Лучевая диагностика приобретенного центрального стеноза поясничного отдела позвоночника
Добавил пользователь Евгений Кузнецов Обновлено: 01.01.2026
Тактика лечения стеноза позвоночного канала может быть консервативной (без операции), интервенционной или хирургической. Стеноз представляет собой хронический дегенеративный процесс, при котором постепенно сужается межпозвонковое отверстие, центральный позвоночный канал или латеральный карман (рецессус). В конечном счете это приводит к компрессии (сдавливанию) корешков спинного мозга и нервных окончаний. Пациент испытывает острую боль в спине или шее, ощущает онемение и слабость конечностей и другие неврологические симптомы, указанные ниже. Заболевание прогрессирует из-за того, что в пространство, занимаемое нервными корешками вклиниваются фрагменты разрастающейся хрящевой или костной ткани (остеофиты), гипертрофированные мягкие ткани (связки и мышцы).
Дегенеративный стеноз позвоночного канала обусловлен травмами, генетикой, нарушением обмена веществ, остеохондрозом, артрозом или другими заболеваниями опорно-двигательного аппарата. На начальных стадиях дегенеративного каскада симптомы стеноза позвоночника могут вовсе не беспокоить. Однако если ситуация со временем усугубляется, то вылечить заболевание без операции уже не представляется возможным. Удаление стеноза возможно только хирургическим способом. В этом случае выполняются нетравматичные операции на позвоночнике, направленные на декомпрессию (а иногда и стабилизацию) деформированного сегмента.
Виды дегенеративного стеноза:
Относительный стеноз
Центральный позвоночный канал сужается до 12-10 мм. Лечение относительного стеноза без операции нередко дает хороший результат. Пациенту назначается комплексная терапия, которая включает медикаменты (НПВП, НПВС), физиопроцедуры, ЛФК. В нашей клинике подобрать эффективную тактику лечения центрального относительного стеноза помогут специалисты Центра лечения боли. Не стоит откладывать обращение к врачу. Сам по себе дегенеративный стеноз не проходит. Со временем заболевание усугубляется и на следующей стадии вызывает боль в спине или шее, а иногда также синдром нейрогенной перемежающейся хромоты (например, при поясничном стенозе L3, L4, L5), паралич конечностей.
Абсолютный стеноз
Центральный позвоночный канал сужается до 10 мм и менее. Лечение абсолютного стеноза консервативными методами иногда уже не дает нужного эффекта. На этой стадии боль в конечностях становится серьезным препятствием для активной жизни. Особенно если у пациента наблюдается неврологическая симптоматика: боль иррадиирует в ноги и бедра, возникает ощущение слабости мышц, снижается чувствительность конечностей. В отличие от относительного стеноза, абсолютный характеризуется ярко выраженными клиническими симптомами и может быть показанием к операции на позвоночнике. Расширение центрального позвоночного канала путем хирургического вмешательства может быть наиболее целесообразным, поскольку существует серьезный риск развития осложнений без операции. Например, необратимый паралич конечностей, который возникает из-за ишемии сосудов и нарушения кровообращения в спинномозговом корешке.
Фораминальный стеноз
Это сужение просвета межпозвонкового отверстия. Для фораминального стеноза характерны боль, слабость и онемение в ноге, которые становятся интенсивными при ходьбе (синдром перемежающейся нейрогенной хромоты). Подробнее о лечении фораминального стеноза можно прочитать на этой странице сайта. В клинике им. Н.И. Пирогова созданы условия для щадящих минимально инвазивных эндоскопических операций при фораминальном стенозе.
Латеральный стеноз
Корешковые каналы сужаются до 3 мм и менее. Может развиваться и без клинически значимых проявлений. Консервативное лечение латерального стеноза при боли в спине или шее во многом совпадает с терапией, которая назначается при остеохондрозе. При наличии выраженной симптоматики (невыносимой боли с иррадиацией в конечности) может потребоваться срочное хирургическое вмешательство.
В зависимости от локализации в сегментах позвоночника следует различать:
Поясничный стеноз
Крайне распространенный вид дегенеративного стеноза, который диагностируют в 85-90% случаев. Симптомы существенно снижают качество жизни пациента, поскольку поясничный стеноз характеризуется не только болью в спине и пояснице, но и в конечностях. Очень часто проявляется в качестве синдрома нейрогенной перемежающейся хромоты. Пациент чувствует слабость, онемение и боль в ногах. Важно понимать, что парез конечностей полностью обратим только при своевременном лечении. К наиболее распространенным клиническим случаям относится стеноз L3 - L4 или L5 - L4 (боль в пояснице, иррадиирующая в ногу). Другой распространенный вариант — стеноз позвоночного канала L5 - S1. На этом уровне поясничный отдел переходит в крестцовый, то есть это довольно подвижный и восприимчивый к нагрузкам сегмент. При поясничном стенозе L5 - S1 пациента также мучает боль, которая «отдает» в ноги.
При наличии показаний к операции при поясничном стенозе, нейрохирурги клиники Пирогова выполняют их с применением новейшей эндоскопической техники или микрохирургического инструментария. Это позволяет исключить необходимость в дополнительной установке имплантов и металлоконструкций. Таким образом, пациенты восстанавливаются в короткие сроки — без тяжелой реабилитации.
Шейный стеноз
Менее распространен, чем поясничный стеноз. Однако из-за высокой подвижности сегмента и его сравнительной хрупкости, операция на позвоночнике (эндоскопическая или микрохирургическая) может потребовать дополнительной установки импланта межпозвонкового диска или межтелового кейджа. Это необходимо для стабилизации позвоночного сегмента и предотвращения развития дегенеративных осложнений в дальнейшем. При шейном стенозе возникает локальная боль, иррадиирующая в руки и атрофия мышц верхних конечностей. Нейрохирурги клиники Пирогова отдают предпочтение минимально инвазивным эндоскопическим операциям и интервенционному лечению боли, которые позволяют избежать травматичных операций с установкой металлоконструкций.
Если у вас выявлен шейный стеноз и уже более 12 недель вы испытываете боль, резистентную консервативной терапии, отправьте снимки врачу-нейрохирургу через специальную форму на нашем сайте, чтобы уточнить, какое лечение будет наиболее целесообразно в вашем случае.
Грудной стеноз
Th1-Th12 — крайне редкое расположение дегенеративного стеноза. Клинические симптомы проявляются не так интенсивно. Иногда пациенту может казаться, что боль локализуется в области сердца или брюшной полости. Лечение грудного стеноза возможно без операции, а также интервенционным и хирургическим методом. Наличие неврологической симптоматики (слабость, атрофия и парез конечностей) может быть показанием к операции на позвоночнике.
Симптомы стеноза позвоночника
- Патологическая компрессия нервных корешков, которая приводит к их ишемии, вызывает специфические симптомы стеноза позвоночника:
- Боль в спине, которая возникает при ходьбе и «отдает» в ноги (голени, переднюю или заднюю поверхность бедра);
- Онемение и дискомфорт в ногах возникают при определенном положении позвоночника (наклоны туловища, ходьба вниз по лестнице, длительное статичное положение стоя);
- Боль в спине становится менее интенсивной или вовсе исчезает при определенном положении позвоночника (например, если пациент сидит, сгибается или сидит на корточках);
- Мышечная слабость, онемение и снижение чувствительности конечностей особенно проявляются после физических нагрузок;
- Проблемы с мочеиспусканием и дефекацией;
- Проблемы с потенцией и нарушение эрекции.
- Если наряду с сильной болью и парезом конечностей у пациента наблюдаются последние 2 симптома может быть необходима операция на позвоночнике в экстренном порядке.
Представлены снимки МРТ ДО и ПОСЛЕ операции при фораминальном стенозе позвоночного канала эндоскопическим методом. Красным цветом (точками и линиями) отмечены корешки. Синим цветом показаны костно-связочные структуры, которые сдавливают корешок. Зеленой стрелкой, а также белым цветом на снимках показано свободное пространство для корешка. Цель операции достигнута! Эндоскопическая декомпрессия выполнена нейрохирургом, врачом высшей категории, кандидатом мед. наук Мереджи Амиром Муратовичем .
Диагностика стеноза
Не стоит гадать о заболевании по симптомам. Диагностика стеноза позвоночного канала возможна только по результатам МРТ. Качество снимков должно быть не ниже 1,5 Тесла, чтобы врач смог точно определить специфику дегенеративного изменения, его локализацию, а затем назначить эффективное лечение. Также пациенту назначается обзорная спондилография с функциональными пробами, которая позволяет определить подвижность сегмента шейного, грудного или поясничного отдела. Если существует вероятность фасеточного синдрома, дополнительно могут быть назначены КТ, селективная блокада межпозвонковых суставов. При наличии показаний к операции на позвоночнике или интервенционному лечению боли, диагностика и тактика лечения назначаются индивидуально — в зависимости от клинической картины.
Операция при стенозе позвоночника
Врачи клиники Пирогова лечат дегенеративные стенозы и консервативно, и хирургически. Все операции на позвоночнике выполняются с применением новейшей эндоскопической или микрохирургической техники, а также рентгенологического или радиочастотного оборудования.
В большинстве случаев предпочтение отдается эндоскопическим операциям при стенозе позвоночного канала . Именно они позволяют избежать установки имплантов — за исключением шейных стенозов и случаев, когда наблюдается также спондилолистез и нестабильность позвоночного сегмента. Кроме того, такие операции отличаются максимальной контролируемостью, минимальными рисками, а для пациентов быстрое восстановление после эндоскопической операции при стенозе позвоночника переносится наиболее комфортно. Боль ногах проходит сразу после операции, а госпитализация в клинике — всего 1 день.
Операция при стенозе, выполненная микрохирургическим методом , также относится к минимально травматичным вмешательствам. Она целесообразна (и даже может быть единственным решением), если наряду с расширением позвоночного канала и декомпрессией спинномозговых корешков необходима стабилизация позвоночного сегмента. Такие операции показывают хороший клинический результат и, в отличие от традиционных открытых операций на позвоночнике, позволяют пациенту быстро восстановиться и избежать риска инвалидизации.
К сожалению, иногда без установки металлоконструкций не обойтись и проведение эндоскопической операции невозможно. Непростой случай из практики нейрохирурга Мереджи Амира Муратовича . У пациента сформировался стеноз, осложненный спондилолистезом из-за смещения позвонков, что вызвало острую компрессию корешков позвоночного канала. Чтобы избежать дестабилизации позвоночного сегмента L4-L5 и избежать тяжелых последствий в будущем, было принято решение зафиксировать сегмент винтами и установить межтеловой кейдж. Операция выполнена с ювелирной точностью — боль и слабость в ногах у пациента прошли сразу после вмешательства. Случай непростой и исключительный, однако благодаря опыту и мастерству наших специалистов, пациент смог восстановиться уже через 1 сутки.
Восстановление после операции при стенозе
После хирургической декомпрессии нервных окончаний и спинномозговых корешков боль в конечностях проходит сразу. Сопутствующая неврологическая симптоматика (онемение и слабость) может проходить несколько дольше — в зависимости от того, как много времени пациент терпел симптомы и насколько прогрессировало заболевание. В течение нескольких часов после операции пациент может стоять и ходить по палате. В течение 1-2 дней (в зависимости от выбранного метода операции при стенозе) пациент находится под присмотром врача и медицинского персонала. Затем врач может выписать его домой с рекомендациями на период восстановления. Через месяц желательно прийти на контрольный осмотр к нейрохирургу — доктор всегда на связи и ведет своих пациентов до успешного завершения восстановления. Пациенту может быть показана коррекция двигательных привычек. Больше никаких дополнительных мер по восстановлению как правило не требуется.
Возможно ли лечение стеноза позвоночника без операции?
Операция на позвоночнике при стенозе требуется в исключительных случаях, когда боль и сопутствующие симптомы становятся невыносимыми, а консервативное лечение неэффективно. Можно сделать блокаду под рентген-навигацией (селективная интраламинарная инъекция смеси лекарственных препаратов).
Почему стоит сделать операцию при стенозе в клинике Пирогова?
В клинике Пирогова накоплен 20-летний опыт минимально инвазивных операций на позвоночнике. Клиника оснащена современной эндоскопической техникой, а также радиочастотным оборудованием, что в мировой практике спинальной нейрохирургии является «золотым стандартом» лечения дегенеративных заболеваний опорно-двигательного аппарата. Операции выполняет кандидат мед. наук, ведущий нейрохирург Санкт-Петербурга и лидер положительных отзывов от пациентов на независимых площадках (например, «Напоправку.ру»). Кроме того, мы можем предложить нашим пациентам:
- ;
- Наличие всех узкопрофильных медицинских специалистов в одном месте, а также собственную диагностическую лабораторию; ;
- Демократичные цены, а также помощь в оформлении кредита на лечение.
Если у Вас есть вопросы, оставьте заявку на обратный звонок через наш сайт или позвоните по телефону (812) 320-70-00 — мы всегда рады вам помочь!
Спинальный стеноз
Стеноз позвоночного канала является заболеванием, включает сочетание сужения позвоночного канала согласно либо компьютерной томографии(КТ), либо магнитно-резонансной томографии(МРТ) либо рентгенографии позвоночника (спондилографии) и характерных клинических симптомов. При проведении МРТ лицам старше 60 лет отмечено, что 21 % из них имел рентгенологические признаки сужения позвоночного канала на поясничном уровне. Лишь треть (33 %) предъявляли характерные для стеноза жалобы.
Внедрение в широкую клиническую практику КТ и МРТ привело к значительному увеличению диагностики данной патологии.
Классификация
- По анатомическим критериям различают
- центральный стеноз — уменьшение расстояния от задней поверхности тела позвонка до ближайшей противоположной точки на дужке у основания остистого отростка
- латеральные стенозы — сужение корешкового канала и межпозвонкового отверстия до 4 мм и менее
- врождённый или идиопатический стеноз; ахондроплазию
- приобретённый стеноз
- комбинированный стеноз — любое сочетание врождённого и приобретённого стеноза
Эпидемиология
Стеноз позвоночного канала на поясничном уровне является весьма распространённым заболеванием. Его частота резко возрастает у людей старше 50 лет и в данной возрастной группе составляет от 1.8 до 8 %. По данным датских авторов, стеноз поясничного отдела позвоночника встречается с частотой 272 случая на 1000000 населения в год. Ежегодно по поводу данной проблемы в скандинавских странах оперируется 9,7 на 100 000 населения.
Этиология
Врождённый стеноз обусловлен анатомическими особенностями строения позвоночника у человека и проявляется
- укорочением дуги позвонков
- ахондроплазией (увеличение толщины дуги позвонка, укорочение ножки и уменьшение высоты тела позвонка)
- хрящевой и фиброзной диастематомиелией
Причины возникновения приобретённого стеноза различны. Основными являются:
- деформирующий спондилоартроз с гипертрофией межпозвонковых суставов, образованием краевых остеофитов
- оссифицированные грыжи межпозвонковых дисков
- гипертрофия и оссификация жёлтой связки
- болезнь Форестье (диффузный идиопатический гиперостоз ревматоидной природы)
- болезнь Бехтерева
- спондилолистез дегенеративно-дистрофического генеза
- ятрогенный стеноз — образование субарахноидальных спаек и/или послеоперационных рубцов
- «стальной стеноз» — внедрение металлических конструкций в просвет позвоночного или радикулярного канала
Центральный стеноз возникает за счёт патологических процессов в анатомических структурах формирующих позвоночный канал (в частности межпозвонковых дисках, межпозвонковых суставах, жёлтой связке, задней продольной связке), в котором содержатся спинномозговой мешок с включенными в него нервными корешками.
Латеральный стеноз может возникать в одной или нескольких из трёх анатомических зон: зоне входа (латеральном рецессусе), средней зоне и зоне выхода (межпозвонковом отверстии).
Патогенез
Патофизиологические механизмы, вызывающие развитие характерных жалоб, обусловлены сочетанием трёх групп факторов — повышения эпидурального давления, асептического воспаления и ишемии. Возникновение каждого из них обусловлено хроническим сдавлением нервно-сосудистых структур позвоночного канала.
За счёт хронической компрессии возникает несоответствие кровотока к нервным структурам позвоночного канала. Уровень поступающей крови снижается и соответственно возникает ишемия нервного корешка (при латеральном стенозе) и конского хвоста (cauda equina) (при центральном). При комбинированном стенозе наблюдается сочетание ишемии как конского хвоста, так и нервного корешка. Отмечено, что явления ишемии вызывают процессы демиелинизации, образование спаек между мягкой и арахноидальной мозговыми оболочками, развитие интерстициального фиброза и рубцово-спаечного эпидурита.
Потребность в кислороде возрастает при усилении биохимических процессов. Этим объясняется тот факт, что жалобы на боли в спине и/или ногах, слабость при стенозе позвоночного канала возникают при ходьбе.
Несоответствие объёма нервно-сосудистых структур объёму позвоночного канала вызывает повышение эпидурального давления и как следствие вызывает возникновение воспалительного процесса. Эпидуральное давление повышается при ходьбе, что вызывает продукцию эктопических нервных импульсов и проявляется возникновением болевых ощущений
При сгибании высота межпозвонкового отверстия увеличивается на 12 %, при разгибании уменьшается на 15 %. Этим объясняется характерная жалоба, которая состоит в регрессе боли вплоть до полного исчезновения при присаживании, нагибании. Более того, на основании этого симптома проводят дифференциальную диагностику между нейрогенной (при стенозе позвоночного канала) и сосудистой перемежающейся хромотой. Так, при нейрогенной перемежающейся хромоте в отличие от сосудистой человек может достаточно долго работать на велотренажере, не испытывают жалоб при длительном вождении автомобиля.
Стеноз позвоночного канала как следствие остеохондроза
Наиболее часто приобретённый стеноз позвоночного канала является последней 4-й стадией остеохондроза позвоночника. Её возникновение характеризуется тем, что на фоне нестабильности позвоночно-двигательного сегмента (3-я стадия остеохондроза) развиваются компенсаторные процессы направленные на его стабилизацию. К ним относятся разрастание костной ткани в виде остеофитов, артроз межпозвонковых суставов. Межпозвонковые суставы ограничивают как позвоночный канал, так и зоны входа нервного корешка, промежуточную зону и межпозвонковое отверстие. Соответственно разрастание межпозвонковых суставов приводит к сужению вышеуказанных анатомических образований и соответственно к развитию стеноза.
Клиника
При исследовании группы больных со стенозом позвоночного канала на поясничном уровне отмечено, что ведущими жалобами являются:
- боль в спине (95 %)
- синдром нейрогенной перемежающейся хромоты (91 %)
- радикулярная боль в одной или двух ногах (71 %)
- слабость в одной или двух ногах (33 %)
У больных, которые отмечали сочетание боли в ноге и пояснице 70 % отмечали одинаковую интенсивность боли в ноге и пояснице, у 25 % преобладала боль в ногах. В 58 % случаев боль имелась в одной ноге и в 42 % она была двусторонней. У большинства больных отмечалась радикулопатия нескольких нервных корешков. В основном боль при стенозе позвоночного канала распространяется в дерматомах L5 (91 %) и SI (63 %), реже в дерматомах L1-L4 (28 %).
В монографии Зозули Ю. А. и соавторов приведена таблица частоты встречаемости различных жалоб у больных со стенозом позвоночного канала.
частота встречаемости %
Люмбалгия (боль в пояснице)
Нейрогенная перемежающаяся хромота
Симптомы натяжения (Лассега, Вассермана и др.)
Нарушение чувствительности в ногах
Ишиалгия (боль в ноге)
Гипотрофия мышц нижних конечностей
Нарушения чувствительности в аногенитальной зоне
Крампи икроножных мышц
Нарушение функции тазовых органов
Нейрогенная перемежающаяся хромота является патогномоничным симптомом, позволяющим ещё до проведения дополнительных методов обследования предположить наличие стеноза позвоночного канала. Для неё характерно появление боли при ходьбе, которая регрессирует при присаживании либо наклонении туловища вперёд. После этого человек снова может пройти определённую дистанцию до появления болезненных ощущений. В положении сидя больной может выполнять любую работу (велотренажёр, вождение автомобиля) без возникновения боли. Интенсивность нейрогенной перемежающейся хромоты оцениваается в расстоянии (метрах), которое может пройти человек до появления боли.
Диагностика
Диагноз стеноза позвоночного канала может быть установлен на основании сочетания клинических жалоб и сужения просвета позвоночного канала соответственно данным дополнительных методов исследования.
Сужение позвоночного канала (переднезадний размер менее 12 мм) может быть выявлено согласно магнитно-резонансной томографии, компьютерной томографии и рентгенографии (спондилографии) позвоночника.
Лечение
Лечение стеноза позвоночного канала может быть консервативным и оперативным.
Консервативное лечение
Консервативное лечение включает в себя назначение анталгических, сосудистых, противовоспалительных препаратов. Однако оно является недостаточно эффективным в лечении стеноза позвоночного канала, так как приводит к улучшению самочувствия у 32—45 % больных.
Хирургическое лечение
Хирургическое лечение стеноза позвоночного канала имеет ряд особенностей. Во-первых, имеется несколько типов операций применяемых при стенозе:
- декомпрессивная ламинэктомия
- установка стабилизирующих систем
- установка систем межостистой фиксации
Во-вторых стеноз, позвоночного канала часто сочетается с другими видами патологии позвоночника, такими как нестабильность и грыжи межпозвонковых дисков.
Декомпрессивная ламинэктомия
Декомпрессивная ламинэктомия включает в себя резекцию структур, которые приводят к сдавлению нервного корешка и/или конского хвоста (cauda equina) задним доступом, а именно остистого отростка. дуг позвонков, жёлтой связки, межпозвонковых суставов.
В историческом аспекте декомпрессивная ламинэктомия была первым типом операций, применяемых для лечения стеноза позвоночного канала.
В то же время проведение декомпрессивной ламинэктомии имеет целый ряд недостатков, которые приводят к её недостаточной эффективности. Так вследствие данной операции происходит удаление тех структур, которые формируют третью опорную колонну позвоночника по Денису или вторую опорную колонну позвночника по Holdsworth. Результатом в большом количестве случаев становится развитие нестабильности позвоночника, что приводит к неудовлетворительным результатам лечения, синдрому неудачно оперированного позвоночника. Различные источники указывают на 13—43 % риск развития нестабильности после проведения декомпрессивной ламинэктомии.
Недостаточная эффективность декомпрессивной ламинэктомии, вследствие развития нестабильности позвоночника, привела к её дополнению во многих случаях стабилизирующими операциями.
Стабилизирующие операции
Сторонники фиксации позвоночника после ламинэктомии ссылаются на биомеханические данные. Обнаружено, что ламинэктомия приводит к увеличению объёма движения при флексии на 16 % (Р < 0,05), экстензии на 14 % (Р < 0,04) аксиальной ротации на 23 % (Р < 0,03). При флексии натяжение фиброзного кольца диска после интерламинарной декомпрессии увеличивается на 20 %, а после ламинэктомии на 130 %.
Дополнение декомпрессивной ламинэктомии системами стабилизации (передними или задними) значительно улучшило результаты хирургического лечения стеноза позвоночного канала.
В то же время применение стабилизирующих систем не лишено недостатков. Кроме возможных осложнений, во время их установки, возникают нарушения биомеханики соседних со стабилизируемыми позвоночно-двигательных сегментов, которые проявляются их гипермобильностью. Это в свою очередь приводит к развитию, так называемой «болезни смежного уровня». Она включает в себя развитие спондилолистеза, стеноза позвоночного канала, переломов, сколиоза.
Недостаточная эффективность декомпрессивной ламинэктомии за счёт развития нестабильности позвоночника, развитие «болезни смежного уровня» при дополнении декомпрессии установкой стабилизирующих систем привело к поиску альтернативных методов хирургического лечения стеноза позвоночного канала.
Системы межостистой фиксации
Концепция динамической стабилизации основывается на том, что пусковым механизмом стеноза позвоночного канала является уменьшение высоты межпозвонкового диска вследствие дегенеративных изменений, что в свою очередь, обусловливает перераспределение осевой нагрузки с передних опорных столбов на задние (до 70 %). Использование динамической межостистой фиксации обеспечивает снижение нагрузки на задние опорные столбы и расширение площади позвоночного канала, что способствует уменьшению или исчезновению люмбалгического синдрома, обусловленного фасет-синдромом.
Техника установки систем межостистой динамической фиксации заключается в проведении задней декомпрессии (системы Cophlex, DIAM, WALLIS), с последующей установкой в межостистый промежуток имплантатов, которые с одной стороны восстанавливают заднюю опорную колонну (по Денису) позвоночника, а с другой сохраняют возможность сгибания и разгибания как в оперируемом так и в смежных позвоночно-двигательных сегментах.
Эффективность оперативных вмешательств по поводу стеноза позвоночного канала, в которых совмещены микрохирургическая декомпрессия и динамическая межостистая стабилизация, составляет 87 %, они позволяют значительно сократить сроки восстановления трудоспособности.
Особенностью систем межостистой динамической фиксации является возможность осуществление как сгибания, так и разгибания в позвоночно-двигательном сегменте, что предотвращает развитие у больных «болезни смежных уровней»
При установке имплантатов в межостистый промежуток также уменьшается нагрузка на межпозвонковые суставы, происходит аксиальная декомпрессия корешков вследствие увеличения высоты межпозвонковых отверстий. Уменьшение нагрузки на суставы способствует релаксации связочного аппарата
Противопоказанием к применению межостистой динамической стабилизации является нестабильность в позвоночно-двигательном сегменте. Поскольку они стабилизируют лишь задние опорные столбы (по Денису), то их лечебный эффект при данной патологии оказывается недостаточным.
На данный момент в медицине используются следующие системы межостистой динамической фиксации — Coflex (Co-promotes flexion) — синоним U-имплантат, DIAM (Device for Intervertebral Assisted Motion), Wallis (Wall Inter Spinously placed), X-Stop (eXtension Stop), In-Space и Aperius.
Особенности хирургического лечения стеноза сочетающегося с нестабильностью
При сочетании стеноза позвоночного канала с нестабильностью позвоночника применение лишь декомпрессии или систем межостистой динамической фиксации неприемлемо, так как вызовет нарастание нестабильности и ухудшение самочувствия больного.
При нестабильности в сочетании со стенозом позвоночного канала методом выбора является применение стабилизирующих систем (как передних, так и задних)
Особенности хирургического лечения стеноза позвоночного канала в сочетании с межпозвонковыми грыжами
Сужение позвоночного канала приводит к тому, что появление даже небольшой по размерам протрузии межпозвонкового диска переводя состояние субкомпенсации в декомпенсации. Резкое нарастание клинических проявлений, вызванных грыжей межпозвонковых дисков свидетельствует о сочетании её с сужением позвоночного канала.
Данное сочетание требует проведения микродискэктомии, особенностью которой является широкая резекция костных структур (межпозвонкового сустава, полудуги позвонка) вызывающих сужение позвоночного канала.
Случай хирургического лечения абсолютного дегенеративного стеноза позвоночного канала в сегменте L4-L5
В феврале 2019 года в нейрохирургическое отделение Дорожной клинической больницы на станции Нижний Новгород поступил пациент с симптомами радикулопатии L5 позвонка справа после продолжительной консервативной терапии для проведения оперативного лечения.
Жалобы
Жаловался на выраженные боли в пояснично-крестцовом отделе позвоночника с иррадиацией по передненаружной поверхности правого бедра и голени, а также на снижение чувствительности тыльной поверхности правой стопы и слабость в правой стопе и большом пальце при тыльном подъёме.
Боль в правой ноге снижается после приёма анальгетиков, усиливается в вертикальном положении, при ходьбе и наклонах вперёд.
Анамнез
Вертеброгенные нарушения беспокоят длительное время. В связи с последним обострением — прострелом и болью в правой ноге — с 19.11.2018 года до момента поступления проходил лечение в поликлинике и в стационаре по месту жительства, но без существенной динамики: болевой синдром уменьшился, отмечаются чувствительные нарушения, снижение силы в правой стопе, вертебральный синдром и нарушение походки из-за болей. По данным МРТ пояснично-крестцового отдела позвоночника (ПКОП) от 23.11.2018 года, наблюдается МР-картина дегенеративно-дистрофических изменений сегментов ПКОП, медиальная грыжа L4-L5 и L5-S1 позвонков, относительный спинальный стеноз позвоночного канала на уровне сегмента L4-L5. Направлен на хирургическое лечение в указанную Дорожную клиническую больницу для оперативного лечения.
Обследование
Соматически здоров. Сознание ясное. Ориентирован в месте, времени и собственной личности. Речь правильная. Зрачки d=s, округлой формы, d = 3 мм, фотореакция средней живости. Ширина глазных щелей в пределах нормы. Движения глазных яблок в полном объёме. Чувствительность в зонах иннервации ветвей тройничного нерва и функция мимических мышц не нарушены. Фонация и глотание в норме. Язык по средней линии. Походка щадящая из-за болей. Сухожильные рефлексы d=s, средней живости. Гипестезия (сниженная чувствительность) в зоне иннерваций L5 корешка справа. Наблюдается корешковый болевой синдром по передненаружной поверхности правого бедра и голени. Симптом Ласега справа при подъёме ноги до угла 45 градусов и выше положителен. Координаторные пробы выполняет удовлетворительно. В позе Ромберга устойчив. Менингеальные симптомы отсутствуют. Отмечается дефанс (напряжение) паравертебральных мышц поясничного отдела.
Функциональная спондилография поясничного отдела от 12.02.2019: остеохондроз II степени; спондилоартроз; нестабильность сегментов на уровне L4-L5 и L5-S1; ретролистез — смещение L5 позвонка назад — I степени. Электронейромиография (ЭНМГ) от 12.02.2019: малоберцовые нервы в норме с обеих сторон; признаки заинтересованности корешков L4-S1 справа. Мультиспиральная компьютерная томография (МСКТ) ПКОП от 13.02.2019: КТ-картина дегенеративно-дистрофических изменений поясничного отдела позвоночника; большая задняя срединная грыжа межпозвонкового диска на уровне L4-L5 позвонков с абсолютным стенозом спинального канала; задние диффузные протрузии дисков L5-S1 и умеренная протрузия уровня L2-L3. МРТ ПКОП от 14.02.2019: МР-картина дегенеративно-дистрофических изменений сегментов ПКОП; задняя медианная экструзия (выбухание) диска L4-L5 с признаками компрессии корешков конского хвоста и вторичного дурального стеноза на уровне L4-L5 на 2/3; протрузии дисков L2-L3 и L5-S1; ретролистез L5 I степени.
Диагноз
Остеохондроз пояснично-крестцового отдела позвоночника. Дискогенная радикулопатия L5 справа, обусловленная секвестрированной парамедианной транслигаментарной грыжей диска L4-L5 с компрессией L5 корешка и абсолютным стенозом позвоночного канала. Выраженный стойкий болевой и миотонический синдром.
Стеноз позвоночного канала (спинальный стеноз) - симптомы и лечение
Что такое стеноз позвоночного канала (спинальный стеноз)? Причины возникновения, диагностику и методы лечения разберем в статье доктора Мажейко Людмилы Ивановны, невролога со стажем в 42 года.
Над статьей доктора Мажейко Людмилы Ивановны работали литературный редактор Елена Бережная , научный редактор Сергей Федосов
Определение болезни. Причины заболевания
Стеноз позвоночного канала — это состояние, когда размеры позвоночного канала на поперечном срезе уменьшаются, либо уменьшаются размеры межпозвонковых отверстий, в результате чего сдавливается содержимое канала (спинной мозг, корешки) . Как правило, стеноз позвоночного канала выявляется на уровне нижних поясничных позвонков, реже — в шейном и грудном отделах позвоночника.
![Уменьшение позвоночного канала и межпозвонковых отверстий]()
Позвоночный (спинномозговой) канал — это пространство внутри позвоночного столба, которое спереди образуют тела позвонков и межпозвонковые диски, с боков и сзади — дуги позвонков, соединенные желтой связкой. На поперечном срезе он треугольной или овальной формы. [1]
Позвоночный канал составляют: спинной мозг с корешками, окруженными оболочками мозга, а также жировая и рыхлая соединительная ткань с артериями, венами и нервами. От спинного мозга отходят парные нервные корешки, окруженные твердой мозговой оболочкой, каждый из которых выходит за пределы спинномозгового канала через свое отверстие. Спинной мозг продолжается от большого затылочного отверстия до второго поясничного позвонка. Ниже второго поясничного позвонка в позвоночном канале расположен "конский хвост" — пучок из корешков четырех нижних поясничных, пяти крестцовых и копчиковых корешков спинного мозга.
![Спинальный стеноз]()
Функции спинного мозга:
- проводниковая — проведение нервного импульса от центра к периферии и обратно;
- рефлекторная — формирование ответной реакции нервной системы на раздражение.
Стеноз бывает врожденным и приобретенным. Врожденный (первичный) формируется на 3-6 неделе внутриутробного развития зародыша человека. Причинами этого нарушения могут быть генетический фактор, а также инфекционные и токсические факторы, влияющие на формирование позвоночника.
Причины врожденного стеноза:
- Врожденная хондродистрофия (ахондроплазия) — внутриутробное нарушение роста костей, при котором позвоночный канал сужается из-за сращения позвонков, укорочения и утолщения дуг позвонков.
- Диастематомиелия — разделение позвоночного канала внутренней перегородкой, которая состоит из хрящевой или костной ткани, раздвоение спинного мозга.
Причины приобретенного (вторичного) стеноза:
- травматическое смещение позвонков и их отломков, внутриканальные гематомы;
- дегенеративно-дистрофические изменения межпозвонковых суставов в виде костных разрастаний, направленных внутрь позвоночного канала (фасеточная артропатия);
- выпадение межпозвонковой грыжи, ее окостенение или секвестрирование вследствие дископатии;
- переднее смещение позвонка (спондилолистез) вследствие анатомического дефекта дуги позвонка;
- утолщение и обызвествление желтых связок позвоночника вследствие их воспаления или дистрофии;
- утолщение капсулы межпозвонковых суставов вследствие их воспаления при болезни Бехтерева и других воспалительных процессах;
- огрубение передней продольной связки (болезнь Форестье);
- застойное полнокровие вен внутри позвоночного канала;
- рубцовые изменения и внедрение стальных конструкций внутри позвоночного канала вследствие операций на позвоночнике;
- опухоли и кисты внутри позвоночного канала и др.
Зачастую на формирование стеноза позвоночного канала оказывают влияние как врожденные, так и приобретенные факторы. Страдают стенозом преимущественно пожилые люди, так как у них имеют место возрастные дегенеративные заболевания позвоночника. Частота заболевания резко возрастает у людей старше 50 лет и в данной возрастной группе составляет от 1.8 до 8%. [2] Наиболее часто встречающийся приобретённый стеноз позвоночного канала — это последняя стадия остеохондроза позвоночника, когда разрастается костная ткань тел позвонков и остеофитов.
У многих людей без врожденных нарушений развития позвоночника встречается конституционально анатомически более узкий позвоночный канал, чем в среднем. Нормальная глубина позвоночного канала в поясничном отделе составляет 13-25 мм, в шейном — 15-20 мм.
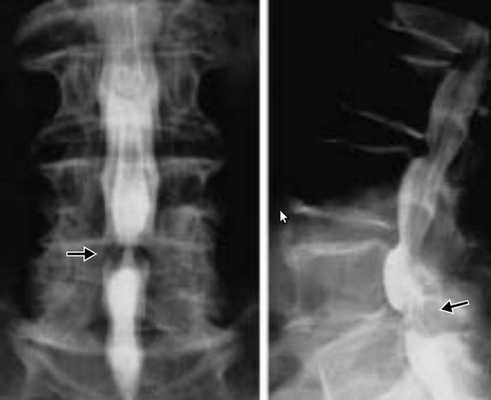
В шейном отделе позвоночника данную особенность костной структуры канала можно обнаружить на боковых рентгенограммах путем расчета и оценки индекса М.Н.Чайковского. Индекс Чайковского — это отношение сагиттального размера позвоночного канала к сагиттальному размеру тела позвонка на уровне данного конкретного позвонка без учета краевых костных разрастаний. На рентгенограмме измеряется сагиттальный диаметр позвоночного канала (а) и сагиттальный размер тела позвонка (б), первое число делится на второе (а:б).
Измерение сагиттального размера позвоночного канала и тела позвонка
![Индекс Чайковского]()
- 0,9 до 1,1 — позвоночный канал обычной глубины;
- меньше 0,85 (согласно некоторым авторам — 0,75) — конституционально узкий позвоночный канал.
При обнаружении схожих симптомов проконсультируйтесь у врача. Не занимайтесь самолечением - это опасно для вашего здоровья!
Симптомы стеноза позвоночного канала
Развитие позвоночного стеноза происходит медленно и может занимать долгие годы. Симптомы стеноза позвоночного канала в поясничном и грудном отделах — постепенно нарастающая боль в спине, в ногах, возникающие поначалу иключительно при ходьбе. Болезненные ощущения без четкой локализации часто обозначаются больным человеком как неприятное ощущение. При ходьбе происходит нарастание слабости в ногах (нейрогенная перемежающая хромота), которая вынуждает человека остановиться, сесть или даже лечь. Облегчает ходьбу легкое сгибание в коленях и тазобедренных суставах, а также если одновременно наклонить корпус вперед. Этим можно объяснить и то обстоятельство, что человек с позвоночным стенозом не жалуется на недомогание, если длительно находится за рулем. [3]
Характерны чувствительные расстройства — онемение, ощущение мурашек и снижение чувствительности в нижних конечностях.
Симптомы проявляются с одной либо с двух сторон. Часто нарушается функция тазовых органов (задержка или внезапные позывы на мочеиспускание, дефекацию, снижение потенции). Если длительно сдавливаются нервные корешки на поясничном уровне, постепенно худеют нижние конечности.
![Спинальный стеноз поясничного отдела позвоночника]()
Если стеноз развился на грудном уровне, то в ногах нарастают спастические явления.
Стеноз позвоночного канала на шейном уровне протекает чаще всего незаметно, симптомы болезни появляются уже в запущенной стадии заболевания. Это сильные боли в шее, как односторонние, так и двусторонние, отдающие в лопатки, плечи, руки, затылок. Боли могут проявляться во всем теле в виде болезненных спазмов. Боли усиливаются при определенных движениях шеей, при этом появляется слабость и онемение в руках, ощущение мурашек. В ногах может возникать ощущение «ватности», человек часто спотыкается. Характерны запоры и задержки мочеиспускания. Прогрессирующее сдавление спинного мозга на нижне-шейном уровне приводит к развитию вялости в руках и спастического состояния мышц в ногах. Если сдавление на уровне 3-4 шейного позвонка, то может наблюдаться нарушение функции дыхания и спастические явления в руках и ногах. [4]
Патогенез стеноза позвоночного канала
Вокруг спинного мозга и корешков в норме должно оставаться свободное (резервное) пространство, в котором важен каждый миллиметр. В резервном пространстве располагаются сосуды. Если в позвоночный канал внедряются костные, хрящевые или мягкотканные структуры, резервное пространство уменьшается или исчезает. Если просвет позвоночного канала патологически сужается, происходит нарушение кровообращения спинного мозга и корешков, нарушается циркуляция спинномозговой жидкости. [5] Сдавлению подвергаются сосуды и нервные элементы — спинной мозг или корешки. Внутри позвоночного канала повышается давление, так как сосудистое русло испытывает хронический застой. Нервные элементы постоянно испытывают недостаток кровоснабжения и кислородный дефицит, в результате серьезно нарушается их функция. Длительное нарушения питания нервных элементов сопровождается разрастанием рубцовой ткани, образованием спаек (рубцово-спаечный эпидурит) , [6] что еще более сдавливает содержимое позвоночного канала.
Вследствие этого развиваются двигательные, чувствительные, вегетативные и трофические нарушения. Сдавление корешков зачастую становится причиной выраженного болевого синдрома.
Классификация и стадии развития стеноза позвоночного канала
В зависимости от локализации выделяют центральный и латеральный стеноз позвоночного канала.
Центральный стеноз — уменьшение переднезаднего размера позвоночного канала.
- относительный стеноз — переднезадний размер составляет менее 12 мм.
- абсолютный — менее 10 мм.
Латеральный стеноз — уменьшение размеров межпозвонкового отверстия до 4 мм и менее.
Если уменьшаются все размеры позвоночного канала, это комбинированный стеноз.
Осложнения стеноза позвоночного канала
Осложнения при стенозе позвоночного канала отмечаются в результате дополнительной травмы позвоночника — падение с высоты, автодорожная, спортивная травма и др. Происходит усиление сдавления спинного мозга гематомой, рубцами, смещенным позвонком или его отломком. Осложнения при неустановленном диагнозе «позвоночный стеноз» могут давать сеансы мануальной терапии, которые часто применяются при болях в позвоночнике.
Но гораздо чаще встречаются осложнения оперативного лечения стеноза. Наиболее тяжелыми из них являются следующие:
- медленно прогрессирующий спаечный процесс в позвоночном канале, дополнительно сдавливающий спинной мозг и корешки;
- парезы, параличи конечностей;
- тазовые расстройства вследствие повреждения корешков спинного мозга хирургическим инструментом.
Воспалительные процессы в позвонках, оболочках и спинном мозге встречаются редко, так как после операции широко применяются антибиотики. Часто осложнения операций дают более тяжелые последствия, чем само заболевание. [7]
Диагностика стеноза позвоночного канала
Если появляются характерные жалобы, необходимы дополнительные методы обследования, которые позволят не только измерить размеры позвоночного канала, но и выявить причины, вызывающие компрессию нервных элементов внутри позвоночного канала.
- рентгенография пояснично-крестцового отдела позвоночника;
- компьютерная томография (КТ);
- магнитно-резонансная томография (МРТ).
![МРТ-картина стеноза позвоночного канала]()
Для оценки состояния спинного мозга и нервной проводимости используются:
- электронейромиография;
- миелография;
- сцинтиграфия. [8][9]
![Сцинтиграфия]()
Позвоночный стеноз диагностируют по совокупности выявленных признаков сужения позвоночного канала при наличии характерных клинических данных.
Лечение стеноза позвоночного канала
Консервативное лечение применяют на ранней стадии заболевания (незначительный позвоночный стеноз), когда беспокоят только боли в пояснице и ногах, а выраженные неврологические нарушения отсутствуют.
Медикаментозная терапия:
- нестероидные противовоспалительные препараты (таблетки, капсулы, инъекции, гели, пластыри) помогают снять воспаление и купировать боль;
- миорелаксанты — препараты, снимающие мышечное напряжение;
- витамины группы В;
- сосудистые и мочегонные средства;
- для снятия болевого синдрома и отека эффективны медикаментозные блокады с местными анестетиками и гормонами.
![Медикаментозное лечение стеноза позвоночного канала]()
Физиотерапевтические процедуры:
- электрофорез;
- амплипульс;
- магнитотерапия;
- водо- и грязелечение.
Показана дозированная лечебная физкультура и легкий массаж.
При стенозе позвоночного канала в любой стадии противопоказана мануальная терапия!
Если консервативное лечение оказывается неэффективным, боли и парезы нарастают, нарушаются функции тазовых органов, это является показанием для оперативного лечения (открытые и эндоскопические операции), цель которого — снять компрессию спинного мозга и нервных корешков.
Оперативные методы:
- декомпрессионная ламинэктомия — удаление части дуги позвонка, остистого отростка, части желтой связки, межпозвонковых суставов, которое дополняется стабилизирующей операцией с использованием металлических пластин, укрепляющих позвоночный столб;
- микрохирургическая декомпрессия и установка систем межостистой динамической фиксации, позволяющей сохранить возможность сгибания и разгибания позвоночника;
- дискэктомия, эндоскопическая микродискэктомия, лазерная вапоризация пораженного диска и другие операции по удалению грыжи, иногда они дополняют ламинэктомию. [11]
![Дискэктомия]()
Как правило, оперативное лечение приводит к выздоровлению. После операции пациенты нуждаются в длительном восстановительном лечении в условиях реабилитационного отделения и санатория. Часть пациентов после операции имеют осложнения — усиление рубцовых изменений в позвоночном канале, приводящие к вторичному стенозу. Встречаются осложнения в виде воспаления, повреждения корешков и нервов с клиникой парезов рук и ног, нарушения функции тазовых органов. [12]
Прогноз. Профилактика
Прогноз течения данного заболевания зависит от причины, особенностей течения и давности заболевания. Прогноз благоприятный при своевременной диагностике заболевания, в зависимости от его причины, на ранних стадиях всегда можно подобрать пациенту адекватное консервативное или оперативное лечение. В этом заключается профилактика выраженных болей и тяжелых неврологических осложнений. Несвоевременная диагностика, грубые мануальные вмешательства, осложнения операций делают прогноз неблагоприятным, приводя больного к стойкой инвалидности.
Диагностика и лечение дегенеративного стеноза позвоночного канала на пояснично-крестцовом уровне
Определение
Стеноз позвоночного канала - патологическое сужение центрального позвоночного канала, латерального кармана или межпозвонкового отверстия за счет вторжения костных, хрящевых или мягкотканых структур в пространства, занимаемые нервными корешками, спинным мозгом или конским хвостом [20].Этиология и патогенез
Этиология и эпидемиология
Частота встречаемости стеноза позвоночного канала пояснично-крестцового отдела позвоночника составляет от 1.8 до 8%. В США ежегодно каждые 90 из 100 000 человек старше 60 лет оперируются по поводу стеноза позвоночного канала пояснично-крестцового отдела позвоночника. В Швейцарии, в кантоне Цюрих, с населением около 1,3 млн. человек ежегодно хирургическое лечение проводится 300 пациентам, что свидетельствует о высокой распространенности данного заболевания в странах с высокой средней продолжительностью жизни [5,8,25].
Подавляющее большинство (90%) эпизодов боли в спине, связанных со стенозом поддаются консервативному лечению: комплексному лечению медикаментозными препаратами, эффективность которых доказана объективно и реабилитационными программами. Несмотря на это стеноз позвоночного канала наиболее частая причина хирургического лечения в старшей возрастной группе пациентов.
Стеноз позвоночного канала чаще всего классифицируется как первичный, вызванный врожденными аномалиями или расстройствами, развившимися в постнатальном периоде, или вторичный (приобретенный), являющийся следствием дегенеративных изменений или местной инфекции, травмы или хирургии.
Дегенеративный стеноз позвоночного канала — совокупность клинических синдромов, являющихся следствием дегенеративных изменений в пояснично-крестцовом отделе позвоночника. В качестве генератора развития клинической симптоматики в популяции в подавляющем большинстве случаев является дегенеративный стеноз, причинами которого могут быть все разновидности дегенеративной патологии позвоночника, включая патологию дисков, фасеточных суставов, гипертрофию связок, остеофиты, спондилолиз. Дегенеративный стеноз позвоночного канала может встречаться с другими проявлениями заболевания, включая дегенеративный спондилолистез или дегенеративный сколиоз. В добавлении к медленно прогрессирующим дегенеративным изменениям, стеноз позвоночного канала имеет значимый динамический компонент. Свободное пространство позвоночного канала уменьшается при нагрузке и разгибании и увеличивается при растяжении и сгибании.Дегенеративный стеноз позвоночного канала анатомически может выражаться в сужении центрального канала, в области латеральных масс, фораменального отверстия или любой комбинации описанных локализаций.
Под центральным стенозом понимают вторжение позвоночных структур в канал непосредственно позади тел позвонков с их воздействием на отдельные нервные корешки или на весь «конский хвост». [23]. Он может быть результатом уменьшения позвоночного канала в передне-заднем направлении, поперечном или их сочетанием, связанным со снижением высоты межпозвонкового диска с или без пролабирования, и гипертрофией фасеточных суставов и желтой связки. Центральный стеноз чаще всего связан с костными выступами (диастематомиелия, гипертрофическая шпора, остеофиты задней части межпозвоночного диска), срединной протрузией или пролапсом межпозвонкового диска, дегенеративным спондилолистезом, гипертрофией желтой связки или верхнего края пластинки нижележащего позвонка.
При латеральном стенозе структуры позвоночника вторгаются в боковую часть канала, в место, где нервный корешок проходит в межпозвонковое отверстие [18]. Латеральный стеноз разделяют на стеноз латерального кармана (между верхнемедиальной кромкой гипертрофированного фасеточного сустава и задней поверхностью тела позвонка или диска) и фораменальный стеноз, обусловленный узким межпозвонковым отверстием вследствие снижения высоты диска или протрузией диска внутрь межпозвонкового отверстия, остеофитом края тела позвонка. Боковой карман может быть стенозирован не только гипертрофированной фасеткой и заднелатеральной протрузией диска, но и гипертрофированной желтой связкой, спондилолистезом, вторичной (после поясничного спондилодеза) костной гипертрофией, дегенеративной болезнью диска.
Компрессию нервного корешка при латеральном стенозе называют «недискогенной компрессионной радикулопатией» [16,26].Патогенез и патофизиология
Поясничный отдел позвоночного канала на аксиальных срезах имеет форму, приближающуюся к треугольной (трилистника). Различные параметры позвоночного канала достаточно вариабельны. Средние размеры переднезаднего диаметра канала у взрослых, по данным анатомических и лучевых методов исследований, проведенных Epstein B.S. et al. (1964) и Weinstein P.R. (1993) составляют от 15 до 23 мм, а поперечного диаметра 26- 30 мм.
Клинические проявления стеноза могут развиться при сагиттальном диаметре от 10 до 15 мм. По мнению Epstein et al. (1962), граница сагиттального диаметра для постановки диагноза стеноза составляет менее 13 мм, а UdenA. et al. (1985) определили ее в 11 мм. Verbiest H. (1973, 1975, 1976) считает позвоночный стеноз при сагиттальном диаметре 10 мм и менее абсолютным, а от 10 до 12 мм - относительным. В последнем случае он служит предупреждением о возможном возникновении в будущем клинических проявлений, если присоединится спондилолиз или гипертрофия фасеточных суставов. При таких размерах канала, умеренная протрузия диска или минимальный вентральный остеофит могут привести к появлению симптомов, которые могли бы и не развиться при нормальных размерах позвоночного канала [28].Гипертрофия или оссификация желтой связки приводит к дорзальной компрессии дурального мешка и корешков. Вентральную компрессию обусловливают: грыжи межпозвонковых дисков, остеофиты и реже гипертрофия задней продольной связки. [2,9,27].
Типично дегенеративный стеноз возникает на уровне L4-L5 и далее с убывающей частотой на уровнях: L3-L4, L2-L3, L5-S1 и L1-L2 [12].
К основным патофизиологическим механизмам развития симптомов дегенеративного стеноза и нейрогенной перемежающейся хромоты относят [2,24]:
1. компрессия корешков «конского хвоста»;
2. ишемия, нарушение венозного и лимфатического оттока в корешке;
3. повышение давления в субдуральном и эпидуральном пространстве.Клиническая картина
Cимптомы, течение
Клиническая картина
В патофизиологии клинических проявлений стеноза позвоночного канала играют роль многие факторы. В первую очередь, это прямая компрессия отдельных нервных корешков и конского хвоста остеофитами и мягкотканными структурами [24]. Не менее важная роль отводится нарушению венозного и лимфатического оттока в нервном корешке и, особенно, его муфте, ишемии и демиелинизации нервных корешков, а также повышению давления в дуральном и эпидуральном пространствах, и внутрикостного давления.
Компрессия микрососудов поясничных нервных корешков, приводящая к их ишемии, является самым существенным фактором в развитии наиболее яркого синдрома стеноза позвоночного канала - синдрома нейрогенной перемежающей хромоты. Различают позиционную и ишемическую нейрогенную перемежающуюся хромоту. Первая возникает в ситуации, когда позвоночник в течение некоторого времени остается в разогнутом положении с подчеркнутым поясничным лордозом. В таком положении дегенеративно измененные межпозвонковые диски и гипертрофированная желтая связка еще более сужают позвоночный канал, приводят к преходящей компрессии конского хвоста. При второй форме, нарастающая ишемия обусловлена компрессией пояснично-крестцовых корешков во время ходьбы.
Заболевание протекает медленно, симптомы нарастают в течение месяцев и нескольких лет. Наиболее ранняя и частая жалоба - боль в пояснице и ногах. Она характерна для 85-90% пациентов со стенозом позвоночного канала. Боль в поясничном отделе, нередко двусторонняя, распространяется на ягодицы, бедра и далее к стопам. Вслед за этой болью пациенты отмечают присоединение утомляемости, слабости, боли и онемения в голенях и стопах. В ряде случаев они описывают свои ощущения со стороны нижних конечностей как жжение, судорожное сжатие, покалывание, «затекание», неопределенную усталость, скованность в бедрах и голенях. Физические нагрузки (ходьба, упражнения с участием ног, длительная вертикализация с гиперлордозом позвоночника) ведут к обострению заболевания. У некоторых пациентов боли появляются в пояснице и бедрах, а далее распространяются вниз к голеням и стопам. В других случаях, наоборот, возникают в стопах и голенях и поднимаются к бедрам и пояснице. В редких случаях боль в пояснице не наблюдается. Иногда, даже анатомически выраженный стеноз может быть обнаружен у бессимптомного пациента.Нейрогенная (каудогенная) перемежающая хромота является наиболее характерным синдромом стеноза позвоночного канала. Ее отличают следующие клинические признаки [6, 10]:
· Боль в спине, возникающая при ходьбе и иррадиирующая в ноги по передней или задней поверхности бедер и голеней.
· Боль, парестезии и дизестезии в ногах связаны с положением позвоночника, которое механически сужает позвоночный и невральный каналы или межпозвонковое отверстие (разгибание позвоночника, ходьба, особенно, вниз по лестнице, длительное нахождение в вертикальном положении).· Боль в спине, возникающая при ходьбе и иррадиирущая в ноги по передней или задней поверхности бедер и голеней
· боль, парестезии и дизестезии связаны с положением позвоночника и провоцируются разгибанием позвоночника, ходьбой
· Боль уменьшается или исчезает в положении сидя, при сгибании или в положении на корточках в большей степени, чем при прекращении ходьбы.
· В положении лежа боль может усиливаться.
· Неврологические расстройства (слабость мышц, выпадение или снижение рефлексов, чувствительные расстройства) обостряются на фоне физической нагрузки
· Симптом Ласега (или тест ПВН) чаще отрицательный.
· В отличие от дискогенной боли, сгибание или вертикализация не усиливает симптомы.
· Боль, парестезии и дизестезии связаны с положением позвоночника и провоцируются разгибанием позвоночника, ходьбой, особенно вниз по лестнице, длительным стояниемНейрогенную хромоту следует отличать от истинной (сосудистой) перемежающей хромоты, связанной с окклюзионной болезнью, которая характеризуется появлением боли и/или судорожных сокращений в ягодичных или икроножных мышцах при ходьбе, исчезающих или уменьшающихся после отдыха. Сосудистая хромота часто сочетается с другими проявлениями: бледностью и цианозом стоп, дистрофическими изменениями кожи (атрофия ногтей, выпадение волос), снижением или отсутствием пульса на артериях нижних конечностях, шумами при их аускультации, импотенцией у мужчин. В отличие от нейрогенной перемежающей хромоты, сосудистая хромота обычно не зависит от смены позы - облегчение наступает при прекращении движения, даже если пациент остается в вертикальном положении.
Среди других жалоб пациентов со стенозом позвоночного канала необходимо отметить расстройства функции тазовых органов: разной степени выраженности нарушения мочеиспускания, импотенция.
Неврологический осмотр может выявить минимальные отклонения или не обнаружить никаких расстройств при обычном осмотре.
В редких случаях стеноза позвоночного канала постепенно может развиться клиническая картина синдрома конского хвоста, сочетающая в себе боль в пояснице, слабость и чувствительные расстройства в ногах и аногенитальной зоне, дисфункцию прямой кишки и мочевого пузыря.Диагностика
Диагностика
На основании анализа использованных диагностических методов в качестве стандарта обязательны к использованию МРТ и обзорная рентгенография с функциональными пробами. Остальные представленные диагностические методики относятся к разделу рекомендаций и опций:
1. МРТ (стандарт) с высокой напряженностью магнитного поля (1,5 -3,0 Тесла) - основной метод диагностики и нейровизуализации дегенеративных поражений позвоночника. Данный вид исследования в последние десятилетия получил большое распространение и стал определяющим. Он полноценно дает возможность судить о изменениях позвонков, межвонковых дисков, связочного аппарата, нервных и других структур.2. Обзорная спондилография с функциональными пробами (стандарт) (прямая проекция в положении стоя прямо, с наклоном вперед и назад, боковая проекция в положении стоя) - позволяет наиболее полно получить общую характеристику костного строения пояснично-крестцового отдела позвоночника, выявить спондилолистез и гипермобильность (нестабильность) позвоночного сегмента, которая может не выявляться при МРТ, выполняемом в горизонтальном положении, определить высоту межтеловых пространств, артроз межпозвонковых суставов, образование межтеловых остеофитов,
выявить аномалию развития позвонков, люмбализацию, сакрализацию.3. СКТ (рекомендация) показана в случае невозможности проведения МРТ (стальные импланты, водитель ритма сердца). При введение контраста интрадурально (СКТ-миелография) данный метод становится более информативным и его результаты сопоставимы с МРТ. СКТ-миелография является инвазивным методом исследования, что ограничивает его применение. При проведение СКТ и СТК-миелографии есть возможность делать трехмерную реконструкцию позвоночных сегментов.
4. Электрофизиологические методы исследования (опция) проводятся при дифференциальной диагностике дегенеративных заболеваний с нейропатией, миелопатией и тоннельными синдромами.
5. Блокада межпозвонковых суставов (опция) - один из основных методов диагностики фасеточного синдрома.6. Селективная блокада корешков спинного мозга (опция) может наиболее точно выявить уровень поражения при полисегментарных измениях на МРТ или СКТ.
7. Провокационная дискография (опция) рекомендована для определения клинически значимого пораженного диска при многоуровневых изменениях. Для суммарной оценки состояния пациентов до и после хирургического лечения используются специализированные шкалы, состоящие из блоков оценки социальной адаптации, тяжести болевого синдрома, функции позвоночника и опороспособности нижних конечностей, ортопедического и неврологического статуса, данных лучевой диагностики:
· шкала оценки степени выраженности заболевания (СВЗ);
· индекс определения нетрудоспособности Освестри (Oswestry disability index - ODI);
· визуальная аналоговая шкала (visual analogue scale - VAS);
· Швейцарская шкала для оценки пациентов со стенозом позвоночного канала (Swiss Spinal Stenosis Questionnary - SSS).Формулировка диагноза и составление плана лечебных мероприятий
Постановка диагноза стеноз позвоночного канала в наибольшей степени зависит от тщательно собранного анамнеза и внимательного клинического осмотра.В формулировку диагноза должны быть включены (стандарт):
I. Указание локализации стеноза по уровню поражения (L4-L5, L3-L4, L2-L3, L5-S1 и L1-L2);
II. Указание типа стеноза (центральный, латеральный, фораменальный);
III. Указание выявленного синдром нейрогенной перемежающейся хромоты;
IV. Указание наличия нестабильности и/или спондилолистеза;
V. Указание выявленной радикулопатии с обозначением заинтересованности нервных корешков и сторонности.
VI. При наличии синдрома «конского хвоста» он выносится в клинический диагноз.Читайте также:








