Лучевая диагностика синдрома верхней брыжеечной артерии
Добавил пользователь Евгений Кузнецов Обновлено: 21.01.2026
Евстигнеева А.А., Кузнецова У.В., Анипирова А.С., Цымбал В.А.
Научные руководители: к.м.н., ассистент Скупова О.В., к.м.н., доцент Спиваковский Ю.М., к.м.н., доцент Городков С.Ю.
Синдром верхней брыжеечной артерии (СВБА, с-м Wilkie) является редкой патологией, обусловленный сдавлением нижней горизонтальной части 12-перстной кишки между верхней брыжеечной артерией и брюшной частью аорты. Клинически СВБА может манифестировать в виде острой кишечной непроходимости или протекать в хронической форме с длительным периодом абдоминальных жалоб. Наиболее характерными симптомами являются боль в эпигастрии и рвота.
Девочка, 10 лет, поступила в клинику с жалобами на тошноту, эпизоды повторной рвоты после приема пищи, боли в животе.
В 4 года оперирована по поводу обтурационной кишечной непроходимости, после чего продолжали беспокоить боли в животе, рвота застойным содержимым. Наблюдалась хирургом и гастроэнтерологом с диагнозами: частичная спаечная кишечная непроходимость, хронический гастродуоденит, ДЖВП, реактивный панкреатит. В 6 лет подтверждена целиакия: положительные АТ к глиадину и тканевой трансглутаминазе, по данным ЭГДС и гистологического исследования выявлены признаки субатрофического дуоденоеюнита, обнаружены аллели предрасположенности к целиакии: DQA1 05:01/QB1 02:01. На фоне аглютеновой диеты сохранялся болевой абдоминальный синдром, диспепсические жалобы, плохая прибавка в весе.
Осенью 2016 года оперирована по поводу хронической рецидивирующей спаечной кишечной непроходимости (лапароскопический адгеолизис). Выписана с улучшением. Через месяц вновь появились жалобы на рвоту, что потребовало очередной госпитализации в стационар. Рентгенологическое исследование с барием выявило длительную задержку контраста в желудке, значительное расширение луковицы и подковы 12-перстной кишки. При повторном осмотре хирургом заподозрен СВБА. Диагноз подтвержден КТ органов брюшной полости с болюсным контрастным усилением.
Отсутствие эффекта от консервативного лечения (позиционная терапия, дробное питание, прокинетики) потребовало выполнение оперативного вмешательства - наложение дуоденоеюноанастомоза.
1. СВБА остается сложной в диагностическом плане патологией в силу редкой встречаемости и сходной клинической картины со многими заболеваниями органов пищеварения.
2. Отсутствие эффекта от проводимой консервативной терапии является показанием для проведения оперативного вмешательства.
Острая окклюзия мезентериальных сосудов
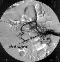
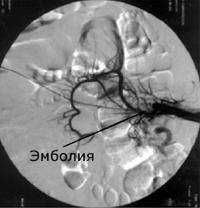
Острая окклюзия мезентериальных сосудов - острое нарушение кровообращения в брыжеечных сосудах, приводящее к ишемии кишечника. Заболевание проявляется резкой, нестерпимой болью в животе, рвотой и поносом с примесью крови, шоковым состоянием. Диагноз острой окклюзии мезентериальных сосудов определяют на основании клинической картины, данных селективной ангиографии, рентгенографии брюшной полости, лапароскопии. Острая окклюзия мезентериальных сосудов требует экстренного оперативного вмешательства (эмбол- или тромбэндартериоэктомии, резекции пораженных отделов кишечника), профилактики перитонита и повторных окклюзий.

Общие сведения
Острая окклюзия мезентериальных сосудов - неотложная патология в гастроэнтерологии, возникающая вследствие тромбоза или эмболии сосудов брыжейки. Острая окклюзия мезентериальных сосудов проявляется резким нарушением кровообращения в сосудистых участках проксимальнее и дистальнее места обструкции, сопровождается выраженным ангиоспазмом и дополнительным тромбообразованием, в результате чего возникает острое нарушение питания и ишемическое поражение стенки кишечника. В дальнейшем начинают развиваться необратимые деструктивные изменения, формируется анемический и геморрагический инфаркт (некроз) кишечника. Острая окклюзия мезентериальных сосудов характеризуется крайне тяжелым течением и высокой летальностью.
Локализация и протяженность ишемического поражения кишечника при острой окклюзии мезентериальных сосудов зависит от вида и уровня обструкции, наличия коллатеральных путей компенсации кровотока. В 90% случаев наблюдается окклюзия основного ствола или одной из ветвей верхней брыжеечной артерии, в большей степени обеспечивающей кровоснабжение пищеварительного тракта. Нижняя брыжеечная артерия имеет хорошие коллатеральные связи, поэтому при ее окклюзии редко возникают серьезные нарушения мезентериального кровообращения. Окклюзия брыжеечных вен встречается реже; возможно также смешанное поражение брыжеечных артерий и вен, при котором острой окклюзии одного из сосудов предшествует хроническая обструкция другого.
Острая окклюзия мезентериальных сосудов встречается преимущественно у лиц мужского пола в возрасте старше 50-60 лет.
Причины острой окклюзии мезентериальных сосудов
Острая окклюзия мезентериальных сосудов развивается как осложнение различных сердечно-сосудистых заболеваний (атеросклероза, пороков сердца, системных аллергических васкулитов, ревматизма, гипертонической болезни, аневризмы брюшной аорты, аритмии), предшествующих операций на сердце и аорте, злокачественных опухолей, травм.
Непосредственной причиной острой окклюзии мезентериальных сосудов являются тромбоз и эмболия. При тромбозе просвет сосудов брыжейки перекрывается тромбом, образовавшимся вследствие изменения сосудистых стенок на фоне повышенной свертываемости крови и замедленного кровотока (патогенетическая триада Вихрова). При эмболии наблюдается обструкция брыжеечных сосудов частицей тканью опухоли, инородным телом или пузырьком воздуха, мигрировавшими от первичного источника поражения с током крови.
Острая окклюзия мезентериальных сосудов может протекать с компенсацией, субкомпенсацией и декомпенсацией мезентериального кровотока. При компенсации мезентериального кровотока (спонтанно или под воздействием консервативной терапии) все функции кишечника восстанавливаются полностью. Субкомпенсация мезентериального кровотока ввиду недостаточного кровоснабжения может приводить к ряду заболеваний кишечника: брюшной жабе, язвенным энтеритам и колитам и др. Декомпенсация мезентериального кровообращения вызывает распространенный гнойный перитонит и развитие тяжелого абдоминального сепсиса.
Симптомы острой окклюзии мезентериальных сосудов
Развернутой клинической картине острой окклюзии мезентериальных сосудов могут предшествовать предвестники заболевания, сходные с предынфарктным состоянием, - так называемая «брюшная жаба».
В большинстве случаев острая окклюзия мезентериальных сосудов имеет внезапное начало и на стадии ишемии (первые 6-12 часов) характеризуется невыносимыми, схваткообразными болями в животе. Пациент испытывает беспокойство, не находит себе места, принимает вынужденную позу с приведенными к животу ногами. Возникают тошнота и рвота с примесью желчи и крови, позднее рвота с каловым запахом, неоднократный жидкий стул с примесью крови («ишемическое опорожнение кишечника»).
Наблюдается резкая бледность кожных покровов, цианоз, шоковое состояние, повышение артериального давления на 60-80 единиц (симптом Блинова), брадикардия. Для острой окклюзии мезентериальных сосудов характерно несоответствие между тяжестью состояния больного и данными его осмотра: в первые часы живот остается мягким, брюшная стенка участвует в дыхании, отмечается незначительная болезненность без симптомов раздражения брюшины.
В стадии инфаркта (через 6-12 часов от начала острой окклюзии мезентериальных сосудов) болевые ощущения немного уменьшаются, но нарастает локальная (в зоне поражения кишки) болезненность при пальпации, между пупком и лобком может прощупываться тестовидная припухлость (симптом Мондора), ухудшается состояние больного. Эвакуаторная функция кишечника сохраняется, артериальное давление нормализуется, пульс учащается.
Диагностика
Распознавание острой окклюзии мезентериальных сосудов опирается на анализ клинической картины заболевания: острый болевой абдоминальный синдром, поражение сердца и сосудов в анамнезе. Важное диагностическое значение имеет исследование коагулограммы, определение количества тромбоцитов, холестерина крови.
При обзорной рентгенографии брюшной полости определяется пневматизация кишечника, наличие горизонтальных уровней жидкости в брюшной полости. Специфическим методом диагностики острой окклюзии мезентериальных сосудов является селективная мезентерикография, которая уже на ранней стадии заболевания может выявить отсутствие кровотока в стволе и ветвях брыжеечной артерии. При наличии технической возможности выполняется магнитно-резонансная ангиография мезентериальных сосудов.
Диагностическая лапароскопия позволяет обнаружить изменения кишечника и брюшной полости, наличие признаков анемического и геморрагического инфаркта кишки. Острую окклюзию мезентериальных сосудов дифференцируют от прободной язвы желудка и двенадцатиперстной кишки, острого аппендицита, кишечной непроходимости, острого панкреатита и острого холецистита.
Лечение острой окклюзии мезентериальных сосудов
При острой окклюзии мезентериальных сосудов показано экстренное хирургическое вмешательство, целью которого служит ревизия кишечника с оценкой его жизнеспособности, ревизия основных брыжеечных сосудов, устранение причины сосудистой непроходимости и восстановление мезентериального кровотока, резекция некротизированных отделов кишечника, профилактика перитонита.
Реваскуляризация кишечника выполняется путем непрямой эмбол- или тромбэндартериоэктомии, в трудных случаях проводится реконструктивное обходное шунтирование с использованием сосудистых протезов (протезирование верхней брыжеечной артерии).
При некрозе кишечника реваскуляризация дополняется частичной или обширной резекцией пораженных участков кишечника и активным назоинтестинальным дренированием для лечения послеоперационного пареза кишечника. Через 24-48 часов возможно выполнение релапаротомии с целью контроля состояния брюшной полости или наложения отсроченного анастомоза.
Пред- и послеоперационное ведение больного с острой окклюзией мезентериальных сосудов включает назначение антитромботических препаратов для профилактики повторной эмболии и ретромбоза; мероприятия интенсивной терапии с целью восстановления ОЦК, устранения интоксикации, улучшения кровотока и тканевого метаболизма, стабилизации сердечной деятельности. Проводится антибактериальная терапия, дренирование и санация брюшной полости для предупреждения гангрены и перитонита.
Прогноз и профилактика
Восстановление кровотока в брыжеечных артериях в течение первых 4-6 часов («золотой период») может предотвратить инфаркт кишечника и восстановить его функции. Как правило, оперативное вмешательство приходится на II и III стадии острой окклюзии мезентериальных сосудов, поэтому летальность после операции достигает 80-90%. Прогноз ухудшает наличие основного заболевания, приведшего к острому нарушению мезентериального кровообращения.
Профилактика острой окклюзии мезентериальных сосудов заключается в своевременном устранении потенциального источника тромбоэмболии, т. е. первичного заболевания (атеросклероза, мерцательной аритмии, ревматического порока сердца, аневризм и др.).
Синдром верхней брыжеечной артерии ( Артериомезентериальная компрессия двенадцатиперстной кишки , Синдром Уилки )
Синдром верхней брыжеечной артерии (СВБА) — это разновидность дуоденальной непроходимости, вызванной сдавлением 12-перстной кишки между верхней брыжеечной артерией и абдоминальным отделом аорты. Болезнь проявляется болями в животе после еды, тошнотой, рвотой, ощущением переполнения желудка. Для диагностики применяют инструментальные методики: рентгенографию ЖКТ с пероральным контрастированием, ЭФГДС, УЗИ и комбинированную компьютерную томографию. Лечение в основном консервативное: назначается щадящая диета и лекарственные средства (прокинетики, спазмолитики, ферменты). При декомпенсированном варианте синдрома показано хирургическое вмешательство.
МКБ-10


В медицинской литературе у СВБА есть несколько синонимов: артериомезентериальная или сосудистая компрессия двенадцатиперстной кишки, синдром Уилки. Заболевание встречается редко. Истинная распространенность неизвестна, что связано со сложностями диагностического поиска. Частота синдрома верхней брыжеечной артерии, по данным рентгенографии пассажа бария, составляет 0,013-0,3%. У женщин болезнь выявляется в 2 раза чаще. В 75% случаев сосудистая компрессия наблюдается у детей старше 10 лет, подростков и молодых людей до 30 лет.

Причины
Основным этиологическим фактором синдрома являются индивидуальные особенности анатомии гастродуоденальной зоны. Характерен угол около 20-25° (по сравнению с 30-60° в норме) между брюшной аортой и верхней брыжеечной артерией, из-за чего пространство между двумя сосудами сокращается до 10 мм и менее. Также отмечается высокое расположение связки Трейца, которая подтягивает горизонтальную часть 12-перстной кишки (ДПК) к вершине аортомезентериального угла.
Способствующие факторы
Дуоденальная компрессия происходит только при наличии провоцирующих факторов. Распространенные причины синдрома:
- резкое снижение веса, которое сопровождается сокращением объема висцерального жира − при этом расстояние между аортой и брыжеечной артерией уменьшается;
- поясничный лордоз, сколиоз;
- слабость мышц живота;
- строгий постельный режим после травм и операций.
Наиболее подвержены развитию синдрома верхней брыжеечной артерии подростки, у которых происходит быстрый скачкообразный рост без компенсаторного увеличения веса.
Патогенез
Хроническая дуоденальная непроходимость, связанная со сдавлением кишечника верхней брыжеечной артерией, развивается в 3 этапа. Для стадии компенсации характерно неполное перекрытие просвета органа и повышение внутрипросветного давления, что способствует прохождению пищи в нижележащие отделы ЖКТ. В этот период появляются стойкие нарушения трофики и микроциркуляции кишечной стенки, снижается поступление желчи и ферментов поджелудочной железы.
На этапе субкомпенсации дуоденальная перистальтика снижается. Обычно происходит обратный заброс содержимого в желудок, панкреатический проток или желчевыводящие ходы. Наиболее тяжело протекает стадия декомпенсации, которая проявляется дуоденостазом. Характерно патологическое расширение желудка и начальных отделов кишечника наряду с тотальной обструкцией артерией горизонтального участка двенадцатиперстной кишки.
Симптомы СВБА
В большинстве ситуаций синдром верхней брыжеечной артерии имеет хроническое течение, а его симптоматика нарастает постепенно. Острое начало заболевания возможно у больных с травмами позвоночника, ортопедическими проблемами или ожогами — состояниями, которые требуют длительной иммобилизации. Острый вариант синдрома манифестирует сильнейшими болевыми ощущениями в полости живота и кишечной непроходимостью.
Основной признак хронического сдавления ДПК верхней брыжеечной артерией — боли в эпигастрии, которые возникают спустя 20-40 минут после еды (постпрандиальный болевой синдром). Иногда боли появляются сразу после приема пищи. Болезненность достаточно ощутима, что вынуждает пациентов есть небольшими порциями или вовсе голодать. Для уменьшения дискомфорта человек принимает вынужденное положение: лежа на левом боку или на животе, стоя в коленно-локтевой позе.
Боли сопровождаются тошнотой и рвотой, чувством переполненного желудка. В рвотных массах содержится частично переваренная пища с включениями желчи. После рвоты больные чувствуют облегчение. Зачастую беспокоит горькая отрыжка, изжога. Характерно чувство раннего насыщения. Для декомпенсированной стадии характерно резкое похудение вплоть до истощения. При хроническом течении синдрома развивается апатия, снижается физическая и умственная трудоспособность.
Осложнения
При хроническом нарушении дуоденальной проходимости присоединяется желудочная патология. У 50% пациентов определяются гиперхлоргидрия и гиперацидный гастрит, который в 25-45% случаев переходит в язвенную болезнь. В субкомпенсированной стадии наблюдается дисфункция пилорического сфинктера, в результате чего формируется дуодено-гастральный рефлюкс. Повреждение желудочной стенки желчными кислотами проявляется в виде рефлюкс-гастрита.
Декомпенсированная стадия компрессии ДПК верхней мезентериальной артерией осложняется хроническим дуоденитом. Воспалительный процесс вызван свободным перемещением инфицированного желудочного содержимого в двенадцатиперстную кишку и обратно. В запущенных случаях синдрома снижается тонус сфинктера Одди, и застойное дуоденальное содержимое попадает в протоки. Как следствие, развивается хронический холецистопанкреатит, усугубляющий состояние больных.
На основании физикального обследования врачу-гастроэнтерологу трудно заподозрить артериомезентериальную компрессию ввиду отсутствия патогномоничных симптомов. Предположить сосудистый характер непроходимости можно у людей с астеничным телосложением, истощенных соматических или онкологических пациентов. Постановка диагноза синдрома верхней брыжеечной артерии основывается на применении ряда методов инструментальной диагностики:
- Рентгенологическое исследование.Рентгенография с контрастным веществом выявляет застой бария в сдавленной артерией горизонтальной части двенадцатиперстной кишки и замедленное опорожнение желудка (до 4-6 часов). Также визуализируется расширенная верхняя часть ДПК и стойкий дуоденогастральный рефлюкс. Еще один типичный признак — снижение перистальтики.
- ЭФГДС. При СВБА обнаруживают расширение желудка, а также начального отдела двенадцатиперстной кишки с патологическим сужением ее дистального отдела. При эндоскопическом исследовании визуализируется гиперемированная и отечная слизистая гастродуоденальной зоны. На декомпенсацию процесса указывает зияние сфинктера привратника.
- УЗИ гастродуоденальной зоны. Ультразвуковое исследование необходимо для наблюдения за сократительной функцией желудка и ДПК в режиме реального времени. Допплерография выполняется, чтобы оценить состояние брюшного отдела аорты, брыжеечных артерий, измерить сосудистый угол.
- КТ брюшной полости. Контрастирование пищеварительного канала с одновременной ангиографией абдоминальной части аорты назначается для верификации диагноза в сомнительных случаях. Исследование проводится для оценки стадии патологического процесса, измерения дуоденального просвета, величины угла, который образуют аорта и верхняя брыжеечная артерия.

Лечение синдрома верхней брыжеечной артерии
Консервативная терапия
В компенсированной и субкомпенсированной стадиях сосудистой компрессии проводится диетотерапия и медикаментозное лечение. Основные задачи консервативных мероприятий — усиление питания и уменьшение степени дуоденальной непроходимости. Лечебная диета предполагает прием жидкой, полужидкой и протертой пищи малыми порциями. Для коррекции состояния применяется ряд препаратов:
- Прокинетики. Лекарства стимулируют перистальтику ЖКТ, способствуя более быстрому продвижению химуса по пищеварительному каналу. Прокинетики нормализуют тонус мышечных сфинктеров, предотвращают дуоденальный рефлюкс.
- Спазмолитики. Назначаются короткими курсами перед приемом прокинетиков для снижения внутриполостного давления в 12-перстной кишке, которая сдавлена мезентериальной артерией. Препараты быстро устраняют боли и дискомфорт в эпигастральной зоне.
- Ферментные препараты. Для улучшения пищеварительной функции используют средства заместительной терапии с панкреатическими ферментами. Лекарства способствуют нормализации стула, уменьшают вздутие живота и диспепсические симптомы.
- Антибактериальные средства. Чтобы уменьшить риск гастродуоденитов, при дуоденальном рефлюксе рекомендуют кишечные антисептики, которые не оказывают системного действия. С целью подавления бактериальной инфекции показаны фторхинолоны, макролиды.
Хирургическое лечение
Критериями отбора больных для проведения оперативного вмешательства являются прогрессирующая потеря массы тела, выраженный дуоденостаз, развитие осложнений СВБА. Наиболее часто проводят дуоденоеюностомию, которая позволяет полностью устранить симптомы у 90% пациентов. В современной абдоминальной хирургии используют лапароскопическую операцию по разделению связки Трейца и уменьшению дуоденальной компрессии.
Сочетание медикаментозного лечения со специальной диетой показывает хорошие отдаленные результаты у пациентов с начальными стадиями синдрома. С учетом современных хирургических методов лечения прогноз благоприятен даже при декомпенсации заболевания. Меры профилактики включают своевременную коррекцию искривлений позвоночного столба, соблюдение рациональной диеты с адекватной калорийностью.
1. Синдром верхней брыжеечной артерии. Клинический случай в педиатрической практике/ Н.М. Тихон, М.П. Волкова, А.В. Хмеленко, А.И. Гринь // Вестник Витебского государственного медицинского университета. — 2016.
2. Синдром верхней мезентериальной артерии/ М.Б. Щербинина, В.Н. Гладун, С.И. Кожан, А.В. Семашко, С.И. Фещенко// Современная гастроэнтерология. — 2012.
3. Синдрома верхней мезентериальной артерии (синдром Уилки): клиническое наблюдение/ А.К. Графов, М.А. Халилов, Н.Н. Шевердин, А.Г. Алексеев // Российский вестник детской хирургии, анестезиологии и реаниматологии. — 2015.
4. Хроническая дуоденальная непроходимость. Т.Д. Звягинцева, И.И. Шаргород// Восточноевропейский журнал внутренней и семейной медицины. - №2 — 2016.
Синдром верхней брыжеечной артерии
Синдром верхней брыжеечной артерии (IAS). Это тип обструкции двенадцатиперстной кишки из-за дуоденального давления 12 между верхней брыжеечной артерией и брюшной аортой. Заболевание проявляется болью в животе после еды, тошнотой, рвотой и ощущением в желудке. Для диагностики используются инструментальные методы: рентгенография желудочно-кишечного тракта с контрастированием полости рта, ЭФГДС, УЗИ и комбинированная компьютерная томография. Лечение в основном консервативное: назначают щадящую диету и медикаменты (прокинетики, спазмолитики, ферменты). В случае декомпенсированной версии синдрома показано хирургическое вмешательство.

Синдром верхней брыжеечной артерии
Дополнительные факты
В медицинской литературе SVBA имеет несколько синонимов: артериомезентериальное или сосудистое сдавление двенадцатиперстной кишки, синдром Вилки. Заболевание встречается редко, истинная распространенность неизвестна из-за сложности диагностических исследований. Частота синдрома верхней брыжеечной артерии, по данным рентгенографии прохода бария, составляет 0,013-0,3%. У женщин заболевание выявляется в 2 раза чаще. В 75% случаев компрессия сосудов наблюдается у детей старше 10 лет, подростков и молодых людей в возрасте до 30 лет.
Причины.
Основным этиологическим фактором синдрома является индивидуальная анатомия желудочно-дуоденальной зоны. Характерный угол около 20-25 ° (по сравнению с нормальным 30-60 °) между брюшной аортой и верхней брыжеечной артерией, вследствие чего пространство между двумя сосудами уменьшается до 10 мм или менее. Существует также высокое расположение чеховской связки, которая тянет горизонтальную часть двенадцатиперстной кишки 12 (двенадцатиперстной кишки) к вершине аортомезентериального угла.
• резкое снижение массы тела, сопровождающееся уменьшением объема висцерального жира - при уменьшении расстояния между аортой и брыжеечной артерией.
• поясничный лордоз, сколиоз.
• слабость мышц живота.
• строгий постельный режим после травм и операций.
Подростки, которые испытывают быстрый скачкообразный рост без компенсаторного увеличения веса, наиболее подвержены развитию синдрома верхней брыжеечной артерии.

Хроническая дуоденальная непроходимость, связанная с сдавлением кишечника через верхнюю брыжеечную артерию, развивается в 3 этапа. Этап компенсации характеризуется неполным перекрытием органа и повышением давления в просвете, что облегчает прохождение пищи к нижележащим отделам желудочно-кишечного тракта. В этот период наблюдаются постоянные нарушения трофики и микроциркуляции кишечной стенки, уменьшается поток желчи и панкреатических ферментов.
На стадии субкомпенсации перистальтика двенадцатиперстной кишки уменьшается. Обычно содержимое заполняется в желудок, проток поджелудочной железы или желчных протоков. Наиболее сложным этапом является декомпенсация, которая проявляется в дуоденостазе. Характерным является патологическое расширение желудка и начальной кишки наряду с полной обструкцией сегмента двенадцатиперстной кишки через артерию.
Клиническая картина
В большинстве случаев синдром верхней брыжеечной артерии является хроническим, и его симптомы постепенно усиливаются. Острое начало заболевания возможно у пациентов с травмами позвоночника, ортопедическими проблемами или ожогами - состояниями, которые требуют более длительной иммобилизации. Острая версия синдрома показывает сильную боль в животе и кишечную непроходимость.
Основным симптомом хронического сдавления двенадцатиперстной кишки с верхней брыжеечной артерией является боль в эпигастрии, возникающая через 20-40 минут после еды (постпрандиальный болевой синдром). Иногда боль возникает сразу после еды. Боль достаточно ощутима, заставляя пациентов есть небольшими порциями или даже умирать с голоду. Чтобы уменьшить дискомфорт, человек занимает принудительное положение: он находится на левой стороне или на животе и находится в положении колена и локтя.
Боль сопровождается тошнотой и рвотой, чувством полного желудка. Рвота содержит частично переваренную пищу с включениями желчи. Пациенты чувствуют облегчение после рвоты. Горькая регургитация, часто беспокоит изжога. Чувство раннего сытости характерно. Стадия декомпенсации характеризуется сильной потерей веса до истощения. Апатия развивается при хроническом течении синдрома, снижается физическая и умственная работоспособность.
Ассоциированные симптомы: Горькая отрыжка. Изжога. Изжога в груди. Отрыжка. Рвота. Рвота желчью. Рвота пищей. Тошнота. Тошнота после еды.
Возможные осложнения
При хроническом нарушении проходимости двенадцатиперстной кишки присоединяется желудочная патология. У 50% больных определяются гиперхлоргидрия и гиперацидный гастрит, которые в 25-45% случаев переходят в язвенную болезнь. В некомпенсированной фазе наблюдается дисфункция пилорического сфинктера с последующим образованием дуодено-желудочного рефлюкса. Повреждение стенки желудка желчными кислотами происходит в виде рефлюкс-гастрита.
Декомпенсированная стадия сдавления двенадцатиперстной кишки верхней брыжеечной артерией осложняется хроническим дуоденитом. Воспалительный процесс обусловлен свободной циркуляцией инфицированного желудочного содержимого в двенадцатиперстной кишке и наоборот. В запущенных случаях синдрома тонус сфинктера Одди снижается и застойное дуоденальное содержимое поступает в протоки. В результате развивается хронический холецистопанкреатит, ухудшающий состояние больных.
Основываясь на физикальном обследовании, гастроэнтерологу сложно заподозрить атеросклеротическую компрессию из-за отсутствия патогномоничных симптомов. Сосудистый характер обструкции можно предположить у людей с астеническим телосложением, с соматическими или онкологическими нарушениями. Диагностика синдрома верхней брыжеечной артерии основана на использовании ряда инструментальных методов диагностики:
• Рентгенологическое обследование. Рентгенография с контрастными средами выявляет застой бария в горизонтальной части двенадцатиперстной кишки, сдавленной артерией, и задержку опорожнения желудка (до 4-6 часов). Увеличенная верхняя двенадцатиперстная кишка и стойкий дуоденальный рефлюкс также были замечены. Другим типичным симптомом является уменьшение перистальтики. При СВБА обнаруживается расширение желудка, а также начальной части двенадцатиперстной кишки с патологическим сужением ее дистального отдела. При эндоскопическом исследовании визуализируется гиперемированная и отечная слизистая оболочка гастродуоденальной области. Неудача процесса обозначена зиянием пилорического сфинктера.
• УЗИ гастродуоденальной области. Ультразвук необходим для мониторинга сократительной функции желудка и двенадцатиперстной кишки в режиме реального времени. Допплерография проводится для оценки состояния брюшной аорты, брыжеечных артерий, измерения угла сосудов.
• КТ брюшной полости. Контраст пищеварительного канала с одновременной ангиографией брюшной части аорты назначают для проверки диагноза в сомнительных случаях. Исследование проводится для оценки стадии патологического процесса, измерения просвета двенадцатиперстной кишки, величины угла, по которому аорта и форма верхней брыжеечной артерии.
КТ брюшной полости. Артериомезентериальная компрессия.
Лечение
На компенсированной и субкомпенсированной стадиях сдавливания сосудов проводят диетотерапию и медикаментозное лечение. Основными задачами консервативных мероприятий являются усиление рациона питания и снижение степени обструкции двенадцатиперстной кишки. Терапевтическая диета включает прием жидкой, полужидкой и протертой пищи небольшими порциями. Ряд лекарств используется для исправления состояния: Лекарства стимулируют моторику желудочно-кишечного тракта и способствуют более быстрому развитию химуса по пищеварительному тракту. Прокинетики нормализуют тонус мышечных сфинктеров и предотвращают дуоденальный рефлюкс. Их назначают короткими курсами перед приемом прокинетиков для снижения внутриполостного давления в двенадцатиперстной кишке 12, которая сдавлена брыжеечной артерией. Препарат быстро снимает боль и дискомфорт в области желудка.
• Ферментные препараты. Заместительная терапия ферментами поджелудочной железы используется для улучшения пищеварительной функции. Лекарства помогают нормализовать стул, уменьшить вздутие живота и диспепсические явления.
• Антибактериальные средства. Для снижения риска гастродуоденита при дуоденальном рефлюксе рекомендуется использовать кишечные антисептики, которые не оказывают системного действия. Для подавления бактериальной инфекции показаны фторхинолоны, макролиды.
Критериями отбора пациентов для оперативного вмешательства являются прогрессирующая потеря массы тела, выраженный дуоденостаз, развитие осложнений ВАШ. Наиболее часто выполняется дуоденоеюностомия, которая позволяет полностью устранить симптомы у 90% пациентов. В современной абдоминальной хирургии лапароскопическая хирургия используется для отделения связки от Трента и уменьшения компрессии двенадцатиперстной кишки.
Список литературы
1. Синдром верхней брыжеечной артерии. Клинический случай в педиатрической практике/ Н.М. Тихон, М.П. Волкова, А.В. Хмеленко, А.И. Гринь // Вестник Витебского государственного медицинского университета. — 2016.
2. Синдром верхней мезентериальной артерии/ М.Б. Щербинина, В.Н. Гладун, С.И. Кожан, А.В. Семашко, С.И. Фещенко// Современная гастроэнтерология. — 2012.
3. Синдрома верхней мезентериальной артерии (синдром Уилки): клиническое наблюдение/ А. Графов, М.А. Халилов, Н.Н. Шевердин, А.Г. Алексеев // Российский вестник детской хирургии, анестезиологии и реаниматологии. — 2015.
4. Хроническая дуоденальная непроходимость. Звягинцева, И.И. Шаргород// Восточноевропейский журнал внутренней и семейной медицины. - №2 — 2016.
Стенозирующий атеросклероз висцеральных ветвей аорты
Внутренние органы, располагающиеся в брюшной полости, отвечают за пищеварение и обильно кровоснабжаются. Кровоток к ним обеспечивается крупными сосудами — ветвями аорты. Существует несколько крупных значимых артериальных стволов — непарные: чревный ствол, верхняя брыжеечная артерия (тонкий и часть толстого кишечника), нижняя брыжеечная артерия и парные — почечные артерии.

Нарушение кровотока по висцеральным артериям приводит к недостаточному поступлению крови к внутренним органам и, как следствие, к острому или хроническому нарушению их функции. Острое нарушение кровотока развивается при скоротечной закупорке сосуда тромбом либо фрагментами атеросклеротической бляшки. При этом орган, который питала артерия, не успевает компенсировать недостаток крови из соседних, свободных артерий. Например, при закупорке почечной артерии развивается инфаркт почки, при закупорке верхней брыжеечной артерии — омертвение участка тонкой кишки. При данных состояниях высока вероятность смертельного исхода, часто требуется неотложное оперативное лечение.

При хронических нарушениях кровотока (при сужении артерии либо сдавлении ее извне соседними анатомическими структурами) поступление крови к органу сохранено, но значительно снижено. Орган испытывает постоянный недостаток в кислороде и питательных веществах, происходит нарушение его функций, что проявляется симптомами, характерными для многих других заболеваний внутренних органов (хронический гастрит, язвенная болезнь желудка и двенадцатиперстной кишки, хронический панкреатит, колит). Некоторые органы, такие как желудок, поджелудочная железа, печень кровоснабжаются очень хорошо, что позволяет компенсировать недостаток кровотока. Однако, с течением времени, развивается декомпенсация самого органа либо патологические изменения в соседних органах - так называемый «синдром обкрадывания кровотока», когда кровь из общего сосудистого бассейна поступает туда, где есть большая потребность в компонентах крови, вследствие чего другим органам «не достается» обычного объема крови, они испытывают недостаток в кислороде и питательных веществах.
Основные методы диагностики:
Выявить стеноз висцеральных артерий можно при помощи ультразвукового дуплексного сканирования сосудов брюшной полости, при прямой ангиографии и мультиспиральной компьютерной томографии-ангиографии.
Классификация форм заболевания:
1. Стеноз чревного ствола (снабжает кровью печень, селезенку, желудок, поджелудочную железу)

Это состояние, при котором просвет чревного ствола сужается, может быть приобретенным - развивается при поражении сосуда атеросклерозом, либо врожденным - при сдавлении извне дугообразной связкой диафрагмы (значительно реже — при воспалительных заболеваниях, аневризмах аорты, врожденных аномалиях развития, сдавлении новообразованиями брюшной полости). Первая причина часто сочетается с поражением других артерий (коронарных — внутрисердечные артерии, сонных, артерий нижних конечностей), вторая причина — врожденное состояние, проявления которого развиваются в молодом возрасте. Основными органами, испытывающими недостаток кровоснабжения, являются желудок, печень и поджелудочная железа, однако за счет "синдрома обкрадывания" страдает и кишечник. Значимым сужением просвета артерии в настоящее время считается более 50% от первоначального диаметра. Симптомы заболевания - боли в животе, вздутие, нарушения стула в виде чередующихся поносов и запоров, тошнота, потеря веса объединяются в единый синдром — синдром "хронической абдоминальной ишемии" (хроническая ишемическая болезнь органов пищеварения, абдоминальная ишемическая болезнь).
Установить причину сужения сосуда можно при помощи:
- дуплексного сканирования сосудов брюшной полости,
- выполнения ангиографии либо мультиспиральной компьютерной томографии — ангиографии (МСКТ-ангиография).
При установке показаний и выборе метода оперативного лечения учитывается возраст пациента, выраженность жалоб, эффективность консервативного лечения (без операции), степень компенсации функции задействованных органов. Показания к оперативному лечению, согласно современным стандартам, должны устанавливать совместно гастроэнтеролог и сосудистый хирург.
Существуют следующие виды операций:
- Эндоваскулярная балонная ангиопластика со стентированием чревного ствола. Это вмешательство выполняется через прокол в бедренной, реже - в других артериях. При помощи специальных тонких инструментов суженный участок чревного ствола расширяется изнутри до восстановления нормального диаметра просвета и устанавливается стент — тонкий «каркас» из инертных сплавов, в дальнейшем препятствующий повторному сужению артерии. Применяется чаще всего при поражении чревного ствола атеросклерозом.
- Лапароскопическая декомпрессия чревного ствола. Операция выполняется малоинвазивно из отдельных проколов. Данный метод позволяет надсечь связку диафрагмы, «освободив» чревный ствол от ее давления. При этом артерия расправляется, со временем восстанавливая свой нормальный диаметр. Ранее подобные операции выполнялись на открытой брюшной полости, что иногда сопровождалось тяжелым послеоперационным периодом, характерным для открытых операций, поэтому их распространенность была ограниченной. Развитие лапароскопической хирургии позволило выполнять данные вмешательства с достижением хорошего послеоперационного и косметического результата.
- Шунтирующие операции при сужении / закупорке чревного ствола или его протезирование. Выполняются при далеко зашедших стадиях атеросклероза, когда установить стент либо извлечь атеросклеротическую бляшку из сосуда не представляется возможным. Суть операций заключается в формировании обходного кровотока помимо пораженного чревного ствола, либо его замена искусственным протезом. Данные вмешательства относятся к технически сложным, выполняются только на открытой брюшной полости и требуют высокой квалификации сосудистого хирурга.
2. Стеноз верхней брыжеечной артерии
Встречается значительно реже, чем стеноз чревного ствола. Наиболее частые причины заболевания— атеросклеротическое сужение просвета верхней брыжеечной артерии (на фоне системного атеросклероза) и врожденное нарушение структуры стенки артерии — фибромускулярной дисплазии. Верхняя брыжеечная артерия разветвляется на множество менее тонких сосудов, которые кровоснабжают тонкую кишку и часть толстой кишки. Заболевание зачастую протекает без каких-либо симптомов, и трудно поддается диагностике, пока не наступают серьезные осложнения — полная закупорка верхней брыжеечной артерии или ее ветвей. При данном состоянии пациенты попадают в хирургический стационар с признаками скоротечного омертвения лишенного кровоснабжения участка кишечника, отличить которое от других острых хирургических заболеваний живота иногда очень сложно. В данном случае требуется неотложная операция — резекция нежизнеспособного участка кишки.
- ультразвуковой допплерографии брюшной аорты и ее ветвей (эффективность диагностики около 50%),
- магнитно-резонансной томографии (эффективность диагностики около 80%),
- ангиографии брюшной аорты и ее ветвей (позволяет установить наличие сужения сосуда в 90% случаев).
Лечение при раннем выявлении стеноза верхней брыжеечной артерии сходно с терапией системного атеросклероза, однако при значимых сужениях артерии возможно выполнение оперативного вмешательства — эндоваскулярной ангиопластики.
3. Стеноз почечной артерии
Сужение почечных артерий развивается вследствие атеросклеротического поражения, а также при более редком заболевании — фибромускулярной дисплазии. Нарушение поступления крови к одной или обеим почкам сопровождается общей негативной реакцией организма. Почка, испытывающая дефицит крови, получает ложную «информацию” об общем объеме крови, и начинает реагировать так, как если бы общее количество крови в организме снизилось. Усиливаются процессы синтеза гормонов, направленные на удержание воды в организме для поддержания постоянного объема жидкости в общем кровеносном русле. Данный механизм является патологическим, так как количество крови остается прежним, и, за счет продукции почечных гормонов, в кровеносное русло поступает дополнительный объем воды из клеток. Вследствие этого развивается стойкая почечная артериальная гипертензия — повышение артериального давления выше нормальных цифр, плохо поддающееся снижению лекарственными препаратами. Появляются отеки, нарушение работы сердца. Этот вид артериальной гипертензии обычно вовремя распознается лечащими врачами, и при ультразвуковом исследовании часто удается выявить поражение почечных артерий. Открытая операция для восстановления кровотока по почечной артерии — обходное шунтирование, протезирование (замена) пораженного участка в настоящее время выполняется все реже, на смену им приходят малоинвазивные эндоваскулярные методы — ангиопластика и стентирование.
Важно знать!
Подозрение на поражение висцеральных артерий может возникнуть при неэффективности лечения гастроэнтерологических заболеваний.
Читайте также:
