КТ при злокачественной амелобластоме и амелобластическом раке челюсти
Добавил пользователь Владимир З. Обновлено: 21.11.2025
Доброкачественные остеогенные опухоли челюстей - опухоли возникающие первично в кости и развиваются из соединительно-тканных элементов, входящих в ее состав [1].
Код(ы) МКБ-10:
| МКБ-10 | |
| Код | Название |
| D16.4 | Доброкачественные новообразования костей черепа и лица |
| D16.5 | Доброкачественные новообразования нижней челюсти костной части |
Дата разработки/пересмотра протокола: 2017 год.
Сокращения, используемые в протоколе:
вирус иммунодефицита человека
общий анализ крови
общий анализ мочи
синусоидальные модулированные токи
скорость оседания эритроцитов
Пользователи протокола: ВОП, терапевты, педиатры,челюстно-лицевые хирурги, врачи-стоматологи, врачи-онкологи.
Категория пациентов: взрослые, дети.
Шкала уровня доказательности:
| А | Высококачественный мета-анализ, систематический обзор РКИ или крупное РКИ с очень низкой вероятностью (++) систематической ошибки, результаты которых могут быть распространены на соответствующую популяцию. |
| В | Высококачественный (++) систематический обзор когортных или исследований случай-контроль или Высококачественное (++) когортных или исследований случай-контроль с очень низким риском систематической ошибки или РКИ с не высоким (+) риском систематической ошибки, результаты которых могут быть распространены на соответствующую популяцию. |
| С | Когортное или исследование случай-контроль или контролируемое исследование без рандомизации с не высоким риском систематической ошибки (+), результаты которых могут быть распространены на соответствующую популяцию или РКИ с очень низким или невысоким риском систематической ошибки (++ или +), результаты которых не могут быть непосредственно распространены на соответствующую популяцию. |
| D | Описание серии случаев или неконтролируемое исследование, или мнение экспертов. |
| GPP | Наилучшая клиническая практика. |

Автоматизация клиники: быстро и недорого!
- Подключено 300 клиник из 4 стран
- 800 RUB / 4500 KZT / 27 BYN - 1 рабочее место в месяц

Автоматизация клиники: быстро и недорого!
- Подключено 300 клиник из 4 стран
- 1 место - 800 RUB / 4500 KZT / 27 BYN в месяц
Мне интересно! Свяжитесь со мной
Классификация
2:
Классификация ВОЗ №6. Гистологическая классификация остеогенных опухолей,
· остеома;
· остеоид-остеома;
· остеобластокластома.
Диагностика
МЕТОДЫ, ПОДХОДЫ И ПРОЦЕДУРЫ ДИАГНОСТИКИ
Диагностические критерии
· консультацияврача онколога - для верификации диагноза;
· консультация анестезиолога - для проведения анестезиологического пособия;
· консультация оториноларинголога - при прорастании опухоли в полость носа;
· консультация офтальмолога - при прорастании опухоли в полость глазницы;
· консультация терапевта - при наличии сопутствующих заболеваний;
· консультация других узких специалистов - по показаниям.

Диагностический алгоритм:
Дифференциальный диагноз
Дифференциальный диагноз и обоснование дополнительных исследований [3,8]:
| Диагноз | Физикальное обследование | Рентгенограмма | Патоморфология |
| Экзостоз челюсти | незаметное возникновение, медленное и длительное течение, выражающееся в утолщении отдельных участков челюсти. | На рентгенограмме экзостоз выявляется в виде локального утолщения компактного слоя кости. | Картина нормальной кости |
| Гиперостоз челюсти | Гиперостоз челюсти является результатом перенесенного периостита или остеомиелита, или травмой, что устанавливается на основании изучения анамнеза. сходные клиническими проявлениями, выражающимися в утолщении деформации челюсти. | На рентгенограмме выявляется в виде локального утолщения компактного слоя кости. | Картина нормальной кости |
| Амелобластома | Развиваются медленно, незаметно, характеризуются утолщением или веретенообразным вздутием пораженного участка челюсти, иногда подвижностью зубов. В ряде случаев нагнаиваются. Реже отмечается появление самопроизвольных болей в области зубов, расположенных в зоне опухоли. | При амелобластоме деструкция кости в виде множественных очагов разряжения с четкими границами (поликистозный характер разряжения). Полости различных размеров, разделены между собой костными перегородками. | При амелобластоме имеются эпителиальные комплексы различной величины, напоминающий развивающийся эмалевый орган зубного зачатка. |
| Хронический одонтогенный остеомиелит | Возникает после острого остеомиелита, характеризуется наличием на коже или слизистойоболочке свищей с гнойным отделяемым. Ноющие боли в пораженном участке челюсти, подвижность и смещениезубов. На рентгенограммах очаги деструкции костной ткани. | Наличие костных секвестров на снимках челюстей. | микроскопическая картина воспалительного процесса. |
| Остеолитическая саркома | Злокачественное образование. Растёт быстро, рано вызывает сильные боли, выражена расшатанность зубов. | Дефект кости с неровными изъеденными краями, периостальная реакция в виде шипов-спикул | Чаще всего встречаются веретенообразноклеточная и круглоклеточная форма саркомы |
Лечение
Препараты (действующие вещества), применяющиеся при лечении
| Ванкомицин (Vancomycin) |
| Ибупрофен (Ibuprofen) |
| Кетопрофен (Ketoprofen) |
| Парацетамол (Paracetamol) |
| Трамадол (Tramadol) |
| Цефазолин (Cefazolin) |
| Цефуроксим (Cefuroxime) |
| Этамзилат (Etamsylate) |
Лечение (стационар)
ТАКТИКА ЛЕЧЕНИЯ НА СТАЦИОНАРНОМ УРОВНЕ:
На стационарном уровне проводится хирургическое лечение под местным/общим обезболиванием. После проведенного вмешательства назначают антибактериальные, нестероидные противовоспалительные препараты.
Немедикаментозное лечение:
· Режим II;
· Диета: Стол №15 (по показаниям назначение диетической терапии).
Частичная резекция челюсти с сохранением ее непрерывности.
Показания для проведения оперативного вмешательства:
· остеома, остеоид-остеома, остеобластокластома небольших размеров, располагающихся в костном массиве.
Противопоказания:
· легочно-сердечная недостаточность III-IV степени;
· нарушения свертываемости крови, другие заболевания кровеносной системы;
· инфаркт миокарда (постинфарктный период);
· тяжелые формы сопутствующих заболеваний (декомпенсированный сахарный диабет, обострение язвенной болезни желудка и двенадцатиперстной кишки, печеночная/почечная недостаточность, врожденные и приобретенные пороки сердца с декомпенсации, алкоголизм и другие);
· острые и хронические заболевания печени и почек с функциональной недостаточностью;
· инфекционные заболевания в стадии обострения.
Экскохлеация (удаление опухоли с капсулой):
Показания:
· небольшой размер опухоли при остеобластокластоме, одонтоме, цементоме;
· кортикальная пластинка челюсти сохранена.
Противопоказания:
· сердечно-сосудистые заболевания (прединфарктное состояние и время в течение 3-6 месяцев после перенесённого инфаркта миокарда, гипертоническая болезнь II и III степени, ишемическая болезнь сердца с частыми приступами стенокардии, пароксизм мерцательной аритмии, пароксизмальная тахикардия, острый септический эндокардит и др.);
· острые заболевания паренхиматозных органов (инфекционный гепатит, панкреатит и др.);
· геморрагические заболевания (гемофилия, болезнь Верльгофа, С-авитаминоз, острый лейкоз, агранулоцитоз);
· острые инфекционные заболевания (грипп, острые респираторные заболевания; рожистые заболевания, пневмония);
· заболевания центральной нервной системы (нарушение мозгового кровообращения, менингит, энцефалит);
· психические заболевания в период обострения (шизофрения, маниакально-депрессивный психоз, эпилепсия).
Резекция кости лица/челюстис одномоментной реконструкцией костной ткани
Показания:
· обширные размеры опухоли при остеобластокластоме и другие;
· кортикальная пластинка челюсти не сохранена.
Противопоказания:
· сердечно-сосудистые заболевания (прединфарктное состояние и время в течение 3-6 месяцев после перенесённого инфаркта миокарда, гипертоническая болезнь II и III степени, ишемическая болезнь сердца с частыми приступами стенокардии, пароксизм мерцательной аритмии, пароксизмальная тахикардия, острый септический эндокардит и др.);
· острые заболевания паренхиматозных органов (инфекционный гепатит, панкреатит и др.);
· геморрагические заболевания (гемофилия, болезнь Верльгофа, С-авитаминоз, острый лейкоз, агранулоцитоз);
· острые инфекционные заболевания (грипп, острые респираторные заболевания; рожистые заболевания, пневмония);
· заболевания центральной нервной системы (нарушение мозгового кровообращения, менингит, энцефалит);
· психические заболевания в период обострения (шизофрения, маниакально-депрессивный психоз, эпилепсия).
Медикаментозное лечение
| № | Препарат, формы выпуска | Разовая доза | Кратность введения | УД |
| Опиоидные анальгетики | ||||
| 1 | трамадол 100мг/2мл по 2 мл или 50 мг перорально | Взрослым и детям в возрасте старше 12 лет вводят в/в (медленно капельно), в/м по 50-100 мг (1-2 мл раствора). При отсутствии удовлетворительного эффекта через 30-60 минут возможно дополнительное введение 50 мг (1 мл) препарата. Кратность введения составляет 1-4 раза в сутки в зависимости от выраженности болевого синдрома и эффективности терапии. Максимальная суточная доза - 600 мг. Противопоказан детям до 12 лет. | с целью обезболивания в послеоперационном периоде, 1-3 суток | А |
| Нестероидные противоспалительные средства | ||||
| 1 | кетопрофен 100 мг/2мл по 2 мл или перорально 150мг пролонгированный 100мг. | суточная доза при в/в составляет 200-300 мг (не должна превышать 300 мг), далее пероральное применение пролонгированные внутрь 150 мг 1 р/д, 100 мг 2 р/д | Длительность лечения при в/в не должна превышать 48 часов. Длительность общего применения не должна превышать 5-7 дней, с противовоспалительной, жаропонижающей и болеутоляющей целью. | B |
| 2 | ибупрофен 100 мг/5 мл100мл или перорально 200 мг; внутрь 600 мг | Для взрослых и детей с 12 лет ибупрофен назначают по 200 мг 3-4 раза в сутки. Для достижения быстрого терапевтического эффекта у взрослых доза может быть увеличена до 400 мг 3 раза в сутки. Суспензия: разовая доза составляет 5-10 мг/кг массы тела ребенка 3-4 раза в сутки. Максимальная суточная доза не должна превышать 30 мг на кг массы тела ребенка в сутки. | Не более 3-х дней в качестве жаропонижающего средства Не более 5-ти дней в качестве обезболивающего средства с противовоспалительной, жаропонижающей и болеутоляющей целью. | A |
| 3 | ацетаминофен 200 мг или 500мг; для приема внутрь 120 мг/5 мл или ректально 125 мг, 250 мг, 0,1 г | Взрослым и детям старше 12 лет с массой тела более 40 кг:разовая доза - 500 мг-1,0 г до 4 раз в сутки. Максимальная разовая доза - 1,0 г. Интервал между приемами не менее 4 часов. Максимальная суточная доза - 4,0 г. Детям от 6 до 12 лет: разовая доза - 250-500 мг, по 250-500 мг до 3-4 раз в сутки. Интервал между приемами не менее 4 часов. Максимальная суточная доза - 1,5-2,0 г. | Продолжительность лечения при применении в качестве анальгетика и в качестве жаропонижающего средства не более 3-х дней. | A |
| Гемостатические средства | ||||
| 1 | этамзилат 12,5% - 2 мл | 4-6 мл 12,5 % раствора в сутки. Детям, вводят однократно в/в или в/м по 0,5-2 мл с учетом массы тела (10-15 мг/кг). | При опасности послеоперационного кровотечения вводят с профилактической целью | B |
| № | Препараты | Разовая доза | Кратность введения | УД |
| Антибиотикопрофилактика | ||||
| 1. | цефазолин 500 мг и 1000 мг | 1 г в/в (детям из расчета 50 мг/кг однократно) | 1 | B |
| 2. | цефуроксим 750 мг и 1500 мг +метронидазол 0,5% - 100 мл | Цефуроксим 1,5-2,5 г, в/в (детям из расчета 30 мг/кг однократно) +Метронидазол (детям из расчета 20-30 мг/кг однократно) 500 мг в/в | 2 | A |
| При аллергии на β-лактамные антибиотики | ||||
| 3. | ванкомицин 500мг и 1000 мг | 1 г в/в (детям из расчета 10-15 мг/кг однократно) | 3 | B |
Дальнейшее ведение:
· наблюдение у челюстно-лицевого хирурга - 2 раза в год, врача-онколога - по показаниям;
· шинирование челюстей для предупреждения патологических переломов
· восстановление функции и анатомической формы челюсти при помощи первичной (или отсроченной) костной пластики;
· при необходимости зубное протезирование, дентальная имплантация.
Индикаторы эффективности лечения:
· удаление опухоли;
· восстановление поврежденных анатомических структур;
· восстановление нарушенных функций.
Госпитализация
ПОКАЗАНИЯ ДЛЯ ГОСПИТАЛИЗАЦИИ С УКАЗАНИЕМ ТИПА ГОСПИТАЛИЗАЦИИ
Показания для плановой госпитализации:
· остеогенная опухольс выраженной деформацией челюсти и нарушением функции.
Показания для экстренной госпитализации:
· кровотечение из опухоли, нагноение опухоли.
Информация
Источники и литература
- Протоколы заседаний Объединенной комиссии по качеству медицинских услуг МЗ РК, 2017
- 1) Козлова В.А., Кагана И.И. Оперативная челюстно-лицевая хирургия и стоматология, ГЭОТАР-Медиа 2014. - 544 с.Супиев Т.К., Зыкеева С.К. Лекции по стоматологии детского возраста: учеб. пособие - Алматы: Стомлит, 2006. - 616с. 2) Пачес А.И. Опухоли головы и шеи. Пятое издание переработанное,2013. - 480 с. 3) Муковозов И.Н. Дифференциальная диагностика хирургических заболеваний челюстно-лицевой области, Медицинская книга, 2014. - 224 с. 4) De França T.R, Gueiros L.A, de Castro J.F, Catunda I, Leão J.C, da Cruz Perez D.E Solitary peripheral osteomas of the jaws. Imaging Sci Dent. 2012. 5) Nah K. Osteomas of the craniofacial region. Imaging Sci Dent. 2011. 6) Saati S, Nikkerdar N, Golshah A. Two huge maxillofacial osteoma cases evaluated by computed tomography. Iran J Radiol. 2011. 7) Gundewar S, Kothari D.S, Mokal N.J, Ghalme A. Osteomas of the craniofacial region: A case series and review of literature Indian J Plast Surg. 2013. 8) María de Lourdes Suárez-Roa, LudovicReveiz, Luz MaríaRuíz-Godoy Rivera Juan Asbun-Bojalil José Eduardo Dávila-Serapio Andrés H Menjívar-Rubio AbelardoMeneses-GarcíaSystematic review: Interventions for central giant cell granuloma (CGCG) of the jaws Cochrane Oral Health Group 2009. 9) Giri G.V, Sukumaran G, Ravindran C, Narasimman M.J Giant cell tumor of the mandible.OralMaxillofacPathol. 2015. 10) Kulkarni D, Shetty L, Kulkarni M, Mahajan B.Extensive giant cell tumour of the mandible: a case report with review. J Maxillofac Oral Surg. 2013. 11) Bokhari K, Hameed M.S, Ajmal M, Togoo R.A. Benign osteoblastoma involving maxilla: a case report and review of the literature. Case Rep Dent. 2012. 12) Mahajan A, Kumar P, Desai K, Kaul R.P. Osteoblastoma in the retromolar region Report of an unusual case and Review of literature. J Maxillofac Oral Surg. - 2013. 13) Jones A.C, Prihoda T.J, Kacher J.E, Odingo N.A, Freedman P. Osteoblastoma of the maxilla and mandible: a report of 24 cases, review of the literature, and discussion of its relationship to osteoid osteoma of the jaws. Oral Surg Oral Med Oral Pathol Oral RadiolEndod- 2006. 14) Kaur H1, Verma S, Jawanda MK, Sharma A. Aggressive osteoblastoma of the mandible: A diagnostic dilemma. Dent Res J (Isfahan). 2012. 15) Harrington C, Accurso B.T, Kalmar J.R, Iwenofu O.H, Agrawal A, Allen C.M, Leon M.E. Aggressive osteoblastoma of the maxilla: a case report and review of the literature Head Neck Pathol. 2011. 16) Giannico G, Holt G, Homlar K, et al. Osteoblastoma characterized by a three-way translocation: report of a case and review of the literature. Cancer Genet Cytogenet. 2009.
Информация
ОРГАНИЗАЦИОННЫЕ АСПЕКТЫ ПРОТОКОЛА
Список разработчиков протокола с указанием квалификационных данных:
1) Батыров Тулеубай Уралбаевич - главный внештатный челюстно-лицевой хирург МЗ РК, врач челюстно-лицевой хирург высшей категории, профессор, кандидат медицинских наук, заведующий кафедрой стоматологии и челюстно-лицевой хирургии, АО «Медицинский Университет Астана».
2) Сагындык Хасан Люкотович - врач челюстно-лицевой хирург высшей категории, кандидат медицинских наук, профессор кафедры стоматологии и челюстно-лицевой хирургии, АО «Медицинский Университет Астана».
3) Утепов Дилшат Каримович - врач челюстно-лицевой хирург высшей категории УК «Аксай» КазНМУ им. С.Д. Асфендиярова, ассистент кафедры стоматологии детского возраста КазНМУ им. С.Д. Асфендиярова.
4) Садвакасова Ляззат Мендыбаевна - к.м.н., челюстно-лицевой хирург, доцент кафедры стоматологических дисциплин, РГП на ПХВ «ГМУ г. Семей» МЗСР РК.
5) Сугурбаев Адиль Асылханович - врач челюстно-лицевой хирург, магистрант кафедры стоматологии и челюстно-лицевой хирургии, АО «Медицинский Университет Астана».
6) Ихамбаева Айнур Ныгымановна - ассистент кафедры общей и клинической фармакологии, АО «Медицинский университет Астана, клинический фармаколог».Указание на отсутствие конфликта интересов:нет.
Список рецензентов:
1) Нурмаганов Серик Балташевич - доктор медицинских наук, врач челюстно-лицевой хирург высшей категории, профессор кафедры стоматологии детского возраста КазНМУ им. С.Д. Асфендиярова, заведующий отделением детской челюстно-лицевой хирургии ГКБ №5 г. АлматыУказание условий пересмотра протокола: Пересмотр протокола через 5 лет после его опубликования и с даты его вступления в действие или при наличии новых методов с уровнем доказательности.
Опухоли челюстей
Опухоли челюстей - новообразования челюстных костей, исходящие непосредственно из костной ткани или структур одонтогенного аппарата. Опухоли челюстей могут проявлять себя клинически болевым синдромом, деформацией кости, асимметрией лица, смещением и подвижностью зубов, нарушением функции ВНЧС и глотания, нередко - прорастанием в полость носа, верхнечелюстную пазуху, орбиту и т. д. Диагностика опухолей челюстей предполагает рентгенологическое обследование, КТ, сцинтиграфию; при необходимости консультации окулиста, отоларинголога, риноскопию. Лечение доброкачественных опухолей челюстей - только хирургическое (выскабливание, резекция фрагмента челюсти, удаление зубов); злокачественных - комбинированное (лучевая терапия и операция).
МКБ-10
![Опухоли челюстей]()
![МРТ головы и шеи. Опухоль альвеолярного отростка нижней челюсти справа (плоскоклеточный рак).]()
Общие сведения
Опухоли челюстей - остеогенные и неостеогенные, доброкачественные и злокачественные новообразования челюстных костей. На долю опухолей челюстно-лицевой области приходится около 15% всех заболеваний в стоматологии. Опухоли челюстей могут возникать в любом возрасте, в т. ч. довольно часто они встречаются у детей. Опухоли челюстей разнообразны по своему гистогенезу и могут развиваться из костной и соединительной ткани, костного мозга, тканей зубного зачатка, околочелюстных мягких тканей.
По мере своего роста опухоли челюстей вызывают значительные функциональные нарушения и эстетические дефекты. Лечение опухолей челюстей представляет собой технически непростую задачу, требующую объединения усилий специалистов в области челюстно-лицевой хирургии, отоларингологии, офтальмологии, нейрохирургии.
![Опухоли челюстей]()
Причины
Вопрос о причинности возникновения опухолей челюстей находится в процессе изучения. На сегодняшний день доказана связь опухолевого процесса со следующими состояниями:
- одномоментной или хронической травмой (ушибом челюсти, повреждением слизистой оболочки полости рта разрушенными кариесом зубами, зубным камнем, краями пломб, некорректно подогнанными коронками и протезами и пр.)
- длительно текущими воспалительными процессами (хроническим периодонтитом, остеомиелитом челюсти, актиномикозом, синуситами и т. д.)
- не исключается вероятность развития опухолей челюсти на фоне инородных тел верхнечелюстной пазухи: пломбировочного материала, корней зубов и пр.
- воздействием неблагоприятных физических и химических факторов (ионизирующего излучения, радиойодтерапии, курения и пр.).
Вторичные злокачественные опухоли челюстей могут являться метастазами рака молочной железы, предстательной железы, щитовидной железы, почки, результатом местного распространения рака языка и др. Рак челюсти может развиваться на фоне предраковых процессов - лейкоплакии полости рта, доброкачественных опухолей полости рта (папиллом), лейкокератоза и т. п.
Среди опухолей челюстей различают одонтогенные (органоспецифические) новообразования, связанные с зубообразующими тканями, и неодонтогенные (органонеспецифические), связанные с костью. Одонтогенные опухоли челюстей, в свою очередь, могут быть доброкачественными и злокачественными; эпителиальными, мезенхимальными и смешанными (эпителиально-мезенхимальными).
- Доброкачественные одонтогенные опухоли челюстей представлены амелобластомой, обызвествленной (кальцифицирующейся) эпителиальной одонтогенной опухолью, дентиномой, аденоамелобластомой, амелобластической фибромой, одонтомой, одонтогенной фибромой, миксомой, цементомой, меланоамелобластомой и др.
- Злокачественные одонтогенные опухоли челюстей включают одонтогенный рак и одонтогенную саркому. К остеогенным опухолям челюстей относятся костеобразующие (остеомы, остеобластомы), хрящеобразующие (хондромы), соединительнотканные (фибромы), сосудистые (гемангиомы), костно-мозговые, гладкомышечные и др.
Симптомы опухолей челюстей
Доброкачественные одонтогенные опухоли челюстей
Амелобластома - наиболее частая одонтогенная опухоль челюстей, склонная к инвазивному, местно-деструирующему росту. Поражает преимущественно нижнюю челюсть в области ее тела, угла или ветви. Развивается внутрикостно, может прорастать в мягкие ткани дна полости рта и десны. Чаще проявляется в возрасте 20-40 лет.
В начальном периоде амелобластома протекает бессимптомно, однако по мере увеличения размеров опухоли возникает деформация челюсти, асимметрия лица. Зубы в области поражения часто становятся подвижными и смещаются, может отмечаться зубная боль. Опухоль верхней челюсти может прорастать в полость носа, гайморову пазуху, орбиту; деформировать твердое нёбо и альвеолярный отросток. Нередки случаи нагноения, рецидивирования и малигнизации амелобластомы. Клиническое течение таких опухолей челюсти, как амелобластическая фиброма и одонтоамелобластома, напоминает амелобластому.
Одонтома чаще возникает у детей в возрасте до 15 лет. Обычно опухоли имеют небольшие размеры, протекают бессимптомно, однако могут вызывать задержку прорезывания постоянных зубов, диастемы и тремы. Опухоли большой величины могут приводить к деформации челюсти, образованию свищей.
Одонтогенная фиброма развивается из соединительной ткани зубного зачатка; чаще возникает в детском возрасте. Рост опухоли медленный; локализация - на верхней или нижней челюсти. Одонтогенная фиброма обычно бессимптомна; в некоторых случаях могут отмечаться ноющие боли, ретенция зубов, воспалительные явления в области опухоли.
Цементома - доброкачественная опухоль челюсти, практически всегда спаянная с корнем зуба. Чаще развивается в области премоляров или моляров нижней челюсти. Протекает бессимптомно или с нерезко выраженной болезненностью при пальпации. Изредка встречается множественная гигантская цементома, которая может являться наследственным заболеванием.
Доброкачественные неодонтогенные опухоли челюстей
Остеома может иметь внутрикостный или поверхностный (экзофитный) рост. Опухоль может распространяться в верхнечелюстную пазуху, полость носа, глазницу; препятствовать припасовке зубных протезов. Остеомы нижнечелюстной локализации вызывают боль, асимметрию нижней части лица, нарушение подвижности челюсти; верхнечелюстной локализации - нарушения носового дыхания, экзофтальм, диплопию и другие нарушения.
Остеоид-остеома сопровождается интенсивным болевым синдромом, обостряющимся по ночам, во время приема пищи; асимметрией лица. При осмотре полости рта определяется выбухание кости (чаще в области премоляров и моляров нижней челюсти), гиперемия слизистой оболочки.
Остеобластокластома (гигантоклеточная опухоль челюсти) преимущественно встречается в молодом возрасте (до 20 лет). Развитие клинической картины характеризуется нарастанием боли в челюсти, асимметрии лица и подвижности зубов. Ткани над опухолью изъязвляются; образуются свищи; отмечается повышение температуры тела. Истончение кортикального слоя приводит к возникновению патологических переломов нижней челюсти.
Гемангиома челюсти сравнительно редко бывает изолированной и в большинстве случаев сочетается с гемангиомой мягких тканей лица и полости рта. Сосудистые опухоли челюстей проявляются повышенной кровоточивостью десен, кровотечениями из корневых каналов при лечении пульпита или периодонтита, из лунки при удалении зуба и пр. При осмотре может выявляться флюктуация, расшатанность зубов, синюшность слизистой оболочки.
Злокачественные опухоли челюстей
Злокачественные опухоли челюстей встречаются в 3-4 раза реже доброкачественных. При раке челюсти рано возникают боли, имеющие иррадиирующий характер, подвижность и выпадение зубов, возможны патологические переломы челюсти. Злокачественные опухоли челюстей разрушают костную ткань; прорастают околоушные и поднижнечелюстные железы, жевательные мышцы; метастазируют в шейные и поднижнечелюстные лимфоузлы.
Карцинома верхней челюсти может прорастать в глазницу, полость носа или решетчатый лабиринт. В этом случае отмечаются рецидивирующие носовые кровотечения, односторонний гнойный ринит, затруднение носового дыхания, головные боли, слезотечение, экзофтальм, диплопия, хемоз. При вовлечении ветвей тройничного нерва беспокоят оталгии.
Злокачественные опухоли нижней челюсти рано инфильтрируют мягкие ткани дна полости рта и щек, изъязвляются, кровоточат. Вследствие контрактур крыловидной и жевательной мышц затрудняется смыкание и размыкание зубов. Остеогенные саркомы отличаются стремительным ростом, быстро прогрессирующей инфильтрацией мягких тканей, асимметрией лица, нестерпимой болью, ранним метастазированием в легкие и другие органы.
В большинстве случаев опухоли челюстей диагностируются уже в поздних стадиях, что объясняется неспецифичностью симптоматики или бессимптомным течением, низкой онкологической настороженностью населения и специалистов (стоматологов, отоларингологов и др.). В выявлении опухолей челюстей могут помочь тщательный сбор анамнеза, визуальное и пальпаторное исследование мягких тканей лица и полости рта. Обязательным этапом диагностики является:
- Рентгенологическое обследование. Рентгенография и КТ челюстей, рентгенография и КТ придаточных пазух носа. Определенную диагностическую ценность может представлять сцинтиграфия, термография.
- Биопсия. При обнаружении увеличенных шейных или подчелюстных лимфоузлов выполняется пункционная биопсия лимфатического узла.
- Консультации смежных специалистов. При подозрении на злокачественную опухоль челюсти необходима консультация отоларинголога с проведением риноскопии и фарингоскопии; офтальмолога с комплексным офтальмологическим обследованием.
- Диагностические операции. В ряде случаев приходится прибегать к диагностической гайморотомии или диагностической пункции околоносовой пазухи с последующим цитологическим исследованием промывных вод. Окончательная гистологическая верификация осуществляется с помощью морфологического исследования биоптата.
![МРТ головы и шеи. Опухоль альвеолярного отростка нижней челюсти справа (плоскоклеточный рак).]()
Лечение опухолей челюстей
Лечение большей части доброкачественных опухолей челюстей - хирургическое. Наиболее оптимальным является удаление новообразования с резекцией челюстной кости в пределах здоровых границ; такой объем вмешательства позволяет предотвратить рецидивы и возможную малигнизацию опухоли. Зубы, прилегающие к опухоли, также часто подлежат экстракции. Возможно удаление некоторых доброкачественных опухолей челюстей, не склонных к рецидивированию, щадящим методом с помощью кюретажа.
При злокачественных опухолях челюстей используется комбинированный метод лечения: гамма-терапия с последующим хирургическим лечением (резекцией или экзартикуляцией челюсти, лимфаденэктомией, экзентерацией глазницы, операцией на околоносовых пазухах и пр.). В запущенных случаях назначается паллиативная лучевая терапия или химиотерапевтическое лечение.
В послеоперационном периоде, особенно после обширных резекций, больным может потребоваться ортопедическое лечение с помощью специальных шин, реконструктивные операции (костная пластика), длительная функциональная реабилитация для восстановления функций жевания, глотания, речи.
Прогноз
При своевременном и радикальном лечении доброкачественных одонтогенных и неодонтогенных опухолей челюстей прогноз для жизни хороший. В случае нерадикально выполненной операции или неправильной оценки характера опухоли есть вероятность рецидива или малигнизации. Течение злокачественных опухолей челюстей крайне неблагоприятное. При раке и саркоме челюсти пятилетняя выживаемость пациентов после комбинированного лечения составляет менее 20%.
Амелобластома - симптомы и лечение
Что такое амелобластома? Причины возникновения, диагностику и методы лечения разберем в статье доктора Куфтарева Виталия Александровича, стоматолога со стажем в 10 лет.
Над статьей доктора Куфтарева Виталия Александровича работали литературный редактор Вера Васина , научный редактор Елена Страндстрем и шеф-редактор Маргарита Тихонова
![Куфтарев Виталий Александрович, стоматолог - Магнитогорск]()
Определение болезни. Причины заболевания
Амелобластома (Ameloblastoma) — это доброкачественная опухоль, которая развивается из зубообразующих тканей. По мере её роста деформируются черты лица, смещаются и расшатываются зубы.
Амелобластома развивается медленно и бессимптомно, чаще возникает в области угла и ветви нижней челюсти. Почти никогда не вызывает воспаления.
![Амелобластома [11]]()
Существует редкий аналог данной опухоли — злокачественная амелобластома, относящаяся к группе одонтогенных раков. Она может давать метастазы в другие органы, например в кости, селезёнку, печень и лёгкие [1] .
Распространённость амелобластомы
Амелобластомы составляют примерно 1 % от всех случаев опухолей лица. В большинстве случаев они возникают в возрасте 30-40 лет. Мужчины и женщины болеют одинаково часто [1] [10] .
Причины развития амелобластомы
Точные причины появления амелобластомы не установлены. По одной из версий, она возникает из-за патологии развития зубного зачатка, по другой — происходит из одонтогенных эпителиальных остатков (островков Малассе).
При обнаружении схожих симптомов проконсультируйтесь у врача. Не занимайтесь самолечением - это опасно для вашего здоровья!
Симптомы амелобластомы
Чаще всего амеобластома возникает в области угла и ветви нижней челюсти, в области зубов мудрости [9] . На ранних стадиях заболевание протекает без симптомов.
Амелобластома относится к доброкачественным опухолям, которые развиваются внутри кости нижней челюсти. Как правило, она растёт медленно [10] . Если болезнь не лечить, то расшатываются и смещаются зубы, деформируется прикус. В дальнейшем, при достижении больших размеров опухоли, нарушается симметрия лица. Таким пациентам требуются обширные хирургические вмешательства и длительная реабилитация.
Иногда амелобластомы сочетаются с зубными кистами и непрорезавшимися зубами [9] . Но эти процессы могут развиваться и независимо друг от друга.
Патогенез амелобластомы
Амелобластома возникает из-за бесконтрольного деления клеток-предшественников тканей зуба (эмалевого органа), которые остались после его формирования. В большинстве случаев сами клетки не меняются, от нормальных они отличаются расположением относительно друг друга и высокой скоростью роста. В результате образуется опухоль, которая постепенно увеличивается, но не причиняет беспокойства, пока не достигнет больших размеров.
Что именно запускает развитие амелобластомы, пока неизвестно [10] .
Классификация и стадии развития амелобластомы
По Международной классификации болезней (МКБ-10) амелобластоме присвоены коды D16.4, D16.5: доброкачественное новообразование костей черепа и лица; доброкачественное новообразование нижней челюсти костной части.
Выделяют два типа амелобластом:
- Доброкачественные:
- солидная (поликистозная);
- уникистозная;
- внекостная (периферическая);
- десмопластическая.
- Злокачественные:
- метастазирующая амелобластома;
- амелобластная карцинома [1][10] .
Все эти формы проявляются одинаково: растут и деформируют лицо. Они различаются только по своему строению, что определяет тактику лечения.
Поликистозная форма встречается чаще всего, как правило поражает нижнюю челюсть. Возникает из остатков однотогенного эпителия, из которого образовались зубы. По структуре напоминает пчелиные соты или мыльные пузыри. Опухоль состоит из каркаса эпителиальных клеток, между которыми содержатся коллагеновые волокна. В клеточном компоненте выделяют периферическую и центральную части. Периферическая часть состоит из вытянутых и многоугольных клеток (столбчатых и звёздчатых). Клетки центральной части по своему строению отдалённо напоминают зубной зачаток.
Если рассматривать срез опухоли под микроскопом, можно условно выделить шесть подтипов:
- фолликулярную амелобластому — состоит из множества мелких островков клеток, при таком строении чаще всего формируется киста (пустое ограниченное пространство, заполненное жидкостью);
- плексиформную — образована из « склеившихся » островков эпителия с двойными рядами клеток-столбиков, расположенных « спина к спине » ;
- акантоматозную — полигональные клетки ( « звёздочки » ) теряют свои отростки и образуют кератиновый жемчуг в центре опухоли;
- базально-клеточную — клетки менее столбчатые, расположены в виде листов;
- гранулярную — в цитоплазме звёздчатых клеток появляются крупнозернистые включения (гранулы);
- десмопластическую — наблюдается плотная коллагеновая строма.
![Формы амелобластом: A, E — фолликулярная; B, F — плексиформная; C, G — акантоматозная; D, H — десмопластическая [12]]()
Уникистозная форма — вторая по распространённости после поликистозной амелобластомы. Эта опухоль, как правило, развивается в возрасте 20-30 лет. Часто возникает повторно, примерно раз в семь лет [1] . На рентгеновском снимке опухоль выглядит как фолликулярная киста, но без зачатка зуба. Делится на два подтипа: люминальный и интралюминальный. В первом случае стенка кисты выстилается эпителием амелобластомы, во втором — эпителий выступает внутрь полости. Чаще всего на рентгенограмме определяется одна такая полость, но может быть и несколько.
Периферическая форма — самый редкий вариант. Мужчины болеют примерно в два раза чаще, чем женщины, средний возраст пациентов составляет 50 лет [10] . Опухоль возникает в мягких тканях и не проникает в кости, ограничивается слизистой оболочкой десны и альвеол. Растёт медленно и безболезненно. При исследовании среза опухоли напоминает акантоматозный тип поликистозной амелобластомы [1] .
Десмопластическая форма отличается от остальных необычным гистологическим и рентгенологическим рисунком. На рентгенограмме у неё нет чётких границ, чередуются плотные и прозрачные структуры с неровными краями. Это говорит о большей агрессивности такой формы по сравнению с остальными доброкачественными вариантами. Под микроскопом видна изменённая рыхлая соединительная ткань, окружающая островки эпителиальных клеток. Иногда изменения заметны и в костной ткани.
Метастазирующая амелобластома появляется как следствие озлокачествления одной из доброкачественных форм. Даёт метастазы во внутренние органы, чаще всего в лёгкие. По своему рентгенологическому или гистологическому строению может не отличаться от доброкачественной формы.
Амелобластическая карцинома может развиваться самостоятельно или в результате озлокачествления доброкачественной формы. Амелобластная и амелобластическая — по сути одно и то же, хотя есть незначительные отличия на клеточном уровне. Клетки карциномы становятся низкодифференцированными, т. е. после деления никак не развиваются и не меняются. Опухоль быстро и агрессивно растёт, её клетки обладают повышенной митотической активностью — стараются быстрее разделиться пополам, образуя две опухолевые клетки из одной. Новообразование становится болезненным, может выходить за пределы костной ткани. Диагностируется гистологически, т. е. изучается срез под микроскопом.
Характерные признаки амелобластической карциномы:
- много незрелых клеток с ярко выраженными ядрами (ядерный гиперхроматизм);
- есть очаги некроза — часть клеток опухоли может погибать из-за неадекватного обмена питательных веществ и выведения продуктов жизнедеятельности [1][4][6][10] .
Осложнения амелобластомы
Все осложнения амелобластомы связаны с её инвазивным ростом. При запущенных доброкачественных опухолях может деформироваться лицо и зубные ряды.
К отдалённым осложнениям относится озлокачествление опухоли. Этот процесс протекает бессимптомно, вплоть до поздних стадий, на которых диагностируется несколько опухолей и в других органах. При этом резко снижается вес, появляются сильные боли. Может нарушиться работа поражённых органов, например:
- при поражении лёгких будут проблемы с дыханием [1] ;
- при запущенном поражении костей возникают патологические переломы;
- при метастазировании в область ворот печени может возникнуть механическая желтуха; на ранних стадиях патология выявляется только с помощью биохимического анализа крови (уровня АСТ, АЛТ и щелочной фосфатазы).
Диагностика амелобластомы
При подозрении на амелобластому применяются следующие методы:
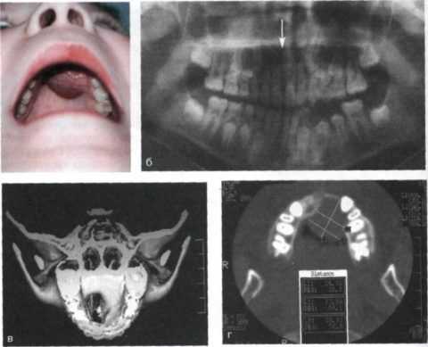
- Рентгенограмма (ортопантомограмма) — на двухмерном снимке видна опухоль с характерными признаками амелобластомы (поражение в виде мыльных пузырей), что позволяет предположить этот диагноз.
- КЛКТ (конусно-лучевая компьютерная томография) — трёхмерный снимок даёт больше информации о положении опухоли в костной ткани, её размерах и строении. Но даже с помощью этого метода можно поставить лишь предварительный диагноз [2][3] .
- МРТ (магнитно-резонансная томография) — покажет патологию в мягких тканях.
- Цитологический и гистологический метод — пункция и трепан-биопсия.
Выбор способа диагностики зависит не столько от оснащения лечебного учреждения, сколько от клинической ситуации и информации, которая нужна в данный момент. Первые три метода приведут врача к финальному гистологическому методу, который чаще всего проводится уже после того, как опухоль была удалена хирургическим путём. С его помощью можно установить форму амелобластомы.
Хотя амелобластома крайне редко становится злокачественной (описано около 30 случаев метастазирующей амелобластомы [1] ), целесообразно провести комплексное обследование: МРТ всего организма и анализ крови на онкомаркеры (Ki-67, SOX2). Эти исследования помогут заподозрить наличие злокачественной амелобластомы. Достоверно определить злокачественность опухоль можно только гистологическим методом после операции.
Только проведя весь комплекс диагностических мер и тщательно проанализировав результаты, можно поставить окончательный диагноз и назначить адекватное лечение [2] [3] [7] [9] [10] .
Дифференциальная диагностика
Лечение амелобластомы
Доброкачественные амелобластомы удаляются хирургически с иссечением 1 см здоровых тканей. Чтобы избежать рецидива, очень важно удалить всю опухоль целиком. Как правило, одновременно проводят реконструктивную пластику нижней челюсти с использованием титановых пластин и аутотрансплантата.
Амелобластная карцинома тоже удаляется хирургически, но иссекается больше здоровых тканей — 2-3 см. Затем проводится химио- и лучевая терапия: участок, где располагалась опухоль, облучают рентгеновскими лучами и принимают специальные препараты — цитостатики, которые замедляют пролиферацию (размножение) клеток , но, к сожалению, не только опухолевых, но и и всех быстро делящихся клеток организма.
Злокачественная амелобластома удаляется с иссечением 1-2 см здоровых тканей. Химио- и лучевая терапия обычно не требуются. Злокачественная амелобластома может давать метастазы, в остальном у неё сохраняются признаки доброкачественной опухоли, т. е. сами клетки не претерпевают злокачественного изменения. Лучевая терапия в этом случае не нужна.
Операцию должен проводить хирург, прошедший специальную подготовку: челюстно-лицевой хирург, пластический хирург, хирург-онколог, оториноларинголог.
Целесообразно выбрать более щадящий хирургический метод, сохраняющий функцию нижней челюсти, не обезображивающий лицо пациента и позволяющий избежать рецидива. При расположении опухоли в костном массиве производят частичную резекцию нижней челюсти с сохранением её непрерывности. При обширных амелобластомах, распространяющихся на край нижней челюсти, показана сквозная резекция нижней челюсти, при значительном разрушении ветви с поражением мыщелкового отростка — экзартикуляция нижней челюсти (вместе с опухолью) в пределах здоровых тканей [13] .
![Виды операций при амелобластоме]()
Хирургическое лечение зачастую не ограничивается непосредственно операцией по удалению опухоли. Из-за полного отсутствия симптомов на ранних сроках амелобластому обычно диагностируют достаточно поздно, когда она достигает крупных размеров. После её удаления могут оставаться значительные дефекты, нарушающие работу зубочелюстной системы и внешний вид пациента. Поэтому после удаления опухоли, как правило, следуют одна или несколько реконструктивных операций с длительной реабилитацией [5] [7] .
К реконструктивным операциям относятся:
- пересадка костного трансплантанта;
- пересадка кожи и тканевых трансплантантов — проводится, если деформированы мягкие ткани.
После таких операций пациентам рекомендуется находиться в стационаре или дома на больничном. Чаще всего требуется иммобилизация челюстей, т. е. их обездвиживание.
Прогноз. Профилактика
Доброкачественная амелобластома очень часто возникает повторно. В таких случаях снова требуется операция и, вероятнее всего, восстановительная хирургия. Метастазирующая амелобластома и амелобластная карцинома встречается очень редко, поэтому о прогнозе говорить сложно [1] [10] .
Профилактика амелобластомы
Профилактики нет, так как до сих пор не известны причины заболевания. Главным фактором в лечении будет ранняя диагностика, поэтому при появлении первых симптомов следует обратиться к врачу. Ранней диагностике также способствуют регулярные визиты к стоматологу (каждые полгода). Особенно внимательно нужно следить за своим состоянием пациентам, у которых уже была обнаружена и удалена амелобластома.
Что такое рак челюсти: симптомы, как распознать заболевание и начать своевременное лечение
![Опасность рака челюсти]()
Рак челюсти - это злокачественное новообразование, происходящее из костной ткани. Заболевание имеет свою клиническую выраженность, а лечение назначается в зависимости от степени поражения.
Рак челюсти - это заболевание, которое никого не щадит. Оно может встречаться, как в младенческом возрасте, так и в глубокой старости.
Примечательно, что согласно статистике, злокачественное новообразование встречается в 1-2 % от всех обращений к стоматологу, когда как рак челюстно-лицевой области в целом поражает людей в 15 % случаев. В связи с тем, что челюстно-лицевая зона имеет сложное строение с множеством близлежащих нервов и сосудов, лечение данной патологии бывает крайне затруднительным и требует вмешательство множества узкоспециализированных врачей.
Поражение челюсти злокачественной опухолью: общепринятая классификация
Появление злокачественного новообразования на челюсти начинается с костной ткани.
Сами раковые клетки могут развиваться из различных областей, например:
- надкостница;
- ондотогенные структуры;
- губчатое вещество костного мозга;
- нейрогенные клетки;
- кровеносные сосуды;
- элементы неясного генеза.
В таком случае существует классификация злокачественного новообразования на верхней или нижней челюсти:
- хондросаркома, саркома (опухоль соединительнотканная);
- цилиндрома, карцинома (опухоль эпителиальная);
- шваннома, меланобластома.
В зависимости от того, насколько сильно запущено заболевание и как быстро оно прогрессирует, можно выделить еще одну классификацию согласно системе TNM:
- На первой стадии злокачественным новообразованием поражается лишь одна анатомическая область (Т1).
- На второй стадии заболевание затрагивает не больше двух анатомических областей (Т2).
- На третьей стадии патология настолько прогрессирует, что поражено больше двух областей (Т3).
- На четвертой стадии поражен крупный орган или какая-то его часть, а сам патологический процесс начинает распространение и на отдаленные ткани (Т4).
Метастазы могут появляться рано, при этом стремительное их возникновение характеризуется ярко-выраженным болевым синдром. Метастазирование чаще всего выявляется в легких.
По форме заболевания
В зависимости от того, что стало причиной появления опухоли на челюсти, его симптомов и т. д. можно выделить и формы заболевания.
В таком случае их существует всего две:
- Первичная форма. Образуется исключительно на челюстной кости. Сюда относятся такие злокачественные новообразования:
- остеосаркома;
- саркома Юнга;
- гигантоклеточная опухоль.
- Вторичная форма. В данном случае на челюсти распространяются метастазы с опухолей других областей, преимущественно это голова и шея.
Размеры опухолевидного новообразования чаще всего небольшие, но так как может наблюдаться стремительный их рост, обращение к специалисту на ранних стадиях позволит избежать множества осложнений. Только врач поставит правильный диагноз и назначит необходимое лечение.
![Рак нижней челюсти]()
Причины возникновения опухоли
Этиология заболевания до сих пор является весьма затруднительным вопросом для врачей. Существует множество теорий, но окончательного вывода на тему того, что именно провоцирует развитие злокачественной опухоли на челюсти, не существует.
Однако можно выделить некоторые факторы, которые становятся «виновниками» возникновения ракового новообразования:
- механическое повреждение верхней или нижней челюсти (травма);
- запущенный кариозный процесс в зубах, пульпит и т. д.;
- воздействие внешних неблагоприятных факторов, например, радиоактивное или ионизирующее излучение;
- повреждение слизистой оболочки в полости рта;
- неправильно подобранные протезы, коронки;
- возникновение острого вялотекущего воспалительного процесса или же частые рецидивы в хронической стадии;
- злоупотребление вредными привычками, в частности, курение и т. д.
Как уже было сказано, при вторичной форме заболевания причиной служит образование опухолевидного процесса в другой анатомической области, а именно здесь можно выделить следующую этиологию:
- Наличие раковой опухоли, локализированной на других органах с появлением метастазов в челюсть:
- рак почки;
- рак молочной железы;
- рак предстательной железы;
- рак легких;
- рак горла и т. д.
- Предраковые заболевания челюстно-лицевой зоны, например:
- папилломы полости рта;
- лейкоплакия;
- лейкокератоз и т. д.
Вы можете узнать больше о причинах, симптомах и самом заболевании, просто посмотрев видео в этой статье.
По каким признакам можно распознать заболевание
Чаще всего больной начинает подозревать об ухудшении здоровья по начинающимся симптомам. Хоть образование раковой опухоли на нижней или верхней челюсти и имеет некоторые отличия в клинической выраженности, все же можно выделить общую симптоматику заболевания:
- зубы становятся подвижными, смещаются и начинают выпадать;
- наблюдается асимметрия лица из-за отеков и разрастающейся опухоли;
- ярко выражен болевой синдром в верхней или нижней челюсти;
- наблюдается контрактура нижней челюсти и верхней (ограничение подвижности);
- затрудняется глотание;
- челюстная кость деформируется;
- изо рта исходит неприятный запах;
- возможно появление выделения гнойного содержимого из носа;
- возникают частые головные боли;
- ощущается онемение кожи в области лица и т. д.
Однако более подробная клиническая характеристика описана в таблице ниже:
Форма заболевания Поражение верхней челюсти Поражение нижней челюсти Первичная Клиническая выраженность при злокачественном поражении верхней челюсти будет иметь следующие симптомы: - появление частых головных болей;
- на отдельных участках лица ощущается некоторое онемение;
- из носовой пазухи возможно выделение гнойного содержимого;
- в области верхней челюсти возможно возникновение самопроизвольных болей.
- начинают болеть интактные зубы;
- в области нижней губы ощущается частичное онемение;
- зубы становятся подвижными и со временем выпадают.
Расположение опухоли в передненижнем отделе несет за собой такие признаки:
- опухание щек;
- онемение в области интактных (здоровых) зубов и появление в них боли;
- деформация овала лица;
- увеличение в размере альвеолярного отростка;
- расшатывание зубов.
Задневерхнее расположение опухолевидного новообразования проявляется следующей симптоматикой:
- деформация глаз;
- возникновение боли невралгической природы с иррадиацией в виски;
- повышение слезотечения;
- болевые ощущения в области уха;
- возникающие переломы в челюсти;
- нарушение смыкания или размыкания зубов;
- появление носового кровотечения без видимой причины.
- в области альвеолярного отростка появляются изъязвления;
- изо рта пахнет гнилостным запахом;
- язвы начинают кровоточить;
- сведение и разведение челюстей для принятия пищи или разговора крайне затруднительно;
- развивается кахексия (резкое истощение организма);
- при пальпации нижней челюсти появляются острые боли.
Симптомы рака верхней или нижней челюсти
Внимание: На начальных стадиях заболевания признаки рака челюсти могут полностью отсутствовать, что значительно осложняет своевременную диагностику и постановку диагноза. В таком случае целесообразно проводить ежегодный профилактический осмотр у врача, чтобы выявить патологию в самом начале.
![Рак верхней челюсти симптомы]()
В чем опасность такого злокачественного образования
Злокачественное новообразование уже опасно по одному названию. Это заболевание провоцирует множество осложнений, а после проведенного лечения истончается и иммунная система. Это способствует развитию различных инфекционных и воспалительных процессов.
Также наиболее частым последствием рака нижней или верхней челюсти являются следующие патологии:
- остеомиелит;
- развитие кровотечения;
- патологические переломы костей челюсти;
- нарушение зрения;
- рецидивы заболевания и т. д.
Какая проводится диагностика
Диагностика заболевания строится на первичном осмотре пациента, сборе анамнеза и назначении необходимых методов исследования.
Сюда относятся такие способы диагностики:
- Рентген. Это наиболее доступный способ выявления опухоли. Проводится в боковой и прямой проекции.
- Компьютерная томография. Позволяет врачу визуально оценить место локализации опухолевидного новообразования, его распространение и размеры.
- Лабораторные анализы. Обязательно требуется общий анализ крови и мочи, а также при необходимости и более детальные анализы.
- Флюорография. Позволяет выявить наличие метастазов в легкие.
- Биопсия лимфатических узлов. Чаще всего исследуется подчелюстные лимфатические узлы на выяснение метастазирования в эту область.
- Гистологическое исследование. Если опухолевидное новообразование берет начало из альвеолярного вещества, то материал для исследования можно взять из лунки удаленного зуба. В случае костного образования требуется трепанация челюсти. Подобная диагностика позволяет выявить тип раковых клеток.
Также не стоит забывать, что данное заболевание чревато различными осложнениями, поэтому здесь потребуется консультация и других врачей. К примеру, если поражена глазница, необходим осмотр у офтальмолога. Если же выявлен рак верхнечелюстной пазухи, здесь не обойтись без отоларинголога.
Лечебная тактика
Лечебные мероприятия по устранению патологии проводятся только после тщательной диагностики, где выясняется стадия заболевания, размеры опухоли, состояние больного и т. д.
В зависимости от этих факторов проводятся следующие распространенные хирургические методы:
- Резекция частичная. Проводится только в том случае, если поражение носит поверхностный характер.
- Резекция сегментарная. Такой метод оперативного вмешательства эффективен при отсутствии глубинного поражения, а также при условии, что в патологический процесс не вовлечен альвеолярный отросток.
- Удаление половины челюсти. Такой метод показан при поражении угла челюсти.
- Полное удаление челюсти и близлежащих мягких тканей. Показана при обширном поражении, а также, если опухоль наблюдается в области подбородка.
В наше время проводится дистракция нижней челюсти с применением специальных устройств - дистракторов. Подобный аппарат обеспечивает постепенное растяжение нижней челюсти с образованием замещающей новой ткани.
Нижняя челюсть рассекается при помощи ультразвукового скальпеля. Это позволяет не затрагивать в процессе операции корни зубов и слизистые оболочки. Цена на такую операцию варьируется в разных показателях и зависит от клиники, ее месторасположения и наличия в штате высокоспециализированных врачей.
![Фото оперативного вмешательства]()
Не стоит забывать и про проведение химиотерапии или лучевой терапии для предотвращения роста опухоли или возникновения метастазов.
Лучевая терапия
Такой метод проводится после операции (когда заживут раны) или до оперативного вмешательства для предотвращения риска метастазирования. В некоторых случаях при раке челюсти недопустимо осуществление хирургического способа лечения, поэтому в данном случае ионизирующее облучение является «выходом» из сложившейся ситуации.
Появление побочных эффектов при лучевой терапии неизбежно, а их возникновение характеризуется следующими симптомами:
- сильная сухость во рту;
- начинают выпадать зубы;
- вкус и запах еды меняется;
- тембр голоса становится другой;
- развиваются инфекционные процессы с характерной клинической выраженностью.
Тяжесть проявления побочных эффектов зависит от назначенного курса лучевой терапии и степени обширности оперативного вмешательства.
Химиотерапия
Химиотерапия может применяться в качестве основного метода лечения. Побочные эффекты после подобного лечения более агрессивные и выражаются в тех же симптомах, что и при лучевой терапии. Однако использование токсичных лекарств способно вызывать кровотечения, появление сильной боли, облысение и т. д.
При обширном удалении челюсти, в т.ч. и с зубами в дальнейшем необходимо длительное восстановление. После ликвидации патологического очага может применяться пластическая хирургия со вставкой специальных протезов.
Прогноз заболевания
Прогноз заболевания напрямую зависит от времени обращения к врачу и выявления патологии. На ранних стадиях удаление опухоли проходит более успешно, а эффективность проведенного лечения будет зависеть лишь от того, как больным соблюдается врачебная инструкция поведения после операции. В любом случае на первой и второй стадии прогноз достаточно благоприятный, а человек после заболевания живет еще ни один десяток лет.
На третьей и четвертой стадии появляются различные осложнения, а избавиться от опухоли значительно труднее. В этом случае врачи проводят заместительную терапию и улучшают качество жизни больного. Прогноз жизни в этом случае составляет 5-6 лет.
Внимание: главной причиной смертности от рака челюсти является поздняя диагностика и несвоевременно начатое лечение. Также первый рецидив после проведенной терапии случается в первые 1-2 года, поэтому необходимо быть очень внимательными.
Чтобы избежать прогрессирования заболевания, нужно проходить обязательную профилактическую диагностику. Также стоит обращать внимание на своеобразные «сигналы» организма. Если появляются первые симптомы рака челюсти, необходимо тут же обратиться к специалисту. Следите за своим здоровьем и соблюдайте все рекомендации касательно здорового образа жизни.
Читайте также:





![Амелобластома [11]](https://probolezny.ru/media/bolezny/ameloblastoma/ameloblastoma-11_s.jpg)
![Формы амелобластом: A, E — фолликулярная; B, F — плексиформная; C, G — акантоматозная; D, H — десмопластическая [12]](https://probolezny.ru/media/bolezny/ameloblastoma/formy-ameloblastom-a-e-follikulyarnaya-b-f-pleksiformnaya-c-g-akantomatoznaya-d-h-desmoplasticheskaya-12_s.jpg)




