КТ при рентгенонегативном поражении височно-нижнечелюстного сустава (ВНЧС)
Добавил пользователь Владимир З. Обновлено: 07.01.2026
Для заболеваний ВНЧС характерны нетипичные симптомы, что часто является причиной постановки неправильного диагноза или игнорирования проблемы вообще. Головная боль и пульсация в области челюсти могут восприниматься больным, как совершенно другие болезни. Кроме того, повышенная болезненность, отсутствие характерных щелчков часто становится неправильной тактикой лечения, например, удаляются совершенно здоровые зубы, тогда как проблема кроется совершенно в другом.
Чтобы точно поставить диагноз и назначить правильное лечение, требуются соответствующие меры диагностики. Одним из них является компьютерная томография, показывающая высокую точность и результативность при исследовании.
Особенности проведения КТ
КТ является методом рентгенологического исследования, во время которого показывается послойное отображение всех внутренних тканей и структур. Во время обследования излучаемые частицы проникают через ткани, которые на снимке окрашиваются в разные оттенки, что связано с их способностью по-разному отражать лучи. По время проведения КТ можно увидеть области смещения и других патологий, очаги воспаления, если они имеются.
Для обследования применяется специальный аппарат, который включает в себя следующие элементы:
Характеристики томографов могут быть различными, но принцип их воздействия остается одним. Во время включения на исследуемую область оказывается излучение, передвигаемое при помощи специального механизма, оно может быть круговым или спиральным. Под больным находятся датчики, которые регистрируют потоки излучения, показывая на экране развертку тканей. У томографа довольно высокая степень разрешения, что позволяет рассмотреть даже самые незначительные изменения.
Разновидности метода
Во время диагностики с использованием КТ могут использоваться следующие методы исследования:
- траснаксиальная стандартная методика через ось, которая позволяет получить примерно 20-25 снимков, идущих параллельно глазной ямке, такой способ дает возможность получит снимки отдельно для левого и правого сустава;
- сагиттальное прямое сканирование, проводимое параллельно ушной раковине, позволяет получить изображение в трех различных фазах;
- объемный 3D костный режим, позволяющий увидеть одновременное изображение сразу двух суставов.
Для более точного результата врачи рекомендуют комбинированное исследование, во время которого используются все три метода.
Показания к проведению исследования
Анатомические особенности сустава предполагают, что патологии ВНЧС обычно развиваются с двух сторон. Но точно определить это сможет только исследование, обычно наиболее результативным будет именно КТ.
Проведение исследования показано в таких случаях:
- анкилоз при полной неподвижности сустава из-за сильного разрастания соединительной ткани, обычно сопровождается системными болезнями, травмами, воспалительными процессами;
- вывихи, переломы суставной головки;
- посттравматические артропатии, что характеризуется нарушениями функциональности ВНЧС;
- различные воспалительные заболевания, включая синовит, артрит и прочие;
- развитие дегенеративных изменений в хрящевой, костной тканях;
- аномальное развитие ВНЧС;
- наличие опухолевых процессов;
- синдром Мебиуса и другие.
Кроме того, исследование рекомендуется при наличии щелчков при открывании/закрывании рта, чувстве дискомфорта, при болях в ухе, зубах, во время жевания.
Противопоказания к применению компьютерной томографии
КТ можно проводить далеко не для всех пациентов, среди противопоказаний следующие:
- беременность на любом сроке;
- возраст до трех лет;
- наркотическое/алкогольное опьянение больного;
- слишком большой вес пациента (больше 160 кг);
- наличие металлических предметов в исследуемой области;
- наличие тяжелых заболеваний, включая сердечно-сосудистые, почечные и прочие.
Подготовка и техника проведения исследования
Специальная подготовка к обследованию не требуется, но надо снять все металлические предметы, украшения, очки. Далее пациент располагается на столе аппарата, а врач удаляется в специальное помещение для проведения исследования. контроль за больным осуществляется через окно, больной при включении аппарата должен не двигаться. По команде врача он будет открывать или закрывать рот, задерживать дыхание. Все время исследования обычно занимает до 20 минут, результаты будут готовы через два-три часа.
Компьютерная томография височно-нижнечелюстного сустава
КТ ВНЧС представляет собой неинвазивный метод диагностики, который основан на рентгеновском излучении. Характеризуется высоким уровнем информативности и небольшой дозой облучения, но проходить это обследование можно строго по назначению лечащего врача.
Патологии ВНЧС характеризуются нехарактерными симптомами, что усложняет процесс диагностики заболеваний. Пациент может испытывать повышенную чувствительность зубного ряда, боли в голове и нетипичную пульсацию в висках, что может указывать на целый ряд проблем. Все это может стать следствием некорректной диагностики и неправильного лечения. Характерный пример - это удаление зуба при непонятных причинах его сильной чувствительности. Чтобы этого избежать, используется компьютерная томография ВНЧС, которая позволяет дать максимально точную картину исследуемых участков.

Содержание
Особенности обследования
КТ височно-нижнечелюстного сустава позволяет получать снимки с послойным отображением внутренних структур. Сама суть метода основывается на способности тканей к накоплению и отражению электромагнитных волн. Излучаемые частицы способны достаточно глубоко проникать в слои организма пациента, что и дает отличные информативность результатов обследования.
КТ проводится с помощью специального аппарата - томографа. Он состоит из нескольких составляющих:
- ПК, который обрабатывает полученную информацию от аппарата. В итоге данные преображаются в 2D или 3D-снимки.
- Стол с выдвижным механизмом, на котором располагается пациент. Обратите внимание, что максимальный вес, который он может выдержать - это 160 кг, поэтому есть определенные ограничения к проведению процедуры для лиц с избыточным весом.
- Рентгеновские трубки. В зависимости от аппарата, их может быть до 64 штук. От их количества зависит длительность всего обследования.
- Гентри - это подвижная часть томографического оборудования.
Томография ВНЧС основывается на воздействии большого количества потоков рентген-лучей на исследуемую область. Датчики, размещенные на выдвижном столе (под телом больного), фиксируют накопление фотонов тканями человеческого организма. Вращение рентгеновских трубок позволяет проанализировать исследуемые участки во всем объеме.
В каких случаях проводится КТ?
Томография височно-нижнечелюстного сустава назначается при наличии следующих заболеваний и патологических состояний:
- Вывихи и подвывихи суставной головки.
- Анкилоз. Эта патология характеризуется практически полным отсутствием подвижности сустава. Происходит это по причине разросшейся соединительной ткани.
- Артрит, синовит и другие воспалительные заболевания.
- Посттравматические артропатии, которые отличаются нарушением функций суставов.
- Различные новообразования.
- Различные аномалии лицевого черепа ВНЧС. В частности, компьютерная томография используется для диагностики гипоплазии - недостаточного развития.
- Дегенеративные процессы, происходящие в суставах, которые практически не поддаются терапии. Отмирание костных структур может быть вызвано естественными возрастными изменениями или различными системными заболеваниями.
- Синдром Мебиуса, который диагностируется сразу же после рождения ребенка. Эта патология характеризуется отсутствием подвижности сустава, что является следствием разрастанием венечного отростка.
- Выявление последствий переломов и прочих травм.
- Болевой синдром в лицевой области.
- Проблемы с пережевыванием пищи, нарушение речи и закладывание в ушах.
Помимо этого, обследование показано тем пациентам, у которых открытие рта сопровождается характерным щелчком и наличием болей неясного происхождения, которые отдают в отдельные части головы.

Основные противопоказания
Компьютерная томография основывается на использовании рентгенологического облучения, поэтому есть противопоказаний к проведению этой процедуры. Кроме того, во время обследования пациент должен сохранять полную неподвижность в течение определенного временного промежутка.
В связи с этим, КТ противопоказана в следующих случаях:
- Избыточный вес обследуемого. Выдвижной стол может выдержать не более 160 кг.
- Измененное сознание пациента. Оно может быть вызвано алкогольным или наркотическим опьянением, либо различными психическими расстройствами.
- Детский возраст до 3 лет. При обследовании организм получает определенную дозу облучения, но особенно сильно это влияние происходит для детского организма. Могут замедлиться процессы обмена веществ и другие негативные последствия.
- Период вынашивания плода. Доказано, что рентген-лучи негативно сказываются на развитии ребенка.
Что касается беременности, то здесь важно одно уточнение. Если обследование нужно по причине жизненной необходимости и нет других альтернатив, то врач может принять положительное решение о проведении процедуры. Он должен оценить степень риска для плода, чтобы потенциальная польза для здоровья матери была не больше, чем вероятный вред для ребенка.
Правила подготовки
Подготовительные процедуры к КТ челюсти и ВНЧС зависят от того, будет ли использоваться контраст. Если да, то подготовка будет несколько основательнее, чем при обычном КТ.
Пациент должен сдать биохимию крови, чтобы узнать уровень мочевины и других важных показателей. Также стандартная процедура заключается в аллергической пробе, которая позволяет узнать реакцию организма на препарат, содержащий йод. В день самого обследования нужно воздержаться от еды и питья.
Если же речь идет о стандартной компьютерной томографии, то определенных правил подготовки к ней нет. Перед процедурой нужно будет снять с себя все металлические предметы (слуховой аппарат, серьги, украшения и т.д.).
Как проходит компьютерная томография височно-нижнечелюстного сустава?
Пациент ложится на специальный выдвижной стол аппарата. Специалист контролирует весь процесс обследования из соседнего помещения.
При включении томографа, стол заезжает внутрь самого аппарата. Его работа может сопровождаться шумом - это абсолютно нормально, поэтому нужно сохранять неподвижное состояние. Любое действие (открытие рта, поворот головы и т.д.) должно производиться только по команде врача.
Пациентам, страдающим от тревожных состояний или клаустрофобии, дается седативное средство перед процедурой. Делается это на случай возникновения панической атаки у человека.
Если у пациента резко ухудшится состояние внутри аппарата, он может сообщить об этом специалисту по встроенному микрофону.
КТ ВНЧС - что показывает обследование?
При проведении КТ, предполагаемая патология или дефект становятся хорошо видны на мониторе компьютера. Изображение может быть получено в нескольких проекциях - аксиальной, фронтальной или сагиттальной.
Полученный снимок может определить следующие виды отклонений:
- Изменение размеров суставной щели.
- Отклонения суставного диска.
- Изменение костных структур.
- Наличие новообразований.
- Смещение головок сустава.

Что лучше - МРТ или КТ?
Говоря об исследовании патологий ВНЧС, многие задаются вопросом, что выбрать МРТ или КТ? Для начала стоит отметить, что обе эти методики подходят для обследования состояния височно-нижнечелюстного сустава. И МРТ, и КТ, имеют свои преимущества и недостатки, поэтому однозначно ответить на вопрос о том, что лучше, достаточно проблематично.
МРТ лучше с точки зрения отсутствия определенных противопоказаний к ее проведению. Объясняется это тем, что в основе этого метода не лежит рентгеновское излучение, которое негативно влияет на организм человека при превышении допустимой дозы.
Говоря же именно об обследовании ВНЧС, то МРТ больше подходит для изучения суставных поверхностей (участков сочленения двух частей, покрытых хрящом). Что же касается изучения самого сустава, то в большинстве случаев назначает именно компьютерная томография. К тому же, стоимость КТ ниже, чем МРТ.
Разновидности обследования
КТ ВНЧС может проводиться с закрытым и открытым ртом, в зависимости от конкретного клинического случая. Во время проведения процедуры могут использоваться различные варианты этого обследования:
- Траснаксиальная методика. Это стандартная процедура (через ось тела). В ходе ее проведения получается порядка 25 снимков, идущих параллельно глазной ямке. Можно визуализировать отдельно левый и правый сустав.
- Саггитальное сканирование. Оно проводится строго параллельно ушной раковине. Ведется оценка состояния ВНЧС в трех фазах, т.е. пациента просят закрыть рот, приоткрыть его наполовину и полностью.
- Объемный 3D-режим. Получается пространственное изображение правого и левого сустава.
Как правило, во время диагностики используется комбинация из вышеуказанных вариантов обследования для получения наиболее точной картины.

Основные преимущества компьютерной томографии в диагностике патологий ВНЧС
- Идентичность съемки сустава с обеих сторон.
- Максимально точное воссоздание формы суставных поверхностей во всех плоскостях.
- Изучение состояния жевательных мышц и суставного диска.
- Отсутствие всяческих искажений, мешающих постановке диагноза.
- Минимальная доза облучения.
- Быстрая процедура обследования.
Те сведения и снимки, которые получается в результате КТ, имеют очень большую диагностическую ценность при составлении грамотной схемы лечения дисфункции височно-нижнечелюстного сустава, в протезировании и исправлении прикуса, а также при плановых хирургических вмешательствах (как подготовительная процедура).
Где можно сделать компьютерную томографию двух челюстей и ВНЧС в Санкт-Петербурге?
Диагностический рентген-центр «ЛУЧ» приглашает вас пройти компьютерную томографию 3D, которая успешно применяется для диагностики патологий ВНЧС. Объемность реконструкции исследуемой области придает диагностике необходимую точность и высокий уровень детализации.
Все это возможно, благодаря современному оборудованию нашего рентген-центра. Мы прекрасно понимаем, насколько важен правильно поставленный диагноз, поэтому тщательно подходим к выбору персонала.
Для наших клиентов возможна запись результатов исследования на цифровой носитель и курьерская доставка по Санкт-Петербургу. Чтобы записаться к нам на прием, нужно оставить онлайн-заявку на сайте, либо позвонить по указанному номеру телефона.
Рентгенологическая картина некоторых заболеваний височно-нижнечелюстного сустава с учетом типа телосложения
Трудность диагностики и лечения заболеваний височно-нижнечелюстного сустава (ВНЧС) связана с отсутствием четкого представления об этиологии и патогенезе и чрезвычайно разнообразной клинической картиной этих заболеваний. Вопросы диагностики рассматриваются в отрыве от анализа изменений зубочелюстной системы, составной частью которой является ВНЧС. Снижение высоты прикуса часто рассматривают как единственную причину суставной патологи [4, 8, 13, 15]. Факторы возрастных изменений ВНЧС, особенности его морфологии в зависимости от определенного типа телосложения также до конца не изучены [1—5, 11].
Изучению связи соматотипа человека с определенным набором психодинамических качеств посвящены научные труды
E. Kretschmer [16] и W. H. Sheldon [17].
В 20-е годы ХХ века М. В. Черноруцкий сделал попытку сопоставить характер заболеваний с конституцией человека [10].
Мезенхима, по утверждению А. А. Богомолеца, является одним из важнейших факторов, обусловливающих специфику биохимической деятельности организма и, следовательно, особенности телосложения. Он выделил 4 типа: астенический с преобладанием в организме тонкой, нежной соединительной ткани (СТ); фиброзный с преобладанием плотной волокнистой СТ; пастозный с преобладанием рыхлой СТ и липоматозный с преобладанием жировой ткани.
Соматотип — характеристика конституции, основанная на морфологических критериях, он является анатомическим «паспортом» конституции человека и маркером временных параметров онтогенеза. По мнению Б. А. Никитюка с соавторами (1995), соматотип — это результирующая морфологических характеристик человека. В настоящее время используются метрические системы соматотипирования, а также изменился набор морфологических признаков, положенных в основу выделения соматотипов [8]. Им была показана неравномерность старения костей и суставов у лиц различных соматотипов [5]. При всем многообразии индивидуальных особенностей, наблюдаемых среди людей, можно группировать эти особенности в те или иные типы конституции (соматотипы). В 60-х годах Б. А. Никитюк дополнил данную классификацию оценкой особенностей жироотложения и показателями мышечной силы кисти. Соматотипическая диагностика, ориентированная на уровни реактивности организма и темпы процессов роста и развития, может быть более успешной при выделении двух крайних и одного промежуточного типов телосложения. По критерию жироотложения: гипотрофическая — мезотрофическая — гипертрофическая. По критерию мышечной силы: гиподинамическая — мезодинамическая — гипердинамическая.
Проблема взаимосвязи возникновения разнообразной патологии ВНЧС с акселерацией современных подростков исследована недостаточно.
Акселерация — это нарушение равновесия в системе человек — природа, следствие адаптации как к тому, что внутри человека, так и вне его. Иначе говоря, стабилизация — это антипод акселерации, вызванной не какой-либо одной конкретной причиной. Были обнаружены отличия темпов костного созревания в связи с особенностями соматотипа [7].
Акселерация в развитии детского организма, при котором происходит увеличение длины тела, приводит к определенному рассогласованию роста в длину и ширину, набора длины и массы тела. Акселерованный организм дисгармоничен и по состоянию ряда физиологических систем организма. Наблюдается суженность пропорций тела при уменьшении его массы (в основном за счет мышечного компонента массы), соматотип изменяется в сторону эктоморфии, т. е. астении или долихоморфии. Это приводит к «омоложению» ряда заболеваний, в чем конституциональному фактору не уделяется должного внимания.
Изучение взаимосвязи патологических изменений суставов и опорно-двигательного аппарата в зависимости от соматотипа пациентов с заболеваниями ВНЧС представляет большой интерес.
Цель исследования
Изучить клиническую и рентгенологическую картину некоторых заболеваний ВНЧС в зависимости от возраста и типа телосложения пациентов.
Материалы и методы
Обследовано 248 пациентов, основную группу составили 222 пациента (39 мужчин, 183 женщин; средний возраст — 26,3+8,0 года), которые жаловались на утреннюю скованность в ВНЧС, крепитацию в суставе, периодическую тупую ноющую боль в ВНЧС, возникающую после жевания твердой пищи, на ограничение движений нижней челюсти. Контрольную группу составили 26 лиц (13 мужчин, 13 женщин; средний возраст — 25,7+6,8 года) с физиологическим прикусом, не имеющих признаков поражения ВНЧС.
Обследованным пациентам с заболеваниями ВНЧС при осмотре определялся конституциональный тип их телосложения (Sheldon W., 1940). Кроме визуального осмотра, тип телосложения пациентов оценивали, рассчитывая росто-весовой показатель (РВП) по формуле:
Нормостенический соматотип характеризуется значениями РВП в пределах 37—40 %. Снижение РВП на 20 % и более по сравнению с приведенной нормой указывало на астеническое телосложение, а его увеличение — на гиперстеническую конституцию пациента.
Пациентов распределили на возрастные группы согласно классификации возрастной периодизации человека, принятой в 1965 году на Международном симпозиуме в Москве. Данная классификация использована нами (в отличие от международной классификации, принятой ВОЗ), так как наиболее соответствует этапам формирования и развития возрастных изменений зубочелюстной системы человека.
Возрастные группы распределились следующим образом: 12—15 лет — подростковый период, 16—23 года — юношеский, 24—35 лет — ранний зрелый, 36—60 лет — поздний зрелый.
Исследование ВНЧС проводили с использованием дентальной установки Planmeca Intra (Финляндия) для рентгенографии с открытым ртом по методике Парма, которая проста в исполнении, не требует дополнительных приспособлений. Голова больного фиксировалась на подголовнике стоматологического кресла, сагиттальная плоскость ее вертикальна. Кассету больной прижимал рукой к исследуемому суставу так, чтобы поверхность ее была параллельна сагиттальной плоскости. Центральный пучок лучей направляли через полулунную вырезку здоровой стороны нижней челюсти с центрацией под скуловую дугу на 3—4 см кпереди от наружного слухового прохода с уменьшением фокусного расстояния, приблизив трубку к коже больного. Этим достигали увеличения и нечеткости изображения костей противоположной стороны, накладывающегося на исследуемый сустав. Снимки делали с открытым ртом, но можно и при закрытом рте. На рентгенограмме получали четкое изображение головки нижней челюсти, суставная щель на снимках, произведенных с закрытым ртом, видна не всегда (Шехтер И. А. и соавт., 1968).
Панорамное исследование ВНЧС делали на ортопантомографе Planmeca Pro Max (Финляндия), с разрешением детектора 630×1024 пиксел и сохранением изображений на съемных носителях в формате DICOM JPG.
КТ выполняли на спиральном однодетекторном компьютерном томографе ASTEION TOSHIBA. Полученные данные обрабатывались в графической дентальной компьютерной программе SIM Plant (Materialise Software), которая обеспечивала одновременный просмотр поперечных, осевых и панорамных сечений с шагом в 1 мм и создавала трехмерную реконструкцию ВНЧС.
Полученные цифровые данные обрабатывали на персональном компьютере с помощью прикладных программ Microsoft Excel 2007, Statistica 7,0 и стандартной версии SPSS 17,0 (США). Для выборки определяли среднюю арифметическую (М), стандартное отклонение (SD), стандартную ошибку (SE), число-вариант (n), долю признака в процентах (Р) со значением стандартной ошибки доли (Рm), уровень значимости (р) (Халафян А. А., 2008).
Результаты исследования и их обсуждение
Проанализировано 222 ортопантомограммы с обзором головок нижней челюсти, 245 рентгенограмм ВНЧС (укладка по Парма с открытым ртом) и 49 компьютерных томограмм (КТ) ВНЧС.
Заболевания ВНЧС были распределены на 4 клинические группы: артроз — 131 (59,0±3,3 %) пациент, деформирующий артроз — 30 (13,5±2,3 %) обследованных, артропатия (внутренние нарушения) — 53 (23,9±2,9 %) человека, дисплазия — 8 (3,6±1,3 %) выявленных.
Морфологические и функциональные расстройства ВНЧС (артрозы, артропатии (внутренние нарушения) и дисплазии) протекали на фоне болевого и гипермобильного синдромов с дисплазией соединительной ткани, с нарушением или без нарушения прикуса, с гипертрофией жевательных мышц или без нее.
По типу строения тела пациенты распределились следующим образом: астеники (эктоморфный тип телосложения) составляли большинство — 175 (78,8±2,7 %) обследованных, нормостеники (мезоморфный тип телосложения) — 18 (8,1±1,8 %) лиц, атлетики (по классификации Kretschmer, 1921) — 20 (9,0±1,9 %) лиц и гиперстеники (эндоморфный тип телосложения) — всего лишь 9 (4,1±1,3 %) пациентов. Лица контрольной группы имели нормостенический и атлетический тип телосложения.
Результаты РВП позволили установить, что астенический тип телосложения имели 160 (72,1±3,0 %) пациентов, нормостенический тип — 40 (18,0±2,6 %) обследованных и гиперстенический — 22 (9,9±2,0 %) лица.
Сопоставляя данные визуального определения типа телосложения с результатами РВП, следует отметить, что в группе лиц с астеническим типом телосложения они почти совпадают. Несовпадение показателей данных осмотра пациентов и РВП в группах с нормостеническим и гиперстеническим типом телосложения может быть связано с тем, что лиц атлетического телосложения можно отнести в равной степени как к нормостеникам, так и к гиперстеникам.
Пациенты были разделены на четыре возрастные группы: 8 (3,6±1,3 %) лиц подросткового возраста, 92 (41,4±3,3 %) обследованных юношеского возраста, 93 (41,9±3,3 %) пациента раннего зрелого возраста, 29 (13,1±2,3 %) обследованных позднего зрелого возраста.
Сопоставление распределения пациентов в зависимости от клинического диагноза, возраста и типа телосложения представлено в таблицах № 1—3.
Таблица № 1. Распределение пациентов в зависимости от возраста и установленногоклинического диагноза
Возрастной период, n (%)
Клинический диагноз, n (%)
Деформирующий артроз ВНЧС
Подростковый 8 (3,6±1,3)
Юношеский 92 (41,4±3,3)
Ранний зрелый 93 (41,9±3,3)
Поздний зрелый 29 (13,1±2,3)
Таблица № 2. Распределение пациентов в зависимости от возраста и типа телосложения(данные РВП)
Тип телосложения, n (%)
Ранний зрелый возраст
Поздний зрелый возраст
Нормостенический 40 (18,0±2,6)
Астенический 160 (72,1±3,0)
Гиперстенический 22 (9,9±2,0)
Таблица № 3. Распределение пациентов по клиническим диагнозам в каждой из соматотипических групп (данные РВП)
Артропатия (внутренние нарушения) ВНЧС
Гиперстеничский 22 (9,9±2,0)
Было установлено, что лица астенического телосложения составляют большинство всех обследованных — 160 (72,1±3,0 %) пациентов, среди них 76 (47,5±4,0 %) пациентов — лица юношеского возраста, а 59 (36,9±3,8 %) — лица раннего зрелого возраста и только 7 (4,4±1,6 %) обследованных подросткового и 18 (11,3±2,5 %) лиц позднего зрелого возраста.
В зависимости от возраста пациентов с заболеваниями ВНЧС встречались: артроз ВНЧС в возрастной группе пациентов 36—50 лет у 24 (82,8±7,1 %) обследованных, а среди лиц 24—35 лет — у 59 (45±4,3 %) (табл. № 1).
Для каждого заболевания были определены характерные рентгенологические симптомы в определенных возрастных и соматотипических группах пациентов. Характерными для артроза ВНЧС изменениями на обзорной рентгенограмме нижней челюсти были грубые изменения структуры: уплощение головки и уменьшение ее высоты, экзофитные разрастания, изменение ее формы (форма крючка, булавовидная, остроконечная).
Более ранние изменения обнаруживали только на компъютерных томограммах: сужение рентгеновской суставной щели, появление эрозии в кортикальном слое суставной поверхности головки и суставного бугорка, субхондральный склероз кости.
Наиболее характерным симптомом деформирующего артроза было сужение рентгеновской суставной щели, склероз и повышение интенсивности кортикальных замыкательных пластинок головки и заднего ската суставного бугорка, эти изменения наблюдались у 24 (80,0±7,3 %) пациентов. При этом нарушалась функция сустава: экскурсия головки была ограниченна, реже возникали вправляющиеся вывихи и подвывихи.
При деформирующем артрозе имели место многочисленные изменения формы головки нижней челюсти и суставного бугорка: уплощение и стирание головки по высоте, ее остроконечная или булавовидная деформация с образованием экзофитов, отмечалось уплощение бугорка.
Болевой синдром проявлялся периодическими тупыми болями в области сустава, иногда с иррадиацией в височную область, область уха и затылка. Боль усиливалась при жевании твердой пищи и сопровождалась хрустом в суставах во время приема пищи или при других движениях нижней челюсти, например при разговоре.
При рентгенологическом исследовании ВНЧС иногда определяли асимметричное положение головок нижней челюсти в суставной ямке как при состоянии центральной окклюзии, так и при максимально открытом рте.
У 78 (59,5±4,3 %) лиц с артрозом ВНЧС имело место сужение рентгеновской суставной щели, а костные разрастания (остеофиты) на суставных ямках и бугорках — у 45 (34,4±4,2 %) пациентов. Утолщение замыкательных пластинок суставных ямок и бугорков определялось у 53 (40,5±4,3 %) пациентов. Характерным симптомом для артрозов ВНЧС была асимметрия линейных размеров головок нижней челюсти, которая выявлена у 54 (41,2±4,3 %) пациентов. При этом структура костной ткани головок нижней челюсти у 56 (42,7±4,3 %) лиц была неизмененной, а у 42 (32,1±4,1 %) пациентов имели место рентгенологические признаки остеосклероза.
Деформирующий артроз ВНЧС не наблюдался у лиц подросткового возраста и встречался только у 2 (6,7±4,6 %) пациентов позднего зрелого возраста.
Среди лиц с деформирующим артрозом ВНЧС в 27 (90,0±5,5 %) случаях выявлено одностороннее поражение сустава.
Двустороннее поражение суставов диагностировано у 44 (83,1±5,1 %) пациентов, имеющих артропатию ВНЧС. У пациентов с дисплазией (внутренними нарушениями) ВНЧС имел место подвывих головок нижней челюсти. В группе пациентов с деформирующим артрозом ВНЧС у 22 (73,3±8,1 %) лиц определялись все перечисленные рентгенологические симптомы, характерные для артрозов.
Для деформирующего артроза ВНЧС характерным было наличие костных разрастаний по краям головок нижней челюсти и суставных ямок, которые определялись у 12 (40,0±9,0 %) лиц. В этой группе больных головки нижней челюсти у 10 (33,3±8,6) пациентов имели ноздреватую структуру костной ткани с признаками остеопороза.
Артропатия (внутренние нарушения) ВНЧС встречалась в среднем в 25 % всех наблюдений независимо от типа телосложения пациентов. Дисплазия ВНЧС не превышала четвертой части наблюдений у нормостеников и астеников и не встречалась у лиц гиперстенической конституции. Среди обследованных 53 (23,9±2,9 %) пациентов с артропатией (внутренними нарушениями) ВНЧС было 6 (11,3±4,3 %) лиц, которые отнесены к группе обследованных подросткового возраста. Пациенты с артропатией (внутренними нарушениями) ВНЧС в возрасте 24—35 лет в 17 (32,1±6,4 %) случаях имели нормостенический тип телосложения.
У лиц с артропатией (внутренними нарушениями) ВНЧС были симптомы, которые характерны для артрозов и диагностированы у 9 (17,0±5,2 %) пациентов. Это связано с особенностями клинического течения артропатии (внутренних нарушений) ВНЧС: наличием болевого синдрома, невозможностью свободного открывания рта, что не давало возможности достоверно судить о дислокации головки нижней челюсти по отношению к суставному бугорку при проведении рентгенографии ВНЧС (по Парма).
Наиболее характерным рентгенологическим симптомом в этой клинической группе была асимметрия линейных размеров головок нижней челюсти у 27 (51,0±6,9 %) больных с сохранением их нормальной структуры. Результаты КТ ВНЧС, проведенных у 18 (13,7±3,0 %) пациентов с артрозом и 12 (40,0±9,0 %) пациентов с деформирующим артрозом, в целом повторяют характерные рентгенологические симптомы, полученные при проведении рентгенографии ВНЧС (по Парма) и ортопантомографии, при этом указанные изменения ВНЧС встречались в 2—3 раза чаще, чем на рентгенограммах ВНЧС. Кроме того, КТ позволяла обнаружить более тонкие структурные изменения костной ткани суставов, которые не диагностировались на рентгенограммах.
На КТ пациентов с артрозом ВНЧС намного чаще определялись изменения структуры головок нижней челюсти: деформация — у 17 (13,0±3,0 %) пациентов, костные разрастания — у 15 (11,5±2,8 %) лиц, остеопороз — в 9 (6,9±2,2 %) случаях. Утолщение замыкательных пластинок суставной ямки и бугорка на КТ встречалось у 12 (9,2±2,4 %) пациентов.
Характерные клинические и рентгенологические признаки артроза ВНЧС, выявленные у обследованных нами пациентов, подтверждаются рядом клинических наблюдений [9, 14, 18].
КТ ВНЧС позволила в 2—3 раза чаще выявлять рентгенологические симптомы, которые не определялись на рентгенограммах и ортопантомограммах. Чаще такие изменения касались тонкой структуры костной ткани головки нижней челюсти, суставной ямки и бугорка.
Таким образом, нами были определены патогномоничные для каждого заболевания рентгенологические признаки.
Для артроза ВНЧС — сужение суставной щели, костные разрастания (остеофиты) на суставных ямках и буграх, утолщение замыкательных пластинок суставных ямок и бугорков, асимметрия линейных размеров головки нижней челюсти, признаки субхондрального остеосклероза.
Для деформирующего артроза ВНЧС — неравномерное сужение суставной щели, склероз и повышение интенсивности кортикальных замыкательных пластинок головки и заднего ската суставного бугорка. Изменение формы головки и суставного бугорка с уплощением и стиранием головки по высоте, ее остроконечная или булавовидная деформация с образованием экзофитов и уплощение бугра, костные разрастания по краям не только головок, но и суставных ямок и бугорков.
Для артропатии (внутренних нарушений) ВНЧС — асимметрия линейных размеров суставных головок при сохранении их нормальной структуры.
Для дисплазии — подвывих головок нижней челюсти, двустороннее поражение суставов, остеопороз костной ткани головок нижней челюсти.
Возможности дентальной объемной томографии в диагностике заболеваний и повреждений височно-нижнечелюстного сустава
Симптомы заболеваний височно-нижнечелюстного сустава (ВНЧС) встречаются у 25-50 % населения и являются одной из наиболее частых причин обращения пациентов в стоматологические клиники (П. И. Ивасенко, М. И. Мискевич, Р. К. Савченко, Р. В. Симахов, 2007). Распространенность заболеваний височно-нижнечелюстных суставов (ВНЧС), по данным различных авторов (Е. А. Булычева, 2007; И. В. Потапов, 2008; Р. А. Фадеев, 2010), в последнее время неуклонно возрастает.
Это связано со сложностью клинической картины, нередко напоминающей симптомы неврологических и лор-заболеваний. Другим фактором, диктующим необходимость дальнейшего изучения патологии данной локализации, является высокая функциональная значимость височно-нижнечелюстного сочленения. Даже одностороннее повреждение ВНЧС, приводя к нарушению движения нижней челюсти, препятствует процессам жевания и речеобразования, выполнению медицинских манипуляций в полости рта (стоматологических, лор), проведению интубационного наркоза и т. д.
Очень важно, что заболевания ВНЧС развиваются довольно рано, часто в детском возрасте, при этом они причиняют больному ряд неудобств, а иногда физические страдания. Структурные изменения, происходящие в суставах, рассматриваются большинством авторов как вторичные, обусловленные мышечной дисгармонией. Височно-нижнечелюстные суставы — парные и представляют собой единую биологическую кинематическую систему.
Они построены симметрично по отношению друг к другу и связаны непарной нижней челюстью, поэтому движения в обоих суставах осуществляются синхронно. Повреждение или заболевание одного из суставов создает дополнительную функциональную нагрузку на другой сустав, что в конечном итоге приводит к перегрузке здорового сустава и развитию в нем патологических изменений. Кроме того, известно, что адаптационная способность к окклюзионным нарушениям у различных пациентов значительно варьируется.
Одни пациенты совершенно безболезненно адаптируются к выраженным нарушениям окклюзии, у других больных появляются серьезные симптомы мышечно-суставной дисфункции даже при незначительных расстройствах окклюзии (рис. 1). С проблемой диагностики и лечения различных заболеваний и повреждений височно-нижнечелюстного сустава в своей амбулаторной клинической практике постоянно сталкиваются врачи-стоматологи всех специальностей.
Рис. 1. Функциональное рентгенологическое исследование ВНЧС с открытым и закрытым ртом. Окклюзионно-артикуляционные нарушения, подвывих ВНЧС с двух сторон.
В настоящее время врачи-стоматологи, челюстно-лицевые хирурги и лор-врачи имеют возможность получать цифровое трехмерное изображение зубочелюстной системы и челюстно-лицевой области в процессе диагностического обследования благодаря совершенно новому аппарату — дентальному объемному томографу (рис. 2).
Рис. 2. Выполнение цифровой объемной томографии зоны правого ВНЧС на прицельном аппарате 3ДКТ фирмы Morita.
Инновационный метод лучевой диагностики — дентальная объемная томография (3ДКТ) на аппаратах типа 3 DX Accuitomo (Morita, Япония), GALILEOS ( Sirona , Германия), Picasso Pro ( Vatech , E — WOO , Южная Корея), PROMAX 3 D ( PLANMECA , Финляндия) — нашел широкое применение при выявлении различных заболеваний зубочелюстной системы, челюстно-лицевой области, верхнечелюстных, околоносовых пазух и височно-нижнечелюстных суставов во многих лечебных учреждениях России. С конца 2005 года по настоящее время на дентальных компьютерных томографах в клиниках, амбулаторно-поликлинических комплексах и диагностических центрах ГК «МЕДИ» прошли обследование более 15 500 пациентов различного возраста с заболеваниями и повреждениями зубочелюстной системы, челюстно-лицевой области, височно-нижнечелюстных суставов и верхнечелюстных пазух (рис. 11, 13, 17).
Рис. 11. Внешний вид цифрового объемного томографа фирмы Vatech, E-WOO. Рис. 13а. Ортопантомограмма ВНЧС с открытым и закрытым ртом, окклюзионно-артикуляционные нарушения, деформирующий артрозоартрит правого ВНЧС. Рис. 13б. Функциональное рентгенологическое исследование ВНЧС с открытым и закрытым ртом, окклюзионно-артикуляционные нарушения, деформирующий артрозоартрит правого ВНЧС.
Рис. 17. 3ДКТ левого ВНЧС. Трехмерная объемная реконструкция левого ВНЧС. Оскольчатый перелом со смещением суставного отростка левого ВНЧС.
Современные методы лучевой диагностики у пациентов в различных разделах стоматологии применяются с целью сокращения дозовых нагрузок и сроков обследования населения, назначения рационального плана и повышения качества лечения стоматологических заболеваний, наблюдения в динамике течения патологических процессов периодонта, пародонта и альвеолярных отростков челюстей. При обследовании на цифровом объемном томографе (3ДКТ) эффективная доза одного исследования минимальна: она составляет 30-42 мкЗв, для пациентов детского возраста — 11 мкЗв.
Большую диагностическую информацию дает данное трехмерное КТ-исследование (3ДКТ) при изучении височно-нижнечелюстных суставов (ВНЧС), в том числе в детском возрасте. В отличие от традиционных рентгеновских снимков по Шюллеру, трехмерная дентальная компьютерная томография позволяет определить патологию костной ткани на ранних стадиях.
Это обеспечивается не только визуальными и метрическими исследованиями суставных структур в трех взаимно перпендикулярных плоскостях с «пошаговым срезом» от 0,125 до 1,0 мм, но также возможностью суммирования трехмерной информации с представлением объемного изображения изучаемой области (рис. 3, 4).
Рис. 3. 3ДКТ левого ВНЧС (вариант нормы). Рис. 4а. Трехмерные объемные реконструкции левого ВНЧС. Рис. 4б. Трехмерные объемные реконструкции левого ВНЧС.
Дентальная объемная томография дает возможность получить важнейшие показатели качественной и количественной оценки анатомических структур ВНЧС: форму суставной впадины, ее ширину, глубину и выраженность суставного бугорка, форму суставной головки и величину рентгеновской суставной щели между головкой и впадиной в ее переднем, среднем и заднем отделах (в трех проекциях) (рис. 6).
Рис. 6а. 3ДКТ ВНЧС с двух сторон, деформирующий артрозоартрит левого ВНЧС. Рис. 6б. 3ДКТ ВНЧС с двух сторон, деформирующий артрозоартрит левого ВНЧС.
На основании анализа клинического материла нами разработаны алгоритмы рентгенологического обследования и методика выполнения исследования ВНЧС на дентальном объемном томографе. Обычно мы дополняли выполнение трехмерной дентальной компьютерной томографии ВНЧС с закрытым ртом (в состоянии окклюзии) функциональным исследованием ВНЧС, производимым на ортопантомографе, — зонография ВНЧС в боковой проекции в привычной окклюзии и при широко открытом рте пациента; в процессе лечения производили по показаниям зонограммы ВНЧС в боковой проекции в привычной окклюзии и с капой; ортопантомограммы до и после лечения (рис. 5).
Рис. 5а. Функциональное рентгенологическое исследование ВНЧС с открытым и закрытым ртом. Рис. 5б. 3ДКТ ВНЧС с двух сторон, окклюзионно-артикуляционные нарушения в зоне левого ВНЧС. Рис. 5в. 3ДКТ ВНЧС с двух сторон, окклюзионно-артикуляционные нарушения в зоне левого ВНЧС.
При физиологической окклюзии суставные головки располагаются обычно в середине суставной впадины. При аномалиях окклюзии наблюдаются три основных положения суставных головок: они могут находиться в середине суставных ямок, смещены назад и вверх или вперед и вниз. Целью челюстно-лицевой ортопедии является реабилитация больных с дефектами зубочелюстной системы.
Наиболее характерными симптомами деформирующего артроза, которые выявляются на трехмерной дентальной КТ, являются сужение рентгеновской суставной щели, склероз и повышение интенсивности кортикальных замыкательных пластинок головки и заднего ската суставного бугорка. Нарушается функция сустава — экскурсия головки ограничена, реже возникают вправляющиеся вывихи и подвывихи. При деформирующем артрозе происходят изменение формы головки и суставного бугорка, уплощение, стирание головки по высоте, остроконечная, булавовидная деформация и образование экзофитов, уплощение или экзофитные образования на бугорке; все перечисленные рентгеновские признаки отчетливо визуализируются на трехмерном дентальном КТ ВНЧС с двух сторон при закрытом рте (рис. 7, 8).
Рис. 7а. 3ДКТ ВНЧС с двух сторон, деформирующий артрозоартрит правого ВНЧС. Рис. 7б. 3ДКТ ВНЧС с двух сторон, деформирующий артрозоартрит правого ВНЧС. Рис. 8а. 3ДКТ ВНЧС с двух сторон, ревматоидный артрозоартрит левого ВНЧС (асептический некроз суставной головки).
Рис. 8б. 3ДКТ ВНЧС с двух сторон, ревматоидный артрозоартрит левого ВНЧС (асептический некроз суставной головки).
Только магнитно-резонансная томография и ультрасонография позволяют визуализировать мягкотканные элементы ВНЧС и жевательные мышцы. При всех заболеваниях и функциональных нарушениях ВНЧС рентгенологическому исследованию должны подвергаться обязательно оба сочленения в разные фазы движения нижней челюсти. При этом рентгенологическое исследование пациентов начинается с выполнения ортопантомограммы и функционального исследования ВНЧС — зонограммы в боковой проекции в привычной окклюзии и при широко открытом рте пациента.
В дальнейшем определение алгоритма обследования и лечения пациентов детского и взрослого возраста в стоматологической клинике зависит от характера заболеваний и нарушений ВНЧС. При заболеваниях, связанных с поражением костных структур у пациентов любого возраста, мы рекомендуем выполнение трехмерной дентальной компьютерной томографии ВНЧС (с закрытым ртом, в состоянии привычной окклюзии). Применение диагностического алгоритма в каждом конкретном клиническом случае позволяет выбрать оптимальный метод лучевой диагностики, который сможет обеспечить получение достоверной информации и снизить вероятность диагностических ошибок (рис. 9, 10).
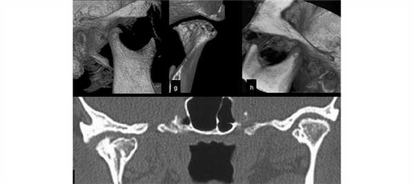
Рис. 9а. 3ДКТ ВНЧС с двух сторон, перелом суставного отростка со смещением суставной головки ВНЧС с двух сторон. Рис. 9б. 3ДКТ ВНЧС с двух сторон, перелом суставного отростка со смещением суставной головки ВНЧС с двух сторон. Рис. 10. 3ДКТ правого ВНЧС, хондроматоз (обызвествление) мягких тканей области правого ВНЧС.
Алгоритмы обследования пациентов (любого профиля) в амбулаторной стоматологической клинике
Панорамная рентгенография всего зубного ряда (ортопантомограмма) всем первичным пациентам и в динамике после проведенного лечения (1 раз в два года).
2. Цифровая прицельная рентгенография зубов на радиовизиографе в стоматологических клиниках.
3. Трехмерная дентальная компьютерная томография (по назначению врача-стоматолога по клиническим показаниям по любой специальности):
верхнечелюстных и околоносовых пазух;
Трехмерная дентальная компьютерная томография височно-нижнечелюстных суставов выполняется при закрытом рте пациента (в состоянии привычной окклюзии); для оценки и интерпретации томограмм необходимо дополнять данное 3ДКТ-исследование ВНЧС функциональным рентгенологическим исследованием височно-нижнечелюстных суставов с открытым и закрытым ртом (выполняется на ортопантомографе).
Таким образом, применение широкого спектра различных методов лучевой диагностики позволяет своевременно и с минимальной лучевой нагрузкой на пациента детского и взрослого возраста определить диагноз, составить план лечения и проследить в динамике течение стоматологических заболеваний и повреждений зубочелюстной системы, челюстно-лицевой области и ВНЧС (рис. 12, 14, 15).
Рис. 14а. 3ДКТ зубочелюстной системы и челюстно-лицевой области в состоянии центральной окклюзии, трехмерные объемные реконструкции, окклюзионно-артикуляционные нарушения, деформирующий артрозоартрит правого ВНЧС. Рис. 14б. 3ДКТ зубочелюстной системы и челюстно-лицевой области в состоянии центральной окклюзии, трехмерные объемные реконструкции, окклюзионно-артикуляционные нарушения, деформирующий артрозоартрит правого ВНЧС. Рис. 14в. 3ДКТ зубочелюстной системы и челюстно-лицевой области в состоянии центральной окклюзии, трехмерные объемные реконструкции, окклюзионно-артикуляционные нарушения, деформирующий артрозоартрит правого ВНЧС.
Рис. 14г. 3ДКТ зубочелюстной системы и челюстно-лицевой области в состоянии центральной окклюзии, трехмерные объемные реконструкции, окклюзионно-артикуляционные нарушения, деформирующий артрозоартрит правого ВНЧС.
Рис. 14а. 3ДКТ зубочелюстной системы и челюстно-лицевой области в состоянии центральной окклюзии, трехмерные объемные реконструкции, окклюзионно-артикуляционные нарушения, деформирующий артрозоартрит правого ВНЧС. Рис. 14б. 3ДКТ зубочелюстной системы и челюстно-лицевой области в состоянии центральной окклюзии, трехмерные объемные реконструкции, окклюзионно-артикуляционные нарушения, деформирующий артрозоартрит правого ВНЧС. Рис. 14в. 3ДКТ зубочелюстной системы и челюстно-лицевой области в состоянии центральной окклюзии, трехмерные объемные реконструкции, окклюзионно-артикуляционные нарушения, деформирующий артрозоартрит правого ВНЧС.
Рис. 14г. 3ДКТ зубочелюстной системы и челюстно-лицевой области в состоянии центральной окклюзии, трехмерные объемные реконструкции, окклюзионно-артикуляционные нарушения, деформирующий артрозоартрит правого ВНЧС. Рис. 15а. а. Ортопантомограмма; аномалия развития суставного и венечного отростков нижней челюсти с двух сторон. Рис. 15б. 3ДКТ зубочелюстной системы и челюстно-лицевой области (с прикусником), реконструкция по типу ортопантомограммы, трехмерные объемные реконструкции, аномалия развития суставного и венечного отростков нижней челюсти с двух сторон.
Рис. 15в. 3ДКТ зубочелюстной системы и челюстно-лицевой области (с прикусником), реконструкция по типу ортопантомограммы, трехмерные объемные реконструкции, аномалия развития суставного и венечного отростков нижней челюсти с двух сторон.
Заболевания височно-нижнечелюстного сустава составляют значительный процент от патологий зубочелюстной системы и представляют определенные трудности как на этапах диагностики, так и при проведении лечения. Заболевания височно-нижнечелюстного сустава начинаются с функциональных нарушений, диагностика которых с использованием общепринятых рентгенологических методов в некоторых случаях бывает затруднена. Методика цифровой объемной томографии (3ДКТ), проводимой при помощи различных видов прицельных и панорамных дентальных объемных томографов, значительно расширяет возможности лучевой диагностики в стоматологии, челюстно-лицевой хирургии и гнатологии.
Большую диагностическую информацию дает данное трехмерное КТ-исследование при изучении височно-нижнечелюстных суставов (ВНЧС). Нами обследовано более 370 пациентов с различными заболеваниями и повреждениями височно-нижнечелюстных суставов. Трехмерная дентальная компьютерная томография позволяет определить патологию костной ткани на ранних стадиях, выполнить визуальные и метрические исследования суставных структур в трех взаимно перпендикулярных плоскостях, провести линейные и угловые измерения, использовать денситометрию в условных единицах для оценки костной и мягкотканной плотности; также имеется возможность суммирования трехмерной информации с предоставлением объемного изображения изучаемой области (вращение и развороты на 90, 180, 360 ° ) (рис. 17).
Рис. 17. 3ДКТ левого ВНЧС. Трехмерная объемная реконструкция левого ВНЧС. Оскольчатый перелом со смещением суставного отростка левого ВНЧС.
Исследования на дентальном компьютерном томографе позволяют не только получить информацию о строении зубочелюстной системы, но и оценить состояние ВНЧС, костных и мягкотканных структур полости носа, верхнечелюстных и околоносовых пазух, клеток решетчатого лабиринта (рис. 16). В настоящее время по данным дентальной объемной томографии определены нормальные показатели анатомического строения ВНЧС у женщин и мужчин.
Рис. 16. Выполнение цифровой объемной томографии зубочелюстной системы и челюстно-лицевой области на аппарате 3ДКТ фирмы Planmeca.
Таким образом, дентальный объемный томограф является универсальным диагностическим аппаратом нового поколения с огромным потенциалом использования в различных областях стоматологии, челюстно-лицевой хирургии и оториноларингологии. При этом трехмерный дентальный компьютерный томограф — мощный инструмент, открывающий новую эпоху в дифференциальной диагностике патологических процессов челюстно-лицевой области, зубочелюстной системы и височно-нижнечелюстных суставов.
КТ и МРТ при дисфункции височно-челюстного сустава - что лучше покажет

Ведущим методом выявления патологических изменений в височно-нижнечелюстного сустава (ВНЧС) при различных видах поражения является лучевая диагностика:
Рентгенография и КТ дает возможность своевременно выявлять разнообразные патологии костей, зубов и челюсти. Однако следует отметить, что традиционные рентгенологические методики исследования в условиях естественной контрастности оказались малоинформативными в силу того, что наибольшую часть среди поражений ВНЧС занимают патологические изменения в его мягкотканных элементах (гнойные поражения нижней челюсти, кисты, флюсы, артрозы, некрозы). Визуализация данных патологий потребует проведения магнитно-резонансной томографии ВНЧС.
Что лучше выбрать для первичной диагностики височно-нижнечелюстного сустава?
Если у Вас стали возникать проблемы с закрытием рта, появился инородный звук при движении челюстью, есть неприятные ощущения в челюстных суставах, следует обратиться к челюстно-лицевому хирургу. Многие пациенты не уделяют должного внимания вышеперечисленным симптомам, считая их незначительными. Между тем, практически все эти симптомы говорят о возможном наличии серьезной патологии - дисфункции височно-нижнечелюстного сустава. К сожалению, медицинские специалисты вынуждены отметить, что слишком часто больные обращаются за медицинской помощью тогда, когда незначительные на первых порах симптомы уже развиваются в тяжелое заболевание, которое проявляется в невозможности пережевывать пищу из-за сильной боли и дискомфорта, смещении в сторону нижней челюсти, неправильных, зигзагообразных движениях челюсти при открывании рта. Подобные запущенные состояния лечить достаточно сложно. В некоторых случаях по результатам диагностики уже приходится прибегнуть к оперативному вмешательству, которого можно было бы избежать при своевременном прохождении томографии височно-челюстного сустава или КТ челюсти.
Часто компьютерная томография и МРТ суставов назначаются после того, как было проведено первичное рентгенологическое исследование. Если на полученных снимках лечащий врач обнаруживает подозрительную по его мнению зону, то дальше последует назначение на МРТ или КТ, которое позволят детально рассмотреть проблемный участок и поставить безошибочный диагноз.
Что входит в МРТ височно-нижнечелюстного сустава
В стандартный протокол МРТ височно-нижнечелюстного сустава входит обследование следующих структур:
- головка мыщелкового отростка
- нижней челюсти
- височная кость
- суставная щель
- костный мозг
- суставной диск
- видимые отделы околоносовых синусов.
Что входит в МСКТ челюсти
В стандартный протокол КТ челюсти входит обследование следующих структур:
КТ верхней челюсти
- адентия зуба
- лунка зуба
- альвеолярный отросток
- зубы
- шейка зуба
- периодонтальные щели
- парадонтальный карман
- слизистая оболочка
- правая верхнечелюстная пазуха
- жидкость в полости пазухи
- верхнечелюстная пазуха,
КТ нижней челюсти
- адентия зуба
- лунка зуба
- плотность кости
- альвеолярный отросток
- канал корня
- парадонтальный карман.
Диагностика дисфункции височно-челюстного сустава на КТ и МРТ
По статистике, дисфункция ВНЧС встречается в 80-85% случаев заболеваний челюсти. Наиболее частыми причинами, вызывающими эту болезнь, являются нарушения прикуса (в том числе, и по вине врачей-протезистов), сильное однократное перенапряжение жевательных мышц (например, при попытке откусить твердую еду), слишком высоко выступающая пломба на зубе, непроизвольный спазм челюстно-лицевых мышц при сильных физических нагрузках и стрессах. Все это способно нарушить синхронность работы височно-нижнечелюстных суставов. Также односторонние нагрузки на челюсть, когда по разным причинам приходится жевать только какой-то одной стороной челюсти, неизбежно приводят к смещению дисков и нарушению их правильного функционирования, сопровождающегося сильным болевым синдромом.
В медицинских центрах диагностика дисфункции височно-нижнечелюстного сустава осуществляется с помощью:
Пациентам с дисфункцией височно-челюстного сустава для уточнения характера дислокации суставного диска диагностику следует начинать с проведения МРТ, для уточнения степени вторичных изменений сустава дегенеративного характера целесообразно дополнительно использовать компьютерную томографию.
Что лучше - КТ или МРТ височно-нижнечелюстного сустава?
Однозначного ответа на это вопрос нет. Магнитно-резонансный томограф очень схож с аппаратом компьютерной томографии, но эти два вида диагностики отличаются по своим физическим принципам. При КТ аппарат задействует Х-лучи, и именно с помощью этих лучей и получаются снимки. МРТ аппарат не несет лучевую нагрузку, поскольку работает за счет эффекта резонанса магнитного поля.
В общем и целом, магнитно-резонансная томография позволяет рассмотреть любые отклонения от нормы в мягких тканях и хрящах, а КТ хорошо отображает костные структуры. Комбинированное применение этих двух методов томографии дает возможность врачам выявлять мельчайшие аномалии челюстных суставов в стадии их зарождения и оценить состояние соседних мягких структур.
| МРТ височно-челюстного сустава | КТ височно-челюстного сустава |
Так, пациентам с механическими повреждениями ВНЧС диагностику следует начинать с КТ для выявления патологических изменений костных элементов. Компьютерная томография позволяет установить зависимость характера дислокации обломков от локализации перелома, а при внутренних нарушениях - оценить тяжесть поражения костных структур за счет присоединения остеоартроза. При ревматоидном артрите компьютерная томография обеспечивает визуализацию протяженности и степени выраженности эрозивных и литических повреждений суставных поверхностей. Последующее использование МРТ показано при необходимости установления характера повреждения мягкотканных структур сустава. Магнитно-резонансная томография поможет определить характер дислокации суставного диска и его взаимоотношения с головкой нижней челюсти, разрыв диска и внутрисуставных связок, а также обнаружить гемартроз и синовит.
При артрите и артрозе необходимо одновременное комплексное применение МРТ и КТ для визуализации синовита, изменения суставного диска, а также для определения степени выраженности патологических изменений суставных поверхностей.
Противопоказания к МРТ
При МРТ исследовании на пациента действует магнитное поле, и все абсолютные противопоказания будут связаны с этим фактом:
Магнитное поле может привести в движение объекты, которым свойственно с ним взаимодействовать, это могут быть: клипсы на сосудах, металлоконструкции в любом участке тела. Поэтому если в организме установлен имплант, пациенту нужно будет предъявить документы, в которых указан состав материала. В случае, если это неферромагнитный материал (например, титан), проведение МРТ разрешено.
Магнитное поле может повлиять на работу электронных устройств: электокардиостимуляторы, инсулиновые помпы, слуховые протезы. Если в паспорте импланта не указано, что он совместим с МРТ, необходимо подобрать альтернативный метод диагностики.
Следует отметить, что иногда проведение МРТ не возможно в следующих случаях:
- вес пациента выше максимально допустимых параметров для конкретного аппарата (стол современного томографа чаще всего выдерживает вес до 120 кг);
- габариты пациента выше максимально допустимой величины для конкретного аппарата (современные магнитно-резонасные томографы чаще всего имеют диаметр трубы 60-70 см);
- у пациента сильная форма клаустрофобии;
- пациент не может сохранять неподвижность во время обследования.
Противопоказания к КТ
При КТ исследовании основным значимым фактором риска является наличие лучевой нагрузки на организм пациента. Она может варьироваться в зависимости от зоны сканирования, модели аппарата и протокола сканирования. Но она есть всегда. Поэтому:
КТ исследование не проводят беременным женщинам на любом сроке вынашивания.
Детям до 5 лет не желательно делать КТ, за исключение ситуации, где это необходимо по жизненным показаниям.
Следует отметить что иногда проведение КТ невозможно в следующих случаях:
Читайте также:
- Типы и классификация гипоксий. Назначение кислорода при гипоксии
- Хирургическое лечение эпилепсии у детей. Стимуляция блуждающего нерва при эпилепсии
- Тугоухость. Причины тугоухости. Анатомия и физиология органов слуха.
- Специфичность исследования воротникового пространства. Чувствительность оценки воротникового пространства
- Диагностика синдрома Айкарди на МРТ, КТ
