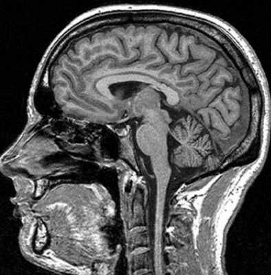
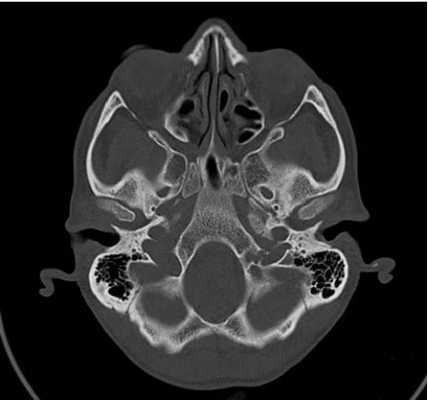
КТ, МРТ при остеопетрозе основания черепа
Добавил пользователь Евгений Кузнецов Обновлено: 02.11.2025
Остеопороз турецкого седла - это опасное заболевание, способное привезти к нарушениям в работе гипофиза и серьезно ухудшить гормональный фон. При первых признаках такого недуга нужно обращаться к специалистам и как можно скорее начинать адресное лечение.
Что такое остеопороз спинки турецкого седла
Остеопороз турецкого седла - это заболевание, приводящее к истощению костей. Чтобы понять, чем опасно поражение этого участка в скелете человека, обратимся к анатомии.
Турецким седлом называется часть клиновидной кости, расположенной в самом основании черепа. Такой участок напоминает чашу и является вместилищем важного отдела головного мозга - гипофиза. Кроме того, рядом располагаются вены, зрительные нервы.
Так как кость становится тоньше и теряет прочность, ее намного проще повредить. Развитие остеопороза также может служить косвенным указанием как на неправильный образ жизни человека, так и на серьезные патологии гипофиза. Стоит как можно скорее исключить все опасные диагнозы и начать эффективное лечение заболевания.
Причины болезни
Остеопороз спинки турецкого седла может возникать под действием сразу нескольких причин:
- Недостаток кальция в организме. Он может возникать как естественным путем, когда в рационе мало молочных продуктов, так и после приема некоторых групп препаратов. Нередко симптом становится побочным проявлением серьезных заболеваний костей.
- Нехватка витаминов. На первый план здесь выходит витамин D. Он синтезируется под действием солнечных лучей, так что дефицит периодически возникает у людей, редко бывающих на свежем воздухе. Под угрозой и те, кто полностью исключает из своего рациона жирные молочные продукты, а также рыбу.
- Гормональные нарушения. Они могут быть как причиной, так и следствием заболевания.
- Болезни и новообразования. В этом случае, недуг развивается под действием артериальной гипертензии злокачественного типа, опухоли и аденомы.
Симптомы
Проблема заключается в том, что выраженные симптомы остеопороза турецкого седла у человека появляются на поздних стадиях развития болезни. Нередко пациент сперва не понимает, в чем причина. Он долго обследуется у эндокринолога, анализы показывают повышение уровня гормонов, но причина такого состояния остается неясной.
Вас может насторожить:
- Повышение утомляемости без значительного увеличения стандартной нагрузки.
- Ухудшение настроения или чередование периодов неестественного душевного подъема и депрессии.
- Уменьшение роста, которое прогрессирует с каждым годом.
- Серьезные изменения осанки. Человек становится сутулым, у него развивается сколиоз.
- Плохое состояние ногтей: расслоение, быстрая ломкость.
- Ухудшение здоровья волос: выпадение, замедление роста, частое появление секущихся кончиков.
Диагностика остеопороза турецкого седла
Чтобы отследить изменение в состоянии человека, могут использоваться несколько методов:
- Денситометрия. Такая методика помогает установить текущую плотность костной ткани пациента. Для этого используется рентгеновское излучение.
- Компьютерная томография и МРТ. Методика позволяет не только точно определить форму и строение вашего турецкого седла, но и найти в нем места с истонченной костной тканью. Кроме того, методика позволяет диагностировать текущее состояние гипофиза. Чаще всего МРТ выполняется с контрастом - это помогает отыскать микроаденому.
- Для диагностики могут также использоваться и другие методы, такие как эхоэнцефалография, проверка глазного дна, рентгенография.
Классификация и типы остеопороза спинки турецкого седла
Чтобы ответить на вопрос о том, что это, остеопороз турецкого седла, нужно рассмотреть классификацию такого заболевания по первопричинам, симптомам и видам нарушения. Выделяют два основных вида такого недуга.
Диффузная форма болезни
Так называют деструктивные процессы, которые постепенно охватывают всю костную систему человека. В группе риска оказываются люли пожилого возраста. Под действием изменений в организме замедляется выработка костной ткани, а разрушения ускоряются. Дисбаланс приводит к повреждению костей в самых разных частях тела, в том числе в турецком седле.
Локальный остеопороз
В случае локального проявления болезни изменения запускает постоянное давление растущей опухоли головного мозга. Она давит на кость и та постепенно начинает истончаться. В этом случае однозначно можно сказать, что это остеопороз спинки турецкого седла, проявляющийся как вторичный процесс.
Как лечить заболевание
В случае если болезнь является следствием диффузных нарушений, используется консервативная терапия. Она включает прием витаминных комплексов, гормональных средств, бисфосфонатов, богатых кальцием веществ.
Кроме того, пациенту важно вести здоровый образ жизни, регулярно получать умеренные физические нагрузки и держать тело в тонусе. Чтобы болезнь не начала возникать снова, потребуется сбалансировать режим, а также следить за уменьшением уровня стресса.

Наши медицинские центры
- Взрослое отделение
- Диагностика
- Консультации
- Центр лечения боли
- Центр здоровья сердца
- Центр здоровья женщины
- Центр эндокринологии
- Детское отделение
- Массаж
- Нефрология
- Оториноларингология
- Офтальмология
- Эндокринология
Запись по ОМС на МРТ и КТ
Включить версию для слабовидящих?
Настоящим я даю своё согласие ООО «Диагностический центр «Энерго» (далее - Общество) (ИНН: 7810812758, юридический адрес - 196084, город Санкт-Петербург, ул. Киевская, д. 5 к. 4, помещ. 20-н), далее - «Оператор», и третьим лицам, осуществляющим обработку моих персональных данных по поручению Оператора, на обработку указанных сведений обо мне, в целях содействия в трудоустройстве.
Я соглашаюсь на сбор, запись, систематизацию, накопление, хранение, уточнение (обновление, изменение), извлечение, использование, передачу (предоставление, доступ), блокирование, удаление, уничтожение моих персональных данных, а также на осуществление любых других действий, предусмотренных действующим законодательством Российской Федерации, совершаемых с использованием средств автоматизации или без использования таких средств.
Настоящее согласие дано мною лично и добровольно. Настоящее согласие действует до момента его отзыва при отсутствии у Оператора других законных оснований для обработки персональных данных и может быть отозвано мной в любой момент в письменной форме путем направления уведомления Оператору по адресу, указанному выше.
Мы используем cookie-файлы, IP-адреса и данные об устройствах для аналитики, чтобы Ваше посещение сайта было удобным и персонализированным. Вы можете отключить cookie-файлы в настройках вашего браузера. Продолжая пользоваться нашим сайтом, Вы даете согласие на обработку перечисленных данных и принимаете условия Политики обработки и обеспечения безопасности ПДн.
Остеопетроз или мраморная болезнь
Остеопетроз, или «мраморная» болезнь, объединяет группу наследственных и спорадических заболеваний с различными клиническими и биохимическими проявлениями, в основе которых лежит нарушение резорбции костной ткани.
Заболевание впервые описано в 1904 г. немецким хирургом Н.Е. Albers-Schönberg, поэтому нередко его называют «синдром Альберс-Шенберга».
Этиология и патогенез
Возникновение остеопетроза обусловлено нарушением дифференцировки и активности остеокластов. В основе этих изменений лежит генетический дефект.
Аутосомно-рецессивный остеопетроз - тяжелое заболе- вание, которое может проявляться уже внутриутробно; у новорожденных и грудных детей наблюдаются прогрессирующая анемия, гепатоспленомегалия, гидроцефалия, а также сдавление черепных нервов, приводящее к слепоте и тугоухости. Больные обычно не доживают до 10 лет, причиной смерти нередко бывает инфекция. У некоторых больных нарушается функция не только остеокластов, но и моноцитов.
Диагностика
Мужчины и женщины болеют одинаково часто. На основании рентгенологических данных выделяют два типа аутосомно-доминантного остеопетроза. Для I типа характерно утолщение свода черепа, в то время как при II типе обнаруживают «полосатый» позвоночник, дугообразные участки остеосклероза в крыльях подвздошных костей («кость в кости») и уплотнение губчатого вещества костей. При обоих типах уменьшаются костномозговые полости.
Менее тяжелые формы остеопетроза примерно у половины больных протекают бессимптомно, а в остальных случаях проявляются патологическими переломами, болью в костях, остеомиелитом и поражением черепных нервов.
Переломы могут возникать даже при незначительных травмах и нередко бывают единственным проявлением заболевания у взрослых. Как правило, они срастаются медленно. У взрослых уровень кальция и активность щелочной фосфатазы в плазме обычно нормальные; у детей могут наблюдаться гипофосфатемия и умеренная гипокальциемия. Активность кислой фосфатазы в плазме обычно повышена.
Радиологические находки.
На рентгенограммах видны однородно уплотненные склерозированные кости; четкой границы между компактным и губчатым веществом нет. У большинства больных наблюдается поражение длинных трубчатых костей, при котором диафизы уплотнены по всей длине, а в эпифизах обнаруживают очаги уплотнения, соответствующие участкам нерастворившегося обызвествленного хряща. Метафизы расширены и деформированы. Поперечная исчерченность длинных трубчатых костей и тел позвонков, по-видимому, обусловлена волнообразным течением болезни в период интенсивного роста. Кроме того, в процесс могут вовлекаться таз, череп, ребра и другие кости. Дистальные отделы плечевых костей и фаланги обычно не поражаются. В биоптатах нередко обнаруживают увеличение количества остеокластов. При одних формах остеопетроза остеокласты не образуют гофрированной каемки, а при других выглядят совершенно нормально.
Признаки, указывающие на диагноз остеопетроза:
• диффузный склероз с вовлечением костей скул, позвоночника, таза и конечностей;
• дефекты моделирования кости в области метафизов длинных трубчатых костей;
• «кость в кости» в области позвоночника и фаланг;
• фокальный склероз скуловых костей, костей таза и замыкательных пластинок позвоночника («сэндвич»).
КТ костей лицевого черепа: что показывает исследование, как проходит процедура?
Компьютерная томография (КТ) - это метод диагностики, основанный на слабом рентгеновском излучении, позволяющий делать с разных ракурсов многослойные снимки с интервалом от 1 до 1,5 мм, которые затем преобразуются в трехмерную модель. Данное исследование, по сравнению с другими методами (обычный рентген, МРТ), дает более точную и информативную картину о состоянии и структуре костных тканей и хрящей. Помимо твердых структур, можно исследовать и мягкие ткани, а также сосуды лица и головного мозга.
В каких случаях назначают КТ черепа?
Обычно компьютерная томография черепа назначается в следующих случаях:
- если по рентгеновским снимкам невозможно достаточно точно диагностировать заболевание, наличие или отсутствие аномалий и отклонений, либо невозможно провести рентгенологическое исследование;
- если пациенту противопоказана МРТ в связи с присутствием в его теле инсулиновой помпы, кардиостимулятора или несъемных металлических протезов;
- тяжелые черепно-мозговые травмы с неясными последствиями (подозрение на перелом ли смещение костей черепа, гематому, отек);
- резкое ухудшение зрения или слуха, головные боли, тошнота, обмороки, головокружения не установленного происхождения;
- дифференцирование злокачественных и доброкачественных опухолей;
- ушибы, травмы лицевой части головы;
- подозрение на инсульт или кровоизлияние в мозг;
- гидроцефалия.
Что показывает КТ черепа?
По результатам томографии можно обнаружить чужеродные предметы, трещины и переломы, смещение костей, прорастание опухолей в мягкие ткани лица, распространение метастазов, нарушение кровообращения, любые отклонения и патологии в развитии головного мозга и костей черепа. Высокое разрешение снимков дает возможность диагностировать онкологические заболевания и степень их тяжести. Также КТ черепа показывает, насколько эффективно прошла терапия лекарствами или хирургическое вмешательство.
Как проходит КТ черепа?
Как правило, особая подготовка перед проведением КТ костей черепа не требуется. Если процедура проводится с применением контрастного вещества, то нужно отказаться от еды и питья за 3-6 часов до обследования. Непосредственно перед процедурой необходимо снять все металлические предметы (заколки, очки, резинки, сережки), затем лечь на специальную кушетку, которая закатывается в кольцо томографа. Врач-рентгенолог делает снимки из смежного помещения, но с ним всегда можно связаться посредством обратной связи. Во время обследования кольцо томографа вращается вокруг головы с небольшим шумом и потрескиванием. В зависимости от сложности, процедура может занимать от 1 до 30 минут. Результаты с заключением рентгенолога можно получить уже через несколько часов после обследования.
КТ лицевого черепа
В основном КТ лицевого черепа может назначаться при: травмах лица с повреждением мягких тканей, отеках и опухолях околоносовых пазух и глазниц, уточнении местонахождения непрорезавшихся зубов, - а также перед хирургическим вмешательством (в том числе и при проведении стоматологических операций). На снимках можно изучить кости лицевого черепа и прилегающие к ним мягкие ткани.
КТ основания черепа
Томография костей основания черепа проводится при различных травмах головы, а также для диагностирования онкологических и других видов опухолей. При получении точных и оперативных результатов можно начать своевременное и эффективное лечение выявленных заболеваний, особенно на ранних стадиях.
Противопоказания для проведения КТ черепа
В связи с небольшим лучевым излучением при назначении лечащим врачом томографии беременным и кормящим женщинам, а также детям младшего возраста необходимо сопоставить риск и предполагаемую пользу. Человек с избыточным весом (более 150 килограмм) может не вывести из строя прибор. В этом случае следует предварительно узнать о максимально возможной нагрузке на томограф.
Проведение КТ черепа с контрастом может быть противопоказано в следующих случаях:
- аллергия на контрастное вещество;
- почечная недостаточность;
- болезни щитовидной железы;
- совокупность иных заболеваний, которые, по мнению лечащего врача, являются недопустимыми для проведения обследования с применением контрастного вещества.
Как часто можно делать КТ черепа?
Несмотря на довольно низкий уровень облучения и небольшую область исследования, КТ черепа специалисты рекомендуют делать не чаще 2-х раз в год. В случае острой необходимости, можно проходить обследование до трех раз в год с промежутком не менее трех-четырех недель. Если существует угроза жизни пациента, томографию проводят по мере необходимости столько раз, сколько того требует ситуация.
МРТ костей черепа что показывает

Магнитно-резонансная томография базируется на способности магнитного поля изменять состояние атомов водорода в молекулах воды. Процедура информативна относительно мягких тканей, насыщенных жидкостью. Структуры организма с низким содержанием воды на снимках отражаются плохо. МР-томограф фактически «не видит» костную ткань. По этой причине рутинная диагностика переломов включает рентгенографию и КТ (в экстренных, спорных либо сложных ситуациях). При травмах головы стандартное обследование с помощью Х-лучей нередко сочетают с магнитно-резонансной томографией. В зависимости от того, что показывает МРТ костей черепа, дополняют тактику лечения, основанную на результатах КТ. Процедура дает информацию о состоянии мягких структур и влиянии на последние травм.
Показывает ли МРТ перелом черепа?
В основе метода — явление ядерно-магнитного резонанса, свойственное атомам с непарным количеством протонов. Поле, создаваемое установкой, заставляет микрочастицы вращаться по другой траектории. Затем элементы резко переходят в первоначальное положение. Аппарат улавливает возникающие при этом энергетические импульсы и преобразует последние в картинку. Так томограф делает послойные снимки изучаемой области.

Диагностическая ценность магнитно-резонансной томографии высока при травмах сложных структур организма (черепная коробка, позвоночник, сочленения). По результатам сканирования диагностируют не сам перелом, а сопутствующие повреждения (разрывы связок, мышц, компрессию тканей и пр.).
На вопрос «Показывает ли МРТ перелом черепа?», врачи дают отрицательный ответ. При травмах головы методом выбора является компьютерная томография. По снимкам оценивают состояние костей, обнаруживают малейшие повреждения последних, кровотечения. Компьютерная томография особенно информативна в первые 48 часов после получения травмы. В дальнейшем изменения в мозге контролируют посредством МР-сканирования.
Как делают МРТ черепа?

Гемосинус на МР-снимке головы
Диагностическую процедуру проводят по назначению врача, по предварительной записи. В клинике нужно заполнить бланки, пройти консультацию с рентгенологом, предоставить имеющуюся медицинскую документацию. Перед исследованием важно снять украшения, предметы гардероба и аксессуары с металлическими элементами, оставить в раздевалке электронные устройства и прочие личные вещи.
В диагностическом кабинете пациента укладывают на платформу аппарата. Тело фиксируют, для комфорта используют валики. Важно занять удобное положение, так как во время сканирования нельзя шевелиться.
По завершении приготовлений врач удаляется в соседний кабинет, откуда управляет оборудованием, контролирует процедуру, при необходимости общается с пациентом по громкой связи. Сканирование длится 20-25 минут.
При контрастной МРТ снимки выполняют дважды — перед введением препарата гадолиния и после инъекции. В общей сложности процедура занимает 30-40 минут.
По завершении томографии пациент одевается, забирает личные вещи и ожидает результаты в диагностическом центре или отправляется по своим делам. Заключение и информационный носитель со снимками выдают через 15-60 минут.
Показания и противопоказания к МРТ лицевого черепа
Магнитно-резонансную томографию применяют в травматологии, пластической хирургии, ревматологии, онкологии и пр. Кости лицевого отдела тонкие и хрупкие. При повреждении последних возможны травмы нервов и сосудов, развитие неврологической симптоматики и других осложнений.
Показаниями для проведения МРТ лицевого отдела черепа являются:
- болевой синдром в данной области различной степени выраженности;
- неприятные ощущения или щелчки во время движений челюстью, жевания, разговора;
- нарушение чувствительности в определенных зонах головы;
- изменение подвижности челюстного аппарата;
- спазмы лицевых мышц;
- все виды травм;
- нарушения глотания, дыхания и пр.
Метод применяют для диагностики новообразований, при подозрении на инфекционно-воспалительные процессы, гнойное расплавление тканей. По снимкам МРТ планируют лечебные хирургические вмешательства, пластические операции, вспомогательные процедуры при диагностике различных опухолей (менингиома, остеома, остеобластома и пр.). Основные данные о состоянии костей получают при КТ.

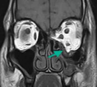
Взрывной перелом орбиты на МРТ (изменения указаны стрелкой)
Противопоказаниями к проведению магнитно-резонансной томографии выступают:
- наличие в теле больного металлических конструкций (штифты, спицы, эндопротезы, сосудистые клипсы и пр.);
- имплантированные электронные устройства (водитель ритма, инсулиновая помпа);
- тяжелое общее состояние пациента или необходимость в проведении реанимационных мероприятий;
- вес более 120 кг и обхват живота свыше 150 см (для закрытого аппарата).
Установленные ортодонтические приспособления (брекеты, ретейнеры и пр.) могут давать артефакты на снимках. Это нужно учитывать и предупреждать врача о наличии стоматологических изделий.
К относительным противопоказаниям причисляют ранние сроки беременности (до 13 недели), острый болевой синдром, боязнь замкнутого пространства, алкогольное опьянение. Контрастное усиление не проводят пациентам с тяжелыми формами почечной и печеночной недостаточности и индивидуальной непереносимостью препаратов гадолиния.
Подготовка к МРТ лицевого черепа
Накануне магнитно-резонансной томографии головы специально ничего делать не надо. Пациентам рекомендуют надеть на процедуру удобные вещи, в которых будет комфортно неподвижно лежать достаточно долгое время. Лучше отказаться от применения декоративной косметики или свести макияж к минимуму. Некоторые средства могут содержать частицы металлов, что неблагоприятно влияет на качество снимков.
При наличии у пациента эндопротеза или других имплантатов, необходимо предоставить документ о совместимости конструкции с магнитным полем. При осуществлении сканирования электроника может выйти из строя, поэтому пациентам с водителями ритма и прочими приборами нельзя делать МРТ. Металлические конструкции из сплавов ферромагнетиков дают на снимках артефакты. Изображения с нечеткими или засвеченными зонами невозможно трактовать объективно. Диагностическая ценность процедуры существенно снижается.
Подготовка к контрастной МРТ подразумевает легкий перекус за 40-45 минут до начала исследования. Пациент может съесть батончик, горсть орехов, небольшой фрукт.
Расшифровка томографии черепа

Внутримозговая гематома травматического характера на МР-снимке
В результате МРТ получают множество послойных снимков в трех взаимно-перпендикулярных плоскостях. На изображениях видят контуры тканей, сравнивают показатели с нормой, выявляют отклонения и признаки патологических изменений. Все данные отражают в заключении.
По результатам МРТ лицевого отдела черепа выявляют:
- аномалии развития;
- последствия травм (растяжения и разрывы связок, повреждения суставных элементов, сосудов, мышц, патологическое скопление жидкости и пр.);
- нарушение строения околоносовых пазух (деформации, новообразования и пр.);
- опухоли добро- и злокачественной природы, метастазы (окончательный диагноз — по результатам гистологии);
- изменения воспалительного характера (абсцесс, флегмону и пр.).
Трактовка снимков требует глубоких знаний анатомии и опыта в области МР-диагностики. Человек без специального образования не сможет самостоятельно расшифровать сканы.
КТ основания черепа

КТ основания черепа - метод медицинской визуализации, основанный на использовании рентгеновских лучей, и применяющийся для диагностики патологических процессов, локализующихся в нижних отделах черепной коробки. Позволяет получать серии послойных снимков области интереса, толщиной от 0,5 мм, с высоким разрешением и четкостью. Благодаря этому компьютерная томография - один из самых точных и достоверных методов диагностики, незаменимый при некоторых патологиях и заболеваниях мозговой части черепа.

Схематическое изображение основания черепа
Основание черепа - область, образуемая затылочной, височными, решетчатой, лобной и клиновидной костями. Внутренняя поверхность данной анатомической структуры играет роль площадки, на которой покоится головной мозг. Через большое отверстие затылочной кости проходит ствол мозга. Наружная поверхность основания черепа богата нервными волокнами, кровеносными сосудами, связками и сухожилиями.

Основание черепа: вид изнутри и снизу
Из-за данных анатомических особенностей любая патология, возникающая в этой области, как правило, приводит к тяжелым последствиям. В подобных условиях для диагностики с успехом используется компьютерная томография основания черепа. Более того, КТ основания черепа может быть более информативным и специфичным методом обследования, по сравнению с магнитно-резонансной томографией.
Показания для КТ основания черепа
Компьютерная томография основания черепа применяется для диагностики следующих патологий и заболеваний:
доброкачественные и злокачественные новообразования, локализующиеся в области передней, средней и задней черепной ямки;
метастазы области основания черепа;
закрытые и открытые переломы передней, средней и задней черепных ямок , трещины затылочной, височной, клиновидной, лобной или решетчатой костей;
фиброзная дисплазия костей основания черепа;
миеломная болезнь, протекающая с поражением костей рассматриваемой анатомической области ;
кисты, абсцессы, остеомиелит костей основания черепа, воспалительные заболевания височной (мастоидит), решетчатой (этмоидит), лобной (фронтит) или клиновидной (сфеноидит) кости;
подготовка и планирование хирургических вмешательств в области основания черепа.

3D-реконструкция с помощью компьютерной томографии
Показанием для проведения КТ основания черепа могут служить следующие жалобы больного:
нарушение зрения, выпадение полей зрения, двоение в глазах;
ухудшение слуха, шум в ушах, головокружение;
неврологические симптомы поражения черепномозговых нервов - невропатия лицевого нерва, парезы, параличи мягкого неба, языка; косоглазие; изменение способности различать запахи; затруднения при глотании, жевании; расстройства артикуляции; повышенное слюноотделение; нарушение тактильной, тепловой чувствительности кожи лица и пр.;
черепно-мозговая травма, протекающая с признаками повреждения целостности костей основания черепа (симптом “очков” - кровоизлияние в периорбитальную клетчатку, истечение спинномозговой жидкости из носа, наружного слухового прохода и другие симптомы);
судороги, потеря сознания, коматозное состояние, рвота и прочее .
Противопоказания для КТ основания черепа
КТ основания черепа противопоказано в следующих случаях:
Беременность: использование рентгеновских лучей в компьютерной томографии сильно снижает возможность применения метода у женщин на любом сроке беременности, из-за выраженного негативного воздействия на развивающийся плод. По этой причине обследование проводят только в исключительных случаях, когда потенциальная польза от КТ превосходит возможный вред;
Детский возраст: негативное воздействие рентгеновского излучения более выражено у детей. По этой причине компьютерная томография противопоказана у пациентов младше 5 лет. Детям в возрасте от 5 до 18 лет исследование проводится только при наличии четких показаний и направления лечащего врача;
Масса тела пациента и обхват туловища, превышающие предельно допустимые для томографа (150 кг и 150 см соответственно).
КТ основания черепа с контрастом
Компьютерная томография поддерживает использование контрастных препаратов. Это расширенная методика проведения обследования, предусматривающая введение в кровоток пациента неионного раствор йода. Контраст, распределяясь по организму, проникает во все органы и ткани, избирательно накапливаясь в тех местах, где нарушен гематоэнцефалический барьер, или имеется воспаление, инфекция, опухоль. Йод, входящий в состав контрастного препарата, задерживает почти 100% рентгеновских лучей, из-за чего возникает эффект “подсветки” патологии, облегчающий диагностику соответствующего заболевания.

Снимок КТ основания черепа
Противопоказания для КТ основания черепа с контрастом
КТ с контрастом противопоказано при наличии следующих патологий и состояний:
Почечная недостаточность: контраст в основном выводится почками. При нарушении их функции выведение контрастного препарата нарушается, что сопровождается острым повреждением тканей почек. Клинически это проявляется прогрессирующим увеличением уровня сывороточного креатинина в течение 1-2 суток после обследования. Данная патология известна как контраст-индуцированная нефропатия. Факторы риска: пожилой возраст, хронические заболевания почек, сахарный диабет, обезвоживание, высокие дозы контрастных препаратов. Обязательное проведение анализа крови на креатинин позволяет выявить скрытую почечную недостаточность и предупредить осложнения;
Аллергия на йод: в большинстве случаев аллергические реакции не представляют опасности для здоровья и протекают в виде кожного зуда, высыпаний на коже, тошноты, рвоты. Однако у пациентов с анафилаксией введение рентгеноконтрастных препаратов может спровоцировать отек верхних дыхательных путей, потерю сознания, остановку дыхания. По этой причине наличие аллергии на йод - противопоказание для введения контраста;
Индивидуальная непереносимость рентгеноконтрастных препаратов: клинически проявляется в виде тяжелой реакции на введение контраста и сопровождается рвотой, потерей сознания, коматозным состоянием. Является абсолютным противопоказанием для КТ с контрастным усилением. Встречается исключительно редко;
Сахарный диабет на фоне лечения метформином, использующемся для снижения уровня глюкозы крови, который в сочетании с контрастом, может провоцировать кетоацидоз - патологическое увеличение концентрации азотистых продуктов обмена веществ и кетоновых основания. Это грозное осложнение наблюдается у больных сахарным диабетом, сопровождается потерей сознания, комой. Для профилактики подобного осложнения следует обратиться к эндокринологу, который изменит схему лечения;
Заболевания щитовидной железы, сопровождающиеся гипертиреозом: йод - основной компонент гормонов щитовидной железы. При введении контраста их уровни в организме резко увеличиваются, что может служить провоцирующим фактором, вызывающим тиреотоксический криз - грозное осложнение заболеваний щитовидной железы, сопровождающееся тошнотой, рвотой, сердечно-сосудистой недостаточностью, нарушением функции почек, лихорадкой, острым психозом, комой;
Грудное вскармливание: контрастные препараты проникают в грудное молоко. Избыток йода в них может вызвать нарушении функции щитовидной железы у грудных детей. По этой причине при проведении КТ основания черепа с контрастом необходимо: временно перейти на искусственное вскармливание или питание заранее сцеженным грудным молоком. Контраст полностью выводится из организма в течение нескольких часов - в это время необходимо минимум дважды сцеживать излишки молока, чтобы предупредить лактостаз.
Как подготовиться к КТ основания черепа
Проведение компьютерной томографии основания черепа не требует специальной подготовки. В день обследования разрешается легкий завтрак. Следует предупредить обезвоживание, провоцируемое интенсивными физическими нагрузками, приемом алкоголя. Рекомендуется отказаться от курения.

Трехмерные реконструкции, выполненные с помощью КТ
Методика проведения КТ основания черепа
Компьютерная томография проводится на специальном оборудовании - томографе. Это устройство в виде кольца, в котором находится подвижный источник рентгеновских лучей и детекторы, вращающийся по окружности вокруг тела пациента. Для этого в центре томографа имеется отверстие, называемое апертурой. Во время сканирования пациент находится в положении лежа головой к устройству, на столе, проходящем через аппарат.
Само обследование не сопровождается неприятными ощущениями, абсолютно безболезненно. Следует четко выполнять указания медицинского персонала, соблюдать неподвижность. Само сканирование занимает всего пару минут. При использовании контрастных препаратов обследование может длиться более 15 минут. Контраст вводится внутривенно в середине процедуры.

Методика выполнения КТ основания черепа
Перед обследованием обязательно сообщите сотрудникам нашей клиники об имеющихся у пациента проблемах со здоровьем, хронических заболеваниях, перенесенных травмах, оперативных вмешательствах, аллергических реакциях.
Расшифровка полученных снимков может занять до 2 часов, в зависимости от количества пациентов. Результаты обследования в виде письменного заключения врача-рентгенолога и компакт-диска с полученными изображениями необходимо передать вашему лечащему врачу. Вы также можете получить консультацию врача-диагноста, чтобы узнать, что обнаружило обследование.
Что покажет КТ основания черепа
На снимках, полученных во время обследования, визуализируются анатомические и костные структуры основания черепа, включающие в себя основание мозга, ствол мозга, черепно-мозговые нервы, краниовертебральную область, область таламуса, гипоталамуса, гипофиза, турецкого седла, перекреста зрительных нервов. Исследуется нормальное строение вышеперечисленных анатомических образований, обнаруживаются участки с отклонениями от нормы в виде новообразований, кист, воспалительных процессов. Оценивается протяженность обнаруженных патологий, их связь с окружающими органами и тканями. Изучается влияние патологического процесса на функции ЦНС.
КТ основания черепа при переломах
Перелом основания черепа - последствие избыточных нагрузок на тело человека, соответствующих травмам при падении с высоты, дорожно-транспортных происшествиях, авариях, ударном воздействии. Состояние пациентов в таких случаях оценивается как тяжелое и крайне тяжелое. По этой причине КТ основания черепа у таких больных требует экстренной госпитализации в специализированное лечебное учреждение, оснащенное всем необходимым оборудованием. Обследование проводится с участием узких специалистов, таких как нейрохирурги, хирурги, реаниматологи, травматологи, невропатологи. По этой причине наш медицинский центр напоминает - при подозрении на переломы основания черепа необходимо срочно обратится за специализированной медицинской помощью, а не заниматься самодиагностикой.
Читайте также:
