Магнитно-резонансная томография (МРТ) при болезнях уха
Добавил пользователь Евгений Кузнецов Обновлено: 21.01.2026
Чувство стреляющей боли возникает резко, внезапно, без видимых на то причин.
Признаки болезней головного мозга
Основой центральной нервной системы выступает головной и спинной мозг, которые.
Вазоневральный конфликт на МРТ
Нервная система обеспечивает восприятие всех сигналов: запах, вкус, зрительные.
Опухоль головного мозга
МРТ при опухоли головного мозга дает возможность увидеть образование.
Как часто можно делать мрт
Как часто можно делать МРТ, зависит от органа, который нужно исследовать, а.
Записаться на МРТ головного мозга
Средняя цена
МРТ головного мозга от 3500 руб
Вам может быть интересно
Люди, занимающиеся спортом на профессиональном или любительском уровне, находятся в зоне риска. Этот вид деятельности находится на первом месте по числу травм острого и хронического характера. Особенно страдает опорно-двигательный аппарат, так как на него ложится основная нагрузка, приходятся прямые удары и другие приложенные силы, которые тело не всегда способно конструктивно выдержать.
Треть жизни офисного работника проходит в сидячем положении за компьютером. Такие люди редко успевают перекусить, ежедневно пребывают в стрессе и часто берут на себя больше обязанностей, чем могут осилить.
Травматизм стоит на первом месте в списке заболеваемости людей. Он считается главной причиной первичной инвалидности и гибели взрослого населения трудоспособного возраста, а также детей. Зачастую наивысший уровень травматизма приходится: у женщин на возраст от 30 до 59 лет и у мужчин в период с 20 до 49 лет.
В 2020 году мир поразила новая инфекция зооморфного бета-коронавируса COVID-19. Эта инфекция, передающаяся воздушно-капельным путем быстро достигла масштабов пандемии. Она опасна тяжелыми осложнениями, некоторые из них носят длительный характер и получили название "постковидный синдром".
Существует около 10 теорий этиологии остеохондроза. Они связаны с патологиями сосудов, гормональным дисбалансом, аутоиммунными процессами, повышенными механическими нагрузками, наследственной предрасположенностью. При юношеской форме этиофакторами становятся: быстрый рост, поднятие тяжестей, врожденная или приобретенная недостаточность хрящевой ткани, гиподинамия, неравномерные нагрузки.
Творческими способностями называется умение придумывать нестандартные или принципиально новые идеи, применять для решения задач привычные вещи необычным способом. Креативность является важным качеством при приеме на работу. Такие люди лучше ориентируются в разных обстоятельствах, легче воспринимают новое.
МРТ уха что показывает
Слух является базовым чувством человека, поэтому его снижение может существенно ухудшить качество жизни. Если причина дискомфорта или потери слуха локализована глубже ушной раковины и наружного слухового прохода, диагностика заболевания затрудняется. Визуализировать то, что по сути находится внутри черепной коробки, помогает МРТ уха — современный способ диагностики, результатом которого становится серия снимков. На них помимо структур органа слуха хорошо видны сосуды, нервы, а также часть вещества головного мозга и мягких тканей, прилегающих к исследуемой области. В зависимости от вида процедуры томография покажет врожденные или приобретенные дефекты, воспаления, последствия травм, а также доброкачественные и злокачественные опухоли.
Какие заболевания покажет МРТ уха?
В диагностической практике магнитно-резонансную томографию используют для выявления патологий мягких тканей, в которых содержится много водорода. Только они хорошо визуализируются во время магнитно-ядерного резонанса и отображаются на снимках в виде черно-белых картинок, которые являются срезами обследуемых частей тела. Поэтому в список, что показывает МРТ среднего уха и внутренних отделов органа входят:
наружный и внутренний слуховой проход;
черепно-мозговые нервы и сосуды в области мосто-мозжечкового угла;
мозжечковые углы и частично полушарие головного мозга.
Также на снимках видны контуры костных тканей, но из-за малого содержания в них водорода снимок не показывает точно их структуру. При использовании контраста процедура становится более информативной. На снимках становятся четко видны сосуды и опухоли. Поэтому такой метод исследования используется для выявления следующих патологических процессов:
воспалительные заболевания среднего и внутреннего уха — отит, лабиринтит и другие;
гнойные процессы и кровоизлияния, скопления экссудата в среднем и внутреннем ухе;
гиперплазии и дисплазии костных структур и мягких тканей;
врожденная или приобретенная деформация, разрушение костей в области обследования;
доброкачественные и злокачественные опухоли уха — невриномы, холестеатомы;
доброкачественные новообразования а мостомозжечковом угле в виде полостей, заполненных мертвым эпителием;
механические повреждения лицевого и тройничного нервов;
инородные тела в ушном проходе;
вазоневральные и нейроваскулярные нарушения.

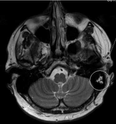
МРТ головного мозга. В аксиальной плоскости отмечается повышение интенсивности МР-сигнала в области ячеек сосцевидного отростка левой височной кости (круг) вследствие ранее перенесенных воспалительных изменений.
Особо ценным это обследование считается при подозрении на опухоли непосредственно в органах слуха, а также находящиеся в отделах головного мозга, отвечающих за анализ и расшифровку звуковых сигналов, или костных структурах височной части черепа. Магнитно-резонансная томография позволяет увидеть даже незначительные изменения, отличить доброкачественные опухоли от злокачественных. Эти данные очень важны для врача, так как они помогают подобрать эффективные схемы лечения.
Показания к МРТ уха
Назначить магнитно-резонансной обследование органов слуха может ЛОР-врач или невролог. Основными показаниями к проведению процедуры считаются состояния, указывающие на нарушение функций структур среднего и внутреннего уха:
устойчивое или периодическое снижение чувствительности слуха;
систематические или постоянно сохраняющиеся шумы в ушах — звон, щелчки, шипение, равномерный низкий гул и т. п.;
постоянная тупая или повторяющаяся регулярно острая боль в ушах или в голове в височной части;
ощущение заполнения уха воздухом или жидкостью (заложенность);
регулярные или периодические головокружения, потеря способности сохранять равновесие при ходьбе или неспособность определить положение тела в пространстве с закрытыми глазами;
выделение из наружного слухового прохода гнойной или кровянистой жидкости.
Также рекомендуется проводить сканирование уха при наличии симптомов, указывающих на повреждения лицевых и слуховых нервов, патологий височно-нижнечелюстного сустава, которые выражаются нарушениями мимики, жевательных функций и речи. Также причиной направления на МРТ могут стать врожденные аномалии развития органов слуха, такие как деформация или отсутствия ушных раковин, отсутствие у ребенка реакции на звуки.
Как проходит МРТ внутреннего и среднего уха?
МРТ внутреннего и среднего уха не требует особой подготовки. Единственная ситуация, когда пациенту потребуется немного изменить режим питания — сканирование с контрастом. В этом случае рекомендуется воздержаться от употребления тяжелой пищи (жирной, долго перевариваемой, плотной) за несколько часов до обследования. Это поможет избежать тошноты во время введения препарата.

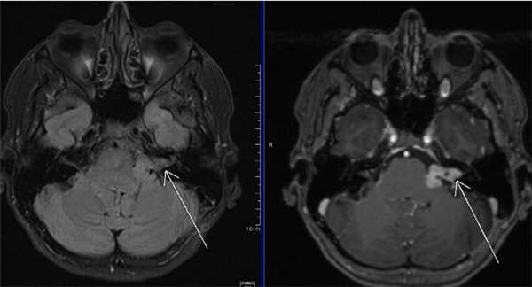
МРТ головного мозга. На мрт в аксиальной плоскости отмечается объемное образование внутреннего слухового прохода слева (стрелка), с четкими и неровными контурами, деформирующее окружающие структуры. После внутривенного введения парамагнитного контрастного вещества отмечается интенсивное и неоднородное его накопление образованием (изображение справа) — невринома.
Перед началом процедуры проводится предварительный опрос пациента, в ходе которого врачом выявляются возможные противопоказания к диагностике таким способом. К ним относятся:
наличие металлических зубных имплантатов;
наличие на кровеносных сосудах головного мозга металлических клипс, установленных для остановки кровотечения;
наличие металлических пластин или скоб, фиксирующих кости черепа;
подозрение на присутствие инородных тел из ферромагнитных металлов внутрь уха.
Перед тем, как делать сканирование, врач попросит пациента снять с тела предметы, которые могут намагничиваться: металлические украшения, аксессуары, одежду с молниями, пуговицами и кнопками из металла, съемные зубные протезы и пирсинг. Также нужно оставить в приемном покое кошелек с банковскими картами, флешки и мобильный телефон, так как они могут выйти из строя под действием магнитного поля. После этого обследуемого укладывают на подвижный стол томографа, его голову помещают в специальную рамку, фиксируют ее валиками и ремнями для исключения случайных движений и смазывания картинки. При необходимости вводят больному внутривенно контрастный препарат.
Для того, чтобы сделать МРТ, врач покидает помещение и наблюдает за процессом из смежной комнаты. Он поддерживает контакт с пациентом через громкую связь. Последний может инициировать прекращение сканирования, если появился дискомфорт. Для этого достаточно нажать кнопку экстренной связи на пульте, который ему дают перед процедурой.
В среднем стандартное без контрастирования сканирование занимает не больше четверти часа. После получения серии снимков пациенту могут ввести контраст и делают повторные снимки. Это удлиняет процедуру МРТ еще на 15-20 минут. По окончании сеанса пациент может сразу покинуть клинику или в течение 1-2 часов подождать результаты обследования.
Расшифровка снимков МРТ внутреннего уха
Расшифровкой того, что показывает МРТ внутреннего уха или его среднего отдела, занимается врач-рентгенолог, проводивший обследование. В заключении он указывает, что именно изображено на снимках, а также делает на них пометки: на цифровых делает метки в виде стрелок, контуров и точек, которые сохраняются и на распечатанных фото. При необходимости, если это указано в направлении, серии снимков сохраняются в формате видео. Иногда, если это необходимо для более точной оценки патологии, с помощью специальной программы создается трехмерная модель отдельных структур среднего и внутреннего уха, которую можно рассматривать под любым углом.
В расшифровках снимка по стандартам указывается:
состояние височной кости, нижнечелюстного сустава, их соответствие нормам, а при наличии аномалий указывается их расположение, степень распространения и природа (перелом, скол, опухоль или метастаз);
состояние слухового прохода, отсутствие или наличие в нем секрета, инородных предметов, признаков воспалений, гнойных полостей и выделений, аномалий строения;
состояние структур внутреннего уха — нервов, кровеносных сосудов и мягких тканей, с указанием их соответствия или несоответствия нормам, при наличии опухолей, воспалений и других аномалий указывается их локализация, степень развития, взаимодействие с окружающими тканями и т. д.
При использовании контраста дополнительно описываются первичные и вторичные злокачественные новообразования, оценивается динамика кровоснабжения этих новообразований и вестибулярного аппарата.
Что лучше МРТ или КТ уха?
Диагностика с помощью МРТ и КТ может показаться одинаковой, однако они отличаются по принципу воздействия на ткани и результатам. В ходе МР-томографии лучше визуализируются нервы, слизистые оболочки, кровеносные сосуды, мозговые ткани, а костные остаются фактически невидимыми. Лучше всего МРТ выявляет злокачественные опухоли. Компьютерная томография, использующая рентгеновское излучение, детально показывает состояние костей, а мягкие ткани на снимках визуализируются недостаточно четко.
В чем отличия КТ и МРТ:
Противопоказания — у КТ их больше, чем у МРТ, так как рентген противопоказан детям, беременным на любом сроке, кормящим женщинам. МРТ не проводят, если в теле пациента есть металлические элементы, в том числе несъемные зубные протезы, кардиостимуляторы или инородные тела, осколки и т. д.
Частота проведения процедур — КТ делают не чаще 2 раз в год, МРТ можно делать без ограничений.
Точность картинки — КТ незаменим для диагностики патологий костной ткани и косточек среднего и внутреннего уха. МРТ более информативен для выявления заболеваний нервов, сосудов, мягких тканей.
Это значит, что оба метода хорошо дополняют, но не заменяют друг друга. Когда врач подозревает, что неприятные симптомы являются следствием изменений нервов или структур, состоящих из мягких тканей, делают МРТ. Если же предварительное обследование указывает на аномалии костной ткани, делают КТ.
Что показывает МРТ головы

МР-томография головы - это безболезненное обследование без повреждения целостности кожных покровов больного, которое позволяет заглянуть врачу в любой интересующий отдел головы. То, что показывает МРТ головы, помогает поставить правильный диагноз и подобрать оптимальное лечение.
Суть МРТ головы: атомы водорода поглощают энергию в сильном магнитном поле, а затем ее отдают. Датчики улавливают эти сигналы. В зависимости от концентрации атомов водорода, то есть молекул воды, ткани имеют на снимках различное окрашивание от черного до белого.
Ценность МРТ вещества головного мозга в том, что можно видеть любые анатомические структуры:
- Кости черепа.
- Мозговые оболочки.
- Серое вещество мозга кора, ядра черепно-мозговых нервов, белое вещество чувствительные, двигательные и смешанные проводящие пути.
- Ствол мозга, мозжечок.
- Ликвор, каналы и полости, по которым циркулирует спинномозговая жидкость.
- Гипофиз.
По снимкам оценивают их размеры, плотность, однородность, симметричность, расположение, строение. Все отклонения от нормы фиксируют в заключении. С помощью МРТ головного мозга диагностируют патологии:
- Воспалительные изменения: менингиты, энцефалиты, менингоэнцефалиты.
- Врожденные аномалии развития мозга, орбит, костей черепа, органа слуха.
- Последствия травм: переломы костей черепа, ушиб головного мозга, отек.
- Объемные образования: опухоли доброкачественной или злокачественной природы (метастазы, кисты, паразитарные кисты, абсцессы).
- Болезни с дегенерацией нервных клеток Альцгеймера.
- Демиелинизирующие заболевания например, рассеянный склероз.
- Эпилепсия или судорожный синдром.
- Нарушения мозгового кровообращения инсульты, кроме острейшего периода (до 6 часов изменений МРТ не покажет), дисциркуляторная энцефалопатия (длительное ухудшение кровоснабжения и питания мозга).
- У детей последствия родовой травмы, внутриутробной гипоксии, интоксикации, инфекции. Можно обнаружить гидроцефалию и причины внутричерепной гипертензии.
Перечень, какие заболевания выявляет МРТ головы, можно продолжать до бесконечности.
Офтальмолог назначит МРТ при заболеваниях глаза, отоларинголог - при проблемах с околоносовыми пазухами, снижении слуха, расстройствах равновесия. Эндокринолог отправит на МРТ головы для выявления заболеваний гипофиза.
Невозможно оперировать без знания точного расположения структур внутри головы. Даже при нормальном строении органы имеют особенности и варианты у разных людей, поэтому перед операцией нейрохирург, онколог обязательно проверят, что скажет МРТ головы. Невролог направит для обследования на МРТ головного мозга, что поможет определить причины таких жалоб:
- Частые головные боли непонятного происхождения.
- Проблемы со зрением, слухом, особенно быстро развивающиеся.
- Головокружения, тошнота, приступы рвоты, повторные эпизоды потери сознания, шум в ушах, шаткость походки.
- Нарушения чувствительности или двигательных функций, глотания, речи, рефлексов.
- Расстройства памяти, внимания, поведения, психические отклонения.
- Частые носовые кровотечения.
Иногда требуется комплексное обследование головы и позвоночника, шеи, например, при шейном остеохондрозе. В таком случае можно проверить и выявить болезни сразу двух анатомических областей.
Что входит в магнитно-резонансную томографию головы?
Магнитно-резонансная томография головы позволяет оценить состояние всех органов и тканей:
- Головной мозг: обследуют кору больших полушарий, средний мозг, мозжечок, ствол мозга (продолговатый отдел и мост). Особое внимание уделяют области турецкого седла, где исследуют гипофиз, мостомозжечковые углы, где расположены ядра черепных нервов.
- Мозговые оболочки твёрдая, паутинная, мягкая. Синусы между листками твердой оболочки, в которых собирается венозная кровь.
- Ликворопроводящая система: желудочки мозга от первого до четвертого, цистерны.
- Содержимое глазницы глазное яблоко, мышцы, сосуды, нервы, жировая клетчатка.
- Околоносовые пазухи, сосцевидный отросток, структуры среднего, внутреннего уха, нервы.
Врач, который дает направление больному на исследование, должен указать предварительный диагноз. Специалист функциональной диагностики смотрит полностью все отделы головы, но самым пристальным образом исследует место, где подозревается патология.
Виды МРТ головного мозга
Врач выбирает метод исследования, исходя из предполагаемой патологии и того, какие есть МРТ головы:
- Обзорная МРТ. На ней видны признаки воспаления, отек, склероз, смещение структур мозга, последствия травм ушиб, некроз, кровоизлияние (за исключением первых 6 часов).
- Контрастная МРТ показывает опухоли, любые изменения сосудов, дегенеративные болезни мозга (Альцгеймера, рассеянный склероз), признаки шизофрении.
- Магнитно-резонансная ангиография. Существует две разновидности этого исследования с контрастом и без него. При этом виде исследования визуализируются сосуды головного мозга. Они похожи на веточку дерева с разветвлениями от крупных ветвей до самых мелких. Если есть изменения артерий, вен, их определяют по расширению, сужению просвета, извитости или обрыву тени при закупорке. При подозрении на кровоизлияние контраст не используют. Артериография определяет патологию артерий, венография соответственно вен. Ангиография включает полное обследование всех сосудов головы.

МР-ангиография артерий головного мозга
МР-сигнал от тока крови по ПМА, СМА и ЗМА, ВСА, основной артерии не изменен.
Асимметрия позвоночных артерий (S>D).
Получают изображения головы в 3 плоскостях: фронтальной, сагиттальной, вертикальной. При необходимости добавляют сканирование в косых плоскостях. Врач выставляет нужную толщину срезов. Чем меньше она, тем мельче по размеру патологические очаги можно обнаружить. При подозрении на опухоли выбирают мощный томограф, тонкие срезы и усиливают контрастность за счет введения препаратов гадолиния.
У томографа предусмотрено множество режимов сканирования - Т 1, Т 2 взвешенные, ДВИ, FLAIR, STIR. Они отражают структуры статические либо в движении. Чем больше содержится молекул воды, тем темнее цвет ткани (для Т1 взвешенных снимков). И наоборот, чем плотнее ткань, тем светлее она на снимках. Так, если в сравнении с нормой в каком-то месте есть более темный очаг, это будет свидетельствовать об отеке или выходе жидкости из сосудистого русла. Светлое пятно говорит об уплотнении тканей - склеротический, опухолевый процесс. Для Т2 режима закономерность обратная.

а — Т1-взвешенное изображение: ликвор гипоинтенсивный (темный)
б — Т2-взвешенное изображение: ликвор гиперинтенсивный (светлый)
Оценивать движущие ткани нужно при исследовании тока крови в голове, ликвора, скорости диффузии в тканях.
Функциональное МРТ. Они направлено на определение активности мозга и показывает наличие повреждений в определенных функциональных зонах речевых, слуховых, двигательных, обонятельных, отвечающих за память. Выполнение заданий и тестов приводит к активизации корковых центров и притоку крови в эти места.
Любой вид МРТ не проводится:
- До 14 недель беременности.
- При наличии металлических предметов, имплантированных в организм, которые нельзя извлечь. Исключения составляют титановые протезы зубов, суставов.
- Если пациент находится в возбужденном состоянии, алкогольном опьянении.
- Не соответствует требованиям томографа по весу или объему самой широкой части тела.
При обзорной томографии специальная подготовка не проводится. Важно снять все предметы из металла и не брать с собой электронные устройства. Четкость снимков напрямую зависит от отсутствия движений пациента во время исследования.
Внутри томографа включена связь с врачом. Можно разговаривать, при появлении симптомов ухудшения самочувствия нужно сказать доктору. Чаще всего дискомфорт имеет психологические причины - замкнутое пространство, шум, долгое нахождение в одной позе. Уменьшить тревожность можно, если принять легкое успокоительное средство перед исследованием.
Проведение МРТ головного мозга с контрастом
Контрастное исследование предпочтительно при подозрении на опухоли или уже установленном диагнозе, если больного проверяли раньше другими методами. Контраст, введенный в кровь, попадает в мозг и делает более заметными патологические очаги на фоне здоровых тканей. По скорости и характеру накопления контрастного вещества, границам очага врач может отличить доброкачественную опухоль от злокачественной.

Без внутривенного контрастирования С внутривенным контрастированием
Любая патология, связанная с сосудистой системой, также лучше выявляется после введения контрастного вещества. Можно увидеть:
- Атеросклеротические изменения артерий, стенозы врожденные и приобретенные любого происхождения.
- Сдавление сосудов извне опухолью, кистой, рубцовой тканью.
- Аневризмы выпячивания истонченной стенки, которые имеют высокий риск разрыва и могут привести к смерти пациента.
- Артерио-венозные мальформации патологические шунты, через которые смешиваются артериальная и венозная кровь. Из-за этого ухудшается снабжение участка мозга кислородом.
- Гемангиомы доброкачественные, гемангиосаркомы злокачественные сосудистые опухоли.
Подготовка к процедуре контрастного исследования имеет особенности:
- Нужно воздержаться от приема пищи за 6-8 часов до процедуры.
- Не назначают беременным женщинам.
- Больным с нарушением выделительной функции проводят анализ на определение скорости клубочковой фильтрации, проверяют уровень креатинина. При плохих результатах от исследования лучше отказаться.
Расшифровка снимков мозга
Врач лучевой диагностики расшифровывает полученные снимки. Заключение пишет, сравнивая каждую структуру мозга с нормой. Для правильного понимания, что происходит внутри головы, важно иметь результаты более ранних исследований или других методов. Это позволяет отследить динамику патологических процессов. Кроме снимков и заключения больной может получить информацию на диске.
Что лучше: МРТ или КТ
Оба диагностические исследования дают ценную информацию врачу. Содержимое головы изучают в виде серии снимков или трехмерного изображения. КТ основана на ионизирующем излучении (рентгеновском), поэтому ее не назначают беременным и маленьким детям. На снимках, полученных при компьютерной томографии, хорошо видны кости, отложения солей кальция на месте воспаления или опухоли, свежие очаги кровоизлияния (до 6 часов). В некоторых больницах нет магнитных томографов, назначают проведение КТ с контрастом. КТ станет методом выбора, если пациент имеет травмы черепа, симптоматику свежего геморрагического инсульта, при паразитарных кистах в мозге, очагах обызвествления.

КТ головного мозга МРТ головного мозга
В остальных случаях более информативной будет МРТ. Особенно ценная МРТ при болезнях мозжечка, стволовых структур мозга, при ишемическом инсульте, разрушении миелиновой оболочки нервов, психических болезнях. При отсутствии аппарата диагностику проводят теми методами, которые доступны, - УЗИ, рентген, КТ, ангиография, ЭЭГ, РЭГ.
Безопасность и большие диагностические возможности метода делают МРТ востребованной во многих отраслях медицины. Снимки МРТ головы облегчают диагностику для врача, а больному часто спасают жизнь и дают шанс на полное восстановление функций мозга.
МРТ при болезни Меньера

Болезнь Меньера (БМ) является хроническим заболеванием, однозначная причина возникновения которой до сих пор не установлена. Она относится к числу кохлеовестибулярных расстройств со специфическим поражением внутреннего уха. Впервые описанное в 1861 г. французским отиатром Проспером Меньером, это заболевание по сей день остается в центре внимания ученых. Существует несколько теорий развития этой патологии. Проявляется она несколькими самыми важными симптомами - головокружением и аудиосимптоматикой. Синдром Меньера встречается с частотой от 50 до 200 случаев на 100 тысяч населения, что не является достаточно большой цифрой. Это нечастая аномалия в практике врачей-неврологов.
БЕСПЛАТНАЯ
КОНСУЛЬТАЦИЯ О ДИАГНОСТИКЕ
Если сомневаетесь, запишитесь на бесплатную консультацию.
Или проконсультируйтесь по телефону
Диагностика
- характер приступов;
- есть ли сочетание приступов головокружения с аудиосимптомами;
- есть ли снижение слуха, и проявляется ли оно прежде всего на низкие частоты - то есть, на звуки низкой тональности;
- остается ли снижение слуха на довольно длительный период времени.
Головокружение при синдроме Меньера рецидивирует, то есть, повторяется раз за разом. Оно может иметь разную длительность, но в среднем продолжается от нескольких десятков минут до суток. Чуть больше у пациента может сохраняться некоторая неуверенность и дезориентация в пространстве. Также головокружение при этом заболевании часто сопровождается тошнотой и рвотой.
Если человек болен синдромом Меньера, такие симптомы, как шум в ушах и снижение слуха, мучают больного. При этом шум в ушах наиболее выражен в момент приступа. Он чаще односторонний и длится примерно столько же, сколько длится головокружение. К сожалению, при болезни Меньера снижение слуха присоединяется на постоянной основе и сопровождает человека уже всю жизнь, неуклонно прогрессируя. В 95% случаев данное заболевание приводит к значительному снижению слуха на одной стороне. Для данного недуга характерна определенная наследственная предрасположенность. Зачастую заболеванием страдают люди, у которых кто-либо из родственников имеет схожую симптоматику.
МРТ при болезни Меньера
Последние годы ознаменовались возрастанием роли лучевой диагностики в медицинской практике. Одними из лидирующих аппаратных методов диагностики является МРТ или КТ уха. Обычно при подозрении на болезнь Меньера сначала назначается МРТ головного мозга и уха. Томография головы не позволяет врачам выявить какие-либо изменения в состояния головного мозга, но она позволяет исключить такие диагнозы со сходной симптоматикой, как:
- невринома черепно-мозговых нервов
- инсульты
- опухоли мозга.
КТ при болезни Меньера
- сужение и укорочение водопровода преддверия (вплоть до отсутствия визуализации);
- сужение и высокое расположение его наружной апертуры;
- расширение и укорочение наружного полукружного канала;
- уменьшение объема задней части пирамиды височной кости - уменьшении расстояния между лабиринтом и задней гранью пирамиды и уменьшении расстояния между лабиринтом и яремной ямкой.
МР-картина болезни Меньера на МРТ
Исследование на высокопольном МРТ мощностью 1,5 Тесла с прицелом на лабиринт при болезни Меньера зачастую позволяет выявить гидропсы - расширения эндолимфатических пространств стороны лабиринта. Считается, что это расширение является причиной возникновения этой патологии. При этом в медицинской практике может встречаться расширение данной области, но не будет симптоматики болезни. Причиной приступа синдрома Меньера считается разрыв мембраны, которая отделяет перилимфу от эндолимфы. Ее разрыв приводит к смешению разнозаряженных ионов, раздражению волосковых клеток и провоцированию приступа. Дефект мембраны сам по себе закрывается, но постепенно утрачивают чувствительность к раздражениям нервные окончания волосковых клеток, что приводит к дальнейшему снижению слуха и развитию болезни Меньера.
Что показывает МРТ внутреннего уха

Если у человека появляются недомогания, выражающиеся в головокружении или головной боли, и жалобы на слух, следует обратиться к врачу. Если причины болезненных ощущений лежат в неправильном функционировании органов уха, диагностикой и лечением недуга займется врач-отоларинголог (он же ЛОР). Однако боли в ушах могут носить и сочетанный характер, например, когда развивается патология слухового нерва. В такой ситуации лечащими врачами станут и ЛОР, и невролог. Более точно определить, к какому врачу обратиться за терапией, можно по результатам МРТ уха. Так, если у пациента «заложило» ухо, МРТ уха и слухового нерва способно определить, в чем кроется причина: является ли это проявлением отита, и нужно записаться на прием к ЛОРу, или же это симптомы невриномы, и тогда надо обратиться за консультацией и к неврологу.
Что покажет МРТ уха
- невринома слухового нерва;
- разрушение костных тканей;
- наличие воспалительных процессов и новообразований в среднем и внутреннем ухе;
- повреждение ушного лабиринта;
- мастоидит; ;
- последствия отитов.
Невринома на МРТ уха
- аудиограмму - чтобы определить, какая из проводящих систем звука страдает; а.
МРТ при Болезнь Меньера
Болезнь Меньера. Симптомами болезни Меньера являются повторяющиеся головокружения, сопровождающиеся тошнотой и рвотой, появление шума в ушах и снижение слуха. По статистике этим недугом страдают 2 человека из 1000. Вестибулярный аппарат, отвечающий за равновесие человека, расположен во внутреннем ухе человека (в улитке). При болезни Меньера по причинам, пока неизвестным врачам, вестибулярный аппарат начинает перепроизводить жидкость, что приводит к водянке. Все это становится причиной сильного головокружения.
Диагностировать болезнь Меньера до недавнего времени было не очень просто, поскольку ни рентген уха, ни аудиограмма не могли дать точной информации. По МРТ головного мозга и уха выявить серьезных изменений тоже не удавалась, поскольку водянка лабиринта не была хороша видна на томограммах. Однако, с появлением сверхвысокопольных МРТ аппаратов 3 Тесла, ситуация в корне изменилась. Индукционная мощность трехтеслового томографа позволяет визуализировать эту аномалию на МРТ среднего и внутреннего уха, и не ошибиться с диагнозом болезни Меньера.
сколько стоит МРТ уха и слухового нерва
| Вид обследования (Что входит) | Цена | Цена МРТ 3 Тл | Акции и скидки |
|---|---|---|---|
| МРТ головного мозга | от 2800 руб. | от 5200 руб. | Ночью (23.00-07.00) |
| МРТ сосудов головного мозга (МР ангиография артерий головного мозга) | от 2800 руб. | от 5200 руб. | Ночью (23.00-07.00) |
| МРТ головного мозга с контрастом | от 6000 руб. | от 8200 руб. | |
| МРТ гипофиза (зоны турецкого седла, гипофиза, эпифиза) | от 2800 руб. | от 5200 руб. | Ночью (23.00-07.00) |
| МРТ гипофиза с контрастом | от 6000 руб. | от 8200 руб. | |
| МРТ глазных орбит (глазниц, глазного яблока, зрительного и глазодвигательного нерва, слезных каналов) | от 3000 руб. | от 7700 руб. | Ночью (23.00-07.00) |
| МРТ пазух носа (носа, верхнечелюстной / гайморовой пазухи, лобной пазухи, решётчатого лабиринта, клиновидной пазухи) | от 2900 руб. | от 5200 руб. | Ночью (23.00-07.00) |
| МРТ уха (внутреннего уха, слуховых нервов) | от 3200 руб. | от 7700 руб. | Ночью (23.00-07.00) |
| МРТ вен / МР венография | от 3200 руб. | от 7700 руб. | Ночью (23.00-07.00) |
| МРТ черепно-мозговых нервов | от 3200 руб. | от 7700 руб. | Ночью (23.00-07.00) |
| Введение контрастного вещества | от 3500 руб. | от 3500 руб. |
Что входит в стоимость
- Подготовка пациента
- Диагностика на томографе
- Расшифровка данных (томограмм)
- Оформление письменного заключения
- Запись снимков на носитель по выбору клиники (пленка, флешка, CD диск)
- Контрастное усиление при томографии с контрастом всегда оплачивается дополнительно, исходя из веса пациента.
- Варианты оборудования, установленного в наших центрах: компьютерные томографы 16 срезов, 32 срезов, 64 срезов, 124 срезов, 160 срезов, магнитно-резонансные томографы открытого типа 0.4Т, полуоткрытого типа 1.5Т, закрытого типа 1.5Т, полузакрытого типа 1.5Т закрытого типа 3.0Т
Показания к томографии внутреннего уха
- болезненные ощущения во внутреннем ухе;
- внутри уха чувствуется постоянный зуд;
- вытекание жидкости из ушных раковин;
- потеря слуха;
- частое головокружение.
МРТ при шуме в ушах
Еще МРТ назначается при шуме в ушах, нарушении тонуса мышц лица, появлении проблем с равновесием. Даже самые неявные недомогания в области уха могут свидетельствовать о серьезных аномалиях внутреннего уха, а также отклонениях в работе головного мозга, проблемах в шейном отделе позвоночника и кровеносных сосудах. Для того, чтобы выявить первопричину болевого синдрома, пациенту и рекомендуют сделать МРТ уха при шуме в ушах. Это исследование хорошо тем, что показывает всевозможные отклонения на любом этапе развития патологии и дает специалистам полную информацию для постановки безошибочного диагноза. Также томографию назначают тем больным, которым предстоит перенести операцию на ухе или проверить состояние органа в послеоперационный период.
Как делают МРТ обследования уха
Пациенту, получившему направление от своего лечащего врача, следует обратиться в диагностический центр, оснащенный томографом. МРТ-аппарат диагностирует организм при помощи сильнейшего магнитного поля. Для этого обследуемого помещают в установку и сканируют область головы и уха. Полученные снимки отображают все зоны уха и прилегающие к ним структуры головного мозга. Следует сразу пояснить, что для МРТ уха не существует какого-либо особого программного протокола. Это исследование проводится так же, как и МРТ головы. Делаются те же самые сканы, просто в ходе обследования врач-рентгенолог больше фокусирует внимание на зону, относящуюся к уху.
Зачастую, для более четкого видения картины, МРТ уха и головного мозга проводят с контрастом. Такая процедура сопровождается введением в тело пациента через вену специального вещества. Благодаря тому, что оно «подсвечивает» даже самые мельчайшие сосуды и особым образом распределяется в тканях, специалист может внимательно рассмотреть весь слуховой орган и оценить патологии слухового нерва.
Томографическая диагностика головного мозга и уха длиться примерно около двадцати минут. Если же в процессе исследования используют контраст, тогда длительность процедуры может увеличиться в два раза. Томография уха не требует особой подготовки. Пациенту перед помещением в аппарат нужно будет убрать все металлические детали гардероба. К ним относятся: очки, часы, одежда с металлическими элементами, всевозможные украшения. Также придется снять зубные протезы и оставить в комнате для подготовки к исследованию все электронные устройства. По итогам диагностики пациенту выдадут МРТ снимки, записанные на цифровой носитель, заключение врача-рентгенолога и рекомендации по дальнейшим шагам.
Противопоказания
Томографию можно назначать людям любого возраста. В группу ограничения входят лишь люди, у которых в теле есть металлические импланты, электронные устройства, включая несъемные слуховые аппараты, инсулиновые помпы. Если у Вас есть металл в теле, вопросы, касающиеся возможности прохождения магнитно-резонансной томографии, следует обсудить со своим доктором. Не каждый металл магнитится, а значит будет противопоказанием к томографии. Все зависит от сплава, который был использован. Врач, посмотрев медицинскую документацию, сможет ответить, возможно ли проведение МРТ уха в Вашем случае.
Читайте также:
