Лучевые изменения брюшной полости при инородном теле
Добавил пользователь Евгений Кузнецов Обновлено: 21.01.2026
Гарантии на восстановленные томографы - как на новые, до 3х лет. Осуществляем доставку по всей территории Российской Федерации, Казахстана и Беларуси. Предоставляем рассрочки платежей до 1 года.
С помощью каких аппаратов проверяется наличие инородных тел в брюшной полости? Все ли можно увидеть?
С помощью каких аппаратов проверяется наличие инородных тел в брюшной полости? Все ли можно увидеть?
Чужеродные предметы оказываются в брюшной полости через полые органы (желудок, кишечник), при ранениях сквозь брюшную стенку или во время операций, когда врачи оставляют предметы в организме пациента.
В случае подозрения на наличие инородного предмета в теле человека необходимо провести уточняющую диагностику. Обязательно проводится осмотр больного, сбор анамнеза. Выбор способа дополнительного обследования зависит от того, какое инородное тело предполагается обнаружить. В арсенале у врачей есть следующие методы:
- компьютерная томография (КТ);
- ультразвуковое исследование (УЗИ);
- магнитно-резонансная томография (МРТ).
Чаще всего назначается рентгенография. Это исследование легко укажет местонахождение и форму инородного тела в случае, если оно рентгеноконтрастно. Если же предмет состоит из дерева, пластмассы или алюминия, а также, если он небольшого размера, эффективнее провести рентгенографию с применением контрастного вещества.
Метод компьютерной томографии (КТ) имеет некоторые преимущества перед рентгенографией и также применяется с целью обнаружения инородных предметов в брюшной полости. КТ позволяет увидеть органы в «разрезе», а на рентгеновском снимке их изображения «перекрывают» друг друга.
При диагностике присутствия инородного тела в полых органах обязательно применяются эндоскопические методы.
Чужеродные предметы можно также увидеть во время проведения УЗИ брюшной полости. Этот метод применяется в послеоперационном периоде, а также в случаях, когда использование рентгенографии противопоказано.
Поскольку в аппаратах МРТ для получения результата используется магнитное поле, этот способ диагностики наличия инородных тел в брюшной полости используется только в тех случаях, когда абсолютно точно известно, что искомый предмет не состоит из металла.
В некоторых случаях, когда у пациента присутствуют симптомы наличия чужеродного предмета в брюшной полости, а найти этот предмет с помощью неинвазивной диагностики не удается, приходится применять оперативное вмешательство.
Лучевые изменения брюшной полости при инородном теле
ОГАУЗ «Больница скорой медицинской помощи №2», Томск, Россия
Опыт лечения магнитных инородных тел в желудочно-кишечном тракте у детей
Журнал: Эндоскопическая хирургия. 2017;23(6): 13‑18
Цель исследования — проанализировать клинические случаи лечения детей с магнитными инородными телами (МИТ) в желудочно-кишечном тракте (ЖКТ). Материал и методы. Средний возраст детей (n=14) составил 3,4±0,3 года. Результаты исследования. Транзит одиночных МИТ (n=7) осложнялся их задержкой (n=2) в желудке свыше суток, что требовало скорейшего их удаления методом фиброэзофагогастродуоденоскопии (ФЭГДС). При трудностях извлечения множественных МИТ (n=7) из желудка, при наличии перитонеальных осложнений ЖКТ проводились ФЭГДС, лапароскопия, лапаротомия, ушивание свищей и соустий, наложение анастомозов. Вывод. Наличие множественных МИТ в желудке требует скорейшего проведения ФЭГДС, а локализация их в нижележащих отделах — лечебно-диагностической лапароскопии с конверсией на лапаротомию при перитонеальных осложнениях. Рентгенологический контроль брюшной полости для диагностики МИТ обязателен в дооперационном и в интраоперационном периодах.
Введение
Дети нередко проглатывают случайно или преднамеренно предметы, становящиеся затем инородными телами желудочно-кишечного тракта (ЖКТ). В последние 15 лет возросло число случаев, когда инородными телами являются металлические изделия, обладающие большим магнитным полем [1—5]. Актуально то, что проглоченные магнитные тела в количестве двух и более активно взаимодействуют между собой и с объектами внешней среды, мигрируют с различной скоростью по отделам ЖКТ и вызывают разного рода осложнения (перфорацию кишечной стенки, инвагинацию, непроходимость кишечника, кровотечение, перитонит), которые могут привести к фатальному исходу [5—9].
Цель исследования — проанализировать варианты прохождения магнитных инородных тел (МИТ) в ЖКТ у детей, выработать алгоритм мероприятий по диагностике и извлечению магнитных объектов в зависимости от клинической ситуации.
Материал и методы
Средний возраст детей (n=14) составил 3,4±0,3 года. В 7 случаях наблюдались одиночные МИТ, в 7 других — множественные. В 10 случаях МИТ имели форму шара, в 3 случаях — форму цилиндра. У 1 ребенка 2 магнита (форма шайбы и кубика) сочетались с другими МИТ. Удаление МИТ из пищевода и желудка проводилось в условиях операционной под общим обезболиванием. Процедура ФЭГДС выполнялась с помощью биопсийных щипцов (граспер), эзофагоскопов Storz, фиброскопа Olympus XPE. Невозможность удаления множественных МИТ при проведении ФЭГДС, а также длительное нахождение их в просвете кишечника являлись показаниями к оперативному вмешательству (лапароскопии, лапаротомии). Все операции сопровождались рентгенологическим контролем брюшной полости.
Результаты и обсуждение
Сбор анамнеза затрудняли малый возраст пациентов, нахождение детей без присмотра, негативная эмоциональная реакция. Анамнестические данные проглатывания детьми МИТ имелись в 5 случаях и подтверждались обзорной рентгенографией органов брюшной полости. В 7 наблюдениях присутствовала клиника острого живота и в процессе обследования выполнялись ультразвуковое исследование (УЗИ) и обзорная рентгенография органов брюшной полости, позволившие определить наличие МИТ в различных отделах кишечника. У 2 детей в тяжелом состоянии ультразвуковая визуализация разлитого перитонита исключила проведение предоперационной рентгенографии брюшной полости, и МИТ явились интраоперационной находкой. Из 7 случаев с единичными МИТ в 5 произошла самостоятельная эвакуация, но у 2 детей возникли жалобы на дисфагию и боли в животе при задержке магнитов в желудке более суток, что потребовало их немедленного удаления методом ФЭГДС.
Приводим клинические наблюдения детей со множественными МИТ.

1. Больной Л., 3,5 лет. При поступлении в ЦРБ установлен в анамнезе прием ребенком внутрь нескольких магнитных элементов. На рентгенограмме грудной клетки в нижней трети пищевода прослеживаются сцепленные инородные тела. Попытка их извлечь не имела успеха. Через 6 ч при госпитализации в больницу скорой медицинской помощи № 2 (БСМП № 2) отмечались жалобы на боли в эпигастрии, на рентгенологическом снимке в проекции желудка определялись МИТ (рис. 1, а). Рис. 1. Пациент Л., 3 года 5 мес. При рентгенографии в проекции нижней трети пищевода визуализируются 2 МИТ; б — извлеченный магнит после эзофагоскопии имеет цилиндрическую форму; в — динамика продвижения МИТ (рентгенологический контроль). Во время эзофагоскопии в кардиальном отделе пищевода обнаружено несмещаемое инородное тело в виде металлического цилиндра диаметром 8 мм, сделан вывод, что другой магнит взаимно притягивается со стороны желудка. После нескольких попыток магнит кардиального отдела пищевода захвачен и с усилием извлечен (см. рис. 1, б). На слизистой желудка в области фиксации второго магнита визуализируется выраженная гематома. Для уменьшения времени манипуляции при отсутствии опасности второй одиночный магнит оставлен для самостоятельной эвакуации из ЖКТ. На контрольной рентгенографии брюшной полости подтверждена миграция магнитного объекта по кишечнику (см. рис. 1, в). Магнит вышел самостоятельно.
2. Больной Г., 4,5 лет. Поступил 31.08.11 с жалобами на возникший с 30.08.11 оформленный стул «черного» цвета. При осмотре выявлены умеренное напряжение мышц передней брюшной стенки, болезненность при пальпации в эпигастрии. На рентгенограмме брюшной полости визуализированы 28 круглых инородных тел. При дополнительном сборе анамнеза мать вспомнила, что ребенок 26.08.11 проглотил неизвестное количество магнитов от конструктора и жалоб не предъявлял. Выполнена ФЭГДС: умеренная гиперемия слизистой кардиального отдела пищевода, слизистая желудка гиперемированная, с кровоизлияниями, с мелкими изъязвлениями, обнаружена цепочка круглых магнитов, уходящих в пилорический отдел кишечника. Извлечен 21 МИТ, оставшаяся цепочка МИТ плотно фиксирована к задненижней стенке желудка. Предположено взаимное притяжение МИТ со стороны желудка и двенадцатиперстной кишки с перфорацией стенок. Осуществлена конверсия: лапаротомия, брюшина гиперемирована, выпот серозный до 100 мл, гастротомия по большой кривизне, извлечены 8 МИТ. Обнаружены сквозная перфорация задненижней стенки желудка, перфорация брыжейки поперечной ободочной кишки, перфорация тонкой кишки диаметром до 4 мм с уплотненными краями (расстояние от связки Трейца 1 метр). Перфорационные отверстия ушиты двухрядными швами с подведением пряди сальника к стенке желудка. Брюшная полость дренирована. Контрольная рентгенография брюшной полости: МИТ отсутствуют. Послеоперационный период без осложнений, выписан в удовлетворительном состоянии через 12 сут.

3. Больная Ф., 2 лет 3 мес. Поступила в приемный покой в связи с проглатыванием неизвестного количества магнитов круглой формы давностью, со слов матери, около 2 сут. При осмотре жалобы и беспокойство у ребенка отсутствовали, живот при пальпации мягкий, безболезненный во всех отделах. На обзорной рентгенограмме брюшной полости визуализируется цепочка округлых рентгеноконтрастных теней (75 штук) в проекции желудка и кишечника (рис. 2, а). Рис. 2. Больной Ф., 2 лет 3 мес. На рентгенографии брюшной полости визуализируется цепочка магнитов в проекции желудка; б — цепочка извлеченных из желудка магнитов в количестве 79 штук. Выполнена ФЭГДС, извлечена часть МИТ. Для удаления оставшейся цепочки магнитов, фиксированных магнитным полем через стенки желудка и двенадцатиперстной кишки, выполнена верхнесрединная лапаротомия: в рану выведен желудок, в котором пальпировались объекты, методом гастротомии удалено 78 магнитных шариков (см. рис. 2, б). Наложен двухрядный шов на стенку желудка. Рентгенологический контроль брюшной полости: МИТ отсутствуют. Послеоперационный период протекал гладко, выписана через 13 сут.

4. Пациент Г., 10 лет. Самостоятельно обратился в приемный покой с жалобами на боли в животе, возникшие 36 ч назад, рвоту, жидкий стул. С учетом жалоб, анамнеза, клинической картины выставлен диагноз: острый аппендицит, перитонит. После предоперационной подготовки выполнена лапароскопия с использованием видеоассистенции: аппендикс не изменен, обнаружен заворот кишки вокруг плотного локального соединения — соустья двух петель тонкой кишки, вызванного МИТ круглой формы диаметром 4 мм, находящимися в просвете кишечника (рис. 3). Рис. 3. Пациент Г., 10 лет. Найдено формирующееся соустье двух петель тонкой кишки (указано стрелкой), образованное взаимным притяжением двух групп МИТ. Произведена конверсия: лапаротомия, в ходе которой извлечены 9 магнитных шариков, выведенные перфорации (верхняя в 2 м, нижняя — 1,5 м от илеоцекального угла) ушиты двухрядными швами, брюшная полость дренирована. Рентгенологический контроль: МИТ в брюшной полости нет. Выписан в удовлетворительном состоянии на 11-е сутки.
5. Больная М., 4 лет. Поступила в порядке скорой помощи с жалобами на боли в животе в течение 25 ч, повторяющуюся рвоту. При осмотре живот мягкий, болезненный в эпигастрии и правой подвздошной области, симптомы раздражения брюшины отрицательные. При УЗИ брюшной полости червеобразный отросток диаметром 6 мм, не изменен, но определялся конгломерат из петель кишечника, который не изменял своей формы и размера при полипозиционном обследовании, и не имел изменений кишечной стенки. Перистальтика кишечника отсутствовала. На рентгенограмме брюшной полости в проекции малого таза справа определяются контрастные тени в виде цепочки из 7 шариков диаметром 0,47 см (рис. 4, а). Локусы рентгенологической и ультразвуковой навигации МИТ кишечника совпадали. После предоперационной подготовки выполнено оперативное вмешательство (параректальный срединный разрез справа): при вскрытии брюшины серозный прозрачный выпот в объеме до 100 мл, при ревизии кишечника найдены два перфорационных отверстия (купол илеоцекального угла и основание червеобразного отростка) с наличием в их просвете МИТ (рис. 4, б) и третье перфорационное отверстие на тонкой кишке (расстояние до 50 см от илеоцекального угла), покрытое фибрином и с истечением кишечного содержимого (рис. 4, в). Из перфорационного отверстия на основании червеобразного отростка удалено 7 МИТ. Выполнена аппендэктомия, перфорации ушиты двухрядными швами, брюшная полость дренирована. Рентгенологический контроль брюшной полости: МИТ нет. Послеоперационный период гладкий, выписана в удовлетворительном состоянии через 16 сут.

Рис. 4. Больной М., 4 лет. а — на рентгенографии брюшной полости определяется цепочка из 7 МИТ в проекции кишечника; б — обнаружена перфорация на основании червеобразного отростка с наличием в просвете круглого магнита (указано стрелкой); в — перфорационное отверстие на тонкой кишке с истечением кишечного содержимого.

Рис. 4. (окончание) Больной М., 4 лет. а — на рентгенографии брюшной полости определяется цепочка из 7 МИТ в проекции кишечника; б — обнаружена перфорация на основании червеобразного отростка с наличием в просвете круглого магнита (указано стрелкой); в — перфорационное отверстие на тонкой кишке с истечением кишечного содержимого.

6. Пациент Б., 7 лет. Доставлен в порядке скорой медицинской помощи через сутки после возникновения жалоб на боли в животе и рвоту. При осмотре живот умеренно вздут, мягкий, болезненный во всех отделах, перитонеальные симптомы отсутствуют. По данным УЗИ брюшной полости: перистальтика кишечника снижена, червеобразный отросток диаметром 4,3 мм, не изменен. На обзорной рентгенограмме брюшной полости в проекции тонкого кишечника визуализируется тело неправильной формы размером 4,0×2,5 см металлической плотности и множество контрастных теней разной плотности диаметром 0,2 см (рис. 5, а). Рис. 5. Больной Б., 7 лет. На обзорной рентгенографии брюшной полости от 18.10.13 в проекции тонкого кишечника визуализируется тело неправильной формы размером 4,0×2,5 см металлической плотности; б — рентгенологический контроль брюшной полости: положение инородных тел сохраняется в тонком кишечнике; в — состав инородного конгломерата, извлеченного из тонкого кишечника: цепочка из мелких металлических шариков, батарейки (3 штуки), саморез и болты (5 штук), металлические шарики (6 штук), гвозди (8 штук), гайки (2 штуки), кнопка, строительный патрон и 2 магнита (указаны стрелками). После обследования ребенок вспомнил, что около 3 сут назад проглотил различные металлические предметы, в том числе магниты. Коллегиально решено проводить консервативную терапию с целью достижения самостоятельного выхода инородных тел наружу под ультразвуковым и лучевым контролем брюшной полости. В динамике достоверного продвижения инородных тел не выявлено (см. рис. 5, б). Было выполнено плановое оперативное вмешательство: нижнесрединная лапаротомия, в малом тазу обнаружены 2 плотно спаянные гиперемированные петли тощей кишки на протяжении 1 м друг от друга (расстояние ближайшей петли от связки Трейца примерно в 1,5 м). В просвете обеих петель определялись фиксированные инородные тела металлической плотности. Стенки двух петель плотно сращены на протяжении 5 см с наличием 3 отдельных прикрытых перфорационных соустий на расстоянии 1 см друг от друга. Произведена щадящая резекция перфорированных и спаянных участков кишки, наложено 2 анастомоза конец в конец двухрядным швом, дренирована брюшная полость. ИМТ представлены 35 металлическими деталями с двумя сильными магнитами (см. рис. 5, в). Рентгенологический контроль брюшной полости: инородных тел нет. Послеоперационный период гладкий, через 13 сут после операции выписан в удовлетворительном состоянии.

7. Больной Т., 3 лет 2 мес. Поступил в порядке оказания скорой медицинской помощи. Из анамнеза известно, что на фоне полного здоровья 4 сут назад появились периодически возникающие боли в животе, гипертермия до 37,5 ˚С, двукратный жидкий стул, рвота. Обстоятельство проглатывания ребенком магнитных предметов осталось неизвестным. Участковым педиатром заподозрена пневмония. На фоне антибиотикотерапии сохранялись боли в животе, гипертермия до 37,6 ˚С и многократная рвота. УЗИ органов брюшной полости: эхопризнаки перитонита, червеобразный отросток не визуализируется, свободной жидкости нет, перистальтика кишечника вялая. Выставлен диагноз: острый аппендицит, осложненный разлитым перитонитом. Выполнена срединная лапаротомия, при ревизии кишечника найдено 9 перфорационных отверстий диаметром до 0,5 см (2 — на куполе слепой кишки и 7 — на тощей кишке, из них 2 — в 10 см от связки Трейца и 5 — на протяжении 30—60 см от связки Трейтца), удалено 9 магнитных предметов (рис. 6). Рис. 6. Больной Т., 3 лет. Операционная находка — 7 МИТ при выполнении операции по поводу разлитого аппендикулярного перитонита. Перфорационные отверстия тощей кишки ушиты двухрядными швами, резекция илеоцекального угла, энтероцекостомия, аппендэктомия, санация жидкого гноя и кишечного содержимого, дренирование брюшной полости, лапаростомия. Послеоперационный период осложнился развитием тяжелого сепсиса. На 3-и сутки определено течение продолжающегося перитонита, выполнено оперативное вмешательство: ревизия и санация брюшной полости (в нижних отделах справа и слева жидкий гной), кишечного содержимого в брюшной полости нет, места перфораций кишечника запаяны, парез кишечника, энтероцекостома функционирует вяло, лапаростома оставлена. Вскрытие тазового абсцесса на 6-е сутки. Плановое ушивание лапаростомы на 7-е сутки. Выписан на 35-е сутки с функционирующей энтероцекостомой. Через 3 мес выполнена плановая резекция энтероцекостомы и наложен антирефлюксный илеоасцендоанастомоз конец в бок. Осложнений не случилось. Ребенок выписан в удовлетворительном состоянии.
Вывод
Нахождение МИТ в ЖКТ ребенка показывает, что в большинстве случаев в анамнезе отсутствуют сведения об их заглатывании. Рентгенологические методы исследования обязательны при подозрении на МИТ в организме ребенка.
Одиночные МИТ, как правило, эвакуируются из кишечной трубки самостоятельно, но их задержка в желудке до суток требует скорейшего проведения ФЭГДС с попыткой локализации и удаления.
Множественные МИТ в числе двух и более не вызывают ранних симптомов, и появившиеся клинические проявления соответствуют возникшим осложнениям. Миграция магнитных объектов с неодинаковой скоростью приводит к притяжению этих тел через стенки с возрастающим усилием. Время возникновения перфораций значительно короче, чем время, необходимое для формирования магнитного кишечного соустья, что приводит к развитию перитонита.
С целью предотвращения осложнений в отделах ЖКТ обнаружение множественных МИТ в проекции желудка требует скорейшего проведения ФЭГДС, а локализация в нижележащих отделах — лечебно-диагностической лапароскопии.
При трудностях извлечения МИТ из желудка, наличии состоявшихся осложнений ЖКТ проводится ускоренное оперативное вмешательство (лапароскопия, лапаротомия) в зависимости от характера и тяжести патологии.
Обязательным является интраоперационный рентгенологический контроль брюшной полости для исключения оставшихся незамеченными МИТ.
Авторы заявляют об отсутствии конфликта интересов.
Сведения об авторах
Бочаров Роман Владиславович — к.м.н., врач анестезиолог-реаниматолог
Караваев Андрей Викторович — главный врач
Погорелко Владимир Григорьевич — заведующий отделением, врач-детский хирург
Инородные тела брюшной полости
Инородные тела в брюшной полости и полости малого таза, как осложнения хирургических вмешательств, являются относительно редким осложнением и встречаются приблизительнопосле одной из 100-500 операций. До 50% всех инородных тел составляют гемостатические губки и забытые хирургические тампоны.
Различают два типа реакции организма на подобные инородные тела.
В первом варианте, происходит развитие асептического гранулематозного воспаления, клинические проявления при этом отсутствуют, и инородное тело выявляется как случайная находка.
Во втором варианте, в результате инфицирования происходит формирование абсцесса, протекающее с соответствующей клинической картиной (повышение температуры, изменения анализа крови и т.д.).
Важным моментом являетсяопределениеналичие инородного тела в организме и возможность отличить его от «обычного» абсцесса (в последнем случае повторное хирургическое вмешательство не потребуется).
При обнаружении у пациента инородного тела в организме проводится релапаротомия (повторное хирургическое вмешательство).
Диагностика металлических инородных тел, хирургических дренажей успешно проводится с помощью традиционной рентгенографии и ультразвукового исследования (УЗИ) и не является показанием для применения компьютерной томографии (КТ). Для уточнения расположения инородного тела в анатомически сложной области и лучшей оценки взаиморасположения его с анатомическими структурами целесообразно использовать метод КТ.
Далее представлен клинический случай:
Пациентка: Л. 36 лет
Жалобы при поступлении: на дискомфорт в мезогастрии.
Анамнез заболевания. Самостоятельно обнаружила у себя объемное образование в мезогастрии. Из анамнеза также известно, что у пациентки было три кесарева сечения.
Обследование на догоспитальном этапе:
ЭГДС: признаки антрального рефлюкс-гастрита с наличием единичных геморрагий. Дуодено-гастральный рефлюкс.
Колоноскопия: без патологии.
УЗИ органов брюшной полости: признаки хронического калькулезного холецистита.
ФВД: нормальная спирометрия.
ЭхоКГ: камеры сердца не расширены. Фракция выброса 64,8%.
ЭКГ: ритм синусовый. ЭОС нормальная. ЧСС 90 в минуту.
УЗДГ сосудов нижних конечностей 24.03.16: эхопризнаковтромбо-окклюзионного поражения вен нижних конечностей не выявлено.

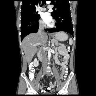
рис. 1-3 По данным МСКТ органов брюшной полости с в/в контрастированием: признаки объёмного образования на уровне мезогастрия (среднего этажа брюшной полости), связанное со стенкой тонкой кишки (дивертикул подвздошной кишки?).
Клинический диагноз:
Основной: Дивертикул подвздошной кишки.
Осложнения: перфорация дивертикула подвздошной кишки. Абсцесс брюшной полости.
Сопутствующий: Хронический гастрит. Желчнокаменная болезнь: хронический калькулезный холецистит.
Пациентка оперирована в плановом порядке в объеме лапароскопически-ассистированной резекции тонкой кишки. Лапароскопическойхолецистэктомии. Аппендектомии. Энтероэнтеростомии. Дренирования брюшной полости.
При проведении операции у пациентки было выявлено объемное образование, расположенное в мезогастрии с вовлечением стенки тощей кишки на нескольких участках. При вскрытии данного образования было выявлено наличие инородного тела (марлевая салфетка).
Из данного клинического случая можно сделать вывод:
для диагностики инородного тела крайне важным является сбор анамнеза с указанием предшествующей хирургической операции. При подозрении на наличие у пациента инородного тела МСКТ позволяет визуализировать в образовании пузырьки газа диаметром от 1,5 мм, оценить степень изменений в окружающей жировой клетчатке, взаимоотношение инородного тела с прилежащими органами, косвенно оценить наличие кровотока в подозрительном образовании.
Доза облучения при КТ

Компьютерную томографию проводят с использованием ионизирующих потоков. Особенностью процедуры является лучевая нагрузка на организм пациента. Метод применяют в диагностике состояния центральной нервной, костно-мышечной системы, заболеваний внутренних органов. Разовая доза облучения при КТ головного мозга, позвоночника, грудной клетки, брюшной полости и других анатомических зон не наносит ощутимого вреда здоровью пациента.

Органы малого таза (мужского) на томограммах (аксиальная проекция)
Компьютерная томография является одним из наиболее информативных способов сканирования. Внутренние структуры частично поглощают рентгеновские лучи, что дает возможность получить данные о плотности и однородности сканируемых анатомических образований. В результате диагностической процедуры аппарат выдает серию послойных фотографий, выполненных на заданной глубине. Ширина шага томографа начинается от 1 мм.
Сканирование проводят в аксиальной плоскости. С помощью компьютерной программы врач достраивает фронтальную и сагиттальную проекции. Для уточнения локализации, размеров пораженного участка и определения взаимного расположения анатомических структур реконструируют трехмерное изображение изучаемой области.
Доза облучения при нативной процедуре
Сканирование проводят с помощью томографа - сложного устройства, которое просвечивает заданную зону узким пучком рентгеновских лучей. Специальные датчики фиксируют степень рассеивания потока, полученную информацию оцифровывают и транслируют на монитор компьютера.
Интенсивность лучевой нагрузки во время КТ зависит от ряда факторов:
- зоны исследования;
- настроек аппарата;
- площади сканирования;
- типа оборудования;
- продолжительности сеанса и пр.
Современные аппараты позволяют сократить время сканирования. Томограф состоит из гентри, транспортера, программного оборудования. Сканирующая система представлена рентгеновскими трубками и датчиками, закрепленными в кольцевой части.

КТ грудной клетки
Во время мультиспиральной компьютерной томографии (МСКТ) стол с пациентом перемещается в горизонтальной плоскости через гентри. Излучатели и детекторы вращаются вокруг транспортера, обеспечивая спиральное сканирование рассматриваемой области.
За полный оборот томограф делает фотографии нескольких (2, 8, 16 и более) срезов. МСКТ позволяет получить необходимое количество снимков за меньший промежуток времени, что помогает снизить лучевую нагрузку.
В медицине для рентгенологических исследований ввели понятие эффективной дозы. Под данной величиной подразумевают меру риска появления негативных последствий облучения тела человека, отдельных органов и тканей. Дозу радиации измеряют в миллизивертах (мЗв). В среднем за одно нативное обследование пациент получает от 1 до 15 мЗв. Допустимая нагрузка составляет:
- до 50 мЗв в год для медицинского персонала кабинетов лучевой диагностики и терапии;
- до 20 мЗв для больных, проходящих компьютерную томографию.
Эффективные дозы рентгеновского излучения прописаны в СанПиН. Расчет средних чисел проводят с помощью формул, которые учитывают возраст, антропометрические данные пациента, особенности зоны исследования и физико-технические характеристики оборудования.
Облучение при КТ головного мозга
Компьютерная томография визуализирует состояние костей черепа, показывает изменение строения церебральных структур. Метод используют при травмах головы, воспалительных процессах, ишемических и геморрагических инсультах.
Нативное исследование внутричерепного пространства занимает 5-15 минут. Доза облучения, которую получает пациент при КТ головного мозга, составляет 1-2 мЗв. Уровень радиоактивного воздействия зависит от напряжения и силы тока в рентгеновской трубке, количества сканируемых срезов за полный круг гентри, ширины шага и пр. Нагрузка при компьютерной томографии головы соответствует естественной дозе радиации, получаемой человеком за 2-5 лет.
Во время КТ пациенту следует соблюдать неподвижность и выполнять рекомендации врача. При изменении положения тела возможно появление дефектов на томограммах. Искажение картины сканирования приводит к необходимости проведения повторных сканирований.

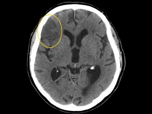
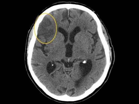
Ишемический инсульт головного мозга (зона поражения выделена желтым) на снимке КТ
С учетом прописанных в СанПиНе норм в год пациент может проходить не более 2 обследований.
Облучение при КТ грудной клетки
В результате диагностической процедуры определяют состояние костных, хрящевых элементов анатомической зоны, визуализируют строение органов средостения. В зону исследования входят:
- грудной отдел позвоночника;
- ребра;
- грудина;
- легкие;
- грудино-ключичные сочленения;
- плевральная полость;
- перикард;
- лимфатические узлы;
- трахея;
- бронхи;
- пищевод.
С помощью компьютерной томографии грудной клетки диагностируют патологии сердечно-сосудистой, дыхательной, пищеварительной систем, опорно-двигательного аппарата. Продолжительность нативной процедуры не превышает 15 минут. Доза облучения составит от 2 до 5 мЗв. Не рекомендуют делать КТ легких и средостения чаще 1 раза в год. Исключение составляют хронические патологии, при которых необходимость контроля состояния органов грудной клетки превышает возможные риски развития побочных эффектов.
Облучение при КТ брюшной полости
Компьютерную томографию живота проводят с целью дифференциальной диагностики патологий внутренних органов. Чаще назначают комплексное обследование. В результате КТ брюшной полости оценивают состояние:
- печени;
- желчного пузыря с протоками;
- поджелудочной железы;
- селезенки.
Исследование забрюшинного пространства визуализирует строение:
- почек;
- мочеточников (верхнего отдела);
- надпочечников.
Бесконтрастное сканирование занимает до 15 минут. Уровень лучевой нагрузки во время сеанса составляет 5-7 мЗв. При сканировании забрюшинного пространства, области малого таза доза радиации возрастает до 10 мЗв. Рекомендовано проходить комплексную компьютерную томографию живота не более 1 раза в год (за исключением ряда патологий).

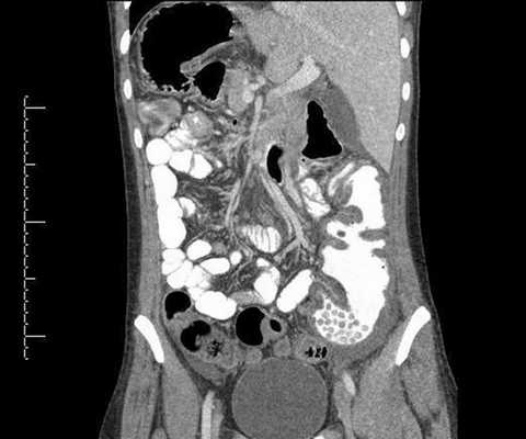
МСКТ брюшной полости (достроена фронтальная проекция)
Доза облучения при КТ с контрастированием
Усиление при компьютерной томографии позволяет повысить качество визуализации мягкотканных анатомических образований. В диагностике сосудистых патологий применяют КТ-ангиографию, для которой использование контраста является обязательным.
Суть процедуры заключается во внутривенном введении йодсодержащего раствора. Вещество активно поглощает рентгеновские лучи и обеспечивает четкую визуализацию кровеносной сети в зоне интереса.
Алгоритм проведения КТ с контрастом:
- Пациент располагается на столе томографа, после инструктажа врач производит несколько нативных фото.
- В исследовании делают перерыв, больному внутривенно вводят йодсодержащий раствор.
- Продолжают сканирование через 10-15 минут, по мере насыщения контрастом сосудистого русла.
КТ с усилением предполагает получение большего количества снимков. Продолжительность процедуры увеличивается до получаса. При этом возрастает лучевая нагрузка на организм пациента.
При контрастной компьютерной томографии различных частей тела эффективная доза радиации составляет:
- голова - до 4 мЗв;
- грудь - до 10 мЗв;
- живот - до 14 мЗв;
- органы малого таза - до 9 мЗв.
При использовании усиления воздействие рентгена на организм пациента увеличивается в 2 раза.
Насколько опасна для человека процедура КТ
Компьютерная томография противопоказана женщинам в период беременности и пациентам с тяжелыми рентген-зависимыми заболеваниями. Ионизирующие потоки обладают тератогенным действием и на любом сроке гестации могут вызвать отклонения в развитии плода. В ряде случаев, например при лучевой болезни, КТ провоцирует развитие патологии.

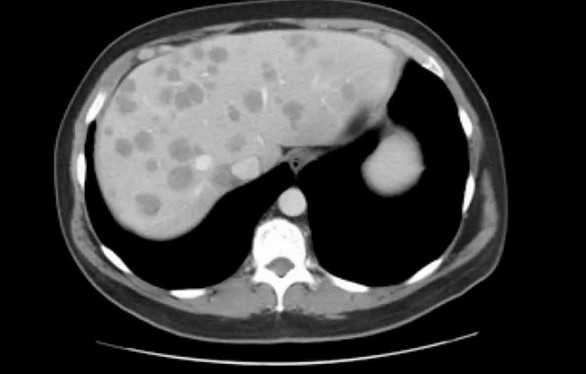
Метастазы в печени на снимке МСКТ
Для защиты пациента и уменьшения действия радиоактивных потоков используют защитные фартуки и пластины. Расчет эффективной дозы происходит автоматически, с помощью специальных устройств, встроенных в томограф. Показатели вносят в протокол исследования.
При подозрении на превышение допустимых норм лучевой нагрузки врач заменит КТ альтернативными видами аппаратной диагностики (УЗИ, МРТ и др.).
Высокий радиационный фон (более 150 мЗв в год) окружающей среды увеличивает риск возникновения:
- дегенеративных изменений головного мозга (болезнь Альцгеймера и пр.);
- злокачественных новообразований;
- лейкозов и пр.
Степень воздействия радиации зависит от индивидуальных особенностей человека:
- возраста;
- пола;
- веса;
- соотношения мышечной и жировой массы;
- условий жизни и пр.
Взрослые люди обладают большей резистентностью к ионизирующему облучению, чем дети. С первых дней жизни человек подвергается воздействию радиационного поля. Дозированная нагрузка способствует адаптации организма к облучению и усиливает работу защитных факторов.
Под действием ионизирующих потоков возрастает выработка свободных радикалов, повышается интенсивность окислительных процессов. При низкой антиоксидантной защите возникает риск повреждения клеточных элементов.
В организме человека активность окислительных реакций стабилизируется с помощью биохимических процессов. При соблюдении норм лучевой нагрузки компьютерная томография не наносит ущерба здоровью пациента. Для полного восстановления после обследования достаточно 3-4 недель.
Что помогает очистить организм после КТ
Восстановиться после процедуры помогают естественные меры профилактики оксидантного стресса:
- сбалансированное питание с высоким содержанием витаминов А, Е, С;
- физическая активность;
- соблюдение режима сна и отдыха;
- ежедневное пребывание на свежем воздухе не менее 1-2 часов;
- соблюдение питьевого режима.
Перед обследованием желательно избегать стрессовых ситуаций и переутомления.
Повысить антиоксидантную защиту помогают следующие продукты:
- черника;
- свекла;
- виноград;
- крупы (гречневая, овсяная);
- цитрусовые (апельсин, грейпфрут);
- шпинат;
- красный перец;
- орехи;
- морепродукты;
- специи (куркума, корица).
Здоровый образ жизни помогает снизить скорость окислительных реакций и повышает сопротивляемость организма воздействию радиации.

КТ брюшной полости

КТ брюшной полости - метод лучевой диагностики, позволяющий выявить изменения, невидимые при других способах исследования.
Органы желудочно-кишечного тракта:
- желудок;
- кишечник;
- печень;
- желчный пузырь.
- поджелудочную железу;
- селезенку.
Органы забрюшинного пространства:
- почки;
- мочеточники;
- надпочечники;
- лимфатические узлы;
- лимфоидную ткань ЖКТ и мочевыводящих путей.
Кости и хрящи поясничного и нижнего грудного отделов позвоночного столба.
Компьютерная томография брюшной полости назначается при травмах, острых состояниях, болях в животе неизвестного происхождения, хронических нарушениях мочевыделительной функции или пищеварения, желтухе, подозрении на наличие опухоли.
Кроме того, КТ брюшной полости делают при подготовке к хирургическому вмешательству, решении вопроса о целесообразности операции, для анализа эффективности лечения.
В диагностическом центре «Магнит» взрослые и дети могут пройти обследование на мультиспиральном компьютерном томографе (МСКТ). Мы находимся в СПб по адресу 6-ая Красноармейская улица, дом 7.
Процедура проводится при наличии удостоверения личности и направления лечащего врача. Также с собой желательно принести выписку из амбулаторной карты или истории болезни и результаты предыдущих исследований брюшной полости - КТ, МРТ, УЗИ (они нужны для оценки и правильной интерпретации выявленных при процедуре изменений).
Сколько стоят услуги клиники, можно посмотреть в разделе «Цены». Также на сайте есть видео и отзывы пациентов.
Что покажет КТ брюшной полости
КТ брюшной полости предоставляет достоверную информацию о размере и расположении органов, состоянии их паренхимы и стенок, системе кровеносных сосудов и нервов (в первую очередь, вегетативных), структуре ребер, грудины, поясничного и нижнего грудного отделов позвоночника.
Компьютерная томография брюшной полости покажет:
скопления свободной жидкости (асцит различного происхождения);
доброкачественные и злокачественные опухоли;
сосудистые изменения, в том числе тромбоз мезентериальных сосудов;
поражения лимфатических узлов;
гепатит, цирроз, гепатоз печени;
врожденные аномалии строения органов;
камни в желчном пузыре, почках и мочеточниках.
абсцессы, флегмону и другие гнойные поражения;
ущемление нерва или межпозвоночную грыжу;
Как проходит процедура КТ брюшной полости
Чтобы подготовиться к КТ органов брюшной полости, как только войдете в кабинет, снимите с себя металлические аксессуары, украшения и прочие предметы из металла. Если у вас в зоне живота, грудной клетки или таза стоит имплантат, предупредите об этом врача.
Во время процедуры больной ложится на выдвижной стол, который плавно входит в камеру аппарата. Вращаясь, сканирующая система делает снимки. Врач просматривает изображения на компьютере в соседнем помещении. Если пациент во время процедуры лежал неподвижно и качество фото удовлетворительное, диагностика заканчивается, и специалист занимается составлением отчета. В противном случае придется сделать КТ брюшной полости повторно.
Анализ данных в центре «Магнит» в СПб готовится 2 часа. Фото и заключение можно получить на руки и по электронной почте.
Как проходит обследование, смотрите на видео.
Противопоказания
Отзывы пациентов подтверждают, что процедура не вызывает осложнения заболеваний и других негативных последствий. Но это не значит, что всем без исключения можно ее проходить. У КТ брюшной полости есть противопоказания:
беременность - во избежание лучевой нагрузки пациенткам назначают МРТ;
гиперкинезы (непроизвольные движения тела) - качество снимков будет неудовлетворительным, что помешает их интерпретации;
крайне выраженный болевой синдром - при сильных болях человеку трудно сохранять неподвижность;
вес больше 150 кг (аппарат не рассчитан на большие нагрузки).
Также исследование на томографе в центре «Магнит» не проходят дети до пяти лет.
Что можно есть перед КТ брюшной полости
Диагностику делают натощак, чтобы пищеварительный процесс не исказил результаты. Необходимо заранее подготовиться. За двое суток до процедуры надо стараться есть мало, исключить все, что приводит к метеоризму (яблоки, капусту, бобовые, кисломолочные и квашеные продукты, дрожжевые изделия, газированные напитки), не употреблять алкоголь, трудноперевариваемую и вызывающую запоры пищу.
Имеет значение, на сколько назначен прием у врача. Если процедура запланирована:
утром - надо ограничиться ужином из некалорийной жидкой пищи;
днем - за 4-5 часов до КТ брюшной полости допускается легкий завтрак;
вечером - пациент завтракает и отказывается от обеда.
Подготовка к КТ брюшной полости может включать очищение кишечника. Тогда перед обследованием, после обсуждения с лечащим доктором, рекомендуется сделать клизму или накануне вечером принять внутрь слабительный раствор.
КТ брюшной полости с контрастом
Нативная КТ органов брюшной полости проводится без контрастирования. Если нужны более точные данные, назначают обследование с контрастирующим веществом. Попадая в кровь, краситель делает патологически измененные ткани лучше видимыми на снимке.
Дополнительные средства нужны при диагностике опухолей и метастазов и при необходимости подробно изучить кровоток.
КТ брюшной полости с контрастом покажет онкологию на начальных стадиях, непроходимость мочеточников и прочее отклонения. Ангиографическое исследование выявит:
аномальные сужения стенок сосудов;
расслоение стенки аорты.
КТ брюшной полости с контрастированием нередко вызывает побочные эффекты:
озноб или жар, головокружение, тошноту, общую слабость при распространении контраста по организму;
раздражение кожи в месте инъекции при внутривенном введении.
Согласно отзывам пациентов, эти симптомы проходят самостоятельно в течение короткого времени.
Если появляются осложнения в виде одышки, бронхоспазма, крапивницы, кожного зуда, отека лица, тошноты, рвоты или понижения давления, это свидетельствует о том, что возникла аллергическая реакция на контрастное вещество. В таких случаях больному оказывают медицинскую помощь.
Противопоказания к процедуре с контрастированием
Чтобы избежать осложнений КТ брюшной полости не проводится пациентам с:
аллергией на йод;
тяжелой почечной недостаточностью с повышенным уровнем креатинина в крови (анализ на креатинин входит в число услуг нашего диагностического центра).;
гипертиреозом и другими заболеваниями щитовидной железы.
Детям с 12 лет внутренние органы с контрастом проверяют только по показаниям с направлением врача.
Женщинам, кормящим ребенка грудью, процедура не запрещена. Лучевая нагрузка не оказывает влияния на молоко, но в него частично проникает краситель. Поэтому придется отказаться от как минимум двух последовательных кормлений. Перед исследованием женщине надо сцедить и сохранить молоко. После КТ или МСКТ с контрастом необходимо дождаться выхода препарата из организма и после двух сцеживаний кормить малыша как обычно.
Интересующие Вас вопросы и цену на обследование с контрастом можно уточнить у администратора.
Прием урографина перед КТ брюшной полости
Урографин относится к ионной группе рентгеноконтрастных средств. Для подобных препаратов характерны высокая химическая токсичность и повышенный риск развития нежелательных реакций (боль в области сосудов, чувство жара, скачки артериального давления и пр.). Поэтому в клинике «Магнит» для КТ брюшной полости применяют не Урографин, а его более совершенный аналог Ультравист. Это неионный контрастный препарат, отличающийся хорошей переносимостью. При болюсном введении вещества побочные эффекты возникают намного реже, носят умеренный характер и быстро проходят после окончания процедуры.
КТ брюшной полости - ранняя диагностика рака
При подозрении на онкологию стоит как можно быстрее сделать КТ брюшной полости. По отзывам специалистов, это самый надежный метод выявления опухолей внутренних органов на ранней стадии. Фото показывает раковые клетки в желудке, печени, органах малого таза (забрюшинное пространство), когда внешних симптомов еще нет.
Благодаря КТ органов брюшной полости онколог имеет возможность подобрать оптимальную тактику лечения для предупреждения прорастания злокачественных клеток в соседние ткани и метастазирования с током крови и лимфы по всему организму.
Читайте также:
- Роль факторов роста в патогенезе аденомы (доброкачественной гиперплазии) простаты
- Значение врожденных пороков развития. Эпидемиология аномалий развития
- Профилактика эндофтальмита после травмы. Принципы ведения
- Длительность приема аспирина при инфаркте миокарда. Клопидогрел при инфаркте миокарда
- Вросший ноготь: причины, симптомы и лечение
