Лечение остеомиелита основания черепа - лекарства, операция
Добавил пользователь Владимир З. Обновлено: 28.01.2026
Являясь признаком инфекционного процесса в костной ткани, остеомиелит таза характеризуется рядом особенностей, заставляющих выделить такие заболевания в отдельную группу [2, 11]. Значительный массив костей, имеющих губчатое строение, мягких тканей, зачастую трудная доступность очагов, расположенные рядом внутренние органы, магистральные сосуды и нервные стволы [3, 12, 17] - все это в совокупности определяет трудности диагностики и лечения остеомиелита таза. В большинстве наблюдений остеомиелит таза протекает значительно тяжелее остеомиелита другой локализации, так как губчатое строение костей способствует быстрому распространению процесса [3, 5, 15, 21]. Для остеомиелита таза характерны сложные по форме и распространенности гнойные затеки и свищи, которые могут располагаться как внутри, так и вне таза [2, 6, 13, 20]. Значительное число наблюдений хронического течения этого заболевания обусловлено несвоевременной диагностикой и поздно начатым лечением [7, 8, 16]. При остеомиелите таза чаще, чем при поражении костей другой локализации, мы отмечали развитие сепсиса, нередко с явлениями полиорганной недостаточности [3, 22]. Еще одной особенностью остеомиелита таза является его полифокальное поражение, что в еще большей степени усложняет диагностику и лечение этой категории больных [1, 3, 14, 18].
Полиморфизм клинических проявлений заболевания, зависящих в значительной степени от локализации и распространенности очага, недостаточная информативность обзорной рентгенографии нередко определяют запоздалую постановку диагноза [6, 19].
По мнению многих авторов, радикальное оперативное вмешательство является определяющим в лечении хронического остеомиелита, однако в случае поражения костей таза довольно часто выполняются паллиативные операции [4, 10]. Это связано с характером и особенностями течения патологического процесса в губчатой кости, трудностями доступа к очагам, опасностью повреждения рядом расположенных важных анатомических образований. Наилучшие результаты лечения остеомиелита таза отмечаются в специализированных учреждениях, число которых явно не соответствует распространенности заболеваний [2, 9, 11].
Материал и методы
Опыт нашей клиники базируется на результатах обследования и лечения 223 больных остеомиелитом таза различного происхождения и локализации. Их возраст варьировал от 15 до 74 лет, при этом большинство составляли лица трудоспособного возраста. Мужчин было в 2,3 раза больше, чем женщин. Давность заболевания составляла от 1 года до 42 лет, у 3/4 больных - от 5 до 25 лет. Чаще остеомиелит имел гематогенное происхождение - 159 (71,3%) больных. Реже отмечался травматический остеомиелит в трех его основных формах: посттравматический - у 9 (4,1%) больных, послеоперационный - у 23 (10,3%) и огнестрельный - у 3 (1,3%) больных. У остальных 29 (13%) больных наблюдался контактный остеомиелит, развившийся при наличии пролежней.

Наиболее часто отмечали поражение подвздошной кости и крестцово-подвздошного сочленения (рис. 1). Рисунок 1. Частота поражения костей таза остеомиелитическим процессом. Реже имело место поражение лонной и седалищной костей. Характерной особенностью остеомиелита таза была множественная локализация патологического процесса с одновременным поражением нескольких костей - 83 (37,2%) наблюдения.
Картину сепсиса наблюдали у 54 (24,2%) больных остеомиелитом таза, что еще раз подчеркивает тяжесть этого заболевания.
Результаты и обсуждение
Остеомиелит таза нередко сопровождался формированием гнойных затеков в мягких тканях. Ввиду сложного анатомического строения данной области знание основных путей распространения инфекции оказывает существенное влияние на оперативное лечение, в том числе на выбор хирургического доступа. Условно все варианты гнойных затеков при остеомиелите таза можно разделить на внутри- и внетазовые. Внутритазовые затеки чаще встречались при поражении подвздошной кости и крестцово-подвздошного сочленения. Нередко они распространялись по ходу подвздошно-поясничной мышцы и сосудистого пучка, достигая бедра. Внетазовые затеки, как правило, находились под ягодичными мышцами. Зачастую затеки гноя вскрывались, образуя свищи с наиболее типичной локализацией наружного отверстия в ягодичной, подвздошной, паховой, лобковой областях. Нередко наружное отверстие свища располагалось далеко от остеомиелитического очага, создавая дополнительные диагностические трудности.
С практической точки зрения, важно, что любая локализация гнойного затека при остеомиелите таза не является строго специфичной. Одинаковое расположение гнойника может быть следствием остеомиелита различной локализации. Наряду с этим внутритазовые гнойники создают опасность прорыва гноя в мочевой пузырь, прямую кишку, влагалище с образованием внутренних свищей.
Диагностика остеомиелита таза основывалась на учете клинических данных и результатах инструментальных методов исследования. Клиническая картина заболевания, не отличаясь строгой специфичностью, тем не менее зависела от течения патологического процесса. При остром остеомиелите на первый план выступали боли в области таза той или иной локализации, нередко интенсивные, функциональные нарушения (особенно при формировании параоссальных гнойников), а также проявления системной воспалительной реакции. Похожая клиническая картина наблюдалась при обострении (рецидиве) хронического остеомиелита. Однако в этом случае диагностика заболевания существенно упрощалась с учетом существующего анамнеза. Хроническое течение остеомиелита таза сопровождалось функционирующими гнойными свищами различной локализации и, как правило, невыраженной клинической картиной. При этом если в случае острого остеомиелита клиническая картина во многом определялась происхождением патологического процесса (гематогенный, посттравматический, послеоперационный остеомиелит), то при хроническом течении эта разница в значительной степени стиралась. Длительное течение остеомиелита таза, неоднократные рецидивы болезни, повторные хирургические вмешательства зачастую приводили к деформации таза, нарушению походки.
Инструментальная диагностика остеомиелита таза явилась важнейшим звеном диагностического поиска. Информативность различных методов исследования зависела от давности заболевания и особенностей его течения. В раннем периоде развития острого гематогенного остеомиелита (до 2 нед) наиболее информативным необходимо признать радиоизотопное исследование, которое уже с первых суток заболевания способно обеспечить топический диагноз воспаления в костной ткани. Неоценимо оно и для диагностики полифокальной формы поражения.
В противовес этому возможности обзорной рентгенографии при остром гематогенном остеомиелите ограниченны, поскольку для развития структурных изменений в костной ткани требуется значительное время (от нескольких недель до нескольких месяцев). В последние годы все чаще для диагностики острого остеомиелита таза используется магнитно-резонансная томография (МРТ). Возможности метода позволяют детально оценить патологические изменения в параоссальных мягких тканях: инфильтрацию, деструкцию, гнойные затеки (рис. 2). Рисунок 2. Магнитно-резонансные томограммы при остеомиелите таза. Внутритазовый гнойник указан стрелкой. а - поперечный срез. Рисунок 2. Магнитно-резонансные томограммы при остеомиелите таза. Внутритазовый гнойник указан стрелкой. б - сагиттальный срез. К дополнительным методам диагностики острого остеомиелита таза относится ультразвуковое исследование (УЗИ), которое дает возможность выявить на ранней стадии заболевания отек и инфильтративные изменения в мышцах, а также жидкостные скопления.
Таким образом, в диагностике острого остеомиелита таза среди инструментальных методов исследования наиболее информативны остеосцинтиграфия и МРТ.
При хроническом процессе, сопровождающемся структурными изменениями костей таза, на первый план в диагностике выступают рентгенологические методы. Самые грубые изменения позволяет обнаружить обзорная рентгенография: очаги деструкции, периостит, остеосклероз, изменение ширины лонного и подвздошно-крестцового сочленений (рис. 3). Рисунок 3. Обзорная рентгенограмма таза больного с остеомиелитическим поражением крыла правой подвздошной кости и крестцово-подвздошного сочленения. Отдавая должное диагностическим возможностям обзорной рентгенографии таза при хроническом остеомиелите, нельзя не отметить, что порой они бывают недостаточными. Среди современных инструментальных методов исследования «золотым стандартом» диагностики хронического остеомиелита таза является компьютерная томография (КТ), позволяющая детализировать характер структурных изменений в костной ткани (рис. 4). Рисунок 4. Компьютерные томограммы таза больной с левосторонним гнойным сакроилеитом. а - поперечный срез: зона секвестрации в области крестцово-подвздошного сочленения. Рисунок 4. Компьютерные томограммы таза больной с левосторонним гнойным сакроилеитом. б - мультипланарная реконструкция: определяются деструктивные изменения в области крестцово-подвздошного сочленения. По сей день определенное значение в диагностике остеомиелита таза сохранила и обычная рентгеновская томография. Однако отметим, что ее возможности целиком и полностью перекрываются современной КТ.

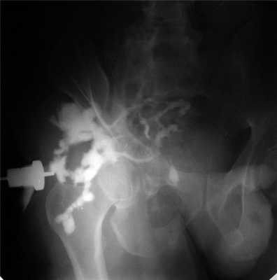
С учетом того, что остеомиелит таза часто сопровождается формированием наружных гнойных свищей, важное место в диагностике отводится фистулографии (рис. 5). Рисунок 5. Фистулограмма больного с остеомиелитом таза: множественные свищевые ходы и гнойные затеки. Использование водорастворимого рентгеноконтрастного вещества позволяет получить полную картину, характеризующую распространение свищевых ходов. Наиболее информативна фистулография в сочетании с КТ.
Инфекционный характер заболевания определил высокую значимость микробиологического исследования. Факт идентификации возбудителя патологического процесса имел важное значение в контексте проведения антибактериальной терапии. Как показали исследования, микробный пейзаж при остеомиелите таза характеризовался чрезвычайной вариабельностью и зависел от происхождения заболевания, наличия свищей, параоссальных гнойников, пролежней. При гематогенном остеомиелите, как остром, так и хроническом, наиболее частым возбудителем был золотистый стафилококк, выделяемый преимущественно в монокультуре. При посттравматическом и контактном остеомиелите чаще выделялась грамотрицательная микрофлора, нередко в ассоциациях. В ряде случаев эти микроорганизмы отличались полиантибиотикоустойчивостью, что отчасти являлось свидетельством длительности заболевания, суперинфекции и неэффективных попыток лечения на предыдущих этапах.
Лечение больных остеомиелитом таза включало применение комплекса мероприятий, среди которых первостепенную роль играл хирургический метод. Основные показания к оперативному лечению определялись наличием полостей деструкции в костной ткани, костных секвестров, параоссальных гнойников, гнойных свищей, язвенных дефектов и пролежней наряду с поражением подлежащей кости, малигнизацией тканей (как правило, свищей) в области остеомиелитического очага.
Все операции имели радикальный или паллиативный характер. Радикальные операции включали иссечение свищей, некрсеквестрэктомию в объеме резекции кости, санацию и дренирование костной полости. В ряде наблюдений (чаще всего при контактном остеомиелите у больных с пролежнями) важнейшей составляющей хирургического лечения были кожно-пластические операции, преследующие цель закрыть дефект мягких тканей над костью полнослойным кожным лоскутом (кожно-фасциальным или кожно-мышечным).
Характер остеонекрэктомии был различным и определялся распространенностью и локализацией патологического процесса. Чаще это была резекция крыла, тела подвздошной кости, лобковых костей, лонного симфиза, вертлужной впадины, крестцово-подвздошного сочленения.
Паллиативные операции - вскрытие параоссальных флегмон, хронических гнойников, неадекватно дренирующихся через свищ, выполняли как этап подготовки к предстоящей радикальной операции, либо как единственный вариант хирургического лечения при наличии противопоказаний к радикальной операции. Хирургическое лечение дополняли антибактериальной, дезинтоксикационной, гемо- и иммунокорригирующей (по показаниям) терапией. Принципиальным положением антибактериальной терапии хронического остеомиелита таза стал отказ от применения антибиотиков в период подготовки больного к хирургическому вмешательству. Исключение составляли больные с обострением остеомиелита, выраженной перифокальной и общей воспалительной реакцией.
Одним из важнейших вопросов хирургического лечения остеомиелита таза бесспорно считается выбор адекватного хирургического доступа. Его особенности при данной локализации остеомиелитического поражения часто связаны со сложностью доступа к очагам, большим массивом мягких тканей, расположенных по соседству с внутренними органами и важными анатомическими образованиями (сосудистые пучки, нервные стволы). С учетом всего сказанного выше можно утверждать, что хирургический доступ к очагу при остеомиелите таза должен соответствовать ряду требований, среди которых наиболее значимыми являются следующие: возможность адекватной ревизии патологического очага и выполнения радикальной остеонекрэктомии, анатомичность, минимальная травматичность.

Авторской разработкой клиники является вариант хирургического лечения гнойного сакроилеита. Особенность данной локализации остеомиелита таза состоит в том, что зачастую гнойное поражение сочленения, имеющего максимальную толщину несколько сантиметров в проксимальных отделах, приводит к возникновению гнойных свищей и гнойных полостей как вне-, так и внутритазовой локализации. Резекция крестцово-подвздошного сочленения может сопровождаться формированием сквозного дефекта, схема дренирования которого представлена на рис. 6. Рисунок 6. Схема операции при гнойном сакроилеите из комбинированного доступа. Наиболее рациональным в этом случае будет комбинированный доступ: внетазовый с рассечением ягодичных мышц (как можно ближе к месту их прикрепления к тазовым костям), дополняемый внутритазовым внебрюшинным доступом к сочленению с кожным разрезом по краю гребня крыла подвздошной кости (дугообразный разрез между передней и задней верхними остями). Данный доступ позволяет выполнить адекватную хирургическую обработку патологического очага и эффективно дренировать его с использованием проточно-аспирационной системы.
Особенностью хирургического лечения контактного остеомиелита крестца и седалищных костей у больных с пролежнями является необходимость замещения дефекта мягких тканей над пораженной костью. Как правило, длительно существующие пролежни IV степени (по классификации Agency for Health Care Policy and Research, 1992 г.) приводят не только к развитию контактного остеомиелита подлежащей кости, но и к выраженным рубцовым изменениям мягких тканей, существенно снижающим их репаративные способности. Обязательным условием успешного проведения операции в этом случае будут: радикальная остеонекрэктомия, иссечение всех рубцово-измененных окружающих мягких тканей, пластика раны перемещенным полнослойным кожным лоскутом. С учетом длительности, травматичности данного хирургического вмешательства, существенной интраоперационной кровопотери подобные операции мы выполняли преимущественно больным молодого и среднего возраста с последствиями спинальной травмы. При контактном остеомиелите крестца или седалищной кости (бугра) остеонекрэктомию производили тангенциальным способом, послойно удаляя нежизнеспособную кость. Тщательно иссекали все рубцовые ткани. Пластику мягкотканного дефекта в крестцовой области проводили путем ротации сформированного рядом с раной ягодичного кожно-фасциального лоскута на постоянной питающей ножке. Подлоскутное пространство дренировали с помощью трубки, выведенной через контрапертуру и подключенной к системе активной аспирации.
При лечении остеомиелита седалищной кости на фоне пролежней мягкотканную подушку над седалищным бугром создавали в двух основных вариантах: 1) с помощью перемещения большой ягодичной мышцы; 2) путем перемещения m. gracilis. В первом случае мобилизовывали нижний край большой ягодичной мышцы, перемещали вниз и фиксировали к надкостнице таким образом, чтобы закрыть седалищную кость. Методика с использованием m. gracilis предполагала выделение мышцы из отдельного разреза на внутренней поверхности бедра, пересечение ее в дистальном отделе, мобилизацию. Подобным образом формировали мышечный лоскут на проксимальной питающей ножке, который ротировали, проводили через тоннель под фасцией и фиксировали к надкостнице седалищной кости, закрывая ее бугор. Ввиду небольших потерь кожи при этом типе пролежней кожную пластику не применяли, края раны ушивали без натяжения. Обязательным условием последующей реабилитации этих больных было строгое дозирование нагрузок на зону хирургического вмешательства, не допускающее некроза и изъязвления мягких тканей и, как следствие, рецидива остеомиелита.
Ближайшие и отдаленные результаты лечения остеомиелита таза оценены в сроки до 23 лет после операции. Основным критерием эффективности проведенного лечения стала ликвидация остеомиелитического процесса (стойкая ремиссия). Хорошие ближайшие результаты лечения (до 2-х лет) после операции отмечены в 86,3%, хорошие отдаленные результаты (от 2 до 23 лет) - в 72,4% наблюдений.
Таким образом, остеомиелит таза является сложным и многоплановым хирургическим заболеванием, включающим целую группу различающихся по патогенезу заболеваний. Трудности их диагностики и лечения связаны в первую очередь с особенностями анатомического строения костей таза и иногда с трудностями доступа к остеомиелитическим очагам. Только комплексный и дифференцированный подход к проблеме остеомиелита таза позволит добиться положительных результатов лечения больных.
Лечение остеомиелита основания черепа - лекарства, операция
Кафедра общей хирургии Московской медицинской академии им. И.М. Сеченова, ГКБ №23 им. «Медсантруд», Москва
Кафедра общей хирургии Первого Московского государственного медицинского университета им. И.М. Сеченова
Кафедра общей хирургии лечебного факультета Первого Московского государственного медицинского университета им. И.М. Сеченова
Диагностика и лечение остеомиелита костей черепа.
Журнал: Хирургия. Журнал им. Н.И. Пирогова. 2012;(12): 62‑64
Липатов К.В., Комарова Е.А., Введенская О.В., Догузова Н.В. Диагностика и лечение остеомиелита костей черепа.. Хирургия. Журнал им. Н.И. Пирогова. 2012;(12):62‑64.
Lipatov KV, Komarova EA, Vvedenskaia OV, Doguzova NV. Diagnostics and treatment of cranial ostheomyelitis. Pirogov Russian Journal of Surgery = Khirurgiya. Zurnal im. N.I. Pirogova. 2012;(12):62‑64. (In Russ.).
Остеомиелит представляет собой гнойное или гнойно-некротическое поражение костной ткани, костного мозга, надкостницы, окружающих мягких тканей и принципиально может поражать любую кость, однако наиболее часто в воспалительный процесс вовлекаются длинные трубчатые кости [2]. Остеомиелит костей черепа - редкое заболевание, распространенность его составляет 1,5%, а среди наблюдений остеомиелита плоских костей - 3% [5, 6]. По данным зарубежных авторов, ежегодно регистрируется от 57 до 95 наблюдений остеомиелита черепа [5]. Летальность при возникновении интракраниальных осложнений достигает 20-40% [1, 8]. Недостаточность клинического опыта, особенности строения и расположения костей черепа (губчатая структура кости, соседство с важными анатомическими структурами и головным мозгом, небольшой массив покрывающих кости мягких тканей) приводят к определенным трудностям в диагностике и лечении остеомиелита черепа. Ранняя диагностика и адекватное лечение данного заболевания позволят предотвратить развитие неврологических осложнений и существенно уменьшить летальность.
Причиной остеомиелита черепа могут быть осложненная травма, перенесенное оперативное вмешательство на костях черепа, гнойные заболевания мягких тканей головы и придаточных пазух носа 5. Гематогенный остеомиелит черепа возникает крайне редко по причине устойчивости к инфекции плоских костей. Предрасполагающими факторами развития остеомиелита черепа, ведущими к снижению васкуляризации кости, являются сахарный диабет, анемия, диспротеинемия, воздействие ионизирующего излучения, опухолевое поражение кости, остеопороз, болезнь Педжета 7. Остеомиелит черепа может наблюдаться в любом возрасте, но преимущественно им страдают дети и молодые люди. Наиболее часто поражаются лобная, височная и теменная кости [1, 3]. Остеомиелит черепа протекает в острой, подострой и хронической формах, характеризующихся определенными клиническими и структурными изменениями [3]. При этом в зависимости от характера и распространенности патологического процесса различают поверхностный и глубокий остеомиелит, последний подразделяется на ограниченный и диффузный [3]. Поверхностная форма остеомиелита черепа характеризуется вовлечением в патологический процесс поверхностной костной пластинки, в то время как при глубоких остеомиелитах поражаются все слои кости. Поражение наружной костной пластинки часто приводит к формированию поднадкостничного абсцесса, который при расплавлении надкостницы становится подапоневротическим, а затем и подкожным. Поражение внутренней костной пластинки делает возможным распространение гнойно-септического процесса на оболочки и вещество мозга, что обусловливает возникновение зачастую фатальных интракраниальных осложнений в виде менингита, абсцесса мозга, тромбоза синусов, менингита. Диффузные формы глубоких остеомиелитов возникают, как правило, при тромбофлебите диплоических вен, что приводит к «метастазированию» инфекции и обширному поражению кости 1.
Клиническая картина остеомиелита черепа зависит от этиологии, распространенности и характера патологического процесса и характеризуется преобладанием местных воспалительных изменений. Поражение наружной костной пластинки характеризуется отеком мягких тканей и формированием подкожного или подапоневротического абсцесса, глубокой - локальной головной болью, болезненностью при постукивании по пораженной области [1, 4]. Хронический остеомиелит черепа нередко проявляется формированием свища. При возникновении внутричерепных осложнений присоединяются общемозговая и очаговая симптоматика, выраженные признаки интоксикации, ухудшается общее состояние больного.
Рентгенологическая картина остеомиелита черепа проявляется лишь по прошествии 2-3 нед от начала заболевания, позволяет диагностировать преимущественно грубые изменения и характеризуется неоднородностью костной структуры при остром процессе и утолщением, секвестрацией, нечеткостью контуров, дефектом кости в случае хронизации [2, 5]. В связи с определенными недостатками метода на современном этапе целесообразно использовать компьютерную и магнитно-резонансную томографию, позволяющую выявить структурные изменения кости и окружающих мягких тканей даже на ранних стадиях заболевания.
Лечение остеомиелита черепа подразделяется на хирургическое и общее. Радикальное оперативное лечение проводят при условии стихания воспалительного процесса, оно заключается в остеонекрэктомии и хирургической обработке окружающих мягких тканей. При поверхностном остеомиелите кусачками удаляют пораженную кость до ее неизмененных структур, рану санируют растворами антисептиков, дренируют и ушивают наглухо.
В случае глубокого остеомиелита широко обнажают остеомиелитический очаг, удаляют секвестры наружной и внутренней костных пластинок, скусывают пораженные края кости до визуально неизмененных тканей, проводят ревизию эпидурального пространства и удаляют все гнойные грануляции с поверхности твердой мозговой оболочки, рану дренируют и ушивают наглухо. Краниопластику производят не ранее чем через 6 мес при условии отсутствия прогрессирования воспалительного процесса в кости [1, 3, 7]. Хирургическое лечение дополняют антибактериальной, дезинтоксикационной, корригирующей терапией.
Приводим клиническое наблюдение.
Больной Я., 22 лет, поступил в клинику с направляющим диагнозом: нагноившаяся атерома лобной области. При поступлении предъявлял жалобы на отек лица, наличие болезненного уплотнения в области лба. Из анамнеза: считает себя больным в течение 2 сут, когда без видимой причины отметил появление описанных выше жалоб. Данное заболевание - впервые, ранее никаких изменений в лобной области не отмечал. В детстве перенес ушиб области лба, за медицинской помощью не обращался. При поступлении общее состояние удовлетворительное. Температура тела 37 °С. В области лба слева на границе с волосистой частью головы имеется умеренно болезненный инфильтрат плотной консистенции размером 3×1,5 см, кожные покровы над ним не изменены. Симптом флюктуации отрицательный. Лабораторных признаков воспаления не выявлено. Так как на момент поступления убедительные данные, свидетельствующие о процессе, отсутствовали, начата антибактериальная, противовоспалительная терапия. Однако в ходе динамического наблюдения (в течение суток от момента госпитализации) отмечена отрицательная динамика со стороны местного статуса в виде прогрессирования воспалительных явлений, в связи с чем больной оперирован в экстренном порядке: под внутривенным наркозом произведено вскрытие гнойника. Интраоперационно выявлен подкожно расположенный гнойник объемом до 20 мл, в дне раны имелся дефект наружной костной пластинки лобной кости с неровными краями, лишенный надкостницы, диаметром до 2 см. Произведены биопсия кости и посев со стенок гнойника. Операция завершена санацией и дренированием раны салфетками, смоченными антисептическим раствором. С учетом интраоперационных данных в раннем послеоперационном периоде больному с целью уточнения диагноза выполнена компьютерная томография черепа (см. рисунок), Рисунок 1. Компьютерная томограмма черепа. а - сагиттальный срез: дефект лобной кости с деструкцией наружной и внутренней пластинок. Рисунок 1. Компьютерная томограмма черепа. б - фронтальный срез: остеомиелит лобной кости с разрушением наружной костной пластинки, абсцесс мягких тканей головы. Рисунок 1. Компьютерная томограмма черепа. в - горизонтальный срез: сквозной дефект лобной кости. Рисунок 1. Компьютерная томограмма черепа. г - фронтальный срез: деструкция лобной кости с разрушением внутренней костной пластинки. Рисунок 1. Компьютерная томограмма черепа. д - трехмерная реконструкция: сквозной дефект лобной кости. при которой выявлена деструкция лобной кости в виде сквозного костного дефекта размером 19×15 мм, что требовало проведения дифференциальной диагностики между остеомиелитом и новообразованием лобной кости. Выполнена сцинтиграфия скелета, при которой выявлен единственный очаг гиперфиксации радиофармпрепарата в лобной области слева. В ходе патогистологического исследования обнаружены кровоизлияния и признаки острого воспаления в костной ткани. Таким образом, на основании клинико-анамнестических, интраоперационных и ряда инструментальных данных у больного установлен диагноз гематогенного остеомиелита лобной кости, параоссального абсцесса. В послеоперационном периоде на фоне антибактериальной (с учетом данных антибиотикограммы), противовоспалительной терапии, местного лечения достигнута положительная динамика в течении раневого процесса, полностью ликвидированы воспалительные явления. Больной выписан под амбулаторное наблюдение хирургом с рекомендацией консультации нейрохирурга для решения вопроса о радикальном хирургическом лечении.
Приведено наблюдение острого гематогенного остеомиелита лобной кости у молодого человека, не отягощенного хроническими заболеваниями. Гематогенный характер патологического процесса установлен с помощью исключения других возможных путей попадания инфекции в кость. Клиническая картина заболевания не позволяла установить диагноз остеомиелита лобной кости в предоперационном периоде, однако и не соответствовала полностью локальному гнойному процессу в мягких тканях лобной области. В качестве дополнительного инструментального метода исследования с целью уточнения диагноза мы использовали компьютерную томографию, позволившую детально изучить изменения кости. Онкологическая настороженность потребовала выполнения также сцинтиграфии скелета и гистологического исследования. Комплексное консервативное лечение, проводимое в послеоперационном периоде, позволило добиться полной ликвидации воспалительных явлений и перехода раневого процесса во вторую фазу. Радикальное хирургическое лечение предпочтительнее выполнять в условиях отделения нейрохирургии при полном стихании воспалительного процесса, в связи с чем пациенту рекомендована консультация нейрохирурга.
Таким образом, распространенность остеомиелита черепа невелика, однако топографоанатомические особенности данной области, опасность интракраниальных осложнений диктуют необходимость своевременной диагностики и адекватного лечения данного заболевания. Ранняя диагностика остеомиелита черепа с привлечением современных инструментальных методов обследования, радикальная хирургическая обработка в сочетании с рациональной антибиотикотерапией позволят значительно улучшить результаты лечения таких больных.
Посттравматический остеомиелит
Посттравматический остеомиелит - это гнойное воспаление всех элементов кости, возникшее в результате травмы. Как правило, вызывается золотистым стафилококком, попадающим в рану непосредственно в момент повреждения, во время операции или последующих перевязок. Обычно протекает хронически, но возможно и острое течение. Проявляется повышением температуры, лейкоцитозом, болями и признаками воспаления в области травмы. При хроническом течении образуются свищи. Диагноз выставляется с учетом клинических данных и результатов рентгенографии. Лечение - антибиотикотерапия, вскрытие и дренирование гнойных очагов.
МКБ-10



Общие сведения
Посттравматический остеомиелит (от лат. osteon кость + myelos костный мозг + itis воспаление) - одно из самых серьезных осложнений, возникающих после открытых повреждений скелета и операций на костях. По различным данным в 15-49% случаев развивается после открытых переломов и в 3% случаев - после хирургических вмешательств. Может выявляться у лиц любого пола и возраста. Вероятность возникновения увеличивается при тяжелых повреждениях с разрушением костей и обширным повреждением мягких тканей, интенсивном микробном загрязнении, несвоевременной или неадекватной хирургической обработке, наличии сопутствующих травм и заболеваний, снижающих сопротивляемость организма и утяжеляющих общее состояние больного.

Причины
Причинами развития посттравматического остеомиелита при открытых переломах являются обширные поражения окружающих кость мягких тканей, интенсивное загрязнение раны, недостаточно радикальная или слишком поздняя первичная хирургическая обработка и отсутствие дренажа для оттока содержимого. Кроме того, вероятность нагноения возрастает в случаях, когда кость расположена близко к коже и плохо защищена мягкими тканями (например, передневнутренняя боковая поверхность большеберцовой кости).
Послеоперационный остеомиелит связан с инфицированием раны в процессе операции. Предполагается, что увеличение количества нагноений после хирургических вмешательств в последние годы обусловлено широким распространением остеосинтеза, а также появлением новых штаммов болезнетворных микроорганизмов, устойчивых к действию антибиотиков.
Факторами, увеличивающими риск развития остеомиелита после операций, являются:
- чрезмерная травматизация мягких тканей
- нестабильный или недостаточный остеосинтез
- коррозия металлоконструкций
- наличие очагов скрытой инфекции в организме пациента.
Разновидностью данной формы остеомиелита является спицевой остеомиелит - локальное нагноение кости при установке аппарата Илизарова или наложении
Патанатомия
Все виды посттравматического остеомиелита являются не местным процессом, а заболеванием всего организма, поскольку возникают под влиянием комбинации общих и местных факторов и вызывают поражение различных органов и систем, в том числе - расположенных далеко от гнойного очага. При остеомиелите воспаляются все элементы кости: костный мозг, надкостница и компактное вещество, а также окружающие мягкие ткани, однако первичное воспаление обусловлено попаданием патогенных микроорганизмов в костный мозг.
У больных с открытыми повреждениями костей при нагноении зона воспаления, как правило, ограничивается областью перелома, иногда развиваются краевые остеомиелиты. При обширных дефектах кожи и многооскольчатых переломах наблюдаются обширные гнойные процессы, захватывающие как всю кость, так и окружающие мягкие ткани. При посттравматическом остеомиелите воспаление локализуется в области хирургического вмешательства, гнойный процесс распространяется по ходу металлоконструкции (штифта, гвоздя, пластины).
Классификация
В современной травматологии и ортопедии выделяют следующие разновидности посттравматического остеомиелита:
- Собственно посттравматический - развивающийся при открытых переломах.
- Огнестрельный - возникающий после огнестрельных ранений.
- Посттравматический - развивающийся после операций.

КТ стопы. Посттравматический хронический остеомиелит пяточной кости с наличием секвестра (красная стрелка) и свищевого хода (синяя стрелка).
Симптомы посттравматического остеомиелита
Для патологии характерно хроническое течение (хронический остеомиелит). Наблюдается повышение температуры, по анализам крови выявляется нарастающий лейкоцитоз. Область раны отечна, гиперемирована, болезненна, из раны выделяется гной. После вскрытия и дренирования воспалительные явления стихают, количество гнойного отделяемого уменьшается, в области послеоперационной раны формируется свищ без тенденции к самостоятельному заживлению. При остром варианте посттравматического остеомиелита отмечаются интенсивные боли, повышение температуры до фебрильных цифр, явления общей интоксикации, значительный отек, ускорение СОЭ, выраженный лейкоцитоз и нарастающая анемия.
Диагностика
Диагноз выставляется врачом-травматологом на основании клинических симптомов. Первые рентгенологические признаки появляются лишь спустя месяц после начала заболевания. На снимках выявляется изъеденность концов костных отломков, секвестры и очаги деструкции, а также остеопороз вокруг металлоконструкций (при их наличии). При огнестрельном остеомиелите наблюдается сужение костномозгового канала, более выраженные периостальные наслоения и зона остеосклероза. Возможно наличие костных полостей. В окружающих мягких тканях иногда видны металлические осколки.

МРТ стопы. Остеомиелит таранной и большеберцовой кости с наличием обширной зоны деструкции костной ткани.
Лечение посттравматического остеомиелита
Основной задачей лечения является полная ликвидация гнойного очага и устранение воспаления. Основной метод лечения оперативный - вскрытие и дренирование. Вопрос об удалении металлоконструкций решается в индивидуальном порядке. При локализованных формах возможно сохранение остеосинтеза. При нагноении по ходу внутрикостных штифтов показано их удаление с последующим монтажом аппарата Илизарова. Во время хирургического вмешательства используют внутривенное или внутрикостное введение антибиотиков.
Для обеспечения устойчивого оттока устанавливают системы активного дренирования, производят постоянную аспирацию раневого отделяемого. Область нагноения орошают нитрофурановыми препаратами или антибиотиками. Все лечебные мероприятия осуществляют на фоне антибиотикотерапии, проводимой с учетом чувствительности возбудителя. При обширных очагах нагноения и выраженной общей интоксикации антибиотики вводят внутривенно или внутриартериально. Применяют иммобилизацию и УВЧ-терапию.
Прогноз и профилактика
Прогноз при посттравматическом остеомиелите зависит от тяжести поражения, своевременности и достаточной радикальности лечения, возраста больного, наличия сопутствующих травм и заболеваний и т. д. Исходом может стать костный дефект, ложный сустав, укорочение или угловая деформация конечности. Возможно образование длительно незаживающих свищей. Из-за подвижности фрагментов в области повреждения инфекция часто распространяется по кости, что затрудняет стабилизацию перелома и препятствует консолидации отломков.
Вероятность полного выздоровления уменьшается при застарелых формах посттравматического остеомиелита, что обусловлено нарушениями трофики, дистрофией кости и дефицитом полноценных мягких тканей в области гнойного очага. Профилактика заключается в предупреждении травм, ранней адекватной обработке ран и открытых переломов, обоснованном проведении хирургических вмешательств, соблюдении техники операций.
3. Остеомиелит: клинические рекомендации / Общероссийская общественная организация Ассоциация травматологов-ортопедов России (АТОР) - 2016
Остеомиелит
Остеомиелит - воспаление костного мозга, при котором обычно поражаются все элементы кости (надкостница, губчатое и компактное вещество). В зависимости от этиологии остеомиелита он подразделяется на неспецифический и специфический (туберкулезный, сифилитический, бруцеллезный и т. п.); посттравматический, гематогеный, послеоперационный, контактный. Клиническая картина зависит от вида остеомиелита и его формы (острая или хроническая). Основу лечения острого остеомиелита составляет вскрытие и санация всех гнойников, при хроническом остеомиелите - удаление полостей, свищей и секвестров.


Остеомиелит (от лат. osteon кость + myelos костный мозг + itis воспаление) - воспаление костного мозга, при котором обычно поражаются все элементы кости (надкостница, губчатое и компактное вещество). По статистике, остеомиелит после травм и операций составляет 6,5% всех болезней опорно-двигательного аппарата. Чаще поражает бедренную и плечевую кость, кости голени, позвонки, нижнечелюстные суставы и верхнюю челюсть. После открытых переломов диафиза трубчатых костей посттравматический остеомиелит возникает в 16,3% случаев. Мужчины болеют остеомиелитом чаще женщин, дети и пожилые - чаще людей молодого и среднего возраста.
Выделяют неспецифический и специфический остеомиелит. Неспецифический остеомиелит вызывают гноеродные бактерии: золотистый стафилококк (90% случаев), стрептококк, кишечная палочка, реже - грибки. Специфический остеомиелит возникает при туберкулезе костей и суставов, бруцеллезе, сифилисе и т. д.
В зависимости от пути, которым микробы проникают в кость, различают эндогенный (гематогенный) и экзогенный остеомиелит. При гематогенном остеомиелите возбудители гнойной инфекции заносятся через кровь из удаленного очага (фурункул, панариций, абсцесс, флегмона, инфицированная рана или ссадина, тонзиллит, синусит, кариозные зубы и пр.). При экзогенном остеомиелите инфекция проникает в кость при ранении, операции или распространяется с окружающих органов и мягких тканей.
В начальных стадиях экзогенный и эндогенный остеомиелит различаются не только по происхождению, но и по проявлениям. Затем отличия сглаживаются и обе формы болезни протекают одинаково. Выделяют следующие формы экзогенного остеомиелита:
- посттравматический (после открытых переломов);
- огнестрельный (после огнестрельных переломов);
- послеоперационный (после проведения спиц или операций на костях);
- контактный (при переходе воспаления с окружающих тканей).
Как правило, остеомиелит вначале протекает остро. В благоприятных случаях заканчивается выздоровлением, в неблагоприятных - переходит в хронический. При атипичных формах остеомиелита (абсцессе Броди, альбуминозном остеомиелите Оллье, склерозирующем остеомиелите Гарре) и некоторых инфекционных болезнях (сифилисе, туберкулезе и др.) острая фаза воспаления отсутствует, процесс носит первично-хронический характер.
Острый остеомиелит
Проявления острого остеомиелита зависят от пути проникновения инфекции, общего состояния организма, обширности травматического поражения кости и окружающих мягких тканей. На рентгенограммах изменения видны спустя 2-3 недели с начала заболевания.
Гематогенный остеомиелит
Как правило, развивается в детском возрасте, причем треть пациентов заболевает в возрасте до 1 года. Достаточно редкие случаи развития гематогенного остеомиелита у взрослых на самом деле являются рецидивами болезни, перенесенной в детском возрасте. Чаще поражает большеберцовую и бедренную кости. Возможно множественное поражение костей.
Из удаленного очага воспаления (абсцесс мягких тканей, флегмона, инфицированная рана) микробы с кровью разносятся по организму. В длинных трубчатых костях, особенно - в их средней части хорошо развита широкая сеть сосудов, в которой скорость кровотока замедляется. Возбудители инфекции оседают в губчатом веществе кости. При неблагоприятных условиях (переохлаждение, снижение иммунитета) микробы начинают усиленно размножаться, развивается гематогенный остеомиелит. Выделяют три формы заболевания:
Септико-пиемическая форма. Характерно острое начало и выраженная интоксикация. Температура тела поднимается до 39—40°, сопровождается ознобом, головной болью и повторной рвотой. Возможны потеря сознания, бред, судороги, гемолитическая желтуха. Лицо больного бледное, губы и слизистые оболочки синюшны, кожа сухая. Пульс учащенный, давление снижено. Селезенка и печень увеличиваются, иногда развивается бронхопневмония.
На 1-2 сутки болезни появляется точно локализованная, резкая, сверлящая, распирающая или рвущая, усиливающаяся при малейших движениях боль в области поражения. Мягкие ткани конечности отечны, кожа горячая, красная, напряженная. При распространении на близлежащие суставы развивается гнойный артрит.
Через 1-2 недели в центре поражения формируется очаг флюктуации (жидкость в мягких тканях). Гной проникает в мышцы, образуется межмышечная флегмона. Если флегмону не вскрыть, она может вскрыться самостоятельно с образованием свища или прогрессировать, приводя к развитию параартикулярной флегмоны, вторичного гнойного артрита или сепсиса.
Местная форма. Общее состояние страдает меньше, иногда остается удовлетворительным. Преобладают признаки местного воспаления кости и мягких тканей.
Адинамическая (токсическая) форма. Встречается редко. Характеризуется молниеносным началом. Преобладают симптомы острого сепсиса: резкое повышение температуры, тяжелый токсикоз, судороги, потеря сознания, выраженное снижение артериального давления, острая сердечно-сосудистая недостаточность. Признаки костного воспаления слабые, появляются поздно, что затрудняет постановку диагноза и проведение лечения.
Посттравматический остеомиелит
Возникает при открытых переломах костей. Развитию болезни способствует загрязнение раны в момент травмы. Риск развития остеомиелита увеличивается при оскольчатых переломах, обширных повреждениях мягких тканей, тяжелых сопутствующих повреждениях, сосудистой недостаточности, снижении иммунитета.
Посттравматический остеомиелит поражает все отделы кости. При линейных переломах зона воспаления обычно ограничена местом перелома, при оскольчатых переломах гнойный процесс склонен к распространению. Сопровождается гектической лихорадкой, выраженной интоксикацией (слабость, разбитость, головная боль и т. д.), анемией, лейкоцитозом, повышением СОЭ. Ткани в области перелома отечны, гиперемированы, резко болезненны. Из раны выделяется большое количество гноя.

Огнестрельный остеомиелит
Чаще возникает при обширных поражениях костей и мягких тканей. Развитию остеомиелита способствует психологический стресс, снижение сопротивляемости организма и недостаточная обработка раны.
Общие симптомы сходны с посттравматическим остеомиелитом. Местная симптоматика при остром огнестрельном остеомиелите нередко выражена слабо. Отек конечности умеренный, обильное гнойное отделяемое отсутствует. О развитии остеомиелита свидетельствует изменение раневой поверхности, которая становится тусклой и покрывается серым налетом. В последующем воспаление распространяется на все слои кости.
Несмотря на наличие очага инфекции, при огнестрельном остеомиелите обычно наступает сращение кости (исключение - значительная раздробленность кости, большое смещение отломков). При этом гнойные очаги оказываются в костной мозоли.
Послеоперационный остеомиелит
Является разновидностью посттравматического остеомиелита. Возникает после операций по остеосинтезу закрытых переломов, ортопедических операций, проведения спиц при наложении компрессионно-дистракционных аппаратов или наложении скелетного вытяжения (спицевой остеомиелит). Как правило, развитие остеомиелита вызвано несоблюдением правил асептики или большой травматичностью операции.
Контактный остеомиелит
Возникает при гнойных процессах окружающих кость мягких тканей. Особенно часто инфекция распространяется с мягких тканей на кость при панариции, абсцессах и флегмонах кисти, обширных ранах волосистой части головы. Сопровождается увеличением отека, усилением болей в области повреждения и образованием свищей.
Лечение
Только в стационаре в отделении травматологии. Выполняют иммобилизацию конечности. Проводят массивную антибиотикотерапию с учетом чувствительности микроорганизмов. Для уменьшения интоксикации, восполнения объема крови и улучшения местного кровообращения переливают плазму, гемодез, 10% раствор альбумина. При сепсисе применяют методы экстракорпоральной гемокоррекции: гемосорбцию и лимфосорбцию.
Обязательным условием успешного лечения острого остеомиелита является дренирование гнойного очага. На ранних стадиях в кости делают трепанационные отверстия с последующим промыванием растворами антибиотиков и протеолитических ферментов. При гнойных артритах выполняют повторные пункции сустава для удаления гноя и введения антибиотиков, в некоторых случаях показана артротомия. При распространении процесса на мягкие ткани образовавшиеся гнойники вскрывают с последующим открытым промыванием.
Хронический остеомиелит
При небольших очагах воспаления, комплексном и своевременном лечении, преимущественно у молодых пациентов восстановление костной ткани преобладает над ее разрушением. Очаги некроза полностью замещаются вновь образованной костью, наступает выздоровление. Если этого не произошло (примерно в 30% случаев), острый остеомиелит переходит в хроническую форму.
Примерно к 4 неделе при всех формах острого остеомиелита происходит секвестрация - образование омертвевшего участка кости, окруженного измененной костной тканью. На 2-3 месяц заболевания секвестры окончательно отделяются, на месте разрушения кости формируется полость и процесс становится хроническим.
Симптомы
При переходе острого остеомиелита в хронический состояние пациента улучшается. Боли уменьшаются, становятся ноющими. Формируются свищевые ходы, которые могут выглядеть, как сложная система каналов и выходить на поверхность кожи далеко от места повреждения. Из свищей выделяется умеренное количество гнойного отделяемого.
В период ремиссии состояние пациента удовлетворительное. Боли исчезают, отделяемое из свищей становится скудным. Иногда свищи закрываются. Продолжительность ремиссии при остеомиелите колеблется от нескольких недель до нескольких десятков лет, зависит от общего состояния и возраста больного, локализации очага и т. д.
Развитию рецидива способствуют сопутствующие заболевания, снижение иммунитета и закрытие свища, приводящее к скоплению гноя в образовавшейся костной полости. Рецидив болезни напоминает стертую картину острого остеомиелита, сопровождается гипертермией, общей интоксикацией, лейкоцитозом, повышением СОЭ. Конечность становится болезненной, горячей, краснеет и отекает. Состояние пациента улучшается после открытия свища или вскрытия гнойника.

Осложнения
Хронический остеомиелит часто осложняется переломами, образованием ложных суставов, деформацией кости, контрактурами, гнойным артритом, малигнизацией (злокачественным перерождением тканей). Постоянно существующий очаг инфекции влияет на весь организм, вызывая амилоидоз почек и изменения внутренних органов. В период рецидива и при ослаблении организма возможен сепсис.
Диагностика
Постановка диагноза при хроническом остеомиелите в большинстве случаев не вызывает затруднений. Для подтверждения проводят МРТ, КТ или рентгенографию. Для выявления свищевых ходов и их связи с остеомиелитическим очагом выполняют фистулографию.
Операция показана при наличии остеомиелитических полостей и язв, гнойных свищей, секвестров, ложных суставах, частых рецидивах с интоксикацией, выраженной болью и нарушением функции конечности, малигнизации, нарушении деятельности других органов и систем вследствие хронической гнойной инфекции.
Выполняют некрэктомию (секвестрэктомию) - удаление секвестров, грануляций, остеомиелитических полостей вместе с внутренними стенками и иссечение свищей с последующим промывным дренированием. После санации полостей проводят костную пластику.
4. Острый остеомиелит: клинический протокол/ Экспертная комиссия по вопросам развития здравоохранения - 2013
Гнойная костная патология
Хронический остеомиелит - это заболевание, характеризующееся наличием гнойно-некротического очага в кости со свищом (или без него), длительно существующее и не склонное, как правило, к самозаживлению.
Этап: стационар
Код (коды) по МКБ-10:
Т84 Осложнения, связанные с внутренними ортопедическими протезными устройствами, имплантатами и трансплантатами

Автоматизация клиники: быстро и недорого!
- Подключено 300 клиник из 4 стран
- 800 RUB / 4500 KZT / 27 BYN - 1 рабочее место в месяц

Автоматизация клиники: быстро и недорого!
- Подключено 300 клиник из 4 стран
- 1 место - 800 RUB / 4500 KZT / 27 BYN в месяц
Мне интересно! Свяжитесь со мной
- гематогенный остеомиелит;
- огнестрельный остеомиелит;
- посттравматический неогнестрельный остеомиелит;
- наружно-внутренний (скелетное вытяжение, компрессионно-дистракционный остеосинтез спицами, стержнями);
1. Остеомиелит с очаговым поражением кости (остит, остеомиелит, ограниченный зоной оперативного вмешательства).
2. Остеомиелит с распространением по ходу костно-мозгового канала на ограниченном протяжении, по всему костно-мозговому каналу.
3. В сочетании с местными осложнениями (ложные суставы, несросшиеся переломы, артриты или остеоартриты, рубцы и язвы).
В зависимости от тяжести течения заболевания, скорости развития патологического процесса, его распространенности различают три формы острого гематогенного остеомиелита: токсическую (молниеносную), септикопиемическую и местноочаговую.
Жалобы и анамнез: повышение температуры, распирающие боли, ограничение движений, гиперемия кожи и повышение местной температуры.
Физикальное обследование
Распирающие боли, ограничение движений - стадия остита.
Опухолевидное образование, болезненное при пальпации - стадия поднадкостничной флегмоны.
Гиперемия кожи и повышение местной температуры - стадия флегмоны мягких тканей.
Лабораторные исследования
В крови - лейкоцитоз со сдвигом формулы влево, абсолютная лимфопения, повышение СОЭ.
В моче - белок, цилиндры и эритроциты, при присоединении пиелонефрита лейкоциты и бактерии.
Инструментальные исследования: на рентгенограммах первые признаки острого гематогенного остеомиелита появляются через 1-3 недели и определяются в метафизе в виде смазанности рисунка кости, разволокнения костных перекладин.
Показания для консультации специалистов: консультация нефролога - при наличии нефрологической патологии (пиелонефрит, амилоидоз почек), эндокринолога - для исключения сахарного диабета.
Дифференциальный диагноз: гематогенный остеомиелит следует дифференцировать от ревматизма, поражения костей при тифе, туберкулеза, сифилиса и саркомы костей, остеобластокластомы.
Лечение
Цели лечения: устранение инфекции, восстановление анатомии и функции пораженного сегмента. Удаление внутренних и внешних ортопедических устройств, имплантатов, трансплантатов, секвестрнекрэктомия пораженного участка кости с замещением образовавшейся полости мягкими тканями ауто- (алло-, гетеро-)костными трансплантатами, синтетическими материалами. Замещение дефектов костной ткани после тотальной резекции остеомиелитического очага.
Консервативная терапия применима при негнойном (серозно-инфильтративном) остром гематогенном остеомиелите - антибиотики широкого спектра действия.
Предпочтительны антибактериальные препараты 3-го и 4-го поколения из группы цефалоспоринов (цефтриаксон), аминогликозидов (амикацин) и препараты из группы фторхинолонов (офлоксацин, ципрофлоксацин, пефлоксацин).
Учитывая высокую вероятность развития сепсиса, консервативную терапию целесообразно ограничить конкретным периодом, только в течение 24 часов с момента установления диагноза негнойного ОГО. Затем при отсутствии эффекта выполнить лечебно-диагностическую трепанацию кости, и в случае обнаружения высокого внутрикостного давления, независимо от характера экссудата, дополнительно дренировать костномозговой канал с установлением в нем аспирационно-промывной системы. Выявленная флегмона потребует широкой (окончатой) трепанации.
Операция независимо от обнаружения изолированного внутрикостного абсцесса, флегмоны костномозгового канала или деструкции кости предусматривает полную некрэктомию и полноценное дренирование очага воспаления. Объем резекции кости зависит от протяженности и глубины поражения мягких структур кости и кортикального слоя, от декомпрессивной трепанации в виде одного или нескольких фрезевых отверстий с последующим аспирационно-промывным дренированием до широкой, окончатой трепанации-резекции с последующим тампонированием раны.
Опыт лечения таких больных показывает необходимость выполнения послеоперационных перевязок-ревизий раны в течение 1-2 недель под общим обезболиванием, что позволяет завершить полноценность некрэктомии.
Тактика лечения хронического гематогенного остеомиелита (ХГО) должна предусматривать максимально раннее оперативное вмешательство в радикальном объеме.
Следует отказаться от длительного повторного консервативного лечения ХГО в любом виде (антибактериальная, физиотерапевтическое и прочие терапии). Как исключение оно применимо при некоторых первично-хронических формах ХГО.
Следует настойчиво добиваться полного выздоровления пациента, так как с течением времени эффективность оперативного лечения снижается, появляются осложнения местного (дерматиты, раки и др.) и общего (амилоидоз) характера.
Консервативную терапию проводят в объеме, необходимом для подготовки к операции (повышение резистентности организма, нормализация гомеостаза, снижение "активности" воспаления в кости и окружающих тканях). Нет необходимости стандартизировать этот этап лечения, так как выбор лекарственных средств, способов физиотерапии и т.д. индивидуален.
В течение 2-3 недель больной готовится к операции. "Предоперационную" антибиотикотерапию не применяем. Исключения составляют случаи обострения ХГО, когда угроза сепсиса представляется реальной.
Для того чтобы стандартизировать оперативный метод (основа хирургии остеомиелита) лечения ХГО различных локализаций (плоские, губчатые и крупные трубчатые кости), по-видимому, следует признать единство терминологии применительно к характеру операции, и совершенно (определенно) обоснованно выделить: паллиативные, условно-радикальные и радикальные операции.
Достичь 100% выздоровления больных после условно-радикальных операций (фистулосеквестрнекрэктомия, остеонекрэктомия, резекция кости и т.д.) не представляется возможным. И это не зависит от "современных" дополнительных способов оптимизации и повышения эффективности оперативного метода (лазерное выпаривание, ультразвуковая кавитация, системы дренажей, УФО крови и другие способы и средства).
Радикальные операции - экстирпация кости, ампутация конечности в большинстве случаев ХГО не приемлемы, что и понятно в силу их калечащего последствия. Из "общего" стандарта потребуется выделить разделы по конкретным локализациям. Экстирпация или субтотальная резекция малоберцовой кости, ребер, грудины, пяточной кости, лопатки и т.д., дающие прекрасные результаты, не могут быть применимы к ряду длинных (крупных) трубчатых костей.
Деформации скелета, укорочения конечности и анкилозы, нередко сопровождающие радикальные (и условно-радикальные) операции, не следует рассматривать как отрицательный результат, ибо в лечении ХГО главным остается избавление пациента от хронической пиогенной инфекции и предупреждение амилоидоза. Ортопедические коррекции после выздоровления от ХГО минимизируют оперативные (и связанные с самой болезнью) последствия. Реальным и необходимым остается совершенствование условно-радикальных операций.
Общий стандарт (ко всем локализациям) оперативного лечения больных ХГО должен включить следующие действия:
1. Составить обоснованный индивидуальный план операции (с учетом локализации ХГО - кость и фрагмент ее поражения, расположения свищей, предполагаемых вида трепанации и объема резекции и т.д.).
5. Трепанационная и внутрикостная резекция на всем протяжении очага поражения, обеспечивающая возможность полной некрэктомии метаэпифизарной зоны и вскрытия свободных отделов костномозгового канала.
6. Закрытие трепанационного кортикального дефекта после продольной резекции или реканализации трубчатой кости осуществляется при убежденности в достаточной внутрикостной санации, предполагая внутрикостное использование пролонгированных антибиотиков или аспирационно-промывного дренирования (или других способов, разрабатываемых в специализированных учреждениях).
7. Закрытие внутрикостного постнекрэктомического санированного очага путем пластики кортикального дефекта в случаях наличия анаэробного микробного компонента у пациентов пожилого и старческого возраста и у больных диабетом не должно планироваться.
8. Закрытие кости глухим швом раны мягких тканей может быть выполнено у молодых пациентов с коротким анамнезом болезни и при небольших объемах поражения кости (соответственно и резекции).
9. В большинстве случаев между костью и зашитой раной мягких тканей необходимо установить аспирационно-промывную систему.
10. При значительной инфильтрации, экземе, индурации мягких тканей, оголении кости и неубежденности (и невозможности, в случаях угрозы повреждения плевры, крупных сосудов, нервов и других важных анатомических образований) в полноценности некрэктомии ("в пределах" здоровых тканей), рану мягких тканей зашивать не следует.
11. Любая пластика (пломбировка) пострезекционного дефекта у больных ХГО не оправдана (с течением времени имплантат превращается в инородное тело, биологические ткани (мышцы и др.) в рубец и они не обеспечивают заместительной, стимулирующей, дренирующей и прочих приписываемых им функций) и должна быть оставлена.
12. Фиксация приемлема в случаях угрозы перелома длинных трубчатых костей и нестабильности при спондилитах. Способы фиксации индивидуальны, от гипса до накостных и внеочаговых пластин и конструкций.
13. Развитие послеоперационной лихорадки септического характера является поводом к ревизии операционной раны.
14. Нагноение раны и переход ее в свищ рассматривать как обоснованное показание к повторной операции.
Дальнейшее ведение: стандарт динамического наблюдения (после оперативного лечения) заключается в диспансеризации с регулярным обследованием пациента по месту проведенной операции.
Больные со свищами, стойкими болевыми признаками и обострениями ХГО не должны находиться на диспансерном наблюдении в поликлиниках или амбулаторных учреждениях.
Все больные должны быть оперированы (естественно, им в стационаре проводится комплексная терапия с основным ее оперативным компонентом). Больные, которым не проведена адекватная операция (по социальным условиям, отказу от операций, строгим медицинским показаниям), подлежат симптоматической терапии при необходимости в перевязках или антибиотикотерапии (как исключение, по индивидуальным показаниям).
При наличии гнойных послеоперационных осложнений, связанных с внутренними и внешними ортопедическими протезными устройствами, имплататами и трансплататами, после полного обследования больного определяется тактика оперативного лечения: удаление вышеуказанных устройств, секвестрнекрэктомия или тотальная резекция остеомиелитического очага с последующим замещением образовавшейся костной полости или дефектов костной ткани мышечными, костными или синтетическими трансплантатами, моно- или билокальным чрескостным остеосинтезом, дренирование операционной раны, с применением местных длительно рассасывающихся антибактериальных препаратов.
В предоперационном периоде во время операции и после проводится антибактериальная терапия с учетом чувствительности микрофлоры (цефалоспорины 3-4 поколения, аминогликозиды, фторхинолоны, метронидазол, противогрибковые препараты), инфузионная дезинтоксикационная терапия (например, гемодез, физ. раствор, кристаллоиды), средства стабилизирующие гемодинамику и улучшающее микроциркуляцию (рефортан, стабизол, реополиглюкин, и др.), гемотрансфузии (эритроцит. масса, СЗП, антистафилококковая плазма, тромбомасса, криопреципитат), дезагреганты, антикоагулянты (прямого и непрямого действия), средства, улучшающие тканевой обмен (солкосерил, витамины группы В, А, С, Е), гормонотерапия (анаболики, глюкокортикоиды).
Для лечения и профилактики возникновения микоза при длительной массивной антибиотикотерапии - итраконазол оральный раствор 400 мг\сут., в течение 21 дня. В послеоперационном периоде применяются иммуностимуляторы, физиолечение (УФО, электрофорез, УВЧ-терапия и др.), ЛФК, лечебная гимнастика. После заживления раны или при возможности перевязок в амбулаторных условиях, больной выписывается на дальнейшее амбулаторное лечение.
2. Тикарциллин + клавулановая кислота, лиофилизированный порошок 3000 мг/200 мг для приготовления раствора для внутривенных инфузий
3. Амоксициллин+клавулановая кислота порошок для приготовления раствора для внутривенного введения во флаконах 500 мг/100 мг, 1000 мг/200 мг
10. *Препараты, получаемые из крови, плазмозамещающие средства (эритроцитарная масса, СЗП, антистафилококковая плазма, тромбомасса, криопреципитат)
Индикаторы эффективности лечения: восстановление целостности костной ткани без наличия остеомиелитической полости, купирование явлений остеомиелита.
* - препараты, входящие в список основных (жизненно важных) лекарственных средств.
Читайте также:
