Лучевая диагностика желчных камней и сладжа в желчном пузыре
Добавил пользователь Евгений Кузнецов Обновлено: 01.11.2025

Профессиональные диагностические инструменты. Оценка эластичности тканей, расширенные возможности 3D/4D/5D сканирования, классификатор BI-RADS, опции для экспертных кардиологических исследований.
Введение
Заболевания желчного пузыря - это особый раздел в современной медицине, которому специалисты уделяют повышенное внимание 1. С одной стороны, патология желчного пузыря (например, полипы), может протекать совершенно бессимптомно, но имеет тенденцию к малигнизации 5. С другой стороны, некоторые заболевания, такие как конкременты желчного пузыря и желчевыводящих путей, сопровождаются сильными приступами болей и могут привести к тяжелым осложнениям. В результате длительного давления камнем на слизистую оболочку пузыря в ней могут возникнуть язвы и пролежни, образоваться дивертикулоподобные выпячивания, внутренние и наружные желчные свищи, перфоративные отверстия с развитием подпеченочного или поддиафрагмального абсцессов, желчного перитонита. Перемещение желчных камней может сопровождаться закупоркой пузырного протока, водянкой желчного пузыря или его эмпиемой. При обтурации камнем выходного отдела общего желчного протока наступает механическая желтуха. Длительное нахождение камня в желчных протоках и присоединение инфекции ведут к развитию холангита. Выпадение крупного желчного камня из желчного пузыря в кишку через образовавшееся соустье может привести к непроходимости кишечника [1, 3, 5-8, 10-12]. Поэтому своевременная диагностика заболеваний желчного пузыря и протоковой системы имеет очень важное значение.
Образование желчи в печени - процесс непрерывный, однако поступление ее в кишечник в норме происходит преимущественно в процессе пищеварения. Это обеспечивается резервуарной функцией желчного пузыря и его ритмическими сокращениями с последовательным расслаблением сфинктера Люткенса и далее сфинктера Одди, расположенного в месте впадения общего желчного протока в кишку (рис. 1).

1 - дно желчного пузыря;
2 - пузырный проток;
3 - собственная печеночная артерия;
4 - воротная вена;
5 - желудочно-печеночная связка;
6 - левая доля печени;
7 - хвостатая доля печени;
8 - нижняя полая вена;
9 - хвостатый отросток;
10 - шейка желчного пузыря;
11 - правая доля печени;
12 - тело желчного пузыря;
13 - квадратная доля печени.
Натощак желчный пузырь содержит 30-80 мл желчи, но он может концентрировать печеночной желчи в 5-10 раз больше. При застое желчи в пузыре ее количество может увеличиваться. У женщин желчный пузырь в состоянии функционального покоя имеет несколько больший объем, чем у мужчин, но сокращается быстрее. С возрастом сократительная функция желчного пузыря снижается.
Ультрасонография является одним из самых информативных и доступных инструментальных методов диагностики заболеваний желчного пузыря 6.
Акустические свойства ультразвука позволяют выявлять мельчайшие эхогенные структуры, находящиеся в желчном пузыре.
С помощью УЗИ значительно сокращается время диагностического поиска. В отличие от компьютерной томографии (КТ) и магнитно-резонансной томографии (МРТ) при УЗИ врач-исследователь сам непосредственно участвует в получении изображения, что имеет свои плюсы и минусы. Положительной является возможность более целенаправленного и детального исследования изучаемого объекта. Отрицательная сторона - качество изображения и его расшифровка в значительной степени зависят от опыта исследователя и правильности применяемых им методик.
Полипы в желчном пузыре имеются у 6% всего населения. В 80% случаев полипы в желчном пузыре отмечаются у рожавших женщин в возрасте после 30 лет. Так как полипы клинически себя никак не проявляют, диагностика их чаще всего случайна и происходит при проведении УЗИ у пациента по совершенно другим причинам 8.
Хотя причины появления полипов на стенках в желчного пузыря не установлены, а симптомы неочевидны, известны четыре типа таких образований. Наиболее часто по статистике в желчном пузыре у пациентов сегодня встречаются следующие типы [4, 5, 9].
Воспалительный полип желчного пузыря - является своего рода воспалительной реакцией самой слизистой оболочки желчного пузыря, проявляется у пациента в виде различных разрастаний грануляционной внутренней ткани пораженного органа.
Нередко врачи также ставят диагноз аденомы желчного пузыря. Так происходит потому, что это своего рода доброкачественная опухоль в виде полиповидного разрастания железистой ткани желчного пузыря больного.
Также следует отметить папиллому или полипоз желчного пузыря у некоторых пациентов. Такая папиллома представляет собой доброкачественную опухоль слизистой оболочки пузыря в виде различных по виду и структуре своеобразных папиллом или сосочковых разрастаний.
К самому распространенному типу относят так называемый холестериновый полип желчного пузыря, который представляет собой возвышение слизистой оболочки пузыря с холестриновыми отложениями на ней. Холестероз достаточно часто встречается среди пациентов, направленных на операцию с клиническим диагнозом "полипы" или "полипоз желчного пузыря", по некоторым данным от 42 до 95% случаев.
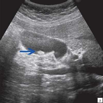
Ультрасонография является эффективным средством выявления полиповидной формы холестероза 7. Традиционной считается следующая сонографическая характеристика холестериновых полипов: неподвижные гиперэхогенные структуры, которые не дают акустической тени и прикрепляются к стенке желчного пузыря. Контуры таких образований, как правило, ровные, а размеры таких образований различны, чаще не превышают 10 мм (рис. 2).

a) Одиночный полип в желчном пузыре (гиперэхогенное пристеночное неподвижное образование, с ровными контурами, без акустической тени).

б) Одиночный полип в желчном пузыре.

в) Полиповидно-сетчатая форма холестероза, полипы размерами до 5 мм, повышенной эхогенности.

г) Одиночный полип в желчном пузыре.
Однако, по некоторым данным, размеры холестериновых полипов могут быть более 20 мм. Кроме того, полипы больших размеров (в 7% от общего числа) могут иметь пониженную эхогенность и фестончатый контур.
Мелкие холестериновые включения, образующие диффузную сеточку в толще подслизистого слоя размерами 1-2 мм, выглядят как локальное утолщение или уплотнение стенки желчного пузыря и в некоторых случаях (см. рис. 2) вызывают реверберацию (эхографический симптом "хвост кометы").
При распространенном холестерозе визуализируются множественные гиперэхогенные образования, дающие картину "земляничного" желчного пузыря (рис. 3).

а) Множественные полипы в желчном пузыре, картина "земляничного" желчного пузыря.

б) В режиме цветного допплеровского картирования кровоток не регистрируется.
Характер ножки полипа традиционно учитывается в онкологической практике как признак, ассоциированный со злокачественной природой образования. Вероятность возможной малигнизации больше, если у него имеется широкое основание, а не тонкая ножка. Однако необходимо принимать во внимание возможность ложноположительной диагностики широкого основания при полипах больших размеров из-за их ограниченной смещаемости в просвете желчного пузыря. Дрожание, напоминающее пламя свечи, наблюдается у полипов небольших размеров и вытянутой формы, и указывает на их тонкую ножку 7.
Желчнокаменная болезнь (cholelithiasis; калькулезный холецистит) - заболевание, обусловленное наличием конкрементов в желчном пузыре и желчных протоках. Частота образования желчных камней увеличивается с возрастом, достигая 45-50% у женщин старше 80 лет. У мужчин желчные камни встречаются в 3-5 раз реже, у детей - крайне редко. Только в 20% случаев желчные камни существуют бессимптомно ("немые" конкременты) [5].
Существует два основных механизма образования желчных камней: печеночнообменный и пузырно-воспалительный. Печеночно-обменный механизм заключается в формировании желчных камней вследствие таких факторов, как несбалансированное питание с преобладанием в рацио не грубодисперсных животных жиров (свиного, бараньего, говяжьего) в ущерб растительным; нейроэндокринные нарушения, например, связанные с дисфункцией эндокринной системы возрастного характера и гипофункцией щитовидной железы; поражения печеночной паренхимы токсического и инфекционного генеза; гиподинамия и застой желчи. В результате печень продуцирует литогенную желчь, т. е. способную образовывать холестериновые или смешанные камни. При пузырно-воспалительном механизме желчные камни формируются под влиянием воспалительного процесса в желчном пузыре, приводящего к физико-химическим сдвигам в составе желчи (дисхолии). Изменение рН желчи в кислую сторону, характерное для любого воспаления, приводит к уменьшению защитных свойств коллоидов, в частности белковых фракций желчи, переходу мицеллы билирубина из взвешенного состояния в кристаллическое. При этом образуется первичный кристаллизационный центр с последующим наслоением других ингредиентов желчи, слизи, эпителия и др.
Желчные камни - плотные образования, количество которых может составлять от одного до нескольких тысяч, размер - до нескольких сантиметров в диаметре, масса - до 30 г и более. В желчном пузыре чаще встречаются камни округлой формы, в общем желчном протоке - эллипсоидной или продолговатой, во внутрипеченочных протоках ветвистой. В зависимости от состава различают холестериновые, пигментно-холестериновые, холестериново-пигментно-известковые, пигментные и известковые камни; на распиле они имеют пигментное ядро и слоистое строение.
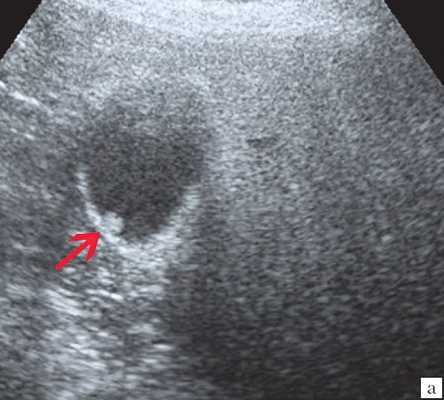
Клиническая картина желчнокаменной болезни многообразна [5-6, 10]. Условно выделяют хроническую болевую, хроническую рецидивирующую, диспептическую, стенокардитическую и ряд других клинических форм. Характерным ультразвуковым признаком конкремента в желчном пузыре является его акустическая тень. Такая тень возникает из-за высокой плотности камня по сравнению с мягкими тканями. Наличие или отсутствие тени помогает отличить камень от полипа желчного пузыря (рис. 4).

а) Одиночный конкремент желчного пузыря (подвижная гиперэхогенная структура, дающая четкую теневую дорожку).
Билиарный сладж
Билиарный сладж — это патологическое состояние, при котором в желчевыводящей системе образуется взвесь из холестериновых или других кристаллов. Вначале протекает бессимптомно, в последующем проявляется болью в правом подреберье и диспепсией. Диагностируется при помощи УЗИ и динамической сцинтиграфии желчевыводящей системы, дуоденального зондирования, РХПГ и биохимического исследования крови. Терапия предполагает назначение урсодезоксихолевой кислоты, миотропных спазмолитиков, холеретиков, холекинетиков и растительных гепатопротекторов. При обструкции желчевыводящих путей выполняется холецистэктомия, бужирование желчных ходов.
МКБ-10


Общие сведения
Диагностика билиарного сладжа как самостоятельного патологического состояния стала возможной после широкого внедрения ультразвуковых методов исследования печени и желчевыводящих путей. Распространенность расстройства в популяции составляет 1,7-4%, у пациентов с заболеваниями пищеварительного тракта — 7-8%, у больных с гепатобилиарной патологией — 24,4-55%. В состав сладжа входят кристаллы холестерина, муцин, билирубинат кальция и другие пигменты. Наиболее часто болезнь выявляется у женщин старше 55 лет. Большинство гастроэнтерологов и гепатологов рассматривают наличие у пациента кристаллической билиарной взвеси как доклиническую (предкаменную) форму желчнокаменной болезни.

Причины
Билиарный сладж имеет полиэтиологическое происхождение, провоцируется теми же факторами, что и желчнокаменная болезнь. Ключевую роль в возникновении заболевания имеют изменение химического состава желчи и ее застой в желчевыводящих путях. В развитии патологии прослеживается наследственная предрасположенность, вероятность билиарного сладжеобразования у пациентов, родственники которых страдают холелитиазом, увеличивается в 2-4 раза. Специалисты в сфере гастроэнтерологии и гепатологии выделяют несколько групп предпосылок, при которых повышается риск появления сладжа в билиарной системе:
- Дискинезии билиарного тракта. При первичных нарушениях моторики желчевыводящих путей нарушается эвакуация желчи из пузыря и ее отток в двенадцатиперстную кишку. Билиарный стаз характерен для дисфункции желчного пузыря, сфинктера Одди. Образование сладжа отмечается при вторичных дискинезиях, вызванных органической патологией.
- Обтурация желчевыводящих путей. Сладжеобразование ускоряется при нарушении проходимости билиарного тракта у пациентов со стенозом сфинктера Одди на фоне панкреатита, опухолей печени и головки поджелудочной железы, травматических повреждений. В таких случаях изменение реологии желчи и возникновение сладжа обычно усугубляется симптоматикой механической желтухи.
- Заболевания печени. Формированием сладжа осложняется большинство заболеваний печени, протекающих с нарушением желчеобразования и холестазом, — вирусные гепатиты, стеатогепатит, алкогольный цирроз печени. Расстройство также развивается при печеночной дисфункции, вызванной реакцией «трансплантат против хозяина» после костномозговой трансплантации.
- Нарушения питания. Осаждение холестерина в виде кристаллов ускоряется при повышении его концентрации в желчи у пациентов, употребляющих много пищи с холестерином (мяса, копченостей, продуктов с трансжирами). Нарушение реологических свойств желчи наблюдается при ожирении, в то время как ее отток замедляется при быстром похудении, голодании и низкокалорийных диетах.
- Гормональные изменения. Появлению сладжа у беременных и женщин, страдающих гиперэстрогенией, способствует увеличение концентрации эстрогенов, повышающих литогенность желчи. При беременности ситуация усугубляется гиперпрогестеронемией, провоцирующей застой желчи. В группу риска также входят пациентки, принимающие эстроген-гестагенные препараты и КОК.
- Прием некоторых медикаментов. Побочный эффект в виде осаждения сладжа выявляется при приеме цефалоспоринов, синтетических аналогов соматостатина и препаратов кальция. При кратковременных курсах лечения этот эффект обратим, у многих пациентов нормальные характеристики желчи восстанавливаются спустя 2-3 недели после завершения фармакотерапии.
Патогенез
Механизм формирования билиарного сладжа основан на возникшем дисбалансе между содержанием литогенных и противонуклеирующих факторов. При высокой концентрации холестерина начинается нуклеация, осаждение его кристаллов в желчи. В последующем преципитированные частицы агрегируются в микролиты, которые увеличиваются в размерах, превращаясь в желчные камни. Ускоренному осаждению холестерина способствуют нарушения желчеотделения функционального или органического генеза. В зависимости от причин сладжеобразования в состав билиарного содержимого могут входить пигменты, кальций и другие компоненты желчи.
Классификация
По происхождению кристаллической взвеси заболевание бывает первичным (эссенциальным) и вторичным, связанным с действием установленных этиологических факторов. При систематизации вариантов билиарного сладжа учитывают состав кристаллов (с преобладанием холестерин-муцинового комплекса, кальциевых солей или билирубинсодержащих пигментов), наличие холелитиаза и сократительную активность желчного пузыря. Для выбора терапевтической тактики важно знать УЗИ-форму болезни:
- Эховзвесь. Начальный этап сладжеобразования. Протекает бессимптомно, выявляется случайно при плановом обследовании пациента. Требует динамического наблюдения.
- Билиарные сладж-сгустки. Классический вариант заболевания с наличием на УЗИ гиперэхогенных образований. Рекомендовано назначение активной антилитогенной терапии.
- Особые формы. Выявляются признаки микрохолелитиаза, желчепузырных холестериновых полипов, образование замазкообразной желчи. Может быть показано оперативное лечение.
Симптомы билиарного сладжа
Зачастую болезнь длительное время протекает без явной симптоматики. Клиника неспецифична и обусловлена основной патологией, которая привела к скоплению холестериновых кристаллов в протоках билиарного тракта. Чаще всего пациентов беспокоят болевые ощущения справа в подреберье, связанные с приемом пищи и иррадиирующие в правую лопатку. Интенсивность болевого синдрома зависит от степени поражения желчевыделительной системы. Боль становится более сильной при миграции сладжа и может отдаленно напоминать типичную желчную колику. Также наблюдаются диспепсические симптомы: тошнота и рвота, горечь во рту, дискомфорт в животе после еды. Иногда отмечается изменение характера стула с преобладанием запоров. Общее состояние пациентов с симптоматикой билиарного сладжа не нарушено.
Осложнения
Длительное травмирование стенок желчевыводящих протоков кристаллами и микролитами приводит к воспалительной реакции — холангиту. При желчепузырном застое густой желчи возможно возникновение хронического холецистита. В случае присоединения вторичной инфекции развивается гнойный холангит, эмпиема желчного пузыря. Наиболее частым осложнением билиарного сладжа считается формирование конкрементов крупного размера. Длительное течение заболевания приводит к рубцовым изменениям желчных протоков, стенозирующему папиллиту, что требует хирургического вмешательства. При распространении патологического процесса за пределы билиарной системы возникает дуоденит, криптогенный панкреатит.
Диагностика
Постановка диагноза может быть затруднена, поскольку клиника билиарного сладжа часто сочетается с симптомами другой болезни. Обычно расстройство осложняет течение иной патологии желчных путей, что обуславливает полиморфность и неспецифичность проявлений. Диагностический поиск направлен на исключение других заболеваний с помощью комплексного обследования гепатобилиарной системы. Наибольшей информативностью обладают:
- УЗИ печени и желчного пузыря. С учетом типа сладжа при сонографическом исследовании могут обнаруживаться мелкие гиперэхогенные включения без четкой тени (микролитиаз), эховзвесь в полости желчного пузыря либо протоках. В редких случаях сонография позволяет определить холестериновые полипы.
- Ретроградная холангиопанкреатография. При помощи РХПГ с введением контрастного вещества удается выявить наиболее частые осложнения — камни в холедохе, стриктуры сфинктера фатерова сосочка и рубцовые изменения желчных протоков. Дополнительно выполняют манометрию сфинктера Одди.
- Дуоденальное зондирование. Исследование с получением нескольких порций желчи проводится для оценки сократительной функции сфинктеров, желчного пузыря, анализа состава желчи. При сладже в больших количествах обнаруживаются соли кальция, холестериновые кристаллы и билирубинсодержащие пигменты.
- Динамическая сцинтиграфия гепатобилиарной системы. Радиологический метод предназначен для комплексной оценки желчеобразования и определения моторно-эвакуаторной желчепузырной дисфункции. При сладже у большинства больных сократительная способность органа существенно снижается.
- Биохимический анализ крови. Выраженные лабораторные изменения отмечаются при обострении процесса. Характерно увеличение уровней щелочной фосфатазы и холестерина, незначительный подъем общего билирубина за счет конъюгированной фракции и повышение концентрации печеночных трансаминаз (АСТ, АЛТ).
Лейкоцитоз и повышение СОЭ в общем анализе крови свидетельствует об осложнении заболевания. В копрограмме выявляются капли нейтрального жира, повышенное количество желчных кислот. Дополнительно может рассчитываться холестериновый индекс, свидетельствующий о повышении концентрации холестерина в пузырной желчи. Для исключения возможной онкологической патологии выполняется КТ или МРТ брюшной полости.

КТ органов брюшной полости. Кальциевое «молочко» в отлогих местах желчного пузыря (сладж). (фото Вишняков В.Н.)
Чаще всего преципитацию холестерина в системе желчевыведения приходится дифференцировать с функциональными дискинезиями. При этом ключевым критерием болезни становятся УЗИ-признаки наличия в желчи кристаллической взвеси. В отличие от онкологических заболеваний при желчном сладже отсутствуют объёмные новообразования в гепатобилиарной зоне. Организацией обследования пациента занимается гастроэнтеролог или гепатолог.
Лечение билиарного сладжа
Пациентам с впервые выявленными признаками заболевания без клинической симптоматики рекомендовано динамическое наблюдение и устранение факторов, спровоцировавших сладжеобразование, — лечение основной патологии, отмена литогенных средств и коррекция диеты. При постоянном наличии УЗИ-признаков патологической взвеси в течение 3 месяцев назначается консервативная антилитогенная терапия. Схема лечения обычно включает следующие группы лекарственных средств:
- Производные урсодезоксихолевой кислоты (УДХК). Принадлежат к категории базисных препаратов. Терапевтический эффект связан с торможением синтеза холестерина в гепатоцитах и улучшением реологических характеристик желчи. Связывание УДХК с холестерином в жидкие кристаллы способствует растворению образовавшихся преципитатов.
- Холеретики и холекинетики. Литогенность билиарного содержимого уменьшается при увеличении в его составе первичных желчных кислот. Препараты, улучшающие экскрецию желчи, сократительную способность желчного пузыря, моторику желчевыводящих путей, способствуют более быстрому выделению холестерина в просвет двенадцатиперстной кишки.
- Миотропные спазмолитики. Рекомендованы при спастических дискинезиях билиарного тракта. Благодаря воздействию на гладкомышечные волокна упрощают опорожнение желчного пузыря и расслабляют сфинктер Одди при его гипертонусе. Улучшение желчевыделения уменьшает застойные явления и снижает риск преципитации холестериновых кристаллов.
- Растительные гепатопротекторы. Целесообразность назначения препаратов обусловлена их комплексным действием на разные звенья сладжеобразования. Гепатопротективные средства обладают желчегонным и спазмолитическим эффектом, за счет улучшения функции гепатоцитов снижают содержание холестерина в желчи при стеатозе и другой билиарной патологии.
Для более быстрой элиминации сладжа применяют энтеросорбенты, блокаторы липаз и регуляторы кишечной моторики, затрудняющие всасывание холестерина в кишечнике. Хирургические методы при выявлении билиарной взвеси используются редко, в основном при наличии терапевтически резистентного спазма или стеноза сфинктера Одди. В подобных случаях для ликвидации холестаза выполняется сфинктеропапиллотомия. При обтурации замазкообразной желчью узких мест желчевыводящих путей может проводиться открытая или лапароскопическая холецистэктомия, эндоскопическое бужирование желчных протоков.
Прогноз и профилактика
Исход билиарного сладжа определяется степенью функциональных и органических изменений в желчевыводящих протоках и желчном пузыре, общим состоянием пациента, наличием сопутствующей патологии. Прогноз благоприятный при известном этиологическом факторе, устранение которого приводит к полному регрессу симптоматики. В остальных случаях существует высокий риск трансформации заболевания в органическую билиарную патологию. Для профилактики сладжа необходимо снизить количество жирных и жареных блюд в рационе, соблюдать интервалы между приемами пищи (не более 3-4 часов), ограничить прием медикаментов, которые могут вызывать спазм сфинктера Одди. Важно проводить своевременную диагностику и лечение заболеваний, приводящих к билиарному застою.
1. Билиарный сладж: причины формирования, диагностика и лечение / Ильченко А.А. // Consilium Medicum. Гастроэнтерология - 2012 - №2.
2. Билиарный сладж: нерешенные вопросы / Мехтиев С.Н., Гриневич В.Б., Кравчук Ю.А., Богданов Р.Н. // Лечащий врач. 2007 - №6.
О частоте выявления "желчного сладжа" с помощью УЗИ

Точная и уверенная диагностика. Многофункциональная ультразвуковая система для проведения исследований с экспертной диагностической точностью.
С развитием различных методов визуализации, в частности, ультрасонографии, появились специфические нозологические формы, среди которых встречается и "желчный сладж" (ранее не диагностировавшийся с помощью рентгенологического исследования). "Желчный сладж" представялет собой смесь слизи, билирубината кальция и кристаллов холестерина. Он появляется, когда желчь становится густой и вязкой, замещая нормальную желчь [1, 2].
Существуют различные точки зрения относительно этиологии и патогенеза сладжа. Некоторые рассматривают "желчный сладж" как предшественника желчных конкрементов, другие - в качестве транзиторного обратимого состояния желчного баланса. "Желчный сладж" появляется, когда изменяется соотношение основных компонентов желчи или развивается нарушение опорожнения желчного пузыря.
Рассматривая этиологию "желчного сладжа", его можно классифировать на вторичный и первичный. Вторичный сладж появляется, когда имеется хорошо известное этиопатогенетическое условие: после ударно-волновой литотрипсии по поводу желчных конкрементов, при желчно-каменной болезни, беременности [3, 4], циррозе печени, механической желтухе, водянке желчного пузыря, длительном парентеральном питании [5,6], сахарном диабете, серповидно-клеточной анемии [7], после приема цефтриаксона [8, 9]. Как первичный сладж расценивается в тех случаях, когда не может быть выявлено ни одно из указанных выше состояний.
Материалы и методы
В исследовании, проведенном в США, "желчный сладж" выглядел в виде гиперэхогенного образования в желчном пузыре с горизонтальным уровнем без задней тени, форма которого медленно изменялась при движении больного [10]. Характерный признак "желчного сладжа" - изменение его вида на сканограмме в зависимости от изменения положения тела больного и медленным достижением нового горизонтального уровеня. Общим правилом является отсутствие дистальной акустической тени. Эхогенность сладжа может быть различной. Иногда сладж заполняет весь желчный пузырь, затрудняя дифференцировку между тканью печени и желчным пузырем. Эта ситуация называется "гепатизация желчного пузыря" (рис. 1).

Рис. 1. Гепатизация желчного пузыря, полностью заполненного сладжем.
Кроме типичного вида, "желчный сладж" может иметь особый вид, похожий на круглое полипоидное объемное образование с острыми краями или неравномерным контуром ("опухолеподобный желчный сладж" или "сладжевые шарики" [12, 13]). При изменении положения больного видны перекатывающиеся или разрушающиеся шарики сладжа, затем снова формирующие исходное объемное образование (рис. 2-8).

Рис. 2. Желчный пузырь, наполовину заполненный сладжем.

Рис. 3. Большой желчный пузырь со сладжем.

Рис. 4. "Желчный сладж" у больного с циррозом печени.

Рис. 5. Желчный пузырь, заполненный сладжем, у больного циррозом.

Рис. 6. Желчный пузырь и "желчный сладж".

Рис. 7. "Желчный сладж" в виде шара.

Рис. 8. Шароподобный "желчный сладж".
Используя определение "желчный сладж", с помощью ультразвукового сканера с конвексным и секторным датчиками 3,5 и 5 МГц мы проспективным образом обследовали 11 800 больных с целью выявления сладжа. Ультразвуковое исследование проводилось по меньшей мере после 10-часового периода голодания.
На основании клинических или параклинических данных, мы разделили сладжи на первичный и вторичный.
Результаты
"Желчный сладж" был диагностирован у 68 (0,6%) больных, среди которых 39 мужчин и 29 женщин. Средний возраст обследованных составил 55,3 года. Рассматривая этиологию сладжа, мы обнаружили вторичный "желчный сладж" в 75% случаев (51 больной), а первичный - в 25% (17 пациентов) (рис. 9).

Рис. 9. Этиология "желчного сладжа".
Чаще обнаруживали вторичный сладж при циррозе печени (22 случая), затем при сопутствующих желчных конкрементах (15 человек) и механической желтухе (11 больных) (рис. 10).

Рис. 10. Случаи вторичного сладжа.
Наличие "желчного сладжа" у 0,6% больных, прошедших ультразвуковое исследование, означает, что эта нозологическая форма является относительно редкой. Если по вторичному сладжу вопрос достаточно ясен, то клиническое значение первичного "желчного сладжа" понятно еще не полностью. В исследовании, включавшем 96 больных с желчным сладжем, ультразвуковое наблюдение проводилось в среднем в течение 38 мес, и W. Middleton [14] показал, что у 14 (14,5%) пациентов развились желчные конкременты, 6 (6,2%) больных со сладжем предъявляли жалобы на печеночные колики (при отсутствии холелитиаза).
Учитывая, что желчные конкременты могут развиться у части (15%) больных с первичным желчным сладжем, назначение им лечения урсодезоксихолевой кислотой может быть эффективным [15], но лечебная стратегия установлена еще недостаточно. Другой вариант - длительное наблюдение этих больных, а затем лечение только тех из них, у которых образуются мелкие желчные конкременты.
Что касается "опухолевидного желчного сладжа", то его ультразвуковая диагностика может быть трудной, потому что требуется дифференциальная диагностика с раком и конкрементами желчного пузыря (в частности, билирубиновые конкременты иногда имеют тонкую акустическую тень).
Другим аспектом, который необходимо обсудить, является ложный вид сладжа при условии несоответствия мощности звука (слишком большое усиление). Для правильного определения локализации сладжа необходимо следить за его движением с помощью изменения положения тела больного. Но для достаточно опытного специалиста в области ультразвуковых исследований правильная диагностика сладжа почти никогда не представляет трудностей.
Выводы
С появлением новых методов визуализации обнаружение "желчного сладжа " стало реальностью, что имеет клиническое значение. Его частота не так высока (0,6% всех случаев, обследованных с помощью ультразвука), но отдельные пациенты с первичным "желчным сладжем" требуют динамического наблюдения для последующего решения вопроса о возможном лечении.
Литература
УЗИ сканер HS70
Желчнокаменная болезнь ( Холелитиаз )
Желчнокаменная болезнь - это заболевание, сопровождающееся образованием камней в желчном пузыре (холецистолитиаз) или в желчных протоках (холедохолитиаз). Камни образуются в результате осаждения желчных пигментов, холестерина, некоторых типов белков, солей кальция, инфицирования желчи, ее застоя, нарушения липидного обмена. Болезнь может сопровождаться болями в правом подреберье, желчной коликой, желтухой. Требуется оперативное вмешательство. Патология может осложниться холециститом, образованием свищей, перитонитом.

Желчнокаменная болезнь - заболевание, характеризующееся расстройством синтеза и циркуляции желчи в гепатобилиарной системе в результате нарушения холестеринового или билирубинового обменов, следствии чего формируются камни (конкременты) в желчных протоках и желчном пузыре. Патология опасна развитием тяжелых осложнений, имеющих высокую вероятность летального исхода. Заболевание намного чаще развивается у женщин. Лечение осуществляют специалисты в сфере клинической гастроэнтерологии и абдоминальной хирургии.
В случае нарушения количественного соотношения компонентов желчи в организме происходит формирование твердых образований (хлопьев), которые с течением заболевания разрастаются и сливаются в камни. Наиболее часто встречается холелитиаз при нарушенном обмене холестерина (избыточном его содержании в желчи). Перенасыщенная холестерином желчь называется литогенной. Избыток холестерина образуется вследствие следующих факторов:
- При ожирении и употреблении большого количества холестеринсодержащих продуктов.
- При снижении количества желчных кислот, поступающих в желчь (пониженная секреция при эстрогении, депонирование в желчном пузыре, функциональная недостаточность гепатоцитов).
- При снижении количества фосфолипидов, которые подобно желчным кислотам не дают холестерину и билирубину переходить в твердое состояние и оседать.
- При застойных явлениях в системе циркуляции желчи (сгущение желчи вследствие всасывания в желчном пузыре воды и желчных кислот).
Застой желчи в свою очередь может иметь механический и функциональный характер. При механическом застое имеет место препятствие оттоку желчи из пузыря (опухоли, спайки, перегибы, увеличение близлежащих органов и лимфоузлов, рубцы, воспаление с отеком стенки, стриктуры). Функциональные нарушения связаны с расстройством моторики желчного пузыря и желчевыводящих путей (дискинезия желчевыводящих путей по гипокинетическому типу). Также к развитию желчнокаменной болезни могут вести инфекции, воспаления органов билиарной системы, аллергические реакции, аутоиммунные состояния.
Факторами риска развития желчнокаменной болезни являются пожилой и старческий возраст, прием медикаментов, вмешивающихся в обмен холестерина и билирубина (фибраты, эстрогены в менопаузу, цефтриаксон, окреотид), генетические факторы (желчнокаменная болезнь у матери), нарушения питания (ожирение, резкое похудание, голодание, повышенный уровень холестерина и высокоплотных липопротеидов крови, гипертриглицеринемия).
Вероятность развития патологии повышают множественные беременности, обменные заболевания (сахарный диабет, ферментопатии, метаболический синдром), заболевания органов желудочно-кишечного тракта (болезнь Крона, дивертикулы двенадцатиперстной кишки и желчного протока, инфекция желчевыводящих путей), постоперационные состояния (после резекции желудка, стволовой вагоэктомии).
Патанатомия
Желчные камни многообразны по размеру, форме, их может быть разное количество (от одного конкремента до сотни), но все они подразделяются по своей преимущественной компоненте на холестериновые и пигментные (билирубиновые).
Холестериновые камни желтого цвета, состоят из нерастворенного холестерина с различными примесями (минералы, билирубин). Практически подавляющее большинство камней имеют холестериновое происхождение (80%). Пигментные камни темно-коричневого вплоть до черного цвета формируются при избытке билирубина в желчи, что случается при функциональных нарушениях печени, частом гемолизе, инфекционных заболеваниях желчных путей.
Согласно современной классификации желчнокаменная болезнь подразделяется на три стадии:
- Начальная (докаменная). Характеризуется изменениями в составе желчи) клинически не проявляется, выявить можно при биохимическом анализе состава желчи.
- Формирования камней. Латентное камненосительство также протекает бессимптомно, но при инструментальных методах диагностики возможно обнаружение конкрементов в желчном пузыре.
- Клинических проявлений. Характеризуется развитием острого или хронического калькулезного холецистита.
Иногда выделяют четвертую стадию - развития осложнений.
Симптомы желчнокаменной болезни
Симптоматик проявляется в зависимости от локализации камней и их размеров, выраженности воспалительных процессов и наличия функциональных расстройств. Характерный болевой симптом при ЖКБ - желчная или печеночная колика - выраженная острая внезапно возникающая боль под правым ребром режущего, колющего характера. Через пару часов боль окончательно концентрируется в области проекции желчного пузыря. Может иррадиировать в спину, под правую лопатку, в шею, в правое плечо. Иногда иррадиация в область сердца может вызвать стенокардию.
Боль чаще возникает после употребления острых, пряных, жареных, жирных продуктов, алкоголя, стресса, тяжелой физической нагрузки, продолжительной работы в наклонном положении. Причины болевого синдрома - спазм мускулатуры желчного пузыря и протоков как рефлекторный ответ на раздражение стенки конкрементами и в результате перерастяжения пузыря избытком желчи при наличии обтурации в желчевыводящих путях. Глобальный холестаз при закупорке желчного протока: расширяются желчные протоки печени, увеличивая орган в объеме, что отзывается болевой реакцией перерастянутой капсулы. Такая боль имеет постоянный тупой характер, часто сопровождается ощущением тяжести в правом подреберье.
Сопутствующие симптомы - тошнота (вплоть до рвоты, которая не приносит облегчения). Рвота возникает как рефлекторный ответ на раздражение околососочковой области ДПК. Если воспалительный процесс захватил ткани поджелудочной железы, рвота может быть частой, с желчью, неукротимой. В зависимости от выраженности интоксикации отмечается повышение температуры от субфебрильных цифр до выраженной лихорадки. При закупорке конкрементом общего желчного протока и непроходимости сфинктера Одди наблюдается обтурационная желтуха и обесцвечивание кала.
Наиболее частым осложнением ЖКБ является воспаление желчного пузыря (острое и хроническое) и обтурация желчевыводящих путей конкрементом. Закупорка просвета желчных путей в поджелудочной железе может вызвать острый билиарный панкреатит. Также частым осложнением желчнокаменной болезни считается воспаление желчевыводящих протоков - холангит.
При выявлении симптоматики печеночной колики пациента направляют на консультацию гастроэнтеролога. Физикальное обследование больного выявляет характерные для присутствия конкрементов в желчном пузыре симптомы: Захарьина, Ортнера, Мерфи. Также определяется болезненность кожи и напряжение мышц брюшной стенки в области проекции желчного пузыря. На коже отмечают ксантемы, при обтурационной желтухе характерный желто-коричневатый цвет кожи и склер.
Общий анализ крови в период клинического обострения показывает признаки неспецифического воспаления - лейкоцитоз и умеренное повышение СОЭ. Биохимическое исследование крови позволяет выявить гиперхолестеринемию и гипербилирубинемию, повышение активности щелочной фосфатазы. При холецистографии желчный пузырь увеличен, имеет известковые включения в стенках, хорошо видны наличествующие внутри камни с известью.
Максимально информативным и самым широко применяемым методом исследования желчного пузыря является УЗИ брюшной полости. Оно точно показывает наличие эхонепроницаемых образований - камней, патологические деформации стенок пузыря, изменения его моторики. На УЗИ хорошо видно наличие признаков холецистита. Также визуализировать желчный пузырь и протоки позволяет и МРТ и КТ желчевыводящих путей. Информативны в плане выявления нарушений циркулирования желчи сцинтиграфия билиарной системы и ЭРХПГ (эндоскопическая ретроградная холангиопанкреатография).
Лечение желчнокаменной болезни
Выявление присутствия камней в желчном пузыре без наличия осложнений, как правило, не требует специфического лечения - прибегают к так называемой выжидательной тактике. Если развивается острый или хронический калькулезный холецистит, показано удаление желчного пузыря, как источника камнеобразования. Оперативное вмешательство (холецистотомия) полостное или лапароскопическое в зависимости от состояния организма, патологических изменений в стенках пузыря и окружающих тканях, размеров конкрементов. Холецистэктомия из минидоступа всегда может быть переведена в открытую полостную операцию в случае технической необходимости.
Существуют методики растворения конкрементов с помощью препаратов урсодезоксихолиевой и хенодезоксихолиевой кислот, но такого рода терапия не приводит к излечению от желчнокаменной болезни и со временем возможно образование новых камней. Еще одним способом разрушения камней является ударно-волновая литотрипсия - применяется только в случае присутствия единичного конкремента и у больных, не страдающих острым воспалением желчного пузыря или протоков.
Прогноз напрямую зависит от скорости образования камней, их величины и подвижности. В подавляющем количестве случаев присутствие камней в желчном пузыре ведет к развитию осложнений. При успешном хирургическом удалении желчного пузыря - излечение без выраженных последствий для качества жизни пациентов. Профилактика заключается в избегании факторов, способствующих повышенной холестеринемии и билирубинемии, застою желчи.
Сбалансированное питание, нормализация массы тела, активный образ жизни с регулярными физическими нагрузками позволяют избежать обменных нарушений, а своевременное выявления и лечение патологий билиарной системы (дискинезий, обтураций, воспалительных заболеваний) позволяет снизить вероятность стаза желчи и выпадения осадка в желчном пузыре. Особое внимание обмену холестерина и состоянию желчевыводящей системы необходимо уделять лицам, имеющим генетическую предрасположенность к камнеобразованию.
При наличии камней в желчном пузыре профилактикой приступов желчных колик будет соблюдение строгой диеты (исключение из рациона жирных, жареных продуктов, сдобы, кондитерских кремов, сладостей, алкоголя, газированных напитков и т. д.), нормализация массы тела, употребление достаточного количества жидкости. Для снижения вероятности движения конкрементов из желчного пузыря по протокам не рекомендована работа, связанная с продолжительным нахождением в наклонном положении.
Желчнокаменная болезнь
Желчнокаменная болезнь (ЖКБ, син. холелитиаз) - хроническое заболевание с генетической предрасположенностью,при котором наблюдается образование камней в желчных путях.
При образовании камней в желчном пузыре (ЖП) говорят о «холецистолитиазе», в общем желчном протоке - о «холедохолитиазе», во внутрипеченочных протоках - о «внутрипеченочном холелитиазе» (рисунок 1).

Рисунок 1. Возможная локализация желчных камней.
K80 Желчнокаменная болезнь.
Сведения об обнаружении желчнокаменных камней обнаружены в старинных источниках. Желчные камни использовались в качестве ритуальных украшений и в культовых обрядах. Описания признаков ЖКБ приводятся в трудах Гиппократа, Авиценны, Цельса. Сохранились сведения, что основоположники медицинской науки древности Гален, Везалий обнаруживали желчные камни при вскрытии трупов.
Французский врач Жан Фернель (J. Fernel) в XIV веке описал клиническую картину желчнокаменной болезни, а также установил ее связь с желтухой.
Немецкий анатом А. Фатер (A. Vater) в XVIII веке описал морфологию желчных камней и указывал, что причиной их образования служит сгущение желчи. Химическое исследование желчных камней впервые было предпринято Д. Галеати (D. Galeati) в середине XVIII века.
Сведения о желчнокаменной болезни, накопленные к тому времени обобщил немецкий анатом и физиолог А. Галлер (A. Haller) в трудах «Opuscula pathologica» и «Elementa physiologiae corporis humani» в середине VIII века.
А. Галлер разделил все желчные камни на два класса: 1) большие яйцеобразные, как правило, одиночные, состоящие из «безвкусного желтого вещества, которое при подогревании плавится и способно гореть», и 2) более мелкие, темно окрашенные, многогранные, которые обнаруживаются не только в пузыре, но и желчных ходах. Таким образом, современная классификация желчных камней с разделением их на холестериновые и пигментные фактически была обоснована уже давно.
Современник Галлера Ф. П. де ла Саль (F.P. da la Salle) выделил из желчных камней субстанцию, «похожую на жировоск», представленную тонкими серебристыми пластинками. В конце XVIII- начале XIX веков холестерин был выделен в чистом виде А. де Фуркруа (A. de Fourcroy), а из желчи - немецким химиком Л. Гмелиным (L. Gmelin) и французским химиком М. Шеврёлем (M. Chevreul); последний назвал его холестерином (от греч. chole - желчь, stereos - объемный).
В середине XIX века появились первые теории происхождения желчных камней, среди которых выделились два основных направления:
1) первопричина образования камней - нарушенное состояние печени, которая продуцирует патологически измененную желчь,
2) первопричина - патологические изменения (воспаление, стаз) в желчном пузыре.
Основатель первого направления - английский врач Дж. Тудикум (G. Thudichum). Приверженцем второго был С. П. Боткин, который указывал на значение воспалительных изменений в развитии желчнокаменной болезни и подробно описавший симптоматику заболевания и лечебные подходы.
Одну из первых экспериментальных моделей калькулезного холецистита создал П. С. Иконников в 1915 г.
В конце XIX века предприняты первые попытки хирургического лечения желчнокаменной болезни: в 1882 г. Карл Лангенбах (C. Langenbuch) провел первую в мире холецистэктомию, а в России эта операция впервые выполнена в 1889 г. Ю. Ф. Косинским.
Большой вклад в развитие хирургии билиарного тракта внесли С. П. Федоров, И. И. Греков, А. В. Мартынов.
В 1947г. описан «постхолецистэктомический синдром» который подразумевает сохранение симптомов или их появление после удаления ЖП. Следует отметить значительную клиническую гетерогенность этого понятия, и исследования в этом направлении продолжаются по сей день.
В конце XX века на смену традиционной холецистэктомии пришли менее инвазивные методы - лапароскопическая холецистэктомия (впервые выполнена в Германии Э. Мюге (E. Muguet) в 1985 г., и холецистэктомия из минидоступа, или «минихолецистэктомия» (М. И. Прудков, 1986 г., Ветшев П. С. и соавт., 2005 г.). В настоящее время активно внедряется робот-ассистированная технология лапароскопической холецистэктомии.
В конце XX- начале XXI сделаны важные открытия в области изучения генетической предрасположенности к ЖКБ. Накоплен опыт успешного применения урсодеоксихолевой кислоты в растворении желчных конкрементов. В последние годы проблема ЖКБ привлекает повышенное внимание в связи с «эпидемией избыточного веса» и участившимися случаями образования камней у детей и подростков.
Читайте также:
- Синдром Патау (Patau)
- Преимплантационная генетическая диагностика (ПГД). Показания и возможности
- Кортикотропный гормон ( кортикотропин ), оксид азота ( NO ), окситоцин и их действие на матку при родах. Синтез окситоцина. Концентрация, действие и эффекты окситоцина.
- Физическая активность и диета при хронической сердечной недостаточности. Водный баланс при хронической сердечной недостаточности
- Введение в применение и кинетику лекарственных препаратов
