КТ, МРТ при периневральном распространении опухоли головы и шеи
Добавил пользователь Евгений Кузнецов Обновлено: 22.11.2025
Компьютерная томография относится к передовым и высокоинформативным методам обследования при заболеваниях и неочевидных патологических процессах самого широкого спектра. За открытие этого метода и развитие технологии сканирования изобретатели Аллан Кормак и Годфри Хаунсфилд в 1979 году получили Нобелевскую премию в области физиологии и медицины, а их разработка помогла существенно повысить процент выявляемости опасных заболеваний (онкология, инсульты, патологии сосудов).
В чем особенность КТ? Что показывает обследование? Разберем в этой статье.
КТ головы - что это за обследование?
В отличие от рентгена и УЗИ, технология визуализации при КТ головы предполагает серию срезовых изображений (сканов) в высоком разрешении. Кольцо томографа (гентри), сквозь которое движется процедурный стол, оснащено рядами чувствительных датчиков, которые всего за несколько секунд перемещаются по спиральной траектории и регистрируют ответ от органов и тканей в различных плоскостях. На выходе получается объемное, а не плоскостное изображение с возможностью построения 3D-модели сканируемого участка тела (реконструкции).
Томография основана на принципе, что разные по плотности органы и ткани по-разному поглощают x-ray лучи. Врач может исследовать ткани любой морфологии: костно-хрящевые структуры, мягкие ткани, сосуды. На КТ с контрастом выявляют даже очень небольшие новообразования — на томограммах они отличаются от здоровых тканей, поскольку иначе впитывают контрастный препарат, а толщина одного посрезового скана всего 1 мм, так что пропустить уплотнение практически невозможно.
При КТ головы, в зависимости от целей и задач исследования, оценивают структуры головного мозга, лицевые кости черепа, височные кости, сосуды головы и шеи, шейный отдел позвоночника, основание черепа, челюсти.
Когда рекомендуется сделать КТ головы?
В каких ситуациях рекомендуется сделать КТ головы?
- Черепно-мозговые травмы. КТ покажет переломы, гематомы, вывихи суставов, кровоизлияния.
- После инсульта или при подозрении на острое нарушение мозгового кровообращения. При геморрагическом инсульте важно исключить кровоизлияние в головной мозг, диагностику проходят сразу. Последствия ишемического инсульта лучше оценивать через 4-5 часов, поскольку признаки данного вида ОНМК визуализируются позже.
- При подозрении на опухоли и метастазы головного мозга. Новообразования могут сдавливать нервные окончания и сосуды, их компрессия может быть причиной хронической боли и нарушений со стороны ЦНС, зрения.
- Перед операциями и хирургическими вмешательствами. КТ головы назначается перед удалением опухолей и кист, реконструктивными операциями при травмах и переломах костей черепа, удалением грыж и кист шейного отдела позвоночника, некоторыми видами операций на лицевых костях черепа (перед септопластикой, ринопластикой, остеотомией).
- После хирургических вмешательств и химиотерапии. Контрольная КТ необходима для мониторинга результатов лечения.
- При подозрении на сосудистые заболевания, мальформации, тромбоз сосудов головного мозга. Закупорка артерий может быть причиной ишемии, атрофических изменений, плохого самочувствия.
- Инородные предметы. КТ головы покажет инородные тела в сканируемой области и травматические изменения. Обследование можно проходить пациентам с внутренними металлическими конструкциями, имплантами.
- При частых отитах. ЛОР-врач может назначить исследование височной кости, околоносовых пазух.
- Перед эстетическими операциями (ринопластика, септопластика, операция Оливари).
- При нарушении работы слюнных желез. КТ шеи назначается в рамках обследования при слюннокаменной болезни (сиалолитиазе).
КТ головы без контраста
Компьютерная томография головы без контраста после травм, ударов по голове и ДТП покажет посттравматические изменения и деформации, кровотечения, гематомы.
Обследование назначается при выраженных признаках острого нарушения мозгового кровообращения, причем внутренние кровоизлияния на КТ видны лучше, чем на МРТ.
КТ лицевой части черепа и носа рекомендуют ЛОР-врачи, если пациента беспокоят фронтиты, гаймориты, этмоидиты, мастоидиты, а также после переломов носа. Компьютерная томография позволяет в высоком разрешении исследовать придаточные пазухи носа, барабанную полость, слуховые косточки. Перед проведением таких операций как септопластика (исправление искривленной носовой перегородки при затрудненном дыхании), а также ринопластика или риносептопластика, КТ - «золотой стандарт» оценки костно-хрящевых структур и анатомии носа.
КТ верхнего (шейного) отдела позвоночника назначается, чтобы исключить патологическое разрастание костной ткани - остеофиты, поскольку от их наличия или отсутствия зависит тактика нейрохирургической операции и ее исход.
Одним словом, КТ без контраста лучше всего подходит для исследования костей черепа, а также назначается после инсультов.
КТ головы с контрастом
Также назначается при инсультах (в зависимости от показаний). Преимущество контрастирования заключается в более точной оценке мягких тканей и сосудистого русла.
Опухоли головного мозга значительно лучше визуализируются с контрастом, чем без него. В зонах локализации злокачественных новообразований кровообращение более или, напротив, менее интенсивное, что влияет на распределение и накопление контрастного препарата, то есть на «окрашивание» опухолей на КТ-сканах.
Доброкачественные опухоли на КТ с контрастом однородны. Для онкологии характерно чередование очагов более и менее высокой плотности, признаки некроза. Опухоли описаны в медицинских классификациях и обладают своими признаками. Например, доброкачественная гемангиома обладает округлой формой и высокой плотностью (около 50).
К злокачественным опухолям головного мозга и костей черепа, выявляемым на КТ, относятся: астроцитомы, глиомы, остеомы. К наиболее распространенным доброкачественным новообразованиям, выявляемым на КТ с контрастом, относятся гемангиомы и кисты.
Иными словами, при исследовании мягких тканей, сосудов, а также при онкологической настороженности, предпочтение отдается КТ с контрастом.
КТ сосудов головы и шеи (ангиография)
Обследование сосудов (артерий и вен) с контрастом называется «ангиография». КТ-ангиография показывает аневризмы, мальформации, каверномы (опухоли сосудов).
Сужение просвета или закупорка сосудов головного мозга атеросклеротической бляшкой, опухолью, тромбом или в связи со стенозом — угрожающие жизни и здоровью состояния. Из-за этих патологий нарушается питание головного мозга, развивается гипоксия. Пациента при этом могут беспокоить головокружения, обморочные состояния, головные боли. Однако некоторые заболевания проходят бессимптомно. Поэтому очень важно проверять сосуды на предмет повреждений, патологического сужения или расширения. И лучше всего с этой задачей справляется КТ-ангиография.
Таким образом, нарушение проходимости сосудов и анатомии сосудистого русла наиболее достоверно визуализируются при контрастировании. Однако КТ не поможет оценить скорость кровотока — для этого, как правило, назначается допплерография или другие методы исследования. Если у пациента есть противопоказания к КТ с контрастом, в качестве альтернативы лечащий врач рекомендует сделать МРТ, или наоборот — в большинстве случаев, эти методы взаимозаменяемы.
КТ ангиография брахиоцефальных артерий — один из наиболее подробных методов исследования сосудов головы и шеи, который позволяет получить сведения о форме, строении и диаметре артерий, непосредственно питающих головной мозг. Рекомендуется регулярно проходить пациентам с атеросклерозом.
Что лучше: КТ или МРТ головы?
Чтобы выбрать наиболее целесообразный в Вашем случае метод обследования, проконсультируйтесь с лечащим врачом. При компьютерной томографии применяется ионизирующее излучение, поэтому обследование не рекомендуется проходить часто. Суммарная доза эффективного рентгенологического облучения не должна превышать 15-20 мЗв слвокупно в течение года. Компьютерная томография противопоказана беременным женщинам, поскольку имеется риск тератогенного воздействия на формирующийся эмбрион или плод.
В свою очередь МРТ нельзя проводить пациентам с металлоконструкциями, а также имплантами и несъемными медицинскими приборами, содержащими металлы, вступающие во взаимодействие с электромагнитным полем. Однако данный вид обследования безопасен, а проходить его можно неограниченное количество раз в год.
Чаще всего МРТ проходят для обследования мягких тканей и органов, а КТ для оценки костно-хрящевых структур после травм и последствий инсультов.
Текст подготовил
Котов Максим Анатольевич, главный врач центра КТ «Ами», кандидат медицинских наук, доцент. Стаж 20 лет
- Campbell B., De Silva D., Macleod M., Coutts S., Schwamm L., Davis S., Donnan G. Ischaemic stroke, 2019.
- Bouchez L., Sztajzel R., Vargas M. CT imaging selection in acute stroke, 2016.
- Kamalian S., Lev M., Stroke Imaging, 2019.
- Котов М.А. Возможности компьютерной томографии в прогнозировании летального исхода инсульта / Дневник казанской медицинской школы. — 2017. — №. 2. — С. 76-80.
- Котов М.А. Показатели и значение интракраниального анатомического резерва, у пациентов с острым нарушением мозгового кровообращения / Журнал научных статей Здоровье и образование в XXI веке.Т. 18, № 2., 2016. — С. 229-233.
- Котов М.А. Лучевые предикторы исходов ишемического инсульта / Дневник казанской медицинской школы. - 2018. - №. 2. - С. 86-89.
- Котов М.А. Предикторы раннего летального исхода острого нарушения мозгового кровообращения, выявляемые при компьютерной томографии / Материалы VIII Научно-практической конференции Поленовские чтения, Российский нейрохирургический журнал им. проф. А.Л. Поленова, специальный выпуск. — 2018, -Т.Х, С. 129.
- Котов М.А. Возможности компьютерной томографии в оценке риска развития острого нарушения мозгового кровообращения / Вестник Северо-Западного государственного медицинского университета им. И.И. Мечникова. 2017. Т. 9. № 4. — С. 35-38.
- Kotov M.A. Brain dislocation morphometry at neurology and neurosurgery from the standpoint of evidence-based medicine / Global Science and Innovation // Materials of the V international scientific conference. - Chicago, 2015. - Р. 207-212.
Мы перезвоним, подберём удобное для записи время и ответим на вопросы.
Оператор обрабатывает входящие заявки с 8:00 до 22:00
Нажимая на кнопку, вы даете согласие на обработку персональных данных в соответствии с Федеральным законом от 27.07.2006 г. № 152-ФЗ «О персональных данных».
Если вы оставили ее с 8:00 до 22:00, мы перезвоним вам для уточнения деталей в течение 15 минут.
Показывает ли МРТ головы опухоль?
"Показывает ли МРТ опухоль головы?" - этот вопрос часто задают пациенты, страдающие цефалгией - длительной и регулярной головной болью разной степени интенсивности. На сегодня магнитно-резонансная томография - один из лучших способов выяснить причину подобных жалоб. Более 15% пациентов безуспешно лечатся у разных специалистов с неправильным диагнозом (гипертоническая болезнь, эписиндром, дистония и пр.), и являются недообследованными. При условии медленного прогрессирования образования симптомов нет, так как головной мозг может смещаться. Это приводит к позднему выявлению онкологического процесса и ухудшает жизненный прогноз.
МРТ определяет опухоль на ранней стадии, до развития развернутых клинических проявлений. Окончательная верификация диагноза возможна после гистологического исследования (биопсии), по томограммам можно предположить характер новообразования.
Что такое опухоль головного мозга? Классификатор
Неопластический процесс в головном мозге бывает первичным и вторичным
Опухоль головного мозга - новообразование, которое появляется в результате неконтролируемого деления клеток: собственно церебральных (нейронов или глии) или какой-либо из окружающих структур - черепных нервов, сосудов, лимфоидной ткани, менингеальных оболочек, костей и хрящей черепа. Причины онкогенеза остаются дискутабельными.
Классификация основана на определении патоморфологических аспектов (гистологический тип клеток и дифференциация), взаимоотношения с окружающими тканями, оценки метастазирования, локализации (супратенториальная и субтенториальная). Не так давно для дифференциации в нейроморфологии начали использовать достижения иммуногистохимии и молекулярно-генетического анализа, что позволило более точно предсказать биологическое поведение опухоли, выбрать подходящий способ терапии.

Запишитесь на МРТ со скидкой 30%
Записаться на МРТ
со скидкой 30%
Мозг - орган-мишень для метастатического поражения, в этом случае говорят о вторичном процессе, расположение материнской опухоли вариативно. Диагностический поиск последней должен быть расширен, опираться на локализацию метастатических очагов.
Покажет ли МРТ опухоль?
МРТ с контрастированием - золотой стандарт в нейроонкологии для выявления опухоли головного мозга. Снимки производят в трех проекциях и разных режимах: Т1, Т2, Flair, спектроскопия и др.
МРТ показывает опухоль головного мозга, локализованную в любом, даже в самом труднодоступном его отделе. Объемные изображения, детализирующие анатомическую структуру и патологические процессы в органе, состоят из множества срезов, с толщиной от 1 мм. Магнитно-резонансное сканирование подразумевает выявление прямых и косвенных признаков новообразования. Изменение интенсивности сигнала при МРТ - достоверный показатель опухолевого процесса, как и размытость контуров, тип роста с инфильтрацией (проникновением в соседние структуры), обнаружение зон некроза, отложений кальция, кровоизлияний на фоне несовершенства опухолевого ангионеогенеза. К косвенным признакам относят:
- масс-эффект - дислокация срединных структур или сосудистого сплетения, сдвиг, сдавление, изменение контуров желудочков;
- гидроцефалию на фоне блокады ликворных путей;
- перитуморозный отек - чем больше он выражен, тем вероятнее злокачественность опухоли и пр.
МР-сканирование показывает и вторичные поражения головного мозга. По локализации метастатических очагов можно предположить расположение первичной опухоли, например, при обнаружении изменений в костях черепа и твердой оболочке необходимо дообследование на предмет выявления рака простаты, почки, меланомы; в веществе - смотрят желудок, легкие и т.п.
Можно ли распознать опухоль с помощью МРТ без контраста?
Нативная и контрастная МРТ: после усиления видны множественные мелкие метастазы головного мозга
Распознать опухоль головного мозга с помощью МРТ без контраста можно на продвинутой стадии. Малые новообразования скульптурируются значительно хуже или не видны совсем, что снижает ценность исследования. При высокой напряженности поля можно сделать нативную МРТ, снимки будут хорошего качества. Магнитно-резонансная томография выдает изображения в зависимости от запрограммированного типа сканирования, контрастирование упрощает выявление опухолей на любой стадии развития, проведение дифференциального диагноза между доброкачественным и злокачественным процессом. Побочные эффекты на введение препарата на основе хелатов гадолиния развиваются крайне редко, меньше чем у 1% людей. При наличии показаний отказываться от контрастного усиления не стоит. Пациентам, страдающим почечной или печеночной недостаточностью в декомпенсированной стадии, может быть выполнена обычная МРТ. Магнитно-резонансное сканирование без динамического контрастирования на томографе с небольшой мощностью обнаружит объемное поражение головного мозга значительных размеров. После внутривенного введения парамагнетика можно более точно определить локализацию, объем, степень инвазии, рассмотреть кровоснабжение опухоли, оценить индивидуальные особенности, что имеет значение для планирования лечения.
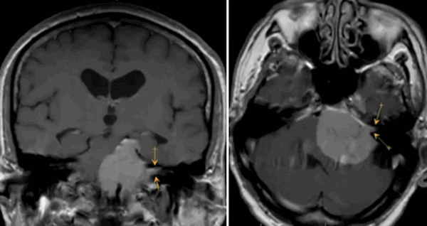
Опухоль головного мозга на МРТ

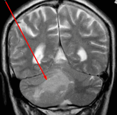
Опухоль мозжечка на МРТ (указана стрелкой)
Опухоли головного мозга долгое время диагностировали исключительно по клиническим признакам, часто слишком поздно. С появлением нейровизуализационных методов стало возможным выявление опасных патологий на ранних этапах их развития. Уже на первых стадиях формирования опухоль головного мозга на МРТ отчетливо видна, а врачи могут планировать дальнейшие действия. Ранняя диагностика увеличивает шансы на выздоровление даже при онкологических заболеваниях.
Симптомы рака головного мозга
Злокачественные опухоли составляют почти половину выявленных внутричерепных новообразований. Общими проявлениями патологических изменений в мозге могут быть:
- головные боли, часто утренние, с тошнотой и рвотой;
- вертиго (головокружение центрального происхождения);
- нарушение координации движений;
- ухудшение зрения, слуха;
- речевые расстройства;
- раздражительность;
- сонливость;
- судороги;
- поведенческие расстройства;
- слабость в мышцах лица или конечностей;
- онемение, парестезии в отдельных частях тела;
- психические нарушения и др.
Клиника опухолей отличается в зависимости от локализации, размеров, типа новообразования. Патологию дифференцируют исходя из данных, полученных при инструментальном и лабораторном обследовании, гистологического анализа тканей.
По тому, как выглядит опухоль мозга на МРТ, врачи делают предположения о ее природе. Однозначных утверждений быть не может, так как верификацию образований осуществляют с помощью гистологического анализа. Характерными признаками злокачественных опухолей головного мозга на снимках МРТ являются:
- неправильная их форма;
- нечеткие контуры новообразований;
- выраженный перифокальный отек;
- масс-эффект (смещение близлежащих структур);
- гидроцефалия;
- неоднородное накопление контраста (иногда вообще не накапливают);
- "пестрота" опухоли (кровоизлияния, некрозы и/или кисты в структуре) и др.

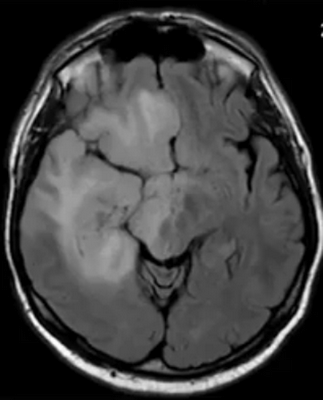
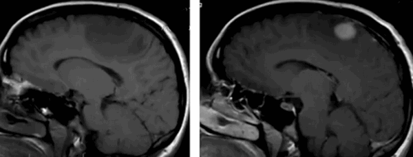
Глиобластома на МРТ головного мозга без контраста
Причины появления опухоли головного мозга
Точный механизм формирования злокачественных образований не установлен. Факторами риска признаны возраст старше 70 лет, принадлежность к мужскому полу. Чаще опухолевые патологии мозга обнаруживают у пациентов, которые имеют:
- отягощенный семейный анамнез;
- контакты с канцерогенными веществами;
- радиационное воздействие;
- черепно-мозговые травмы в анамнезе;
- перенесенные воспалительные патологии головного мозга.
У некоторых пациентов с обнаруженными опухолями врачам не удается выявить ни одного провоцирующего фактора, тогда как у лиц, которые регулярно подвергаются их воздействию, новообразований мозга нет. Такие сведения подвергают сомнению существующие гипотезы о происхождении онкопатологий ЦНС (центральной нервной системы).

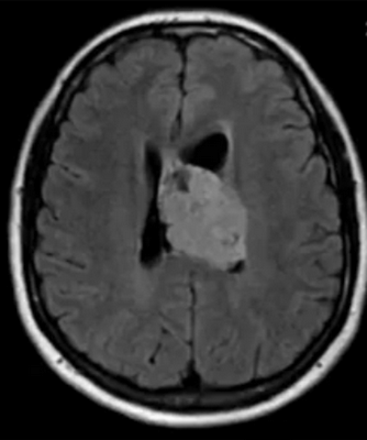
Эпендимома при МР-сканировании головного мозга
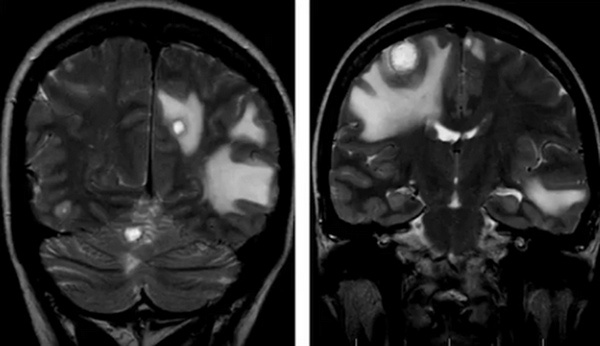
Опухоли головы часто по своей природе являются вторичными, т.е. метастазами. По локализации образования могут быть расположены в костях черепа, мягкой и твердой мозговых оболочках, в сером и белом веществе. В структуры головы чаще метастазируют меланомы, рак почки, простаты, легкого, молочной железы, желудка.

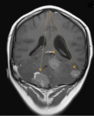
Метастазы в головном мозге на постконтрастном изображении (указаны стрелками)
Может ли МРТ показать опухоль головного мозга?
По результатам магнитно-резонансной томографии врачи могут выявить изменения структуры тканей. Опухоли головного мозга на МРТ определяют по прямым и косвенным признакам. Врачи подозревают патологическое образование по типу и равномерности изменений МР-сигнала:
- гипо- (более слабый, чем окружающие области) или гиперинтенсивный (отклик сильнее, чем от нормальных зон);
- гетероизмененный (смешиваются разные характеристики);
- изоинтенсивный (опухоль выглядит, как другие ткани, но отличается от нормальной архитектоники мозга).
Существуют и косвенные признаки. Последние дают основания подозревать новообразование головного мозга на фоне изоинтенсивного отклика тканей или подтверждают ее наличие при измененном МР-сигнале.

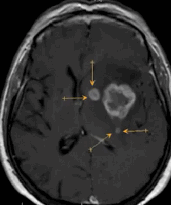
Множественные метастазы в вещество головного мозга на МРТ без контраста
Вторичными проявлениями патологии могут быть:
- латеральная дислокация срединных структур;
- смещение сосудистого пучка;
- изменение величины и деформации желудочков;
- аксиальная дислокация;
- окклюзионная гидроцефалия при блокаде ликворных путей;
- смещение или деформация базальных цистерн;
- отек мозга в зоне опухоли и вокруг нее (локальный, генерализованный, тотальный, перивентрикулярный).

До- и постконтрастное изображение злокачественной опухоли головного мозга
С помощью МРТ при раке мозга выявляют локализацию опухоли, степень ее инвазии в соседние структуры, особенности кровоснабжения, стадию заболевания и наличие метастазов. Для получения дополнительных сведений, сканирование проводят в различных последовательностях (Т1, Т2, FLAIR, диффузно-взвешенное и пр.), в нативном режиме и после контрастирования.
Заключение МРТ при опухоли головного мозга
Пациент получает результаты сканирования на бумаге и/или на информационном носителе со снимками. Заключение составляет врач-рентгенолог. Он изучает снимки, замечает отклонения от нормы и фиксирует их.

Опухоль головного мозга на МРТ с отсевами (указаны стрелками)
В заключении описывают зоны измененного МР-сигнала, их локализацию, размеры, контуры, наличие масс-эффекта, признаков перифокального отека и дислокационные явления. Выводы рентгенолога нельзя считать диагнозом. Результаты исследования должен изучить врач, который инициировал диагностику, или онколог. На поздних стадиях развития заболевания по структуре и характеристикам опухоли можно с большой долей вероятности определить ее тип. Окончательный диагноз ставят с учетом результатов других исследований.
Если МРТ покажет опухоль мозга, в диагностической клинике «Магнит» пациенты могут воспользоваться услугой «Второе мнение». Она актуальна при длительном анамнезе, в спорных ситуациях, при подозрениях на опасные патологии. Суть услуги заключается в изучении результатов МРТ вторым рентгенологом. Его мнение может подтвердить или опровергнуть выводы первого специалиста и скоординировать действия лечащего врача при назначении дальнейшего обследования.
Рак головного мозга на фото снимке МРТ
В зависимости от типа новообразования отличается его внешний вид. Изучая снимки, врач может лишь предположить природу основных вариантов опухолей по характерным признакам:
- астроцитомы — происходят из глиальной ткани, чаще выявляются в лобных и височных долях. Выглядят как зоны гипоинтенсивного МР-сигнала без четких контуров, плохо или почти не накапливают контраст, нередко содержат в своей структуре обызвествленные зоны и мелкие кисты;
- олигодендроглиомы — плотность снижена неравномерна, контуры относительно четкие, часто сливаются с отеком. Обнаруживаются в лобной или теменной долях.
- эпендимомы — предположительно образуются в эмбриональном периоде. Характеризуются четкими контурами, плотнее, чем здоровые ткани, редко вызывают отек, чаще обнаруживаются в полостях желудочков;
- глиобластомы — злокачественные опухоли, которые отличаются высокой скоростью роста и склонностью к инвазии. Выглядят на снимках, как образования неправильной формы, с нечеткими фестончатыми контурами и выраженным перифокальным отеком. Дают выраженный масс-эффект, смещают головной мозг в полости черепа, повреждая его на отдалении от своего местоположения;
- менингиомы (оболочечные опухоли). На снимках часто дают изоинтенсивный сигнал, отчетливо видны после контрастирования. Имеют четкие контуры, неправильную бугристую форму, обычно нет выраженной зоны перифокального отека;

Менингиома на МРТ
- метастазы. Выглядят, как множественные образования в тканях головного мозга различных размеров, неправильной формы, с неровными контурами, накапливающие контраст, с различной интенсивностью отека вокруг;
- невриномы — опухоли черепно-мозговых нервов. Чаще исходят из корешка VIII пары, реже V и остальных. На Т2-взвешенном изображении гиперинтенсивны по сравнению с окружающими тканями. Контуры неправильные, четкие, структура гомогенная, дают масс-эффект.

МР-изображение невриномы VIII пары черепно-мозговых нервов (стрелками указана часть опухоли, растущая из внутреннего слухового прохода)
В некоторых случаях МРТ диагностика опухолей головного мозга бывает затруднена. Гипоэхогенные образования без четких контуров могут быть перепутаны с признаками ишемического инсульта. Аппараты с низкой степенью напряжения магнитного поля и ограниченным пространственным разрешением могут «не увидеть» образование. Для диагностики патологий мозга применяют томографы мощностью от 1,5 Тл. Практически всегда дополнительно проводится МР-сканирование с контрастированием для улучшения визуализации новообразований.
В редких случаях опухоли малого размера не обнаруживают при первом обследовании. При наличии клинических проявлений заболевания врач назначает другие методы исследования или повторное сканирование.
МРТ ― безопасная и высоко информативная диагностическая процедура. Отсутствие лучевой нагрузки позволяет проводить ее столько раз, сколько нужно для контроля состояния больного. Метод актуален для предварительной оценки степени злокачественности образования, повреждения близлежащих структур, особенностей кровоснабжения опухоли. По результатам сканирования врач уточняет сохранность функций мозга, опасности заболевания и составляет план обследования или лечения. Своевременное выявление опухоли в мозге может спасти человеку жизнь. Поэтому роль МРТ в диагностике и лечении онкопатологии ЦНС чрезвычайно велика.
Покажет ли МРТ головного мозга опухоль

Коротко отвечая на вопрос, покажет ли опухоль МРТ головного мозга, можно сказать уверенное ДА. Магнитно-резонансная томография является приоритетным методом дифференциальной диагностики различных объемных образований в головном мозге, оболочке головного мозга, гипофизе, нервных жилах, сосудах. Данная методика активно используется при онкопоиске, поскольку позволяет визуализировать не только первичный очаг образования, но и метастатические поражения вещества головного мозга.
Когда нужно сделать МРТ головного мозга при опухоли
Ранняя диагностика опухолей головного мозга - это трудная задача по двум основным причинам:
- Многие опухоли мозга на ранних этапах не дают никакой клинической симптоматики, поэтому пациенту заподозрить что-то неладное по изменению в своем самочувствии очень сложно;
- Неврологические симптомы опухоли носят разнообразный характер и сильно зависят от локализации новообразования.
Свидетельствовать о возможной патологии могут:
- головные боли непонятного происхождения;
- частые головокружения;
- резкие перепады давления и сопутствующие им тошнота, рвота;
- повторяющиеся боли в шее;
- нарушение зрения и слуха;
- обморочные состояния;
- спутанность сознания, ухудшение памяти;
- мигренеподобные приступы;
- нарушения сознания, эпилепсия и другие припадки.
При клиническом осмотре больного невролог или онколог не сможет диагностировать объемное образование. Для этого потребуется аппаратная диагностика, например, МРТ или КТ головного мозга.
Покажет ли МРТ опухоль головного мозга
В большинстве случаев приоритетным методом выявление опухолевых образований будет магнитно-резонансная томография, поскольку белое и серое вещество очень хорошо визуализируется на снимках МРТ. Физика получения изображений при магнитно-резонансной томографии основывается на эффекте ядерного магнитного резонанса. Когда тело пациента помещается внутрь сканера, на мозговые структуры оказывает влияние сильное магнитное поле и радиочастотные импульсы. Под их воздействием атомы водорода в клетках начинают совершать колебательные движения. Этот резонанс фиксирует компьютер томографа, оцифровывает и переводит в трёхмерные изображения обследуемой области. Поскольку структуры головы на 80% состоят из воды, аппарат поможет сделать снимки очень высокой контрастности и четкости. Это позволяет врачам оценить:
- местоположение опухоли;
- ее размеры и форму;
- степень инвазии в соседние структуры;
- тканевой состав.
Для того, чтобы лучше всего разглядеть очаги при подозрении на объемное образование, МРТ головного мозга проводится с контрастированием. В ходе этой процедуры пациенту через вену на локтевом сгибе вводят специальный контрастный препарат на базе солей редкоземельного металла гадолиния. Контрастный состав максимально увеличивает тканевую контрастность, а по типу накопления и сбрасывания контрастного препарата врачи могут провести виртуальную гистологию опухоли и сказать, носит ли образование доброкачественный или злокачественный характер.
Особенно хорошо МРТ головы с контрастом способно показать:
- опухоли мозжечка
- глиобластому
- эпендимому
- глиальные опухоли
- метастазы
- невриномы
- менингеальные опухоли
- новообразования ствола головного мозга.
Как выглядит опухоль головного мозга на МРТ- фото
| МРТ здорового головного мозга | Глиома | Глиобластома |
Признаки опухоли на МРТ снимках
- наличие зоны измененного МР-сигнала от тканей мозга;
- гиперинтенсивный МР сигнал, гипоинтенсивный МР сигнал, гетерогенно изменений МР сигнал, изоинтенсивный МР сигнал;
- ориентировочные размеры, форма, контуры объемного образования;
- смещение, давление или изменение величины и деформации желудочков;
- аксиальная дислокация;
- блокада ликворных путей с развитом окклюзионной гидроцефалии;
- наличие перифокального отека;
- латеральная дислокация срединных структур или сосудистого сплетения “масс-эффекта”.
Пример МРТ расшифровки опухоль головного мозга
На серии МР-томограмм, взвешенных по Т1 и Т2-ВИ, tirm, получены суб- и супратенториальные структуры, определяются округлое объёмное патологическое образование, располагающееся по конвекситальной поверхности левой лобной доли, размером до 20х17х19 мм. Образование имеет достаточно чёткие округлые контуры, прилежит широким основанием к твердой мозговой оболочке, структура его несколько неоднородная. Вокруг образования имеется небольшой ликворный ободок и умеренно выраженный перифокальный отек головного мозга. Менингеальная оболочка на этом уровне утолщена с признаками симптома «хвоста», что наиболее характерно для менингиомы.
Срединные структуры не смещены.
Субкортикально, паравентрикулярно в белом веществе головного мозга определяются единичные очаги глиоза, имеющие четкие контуры, характеризующиеся гиперинтенсивным сигналом на Т2 ВИ и Tirm ИП, гипо- изоинтенсивным на Т1 ВИ, размерами до 3-4 мм в диаметре.
Боковые желудочки обычной конфигурации, существенно не расширены, минимально асимметричны (D>S).
Вокруг боковых желудочков имеются небольшие глиозные изменения.
III-й, IV-й желудочки, базальные цистерны не деформирован.
Стволовые структуры мозга не деформированы, имеют не измененный МР-сигнал.
Субарахноидальное пространство вне зоны патологических изменений выражено неравномерно, умеренно расширено по конвекситальной поверхности лобных, теменных долей.
Супраселлярная не деформирована. Гипофиз обычного расположения и размеров. Топография перекреста зрительных нервов не изменена.
Мосто-мозжечковые цистерны не деформированы.
Миндалины мозжечка расположены обычно.
Определяется пристеночный отёк слизистой в клетках решетчатого лабиринта и левой верхнечелюстной пазухе, имеющий повышенный сигнала на Т2 ВИ.
МР-картина объемного образования левой лобной доли с небольшим перифокальным отеком головного мозга (менингиома?).
МР-картина немногочисленных очагов глиоза вещества головного мозга сосудистого характера.
Качественная МРТ диагностика опухолей головного мозга
Для качественной томографии и безошибочной диагностики при подозрении на опухоль рекомендуется:
- проводить МРТ головного мозга на аппарате мощностью не менее 1,5 Тесла;
- шаг сканирования должен быть не менее 3 мм;
- рекомендовано применение контрастного усиления.
Мощное магнитное поле томографа при обследовании головного мозга обуславливает ряд противопоказаний. Особенность поля МРТ аппарата взаимодействовать с объектами, содержащими металл, сдвигать их с места и нарушать работу электронных систем, ограничивает проведение МРТ процедуры для пациентов, в теле которых установлены любые металлические имплантаты. Поэтому к томографическому исследованию не допускаются пациенты, которые имеют:
- протезы из металла, пластины, хирургические скобки, шунты и штифты, сосудистые катетеры из ферромагнитных материалов, а также любые металлические предметы как пули, осколки, застрявшие в теле
- искусственные сердечный клапаны, стимуляторы сердечной деятельности и дефибрилляторы
- ушной кохлеарный имплант
- вшитые медицинские помпы для дозированной подачи медикаментов
- зажимы и клипсы на сосудах.
Обращаем Ваше внимание на то, что наличие зубных протезов в общем и целом не является противопоказанием для проведения МР-сканирование головного мозга. Исключением может стать лишь очень узкая группа протезов, которые вызывают искажение изображения во время диагностики.
Если у Вас есть сомнения в отношении возможности проведения томографического исследования, позвоните нам, и мы поможем найти приемлемое решение для Вашего индивидуального случая.
Вопросы



Покажет ли МРТ опухоль головного мозга без контраста
Крупные опухоли видны на нативных бесконтрастных снимках. Мелкие метастазные поражения на базовом обследовании могут плохо визуализироваться. Признаки опухоли почти всегда видны на нативном МРТ снимке, однако не достаточно четко, чтобы провести качественную дифференциальную диагностику. Поэтому врач-рентгенолог, обнаружив в ходе бесконтрастного обследования признаки объемного образования, предлагает пациенту дополнить исследование контрастной процедурой.
| Вид исследования | Минимальная Цена | Цена на 3 Тесла |
|---|---|---|
| МРТ головного мозга | от 2800 руб. | от 5200 руб. |
| МРТ сосудов головного мозга | от 2800 руб. | от 8200 руб. |
| МРТ гипофиза | от 2800 руб. | от 5200 руб. |
| МРТ пазух носа | от 2800 руб. | от 5200 руб. |
| МРТ орбит и зрительных нервов | от 3200 руб. | от 5200 руб. |
| МРТ уха и слуховых нервов | от 3200 руб. | от 5200 руб. |
| МРТ черепно-мозговых нервов | от 3200 руб. | от 5200 руб. |
| Стоимость введения контрастного вещества | от 3500 руб. | от 3500 руб. |
Как МРТ определяет злокачественную опухоль
Злокачественные опухоли составляют до 50% всех опухолей головного мозга. Эти опухоли врач определяет по:
- нечеткости и неровности контуров и формы опухоли;
- большому перифокальному отеку;
- наличию “масс-эффекта”;
- неоднородному накоплению контрастного усиления;
- типу накопления контраста.
Как часто нужно делать МРТ после удаления опухоли
Периодичность МРТ головного мозга после удаления опухоли обычно определяет лечащий врач. Чаще всего после оперативного вмешательства первое обследование проводят через один месяц. Далее контрольные сканирования осуществляют раз в полгода в течение 3 лет после хирургического вмешательства.
МРТ при опухоли спинного мозга и позвоночника
Онкология спинного мозга и позвонков - это направление, которое является одним из самых сложных с точки зрения раннего выявления новообразований, их дифференциальной диагностики и лечения. До сих пор онкологические болезни центральной нервной системы приводят к высокой смертности пациентов из-за поздней диагностики заболевания. В настоящее время медицинские клиники начали более активно и широко использовать возможности МРТ спинного мозга и МРТ позвоночника, чтобы диагностировать опухоли на ранних стадиях и повысить уровень выживаемости пациентов.
Магнитно-резонансная томография при опухоли спинного мозга и самих позвонков позволяет:
- обнаружить очаги поражения размером до 2-3 мм;
- судить о злокачественном потенциале объемного образования;
- дифференцировать опухолевое поражение первичного и вторичного типа;
- стадировать рак.
Симптомы опухоли спинного и головного мозга
Большинство опухолей позвоночника на начальных стадиях не дает никакой неврологической симптоматики. При появлении небольшого новообразования, которое является единичным, пациент может и не заметить особых изменений в состоянии здоровья. Только достигнув определенных размеров или распространившись в тканях, опухоли дают о себе знать:
- Большая часть опухолей в спинном мозге приводит к появлению боли и онемения из-за стеноза спинно-мозгового канала.
- Множественные метастазы способны вызвать компрессионный перелом позвоночника.
Из-за особенностей строения спинномозгового канала симптомы болезни в районе грудного отдела позвоночника появляются позже, чем в шейном и поясничном отделе, поскольку здесь канал анатомически шире, и новообразование должно достигнуть ощутимых размеров, чтобы начать перекрывать спинно-мозговой канал.
ЗАПИСЬ НА ПРИЕМ
Классификация опухолей
В медицине все новообразования принято делить на доброкачественные и злокачественные. Те и другие еще подразделяются на типы. Среди злокачественных новообразований выделяют первичные или метастатические. Доброкачественные опухоли бывают приобретенными и врожденными. Локация опухоли в позвоночнике может быть разнообразной. Она способна поражать спинной мозг, позвонки, мозговые оболочки, сосуды.
Опухоли сосудов позвоночника
Гемангиома позвоночника - это самая распространенная опухоль сосудов позвоночника. Она развивается из сосудов, создает большое количество кровяных полостей, связанных капиллярами. Это новообразование является доброкачественным, формируется чаще всего в верхних поясничных или нижних грудных позвонках. Возраст пациентов с данным недугом, как правило, варьируется от 40 до 60 лет. При такой опухоли у человека наблюдаются болезненные ощущения в спине, возможен перелом. Диагностика гемангиомы требует проведения МРТ позвоночника в ангиорежиме.
Опухоли позвонков
Большинство объёмных образований позвонков будут иметь приставку “остео” - (от греческого osteon - кость). Если в названии образования есть элемент “саркома”, это обычно указывает на злокачественный характер образования. Из чаще всего встречающихся доброкачественных опухолей позвонков можно отметить:
- хондрому;
- остеому;
- остеобластому;
- фиброму;
- остеоид-остеому;
- остеобластокластому.
Среди злокачественных новообразований позвонков чаще всего встречаются следующие:
- хондросаркома;
- фибросаркома;
- миеломная болезнь;
- саркома Юинга;
- остеогенная саркома.
Самыми распространенными злокачественными образованиями позвонков являются метастатические поражения. Позвоночник является наиболее распространенным местом скелетных метастазов (около двух третей всех опухолей кости). Преимущественно они локализуются в грудном и пояснично-крестцовом отделе позвоночника. Десять процентов пациентов с карциномой в ходе заболевания имеют метастазы в позвоночнике. Метастазирует в костные структуры позвоночника чаще всего рак молочной железы, рак предстательной железы, рак легких, рак щитовидной железы, рак почек.
Диагностировать опухолевые образования в позвонках лучше всего с помощью КТ позвоночника или МРТ позвоночника с контрастом.
Опухоли спинного мозга
Опухоли, появившиеся в спинно-мозговом канале или в спинном мозге, относят к внутриканальным новообразованиям. При этом их делят на врожденные и приобретенные.
Врожденные опухоли спинного мозга
В список врожденных образований спинного мозга входят:
- тератомы;
- липомы;
- ангиолипомы;
- менингоцеле;
- миеломенингоцеле;
- дермоидные и эпидермоидные кисты.
Как правило, липомы - это внемозговые образования. Они располагаются в позвоночных каналах равными частями. Диагноз характерен для детей и подростков не старше 15 лет.
Дермоидные кисты чаще всего бывают овальной или округлой формы. Они имеют толстые, но при этом неравномерные стенки. Нередко диагноз сопровождается еще одним дегенеративным проявлением - расщеплением позвоночника. Дермоидные кисты, как правило, обосновываются в люмбосакральном отделе, их делят на костномозговые или внемозговые.
Эпидермоидные кисты характерны для более зрелого возраста.
Тератомы - новообразования в крестцово-копчиковом отделе позвоночного столба. У детей чаще всего развивается доброкачественная опухоль. Она располагается снаружи, а также внутри костей таза. У зрелых мужчин диагностируют чаще злокачественные тератомы, которые дают множественные костные метастазы.
Миеломенингоцеле - это врожденный дефект спинного мозга. Эта грыжа чаще всего определяется в поясничной области младенца, как только он рождается на свет.
При диастематомиелии спинной мозг разделяет так называемая спикула или костный шип. Этот разделитель может быть образован хрящевой тканью.
| МРТ опухоль позвоночника | МРТ опухоль спинного мозга | МРТ киста спинного мозга |
Приобретенные опухоли спинного мозга
К приобретенным опухолям спинного мозга относят интрамедуллярные образования, опухоли внутреннего канала мозга и кисты.
- параглиомы;
- глиомы;
- астроцитомы;
- мультиформные глиобластомы;
- олигодендроглиомы;
- меланомы;
- ангиобластомы.
Астроцитомы чаще всего локализуются в шейном, а также грудном отделах позвоночника.
Эпендимомы обычно поражают конечную нить спинного мозга. Они способны привести к истончению позвонковой дуги, эрозии позвонка, в дальнейшем к переломам.
Внутриканальные внемозговые образования:
Для менингиомы характерно поражение грудной части позвоночного столба.
Нейрофибромы способны развиваться в абсолютно любом отделе позвоночного столба.
Сирингогидромиелия представляет собой образование спинномозговых кист.
КТ или МРТ при опухоли спинного мозга
Диагностику опухолевых заболеваний спинного мозга и позвонков чаще всего проводят при помощи КТ позвоночника или МРТ позвоночника с контрастом. Чтобы выяснить, какой из методов лучше справится с этой задачей, необходимо разобраться в механизме действия каждого из методов.
Компьютерная томография - это рентгенологический вид диагностики. Она дает прекрасную возможность определить новообразование в костных структурах даже на ранних стадиях развития. Однако на КТ визуально сложно разделить патологическую и здоровую ткань в спинном мозге. Для этих целей пациенту проводят процедуру КТ-миелографии с введением контрастного вещества. Использование йодосодержащего контраста не всегда приемлемо. У некоторых пациентов может быть аллергия на состав или серьезная болезнь почек, при которых контраст не применяют. Не стоит забывать и о лучевой нагрузке. В среднем при КТ всего позвоночника пациент получит дозу облучения, равную 5-8 мЗв. Поэтому при диагностике объёмных образований спинного мозга и оболочек приоритетным методом обследования будет МРТ позвоночника с программой миелография.
Магнитно-резонансный томограф лучше визуализирует мягкие и мозговые ткани и позволяет дифференцировать здоровую ткань и ткань патологическую. МРТ при опухоли поможет определить место очага, вид злокачественного новообразования и степень инвазии в соседние ткани. Кроме того, при МР-томографии не используются вредные рентгеновские лучи, и потому диагностику можно проводить неограниченное количество раз беременным женщинам и детям.
Читайте также:
- Что делать, чтобы не заболеть свиным гриппом? Чем опасен свиной грипп?
- Атозибан, НПВС ( нестероидные противовоспалительные средства ), нифедипин, нитроглицерин при преждевременных родах.
- Примеры оптической когерентной томографии (ОКТ) при невусе хориоидеи
- Эпилептический статус на МРТ головного мозга
- Вкусное лакомство
