Магнитно-резонансная томография (МРТ) в диагностике стадии рака - возможности
Добавил пользователь Владимир З. Обновлено: 22.11.2025
«Посмотреть с головы до пят». Как бы вы представили себе такое обследование?
Как оказалось, это не фантастика, а вполне посильная задача для такого метода, как магнитно-резонансная томография. Теперь сделать такой чек-ап - просканировать свой организм «от головы до пят» можно и во многих диагностических центрах «МРТ Эксперт».
Что может показать МРТ всего тела? На этот и другие вопросы мы попросили ответить главного врача ООО «МРТ Эксперт Елец» Тулинова Владимира Владимировича.
- Владимир Владимирович, давайте вначале напомним нашим читателям, что представляет собой метод МРТ и на каком принципе он основан?
Магнитно-резонансная томография - это высокотехнологичный способ диагностики, в основе которого находится метод магнитного резонанса. Что он представляет собой по сути? В любой клетке организма имеются атомы водорода. При помещении тела в магнитное поле, ядра этих атомов колеблются, генерируя сигналы с определенными характеристиками. Эти сигналы преобразуются аппаратом и программным комплексом МРТ в изображения, которые и видит врач. Поскольку количество атомов водорода в тканях различно, то, соответственно, и изображения тканей и органов будут визуально отличаться.
- Верно ли, что гораздо чаще пациенты приходят за тем, чтобы провести МРТ-исследование одной области организма? Если это так, в каких случаях может быть целесообразным проведение МРТ всего организма?
Статистически да, люди чаще обращаются для обследования одной области. Это можно объяснить тем, что нередко человек приходит к нам по направлению лечащего врача, у которого уже могут быть какие-то диагностические предположения и они могут быть связаны с конкретными органами и системами.
Если же жалобы человека достаточно «размытые», он не может точно сказать, что и где конкретно его беспокоит или болит, то в таких случаях МРТ всего тела может помочь внести ясность.
Кроме того, такое расширенное исследование может быть целесообразно при системных заболеваниях (например, при болезни Бехтерева), когда поражается несколько анатомических областей, или при поиске метастазов опухоли, когда точно неизвестно, в каких именно органах они есть.
Помимо собственно медицинских показаний, полное МРТ может использоваться в качестве профилактического обследования для обнаружения заболеваний на ранних, часто бессимптомно протекающих стадиях. Преимущество метода в том, что он позволяет за одно диагностическое исследование посмотреть все внутренние органы и системы.
- А какие конкретно области исследуются при МРТ всего тела?
Это головной мозг с его артериями, все отделы позвоночника (шейный, грудной, поясничный и крестцово-копчиковый), мягкие ткани шеи, органы брюшной полости, забрюшинного пространства и малого таза.
- Магнитно-резонансная томография не оказывает лучевой нагрузки и безопасна для организма. МРТ всего тела - не исключение? Или существуют какие-то отличия в этом плане от исследования одной области?
Нет, в плане безопасности отличий нет. На организм пациента, проходящего такой чек-ап, нет никакой лучевой нагрузки.
- Владимир Владимирович, расскажите, пожалуйста, как правильно подготовиться к этому исследованию?
Никаких принципиальных особенностей не существует. Однако с учетом того, что при МРТ всего тела врач обследует, среди прочего, брюшную полость и малый таз, то соблюдаются рекомендации по подготовке к исследованию, в частности, этих областей.
- последний прием пищи - за 4 часа до исследования;
- за 2 часа до исследования назначается но-шпа или дротаверин (дозировку подбирает врач);
- за 30 минут до исследования или непосредственно перед ним необходимо выпить стакан чистой негазированной воды. Это можно, кроме того, сделать по договоренности с врачом во время «переменки», если процедура делается с перерывом.
- Как и насколько долго проводится МРТ всего тела?
Она ничем не отличается от МРТ одной области, т.е. пациента укладывают на стол аппарата и проводят исследование.
Сама процедура длится 1 час 45 минут. При этом нужно понимать, что совсем необязательно лежать все это время без перерыва, поскольку физически это достаточно трудно. В связи с этим процедуру можно провести с перерывом, технически это вполне осуществимо.
- Существуют ли какие-то особые противопоказания к МРТ всего тела? Или это только общеизвестные противопоказания к МРТ вообще?
Противопоказаний немного, назову некоторые из них:
- искусственный водитель ритма, кардиостимулятор, нейростимулятор;
- протезы клапанов сердца, за исключением протезов, разрешенных при МРТ-диагностике;
- боязнь замкнутого пространства (истинная клаустрофобия, гораздо чаще встречается надуманная - человек полагает, что у него есть такие трудности);
- первый триместр беременности;
- необходимость в непрерывном мониторинге жизненно важных физиологических показателей (например, артериального давления, частоты дыхания, электрокардиограммы) и/или в непрерывном проведении реанимационных мероприятий.
Особо хотел бы сказать об актуальности боязни замкнутого пространства (клаустрофобии), поскольку обследование достаточно длительное. Если у человека есть такая проблема, то рекомендуется консультация с его лечащим врачом для решения вопроса о возможности обследования. Но во многих случаях возникновения страха перед МРТ-обследованием, мы всегда готовы помочь.
Тулинов Владимир Владимирович
Выпускник лечебного факультета Рязанского государственного медицинского университета им. академика И.П. Павлова 2010 года.
В 2011 году окончил интернатуру на базе Курского государственного медицинского университета по специальности «Рентгенология».
Практикующий врач МРТ-диагностики, член Ассоциации врачей МРТ-диагностики.
Рак на МРТ
Еще недавно диагноз рак звучал как приговор для больного. Наука развивается и для любой стадии онкологического процесса детально разработаны схемы лечения. В них используют консервативные методы, лучевую терапию, химиотерапию, хирургическое лечение. Эффективность этих мер во многом зависит от стадии, на которой удалось обнаружить патологию. На 1, 2 стадии большинство опухолей можно излечить. При операции удаляют только патологический очаг, весь орган остается в рабочем состоянии. Этого практически нельзя добиться в запущенных случаях: удалять приходится весь орган, иногда с близлежащими тканями, регионарными лимфоузлами. Иногда операция вообще не рекомендована, так как раковый процесс поразил слишком много тканей в организме, развились множественные метастазы.
Все это говорит об огромной роли в исходе заболевания, на котором впервые обнаружена опухоль. Магнитно-резонансная томография при онкологии - главный помощник в диагностике.
МРТ - как раз то исследование, которое справляется с ранним выявлением любых опухолей. Исключение составляют онкологические процессы в легких и костях, так как эти органы плохо визуализируются на МРТ. В таких случаях проводят КТ.
Может ли МРТ определить рак, зависит еще от напряженности магнитного поля, которое создает томограф. При подозрении на онкологию рекомендуют проводить томографию на аппаратах от 1,5 Тесла и выше. Это улучшает качество изображений, различия между здоровыми тканями и опухолью сильнее проявляются, выше точность диагностики и меньше риск ошибки.
Показывает ли МРТ онкологию, определяется и прицельностью исследования. Когда врач выписывает направление, он указывает предположительный диагноз. Специалист лучевой диагностики внимательно изучает область, в которой предполагается нахождение опухоли. Можно выполнять МРТ в разных плоскостях, вводить внутривенно контраст. Все это повышает информативность исследования.

МРТ малого таза в корональной плоскости. Вдоль левой боковой стенки мочевого пузыря отмечается объемное образование, с неровными бугристыми контурами, инфильтрирующее мышечную стенку мочевого пузыря, без распространения за пределы органа. Определяются МР-признаки вторичного поражения (метастазы) левой подвздошной и седалищной костей.
Может ли МРТ определить рак?
Опухолевый процесс - рост новообразования, которое отличается от нормальных тканей клеточным составом. Доброкачественные опухоли менее опасны, у них медленнее рост, они отодвигают соседние ткани, не разрушая их, имеют капсулу, не оказывают токсического воздействия на организм. Кровоснабжение их практически не отличается от нормальных тканей. Даже они могут быть опасными для здоровья и жизни, если находятся рядом с жизненно важными органами или имеют большой размер. Они сдавливают нормальную ткань, ухудшают кровоснабжение и функцию органа.
Злокачественные опухоли характеризуются агрессивным ростом: они врастают в здоровый орган, разрушают его клетки, оказывают значительный токсический эффект и вызывают истощение организма. При удалении их нельзя убрать, не затронув орган, приходится удалять все ткани, которые успели повредиться в результате злокачественного роста.
Эти процессы хорошо определяются на МРТ. Это обследование с большой степенью вероятности может отличить рак, то есть злокачественный процесс, от доброкачественной опухоли.
Рак при томографии выглядит определенным образом:
- Очаг имеет неровные, нечеткие контуры.
- Перифокальный отек за счет вовлечения соседних здоровых тканей.
- Неоднородность структуры очага. Имеются места большего и меньшего уплотнения, так как внутри опухоли имеются участки некроза, обызвествления, кровоизлияния из-за разъедания стенок кровеносных сосудов.
- Помимо первичного очага характерно определение участков метастатического поражения. Их можно увидеть в лимфатических узлах и отдаленных органах.
- На снимках МРТ с контрастом при раке в очаге определяется развитая сеть мелких сосудов, причем строение их атипично, отличается от нормальных сосудов. Чаще всего они сильно ветвятся, образуют «клубок нитей» в области рака.

МРТ малого таза, аксиальная плоскость. Объемные кистозно-солидные образования яичников с четкими и неровными контурами, неправильно овальной формы.
МРТ покажет опухоль позвоночника, спинного и головного мозга, средостения, органов брюшной полости, малого таза. Для уточнения локализации опухоли в позвоночнике лечащий врач указывает, какую область необходимо обследовать: шейный, грудной, поясничный и крестцовый отдел. МРТ выявит и образования системы крови. Можно детально изучить любые образования на лице, спине, конечностях, состояние молочной железы.

МРТ шейного отдела позвоночника в сагиттальной и аксиальной плоскостях. На уровне С2-С3 позвонков отмечается экстрамедуллярное образование, распространяющееся в правое межпозвонковое отверстие, неправильной формы, неоднородной кистозно-солидной структуры. МР-сигнал от спинного мозга не изменен, спинной мозг компремирован и смещен влево.
Можно ли делать МРТ при онкологии?
Для проведения МРТ онкология не является противопоказанием. Это исследование не оказывает лучевой нагрузки, так как рентгеновские лучи не используются. Нахождение в магнитном поле безвредно для организма (если только в теле нет предметов из металла). Из осторожности не проводят МРТ на ранних сроках беременности. Так как при подозрении на опухоль часто вводят контрастное вещество для улучшения визуализации опухоли, следует учитывать противопоказания к введению контраста. Это:
- Аллергические реакции на гадолиний, что бывает чрезвычайно редко.
- Тяжелая патология почек с нарушением выделительной функции.
- Беременность.
МРТ патологической зоны можно делать неограниченное количество раз без вреда для организма. Исследование делают:
- При наличии предраковых болезней. Это группа заболеваний, которые имеют высокий риск злокачественного перерождения. Чтобы не пропустить опасный момент, людям из группы повышенного риска нужно проходить профилактический осмотр с периодичностью, которую укажет врач.
- Перед операцией для качественного планирования и осуществления хирургического вмешательства.
- После операции для контроля, весь ли очаг полностью удален или остались малейшие подозрительные ткани опухоли.
- Для мониторинга за развитием опухоли. Если ее нельзя оперировать (вблизи жизненно важных органов), наблюдают, как она меняется со временем. При активизации процесса усиливают лечение, меняют тактику.
- При подозрении на опухоль.
Как на МРТ выглядит рак?
Если врач подозревает у пациента опухоль, он направит его на магнитно-резонансное томографическое исследование. Картина на снимках МРТ при онкологии влияет на выбор лечения, прогноз для жизни и выздоровления, показывает анатомические изменения тканей от 1 мм.
При наличии опухоли на снимках будет видно очаг другой интенсивности МР-сигнала, так как его структура изменена по сравнению со здоровыми тканями. МРТ при раке позволяет определить точную локализацию этого очага, его размеры, строение (врач видит, есть ли в составе опухоли кисты, жидкость, кальцинаты, очаги фиброза, оссификации, некроз). Ответ на вопрос, показывает ли МРТ рак, неоднозначный: он выявляет очаг, который имеет признаки доброкачественного или злокачественного роста, позволяет его подробно охарактеризовать. Диагноз рак можно верифицировать только после биопсии.
Магнитно-резонансная томография дает очень ценную информацию врачу. Расшифровка снимка МРТ в совокупности с клиническими данными, лабораторными и инструментальными методами исследования помогает поставить диагноз, распознать опухоль на ранних стадиях.
Окончательное подтверждение диагноза - результаты гистологического исследования, они ставят точку в диагностике (под микроскопом определяют тип опухоли, строение, характер роста). Не всегда возможно сделать биопсию до операции. Иногда это происходит уже после удаления опухоли, когда на биопсию отправляют ее часть. В таких случаях МРТ при раке особенно ценно, так как помогает определиться с объемом вмешательства.
Узнайте вовремя об опасной болезни, тогда лечить ее проще, быстрее, дешевле, а главное эффективнее.
МРТ поможет вовремя обнаружить рак
По данным статистики, за последние 10 лет в России заболеваемость раком выросла в 1,5 раза. Более 2,6 млн больных находятся на учете в онкологических учреждениях, около 300 тысяч ежегодно умирают по причине этого заболевания.
Характерная особенность российских онкологических пациентов - крайняя запущенность заболевания, когда шансы на излечение намного меньше, чем могли бы быть. У более 60% больных в нашей стране рак выявляется на III-IV стадии, и эти данные, к сожалению, на практике подтверждаются специалистами медицинских центров «МРТ Эксперт».
Поэтому сегодня в современной онкологии ранней диагностике стало уделяться пристальное внимание. Ведь зачастую это значительно повышает шансы на выздоровление и спасение жизни пациентов.
И на помощь специалистам здесь приходит современная и высокоточная методика магнитно-резонансного сканирования, которая позволяет выявить онкологические заболевания уже на I стадии, то есть обнаружить новообразования на ранних этапах роста и диагностировать рак до формирования метастазов благодаря высокой разрешающей способности оборудования. Поэтому, в отличие от УЗИ, МРТ имеет более высокую информативность и достоверность, близкую к гистологическим исследованиям.
Для чего используют МРТ в онкологии? Появление этого метода открыло новые возможности в диагностике заболевания на ранних стадиях. Во время первичного обследования при обнаружении образования вводится контраст, что позволяет на основе типа, скорости накопления и выведения контрастного препарата образованием, более точным измерением его размеров и распространенности, сделать предварительное заключение о его природе.
МРТ с контрастом также используется врачами для наблюдения за новообразованиями и уточнения эффективности проводимого лечения. Магнитное поле не провоцирует рост опухолей, поэтому обследование является безопасным для организма, и пациент может обследоваться столько раз, сколько нужно, например, для наблюдения за опухолью в динамике.
МРТ позволяет обследовать практически любые органы (так, для исследований легких лучше подходит КТ). Особенно актуален этот метод для проверки центральной нервной системы (головной и спинной мозг), а также для диагностики печени, почек, органов малого таза: предстательной железы, яичников, матки и мочевого пузыря. В практике наших специалистов был случай, когда пациент пришел на МРТ позвоночника с жалобами на боли в спине. Во время проведения процедуры в область границы исследования попало образование почки, вызвавшее настороженность у специалиста, проводившего диагностику. Пациенту рекомендовали пройти дополнительные исследования этой области. В результате была обнаружена доброкачественная опухоль, которая была успешно прооперирована.
Во время еще одного обследования клиентки с онкологическим заболеванием почек большую роль сыграло МРТ с контрастом. Пациентка готовилась к плановой операции. И во время исследования наши специалисты выявили на очень ограниченном участке прорастание опухоли за пределы капсулы почки. Этот факт позволил онкологу пересмотреть стадию заболевания и провести оперативное вмешательство в более короткие сроки. Стадия подтвердилась. Поэтому скорость реагирования при онкологических заболеваниях играет огромную роль, поскольку повышает шансы на благоприятный отдаленный прогноз.
Для прохождения МРТ не требуется специальное направление врача. Поэтому каждый человек может самостоятельно пройти диагностику при определенных сомнениях в состоянии своего здоровья или предрасположенности к тому или иному заболеванию.
Показывает ли МРТ онкологию
Все клиники сети ЦМРТ оснащены современным высокоточным оборудованием. МРТ и другие виды диагностики проводят опытные и квалифицированные специалисты.
Консультация специалиста после диагностики со скидкой 50%.

Магнитно-резонансная томография играет важную роль в обнаружении опухолевых процессов различной локализации. Высокая детализация внутренних структур позволяет выявить рак на ранней стадии, что важно для прогноза. Лечением опухолевой патологии занимается онколог.
Можно ли на МРТ увидеть рак? Магнитно-резонансное сканирование особенно эффективно при обнаружении некоторых типов опухолей головного и спинного мозга, первичных новообразований костей, сарком мягких тканей. При раке шейки матки, мочевого пузыря МР-исследование лучше, чем КТ показывает, насколько глубоко новообразование проникло в соседние структуры, является ли ткань опухолевой или рубцовой.
Рассказывает специалист ЦМРТ
Дата публикации: 10 Ноября 2021 года
Дата проверки: 30 Ноября 2021 года
Содержание статьи
Показывает ли МРТ рак?
Пациенту с подозрением на онкологический процесс МРТ назначают в качестве первичной диагностики, для определения стадии рака, измерения кровотока. Результаты сканирования помогают онкологам планировать лечение — например, хирургическое вмешательство или лучевую терапию, своевременно выявить рецидив: продолженный рост опухоли, метастазирование.
"МРТ — высокочувствительный метод, основанный на анатомической и функциональной информации, поэтому он часто выявляет злокачественные изменения, которые не проявляются в клинических тестах или плохо определяются другими методами визуализации. Таким образом, МРТ является лучшим инструментом для обнаружения и оценки опухоли на начальной стадии заболевания."
Marcos Fernando de Lima Docema, Paulo Aguirre Costa, Felipe Eduardo Martins de Andrade etc. Magnetic resonance imaging-guided occult breast lesion localization and simultaneous sentinel lymph node mapping. World Journal of Surgical Oncology, №12, 2014
Как выглядит злокачественная опухоль на МРТ
По снимкам можно предположить зло- или доброкачественный потенциал новообразования, окончательная верификация диагноза подразумевает биопсию. Косвенные признаки, свидетельствующие об озлокачествлении:
- размытость контура, отсутствие визуализации четкой границы между опухолью и соседними тканями
- неоднородность структуры: очаги некроза, множественные кисты, отложение кальция и пр
- избыточное развитие сосудистой сети, множественные анастомозы, явная задержка контрастного вещества
- перифокальный отек в виде размытого ореола вокруг очагового образования, зоны некроза (омертвения)
- пораженные лимфатические узлы — опухолевая лимфаденопатия
Как выглядят метастазы на МРТ
Видны ли метастазы на МРТ, зависит от их размеров: МР-изображения показывают очаги более 1,5-2 мм, меньшие отсевы опухоли обнаруживает ПЭТ-КТ.
На снимках метастазы выглядят, как очаговые неоднородные образования, единичные или множественные, с тенденцией к слиянию, может присутствовать зона некротизации. Пораженный лимфатический узел чаще округлой формы, увеличен в размерах. Для лучшей визуализации используют контрастное вещество на основе солей гадолиния.
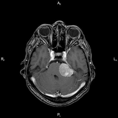
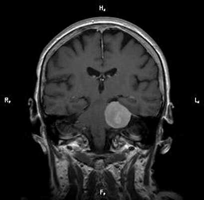
Пациент Р. 62 лет
Проблема: жалобы на частые головные боли, снижение слуха (левое ухо), а также шум в ушах (больше слева). Пациент был направлен на МРТ головного мозга в ЦМРТ с целью уточнения диагноза.
Диагноз: Онкология. Менингиома мосто-мозжечкового угла
Врач ЦМРТ
При МРТ головного мозга в левом мосто-мозжечковом углу определялось больших размеров округлой формы внемозговое патологическое образование, с четкими ровными контурами, широким основанием, прилежащее к твердой мозговой оболочке. После внутривенного контрастирования отмечалось равномерное, выраженное усиление интенсивности МР-сигнала от вышеописанного образования, а также твердой мозговой оболочки. Пациенту был поставлен диагноз (менингиома левого мосто-мозжечкового угла).


Какая МРТ покажет онкологию?
Для получения диагностически ценных результатов необходимо пройти обследование на оборудовании экспертного класса с напряженностью магнитного поля 1,5-3,0 Тесла. Наиболее информативна — мультипараметрическая МРТ. Если нет противопоказаний — аллергии на гадолиний, продвинутой стадии почечной недостаточности — магнитно-резонансную томографию в онкологической практике выполняют с контрастированием.
Особенности проведения МРТ при онкологии
Диагностическая процедура безболезненна и обычно длится 30-60 минут, в зависимости от области интереса. Особенной подготовки не требуется. Важно информировать врача о перенесенных операциях, установленном оборудовании: кардио-, мио-, нейростимуляторах, постоянных протезах, помпах для подачи лекарств, металлических имплантатах и пр.
Не забудьте взять с собой результаты ранее выполненных исследований, выписки из стационара, заключение онкоконсилиума.
Описание МРТ- снимка в ЦМРТ
В сети клиник ЦМРТ при неоднозначных результатах магнитно-резонансной томографии можно получить услугу “Второе мнение”: сделанные ранее снимки опишет опытный рентгенолог без учета имеющегося заключения. Мера позволяет уточнить диагноз. В сложных случаях данные анализируют коллегиально.
Что показывает МРТ

Магнитно-резонансная томография — высокоинформативный метод диагностики, используемый также в сложных или спорных клинических случаях, для отслеживания динамики прогрессирования болезни или эффективности терапии. Опираясь на результат, что показывает МРТ, врачи без применения инвазивных методов выявляют заболевание или нарушение, ставят диагноз даже на ранней стадии развития патологического процесса.
Что становится видно на МРТ? Исследование дает серию четких детализированных снимков области интереса специалиста. Диагностику применяют для выявления аномалий развития, повреждений разного характера, воспалительных или опухолевых очагов мягких тканей и внутренних органов, суставов, головного и спинного мозга.
Дата публикации: 07 Июля 2022 года
Дата проверки: 11 Июля 2022 года
В каких случаях назначают МРТ
МРТ — что это за обследование, в каких клинических ситуациях его назначают:
- для определения заболевания, постановки или подтверждения первичного диагноза
- в рамках комплексного медицинского обследования состояния организма
- в пред- и пост- операционном периоде
- для мониторинга эффективности проводимой терапии
Магнитно-резонансную томографию применяют также в онкопоиске. Визуализация выявляет локализацию, размеры новообразований, их характер, что незаменимо в дифференциальной диагностике.
Высокая точность результатов помогает обнаружить патологии гипофиза и турецкого седла. Что дает специалисту МРТ с контрастным усилением? Обследование покажет на начальной стадии признаки демиелинизирующих заболеваний, например, болезни Паркинсона или рассеянного склероза. Установленный диагноз помогает во время приступить к поддерживающей терапии.
МР-исследование позвоночника — высокоточный диагностический метод, позволяющий детально оценить состояние межпозвонковых дисков, выявить протрузии, грыжи. Неврологи, вертебрологи и ортопеды назначают МР-сканирование для составления актуального плана лечения.
Магнитно-резонансная томография позволяет обнаружить и отследить развитие врожденных и приобретенных патологий, последствий травм, эффективность консервативного и хирургического лечения.
Противопоказания к магнитно-резонансной томографии
Что такое МРТ в современной медицине, есть ли противопоказания к проведению сканирования? Абсолютными противопоказаниями считают:
- активные устройства в теле пациента — кардиостимулятор, инсулиновая помпа, протез внутреннего уха
- наличие ферромагнитных имплантатов, сосудистых клипс, пуль, металлических осколков или стружек в близости к важным органам или крупным сосудам
- тяжелое состояние пациента
- первые три месяца беременности
- психические расстройства или состояние делирия, сопряженные с риском неадекватного поведения
- клаустрофобия
- сильный болевой синдром
- масса тела свыше 120 кг
При внутривенном усилении контрастом противопоказаниями будут наличие аллергии на компоненты контрастных препаратов, тяжелая форма астмы и превышение показателей уровня креатинина и мочевины в лабораторных анализах крови.
Преимущества МРТ
- отсутствие лучевой нагрузки на организм, возможность многократного проведения процедуры, как того требует врачебная необходимость
- высокая точность результатов, минимизация риска ошибки в постановке диагноза
- полная безопасность при отсутствии противопоказаний
Расшифровка результатов исследования
Анализ полученных снимков и описание результатов проводит врач-рентгенолог сразу после обследования. Все обнаруженные патологические изменения, что определяет МРТ, вносят в заключение, которое отдают пациенту вместе со снимком.
Стоит отметить, что рентгенолог не ставит диагноз. Полученное заключение пациент передает лечащему врачу, который и занимается постановкой диагноза, а также может назначить дополнительное обследование.
Что МРТ не сможет показать
Магнитно-резонансная томография уступает компьютерной в обследовании костей, полых органов, легких и средостения.
Читайте также:
- КТ, МРТ при врожденной холестеатоме вершины пирамиды височной кости
- Количество параметров при проведении скринингового исследования.
- Формулы для определения срока беременности. Формула Жорданиа. Формула Скульского.
- Варикоз конъюнктивы: признаки, гистология, лечение, прогноз
- Флегмона кишечника у детей. Язвенная болезнь детей
