Лучевые признаки межполушарной кисты головного мозга у плода - комплекса AVID
Добавил пользователь Дмитрий К. Обновлено: 03.11.2025

Лидер продаж в высоком классе. Монитор 21,5" высокой четкости, расширенный кардио пакет (Strain+, Stress Echo), экспертные возможности для 3D УЗИ в акушерско-гинекологической практике (STIC, Crystal Vue, 5D Follicle), датчики высокой плотности.
Показания для проведения эхографии мозга
- Недоношенность.
 - Неврологическая симптоматика.
 - Множественные стигмы дисэмбриогенеза.
 - Указания на хроническую внутриутробную гипоксию в анамнезе.
 - Асфиксия в родах.
 - Синдром дыхательных расстройств в неонатальном периоде.
 - Инфекционные заболевания у матери и ребенка.
 
Для оценки состояния мозга у детей с открытым передним родничком используют секторный или микроконвексный датчик с частотой 5-7,5 МГц. Если родничок закрыт, то можно использовать датчики с более низкой частотой - 1,75-3,5 МГц, однако разрешение будет невысоким, что дает худшее качество эхограмм. При исследовании недоношенных детей, а также для оценки поверхностных структур (борозд и извилин на конвекситальной поверхности мозга, экстрацеребрального пространства) используют датчики с частотой 7,5-10 МГц.
Акустическим окном для исследования мозга может служить любое естественное отверстие в черепе, но в большинстве случаев используют большой родничок, поскольку он наиболее крупный и закрывается последним. Маленький размер родничка значительно ограничивает поле зрения, особенно при оценке периферических отделов мозга.
Для проведения эхоэнцефалографического исследования датчик располагают над передним родничком, ориентируя его так, чтобы получить ряд корональных (фронтальных) срезов, после чего переворачивают на 90° для выполнения сагиттального и парасагиттального сканирования. К дополнительным подходам относят сканирование через височную кость над ушной раковиной (аксиальный срез), а также сканирование через открытые швы, задний родничок и область атланто-затылочного сочленения.
По своей эхогенности структуры мозга и черепа могут быть разделены на три категории:
- гиперэхогенные - кость, мозговые оболочки, щели, кровеносные сосуды, сосудистые сплетения, червь мозжечка;
 - средней эхогенности - паренхима полушарий мозга и мозжечка;
 - гипоэхогенные - мозолистое тело, мост, ножки мозга, продолговатый мозг;
 - анэхогенные - ликворсодержащие полости желудочков, цистерны, полости прозрачной перегородки и Верге.
 
Нормальные варианты мозговых структур
Визуализация структур островкового комплекса также зависит от зрелости новорожденного ребенка. У глубоко недоношенных детей он остается открытым и представлен в виде треугольника, флага - как структуры повышенной эхогенности без определения в нем борозд. Закрытие сильвиевой борозды происходит по мере формирования лобной, теменной, затылочной долей; полное закрытие рейлева островка с четкой сильвиевой бороздой и сосудистыми образованиями в ней заканчивается к 40-й неделе гестации.
Боковые желудочки. Боковые желудочки, ventriculi lateralis - это полости, заполненные цереброспинальной жидкостью, видимые как анэхогенные зоны. Каждый боковой желудочек состоит из переднего (лобного), заднего (затылочного), нижнего (височного) рогов, тела и атриума (треугольника) - рис. 1. Атриум расположен между телом, затылочным и теменным рогом. Затылочные рога визуализируются с трудом, их ширина вариабельна. Размер желудочков зависит от степени зрелости ребенка, с увеличением гестационного возраста их ширина снижается; у зрелых детей в норме они щелевидны. Легкая асимметрия боковых желудочков (различие размеров правого и левого бокового желудочка на корональном срезе на уровне отверстия Монро до 2 мм) встречается довольно часто и не является признаком патологии. Патологическое расширение боковых желудочков чаще начинается с затылочных рогов, поэтому отсутствие возможности их четкой визуализации - серьезный аргумент против расширения. О расширении боковых желудочков можно говорить, когда диагональный размер передних рогов на корональном срезе через отверстие Монро превышает 5 мм и исчезает вогнутость их дна.

Рис. 1. Желудочковая система мозга.
1 - межталамическая связка;
2 - супраоптический карман III желудочка;
3 - воронкообразный карман III желудочка;
4 - передний рог бокового желудочка;
5 - отверстие Монро;
6 - тело бокового желудочка;
7 - III желудочек;
8 - шишковидный карман III желудочка;
9 - клубочек сосудистого сплетения;
10 - задний рог бокового желудочка;
11 - нижний рог бокового желудочка;
12 - сильвиев водопровод;
13 - IV желудочек.
Сосудистые сплетения. Сосудистые сплетения (plexus chorioideus) - это богато васкуляризованный орган, вырабатывающий цереброспинальную жидкость. Эхографически ткань сплетения выглядит как гиперэхогенная структура. Сплетения переходят с крыши III желудочка через отверстия Монро (межжелудочковые отверстия) на дно тел боковых желудочков и продолжаются на крышу височных рогов (см. рис. 1); также они имеются в крыше IV желудочка, но эхографически в этой области не определяются. Передние и затылочные рога боковых желудочков не содержат сосудистых сплетений.
Сплетения обычно имеют ровный гладкий контур, но могут быть и неровности, и легкая асимметрия. Наибольшей ширины сосудистые сплетения достигают на уровне тела и затылочного рога (5-14 мм), образуя в области атриума локальное уплотнение - сосудистый клубочек (glomus), который может иметь форму пальцеобразного выроста, быть слоистым или раздробленным. На корональных срезах сплетения в затылочных рогах выглядят как эллипсоидные плотности, практически полностью выполняющие просвет желудочков. У детей с меньшим гестационным возрастом размер сплетений относительно больше, чем у доношенных.
Сосудистые сплетения могут быть источником внутрижелудочковых кровоизлияний у доношенных детей, тогда на эхограммах видна их четкая асимметрия и локальные уплотнения, на месте которых затем образуются кисты.
III желудочек. III желудочек (ventriculus tertius) представляется тонкой щелевидной вертикальной полостью, заполненной ликвором, расположенной сагиттально между таламусами над турецким седлом. Он соединяется с боковыми желудочками через отверстия Монро (foramen interventriculare) и с IV желудочком через сильвиев водопровод (см. рис. 1). Супраоптический, воронкообразный и шишковидный отростки придают III желудочку на сагиттальном срезе треугольный вид. На корональном срезе он виден как узкая щель между эхогенными зрительными ядрами, которые взаимосоединяются межталамической спайкой (massa intermedia), проходящей через полость III желудочка. В неонатальном периоде ширина III желудочка на корональном срезе не должна превышать 3 мм, в грудном возрасте - 3-4 мм. Четкие очертания III желудочка на сагиттальном срезе говорят о его расширении.
Сильвиев водопровод и IV желудочек. Сильвиев водопровод (aquaeductus cerebri) представляет собой тонкий канал, соединяющий III и IV желудочки (см. рис. 1), редко видимый при УЗ исследовании в стандартных позициях. Его можно визуализировать на аксиальном срезе в виде двух эхогенных точек на фоне гипоэхогенных ножек мозга.
IV желудочек (ventriculus quartus) представляет собой небольшую полость ромбовидной формы. На эхограммах в строго сагиттальном срезе он выглядит малым анэхогенным треугольником посередине эхогенного медиального контура червя мозжечка (см. рис. 1). Передняя его граница отчетливо не видна из-за гипоэхогенности дорсальной части моста. Переднезадний размер IV желудочка в неонатальном периоде не превышает 4 мм.
Мозолистое тело. Мозолистое тело (corpus callosum) на сагиттальном срезе выглядит как тонкая горизонтальная дугообразная гипоэхогенная структура (рис. 2), ограниченная сверху и снизу тонкими эхогенными полосками, являющимися результатом отражения от околомозолистой борозды (сверху) и нижней поверхности мозолистого тела. Сразу под ним располагаются два листка прозрачной перегородки, ограничивающие ее полость. На фронтальном срезе мозолистое тело выглядит тонкой узкой гипоэхогенной полоской, образующей крышу боковых желудочков.

Рис. 2. Расположение основных мозговых структур на срединном сагиттальном срезе.
1 - варолиев мост;
2 - препонтинная цистерна;
3 - межножковая цистерна;
4 - прозрачная перегородка;
5 - ножки свода;
6 - мозолистое тело;
7 - III желудочек;
8 - цистерна четверохолмия;
9 - ножки мозга;
10 - IV желудочек;
11 - большая цистерна;
12 - продолговатый мозг.
Полость прозрачной перегородки и полость Верге. Эти полости расположены непосредственно под мозолистым телом между листками прозрачной перегородки (septum pellucidum) и ограничены глией, а не эпендимой; они содержат жидкость, но не соединяются ни с желудочковой системой, ни с субарахноидальным пространством. Полость прозрачной перегородки (cavum cepti pellucidi) находится кпереди от свода мозга между передними рогами боковых желудочков, полость Верге расположена под валиком мозолистого тела между телами боковых желудочков. Иногда в норме в листках прозрачной перегородки визуализируются точки и короткие линейные сигналы, происходящие от субэпендимальных срединных вен. На корональном срезе полость прозрачной перегородки выглядит как квадратное, треугольное или трапециевидное анэхогенное пространство с основанием под мозолистым телом. Ширина полости прозрачной перегородки не превышает 10-12 мм и у недоношенных детей шире, чем у доношенных. Полость Верге, как правило, уже полости прозрачной перегородки и у доношенных детей обнаруживается редко. Указанные полости начинают облитерироваться после 6 мес гестации в дорсовентральном направлении, но точных сроков их закрытия нет, и они обе могут обнаруживаться у зрелого ребенка в возрасте 2-3 мес.
Базальные ядра, таламусы и внутренняя капсула. Зрительные ядра (thalami) - сферические гипоэхогенные структуры, расположенные по бокам от полости прозрачной перегородки и формирующие боковые границы III желудочка на корональных срезах. Верхняя поверхность ганглиоталамического комплекса делится на две части каудоталамической выемкой - передняя относится к хвостатому ядру, задняя - к таламусу (рис. 3). Между собой зрительные ядра соединены межталамической спайкой, которая становится четко видимой лишь при расширении III желудочка как на фронтальном (в виде двойной эхогенной поперечной структуры), так и на сагиттальном срезах (в виде гиперэхогенной точечной структуры).

Рис. 3. Взаиморасположение структур базально-таламического комплекса на парасагиттальном срезе.
1 - скорлупа чечевицеобразного ядра;
2 - бледный шар чечевицеобразного ядра;
3 - хвостатое ядро;
4 - таламус;
5 - внутренняя капсула.
Базальные ядра - это подкорковые скопления серого вещества, расположенные между таламусом и рейлевым островком. Они имеют сходную эхогенность, что затрудняет их дифференцировку. Парасагиттальный срез через каудоталамическую выемку - самый оптимальный подход для обнаружения таламусов, чечевицеобразного ядра, состоящего из скорлупы, (putamen), и бледного шара, (globus pallidus), и хвостатого ядра, а также внутренней капсулы - тонкой прослойки белого вещества, отделяющей ядра полосатого тела от таламусов. Более четкая визуализация базальных ядер возможна при использовании датчика 10 МГц, а также при патологии (кровоизлиянии или ишемии) - в результате нейронального некроза ядра приобретают повышенную эхогенность.
Герминальный матрикс - это эмбриональная ткань с высокой метаболической и фибринолитической активностью, продуцирующая глиобласты. Эта субэпендимальная пластинка наиболее активна между 24-й и 34-й неделями гестации и представляет собой скопление хрупких сосудов, стенки которых лишены коллагеновых и эластичных волокон, легко подвержены разрыву и являются источником периинтравентрикулярных кровоизлияний у недоношенных детей. Герминальный матрикс залегает между хвостатым ядром и нижней стенкой бокового желудочка в каудоталамической выемке, на эхограммах выглядит гиперэхогенной полоской.
Цистерны мозга. Цистерны - это содержащие ликвор пространства между структурами мозга (см. рис. 2), в которых также могут находиться крупные сосуды и нервы. В норме они редко видны на эхограммах. При увеличении цистерны выглядят как неправильно очерченные полости, что свидетельствует о проксимально расположенной обструкции току цереброспинальной жидкости.
Большая цистерна (cisterna magna, c. cerebromedullaris) расположена под мозжечком и продолговатым мозгом над затылочной костью, в норме ее верхненижний размер на сагиттальном срезе не превышает 10 мм. Цистерна моста - эхогенная зона над мостом перед ножками мозга, под передним карманом III желудочка. Она содержит в себе бифуркацию базиллярной артерии, что обусловливает ее частичную эхоплотность и пульсацию.
Базальная (c. suprasellar) цистерна включает в себя межножковую, c. interpeduncularis (между ножками мозга) и хиазматическую, c. chiasmatis (между перекрестом зрительных нервов и лобными долями) цистерны. Цистерна перекреста выглядит пятиугольной эхоплотной зоной, углы которой соответствуют артериям Виллизиева круга.
Цистерна четверохолмия (c. quadrigeminalis) - эхогенная линия между сплетением III желудочка и червем мозжечка. Толщина этой эхогенной зоны (в норме не превышающая 3 мм) может увеличиваться при субарахноидальном кровоизлиянии. В области цистерны четверохолмия могут находиться также арахноидальные кисты.
Мозжечок (cerebellum) можно визуализировать как через передний, так и через задний родничок. При сканировании через большой родничок качество изображения самое плохое из-за дальности расстояния. Мозжечок состоит из двух полушарий, соединенных червем. Полушария слабосреднеэхогенны, червь частично гиперэхогенен. На сагиттальном срезе вентральная часть червя имеет вид гипоэхогенной буквы "Е", содержащей цереброспинальную жидкость: вверху - квадригеминальная цистерна, в центре - IV желудочек, внизу - большая цистерна. Поперечный размер мозжечка прямо коррелирует с бипариетальным диаметром головы, что позволяет на основании его измерения определять гестационный возраст плода и новорожденного.
Ножки мозга (pedunculus cerebri), мост (pons) и продолговатый мозг (medulla oblongata) расположены продольно кпереди от мозжечка и выглядят гипоэхогенными структурами.
Паренхима. В норме отмечается различие эхогенности между корой мозга и подлежащим белым веществом. Белое вещество чуть более эхогенно, возможно, из-за относительно большего количества сосудов. В норме толщина коры не превышает нескольких миллиметров.
Вокруг боковых желудочков, преимущественно над затылочными и реже над передними рогами, у недоношенных детей и у некоторых доношенных детей имеется ореол повышенной эхогенности, размер и визуализация которого зависят от гестационного возраста. Он может сохраняться до 3- 4 нед жизни. В норме его интенсивность должна быть ниже, чем у сосудистого сплетения, края - нечеткими, расположение - симметричным. При асимметрии или повышении эхогенности в перивентрикулярной области следует проводить УЗ исследование мозга в динамике для исключения перивентрикулярной лейкомаляции.
Стандартные эхоэнцефалографические срезы
Корональные срезы (рис. 4). Первый срез проходит через лобные доли перед боковыми желудочками (рис. 5). Срединно определяется межполушарная щель в виде вертикальной эхогенной полоски, разделяющей полушария. При ее расширении в центре виден сигнал от серпа мозга (falx), не визуализируемый отдельно в норме (рис. 6). Ширина межполушарной щели между извилинами не превышает в норме 3-4 мм. На этом же срезе удобно измерять размер субарахноидального пространства - между латеральной стенкой верхнего сагиттального синуса и ближайшей извилиной (синокортикальная ширина). Для этого желательно использовать датчик с частотой 7,5-10 МГц, большое количество геля и очень осторожно прикасаться к большому родничку, не надавливая на него. Нормальный размер субарахноидального пространства у доношенных детей - до 3 мм, у недоношенных - до 4 мм.
Кисты сосудистых сплетений головного мозга плода на УЗИ беременности

?Что такое изолированные кисты сосудистого сплетения (хориоидального) и насколько они распространены?
?КСС представляет собой небольшую заполненную жидкостью структуру внутри сосудистой оболочки боковых желудочков мозга плода. Сосудистые сплетения — сложные структуры, в головном мозге, продуцирует жидкость питающий головной и спинной мозг. На УЗИ — КСС проявляются в виде анэхогенных кист внутри эхогенного сосудистого сплетения.
КСС могут быть одиночными или множественными, односторонними или двусторонними, и чаще всего имеют диаметр менее 1 см и выявляются примерно у 1-2% плодов во втором триместре и одинаково встречаются у плодов мужского и женского пола
?Каковы основные клинические последствия изолированной КСС?
?КСС не считается структурной или функциональной аномалией головного мозга. При выявлении кисты сосудистого сплетения необходимо оценивать наличие структурных пороков развития и других сонографических маркеров хромосомных нарушений. Необходимо детальное обследование головного мозга, позвоночника, сердца плода (4-камерный срез и главных сосудов) а также биометрию плода для исключения внутриутробной задержки развития. Если никаких других нарушений нет, то киста хориоидального сплетения считается изолированной.
?При обнаружений, таких нарушений, в сочетании с КСС — необходимо консультирование генетика Ультразвуковые характеристики кист хориоидального сплетения (размер, сложность, латеральность и стойкость) не оказывают значительного влияния на вероятность возникновения трисомии 18. ?Как следует следить за женщиной с изолированной кистой КСС на протяжении всей беременности?
?Более 90% кист хориоидального сплетения рассасываются, чаще всего к 28 неделям. Исследования, оценивающие результаты развития нервной системы у детей, родившихся после пренатального диагноза КСС, не показали отклонений в нейро-когнитивной способности, моторной функции или поведении.
Ультразвуковые особенности структурных изменений головного мозга новорожденных с внутриутробной герпес-цитомегаловирусной инфекцией

Доступная эффективность. Универсальный ультразвуковой сканер, компактный дизайн и инновационные возможности.
Введение
В настоящее время отмечается большой рост внутриутробной герпетической инфекции и увеличение числа инфицированных новорожденных. Среди инфекций герпетической этиологии наибольшую распространенность имеет цитомегаловирусная инфекция (ЦМВИ) и герпес-вирусная инфекция, вызываемая вирусами простого герпеса (ВПГ) I и II типов. У новорожденных 80% герпес-вирусной инфекции вызываются ВПГ II типа. Исходом даже бессимптомно протекающей во время беременности инфекции могут быть тяжелые последствия у плода: врожденные уродства, поражение различных органов и систем, наиболее серьезным из которых является повреждение головного мозга.
Клинические проявления в неонатальном периоде отмечаются лишь у 10% анте- или интранатально инфицированных детей, у остальных же внутриутробное инфицирование в периоде новорожденности протекает бессимптомно. Летальность у детей с генерализованной герпес-вирусной и цитомегаловирусной инфекцией при отсутствии химиотерапии составляет 90%; у 50% выживших отмечаются тяжелые психоневрологические исходы 1.
Быстрая и надежная расшифровка этиологии заболевания у новорожденного приобретает особую актуальность в связи с появляющейся в последние годы возможностью проведения этиотропной терапии.
Основным методом диагностики этих заболеваний является иммунологический метод. Но он далеко не всем доступен из-за дороговизны, трудоемкости, значительного времени, необходимого для постановки окончательного диагноза. Кроме того, этот метод не дает возможности установить вовлечение в патологический процесс головного мозга, что крайне важно для выбора лечебных мероприятий. Поэтому в настоящее время основным диагностическим методом на первом этапе помимо клинических методов является эхоэнцефалография, позволяющая оценить степень вовлечения головного мозга и других внутренних органов в инфекционный процесс.
На основании данных эхографии головного мозга и клинической картины заболевания у новорожденных можно начинать проводить лечение детей "по подозрению". В дальнейшем эти дети составят группу для комплексного иммунологического обследования, в результате которого диагноз будет уточнен.
Как свидетельствуют литературные данные, наиболее часто у детей с внутриутробной герпес-цитомегаловирусной инфекцией при эхоэнцефалографии выявляют кисты сосудистых сплетений боковых желудочков и (или) субэпендимальные кисты [4]. Показано, что при изолированных кистах сосудистых сплетений (без анализа причин их возникновения) прогноз психоневрологического развития детей в целом благоприятный [5]. При субэпендимальных кистах инфекционного происхождения прогноз неопределенный : от нормального развития до выраженного церебрального дефицита 7. В связи с этим цель настоящего исследования состояла в оценке психоневрологического статуса детей, имевших кисты сосудистых сплетений и (или) субэпендимальные кисты, с внутриутробной герпес-цитомегаловирусной инфекцией, подтвержденной данными комплексного иммунологического исследования.
Материалы и методы
Из многочисленной группы новорожденных (396 новорожденных с субэпендимальными кистами и 261 с кистами сосудистых сплетений) нами впоследствии (после завершения периода наблюдения) были отобраны 16 детей с подтвержденной иммунологическими методами герпес-цитомегаловирусной инфекцией, которые были подвергнуты динамической эхоэнцефалографии и клиническому обследованию в течение 2-12 мес. Показаниями для проведения иммунологического исследования на первом этапе являлись структурные изменения головного мозга, выявленные при эхографии, косвенно свидетельствующие о наличии внутриутробной инфекции.
Иммунологическая диагностика состояла в выявлении специфического антигена иммуноферментным и иммунофлюоресцентным методами, фрагментов ДНК вируса методом полимеразной цепной реакции, определении специфических антител в биологических средах. Материалом для исследования у детей служили кровь, моча и ликвор, у матерей - кровь. Обследование матерей проводили для повышения достоверности диагноза у их детей.
Всем детям проводили динамическую эхоэнцефалографию с первой недели до 2-9 мес. жизни. Эхографию головного мозга осуществляли с помощью различных ультразвуковых приборов, часть исследований выполнена на аппарате SA-8800 "GAIA" ("Medison", Южная Корея). Всего выполнено 59 эхографических исследований головного мозга.
Результаты и обсуждение
В клинической картине у 3 детей отмечался синдром угнетения функций ЦНС, который выражался в снижении церебральной и двигательной активности, мышечного тонуса и угнетении физиологических рефлексов новорожденных; у этих же детей выявлено вовлечение в патологический процесс органов дыхания с развитием пневмонии. У 2 новорожденных отмечена затянувшаяся желтуха с гепатоспленомегалией, у 2 - отечный синдром. У 4-го ребенка неврологическая симптоматика отсутствовала, у него были выявлены изменения со стороны внутренних органов в виде гепатоспленомегалии и затянувшейся желтухи.
При эхоэнцефалографии у детей I группы выявлено от 1 до 3 изолированных кистозных структур (не сочетающихся с другими структурными изменениями) диаметром от 0,2-0,5 см (рис. 1, 2), расположенных в верхушке или теле сосудистого сплетения левого бокового желудочка. У 3-х из этих детей исходные данные вентрикулометрии соответствовали нормальным значениям. У 1-го ребенка отмечено незначительное (до 0,6 см) расширение межполушарной щели и субарахноидальных пространств по конвекситальной поверхности мозга и умеренное симметричное увеличение ширины лобных рогов (преимущественно) и высоты тел боковых желудочков (до 0,7 см).
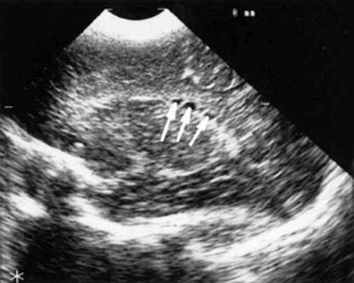
Рис. 1. Эхоэнцефалограмма ребенка Р. со смешанной герпес-цитомегаловирусной инфекцией, 7-е сут. жизни. Стрелками обозначена киста в верхушке сосудистого сплетения левого бокового желудочка.


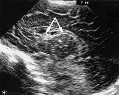
Рис. 2. Эхоэнцефалограмма ребенка Д. с цитомегаловирусной инфекцией, 2-е сут. жизни. Стрелками обозначены кисты в теле сосудистого сплетения левого бокового желудочка.


В конце периода наблюдения, который составлял от 2 до 7 мес., у 2 детей кисты сосудистых сплетений имели прежние размеры и число; у них данные вентрикулометрии, как при первом УЗИ, соответствовали возрастной норме. У одного ребенка киста сосудистых сплетений уменьшилась в размерах с 0,5 до 0,1 см; у него отмечено дальнейшее симметричное расширение боковых желудочков (ширина их лобных рогов и высота тел увеличилась с 0,7 до 0,9 см) и межполушарной щели и субарахноидальных пространств по конвекситальной поверхности мозга от 0,6 до 0,9 см. У одного ребенка этой группы при эхоэнцефалографии, проведенной в 7 мес. жизни, киста сосудистых сплетений не выявлялась, однако у него произошло симметричное увеличение ширины лобных рогов (преимущественно) и высоты тел боковых желудочков до 1 см и расширение субарахноидальных пространств по конвекситальной поверхности мозга до 0,7 см. При катамнестическом наблюдении только у этого ребенка выявлена незначительная задержка психомоторного развития, у 3 других детей I группы признаки церебрального дефицита не отмечены.
Всем детям этой группы проводилась иммунотерапия цитотектом и пентаглобином ("Biotest", Германия); в том числе 2 детям - иммунохимиотерапия (противоцитомегаловирусный иммуноглобулин - цитотект и виролекс). При анализе полученных данных какой-либо связи клинических проявлений заболевания, данных комплексного иммунологического обследования с локализацией кисты сосудистых сплетений, их числом, размерами и динамикой не выявлено.
По данным комплексного иммунологического обследования, у 6 детей была установлена смешанная герпес-цитомегаловирусная, у 3 - цитомегаловирусная и у 3 - герпес-вирусная инфекция. В клинической картине у этой группы больных выявлено полиморфное поражение с преобладанием признаков нарушений функций нервной системы у всех детей: преимущественно синдромом угнетения - у 9, гипервозбудимости - у 3. Вовлечение в патологический процесс органов дыхания отмечено у 5 новорожденных, затянувшаяся желтуха с гипербилирубинемией - у 9, гепатомегалия - у 2, отечный синдром - у 3 детей.
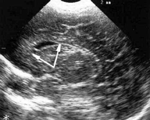
У детей этой группы при первом эхоэнцефалографическом исследовании были выявлены субэпендимально расположенные кистозные структуры на уровне таламо-каудальной вырезки (ТКВ) и (или) кпереди от нее диаметром от 0,3 до 1,1 см. У части новорожденных субэпендимальные кисты были представлены единой полостью с однородным или неоднородным содержимым, у других детей эти структуры напоминали соты, т. е. состояли из множества жидкостных включений, окруженных эхопозитивным ободком (рис. 3). Эти структурные особенности субэпендимальных кист, по-видимому, обусловлены разными стадиями резорбции. У 10 детей субэпендимальные кисты располагались в симметричных участках обоих полушарий, у 2 новорожденных - только в левом полушарии. У 3 детей, помимо субэпендимальных кист, расположенных в таламо-каудальной вырезке и (или) кпереди от нее, дополнительно выявлены субэпендимальные щелевидные кистозные структуры на уровне средних или передних отделов лобных рогов (см. рис. 3).
Рис. 3. Эхоэнцефалограмма ребенка Б. со смешанной герпес-цитомегаловирусной инфекцией, 5-е сут. жизни.

а) Правое полушарие. Стрелками обозначены субэпендимальные кисты, имеющие вид сот, расположенные в таламокаудальной вырезке и кпереди от нее.

б) Левое полушарие. Стрелками обозначены субэпендимальные кисты, имеющие вид сот, расположенные в таламокаудальной вырезке и кпереди от нее.

в) Правое полушарие. Стрелками обозначены субэпендимальные щелевидные кистозные структуры на уровне передних и средних отделов лобных рогов боковых желудочков.

г) Левое полушарие. Стрелками обозначены субэпендимальные щелевидные кистозные структуры на уровне передних и средних отделов лобных рогов боковых желудочков.
У всех новорожденных этой группы исходные данные вентрикулометрии соответствовали нормальным значениям. В конце периода наблюдения, составляющего от 2 до 9 мес., размеры желудочковой системы у 9 детей оставались на нормальных значениях, у 3 детей отмечалось умеренное (до 0,9 см), симметричное увеличение ширины лобных рогов (преимущественно) и высоты тел боковых желудочков. Кроме того, у 1 ребенка выявлено расширение межполушарной щели и субарахноидальных пространств по конвекситальной поверхности мозга до 0,7 см. В течение периода наблюдения субэпендимальные кисты уменьшались в размерах у 11 детей (полностью резорбировались в конце периода наблюдения у 10 из них) и только у 1 ребенка односторонняя субэпендимальная киста увеличилась к 2 мес. жизни с 0,5 до 1 см.
Всем новорожденным II группы, как и детям I группы, проводилась иммунотерапия различными иммуноглобулинами (цитотект, пентаглобин), 3 детям - иммунохимиотерапия (цитотект, виролекс). Положительный терапевтический эффект отмечался у всех детей этой группы.
Эффективность лечения оценивалась по срокам выхода из тяжелого состояния, ликвидации или уменьшению явлений инфекционного токсикоза, нарастанию массы тела, данным динамической эхоэнцефалографии и лабораторным показателям. При катамнестическом наблюдении психоэмоциональное и моторное развитие у 6 детей II группы соответствовало возрастной норме. У других 6 детей этой группы в течение первого полугодия отмечено выраженное в различной степени отставание психомоторного развития (3-е из них имели вентрикуломегалию). К концу первого года жизни признаки церебрального дефицита у них отсутствовали.
Как и в I группе детей, мы не выявили отчетливой связи между числом, локализацией, динамикой субэпендимальных кист и данными комплексного иммунологического обследования, а также клиническими проявлениями заболевания как в раннем неонатальном периоде, так и в конце периода наблюдения.
Как известно, субэпендимальные кисты, возникающие при инфекции, являются результатом поражения субэпендимально расположенного герминативного матрикса инфекционным агентом. В начале процесса в зоне повреждения герминативного матрикса возникает участок некроза, который по мере его резорбции в течение 3-4 нед. трансформируется в кистозную полость [9]. Полная резорбция кисты, как показали наши исследования, происходит к концу 2-4 мес. жизни ребенка (чем больше кистозная полость, тем дольше идет процесс ее резорбции). Так как во всех приводимых нами наблюдениях уже при первом эхографическом исследовании головного мозга были выявлены субэпендимальные кисты, мы можем утверждать, что повреждение герминативного матрикса произошло в период внутриутробного развития.
Из 396 новорожденных с субэпендимальными кистами только один ребенок имел гестационный возраст 30 нед., подавляющее число новорожденных (88,9%) были доношенными. Зная время, необходимое на формирование субэпендимальной кисты в зоне некроза, можно предположить, что в подавляющем большинстве случаев повреждение матрикса произошло в конце II - начале III триместра беременности. При повреждении герминативного матрикса на стадии активной пролиферации его клеток (до 20 нед. гестации), обеспечивающей формирование серого вещества и глии [6], можно ожидать возникновения пороков развития головного мозга, обусловленных нарушением миграции, или внутриутробной гибели плода. Поскольку как первое, так и второе встречаются довольно редко, кроме того, учитывая, что субэпендимальные кисты в основном выявлены у доношенных детей, мы полагаем, что до 20 нед. гестации герминативный матрикс обладает определенной резистентностью к действию инфекционного агента.
Структурные же изменения головного мозга у новорожденных в виде субэпендимальных кист, по-видимому, являются исходом повреждения герминативного матрикса, находящегося в процессе регрессии (после завершения своей основной функции). Опровергнуть или подтвердить это предположение могут данные скринингового ультразвукового исследования головного мозга плода, проведенного в начале II триместра беременности, высококвалифицированным специалистом с использованием трансвагинального датчика.
Схожесть клинической картины заболевания у новорожденных I и II групп, этиологии процесса, установленной иммунологическим методом, а также высокий терапевтический эффект при использовании одних и тех же лекарственных препаратов свидетельствуют о том, что не кисты сосудистых сплетений и субэпендимальные кисты являются определяющими в клинической картине заболевания, а, по-видимому, сходные патоморфологические изменения, возникающие в головном мозге под влиянием инфекции, не обнаруживаемые при эхоэнцефалографии. Кисты сосудистых сплетений и субэпендимальные кисты - лишь маркеры этих патологических процессов. В то же время, выявление при эхографии головного мозга кист сосудистых сплетений и (или) субэпендимальных кист при клинической картине, характерной для внутриутробных вирусных инфекций, дает основание для проведения иммунохимиотерапии еще до получения результатов иммунологического исследования, что ведет к снижению тяжелых церебральных расстройств у детей раннего возраста.
Литература
- Кудашов Н.И., Озерова О.Е., Орловская И.В. Неврологические проявления при герпесвирусной инфекции у новорожденных // Педиатрия . - 1997. - N5. -С.42-45.
 - Whitley R.T. Neonatal herpes Simplex infections // J. Med.Virol. - 1993. - V.1.- Suppl.- P.13-21.
 - MurguiapdepSierra T., Florido J.,Minox T., Arriola M et al. Neonatal herpetic encephalitis . Current concepts concerning a case.// Rev. Invest. Clin. - 1996. - V.48. - N 1. - P. 35-41.
 - Озерова О.Е., Кудашов Н.И., Орловская И.В. Особенности эхоэнцефалограммы у новорожденных с герпетической инфекцией // Ультразвуковая диагностика в акушерстве, гинекологии и педиатрии. - 1993. - N2. - С. 55-70.
 - Озерова О.Е., Казьмин А.М., Дайхина Л.В., Кудашов Н.И., Орловская И.В. Клиническое значение кист сосудистых сплетений желудочков головного мозга у новорожденных // Акушерство и гинекология - 1993. - N 1. - вС. 31-33.
 - Mito T., Ando Y.,Takeshita K.,Takada K., Takashima S. Ultrasonographical and morphological examination of subependimal cysts lesions in maturely born infants //Neuropediatrics. - 1989. - V.20. - N 4. - P. 211-214.
 - Zorzi C., Angonese I. Subependimal pseudocysts in the neonate // Eur. J. Pediatr. - 1989. - V.148. - P. 462-464.
 - Yamashita Y., Outani Y., Kawano Y., Horikawa M et al. Clinical analyses and short-term prognoses of neonates with subependimal cysts // Pediatr. Neurol. - 1990. - V.6. - N6. - P. 375378.
 - Озерова О.Е., Казьмин А.М., Дайхина Л. В. Субэпендимальные кровоизлияния у новорожденных: эхографическая характеристика и психоневрологические исходы // Акушерство и гинекология. - 1991. - N3. - С. 40-43.
 
УЗИ сканер HS50
Порэнцефалическая киста
Порэнцефалическая киста — это формирование в головном мозге патологических полостей разной формы и размера, заполненных жидкостью. Заболевание возникает первично во внутриутробном периоде под воздействием генетических, тератогенных или гипоксических влияний, а также вторично — на фоне энцефалитов, церебральных кровоизлияний. Порэнцефалия проявляется эпилептическими приступами, снижением двигательных функций, отставанием в интеллектуальном развитии. Диагностика болезни требует выполнения МРТ, КТ, нейросонографии и ЭЭГ. Лечение проводится консервативным (антиконвульсанты, дегидратанты, ноотропы) или хирургическим способом.
МКБ-10

Общие сведения
Впервые термин «порэнцефалия» употреблен 1859 г. при описании дефекта мозговых полушарий у новорожденных. Истинная врожденная порэнцефалия более известна под названием шизэнцефалия. Тяжелая степень патологии называется поликистозом головного мозга. Частота встречаемости составляет около 2-3 случая на 100000 населения, половых различий в заболеваемости нет. Порэнцефалические кистозные образования не теряют своей актуальности в детской неврологии, что связано с отсутствием эффективных методов терапии, риском необратимого неврологического дефицита.
Причины
Первичная (истинная) порэнцефалическая киста формируется во время внутриутробного развития ребенка под действием генетических мутаций (COL4A1, EMX2), гипоксии плода, тератогенных факторов (химические токсины, нейроинфекции, некоторые медикаменты) и обычно манифестирует у новорожденных. Точные причины врожденного порока пока не установлены. Этиологическая структура вторичной порэнцефалии более изучена и включает следующие факторы:
- Воспалительные процессы. Формирование порэнцефалии возможно у пациентов с менингитами, энцефалитами, вентрикулитами, которые имеют затяжное или хроническое течение. Патологические изменения вызваны разрастанием соединительной ткани, заполнением ликвором образовавшейся полости.
 - Внутримозговые кровоизлияния. Возникновение порэнцефалических кист возможно при резорбции и организации больших очагов, появившихся после ЧМТ, геморрагического инсульта. Нередко это встречается у новорожденных, перенесших гипоксию или родовую травму головы.
 - Оперативные вмешательства. К ятрогенным факторам развития кистозной полости относят осложнения после пункции церебральных желудочков, в том числе при плохом функционировании шунта, продолжающемся гипертензионно-гидроцефальном синдроме.
 
Патогенез
Порэнцефалия возникает в период внутриутробного развития в результате нарушений морфогенеза церебральных нервных тканей либо при разнообразных расстройствах церебрального кровообращения. В патогенезе играют роль генетически обусловленные нарушения структуры сосудов (при наличии патологических цепей коллагена), тератогенные влияния. У новорожденных важным звеном механизма формирования кистозных образований является гипоксически-ишемическая энцефалопатия.
Размеры патологических полостей широко варьируют, в тяжелых случаях они занимают все мозговое полушарие. Изнутри новообразования имеют гладкую поверхность, покрытую эпендимоподобной оболочкой. Микроскопически определяются участки гетеротопированной коры головного мозга. Порэнцефалические кисты могут быть заполнены ликвором либо кистозной жидкостью, которая имеет желтый цвет, содержит много белковых включений.
Симптомы порэнцефалической кисты
Клиническая симптоматика весьма разнообразна, что зависит от размеров, количества, локализации объемных образований. Крупные кистозные полости манифестируют в период новорожденности или на первом году жизни ребенка. Первыми признаками обычно становятся различные виды судорожных приступов: генерализованные тонико-клонические, простые и сложные фокальные припадки, фокальные пароксизмы со вторичной генерализацией.
Уже в первые месяцы жизни определяется патологическая спастичность мышц, из-за чего у новорожденного или младенца отмечается скованность движений с уменьшенной амплитудой, становление моторных навыков отстает от возрастных норм. Постепенно двигательные нарушения прогрессируют: развиваются парезы и параличи мускулатуры, в процесс вовлекаются мышцы бульбарной группы, что проявляется расстройствами глотания, гуления, произношения первых слов.
Неврологические признаки во многом определяются расположением порэнцефалической кисты. Зачастую поражается зрительный анализатор: снижается острота зрения, сужаются зрительные полей, появляются фотопсии. Поражение височной доли головного мозга чревато ощущением шума в голове, вестибулярными нарушениями, затруднениями речевого развития. При повреждении мозжечка жалобы дополняются тремором рук, неустойчивостью позы и походки.
По мере взросления ребенка когнитивный дефицит становится более заметным. Больные с большими порэнцефалическими кистами значительно отстают в речевом развитии, часто вообще не говорят или изъясняются отдельными словами. Дети страдают различной степенью умственной отсталости, не могут обучаться в обычных классах. Также нередки случаи психических отклонений, прежде всего — расстройств аутистического спектра.
Осложнения
При крупных церебральных полостях у новорожденных первых дней жизни наступают тяжелые нарушения витальных функций, которые заканчиваются смертью в неонатальном периоде. Если ребенка удается спасти, у него выявляется глубокий неврологический дефицит, отсутствует психомоторное развитие, требуется медицинская помощь в отделении интенсивной терапии. Такие пациенты погибают в раннем возрасте.
При формировании синехий в кистозной полости скапливается избыточное количество ликвора, что является предиктором развития гидроцефалии. В таких случаях у новорожденных наблюдается увеличение размеров и деформация головы, учащение судорожных припадков, нарушения сознания. При комбинации порэнцефалии с агенезией мозолистого тела происходит усугубление двигательных нарушений, повышается риск возникновения фармакорезистентной эпилепсии.
Диагностика
При клиническом осмотре новорожденного неонатологом, детей другого возраста ‒ педиатром, а затем детским неврологом определяются разнообразные очаговые признаки: односторонний гемипарез, бульбарный синдром, гипорефлексия, симптомы когнитивного дефицита. К обследованию привлекается детский офтальмолог для оценки состояния глазного дна. Чтобы подтвердить наличие порэнцефалических кист, проводятся следующие диагностические исследования:
- Нейросонография. УЗИ головного мозга — информативный метод обследования новорожденных, с помощью которого визуализируются заполненные жидкостью церебральные полости, определяется их размер и локализация. По показаниям исследование дополняют УЗДГ церебральных сосудов.
 - МРТ головного мозга. Самый точный метод верификации диагноза, который показывает все структурные изменения нервной ткани, используется для дифференциальной диагностики истинных кистозных полостей (выстланы диспластическим серым веществом коры) и вторичной порэнцефалии (образования изнутри покрыты белым веществом мозга). Допускается для обследования новорожденных и грудных детей.
 - КТ головного мозга. Компьютерная томография выполняется у детей старшего возраста, у взрослых. Новорожденным и младшим детям производится в исключительных случаях по назначению врача. По данным снимков удается обнаружить объемное полое новообразование, которое не имеет солидного компонента, не поглощает рентген-контрастное вещество. Характерная особенность — отсутствие масс-эффекта даже при большом размере порэнцефалической кисты.
 - ЭЭГ. Всем больным с судорожным синдромом, включая новорожденных, рекомендуется электроэнцефалография для исследования электрической активности мозга. По ее результатам обнаруживаются участки спонтанной эпилептиформной активности, как правило, сопровождающиеся вторичной билатеральной синхронизацией.
 
В современной неврологии истинная порэнцефалия в большинстве случаев диагностируется антенатально в ходе планового ультразвукового скрининга беременности. Информация о наличии аномалии необходима акушерам-гинекологам для рационального выбора тактики родоразрешения, планирования экстренной помощи новорожденным в течение первых часов жизни.
Лечение порэнцефалических кист
Специфическая помощь пациентам с порэнцефалическими кистами не разработана, поэтому лечение сводится к поддерживающей терапии. Больные находятся под диспансерным наблюдением детского невролога, в программу обследования входят регулярное проведение нейровизуализации для контроля размеров кисты. В индивидуальный план лечения при порэнцефалии, составленный в соответствии с клиническими проявлениями болезни у пациента, могут включаться:
- Противосудорожная терапия. Для купирования эпилептических приступов подбираются индивидуальные комбинации антиконвульсантов разного типа действия. Требуется постоянный контроль их эффективности, учитывая частые случаи фармакорезистентных судорог при порэнцефалических кистах.
 - Симптоматическая терапия. Чтобы активизировать кровоснабжение и трофику церебральных тканей, показаны нейрометаболические препараты, ноотропы, средства, улучшающие микроциркуляцию. При повышении внутричерепного давления применяются осмодиуретики, салуретики.
 - Нейрохирургическое лечение. Если возможен оперативный доступ к кистозной полости, осуществляется ее вскрытие, аспирация жидкого содержимого, иссечение сосудистого сплетения. При осложненном течении заболевания необходимо вентрикулоперитонеальное или вентрикулоатриальное шунтирование.
 - Реабилитация. Для улучшения координации движений и мышечной силы назначается кинезиотерапия, механотерапия, массаж. Детям необходимы занятия с логопедом, дефектологом, нейропсихологом.
 
Прогноз и профилактика
При некрупных порэнцефалических кистах прогноз благоприятный, если отсутствует грубый неврологический дефицит. Большие образования, занимающие значительную часть головного мозга несовместимы с жизнью: наблюдается внутриутробная гибель плода либо смерть новорожденного. Профилактика истинной порэнцефалии предполагает правильное ведение беременности и подготовку к родам, вторичной — своевременное лечение воспалительных и сосудистых патологий ЦНС.
1. МРТ-паттерны гипоксически-ишемического поражения головного мозга у доношенных новорожденных/ Т.В. Мелашенко, А.В. Поздняков, В.С. Львов, Д.О. Иванов// Педиатр. — 2017. — №6.
2. Порэнцефалия: случай из практики/ Х.Н. Максудова, Л.М. Шашкина, Д.К. Расулова// Вестник КазНМУ. — 2015. — №2.
Киста головного мозга у ребенка
Киста головного мозга у ребенка — это заполненная жидкостью полость, расположенная в нервной ткани или мозговых оболочках. Она возникает при патологиях внутриутробного развития, как следствие ЧМТ, нейроинфекций, инсультов. Заболевание проявляется общемозговой (головная боль, рвота, нарушение сознания) и очаговой симптоматикой (параличи, снижение чувствительности, расстройства зрения). Для диагностики назначают магнитно-резонансную и компьютерную томографию головного мозга, нейросонографию, ЭЭГ. Лечение кист рекомендовано при их осложненном течении, проводится хирургическим путем с последующей медико-социальной реабилитацией.
Истинную распространенность церебральных кист у детей сложно установить, поскольку образование, как правило, протекает бессимптомно. По наблюдениям зарубежных авторов, патология составляет до 1% среди всех мозговых неоплазий. Мальчики болеют чаще девочек. Это доброкачественное образование, но вызванное им сдавление нервной ткани у ребенка чревато серьезными осложнениями. Несмотря на развитие современной нейрохирургии, диагностика и лечение кист в детской практике затруднены, поэтому проблема не теряет своей актуальности.
У младенцев кисты носят врожденный характер, они формируются в периоде внутриутробного развития. Аномалия возникает под влиянием тератогенных факторов во второй половине срока гестации. Причиной новообразования у ребенка служат гипоксия плода, фетоплацентарная недостаточность, TORCH-инфекции и экстрагенитальные патологии беременной. Этиологическая структура приобретенных кист включает следующие причины:
- Травмы. Поврежденные участки нервной ткани не восстанавливаются, поэтому в процессе восстановления они организуются и инкапсулируются, образуя кисты. Такой же механизм наблюдается при ЧМТ, сопровождающихся небольшим кровоизлиянием, не представляющим угрозы для жизни ребенка.
 - Инсульты. Постинсультные новообразования являются одними из самых распространенных, особенно у детей раннего возраста, у которых кровоизлияния и инфаркты мозга возникают с одинаковой частотой со взрослыми. Кисты формируются после обширных инсультов, даже если проводится их корректное лечение.
 - Нейроинфекции. В основном опухоль имеет паразитарную этиологию и развивается после проникновения в головной мозг ребенка личинок червей (при эхинококкозе, парагонимозе, тениозе). Возбудитель формирует вокруг себя капсулу, которая сдавливает окружающие мозговые ткани и оболочки.
 - Ятрогенные влияния. Изредка новообразования появляются, когда неудачно проведено нейрохирургическое лечение. У ребенка они могут стать результатом коррекции врожденных пороков и церебральных сосудистых аномалий, ликвидации внутричерепных кровоизлияний.
 
Кисты не способны к инвазивному росту и метастазированию, но их лечение необходимо из-за риска сдавления нервной ткани. Новообразование большого размера механически воздействует на центры головного мозга и препятствует оттоку ликвора. У маленьких детей это частично компенсируется благодаря податливости костей черепа, но со временем киста начинает себя проявлять. В тяжелых случаях возможна дислокация мозга ребенка с нарушением всех его функций.
Классификация
Кистозные новообразования подразделяются на приобретенные и врожденные (коллоидные и дермоидные). По локализации кисты классифицируются на:
- Арахноидальные, расположенные между мозговой тканью и паутинной оболочкой и всегда заполненные ликвором
 - Церебральные, находящиеся непосредственно в церебральной ткани.
 
В отдельную группу выделяют кисты сосудистого сплетения и шишковидной железы.
Симптомы
Клиническая картина зависит от локализации и размеров кисты, поэтому постановка диагноза и лечение зачастую запаздывают. При церебральных образованиях симптоматика обусловлена сдавлением определенной зоны головного мозга. У ребенка могут быть парезы и параличи конечностей, снижение тактильной и температурной чувствительности, нарушение функции органов чувств. Пациенты жалуются на вспышки света и двоение в глазах, бессонницу, шаткость при ходьбе.
Для арахноидальных кист характерно преобладание общемозговых признаков. Ребенок испытывает интенсивную головную боль и головокружения, у него отмечаются многократная рвота, судороги. Заболевание иногда проявляется психическими расстройствами, психомоторным возбуждением, обмороками и комой. У новорожденного ребенка кисты вызывают патологическую сонливость или беспокойство, монотонный крик, рвоту и отказ от кормления.
Крупные кисты провоцируют стойкую мозговую дисфункцию, что без адекватного и своевременного лечения чревато инвалидностью ребенка и олигофренией. При арахноидальных новообразованиях в 20% случаев развивается вторичная гидроцефалия, которая сопровождается гипертензивно-гидроцефальным синдромом, поражением ствола головного мозга. Такое состояние чревато летальным исходом.
При первичном обследовании ребенка детский невролог оценивает очаговую и общемозговую симптоматику, определяет предполагаемую локализацию и объем поражения. Специалист ищет патогномоничные симптомы нейроинфекций, травм и других этиологических факторов кисты. На основании неврологического статуса врач ставит предварительный диагноз, которые необходимо подтвердить инструментальными и лабораторными методами, наиболее информативными из которых являются:
- Нейросонография. У младенцев до закрытия родничков УЗИ является основным диагностическим методом. Во время исследования невролог визуализирует полость, определяет ее размеры и локализацию, выявляет сопутствующие аномалии строения головного мозга.
 - МРТ головного мозга. Магнитно-резонансная томография — «золотой стандарт» диагностики внутричерепных новообразований. Ее проводят с контрастированием, поскольку киста не накапливает красящее вещество, в отличие от злокачественной опухоли. Для лучшей визуализации содержимого полости используют КТ головного мозга.
 - Электроэнцефалография. Наличие судорожных припадков в клинической симптоматике требует исключения эпилепсии по данным ЭЭГ. При исследовании могут выявляться отдельные очаги эпилептиформной активности, которые соответствуют участку повреждения мозговой ткани.
 - Люмбальная пункция. Инвазивную диагностику проводят при подозрении на нейроинфекции. Врача интересует клеточный состав полученной спинномозговой жидкости, ее цвет и консистенция, наличие осадка или пленки на поверхности. При гидроцефалии пункция носит лечебно-диагностический характер.
 
Лечение
Хирургическое лечение
Консервативные мероприятия неэффективны, ребенку необходима помощь квалифицированного нейрохирурга. Оперативное лечение проводится, если киста имеет клинические проявления, быстро увеличивается в размерах, осложняется кровотечением. При небольших бессимптомных новообразованиях показана выжидательная тактика и динамическое наблюдение у невролога с немедленным началом терапии при ухудшении ситуации.
Приоритетным направлением в детской нейрохирургии является эндоскопическое лечение кист. Метод отличается минимальной травматичностью, быстрым восстановительным периодом. Для ликвидации новообразования назначается кистоперитонеальное шунтирование, вентрикулоцистернотомия, эндоскопическая резекция. Как вариант экстренной терапии кисты, осложненной гидроцефалией, проводится шунтирующая операция путем трепанации черепа.
Реабилитация
После оперативного вмешательства обеспечивается длительное лечение с участием невролога, дефектолога, логопеда. Терапия направлена на восстановление двигательной активности, когнитивных функций, социальных навыков. Для адаптации ребенка к физической активности реабилитацию дополняют нейрометаболическими препаратами, комплексами ЛФК, механотерапией и лечебным массажем.
Небольшие бессимптомные кисты не представляют угрозы здоровью и существуют в течение всей жизни. Прогностически неблагоприятными считаются крупные образования, сочетающиеся с гидроцефалией или дислокацией мозга, но своевременное хирургическое лечение повышает шансы на выздоровление. При комплексной и длительной реабилитации удается минимизировать остаточные неврологические проявления.
Чтобы уменьшить риск врожденных кистозных объемных образований мозга, необходимо рациональное ведение беременности, исключение тератогенных факторов, перинатальная охрана плода. Профилактика приобретенных кист заключается в своевременном и адекватном лечении ЧМТ, инсультов, нейроинфекций в детском возрасте с назначением рассасывающей терапии и ноотропных препаратов.
1. Компьютерная и магнитно-резонансная томография в диагностике острого нарушения мозгового кровообращения у детей. Методические рекомендации/ Н.Н. Володин. — 2019.
3. Малоинвазивный подход в хирургическом лечении коллоидных кист головного мозга/ В.А. Хачатрян, К.А. Самочерных, А.В. Ким, Ю.М. Забродская и др.// Вестник Санкт-Петербургского университета. — 2009.
4. Особенности хирургического лечения арахноидальных кист головного мозга у детей. Автореферат диссертации/ Д.М. Ростовцев. — 2008.
Читайте также:
