Метод фиксации центральной окклюзии гипсом. Техника фиксации центральной окклюзии гипсом.
Добавил пользователь Евгений Кузнецов Обновлено: 13.12.2025
МОСТОВИДНЫМИ ПРОТЕЗАМИ. ПРИПАСОВКА ИСКУССТВЕННЫХ ШТАМПОВАННЫХ ОПОРНЫХ КОРОНОК И ПОЛУЧЕНИЕ ОТТИСКОВ.
II. Продолжительность занятия: 3 уч. часа.
III. Учебная цель.
Научиться определять центральную окклюзию при фиксированной высоте прикуса, ознакомить с возможными ошибками при этом и способами их устранения. Научить студентов припасовке коронок и получению оттисков гипсом при изготовлении промежуточной части мостовидного протеза.
Характер и объем учебной работы вне сетки расписания
1. Вопросы для контроля (самоконтроля) результатов усвоения учебного материала:
- Особенности определения центральной окклюзии при 1-2 группах дефектов зубных рядов (по Бетельману).
- Клинические приемы установления горизонтального (мезиодистального) положения нижней челюсти.
- Методы фиксации центральной окклюзии. Возможные ошибки при определении центральной окклюзии и способы их устранения.
- Методика проверки (припасовки) опорных коронок и получение оттисков гипсом с припасованными коронками.
2. УИРС. Схематические зарисовки, конспектирование:
- Требования, предъявляемые к прикусным шаблонам.
- Особенности клинических этапов изготовления мостовидных протезов из драгоценных металлов.
3. Практические навыки:
- Определить центральную окклюзию при 1-2 группе дефектов зубных рядов.
- Зафиксировать центральную окклюзию при 1-2 группе дефектов зубных рядов.
- Припасовать опорные коронки при изготовлении мостовидного протеза.
- Получить оттиск гипсом для изготовления промежуточной части мостовидного протеза.
- Физические и технологические свойства драгоценных сплавов, которые используются для изготовления несъемных протезов.
- Рефлексы жевательного аппарата.
- Группы дефектов зубных рядов для определения центральной окклюзии (по А.И. Бетельману).
5. Литература, рекомендуемая для самоподготовки:
- Аболмасов Н.Г., Аболмасов Н.Н. и др. Ортопедическая стоматология. СГМА, 2000. - 576 с.
- Щербаков А.С., Гаврилов Е.И., Трезубов В.Н., Жулев Е.Н. Ортопедическая стоматология. Учебник СПб 1997. - 261-263, 192-195.
- Ортопедическая стоматология: Учебник /Е.И. Гаврилов, А.С. Щербаков. М.: Медицина, 1984. - с. 120, 200-210, 267-269, 371-372.
- Криштаб С.И. Ортопедическая стоматология К., 1986, с. 152-154,69-70.
- Ортопедическая стоматология под ред. Копейкина В.Н., М., 1988, с. 192-206.
- Стоматология: Руководство к практическим занятиям. Боровский Е.В., Копейкин В.Н., Колесов А.А., Шаргородский А.Г. М., 1987, с. 342-345.
- Копейкин В.Н., Демнер Л.М. Зубопротезная техника. М., 1983, с. 209-211.
- Дойников А.М., Синицин В.Д. Зуботехническое материаловедение. М.: Медицина, 1986, - с. 37-39, 41-42, 90-91.
1. Руководство по ортопедической стоматологии. Под ред. Копейкина. - М.: Медицина,
2. Е.Н.Жулев. Несъемные протезы. Теория, клиника и лабораторная техника.
Н.Новгород. 1995, с. 312-327.
3. Руководство по ортопедической стоматологии. Под ред. А.И. Евдокимова. М.:
4. Погодин В.С., Пономарева В.А. Руководство для зубных техников М.: Медицина,
1983, с. 39-46, 49-53.
5. Бушан М.Г., Каламкаров К.А. Осложнения при зубном протезировании и их
профилактика. - Кишинев, 1983.- с. 116-118.
Содержание темы
При рассмотрении вопроса о группах дефектов при определении центральной окклюзии необходимо обратить внимание на то, что ортопед-стоматолог должен изготовить зубной протез, чтобы он удовлетворял больного в эстетическом и функциональном отношении. На пути к достижению этой цели очень важным этапом является определение центральной окклюзии, потому что любой зубной протез (вкладка, коронка, мостовидный протез, штифтовый зуб, и т.д.) должен готовиться с учетом смыкания естественных зубов-антагонистов в положении центральной окклюзии. Изготовление протезов без учета этого приводит к тому, что больной не сможет пользоваться изготовленным протезом и его приходится переделывать. Вот почему всегда рекомендуется снимать оттиск с обеих челюстей для изготовления коронок мостовидных протезов. Это позволяет не только учитывать зубному технику форму симметричного зуба с противоположной стороны челюсти, но характер смыкания зубов-антагонистов.
Врач и зубной техник при изготовлении несъемных протезов сталкиваются с различными вариантами дефектов зубных рядов. А.И. Бетельман при определении центральной окклюзии условно разделил соотношение челюстей с дефектами зубных рядов на 4 группы.
Для первой группы характерно наличие в полости рта по крайней мере не менее 3-х пар антагонирующих зубов. В этом случае зубы на верхней и нижней челюсти должны быть расположены так, чтобы можно было сопоставить модели, не пользуясь шаблонами с прикусными валиками. Для этого необходимо, чтобы артикулирующие пары зубов были как на левой, так и на правой стороне зубных рядов в области боковых зубов, так и в переднем участке.
Вторая группа характеризуется наличием только одной или нескольких пар антагонирующих зубов, но модели, несмотря на большое количество зубов, не могут быть правильно сложены без восковых базисов с прикусными валиками.
К третьей группе относятся такие дефекты, при которых в полости рта имеются зубы, но нет ни одной антагонирующей пары.
К четвертой группе дефектов относится случай с полным отсутствием зубов на обеих челюстях.
При первой группе дефектов центральная окклюзия в клинике не определяется, а зубной техник составляет модели, ориентируясь по притертым площадкам (артикуляционным фасеткам) на окклюзионной поверхности зубов и гипсует в окклюдатор или артикулятор.
При второй группе определяется центральная окклюзия с помощью восковых базисов с прикусными валиками. С этой целью припасовывают валики так, чтобы антагонирующие зубы, остающиеся в полости рта, могли сомкнуться полностью в состоянии центральной окклюзии. Затем сильно нагревают полоску воска, приклеивают ее к прикусным валикам и предлагают больному сомкнуть зубы в положении центральной окклюзии. На прикусных валиках образуются отпечатки зубов, не имеющих антагонистов и благодаря этому при перенесении их на модели, последние легко сопоставляются в положении центральной окклюзии. Если оставшиеся во рту зубы расположены на одной стороне, а на другой - зубов нет, то для правильного сопоставления окклюзионных (прикусных) валиков, делают на одном из валиков клиновидные нарезки. Эти нарезки оставляют отпечатки на другом валике, к которому приклеивают разогретую восковую пластинку. Для того, чтобы больной не сдвинул нижнюю челюсть при смыкании челюстей с прикусными шаблонами, предложены различные пробы во время определения горизонтального расположения зубов.
Одни авторы предлагают больному запрокидывать голову назад, так как при таком положении напряжение мышц шеи препятствует выдвижению нижней челюсти вперед, другие - рекомендуют сомкнуть челюсти во время глотания.
Существует метод закрывания рта во время касания кончиком языка мягкого неба, прикусывания боковыми участками зубных рядов пальцев врача, которые во время прикусывания убираются в стороны.
А.И. Бетельман рекомендует определять правильное смыкание челюстей следующим образом.
Фиксируя левой рукой восковые шаблоны на челюстях, предлагают больному немного прикрыть рот и переместить кончик языка кверху и кзади. Потом накладывают правую руку на подбородок больного и предлагают ему поднимать нижнюю челюсть до плотного смыкания валиков. Этим только контролируют, но не направляют движение нижней челюсти. Затем вынимают шаблон из полости рта, опускают их в холодную воду, а потом опять вводят в рот. Так поступают несколько раз для проверки смыкания челюстей. Одновременно проверяют плотность смыкания валиков. Для этой цели в толщу валика вводят с наружной стороны шпатель и, стараясь сдвинуть им валик в межальвеолярном направлении, проверяют плотность прилегания верхнего валика к нижнему. Отсутствие колебаний валика свидетельствует о плотном их смыкании.
Во время определения центральной окклюзии при I и II групп дефектов зубных рядов возможны чаще всего ошибки неправильного определения медио-дистаного положения нижней челюсти (передняя или боковые окклюзии). Это вызвано тем, что отсутствие зубов на одной из сторон приводит к рефлекторному сдвигу нижней челюсти в сторону антагонирующих естественных зубов. При завышении высоты прикуса на валиках зубы-антагонисты не смыкаются.
В практическом здравоохранении существует метод определения центральной окклюзии с помощью гипсоблоков (А.И. Гольдман, Г.И. Сидоренко), заключается он в следующем. После снятия оттисков с обеих челюстей при наличии зубов-антагонистов нужно область дефекта зубного ряда заполнить гипсом и попросить больного сомкнуть челюсти до смыкания оставшихся зубов. Когда гипс затвердеет, больной открывает рот и гипсоблоки извлекаются. С помощью гипсоблоков зубной техник может сопоставить модели в положении центральной окклюзии.
После определения центральной окклюзии зубной техник сопоставляет модели, фиксирует их в таком положении с помощью палочек и кипящего воска и гипсует в окклюдатор или артикулятор.
Только после приступают к проверке соответствия коронки всем остальным требованиям. Методика припасовки коронок описана в метод. разработке практического занятия N 7, тема 25.
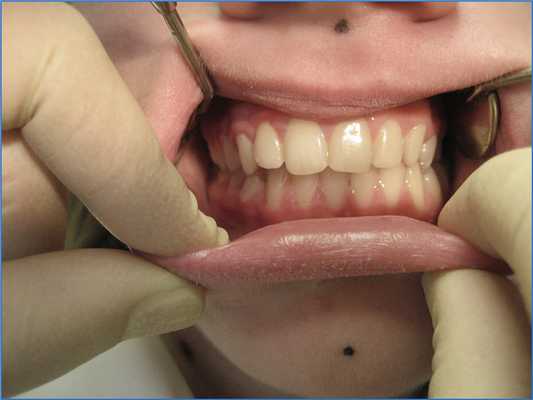
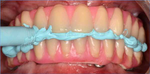
После тщательной проверки (припасовки) коронок снимается гипсовый оттиск со всего зубного ряда вместе с коронками. Целесообразно установить коронки в оттиск, тогда можно проверить глубину продвижения коронок под десневой край. Центральную окклюзию определяют вместе с коронками и фиксируют ее восковыми валиками или гипсовыми мантелями, гипс накладывают с вестибулярной стороны и получают отпечаток вестибулярной поверхности зубов нижней и верхней челюсти в положении центральной окклюзии. Коронки снимают с опорных зубов и вместе с оттисками и восковыми валиками или гипсовыми мантелями отдают в зуботехническую лабораторию.
В практике часто пользуются упрощенным методом, (получают окклюзионный оттиск): на опорные коронки накладывают гипс и просят больного сомкнуть зубы, по зубам, свободным от гипса, контролируют правильность смыкания зубов. При этом способе получают рабочий и вспомогательный оттиски и фиксируют центральную окклюзию. В соответствующие отпечатки вставляют коронки и отливают модели, получают упрощенный гипсовый окклюдатор.
Преподаватель должен объяснить студентам, что этот метод имеет недостатки:
1. При накладывании гипса на коронки больной рефлекторно смещает челюсть.
2. Между опорными коронками и антагонистами получается слой гипса, и если техник будет моделировать промежуточную часть в таком гипсовом окклюдаторе, то она будет превышать прикус, и приходится в клинике спиливать жевательную поверхность искусственных зубов, что приводит к нарушению жевательной поверхности (бугров), и такой протез не будет полноценным.
Способы фиксации центральной окклюзии
1. С помощью восковых базисов с окклюзионными валиками.
Требования к восковым базисам с окклюзионными валиками:
1. базисы должны плотно прилегать к моделям на всем протяжении;
2. края восковых базисов должны быть закругленными, без острых выступов, они должны быть точно «отжаты» по модели;
3. восковые базисы должны быть укреплены проволокой для предупреждения их деформации;
4. окклюзионные валики должны быть монолитными и не расслаиваться;
6. верхний окклюзионный валик в области вторых моляров должен быть срезай под углом в сторону верхнечелюстных бугров.
В том случае если прикусные валики располагаются напротив естественных зубов противоположной челюсти, то с окклюзионной поверхности прикусного валика срезают воск на толщину восковой пластины, которую разогревают и помещают на окклюзионную поверхность.
Для изготовления восковых базисов используют воск базисный, который разогревают и очень плотно обжимают вокруг модели.
2. С помощью регистраторов прикуса.
Данный вид фиксации осуществляется с помощью силиконовых оттискных материалов высокой вязкости. Представителями последних являются: Регистрадо фирмы «Воко» (Германия), Репросил, (США), Регисил (США), Гарант Димепшн.
Методика: Пациент смыкает зубы в положении центральной окклюзии. С помощью шприца- пистолета выдавливают пасту в межзубные промежутки по окклюзионной поверхности зубов, начиная с дистальных отделов. После затвердения пасты просят пациента открыть рот и вынимают силиконовый шаблон.
С помощью восковых базисов с окклюзионными валиками.
базисы должны плотно прилегать к моделям на всем протяжении;
края восковых базисов должны быть закругленными, без острых выступов, они должны быть точно «отжаты» по модели;
восковые базисы должны быть укреплены проволокой для предупреждения их деформации;
окклюзионные валики должны быть монолитными и не расслаиваться;
верхний окклюзионный валик в области вторых моляров должен быть срезай под углом в сторону верхнечелюстных бугров.
С помощью регистраторов прикуса.
2 Клинический этап
Определяем центральное соотношение челюстей.
Методы установления нижней челюсти в положение центральной окклюзии.
Функциональный —
Для установления нижней челюсти в центральное положение голову пациента запрокидывают несколько назад. Шейные мышцы при этом слегка напрягаются, препятствуя выдвижению нижней челюсти вперед.
Затем указательные пальцы кладут на окклюзионную поверхность нижних зубов или валик в области моляров так, чтобы они одновременно касались углов рта, слегка оттесняя их в стороны.
После этого просят пациента поднять кончик языка, коснуться им задних отделов твердого неба и одновременно сделать глотательное движение. Этот прием почти всегда обеспечивает установку нижней челюсти в центральной позиции.
Некоторые руководства по ортопедической стоматологии рекомендуют для этой цели на верхнем восковом шаблоне, по его заднему краю, сделать бугорок из воска, который больному следует достать языком, прежде чем он проглотит слюну, закрывая рот (Валькоф). Когда пациент закрывает рот, прикусные валики или окклюзионные поверхности зубов начинают сближаться, указательные пальцы, лежащие на них, выводят таким образом, чтобы они все время не прерывали связи с углами рта, раздвигая их. Закрывание рта с использованием описанных приемов следует повторить несколько раз, пока не станет ясно, что имеет место прав ильное смыкание.
Насильственный
Инструментальный (предусматривает ряд приспособлений, способствующих установлению нижней челюсти в центральной окклюзии), но они применяются редко, только в трудных случаях клинической практики. При этом проводят насильственное смещение нижней челюсти кзади давлением руки врача на подбородок пациента.
Загипсовка моделей в окклюдаторе
Этот лабораторный этап делают все зубные техники. После клинического этапа определения центральной окклюзии . Модели с окклюзионными валиками, скрепленные между собой, поступают к зубному технику. После этого модели нужно зафиксировать в окклюдаторе в положении центральной окклюзии.
· Разводим гипс
· Укладываем горочку гипса на стол
· Погружаем гипс в нижнюю раму окклюдатора
· Устанавливаем на гипс фантомы в положении центральной окклюзии
· Опускаем верхнюю раму на верхнюю челюсть, устанавливаем высоту штифта
· Накладываем еще гипса на верхнюю модель и опускаем верхнюю раму.
· Убираем окклюзионные валики
· Приступаем к изготовлению кламера
Этапы загипсовки в окклюдаторе:
1. Разводим гипс. Укладываем горочку гипса на стол и погружаем в нижнюю раму.
2. Устанавливаем на нижнюю раму
3. Опускаем верхнюю раму на верхнюю челюсть и устанавливаем высоту штифа.
4. Накладываем горочку гипса на верхнюю модель и опускаем верхнюю раму.
5. Убираются окклюзионные валики.
6. Приступаем к изготовлению кламеров.
Механизм крепления съемного протеза на челюстях
Для фиксации частично съемного протеза используют явление адгезии, т.е. прилипчивости, условие анатомической ретенции, а так же механическим способом крепления.
Адгезия.
Известно, что между двумя полосками стекла, наложенных друг на друга, возникает сила сцепления. Иногда для того, что бы их разъединить. Это свойство проявляется, когда между пластинками существует слой жидкости. В полости рта это силы возникают между зубным протезом и слизистой оболочкой за счет слюны. Чем больше площадь соприкосновения протеза со слизистой оболочкой твердого не на верхней челюсти и альвеолярного гребня на нижней челюсти, тем больше величина этих сил.
Анатомическая ретенция создаётся естественными анатомическими образованиями на верхней и нижней челюстях. Эти образования формой и расположением могут ограничить свободу движения протеза во время функции (при разговоре, приеме пищи), препятствуют горизонтальному движению, ослабляющие силу адгезии.
Определение центральной окклюзии
Окклюзия является одним из ключевых аспектов, которые необходимо учитывать для создания комфортного и надежного протеза. Понятие подразумевает одновременное, синхронное смыкание части зубов или целых рядов при напряжении определенных групп жевательных мышц. Соответственно, выделяют несколько вариантов окклюзии, каждая из которых требует отдельного внимания при формировании восстанавливающей конструкции.

Несмотря на кажущуюся неровность кромок зубов, каждый выступ, при нормальном строении и отсутствии врожденных/приобретенных дефектов, соответствует впадине. Это утверждение верно как для резцов, так и клыков с жевательными единицами. При таком положении исключаются смещения и неравномерные нагрузки в процессе питания, соответственно, не происходит ускоренного износа определенных участков и случайных поломок будущего протеза. Пострадать могут даже дорогостоящие конструкции при ошибках, например, использующие титановые основания .
Основные аспекты
Существует несколько вариантов окклюзии:
- боковая левая и правая соответственно;

Окклюзия в центральной части характеризуется такими пунктами:
- контакт между зубами верха и низа требуется обеспечить плотный, выступы должны соответствовать противолежащим углублениям;
- единицы сочетаются с двумя противолежащими, одноименным и позади/впередистоящим, что зависит от осматриваемой челюсти. Не соответствуют этому правилу только серединные резцы внизу и третьи моляры вверху;
- серединный участок резцов, расположенных посередине, выставляется в одну плоскость;
- верхние единицы не должны наползать на соответствующие нижние более чем на треть;
- рабочие кромки нижних резцов вступают в контакт с бугорками верхних с внутренней части;
- при работе, в частности питании, необходимо добиться одновременного сокращения всех групп мышц, участвующих в движении вертикально вверх нижней челюсти;
- первый моляр сверху при закрытии рта вступает в зацепление с двумя нижними молярами. Первый перекрывается на две трети, а второй - на треть;
- строго передается сочетание и принцип перекрывания бугорков: вестибулооральных и оральных.
Принцип определения
Если утрачена только часть компонентов полости рта, то выявление центральной окклюзии является первостепенным шагом по важности. Требуется получить сведения по трем позициям зубов и их отношений. Важный параметр - это высота нижнего отдела лица, если все антагонисты на месте, то они позволяют фиксировать параметр за счет естественного зацепления. При потере единиц необходимо установить форму, так как искомые аспекты не определяются достоверно в этом случае, поможет изначально сбор данных по центральному отношению челюстей.

Если нескольких определяющих единиц нет, окклюзию можно определить следующими принципами:
- антагонисты имеются во всех трех отделах, ориентированных по функциям. Учитывается жевательный участок и правая/левая сторона. В этом случае центральная окклюзия оказывается зафиксированной природными элементами, параметры устанавливаются благодаря анализу наибольшего числа точек соприкосновения, изготавливать валики в этом случае нет необходимости. Метод позволит решить проблему потери 4 единиц в переднем отделе или 2 - в боковых;

- противолежащие элементы сохранились, но находятся только в двух группах, дифференцированных по назначению. Учитывается наличие единиц в двух боковых участках или на переднем и одном из боковых. Сопоставить модели при таком расположении природных элементов можно только за счет валиков, которые припасовываются к обеим челюстям, после чего оценивается мезиодистальное соотношение челюстей. При сохранении смыкания антагонистов валик можно применять только на одной из челюстей;
- сложнее всего ситуация, когда антагонистов не осталось совсем, что возможно даже при сохранении значительной части единиц. При таком положении дел необходимо определить соотношение челюстей в серединной плоскости.

Работа техника во втором и третьем случае сопровождается созданием базисов с валиками. Обычно применяется воск и пластик, причем, второй вариант предпочтительнее.
Методы фиксации челюстей
Первая методика функциональная. В этом случае требуется голову клиента запрокинуть назад, что приводит к небольшому напряжению шейных мышц и, как следствие, исключается смещение челюсти вперед относительно верхних единиц. Именно препятствовать этому рефлекторному движению - основная задача специалиста.

Помимо указанного поведения необходимо указательными пальцами упереться в рабочую поверхность единиц нижней челюсти, пациента просят подтянуть язык вверх и сглотнуть, что в большинстве случаев позволяет получить нужное положение для продолжения работы. Для точности прием повторяется несколько раз, чтобы специалист мог удостовериться в правильной позиции.
Инструментальный принцип требует применения оборудования, которое регистрирует смещения челюстей при естественных движениях в горизонтальной плоскости. Искомая величина устанавливается, как вершина треугольника, образующегося при смещениях в указанной плоскости. Методика редко используется в случае отсутствия ряда единиц, исключением являются особо сложные случаи. При таких обстоятельствах врачи собственноручно двигают челюсть, чтобы найти правильное положение.
Если нет парных антагонистов или отсутствует большая часть единиц, то выставить центр позволяют две линейки (особой конструкции) или аппарат Ларина. Искомая поверхность проходит через несколько линий: параллельно линии, на которой находятся зрачки, с боков - по линии, соединяющей нос и уши, по высоте участок идентичен плоскости соединения губ, так определяется высота нижнего сегмента лица.
Припасовывается оба валика: верхний и нижний, необходимо добиться плотного смыкания, со стороны щек плоскость едина. Когда рот в закрытом положении валики соединяются спереди и с боков одновременно, к слизистой прилегание так же плотное. Исправления специалисты вносят на участке челюсти, которая сохранила меньшее число единиц. Воск добавляется разогретым инструментом или снимается им же при излишках вещества.
Определение высоты нижней части лица
Указанный отдел можно определить несколькими путями:
- анатомический метод подразумевает исследование параметров лица;
- антропометрический учитывает соотношение различных участков и частей тела;
- анатомо-физиологический базируется на оценке параметров относительного покоя челюсти, при этом необходимо добиться точного размещений челюсти и минимального напряжения мышц. На лицо (у основания носа и на выступ подбородка) наносятся точки, расстояние между которыми измеряется после общения, когда напряжение минимально.

Помогает замеры произвести общение, для точности пациента несколько раз просят произнести определенные слова, задействующие необходимые группы мышц.
Если клиент утратил передние зубы, то ориентиры создаются следующие:
- средняя линия или косметический центр. Она позволит правильно установить положение центральных резцов;
- линия клыков. От поверхности валиков до носа проводится прямая. Отметка необходима для получения представления о расстоянии передних единиц до середины клыка;
- линия улыбки. Черта позволяет стоматологу определить высоту резцов, удостовериться в грамотном ее размещении можно, попросив пациента улыбнуться. В этом случае линия должна размещаться выше шеек зубов.

Финальным этапом работы является гипсовка в артикуляторе, то есть специальном приборе, позволяющим зафиксировать элементы неподвижно. Благодаря ему сохраняются собранные данные на всем протяжении изготовления протеза.
Читайте также:
- Пути передачи краснухи
- Проникновение пыли в лимфатические пути легких. Пневмококки в лимфатических путях
- Этапы и техника операции при нагноении ногтевого валика (паронихии)
- Системная красная волчанка. Лекарственные средства для лечения остеопороза
- Судорожный статус в неврологии. Лечение судорожного статуса
