Лучевая диагностика гиперфлексионно-ротационного повреждения шейного отдела позвоночника
Добавил пользователь Евгений Кузнецов Обновлено: 07.01.2026
По данным ВОЗ, 500 тысяч человек каждый год получают травму позвоночника, в том числе травму шейного отдела. Большинство травм шеи вызваны повреждениями во время автомобильной аварии, неудачного прыжка в воду, прямого удара по спине. Также травмы шеи могут произойти во время занятий спортом и особенно часто случаются среди легкоатлетов и спортсменов различных видов борьбы.
Анатомически шея — сложная часть тела человека. В шейном отделе позвоночника расположены кости, суставы, мягкие ткани и нервы, которые позволяют удерживать голову и двигать ей. Повреждение одной составляющей влияет на работу всех остальных. Если последствия незначительных травм шеи (например, растяжение связок или ушиб шейного отдела позвоночника) беспокоит человека несколько дней или недель, то сложные травмы могут привести к пожизненным последствиям. Значительная доля людей получает временную или постоянную инвалидность.
При компрессии или повреждении спинного мозга человек может оказаться парализованным, зависимым от ухода окружающих. Человек с травмой спинного мозга чувствует онемение тела, испытывает трудности с контролем мышц рук или ног, кишечника и мочевого пузыря. У человека после травмы существует высокий риск вторичных осложнений, таких как тромбоз глубоких вен, пролежни, инфекции мочевыводящих путей, воспаление лёгких, значительная потеря веса (кахексия). В некоторых случаях при травмах шеи происходит нарушение глотания и дыхания. Резкое изменение образа жизни и внешнего облика может вызвать депрессию.
Человеку с тяжёлой травмой шеи требуется качественный уход и помощь медицинских специалистов. Современная медицина позволяет реабилитировать человека после травмы шеи и адаптировать его к повседневной жизни.
Важно! Если вы увидели человека с травмой шеи в результате аварии, удара или падения — незамедлительно вызовите скорую помощь. До приезда скорой не перемещайте человека и посоветуйте ему не двигаться. От этого может зависеть жизнь пострадавшего.
Виды травм шейного отдела позвоночника
Способ лечения и последующая реабилитация зависят от причины, характера травмы и степени повреждения. Рассмотрим виды наиболее часто встречающихся травм шеи.
Растяжение связок
Связки — это полосы соединительной ткани, которые скрепляют кости. Растяжение связок может быть спровоцировано падением, резким скручиванием шеи или чрезмерной нагрузкой на неё.
Симптомы растяжения связок: боль в задней части шеи, которая усиливается при движении; головная боль; спазмы в верхнем плечевом отделе; боль в горле, онемение в области затылка; покалывание в руках; общая слабость. При симптомах покалывания в руках необходимо скорее обратиться к врачу.
«Хлыстовая травма»
Чаще всего случается при автомобильных авариях, во время занятий спортом, неудачном нырянии в воду. Сильный удар в задней части шеи приводит к внезапному разгибанию и затем сгибанию шеи. При лобовом столкновении в автомобильной аварии наоборот происходит сначала сгибание, а затем разгибание. При таком ударе человек может потерять сознание.
В результате этой травмы повреждаются суставы или диски, что может вызвать раздражение корешков спинного мозга, появление неврологических симптомов. К ним относятся: боль, слабость, онемение, покалывание в руках или другие ощущения, напоминающие электрический разряд. Также возможны скованность движений, головокружение или нарушения сна. Некоторым пациентам после травмы шеи немедленно требуется вызвать скорую помощь. Если симптомы появились через несколько дней после травмы, тоже следует обратиться к врачу.
Смещение шейных позвонков
Смещение обычно происходит в результате травмы или дегенеративных изменений. Симптомы смещения позвонков: головные боли; сонливость; общая слабость; боль в шее с переходом на ключицу и плечи; онемение в руках.
При тяжелом смещении кость полностью сдвигается вперед и фиксируется в этом положении, вызывая разрыв связок. Смещение позвонков шейного отдела может повредить спинной мозг и потребовать хирургического вмешательства. При менее серьезных повреждениях позвонки могут вернуться на место самостоятельно, но в любом случае стоит обратиться к врачу.
Перелом позвонка
Переломы шейного отдела позвоночника составляют 20-30% всех переломов позвоночника, из них 10-20% включают повреждение спинного мозга. При переломе необходима немедленная медицинская помощь. Из-за осложнений большинство пострадавших не смогут вернуться к прежней жизни, некоторые становятся инвалидами. Одни из наиболее частых переломов — перелом позвонков С5 и С6 — они наиболее мелкие и хрупкие. Наиболее распространенная причина — неудачный прыжок в воду.
Симптомы перелома нижних шейных позвонков: головокружение, тошнота, полный или частичный паралич конечностей, слабость, мышечный тремор, затрудненное дыхание, боль в месте перелома, возможно нарушение речи. Для постановки точного диагноза необходимо сделать рентген или МРТ. Лечение будет зависеть от характера перелома и наличия осложнений.
Реабилитация после травмы шейного отдела позвоночника
Если при незначительном повреждении шеи рекомендуется отдых, ледяной компресс и приём противовоспалительных препаратов, то при тяжёлых травмах человеку требуется интенсивная реабилитация и качественный уход. Как правило, после таких травм период восстановления занимает несколько месяцев.
- физического терапевта
- эрготерапевта
- невролога
- нейропсихолога или психолога
- логопеда и/или специалиста по глотанию
- нейроуролога
- помощников по уходу
При поступлении пациента сотрудники реабилитационного центра должны оценить его состояние по специальным шкалам (например, по FIM). Оценка состояния поможет правильно назначить восстановительные процедуры, а также прогнозировать результаты реабилитации. Все процедуры и занятия в реабилитации направлены на то, чтобы сделать человека максимально независимым.
Если в результате травмы произошел гемипарез или тетрапарез — паралич верхних и/или нижних конечностей — человек может пожизненно оказаться в инвалидной коляске. В этом случае потребуется реабилитация, направленная на адаптацию человека к нормальной жизни и помощь в достижении максимальной самостоятельности и независимости в быту и уходе за собой.
Пострадавшему помогут научиться заново держать столовые приборы и самостоятельно принимать пищу, выполнять простые гигиенические действия, менять одежду, пересаживаться с инвалидного кресла, перемещаться в пространстве и использовать привычные предметы при приготовлении еды, уборке и других базовых бытовых активностях. Психологи помогут перестроиться на новый образ жизни и не потерять социальных связей. Такая работа может потребовать участия семьи человека с шейной травмой.
Центр реабилитации «Три сестры» занимается восстановлением пациентов как с незначительными, так и тяжёлыми травмами шейного отдела позвоночника. План реабилитации составляется индивидуально в зависимости от утраченных функций человека. Специалисты нашего центра помогут вернуть максимальную независимость и при необходимости научат близких правильным процедурам ухода и перемещения.
Посмотрите историю Евгения Смирнова, попавшего на реабилитацию после 5 месяцев реанимации в обездвиженном состоянии. За три курса реабилитации его состояние сильно изменилось: большинство ран затянулось, укрепились мышцы спины, появились движения в руках, уменьшился болевой синдром. Евгению сняли мочевой катетер и трахеостому. Он научился сидеть в инвалидном кресле и есть при помощи адаптированных приборов.
Судебно-медицинская диагностика механизма гиперфлексионно-гиперэкстензионной травмы шейного отдела позвоночника и спинного мозга
библиографическое описание:
Судебно-медицинская диагностика механизма гиперфлексионно-гиперэкстензионной травмы шейного отдела позвоночника и спинного мозга / Баринов Е.Х., Исаченков П.В. // Мат. VI Всеросс. съезда судебных медиков. — М.-Тюмень, 2005. — С. 42.
код для вставки на форум:
В настоящее время довольно много работ иностранных авторов посвящены изучению механизма «хлыстовых» повреждений шейной части позвоночника, которые наблюдаются чаще всего при автомобильных травмах (Billig, 1956, Cammack, 1957, Volobra, 1964, Rituccii G., Falzig, 1966).
По данным американских экспертов в США ежегодно свыше 1 млн. человек подвергаются гиперфлексионно-гиперэкстензионной травме шеи (ГГТШ). Примерно 25% всех случаев ГГТШ заканчивается хроническими болями и потерей трудоспособности (Скоромец А. А., Новосельцев С. В., 2002).
Внезапное движение нефиксированной головы, приводящее к гиперфлексионно-гиперэкстензионной травме шеи (ГГТШ), чаще всего возникает в результате резкого торможения или ускорения движения автомобиля в момент автодорожного столкновения, реже - в спорте, на производстве, в быту или вследствие других причин (La Rocca H., 1978). Особенно часто ГГТШ возникает в ситуации, когда водитель автомашины не успевает вовремя затормозить и врезается в стоящий впереди автомобиль (Castro W. H. M., Schilgen M., Meyer S., 1997). Передний автомобиль смещается кпереди, а у сидящих в нем людей голова по инерции вначале откидывается назад, а затем совершает форсированное сгибание. Это двухэтапное («хлыстовое») движение и является причиной повреждения шеи. У людей, сидящих в заднем автомобиле, движения головы происходят в обратной последовательности, но также способны вызвать повреждение шеи. При лобовых или боковых столкновениях автомобилей ГГТШ возникает реже. Исходя из трех механизмов действия травмирующей силы, можно сделать вывод, что при столкновении спереди и сзади деформации будут развиваться во фронтальной плоскости, т. к. удар происходил в сагиттальной плоскости. При боковых ударах деформации происходят в сагиттальном плане, поскольку удар пришелся во фронтальной плоскости.
Травмирование тканей шеи в большей степени происходит при растяжении, чем при сдавлении (чтобы вызвать повреждение шейных позвонков, при растяжении в среднем необходима сила всего в 160-360 кг, а при сдавлении - 1350-1800 кг) (Yogandan N., Pintar F. A., Kleinberger M., 1999). Тяжесть повреждения зависит от соотношения инерционных масс двух сегментов тела (с одной стороны головы и верхнешейного отдела позвоночника, с другой стороны нижнешейного отдела туловища), а также величины и направленности ускорения (West D. H., Gough J. P., Harper T. K., 1993). Повреждения обычно возникают в результате превышения так называемого физиологического лимита движений для шейного отдела позвоночника.
Но иногда повреждение шеи происходит в том случае, когда амплитуда сгибания или разгибания не превышает нормальный объем движений. Биомеханический анализ показывает, что шея при ГГТШ не просто разгибается или сгибается, а совершает более сложное движение. Перед форсированным сгибанием голова компенсаторно смещается вперед (за счет частичного разгибания в верхнешейном отделе), а перед экстензией компенсаторно смещается назад, при этом отмечается небольшое сгибание в верхнешейном отделе. Наиболее значительное повреждение может возникать именно в точках максимального вытягивания или ретракции.
M.M. Panjabi, K. Abumi, J. Duranceau, J. Crisco (1988) экспериментальным путем установили, что критическая величина ускорения, вызывающая повреждение шейного отдела, неодинакова на разных уровнях: она минимальна на уровне C V -C VI (4g) и максимальна на уровне C II -C III (10g). По мнению этих авторов, повреждение мягкотканевых образований как в верхнешейном, так и особенно в нижнешейном отделах, вызванное растяжением передних элементов позвоночно-двигательного сегмента, происходит в момент флексии верхнеешейного отдела и экстензии средне- и нижнешейного отдела. При дальнейшей экстензии шейного отдела, которая происходит путем взаимного скольжения фасеточных суставов в нижнешейном отделе позвоночника, мягкие ткани страдают в меньшей степени, так как это движение чаще всего происходит в физиологических пределах. Однако поскольку лимит экстензии этого отдела позвоночника ограничен, при дальнейшем увеличении нагрузки возникают разрыв связок, компрессионные переломы позвонков и основания черепа.
Повреждение корешков в межпозвонковых отверстиях происходит вследствие резкого изменения градиента давления во время форсированного сгибания и переразгибания. Площадь позвоночного канала при гиперэкстензии уменьшается за счет внедрения желтой связки, при гиперфлексии увеличивается, поэтому в результате внезапных движений возникают колебания давления, которые также могут повреждать ткани шейного отдела.
Помимо гиперфлексионно-гиперэкстензионного механизма повреждения, являющегося основным в 70% случаев ГГТШ, повреждение может происходить в результате скручивания шеи при резком повороте туловища вокруг своей оси (ротационный механизм) (Gately M.S., 1968). При этом неизбежно возникают боковые смещения головы, которые приводят к сдавлению суставных поверхностей на ипсилатеральной стороне (в фазе гиперэкстензии) и растяжению капсулы сустава на противоположной стороне (в фазе гиперфлексии). При наличии ротации головы в момент травмы ГГТШ часто бывает более тяжелой (Radanov B.P., Di Stefano G., 1995).
Последствия травмы зависят и от степени сокращения мышц шеи во время травмы. При неожиданном столкновении мышцы обычно расслаблены, благодаря чему размах колебаний головы максимален, в силу этого при гиперэкстензии повреждаются передние связки и мышцы, а при гиперфлексии - задние связки и мышцы. Если при столкновении у пострадавшего произошло напряжение мышц, то колебательные движения головы ограничиваются, но при этом увеличивается риск повреждения позвонков и межпозвонковых дисков. Если пострадавший успел частично среагировать на столкновение, но его мышцы сократились недостаточно, чтобы существенно ограничить колебания головы, то в результате сочетания компрессии и растяжения в фазе сгибания может возникнуть задний пролапс межпозвонкового диска. Однако если пострадавший успевает втянуть голову в плечи, травма обычно бывает менее значительной.
Следует подчеркнуть, что нет прямой зависимости тяжести ГГТШ от степени повреждения автомобиля: ГГТШ чаще наблюдается у пассажиров легко или умеренно поврежденного автомобиля. Место, которое занимал в машине пострадавший, не оказывает существенного влияния на тяжесть травмы. При пользовании ремнями безопасности риск ГГТШ несколько повышается, но их способность предотвращать другие повреждения существенно перекрывает в сумме этот негативный эффект (Левин О. С., Макаров Г В, 2002).
Анатомо-физиологические особенности краниоцервикальной области - высокая мобильность, обилие мелких суставов с тонкими и эластичными капсулами и менисками, способными ущемляться в суставных капсулах, наличие унковертебральных сочленений, более низкая по сравнению с другими отделами позвоночника прочность и упругость шейных межпозвонковых дисков, относительно малая прочность некоторых связок, а также значительное количество небольших мышц с различными точками прикрепления - создают условия для возникновения широкого спектра повреждений. При ГГТШ могут пострадать любые структуры шейного отдела: позвонки, межпозвонковые диски и суставы, мышцы, связки, сосуды, нервы. ГГТШ может приводить и к повреждению спинного и головного мозга - при патоморфологическом исследовании у больных с ГГТШ выявляются дистрофические изменения проводящих путей, нейронов латерального вестибулярного ядра, красного ядра. При сильной травме возможно растяжение внутренней сонной, а также позвоночной артерий с развитием небольших аневризм или тромбозов артерий (Прохорский А.М., 1975).
похожие статьи
Возможные ошибки при определении давности тупой травмы шеи / Бадяева Е.Е. // Избранные вопросы судебно-медицинской экспертизы. — Хабаровск, 2019. — №18. — С. 49-50.
Особенности повреждений шеи при сдавлении плечом и предплечьем / Подпоринова Е.Э. // Матер. IV Всеросс. съезда судебных медиков: тезисы докладов. — Владимир, 1996. — №2. — С. 14-15.
Закрытая тупая травма спинного мозга / Пиголкин Ю.И., Мамрова Г.П. // Матер. IV Всеросс. съезда судебных медиков: тезисы докладов. — Владимир, 1996. — №1. — С. 103-104.
К судебномедицинской характеристике повреждений позвоночника / Джигора С.Т., Кабаков Б.З. // Судебно-медицинская экспертиза. — М., 1966. — №3. — С. 7-12.
ВОЗМОЖНОСТИ МЕТОДА ЦВЕТОВОГО ДУПЛЕКСНОГО СКАНИРОВАНИЯ В ДИАГНОСТИКЕ ПАТОЛОГИИ ПОЗВОНОЧНЫХ АРТЕРИЙ ПРИ ТРАВМЕ И ДЕГЕНЕРАТИВНЫХ ЗАБОЛЕВАНИЯХ ШЕЙНОГО ОТДЕЛА ПОЗВОНОЧНИКА
Дегенеративно-дистрофические заболевания позвоночника (ДДЗП) являются второй по частоте причиной обращений к врачу после респираторных заболеваний и третьей причиной госпитализации пациентов. Среди пациентов с ДДЗП в шейном отделе синдром позвоночной артерии (ПА) встречается в 30-42,5% случаев . В структуре позвоночно-спинномозговой травмы (ПСМТ) на долю шейного отдела позвоночника (ШОП) приходится от 10 до 36,8%. При ПСМТ ШОП повреждение ПА наблюдается в 15% случаев, а нарушение кровотока по ПА приводит в острой фазе к летальному исходу у 10% пострадавших.
Методом цветового дуплексного сканирования определялют:
> диаметр, состояние стенки артерии и ее просвета,
> анатомический ход и форму деформаций ПА,
> линейную скорость кровотока в четырех сегментах ПА (V1-V4) и базилярной артерии (БА): пиковую систолическую скорость кровотока (Vрs), конечную диастолическую скорость кровотока (Vеd), усредненную по времени максимальную скорость кровотока (ТАМХ),
> индексы периферического сопротивления (индекс пульсации Гослинга (РI), индекс резистентности Пурсело (RI)),
> объемную скорость кровотока (Vvol) на экстракраниальном уровне.
Результаты ЦДС позвоночных артерий
При ЦДС у большинства пациентов с ДДЗП (66,0%) и ПСМТ (76,4%) наблюдали деформации хода ПА, преимущественно на уровне С4-С5-С6-позвонков. Угловые деформации, S-, V-образные извитости (kinking) чаще встречались при ДДЗП, чем при ПСМТ ШОП (р=0,0023).
В области деформаций ПА наблюдался локальный гемодинамический сдвиг в виде ускорения скоростных показателей, ускорение кровотока до 31-50% и более может свидетельствовать о ее локальной гемодинамической значимости и вертеброгенных влияниях на ПА на данном уровне.
О степени компенсации экстравазальных влияний на ПА судили по отношению Vvol и Vср (ТАМХ) в V3-сегменте к V1-сегменту:
при отношении Vvol и Vср (ТАМХ) в V3 сегменте к V1 сегменту равном
1,0 и более кровоток расценивали как компенсированный,
0,7-1,0 - как субкомпенсированный,
менее 0,7 - как декомпенсированный.
Субкомпенсированный кровоток при ДДЗП выявили у 6,9% пациентов, при ПСМТ - в 19,3% случаев.
Декомпенсированный кровоток наблюдали только при ПСМТ (9,2%) у пациентов с вывихами и переломо-вывихи позвонков, сопровождающихся их смещением, при ДДЗП декомпенсированного кровотока выявлено не было, в
большинстве случаев наблюдали деформации хода ПА в костном канале с локальными градиентами скоростных показателей без дефицита кровотока в V3-сегменте.
Наиболее информативным является измерение не линейных скоростей кровотока, а определение суммарного объемного кровотока по ПА, который в норме составляет около 180-200 мл/мин.
Суммарный объемный кровоток по ПА находился
> в пределах нормативных значений: в 28,2% случаев при ПСМТ (176±48 мл/мин), в 69,1% - при ДДЗП (181±43 мл/мин),
> на нижней границе допустимых значений: в 26,5% случаев при ДДЗП (162±23 мл/мин) и у 45,0% пострадавших (158±21 мл/мин),
> ниже нормативных значений: в 26,8% случаев при ПСМТ (104±35 мл/мин) и 4,4% - при ДДЗП (118±32 мл/мин).
Способ диагностики компрессии ПА с помощью спиральной компьютерной томографии (СКТ) и цветового дуплексного сканирования (ЦДС)
При СКТ определяли уровень компрессии ПА и измеряли площадь поперечного сечения канала ПА (Sк) на уровне выявленной патологии.
При ЦДС определяли диаметр и вычисляли площадь поперечного сечения ПА (Sа) на стороне патологии вне зоны стеноза.
Рассчитывали индекс компрессии позвоночной артерии (ИК) по формуле ИК = ⅓Sк/Sа. При значении индекса
1,0 и более компрессия отсутствует,
от 0,9 до 0,7 диагностировали умеренную компрессию ПА,
от 0,6 до 0,4 - значительную,
ниже 0,4 - выраженную.
в 71,1% случаев компрессия ПА отсутствовала (ИК=1,0 и более),
у 28,9% обследованных наблюдалась умеренная компрессия (ИК=0,7-0,9), значительной (ИК=0,4-0,6) и выраженной компрессии (ИК=0,4 и менее) выявлено не было.
в 63,4% случаев компрессия отсутствовала (ИК=1,0 и более),
у 25,0% имела место умеренная компрессия (ИК=0,7-0,9),
у 8,3% - значительная (ИК=0,4-0,6),
у 3,3% - выраженная (ИК=0,4 и менее).
У пострадавших с выраженной и значительной степенью компрессии ПА наблюдали переломо-вывихи и вывихи С5-С6-позвонков, сопровождающиеся спондилолистезом (в среднем на 4,5±1,2 мм), а также компрессионно-оскольчатые переломы позвонков, в ряде случаев с переходом линии перелома на канал ПА.
Извитости хода ПА в костном канале не оказывали существенного влияния на гемодинамику: локального ускорения скоростных показателей не отмечалось, линейные и объемная скорости кровотока сохранялись в пределах нормативных значений, скоростные показатели кровотока в V3 и V4-сегментах ПА превышали значений в V1 и V3-сегментах соответственно, что свидетельствовало о компенсированном кровотоке и отсутствии системной гемодинамической значимости.
Наблюдались извитости хода ПА на протяжении костного канала с угловыми деформациями и перегибами, с локальным ускорением и градиентами скоростных показателей на уровне V2-сегмента, однако линейные и объемная скорости кровотока в V3-сегменте сохранялись в пределах нормативных значений, коэффициент компенсации кровотока был равен 1,0 или более (компенсированный кровоток).
Синдром ирритативных влияний проявлялся повышением индексов периферического сопротивления (RI>0,8, PI>1,35) на протяжении V1-V3-сегментов (реже и на уровне V4-cегмента ПА) при сохранении скоростных показателей кровотока на экстра- и интракраниальном уровнях в пределах нормативных значений (в ряде случаев - на нижней границе нормы). Вазоконстрикторные реакции характерны для ангиодистонической стадии синдрома ПА даже при ее прямолинейном ходе и встречаются при повреждениях ШОП, преимущественно при вывихах и преломо-вывихах позвонков.
Экстравазальные влияния на ПА при ДДЗП, выявляемые при ротационных пробах
Снижение скорости кровотока на уровне V2-сегмента по одной или обеим ПА выявлено у 13,2%, из них на 20-30% - в 41,7% случаев, до 31-50% - в 36,1%, более 50% - в 22,2%. Снижение скоростных показателей по левой ПА наблюдалось у 52,7% пациентов, по правой ПА - у 30,6%, с двух сторон - у 16,7%.
В группе пациентов с редукцией кровотока на 20-30% снижения скорости кровотока в субокципитальном (V3) сегменте по сравнению с исходным кровотоком до проведения ротационных проб не наблюдали, в данном случае снижение скоростных показателей на 20-30% в V2-сегменте можно считать гемодинамически незначимым. При снижении кровотока на 31-50% и более дефицит кровотока в V3-сегменте сохранялся.
У пациентов со снижением скоростных показателей кровотока по ПА при проведении ротационных проб гемодинамически значимое (более 20%) снижение скорости кровотока на интракраниальном уровне (V4-сегмент) выявлено в 5,9% случаев по левой ПА и в 6,6% случаев по правой ПА (что могло быть связано со сложностями визуализации артерий и погрешностями при проведении пробы), скорость кровотока по БА у всех пациентов значимо не изменялась. Компенсация кровотока на интракраниальном уровне осуществляется за счет коллатеральных ветвей ПА и механизмов
функциональной компенсации (снижение индексов периферического сопротивления дистальнее зоны компрессии).
В большинстве случаев среди пациентов со снижением кровотока при ротационных пробах более 50% отмечали редукцию кровотока на 80-95% от исходной скорости кровотока на протяжении V1-V2-сегментов на фоне выраженного повышения индексов периферического сопротивления, что связано с экстравазальной компрессией ПА при повороте головы в субокципитальном сегменте в результате аномалий краниовертебральной области, ротационного подвывиха С2-позвонка, а в ряде случаев, за счет натяжения нижней косой мышцы головы. При ЦДС в V3-сегменте выявляли локальное ускорение скоростных показателей при повороте головы более 50% от исходной скорости кровотока, свидетельствующее об экстравазальной компрессии ПА в субокципитальном отделе.
Локальное ускорение скоростных показателей в V3-сегменте до 50% и более по сравнению с V1-V2-сегментами с последующим снижением скорости кровотока в V4-сегменте наблюдалось при ПСМТ в 12,1% случаев у пациентов переломами, вывихами и подвывихами C2-позвонка, при ДДЗП - в 0,4% у пациента с синдром нижней косой мышцы головы.
Таким образом, применение цветового дуплексного сканирования при ПСМТ и ДДЗП ШОП позволяет:
> выявить деформации хода ПА и определить градиенты скоростных показателей на протяжении костного канала и между сегментами ПА (локальную гемодинамическую значимость вертеброгенных влияний),
> установить уровень и степень выраженности компрессии ПА,
> определить степень компенсации кровотока по ПА (т.е. системную гемодинамическую значимость экстравазальных влияний),
> рассчитать суммарный объемный кровоток по ПА на экстракраниальном уровне (т.е. диагностировать вертебрально-базилярную недостаточность),
> определить показания к оперативному вмешательству и его объему,
> оценить результаты консервативной терапии и хирургического лечения в динамике.
Подробно о возможностях дуплексного сканирования можно почитать в недавно изданной монографии и на специальной странице нашего сайта. В наших клиниках мы часто проводим МРА и дуплексное сканирование для полноты картины кровотока.
Травма шейного отдела позвоночника

Рентгенограмма. Подвывих в шейном отделе позвоночника. Цветовая обработка изображения.
Половина всех случаев переломов позвоночника приходится на шейный отдел. Многие травмы шейного отдела позвоночника угрожают жизни пациента для жизни пациента. Поэтому они требуют неотложных мероприятий.
Классификация
Переломы верхнешейного отдела:
- перелом кольца С1, вызванный падением
- боковое смещение боковых масс свыше 7 мм, разрыв поперечной связки и нестабильность

Перелом С1 Джефферсона. Рентгенография через открытый рот. С обеих сторон расширено расстояние от нижних площадок ножек С2 до боковых масс С1. Боковые массы С1 смещены латерально и перестают быть в линию с боковыми массами С1.
Перелом зуба может симулировать аномалия развития, известная как третий мыщелок.

аномалия развития - третий мыщелок
- в сагиттальной плоскости: передне-заднее расстояние больше 4 мм, что обусловлено повреждением поперечной связки
- ротационная: асимметрия зубовидного отростка по отношению к боковым массам С1 и уменьшение расстояния в суставах между боковыми массами С1 и С2
Переломы зубовидного отростка:
- Тип I - выше основания отростка (встречаются редко, стабильны)
- Тип II - в основании отростка (обычно нестабильны). У детей до 6 лет эпифизарная линия может напоминать перелом.
- Тип III - распространение перелома на тело

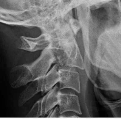
Перелом С2. Рентгенограмма в боковой проекции. Кольцо незамкнуто вследствие смещения зубовидного отростка назад.
Перелом повешенного (нестабильны)
- Травматический спондилолистез С2-С3
- Перелом обеих ножек С2 со смещением тела С2 на С3

Перелом С2 «повешенного». Рентгенограмма в боковой проекции. Смещение тела С2 вперед, отрыв задних элементов.
Переломы нижнешейного отдела:
По сгибательному механизму
- Компрессионный перелом тел позвонков
- Повреждение
Все диагностические исследования проводятся после иммобилизации и первичного клинического обследования. Показаниям к лучевой диагностике служат боли, неврологическая симптоматика, сопутствующая травма головы и дизориентированность пациента. Выявление у пациента плегии и полного выпадения чувствительности, либо выявление синдрома Броун-Секара указывает на тяжелое повреждение спинного мозга костными элементами.
Обследование начинается со стандартной рентгенографии в 3 проекциях - боковой, передне-задней (прямой) и через рот.

Схема. Ход рентгеновского луча и расположение кассеты с пленкой при снимке через рот.
Если пациент находится в бессознательном состоянии, то рентгенография через рот невыполнима и заменяется КТ.
КТ является методом выбора для оценки костного повреждения. Однако более полную информацию о состоянии спинного мозга даёт МРТ.

КТ. Перелом тела С2 (красные стрелки).
Особую категорию составляют пациенты, у которых, несмотря на наличие неврологической симптоматики, не выявляется изменений при рентгенографии или КТ. Число таких пациентов составляет около 10%. Среди различных механизмов подобных травм наиболее вероятна кратковременная компрессия спинного мозга задней продольной связкой и дисками, либо, жёлтой связкой и пластиной дуги. Посколько резкие сгибания и разгибания наблюдаются при высокой подвижности в сегментах, такие травмы более вероятны в шейном отделе позвоночника. Спондилолиз усугубляет эту ситуацию, приводя к центральному синдрому спинного мозга. В этих случаях необходимой является МРТ позвоночника. Характерными находками, которые мы часто видим при травмах при МРТ в СПб, являются отёк спинного мозга и гематома, причём последняя при МРТ позвоночника плохим прогностическим фактором в отношении восстановления неврологического дефицита. К наиболее тяжелым осложнениям шейной травмы относится расслоение магистральных артерий, определяемое по МРТ, МРА или КТ и КТА. В высоком поле такой вид травм лучше виден чем в открытом МРТ. МРТ СПб позволяет выбирать место МРТ, однако, острая травма шейного отдела позвоночника требует высокоспециализированного нейрохирургического отделения
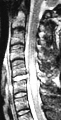
МРТ шейного отдела позвоночника. Острая травма. Компрессия спинного мозга, отек и контузия. Сагиттальная Т2-взвешенная МРТ.

МРТ шейного отдела позвоночника. Аксиальная Т2-взвешенная МРТ. Кровоизлияние в спинной мозг.

МРТ шейного отдела позвоночника. Т2-взвешенная сагитальная МРТ. Острая травма с повреждением задних элементов позвонков и отеком спинного мозга.

МРТ шейного отдела позвоночника. Острая травма. Отёк спинного мозга. Сагиттальная Т2-взвешенная МРТ.
Нестабильность шейного отдела позвоночника - симптомы и лечение
Что такое нестабильность шейного отдела позвоночника? Причины возникновения, диагностику и методы лечения разберем в статье доктора Никитиной Светланы Сергеевны, невролога со стажем в 13 лет.
Над статьей доктора Никитиной Светланы Сергеевны работали литературный редактор Маргарита Тихонова , научный редактор Сергей Федосов
Определение болезни. Причины заболевания
В скелетно-мышечном аппарате есть суставы, которые от природы являются неподвижными, то есть стабильными. Это свойство может быть утеряно, тогда суставы и сочленения становятся "нестабильными". Например, лонное сочленение или крестцово-подвздошные суставы могут утратить свою неподвижность после родов или ввиду травм данной анатомической области. Сегменты позвоночника также относятся к образованиям, которые могут утратить свою неподвижность, что и называется в медицинской практике термином «нестабильность». [1] Стоит отметить, что у детей до 10-ти лет нестабильность считается нормой, так как структуры, отвечающие за стабильность позвоночника, в их возрасте находятся в фазе активного роста.
Позвоночник взрослого человека состоит из 33-х или 34-х позвонков (встречается вариант нормы с шестью поясничными позвонками), что составляет 25 или 26 двигательных сегментов. [1]

Сегмент позвоночника — это анатомическая и функциональная единица позвоночника. Анатомически сегмент состоит из межпозвонкового диска, нижней половины вышележащего позвонка, верхней половины нижележащего позвонка, передней и задней продольной связки, жёлтой связки, межпозвонковых суставов, а также всех мягких и нервных тканей, находящихся на этом уровне. [1]

За стабильность сегмента отвечают следующие структуры (перечислены в порядке убывания): межпозвонковый диск, связки и фасеточные суставы, тела позвонков.
Соответственно, и причины развития нестабильности воздействуют именно на перечисленные структуры.
Причинами являются:
- травмы родовые, спортивные, автодорожные и др. (связки, диски и тела позвонков);
- дегенерация дисков (протрузии и грыжи);
- оперативные вмешательства на позвоночнике (диски, связки и фасетки);
- аномалии развития позвоночника и его структур (любая структура).
При обнаружении схожих симптомов проконсультируйтесь у врача. Не занимайтесь самолечением - это опасно для вашего здоровья!
Симптомы нестабильности шейного отдела позвоночника
Смещение диска как проявление нестабильности сегмента не всегда может порождать какие-то симптомы и жалобы. Вызывающую определенную симптоматику нестабильность называют "клинически значимой".
1. Боль. Сюда же относится и головная боль. Является самым частым симптомом, возникает периодически. Часто появляется после физической нагрузки, нередко уже во время нагрузки. Также возникает после сна в неудобном положении, длительном сидении при наклонённой вперёд и вниз голове, также при сгибании и разгибании головы. При повороте головы в стороны и наличии нестабильности может появиться онемение конечностей и головокружение. Также часто появляется при выполнении неверно подобранных упражнений, не подходящих для пациента, или при неправильном их выполнении. [2]
2. Мышечная симптоматика. Постоянное ощущение напряжения мышц шеи, усталости. Повседневная нагрузка вызывает напряжение, боль и требует отдыха. [2]
3. Очаговая неврологическая симптоматика. По своим проявлениям напоминает корешковую симптоматику — простреливающие боли, онемение и слабость верхних конечностей. При пальпации паравертебральных точек определяется боль.
4. Гипертензионный синдром. Проявляется повышением внутричерепного давления, что, в свою очередь, усиливает головную боль, головокружение. Также проявляется повышением артериального давления. Многие авторы считают, что оба эти проявления чреваты развитием панических атак. [1] [3]
5. Вестибуло-кохлеарные и окуло-кохлеарные нарушения. К ним относятся шум в ушах и головокружение, нарушение зрения. Пациенты часто обращаются к врачам-офтальмологам или врачам-отоларингологам, но при обследовании органов зрения и слуха не обнаруживается сколь значимых нарушений. Симптомы вызываются сдавлением позвоночной артерии, что возможно при изменении высоты межпозвонковых дисков и спондилоартроза, или артроза межпозвонковых суставов. [5]
6. Деформация позвоночника. Боль уменьшается при фиксированной шее, часто при наклоне на бок. Длительное пребывание в таком положении изменяет форму шеи, вызывает формирование или усиление кифоза (искривление позвоночника в форме горба). Кстати, тот самый нарост, который многие именуют «скоплением жира», может быть симптомом нестабильности. [5]
7. Нарушение сна. Развивается при хронизации боли. Постоянное ощущение дискомфорта, невозможность найти удобную позу для сна, вынужденная поза при выполнении повседневной нагрузки — всё это способствует невротизации, и, как следствие, развивается нарушение сна. [2] [3] [4]
Патогенез нестабильности шейного отдела позвоночника
Вопросом изучения патогенеза нестабильности сегментов шейного отдела позвоночника занимался Krismer и его ученики. [1] Опытным путём они доказали, что волокна фиброзного кольца межпозвонкового диска ограничивают ротацию позвонков даже сильнее, чем межпозвонковые и фасеточные суставы. Они также перечислили различные определения нестабильности, описали её, как состоящую из следующих механических аномалий:
- избыточное поступательное движение в дорсолатеральном направлении, что является результатом разрушения диска и нарушения его структуры;
- патологические синкинезии (или сдвоенное движение), которые развиваются как следующий этап при невозможности выполнения диском своей стабилизирующей функции и переноса центра тяжести на соседние позвонки + диски + связки;
- увеличение нейтральной зоны, что является результатом предыдущего этапа. Любое движение патологично и затрагивает многие позвонки.
- патологический центр ротации (движения вокруг продольной оси). В ситуации постепенного разрушения диска, что наблюдается при протрузиях и грыжах дисков, межпозвонковые суставы берут на себя функцию ограничения ротации. Для этих суставов такая функция является чрезмерной, и в них развивается артроз. Именно таким путём прогрессирует дегенеративная (или дискогенная) нестабильность. Итогом становится развитие спондилоартроза (дегенеративного заболевания межпозвоночных суставов).

Вопросы развития других видов нестабильности в настоящий момент являются дискутабельными. Хотя, рассматривая патогенез послеоперационной нестабильности, многие авторы сходятся во мнении, что сама операция является фактором, усиливающим нестабильность. Ведь сложно представить ситуацию, когда потребовалось удалить здоровый диск.
Классификация и стадии развития нестабильности шейного отдела позвоночника
- Посттравматическая нестабильность. Самый часто встречающийся вид, диагностируется в любой возрастной категории. Бывает следствием родов, когда оказывается акушерское пособие (например, выдавливание ребёнка при слабости родовой деятельности или нарушении расхождения лонного сочленения и/или крестцово-подвздошных сочленений). В такой ситуации нестабильность может сформироваться у матери и у ребёнка, но в разных отделах: у ребенка — в шейном, у матери — в пояснично-крестцовом. Также посттравматическая нестабильность является следствием переломов и вывихов шейных позвонков, например после ДТП или при занятиях спортом, в основном профессиональным. [3][4][5]
- Дегенеративная (или дискогенная) нестабильность. О ней подробно мы говорили в разделе «патогенез». Следует также отметить, что первым признаком такого вида является боль. Она вызвана давлением диска на заднюю продольную связку. Давление диска, в свою очередь, является результатом разрушения и нарушения питания диска ввиду постоянной его перегрузки. [1][5]
- Послеоперационная нестабильность. При выполнении оперативного вмешательства на позвоночнике часто приходится резецировать или удалять фасетки. Это требуется технически. Впоследствии нагрузка на позвонки и межпозвонковые суставы увеличивается в разы, что может потребовать дополнительной операции. [1][3][5]
- Диспластическая нестабильность. Развивается ввиду нарушения внутриутробного развития позвоночника и его структур, например врождённая асимметрия межпозвонковых суставов, конкресценция позвонков (т.е. сращение), недоразвитие хряща и др. Клинически и рентгенологически эти аномалии будут проявляться в виде выраженной нестабильности. [5]
- Сочетанный вид нестабильности, характеризующийся сочетанием различных видов. [1][3][5]
Различают три стадии нестабильности: [1]
- Первая стадия. Развивается в возрасте 2-20 лет. На этой стадии может беспокоить острая боль, локализующаяся около позвоночника, или корешковая боль. Рентгенологически часто не выявляется.
- Вторая стадия. Развивается в возрасте 20-60 лет. На этой стадии беспокоит частая рецидивирующая боль, возникающая в межпозвонковых суставах и/или связках. Рентгенологически, наряду с признаками нестабильности, определяются спондилоартроз различной степени и уменьшение высоты дисков.
- Третья стадия. Развивается после 60-ти лет. На этой стадии подвижность межпозвонковых суставов значительно уменьшается, что способствует стабилизации позвоночника. Это вызывает уменьшение частоты и интенсивности болевого синдрома. Следует помнить, что болевой синдром может быть достаточно интенсивным при развитии реактивных системных заболеваний.
Осложнения нестабильности шейного отдела позвоночника
Самыми частыми осложнениями являются сдавление позвоночной артерии (или синдром позвоночной артерии) и интенсивный болевой синдром.
Синдром позвоночной артерии развивается в двух ситуациях:
- когда артерия сдавливается в межпозвонковых пространствах остеофитами при развитии спондилоартроза;
- на экстравертебральном уровне нижней косой мышцей.
Сдавление артерии чревато развитием общемозговой и вестибулярной симптоматики в виде головной боли, головокружения и шумовых эффектов. При остром сдавлении, как правило, развивается острый приступ в виде выраженного головокружения с тошнотой и рвотой, нарушение вестибулярной функции. При длительном сдавлении развивается хроническое нарушение мозгового и спинального кровообращения. [4]
Интенсивный болевой синдром встречается достаточно часто (либо в ситуации отсутствия лечения, либо невыполнения рекомендаций доктора по ограничению физических нагрузок). Нарастание мышечного тонуса, постоянный недостаток питательных веществе в силу нарушения кровообращения способствуют также хронизации боли. [1] [2] [5]
Расстройство двигательной функции и чувствительности развивается при сдавлении мышц и нервов, залегающих в межмышечных пространствах. Характеризуется ограничением функции мышц и онемением в зоне иннервации нервов. [1] [3] [4] [5]
К самым серьезным осложнениям нестабильности относят стеноз позвоночного канала и компрессию спинного мозга. [1] [4] [5]

Оба расстройства опасны нарушением кровообращения, признаком которого является поражение проводящих нервных волокон, что клинически проявляется парезом (параличом) верхних и нижних конечностей, нарушением функции органов малого таза и кожной чувствительности.
Справедливости ради стоит отметить, что подобные осложнения при современном уровне диагностики и лечения возникают крайне редко.
Диагностика нестабильности шейного отдела позвоночника
Сбор жалоб и анамнеза заболевания является неотъемлемым этапом обследования пациента. При этом врач обращает внимание на характеристики и описания болевого синдрома, его локализацию, сопутствующие симптомы, такие как головная боль, головокружение, шаткость при ходьбе и др.
Неврологический осмотр. При осмотре врач-невролог определяет болезненность паравертебральных точек в шейном отделе позвоночника, напряжение и болезненность мышц, зоны отражённой и иррадиирующей боли, нарушения чувствительности, объём движений мышц и суставов, объём движений в шейном отделе позвоночника.
Рентгенографическое исследование. В стандартных проекциях признаки нестабильности обнаруживаются редко. Обязательным является выполнение функциональных рентгенологических исследований. Это самая важная методика, которой в последнее время, к сожалению, пренебрегают. При выполнении определяется переднезаднее смещение тела одного позвонка относительно другого позвонка. Общепринятой толщиной этого размера является 4 мм. Одной из возможных причин, по которой методику всё чаще игнорируют, является тот факт, что не обнаруживается корреляции между выраженностью симптомов и размерами смещения.
Компьютерная томография применяется для исследования всего шейного отдела или одного позвонка. На КТ шейного отдела можно определить ширину позвоночного канала, степень спондилоартроза.
Магнитно-резонансная томография применяется для исследования всего шейного отдела, особенно тщательно позволяет рассмотреть межпозвонковые диски.
Лечение нестабильности шейного отдела позвоночника
При наличии нестабильности лечение должно быть комплексным. Огромную роль играет профилактика.
Лечение строится из нескольких этапов.
Медикаментозное лечение:
- нестероидные противовоспалительные препараты имеют своей целью купировать воспаление, уменьшить и излечить боль;
- миорелаксанты позволяют уменьшить мышечный спазм и тонус, способствуют уменьшению сдавления нервных корешков;
- витамины группы В питают нервную ткань, восстанавливая и защищая её;
- витамины группы Д и препараты кальция назначаются пациентам с остеопорозом.
Физиотерапевтическое лечение. [1] [2] [5]
Является эффективным средством лечения боли, купирования воспаления, восстановления нервной и мышечной ткани. Также физиотерапевтическое лечение позволяет доставить в очаг лекарственное вещество посредством электрического тока. При физиотерапевтическом лечении применяют:
- методики, купирующие воспаление: электрофорез, магнитотерапия, УВЧ-терапия;
- методики, способствующие регенерации тканей: лазеротерапия, грязелечение.
Новокаиновая блокада [1] [2]
Является способом купирования острой боли за счёт доставки лекарственного вещества непосредственно к её очагу. Проводится врачом-неврологом в медицинском учреждении (не на дому!) после специального курса обучения. Лекарственным веществом может выступать раствор Новокаина 0,5% или раствора Лидокаина 2%. Также можно добавить растворы витаминов или гормонов. Состав вводимого вещества подбирает доктор в соответствии с клиническими показаниями в отсутствии противопоказаний к вводимым препаратам. Следует учесть, что врач-невролог не должен вводить вещество в межпозвонковые суставы, эту процедуру могут проводить только врачи-нейрохирурги.

Иммобилизация позвоночника. [2] [3] [5]
Является одним из первых средств помощи при обострении. Осуществляется специальным воротником, ограничивающим подвижность. Назначается только врачом, подбирается строго индивидуально по размерам шеи. Рекомендовано подбор проводить в специализированных ортопедических салонах. Режим ношения воротника также рекомендуется в зависимости от причины, вызвавшей обострение.

Мануальная терапия. [3] [5]
Является средством мобилизации позвонков. Запрещено выполнять в острый период травмы. Выполняется мануальным терапевтом по рекомендации невролога после осмотра.
Лечебная гимнастика. [3]
Является одним из самых эффективных средств профилактики и лечения. Курс разрабатывается для пациента в зависимости от причины, вызвавшей нестабильность, а также состояния позвоночника. Цель гимнастики — это укрепления мышечной ткани (связок и мышц). Если гимнастика проводится после травмы или оперативного вмешательства, то проводится только под контролем врача-невролога или инструктора-методиста в кабинете ЛФК. После обучения курс проводится дома самостоятельно.
Рефлексотерапия, в частности акупунктура.
Является средством купирования боли, восстановления мышечной и нервной ткани, лечения сопутствующих симптомов: улучшение кровообращения, улучшение сна. Выполняется только врачом-рефлексотерапевтом при помощи специальных игл.
Хирургическое лечение. [1] [5]
Является редкой практикой. Выполняется в детском возрасте в случае доказанных аномалий строения. Во взрослой практике чаще выполняется операция «спондилодез». Она заключается в имплантации конструкции из металлических пластин и фиксирующих элементов. Её задача — препятствовать избыточной подвижности позвоночника. Операция применяется после травм, дискотомий и ламинэктомий. Последние две проводятся при грыжах позвоночника.
Читайте также:
