КТ, МРТ при шванноме среднего уха
Добавил пользователь Евгений Кузнецов Обновлено: 21.11.2025
МРТ головного мозга наряду с КТ являются важнейшими методами выявления причин шума в одном ухе или обоих ушах. Помимо стандартной МРТ головного мозга при МРТ в СПб в наших клинках мы считаем необходимым прицельной исследование височных костей и мосто-мозжечковых углов (ММУ) тонкими Т2-взвешенными МРТ срезами. Пульсирующий шум в ухе рассматривается нами отдельно.
Причинами шума в ухе (ушах) часто являются аномалии или особые варианты строения височной кости:
сосудистые
- Высокое расположение луковицы яремной вены - вдавление яремной ямки кверху, в сторону барабанной полости.
- Латеропозиция сигмовидного синуса - вдавление его борозды в сторону наружной поверхности сосцевидного отростка.
- Предлежание сигмовидного синуса представляет собой глубокое вдавление его борозды вперед, в область основания пирамиды таким образом, что передний край ложа сигмовидного синуса подходит к задней стенке наружного слухового прохода или к задней стенке антрума. Расстояние между просветом слухового прохода и бороздой сигмовидного синуса составляет менее 1 см. Возможно различное сочетание вариантов расположения сигмовидного синуса и луковицы внутренней яремной вены.
- Аберрантная внутренняя сонная артерия - редкая аномалия развития, частота встречаемости в популяции составляет 1%. В норме каменистый отдел внутренней сонной артерии состоит из вертикального и горизонтального сегментов. При этой аномалии вертикальный сегмент канала внутренней сонной артерии отсутствует, горизонтальный сегмент ВСА свободно располагается в барабанной полости, являясь, по сути, ее медиальной стенкой. В некоторых случаях аберрантная ВСА вследствие схожей КТ картины может ошибочно диагностироваться как новообразование среднего уха.

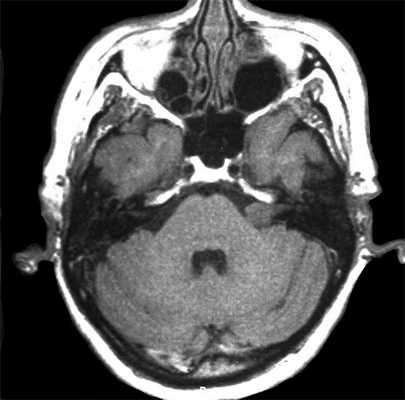
МРТ головного мозга.1 - луковица внутренней яремной вены; 2 - сигмовидный синус; 3 - пролапс купола луковицы внутренней яремной вены в барабанную полость (гипотимпанум)
- Дивертикул луковицы внутренней яремной вены в отличие от пролапса не затрагивает барабанную полость, локализуется более медиально, вдоль задней грани пирамиды, погранично с внутренним слуховым проходом и структурами лабиринта, в связи с чем может сдавливать эндолимфатический мешок.
патология наружного уха
- Наружный отит - это воспаление наружного слухового прохода вследствие изменения нормальной флоры или травмы мягких тканей слухового прохода с последующим инфицированием и воспалением. Вариантом его является более агрессивный злокачественный наружный отит
- рак наружного слухового прохода часто вызывает нарушение слуха, но может также сопровождаться шумом в ухе

МРТ головного мозга. Т2-взвешенная аксиальная МРТ. Рак наружного слухового прохода.
- Экзостоз, остеома. серная пробка. полип
- Воспаление барабанной перепонки (мирингит)
- Стеноз, свищь и атрезия наружного слухового прохода
патология среднего уха
- Острый средний отит, хронический средний отит
- Образования носоглотки с распространение на височную кость
- Мастоидит - деструктивный остео-периостит ячеистой структуры сосцевидного отростка.
- Петрозит - воспалительный процесс, развивающийся в ячейках верхушки пирамиды височной кости с деструкцией костных перегородок. Сочетание мастоидита, петрозита с одновременным поражением V, VI черепных нервов носит название синдрома Градениго.
- Эпитимпанит
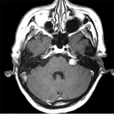
- Холестеатома - доброкачественное опухолеподобное образование, состоящее из соединительнотканной оболочки, омертвевших эпителиальных клеток, скоплений кератина и холестерина, плотно прилегающее к кости и нередко врастающее в нее. Холестеатома часто выявляется при МРТ головного мозга в области пирамиды височной кости и требует при МРТ головного мозга дифференциальной диагностики с невриномой и менингиомой. Холестеатомы, в отличие от опухолей. обычно аморфные массы, с примесью типичного МРТ сигнала для жира и не усиливающиеся при МРТ с контрастированием. Супралабиринтная холестеатома пирамиды височной кости может приводить к парезу лицевого нерва.
МРТ головного мозга. Инфралабиринтная апикальная холестеатома. Т2-взвешенная аксиальная МРТ.
По данным КТ не всегда представляется возможным дифференцировать характер патологического мягкотканого содержимого в полостях среднего уха, в частности, рубцовых изменений, грануляционного процесса, фрагментов холестеатомных масс. В таких случаям предпочтительнее выполнить МРТ головного мозга и ММУ типа DWI с и построением ИКД (ADC) карт, чтобы избежать необоснованных хирургических вмешательств. Холестеатомные массы характеризуются высоким сигналом на DWI с вычитанием на ИКД картах. Использование диффузионно-взвешенной МРТ является эффективным методом диагностики как впервые выявленных холестеатом среднего уха, так и рецидивирующих холестеатом в послеоперационной полости.
- Опухоли - тимпаническая параганглиома, которая может иметь разные типы роста

МРТ головного мозга. Тимпаническая параганглиома. Т2-взвешенная аксиальная МРТ.
МРТ и КТ при нарушении слуха
МРТ головного мозга. Слуховые нервы в норме. Цветовая обработка изображения.
Нарушение слуха (тугоухость) может быть сенсоневральная - в связи с повреждением внутреннего уха, внутреннего слухового прохода, мосто-мозжечкового ушла и вестибулокохлеарного нерва.
- Во внутреннем ухе отосклероз или травматическое повреждение височной кости, редко - врожденные недоразвития улитки (дисплазия Мондини), полукружных каналов, вестибулярного водопровода
- В мембранной части лабиринта - лабиринтит (инфекционное поражение), в том числе и склерозирующий, внутриулитковая Шваннома(невринома), болезнь Меньера (гипоплазия водопровода)
- Внутренний слуховой проход и мостомозжечковый угол - шваннома 8 нерва, менингиома височной кости, эпидермоидные (холестеатомы) и арахноидальные кисты, редко - гломусная тимпаническая опухоль.
Вестибулокохлеарный нерв (VIII) состоит из 4 пучков. Опухоли происходят обычно из вестибулярной его части. Шваннома - инкапсулированная доброкачественная (градация 1) опухоль, происходящая из дифференцированных неопластических шванновских клеток оболочек периферических нервов. Невриномы ММУ составляют около 3% опухолей головного мозга. Часть шванном (двухсторонние слуховых нервов) связана с НФ 2 типа. Пик частоты между 40 и 60 годами. Растут медленно и крайне редко малигнизируются. Клинические проявления связаны с нарушением функции нерва и компрессией ствола. Шваннома может происходить из любого отрезка по ходу нерва и хорошо прослеживается при МРТ области ММУ. Невринома видна как на Т2-взвешенных, так и на Т1-взвешенных МРТ в виде округлого образования. Невриномы хорошо и равномерно усиливаются после МРТ с введением контрастного вещества. Невриномы области цистерны могут иметь компонент во внутреннем слуховом проходе, особенно, хорошо видимый при МРТ головного мозга с контрастированием. Изредка встречаются невриномы полностью расположенные внутри канальца. Они составляют наибольшую диагностическую сложность при МРТ, требуют тонких срезов и контрастирования. Менингиомы ММУ обычно типично расположены и при МРТ имеют характерную форму и типичные черты при МРТ с контрастированием. Однако редко встречаются внутриканальцевые менингиомы. При МРТ они неотличимы от неврином. Холестеатомы при МРТ имеют смешанную интенсивность сигнала, в зависимости от их содержимого. На диффузионно-взвешенных МРТ холестеатомы обычно яркие.
МРТ головного мозга. Аксиальная Т2-взвешенная МРТ. Фрагмент ММУ. Холестеатома слева.
МРТ головного мозга наиболее информативна в плане выявления опухолей мостомозжечкового угла и кист этой области. Некоторое патологии, такие как расширение водопровода и лабиринтит также хорошо видны при МРТ. КТ лучше демонстрирует состояние внутреннего уха.
КТ. Дисплазия Мондини.
КТ. Полная аплазия лабиринта.
КТ. Расширение и укорочение полукружного канала.

КТ. Болезнь Меньера.

КТ. Водопровод в норме (стрелка).
КТ. Увеличенный водопровод (стрелка).
МРТ головного мозга. Т2-взвешенная аксиальная МРТ мосто-мозжечкового угла. Увеличенный водопровод.
КТ. Хронический отит.
КТ. Хронический отит с кальцификацией барабанной перегородки.
КТ. Хронический отит с грануляциями на барабанной перегородке и эрозией стенки тимпанической полости.
При МРТ в СПб в наших клиниках мы при нарушении слуха считаем необходимым применение обоих методов.
МРТ головного мозга при опухолях черепных нервов
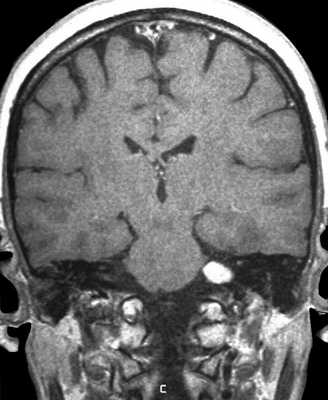
МРТ головного мозга. Т2-взвешенная корональная МРТ. Невринома слухового нерва, цветовая обработка изображения.
Шваннома (невринома) представляет собой инкапсулированную доброкачественную (градация I) опухоль, происходящую из дифференцированных неопластических шванновских клеток оболочек периферических нервов. Растут шванномы медленно и крайне редко малигнизируются. В целом шванномы составляют примерно 8% от внутричерепных опухолей. Пик частоты приходится на возраст 40-60 лет. Чаще всего встречаются шванномы слухового нерва (VIII пара), они составляет около 80 - 90% всех опухолей мосто - мозжечкового угла и около 3% от внутричерепных опухолей. Невриномы происходят из дистального по отношению к входу во внутренний слуховой проход части слухового нерва, обычно из вестибулярной (верхней) его ветви. Двухсторонние невриномы наблюдаются в 5% случаев и связаны с нейрофиброматозом типа II. Поскольку слуховой нерв (VIII пара) и лицевой нерв (VII пара) тесно связаны в начальной части, то на МРТ эти опухоли не дифференцируются. В 7-10% случаев шванноме сопутствует арахноидальная киста. Нейрофибромы отличаются от неврином большим числом соединительнотканных и нервных волокон, а также отсутствием капсулы. Пик частоты приходится на возраст 40-50 лет. Опухоль несколько чаще встречается у женщин. Для неврином слухового нерва характерна сенсоневральная тугоухость, шум в ушах и нарушение равновесия.
На Т2-взвешенных МРТ головного мозга невриномы имеют округлую или овальную форму, изоинтенсивны или слегка гиперинтенсивнее белого вещества, хорошо видны на фоне яркого ликвора цистерны. Крупные опухоли могут подвергаться кистозной дегенерации и включать сосуды. Мелкие невриномы имеют компонент во внутреннем слуховом проходе и как бы “утолщают“ нерв на МРТ изображениях. Как показывает опыт МРТ СПб полностью внутриканальцевые невриномы встречаются редко. МРТ в СПб при шванномах мы проводим обычно с контрастированием. Контрастирование неврином при МРТ с контрастированием хорошее, обычно однородное. Нельзя забывать, что во внутреннем слуховом проходе также может быть воспалительный процесс (неврит), приводящий к сходной клинической симптоматике. При МРТ неврит виден как отёк нерва, имеется контрастное усиление на МР томограммах.



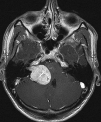
МРТ головного мозга. Невринома слухового нерва слева с внутриканальцевым компонентом. Аксиальные Т1-зависимая МРТ, Т1-зависимая МРТ с контрастированием, и корональная Т1-зависимая МРТ с контрастированием.
Невринома слухового нерва в цистерне и внутреннем слуховом проходе. Киста (чёрная стрелка). Аксиальная Т1-взвешенная МРТ, неоднородное контрастирование.
МРТ головного мозга. Полностью внутриканальцевая невринома слухового нерва. Аксиальная Т2-зависимая МРТ, дефект на фоне СМЖ.
Нейрофиброматоз тип 2. Двухсторонние невриномы слуховых нервов (стрелки). Поперечная Т1-зависимая томограмма с контрастированием.
Невриномы других пар черепных нервов встречается редко. При росте из V пары (тройничный нерв) могут быть сложности в дифференциальном диагнозе с невриномой VIII пары. В первом случае опухоль нередко имеет вид песочных часов, когда одна часть расположена в задней, а другая в средней черепных ямках. Тройничный нерв (V пара) выходит на уровне среднего мозга и делится на 3 ветка - глазничную (1), верхнечелюстную (2) и нижнечелюстную (3). Все они идут вперёд в Мекелеву полость к тройничному ганглию. Отсюда (3) уходит вниз через овальное отверстие, а (1) и (2) идут через кавернозный синус (вдоль латеральной стенки). Затем (1) входит в орбиту через верхнее отверстие, а (2) выходит из полости черепа через округлое отверстие. Каждая из ветвей делится на конечные нервы. Клинические проявления шванном тройничного нерва состоит из болей и (или) атрофии жевательных мышц. Невринома может локализоваться в любом месте по ходу нерва и ветвей.
VII пара (лицевой нерв) и нервы, проходящие через яремную ямку (IХ, Х и ХI пары) и подъязычный нерв (XII пара) также могут быть источником роста невриномы и нейрофибромы. Клиническая симптоматика невриномы зависит от её локализации по ходу нерва. Обычно это раздражение нерва, нарушение его функции, сенсоневральная тугоухость в связи с поражением или сдавлением слухового нерва, компрессия ствола. Шванномы в средней черепной ямке не сдавливают окружающие структуры и достигают больших размеров никак себя не проявляя.
МРТ головного мозга. Невринома тройничного нерва, сегмента в цистерне. Корональные Т2-зависимая и Т1-зависимая томограммы с контрастированием.
МРТ головного мозга. Невринома тройничного нерва в цистерне и Мекелевой полости. Поперечная Т1-зависимая томограмма с контрастированием.
МРТ головного мозга. Невринома тимпанического сегмента тройничного нерва, поперечная Т1-зависимая томограмма. Невринома сосцевидного сегмента, поперечная Т1-зависимая МРТ с контрастированием.
МРТ головного мозга. Невринома языкоглоточного нерва. Корональная и поперечная Т1-зависимые МРТ с контрастированием.
Профессор Холин А.В. диагностирует опухоли на высокопольном МРТ и открытом МРТ.
МРТ уха что показывает

Строение уха
Орган слуха состоит из 3 отделов:
- внешнего - ушная раковина и костно-хрящевой канал, распространяющийся до барабанной перепонки;
- среднего - евстахиева труба, пространство барабанной полости, костные образования (стремечко, молоточек, наковальня);
- внутреннего - лабиринты из каналов и полостей, содержащие рецепторные аппараты слухового и вестибулярного анализаторов.
Патологии, касающиеся наружной части органа, в основном, не представляют опасности. Проблемы со средним отделом при отсутствии лечения приводят к серьезным осложнениям от неврита лицевого нерва до менингита или внутричерепного абсцесса.
МРТ уха выполняют в процессе изучения головного мозга, орбит, височных костей, височно-нижнечелюстного сустава. Компактное размещение и взаимовлияние вышеназванных структур делает возможной комплексную диагностику. При наличии симптомов, указывающих на конкретную патологию органа слуха, проводят узкоспециализированное исследование. Для изучения онкологического процесса или оценки сосудов осуществляют магнитно-резонансное сканирование с контрастным веществом.
Делают ли МРТ ушей?
Функция акустического анализатора - улавливать, проводить звук, формировать слуховое ощущение. Во внутреннем ухе расположен вестибулярный аппарат, контролирующий координацию движений и ориентацию человека в пространстве.
Компьютерную и магнитную томографию делают, если пациент жалуется на:
- шум в ушах;
- ухудшение или потерю слуха;
- зуд, боли, припухлость, покраснение ушных раковин, выделение из прохода гноя, крови и т.п.;
- частые головокружения, обмороки, тошноту, не связанную с пищеварением;
- нистагм (резкие маятникообразные движения глазных яблок, возникающие при взгляде в сторону);
- боли в ушах, горле, носоглотке, сопровождающиеся высокой температурой;
- неустойчивость походки;
- трудности с ориентацией в пространстве;
- онемение одной стороны или асимметрию лица, изменение тонуса мышц;
- появление стойких головных болей на фоне отита.
Обследование среднего и внутреннего уха назначают при:
- подозрении на опухоли (диагностика покажет стадию и распространение онкологического процесса);
- поражении лицевого нерва;
- аномалиях развития уха;
- врожденном или приобретенном снижении/отсутствии слуха;
- нарушениях в сосудах;
- острых или хронических воспалениях, не поддающихся терапии, и др.

Невринома слухового нерва на МРТ
МРТ среднего и внутреннего уха показывает осложнения отитов, позволяет выполнить дифференциальную диагностику болезней внутри- и внечерепного пространства. Исследование дает возможность выявить патологические изменения, подобрать действенный метод терапии, осуществить динамическое наблюдение, определить местоположение пораженных участков при планировании операций.
В некоторых случаях показана томография с контрастированием. Пациенту внутривенно вводят препарат на основе гадолиния, способный усиливать сигнал ядер водорода под воздействием магнитного поля. МРТ внутреннего и среднего уха с контрастом показывает недостаточность кровотока в отдельных участках, воспалительные и опухолевые процессы, поражающие органы слуха. Видео о том, как проходит процедура, можно посмотреть на нашем сайте.
МРТ при звоне в ушах
Данное состояние называют тиннитус. Явление характеризуется ощущением посторонних звуков при отсутствии источника шума извне. При тиннитусе человек может слышать звон, гул, жужжание, гудение, треск, писк, шипение и т.д. Появление подобных “эффектов” провоцируют заболевания внутреннего уха, нарушения в вестибулярном аппарате, неврологические расстройства. Причиной вышеназванных ощущений могут быть следующие проблемы с органами слуха:
- недостаточность кровоснабжения;
- воспаление;
- наличие в ухе инородного предмета, пробки из серы;
- болезнь Меньера;
- сенсоневральная тугоухость;
- отосклероз (патологический рост костной ткани);
- новообразование внутри барабанной полости, поражение слухового нерва и др.
Гул в ушах может стать следствием внезапного воздействия резкого звука или баротравмы. Шумы наблюдаются из-за сосудистых нарушений у больных сахарным диабетом, при гипертонии, стенозах (сужении) артерий и вен, атеросклерозе, аневризмах. Тиннитус иногда встречается при:
- остеохондрозе и других патологиях верхней части позвоночника;
- заболеваниях височно-нижнечелюстного сустава;
- психоневрологических расстройствах;
- переутомлении, истощении организма;
- интоксикации некоторыми медикаментами и ядовитыми веществами.
При шуме в ушах необходимо посетить терапевта, отоларинголога или невролога. Врач соберет анамнез, проведет осмотр. Диагностика включает проверку слуха, определение состояния барабанной перепонки, пневматическую отоскопию, камертональные тесты, изучение функций черепно-мозговых нервов, полное обследование головы и шеи. Магнитно-резонансная томография при звоне в ушах - крайняя мера, применяемая в последнюю очередь. При низкой информативности других методов пациенту назначают МРТ головного мозга - сначала нативную, а если обнаружатся очаги патологии, делают дополнительное сканирование с контрастом.
Подготовка к МРТ уха
Перед нативной диагностикой ничего специально делать не нужно. Больной может употреблять привычную пищу и принимать назначенные врачом лекарства. Если планируют магнитно-резонансную томографию уха с контрастом, перед процедурой желательно слегка перекусить. Последнее поможет предупредить тошноту и другие возможные реакции на препарат.
Женщинам в период лактации следует подготовить питание для ребенка на 6-12 часов. Столько времени потребуется для выхода контрастного средства из организма.
Как проходит МРТ внутреннего и среднего уха?

Подготовка пациентки к МРТ
До того, как начнется диагностика, пациент снимает вещи с металлическими деталями: предметы гардероба, аксессуары, очки, украшения. В раздевалке оставляют кошелек, мобильный телефон и т.п. В помещении, где будет проводиться процедура, обследуемый проходит краткий инструктаж и ложится на стол томографа. Конечности закрепляют ремешками - это необходимо для исключения случайных движений, которые могут испортить снимки. Транспортер заезжает внутрь капсулы аппарата и начинается сканирование. После получения необходимого количества фото процедуру прекращают либо вводят в вену контрастный препарат и повторяют съемку.
Стандартное исследование занимает 15 минут. Диагностика с усилением длится полчаса, так как состоит из двух этапов - нативного и с применением дополнительных средств визуализации. На протяжении сканирования пациент должен лежать спокойно и не шевелиться, если из-за болевого синдрома либо по другим причинам указанное сделать сложно, необходимо заранее проконсультироваться с доктором по поводу приема соответствующих медикаментов.
В результате исследования получают посрезовые изображения области интереса. Фото записывают на диск и вместе с заключением передают больному. Окончательный диагноз ставит лечащий врач.
МРТ или КТ уха, что лучше?
Выбор вида обследования определяет предполагаемый диагноз. КТ и МРТ - разные способы визуализации. Компьютерная томография четко показывает повреждения костных структур, магнитно-резонансное сканирование является незаменимым при изучении мягких тканей, включая нервные стволы и сосуды.
При назначении диагностики принимают во внимание не только информативность метода, но и противопоказания. В основе КТ - воздействие на зону интереса ионизирующего излучения, являющегося потенциальным канцерогеном. Компьютерную томографию уха нельзя проходить при беременности, нежелательно - в раннем детском возрасте, использование рентгеноконтрастных веществ, кроме указанных категорий пациентов, запрещено людям с почечной недостаточностью, принимающим Метформин или страдающим гиперфункцией щитовидной железы. Для предупреждения нежелательных эффектов влияния Х-лучей КТ рекомендуют делать не чаще двух раз в год с интервалом между процедурами 6 месяцев.
Магнитно-резонансную томографию выполняют по показаниям детям с 4 недель, будущим мамам со второго триместра. Ограничений по частоте проведения диагностики не существует. Но есть противопоказания, не позволяющие сделать МРТ уха:
- Наличие у пациента кардиостимулятора, имплантата внутреннего уха, помпы для подачи лекарственных препаратов или иных электроприборов.
- Металлические элементы в теле (эндопротезы, сосудистые клипсы, спицы, пластины, ферромагнитные осколки и т.п.).

Кохлеарный имплантат
Относительными запретами являются состояния, мешающие сохранять неподвижность, клаустрофобия и вес более 120 кг. Последние два обстоятельства допускают выполнение диагностики на агрегате открытого типа. Но надо иметь в виду, что подобные устройства не покажут мелких патологических очагов.
Компьютерную томографию назначают, если выполнение магнитно-резонансного сканирования невозможно или в следующих случаях:
- требуется изучить костные элементы среднего уха (содержание незначительного количества атомов водорода препятствует четкой визуализации при МРТ);
- после травм;
- есть подозрение на наличии в ухе экссудата, инородного тела, воспалительного, инфекционного процесса, новообразования;
- необходимо определить причину глухоты или тугоухости.
Результаты МРТ и КТ дополняют друг друга. Совместив полученную информацию, врач может составить полную картину заболевания и подобрать оптимальное лечение.
Что показывает КТ уха? КТ или МРТ что лучше? Подготовка, показания и противопоказания

При снижении слуха или полной его потери обосновано проведение КТ уха. Это современный высокоинформативный способ визуализации, использующий рентгеновские лучи и компьютерную обработку данных для построения объемного изображения. Контрастное усиление при выполнении КТ уха позволяет дать оценку не только костным структурам, но и мягким тканям, нервам и сосудам данной области, что важно для определения дальнейшей тактики действий - консервативной терапии или оперативного лечения.
Нормальная анатомия уха
Компьютерная томография дает исчерпывающую информацию о патологических процессах наружного и среднего уха. К КТ-сканированию прибегают при атрезии наружного слухового прохода (из-за отсутствия отверстия при отоскопии невозможно увидеть состояние барабанной перепонки и структур среднего уха). Необходимость визуализации, как дополнительного звена обследования, возникает при неэффективности терапии или при подозрении на развитие осложнений. Что показывает КТ среднего уха:
воспаление и его последствия;
патологические изменения височной кости;
опухоли (остеома, шваннома, параганглиома и пр.) и их инвазию в окружающие структуры ;
врожденные пороки развития;
состояние костного лабиринта;
деструктивно-дегенеративные процессы (остеодистрофия, фиброзная остеодисплазия, послевоспалительная оссификация, склеротические изменения и пр.);
инородные тела в ухе.
Компьютерное сканирование височной кости позволяет провести дифференциальную диагностику опухолей с воспалением, уточнить анатомические особенности, определить необходимость операции и ее объем. Исследование полезно в оценке осложнений после хирургических вмешательств.
КТ внутреннего уха показано при подозрении на патологический процесс в зоне, ограниченной височной костью. Чем раньше сделать компьютерное сканирование - тем больше шансов на выполнение успешной операции, в том числе - для восстановления или сохранения слуха. Структуры среднего и внутреннего уха спрятаны за барабанной перепонкой, что ограничивает прямую неинвазивную оценку. Выполнение отоскопии не дает полномасштабной картины, поэтому для определения степени заболевания, точного месторасположения патологического процесса, вовлеченных структур и возможных деструктивных изменений кости выполняют КТ и/или МРТ. Наиболее часто в данной области встречаются хронические и острые воспалительные заболевания (инфекционный и секреторный отит), реже - опухоли (шваннома среднего уха и параганглиома). КТ внутреннего уха с контрастом показывает евстахиеву трубу, улитку, слуховой и вестибулярный нервы, сосуды и кости, что позволяет выявить причину неблагополучия при соответствующих жалобах.
Как делают КТ уха

Положение пациента при обследовании
Пациента укладывают на стол (положение горизонтальное). Для удобства и фиксации используют упругие валики и ремни, эта мера необходима чтобы на полученных томограммах не было артефактов (размытостей, как на снимках обычным фотоаппаратом движущегося объекта). В середине исследования для лучшей визуализации мельчайших деталей внутривенно вводят контрастное вещество. Это делает медсестра одномоментно, или радиофармпрепарат поступает автоматически с помощью инжектора в определенные фазы исследования (болюсное усиление). Стол скользит вглубь томографа, вокруг головы в кольце аппарата с характерным пощелкиванием начинают вращаться датчики, улавливающие ответ органов и структур на поток рентгеновских частиц, испускаемых излучателем. Информация передается на компьютер, а специальная программа восстанавливает полученные срезы в единое целое.
Под рукой пациента есть “тревожная кнопка”: об ухудшении самочувствия (липкий пот, предобморочное состояние, резкая нехватка воздуха) следует немедленно поставить в известность персонал. При использовании современных контрастных препаратов генерализованные реакции гиперчувствительности встречаются крайне редко, менее, чем в 1-5% случаев.
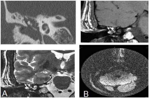
Что лучше: КТ или МРТ уха

КТ (А) и МРТ(В) - картина холестериновой гранулемы
Эта дилемма волнует многих пациентов, но вид исследования выбирает лечащий врач, опираясь на результаты предыдущей диагностики и на конкретные жалобы. Отказываться от КТ уха из-за ложных соображений о вреде процедуры не стоит, современные мультидетекторные томографы позволяют минимизировать влияние лучевой нагрузки для большей категории лиц (исключение - беременные и дети, не достигшие 14 лет). В ряде наблюдений, особенно, если визуализируется опухолевый процесс, может понадобиться и МРТ, и КТ уха - эти способы взаимодополняют друг друга. Выполнение магнитно-резонансного сканирования обосновано, если после проведенной КТ остались сомнения в диагнозе. МРТ лучше демонстрирует менингоцеле, холестеатому, неврит лицевого нерва, внутричерепную патологию, вызванную процессами в среднем ухе, что не всегда показывает компьютерная томография высокого разрешения. КТ среднего уха часто не способна визуализировать степень возможной облитерации улитки после перенесенного воспаления или отдаленные последствия перелома височной кости. Точная оценка состояния имеет решающее значение для планирования кохлеарной имплантации.
Компьютерная томография ребенку или беременной женщине может быть выполнена по жизненным показаниям. Предпочтительнее в период гестации - МРТ, которое не использует рентгеновское облучение, а магнитное поле не представляет опасности для организма.
Подготовка к КТ-исследованию уха

Неплотный перекус за 40 минут до КТ нейтрализует вегетативные симптомы
Длительной подготовки КТ уха не подразумевает, достаточно выбрать удобную одежду без металлических деталей и оставить все украшения дома. Съемные зубные протезы, пирсинг Вас также попросят убрать. Если планируется введение контрастного вещества, необходимо обратить внимание на следующие аспекты:
Анализ крови на креатинин. Его можно сдать в поликлинике и принести результат с собой (не позднее 10-дневного срока выполнения), или сделать непосредственно перед компьютерной диагностикой. В центре “Магнит” такая услуга предусмотрена, но на обследование следует явиться на 15 минут раньше.
Перерыв в приеме Метформина и его аналогов. Пациенты с сахарным диабетом, контролирующие уровень глюкозы медикаментозно, за 48 часов до диагностической процедуры должны прекратить лечение сахароснижающими средствами. Перед этим обязательна консультация и разрешение эндокринолога.
Лактация. В этот период исследование не приведет к негативным последствиям, если сделать запас молока на два последующих кормления. После компьютерной томографии для избежания мастита рекомендовано сцеживание.
Неплотный перекус. Введение контрастного вещества могут сопровождать ряд вегетативных реакций (металлический привкус, тошнота, головокружение). Чтобы этого не произошло, нужно съесть легкий завтрак за 40 минут до диагностической процедуры.
КТ уха с контрастом

В диагностическом центре “Магнит” используют современный контрастный препарат с максимальным профилем безопасности
Нативная КТ уха показывает преимущественно костные структуры. Для оценки сосудов, мягких тканей, распространенности патологического процесса и определения степени вовлеченности соседних областей необходимо выполнение контрастирования. Усиленная компьютерная томография обеспечивает превосходную визуализацию разницы между костными структурами, воздухом и мягкими тканями в сочетании с высоким пространственным разрешением, и является методом выбора для исследования структур среднего уха. КТ височной кости с контрастированием позволяет дифференцировать воспалительные изменения, холестеатому и опухоль. Цена на КТ уха с усилением несколько выше, так как включает стоимость радиофармпрепарата.
Показания и противопоказания

На КТ уха направляет ЛОР-врач, если первичные способы диагностики показали неоднозначные результаты
При всех необъяснимых симптомах обосновано прохождение диагностики. Показания к КТ уха следующие:
ухудшение/потеря слуха с оценкой ее возможных причин;
выделения из слухового канала;
длительно существующее воспаление в среднем или внутреннем ухе, не поддающееся лечению;
головокружения, шаткость походки, нистагм;
травма уха, височной кости;
подозрение на опухолевый процесс;
выявление аномалий развития;
динамическое наблюдение изменений после консервативной терапии или хирургического вмешательства;
диагностика осложнений: петрозита, лабиринтита, лабиринтного свища, внутричерепного абсцесса или абсцесса мозга, менингита.
Общим противопоказанием к нативному КТ уха является беременность, при контрастировании к этому добавляются:
отягощенный аллергологический анамнез: генерализованная аллергическая реакция на радиофармпрепарат по типу отека Квинке или анафилатического шока;
урологическая и нефрологическая патология, сопровождаемая хронической почечной недостаточностью;
гиперфункция щитовидной железы.
Пациентам с выраженной степенью ожирения (масса тела выше 150 кг) исследование не проводят по техническим причинам.
Фото томографии уха
Расшифровкой полученных данных занимается врач-рентгенолог, на руки пациенту выдают заключение и снимки в электронном виде. Представляем Вашему вниманию несколько фото КТ уха, с типичными патологическими процессами:

Шваннома лицевого нерва: осевое КТ-изображение (костное окно) демонстрирует расширение ганглия, присутствует однородная масса мягких тканей (стрелка)

Хроническое воспаление среднего уха с холестеатомой: коронарная КТ показывает боковой свищ полукруглого канала (стрелка), вызванный эрозией кости из-за роста новообразования

Хроническое воспаление среднего уха: осевая КТ демонстрирует очаговую кальцификацию (стрелка) в барабанной полости - тимпаносклероз.
Читайте также:

