КТ при антрохоанальном полипе
Добавил пользователь Евгений Кузнецов Обновлено: 02.11.2025
Хоанальные полипы являются редкой патологией и составляют 4-6% от числа всех полипозных риносинуситов.
В зависимости от формирования ножки полипов в анатомических структурах полости носа и/или околоносовых пазухах, а также места локализации полипа, хоанальные полипы разделяются в основном на 3 вида:
- антрохоанальные полипы
- сфенохоанальные полипы
- этмоидохоанальные полипы
Вместе с тем, в литературе имеются сведения и о других разновидностях полипов, унификация которых, позволяет добавить в нозологию данной патологии также
- фронтохоанальные полипы
- септохоанальные полипы
- конхохоанальные полипы
, каждый из которых, в свою очередь, имеет свои клинико-патогенетические особенности.
Хоанальные полипы, несмотря на некоторые сходства с полипозными риносинуситами, относительно клинического проявления заболевания и морфологической структуры образования, они, в то же время, имеют различные этиопатогенетические механизмы развития, что позволяет рассматривать их в концепции отдельной нозологической формой заболевания.
Так, если в числе больных с данной патологией наиболее часто обнаруживаются антро - и сфенохоанальные полипы, то хоанальные полипы развивающимся из клеток решетчатого лабиринта, лобной пазухи, перегородки носа и носовых раковин встречаются весьма редко.
Хоанальные полипы, развивающихся из носовых раковин, по сравнению с другими видами хоанальные полипы - явление крайне редкое, и, в силу некоторых особенностей (патоморфологического процесса полипообразования), вопросы диагностики и хирургического вмешательства могут вызвать ряд затруднений.
В доступной литературе удалось найти описание лишь 3 случаев хоанальных полипа, развивающихся из носовых раковин, в 2 из которых полипы развивались из нижней носовой раковины, а в одном случае, местом развития полипа была средняя носовая раковина. Сведений о хоанальных полипах, одновременно развивающимся из средней и нижней носовой раковины в доступной нам литературе найти не удалось.
КТ при антрохоанальном полипе
ФГБОУ ВО «Ростовский государственный медицинский университет» Минздрава России, Ростов-на-Дону, Россия
Клинические особенности антрохоанальных полипов: описание случаев и обзор литературы
Журнал: Российская ринология. 2016;24(3): 52‑56
В статье приведено описание двух клинических случаев антрохоанальных полипов (АХП): у 17-летней девушки АХП гигантского размера вызвал двустороннюю назальную обструкцию, ринорею и диспноэ в положении лежа на спине, у 17-летнего юноши авторам удалось проследить трансформацию антрального полипа в АХП. В обоих случаях диагноз был поставлен с помощью эндоскопического исследования полости носа и компьютерной томографии околоносовых пазух и подтвержден гистопатологическим исследованием удаленных полипов. В первом случае ввиду необычных размеров полипа для полного его удаления использован комбинированный (эндоназальный и трансоральный) доступ. В статье обсуждаются клинические характеристики АХП и данные исследований последних лет об их этиопатогенезе и хирургическом лечении.
Антрохоанальные полипы (АХП) составляют 4—6% всех полипозов носа [1], у детей их частота достигает 33% [2]. Это, как правило, односторонний процесс, хотя имеются единичные наблюдения и двусторонних АХП [3, 4].
Типичными клиническими симптомами АХП являются затруднение носового дыхания, ринорея и постназальный затек [2, 5]. Среди других симптомов отмечаются головная боль, гипосмия, храп, синдром обструктивного апноэ сна, галитоз, носовое кровотечение [2]. Однако при гигантских размерах АХП, достигающих нижних отделов глотки, присоединяются диспноэ, дисфагия, в редких случаях — кахексия [6—12].
Приводим описание двух клинических случаев АХП. В первом случае гигантский размер АХП вызвал появление необычных клинических симптомов заболевания. Во втором наблюдении нам удалось проследить скорость трансформации антрального полипа в АХП.
Клиническое наблюдение 1
Пациентка К., 17 лет, поступила в ЛОР-клинику в январе 2016 г. с жалобами на отсутствие носового дыхания, ринорею, гипосмию, появление одышки при физической нагрузке и чувства удушья в положении лежа на спине, вследствие чего последние месяцы больная спала на животе. Пациентка считает, что затруднение носового дыхания появилось за 4 мес до обращения в ЛОР-клинику, его возникновение связывает с перенесенной острой респираторной вирусной инфекцией.
При осмотре: правая половина носа заполнена густой вязкой слизью, в левой половине отмечено небольшое количество слизи. Перегородка носа искривлена вправо. При фарингоскопии определяется полиповидное образование, свисающее из носоглотки, оттесняющее мягкое небо кпереди и закрывающее собой всю заднюю стенку глотки. При отдавливании корня языка увидеть край этого образования не удалось, хотя оно оказалось подвижным. При эндоскопическом исследовании полости носа после эвакуации слизи электроотсосом в правой половине обнаружена ножка АХП, исходящая из верхнечелюстной пазухи, задние отделы полости носа полностью заняты полипом, который частично обтурирует просвет хоаны и с противоположной стороны.
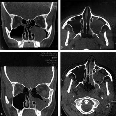
Пациентке была проведена спиральная компьютерная томография (СКТ) околоносовых пазух, которая позволила обнаружить АХП, исходящий из правой верхнечелюстной пазухи, спускающийся в гортаноглотку почти до уровня верхнего края надгортанника (рис. 1, а—в).

Рис. 1. СК-томограмма околоносовых пазух больной К. а, б — аксиальная проекция: определяется АХП, исходящий из правой верхнечелюстной пазухи и занимающий всю носоглотку; в — коронарная проекция: полип спускается в гортаноглотку до уровня края надгортанника; г — удаленный полип.
Удаление АХП было произведено под контролем эндоскопа под местной анестезией, поскольку интубация оказалась невозможной из-за дистальной части полипа, занимавшей гортаноглотку почти полностью. Сначала полип захватили зажимом через рот, затем его ножку пересекли на уровне выхода через добавочное соустье в задней фонтанелле, после чего полип был извлечен через рот (см. рис. 1, г). При ревизии пазухи через расширенное соустье была удалена оставшаяся часть полипа.
Данное наблюдение представляет интерес в связи с гигантскими размерами полипа, вызвавшего двустороннюю назальную обструкцию и нарушение дыхания в положении лежа на спине.
В литературе имеются лишь единичные описания случаев диспноэ, вызываемых АХП [7, 9]. Затруднений при проглатывании пищи у больной не было, хотя полип имел большой переднезадний размер и спускался в гортаноглотку. Обращает на себя внимание, что пациентка называет явно заниженные сроки заболевания — 4 мес. Вероятно, в этот период у нее появилось затруднение дыхания через противоположную половину носа, что и послужило поводом для обращения к врачу.
Клиническое наблюдение 2
Больной Ф., 17 лет, поступил в ЛОР-клинику в январе 2016 г. по поводу отсутствия дыхания через левую половину носа, ринореи, постназального затека. Считает себя больным в течение 6 мес. В сентябре 2015 г. обращался с подобными жалобами к оториноларингологу, однако при осмотре в полости носа патологических изменений не выявлено; на СКТ от 09.09.2015 была обнаружена киста левой верхнечелюстной пазухи (рис. 2, а, б).

Рис. 2. СК-томограмма больного Ф. а, б — СКТ от 09.09.2015: определяется киста левой верхнечелюстной пазухи, полость носа свободна; в, г — СКТ от 12.01.2016: имеется киста и АХП.
В январе 2016 г. при проведении передней риноскопии и эндоскопического исследования у больного обнаружен АХП слева. На СКТ околоносовых пазух от 12.01.2016 выявлен АХП, исходящий из левой верхнечелюстной пазухи (см. рис. 2, в, г). Полип был удален эндоскопически.
Данный случай интересен тем, что нам удалось документировать срок, в течение которого полип распространился из верхнечелюстной пазухи в полость носа, а затем и в хоану. Для этого потребовалось 4 мес.
Этиология АХП неизвестна. В литературе обсуждается роль хронического воспаления и аллергии в формировании АХП, но ни одна из теорий на сегодняшний день не получила подтверждения [2, 13].
Морфологические исследования АХП и множественных полипов носа выявляют некоторые отличия в их микроскопическом и ультраструктурном строении [14], а также в процессах ангиогенеза [15], что указывает на различия в механизмах формирования этих патологических образований.
Многие авторы [1, 16] полагают, что образование АХП связано с предсуществующей кистой в верхнечелюстной пазухе, которая может в течение долгого времени быть бессимптомной [17], но затем ее оболочка дает начало росту полипа, который проникает в полость носа через естественное или добавочное соустье с последующим распространением в сторону хоаны. P. Frosini и соавт. [1] объясняют образование АХП повышением давления в верхнечелюстной пазухе, развивающимся вследствие патологии остиомеатального комплекса. Предположение о роли анатомо-физиологических особенностей и нарушения вентиляции пазухи в патогенезе АХП подтверждается исследованием S. Aydin и соавт. [18], которые продемонстрировали статистически достоверное увеличение объема обеих верхнечелюстных пазух у пациентов с АХП по сравнению со здоровыми людьми. Кроме того, имеются доказательства частого сочетания АХП и патологии латеральной стенки полости носа. Так, A. Zakrzewska и соавт. [19] изучили анатомические особенности двух групп детей (по 15 человек в каждой): с хроническим риносинуситом (1-я группа) и АХП (2-я группа). В группе детей с АХП у 7 человек было обнаружено добавочное соустье верхнечелюстной пазухи и у 4 — значительное увеличение размеров естественного соустья, в то время как у пациентов с хроническим риносинуситом подобная патология не была выявлена ни в одном случае.
Роль увеличения размера выводного отверстия верхнечелюстной пазухи и формирования дополнительных соустий с полостью носа в образовании АХП подчеркнута Г.З. Пискуновым и С.З. Пискуновым [20]. Авторы полагают, что в условиях нарушения аэродинамики полости носа и повышения аэрации верхнечелюстной пазухи развивается мукоидная дегенерация собственного слоя слизистой оболочки с образованием ложных кист, из которых начинается формирование ножки полипа. Важной особенностью псевдокист авторы считают отсутствие внутреннего диапедеза нейтрофильных гранулоцитов, чем объясняют редкость гнойного воспаления при АХП. Рост полипа в сторону соустья авторы объясняют присасывающим эффектом во время дыхания.
H. Mostafa и соавт. [22], проанализировав 25 случаев эндоскопического удаления АХП, отметили, что интрамаксиллярная часть полипа была кистозной только у 2 (8%) больных, а у 23 (92%) пациентов представляла собой ножку полипа, не отличающуюся по структуре от остальной части образования. Авторы изучили строение переходной зоны между ножкой полипа и нормальной слизистой оболочкой пазухи в целях выявления нарушений в лимфатической системе данной области. Оценку плотности лимфатических сосудов проводили по идентификации эндотелиальных рецепторов к гиалуроновой кислоте (LYVE-I). В результате исследования установлено, что в переходной зоне их плотность достоверно выше, чем в окружающей слизистой оболочке, это указывает на наличие лимфатической обструкции (первичной или вторичной, в результате воспаления). По мнению авторов, обнаруженная лимфатическая обструкция может играть решающую роль в процессах возникновения и роста АХП.
Роль воспалительных триггеров в возникновении АХП продолжает привлекать внимание исследователей. В последние годы получены данные, позволяющие исключить возможное участие стафилококкового суперантигена в патогенезе АХП [23, 24]. Имеются работы по изучению роли матриксных протеиназ в патогенезе АХП [25], но это направление требует дальнейшего изучения.
В качестве одной из возможных причин возникновения АХП обсуждается папилломавирусная инфекция (ПВИ). Так, M. Knör и соавт. [26] при исследовании 257 фрагментов слизистой оболочки полости носа обнаружили ДНК-последовательности вируса папилломы человека (ВПЧ) в хоанальных полипах в 55,8% случаев, в тканях обычных полипов — в 15,1% и в слизистой оболочке носовых раковин — в 5,8%, что, по мнению авторов, говорит о наличии латентной ПВИ. Аналогичные данные о присутствии ВПЧ были получены при исследовании ткани инвертированной папилломы носа [27]. Учитывая особенности взаимодействия ВПЧ с тканями, в частности его способность нарушать программированную гибель клетки, изучение роли ПВИ в развитии гиперпластических процессов представляется перспективным направлением.
Лечение АХП всегда хирургическое. Применяемые ранее традиционная полипотомия и операция по Калдвеллу—Люку в настоящее время уступили место эндоскопическим техникам. Простая полипотомия дает высокий процент рецидивов, особенно у детей и лиц молодого возраста. Операция по Калдвеллу—Люку обеспечивает хороший обзор пазухи, но таит в себе опасность осложнений в виде длительной анестезии и отека щеки, повреждения инфраорбитального нерва, зачатков зубов и центров роста верхней челюсти у детей, что в последующем приводит к развитию гипоплазии пазухи [28].
Следует подчеркнуть, что неполное удаление антральной части полипа сопряжено с риском его рецидива. Частота рецидивов АХП составляет от 5,3 [29] до 11,1% [21], сроки рецидивирования — 1,2±0,6 года [30], причем рецидивы наблюдаются чаще у детей [5]. S. Chaiyasate и соавт. [30] рекомендуют наблюдать больных после удаления АХП в течение 2 лет, поскольку в этот период удается выявить 95% рецидивов.
Большинство авторов [1, 29—32] являются сторонниками применения функциональной эндоскопической синус-хирургии (Functional Endoscopic Sinus Surgery, FESS) для удаления АХП. N. Choudhury и соавт. [33] сообщают об отсутствии рецидивов АХП у 29 больных, оперированных эндоскопически при сроках наблюдения в среднем 22,5 мес.
В тех случаях, когда не удается обеспечить полное удаление ножки полипа эндоскопически, целесообразно использовать комбинированный способ с применением FESS и микрогайморотомии [1, 13, 29, 31]. Для обеспечения полноценного удаления АХП предлагается использовать все возможные средства для улучшения обзора и (в последующем) вентиляции пазухи: частичное удаление крючковидного отростка, достаточное расширение соустья, при необходимости частичную эндоскопическую септопластику, вмешательство на носовых раковинах, аденотомию, а также эндоскопы с различными углами зрения и шейверы [34, 35].
Таким образом, проблема АХП требует изучения для выявления этиопатогенетически значимых факторов, что обеспечит дальнейший прогресс в лечении и профилактике данного заболевания.
Курский государственный медицинский университет Минздрава России, Курск, Россия, 305004
кафедра лучевой диагностики и терапии Курского государственного медицинского университета Минздрава России, Курск, Россия, 305000
БМУ «Курская областная клиническая больница» Комитета здравоохранения Курской области, Курск, Россия
ФГБОУ ВО «Курский государственный медицинский университет» Минздрава России, Курск, Россия
Гигантский сфенохоанальный полип под «маской» носового кровотечения
В статье описан клинический случай гигантского сфенохоанального полипа с симптоматикой рецидивирующих носовых кровотечений, причиной которых являлся костный шип, растущий из свода носоглотки. Ведущая роль в диагностике принадлежала компьютерной томографии.
Полипозный риносинусит — хроническое заболевание слизистой оболочки носа и околоносовых пазух, основным клиническим проявлением которого является образование и рецидивирующий рост полипов. Полипы, опускающиеся из полости носа в хоану, принято называть хоанальными.
В зависимости от того, откуда исходит ножка полипа, различают антрохоанальный, фронтохоанальный, этмоидохоанальный, сфенохоанальный полипы [1—3].
Наиболее часто в клинической практике встречаются антрохоанальные полипы, причины возникновения которых и морфогенез обстоятельно изучены [1, 4, 5]. Полипы, исходящие из других околоносовых пазух и проникающие в носоглотку через хоану, такие как сфенохоанальные и этмоидохоанальные, встречаются редко [6].
Этиология сфенохоанальных полипов неясна, хотя в некоторых работах указывается на аллергию как предрасполагающий фактор [7]. Изучая причины образования антрохоанальных полипов, в том числе и сфенохоанальных, С.З. Пискунов и соавт. [8] пришли к выводу, что патологический процесс в пазухах может возникать при наличии одного большого или нескольких естественных отверстий. В этих случаях патологический процесс протекает в собственном слое слизистой оболочки и ведет к формированию ложных кист и полипов.
Сфенохоанальные полипы наблюдаются в равной степени у обоих полов, в большинстве случаев — у подростков и молодых людей [9, 10].
Специфических жалоб, характерных для сфенохоанальных полипов, не существует. Больные отмечают заложенность носа, слизистые выделения из носа, головную боль, храп, редко — заложенность уха, связанную с обструкцией евстахиевой трубы [11, 12].
Носовые полипы визуализируются преимущественно при передней риноскопии, тогда как для диагностики сфенохоанальных полипов требуется эндоскопическое исследование и обязательное проведения компьютерной томографии (КТ) [9].
Учитывая анатомические особенности расположения клиновидной пазухи, близость сонной артерии и ее возможные аномалии, такие как аневризма и расслоение, прилежание зрительного нерва, для избежания интра- и послеоперационных осложнений проведение КТ является «золотым стандартом» в диагностике сфенохоанального полипа [13, 14].
Дифференциальную диагностику сфенохоанальных полипов необходимо проводить с гипертрофией аденоидов, ангиофибромой носоглотки, кистой Торнвальдта, опухолью гипофиза, лимфомой, инвертированной папилломой, глиомой и раком носоглотки [9, 11].
В некоторых исследованиях сообщается, что небольшие сфенохоанальные полипы могут протекать бессимптомно и способны самостоятельно регрессировать, вследствие чего только полипы, которые значительно увеличиваются в размерах в результате рецидивирующих вторичных инфекций, являются симптоматическими и требуют оперативного лечения [15].
Эндоскопическая сфеноидотомия с удалением полипозной ткани является преимущественным методом лечения больных с такой патологией и позволяет полностью удалить полип, включая место его происхождения, что сводит к минимуму риск рецидива [16—18].
При проведении анализа доступной литературы не было найдено наблюдений гигантского сфенохоанального полипа, осложненного носовым кровотечением. Приводим собственное клиническое наблюдение.
Клиническое наблюдение
Пациент Л., 30 лет, был переведен в лор-отделение Курской областной клинической больницы 26.02.2018 в 10:15 из районной больницы, где находился на стационарном лечении в течение 7 дней (с 19.02.2018 по 26.02.2018) по поводу рецидивирующего носового кровотечения из правой половины носа. Больному неоднократно выполнялась передняя тампонада носа, при удалении которой кровотечение спустя незначительный промежуток времени (1—2 ч) рецидивировало.
При осмотре больной предъявлял жалобы на носовое кровотечение из правой половины носа, затруднение носового дыхания, заложенность правой половины носа, снижение обоняния.
Впервые заложенность носа пациент Л. отметил около 3 лет назад, тогда же было диагностировано новообразование правой половины носа. Носовые кровотечения появились около 3 мес назад, эпизодически рецидивировали и носили кратковременный характер, самостоятельно купировались, консервативного лечения не проводилось. В течение последних 10 сут кровотечение из правой половины носа приобрело постоянный характер, в связи с чем больной был госпитализирован в районную больницу.
После удаления передней тампонады отмечалось возобновление интенсивного кровотечения, преимущественно по задней стенке глотки. При передней риноскопии в правой половине носа определялось новообразование бледно-серого цвета, обтурирующее правую половину носовой полости, из-за чего эндоскопическое исследование полости носа было невозможно. При задней риноскопии визуализировалось новообразование плотноэластической консистенции бледно-серого цвета, обтурирующее всю правую половину носоглотки. Показатели общего и биохимического анализа крови, коагулограммы — в пределах нормы.

С целью диагностики пациенту была выполнена КТ околоносовых пазух (рис. 1, а—г). Рис. 1. КТ околоносовых пазух пациента Л., 30 лет, до операции. а, б — аксиальная плоскость; в — реконструкция в сагиттальной плоскости; г — 3D-реконструкция в режиме «костного окна». Образование носоглотки, распространяющееся из левой клиновидной пазухи через расширенное естественное соустье (белые стрелки); костный шип, растущий из свода носоглотки и состоящий из двух фрагментов, соединенных узким костным «мостиком» (контурные стрелки). По данным КТ было обнаружено образование мягкотканной плотности больших размеров, полностью заполняющее просвет носоглотки и распространяющееся через хоану в левую половину полости носа (см. рис. 1, а, в). Естественное соустье левой клиновидной пазухи было резко расширено, через него образование проникало в саму пазуху (см. рис. 1, в). В своде носоглотки, чуть ниже расширенного соустья клиновидной пазухи, визуализировался костный шип, который вместе с мягкотканным образованием опускался в носоглотку до уровня твердого неба (см. рис. 1, б—г). Обращало на себя внимание то, что шип состоял из двух фрагментов, соединенных между собой узким «мостиком» (см. рис. 1, в, г). Общая длина шипа достигала 35 мм.

Пациенту в связи с невозможностью выполнения эндоскопического оперативного лечения за счет гигантских размеров новообразования было выполнено его удаление через рот при помощи окончатых щипцов Юраша для носоглотки под местной поверхностной анестезией 10% лидокаином (рис. 2). Рис. 2. Макроскопическое оперативное изображение удаленного полипа. Полип серо-желтого цвета, плотноэластической консистенции, длиной 14 см (в расправленном состоянии), шириной от 3 до 7 см, толщиной 3 см. А — часть полипа, обтурирующего клиновидную пазуху; В — ножка полипа; С — часть полипа, расположенная в носоглотке. По данным макроскопического исследования: новообразование плотноэластической консистенции, по внешнему виду напоминает полипозную ткань.
Сразу после удаления новообразования носовое кровотечение остановилось.

После удаления полипа пациенту было проведено эндоскопическое исследование полости носа, при котором определялось патологически расширенное соустье правой клиновидной пазухи. Слизистая оболочка на нижней стенке была полипозно изменена, визуализировался остаточный фрагмент ножки полипа, который вместе со слизистой оболочкой был удален щипцами Блексли (рис. 3). Рис. 3. Эндоскопический обзор патологически расширенного устья клиновидного пазухи, вызванного сфенохоанальным полипом.

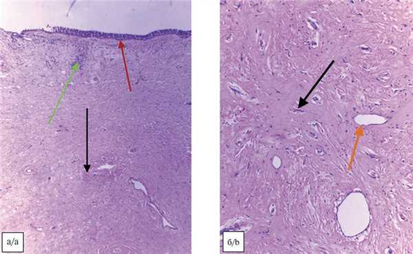
Результаты гистологического исследования представлены на рис. 4. Рис. 4. Гистологическое исследование удаленного материала. Определяется выраженный фиброз стромы полипа (черная стрелка), большое количество сосудов разного калибра (оранжевая стрелка), в отдельных сосудах склероз стенки, поверхность полипа частично выстлана мерцательным эпителием (красная стрелка). В субэпителиальных отделах имеет место отек, очаговая полиморфно-клеточная воспалительная инфильтрация (зеленая стрелка). Окраска гематоксилином и эозином. Ув. 10 (а); ув. 20 (б).

Послеоперационный период протекал без особенностей, носовые кровотечения не рецидивировали. Больной был выписан на 5-е сутки в удовлетворительном состоянии без каких-либо жалоб. Результаты контрольной КТ показали, что образование в носоглотке тотально удалено, в своде носоглотки сохранился небольшой фрагмент ножки полипа, в которой дифференцировался небольшой остаточный костный шип (рис. 5 а, Рис. 5. КТ околоносовых пазух пациента Л. после операции. а, б — реконструкция в сагиттальной плоскости. Образование носоглотки удалено, в своде носоглотки визуализируется фрагмент ножки полипа, в котором виден небольшой костный шип (стрелки). б).
При контрольном эндоскопическом осмотре полости носа через 1, 3, 6 и 10 мес признаков рецидива полипа не было обнаружено.
Настоящее наблюдение представляет интерес, кроме гигантских размеров, необычным морфологическим строением полипа. Известно, что доброкачественные пролиферативные процессы в полости носа и околоносовых пазухах могут сопровождаться специфическим изменением костных стенок в виде локального гиперостоза, выявляемым при КТ и являющимся достаточно характерным признаком, отличающим их от злокачественных новообразований [19].
В приведенном случае гиперостоз был представлен в виде узкого и протяженного костного шипа (в общей сложности длиной до 35 мм), на котором, как на игле, располагался полип, поэтому постоянное травмирование костным шипом мягкой ткани полипа послужило причиной рецидивирующих носовых кровотечений.
Заключение
Симптомы сфенохоанального полипа неспецифичны и могут носить «маску» носового кровотечения. Адекватное предоперационное обследование, включающее выполнение КТ придаточных пазух носа, необходимо для постановки правильного диагноза и определения дальнейшей тактики хирургического лечения.
Участие авторов:
Сбор и обработка материала — Н.Н., В.П., И.П., И.Т., В.К.
Написание текста — Н.Н., В.П., И.П.
Редактирование — Н.Н., В.П., И.П.
Авторы заявляют об отсутствии конфликта интересов.
The authors declare no conflicts of interest.
Сведения об авторах
Хоанальный полип ( Фибромиксома носоглотки )
Хоанальный полип - это доброкачественное образование носоглотки. Основными симптомами являются одностороннее нарушение носового дыхания вплоть до его полного отсутствия, чувство сухости и заложенности, наличие выделений из носа, закрытая гнусавость, храп. В дальнейшем развиваются тубоотиты, кондуктивная тугоухость, нарушение акта глотания и хроническая гипоксия. В процессе диагностики используются анамнестические сведения, данные общего осмотра, риноскопии, мезофарингоскопии, рентгенографии и компьютерной томографии, при симптомах отита - отоскопии и аудиометрии. Основной метод лечения - хирургическое удаление.
МКБ-10
Общие сведения
Хоанальный полип, или фибромиксома носоглотки - относительное редкое заболевание, его распространенность колеблется в пределах 3-7% от всего количества полипозных риносинуситов. Самые часто встречающиеся формы - антрохоанальная и сфенохоанальная. Они составляют порядка 75% от общего числа случаев. Чаще всего болезнь диагностируется у лиц в возрасте от 15 до 35 лет. Патология с одинаковой частотой обнаруживается среди мужчин и женщин. Географических особенностей не прослеживается.
Осложнения развиваются у 25-30% больных, зачастую - в виде аносмии, хронических заболеваний верхних дыхательных путей, дисфункции слуховой трубы. Нарушение слуха наблюдается 15-20% пациентов. Частота рецидивов после полноценного лечения не превышает 1,5%.
Причины
Точная этиология неизвестна. Большинство отоларингологов отводят ведущую роль наследственной предрасположенности и аллергическим заболеваниям, реже - муковисцидозу и неврологическим нарушениям. Существуют также эндокринная и дисэмбриональная теории развития. Возникновение фибромиксомы связывают с одновременным воздействием нескольких факторов, к числу которых относятся:
- Врожденные аномалии носа. Склонность к образованию полипов характерна для лиц с деформированными, узкими носовыми ходами, искривленной носовой перегородкой, пороками развития слизистых оболочек носовой полости.
- Частые инфекционные заболевания. Включают все респираторные вирусные инфекции, которые сопровождаются устойчивым к терапии или рецидивирующим ринитом.
- Длительное употребление медикаментов. Спровоцировать развитие фибромиксомы может регулярный или постоянный прием антибактериальных препаратов, топических кортикостероидов.
- Иммунодефицит. Может быть обусловлен прохождением лучевой или химиотерапии, присутствующими онкогематологическими патологиями, ВИЧ-инфекцией, генетическими аномалиями, хроническим стрессом и переутомлением.
Патогенез
Хоанальный полип развивается из пораженных слизистых оболочек полости носа или придаточных пазух, зачастую - на фоне рецидивирующих или хронических воспалительных реакций. Гистологически подобные образования представляют собой пропитанную серозной жидкостью соединительную ткань со слабо выраженной мелкоклеточной инфильтрацией. Часто они содержат малые кистозные полости, небольшое число кровеносных сосудов, экзокринных желез.
Внешне полипы имеют форму «языка колокола» - продолговатые, с шаровидным дистальным утолщением. В процессе роста они постепенно заполняют полость носоглотки, со временем распространяясь в пространство между мягким небом и задней глоточной стенкой. Редко наблюдается одновременный рост нескольких полипозных образований.
Классификация
В зависимости от локализации выделяют следующие морфологические формы заболевания:
- Антрохоанальная. Полип берет свое начало из полости верхнечелюстной пазухи. Наиболее распространенный вариант.
- Сфенохоанальная. Зоной первичной локализации является клиновидный синус.
- Этмохоанальная. Характеризуется ростом полипа из решетчатой пазухи.
- Фронтохоанальная. Полип вырастает из тканей лобного синуса.
- Септохоанальная. Образование развивается из носовой перегородки.
- Конхохоанальная. Сопровождается формированием полипозной структуры из носовых раковин. Встречается крайне редко.
Симптомы хоанального полипа
Клинические симптомы развиваются постепенно. Первым проявлением зачастую становится одностороннее осложнение носового дыхания. По мере увеличения размеров полипа этот симптом усугубляется, к нему присоединяется сухость, дискомфорт, ощущение инородного тела в одной из половин носа, отечность носовых ходов, постоянное чихание. Постепенно ухудшается и полностью исчезает обоняние. Во время сна возникает выраженный храп.
Часто наблюдаются скудные слизистые или слизисто-гнойные выделения из носа, которые пациент не может удалить из-за наличия экспираторного клапана - обтурации носоглотки полипом. Позже дыхание через нос становится полностью невозможным, из-за чего больной постоянно держит рот несколько приоткрытым. Формируется изменение тембра голоса по типу закрытой гнусавости.
Со временем возникает хроническая гипоксия, которая проявляется нарушением сна, угнетенным состоянием и постоянными головными болями. Кожные покровы становятся бледными, появляются темные круги под глазами, отекает основание носа. Одновременно развивается поражение среднего уха, обусловленное закупоркой глоточного отверстия слуховой трубы. Клинически это сопровождается симптомами кондуктивной тугоухости: снижением остроты слуха, чувством заложенности, гулом или звоном в ушах, усиленным восприятием собственного голоса.
Полипы больших размеров начинают сдавливать окружающие ткани, в том числе и нервные стволы, что является причиной постоянной боли в области орбиты, верхней челюсти и переносицы. Ограничение подвижности мягкого неба провоцирует нарушения акта глотания, поперхивания.
Осложнения
Нарушение проходимости носоглотки приводит к постоянному скоплению слизистых выделений в носовой полости, развитию хронических гипертрофических ринитов и синуситов, потере обоняния. Дисфункция слуховой трубы, спровоцированная хоанальным полипом, становится причиной рецидивирующих и хронических гнойных средних отитов, на фоне которых в дальнейшем возникает стойкое ухудшение слуха. Необходимость дыхания через рот обуславливает склонность к частым ОРВИ, бронхитам, пневмониям, обострениям бронхиальной астмы. У детей хроническая гипоксия может стать причиной задержки физического и умственного развития.
Диагностика
Для постановки диагноза опытному отоларингологу достаточно физикального обследования и жалоб пациента. При опросе больного выясняется последовательность и скорость развития имеющихся клинических проявлений, наличие потенциальных этиологических факторов, сопутствующие патологии. Полное обследование больного с подозрением на хоанальный полип включает:
- Физикальный осмотр. При общем осмотре обращают внимание на характер носового дыхания или его полное отсутствие, выражение и цвет кожи лица. При разговоре с больным выслушивают гнусавость. Постоянные носовые выделения провидят к отечности и гиперемии крыльев носа.
- Риноскопия. При классической передней риноскопии определяется отечность и гиперемия слизистых оболочек, наличие слизистых или слизисто-гнойных масс. Выполнение риноэндоскопии позволяет визуализировать в общем носовом ходу плотное образование бледно-серого или красноватого цвета.
- Мезофарингоскопия. При осмотре ротовой полости у больных с полипами больших размеров позади свободного края мягкого неба определяется нижний полюс плотного образования розоватого цвета.
- Лабораторные тесты. Общий анализ крови информативен только при наличии инфекционных осложнений и длительной гипоксии. В первом случае в нем отображается нейтрофильный лейкоцитоз и повышение СОЭ, во втором повышается количество эритроцитов.
- Рентгенография лицевого скелета. На рентгенограмме видна структура с четкими контурами, которая прорастает из одного из околоносовых синусов, заполняет общий носовой ход, пространство между задней стенкой глотки и мягким небом. Деструкции костных тканей не наблюдается.
- КТ лицевого скелета. Показана при низкой информативности рентгенограммы и невозможности провести дифференциальную диагностику с раковыми опухолями. Выполняется с контрастным усилением. Томография более детально отображает аналогичные рентгенографии изменения, а также подтверждает отсутствие неоваскуляризации.
При наличии признаков дисфункции евстахиевой трубы и среднего отита используется отоскопия и тональная пороговая аудиометрия. Визуальный осмотр барабанной перепонки позволяет выявить ее втяжение и ограничение подвижности, исчезновение светового рефлекса, выпячивание короткого отростка молоточка. На аудиограмме у таких больных присутствует ухудшение проводимости на фоне нормального костного звуковосприятия.
Лечение хоанального полипа
Основной способ лечения - хирургический. Цель операции - иссечение тканей полипа, восстановление проходимости носоглотки. Параллельно при необходимости проводится вспомогательная медикаментозная терапия. Полная терапевтическая программа предусматривает:
- Полипотомию. Характер оперативного вмешательства зависит от размеров и локализации ножки образования. Полипы небольших размеров могут удаляться эндоназально под местной анестезией при помощи специальной петли или изогнутых носовых ножниц. В тяжелых случаях удаление хоанального полипа проводится с широким доступом к носоглотке и околоносовым синусам.
- Фармакотерапию. Применяется при развитии бактериальных осложнений, состоит из антибактериальных средств, обезболивающих, антигистаминных и противовоспалительных препаратов, местной обработки полости носа антисептическими растворами. В качестве предоперационной подготовки используются топические кортикостероиды.
Прогноз и профилактика
В целом прогноз при хоанальном полипе благоприятный. Ранняя диагностика и терапия позволяют избежать осложнений. Рецидивы практически не встречаются. При больших размерах фибромиксомы формируется стойкая аносмия и кондуктивная тугоухость. Специфическая профилактика в отношении этой патологии не разработана. Неспецифические мероприятия подразумевают борьбу с потенциальными этиологическими факторами: коррекцию иммунодефицитных состояний и врожденных аномалий развития области носоглотки, рациональный прием медикаментов, лечение способствующих патологий и т. д.
ГБОУ ВПО «Ростовский государственный медицинский университет» Минздрава России, Нахичеванский переулок, 29, Ростов-на-Дону, Российская Федерация, 344022
Структурно-патогенетические аспекты антрохоанальных полипов
Журнал: Российская ринология. 2015;23(1): 29‑32
Актуальность изучения патогенетических и гистологических аспектов хронического полипозного риносинусита обусловлена его частотой, рецидивирующим течением, многообразием взглядов на механизмы развития. Особым проявлением полипозных риносинуситов являются антрохоанальные полипы, отличающиеся большими, нередко гигантскими, размерами, а также особенностями течения и лечения. Цель работы — изучение клинических и гистологических особенностей антрохоанальных полипов. Материал и методы. Проанализированы 96 клинических случаев полипозного риносинусита и результаты 56 морфологических исследований удаленных полипов. Хирургическое лечение с ревизией среднего носового хода проводили с использованием эндоскопической техники. Удаленные полипы подвергали гистологическому исследованию в лаборатории Ростовского филиала Областного патологоанатомического бюро. Результаты. У 12 (12,5%) пациентов обнаружены крупные антрохоанальные полипы, описаны их морфологические особенности. Отмечены признаки местного хронического воспаления и дистрофических изменений эпителия, участков фиброзирования стромы и плоскоклеточной метаплазии респираторного эпителия, что соответствует изменениям для длительно существующего полипозного процесса. Вывод. Диагностика полипозных риносинуситов с крупными полипами осуществляется в поздние сроки. Обнаруженные морфологические изменения в гигантских полипах характерны для старения полипов, что позволило отнести их к истинно антрохоанальным.
Патогенетические механизмы, медикаментозное и хирургическое лечение полипозных риносинуситов остаются в центре внимания исследователей в связи с сохраняющейся тенденцией к рецидивированию полипов. К особой форме полипозного риносинусита относят антрохоанальные полипы. Это доброкачественные образования, исходящие из верхнечелюстных пазух (ВЧП), и чаще растущие по направлению к хоанам. Нередко такие полипы, не детализируя их происхождение, называют хоанальными. Они имеют тонкую длинную ножку, а по размеру могут заполнить почти всю носоглотку, вызывать деформацию наружного носа [1, 2]. Хоанальные полипы чаще всего являются следствием патологии структурного и функционального состояния остиомеатального комплекса, которая приводит к нарушению мукоцилиарного клиренса и развитию продуктивного полипозно-кистозного процесса в пазухе. Обычно сформировавшееся образование локализуется в ВЧП и по мере роста находит выход через добавочное отверстие (ostium maxillare) и определяется как хоанальный полип [3].
Г. З. Пискунов [4], Г.З. Пискунов, С.З. Пискунов [5] предпосылкой для образования полипов в носу считают наличие у пациентов нарушения аэродинамики в полости носа и в околоносовых пазухах. По мнению авторов, эти нарушения обусловлены анатомическими изменениями в полости носа в виде искривлений перегородки носа и изменения формы других внутриносовых структур остиомеатального комплекса (крючковидного отростка, решетчатого пузыря, средней носовой раковины).
Изучено образование изолированных хоанальных полипов, в происхождении которых имеет значение наличие добавочного отверстия в задней фонтанелле медиальной стенки ВЧП. В результате этого возникает нарушение мукоцилиарного клиренса и каскад патофизиологических нарушений в ВЧП, ведущих к формированию продуктивного кистозно-полипозного процесса в ней. Образовавшийся кистозный полип находит выход из пазухи через добавочное отверстие в виде антрохоанального полипа [6]. Хирургическое удаление хоанального полипа и эндоскопическая ревизия с восстановлением нормального состояния анатомии в среднем носовом ходе могут быть гарантией успеха. С.З. Пискунов и соавт. [7] сообщают о возможности возникновения ринохоанальных полипов, исходящих из участков слизистой оболочки полости носа. По опыту авторов, эндоскопическое удаление таких полипов обеспечивает излечение.
Современные методы исследования носа и околоносовых пазух, внедренные в практику оториноларингологии за последнее десятилетие, — эндоскопическая визуализация, компьютерная томография (КТ) и магнитно-резонансная томография (МРТ) — расширяют возможности изучения данной патологии. Исследованию заболевания на клеточном уровне способствует гистологическое изучение удаленных полипов околоносовых пазух.
Целью данной работы явилось исследование клинических и патоморфологических особенностей антрохоанальных полипов.
Материал и методы
Под нашим наблюдением находились 98 больных, госпитализированных в ЛОР-стационар по поводу хронического полипозного риносинусита в 2009—2013 гг. Возраст составил от 18 до 84 лет.
Обследование, помимо общеклинического и стандартного оториноларингологического, включало эндоскопию жестким риноскопом (диаметр 4 мм с углом обзора 0° и 30°). После хирургического лечения удаленные полипы фиксировали в 10% растворе нейтрального забуференного формалина в течение 12 ч. Затем материал проводили по батарее спиртов и через ксилол, ориентировали и заливали в парафин. Проводку осуществляли в автомате для гистологической проводки, что обеспечивало полную повторяемость и воспроизводимость результатов. Полученные срезы толщиной 6—8 мкм окрашивали гематоксилином и эозином, пикрофуксином по Ван Гизону, кроме того, соединительную ткань выявляли методом окраски по Масону, полисахариды, гликозаминогликаны и гликопротеиды — реакцией Хочкиса—Мак-Мануса.
Результаты и обсуждение
У всех 98 больных были обнаружены полипы различных размеров, затруднявшие носовое дыхание. Одностороннее нарушение носового дыхания наблюдалось у 32 (32,6%) больных, двустороннее — у 66 (67,4%). У 12 (12,5%) пациентов были обнаружены антрохоанальные полипы в виде образований округлой формы, серого или розового цвета, гладкие, блестящие. У 10 больных полипы, распространяющиеся от передних отделов полости носа до хоан и обтурирующие их, обозначены как гигантские. У 4 пациентов с гигантскими полипами отмечена деформация наружного носа. Дополнительные данные получали при рентгенографии, КТ или МРТ околоносовых пазух.
Всем больным было проведено хирургическое лечение. Пациентам с диагностированными хоанальными полипами проводили эндоскопическое хирургическое вмешательство: первоначально удаляли полипы с использованием хоанального крючка Ланге или щипцов Блексли, а затем — эндоназальную ревизию среднего носового хода, что способствовало радикальному удалению антрохоанального полипа и его части, исходящей из ВЧП. По показаниям осуществляли коррекцию положения средней носовой раковины и перегородки носа во избежание рецидива, поскольку нарушение аэродинамики считается основным фактором, ведущим к формированию хоанальных полипов [8—10].
Размеры полипов, оцененных как гигантские, при макроскопическом исследовании оказались от 5 до 7 см в длину.
Светооптическое исследование удаленных антрохоанальных образований позволило верифицировать их как железисто-кистозные полипы с признаками воспаления, преимущественно пролиферативной фазы. Многорядный респираторный мерцательный эпителий содержал множество бокаловидных клеток. Воспалительные лимфоплазмоцитарные инфильтраты подтверждали наличие воспалительного процесса. Признаки фиброзирования стромы с уменьшением клеточности могли свидетельствовать о значительной длительности заболевания, т. е. III стадии патологического процесса [2, 7], когда полип закрывает хоану, то есть становится истинно антрохоанальным.
При особо крупных размерах полипов — гигантских — может наблюдаться их распространение как по направлению к хоанам, так и кпереди, с полной обтурацией полости носа и выходом за пределы наружного носа. Приводим клиническое наблюдение.
Пациентка А., 64 лет, предъявляла характерные жалобы на отсутствие носового дыхания и обоняния в течение 5—6 лет; у нее наблюдалась деформация и расширение наружного носа. При осмотре было обнаружено округлой формы образование, серо-розового цвета, не спаянное с окружающими тканями, которое выступало из правой половины носа и обтурировало ее. При передней риноскопии определялось смещение перегородки носа влево, задние отделы левой половины полости носа были трудно обозримы, но при эндоскопическом исследовании в носоглотке визуализировалось образование сероватого цвета, округлой формы, прикрывающее левую хоану на 2/3, с полулунным просветом у ее наружного края. При фарингоскопии из-под мягкого неба слегка выступало образование с гладкой поверхностью, серо-розового цвета; при задней риноскопии было уточнено, что оно заполняло практически всю носоглотку, прикрывая правую хоану и почти полностью левую. На рентгенограмме околоносовых пазух правая ВЧП и правая половина полости носа полностью затемнены. При МРТ головного мозга и околоносовых пазух обнаружено объемное образование в носоглотке, исходящее из правой ВЧП. После уточнения диагноза (антрохоанальный полип справа) пациентке было проведено хирургическое лечение с использованием жестких риноскопов и инструментов для эндоскопической хирургии. Удален полип гигантских размеров, достаточно плотной консистенции с элементами дефрагментации, его задний фрагмент извлечен через глотку. Ножка полипа исходила из ВЧП через расширенное естественное отверстие и была удалена. После удаления полипа в полость носа излилось слизисто-гнойное отделяемое. При макроскопии после сопоставления фрагментов удаленное образование представляло собой гигантский полип серо-розового цвета 75×35×27 мм с длинной ножкой. После операции носовое дыхание было восстановлено. Проведено противовоспалительное лечение, включающее антибиотикотерапию макролидами, и больная выписана под наблюдение ЛОР-врача по месту жительства. Контрольные обследования через 1, 6, 12 мес не выявили признаков рецидива заболевания.
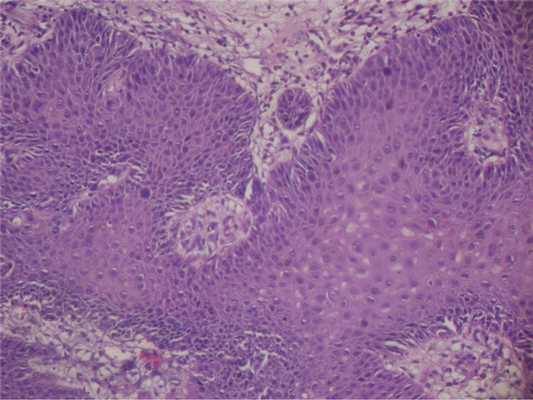
Нами проанализированы результаты гистологического исследования: при светооптическом исследовании строение удаленных фрагментов соответствует железисто-кистозным полипам с выраженными признаками воспаления преимущественно пролиферативной фазы. Строма отечна, с обилием полнокровных капилляров, отмечаются скопления желез с гиперсекрецией слизи, многие из которых кистозно расширены. Эпителий, выстилающий заполненные слизью кистозно измененные железы, однорядный, уплощенный, атрофичный. Вокруг желез и сосудов отмечается выраженная инфильтрация лимфоцитами, плазматическими клетками, эозинофилами, полинуклеарами. Регистрируются обширные участки фиброзирования стромы с деформацией железистых элементов и уменьшением клеточных элементов. Покровный эпителий на большем протяжении сохраняет гистотипическую форму многорядного мерцательного эпителия респираторного типа со значительным количеством бокаловидных клеток. Однако отмечаются участки замещения респираторного эпителия на многослойный плоский переходного типа с фокусами эпидермоидной метаплазии, что сопровождается утолщением покровного эпителия, появлением шиповидных клеток, акантозом и кератозом (рис. 1).

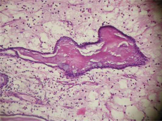
Рис. 1. Гистологическая картина гигантского полипа с эпидермизацией, метаплазией эпителия. Рис. 2. Гистологическая картина гигантского полипа с метаплазией эпителия и фиброзированием стромы.
Следует отметить, что обнаружение участков фиброзирования стромы с уменьшением количества клеточных элементов, а также участков плоскоклеточной метаплазии эпителия расценено нами как признаки «старения» полипа (рис. 2), что позволило отнести его к III стадии развития патологического процесса по С.З. Пискунову [2, 10], когда полип закрывает хоану, то есть становится истинно антрохоанальным.

Рис. 2. Гистологическая картина гигантского полипа с метаплазией эпителия и фиброзированием стромы.
Воспалительные лимфоидно-клеточные инфильтраты подтверждают наличие воспалительного процесса, обосновывая необходимость антибиотикотерапии. Современные исследования диктуют целесообразность применения при этом макролидов [11] с целью противовоспалительной терапии и предотвращения рецидивов.
Выводы
1. Антрохоанальные полипы диагностируются в поздней III стадии своего развития и расцениваются как гигантские полипы, составляя 12,5% случаев.
2. При гистологическом исследовании удаленных антрохоанальных полипов выявлена взаимосвязь морфогенеза полипов с ограниченным воспалением слизистой оболочки носа и пазух. Присоединившаяся мукоидная дегенерация соединительнотканной основы является предрасполагающим моментом кистозной трансформации слизистой оболочки и образования полипа.
3. Выявленные при гистологическом исследовании признаки воспалительного процесса в удаленных хоанальных полипах являются обоснованием антибиотикотерапии при лечении полипозных риносинуситов и предотвращения рецидивов.
Читайте также:
- Диссоциация реакций лабиринта при вибрационной болезни. Симптом уплывания глаз
- Челюстно-лицевая ортопедия и протезирование. История челюстно-лицевой ортопедии.
- Тиннитус (шум в ушах): причины, симптомы и лечение
- Эндоскопическая картина пищевода. Показания и противопоказания к эзофагоскопии
- Рак эндокринных клеток поджелудочной железы. Общие признаки эндокринных опухолей панкреас.
