Лучевая диагностика плоскоклеточного рака твердого неба
Добавил пользователь Евгений Кузнецов Обновлено: 11.12.2025
Рак полости рта составляет 5% от онкологических заболеваний, диагностируемых у пациентов. Злокачественная опухоль может поражать различные структуры в полости рта: губы, челюсть, десна, щеки, горло. Данное заболевание известно с давних времен, поэтому в современной медицине существуют эффективные методы диагностики и лечения онкологии, локализованной в ротовой полости.
При появлении первых признаков патологического процесса некоторые люди пытаются самостоятельно определить заболевание, изучают рак полости рта, фото пораженной опухолью ротовой полости. Неприятные ощущения в ротовой полости должны стать поводом для посещения специалистов, которые после диагностики поставят диагноз.
Причины рака ротовой полости
Ведущую роль в возникновении рака слизистой полости рта играют вредные привычки (курение, жевание табака и бетеля, употребление спиртных напитков и наркотического вещества наса). Вторым по значимости фактором, провоцирующим рак полости рта, являются повторяющиеся механические травмы: ранки, которые возникают при контакте с осколком зуба или острым краем пломбы, использование некачественных зубных протезов.
Учёными установлена связь между раком слизистой рта и вирусом папилломы человека, который передаётся половым путем, при поцелуях или бытовых контактах. Вирус увеличивает риск возникновения опухоли. Развитию рака полости рта способствует употребление слишком горячей или острой пищи, дефицит витамина А, при котором нарушаются процессы ороговения эпителия. В полости рта опухоль часто появляется на фоне хронических воспалительных процессов и предраковых заболеваний (лейкоплакии).
Классификация рака слизистой оболочки рта
Выделяют следующие типы злокачественных опухолей рта:
- Ороговевающий плоскоклеточный рак - проявляется наличием крупных участков ороговевшего эпителия («раковых жемчужин»), характеризуется быстрым агрессивным местным ростом;
- Неороговевающий плоскоклеточный рак полости рта с разрастанием атипичного эпителия без скоплений ороговевших клеток;
- Низкодифференцированный рак, клетки которого напоминают саркому (протекает наиболее злокачественно).
Как выглядит рак во рту? С учётом особенностей роста опухоли, расположенной в полости рта, различают 3формы рака: язвенную, узловатую и папиллярную. Самой распространённой является язвенная форма злокачественной опухоли ротовой полости. Проявляется образованием медленно или быстро растущих язв.

Узловатый рак ротовой полости по внешнему виду представляет плотный узел, который покрыт беловатыми пятнами. Папиллярные злокачественные опухоли в ротовой полости представлены быстро растущими плотными выростами.
Для определения тактики лечения заболевания онкологи Юсуповской больницы используют классификацию рака полости рта по стадиям:
- I стадия - диаметр новообразования не превышает одного сантиметра, опухоль не распространяется за пределы слизистого и подслизистого слоёв ротовой полости, лимфатические узлы не поражены;
- II А стадия - во рту выявляют новообразование диаметром менее двух сантиметров, которое прорастает ткани на глубину не более одного сантиметра, регионарные лимфоузлы не содержат метастазов;
- II В стадия - характеристика опухоли соответствует признакам рака IIА стадии, поражён 1 регионарный лимфоузел;
- III А стадия - диаметр новообразования не превышает трёх сантиметров, регионарные лимфатические узлы не вовлечены в патологический процесс;
- III В стадия - опухоль такого же размера, как и при предыдущей стадии, но определяются многочисленные метастазы в регионарных лимфатических узлах;
- IVА стадия - опухоль распространяется на кости и мягкие ткани лица, регионарные метастазы отсутствуют;
- IVВ стадия - новообразование любого размера с наличием отдалённых метастазов или пораженных лимфоузлов, поражённых злокачественными клетками.
Рак полости рта: симптомы на начальной стадии
Онкология полости рта на начальной стадии характеризуется появлением дискомфорта в месте новообразования. В ходе осмотра у больного выявляются красные или белые пятна, уплотнение пораженной ткани, язвы.
Рак полости рта, симптомы и первые признаки которого нарастают постепенно, успешно лечится врачами-онкологами при своевременной диагностике. Однако некоторые пациенты не обращают внимания на первые симптомы болезни и несвоевременно обращаются в медицинские учреждения.
Плоскоклеточный рак полости рта на поздних стадиях характеризуется следующими проявлениями:
- болевой синдром, усиливающийся при увеличении опухоли;
- трудности при жевании и глотании;
- усиленное слюноотделение;
- неприятный запах изо рта;
- отечность тканей;
- осиплость голоса;
- расшатывание и выпадение зубов;
- кровоточивость в ротовой полости;
- повышение температуры тела;
- резкое снижение веса.
Данные симптомы характерны не только для рака рта, но и для других стоматологических заболеваний. Комплексная диагностика, проводимая специалистами Юсуповской больницы, направлена на выявление причин неприятных ощущений. При своевременном обращении к врачу возможно выявить плоскоклеточный рак слизистой полости рта и устранить злокачественную опухоль.
Рак полости рта: фото
Люди, испытывающие неприятные ощущения в ротовой полости, желают знать, как рак полости рта на фото начальная стадия. Существует три формы онкологии: язвенная, папиллярная и узловая. При язвенной форме на фото отмечаются единичные или множественные воспаленные изъязвления слизистой оболочки. Данная опухоль является болезненной даже на начальной стадии.
Новообразования на небе во рту узловой формы проявляются в виде белых пятен, которые окружены уплотнением. Для данных новообразований характерен быстрый рост и четкая форма. Слизистая оболочка при развитии патологического процесса остается без изменений.
Рак рта фото папиллярной формы характеризуется расположением на слизистой оболочке плотных наростов, которые растут в ротовую полость. При злокачественной опухоли данной формы отмечается наиболее медленный рост, в сравнении с другими формами рака.
Если существуют симптомы, указывающие на рак полости рта, фото начальная стадия являются малоинформативными для человека, не имеющего медицинского образования. Своевременная диагностика повышает вероятность положительного исхода болезни.
Диагностика новообразования на слизистой полости рта
Рак полости рта обнаруживается в ходе визуального осмотра и пальпации лимфатических узлов специалистом, позволяющей опередить степень проникновения новообразования в ткани. Для установления возможного поражения костной ткани проводится рентгеновское исследование. Анализ крови при диагностике рака ротовой полости направлен на выявление антигенов, продуцируемых злокачественным новообразованием.
Рак дна полости рта и других структур обнаруживается в ходе нескольких исследований, выполняемых в Юсуповской больнице. Пациентам с подозрением на онкологию в диагностическом центре проводят:
- компьютерную томографию с введением контрастного вещества. Данный метод позволяет определить форму и размер новообразования, его локализацию;
- биопсию, при которой проводится гистологическое исследование частиц опухоли. При данном исследовании специалистами определяется, насколько глубоко рак полости рта проник в близлежащие ткани и, какова его структура;
- ультразвуковое исследование направлено на выявление возможных метастазов опухоли.
Использование современных диагностических методов и средств повышает качество лечение рака слизистой рта. Техническое оснащение клиники онкологии Юсуповской больницы и сотрудничество с ведущими научными центрами позволяет выполнять сложнейшие диагностические процедуры и обнаруживать рак полости рта, симптомы которого могут отсутствовать.
Лечение новообразования во рту
Больным, у которых диагностирован рак полости рта бессмысленно изучать фото начальная стадия, так как профессиональный врач-онколог Юсуповской больницы в ходе диагностики самостоятельно определить форму и локализацию опухоли. Методы лечения рака ротовой полости зависят от стадии заболевания и характера опухоли.
Саркома Капоши в полости рта и другие злокачественные образования требуют незамедлительного хирургического вмешательства на начальной стадии. В ходе операции врачом-хирургом иссекается новообразование и некоторые участки здоровых тканей для предотвращения рецидивов.
Если у пациента рак рта симптомы и фото, полученные в ходе диагностики, указывают на незначительное распространение опухоли, то требуется сочетание нескольких методов для эффективного ее удаления. Так, дополнением оперативного вмешательства является лучевая терапия, которая позволяет уменьшить опухоль. При использовании данного метода появляются побочные эффекты, о которых пациентов Юсуповской больницы информируют врачи-онкологи.
Обратитесь к врачам-онкологам для прохождения диагностики и получения качественной медицинской помощи при раке ротовой полости и других злокачественных новообразованиях. Высококвалифицированные специалисты помогают всем больным без исключения.
Плоскоклеточный рак
Плоскоклеточный рак, или плоскоклеточная карцинома - это гистологический тип злокачественных опухолей, такой диагноз устанавливают по результатам биопсии после исследования образца опухолевой ткани под микроскопом. Новообразование формируется из плоских клеток эпидермиса, которые выглядят как чешуйки. Оно может возникать на коже, в полости рта, в гортани, трахее, бронхах, пищеводе, на половых органах, в прямой кишке.

В «Евроонко» диагностикой и лечением плоскоклеточного рака занимаются врачи экспертного уровня, за плечами которых обширный опыт работы в ведущих онкологических центрах Москвы. С пациентом работает команда, в которую входят онкологи, дерматоонкологи, хирурги, химиотерапевты, радиотерапевты и другие специалисты. Мы применяем инновационные методы лечения, препараты последнего поколения, проводим противоопухолевую терапию в соответствии с ведущими международными рекомендациями. «Евроонко» - первый российский частный онкологический центр, в котором можно получить эффективное паллиативное лечение на поздних стадиях, даже в случаях, когда от пациента отказались в других клиниках.
Причины возникновения плоскоклеточного рака
Причины плоскоклеточного рака те же, что и для других типов злокачественных опухолей. В клетках происходят определенные мутации, которые приводят к злокачественному перерождению. «Неправильные» клетки утрачивают внешние черты и функции нормальных, начинают бесконтрольно размножаться, приобретают способность распространяться в организме.
Основные факторы риска плоскоклеточного рака:
- На коже такие опухоли часто возникают из-за действия ультрафиолетовых лучей. Наиболее уязвимы открытые участки тела.
- Плоскоклеточный рак половых органов, головы и шеи вызывают некоторые типы вируса папилломы человека.
- Риск развития плоскоклеточного рака повышен у курильщиков и людей, которые употребляют много алкоголя.
- Вероятность развития онкологического заболевания повышается с возрастом, так как в клетках тела накапливаются мутации.
- Шрамы, ожоги, хронический воспалительный процесс.
- Воздействие некоторых канцерогенных веществ, например, если человек работает на производстве и контактирует с химикатами.
- Снижение иммунитета.
Ни один из этих факторов не приводит гарантированно к заболеванию - каждый из них лишь в определенной степени повышает вероятность.
Какие бывают виды плоскоклеточного рака?
Злокачественные новообразования данного гистологического типа встречаются на разных частях тела. В зависимости от локализации, могут несколько различаться их свойства, подходы к диагностике и лечению, прогноз для пациента.

Рак кожи
Злокачественные опухоли кожи представлены плоскоклеточным раком примерно в 20% случаев. Намного чаще пациенты страдают базальноклеточным раком, который происходит из клеток, находящихся в нижнем слое эпидермиса.
Плоскоклеточный рак более агрессивен по сравнению с базальноклеточным. Он с большей вероятностью прорастет в глубокие слои кожи, будет распространяться в организме с образованием отдаленных метастазов. Тем не менее, это происходит довольно редко. Чаще всего опухоль удается обнаружить и удалить на ранней стадии.
Как правило, плоскоклеточный рак возникает на коже лица, ушей, шеи, тыльной стороне рук, реже - в области половых органов. Нередко новообразование развивается там, где находятся шрамы и хронические повреждения.

Плоскоклеточный рак красной каймы губ
Злокачественные опухоли губ составляют не более 1-3% от всех онкологических заболеваний. В большинстве случаев (95%) они представлены плоскоклеточным раком, который бывает двух типов:
- Плоскоклеточный ороговевающий рак ведет себя не так агрессивно, медленно растет, редко образует отдаленные метастазы.
- Плоскоклеточный неороговевающий рак растет быстро, раньше приводит к изъязвлению и чаще метастазирует.
Исследования показывают, что у мужчин этот тип рака встречается в 3-13 раз чаще, чем у женщин. Вероятно, это связано с тем, что представители мужского пола чаще подвергаются воздействию солнечных лучей на рабочем месте, среди них более распространено курение, употребление алкоголя.
Рак полости рта
Раком ротовой полости называют злокачественные опухоли, которые возникают на слизистой оболочке губ, щек, десен, передних двух третей языка, неба, дна ротовой полости (находится под языком). В 90% случаев они представлены плоскоклеточным раком, из них 5% - плоскоклеточный ороговевающий рак, который менее агрессивен, реже прорастает в окружающие ткани, распространяется в лимфатические узлы и метастазирует.
Рак пищевода
Слизистая оболочка пищевода выстлана многослойным плоским эпителием, и из него может развиваться плоскоклеточный рак. Чаще всего такие опухоли находятся в шейном отделе пищевода и верхних двух третях грудного отдела. В нижней трети органа чаще встречаются аденокарциномы - злокачественные опухоли из железистых клеток.
Рак гортани
При раке гортани опухоль практически всегда развивается из плоского эпителия и представляет собой плоскоклеточную карциному. Обычно возникновению опухоли предшествуют предраковые изменения - дисплазия. Клетки, которые находятся в очаге, внешне не похожи на нормальные, но отличаются и от раковых. В ряде случаев дисплазия не приводит к развитию рака и даже проходит самостоятельно, особенно если устранена ее причина, например, человек бросил курить. Но у некоторых людей предраковые изменения приводят к возникновению «рака на месте» (in situ), а затем инвазивной опухоли.

Рак трахеи и бронхов
Плоскоклеточный рак - наиболее распространенный тип злокачественных опухолей в трахее. Обычно он возникает в нижней части трахеи, довольно быстро растет, прорастает ее стенку, приводит к изъязвлениям и кровотечению. Это редкий тип рака, его основной причиной является курение.
Наиболее распространенным раком легкого является немелкоклеточный рак - он встречается в 80% случаев и в 30% случаев представлен плоскоклеточной карциномой. Нередко эти опухоли находятся в бронхах.
Рак шейки матки
Шейка матки состоит из двух частей. Экзоцервикс находится снаружи, во влагалище, это то, что видит гинеколог во время осмотра. Эндоцервикс - канал шейки матки, он соединяет матку с влагалищем. В норме экзоцервикс выстлан плоским эпителием, а эндоцервикс - железистым. Место, где они встречаются, называется зоной трансформации.
Плоскоклеточным раком представлены 90% злокачественных опухолей шейки матки. Чаще всего новообразование возникает в области зоны трансформации. Раки, которые развиваются из железистых клеток эндоцервикса, называются аденокарциномами.
В редких случаях в шейке матки встречается железисто-плоскоклеточный рак.
Рак вульвы
Вульвой называют наружные женские половые органы: преддверие влагалища, большие и малые половые губы, клитор. Большинство типов рака, которые развиваются в этой области, представлены плоскоклеточным раком (70-90%). Они делятся на две группы:
- Большая группа - опухоли, происхождение которых неизвестно. Чаще всего их диагностируют у женщин старшего возраста.
- Меньшая группа - злокачественные опухоли, вызванные вирусом папилломы человека.
Рак прямой кишки
В большинстве случаев злокачественные опухоли прямой кишки представлены аденокарциномами - железистым раком. Плоскоклеточный рак в этом органе встречается очень редко и составляет от 10 до 25 случаев на каждые 100 тысяч случаев колоректального рака.
Плоскоклеточный рак составляет 90% от всех злокачественных новообразований анального канала - узкого прохода, который соединяет прямую кишку с анусом.
Рак миндалин
У человека есть четыре вида миндалин: небные (при их воспалении развивается тонзиллит), трубные (находятся в глотке возле отверстий слуховых труб), язычная (позади языка) и глоточная (у детей из-за нее бывают аденоиды). Чаще всего злокачественные опухоли развиваются в небных миндалинах. В большинстве случаев это плоскоклеточный рак. Его сложно диагностировать, поэтому зачастую он выявляется на поздних стадиях.

Виды диагностики заболевания
Врач-онколог назначает пациенту те или иные виды диагностики, в зависимости от того, в каком органе находится злокачественная опухоль:
Место локализации рака
Методы диагностики
- Осмотр дерматолога.
- Дерматоскопия.
- В «Евроонко» применяется современная дерматоскопическая установка — ФотоФайндер. Она позволяет составить «карту родинок» и выявить мельчайшие изменения на коже.
- Осмотр ЛОР-врача.
- Фарингоскопия.
- Ларингоскопия.
- Бронхоскопия.
- Эзофагоскопия.
- Исследование на ВПЧ.
- Эндоскопическое исследование, в том числе эндоУЗИ.
- Рентгенография с контрастным усилением.
- КТ, МРТ.
- Рентгенография грудной клетки.
- Бронхоскопия.
- Осмотр гинеколога
- Осмотр гинеколога.
- Кольпоскопия.
- Осмотр врача-проктолога.
- Проктоскопия.
- Колоноскопия.
- Анализ кала на скрытую кровь.
Во всех случаях, когда обнаружено патологическое образование, проводят биопсию - исследование, во время которого получают фрагмент подозрительной ткани и отправляют в лабораторию для гистологического и цитологического исследования. Биопсия - самый точный метод диагностики рака. Она помогает не только достоверно установить диагноз, но и определить гистологический тип новообразования.Для того чтобы проверить степень распространения рака в организме и уточнить стадию, врач может назначить дополнительные исследования:
- компьютерную томографию, МРТ;
- рентгенографию грудной клетки, костей;
- ПЭТ-сканирование;
- УЗИ и эндоскопические исследования органов, в которые мог прорасти рак.
Лечение плоскоклеточного рака
Лечение зависит от локализации, стадии рака, общего состояния пациента, наличия у него сопутствующих заболеваний и других факторов.
Лучевая терапия
Ионизирующее излучение повреждает опухолевые и другие быстро размножающиеся клетки. Этот вид лечения плоскоклеточного рака может быть назначен до или после операции, либо на поздних стадиях в паллиативных целях.

Хирургия
Радикальные операции возможны, если нет метастазов, и не произошло сильное прорастание рака в окружающие ткани. В одних случаях таким пациентам показано только хирургическое лечение, в других его дополняют противоопухолевыми препаратами, лучевой терапией - это помогает снизить риск рецидива.
При запущенном плоскоклеточном раке может быть выполнено паллиативное хирургическое вмешательство, направленное на ликвидацию симптомов, восстановление проходимости и функции пораженного органа.
Медикаментозное лечение плоскоклеточного рака
Химиотерапия при плоскоклеточном раке может быть адъювантной (после операции), неоадъювантной (до хирургического вмешательства) или применяется в качестве самостоятельного метода лечения на поздних стадиях.
Если опухоль обладает определенными молекулярно-генетическими характеристиками, назначают таргетную терапию. Таргетные препараты прицельно воздействуют на молекулы, которые помогают раку расти и поддерживать свою жизнедеятельность.
Врачи «Евроонко» применяют при плоскоклеточном раке оригинальные противоопухолевые препараты последнего поколения, назначают их в соответствии с современными международными протоколами.
Симптоматическое лечение при плоскоклеточном раке
Лечение при плоскоклеточном раке и любых других злокачественных новообразованиях должно быть направлено не только на борьбу с самой опухолью, но и на купирование симптомов, улучшение состояния пациента. В «Евроонко» пациент может получить все виды симптоматической терапии при раке:
- Купирование болевого синдрома в соответствии с трехступенчатой схемой ВОЗ.
- Восстановление проходимости пищевода, кишечника, дыхательных путей.
- Устранение кровотечений, при необходимости - переливание крови.
- Купирование тошноты.
- Устранение сдавления опухолью внутренних органов, нервов, сосудов.
- Лечение экстренных состояний в условиях палаты интенсивной терапии, оснащенной современной аппаратурой.
- Контроль и коррекция нутритивного статуса.
- Поддерживающая терапия помогает комфортно перенести курс химиотерапии, предотвратить и купировать побочные эффекты.

Прогноз выживаемости при плоскоклеточном раке
Прогноз зависит от того, в каком месте начался рост рака, на какой стадии установлен диагноз и начато лечение. Например, зачастую выживаемость при раке кожи и красной каймы губ стремится к 100%, потому что такие опухоли, как правило, удается обнаружить достаточно рано, и они не очень агрессивны. Если появились отдаленные метастазы, шансы на ремиссию становятся крайне низкими. Но таким пациентам все еще можно помочь: затормозить прогрессирование плоскоклеточного рака, продлить жизнь, улучшить общее состояние, купировать мучительные симптомы.
Мы в «Евроонко» считаем, что безнадежных больных не бывает. Помочь можно всегда. Никогда не стоит сдаваться. Мы знаем, как помочь.
Злокачественные опухоли полости рта
Злокачественные опухоли полости рта составляют около 6% от всех онкозаболеваний в целом. По гистологическому строению (типу образующих опухоль клеток) выделяют следующие типы:
- Опухоль из клеток эпителия — рак
- Опухоль из клеток соединительной ткани — саркома
- Меланома
Каждый из типов включает в себя несколько разновидностей.
Также отдельно выделяют несколько групп предраковых заболеваний. Предраковые заболевания полости рта делятся на:
- Облигатные — с высокой частотой озлокачествления. К ним относится болезнь Боуэна, бородавчатый предрак, ограниченный гиперкератоз, хейлит Манганотти.
- Факультативные — с меньшей частотой озлокачествеления. В данную группу входят веррукозная форма лейкоплакии, папилломатоз, эрозивноязвенная и гиперкератотические формы системной красной волчанки и красного плоского лишая, постлучевой стоматит и постлучевой хейлит, кератоакантома.
Среди злокачественных опухолей полости рта чаще всего встречается рак.
Рак полости рта, в свою очередь, подразделяется следующим образом.
- Интраэпителиальная карцинома (Carcinoma in situ, рак in situ) характеризуется отсутствием прорастания в базальную мембрану, несмотря на злокачественность новообразования.
- Плоскоклеточный рак — встречается наиболее часто.

Причины и факторы риска
Причины развития злокачественных новообразования полости рта можно условно разделить на местные и общие факторы повышения риска.
К общим факторам относят возраст, наличие в анамнезе различных вредностей (воздействие радиации и т.п.), наследственная предрасположенность.
Местными факторами называют локальные факторы, влияющие на ротовую полость. К ним относятся — жевание насвая (табако- и наркосодежащих смесей), курение, привычка употреблять внутрь обжигающе горячие напитки, хроническая травматизация слизистой (обломком зуба, деформированным зубным протезом), а также наличие предраковых заболеваний. Отдельно следует выделить фактор риска выявления заболевания на поздних стадиях — отсутствие ежегодных осмотров стоматолога.
Именно пренебрежение профилактическими визитами к доктору препятствует диагностике рака на ранних, поддающихся лечению, стадиях и выявлению и лечению.
Локализация
Рак полости рта принято классифицировать по локализации. Это связано с тем, что обсуждаемая зона включает большое количество анатомических образований, отличающихся существенным разнообразием.
При выборе тактики лечения и вида операции значимую роль играет именно положение опухоли во рту. Разные участки ротовой полости по-разному иннервированы, по-разному кровоснабжаются, имеют разную функциональную значимость, поэтому перспективы лечения абсолютно одинаковых опухолей, расположенных в различных местах, могут существенно отличаться.
По локализации рак полости рта принято подразделять на:
- Рак щек
- Рак дна полости рта
- Рак в зоне альвеолярного отростка
- Рак неба
- Рак десны
Рак слизистой оболочки щек
Рак слизистой оболочки щек занимает второе по частоте место (после рака языка) в структуре рака полости рта. Существенное влияние на повышение риска оказывают местные факторы, химические и физические агенты, вызывающие хроническую травматизацию слизистой оболочки. В большей степени, чем при раке других зон, актуален такой предрасполагающий фактор как хроническая травматизация зубными протезами, острыми краями поврежденных зубов.
Рак дна полости рта
Данный вид опухоли составляет 10-15% всех раков полости рта. Дно ротовой полости образовано структурами между языком и подъязычной костью. Слизистая, выстилающая дно полости рта, имеет развитую подслизистую основу, состоящую из рыхлой соединительной ткани и клетчатки. Данная область богато кровоснабжается. Всё это создаёт благоприятные условия для роста опухоли, ее распространения и метастазирования.
Рак языка
Рак языка — наиболее распространенная разновидность рака полости рта. Язык — подвижный орган с большим количество нервных окончаний (рецепторов). Благодаря этому пациенты, как правило, обращают внимание на возникшее новообразование, и имеют возможность своевременно обратиться за помощью. Развитая сеть кровеносных и лимфатических сосудов способствует раннему метастазированию опухоли, в первую очередь — в периферические лимфоузлы.

Рак в зоне альвеолярного отростка
Рак в данной области развивается или из клеток слизистой оболочки, или из эпителиальных островков Малассе. Эпителиальные островки Малассе — это остатки эпителиальных клеток в толще периодонта. В норме данные клетки никак себя не проявляют, но при неблагоприятных условиях могут стать источником опухоли. Отличительная особенность этих опухолей -относительно раннее возникновение симптомов, зубы в зоне роста опухоли подвергаются ее воздействию, у пациента появляются жалобы на боли.
Рак неба
Рак неба встречается редко. Разделяют твердое и мягкое небо, поэтому гистологические типы опухоли мягкого и твердого неба различны. Для твердого неба более характерны цилиндромы и аденокарциномы, мягкое небо в большей степени подвержено плоскоклеточному раку.
Метастазы
Метастатическая природа опухолей полости рта — большая редкость. Описаны случаи опухолей легких, почек, молочной и щитовидной желез, метастазировавших в ротовую полость. Также метастазировать в полость рта могут саркомы. Чаще появление признаков онкопатологии в полости рта может быть вызвано прорастанием опухоли из соседних анатомических зон. Уточнению диагноза помогает исследование тканей опухоли — гистологическое исследование.
Симптомы рака полости рта
Проявления заболевания зависят от характера опухоли и от зоны расположения. Как правило, пораженная область представляет собой или локальное изъязвление, или уплотнение (выпуклость, узел). Пациент чувствует боль и дискомфорт в соответствующей зоне. К тревожным признакам надо отнести следующие:
- Длительно существующая, незаживающая язва во рту.
Ротовая полость богата кровеносными сосудами, эпителий слизистой хорошо кровоснабжен и в норме при травматизации происходит быстрое его заживление. Любое повреждение слизистой рта заживает быстрее, чем аналогичное повреждение на
коже руки или ноги. Поэтому, если во рту есть язва и она по неясным причинам не затягивается длительное время — следует обратиться за медицинской помощью. - Бугорки, «шарики» под слизистой, независимо от той области рта, где они возникли.
Уплотнение под слизистой может быть симптомом как неонкологической патологии (например, кисты одной из мелких желез), так и признаком рака. Отличить одно от другого может только специалист. Уплотнение, возникшее изначально как киста, при отсутствии лечения в дальнейшем может подвергнуться озлокачествлению. - Нарушение глотания, жевания, неприятные ощущения у корня языка — все это повод заподозрить рак соответствующей области.
- Зубная боль и кровоточивость конкретного участка десны могут быть признаками рака. И, хотя аналогичные симптомы вызываются и куда менее грозными недугами, консультация стоматолога необходима. Таким образом, любое нарушение анатомической целостности или функциональных возможностей органов данной зоны несет в себе потенциальную угрозу, и это повод показаться врачу.
Стадии заболевания
I стадия характеризуется наличием опухоли до 1-2 см в диаметре, не выходящей за пределы пораженной зоны (щеки, десны, неба, дна полости рта), ограниченной слизистой оболочкой. В регионарных лимфоузлах метастазы не определяются.
II стадия — поражение такого же или большего диаметра, не выходящее за пределы какого-либо одного отдела полости рта, но распространяющееся в подслизистый слой. В регионарных лимфатических узлах — единичные метастазы.
III стадия — опухоль прорастает в подлежащие ткани, но не глубже периоста челюсти, или распространилась на соседние отделы полости рта. В регионарных лимфатических узлах — множественные метастазы размерами до 2 см в диаметре.
IV стадия — поражение распространяется на несколько отделов полости рта и глубоко инфильтрирует подлежащие ткани, в регионарных лимфатических узлах — неподвижные или распадающиеся метастазы, также характерно наличие отдаленных метастазов.

Классификация по стадиям периодически подлежит пересмотру, можно встретить подразделение стадий на подвиды — А и В. В настоящее время классификация по стадиям используется все реже, более актуальна классификация TNM. Ее принцип заключается в том, что данной кодировкой обозначаются характеристики самой опухоли, состояние ближайших к ней (регионарных) лимфоузлов, наличие или отсутствие отдаленных
метастазов.
В диагнозе онколог указывает гистологический тип рака, так как разные типы клеток отличаются по темпам роста, тенденции к метастазированию, чувствительности к лечению. Все типы классификаций служат одной цели — правильно оценить степень распространения болезни, степень повреждения и выработать верную тактику помощи.
Лечение
Для проведения оптимального лечения важны следующие факторы:
- Своевременное обращение. Фактор запущенности заболевания играет огромную роль.
Даже сейчас, когда врачи научились достаточно успешно бороться с болезнью и на поздних стадиях, окончательный прогноз в большинстве случаев определяется тем, как быстро пациент обратился к онкологу. - Качественная диагностика. Существует множество методов исследования, позволяющих более точно установить диагноз. В онкологии широко применяются УЗИ, МРТ, КТ, ПЭТ-КТ, а также гистологические исследования.
- Хороший контакт пациента и лечащего доктора. Умение врача объяснить больному суть происходящего, поддержать его и верно выстроить совместную работу, а также умение пациента быть дисциплинированным, доверять специалисту и не затягивать с
выполнением назначенных исследований или лечебных процедур.
При раке полости рта применяются как хирургическое лечение, так и химиотерапия, и лучевая терапия (включая брахитерапию).
Хирургическое лечение
Операция — классика лечебной тактики в онкологии вообще и в онкологии полости рта в том числе. Сложность применения хирургии ротовой полости в том, что в ряде случаев технически сложно удалить опухоль и не повредить жизненно важные анатомические образования.
Врач учитывает следующие важные моменты:
- Область рта богато кровоснабжается, и это риск активного кровотечения.
- Органы и ткани области рта подвижны, и возможность этого смещения друг относительно друга определяет такие важные функции как речь, глотание и т.п.
- Анатомические образования данной зоны имеют мелкий размер и тесно прилежат друг к другу. В данной области мало балластных, функционально незначимых тканей, на каждый сантиметр приходятся важнейшие сосуды, нервы, органы. Это усложняет процесс операции. Отсутствие достаточного количества тканей делает более сложным закрытие дефекта, образовавшегося после удаления опухоли.
Как и в случае радикального оперативного лечения опухолей других зон, при операциях на полости рта стремятся соблюсти следующие условия:
- Удаление опухоли должно происходить в пределах здоровых тканей, срез проходит не на границе здоровой и больной ткани, а по здоровой ткани, то есть, опухоль иссекается как бы с запасом. При близком положении органов это составляет проблему.
- При иссечении опухоли учитывается важность дальнейшего восстановления целостности покрова, а также, по возможности, сохранение функции.
- Иссекая опухоль, в большинстве случаев, удаляют и периферические лимфоузлы. Это связано с тем, что ближайшие к опухоли лимфатические узлы являются ловушкой для метастазов, и в них зачастую могут содержаться клетки опухоли.
В классической онкологии хирургическое лечение было методом выбора, операции применялись, как правило, сразу после установления диагноза. В настоящее время подход немного изменился, стал более дифференцированным. Иногда операции предшествуют химиотерапия и (или) лучевая терапия.
Химиотерапия
Особенность опухолевых клеток — быстрый рост и деление. Именно на этом основан метод химиотерапии. В организм вводят специальные токсичные для клеток вещества, подавляющие их рост. Химиотерапия влияет на весь организм, но при этом большинство клеток малочувствительны к веществу, а для клеток опухоли химиопрепарат губителен.
Химиотерапия применяется как дополнение к операции, перед ней или после нее, как самостоятельный метод, и в комплексе с лучевой терапией.
Целесообразность применения химиотерапии определяется гистологическим типом опухоли. Разновидность препарата выбирается с учетом чувствительности конкретного новообразования к различным видам соответствующих лекарств.
Недостаток химиотерапии — ее побочные эффекты. В организме есть ряд здоровых клеток, которые часто обновляются, соответственно, быстро делятся. Это клетки слизистой желудочно-кишечного тракта, клетки крови и другие. Препараты химиотерапии влияют на них. Меняется формула крови, гибнут клетки выстилки желудка и кишечника. Результатом становятся тошнота, расстройство стула, слабость, снижение иммунитета. Данные явления временны, и, как правило, преодолимы, однако, применение химиотерапии требует постоянного врачебного наблюдения.

Метод основан на повреждающем действии рентгеновского излучения на клетки, прежде всего на активно делящиеся клетки, каковыми являются клетки злокачественных опухолей. Лучевая терапия может применяться и как самостоятельный способ лечения, и в комплексе с оперативными методами и химиотерапией. Перед началом курса проводится разметка, определяющая направление воздействия и обеспечивающая максимальное воздействие на саму опухоль и минимальное — на окружающие ткани.
Брахитерапия — подвид современной лучевой терапии, когда источник излучения вводится непосредственно в пораженную область. Брахитерапия позволяет воздействовать на опухоль максимальными дозами излучения и уменьшить повреждающие влияние на здоровые ткани.
Прогноз и выживаемость
Прогноз заболевания зависит от стадии, локализации, своевременного оказания помощи. На ранних стадиях при условии адекватного лечения, заболевание практически всегда удается победить. Когда обращение к врачу было не своевременным, прогноз несколько хуже, процент излечившихся пациентов ниже. В оценке прогноза важно наличие или отсутствие отдаленных метастазов. Несмотря на огромный прогресс в онкологии, отдаленные метастазы резко снижают 5-летнюю выживаемость, это существенная проблема для специалиста. Помимо этого, прогноз зависит от гистологического типа опухоли, т.к. скорость роста у разных типов опухолей может существенно различаться. Возраст пациента, локализация опухоли, наличие у больного сопутствующих заболеваний, выбранная тактика лечения — все эти факторы существенно влияют на прогноз.
Профилактика
Профилактика рака полости рта включает в себя меры, направленные на поддержание общего физического здоровья с целью повышения противоопухолевого иммунитета. К ним относятся соблюдение режима труда и отдыха, своевременное лечение хронических заболеваний, гигиена.
Необходимо исключить повреждающие факторы, снизить риски — отказаться от курения, обжигающих напитков, контролировать состояние протезов.
При регулярном посещении стоматолога и самоосмотрах полости рта шанс на распознание болезни на ранних стадиях и ее успешное излечение существенно выше.
Таким образом, задача любого человека — забота о своей полости рта и регулярные визиты к стоматологу.
Злокачественные опухоли ротоглотки
Рак ротоглотки - злокачественная опухоль поражающая средний отдел глотки, границей служит линия, проведенная по передним нёбным дужкам, валикообразным сосочкам языка, по границе мягкого и твердого нёба. Верхней границей ротоглотки является горизонтальная плоскость, проходящая на уровне твердого неба, нижней - горизонтальная плоскость, расположенная на уровне высшей точки свободного края надгортанника.

Автоматизация клиники: быстро и недорого!
- Подключено 300 клиник из 4 стран
- 800 RUB / 4500 KZT / 27 BYN - 1 рабочее место в месяц

Автоматизация клиники: быстро и недорого!
- Подключено 300 клиник из 4 стран
- 1 место - 800 RUB / 4500 KZT / 27 BYN в месяц
Мне интересно! Свяжитесь со мной
Классификация
Т4а - опухоль распространяется на соседние структуры: глубокие мышцы языка (подбородочно-язычную, подъязычно-язычную, небно-язычную и шиловидно-язычную), медиальную пластинку крыловидного отростка основной кости, нижнюю челюсть, твердое нёбо, гортань.
Т4b - опухоль распространяется на: крыловидные мышцы, крыловидные отростки основной кости, латеральную стенку носоглотки, основание черепа или на стенку сонной артерии.
Любая Т любая N М1
Резюме 2 см
2 см до 4 см
4 см
черепа, сонная артерия.
Резюме 2 см
2 см до 4 см
4 см
Факторы и группы риска
Диагностика
I - II стадия - жалобы больного в зависимости от локализации опухоли на наличие опухолевого образования, чувство инородного тела, боли, возможно нарушение функции глотания.
При орфарингоскопии определяется опухолевое образование ротоглотки размерами при I - стадии до 2 см, при II стадии до 4 см.
IIII стадия - жалобы больного в зависимости от локализации опухоли на наличие опухолевого образования, чувство инородного тела, боли возможно с иррадиацией в ухо, возможно нарушение функции глотания, возможно дыхания, возможно наличие увеличенных узлов на шее.
IV стадия - жалобы больного в зависимости от локализации опухоли на наличие опухолевого образования, чувство инородного тела, боли возможно с иррадиацией в ухо, обильная саливация, неприятный запах изо рта, возможно нарушение функции глотания, дыхания, возможно наличие увеличенных узлов на шее.
При орфарингоскопии определяется опухолевое образование ротоглотки более 4 см, распространяющееся на соседние органы.
Основаниями для консультации онколога являются анамнез, клинико-рентгенологическая картина, морфологическая верификация.
1. Наружный осмотр и пальпация лимфатических узлов подчелюстной области и шеи с двух сторон (от сосцевидного отростка до ключицы).
11. Общий анализ крови, общий анализ мочи, биохимический анализ крови, определение группы крови и Rh-фактора, анализ крови на RW, ВИЧ, HBsAg, Анти HCV IgG.
Дифференциальный диагноз
| Нозологическая форма | Клинические проявления |
| Парафаренгиальные опухоли | Безболезненны, не свойственна местная инфильтрация |
- рецидивирующий или метастатический плоскоклеточный рак головы и шеи в случае неэффективности предшествующей химиотерапии на основе препаратов платины;
- монотерапия рецидивирующего или метастатического плоскоклеточного рака головы и шеи при неэффективности предшествующей химиотерапии.
Цетуксимаб вводят 1 раз в неделю в начальной дозе 400 мг/м 2 (первая инфузия) в виде 120-минутной инфузии и далее в дозе 250 мг/м 2 в виде 60-минутной инфузии.
При применении Цетуксимаба в сочетании с лучевой терапией, лечение цетуксимабом рекомендуется начинать за 7 дней до начала лучевого лечения и продолжать еженедельные введения препарата до окончания лучевой терапии.
У пациентов с рецидивирующим или метастатическим плоскоклеточным раком головы и шеи в комбинации с химиотерапией на основе препаратов платины (до 6 циклов) Цетуксимаб используется как поддерживающая терапия до появления признаков прогрессирования заболевания. Химиотерапия начинается не ранее чем через 1 час после окончания инфузии Цетуксимаба.
В случае развития кожных реакций на введение Цетуксимаба терапию можно возобновить с применением препарата в редуцированных дозах (200 мг/м 2 после второго возникновения реакции и 150 мг/м 2 - после третьего).
Дистанционная гамма-терапия проводится с двух противолежащих фигурных полей, в статическом режиме РОД 2 гр. 5 фракции в неделю СОД 40 гр. в п\о режиме. По радикальной программе - СОД 60-66 гр. расшепленным курсом с перерывом между этапами лучевой терапии 10-14 дней с обязательным контрольным врача онколога отделения головы и шеи с целью оценки динамики процесса, а также на предмет лучевой реакции. включающих объем тканей. Поле облучения (90%-я изодоза) от твердого неба до подъязычной кости и сзади до средины тел позвонков. Передний край поля зависит от локализации опухоли. Нижние отделы зоны регионарного метастазирования облучаются с переднезадних полей. Регионарные л\узлы облучаются РОД 2 гр. 5 фракций в неделю до СОД 40-50 гр. При прорастании опухоли миндалины в соседние анатомические части лечение следует начинать с неоадъювантной химиотерапии с последующим облучением. Если опухоль миндалины после 40 гр. не подверглась полной или значительной резорбции, возможно использование брахитерапии или электрорезекции внутриротовым доступом. При операции в данной области необходима большая осторожность ввиду близости крупных артериальных сосудов. При неполной регрессии регионарных метастазов выполняется радикальная шейная диссекция (операция Крайла), включая ткани подчелюстной области.
Лимфоэпителиома и лимфосаркома - экзофитно растущие опухоли с ранним регионарным и отдаленным метастазированием - подлежат химиолучевому лечению.
При раке корня языка и валлекул ввиду трудности осмотра этой локализации глазом обязательна зеркальная гипофарингоскопия и пальцевое исследование. Опухоли корня языка рано метастазируют.
Ранние стадии рака корня языка и валлекул можно одинаково эффективно лечить лучевой терапией, химиолучевым и комбинированным методом (70% излечения). Однако лучевая и химиолучевая терапия приводит к меньшим функциональным нарушениям. Облучение очага проводится после предлучевой подготовки с двух противолежащих полей, в статическом режиме охватывающих корень и подвижной части языка, с охватом регионарных зон метостазирования - подчелюстные и шейные лимфатические узлы РОД 2 гр. 5 фракций в неделю до в СОД 60-66 гр.; по радикальной программе 66 гр. расшепленным курсом с перерывом между этапами лучевой терапии 10-14 дней с обязательным контрольным врача онколога отделения опухолей головы и шеи с целью оценки динамики процесса, а также на предмет лучевой реакции включающих объем тканей. В случае поражения подвижной части языка необходима решить вопрос проведения сочетанной лучевой терапии: брахитерапия и дистанционная лучевая терапия. При недостаточной резорбции опухоли корня языка и валлекул после 40 гр. больным производится электрорезекция.
При более распространенных процессах (Т3-4) лечение следует начинать с неоадъювантной полихимиотерапии с последующим облучением. После предоперационного лечения производится резекция части или всего корня языка, часто с резекцией надгортанника и других тканей. Во время операции надо стараться не повредить подъязычные нервы. В послеоперационном периоде проводится дистанционная лучевая терапия в СОД 40 гр. При наличии регионарных метастазов и их неполной регрессии выполняется радикальная шейная диссекция с тканями подчелюстной области.
Рак задней стенки глотки и мягкого нёба наблюдаются редко. Опухоли задней стенки глотки часто начинаются по типу гранулезного фарингита - экзофитное, гладкое с неизмененной слизистой образование до 1 см. Позднее опухоль изъязвляется и быстро распространяется вдоль задней стенки. Экзофитные и изъязвленные опухоли в области задней стенки часто видны только при ларингоскопии.
Рак мягкого нёба чаще локализуется по его свободному краю, быстро изъязвляется, вызывая боль. Для правильной оценки распространенности опухоли обязательна задняя риноскопия, чтобы осмотреть заднюю поверхность мягкого нёба.
Рак задней стенки глотки и мягкого нёба достаточно хорошо поддается лучевому и химиолучевому лечению. Облучение очага проводится с двух противолежащих полей, включающих зону поражения, а так же корень и заднюю треть тела языка. В случае верифицированных метостазированных подчелюстных и шейных лимфатических узлов лучевую терапию указанных зон проводить отдельным полем. РОД 2 гр. 5 фракций в неделю до в СОД 60-66 гр.; по радикальной программе расшепленным курсом с перерывом между этапами лучевой терапии 10-14 дней с обязательным контрольным врача онколога отделения опухолей головы и шеи с целью оценки динамики процесса, а также на предмет лучевой реакции включающих объем тканей. После проведения первого этапа лучевой терапии необходим контрольный осмотр с целью решения о возможности проведения сеансов брахитерапии, хирургического вмешательства.
I-II стадии (T1-2 NO M0). Лучевая или химиолучевая терапия или хирургическое лечение (эксцизия опухоли + лимфодиссекция на стороне поражения). Если после 40 гр. на очаг и зоны регионарного метастазирования опухоль уменьшилась на 50% и больше, облучение (дистанционная или брахитерапия) очага продолжается до 70 гр. В случае недостаточной регресгическое вмешательство. Если выбран хирургический метод - при положительных краях резекции
III-IV стадии (T1-2 N1-3 M0). Лучевая или химиолучевая терапия, как и при I-II стадиях. В случае полной или значительной регрессии первичного очага и метастазов после 40 гр. продолжается облучение до 70 гр. При значительной регрессии опухоли, но недостаточном уменьшении регионарного метастаза проводится облучение до полной дозы, после чего выполняется радикальная шейная диссекция. Если же после 40 гр. опухоль и метастазы регрессировали незначительно, необходимы на хирургические вмешательство на очаге и регионарных метастазах.
III-IV стадии (T3-4аb N0-3). Лечение обычно комбинированное: неоадъювантная и адьювантная химиотерапия и предоперационная лучевая терапия 40-50 гр. на очаг и зоны регионарного метастазирования. Последующее оперативное лечение на первичный очаг и зоны регионарного метастазирования.
При наличии оставшейся первичной опухоли и регионарных метастазах проведение оперативного лечения в различных объемах с элементами реконструктивно-пластической хирургии и лимфодиссекция.
Ранее начало лечения, его непрерывность, комплексный характер, учет индивидуальности больного, возвращение пациента к активному труду.
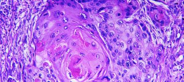
Рак нёба
Рак нёба - злокачественное новообразование, которое образуется из слизистой оболочки твёрдого и мягкого нёба. Это довольно редкое заболевание. Чаще встречается в возрасте от 40 до 60 лет. Мужчины болеют в 4 раза чаще женщин.
Диагностику рака мягкого и твёрдого нёба в Юсуповской больнице проводят с помощью современных методов исследования. Клиника онкологии оснащена современной аппаратурой ведущих американских и европейских производителей, которая позволяет быстро установить точный диагноз. Для лечения злокачественных опухолей нёба применяют оперативные вмешательства, химиотерапевтические препараты и инновационные методики лучевой терапии.
Наиболее злокачественная опухоль нёба возникает из-за метастазов рака носоглотки и носа. Новообразование поражает надкостницу твёрдого неба, нижней и верхней челюстей, мышцы и клетчатку полости рта, язык. Атипичные клетки распространяются в поднижнечелюстные, подбородочные и шейные лимфоузлы.

Классификация рака нёба
По локализации раковые различают 2 вида злокачественных опухолей нёба. При раке твёрдого неба злокачественное новообразование располагается на границе носоглотки и ротовой полости, затрагивает костные структуры и распространяется на все слои слизистой оболочки ротовой полости. В случае наличия рака мягкого неба опухоль локализуется в слизистом слое и мышцах свода ротовой полости.
По гистологической структуре опухоли выделяют 3 вида злокачественных новообразований нёба:
- Цилиндрома;
- Аденокарцинома;
- Плоскоклеточный рак.
Цилиндрома (аденокистозная карцинома) образуется из железистой ткани. Отличается быстрым, неконтролируемым ростом патологически изменённых клеток, быстро даёт метастазы. Развитие аденокарциномы происходит из эпителия ротовой полости. Опухоль может локализоваться во всех участках твёрдого и мягкого нёба. Плоскоклеточный рак является наиболее частым видом злокачественных новообразований ротовой полости. Опухоль затрагивает слизистую оболочку.
Причины и факторы риска рака нёба
Злокачественные опухоли ротовой полости возникают под воздействием следующих провоцирующих факторов:
- Раздражающего действия агрессивных веществ, которые содержатся в сигаретах, алкоголе, курительных смесях;
- Постоянного употребления слишком горячих блюд, обжигающих слизистый слой и меняющих строение клеток;
- Хронического травмирования нёба некачественно установленными зубными протезами.
Опухоль на небе развивается на фоне предраковых состояний ротовой полости - лейкоплакии, папилломатоза. Они часто перерождаются в раковую опухоль под воздействием провоцирующих факторов.
К факторам риска развития злокачественного новообразования нёба относят наследственную предрасположенность, периодические воспалительные заболевания ротовой полости, дефицит витамина А, который возникает при неполноценном питании или у курильщиков вследствие нарушения процесса его усваивания в организме. Рак неба может быть вторичным заболеванием - метастазами злокачественных новообразований шеи и головы.
Первые признаки и симптомы рака нёба
Первые недели и месяцы злокачественные новообразования могут протекать без субъективных ощущений. В некоторых случаях пациенты при затрагивании языком области нёба замечают небольшое уплотнение, которое окружено валиком. Если пациент обращается к врачу на этой стадии патологического процесса, лечение наиболее эффективно.
По мере прогрессирования раковой опухоли размеры новообразования увеличиваются. Опухоль захватывает новые участки нёба и прорастает вглубь. Пациенты предъявляют следующие жалобы:
- Боль в полости рта, которая отдаёт в ухо, височную область головы;
- Дискомфорт во время приёма пищи, поскольку затрудняется процесс жевания и глотания;
- Зловонный запах изо рта;
- Неприятный привкус;
- Изменение артикуляции речи нарушается вследствие того, что меняется подвижность языка, а опухоль мешает нормальному продвижению воздуха.
- Плохой аппетит;
- Заметное похудение;
- Быстрая беспричинная утомляемость.
При осмотре ротовой полости на нёбе можно заметить бляшки, уплотнения, язвочки разной формы и размера. В запущенных случаях рака нёба язвы кровоточат, а перегородка между носом и горлом может разрушиться. По этой причине кусочки пищи во время еды попадают в нос, речь становится полностью невнятной. На последней стадии раковая опухоль разрушает все прилегающие к нёбу ткани.
Диагностика рака мягкого и твёрдого нёба
Образующуюся раковую опухоль нёба трудно определить самостоятельно на ранних этапах. Если патологический процесс захватил значительные участки мягкого или твёрдого нёба, предварительный диагноз можно выставить после визуального осмотра ротовой полости.
Для подтверждения диагноза онкологи Юсуповской больницы проводят следующие диагностические процедуры:
- Рентгенографию - находит патологические изменения в рядом расположенных с ротовой полостью костных тканях;
- Биопсию - взятие кусочка тканей на гистологическое исследование (анализ необходим для выявления изменённых клеток опухоли и её вида);
- Анализы крови - признаков анемии;
- Радиоизотопное обследование - позволяет обследовать структуру новообразования.
Ультразвуковое исследование проводится с целью выявления раковых метастазов в отдалённых органах. Пациенты Юсуповской больницы могут пройти сложные диагностические процедуры в клиниках-партёрах и получить консультацию ведущих стоматологов-онкологов Москвы.
Лечение рака нёба
Выбор метода лечения рака твёрдого и мягкого нёба зависит от гистологического типа и стадии злокачественной опухоли, распространённости патологического процесса на ближайшие ткани. Основным методом лечения заболевания является облучение злокачественного новообразования нёба рентгеновскими лучами. Лучевая терапия позволяет остановить развитие раковых клеток. Если она начата на раннем этапе, возможно полное уничтожение злокачественного новообразования. Облучение выполняют до и после операции.
Оперативное вмешательство при раке нёба заключается в удалении новообразования, расположенных рядом с ним мягких тканей и костей. После хирургического вмешательства на лице остаётся дефект, для устранения которого проводят пластическую операцию. В запущенных случаях рака выполняют оперативное вмешательство и проводят сеансы лучевой терапии.
При раке нёба проводят лечение цитостатическими лекарственными препаратами. Их вводят в виде капельниц или назначают для приёма внутрь. Химиотерапия при раке мягкого и твёрдого нёба эффективна в сочетании с облучением и хирургическим вмешательством. Действие химиотерапевтических препаратов направлено на предотвращение и ликвидацию метастатических очагов.
Своевременное установление диагноза и выбор грамотно составленной схемы терапии позволяют врачам клиники онкологии добиться практически полного излечения 80% пациентов. При появлении неприятных ощущений в полости рта обращайтесь к онкологам и записывайтесь на приём по телефону Юсуповской больницы.
Читайте также:
