruction) данная методика выполняется через разрез длинной 3-4 см, происходит фиксация ключицы двумя металлическими пуговицами и очень прочной нитью. Принцип метода заключается в том, что фиксаторы располагаются так, чтобы вектор силы повторял ход порванных связок.
Данный метод сохраняет нормальную подвижности ключицы и обеспечивает высокий стабилизирующий эффект. В послеоперационном периоде необходима иммобилизация руки косыночной повязкой в течении 3-х недель. Так же пациент получает физиотерапевтическое лечение, реабилитационные мероприятия.

Преимущества метода MINAR при оперативном лечении вывиха акромиального конца ключицы
- Снижены до минимума травматичность и время выполнения операции.
- Снижен риск повреждения во время операции жизненно важных структур.
- Минимальные послеоперационные инфекционные осложнения.
- Отсутствует необходимость удаления имплантата.
- Возможность начала ранней функциональной реабилитации, в следствии чего более раннее восстановление функции верхней конечности.
Повреждение акромиально-ключичного сочленения

Одной из самых коварных травм, не всегда поддающихся своевременному распознаванию и полноценному лечению, является повреждение акромиально-ключичного сочленения. Характерное преимущественно для спортсменов и людей трудоспособного возраста, оно требует безотлагательного обращения за травматологической помощью и проведения последовательных лечебно-восстановительных мероприятий.
Рассказывает специалист ЦМРТ
Дата публикации: 24 Июня 2021 года
Дата проверки: 30 Ноября 2021 года
Содержание статьи
Причины повреждения акромиально-ключичного сочленения
Акромиально-ключичный сустав (АКС) - это подвижное соединение латерального конца лопатки с ключицей, являющееся единственным звеном, связывающим туловище с верхней конечностью. Существует несколько травмирующих факторов, приводящих к нарушению взаимоотношения суставных поверхностей:
- падение на плечо или локоть
- резкий рывок за руку сверху вниз
- удар в область задне-верхней поверхности плечевого сустава
- боковое сдавливание грудной клетки
- поперечное сжатие надплечий
Вывих или разрыв акромиально-ключичного сочленения составляет порядка 19% от общего количества травм опорно-двигательного аппарата.
Симптомы повреждения АКС
В случае смещения акромиального конца ключицы самым характерным признаком является боль и ограничение подвижности. В области повреждения быстро развивается отек, вывихнутый сегмент приподнимается и отходит немного назад. Практически всегда наблюдается специфический симптом «клавиши»: при нажатии на выступающий край он становится на место, а при отпускании снова отклоняется. В первые часы после травмы отмечается ложное удлинение руки.
В отличие от частичного повреждения, полный разрыв связок акромиально-ключичного сочленения сопровождается выраженной суставной нестабильностью. Слева или справа, в проекции акромиальной части ключицы, появляется массивный кровоподтек. Непереносимая боль практически полностью обездвиживает верхнюю конечность и ее приходится поддерживать здоровой рукой.
Классификация повреждений
Повреждение АКС может быть свежим (если после травмирования прошло менее 3-х дней), несвежим (от 3-х суток до 3-х недель) и застарелым (более 4-х недель).
В зависимости от степени тяжести травмы выделяют:
- неполный вывих: разрыв одной акромиально-ключичной связки
- полный вывих: разрыв обеих связок и капсулы сустава.
Исходя из направления смещения повреждения бывают над- и подакромиальными. Последние, встречающиеся очень редко, сопровождаются разрывом всех связок и надвиганием поврежденного конца ключицы на лопатку.
Диагностика
Для уточнения характера травмы акромиально-ключичного сочленения применяются инструментальные методы визуализации:
Ранее достаточным основанием для постановки диагноза считался обнаруженный разрыв акромиального сочленения на рентгене. Однако при неполных вывихах рентгенологическая картина далеко не всегда отражает реальное состояние пациента. Поэтому при диагностике повреждений АКС самой информативной признана магнитно-резонансная томография. Безопасный и безболезненный метод визуализации дает оценку состоянию всех мягких тканей, позволяет максимально точно определить границы поражения внутрисуставных связок, капсулы и синовиальной оболочки сустава.
К какому врачу обратиться
Лечением разрывов акромиально-ключичного сочленения занимается ортопед-травматолог.
Разрыв акромиально-ключичного сочленения

Разрыв акромиально-ключичного сочленения происходит в месте соединения плечевого отростка лопатки и ключицы. Эту область принято называть аркомионом. Частота повреждений названного участка ключицы достигает 15-17% среди общего количества разрывов и вывихов.
Травма занимает 3-е место по популярности, после повреждений плеча и предплечья. В группу риска входят активные молодые люди и профессиональные спортсмены.
Анатомические особенности
Ключица, плечевая кость и лопатка составляют плечевой пояс. Акромиально-ключичный сустав является малоподвижным сочленением, который соединяет ключицу и лопатку.

Сочленение поддерживается с помощью костных образований, которые фиксируют сустав прочной тканью связок. Суставные концы окружены замкнутой капсулой, которая заполнена синовиальной жидкостью.
Механизм повреждения связок ключицы
Разрыв акромиальных связок ключицы чаще всего возникает вследствие прямого падения на плечо. Подобный сценарий влечет за собой повреждение связок, окружающих акромиально-ключичное сочленение.
При сильном ударе связки разрываются, в результате можно наблюдать отсоединение лопатки от ключицы. Под весом руки лопатка будет смещаться вниз, это приведет к образованию бугорка над плечом.
Причины повреждения акромиального сочленения
Среди основных причин, которые приводят к разрыву акромиально-ключичное сочленения, медики отмечают:
- травматизацию в ходе спортивных соревнований (подобный разрыв нередко встречается у вратарей футбольных и хоккейных команд, которые с силой падают плечо, чтобы защитить ворота);
- разрывы при занятиях контактными видами спорта (дзюдо, бокс, тхэквондо или сумо);
- повреждения при падении на вытянутую руку (нередко возникают в результате скольжения на льду в зимнее время года);
- поражение, возникшее в результате ведения активного образа жизни (после неосторожного катания на роликах, лыжах или коньках).
Симптомы разрывов
Диагностировать разрыв акромиально-ключичное сочленения опытные врачи могут по следующим типичным проявлениям:
- укорочение надплечья, зрительное удлинение руки;
- болезненность в зоне плечевого сустава;
- кровоподтеки, сильный отек поврежденного участка;
- двигательная ограниченность, снижение силы конечности;
- «симптом клавиши» при нажатии на ключицу.
Виды разрывов акромиально-ключичного сочленения
Медики выделяют полные и неполные разрывы акромиально-ключичного сочленения. Повреждение сочленения может привести к смещению ключицы, выделяются разрывы со смещениям ключичной кости вверх или вперед.

По степени деформации разрыв делится на:
- легкий, который не влечет за собой смещения ключицы. Повреждения имеют минимальный размер надрыва, который составляет 2-3 мм;
- средний, приводящий к надрыву связки и изменению местоположения ключицы. Обнаруживается расширение суставной щели до 5 мм;
- тяжелый, влекущий серьезное повреждение сочленений. Размер надрыва превышает 7 мм.
В зависимости от момента получения травмы разрывы подразделяются на:
- свежие. Повреждение было получено не позднее 3-х суток до момента обращения за помощью;
- несвежие. Травма произошла в период от 3-х суток до 3-х недель до момента визита к врачу;
- застарелые. Разрыв возник позднее 3-х недель до момента обращения за лечением.
Диагностика повреждения акромиально-ключичного сочленения
Для подстверждения диагноза выполняется рентгенография плечевого сустава. На рентгенограмме четко видно, если произошел вывих акромиального конца ключицы.

Лечение разрывов акромиальных связок ключицы
Разрыв акромиально-ключичного сочленения лечится консервативным или хирургическим путем, способ оказания помощи зависит от степени повреждения и состояния пострадавшего. Консервативные методы заживления включают в себя:
- применение обезболивающих лекарственных средств;
- использование холодных компрессов;
- ношение поддерживающих повязок.
Разрывы средней степени тяжести могут потребовать наложения бандажа для защиты поврежденной зоны и ограничения двигательной активности сустава.

Хирургическое лечение предполагает устранение тяжелых костных деформаций. Операция может потребоваться для удаления конца ключицы, восстановления связок.
Реабилитация после разрыва сустава
После проведения операции больным требуется иммобилизация. Носить повязку следует до момента снятия швов.
После хирургического лечения разрыва акромиально-ключичного сочленения больным рекомендуется посещать курсы аппаратной физиотерапии и гипотермии для снижения болевого синдрома и снятия отечности.
Полезно применение магнитной и лазерной терапии. Деликатный массаж позволяет избавиться от мышечного спазма.
Пациент начинает совершать активные движения верней конечностью через 2-4 недели после хирургического вмешательства. Разработка сустава происходит под наблюдением врача. В первые дни реабилитации больной выполняет пассивные упражнения, а затем усиливает амплитуду движений, расслабляя мышцы.
Через 2 месяца после операции пациенту рекомендуется регулярно выполнять упражнения для укрепления мышечной ткани и восстановления суставов плечевого пояса.
Медицинский прогноз по травме достаточно оптимистичный. Отмечается, что большинство пострадавших от разрыва акромиально-ключичного сочленения полностью восстанавливают подвижность, силу и гибкость рук, ткани заживают без значительных деформаций и осложнений.
Не занимайтесь самолечением!
Определиться с диагнозом и назначить правильное лечение может только врач. Если у Вас возникли вопросы, можете позвонить по телефону или задать вопрос по электронной почте.
Методика MINAR® — малоинвазивный метод хирургического лечения вывиха акромиального конца ключицы в Клинике на Комарова

Вывих акромиального конца ключицы - достаточно частая травма. Известно, что еще Гиппократ впервые разделил понятия «вывих плеча» и «вывих акромиального конца ключицы», которые до него считались одной и той же травмой. Конечно же, с точки зрения неспециалиста эти две проблемы на первый взгляд не отличаются друг от друга и воспринимаются просто как «травма плеча» или часто можно услышать выражение «выбил плечо». Мы специально сделали такое филологическое отступление для того, чтобы вы понимали, что травмы плечевого сустава и соседних с ним структур - отдельное и очень сложное направление в травматологии. Например, одна из лучших медицинских книг, посвященная только плечевому суставу и окружающим его структурам - двухтомник на 1704 страницах! Поэтому в случае травм этой области чрезвычайно важно лечиться у компетентного специалиста.
Немного анатомии
Ключица — небольшая, S-образно изогнутая трубчатая кость, которая одним концом соединяется с грудиной (грудино-ключичный сустав), а вторым концом - с акромиальным отростком лопатки (акромиально-ключичный сустав). Традиционно в ключице выделяют три части: грудинный конец, диафиз (средняя часть) и акромиальный конец.
Основные травмы ключицы - это переломы и вывихи. Поскольку у ключицы два конца (акромиальный и ключичный) то и вывихи могут быть как акромиального, так и грудинного конца. Чаще бывают вывихи акромиального конца. К ключице прикрепляется несколько связок, которые соединяют ее с лопаткой.
Почему происходит вывих ключицы?
Классический пример травмы, при которой происходит вывих акромиального конца ключицы - падение на плечо. При этом рвутся связки, соединяющие ключицу и лопатку, и после этого, ключица под действием тяги мышц смещается кверху.

Конечно же, поскольку связок, прикрепляющихся к ключице несколько, то возможны различные варианты их разрывов. Например, может разорваться только капсула акромиально-ключичного сустава - в таком случае вывиха не произойдет или будет подвывих, поскольку ключицу будут держать другие связки. Если разорвутся другие связки (коническая и трапециевидная связки), произойдет уже вывих ключицы.
Вывих акромиального конца ключицы: слева - неполный (подвывих), клювовидно-ключичная связка цела; справа - полный, порваны коническая и трапециевидная связки, которые образуют единую клювовидно-ключичную связку.

Мы описали самую простую классификацию, но на самом деле все гораздо сложнее. Среди специалистов, занимающихся лечением травм плеча, принято использовать классификацию Роквуда, которая выделяет шесть типов вывиха.
Сразу после травмы возникает боль в надплечье. Если вывих полный - то ключица выпирает, и, в некоторых случаях, удается выявить симптом клавиши пианино: при нажатии на ключицу она вправляется на вместо (опускается вниз), но если прекратить давление она тотчас вывихнется снова. Отсутствие симптома клавиши не означает, что с ключицей все в порядке. Во-первых, этот симптом не всегда возможно просто проверить ввиду того, что у некоторых пациентов нажимание на ключицу вызывает сильную боль. Во-вторых, через несколько часов после травмы возникает отек. В-третьих, у полных людей ключица вообще может плохо контурироваться.
При вывихах акромиального конца ключицы нарушается функция руки - чаще всего невозможно поднять руку выше плеча, отвести руку в сторону.
Вокруг ключицы возникает синяк (его ошибочно называют гематомой, но на самом деле это просто синяк - подкожножировая клетчатка пропитывается кровью из разорванных связок). В течение нескольких дней или даже недель этот синяк может увеличиваться в размерах и «сползать» вниз.
Боль, как правило, в течение нескольких дней уменьшается, но мы советуем вам не ждать, а обратиться к врачу сразу.
Диагноз вывиха акромиального конца ключицы
Диагноз вывиха акромиального конца ключицы иногда очень прост и все очевидно при осмотре, а иногда приходится решать целую головоломку. Наиболее оптимальным и распространенным способом диагностики является рентгенография. Стоит сказать, что, как не бывает одинаковых людей, так и не бывает одинаковых ключиц. Чаще всего причиной ложного диагноза индивидуальные особенности акромиально-ключичного сустава.
Поэтому целесообразно выполнять рентгенограмму не одного плеча, а двух сразу - что позволит оценить нормальное строение противоположной ключицы.

В сомнительных случаях иногда выполняют функциональную рентгенографию - в руку берут груз, который оттягивает ее вниз и вывих становится более очевидным.
Оптимальный способ лечения зависит от типа вывиха. Раньше в подавляющем большинстве случаев применяли консервативное лечение, то есть не оперировали. Суть такого лечения сводилась к тому, что на несколько недель пациента заковывали в громоздкие и тяжелые устройства, которые вправляли и удерживали ключицу в нужном положении.
Сейчас консервативное лечение показано при неполных вывихах (подвывихах), т.е. при 1 или 2 типе вывиха по Роквуд. При этом достаточно легкой, эстетичной и удобной слинг-повязки, которую носят в течение 3-5 недель в зависимости от варианта повреждения капсулы акромиально-ключичного сустава. Далее выполняют контрольную рентгенографию и принимают решение о реабилитации - повязку снимают и приступают к физическим упражнениям.

В первые сутки после травмы прикладывают холод, который уменьшает отек и боль. Обездвиживание слинг-повязкой само по себе значительно снизит боль, но если она останется - не нужно терпеть, сообщите об этом врачу и он назначит обезболивающие препараты.
Впоследствии, по решению врача, слинг-повязка может быть заменена на тейп, который позволяет пользоваться рукой, но удерживает ключицу. Тейп-повязка должна накладываться только специалистом. При повреждениях I типа тейп-повязка может использоваться с самого начала.
Хирургическое лечение вывиха акромиального конца ключицы
Прежде чем рассказать об операциях, нужно поговорить о том, зачем вообще оперировать. Как мы уже отмечали, при 1 и 2 типе вывиха показано консервативное лечение, так как оперировать (за редкими исключениями) можно сказать нечего - ключица и так на месте. Но при 3 типе вывиха, когда ключица полностью вышла вверх, необходимо рассматривать возможность операции. Конечно же, вы можете задать вопрос - что будет, если не оперировать? Боль в покое уйдет, гематома рассосется.
Но возможны следующие проблемы:
- Боль при физической нагрузке
- Снижение силы руки
Невправленная ключица будет все время выпирать вверх, что представляет собой не только косметическую проблему, но и может ограничивать движения, в частности может возникнуть:
- Ограничение отведения руки, т.е. руку часто нельзя поднять выше плеча.
Все эти проблемы могут привести к нарушению осанки.
Для кого-то все эти возможные последствия вообще не представляют никакой проблемы, так как бывают люди с крайне небольшими физическими запросами. В любом случае операция по вправлению ключицы не направлена на спасение жизни, поэтому рассматривать целесообразность хирургического лечения необходимо исходя из профессии, стиля жизни и запросов пациента.
В целом максимальное восстановление при полном вывихе акромиального конца ключицы (3,4,5 и 6 типы вывихов) возможно только при оперативном лечении, в ходе которого ключицу вправляют и фиксируют ее.
Ряд последних научных исследований показал, что у спортсменов и людей с высокими физическими запросами целесообразно не просто оперативное лечение, а максимально раннее оперативное лечение, что позволяет получить наилучшие результаты.
В большинстве случаев операцию выполняют под наркозом.
В практике врачей достаточно большое количество вариантов операций, но остановимся только на самых малотравматичных и современных методах. Именно они и применяются в нашей клинике при оперативной помощи.
Методика MINAR® Mинимально Инвазивная Aкромиально-ключичная Реконструкция — малоинвазивный метод хирургического лечения вывиха акромиального конца ключицы в Клинике на Комарова.
Методика MINAR является наиболее ярким представителем целого направления операций, в которых используется один и тот же принцип: фиксатор располагают так, чтобы вектор силы повторял ход порванных связок. Раньше эту операцию выполняли с использованием лавсановых нитей (лавсанопластика), но сейчас появились более современные материалы. Например, возможна пространственная реконструкция с помощью якорных фиксаторов.

Операции можно выполнять под артроскопическим контролем, который означает, что точное расположение фиксатора врач контролирует через тонкую видеокамеру (артроскоп).
Преимущества метода MINAR при оперативном лечении вывиха акромиального конца ключицы
Еще один вариант операций - синтез крючкообразной пластиной
Такая фиксация очень надежна, но и она не лишена недостатков.

Фиксация ключицы крючкообразной пластиной (hook plate)
Существуют и несколько десятков других операций. При застарелых и повторных вывихах выполняют другие операции (резекция акромиального конца ключицы, пластика связочного аппарата ключицы с помощью других связок и т.д.).
После операции руку обездвиживают косыночной повязкой или слинг-повязкой на некоторое время (при разных операциях и надежности фиксации это время варьирует), после чего начинают реабилитацию.
Вопросы, которые стоит обсудить с врачом на консультации.
- Какое лечение (оперативное или консервативное) возможно при моем типе вывиха?
- Какое лечение целесообразно при моем уровне физических запросов (профессия, занятия спортом)?
- Какая операция предпочтительна в моем случае?
- Как долго после операции придется носить косыночную повязку?
- Возникнет ли необходимость удалять имплант и как скоро?

MINAR® Mинимально Инвазивная Aкромиально-ключичная Реконструкция — малоинвазивный метод хирургического лечения вывиха акромиального конца ключицы в Клинике на Комарова.
Читайте также:
