Рентгенограмма, КТ, МРТ позвоночника при серповидноклеточной болезни
Добавил пользователь Евгений Кузнецов Обновлено: 08.01.2026

МРТ позвоночника в шейном отделе, оценка высоты дисков (указана красными линиями)
Среди всех заболеваний опорно-двигательного аппарата лидируют патологии позвоночного столба. Вариативность проявлений затрудняет диагностику. Чтобы правильно определить болезнь, врачам необходимо изучить структуру костей и мягких тканей позвоночника. Часто с указанной целью применяют визуализационные методы диагностики — рентгенографию и МР-сканирование. Однако исследования нельзя назвать взаимозаменяемыми. Что лучше, рентген или МРТ позвоночника, определяет врач, исходя из клинической ситуации и целей, поставленных перед диагностикой. По описанной выше причине нельзя проводить какое-либо исследование по собственной инициативе или самостоятельно заменять назначенную доктором процедуру.
Чем отличается МРТ от рентгена позвоночника?
Главное различие между методами заключается в сути воздействия на исследуемую область. Рентгенография основана на способности Х-лучей проходить сквозь ткани организма и задерживаться в местах с высокой плотностью. Описанным обусловлена хорошая информативность процедуры в отношении состояния костных элементов позвоночника.

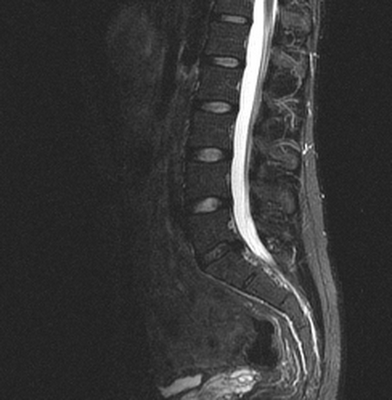
Грыжа диска между телами 4 и 5 поясничных позвонков на МРТ
МР-сканирование основано на воздействии магнитного поля. Последнее изменяет поведение атомов водорода в структуре молекул воды, которая в том или ином количестве присутствует во всех тканях. Аппарат улавливает импульсы и на основании силы последних выстраивает картинку (называемую снимком или срезом).
Основной областью применения рентгенографии является диагностика патологий позвонков. Рентген чаще используют как экспресс-метод для выявления травм и связанных с ними патологических изменений при недоступности других методов. МРТ хорошо отражает состояние мягких тканей (межпозвонковых дисков, спинного мозга, сосудов, мышц, нервов, связок).
Рентген обычно назначают в качестве рутинного метода диагностики ряда заболеваний и при выполнении некоторых хирургических манипуляций. Показаниями для проведения процедуры являются:
- повреждения спины;
- болезнь Бехтерева (если нет иных способов визуализации);
- предоперационная разметка при вмешательствах по поводу грыж дисков;
- опухоли костной ткани позвоночника при недоступности КТ или МРТ;
- контроль постановки транспедикулярных винтов;
- рентгеноскопия показана при проведении люмбальной пункции на фоне заболеваний позвоночника.

Гигантская грыжа поясничного отдела позвоночника на МРТ
МРТ активно используют для уточнения природы заболевания, обнаружения изменений в позвоночном канале. Метод позволяет выявить опухоли, грыжи дисков, образование секвестров, компрессию спинного мозга или нервных корешков. Показаниями для проведения МР-сканирования являются:
- остеохондроз позвоночника;
- подозрения на поражения спинного мозга, оболочек и корешков последнего;
- воспалительные изменения;
- врожденные аномалии развития структур позвоночника;
- опухолевые заболевания;
- миелоишемия;
- травмы межпозвонковых суставов, связочного аппарата и нервных структур.
Отличием между процедурами являются особенности их проведения. Рентген можно сделать в любой клинике. Это экономичный и быстрый способ диагностики. Снимки делают обычно в двух проекциях (при необходимости и в других).
МРТ требует специализированного дорогостоящего оборудования, которое есть не во всех медучреждениях. Сканирование занимает около получаса, на протяжении которого пациент неподвижно лежит в туннеле томографа.
Что лучше, рентген или томография позвоночника, нельзя ответить однозначно. У каждого метода есть свои плюсы и минусы.
- низкая цена;
- установки для проведения есть в каждой клинике;
- занимает мало времени;
- часто применяют в экстренных ситуациях из-за доступности и быстроты выполнения;
- исследование информативно относительно состояния костей.
- точные результаты;
- показывает мягкие ткани, нервные структуры и кости;
- можно повысить информативность использованием контрастирования;
- не требует подготовки;
- метод безопасен (разрешен детям с месячного возраста и беременным со второго триместра).
- сравнительно небольшая информативность;
- ограничения по кратности и частоте проведения;
- лучевая нагрузка;
- не показывает мышцы, связки, сосуды, нервы и т.п.
- высокая цена;
- оборудование есть не во всех медицинских центрах;
- занимает много времени;
- во ходе процедуры нужно лежать неподвижно в замкнутом пространстве;
- есть ограничения по весу пациента.
Что точнее: МРТ или рентген позвоночника?
Четкость и подробность изображений, полученных при МР-сканировании, считают одним из главных преимуществ исследования.
Рентген дает снимок, выполненный только в 2 направлениях (в прямой и боковой проекциях). Но при необходимости могут использоваться специальные укладки. МР-томограф делает множество послойных снимков в трех плоскостях, расположенных перпендикулярно по отношению друг к другу.

Множественные (2) гемангиомы на МРТ грудного отдела позвоночника
Результатом рентгенографии являются снимки конкретного отдела позвоночника. На них врач изучает структуру костной ткани и позвонков в целом. Увеличить детализацию снимка возможности нет. На фотографиях отдельные тени накладываются друг на друга.
При получении результатов МРТ рентгенолог имеет доступ к изображениям любого отрезка исследуемой области. Можно рассмотреть каждую связку или спинномозговой корешок, в том числе в разрезе. Цифровые технологии упрощают работу со снимками для врача. При необходимости доктор может изучить один и тот же отрезок с разных ракурсов, увеличить или уменьшить картинку.
При наличии специального программного обеспечения для МРТ и клинической необходимости можно получить трехмерное изображение (в 3D) позвоночника и оценить структуру последнего комплексно. Рентген такой возможности не предоставляет.
Информативность МРТ расширяет применение контрастных веществ. С помощью индикатора можно более подробно изучить особенности кровообращения, состояние сосудов, воспалительные изменения в тканях.
Таким образом, МР-сканирование является более точной процедурой. Его можно пройти в нашем ДЦ «Магнит» в любое время суток. Однако: что лучше в конкретном случае, МРТ или рентген — может решить только врач.
Что вреднее: МРТ или рентген позвоночника?
Рентгенография сопровождается лучевой нагрузкой на организм. Последняя может спровоцировать повреждение клеток, запустить патологические изменения в тканях. Указанное обстоятельство ограничивает возможность проведения повторных исследований до 2 раз в год. Рентген противопоказан маленьким детям и беременным женщинам.

Опухоль (предположительно менингиома) на МРТ шейного отдела позвоночника
МРТ не несет вреда организму. Магнитное поле не меняют работу клеток и не может спровоцировать гибель последних. Сканирование назначают и проводят столько раз, сколько требует наблюдение за состоянием больного. С помощью МРТ врачи могут отследить динамику развития заболевания, оценить результаты лечения или проконтролировать исход хирургического вмешательства. При острой необходимости исследование проводят беременным женщинам и маленьким детям. Однако для томографии есть противопоказания:
- наличие в теле металлических имплантов;
- присутствие в организме кардиостимулятора;
- установленная инсулиновая помпа;
- стенты или кровоостанавливающие клипсы.
В перечисленных случаях сканирование может быть небезопасно для больного, поэтому лучевые методы предпочтительны. Что лучше, рентген или МРТ позвоночника — скажет лечащий врач.

Грудной отдел позвоночника на МРТ в коронарной проекции
Можно ли делать МРТ после рентгена позвоночника?
Иногда диагностика заболевания затруднительна. На начальных этапах обследования часто проводят рентгенографию, но ее результатов оказывается недостаточно, чтобы выявить патологию или подобрать лечение. МРТ может быть назначена после рентгена с целью:
- сбора более подробных сведений;
- уточнения характера, локализации и объема патологических изменений в тканях;
- планирования операции;
- изучения влияния костной патологии на окружающие ткани и нервные структуры.
Поскольку МР-сканирование не несет лучевой нагрузки, исследование можно делать сразу после рентгена.
МРТ или КТ позвоночника - что лучше?
Когда возникает необходимость обследовать спину, многие пациенты задают врачу вопрос о том, что лучше: компьютерная томография или магнитно-резонансная томография позвоночника? Или же при записи на обследование пациент не совсем уверен, что ему больше подойдет - МРТ или КТ.
Когда возникает необходимость обследовать спину, многие пациенты задают врачу вопрос о том, что лучше: компьютерная томография или магнитно-резонансная томография позвоночника? Или же при записи на обследование пациент не совсем уверен, что ему больше подойдет - МРТ или КТ. Подобная ситуация возникает из-за непонимания ключевой разницы между двумя этими видами диагностики.

Сведение об исследовании
- Продолжительность: 3-7 минут
- Требование к подготовке: Нет
- Назначение врача: Не требуется
- Применение контраста: По назначению врача
- Противопоказания и ограничения: Есть
- Минимальная мощность аппарата: Любая
- Время выдачи результатов: 30-40 минут
- Что входит в стоимость: Заключение + запись снимков

- Продолжительность: 15-20 минут
- Требование к подготовке: Нет
- Назначение врача: Не требуется
- Применение контраста: По назначению врача
- Противопоказания и ограничения: Есть
- Минимальная мощность аппарата: Любая
- Время выдачи результатов: 30-40 минут
- Что входит в стоимость: Заключение + запись снимков
МРТ и КТ позвоночника - в чем разница
В основе МРТ и КТ лежат два принципиально разных метода исследования. Принцип действия магнитно-резонансной томографии основан на взаимодействии электромагнитных волн с ядрами протонов водорода в клетках тканей. Это абсолютно безвредное для человека исследование, которое может проводиться столько раз, сколько будет необходимо любым категориям пациентов от мала до велика. В медицинских центрах СПб МРТ диагностика проводится при помощи специальных аппаратов - томографов, которые внешне очень схожи и напоминают трубообразную установку, внутрь которой помещается обследуемый.
КТ, в отличие от МРТ позвоночника, проводится с помощью небольшого количества рентгеновского излучения. По сути дела, компьютерный томограф - это улучшенный рентгеновский аппарат, позволяющий делать объемные снимки и рассматривать отдельные срезы исследуемой области. КТ наиболее эффективна при диагностике повреждений костных структур и кровотечений. Кроме того, компьютерная томография используется для диагностики сложных травм позвоночника и обследования полых внутренних органов в случаях, когда МРТ провести невозможно.
МРТ позвоночника дает более полное представление о строении мягких тканевых структур. Она эффективна, чтобы выявить наличие опухолей и воспалительных изменений в позвоночных суставах, межпозвоночных дисках, спинном мозге, нервных окончаниях. Использование магнитного поля не влияет негативным образом на работу организма, поэтому МРТ-процедура считается более общедоступной и менее травматичной для организма человека. Она показана любой категории пациентов.
| КТ позвоночника | МРТ позвоночника |
![]() |
Что МРТ позвоночника покажет лучше, чем КТ
МРТ шейного, грудного или поясничного отдела позвоночника лучше, чем компьютерная томография, покажет:
- Трещины в суставах, износ межпозвонковых дисков;
- В каком состоянии находятся хрящи;
- Спинномозговую оболочку;
- Характер и наличие межсуставной жидкости;
- Межпозвонковые синовиты;
- Аномалии развития нервных окончаний;
- Деформации при остеохондрозе, грыже, протрузии;
МРТ диагностику спины также проводят,что бы подтвердить диагноз, выбрать правильную терапию или получить более ясную картину о здоровье пациента.
Что КТ позвоночника покажет лучше, чем МРТ
КТ позвоночника - это приоритетный способ обследования позвонков. Ее следует выбрать, если у пациента:
- произошла травма позвоночника;
- есть перелом позвонков.
Травмы позвоночника включают в себя обширный перечень патологий: ушибы, дистрофии (надрывы или разрывы связок и сумок суставов позвонков без смещения), переломы остистых, поперечных отростков, переломы дуг и тел позвонков, подвывихи и вывихи, травматический спондилолистез. По самому механизму травмы врач уже может предположить, какой участок спины поврежден. Например, хлыстовые повреждения характерны при ДТП, когда происходит резкое сгибание. Также для такого типа нарушений функций позвоночника характерны падения с высоты, травмы ныряльщиков, производственные травмы.
Травмы позвоночника принято делить на:
- стабильные: когда деформация позвоночника уже случилась;
- нестабильные, это когда полученная деформация продолжает меняться и может усугублять последствия;
- неосложненные - когда не наблюдается поражение спинного мозга;
- осложненные - это, когда спинной мозг задействован в повреждении.
Для точной классификации травмы позвоночника и оценки ее последствий врачу необходимо сделать КТ.
Компьютерная томография также является первичным методом диагностике в экстренных случаях, когда больной попадает по скорой в больницу. Дело в том, что в отличие от МРТ, которое требует 20 минут на исследование одного отдела позвоночника и почти часа для сканирования всей спины, КТ всего позвоночника можно сделать за 5-7 минут. Такая скоростная диагностика очень важна для пациентов в критическом статусе.
В отношении диагностики спинного мозга рентгеновская компьютерная томография может быть использована только для определения размеров позвоночного канала. В отношении мягкотканных образований позвоночного канала она мало информативна. Для диагностики состояния спинного мозга лучше всего использовать МРТ спинного мозга.
Противопоказания
Для МРТ и КТ позвоночника существуют противопоказания. Поскольку во время МРТ исследования в томографе образуется магнитное поле, то пациенты, у которых есть в теле металлические компоненты: винты, штифты, пластины и т.д. будут отстранены от исследования, т.к. магнит начнет нагреваться и притягивать металл. Если в теле есть электрические стимуляторы, инсулиновые помпы, кардиостимуляторы и другие приборы, под воздействием магнитного поля такие устройства могут дать сбой или выйти из строя.
Есть люди, которые в силу каких-то причин или заболеваний не могут пролежать долгое время неподвижно, в этом случае провести МРТ исследование будет невозможно, и пациента направят на КТ. Хотя такое противопоказание можно считать относительным.
При проведении процедуры МРТ или КТ с контрастированием необходимо быть уверенным в том, что у пациента нет заболеваний почек. Для здорового человека контраст будет абсолютно безопасен, так как является безвредным и гипоаллергенным веществом.
Пациенты, страдающие клаустрофобией, не смогут находиться в замкнутом пространстве МРТ аппарата, и здесь на помощь приходят томографы укороченного или открытого типа.
Использование рентгеновского излучения при КТ позвоночника тоже создает ряд медицинских противопоказаний для проведения обследования:
Что лучше сделать - КТ или МРТ позвоночника?

Чтобы ответить на вопрос: “КТ или МРТ позвоночника - что лучше?”, нужно в первую очередь понять основные отличия физики процесса компьютерной томографии и магнитно-резонансного исследования. Вторым важным фактором является собственно цель обследования - что врач хочет визуализировать: кости, хрящи, сосуды, мягкие ткани. В медицине не бывает плохих или хороших методов диагностики, бывают исследования, которые лучше выявляют те или иные патологии. Поэтому нужно разобраться в вопросе, что показывает лучше МРТ, а что КТ позвоночника. Этим двум темам мы посвятим эту статью.
Отличия МРТ от КТ позвоночника
Основные отличия МРТ от КТ позвоночника кроются в принципе получения изображения. Современная компьютерная томография (или МСКТ - мультиспиральная компьютерная томография) основана на способности по-разному, в зависимости от плотности тканей, поглощать рентгеновское излучение. Особенности мультиспиральной компьютерной томографии позвоночника заключаются в том, что в ходе процедуры собираются множественные непрерывно перекрывающиеся срезы. Это дает возможность производить компьютерную обработку данных с последующим созданием объемных, так называемых 3D изображений и реконструкций. Полученные на МСКТ позвоночника снимки врачи могут рассматривать на экране с любой стороны как в режиме индивидуального просмотра, так и в режиме анимации, когда объект вращается вокруг своих осей. Используя специальные функции разворота и обрезки, можно выделить интересующую область и визуализировать ее с любой стороны. Это дает возможность медикам видеть скрытые структурные повреждения.
Послойное исследование спины с помощью КТ позвоночника позволяет обнаружить такие патологии, как:
- компрессионные переломы, травмы и трещины костей;
- рак и метастазы в костях;
- стеноз позвоночного канала;
- остеофиты и признаки остеопороза;
- опухоли костей - остеохондрома, энхондрома, хондробластома, остеоидостеома, миелома.
Пользуясь программными инструментами, рентгенолог может на изображения костных структур послойно наложить изображение мягких тканей внутренних органов, что позволяет выявить аномальные изменения во всей области позвоночника.
| Исследование | Цена | Цена МРТ 3 ТЛ | Акции |
|---|---|---|---|
| МРТ шейного отдела позвоночника | от 2700 руб. | от 5200 руб. | бесплатный прием невролога |
| МРТ грудного отдела позвоночника | от 2700 руб. | от 5200 руб. | бесплатный прием невролога |
| МРТ пояснично-крестцового отдела позвоночника | от 2700 руб. | от 5900 руб. | бесплатный прием невролога |
| МРТ копчика | от 2700 руб. | от 5200 руб. | бесплатный прием невролога |
| МРТ крестцово-подвздошных сочленений | от 2700 руб. | от 5200 руб. | бесплатный прием невролога |
| МРТ краниовертебрального перехода | от 2700 руб. | от 5200 руб. | бесплатный прием невролога |
| МРТ сосудов шеи | от 2700 руб. | от 8800 руб. | бесплатный прием невролога |
| МРТ трех отделов позвоночника | от 7000 руб. | от 13000 руб. | бесплатный прием невролога |
| МРТ грудного отдела и плеча | от 5300 руб. | от 11900 руб. | бесплатный прием невролога |
| МРТ ЦНС (МРТ 3 отделов позвоночника и МРТ головного мозга) | от 9500 руб. | от 18200 руб. | бесплатный прием невролога |
| МРТ позвоночника с контрастом | от 5500 руб. | от 7700 руб. | - |
МРТ или магнитно-резонансная томография строит свою работу на принципе ядерного магнитного резонанса. Томограф работает с ядрами атомов водорода, которые есть в клетках тканей, имеющих воду составным элементом. Сначала аппарат МРТ создает сильное магнитное поле, а затем начинает на него воздействовать радиочастотным излучением. Протоны атомов водорода клеток пациента, находясь под таким воздействием, начинают колебаться и выстраиваются вдоль магнитного поля на очень короткий срок. Затем они возвращаются на исходные позиции, выбрасывая энергию. Именно ее улавливает компьютер МР-томографа и декодирует в трехмерные объемные, анатомически очень точные изображения.
Поскольку для хорошей визуализации магнитно-резонансному томографу нужно много клеток с атомами водорода, то ткани с большим содержанием воды лучше всего визуализируются на МРТ снимках. Поэтому МР-томография позвоночника очень хорошо показывает:
- спинной мозг;
- нервные волокна;
- сосудистое русло;
- мягкие ткани (мышцы, сухожилия, связки, межпозвоночные диски).
С ее помощью врачи могут выявлять:
- все патологии мозговых оболочек каналов и вещества мозга;
- грыжи, протрузии, стеноз, спондилез;
- дегенеративные изменения в хрящевых структурах (например, остеохондроз);
- опухоли мягких тканей.

Что информативнее - КТ или МРТ позвоночника?
Информативная точность магнитно-резонансной и компьютерной томографии сопоставимы, а диагностическая ценность обследования зависит от целей исследования. Как при КТ, так и при МРТ позвоночника в ходе обследования у врачей есть возможность проведения 3D сканирования, которое позволяет увидеть исследуемый объект с разных сторон. В целом на МРТ лучше всего различаются мягкие ткани. Кости визуализируются хуже, поскольку в них мало атомов водорода, а резонанс от кальция отсутствует. КТ является предпочтительным методом диагностики при заболеваниях грудной клетки, костей таза, черепа и позвоночника.
МРТ позвоночника дает возможность хорошо визуализировать спинной мозг, мягкие ткани, грыжу межпозвоночного диска. В случаях, когда неврологам, травматологам и хирургам необходимо получить трёхмерную реконструкцию и исследовать кости позвоночника в разных плоскостях или диагностировать обызвествление межпозвоночного диска, применяется КТ позвоночника.
Достаточно часто врачам для безошибочной диагностики множественных повреждений позвоночника приходится прибегать одновременно к КТ и МРТ. Например, если пациент пришел с жалобой на боль в спине, его сначала направят на магнитно-резонансное исследование, чтобы проверить, могут ли быть причиной боли изменения в дисках, спинномозговом канале, нервных окончаниях или сосудах. Если в ходе МР-томографии снимки покажут наличие образований в костях, верификацию такой патологии нужно будет провести с помощью КТ позвоночника.
Предлагаем Вам запись на МРТ с бесплатной консультацией невролога или ортопеда
Что вреднее - КТ или МРТ позвоночника?
Компьютерная томография из-за лучевой нагрузки является более вредным методом обследования. Средняя доза лучевой нагрузки составляет 10 мЗв за одно сканирование. МРТ не таит в себе никакой потенциальной лучевой угрозы здоровью человека, но и у нее есть свои ограничения. Абсолютным противопоказанием к проведению магнитной томографии позвоночника станет:
- наличие кардиостимулятора, нейростимуляторов - любого вшитого электронного устройства;
- имплантов и других металлических предметов в организме.
Относительным ограничением к проведению томографии на закрытых высокопольных томографах может стать:
- большой вес пациента (130 кг и выше);
- панические атаки и ярко выраженная клаустрофобия;
- сильный болевой синдром, который не позволяет пациенту занять горизонтальное положение и лежать без движения в течение 15-30 минут.
У компьютерной томографии противопоказанием станет:
- беременность на любом сроке;
- непереносимость йодoсодержащих препаратов при КТ позвоночника с контрастом;
- накопленное лучевое облучение, которое превышает разрешенные нормы 20 мЗв в год.
Есть ряд исследований, доказывающих, что применение КТ у детей раннего возраста приводит к возникновению повышенного риска развития опухолевого поражения различной локализации в старшем возрасте, поэтому детям всегда предпочтительнее делать МРТ.
| Исследование | Цена | Скидки |
|---|---|---|
| МСКТ / КТ одного отдела позвоночника (шейного, краниовертебрального перехода, грудного, пояснично-крестцового, крестцово-подвздошных сочленений, копчика) | от 2300 руб. | Ночью |
| МСКТ / КТ сосудов шеи | от 3100 руб. | Ночью |
| МСКТ / КТ трех отделов позвоночника | от 6300 руб. | Ночью |
Грыжа позвоночника: МРТ или КТ - что лучше?
МРТ позвоночника лучше визуализирует грыжу и соседние мягкие ткани, поэтому врачу по ее результатам легче поставить точный диагноз и принять решение о необходимости хирургического или медикаментозного лечения.
Нужно сделать обследование шейного отдела позвоночника, КТ или МРТ выбирать?
В большинстве случаев начинать стоит с МРТ шейного отдела позвоночника - это более информативное обследование зоны шеи. Сразу КТ шейного отдела имеет смысл делать, если у вас есть перелом позвонков.
Гемангиома позвоночника: на МРТ или КТ делать исследование?
Гемангиома позвонка (вертебральная ангиома) — это самое распространенное доброкачественное новообразование позвоночника. Она одинаково хорошо диагностируется на компьютерной или магнитно-резонансной томографии.
Что лучше - КТ или МРТ пояснично-крестцового отдела позвоночника?
Если причиной обращения в диагностический центр является боль в пояснице, то следует сделать МРТ пояснично-крестцового отдела позвоночника, поскольку она покажет изменения как в костных, так и мягких тканях. Если у вас уже есть первичный диагноз, то решение о том, КТ или МРТ пояснично-крестцового отдела позвоночника нужно делать, должен принять лечащий врач на основе собранного анамнеза.

Специализация: Терапевт
Где ведет прием: МРТ центр и клиника РИОРИТ
- Васильев А.Ю., Витько Н.К. Компьютерная томография в диагностике дегенеративных изменений межпозвонковых дисков поясничного отдела позвоночника. //Радиология-практика. 2001.№1.
- Дмитриев А.Е., Мартынова Н.В. Компьютерная миело- и эпидурография (КМТ, КЭТ) в дифференциальной диагностике поражений спинного мозга и позвоночника.// Вестник рентгенологии. 1990. №5-6
- Лепарский Е.А., Китаев В.В. Новая методика KT и МРТ- исследования позвоночника- DynaWell™// Радиология — практика. 2004.№1.
- Орел A.M. Рентгенодиагностика позвоночника для мануальных терапевтов.
- Зедгенидзе г.А., Жарков П.Л. Методики рентгенологического и радиологического исследования позвоночника и крупных суставов. //Ташкент: Медицина. 1979 г.
- . Бокарев B.C. Компьютерная томография в диагностике дегенеративных заболеваний позвоночника / В.С.Бокарев, А.В. Савченко, С.К. Терновой // Вестник рентгенологии и радиологии. 1989. - №6.
- Нуриев З.Ш. Рентгеновская компьютерная томография паравертебральных мышц.// Вертебрология. 2002. №3-4.
- Grossman B.C. Magnetic reconance imaging and computed tomography of the head and spine.// 2nd ed.- Baltimore et. al.: Williams&Wilkins, 1996.
- Gualde G.F. Role of CT and MR in the assessment of lumbar degenerative disk disense.//Clin Ter. 1995.
Последние статьи о диагностике

Что показывает МРТ позвоночника
МРТ позвоночника - это неинвазивное обследование спины с помощью магнитно-резонансного томографа. Такое исследование осуществляют на аппаратах закрытого, полуоткрытого и открытого типа с контрастным усилением или без оного. Сканирование спины на томографе проходит по отделам:

Что показывает МРТ шейного отдела позвоночника
Сегодня многие неврологи клиник СПб при болевых синдромах в шее рекомендуют своим пациентам сделать МРТ шейного отдела позвоночника. Этот вид томографии прекрасно себя зарекомендовал и считается одним из наиболее информативных способов диагностики дегенеративно-дистрофических

Грыжа на МРТ поясничного, грудного и шейного отделов позвоночника
Одной из самых частых находок на МРТ позвоночника является грыжа, которая чаще всего располагается в шейном или пояснично-крестцовом отделах и реже в грудном. Она может проявляться клинически болью на том или ином участке спины, а может проходить бессимптомно. Боль в спине служит одним из самых частых поводов обращения к неврологу, при этом данный симптом присущ многим дегенеративным заболеваниям позвоночника от спондилеза до обычного мышечного спазма или дефанса.

Противопоказания к МРТ
Магнитно-резонансная томография - это безопасное обследование без лучевой нагрузки, но и она имеет ряд противопоказаний в зависимости от модели томографа и протокола обследования - с контрастом или без. Томография нашла широкое применение в нейрохирургической, онкологической, ортопедической и неврологической практике для исследования позвоночника, головного мозга, сосудов, суставов, внутренних органов и мягких тканей.
Расшифровка МРТ позвоночника

Гемангиомы на магнитно-резонансной томографии грудного отдела позвоночника (сагиттальная проекция, Т2 взвешенная последовательность)
МРТ позвоночника - высокоинформативный метод диагностики, использующий для построения детальных изображений структур области интереса свойства магнитного поля, радиоволны и компьютерную обработку. По показаниям исследование выполняют с контрастным усилением: в вену вводят препарат, содержащий хелаты гадолиния.
После прохождения МР-сканирования в большинстве медицинских центров на руки пациенту выдают заключение и электронный носитель (диск или флеш-карту) с записью результатов процедуры. Фотографии, наиболее наглядно демонстрирующие патологический процесс, за отдельную плату можно распечатать на пленку.
Диск содержит несколько сотен послойных срезов. Самостоятельно расшифровать результаты магнитно-резонансного сканирования нельзя, но общее представление о структурах позвоночного столба получить можно. Не стоит делать преждевременных выводов: окончательный диагноз - прерогатива лечащего врача.
Как выглядит фото-снимок МРТ позвоночника

МРТ грудного отдела позвоночника (сагиттальная проекция, Т1 ВИ)
Магнитно-резонансные томограммы отображают внутренние структуры зоны интереса в трех плоскостях. Каждый снимок представляет собой один срез, на распечатанном фото МРТ их несколько.
В норме позвонки гладкие, повреждения отсутствуют. Фиброзно-хрящевые диски, выполняющие роль амортизаторов, не выпячиваются, имеют стандартную высоту, без признаков дегенерации. Спинной мозг выглядит на фото как белый шнур без видимых перекосов и других изменений.
Позвоночный столб включает: шейный, грудной, поясничный, крестцовый отделы и копчик. Патологический процесс может развиваться в любой области или вызвать тотальное поражение.
МРТ позвоночника проводят для постановки диагноза, в рамках динамического наблюдения за болезнью, в качестве предоперационной оценки анатомических особенностей и пр. Магнитно-резонансное исследование имеет преимущества по сравнению с КТ при выявлении изменений в мягкотканных структурах: связках, синовии (внутренней выстилке суставной оболочки), хрящах, нервных стволах, мышцах.

МРТ позвоночного столба: грыжа диска L4-L5 (сагиттальная плоскость, Т2 ВИ)
При патологических процессах снимки могут демонстрировать:
- искривления позвоночного столба - сколиоз, лордоз, кифоз;
- злокачественные и доброкачественные новообразования (для верификации опухоли выполняют биопсию);
- метастазирование в позвонки;
- кистозные полости;
- смещения и переломы позвонков, растяжения связок, отдаленные последствия травмы;
- протрузии, дегенеративные изменения (спондилодисцит, остеохондроз и др.), грыжи, признаки вовлечения в патологический процесс спинномозговых корешков;
- поражение замыкательных пластинок;
- миелоишемию;
- участки сужения позвоночного канала, компрессию или повреждение спинного мозга и пр.

Магнитно-резонансное сканирование пояснично-крестцового отдела позвоночника: множественные гемангиомы (сагиттальная плоскость, Т1 ВИ)
Расшифровка результатов МРТ включает оценку:
- очагов с патологическим МР-сигналом (на участках субхондрального склерозирования, при пролапсах дисков, сужении межпозвонковых отверстий, поражении нервных корешков, в области отека, воспаления и др.);
- плотности задней продольной связки;
- конфигурации тел визуализируемых позвонков:- высота, структура, поверхность (отсутствие остеофитов - костных разрастаний, грыж Шморля), состояние опорных площадок и пр.;
- дурального мешка (защитной оболочки спинного мозга);
- оси позвоночника на исследуемом уровне;

МРТ: межпозвонковая грыжа диска L4-5 (аксиальная проекция, Т2 ВИ)
- размеров спинномозгового канала;
- щелей дугоотросчатых суставов;
- структуры, контуров, диаметра спинного мозга;
- состояния паравертебральных мягких тканей, связочного аппарата;
- кровоснабжения спинного мозга и пр.
При расшифровке результатов МРТ позвоночника в поле зрения могут попасть изменения в соседних органах, врач обязательно отразит данную информацию в протоколе исследования.
Какой программой открыть МРТ снимки?

МРТ: перелом зубовидного отростка второго шейного позвонка (сагиттальная плоскость, Т2 ВИ)
Чтобы открыть МР-снимки, понадобится специальная программа (DICOM Viewer, RadiAnt и пр.), скачать которые можно в интернете. Иногда на электронном носителе есть файл для установки приложения: запустите его, следуя инструкции.
Необходимо вставить CD в дисковод или карту памяти в соответствующий слот компьютера. С последней может возникнуть проблема из-за отсутствия подходящего разъема, в такой ситуации потребуются дополнительные комплектующие - картридер и USB-провод.
После подключения электронного носителя нужно подождать некоторое время - операционная система должна обнаружить диск или карту и установить драйвер. На экране возникнет программа автозапуска, в которой следует открыть папку для просмотра файлов. Если этого не произошло, зайдите в меню “Пуск”, выберите “Мой компьютер”, после появления окна найдите “Устройства со съемными носителями” и щелкните по нему левой клавишей мышки.
Посмотреть фото МР-процедуры можно в виде отдельных изображений или серии кадров.
Как читать результаты МРТ позвоночника?

МРТ шейного отдела позвоночника: полулунные отростки (стрелка) в коронарной плоскости (Т2, STIR)
Выявить болезнь на ранней стадии - задача сложная даже для врача, но МРТ остается лучшим диагностическим инструментом для обнаружения мельчайших изменений в структуре позвоночника. Выпячивание диска на 1 мм свидетельствует о начавшемся патологическом процессе - протрузии. Если по мере прогрессирования заболевания нарушается целостность фиброзного кольца, говорят о грыже.
Дистрофические изменения, снижение высоты тел позвонков диагностируют преимущественно у возрастных пациентов, страдающих остеохондрозом. Малоподвижный образ жизни, чрезмерные физические нагрузки, ожирение, врожденные аномалии - основные предпосылки развития заболеваний опорного аппарата. Во время МР-сканирования позвоночного столба обследуют шейный, грудной, пояснично-крестцовый отделы. Врач определяет зону интереса на основании клинической картины.
Шейный и поясничный отделы у человека максимально подвижны, поэтому большинство патологических процессов локализуется в данных областях. МР-снимок визуализирует позвоночник в трех плоскостях: аксиальной, коронарной (фронтальной) и сагиттальной. Одна из них, в зависимости от характера подозреваемой патологии, основная, две другие - уточняющие. Возможность разносторонней оценки множества срезов толщиной от 1 мм позволяет выявить болезнь на стадии формирования. Если при расшифровке результатов МРТ позвоночника нет пороков развития, суставы и диски расположены на своем анатомическом месте, имеют нормальную структуру без костных разрастаний, нарушение кровоснабжения спинного мозга отсутствует - все в порядке.
КТ позвоночника что показывает

Компьютерная томография является одним из наиболее популярных видов изучения костных и хрящевых анатомических образований. Сканирование проводят с помощью рентгеновского излучения. Твердые ткани организма активно поглощают ионизирующие потоки, обеспечивая возможность детальной визуализации строения внутренних структур. КТ позвоночника проводят для определения состояния костных и хрящевых элементов, окружающих тканей, кровеносных сосудов.

Перелом грудного отдела (трехмерная и сагиттальная проекции)
В результате компьютерной томографии получают серию послойных изображений рассматриваемой зоны. Монохромные фотографии обладают высоким разрешением. В отличие от рентгенографии на снимках отсутствуют дефекты и тени от расположенных рядом структур. Изменение плоскости при реконструкции изображений позволяет тщательно изучить анатомические образования. Преимуществом КТ является возможность создания 3D-модели позвоночника.
Для усиления информативности сканирования используют контрастирование. В качестве “окрашивающего” вещества применяют раствор йода, обладающего высокой поглощающей способностью в отношении рентгена.
Что покажет КТ позвоночника?
Компьютерная томография визуализирует изменения строения анатомического образования. Позвоночник выполняет опорную, амортизирующую, двигательную и защитную функции. Сложный сустав образован 33-34 костными элементами, соединенными связочным аппаратом. Внутри позвоночного столба расположен канал, содержащий ликвор и церебральное вещество. От спинного мозга отходят парные нервные корешки. Амортизацию осуществляют хрящевые прослойки (диски).

Компрессионный перелом (показан стрелкой) поясничного отдела позвоночника
При развитии патологического процесса возникают структурные нарушения, аномалии формы и размеров морфологических элементов.
КТ позвоночника показывает:
плотность, однородность, высоту хрящевых дисков;
размеры, форму, расположение позвонков;
проходимость спинномозгового канала;
состояние магистральных кровеносных сосудов (сканирование шейного отдела);
особенности строения связочного аппарата, мышц спины.
С помощью компьютерной томографии позвоночника определяют локализацию, размеры, этап развития патологического процесса. В результате сканирования выявляют онкологические, дегенеративные, демиелинизирующие заболевания, воспалительные изменения тканей спины. На снимках хорошо видны структурные аномалии, нарушение целостности морфологических элементов сустава.
Показаниями к КТ позвоночника служат:
боли в спине, иногда с иррадиацией в грудину, верхние или нижние конечности;
признаки нарушения мозгового кровообращения;
деформация позвоночного столба;
слабость, нарушения двигательной функции рук и ног;
парестезии и судороги конечностей;
ограничение подвижности одного или нескольких отделов позвоночника.
Контрастная процедура показывает состояние сосудистой системы, позволяет диагностировать новообразования малого диаметра. При введении раствора йода на снимках хорошо просматривается структура мягкотканных образований, выделяются воспалительные очаги.
С помощью компьютерной томографии позвоночника выявляют:
грыжи, протрузии межпозвонковых дисков;
гематомиелии (кровоизлияния в полость спинномозгового канала);
переломы, трещины тел позвонков и остистых отростков;
разрывы связок, мышц, кровоизлияния в мягкие ткани спины;
добро- и злокачественные новообразования;
смещение тел позвонков относительно друг друга;
врожденные аномалии развития позвоночника;
компрессионные поражения спинномозговых нервных корешков;
патологические изгибы позвоночного столба.
Для изучения строения кровеносных сплетений, расположенных в мягкой оболочке спинного мозга, проводят контрастное сканирование. В результате диагностируют сосудистые патологии:
стенозы, тромбозы, эмболии позвоночных вен и артерий;
нарушение целостности сосудистой стенки при травмах;
ОНМК (острую недостаточность мозгового кровоснабжения);
сосудистые опухоли (гемангиомы);
врожденные аномалии строения кровеносного русла (мальформации, патологическая извитость и пр.);
компрессию спинного мозга при гематомиелии.
Компьютерная томография позвоночника показывает малейшие нарушения строения и функциональности суставных элементов. Трехмерное изображение при подготовке к хирургическому вмешательству позволяет локализовать патологический процесс, уточнить объем предстоящей операции.

Трехмерная реконструкция при КТ
Как проводится компьютерная томография позвоночника?
В зависимости от используемого оборудования различают линейную и спиральную КТ. Первую делают на томографе, который одновременно двигает датчики и рентгеновские излучатели в противоположные стороны. В фокусе оказывается зона, находящаяся в центре сканирующей системы. Структуры, расположенные выше или ниже основной оси, получаются размытыми. При линейной КТ позвоночника минимальная толщина среза составляет от 3 см.
Спиральная компьютерная томография предполагает вращение сканирующей системы (трубки + детекторы) вокруг стола с пациентом. Одновременно транспортер перемещается в горизонтальной плоскости внутри кольца аппарата.
Современные томографы делают 2 и более (8, 16, 64) снимков за полный оборот. Толщина сканируемого среза от 0,2 см. Такое исследование позвоночника называют мультиспиральная КТ.
Для повышения качества фотографий и предупреждения артефактов пациенту необходимо сохранять неподвижность на протяжении сеанса. Для этого тело и конечности фиксируют при помощи специальных валиков, креплений.

Компьютерная томография позвоночника
После подготовки пациента к процедуре врач и лаборант переходят в соседнее помещение, где расположены мониторы. Связь с больным поддерживают через микрофон.
Продолжительность исследования позвоночника зависит от того, как делают КТ. Нативная процедура занимает не более 10 минут. При необходимости введения контрастного раствора длительность сканирования увеличивается. После серии обычных снимков пациенту делают инъекцию йодсодержащего препарата. Вещество заполняет сосудистое русло в зоне интереса, после чего сеанс продолжается. КТ с контрастом занимает до 20 минут.
Детекторы фиксируют информацию о плотности структур позвоночника и транслируют данные для обработки компьютерной программой. На монитор поступают послойные снимки в аксиальной проекции. На основании полученных фотографий достраивают сагиттальную и фронтальную плоскости рассматриваемой области. При необходимости реконструируют 3D-изображение.
Вредно ли делать КТ позвоночника?
Компьютерная томография предполагает воздействие на организм пациента рентгеновских лучей. Радиационная нагрузка при МСКТ незначительна. Разработаны санитарно-гигиенические нормы, соблюдение которых обеспечивает безопасность здоровью обследуемого.
В год допустима лучевая нагрузка, не превышающая 5 мЗв (миллизивертов). В среднем разрешено проходить 2 КТ позвоночника в течение 12 месяцев.
Детский организм острее реагирует на воздействие ионизирующего излучения. Возрастные ограничения к назначению нативной КТ - 5 лет. Внутривенные инъекции контрастного препарата ребенку предусмотрены в условиях стационара. С 12 лет ограничения снимают, можно проводить компьютерную томографию в специализированных центрах с соблюдением мер безопасности.
Абсолютные противопоказания к КТ позвоночника:
беременность - ионизирующие потоки оказывают тератогенное влияние на плод;
лучевая болезнь и другие патологии, исключающие возможность применения рентгена.
При использовании контраста список ограничений расширяется:
непереносимость йода - возможны аллергические реакции;
гиперфункция щитовидной железы - инъекция контраста приводит к усилению симптомов тиреотоксикоза;
почечная недостаточность - при выведении “окрашивающего” раствора возрастает нагрузка на органы фильтрации;
сахарный диабет при лечении Метформином - одновременное использование йодсодержащего препарата с названным средством повышает концентрацию молочной кислоты в тканях.

Трещина (показана стрелкой) тела позвонка
При отсутствии противопоказаний МСКТ не оказывает негативного влияния на организм пациента.
Как следует готовиться к компьютерной томографии позвоночника?
КТ без контрастирования можно сделать в срочном порядке, в день обращения в клинику. На прием следует взять:
результаты более ранних исследований.
Пациент обсуждает со специалистом возможные противопоказания, предупреждает о сопутствующих заболеваниях и принимаемых лекарственных препаратах.
Женщина должна сообщить врачу о предполагаемой или наступившей беременности. В отдельных случаях для уточнения состояния проводят дополнительное обследование.
Компьютерная томография позвоночника с контрастом требует подготовки. Пациенты сдают тест на креатинин. Высокое содержание последнего в крови является признаком почечной недостаточности и служит противопоказанием к процедуре.
Больные с сахарным диабетом, принимающие Метформин, посещают эндокринолога. Препарат необходимо отменить за 3 дня до КТ с контрастным усилением.
Кормящим женщинам следует позаботится о питании для малыша. После процедуры нужно сцеживать грудь в течение 6-12 часов, молоко для кормления не использовать.

Сколиоз позвоночника на снимках КТ
Металлический пирсинг, украшения могут негативно влиять на качество изображения. Перед процедурой следует снять верхнюю одежду и аксессуары.
Что лучше МРТ или КТ позвоночника?
Магнитно-резонансная и компьютерная томография являются, при необходимости, взаимозаменяемыми методами. Наличие противопоказаний к КТ служит основанием для использования МР-процедуры и наоборот. Каждый вид инструментального сканирования имеет преимущества и недостатки. Выбор метода зависит от предварительного диагноза, области изучения, особенностей здоровья пациента. Что лучше применить для исследования позвоночника, КТ или МРТ, решает лечащий врач.
Сравнительная характеристика компьютерной и магнитно-резонансной томографии:
Высокая информативность в изучении состояния тел позвонков, остистых отростков, хрящевых дисков;
минимум противопоказаний к нативной процедуре;
продолжительность исследования (не более 20 минут)
Низкая информативность при исследовании мягких тканей спины, церебрального вещества и спинномозговой жидкости;
наличие вредной лучевой нагрузки на организм больного;
плохая переносимость контрастного препарата
Результативность при исследовании мышц, связок, клетчаточных пространств, содержимого спинномозгового канала;
отсутствие ионизирующего излучения;
гипоаллергенность и низкая токсичность контрастного раствора;
Продолжительность контрастной процедуры более 40 минут;
дискомфорт при обследовании на закрытых томографах (при помещении стола с пациентом в тоннель аппарата);
низкая информативность в отношении костных структур.
Клиника “Магнит” проводит нативную и контрастную КТ позвоночника на современном 16-срезовом томографе немецкой фирмы Siemens.

Перелом со смещением в области крестцово-копчикового отдела (компьютерная томография)
Читайте также:
- Токсикометрия. Установление основных параметров токсичности
- Кардиостимуляция верхушки правого желудочка как причина сердечной недостаточности
- Энцефалопатия при химиотерапии. Инфекции нервной системы при химиотерапии. Цереброваскулярные осложнения химиотерапии.
- Отклонения от нормы правого предсердия. Гипертрофия и увеличение левого желудочка
- Абдоминальная компьютерная томография. Предостережения при обследовании хирургических больных.

