КТ, МРТ при опухоли эндолимфатического мешка (ОЭЛМ)
Добавил пользователь Валентин П. Обновлено: 22.11.2025
На компьютерную томографию, с подозрением на патологическое образование почек, пациент был направлен после УЗИ и это было правомерно: ультразвуковое исследование и КТ часто - взаимодополняющие методы. Правильно выполнив исследование, мы подтвердили наличие очагового образования левой почки (увы, у пациента был обнаружен рак почки). И это была плохая новость.
Но исследование включало и чуточку хорошего - в правой подвздошной области у пациента обнаружилась абсолютно нормальная «полноразмерная» почка, сосудистая ножка которой была «ориентирована» на подвздошные сосуды.
Что же показывает КТ почек? Каковы возможности этого метода при обследовании почек?
В норме при компьютерной томографии почек с контрастом мы говорим о паренхиме почки и почечном синусе. Паренхима начинает дифференцироваться на две зоны - кортикальный слой и мозговое вещество в артериальную фазу контрастного усиления. В позднюю венозную, равновесную, или паренхиматозную фазу контрастированные кортикальный слой и мозговой слой не различаются, чуть позже происходит доминирование контрастирования мозгового слоя, но не везде, а ближе к собирательной системе, и уж совсем поздно - после 5 минуты, контрастное вещество начинает заполнять чашечно-лоханочную систему.
Как видим, почки - еще более «дозовонагружаемый» орган при КТ, чем печень. Там можно обойтись тремя фазами сканирования. При исследовании почек - при корректно выполненном исследовании - фаз должно быть четыре (минимум).
Надо признать, что дифференциация слоев почек при МРТ видна и без контрастного усиления. Однако морфология и функция органа оценивается по тем же принципам контрастного усиления, что и при КТ.
Молодых врачей-рентгенологов, проводящих исследование почек, волнует вопрос: « В какую фазу что ищем?».
В нативную - рентгеноконтрастные конкременты, нарушения очертания наружного контура (подозрение на очаг), расширение чашечно-лоханочной системы - возможные начальные проявления гидронефротической трансформации. Гиподенсные зоны: нечеткие контуры - абсцессы? Четкие - кисты. Перемычки в кистах - подозрение на кистозную форму опухоли.
В артериальную - дефекты контрастирования кортикального слоя (как правило, опухоли) и оцениваем распространенность опухоли, особенно на чашечки и лоханку, а также на соседние органы. Ярко контрастированные сосуды в центре опухоли, в сочетании с жировой плотностью отдельных зон опухоли - это ангиомиолипома. В зависимости от доминирования того или иного компонента, опухоль (доброкачественная) может иметь абсолютно разную КТ-картину. При доминировании жировой ткани (липоангиомиома) может выглядеть «страшно», но остается доброкачественной. При преобладании гладкомышечного компонента может напоминать онкоцитому (тоже доброкачественную опухоль).
В венозную (паренхиматозную) фазу - лучше видны границы кист и контрастирования солидного компонента в кистозных опухолях. Также виден край опухоли и можно оценить ее распространение на чашечки и лоханку. В отсроченную (экскреторную) фазу - четко видны границы чашечек и лоханок, а также тромбы и рентгеннегативные камни и опухоли мочеточника с внутрипросветным ростом. Еще в эту фазу легко дифференцировать парапельвикальные кисты (не контрастируются) от лоханки (контрастированной), что иногда крайне сложно сделать в нативную фазу. Изображения артериальной и экскреторной фаз используют для трехмерных реконструкций - красиво и наглядно. При МРТ «стоячая жидкость» - моча, желчь и панкреатический сок на тяжеловзвешенных Т2 изображениях будет яркой - и можно получить изображение, имитирующее изображение экскреторной урограммы.
Нужно ли уж так стараться дифференцировать опухоли почек? Ведь все равно пациента ждёт нефрэктомия! Далеко не всегда. Например, у нас, в Институте хирургии им. А.В. Вишневского, выполняют не просто органосохраняющие операции (резекции почек - по показаниям), но и экстракорпоральные резекции с ортотопической реимплантацией собственной почки (проще говоря, почку на время «вынимают» из тела пациента, в специальных условиях оперируют «в лотке», и возвращают на «законное» место.
Важно: больной должен обратиться за хирургическим лечением уже полностью обследованным (включая все анализы, УЗИ, КТ или МРТ).
Предвосхищая вопрос пациентов «Как долго растут опухоли почек?», отвечаю: обычно долго. И если вовремя выполнить обследование - всегда есть шанс на Успех. И даже спасти этот важный орган возможно - современная хирургия позволяет это! Главное - не отчаиваться.
Григорий Кармазановский - доктор медицинских наук, профессор, заведующий отделом лучевых методов диагностики ФГБУ «Институт хирургии им. А.В. Вишневского» Министерства здравоохранения Российской Федерации (Москва).
КТ, МРТ при опухоли эндолимфатического мешка (ОЭЛМ)
Endolymphatic sac tumor and angiomatous lesions of the nasal and pharyngeal mucosa as a first manifestation of von Hippel—Lindau disease
Honeder C., Gstoettner W., Matula C., Czerny C., Gruber A., Ramsebner R., Arnoldner C.
Laryngoscope 2012; 10: 1002—1023 (англ. — Австрия)
Представлено наблюдение опухоли эндолимфатического мешка у 15-летнего мальчика, у которого также диагностировали ангиоматозное поражение слизистых оболочек носа и горла; кроме того, после операции у него диагностировали болезнь Hippel—Lindau. Предоперационное КТ-исследование исключило вероятность холестеатомы, однако оказалось неинформативным в плане дифференциации параганглиомы или опухоли эндолимфатического мешка. Согласно данным авторов, это первый описываемый случай ангиоматозного повреждения слизистых верхних дыхательных путей у пациента с болезнью Hippel—Lindau, представляющее интерес для дифференциальной диагностики случаев опухоли эндолимфатического мешка.
*Болезнь Гиппеля—Линдау (цереброретинальный ангиоматоз) — факоматоз, при котором гемангиобластомы мозжечка сочетаются с ангиомами спинного мозга, множественными врожденными кистами поджелудочной железы и почек. Симптомы заболевания становятся очевидными во 2-м десятилетии жизни — одним из первых обнаруживается кровоизлияние в глазное яблоко или в заднюю черепную ямку с признаками внутричерепной гипертензии или мозжечковыми расстройствами. У большинства пациентов в цереброспинальной жидкости обнаруживают повышение содержания белка, у половины детей с опухолями мозжечка — увеличение числа клеток. Заболевание наследуется аутосомно-доминантно, обусловлено мутацией гена-супрессора опухолевого роста (VHL), локализованного на коротком плече 3-й хромосомы.
Эффект «третьего окна» после хирургического вмешательства при болезни Меньера
Significance of the development of the inner ear third window effect after endolymphatic sac surgery in Ménière disease patients
Kim S.H., Ko S.H., Ahn S.H., Hong J.M., Lee W.S.
Laryngoscope 2012; 122: 8: 1838—1843 (англ. — Корея)
Цель данного исследования — определить клиническую значимость низкочастотной кондуктивной тугоухости, которая часто развивается после операций на эндолимфатическом мешке. В исследование были включены 16 пациентов, перенесших операцию на эндолимфатическом мешке по поводу болезни Меньера. Шкала оценки эффективности операции основывалась на разработках Американской академии оториноларингологов 1995 г. Определяли число пациентов с кондуктивной тугоухостью (костно-воздушный интервал (КВИ)>10 дБ на частотах 250, 500 и 1000 Гц) после операции и оценивали значимость КВИ в соответствии с исходом и эффективностью операции. Приступы головокружения у 9 пациентов были полностью купированы (группа А). Число приступов головокружения уменьшилось на 60—90% у 6 пациентов (группа В) и на 20—59% у одного пациента (группа С). Послеоперационный КВИ наблюдался у 13 пациентов. Средняя величина КВИ у пациентов группы А была значительно больше, чем у пациентов групп В и С (25,0±7,6 дБ в группе А по сравнению с 10,0±7,5 дБ в группах В и С; p=0,005). Основываясь на вышеописанных наблюдениях, авторы предположили, что большой КВИ и полное купирование головокружения в данном исследовании могут быть вызваны феноменом так называемого «третьего окна», образованного за счет декомпрессии эндолимфатического мешка и протока, и могут служить позитивным прогностическим признаком.
Гистологическое исследование после хирургического вмешательства по поводу болезни Меньера
Histopathology after endolymphatic sac surgery for Ménière’s syndrome
Chung J.W., Fayad J., Linthicum F., Ishiyama A., Merchant S.N.
Otol Neurotol 2011; 32: 4: 660—664 (англ. — США)
(От редакции: по данным В.Т. Пальчуна (2010), при болезни Меньера головокружение, как правило, прекращается после рассечения эндолимфатического протока в месте выхода его из пирамиды височной кости).
Доброкачественное позиционное пароксизмальное головокружение как осложнение ортодентальной хирургии
Benign paroxysmal positional vertigo as a complication of orthognathic surgery
Beshkar M., Hasheminasab M., Mohammadi F.
J Craniomaxillofac Surg 2012; 19: 8: 135—139 (англ. — Иран)
Доброкачественное пароксизмальное позиционное головокружение (ДППГ) — это патологическое состояние, которое, в частности, может развиться после хирургического вмешательства на верхней челюсти, например после синус-лифтинга или при имплантации зубов. Авторы предположили, что ДППГ может также возникнуть вследствие верхнечелюстной остеотомии Ле Форта во время хирургической ортодонтии. Обследовав 50 больных после хирургической ортодонтии, авторы выявили ДППГ у одной пациентки, развившееся в послеоперационном периоде сразу после бимаксиллярной ортодонтии. У женщины 23 лет клинически наблюдалось типичное ДППГ с положительным тестом Dix-Hallpike. Авторы статьи указывают на необходимость соблюдать большую осторожность и учитывать вероятность возникновения ДППГ как возможное осложнение при черепно-лицевой и челюстной хирургии.
Клинические признаки рецидивирующего и персистирующего доброкачественного пароксизмального позиционного головокружения
Clinical Features of Recurrent or Persistent Benign Paroxysmal Positional Vertigo
Choi S.J., Lee J.B., Lim H.J., Park H.Y., Park K., In S.M., Oh J.H., Choung Y.H.
Otolaryngol Head Neck Surg 2012; 17: 7: 244—249 (англ. — Корея)
Цель исследования — распознать клинические характеристики и причины периодического и персистирующего доброкачественного пароксизмального позиционного головокружения (ДППГ) и проанализировать эффективность и необходимую частоту повторных вестибулярных маневров.
Авторы выполнили ретроспективный обзор историй болезни 120 пациентов, у которых в период с 2004 по 2008 г. диагностировали ДППГ в корейской клинике Dizziness Clinic in Ajou University Hospital. Врачи лечили пациентов в амбулаторных условиях часто повторяющимися вестибулярными маневрами, в частности модифицированным маневром Эппли и круговой ротацией каждые 2—3 дня.
Среди 120 пациентов с ДППГ были 93 (77,5%) пациента с типичным для ДППГ головокружением, 15 (12,5%) — с персистирующим и 12 (10,0%) — с периодическим. Хотя в большинстве случаев причина как персистирующих, так и периодических ДППГ идиопатическая, вторичные причины, в частности травмы, чаще наблюдались при персистирующих и периодических ДППГ, чем при типичных. Типичные и периодические ДППГ связаны обычно с отолитиазом в задних полукружных каналах, персистирующие ДППГ характеры для поражения латеральных полукружных каналов. После частых вестибулярных маневров соответственно у 91,7 и 86,7% пациентов с периодическими и персистирующими ДППГ наблюдалось прекращение нистагма и приступов головокружения.
Периодические и персистирующие ДППГ — часто возникающие расстройства и встречаются гораздо чаще, чем об этом задумываются специалисты, особенно у пациентов с вторичными причинами. Они могут быть успешно купированы часто повторяемым вестибулярным маневром.
Сравнительное исследование эффективности хирургического вмешательства при эндоскопической гайморотомии и радикальной операции по Колдуэллу—Люку при хроническом верхнечелюстном синусите
A comparative study between endoscopic middle meatal antrostomy and caldwell—luc surgery in the treatment of chronic maxillary sinusitis
Joe Jacob K., George S., Preethi S., Arunraj V.S.
Indian J Otolaryngol Head Neck Surg 2011; 63: 3: 214—219 (англ. — Индия)
Функциональная эндоскопическая хирургия околоносовых пазух (ФЭХП) почти полностью вытеснила радикальную операцию по Колдуэллу—Люку. Цель исследования — провести сравнение результатов ФЭХП и операции по Колдуэллу—Люку при хроническом синусите. Было проведено ретроспективное исследование 80 историй болезни пациентов, подвергшихся хирургическому вмешательству, у которых консервативное лечение оказалось неэффективным. Исследование показало, что через год после хирургического вмешательства у 44% пациентов, подвергшихся операции по Колдуэллу—Люку, и 89% пациентов после ФЭХП симптомы заболевания были купированы. Таким образом, оба хирургических метода эффективны при лечении хронического гайморита, однако эндоскопическая срединная антростомия представляется более эффективной, нежели операция по Колдуэллу—Люку, включая интраоперационные и послеоперационные параметры.
Новое в этиологии хронического синусита
Changes of etiology of chronic sinusitis
Journal of Сlinical Оtorhinolaryngology, Head, and Neck Surgery. Lin Chung Er Bi Yan Hou Tou Jing Wai Ke Za Zhi 2012; 26: 4: 166—168 (статья на китайском, абстракт на англ. — Китай)
Цель исследования — проанализировать новые этиологические особенности в развитии хронического риносинусита. Провели бактериологическое исследование гнойного секрета из верхнечелюстных и заднеэтмоидальных пазух, полученного от 111 пациентов во время эндоскопического хирургического вмешательства. В качестве контрольной группы исследовали бактериальное содержимое слизистых выделений носовой полости у 30 здоровых пациентов. Результаты мазков сравнивали с результатами за 2005 г. и анализировали изменения в качественном составе патогенных микроорганизмов. 15 видов микроорганизмов, включая Klebsiella pneumoniae, Streptococcus viridans, Acinetobacter baumannii, Staphylococcus epidermidis, Pseudomonas aeruginosa и Candida albicans, присутствовали в мазках тестируемой группы. В общей сложности бактериальные агенты были обнаружены в 81,8% наблюдений. При этом грамположительные и грамотрицательные микроорганизмы, а также различные виды грибов были высеяны в 37,8, 54,4 и 7,8% наблюдений соответственно. 5 видов, включая Staphylococcus epidermidis, Haemophilus influenzae, Streptococcus viridans, Branhamella catarrhalis, Staphylococcus aureus и др., были обнаружены и в контрольной группе. В результатах тестируемых групп за 2005 и 2010 г. были найдены существенные статистически значимые различия (p<0,01). Авторы заключают, что бактериальная инфекция — основная причина хронического синусита. Структура микрофлоры при хроническом синусите изменилась с классической грамположительной на грамотрицательную, при этом нельзя игнорировать присутствие грибов. Перед началом лечения антибиотиками необходимо микробиологическое исследование с определением чувствительности к препаратам.
Папилломавирус человека и инвертированная папиллома околоносовых пазух и чешуйчатоклеточная карцинома
Human papillomavirus load and physical status in sinonasal inverted papilloma and squamous cell carcinoma
Hasegawa M., Deng Z., Maeda H., Yamashita Y., Matayoshi S., Kiyuna A., Agena S., Uehara T., Suzuki M.
Rhinology 2012; 50: 1: 87—94 (англ. — Япония)
Цель данного исследования — показать роль человеческого папилломавируса в развитии инвертированной параназальной папилломы и чешуйчатоклеточной карциномы. Определяли папилломавирус человека, вирусную активность и присутствие папилломавируса-16 методом ПЦР в образцах замороженной крови 13 пациентов с инвертированной папилломой, у 11 больных с чешуйчатоклеточной карциномой верхнечелюстной пазухи и у 39 больных с хроническим синуситом. Присутствие генома папилломавируса человека было обнаружено в 46,1, 27,3 и 7,6% пациентов с инвертированной папилломой, чешуйчатоклеточной карциномой и хроническим воспалением соответственно. В группе с инвертированной папилломой уровень паппилломавируса человека был значительно выше, чем в группе с воспалительным поражением пазух. Авторы делают вывод о значительной роли папилломавируса в развитии злокачественных поражений околоносовых пазух.
Изменения вестибулярного анализатора при внезапной глухоте с головокружением и без него: исследование височной кости
Vestibular System Changes in Sudden Deafness With and Without Vertigo: A Human Temporal Bone Study
Inagaki T., Cureoglu S., Morita N., Terao K., Sato T., Suzuki M., Paparella M.M.
Otol Neurotol 2012 (В интернете публикуется до печатного издания) (англ. — США)
Проведено ретроспективное исследование височных костей пациентов с внезапной тугоухостью и глухотой, сопровождающейся головокружением и без него. Были исследованы 4 височных кости от 4 пациентов, страдавших при жизни внезапной глухотой, у двух из них отмечалось головокружение и у двух — отсутствовало. 4 здоровых контралатеральных уха рассматривались как контрольная группа. Во всех височных костях оценивали лабиринт, количество клеток в узле Скарпа, плотность вестибулярных волосковых клеток. Морфологические исследования сопоставляли с клиническими проявлениями и вестибулярными тестами от 11 пациентов с внезапной глухотой, выделенных в отдельную группу. В пораженных ушах были выявлены следующие морфологические особенности: атрофия органа Корти, текториальной мембраны, сосудистой полоски, отложения и атрофические изменения мембраны отоконий в вестибулярном анализаторе. Плотность волосковых клеток 1-го типа была значительно уменьшена в пятнах саккулюса, в гребне заднего полукружного канала пораженных ушей. Разница в морфологических находках между ушами у пациентов с головокружением и без него была незначительна. У одного пациента с внезапной глухотой без головокружения, который умер через 10 мес после возникновения внезапной глухоты, отмечалось огромное количество отложений в купуле, атрофированная мембрана отоконий была отслоена от пятен саккулюса, саккулярная мембрана полностью разрушена. Авторы статьи заключают, что в гистологической картине внутреннего уха нет значимых различий при внезапной глухоте с головокружением и без. При этом повреждения касаются в основном внеклеточных структур.
Эффективность лечения дексаметазоном сенсоневральной тугоухости в зависимости от способа его введения
The effect of dexamethasone in different application on treatment of sudden sensorineural hearing loss
Lin Chung Er Bi Yan Hou Tou Jing Wai Ke Za Zhi 2012; 26: 10: 443—444 (англ. — Китай)
Цель исследования, представленного в данной статье, — оценить эффективность дексаметазона в лечении сенсоневральной тугоухости в зависимости от способа его введения. Ретроспективно оценивали результаты лечения 100 пациентов с сенсоневральной тугоухостью, которые были объединены в две группы: А и В. В группе А дексаметазон вводили пациентам внутривенно, в группе В — интратимпанально. В целом эффективность лечения в группе А оценивали как 66%, в группе В — 68%. Статистически значимой разницы при оценке эффективности лечения в зависимости от способа введения дексаметазона получено не было (p>0,05). В связи с этим авторы заключают, что эффективность лечения сенсоневральной тугоухости с применением дексаметазона не зависит от способа его введения (внутривенно или интратимпанально).
Статистическое исследование распространенности шума в ушах и сенсоневральной тугоухости в Швеции
A cohort study of patients with tinnitus and sensorineural hearing loss in a Swedish population
R. Zarenoe, T. Ledin
Auris Nasus Larynx 2012; 29 (англ. — Швеция)
Целью исследования явилось изучение большой когорты пациентов с шумом в ушах и сенсоневральной тугоухостью (СНТ) в Швеции, выявление возможных этиологических и патогенетических факторов развития данной патологии. Были проанализированы все истории болезни пациентов с шумом в ушах и сенсоневральной тугоухостью, которым поставлен данный диагноз в Швеции с 2004 по 2007 г. В исследование включены пациенты 20—80 лет с порогами слуха при тональной аудиометрии не ниже 70 дБ. Критериями исключения явились кохлеарная имплантация, заболевания среднего уха, врожденная тугоухость. При анализе 1672 историй болезни в исследование были включены 714 пациентов. Большинство больных (79%) было в группе старше 50 лет. У мужчин с двусторонним шумом в ушах пороги слуха на левое ухо были значительно выше, чем на правое. У 555 (78%) больных отмечалось симметричное снижение слуха и у 159 (22%) — асимметричное. При подозрении на ретрокохлеарную патологию 372 больным было произведено МРТ-исследование. Среди всех больных 400 не пользовались слуховыми аппаратами, при этом у 220 имелся односторонний шум в ушах и у 180 — двусторонний. Авторы статьи заключают, что, несмотря на большую распространенность СНТ и шума в ушах среди населения Швеции, только 39% пользуются слуховыми аппаратами.
Переводы подготовили проф. И.В. Иванец, П.С. Иванец , Москва
Болезнь Меньера (Ménière)
Болезнь Меньера — заболевание внутреннего уха, обусловленное увеличением количества эндолимфы (водянкой лабиринта) и проявляющееся периодическими приступами системного головокружения, шумом в ушах, прогрессирующим снижением слуха по нейросенсорному типу.
- эндолимфатический гидропс,
- эндолимфатическая водянка.
Эпидемиология:
Согласно официальным данным, заболеваемость колеблется от 8,2 человек на 100 000 населения в Италии до 157 человек на 100 000 населения и Великобритании. Болезнь внезапно поражает людей в возрасте 40-50 лет, причем мужчин и женщин в равной степени.
Этиология:
Заболевание не имеет определенной этиологии. Термин «идиопатическое» занимает первое место в дефиниции данного заболевания; основная причина (или причины) этой нозологической единицы зависит от целого ряда фактории, которые способны приводить к развитию эндолимфатической водянки. Среди них — вирусные инфекции, сосудистые нарушения, аутоиммунные процессы. аллергические реакции, травмы, эндокринные заболевания и другие.

При болезни Меньера клинические проявления обусловлены гидропсом во внутренном ухе. Растяжение мембраны преддверия и изменение объёма жидкости в эндолимфатическом пространстве способствуют искажению информации о равновесии и передачи звука.
Существует определённое разногласие во взглядах на источник продукции эндолимфы. Предложены следующие механизмы её образования:
- пропотевание жидкости из плазмы крови через капилляры сосудистой полоски;
- пропотевание жидкости из перилимфы через эпителий перепончатого лабиринта;
- поддержание существования эндолимфы в большей степени, нежели её секреция, то есть гомеостаз эндолимфы.
Теории, касающиеся тока эндолимфы, включают:
- механизм продольного тока, при котором эндолимфа продуцируется в улитке, протекает в сферический мешочек перепончатого лабиринта и, наконец,
абсорбируется в эндолимфатическом мешке; - механизм радиального тока, при котором эндолимфа секретируется и абсорбируется в улитковом ходе.
Клинические данные:
В патологический процесс могут вовлекаться, как одно, так и оба уха.
Основные симптомы:
- головокружение
- потеря слуха
- шум или звон в ушах
- чувство наполненности в ухе
- феномен Тулио (Tullio phenomenon) - головокружение, возникающее при громких или даже обычных повседневных звуках (8).
Специалисты Американской Академии Отоларингологии разработали критерии постановки диагноза болезни Меньера, которые в последний раз были пересмотрены в 1995 году (1).
- Верифицированный диагноз: диагноз верифицирован гистологически.
- Характерный диагноз: два или более эпизодов головокружения с потерях слуха+шум в ушах и/или чувство наполненности в ухе.
- Вероятный диагноз: только один эпизод головокружения и другие симптомы.
- Возможный диагноз: эпизоды головокружения без других основных симптомов.
Радиологические признаки:
Роль визуализации противоречива (2), но данные КТ и МРТ с хорошим пространственным разрешением могут навести на мысли о патологии в эндолимфатическом пространстве.
Компьютерная томография (КТ)
Компьютерную томографию височной кости целесообразно выполнять в спиральном режиме, с толщиной среза 0,5 мм и шагом реконструкции 0,3 мм, с формированием срезов с «костным» и «мягкотканным» фильтрами.
Характерными компьютерно-томографическими признаками болезни Меньера являются сужение и укорочение водопровода преддверия (вплоть до отсутствия визуализации), сужение и высокое расположение его наружной апертуры, расширение и укорочение наружного полукружного канала, а также уменьшение объема задней части пирамиды височной кости, выражающееся в уменьшении расстояния между лабиринтом и задней гранью пирамиды и уменьшении расстояния между лабиринтом и яремной ямкой. При одностороннем поражении, изменения КТ-картины костного лабиринта в целом носят двусторонний характер (9).
Магнитно-резонансная томография (МРТ)
МРТ используется для исключения альтернативных диагнозов, таких как вестибулярная шваннома и других поражения мостомозжечкового угла, а также отдифференцировать от синдрома оголения переднего полукружного канала.
На высокоразрешающей МРТ возможно визуализировать отсутствие видимого эндолимфатического протока и мешка.
Цены на МРТ и КТ пазух носа. Выявление опухоли эндолимфатического мешка
Патологии, имеющие общие симптомы с болезнью Гиппеля Линдау
- Яремно-барабанная гломусная опухоль,
- гемангиома,
- менингиома,
- опухоли среднего уха (аденома, холестеатома),
- гемобластозы,
- хондросаркома,
- метастатические опухоли.
Признаки болезни Гиппеля Линдау на снимках МРТ и КТ
- Опухоль эндолимфатического мешка или болезнь Гиппеля Линдау исходит из средней его трети.
- Это гиперваскуляризованная опухоль, в которой могут образовываться очаги обызвествления.
- Характерна деструкция кости, особенно у пациентов с болезнью Гиппеля-Линдау.
- Следует помнить также о возможности костной деструкции в области яремного отверстия и луковицы ВЯВ и предупредить пациента о симптомах, которые могут появиться по мере роста опухоли при болезни Гиппеля Линдау, особенно о нарушении функции УП-Х1ЧН.
- Опухоль эндолимфатического мешка при болезни Гиппеля Линдау ассоциирована с высоким риском осложнений (в том числе и при выполнении хирургического вмешательства), в частности профузного кровотечения и повреждения ЧН. Поэтому перед тем как удалить опухоль, желательно выполнить эмболизацию питающих ее сосудов.

Пациент с болезнью Гиппеля-Линдау, направленный на скрининговое оториноларингологическое обследование.
КТ в горизонтальной проекции. Видна деструкция заднемедиального отдела височной кости в области предполагаемого расположения эндолимфатического мешка, по-видимому, обусловленная его опухолью. Водопровод преддверия при этой опухоли может быть расширен (1), и в большинстве случаев опухоль прорастает в окружающую ее кость (2), распространяясь на луковицу ВЯВ, внутренний слуховой проход, сосцевидный отросток, внутреннее ухо. Поражение интракраниальных структур лучше видно на МРТ.

КТ в вертикальной проекции. Наиболее крупная часть опухоли (1) локализуется в крыше луковицы ВЯВ (2) и частично инфильтрирует медиальные сосцевидные ячейки вплоть до средней черепной ямки. Видны шилососцевидное отверстие (3) и задний полукружный канал (4). Как и в данном случае, опухоль эндолимфатического мешка чаще образуется при болезни Гиппеля-Линдау, а вообще эта опухоль встречается редко.

МРТ: Т2-взвешенное изображение в горизонтальной проекции. Опухоли на МРТ соответствует зона повышенной интенсивности сигнала в заднемедиальной части височной кости (1) кзади от заднего полукружного канала с нормальным сигналом от содержащейся в нем жидкости, что подтверждает результат КТ.

d МРТ: Т1 -взвешенное изображение в горизонтальной проекции после введения препарата гадолиния. Видно значительное усиление сигнала от опухоли, располагающейся слева (2), что подтверждают ее гиперваскуляр-ность, а также нормальный кровоток в обоих сигмовидных синусах (3).

МРТ: Т1-взвешенное изображение в сагиттальной проекции после введения препарата гадолиния. При болезни Гиппеля-Линдау могут возникать и другие опухоли, что значительно усугубляет состояние пациентов, учитывая возможность сдавления этими опухолями жизненно важных анатомических структур и развития вторичной гидроцефалии. В данном случае развилась гемангиобластома с усиливающимся солидным (7) и неусили-вающимся крупным кистозным (2) компонентами. Опухоль значительно сдавливает мозжечок. Несколько кпереди визуализируются мелкие вторичные усиленные опухоли (3).
Показывает ли МРТ онкологию
Все клиники сети ЦМРТ оснащены современным высокоточным оборудованием. МРТ и другие виды диагностики проводят опытные и квалифицированные специалисты.
Консультация специалиста после диагностики со скидкой 50%.

Магнитно-резонансная томография играет важную роль в обнаружении опухолевых процессов различной локализации. Высокая детализация внутренних структур позволяет выявить рак на ранней стадии, что важно для прогноза. Лечением опухолевой патологии занимается онколог.
Можно ли на МРТ увидеть рак? Магнитно-резонансное сканирование особенно эффективно при обнаружении некоторых типов опухолей головного и спинного мозга, первичных новообразований костей, сарком мягких тканей. При раке шейки матки, мочевого пузыря МР-исследование лучше, чем КТ показывает, насколько глубоко новообразование проникло в соседние структуры, является ли ткань опухолевой или рубцовой.
Рассказывает специалист ЦМРТ
Дата публикации: 10 Ноября 2021 года
Дата проверки: 30 Ноября 2021 года
Содержание статьи
Показывает ли МРТ рак?
Пациенту с подозрением на онкологический процесс МРТ назначают в качестве первичной диагностики, для определения стадии рака, измерения кровотока. Результаты сканирования помогают онкологам планировать лечение — например, хирургическое вмешательство или лучевую терапию, своевременно выявить рецидив: продолженный рост опухоли, метастазирование.
"МРТ — высокочувствительный метод, основанный на анатомической и функциональной информации, поэтому он часто выявляет злокачественные изменения, которые не проявляются в клинических тестах или плохо определяются другими методами визуализации. Таким образом, МРТ является лучшим инструментом для обнаружения и оценки опухоли на начальной стадии заболевания."
Marcos Fernando de Lima Docema, Paulo Aguirre Costa, Felipe Eduardo Martins de Andrade etc. Magnetic resonance imaging-guided occult breast lesion localization and simultaneous sentinel lymph node mapping. World Journal of Surgical Oncology, №12, 2014
Как выглядит злокачественная опухоль на МРТ
По снимкам можно предположить зло- или доброкачественный потенциал новообразования, окончательная верификация диагноза подразумевает биопсию. Косвенные признаки, свидетельствующие об озлокачествлении:
- размытость контура, отсутствие визуализации четкой границы между опухолью и соседними тканями
- неоднородность структуры: очаги некроза, множественные кисты, отложение кальция и пр
- избыточное развитие сосудистой сети, множественные анастомозы, явная задержка контрастного вещества
- перифокальный отек в виде размытого ореола вокруг очагового образования, зоны некроза (омертвения)
- пораженные лимфатические узлы — опухолевая лимфаденопатия
Как выглядят метастазы на МРТ
Видны ли метастазы на МРТ, зависит от их размеров: МР-изображения показывают очаги более 1,5-2 мм, меньшие отсевы опухоли обнаруживает ПЭТ-КТ.
На снимках метастазы выглядят, как очаговые неоднородные образования, единичные или множественные, с тенденцией к слиянию, может присутствовать зона некротизации. Пораженный лимфатический узел чаще округлой формы, увеличен в размерах. Для лучшей визуализации используют контрастное вещество на основе солей гадолиния.
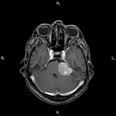
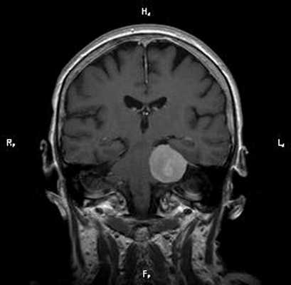
Пациент Р. 62 лет
Проблема: жалобы на частые головные боли, снижение слуха (левое ухо), а также шум в ушах (больше слева). Пациент был направлен на МРТ головного мозга в ЦМРТ с целью уточнения диагноза.
Диагноз: Онкология. Менингиома мосто-мозжечкового угла
Врач ЦМРТ
При МРТ головного мозга в левом мосто-мозжечковом углу определялось больших размеров округлой формы внемозговое патологическое образование, с четкими ровными контурами, широким основанием, прилежащее к твердой мозговой оболочке. После внутривенного контрастирования отмечалось равномерное, выраженное усиление интенсивности МР-сигнала от вышеописанного образования, а также твердой мозговой оболочки. Пациенту был поставлен диагноз (менингиома левого мосто-мозжечкового угла).


Какая МРТ покажет онкологию?
Для получения диагностически ценных результатов необходимо пройти обследование на оборудовании экспертного класса с напряженностью магнитного поля 1,5-3,0 Тесла. Наиболее информативна — мультипараметрическая МРТ. Если нет противопоказаний — аллергии на гадолиний, продвинутой стадии почечной недостаточности — магнитно-резонансную томографию в онкологической практике выполняют с контрастированием.
Особенности проведения МРТ при онкологии
Диагностическая процедура безболезненна и обычно длится 30-60 минут, в зависимости от области интереса. Особенной подготовки не требуется. Важно информировать врача о перенесенных операциях, установленном оборудовании: кардио-, мио-, нейростимуляторах, постоянных протезах, помпах для подачи лекарств, металлических имплантатах и пр.
Не забудьте взять с собой результаты ранее выполненных исследований, выписки из стационара, заключение онкоконсилиума.
Описание МРТ- снимка в ЦМРТ
В сети клиник ЦМРТ при неоднозначных результатах магнитно-резонансной томографии можно получить услугу “Второе мнение”: сделанные ранее снимки опишет опытный рентгенолог без учета имеющегося заключения. Мера позволяет уточнить диагноз. В сложных случаях данные анализируют коллегиально.
Читайте также:
- Холангиографиия после удаления желчного пузыря и при опухоли.
- Зажигательные боевые химическые веществаи фтороводород
- Измерение размеров таза. Поперечные размеры таза. Distantia spinarum. Distantia cristarum. Distantia trochanterica.
- Анатомия: Органы кроветворения и имунной системы
- Гормональные рецепторы рака молочной железы и их значение
