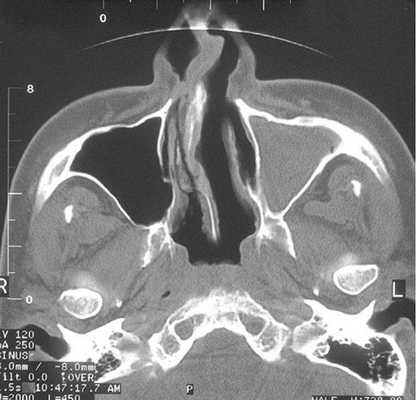
КТ папилломы носа и его пазух
Добавил пользователь Владимир З. Обновлено: 21.11.2025
КТ верхней челюсти представляет собой процедуру исследования данной кости и заключенных в ней гайморовых пазух при помощи рентгеновского излучения. Гайморовы пазухи - парные воздухоносные полости слева и справа от носа. Из-за близкого соседства с зубами верхней челюсти в них нередко оказываются корни последних. В таких ситуациях не исключено возникновение одонтогенного гайморита - воспаления верхнечелюстных синусов на фоне стоматологических заболеваний. Подобным осложнением грозит инфицирование лунки после удаления зуба.
КТ верхней челюсти и гайморовых пазух назначают при:
затрудненном носовом дыхании;
перфорации дна пазухи носа;
подозрении на нарушение целостности костей;
наличии в гайморовой пазухе инородного тела;
гранулемах и кистах у верхушек корней зубов верхней челюсти;
постоянных головных и зубных болях неясной этиологии;
тяжелых стоматологических патологиях (глубокий кариес, остеомиелит верхней челюсти и др.);
болях в носовой области;
рецидивирующем течении отита;
подозрении на новообразование синусов и верхней челюсти;
осложнениях инфекционных заболеваний ЛОР- органов;
подготовке к хирургическим операциям.
В результате обследования на компьютерном томографе врач получает снимки, позволяющие рассмотреть изучаемую область в виде тонких срезов или целостного объемного изображения.
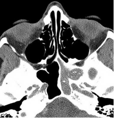
Особенности строения верхнечелюстной пазухи на КТ
По форме гайморовы пазухи напоминают усеченную четырехгранную пирамиду. В среднем, объем каждой полости составляет 10-13 см³. Размеры не являются постоянными и меняются с развитием лицевого скелета. У здорового человека толщина слизистой оболочки верхнечелюстных синусов примерно 1,0-1,5 мм. При воспалительных процессах, аллергии, простудных заболеваниях ткани отекают и гипертрофируются, что способствует утолщению стенок и уменьшению объема полостей. Патология хорошо просматривается на изображениях КТ верхней челюсти и гайморовых пазух.
Левая и правая костные каверны , как правило, симметричны. Но у некоторых пациентов при обследовании выявляют аномалии, такие, как разделение полости перегородками на несколько камер. Такое строение синуса создает определенные трудности в лечении гайморитов.
КТ верхней челюсти ценно не только в отношении изучения строения гайморовых пазух. Диагностика на компьютерном томографе дает возможность детально исследовать структуру альвеолярного отростка (зоны верхнечелюстной кости, где расположены зубы) и анатомо-топографическое соотношение корней зубов с дном полостей пазух.
Что покажет КТ гайморовых пазух
По результатам КТ верхней челюсти и гайморовых пазух врач определяет:
расположение перегородки носа и костей, образующих верхнечелюстные полости;
пути дренирования пазух;
симметричность левой и правой сторон носа и синусов;
степень пневматизации пазух;
состояние слезных протоков.
При помощи КТ верхней челюсти выявляют:
воспалительные процессы, в том числе наличие в синусах экссудата;
опухоли слизистых оболочек;
гранулемы и кисты;
посторонние предметы в носовых пазухах (пломбировочные материалы, фрагменты корней после удаления зубов, дентальные импланты);
повреждения или деформацию костей носа;
дополнительные пустоты (соустья);
Благодаря высокой разрешающей способности аппарата компьютерной томографии удается обнаружить мельчайшие патологические образования, оценить их размеры, локализацию и взаимоотношение с окружающими тканями. На основе интерпретации данных КТ и сопоставления с результатами других видов обследования стоматолог или ЛОР ставят диагноз.
Как проводят КТ верхней челюсти
КТ верхней челюсти и гайморовых пазух выглядит следующим образом:
пациент ложится на выдвижную кушетку, шею фиксируют при помощи специальной подставки;
головной конец кушетки плавно заезжает в кольцеобразное устройство, где находятся датчики и рентгеновский излучатель;
двигаясь по спирали, сканирующий комплекс делает серию послойных снимков изучаемой зоны;
при необходимости в вену вводят контрастное средство и продолжают обследование;
по окончании диагностики аппарат отключается.
Любое движение пациента во время КТ верхней челюсти может ухудшить качество снимков, поэтому на протяжении всего времени сканирования необходимо сохранять статичное положение.
Острый верхнечелюстной синусит на КТ
Острый верхнечелюстной синусит, или гайморит, может развиться после простуды, гриппа, других инфекционных заболеваний, в результате запущенного кариеса, периодонтита, стоматита, воспаления миндалин, из-за искривленной носовой перегородки и по многим другим причинам. При данном заболевании трудно дышать с закрытым ртом, возникают боли в области переносицы и около крыльев носа, появляются слизисто-гнойные выделения, поднимается температура, веко и щека на пораженной стороне краснеют и припухают.
Врач может назначить КТ верхней челюсти, если:
симптомы простуды за неделю не исчезли;
обезболивающие препараты не помогли избавиться от головной боли;
выделения из носа стали гуще и приобрели желтоватую или зеленую окраску;
3-5 дней приема антибиотиков не принесли облегчения;
беспокоят болезненные ощущения в области верхней челюсти.
При наличии у пациента симптомов острого синусита КТ верхней челюсти и гайморовых пазух, в основном, проводят без контраста. На нативных изображениях отчетливо видны:
краевое пристеночное утолщение слизистой (за счет отека и инфильтрации);
утолщение внутренних структур носа;
наличие и уровень экссудата в полости каверны;
сужение выводных протоков.
При прогрессировании воспалительного процесса отечная слизистая оболочка или воспалительный секрет могут целиком закрыть просвет пазухи, что также покажут снимки.
КТ верхней челюсти отображает наличие жидкости в полости и позволяет оценить ее плотность. Повышенная плотность содержимого пазухи указывает на гнойные формы острого синусита.
КТ при остром гайморите у детей
КТ верхней челюсти делают не только во взрослом, но и в детском возрасте, поскольку это один из наиболее информативных методов диагностики.
Острый гайморит у детей в большинстве случаев является осложнением вирусной инфекции. Поражая слизистую оболочку носа, вирус практически всегда проникает в синусы и вызывает в них воспаление. Верхнечелюстной синусит у ребенка может развиться на фоне аллергического ринита: при контакте с аллергеном слизистая носа отекает, отток секрета из пазухи ухудшается, и развивается воспаление. К другим предрасполагающим факторам можно отнести:
врожденные аномалии (искривление носовой перегородки и др.);
болезни полости рта;
наличие в организме хронического очага инфекции;
сосудистые нарушения (при ухудшении кровоснабжения гайморовых пазух снижается местный иммунитет и повышается подверженность заболеваниям).
Чтобы избежать ненужного облучения при неосложненных синуситах КТ верхней челюсти и гайморовых пазух детям делают редко. Проведение компьютерной томографии является обязательным при подозрении на внутриглазничные или внутричерепные осложнения и при подготовке к оперативному вмешательству.
КТ верхней челюсти с контрастом
Нативное КТ-исследование верхней челюсти точно диагностирует патологии в пазухах, слезных протоках и соустьях с носовой полостью. При контрастном дополнении процедуры отчетливо визуализируются расположенные рядом мягкие ткани.
Чаще всего КТ с контрастом назначают при подозрении на злокачественные процессы. Внутривенное введение препаратов на основе йода обеспечивает улучшение видимости кровеносной системы: опухоли имеют собственную сеть сосудов, которая хорошо просматривается после контрастирования. Выявляя дополнительные очаги кровоснабжения, компьютерная томография способна обнаружить новообразования на ранней стадии.
Обследование синусов без усиления не требует особой подготовки. Достаточно принести с собой направление лечащего врача, выписку из амбулаторной карты и результаты предыдущих диагностических мероприятий. Перед КТ верхней челюсти и гайморовых пазух с контрастом необходимо сделать анализ крови на креатинин. При повышении показателей креатинина применение контраста запрещено, поскольку велик риск возникновения проблем с выведением медикамента из организма.
Индивидуальная непереносимость компонентов препарата.
У пациента могут развиться реакции на йод - дерматологические (покраснение кожи, сыпь, зуд) или системные (отек лица, затруднение дыхания, бронхоспазм, отек Квинке, анафилактический шок). Подобные явления во время КТ верхней челюсти с контрастированием не исключены у людей с любой серьезной аллергией.
Прием метформина больными сахарным диабетом.
Данный медикамент снижает скорость клубочковой фильтрации почек, из-за чего повреждающее действие контрастного вещества увеличивается. В сочетании с йодсодержащими препаратами метформин может спровоцировать накопление в организме молочной кислоты (лактоацидоз). Это состояние опасно для жизни. Для пациентов, принимающих метформин, важно, чтобы за двое суток до КТ верхней челюсти с контрастом эндокринолог либо отменил препарат, либо заменил его на другое лекарство.
Гиперфункция щитовидной железы.
Вещества на основе йода накапливаются в тканях щитовидной железы, что чревато значительным ухудшением состояния больного. В данной ситуации возможность обследования с контрастом появляется только после профилактического подготовительного лечения. В любом случае КТ верхней челюсти и гайморовых пазух с применением йодсодержащих препаратов нельзя делать без консультации с эндокринологом.
Возраст до 12 лет.
Детям младшего возраста трудно попасть в вену, к тому же малышам сложно объяснить необходимость и последовательность проводимых манипуляций.
Лактация не является противопоказаниям к КТ верхней челюсти с контрастированием. Но поскольку используемый краситель отчасти проникает в грудное молоко, женщине следует заранее позаботиться о питании для ребенка. После процедуры необходимо пропустить два кормления подряд, сцеживая и выливая молоко.
Как часто можно делать КТ гайморовых пазух
Главным недостатком КТ области верхней челюсти и гайморовых пазух является облучение. По этой причине сканирование на компьютерном томографе можно проходить не чаще одного сеанса в полгода. При крайней необходимости этот интервал сокращают минимум до двух месяцев.
Процедуру не назначают беременным женщинам. Под воздействием рентгеновского излучения происходят изменение структуры атомов и молекул, что может отрицательно повлиять на эмбрион, особенно на стадии закладки органов и систем.
КТ верхней челюсти и гайморовых пазух следует с осторожностью делать детям. Растущий организм крайне чувствителен к внешним воздействиям, и в раннем возрасте сканирование проводят только по серьезным показаниям.
Чтобы от процедуры не было вреда, специалисты должны руководствоваться несколькими принципами:
направлять на компьютерную рентгенологическую диагностику лишь в ситуациях, когда другие виды обследования малоинформативны ;
учитывать суммарную дозу облучения пациента за год при различных исследованиях;
не проводить КТ верхней челюсти и гайморовых пазух, если имеются противопоказания;
при необходимости повторного обследования лучше отдать предпочтение магнитно-резонансной томографии: ее можно проводить с необходимой при выбранной тактике лечения частотой.
Соблюдение мер предосторожности позволяет избежать осложнений, способных ухудшить состояние здоровья пациента.
Инвертированная папиллома пазух и полости носа
Инвертированная папиллома полости и придаточных пазух носа — это объемное образование доброкачественной природы, способное поражать стенки носовых раковин и синусов.
Среди всех новообразований полости и пазух носа инвертированные папилломы встречаются редко (до 0,5% случаев). Заболевание чаще диагностируют у мужчин старшего возраста (возраст 50+). Среди женщин инвертированные папилломы выявляют почти в пять раз реже.
Это эпителиальные опухоли с зернистой поверхностью. Цветовые различия варьируют от серовато-белого до багряного. Внешне эти образования напоминают полипы, но отличаются меньшей прозрачностью и дольчатостью. Характерной особенностью является склонность к инвазивному росту с деструкцией мягких и даже костной ткани, то есть постепенно может начаться процесс разрушения перегородки носа, стенок синусов, дна глазницы и пр.
Инвертированные папилломы, как правило, образуются на боковой стенке средней носовой раковины, в гайморовых пазухах, ячейках решетчатого лабиринта. Нередко наблюдается сочетанное поражение сразу нескольких анатомических элементов носа. В основной и лобных пазухах новообразования данного типа выявляют крайне редко.
Папилломы могут стать причиной нарушений носового дыхания, хронических инфекционно-воспалительных заболеваний ЛОР-органов, деформации и разрушения лицевых костей, кровотечений. Риск преобразования в злокачественное новообразование достаточно высокий (около 5%). Опухоль подлежит хирургическому удалению. Причем успешно проведенная операция не исключает повторения проблемы. Пятая часть пациентов с инвертированной папилломой сталкиваются с рецидивом в первые 5-10 лет после лечения.
Новообразования бывают одиночными или множественными. Если папиллом много, установить первичный очаг практически невозможно.
В зависимости от масштабов поражения выделяют диффузную и ограниченную форму заболевания. При постановке диагноза обязательно указывают локализацию опухоли и площадь поражения.
Симптомы
Инвертированные папилломы могут долгое время не вызывать никаких симптомов. Наиболее часто встречающимся и ранним признаком заболевания считаются прогрессирующие нарушения носового дыхания, вплоть до полной непроходящей заложенности носа с одной стороны.
Больного может беспокоить зуд, щекотание, ощущение инородного тела в носу. Воспалительные изменения слизистой провоцируют выделения из носа. По мере разрастания опухоли появляется сукровичное отделяемое. Возможны периодические носовые кровотечения. Крупные образования перекрывают носовые пути и соустья пазух, вызывая нарушения обоняния, вплоть до полной его утраты.
При длительном существовании новообразование повреждает окружающие структуры, что может проявляться деформацией носа и других отделов лицевого скелета, нарушениями зрения, болью в области тройничного нерва и пр.
Причины появления инвертированных папиллом
Провокатором развития заболевания чаще всего является вирус папилломы человека (ВПЧ). По статистическим сведениям, 9 человек из 10 являются носителями данного патогена. Однако симптомы присутствия вируса в организме появляются при снижении иммунного статуса (на фоне гормональных нарушений, инфекционных болезней, патологий крови, онкологических заболеваний и пр.)
Механизм формирования папиллом в носу связан с хроническим раздражением слизистых оболочек полости носа и придаточных синусов, развивающимся на фоне острых и хронических инфекционно-воспалительных заболеваний, аллергических реакций, воздействия вредных химических веществ и пыли. В перечисленных ситуациях со временем нарушаются иммунные механизмы, что создает благоприятные условия для активизации вируса.
Диагностика
На консультации оториноларинголог проводит детальный опрос, собирает жалобы и анамнез. В рамках объективного осмотра проводят переднюю и заднюю риноскопию. Для сбора более подробных сведений выполняют эндоскопическое исследование полости носа. Если природа новообразований сомнительна, показана биопсия — забор фрагментов тканей для гистологического анализа.
Чтобы узнать степень распространенности патологического процесса, обычно назначают компьютерную томографию носа и околоносовых пазух, иногда с контрастом. В некоторых случаях для дифференциальной диагностики проводят магнитно-резонансную томографию носа и придаточных пазух.

Воспользуйтесь уникальной возможностью и получите бесплатную консультацию по поводу плановой операции. Подробнее.

Профилактика
Методов специфической профилактики не разработано. Чтобы снизить риск заболевания, следует вести здоровый образ жизни и укреплять иммунитет. Важно своевременно и в полном объеме лечить заболевания ЛОР-органов, избегать контактов с агрессивными летучими веществами. При подозрении на новообразования полости и пазух носа важно без промедления обратиться к врачу.
Методы лечения инвертированной папилломы пазух носа и полости носа
Инвертированные папилломы сино-назальной локализации не подлежат наблюдению или консервативной терапии. Из-за агрессивного развития даже первично доброкачественную опухоль лечат хирургическим путем. По причине склонности папилломы к малигнизации при ее выявлении операция показана в ближайшее время.
Хирургическое лечение
Хирургическое вмешательство по удалению инвертированной папилломы проводится эндоскопическим методом. Длинный гибкий прибор с оптической системой и каналом для инструментов вводят в полость носа и придаточной пазухи, детально изучают состояние слизистых, после чего приступают к удалению опухоли.
Для этого применяют классические инструменты или специальное оборудование (шейвер, микродебридер). Все манипуляции выполняются под визуальным контролем, что обеспечивает точность действий, полное удаление патологически измененных тканей и минимальную повреждение здоровых участков. В целом это снижает травматичность вмешательства, делает реабилитационный период более быстрым и комфортным для пациента.
Консервативное лечение
Медикаментозная терапия не эффективна. Применяется только для кратковременного облегчения симптоматики накануне операции и в послеоперационном периоде.
Инвертированные папилломы нередко принимают за обычные полипы носа и лечат соответствующим образом.

Реабилитация после хирургического лечения
Стационарное наблюдение длится 2-3 дня. По завершении операции полость носа тампонируют, при этом для сохранности носового дыхания вместе с тампонами вводят специальные трубки. В период восстановления назначают медикаментозное лечение, гигиеническую обработку полости носа и домашний режим.
Носовое дыхание восстанавливается спустя 5-6 дней по мере уменьшения отека слизистых. До полного выздоровления (3-4 недели) лучше отказаться от физических нагрузок и тепловых процедур, которые могут спровоцировать отек тканей.
Лечением заболевания занимается врач-оториноларинголог. При значительных размерах опухоли, инвазии в окружающие ткани, для оказания помощи может привлекаться онколог.
Точно определить эти сроки невозможно. Время начала инвазии зависит от расположения, размеров и особенностей развития новообразования.
При этой патологии деконгестанты малоэффективны (даже в качестве симптоматической терапии). Лучше в кратчайшие сроки пройти обследование и радикальное лечение в полном объеме.
Краевский Н.А. Паталого анатомическая диагностика опухоли Человека// Руководство для врачей, 1993. Москва.
Антонив В.Ф., лусинян н.А., Васылив т.н. и др. Переходная папиллома гортани (Особенности клиники, диагностика, лечение) // Вестник оториноларингологии. 1997. № 5. С. 40-42.
13 конгресс российского общества ринологов. Тезисы. /с.44/ ДИАГНОСТИКА И ЛЕЧЕНИЕ ИНВЕРТИРОВАННЫХ ПАПИЛЛОМ ПОЛОСТИ НОСА И ОКОЛОНОСОВЫХ ПАЗУХ.
Доброкачественное новообразование полости и пазух носа

Доброкачественные новообразования полости носа — это объемные структуры, которые могут состоять из костной, хрящевой или мягкой ткани. Эти патологические структуры способны в процессе своего роста деформировать и нарушать функции различных отделов полости носа и носоглотки.
Образования полости носа и пазух, как правило, носят доброкачественный характер. Они формируются в результате длительного сочетанного воздействия нескольких неблагоприятных факторов. Наиболее распространенными новообразованиями носа, носоглотки и придаточных синусов признаны кисты и полипы. Первые представляют собой тонкостенные полостные структуры, заполненные жидкостью. Полипы формируются в результате гиперплазии (разрастания) слизистых оболочек.
Патологии склонны к хроническому течению и медленному прогрессированию. Новообразования увеличиваются в размерах постепенно, поэтому могут годами оставаться не диагностированными. Симптомы заболеваний неспецифичны и часто на начальных стадиях не доставляют существенного дискомфорта пациенту.
Объемные образования околоносовых пазух могут стать причиной застоя секрета и развития синусита. Некоторые из них способны достигать внушительных размеров, деформировать синус и даже нижнюю стенку глазниц. Назальные и параназальные (носовые и околоносовые) новообразования становятся преградой для потока воздуха, что ведет к серьезным нарушениями носового дыхания, снижению насыщения крови кислородом и связанных с этим системных нарушений.
Для новообразований полости носа и пазух риск малигнизации (превращения в рак) минимальный, однако полностью возможность злокачественной трансформации нельзя исключать. По этой причине наличие объемных образований считается фоновым состоянием. Лечение заболевания, хирургическое.
Все патологическое образования полости носа и придаточных синусов классифицируются следующим образом:
- доброкачественные опухоли- остеомы, хондромы, гемангиомы, лимфангиомы, папилломы;
- злокачественные опухоли - эпителиальные (Плоскоклеточный рак (карцинома), Аденокарцинома и т.д.), Нейроэктодермальные (меланома Эстезионейробластома) и пр.;
- опухолеподобные новообразования - кисты, полипы, и др.
Каждый вид новообразований имеет собственную, более подробную классификацию. Поражения могут быть ограниченными (локальными) или диффузными (распространенными).
Симптомы доброкачественного новообразованиея полости носа и пазух носа
Ранние этапы развития новообразований полости носа, околоносовой пазухи и носоглотки обычно протекают бессимптомно. Первым признаком может быть учащение эпизодов насморка вне простудных заболеваний. По мере прогрессирования патологии, ринит беспокоит пациента дольше и сильнее. Возникает заложенность носа (одно- или двусторонняя), ринорея (выделения из носовых ходов). Отделяемое может иметь серозный, водянистый, гнойный характер либо содержать кровянистые включения.
Нарушения распределения давления в воздухоносных путях приводит к пересыханию одной половины носа. В результате образуются плотные корочки и трещины. При механическом очищении носа слизистые постоянно травмируются, что сопровождается носовыми кровотечениями.
Если новообразование находится внутри носовых пазух, нарушается их аэрация, возникают дисфункции мерцательного эпителия, что создает предпосылки для почти беспрепятственного развития инфекционно-воспалительных процессов синуситов. Воспаление становится хроническим и часто рецидивирует. Это приводит к таким симптомам как, насморк, заложенность одной или двух половин носа, гнойное отделяемое из носа, гнусавость голоса, головная боль, ощущение давления в области пазух.
Крупные образования, которые выходят в просвет носовых ходов, могут приводить к появлению чувства инородного тела в носоглотке, щекотанию и чиханию. Подводя итог, можно сказать, что новообразования носоглотки и придаточных синусов снижают качество жизни и могут стать причиной вторичных осложнений.
Причины
Новообразования полости носа могут быть следствием длительных воспалительных процессов в области слизистых оболочек в результате неправильного лечения ринита, хронических инфекционных заболеваниях, аллергии. На фоне продолжительного воспаления снижается местный иммунитет и возникают благоприятные условия для нарушений в работе желез, формирования кист и даже для появления мутаций в эпителиальных клетках.
Способствовать возникновению подобных изменений могут:
- частые инфекционные и простудные заболевания;
- контакты с пылью, газами, летучими химическими веществами;
- аллергические реакции;
- вредные привычки.
- анатомические особенности полости носа и пазух носа
Повышенная склонность к новообразованиям назальной полости может быть связана также с серьезными системными нарушениями (эндокринные расстройства, системные инфекционные заболевания, заболевания иммунной системы и пр.).
Диагностика доброкачественного новообразованиея полости носа и пазух носа
На первой консультации отоларинголог собирает жалобы и анамнез, выясняет давность имеющихся нарушений. Объективный осмотр включает переднюю и заднюю риноскопию. Чтобы полноценно исследовать пазухи и глубоко расположенные структуры носоглотки, проводят визуализационные эндоскопические исследования, компьютерную томографию и магнито- резонансную томографию. С помощью этих методов можно выявить даже малейшие признаки патологических изменений.

Методы лечения
Тактика лечения зависит от возраста и состояния здоровья пациента, природы новообразования, его локализации, размеров, степени влияния на окружающие ткани, риска развития вторичных осложнений. Если опухоль имеет большие размеры, деформирует кости, сдавливает мягкие ткани, затрудняет дыхание носом, пациенту рекомендуют провести операцию в ближайшее время. В случае небольших размеров новообразования и отсутствия у человека жалоб (например, если кисту выявили случайно), может быть выбрана наблюдательная тактика. При выявлении полипов перед хирургическим вмешательством могут проводить медикаментозную подготовку.
Новообразования полости носа и придаточных синусов удаляют с помощью эндоскопического оборудования. Эндоскоп оснащен источником света, видеокамерой и каналом для введения хирургических инструментов. Это миниатюрное приспособление, с помощью которого можно проникнуть внутрь полостей организма и провести хирургические манипуляции под визуальным контролем. Изображение выводится на монитор, поэтому хирург имеет возможность прицельно воздействовать на патологические ткани, не травмируя здоровые.
При удалении новообразований пазух сначала исследуют структуру носовых ходов и соустий. При необходимости, входы в пазухи расширяют. Затем врач выявляет новообразование, удаляет его. Ткани отправляют в лабораторию на гистологический анализ. В завершении операции носовые ходы тампонируют специальным синтетическим материалом, который пропускает воздух и не травмирует слизистые.
Фармакологическая терапия образований полости носа и параназальных синусов не эффективна. Медикаменты могут применяться только для снижения выраженности симптоматики.
Чтобы снизить вероятность формирования новообразований полости носа и пазух, следует отказаться от вредных привычек, вести здоровый образ жизни, поддерживать оптимальный микроклимат в жилых помещениях. Важно заниматься общим оздоровлением организма, отказаться от самолечения, вовремя обращаться за квалифицированной медицинской помощью при появлении первых симптомов недомогания. При вынужденном пребывании в условиях загрязненного воздуха, следует использовать средства индивидуальной защиты.
Новообразования обычно проявляются хроническим насморком. Человек может долго и безуспешно лечить ринит, даже не подозревая о том, что это состояние обусловлено полипами в носу или кистой в придаточной пазухе.

Реабилитация
Период восстановления длится 2-4 недели. В раннем послеоперационном периоде проводят медикаментозное лечение и гигиеническую обработку полости носа. На протяжении 2 недель после выписки показаны домашний режим, отказ от тепловых процедур и физических нагрузок.
Диагностикой и лечением занимается отриноларинголог. Злокачественные образования лечат совместно с онкологом.
Длительность стационарного наблюдения зависит от объема вмешательства. Обычно госпитализация не превышает 2-3 дней.
Вмешательство проводят под эндотрахеальным наркозом, поэтому пациент не ощущает боли.
КТ носоглотки

КТ носоглотки - неинвазивное усовершенствованное рентгенологическое исследование, которое позволяет дать оценку неопластическим болезням носа, околоносовых пазух, парафарингеального пространства. Компьютерная томография - преимущественный по сравнению с МРТ способ визуализации зон с тонкими костными структурами (околоносовые пазухи, орбита). Для диагностики патологических процессов в областях с преобладанием мягких тканей необходимо выполнение контрастирования или проведение магнитно-резонансного сканирования. Компьютерная томография носоглотки выдает последовательные объемные изображения, выстраиваемые с помощью специальной программы. Это значительно упрощает диагностику и позволяет быстро и точно установить причину недуга.
Что показывает КТ носоглотки и пазух носа?

Анатомическое строение носоглотки и гортани
Носоглотка может быть вовлечена в ряд патологических процессов, врожденных или приобретенных. Киста Торнвальдта, базальные энцефалоцеле, эпидермоиды, дермоиды, гамартромы, аденоиды развивают неприятную симптоматику, которая требует своевременной установки диагноза и соответствующего лечения. В носоглотку и пазухи носа могут распространяться патологии из соседних областей. Ранняя диагностика особенно важна в определении злокачественных опухолевых процессов, ведь радикальная терапия осуществима на начальных стадиях заболевания.
КТ носоглотки и пазух носа показывает:
Воспаление. Поражение аденоидов (разрастание лимфоидной ткани), распространение патогенной микрофлоры из пазух носа или из очага остеомиелита основания черепа, грибковые или гранулематозные инфекции (туберкулез, сифилис) можно предположить по результатам исследования. Данные патологии развиваются на фоне иммуносупрессивных состояний (ВИЧ, сахарный диабет, получение терапии, подавляющей иммунитет и пр.). Компьютерное сканирование является радиологическим исследованием выбора при оценке околоносовых пазух у пациента с синуситами.
Новообразования. Назофарингеальная карцинома - наиболее часто встречающаяся опухоль в носоглотке, составляет около 80% известных злокачественных поражений. Второе место занимают лимфомы. К редким злокачественным новообразованиям относят меланомы, рабдомиосаркомы, опухоли слюнных желез. Доброкачественное течение имеет ювенильная назофарингеальная ангиофиброма, гемангиома, инвертируемая (переходно-клеточная) папиллома. По данным КТ носоглотки рентгенолог может только предположить опухолевый процесс, окончательный диагноз устанавливают по результатам патоморфологического исследования.
Врожденные аномалии. Атрезия хоан нарушает процесс формирования носа и околоносовых пазух. На томограммах видно, если формирующие лицевой скелет структуры соединены неполно или разобщены, что привело к пороку развития. Аномалии: агенезия (отсутствие какого-либо элемента наружного носа или внутренних структур), гипергенезия (избыток тканей), дисгенезия (ассиметрия, искривление) и пр.) видны у ребенка с рождения. КТ носоглотки у детей выполняют в качестве предоперационной диагностики.
Компьютерная томография незаменима при получении травмы, инородном теле в носовой пазухе, носоглотке или гортани, так как быстрота получения результата помогает сэкономить время. Онкологи могут назначить компьютерное сканирование для отслеживания динамики после терапии, так как КТ может показывать даже мельчайшие изменения.
Как делают КТ носоглотки

Положение пациента при исследовании на компьютерном томографе
В Санкт-Петербурге сделать КТ носоглотки можно в диагностическом центре “Магнит”. Исследование проводят по предварительной записи или по экстренным показаниям в день обращения, что нужно согласовать заранее. Перед диагностикой выясняют сопутствующие заболевания, собирают аллергоанамнез (при планируемом контрастировании). Техник укладывает пациента на стол, придает необходимое положение, обеспечивает неподвижность. Наблюдение ведется из смежной комнаты с окном. Общение с персоналом осуществляется по громкой связи. Процедура запускается с помощью специальной кнопки, и стол томографа скользит вглубь тоннеля. Вокруг тела начинают вращаться датчики, полученная информация автоматически передается на компьютер. Если выполняют КТ носоглотки с контрастированием, в середине исследования внутривенно вводят радиофармпрепарат. Длительность диагностической процедуры - 15-20 минут. Каких-либо болевых ощущений нет. После окончания можно заняться привычными делами. Лучевая нагрузка при КТ на современных томографах минимальна и не приводит к развитию неблагоприятных последствий. Полученная в результате исследования информация может быть сохранена на любой электронный носитель или распечатана.
КТ или МРТ носоглотки, что лучше?

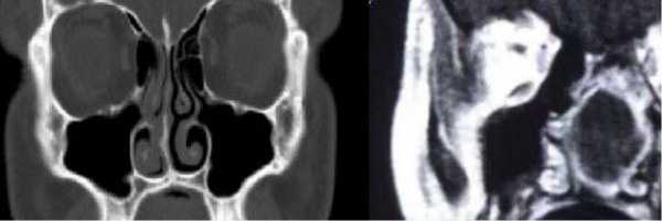
КТ (справа) и МРТ (слева) носовых пазух в коронарной проекции - фото
МРТ не подразумевает использование радиации для диагностики, поэтому более широко применяется у беременных женщин и детей. К каждому исследованию есть перечень показаний и противопоказаний, но оба метода визуализации в большинстве наблюдений являются взаимодополняющими. КТ показана для пациентов с кардиостимуляторами, имплантами, так как магнитное поле может привести к поломке приборов.
Для оценки опухолей придаточных пазух чаще проводят и КТ, и МРТ. Компьютерная томография обеспечивает качественную визуализацию деталей костной ткани, анатомические ориентиры у основания черепа. Магнитно-резонансное сканирование, по сравнению с КТ, лучше дифференцирует опухоль мягких тканей от воспалительного или геморрагического процесса, внутричерепные осложнения и метастатическую инвазию. При лимфоаденопатии шеи более показательна КТ. Чтобы избежать ненужных затратных исследований, лучше, если конкретный тип диагностики указывает лечащий врач. Если Вы решили пройти исследование самостоятельно, специалисты центра “Магнит” подскажут подходящий с учетом конкретной ситуации способ визуализации.
Подготовка к исследованию носоглотки
Какой-либо глобальной подготовки к компьютерной томографии носоглотки и придаточных пазух носа не требуется. Предыдущие результаты исследований, выписки из стационара лучше принести с собой. Металлические предметы, включая ювелирные изделия, очки, заколки, зубные протезы, оказывают влияние на качество снимков. Поэтому вышеперечисленное лучше оставить дома или удалить до обследования.
Если планируется КТ с контрастированием, необходимо предоставить результат анализа крови на креатинин, не более чем 10-дневной давности. В диагностическом центре “Магнит” (Санкт-Петербург) это тестирование можно пройти непосредственно перед КТ. Для этого нужно явиться в клинику за 15 минут до начала диагностической процедуры.
Введение контраста иногда сопровождаться развитием вегетативных симптомов, уменьшить их проявления можно с помощью неплотного перекуса за 40 минут до сканирования. Пациенты с СД, принимающие Метформин и его аналоги, должны воздержаться от сахароснижающей терапии за 48 часов до диагностики: отмену препарата необходимо обязательно согласовать с эндокринологом! Кормящим мамам следует сделать запас молока на 2 раза, а для предотвращения мастита сцеживаться.
Показания и противопоказания

Перед КТ носоглотки скажите врачу о беременности, аллергии на йодсодержащий контраст
Если в результате обычной рентгенографии диагноз вызывает сомнения или требует уточнения, обосновано сделать КТ носоглотки. Исследование проводят в качестве предоперационной подготовки для оценки важных анатомических ориентиров и их вариаций. Перечислим жалобы, при которых показано проведение КТ:
тризм (неспособность нормально открыть рот за счет мышечного спазма);
кровянистые выделения из носа (из одной ноздри);
необъяснимые носовые кровотечения;
постоянная ринорея с неустановленной причиной;
боль в носу, заложенность;
аденоидный тип лица;
пальпируемые (увеличенные) регионарные лимфоузлы;
КТ носоглотки и гортани чаще выполняют пациентам для контроля стадии опухолевого процесса уже диагностированного и леченного рака носоглотки. Симптомы, при которых обоснована диагностика:
затруднение при приеме пищи или глотании;
чувство инородного тела в горле;
дискомфорт (онемение) в нижней части лица;
хрипота/изменение качества голоса;
боль в шее, ушах или челюстях.
Противопоказания к нативному КТ - детский возраст и беременность, к контрастированному компьютерному сканированию добавляются реакции гиперчувствительности на радиофармпрепарат и заболевания почек с повышением уровня креатинина. Для пациентов с выраженной степенью ожирения (больше 150 кг) закрытая КТ технически невыполнима, так как объем тела превышает размер тоннеля томографа.
КТ носоглотки ребенку

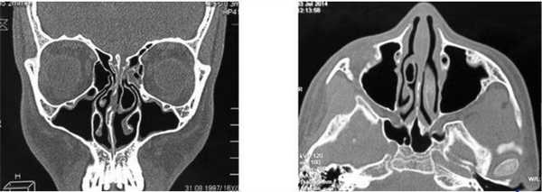
КТ околоносовых пазух ребенка с врожденной изолированной расщелиной неба во фронтальной и аксиальной проекциях - фото
Рентгенологические исследования в детском возрасте выполняют исключительно по жизненным показаниям, если результаты иных способов диагностики (эндоскопия, МРТ) требуют уточнения. Решение принимается коллегиально врачами нескольких специальностей. КТ носоглотки детям до 12 лет чаще проводят в отделениях лучевой диагностики при педиатрических клиниках. Не стоит отказываться от диагностики из-за ложных соображений о вреде для здоровья. В некоторых ситуациях (травма, подозрение на опухоль) последствия бездействия хуже выполненного КТ.
Фото томографии носоглотки
По результатам КТ любые вопросы можно задать рентгенологу, но окончательный диагноз установит лечащий врач с учетом совокупности данных выполненных исследований. Для специалиста фото томографии носоглотки привычно, опытный глаз может отличить норму от грубой патологии. Представим и Вашему вниманию снимки с объяснениями, чтобы понять суть одного из современных способов диагностики - компьютерной томографии:

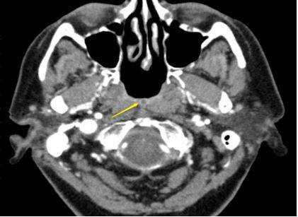
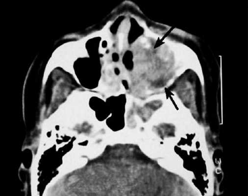
Фото - Рак носоглотки, с распространением на окологлоточное пространство (стрелкой указана зона инвазии)
Что показывает КТ пазух носа? Как делают, КТ или МРТ что лучше?

Околоносовые пазухи (синусы) представляют собой углубления в костях черепа. Слизистые оболочки полостей чувствительны к воздействию бактерий и вирусов и часто воспаляются на фоне простуды, гриппа, хронических заболеваний, инфекций во рту. КТ носа - один из самых точных методов диагностики патологий на любых стадиях развития.
Синусы - сравнительно небольшие по размеру структуры, и для их изучения необходим диагностический прибор с высокой разрешающей способностью. Этому условию соответствуют МСКТ - современные мультиспиральные томографы. Приборы оснащены большим количеством излучателей и детекторов рентгеновских волн. За одно вращение сканирующей системы регистрируются сразу несколько срезов, что обеспечивает максимальную точность информации и сокращает время процедуры.

Тотальное заполнение жидкостью (кровью?) левой верхнечелюстной пазухи, повреждение носовой перегородки на компьютерной томограмме
Что показывает КТ пазух носа
Процедура КТ носа и околоносовых пазух дает возможность изучить строение анатомических структур и выявить особенности патологического процесса. Обследование рассматриваемой области на компьютерном томографе показывает:
деструктивные изменения и травматические повреждения лицевых костей;
утолщение слизистой оболочки носа и синусов;
искривление носовой перегородки;
воспаления внутри пазух (КТ покажет гайморит, фронтит, этмоидит, сфеноидит);
абсцессы носовой перегородки;
полипы, гранулемы, кисты слизистой оболочки воздухоносных полостей лицевого черепа;
опухоли в околоносовых пазухах;
скопление крови, экссудата, гноя в синусах;
инородные тела в носовых ходах и костных углублениях;
кровоизлияния в пазухи и мягкие ткани;
стоматологические патологии (врастание корня или смещение зуба в гайморову пазуху);
воспаления в горле и носоглотке;
остеомиелит лицевых костей;

Киста в носовой пазухе
Как делают КТ пазух носа
Не все пациенты знают, что представляет собой КТ пазух носа, как делают процедуру, и насколько она безвредна. Как и любое рентгеновское обследование, компьютерная томография дает человеку определенную дозу радиации. Но при соблюдении мер предосторожности ухудшения здоровья можно не опасаться.
Обследование не причинит вреда, если пациент будет руководствоваться следующими принципами:
проходить КТ по направлению врача в случае недостаточной информативности иных диагностических методов;
принимать во внимание имеющиеся противопоказания;
учитывать суммарную дозу облучения при различных исследованиях в течение года;
при необходимости сделать повторный анализ рассматривать возможность не компьютерной диагностики, а МРТ (она считается безопасной даже для маленьких детей).
Томограф, на котором проводят КТ носа и околоносовых пазух, включает в себя передвижную кушетку и рентгеновскую установку. Устройство сканирует носовые пазухи, изображения поступают на компьютерный монитор, специалист их анализирует и занимается подготовкой описания.
Перед процедурой пациента просят снять с себя все, что содержит металл: очки, зубные протезы, шпильки, серьги, слуховой аппарат и прочее, чтобы избежать искажения снимков. Врач коротко рассказывает о КТ пазух носа - что это, сколько длится сеанс, как себя вести и что делать при появлении дискомфортных ощущений. Пациент располагается на кушетке, которую помещают в кольцо томографа. Сканирование занимает около 10 минут: все время необходимо лежать без движения.
Если требуется контрастирование, процедура состоит из двух частей. Сначала делают обычные снимки, затем обследование останавливают, вводят необходимый препарат и продолжают диагностику.
Компьютерная томография пазух абсолютно безболезненна. Единственный раздражающий фактор - характерные щелчки аппарата, но эта проблема легко решается при помощи противошумных вкладышей или наушников.

Фото: Процедура компьютерной томографии придаточных пазух носа
Подготовка к исследованию околоносовых пазух
Если не планируется применение контраста, КТ носа не требует никакой подготовки. Вам не надо будет соблюдать диету или менять привычный образ жизни.
Диагностику с контрастированием предваряет определение уровня креатинина в крови. Повышение показателей свидетельствует о проблемах с почками, при которых процедура противопоказана.

КТ с контрастом: процесс внутривенного введения усилителя - фото
Дополнительная подготовка рекомендуется женщинам в период лактации. После обследования с контрастом придется отказаться от двух кормлений подряд (молоко сцеживают и выливают). Лучше заранее позаботиться о запасах питания для малыша.
Что лучше - МРТ или КТ пазух носа
Многих пациентов интересует вопрос, что лучше - КТ или МРТ придаточных пазух носа. Данные способы диагностики решают разные задачи, поэтому выбор метода обследования зависит от конкретного случая.
В основе МРТ - влияние радиочастотных импульсов на объект, помещенный в магнитное поле высокой напряженности. С помощью этой технологии лучше всего изучать сплошные мягкие ткани. КТ применяет рентгеновское облучение, которое наиболее четко визуализирует кости и полые органы. К последним и относятся носовые пазухи.
Магнитную томографию делают:
для подтверждения/исключения перфорации дна гайморовой пазухи в результате травм или стоматологических заболеваний;
при подозрении на опухоль, полипы, кисту;
для оценки состояния слизистых оболочек синусов;
при головных болях неясного происхождения.
Также МРТ показывает воспалительные явления и кровоизлияния в околоносовые полости.

Магнитная томография околоносовых пазух: левосторонний сфеноидит
КТ-диагностику придаточных пазух делают при острых воспалениях, рецидивирующих синуситах. Исследование на компьютерном томографе покажет трещины и переломы лицевых костей, остеомиелит, осложнивший травму или стоматологическое заболевание, метастазы, распространившиеся из соседних анатомических участков.

Компьютерная томограмма носовых пазух: правосторонний гайморит
Отдавая предпочтение магнитно-резонансному обследованию или КТ носа, врач учитывает ограничения. МРТ не проводят при наличии на (в) теле элементов из металла. Происходящие в томографе процессы могут вызвать повреждение данных конструкций и самого аппарата. КТ пазух носа - это не магнит, а рентген. Металлические объекты не нарушают работу устройства, но могут проявиться на фото и спровоцировать погрешности в описании.
Из-за облучения к КТ-исследованию гайморовых пазух носа не допускаются беременные женщины (любая доза радиации вредна для плода). В такой ситуации лучший вариант - МРТ, диагностика проводится строго по показаниям.
КТ носа с контрастом
Мультиспиральные аппараты способны предоставить достаточно информации о костных структурах и присутствии в синусах жидкости, поэтому чаще КТ-анализ носа и околоносовых пазух делают без контраста. При подозрении на наличие опухоли необходимы более детальные изображения. Для повышения качества картинки применяют контрастирующее средство.
В вену вводят специальный препарат с йодом. Вещество быстро распространяется по тканям организма и окрашивает мельчайшие сосуды, включая те, которые питают новообразование. После новой серии КТ-снимков полости носа врач получает достоверные сведения о расположении и размерах опухоли, имеющей собственную сосудистую сетку. Выявляя очаги дополнительного кровоснабжения, спиральная томография (МСКТ) помогает обнаружить новообразования на начальных стадиях.

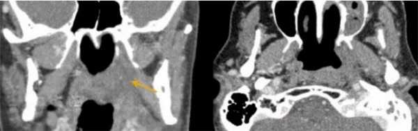
Плоскоклеточный рак на КТ носовых пазух с контрастом. Ткань опухоли отмечена длинной стрелкой, деструктивные изменения кости левого верхнечелюстного синуса - короткой.
Показания и противопоказания к томографии
Прежде всего, компьютерная томография пазух носа делается для диагностики воспалений слизистых оболочек, особенно при образовании гноя или рецидивирующем течении синусита.
Другие показания к проведению процедуры:
частые головные, лицевые, зубные боли на фоне заложенности носа и обильных выделений;
хронические простуды с регулярными обострениями;
повторяющиеся носовые кровотечения, не связанные с повышением артериального давления;
болевые ощущения, чувство распирания в области пазух;
затруднение носового дыхания;
воспаление носослезного канала;
подозрение на кисту, полип, абсцесс, опухоль;
орбитальные и внутричерепные осложнения инфекционных заболеваний ЛОР-органов;
попадание постороннего предмета в воздухоносную полость;
подозрение на кровоизлияние в пазухи;
отеки, боли в носовой области;
гранулемы, кисты около корней зубов верхней челюсти.
КТ полости носа и околоносовых пазух является важным мероприятием при планировании операций и контроле динамики после хирургического вмешательства. Обследования проводятся при неэффективности лечения синуситов с целью коррекции тактики терапии.
Противопоказания к компьютерной томографии:
ранний возраст (из-за вреда облучения КТ не рекомендуют делать детям до 5 лет);
вес пациента выше 150 кг и обхват груди (живота) больше 150 см.
Обследование с контрастом не проводится при:
аллергии, непереносимости йода;
гиперфункции щитовидной железы;
тяжелой печеночной либо почечной недостаточности;
приеме метформина больными сахарным диабетом.

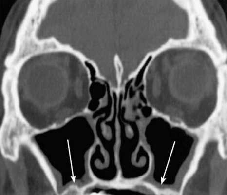
КТ носовых пазух (фронтальный срез). Стрелками отмечено утолщение слизистых оболочек
Фото томографии пазух носа
Снимки МСКТ показывают контуры, структуру, плотность всех частей пазух. По фото врач может произвести оценку:
расположения носовой перегородки;
путей дренирования синусов;
симметричности сторон носа и пазух;
степени пневматизации придаточных полостей;
состояния слезных протоков.
КТ дает изображения в поперечной (аксиальной) проекции. В специальной программе фото можно увеличить и рассмотреть мельчайшие детали. При помощи реформатирования рентгенолог реконструирует картинку в желаемой анатомической плоскости. Чаще всего это две дополнительные проекции - корональная (фронтальная) и сагиттальная (делит объект на левую и правую части). Также есть возможность создать объемную модель, отрезать «лишние» фрагменты, что упрощает изучение области интереса и облегчает трактовку данных.

Процесс оценки врачом компьютерной томограммы
КТ или МРТ пазух носа
У нас есть услуга «второе мнение». В клинику можно обратиться с уже описанными снимками или просто принести томограммы и получить консультацию по результатам КТ или МРТ придаточных пазух носа.
Читайте также:
- Иммунологическое бесплодие
- Варианты и классификация птоза
- Топография сосудов в подключичной области. Подключичная артерия. Топография подключичной артерии. Нервы подключичной области.
- Термины лучевой диагностики опухоли органов грудной клетки
- Согревание воздуха в полости носа. Функция слизеотделения носа
