КТ, МРТ при остром пиелонефрите
Добавил пользователь Евгений Кузнецов Обновлено: 22.01.2026
Наиболее частый возбудитель: кишечная палочка.
Какой метод диагностики острого пиелонефрита выбрать: МРТ, КТ, УЗИ
Методы выбора
- КТ
- МРТ
- УЗИ (преимущественно для последующего наблюдения).
В каких случаях проводят КТ и МРТ брюшной полости при пиелонефрите
- Отек почки
- Кортико-медуллярная дифференцировка снижена или в отдельных сегментах отсутствует
- Полосовидные, сегментарные или клиновидные участки пониженного контрастирования на постконтрастных КТ или МРТ
- Повышенное накопление контрастного вещества в стенке лоханки и мочеточника с индурацией окружающих тканей
- Перинефральное скопление жидкости.
Для чего проводят УЗИ при остром пиелонефрите
- Увеличение почек в размерах
- Негомогенность эхоструктуры почечной паренхимы.
Что покажет внутривенная пиелография почек при остром пиелонефрите
- Замедление или ослабление контрастирования почек
- Деформация чашечек в связи с отеком окружающей паренхимы
- Папиллярный некроз в далеко зашедшей стадии заболевания.
Клинические проявления
Типичные симптомы острого пиелонефрита:
- Повышение температуры
- Боль в поясничной области
- Пиурия
- Гематурия
- У новорожденных и детей часто возникают неспецифические симптомы острого пиелонефрита, такие как летаргия или ухудшение общего состояния.
Принципы лечения пиелонефрита
- Антибактериальная терапия
- Адекватное введение жидкости
- Дренирование гнойных полостей
- При возможности этиотропная терапия предрасполагающих факторов.
- Соблюдение диеты при пиелонефрите

Острый очаговый пиелонефрит справа, фронтальная реконструкция кортикальной фазы КТ. Сегментарный участок пониженного контрастирования в верхнем полюсе. Снижение контрастирования верхней трети почки.


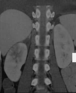
а, b Острый диффузный двусторонний пиелонефрит. Аксиальная (а) и фронтальная (b) КТ в кортикальной фазе. Множественные сегментарные участки сниженной перфузии в виде полос в корковом веществе почек.
Острый пиелонефрит
▪ вторичный острый пиелонефрит, возникающий на фоне заболеваний, нарушающих пассаж мочи:
▪ аномалии развития почек и мочевыводящих путей;
▪ стриктуры мочеточника различной этиологии;
▪ пузырно-мочеточниковый рефлюкс и рефлюкс-нефропатия;
▪ аденома и склероз простаты;
▪ склероз шейки мочевого пузыря;
▪ нейрогенный мочевой пузырь (особенно гипотонического типа);
▪ опухоли мочевыводящих путей.
По локализации процесс может быть одно- или двусторонним. Выделяют стадии острого пиелонефрита:
Патогенез
Чаще пиелонефрит бывает восходящим, т. е. развивается в результате восходящего ретроградного распространения бактерий из воспаленного мочевого пузыря по мочеточнику в лоханку и почечную паренхиму. Для возникновения восходящего пиелонефрита не обязателен пузырно-мочеточниково-лоханочный рефлюкс, хотя обусловленный циститом отек тканей может приводить к изменениям в зоне пузырно-мочеточникового соединения и нарушению его клапанной функции.
Восходящему инфицированию способствуют специальные адгезивные отростки - пили у бактерий и нарушение уродинамики верхних мочевых путей, в частности, при обструкции, беременности или под воздействием эндотоксинов грамотрицательных бактерий.
Значительно реже бывает распространение инфекции гематогенным путем. Так, почка может быть вторично инфицирована золотистым стафилококком (Staph. aureus) из очага в полости рта или грибом кандида (Candida albicans) при фунгемии. Согласно экспериментальным данным, пиелонефрит при этом развивается более активно в случаях обструкции верхних мочевых путей.
Лимфатическим путем патогенные микроорганизмы попадают в почку чрезвычайно редко. Это наблюдается, например, при тяжелой кишечной инфекции или ретроперитонеальном абсцессе.
Эпидемиология
Заболеваемость острым пиелонефритом составляет 100 больных на 100 тыс. человек.
Визуализация
ВИЗУАЛИЗАЦИЯ: рентгенография, УЗИ, КТ, МРТ
КЛИНИЧЕСКИЕ ПРОЯВЛЕНИЯ: Для острого пиелонефрита характерна триада клинических признаков: боль в поясничной области; лихорадка; изменения анализа мочи. Кроме того, возможны неспецифические жалобы: на общую слабость; головную боль; жажду; тошноту; рвоту; вздутие живота и т.д. Дизурия — учащённое болезненное мочеиспускание различной степени выраженности, особенно если течению острого пиелонефрита сопутствует цистит. При развёрнутой клинической картине острого пиелонефрита отмечают: повышение температуры тела (иногда с ознобом); болезненность при пальпации в области почки; положительный симптом Пастернацкого с поражённой стороны. Выраженность симптомов может варьировать от несильной боли в поясничной области и субфебрильной температуры до гектической лихорадки и резкой болезненности при пальпации области почки (при гнойном пиелонефрите).
Лучевая диагностика
Рентгенография: Обзорная урография помогает диагностировать калькулёзный характер острого пиелонефрита. По данным экскреторной урографии определяют состояние почек и мочевыводящих путей, а также состояние пассажа мочи.
КТ в нефрографической фазе демонстрирует двустороннее увеличение почек с гетерогенным контрастным усилением
Женщина, 70 лет; страдает сахарным диабетом. Боли в поясничной области, лихорадка. На представленных Т1 постконтрастных изображениях в корональной (А) и сагиттальной (б) плоскостях визуализируется клиновидной формы участок пониженного контрастирования в верхнем полюсе правой почке.
Т1 с контрастным усилением: линейные или клиновидные участки пониженного накопления контрастного вещества
DWI: ограничение диффузии, более выраженное при осложненном течении и абсцедировании
МРТ при пиелонефрите
Пиелонефрит - инфекция почек, возникающая в чашечно-лоханочной системе и паренхиме. Возбудителем является бактериальная инфекция, в том числе туберкулезная. Очень редко встречается грибковый пиелонефрит. Клиническая симптоматика острого пиелонефрита типична: острое начало с лихорадкой, боли в пояснице. Увеличение количества лейкоцитов и наличие бактерий в моче подтверждает диагноз. Попадает инфекция в почки ретроградным путем из нижних мочевых путей, а затем распространяется через чашечно-лоханочную систему в паренхиму почек, нарушая микроциркуляцию крови и приводя к ишемии. Обычно после клинического обследования пациентам назначают УЗИ, при котором лишь изредка удается найти изменения - локальные нарушения эхогенности паренхимы, скопления газа при эмфизематозном пиелонефрите и участки сниженной васкуляризации коры при дуплексном исследовании. Наиболее полезен метод при осложненном пиелонефрите - абсцессе, гидронефрозе, инфаркте почки. КТ без контрастирования также малочувствительна. После введения контраста при КТ можно увидеть участки отека со снижением плотности, между медуллярным и кортикальным веществом почки появляется полоска сниженного контрастирования (“кортикальный ободок”). Отмечается длительная задержка контраста в почке. При МРТ почки пиелонефрит проявляется в виде гиперинтенсивных участков на Т2-взвешенных МРТ. Также отмечается сниженное накопление контрастного вещества в пораженных участках при МРТ с контрастированием. Осложнениями острого пиелонефрита являются абсцесс ( при его прорыве с пиелонефрозом) и инфаркт почки. Изменение сигнала на диффузионно-взвешенных МРТ неспецифично, так как наблюдается и при почечно-клеточном раке.
МРТ почек. Корональная диффузионно-взвешенная МРТ. Инфаркт левой почки (стрелки).
Хронический приелонефрит - бактериальная инфекция почек, представляюший собой периодически возникающие обострения пиелонефрита. Инфекция затрагивает чашечки. При МРТ почек могут быть видны рубцовые изменения чашечек, почечная атрофия, истончение кортикального слоя почек, вторичное расширение чашечно-лоханочной системы. К редким вариантам хронического воспалительного процесса относится малакоплакия - представляющая собой воспалительный очаг по псевдоопухолевому типу. Малакоплакия отличается прогрессирующим течением и часто летальным исходом. При МРТ почек маоакоплакия выглядит как узлы 1-2 см низкой интенсивности сигнала на Т1- и Т2- взвешенных МРТ. Контрастирование при МРТ отмечается по отсроченному типу.

МРТ почек. Т2-взвешенная корональная МРТ. Абсцесс верхнего полюса правой почки.
При МРТ в СПб мы в наших клиниках выполняем МРТ почек при подозрении на пиелонефрит в тех случаях, когда имеются противопоказания к КТ с контрастированием.
Инфекционное поражение почек
При визуализации картина при пиелонефрите или абсцессе почки схожа с картиной при опухоли, поэтому результаты анамнеза, осмотра и других клинических данных помогают радиологу в постановке правильного диагноза. В представленном случае визуализируются гиподенсные образования в обоих почках. Если диагноз базировать только, исходя из данных изображения, то напрашивается следующий дифференциальный ряд: пиелонефрит, лимфома или метастаз.
Данный пациент поступил с жалобами на боль в боку и с анамнезом воспалительного поражения мочевыводящих путей, также у пациента отрицательный онкологический анамнез, поэтому диагноз — пиелонефрит.
На КТ спустя 4 месяца визуализируются нормальные почки. На первом изображении патологическая картина обусловлена мультифокальным пиелонефритом.

Абсцесс почки является осложнением острого пиелонефрита. Обычно у данных пациентов лихорадка, боль и в анамнезе инфекция мочевыводящих путей.
На КТ абсцесс визуализируется, как неспецифическое однородное гиподенсное образование или комплекс кистозных образований.

Почечный абсцесс также может визализироваться, как образование с утолщённой стенкой неравномерно контрастирующееся с прорастанием в околопочечную клетчатку.
У пациентов с атипичной клинической картиной и кистозно-комплексного образование с прорастанием в околопочечную клетчатку в дифференциальный ряд следует включить почечно-клеточный рак.

Этот пациент типичный поступил с болью в правом боку и изменениями в лабораторных данных, характерные для инфекции мочевыводящих путей.
На ультразвуковом изображении визуализируется гипоэхогенный очаг с гиперэхогенным включением, что соответствует на жидкостное включение.
Диагноз — абсцесс.

Ксантогранулематозный пиелонефрит.
Ксантогранулематозный пиелонефрит (КП) — это агрессивная форма интерстициального нефрита, включающая гнойно-деструктивный и пролиферативный процессы в почке с образованием гранулематозной ткани. Часто патология ассоциирована с мочекаменной болезнью, что приводит к дополнительной дилатации чашки. В таких ситуациях почка чаще диффузно увеличена, реже сегментарно.

Увеличение почек присутствует во всех случаях ксантогранулематозного пиелонефрита и при макроскопическом исследовании выявляются включения жира. Ниже представлен ещё один случай ксантогранулематозного пиелонефрита. У пациента деструкция правой почки, множественные конкременты и пролиферация фиброзной и жировой ткани. Данная КТ очень напоминает липосаркому.
Читайте также:
