Тромбоэмболия легочной артерии на УЗИ. Перфорация язвы на узи.
Добавил пользователь Евгений Кузнецов Обновлено: 14.12.2025
Дефект стенки сосуда, повышенная свертываемость крови, медленный поток порождают тромбы.
Тромбофлебит - тромбоз в подкожных венах; флеботромбоз — иначе тромбоз глубоких вен (ТГВ).
При тромбофлебите доминируют признаки воспаления, при флеботромбозе — нарушение оттока.
Высокий риск ТГВ: перелом ноги, протезирование суставов, хирургические операции или травмы.
Средний риск ТГВ: паралич, рак, химио- и гормонотерапия, контрацепция, послеродовый период.
Низкий риск ТГВ: коечный режим, авиаперелет, ожирение, варикозные вены, дородовый период.
Тромбы считают свежими от 2 до 6 недель; скорый отек конечности держится несколько месяцев.
ТГВ чаще родится в мышечно-венозных синусах голени; в половине случаев нет признака болезни.
Настораживают в один миг появившиеся варикозные вены и трофические расстройства на голени.
Тромбоз подколенной и бедренной вены много опаснее, чем изолированный тромбоз вен голени.
Утекание тромба в правое сердце и легкие вызывает тромбоэмболию легочных артерий (ТЭЛА).
Эмболоопасным считают тромб на узком основании с долгим (более 4 см) флотирующим концом.
Физическое усилие, смена положения, ходьба, дефекация и др. — могут причинить отрыв тромба.
Крупные ошмотья доходят в главные легочные артерии, тогда шок и остановки кровообращения.
Мелкие клочья застревают глубже, вызывают инфаркты легочной ткани и вторичную пневмонию.
ТЭЛА у большинства больных бессимптомная, нередко прячется под маской других заболеваний.
Неособенные проявления беспокоят пациентов дни и недели, при этом остаются неопознанными.
Частые признаки: одышка, боль в грудной клетке по типу плеврита, тахикардия, кашель, синкопе.
Нечастые признаки: боль за грудиной, цианоз, кровохарканье, тромбоз глубоких вен, лихорадка.
При тотальном ТГВ (голени, бедра, подвздошных) до ОПдВ развивается белая и синяя флегмазия.
Неполный венозный возврат нарушает работу ССС, в ответ угнетается приток артериальной крови.
Белая флегмазия развивается от спазма близких артерий; кожа белая, отек плотный, боль адская.
Крайний вариант — синяя флегмазия — массивный отек, страшная боль, кожа фиолетового цвета.
Задержка жидкости в больной конечности доходит к 3-5 л, приближается гиповолемический шок.
На 4-8 сутки ишемии наступает венозная гангрена, в этом пределе смертность добирает 40-70%.
В сроки от 2 до 12 месяцев после ТГБ гемодинамика венозной сети н/к постепенно выправляется.
При реканализации всегда нарушается клапанный аппарат, оформляется вертикальный рефлюкс.
В ответ окольные глубокие и поверхностные вены расширяются, клапаны в них деформируются.
Конечная фаза длится остаток жизни, представляет течение посттромботической болезни (ПТБ).
Основа ПТБ — нарушение венозного оттока, нарастание хронической венозной недостаточности.
ХВН предусматривает отеки и трофические нарушения (пигментация, атрофическая бляшка, язва).
ПТБ порождает самые тяжелые формы ХВН; исход зависит от степени ретракции и лизиса сгустка.
Реканализация просвета вены больше частичная, редко полная; встречается полная облитерация.
Полная облитерация чаще случается в точках, где мало притоков и много окольных коллатералей.
Высокая частота облитерации — ПБВ, ОПдВ, вены малого таза, НПВ; реканализация всегда — ОБВ.
УЗДГ при тромбозе глубоких вен н/к
При подозрении на тромбоз глубоких вен маневр Вальсальвы и компрессионные пробы опасные.
Предполагается, что большая часть тромбов образуется на голени в мышечно-венозных синусах.
Продвижение тромба вверх останавливается на пересечении двух потоков — критические точки.
Частое положение тромба — СФС, слияние ПБВ и ГБВ, ПкВ в зоне присоединения синусов и ЗББВ.
В 25% случаев имеется удвоение ПБВ или ПкВ, возможно пропустить тромбоз в одном из стволов.
В режиме PW оцените фазность потока в ОБВ, чтобы предвидеть тромбоз сегментов выше и ниже.
Выше тромба спектр фазный, синхронный с дыханием; ниже — монотонный, малой амплитуды.
Свежий тромб бывает гипоэхогенный; по мере старения эхоплотность тромба может повышаться.
При тромбозе вена полностью не сжимается от давления датчиком, при ЦДК кровоток с изъяном.
Косвенный признак ТГВ — когда ЛСК на одном уровне БПВ в больной ноге выше, чем в здоровой.
Подкожные вены расширены и извиты, часто служат основным и единственным способом оттока.
Важно установить — имеется сужение или окклюзия просвета, тромб стабилен или флотирующий.
Имеет значимость длина флотирующего сегмента — более 4 см представляет высокий риск ТЭЛА.
В острый период тромбированная вена перерастянута, может казаться крупнее соседней артерии.
Ретракция и лизис уменьшают объем тромба и вены, которая становится мельче близкой артерии.
В подострый период тромб плотно припаян к стенки сосуда, которая склерозирована и ригидная.
Полное растворение тромба бывает в 20% случаев, чаще в вене сохраняются эхогенные останки.
Часто паутина рубцовых синехий; можно увидеть бляшки в стенке вены, иногда с кальцинатами.
Когда реканализация идет в центре сосуда, останки тромба создают маску кругом толстой стенки.
Когда лизис тромба не случился, вена обращается в эхогенный фиброзный тяж малого диаметра.
Когда тромб фиксирован на одной стенке, при реканализации в просвете лежит компактный тяж.
Тромбы зачинаются под клапанами, при реканализации клапанный аппарат неизбежно страдает.
Дефектный клапан имеет толстые створки, подвижность и смыкание ограничены, рефлюкс в PW.
По ходу тромбированной вены или пониже места тромбоза часто бывают венозные коллатерали.
Коллатерали обычно тонкие, извитые, переплетены; можно принять за ствол и упустить тромбоз.
При полной реканализации вены похожи на жесткие трубы без клапанов, кровоток извращенный.
При сокращении мышц кровь стремится к сердцу, к стопе, сквозь перфоранты в подкожную сеть.
При расслаблении мышц кровь стекает обратно — в нижние отделы и в глубокую венозную сеть.
На таким «качелях» в н/к остается баластная поганая кровь, формируется интерстициальный отек.
Отек особенный — поражает ткани над и под апоневрозом, объем зависит от степени тяжести ПТБ.
Нарушение микроциркуляции приближает формирование трофических расстройств и язв н/к.
Венозные язвы типичные на внутренней лодыжки; при ПТБ язва образуется быстрее, чем при ВБ.
Другая диагностика тромбоза вен н/к
Доступность глубоких вен н/к трудная при ожирении, выраженном отеке и выше паховой связки.
Магнитно-резонансная флебография информативна при тромбозе вен таза и нижней полой вены.
На голени головоломно оценить данные МРФ из-за компактного уложения артерии и парных вен.
При остром ТГВ и ТЭЛА методом ИФА определяют уровень D-димера в крови — более 500 мкг/л.
Отрицательный результат позволяет с высокой достоверностью исключить реальность ТГВ и ТЭЛА.
Положительный результат не может утверждать тромбоз, требуется дальнейшее дообследование.
D-димер высокий при остром тромбозе, травме, ДВС-синдроме, раке, инфекции, инфекциях и др.
Лечение тромбоза глубоких вен н/к
Врач УЗИ часто должен решать вопрос: «В каких случаях показана экстренная госпитализация?»
При тромбофлебите эмболоопасным считается свежий сгусток (от 0 до 7 дней) до 3-х см от СФС.
При ТГВ эмболоопасный свежий тромб в илеофеморальном и бедренно-подколенном сегменте.
Антикоагулянтная терапия — основа лечения больных с ТГВ от подколенно-бедренного сегмента.
Дебютируют с в/м введения гепаринов, следом прибавляют антагонисты витамина К (Варфарин).
За 5 дней до отмены гепарина начинают подбор дозы Варфарина до целевого значения МНО 2-3.
Длительность приема антикоагулянтов устанавливают с оглядкой на отягощающие обстоятельства.
| Тромбоз глубоких вен | Антикоагулянты | Длительность приема |
| Послеоперационный | АВК | 3 месяца |
| Идиопатический | АВК | 6-12 месяцев |
| Онкология | гепарины | 3-6 месяца |
| Тромбофилия | АВК | не менее 12-ти месяцев |
| Рецедивирующий ТГВ | АВК | пожизненно |
Удаление тромба из глубоких вен более эффективно, чем лечение одними лишь антикоагулянтами.
Флотирующий тромб в подвздошно-бедренном сегменте — абсолютное показание к тромбэктомии.
При окклюзии вены вопрос тромбэктомии решают персонально, эффективна лишь в первые 5 суток.
При тромбэктомии желательно сохранять ПБВ, т.к. в 40% случаев ГБВ не имеет прямой связи с ПкВ.
От сбережения клапаного аппарата бедренно-подколенного сегмента зависит тяжесть течения ПТБ.
Когда состояние пациента не допускает тромбэктомию, в нижнюю полую вену ставят кава-фильтр.
У четверти пациентов с кава-фильтром в ближайшие 3 года случается тромбоз нижней полой вены.
Молодым пациентам ставят съемные модели, удаляют спустя 30 суток при устранении угрозы ТЭЛА.
Опыт сын ошибок трудных
Задача. На УЗИ эффект спонтанного контрастирования над створками клапана (1); при пробе проксимальной компрессии в систолическую фазу поток ускоряется и раскрывает створки (2).

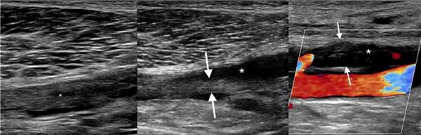
Задача. В PW-режиме фазный спектр синхронный дыханию (1); монотонный спектр указывает на препятствие выше (2).

Задача. На УЗИ острый окклюзивный тромбоз ПБВ (1); спустя время ретракция сгустка и частичная реканализация (2).

Задача. На УЗИ острый окклюзивный тромбоз ПкВ (1); ретракция сгустка (2); рецидив тромбоза с окклюзией ПкВ (3).
![]()
Протокол и заключение УЗДГ при тромбозе
Пример: Фиксированный флеботромбоз левой голени с проксимальной границей тромба в подколенной вене на уровне щели коленного сустава.
Пример: Флотирующий тромбофлебит БПВ правого бедра, с проксмальной границей тромба на уровне СФС.
Пример: Фокальный пристеночный тромбоз передней большеберцовой вены на уровне средней трети левой голени, стадия организации, полная реканализация.
Пример: Мелкий до 5 мм подклапанный тромб в большой подкожной вене правого бедра, на уровне 2 см выше щели коленного сустава.
Пример: Тотальный тромбоз глубоких вен правой голени, с проксимальной границей на уровне подколенной вены; коллатеральный кровоток по системе подкожных вен.
Пример: Относительная несостоятельность терминального клапана СФС; СПС состоятельно.
Пример: Слева выше уровня лодыжек ПББВ и ЗББВ расширены, не сжимаемы, выполнены гипо- и анэхогенными тромботическими массами; кровоток в режиме ЦДК и ИД в покое и при дистальной компрессии не регистрируется; проксимальная граница тромбоза в подколенной вены на 1 см выше щели коленного сустава; признаков флотации на момент исследования не выявлено; проксимальнее вены проходимы на всем протяжении; СФС состоятельно; СФС не проходимо.
ЭхоКГ при ТЭЛА (лекция на Диагностере)
Тромбоэмболия легочной артерии (ТЭЛА) — тромботические массы в системе легочных артерий.
Источник эмбола обычно в правых камерах сердца, глубоких венах нижних конечностей и таза.
Обрывки от сидящих тромбов заносятся в легкие и закупоривают большие или малые ветви ЛА.
Но тромб раньше КлЛа (вены большого круга кровообращения, правое сердце) не значит ТЭЛА.
Рис. Правое предсердие умеренно расширенное, в просвете флотирует лентообразный сгусток. Рис. Тромбомасса прикрепилась к межпредсердной перегородке со стороны правого предсердия. Рис. На конце канюли ECMO (стрелка в НПВ) в правое предсердие вошел тромб (правая стрелка).
Смерть от ТЭЛА
Распространенное заблуждение среди врачей, что при ТЭЛА резко повышается давление в ЛА.
На самом деле внезапно растет сопротивление в ЛА, постнагрузка и напряжение на стенку ПЖ.
ПЖ привык к низкому сопротивлению ЛА и трудно справляется со скорым ростом постнагрузки.
Первые признаки: боли в груди, одышка без видимой причины, ЧСС выше 100 ударов в минуту.
Низкий венозный возврат из легочного сосудистого русла в левое сердце вызывает гипотонию.
ТЭЛА классируют на субмассивную при дисфункции ПЖ и массивную при системной гипотонии.
Рис. Катетерное лечение тромболитеками улучшает функцию правого сердца в течение 1 часа. Рис. Из-за массивной ТЭЛА случилась острая недостаточность правых камер и остановка сердца. Рис. После системного тромболизиза состояние правых отделов сердца несколько улучшилось.
Эхо-признаки ТЭЛА
Расширенный ПЖ участвует в формировании верхушки сердца; ПЖ/ЛЖ в PLAX >0,6, в А4с >0,9.
В таких случаях нормальная толщина стенки ПЖ менее 5 мм отвергает хроническое состояние.
При острой перегрузке ПЖ гиперкинез верхушки, но гипокинез свободной стенки (FAС <35%).
Динамичная малокровная верхушка ЛЖ втягивает волокна ПЖ и создает иллюзию гиперкинеза.
Часто ТР 2-3 степени (скорость 2,5-3,5 м/с), диаметр НПВ >21 мм, инспираторный коллапс
Таким образом при острой ТЭЛА систолическое давление ЛА (СДЛА) оказывается повышенным.
ЛЖ гиперактивный; PSAX D-вид с плоской МЖП, аномальный сдвиг в ранней систоле/диастоле.
ЭхоКГ предоставляет информацию о состоянии компартментов сердца, но не исключает ТЭЛА.

Рис. Субмассивная ТЭЛА PLAX: ПЖ расширен (ПЖ/ЛЖ >0,6), а сократительная функция снижена. Рис. Субмассивная ТЭЛА А4с: регионарный гиперкинез верхушки, гипокинез свободной стенки. Рис. Субмассивная ТЭЛА PSAX: МЖП плоская, аномальное движение в ранней систоле/диастоле. Рис. Субмассивная ТЭЛА SIVC: НПВ расширена (диаметр >21 мм), схлопывание на вдохе
Движение МЖП при ТЭЛА
При ТЭЛА часто видно парадоксальное движение МЖП в раннюю диастолу и раннюю систолу.
Аномальное движение МЖП отражает резкое падение объема/давления ЛЖ в сравнении с ПЖ.
Конец диастолы: большой объем/давление ПЖ против мизерного объема ЛЖ сглаживают МЖП.
Ранняя систола: растет давление ЛЖ, стенки двигаются внутрь, аномальный сдвиг МЖП наружу.
Конец систолы: стенки ЛЖ двигаются внутрь, сохраняя полость округлой в поперечном сечении.
Ранняя диастола: стенка ЛЖ расслабляется, падает давление, МЖП двигается аномально внутрь.
60/60 для острой ТЭЛА
Эхо-признак 60/60 малочувствительный, однако чрезвычайно специфичный для острой ТЭЛА:
Градиент давления ТР оценивают уравнением Бернулли: ΔP = 4V 2 , где V — пиковая скорость ТР.
Время начала пиковой скорости КлЛа (PAT) измеряют PW в PSAX на уровне фиброзного кольца.
При высоком сопротивлении потоку вырисовывается срединно-систолическое прикрытие КлЛа.
Заключение ЭхоКГ при ТЭЛА

При хроническом легочном сердце стенка правого желудочка утолщена, правый желудочек формирует верхушку сердца, нет апикального гиперкинеза ПЖ.
Тромбоэмболия легочной артерии ( ТЭЛА )
Тромбоэмболия легочной артерии - окклюзия легочной артерии или ее ветвей тромботическими массами, приводящая к жизнеугрожающим нарушениям легочной и системной гемодинамики. Классическими признаками ТЭЛА служат боли за грудиной, удушье, цианоз лица и шеи, коллапс, тахикардия. Для подтверждения диагноза тромбоэмболии легочной артерии и дифференциальной диагностики с другими схожими по симптоматике состояниями проводится ЭКГ, рентгенография легких, ЭхоКГ, сцинтиграфия легких, ангиопульмонография. Лечение ТЭЛА предполагает проведение тромболитической и инфузионной терапии, ингаляций кислорода; при неэффективности - тромбоэмболэктомии из легочной артерии.
МКБ-10


Общие сведения
Тромбоэмболия легочной артерии (ТЭЛА) — внезапная закупорка ветвей или ствола легочной артерии тромбом (эмболом), образовавшимся в правом желудочке или предсердии сердца, венозном русле большого круга кровообращения и принесенным с током крови. В результате ТЭЛА прекращается кровоснабжение легочной ткани. Развитие ТЭЛА происходит часто стремительно и может привести к гибели больного.
От ТЭЛА умирает 0,1% населения земного шара ежегодно. Около 90% больным, умершим от ТЭЛА, во время не был установлен правильный диагноз, и не было проведено необходимое лечение. Среди причин смерти населения от сердечно-сосудистой заболеваний ТЭЛА стоит на третьем месте после ИБС и инсульта. ТЭЛА может приводить к летальному исходу при некардиологической патологии, возникая после операций, полученных травм, родов. При своевременном оптимальном лечении ТЭЛА наблюдается высокий показатель снижения уровня смертности до 2 - 8%.
Причины ТЭЛА
Наиболее частыми причинами развития ТЭЛА служат:
- тромбоз глубоких вен (ТГВ) голени (в 70 - 90% случаев), часто сопровождающийся тромбофлебитом. Может иметь место тромбоз одновременно глубоких и поверхностных вен голени
- тромбоз нижней полой вены и ее притоков
- сердечно-сосудистые заболевания, предрасполагающие к появлению тромбов и эмболий в легочной артерии (ИБС, активная фаза ревматизма с наличием митрального стеноза и мерцательной аритмии, гипертоническая болезнь, инфекционный эндокардит, кардиомиопатии и неревматические миокардиты)
- септический генерализованный процесс
- онкологические заболевания (чаще рак поджелудочной железы, желудка, легких)
- тромбофилия (повышенное внутрисосудистое тромбообразование при нарушении системы регуляции гемостаза)
- антифосфолипидный синдром — образование антител к фосфолипидам тромбоцитов, клеток эндотелия и нервной ткани (аутоиммунные реакции); проявляется повышенной склонностью к тромбозам различных локализаций.
Факторы риска
Факторы риска тромбозов вен и ТЭЛА - это:
- длительное состояние обездвиженности (постельный режим, частые и продолжительные авиаперелеты, поездки, парез конечностей), хроническая сердечно-сосудистая и дыхательная недостаточность, сопровождаются замедлением тока крови и венозным застоем.
- прием большого количества диуретиков (массовая потеря воды приводит к дегидратации, повышению гематокрита и вязкости крови);
- злокачественные новообразования - некоторые виды гемобластозов, истинная полицитемия (большое содержание в крови эритроцитов и тромбоцитов приводит к их гиперагрегации и образованию тромбов);
- длительный прием некоторых лекарственных препаратов (оральные контрацептивы, заместительная гормональная терапия) повышает свертываемость крови;
- варикозная болезнь (при варикозном расширении вен нижних конечностей создаются условия для застоя венозной крови и образования тромбов);
- нарушения обмена веществ, гемостаза (гиперлипидпротеинемия, ожирение, сахарный диабет, тромбофилия);
- хирургические операции и внутрисосудистые инвазивные процедуры (например, центральный катетер в крупной вене);
- артериальная гипертензия, застойная сердечная недостаточность, инсульты, инфаркты;
- травмы спинного мозга, переломы крупных костей;
- химиотерапия;
- беременность, роды, послеродовый период;
- курение, пожилой возраст и др.
Классификация
В зависимости от локализации тромбоэмболического процесса различают следующие варианты ТЭЛА:
- массивная (тромб локализуется в главном стволе или основных ветвях легочной артерии)
- эмболия сегментарных или долевых ветвей легочной артерии
- эмболия мелких ветвей легочной артерии (чаще двусторонняя)
В зависимости от объема отключенного артериального кровотока при ТЭЛА выделяют формы:
- малую (поражены менее 25% легочных сосудов) - сопровождается одышкой, правый желудочек функционирует нормально
- субмассивную (субмаксимальную - объем пораженных сосудов легких от 30 до 50%), при которой у пациента отмечается одышка, нормальное артериальное давление, правожелудочковая недостаточность мало выражена
- массивную (объем отключенного легочного кровотока более 50%) - наблюдается потеря сознания, гипотония, тахикардия, кардиогенный шок, легочная гипертензия, острая правожелудочковая недостаточность
- смертельную (объем отключенного кровотока в легких более 75%).
ТЭЛА может протекать в тяжелой, среднетяжелой или легкой форме.
Клиническое течение ТЭЛА может быть:
- острейшим (молниеносным), когда наблюдается моментальная и полная закупорка тромбом главного ствола или обеих основных ветвей легочной артерии. Развивается острая дыхательная недостаточность, остановка дыхания, коллапс, фибрилляция желудочков. Летальный исход наступает за несколько минут, инфаркт легких не успевает развиться.
- острым, при котором отмечается быстро нарастающая обтурация основных ветвей легочной артерии и части долевых или сегментарных. Начинается внезапно, бурно прогрессирует, развиваются симптомы дыхательной, сердечной и церебральной недостаточности. Продолжается максимально 3 - 5 дней, осложняется развитием инфаркта легких.
- подострым (затяжным) с тромбозом крупных и средних ветвей легочной артерии и развитием множественных инфарктов легких. Продолжается несколько недель, медленно прогрессирует, сопровождаясь нарастанием дыхательной и правожелудочковой недостаточности. Могут возникать повторные тромбоэмболии с обострением симптомов, при которых нередко наступает смертельный исход.
- хроническим (рецидивирующим), сопровождающимся рецидивирующими тромбозами долевых, сегментарных ветвей легочной артерии. Проявляется повторными инфарктами легких или повторными плевритами (чаще двусторонними), а также постепенно нарастающей гипертензией малого круга кровообращения и развитием правожелудочковой недостаточности. Часто развивается в послеоперационном периоде, на фоне уже имеющихся онкологических заболеваний, сердечно-сосудистых патологий.
Симптомы ТЭЛА
Симптоматика ТЭЛА зависит от количества и размера тромбированных легочных артерий, скорости развития тромбоэмболии, степени возникших нарушений кровоснабжения легочной ткани, исходного состояния пациента. При ТЭЛА наблюдается широкий диапазон клинических состояний: от практически бессимптомного течения до внезапной смерти.
Клинические проявления ТЭЛА неспецифические, они могут наблюдаться при других легочных и сердечно-сосудистых заболеваниях, их главным отличием служит резкое, внезапное начало при отсутствии других видимых причин данного состояния (сердечно-сосудистой недостаточности, инфаркта миокарда, пневмонии и др.). Для ТЭЛА в классическом варианте характерен ряд синдромов:
1. Сердечно - сосудистый:
- острая сосудистая недостаточность. Отмечается падение артериального давления (коллапс, циркуляторный шок), тахикардия. Частота сердечных сокращений может достигать более 100 уд. в минуту.
- острая коронарная недостаточность (у 15-25% больных). Проявляется внезапными сильными болями за грудиной различного характера, продолжительностью от нескольких минут до нескольких часов, мерцательной аритмией, экстрасистолией.
- острое легочное сердце. Обусловлено массивной или субмассивной ТЭЛА; проявляется тахикардией, набуханием (пульсацией) шейных вен, положительным венным пульсом. Отеки при остром легочном сердце не развиваются.
- острая цереброваскулярная недостаточность. Возникают общемозговые или очаговые нарушения, церебральная гипоксия, при тяжелой форме - отек мозга, мозговые кровоизлияния. Проявляется головокружением, шумом в ушах, глубоким обмороком с судорогами, рвотой, брадикардией или коматозным состоянием. Могут наблюдаться психомоторное возбуждение, гемипарезы, полиневриты, менингиальные симптомы.
2. Легочно-плевральный:
- острая дыхательная недостаточность проявляется одышкой (от ощущения нехватки воздуха до очень выраженных проявлений). Число дыханий более 30-40 в минуту, отмечается цианоз, кожные покровы пепельно-серые, бледные.
- умеренный бронхоспастический синдром сопровождается сухими свистящими хрипами.
- инфаркт легкого, инфарктная пневмония развивается на 1 - 3 сутки после ТЭЛА. Появляются жалобы на одышку, кашель, боли в грудной клетке со стороны поражения, усиливающиеся при дыхании; кровохарканье, повышение температуры тела. Становятся слышны мелкопузырчатые влажные хрипы, шум трения плевры. У пациентов с тяжелой сердечной недостаточностью наблюдаются значительные выпоты в плевральную полость.
3. Лихорадочный синдром - субфебрильная, фебрильная температура тела. Связан с воспалительными процессами в легких и плевре. Длительность лихорадки составляет от 2 до 12 дней.
4. Абдоминальный синдром обусловлен острым, болезненным набуханием печени (в сочетании с парезом кишечника, раздражением брюшины, икотой). Проявляется острой болью в правом подреберье, отрыжкой, рвотой.
5. Иммунологический синдром (пульмонит, рецидивирующий плеврит, уртикароподобная сыпь на коже, эозинофилия, появление в крови циркулирующих иммунных комплексов) развивается на 2-3 неделе заболевания.
Осложнения
Острая ТЭЛА может служить причиной остановки сердца и внезапной смерти. При срабатывании компенсаторных механизмов пациент сразу не погибает, но при отсутствии лечения очень быстро прогрессируют вторичные гемодинамические нарушения. Имеющиеся у пациента кардиоваскулярные заболевания значительно снижают компенсаторные возможности сердечно-сосудистой системы и ухудшают прогноз.
Диагностика
В диагностике ТЭЛА главная задача - установить местонахождение тромбов в легочных сосудах, оценить степень поражения и выраженность нарушений гемодинамики, выявить источник тромбоэмболии для предупреждения рецидивов.
Сложность диагностики ТЭЛА диктует необходимость нахождения таких пациентов в специально оборудованных сосудистых отделениях, владеющих максимально широкими возможностями для проведения специальных исследований и лечения. Всем пациентам с подозрением на ТЭЛА проводят следующие обследования:
- тщательный сбор анамнеза, оценку факторов риска ТГВ/ТЭЛА и клинической симптоматики
- общий и биохимический анализы крови, мочи, исследование газового состава крови, коагулограмму и исследование Д-димера в плазме крови (метод диагностики венозных тромбов)
- ЭКГ в динамике (для исключения инфаркта миокарда, перикардита, сердечной недостаточности)
- рентгенографию легких (для исключения пневмоторакса, первичной пневмонии, опухолей, переломов ребер, плеврита)
- эхокардиографию (для выявления повышенного давления в легочной артерии, перегрузок правых отделов сердца, тромбов в полостях сердца)
- сцинтиграфию легких (нарушение перфузии крови через легочную ткань говорит об уменьшении или отсутствии кровотока вследствие ТЭЛА)
- ангиопульмонографию (для точного определения локализации и размеров тромба)
- УЗДГ вен нижних конечностей, контрастную флебографию (для выявления источника тромбоэмболии)

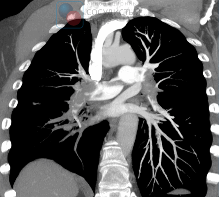
КТ-ангиография легочных артерий. Протяженный пристеночный тромб в просвете основного ствола левой легочной артерии
Лечение ТЭЛА
Пациентов с тромбоэмболией помещают в реанимационное отделение. В неотложном состоянии пациенту проводятся реанимационные мероприятия в полном объеме. Дальнейшее лечение ТЭЛА направлено на нормализацию легочного кровообращения, профилактику хронической легочной гипертензии.
С целью предупреждения рецидивов ТЭЛА необходимо соблюдение строгого постельного режима. Для поддержания оксигенации проводится постоянная ингаляция кислорода. Осуществляется массивная инфузионная терапия для снижения вязкости крови и поддержания АД.
В раннем периоде показано назначение тромболитической терапии с целью максимально быстрого растворения тромба и восстановления кровотока в легочной артерии. В дальнейшем для предупреждения рецидивов ТЭЛА проводится гепаринотерапия. При явлениях инфаркт-пневмонии назначается антибактериальная терапия.
В случаях развития массивной ТЭЛА и неэффективности тромболизиса сосудистыми хирургами проводится хирургическая тромбоэмболэктомия (удаление тромба). Как альтернативу эмболэктомии используют катетерную фрагментацию тромбоэмбола. При рецидивирующих ТЭЛА практикуется постановка специального фильтра в ветви легочной артерии, нижнюю полую вену.
Прогноз и профилактика
При раннем оказании полного объема помощи пациентам прогноз для жизни благоприятный. При выраженных сердечно-сосудистых и дыхательных нарушениях на фоне обширной ТЭЛА летальность превышает 30%. Половина рецидивов ТЭЛА развивается у пациентов, не получавших антикоагулянты. Своевременная, правильно проведенная антикоагулянтная терапия вдвое снижает риск рецидивов ТЭЛА. Для предупреждения тромбоэмболии необходимы ранняя диагностика и лечение тромбофлебита, назначение непрямых антикоагулянтов пациентам из групп риска.
Тромбоэмболия лёгочной артерии

Клинические проявления ТЭЛА зависят от локализации эмболов, степени нарушения лёгочного кровотока и сопутствующих заболеваний. Клинические признаки, хотя и не специфичны, дают основание заподозрить заболевание и ориентировочно судить о локализации поражения. При эмболии дистальных ветвей лёгочных артерий у большинства больных появляются симптомы инфарктной пневмонии: резкие “плевральные” боли в груди, связанные с дыханием, одышка, кашель со скудной мокротой, лихорадка. Кровохарканье наблюдается лишь в 1/3 случаев. При объективном обследовании выявляются влажные хрипы, шум трения плевры. Слудует учитывать, во-первых, что у 60% больных инфарктная пневмония не развивается (и тогда симптомы отсутствуют), а во-вторых, на формирование инфаркта необходимо 2-3 дня после эмболии. При наличии сопутствующей патологии сердечно-сосудистой системы дистальная эмболия может проявляться коллапсом и симптомами правожелудочковой недостаточности. При массивной ТЭЛА эмболы локализуются в лёгочном стволе или главных лёгочных артериях. Она обычно проявляется симптомами острой сердечно-лёгочной недостаточности: коллапсом, выраженной одышкой, тахикардией, болью за грудиной. В случае выключения из кровообращения более 60% артериального русла лёгких, появляются увеличение печени, набухание шейных вен. При подозрении на ТЭЛА обязательны исследования: - электрокардиография - эхокардиография - рентгенография грудной клетки - перфузионная (перфузионно-вентиляцонная) сцинтиграфия лёгких или спиральная компьютерная томография или ангиопульмононография - ультразвуковое исследование магистральных вен ног.
На ЭКГ наиболее типичными признаками являются появление Q в III отведении, глубокого S в I отведении и отрицательного Т в III отведении (синдром МакГинн-Уайт), а также блокада правой ножки пучка Гиса. Возможно появление отрицательных симметричных зубцов Т в отведениях V1-3(4); подъём ST в III, aVF, aVR и V1-3(4); смещение переходной зоны к левым грудным отведениям. Только у трети пациен- тов на ЭКГ отмечаются признаки перегрузки правых отделов сердца. У 20% больных с ТЭЛА изменения на ЭКГ отсутствуют.
На рентгенограмме можно выявить расширение верхней полой вены, увеличение правых отделов сердца, выбухание конуса лёгочной артерии, высокое стояние купола диафрагмы на стороне поражения, дисковидные ателектазы, плевральный выпот, - однако все эти симптомы малоспецифичны. Единственным характерным для ТЭЛА является симптом Вестермарка: расширение корня лёгкого и обеднение лёгочного рисунка в зоне поражения, но он наблюдается лишь в 5% случаев. Тем не менее, данные рентгенографии имеют значение для исключения пневмонии, пневмоторакса, инфаркта миокарда, перикардита.
Эхокардиография может подтвердить диагноз ТЭЛА и дифференцировать её с другими острыми заболеваниями сердца. На эхокардиограмме выявляются гипокинезия и дилатация правого желудочка; парадоксальное движение межжелудочковой перегородки; трику- спидальная регургитация; отсутствие или уменьшение респираторного спадения нижней полой вены; дилатация лёгочной артерии; признаки лёгочной гипертензии.
Сцинтиграфия информативна в 87% случаев. Она демонстрирует дефекты перфузии эмболического генеза - с чёткой очерченностью, треугольной формой и расположением, соответствующим зоне кровоснабжения поражённого сосуда (доля, сегмент). При окклюзии мелких ветвей лёгочной артерии диагностическая ценность снижается.
Мультиспиральная КТ с контрастированием сосудов позволяет визуализировать тромбы в лёгочной артерии, а также изменения лёгких, обусловленные другими заболеваниями, проявляющимися дефектами перфузии или наполнения. Чувствительность этого метода высока при локализации эмболов в крупных лёгочных артериях и существенно снижается при поражении субсегментарных и более мелких артерий.
Ангиопульмонография признаётся “золотым стандартом” в диагностике ТЭЛА. Признаками эмболии при данном исследовании служат: ампутация сосуда или дефект наполнения в его просвете. Лабораторный метод определения Д-димера используется для исключения ТЭЛА. Нормальный его уровень в плазме позволяет с точностью до 90% отвергнуть предположение о наличии ТЭЛА у больных с низкой или средней клинической вероятностью. Диагноз ТЭЛА устанавливают путём анализа результатов клинического, инструментального и лабораторного исследований. Тем не менее, при жизни диагноз правильно устанавливается только у 34% больных. В то же время, в 9% случаев имеет место её гипердиагностика.
Легочная гипертензия после тромбоэмболии

Хроническая тромбоэмболическая легочная гипертензия - форма легочной гипертензии, при которой хроническая закупорка крупных и средних ветвей легочных артерий приводят к прогрессирующему повышению легочного сосудистого сопротивления и давления в легочной артерии с нарушением функции правых отделов сердца и последующей сердечной недостаточности. Данный вариант является уникальной формой легочной гипертензии, поскольку она потенциально излечима с помощью хирургического лечения.
Диагноз тромбоэмболической легочной гипертензии чаще устанавливается в возрасте 45-60 лет. Средний возраст российских пациентов на момент установления диагноза по данным Национального регистра составляет 45,8 лет. Считается, что распространенность патологии в популяции среди женщин и мужчин равномерная. Заболевание неуклонно прогрессирует и при отсутствии полноценного лечения приводит к гибели пациентов в течение нескольких лет.
Лечение в Инновационном сосудистом центре
В нашей клинике лечение постэмболической легочной гипертензии проводистя эндоваскулярными методами - это балонная ангиопластика сужений легочных артерий. Подобный подход позволяет значительно снизить риск хирургического вмешательства (летальность при открытых операциях составляет около 10%), улучшить качество и продлить жизнь пациентов на длительный срок.
Проведению операции предшествует датальное обследование и дооперационная оценка, которая позволяет точно установить клиническую форму заболевания и возможности его эндоваскулярного лечения. Наша клиника является уникальным учреждением, выполняющим подобные вмешательства тяжелым больным с легочной гипертензией.
Причины и факторы риска
Основной причиной тромбоэмболической легочной гипертензии является тромботическая закупорка легочных артерий, которая возникает после эпизодов тромбоэмболии (отрыва тромбов) из вен конечностей или внутренних органов. Неодостаточное рассасывание тромботических масс в легочных артериях приводит к их постепенному зарастанию и изменениям всей системы легочного кровообращения. Развивается повышение давления в легочной артерии, развитие недостаточности правого желудочка, застою крови в венах и формированию тяжелой сердечной недостаточности.
Изменения легочных артерий при формировании легочной гипертензии можно условно разделить на два компонента. Первый компонент включает изменения крупных сосудов до уровня субсегментарных ветвей. Патологические поражения представлены в виде организованных тромбов, плотно прикрепленных к сосудистой стенке легочных артерий эластического типа. Они могут полностью закрывать просвет или образовать различные степени стеноза, сети и тяжи. Второй компонент- это изменения мелких легочных сосудов и микрососудистого русла.
Преобладание изменений в крупных артериях свидетельствует о "классической" - форме постэмболической легочной гипертензии, которые возможно эффективно лечить хирургическими методами. Доминирование второго компонента характерно для дистальной формы заболевания, которая считается неоперабельной.
Прогрессирование заболевания
Отеки нижних конечностей, асцит, снижение аппетита, выраженная слабость свидетельствуют о дисфункции правого желудочка, нарастании недостаточности трехстворчатого клапана. Для оценки динамики течения заболевания и эффективности проводимой терапии необходимо количественно оценивать толерантность к физическим нагрузкам (функциональный класс, тест 6-минутной ходьбы).
Функциональный резерв кровообращения постепенно снижается, что приводит к развитию осложнений в других органах и системах и постепенно ведет к неблагоприятному исходу.
Постепенно развивается сердечная недостаточность в большом круге кровообращения, которая проявляется увеличением печени и селезенки, значительным отеком нижних конечностей, накоплением жидкости в животе (асцит), которое может достигать очень больших степеней и вызывать дополнительные нарушения дыхания.
Крайняя степень правожелудочковой недостаточности приводит к скоплению жидкости во всех тканях и органах большого круга кровообращения (анасарка), постепенно развивается недостаточность функции внутренних органов (цирроз печени, почечная недостаточность).
Прогноз при легочной гипертензии
При отсутствии лечения прогноз заболевания неблагоприятный и зависит от степени легочной гипертензии. По данным зарубежных исследований десятилетняя выживаемость больных с неоперированной постэмболической легочной гипертензией составляет 5 - 20% и зависит от степени повышения давления в легочной артерии. Своевременное восстановление проходимости легочных артерий стабилизирует и улучшает состояние больных. У успешно оперированных пациентов прогноз соответствует среднему по популяции.
Преимущества лечения в клинике
![Сцинтиграфия легких]()
Жалобы и симптомы
Одышка инспираторного характера выражена в различной степени: от минимальной, возникающей при интенсивной нагрузке,до имеющей место в покое и при незначительных усилиях. Она отмечается у 98% больных на момент установления диагноза легочной гипертензии. Как правило, с течением болезни одышка прогрессивно нарастает. Приступов удушья обычно не наблюдается.
Боли в груди отмечаются у 28% пациентов обычно имеют неопределенный характер: давящие, ноющие, колющие, сжимающие; без четкого начала, продолжительностью от нескольких минут до суток. У ряда пациентов могут появляться приступы напоминающие стенокардию, что может маскировать ишемическую болезнь сердца и даже острый инфаркт миокарда.
Головокружения и обмороки отмечаются у 10% больных с тромбоэмболической легочной гипертензией чаще всего после физической нагрузки.
Кашель отмечается у 38% больных. Он связан как с застойными явлениями, так и с присоединением воспалительных изменений в легких.
Кровохарканье наблюдается у 18% больных.
Функциональная классификация легочной гипертензии
отсутствует ограничение физической активности. Обычная физическая активность не вызывает появление одышки, слабости, боли в грудной клетке, головокружения
некоторое снижение физической активности. Обычная физическая активность сопровождается появлением одышки, слабости, боли в грудной клетке, головокружения
выраженное ограничение физической активности. Небольшая физическая активность вызывает появление одышки, слабости, боли в грудной клетке, головокружения
неспособность выполнять любую физическую нагрузку без вышеперечисленных клинических симптомов. Одышка или слабость могут присутствовать даже в покое, дискомфорт возрастает при минимальной нагрузке
Опрос и осмотр пациента
Следует выяснить были ли у пациента эпизоды тромбозов глубоких вен, внезапных отеков ног, тромбофлебиты. У многих больных прослеживается семейный анамнез внезапной смерти, сердечно-сосудистой патологии и повышенной наклонности к тромбообразованию.
Объективным доказательством перенесенной тромбоэмболии легочной артерии (ТЭЛА) становится совпадение по времени клиники тромбоза вен нижних конечностей и появления одышки. В ближайшие месяцы после ТЭЛА у больных можно выявить период, когда состояние остается стабильным и малосимптомным. Это связано с тем, что правый желудочек справляется с нагрузкой и позволяет сохранить хорошую переносимость физических нагрузок до момента развития прогрессирующего ремоделирования легочных сосудов. Практически единственным надежным доказательством перенесенной ТЭЛА могут стать данные перфузионной сцинтиграфии или компьютерной томографии легких, проведенной во время острого эпизода ТЭЛА.
При общем осмотре пациентов с ХТЭЛГ может определяться синюшность (цианоз). При развитии правожелудочковой сердечной недостаточности отмечаются набухшие шейные вены, увеличение печени, периферические отеки, водянка живота.
Неинвазивная диагностика
Электрокардиография(ЭКГ) выявляет признаки гипертрофии и перегрузки правого желудочка, дилатации и гипертрофии правого предсердия (p-pulmonale), отклонение электрической оси сердца вправо.
Рентгенография органов грудной клетки позволяет уточнить этиологию ЛГ: выявить интерстициальные заболевания легких, приобретенные и врожденные пороки сердца, а также судить о тяжести ЛГ. Основными рентгенологическими признаками ЛГ являются выбухание ствола и левой ветви легочной артерии, которые формируют в прямой проекции II дугу по левому контуру сердца, расширение корней легких, увеличение правых отделов сердца. У больных постэмболической легочной гипертензией можно выявить признаки, указывающие на наличие тромбов в крупных ветвях легочной артерии (ЛА)- расширение ствола и главных ветвей ЛА, симптом деформации и укорочения корня. Специфическим признаком является обеднение легочного рисунка в зоне нарушенного кровоснабжения.
Эхокардиография (ЭхоКГ) - УЗИ сердца считается наиболее ценным неинвазивным методом диагностики ЛГ, так как не только позволяет оценить уровень давления в легочной артерии, но и дает важную информацию о причине и осложнениях ЛГ. С помощью этого метода можно исключить поражения митрального, аортального клапанов, болезни миокарда, врожденные пороки сердца с шунтированием крови, приводящие к развитию ЛГ. К сожалению, метод не позволяет дифференцировать постэмболической легочной гипертензии от других форм прекапиллярной ЛГ. Исключение составляют редкие случаи наличия массивных тромбов в стволе и основных ветвях ЛА в непосредственной близости от бифуркации.
Установление клинического класса и верификация диагноза
Легочные функциональные тесты позволяют выявить обструктивные или рестриктивные изменения с целью дифференциальной диагностики ЛГ и уточнения тяжести поражения легких. Для больных характерно уменьшение диффузионной способности легких в отношении монооксида углерода (40-80% от нормы), небольшое или умеренное снижение легочных объемов, нормальное или незначительно сниженное PaO2 и обычно сниженное из-за альвеолярной гипервентиляции PaСO2.
Вентиляционно-перфузионная сцинтиграфия легких является методом скрининга для исключения хронической тромбоэмболии как причины легочной гипертензии. У больных после тромбоэмболии обнаруживаются дефекты перфузии в долевых и сегментарных зонах при отсутствии нарушений вентиляции. Перфузионная сцинтиграфия исторически стала одним из первых методов обнаружения дефектов перфузии легочной паренхимы при ТЭЛА. Изображения, получаемые при острой ТЭЛА и ХТЭЛГ, существенно различаются. Дефекты перфузии при острой ТЭЛА более четко очерчены и резко контрастируют с нормально функционирующей тканью. При ХТЭЛГ дефекты перфузии очерчены не четко и часто не соответствуют зоне кровоснабжения крупной легочной артерии.

Компьютерная томография и КТ-ангиопульмонография
Основными задачами ангиографической диагностики являются определение степени тяжести легочной гипертензии, уточнение характера поражения легочного русла посредством ангиопульмонографии, выявление/исключение коронарной болезни. Проведение катетеризации в изолированном виде без качественной ангиопульмонографии у больного с четкими признаками ХТЭЛГ нецелесообразно. Это исследование должно дать четкую информацию врачам для решения вопроса об операбельности больного и тяжести его состояния. Гемодинамическими критериями постэмболической легочной гипертензии, выявляемыми при катетеризации правых отделов сердца, являются: среднее давление в легочной артерии (ДЛА) выше 25 мм рт. ст., давление заклинивания легочной артерии (ДЗЛА) ≤ 15 мм рт. ст., ЛСС > 2 ЕД. по Вуду (160 дин. сек см- 5 ) при наличии множественных стенозирующих и/или окклюзирующих поражений ветвей легочной артерии различного калибра.
Читайте также:


