КТ височной кости при новообразовании внутреннего слухового прохода
Добавил пользователь Владимир З. Обновлено: 21.01.2026
Отделение оториноларингологии, отделение компьютерной томографии Научного центра здоровья детей РАМН, Москва
Отделение рентгеновской компьютерной томографии Научного центра здоровья детей РАМН, Москва
Трудности лучевой диагностики злокачественных опухолей среднего уха у детей
Цель работы - представить возможности КТ- и МРТ-диагностики злокачественных новообразований среднего уха у детей. Злокачественные новообразования среднего уха у детей представляют большие трудности в диагностике. Проанализированы субъективные и объективные причины, способствующие позднему установлению диагноза. Основное внимание уделено возможностям КТ и МРТ в диагностике злокачественных новообразований среднего уха у детей. Даны лучевые дифференциально-диагностические критерии злокачественных новообразований.
Злокачественные опухоли среднего уха у детей составляют около 20% среди всех злокачественных новообразований ЛОР-органов и представляют значительные трудности для ранней диагностики и соответственно лечения [1—3]. Рабдомиосаркома и лангергансоклеточный гистиоцитоз относятся к наиболее распространенным новообразованиям среднего уха у детей.
К сожалению, практически в 50% случаев диагноз опухоли устанавливается поздно. Это обусловлено нетипичной клинической картиной заболевания на ранних стадиях (боль и выделения из уха, снижение слуха), что симулирует затянувшийся или хронический средний отит. Опухолевый процесс часто распространяется из среднего уха в наружный слуховой проход, где клинически ошибочно расценивается как полип, и проводится полипотомия. Однако такой «полип» вскоре вновь рецидивирует. Повторный рост «полипов» или «грануляций» у ребенка должен заставить ЛОР-врача до проведения повторных хирургических вмешательств исключить новообразование среднего уха, что на практике встречается далеко не всегда.
На более поздних стадиях болезни характерно вовлечение в патологический процесс лицевого нерва с развитием его пареза, а также поражение других черепных нервов, развитие общемозговых, вестибулярных и мозжечковых расстройств. Появление подобной симптоматики также должно явиться основанием для детального обследования ребенка.
В современных условиях важная роль в диагностике новообразований уха принадлежит лучевым методикам. Расположение среднего уха в пирамиде височной кости предопределяет ведущую роль в диагностическом процессе компьютерной томографии (КТ), поскольку метод позволяет детально оценить в первую очередь состояние костных структур. Дополнительные возможности в оценке мягкотканных изменений открывает магнитно-резонансная томография (МРТ) [4—7].
К сожалению, лучевая диагностика опухолей среднего уха для рентгенолога, так же как и для клинициста, представляет значительные трудности, поскольку изменения, особенно на ранних стадиях болезни, не являются патогномоничными и требуют от специалиста проведения дифференциальной диагностики с другими заболеваниями уха.
Цель работы — продемонстрировать возможности КТ- и МРТ-диагностики злокачественных новообразований среднего уха у детей.

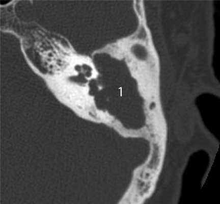
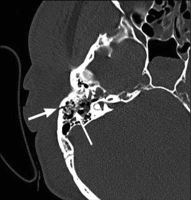
КТ-признаки злокачественной опухоли височной кости предопределяются происходящими в ней патоморфологическими изменениями. Так, наличие опухолевых масс в среднем ухе на КТ проявляется нарушением пневматизации полостей среднего уха (рис. 1). Рисунок 1. Лангергансоклеточный гистиоцитоз. Аксиальная проекция правой височной кости. Отсутствует пневматизация полостей среднего уха за счет наличия опухоли (1), вызывающей обширные деструктивные изменения в пирамиде. Цепь слуховых косточек сохранена (2). Степень выраженности данного КТ-симптома обусловлена размерами самой опухоли и ее точной локализацией в височной кости. Нарушение пневматизации полостей среднего уха не является специфичным для новообразований и постоянно встречается при других заболеваниях среднего уха, в первую очередь при остром и хроническом средних отитах.
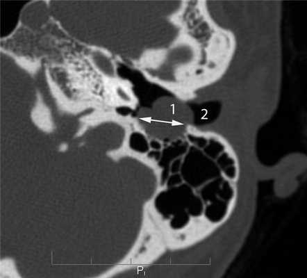
Частым проявлением опухоли височной кости, как было сказано выше, является ее распространение в наружный слуховой проход, что находит свое отражение и на КТ. При небольших размерах полипозного новообразования на КТ в просвете наружного слухового прохода визуализируется образование, исходящее из барабанной полости или проникающее в слуховой проход через его разрушенную стенку (рис. 2). Рисунок 2. Лангергансоклеточный гистиоцитоз. Коронарная проекция правой височной кости. В наружном слуховом проходе определяется полипозное образование (1), на уровне которого верхняя стенка НСП деструктивно изменена. Нарушена пневматизация среднего уха (2). Большой «полип» проявляется на КТ полной обтурацией воздушного просвета слухового прохода мягкотканным образованием (рис. 3). Рисунок 3. Рабдомиосаркома. Аксиальная проекция левой височной кости. Отсутствует пневматизация костного устья слуховой трубы и барабанной полости (1). Просвет наружного слухового прохода обтурирован мягкотканным полипозным образованием (2). Деструкция задней стенки барабанной полости и наружного слухового прохода (3). При анализе данного КТ-признака следует учитывать, что истинные полипы, встречающиеся при хроническом гнойном среднем отите, в отличие от опухолей имеют излюбленную локализацию и чаще всего исходят из верхних отделов барабанной полости.
Рост злокачественного новообразования среднего уха сопровождается деструктивными изменениями прилежащих костных структур. КТ позволяет не только выявить участки костной деструкции в височной кости, но и точно оценить их локализацию, размеры, вовлечение в патологический процесс структур лабиринта, средней и задней черепных ямок, канала лицевого нерва [4—6]. Обнаружение на КТ костно-деструктивных изменений позволяет рентгенологу заподозрить опухолевый процесс, однако и здесь возникает необходимость проведения дифференциального диагноза между злокачественной опухолью, воспалительным заболеванием среднего уха и доброкачественным новообразованием. Следует отметить, что каждому из перечисленных заболеваний среднего уха свойственны свои особенности деструктивного процесса в височной кости, на чем и основывается дифференциальная диагностика между ними.

Главными отличительными признаками костной деструкции опухолевого генеза являются беспорядочность и широкая распространенность (рис. 4). Рисунок 4. Лангергансоклеточный гистиоцитоз. Аксиальная проекция правой височной кости. Распространенные беспорядочные деструктивные изменения остеолитического характера (1) в пирамиде и сосцевидном отростке. Мягкотканное образование (2) выполняет барабанную полость, обтурирует наружный слуховой проход. Участки костной деструкции могут быть выявлены на КТ в сосцевидном отростке, наружном слуховом проходе, в стенках барабанной полости и антрума, в капсуле лабиринта, в пирамиде височной кости и за ее пределами в костях основания и свода черепа [2, 4, 5]. Чем раньше обследуется ребенок с опухолью среднего уха, тем менее распространена деструкция в височной кости. Самые ранние стадии опухолевого процесса характеризуются ее отсутствием, что крайне затрудняет установление диагноза.
Другой отличительной особенностью деструкции при опухолях является литический характер, проявляющийся наличием в височной кости дефектов различной величины, значительным снижением плотности костной ткани в сочетании с неровностью и нечеткостью ее краев без явлений склероза (см. рис. 4).
Сохранность слуховых косточек на фоне деструктивных изменений — третья отличительная особенность костной деструкции при злокачественных опухолях [4, 5] (см. рис. 1).
Дифференциальный диагноз злокачественной опухоли височной кости по данным КТ проводится с холестеатомой, невриномой лицевого нерва, гломусной опухолью.

На практике у детей часто встречается вторичная холестеатома, которая развивается на фоне хронического гнойного среднего отита. Наибольшие трудности в плане дифференциальной диагностики злокачественной опухоли представляет агрессивная холестеатома у детей раннего возраста (2—5 лет). Главными отличительными ее КТ-признаками являются разрушение слуховых косточек, предсказуемый и смешанный характер деструкции, характеризующийся наличием в височной кости как участков лизиса, так и участков разрушения кости с четкими склерозированными краями [8] (рис. 5). Рисунок 5. Холестеатома аттико-антральной области. Аксиальная проекция левой височной кости. В аттико-антральной области определяется деструктивная полость (1), выполненная мягкотканным субстратом. Костные стенки полости неровные, но четкие склерозированные, слуховые косточки разрушены и не определяются.

Невринома лицевого нерва в отличие от злокачественной опухоли характеризуется на КТ наличием в височной кости мягкотканного образования, имеющего достаточно ровные четкие контуры. Образование располагается по ходу одной из частей канала лицевого нерва и вызывает разрушение его костных стенок [5, 6, 9]. Невринома мастоидальной части лицевого нерва вследствие близкого расположения к наружному слуховому проходу часто распространяется в его просвет в виде округлого образования, вызывающего разрушение задней стенки (рис. 6). Рисунок 6. Невринома лицевого нерва. Аксиальная проекция левой височной кости. По ходу мастоидальной части канала лицевого нерва определяется объемное образование (1), распространяющееся в наружный слуховой проход (2). Стенки мастоидальной части канала лицевого нерва и задняя стенка наружного слухового прохода разрушены (стрелка). При клиническом осмотре в наружном слуховом проходе определяется образование плотноэластической консистенции на широком основании.
КТ-симптоматика параганглиомы или гломусной опухоли височной кости, редко встречающейся у детей, включает нарушение пневматизации полостей среднего уха в сочетании с костной деструкцией (рис. 7, а). Рисунок 7. Гломусная опухоль. а — аксиальная проекция правой височной кости. В пирамиде височной кости определяется объемное образование, вызывающее разрушение стенок ямки луковицы яремной вены (1) и канала внутренней сонной артерии (2). Поскольку параганглиома исходит из яремного и, реже, каротидного гломуса, ее отличительным КТ-признаком является деструкция стенок ямки луковицы яремной вены и канала сонной артерии [5—7]. В отличие от злокачественных опухолей, параганглиома активно накапливает контрастный агент при внутривенном введении в артериальную фазу (рис. 7, б). Рисунок 7. Гломусная опухоль. б — коронарная проекция левой височной кости, внутривенное болюсное контрастирование, артериальная фаза. В барабанной полости определяется опухоль (1), активно накапливающая контрастный агент. Практически одинаковая интенсивность накопления контрастного вещества в ткани опухоли и во внутренней сонной артерии (2).

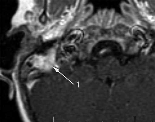
Недостатком КТ в диагностике опухолей среднего уха является низкая контрастность в изображении мягких тканей. В связи с этим существенную роль в диагностике опухолей среднего уха играет МРТ, которую используют для детальной оценки мягкотканных изменений. Эта методика позволяет выявить гетерогенный характер злокачественной опухоли, а также диагностировать распространение опухоли за пределы височной кости как экстра-, так и интракраниально. МР-характеристики злокачественных опухолей не являются специфичными: в Т1-изображении они имеют промежуточный сигнал, в Т2 — высокоинтенсивный сигнал, характерно значительное усиление сигнала после внутривенного введения контрастного агента [6, 7] (рис. 8). Рисунок 8. Лангергансоклеточный гистиоцитоз. МРТ в режиме Т1 после внутривенного контрастирования, коронарная проекция. В сосцевидном отростке определяется опухоль, активно накапливающая контрастный агент (1).
Сопоставление результатов КТ и МРТ позволяет установить наличие опухолевого процесса в височной кости. Однако окончательный диагноз устанавливается на основании результатов гистологического исследования материала, полученного при биопсии.
Выводы
1. С целью своевременного выявления злокачественных опухолей среднего уха в алгоритм обследования детей с затянувшимся, рецидивирующим и хроническим средним отитом, особенно осложненным полипом наружного слухового прохода, вестибулярными нарушениями или неврологической симптоматикой, целесообразно включать КТ височной кости.
2. КТ-семиотика злокачественных новообразований височной кости включает: а) нарушение пневматизации полостей среднего уха, часто в сочетании с полипозным образованием наружного слухового прохода, б) беспорядочную и часто распространенную деструкцию костных структур литического характера.
3. Для детальной оценки мягкотканных изменений в височной кости и выявления интракраниального распространения опухоли методом выбора является МРТ.
Что покажет КТ височных костей, как делают, подготовка и противопоказания

Височная кость является важной анатомической структурой - она участвует в формировании черепной коробки, здесь расположен слуховой аппарат, проходят крупные нервы и артерии. Обычные методы диагностики, такие как рентгенография или УЗИ, зачастую не позволяют диагностировать патологические изменения в этой области. КТ височных костей − более точное исследование, которое дает возможность выявлять заболевания на ранней стадии.
Что покажет КТ височных костей
Во время КТ получают послойные снимки височной кости и окружающих тканей в трех плоскостях. Толщина среза составляет всего несколько миллиметров, что позволяет врачу-рентгенологу рассмотреть не только все анатомические образования, но и минимальные патологические изменения.
На полученных снимках хорошо видны следующие структуры:
пирамида височной кости;
ячейки и антрум сосцевидного отростка;
улитка, преддверие, передний и задний полукружный каналы;
слуховые косточки среднего уха;
стенки наружного слухового прохода;

Снимок (томограмма) височных костей в осевой проекции
С помощью КТ височных костей можно выявить любые заболевания воспалительного, травматического, опухолевого характера. Метод применяется для диагностики следующих патологий:
объемных образований, кист костной ткани и слухового аппарата;
воспалительных процессов (мастоидиты, отиты, остеомиелиты);
травматических повреждений (трещины, переломы);
дегенеративных изменений (отосклероз, дисплазия);
Большим преимуществом КТ перед другими диагностическими методами является возможность получения трехмерной модели височной кости. 3D-изображение необходимо перед хирургическим вмешательством, часто по поводу установки имплантата внутреннего уха, поскольку дает максимально четкое представление об особенностях анатомии у конкретного пациента.
Иногда во время КТ височной кости дополнительно вводят контрастирующее вещество на основе йода. Введенный фармпрепарат хорошо поглощает рентгеновские лучи и делает изображения более отчетливыми. Контрастирование необходимо для уточнения характера изменений в мягкотканных образованиях, прилегающих к височной кости. Также методика позволяет отчетливо визуализировать церебральные артерии и вены. Вместе с тем, данная процедура обходится немного дороже стандартного исследования: пациенту нужно будет доплатить за количество использованного контраста.
Показания к КТ височных костей
В большинстве случаев КТ височных костей назначают ЛОР-врачи, неврологи, нейрохирурги, реже специалисты другого профиля. Обычно основанием для проведения томографии являются выявленные на рентгенограмме или во время УЗИ патологические изменения. Именно КТ височных костей позволяет разрешить все сомнения и поставить точный диагноз.
Показаниями для компьютерной томографии височной кости служат:
нарушения работы слухового аппарата (прогрессирующее ухудшение слуха, звон или шум в ухе и пр.);
вестибулярные расстройства (головокружение, шаткость при ходьбе);
длительный болевой синдром в области уха, в половине головы, особенно сопровождающийся неврологической симптоматикой;
выделения из слухового прохода различного характера (гной, кровь, ликвор);
клинические данные, свидетельствующие об опухолевом процессе;
нарушение работы лицевого нерва с развитием слабости мимической мускулатуры;
травмы головы с подозрением на перелом основания черепа и височной кости.
Также рекомендуют КТ височных костей перед запланированным хирургическим вмешательством, для контроля за проводимой терапией.
Кому противопоказана КТ височной кости
Компьютерная томография височных костей не проводится женщинам в период беременности, поскольку рентгеновские лучи негативно влияют на развитие плода. В случае томографии с контрастированием противопоказаниями являются:
нарушение фильтрационных характеристик почек;
непереносимость препаратов на основе йода;
повышенная функция щитовидной железы.
Как проходит компьютерная томография височных костей
Записаться в диагностический центр «Магнит» можно по телефону, указанному на сайте. Сотрудник подберет для вас наиболее удобное время, разъяснит особенности процедуры, одновременно вы сможете уточнить точную стоимость обследования.
Идя на томографию, потребуется взять с собой направление, имеющиеся на руках медицинские документы. В случае запланированной КТ височных костей с контрастированием нужно заранее сдать анализ на креатинин. Он необходим для оценки функционального состояния почек.
В центре «Магнит» обследование проводят на современном мультиспиральном томографе Siemens. Аппарат установлен в отдельной комнате, где и будет проходить сканирование.

Внешний вид компьютерного томографа и положение пациента на столе аппарата перед началом исследования
Непосредственно перед исследованием специалист центра проинструктирует больного и предложить занять положение на спине на столе томографа.
Во время сканирования стол с пациентом будет плавно перемещаться по направлению к тоннелю аппарата. Таким образом, голова будет находиться на уровне источника излучения и датчиков. Каких-либо неприятных ощущений во время исследования не возникает, тем более что сама процедура длится всего 1-2 минуты.
Все это время персонал будет находиться в соседней комнате и наблюдать за ходом исследования. В тоннеле томографа есть переговорное устройство, по которому пациент всегда может связаться с медперсоналом.
КТ височной кости с введением контраста длится немного дольше: от 15 до 25 минут, так как исследование включает несколько этапов. Первоначально выполняют нативное сканирование, после которого внутривенно вводят йодсодержащий препарат (Ультравист). Контраст относительно редко вызывает побочные реакции, иногда наблюдаются небольшое головокружение или подташнивание. Эти неприятные явления самостоятельно проходят в течение нескольких минут. Завершающий этап - повторное сканирование с получением максимально контрастных изображений.
После получения снимков и их обработки компьютерной программой врачу потребуется некоторое время для анализа данных. Обычно на это уходит не более 1,5-2 часов .
Когда назначают КТ височных костей детям
Данный вид исследования рекомендуют детям только при наличии веских оснований. Это связано с тем, что организм ребенка более чувствителен к рентгеновскому излучению, чем у взрослого пациента. КТ височных костей назначают тогда, когда другие методы исследования (рентген, УЗИ, МРТ) не дают достаточно информации для постановки диагноза. Детям компьютерная томография височных костей чаще всего проводится в случае черепно-мозговой травмы с переломами костей черепа, одностороннего нарушения слуха, при подозрении на новообразование.
В центре «Магнит» мультиспиральную КТ делают детям начиная с пяти лет. Современное оборудование и программное обеспечение позволяют подобрать оптимальный режим сканирования и, таким образом, существенно снизить лучевую нагрузку на организм. Процедуру с контрастированием в нашем центре проводят детям, достигшим двенадцатилетнего возраста.

Положение ребенка на столе компьютерного томографа перед исследованием
Компьютерная томография височной кости не причиняет маленькому пациенту дискомфорта или боли. Поскольку сканирование длится считанные минуты, дети хорошо переносят диагностику. Однако при запланированной томографии родителям все же следует психологически подготовить ребенка: рассказать о процедуре и почему так важно ее пройти.
Преимущества КТ височных костей
Компьютерная томография является оптимальным вариантом для исследования костей, в том числе черепа. Костная ткань хорошо поглощает рентгеновские лучи, в результате получают четкие ее изображения. Данный метод незаменим в диагностике скрытых переломов и трещин, он хорошо выявляет деструктивные изменения.

На КТ-снимке виден перелом пирамиды височной кости (указан стрелками)
Другими преимуществами мультиспиральной томографии являются:
высокая скорость сканирования;
относительно низкий уровень лучевой нагрузки;
неинвазивность и безболезненность;
доступность для выполнения пациентам с ферромагнитными имплантатами, электронными устройствами;
возможность получения трехмерной модели исследуемой зоны.
КТ височных костей имеет вполне доступную цену. В диагностическом центре «Магнит» ее можно пройти за 2450 рублей. Такая низкая, по сравнению с другими медучреждениями Санкт-Петербурга, цена объясняется проводимой в этом месяце специальной акцией.
Что показывает КТ уха? КТ или МРТ что лучше? Подготовка, показания и противопоказания

При снижении слуха или полной его потери обосновано проведение КТ уха. Это современный высокоинформативный способ визуализации, использующий рентгеновские лучи и компьютерную обработку данных для построения объемного изображения. Контрастное усиление при выполнении КТ уха позволяет дать оценку не только костным структурам, но и мягким тканям, нервам и сосудам данной области, что важно для определения дальнейшей тактики действий - консервативной терапии или оперативного лечения.
Нормальная анатомия уха
Компьютерная томография дает исчерпывающую информацию о патологических процессах наружного и среднего уха. К КТ-сканированию прибегают при атрезии наружного слухового прохода (из-за отсутствия отверстия при отоскопии невозможно увидеть состояние барабанной перепонки и структур среднего уха). Необходимость визуализации, как дополнительного звена обследования, возникает при неэффективности терапии или при подозрении на развитие осложнений. Что показывает КТ среднего уха:
воспаление и его последствия;
патологические изменения височной кости;
опухоли (остеома, шваннома, параганглиома и пр.) и их инвазию в окружающие структуры ;
врожденные пороки развития;
состояние костного лабиринта;
деструктивно-дегенеративные процессы (остеодистрофия, фиброзная остеодисплазия, послевоспалительная оссификация, склеротические изменения и пр.);
инородные тела в ухе.
Компьютерное сканирование височной кости позволяет провести дифференциальную диагностику опухолей с воспалением, уточнить анатомические особенности, определить необходимость операции и ее объем. Исследование полезно в оценке осложнений после хирургических вмешательств.
КТ внутреннего уха показано при подозрении на патологический процесс в зоне, ограниченной височной костью. Чем раньше сделать компьютерное сканирование - тем больше шансов на выполнение успешной операции, в том числе - для восстановления или сохранения слуха. Структуры среднего и внутреннего уха спрятаны за барабанной перепонкой, что ограничивает прямую неинвазивную оценку. Выполнение отоскопии не дает полномасштабной картины, поэтому для определения степени заболевания, точного месторасположения патологического процесса, вовлеченных структур и возможных деструктивных изменений кости выполняют КТ и/или МРТ. Наиболее часто в данной области встречаются хронические и острые воспалительные заболевания (инфекционный и секреторный отит), реже - опухоли (шваннома среднего уха и параганглиома). КТ внутреннего уха с контрастом показывает евстахиеву трубу, улитку, слуховой и вестибулярный нервы, сосуды и кости, что позволяет выявить причину неблагополучия при соответствующих жалобах.
Как делают КТ уха

Положение пациента при обследовании
Пациента укладывают на стол (положение горизонтальное). Для удобства и фиксации используют упругие валики и ремни, эта мера необходима чтобы на полученных томограммах не было артефактов (размытостей, как на снимках обычным фотоаппаратом движущегося объекта). В середине исследования для лучшей визуализации мельчайших деталей внутривенно вводят контрастное вещество. Это делает медсестра одномоментно, или радиофармпрепарат поступает автоматически с помощью инжектора в определенные фазы исследования (болюсное усиление). Стол скользит вглубь томографа, вокруг головы в кольце аппарата с характерным пощелкиванием начинают вращаться датчики, улавливающие ответ органов и структур на поток рентгеновских частиц, испускаемых излучателем. Информация передается на компьютер, а специальная программа восстанавливает полученные срезы в единое целое.
Под рукой пациента есть “тревожная кнопка”: об ухудшении самочувствия (липкий пот, предобморочное состояние, резкая нехватка воздуха) следует немедленно поставить в известность персонал. При использовании современных контрастных препаратов генерализованные реакции гиперчувствительности встречаются крайне редко, менее, чем в 1-5% случаев.
Что лучше: КТ или МРТ уха

КТ (А) и МРТ(В) - картина холестериновой гранулемы
Эта дилемма волнует многих пациентов, но вид исследования выбирает лечащий врач, опираясь на результаты предыдущей диагностики и на конкретные жалобы. Отказываться от КТ уха из-за ложных соображений о вреде процедуры не стоит, современные мультидетекторные томографы позволяют минимизировать влияние лучевой нагрузки для большей категории лиц (исключение - беременные и дети, не достигшие 14 лет). В ряде наблюдений, особенно, если визуализируется опухолевый процесс, может понадобиться и МРТ, и КТ уха - эти способы взаимодополняют друг друга. Выполнение магнитно-резонансного сканирования обосновано, если после проведенной КТ остались сомнения в диагнозе. МРТ лучше демонстрирует менингоцеле, холестеатому, неврит лицевого нерва, внутричерепную патологию, вызванную процессами в среднем ухе, что не всегда показывает компьютерная томография высокого разрешения. КТ среднего уха часто не способна визуализировать степень возможной облитерации улитки после перенесенного воспаления или отдаленные последствия перелома височной кости. Точная оценка состояния имеет решающее значение для планирования кохлеарной имплантации.
Компьютерная томография ребенку или беременной женщине может быть выполнена по жизненным показаниям. Предпочтительнее в период гестации - МРТ, которое не использует рентгеновское облучение, а магнитное поле не представляет опасности для организма.
Подготовка к КТ-исследованию уха

Неплотный перекус за 40 минут до КТ нейтрализует вегетативные симптомы
Длительной подготовки КТ уха не подразумевает, достаточно выбрать удобную одежду без металлических деталей и оставить все украшения дома. Съемные зубные протезы, пирсинг Вас также попросят убрать. Если планируется введение контрастного вещества, необходимо обратить внимание на следующие аспекты:
Анализ крови на креатинин. Его можно сдать в поликлинике и принести результат с собой (не позднее 10-дневного срока выполнения), или сделать непосредственно перед компьютерной диагностикой. В центре “Магнит” такая услуга предусмотрена, но на обследование следует явиться на 15 минут раньше.
Перерыв в приеме Метформина и его аналогов. Пациенты с сахарным диабетом, контролирующие уровень глюкозы медикаментозно, за 48 часов до диагностической процедуры должны прекратить лечение сахароснижающими средствами. Перед этим обязательна консультация и разрешение эндокринолога.
Лактация. В этот период исследование не приведет к негативным последствиям, если сделать запас молока на два последующих кормления. После компьютерной томографии для избежания мастита рекомендовано сцеживание.
Неплотный перекус. Введение контрастного вещества могут сопровождать ряд вегетативных реакций (металлический привкус, тошнота, головокружение). Чтобы этого не произошло, нужно съесть легкий завтрак за 40 минут до диагностической процедуры.
КТ уха с контрастом

В диагностическом центре “Магнит” используют современный контрастный препарат с максимальным профилем безопасности
Нативная КТ уха показывает преимущественно костные структуры. Для оценки сосудов, мягких тканей, распространенности патологического процесса и определения степени вовлеченности соседних областей необходимо выполнение контрастирования. Усиленная компьютерная томография обеспечивает превосходную визуализацию разницы между костными структурами, воздухом и мягкими тканями в сочетании с высоким пространственным разрешением, и является методом выбора для исследования структур среднего уха. КТ височной кости с контрастированием позволяет дифференцировать воспалительные изменения, холестеатому и опухоль. Цена на КТ уха с усилением несколько выше, так как включает стоимость радиофармпрепарата.
Показания и противопоказания

На КТ уха направляет ЛОР-врач, если первичные способы диагностики показали неоднозначные результаты
При всех необъяснимых симптомах обосновано прохождение диагностики. Показания к КТ уха следующие:
ухудшение/потеря слуха с оценкой ее возможных причин;
выделения из слухового канала;
длительно существующее воспаление в среднем или внутреннем ухе, не поддающееся лечению;
головокружения, шаткость походки, нистагм;
травма уха, височной кости;
подозрение на опухолевый процесс;
выявление аномалий развития;
динамическое наблюдение изменений после консервативной терапии или хирургического вмешательства;
диагностика осложнений: петрозита, лабиринтита, лабиринтного свища, внутричерепного абсцесса или абсцесса мозга, менингита.
Общим противопоказанием к нативному КТ уха является беременность, при контрастировании к этому добавляются:
отягощенный аллергологический анамнез: генерализованная аллергическая реакция на радиофармпрепарат по типу отека Квинке или анафилатического шока;
урологическая и нефрологическая патология, сопровождаемая хронической почечной недостаточностью;
гиперфункция щитовидной железы.
Пациентам с выраженной степенью ожирения (масса тела выше 150 кг) исследование не проводят по техническим причинам.
Фото томографии уха
Расшифровкой полученных данных занимается врач-рентгенолог, на руки пациенту выдают заключение и снимки в электронном виде. Представляем Вашему вниманию несколько фото КТ уха, с типичными патологическими процессами:

Шваннома лицевого нерва: осевое КТ-изображение (костное окно) демонстрирует расширение ганглия, присутствует однородная масса мягких тканей (стрелка)

Хроническое воспаление среднего уха с холестеатомой: коронарная КТ показывает боковой свищ полукруглого канала (стрелка), вызванный эрозией кости из-за роста новообразования

Хроническое воспаление среднего уха: осевая КТ демонстрирует очаговую кальцификацию (стрелка) в барабанной полости - тимпаносклероз.
КТ височной кости при новообразовании внутреннего слухового прохода
Височная кость черепа - сложная парная структура, содержащая много анатомических структур, имеющая запутанный рельеф из множества протоков, сосцевидных ячеек, слуховых косточек, внутреннего уха, барабанной перепонки.

КТ-анатомия височных костей
Возле пирамиды височной кости расположена седловидная ямка турецкого седла, где располагается важная эндокринная железа - гипофиз. Орган регулирует состояние эндокринных желез. Компьютерная томография (КТ) хорошо показывает структуры области, позволяет определить размеры турецкого седла, выявить опухоли, обызвествление, воспаление гипофиза.
Височная кость соединена с подвижной челюстью посредством височно-нижнечелюстного сочленения. Возле области расположены артерии, нервные волокна. Повреждение сегмента обуславливает множественную патологию, приводящую к воспалению внутреннего и среднего уха (отит), нарушению глотания, воспалительным процессам внутри пищевода, желудка.
КТ височных костей в норме
Компьютерная томография височных костей в норме показывает следующие анатомические структуры:
- Ровные, четки стенки;
- Физиологическая ширина просвета;
- Склеротический тип строения ячеек;
- Нормальная пневмотизация;
- Мягкотканые структуры устья слуховой трубы;
- Четкая визуализация слуховых косточек;
- Нормальная конфигурация прохода;
- Четкие ровные стенки.
КТ-признаки двустороннего среднего отита с хроническим течением нередко сочетаются с повышенной склеротизацией, снижением пневмотизации ячеек сосцевидного отростка. Гнойные, воспалительные процессы области хорошо визуализируются на компьютерной томограмме.
КТ височных костей - что показывает
Рентгеновская компьютерная томография назначается для изучения костей. Мягкие ткани лучше анализирует МРТ головного мозга.
КТ-признаки патологии барабанной полости:
- Оценка состояния стенок;
- Визуализация невральных структур;
- Анализ сосудистых образований;
- Определение анатомии сосцевидного отростка, пирамид.
Среднее ухо располагается вблизи мозговых оболочек, лицевого нерва, крупных кровеносных сосудов. Компьютерное сканирование позволяет четко определить гнойно-воспалительные процессы среднего уха (отиты).
Компьютерная томография височных костей четко отслеживает опухолевые, травматические повреждения. Новообразования вестибулярных и слуховых частей небольших размеров не приводят к падению слуха.
Компьютерная томография показывает степень минерализации (плотность солей кальция), отосклероз внутреннего и среднего уха. Отложение склеротической ткани наблюдается при хронических процессах.
На компьютерных томограммах определяются опухоли - остеомы, фибромы, ангиомы. Новообразования медленно растут, могут сопровождаться кровоизлияниями.
Длительный гнойный отит приводит к раку среднего уха. Опухоль злокачественная, имеет инфильтративный рост, характеризуется распространением на соседние области, характеризуется склонностью к распространению на окружающие анатомические структуры, в лимфатические узлы.
Патология приводит к сильному болевому синдрому головы, гнойно-кровянистым выделениям, сопутствующим воспалением лицевого нерва. Своевременное КТ позволяет определить нозологию на ранней стадии, уменьшить летальность.
Любые патологические изменения височной кости, пирамиды, сосцевидного отростка приводит к нарушению кровоснабжения. Высокая вероятность патологии микроциркуляции головного мозга из-за близкого расположения мозговых артерий. Попадания внутрь сосуда гнойного сгустка, тромба, эмбола приводит к блокаде кровоснабжения, возникновению участка кровотечения.
Показания к КТ височных костей:
- Внутриушные выделения;
- Падение слуха и зрения;
- Травматические поражения височных костей;
- Патология височно-нижнечелюстного сустава (ВНЧС);
- Перед оперативным вмешательством.
Томография височной кости является быстрым, информативным способом диагностики большинства видов нозологий.
Что лучше КТ или МРТ височной области
Результативность компьютерной и магнитно-резонансной томографии височной области существенно различается. Отличие между КТ и МРТ не только в физической основе метода. Радиационное облучение тканей в высоких дозах не позволяет использовать компьютерную томографию повторно на протяжении короткого промежутка времени.
Магнитно-резонансная томография безвредна для человеческого здоровья при отсутствии металлических объектов в теле. Современные инновационные томографы способны отслеживать даже патологию костных тканей. Цена оборудования достаточно высока, чтобы периферические медицинские заведения могли приобрести МР-сканеры.

Опухоль яремного гломуса на КТ височных костей
Кости содержат мало воды, поэтому под действием магнитного поля не преобразуют радиочастотный сигнал. Особенности оборудования не позволяют использовать его для обследования черепа при подозрении на переломы. МРТ предпочтительней для изучения церебральной паренхимы, мозговых оболочек, нервных волокон, сосудов.
КТ с контрастом также позволяет изучать артерии, вены, нервы, другие сосудистые образования, опухоли, измерять размеры.
КТ пирамид височных костей
Утолщение посередине височной кости называемое пирамидой содержит анатомические структуры среднего и внутреннего уха. Область включает множество сосудов, нервов. Рентгеновское послойное сканирование пирамидной части височной кости позволяет выявить опухоли, гнойные инфильтраты, патологическое скопление ликвора.
Гнойные и бактериальные воспалительные процессы, кровотечения внутрь пирамиды хорошо диагностируются после контрастирования. Процедура предполагает внутривенное введение усиливающего препарата с последующим изготовлением послойных срезов. Каждая томограмма показывает анатомические структуры в срезе, но с помощью трехмерного моделирования удается создать пространственное отображение объекта. Картина позволяет выявить мельчайшие полости, внутренние протоки, спланировать ход оперативного вмешательства.
КТ при отите
Бактериальное воспаление среднего уха приводит к поражению слизистых оболочек, скоплению гноя внутри ячеек сосцевидного отростка, барабанной полости. Длительное сохранение хронического воспаления приводит к выходу гноя наружу, появлению перфорационного отверстия в барабанной перепонке. Патология формирует опасные осложнения:
- Утрата слуха;
- Инфильтрация внутреннего уха;
- Распространение гноя по кровеносной системе;
- Разрушение стенок сосцевидного отростка;
- Деструкция внутренних полостей;
- Тромбоз сигмовидного синуса;
- Развитие абсцесса;
- Эпидуральная гематомы;
- Эмпиема;
- Вовлечение в воспалительный процесс слуховых косточек с потерей слуха.
Заключение компьютерной и магнитно-резонансной томографии нередко завершается постановкой диагноза «мастоидит». Ошибочность трактовки возникает из-за обнаружения асептической жидкости внутри сосцевидных ячеек, возникающей после простого экссудативного отита. Правильно диагностировать мастоидит можно только после обнаружения воспалительного поражения костных перегородок.
Компьютерная томография височной кости ребенка
Присутствие радиационного облучения при использовании метода компьютерной томографии (КТ) требует тщательного отношения к применению обследования у ребенка. Только при наличии опасных для жизни заболеваний, отсутствии эффективности от консервативного лечения заболеваний мезотимпанума, эпитимпанума, гипотимпанума по показаниям выполняют сканирование детям.
Эпитимпанум - верхняя часть барабанной полости, состоящая из слухового прохода, ушной раковины и барабанной полости. Воспалительные и гнойные процессы области хорошо выявляются после осмотра отоларинголом (ЛОР-врачом). Необходимость в компьютерной томографии для диагностики патологии области отсутствует.
Мезотимпанум - средняя часть барабанной полости. Область состоит из евстахиевой, слуховой трубы. Осмотру область не доступна, поэтому обследование проводится лучевыми методами.
Нижнюю часть барабанной полости (гипотимпанум) можно изучить только с помощью компьютерного сканирования. Отдел содержит важные анатомические структуры - три полукружных канала (латеральный, задний, верхний), улитку, преддверье.
Отосклероз на КТ
Наследственное генетическое заболевание - отосклероз возникает из-за метаболических расстройств. Точную причину болезни установить не удалось. Морфологические изменения при патологии сопровождаются разрастанием костной ткани с заполнением ячеек сосцевидного отростка. Резорбция обусловлена активностью костных клеток - остеобластов и остеокластов. Места разрушения заполняются волокнами соединительной ткани. Склероз внутреннего уха приводит к тугоухости (кондуктивной). У молодых людей нозология характеризуется образованием склеротического очага вблизи переднего края преддверья. Начинающий рентгенолог не всегда обнаруживает изменения. Процесс двусторонний, поэтому принимается за анатомическую норму.
Холестеатома на компьютерных томограммах
Опухолевидное образование (холестеатома) состоит из эпителиальной ткани, соединительнотканных волокон с расположением в среднем ухе. Опасность заболевания заключается в склерозировании сосцевидных ячеек пирамиды височной кости. ЛОР-врачи считают, что рациональности диагностики холестеатомы с помощью КТ нет, так как часть опухоли обнаруживается во время осмотра. Трехмерное моделирование после компьютерной томографии позволяет выявить небольшое образование в слуховом канале на ранней стадии развития.
На КТ-холестеатома имеет вид мягкотканого образования с сопутствующими костными эрозиями.
Томографические признаки холестеатомы:
- Расположение внутри слухового прохода;
- Мягкотканое образование;
- Смещение слуховых косточек;
- Эрозивные дефекты стенок эпитимпанума, латерального полукружного канала.
Во время сканирования дополнительной находкой могут быть другие опухоли височной кости - гемангиома, остеома, невринома, гломусные образования.
Цена КТ височных костей
Специалисты рекомендуют выполнять томографию височной области после воспалительных процессов, травм черепа, падении слуха, подозрении на опухоли. Цена обследования в Москве варьирует в пределах от 2500 до 6000 российских рублей. Большой диапазон определяется видом оборудования, квалификацией врачей, применением или отсутствием контрастирования.
В стоимость услуги входит необходимость наркоза (ребенку), запись результатов на оптический диск, необходимость получения второго мнения. Получение нескольких заключений рентгенологов требуется пациентов с выявленными воспалительными процессами (хронический мастоидит, отит).
Где сделать КТ височной кости в Москве и Санкт-Петербурге
Большую часть клиник Москвы и Санкт-Петербурга собрал «Единый консультативный центр». Предлагаем читателям выбрать оптимальный диагностический центр вблизи места жительства, рядом с работой. Сортировка осуществляется по десяткам параметров. Наши партнеры имеют лицензии, современное оборудование, квалифицированный персонал. Заведения предлагают не только услуги КТ головы, шеи и МРТ, но и бесплатную предварительную консультацию, второе мнение при расшифровке томограмм, сделанных в других заведениях.
Альтернативы рентгеновской компьютерной томографии при диагностике патологии пирамид, сосцевидных ячеек височных костей не существует. Магнитно-резонансное сканирование применяется для определения мягкотканой патологии. Обращаясь к профессионалам, защищаетесь не только от необоснованного облучения, но и от ненужных финансовых затрат.
Звоните нам по телефону 8 (812) 241-10-46 с 7:00 до 00:00 или оставьте заявку на сайте в любое удобное время
КТ височных костей: когда бывает нужно это исследование?
Компьютерная томография костей черепа - исследование довольно распространённое. Однако при некоторых болезнях могут потребоваться прицельные снимки отдельных костей черепа.
Об особенностях одного из таких исследований - компьютерной томографии височных костей - мы беседуем с врачом-рентгенологом «Клиника Эксперт» Курск Романом Александровичем Строковым.
— Роман Александрович, где расположены височные кости и какова их функция?
— Они расположены в области основания черепа и участвуют в образовании его боковой части. В височных костях находится орган слуха и равновесия. Кроме того, в костных каналах височных костей проходят такие важные нервные структуры, как лицевой и преддверно-улитковый нервы, находится узел тройничного нерва.
— Что может стать поводом для КТ височных костей? При каких заболеваниях эффективна эта диагностика?
— Компьютерная томография височных костей - это методика, которая проводится по специальному протоколу. Это помогает хорошо детализировать все анатомические образования, которые располагаются в височной кости. Поэтому на КТ височных костей врачи направляют пациентов с поражениями органа слуха и равновесия, с черепно-мозговой травмой (ЧМТ), когда, в частности, предполагается перелом основания черепа.
Также исследование рекомендуют больным с неврологической симптоматикой, которая соответствует поражению нервов, расположенных в височных костях. КТ височных костей может быть нужна и при планировании хирургического лечения, например, по поводу такого заболевания, как отосклероз. Это делают, чтобы оценить анатомические особенности височной кости у конкретного пациента и подобрать соответствующий кохлеарный протез (протез улитки внутреннего уха).
Информативна КТ височных костей и при воспалительных процессах уха (острых и хронических отитах), травмах, опухолях этой области.
Читайте материалы по теме:
— Что показывает КТ височных костей?
— На КТ-снимке мы наблюдаем структуры наружного, среднего и внутреннего уха (слуховые косточки, конфигурацию слухового прохода). Кроме того, можно оценить костные элементы, а также воздушные полости височной кости на предмет нарушения их пневматизации (заполнения воздухом). На основании этих данных мы делаем вывод, являются ли выявленные изменения причиной недуга, который беспокоит пациента.
— Роман Александрович, расскажите, пожалуйста, как делают КТ височных костей
— Стандартное исследование височных костей проводится без контрастирования (то есть без использования контрастного препарата). Пациент заходит в кабинет, проходит инструктаж, раздевается, ложится на стол томографа и неподвижно лежит на протяжении всей процедуры. Она обычно занимает несколько минут.
Томограф оборудован средствами связи с персоналом. Если во время исследования у пациента возникают неприятные ощущения или ухудшается самочувствие, он может сообщить об этом сотрудникам.
По окончании сканирования врач-рентгенолог проверяет качество полученных изображений и их информативность. На руки пациент получает снимки на плёнке, диск с записью процедуры и заключение врача.
— Нужно ли готовиться к этой процедуре?
— Специальной подготовки к КТ височных костей не предусмотрено. Единственное условие - пациент должен снять с наружного уха все металлсодержащие украшения.
— Каковы противопоказания к этому методу исследования?
— КТ височных костей, как и компьютерную томографию любой другой зоны, не рекомендуется делать беременным и детям из-за ионизирующего излучения.
— А есть ли случаи, при которых проводить это исследование беременным или детям можно?
— Детям его выполняют по необходимым показаниям и тогда, когда другие методы диагностики и данные клинического осмотра не дают достаточной информации для постановки диагноза. Чаще всего показаниями для того, чтобы сделать КТ височных костей, являются:
- воспалительные заболевания уха, врождённые аномалии его развития;
- черепно-мозговая травма;
- планирование оперативного лечения.
Беременным это исследование проводят строго по показаниям, если имеется угрожающее жизни состояние.
— Нужно ли направление для того, чтобы пройти это исследование?
— Я считаю, что направление на компьютерную томографию желательно иметь всегда, причём не только детям, но и взрослым. Почему? Потому что в направлении лечащий врач (оториноларинголог, сурдолог, терапевт, травматолог) указывает предварительный диагноз, поставленный на основании проведённого обследования. И для подтверждения или опровержения своего мнения направляет на компьютерную томографию. Например, врач подозревает у пациента воспалительный процесс в среднем или внутреннем ухе и указывает это в направлении. То есть перед врачом-рентгенологом ставится вопрос, есть воспаление или нет. Соответственно, врач-рентгенолог должен ответить на этот вопрос, прицельно описывая изменения в интересующих лечащего врача структурах.
К нам в клинику пациенты на КТ височных костей приходят в подавляющем большинстве случаев с направлением. Если же пациент приходит самостоятельно, рентгенологу сложно дать внятный ответ. Часто такое исследование в последующем недостаточно информативно для лечащего врача.
Беседовала Севиля Ибраимова
Записаться на КТ височных костей можно здесь
ВНИМАНИЕ: услуга доступна не во всех городах
Редакция рекомендует:
Для справки:
Строков Роман Александрович
Выпускник лечебного факультета Ташкентской государственной медицинской академии 2011 года
В 2012 году завершил обучение в интернатуре по направлению «Рентгенология»
В настоящее время занимает должность врача-рентгенолога «Клиника Эксперт» Курск Принимает по адресу: ул. Карла Либкнехта, д. 7
Другие статьи по теме
Когда необходима КТ головного мозга? Как её проводят? Насколько безопасно такое исследование? Не только МРТ. Что покажет КТ головного мозга?
Доктор направил вас на МСКТ для определения количества кальция в артериях сердца. МСКТ для определения коронарного кальция: что это за исследование?
Компьютерная томография органов грудной клетки (КТ ОГК) - один из современных методов. КТ органов грудной клетки: что покажет и как поможет пациенту?
Читайте также:

