Методика лазеротерапии ретинопатии недоношенных детей
Добавил пользователь Евгений Кузнецов Обновлено: 21.11.2025
Отделение является единственным лечебным подразделением в ДФО, где проводится лечение - далекозашедшей стадий - отслойки сетчатки при ретинопатии недоношенных.
Мы используем в своей работе весь арсенал хирургического лечения этого тяжёлого заболевания. Методы лечения включают: криокоагуляцию сетчатки, экстрасклеральное вдавление склеры, эндовитреальное вмешательство - витрэктомию и ленсвитрэктомию.
Ретинопатия недоношенных. МКБ-10. Н 35.1. Есть ли шанс избежать слепоты?
Благодаря достижениям современной медицинской науки в Российской Федерации стали успешно выхаживать младенцев рождённых намного раньше положенного срока, весом от 500 г.
Но рождение раньше 34 недель не проходит бесследно. Одним из наиболее частых заболеваний преждевременно рождённых детей является ретинопатия недоношенных — вазопролиферативное заболевание, связанное с нарушением развития сетчатки и стекловидного тела.
Ретинопатия недоношенных (РН) является одной из наиболее тяжелых заболеваний, приводящих к неустранимой слепоте с раннего детского возраста. Статистика говорит, что ретинопатия недоношенных появляется у каждого пятого младенца, родившегося раньше срока. Причём тяжёлыми формами болезни страдают до 8% малышей.
Причинами РН могут быть:
- Низкий вес ребенка.
- Многоплодие у матери.
- Сопутствующие патологии плода, например, развитие сепсиса, анемии или ацидоза.
- Внутриутробные инфекции.
- Хронические болезни половых органов матери.
- Гестоз.
- Кровотечение во время родов.
- Проведение реанимационных мероприятий и использование кислорода после рождения.
Патогенез ретинопатии недоношенных.
Сосуды внутри сетчатки глаза начинают развиваться с 16 недели внутриутробного развития младенца. До этого срока никаких сосудов в этой части глаза совсем нет. Они начинают расти от участка, где выходит зрительный нерв, в сторону периферии. Сосуды активно растут до самого начала родов. Чем раньше рождается ребёнок, тем меньшее количество сосудов в его сетчатке успело образоваться. У недоношенных деток имеются достаточно обширные участки без сосудов (их называют аваскулярными).
При рождении на сетчатку малыша начинают воздействовать внешние факторы — кислород и свет, что провоцирует появление патологических изменений. Правильный процесс формирования сосудов нарушается. Они начинают прорастать в стекловидное тело, которое изменяется, приводит к натягиванию сетчатки и ее отслоению.
Стадии ретинопатии
Клинические случаи.
Ретинопатия представляет собой процесс расстянутый в несколько стадий, который способен завершиться как формированием рубца, так и полным регрессом, при котором все проявления исчезают.
При далекозашедшем заболевании, сетчатка отслаивается полностью, что приводит к резкому ухудшению зрения малютки.
Чаще всего болезнь проходит все 5 стадий, но иногда она осложняется ускоренным и агрессивным течением.
Если заболевание протекает стандартно, его начало приходится на 4 неделю жизни. Зрение ухудшается постепенно, последовательно проходя все 5 стадий.
Как правило, III стадия, при которой обычно назначается операция, начинается к 3-4 месяцу жизни. К полугоду жизни ребёнка болезнь может самопроизвольно перетекает в стадию регресса. Если же этого не произошло и не было вовремя начато лечение, к годовалому возрасту патология перетекает в рубцовую фазу.
В 25% случаев ретинопатия недоношенных развивается нетипично. Выделяют следующие формы атипичной ретинопатии недоношенных:
Отдельно выделяют «плюс-болезнь», у которой нет четких стадий. Такая форма развивается раньше и прогрессирует намного быстрее, что вызывает отслойку сетчатки и быстрое наступление терминальных стадий ретинопатии.
«Задняя агрессивная ретинопатия недоношенных» — самая опасная и быстро прогрессирующая форма с неблагоприятным прогнозом.
Согласно статистике, при «задней агрессивной ретинопатии недоношенных» вероятность сохранения зрения после операции не превышает 45%.
Родители детей из группы риска должны очень внимательно относиться к здоровью малышей и вовремя консультироваться со специалистами, даже при отсутствии видимых тревожных симптомов.
Симптомы и признаки
Понятно, что поставить диагноз может офтальмолог, однако родители сами должны вовремя распознать симптомы формирующейся ретинопатии и обратиться в лечебное учреждение для проведения обследования.
Когда родители должны начинать беспокоиться?
- Малютка подносит игрушки слишком близко к глазам.
- Ребёнок не замечает людей, находящихся в метре и далее от него.
- Кроха не видит крупные предметы, расположенные вдалеке.
- Неожиданно возникает косоглазие, которого раньше не было.
- Младенец пытается рассматривать всё только одним глазом.
- Один глаз малыша постоянно моргает.
- Малыш спокойно относится к принудительному закрыванию одного глаза, но протестует, когда ему прикрывают второй.
Диагностика заболевания
Выявить ретинопатию недоношенных может только офтальмолог. При осмотре в глаза закапывается лекарство, расширяющее зрачки, веки фиксируются детскими веко-расширителями, после чего проводится диагностика с использованием аппарата бинокулярной офтальмоскопии, ретиноскопии. В отдельных случаях могут понадобиться дополнительные исследования:
-ультразвуковое исследование глаз;
-регистрация зрительных вызванных потенциалов.
Диагностику недоношенных детей следует проводить каждые 2 недели начиная с четырёхнедельного возраста — до тех пор, пока врач не будет уверен в том, что все сосуды сформировались правильно. При выявлении ретинопатии обследования совершаются со строгой периодичностью:
- каждую неделю при активной форме болезни;
- каждые 3 дня при «плюс-болезни» и задней агрессивной форме;
- каждые 6-12 месяцев при регрессе заболевания — до 18 лет (для исключения осложнений ретинопатии в подростковом возрасте);
- каждые 12 месяцев, если имеют место рецидивы болезни.
Ретинопатию в начальной стадии увидеть бывает сложно, поэтому недоношенным детям, находящимся в группе риска, рекомендуется регулярно проходить профилактические осмотры у офтальмолога.
Своевременное соблюдение сроков осмотра позволяет предотвращать активное развитие болезни.
Лечение
Первые 2 стадии ретинопатии недоношенных лечения не требуют: необходим лишь регулярный контроль офтальмолога. В большинстве случаев заболевание самостоятельно регрессирует, если же оно переходит в третью стадию, ребёнок нуждается в помощи врачей. Терапия может совершаться тремя способами:
- Консервативный — применение антиоксидантных, ангиопротекторных, кортикостероидных препаратов, а также витаминов.
- Хирургический — коррекция состояния операционным путём.
- Альтернативный — малоизученная на сегодняшний день транскраниальная магнитотерапия.
Первый и последний методы в нашем отделении не применяется.
Мы проводим хирургическое лечение, поэтому направляем маленького пациента на операцию. При третьей стадии ретинопатии у нас в филиале проводят лазерную и крио- коагуляцию сетчатки. При этом прекращается формирование рубцовой ткани, болезнь регрессирует. Обычно процедура проводится под наркозом, что связано с риском нарушения дыхания и сердечной деятельности, поэтому офтальмологи предпочитают лазерную коагуляцию — безболезненный метод с минимальными побочными эффектами, в результате которого в проблемной зоне сетчатки создаётся рубец, препятствующий разрастанию сосудов.
С помощью метода лазерной коагуляции сетчатки можно достичь регресса даже осложнённых форм ретинопатии.
Если болезнь перешла в рубцовую фазу и достигла IV стадии, совершается склеропломбирование — экстрасклеральное вдавление сетчатки с местом отслойки.
Операция — витрэктомия проводится, когда уже не эффективны другие методы лечения. Во время эндовитреального вмешательства удаляются изменённая ткань, стекловидное тело, и часто — хрусталик глаза.

В тяжёлых случаях может понадобиться второй этап хирургического вмешательства, а также дальнейшее проведение лазерной коагуляции.
Если лазерная коагуляция была проведена в течение 1-2 дней после диагностики, эффективность операции достигает 50-80%. Скорость оперативного вмешательства важна и в случае витрэктомии: чем раньше будет совершена процедура, тем больше вероятность сохранения зрения.
Все операции эффективны лишь на первом году жизни ребёнка. В дальнейшем их проведение вряд ли поможет повысить остроту зрения и создать условия для нормального роста глаз.
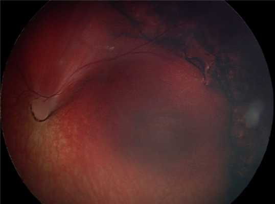
Клинический случай.
Глазное дно ребёнка А. до операции.

Глазное дно ребёнка А. после операции.

Возможные осложнения и последствия у детей
После операции, даже если удалось почти полностью сохранить зрение, существует вероятность развития осложнений. В процессе роста и развития ребёнка может сформироваться:
- близорукость;
- астигматизм;
- косоглазие;
- амблиопия;
- глаукома;
- катаракта;
- отслоение сетчатки;
- дистрофия глаза.
Профилактика
Чтобы предотвратить развитие осложнений, нужно не пропускать офтальмологические осмотры, а при обнаружении малейших изменений — проходить соответствующее лечение.
Профилактика первичного развития болезни аналогична:
- своевременные обследования у офтальмолога;
- пристальное внимание к здоровью глаз недоношенных детей;
- здоровый образ жизни матери во время беременности.
Если после рождения ребёнка возникает необходимость в оксигенотерапии, необходимо при этом контролировать насыщение кислородом гемоглобина крови и не допускать превышения допустимой концентрации.
Итак. Ретинопатия недоношенных — заболевание тяжёлое и распространённое. Здоровье глаз малышей, родившихся раньше срока, во многом зависит от скорости реакции родителей: чем раньше им удастся обратится к офтальмологу и поставить диагноз, тем эффективнее окажется хирургическое лечение, тем больше будет у малыша шансов сохранить своё зрение.
Единый номер контакт-центра 8 (4212) 905-705
Единый информационный телефон 8 (4212) 25-27-37
680033, г. Хабаровск, ул. Тихоокеанская,211
Все права защищены.
© ХФ ФГАУ «НМИЦ «МНТК «Микрохирургия глаза» им. акад. С.Н. Федорова» Минздрава России 2009-2021 г.
Информация, представленная на сайте не является публичным договором
и носит информационно-ознакомительный характер.
Методика лазеротерапии ретинопатии недоношенных детей
предоставляем актуальную медицинскую информацию от ведущих специалистов, помогая врачам в ежедневной работе
Для цитирования: Методика лазерного лечения прогрессирующей ретинопатии недоношенных с различными вариантами течения. Клиническая офтальмология. 2006;7(4):156.
Laser treatment of progressiv retinopathy of prematurity with different courses of disease
S.A. Korotkih, E.A. Stepanova, P.V. Kulakova
State Medical Academy, Ekaterinburg
Purpose. The development of an original laser coagulation technique in retinal avascular zones with intent to increase the efficacy of progressive stages of ROP treatment.
Materials and methods. More than 100 patients of our centre (including 58 children diagnosed with malignant form of the disease) have been operated on with diode photo coagulator “Keeler Multilaser 1500”. An original technique of diode coagulation was used to increase the efficacy of laser treatment. The technique consisted in blocking the largest possible area of avascular retina with the volume of coagulation approaching 100%. Having received laser treatment a course of parabulbar injections of retinalamin was prescribed for retinal and vascular protection.
Two groups of patients comparable according to hazards of developing ROP were selected. The control group comprising 24 children with progressive ROP (10 patients among them were diagnosed with plus-disease) received conventional laser treatment. The experimental group composed of 31 children with progressive ROP, including 11 cases of plus-disease, received laser treatment using the new technique.
Results and discussion. The follow-up period after the procedure comprised from 6 to 36 months. There was a notably higher stabilization rate of both regular course of ROP (91, 2%) and plus-disease (75%). We consider negative outcomes to be either the result of retarded treatment or bigger intervals between the stages of treatment, when the proliferation syndrome is impossible to control.
Conclusions
1. The incidence of ROP stabilization after received laser treatment was higher in the experimental group both in cases of regular ROP (91, 2%) and plus-disease (75%).
2. There was a notably higher efficacy of treatment (especially in the case of plus-disease) using the method of maximum coagulation of avascular retinal zones.
3. Laser treatment should be prescribed at earlier stages of the diagnosed plus-disease (at stage 2 or having detected the initial signs of extraretinal growth).
Литература
1. Асташева И.Б., Сидоренко Е.И. Молниеносная ретинопатия недоношенных («плюс-болезнь»): распространенность, факторы риска, критерии диагностики и варианты течения. // Вестн. офтальмол.- 2002.- №6.- с.5-9.
2. Асташева И.Б., Сидоренко Е.И., Аксенова И.И. Лазеркоагуляция в лечении различных форм ретинопатии недоношенных. // Вестн. офтальмол.- 2005.- №2.- с.31-34.
3. Володин Н.Н. «Ретинопатия недоношенных». // Методические рекомендации для врачей. - М. - 2003. - 23 с.
4. Катаргина Л.А., Хватова А.В., Коголева Л.В., Дементьева Г.М. Особенности ретинопатии недоношенных, протекающей как «плюс-болезнь». // Вестн. офтальмол.- 2002.- №6.- с.3-5.
5. Катаргина Л.А., Хватова А.В., Коголева Л.В., Денисова Е.В. Проблемы и перспективы профилактического лечения ретинопатии недоношенных. // Вестн. офтальмол.- 2005.- №2.- с.38-41.
6. Парамей О.В., Захарченко А.В., Валявская М.Е. Восьмилетний опыт криолечения активной ретинопатии недоношенных: тактика ведения больных и результаты. // Вестн. офтальмол.- 2005.- №2.- с.34-38
7. Фомина Н.В., Сайдашева Э.И. О лазерном лечении активной фазы ретинопатии у недоношенных детей в Санкт-Петербурге. // Материалы юбилейной научной конференции, посвященной 70-летию основания первой в России кафедры детской офтальмологии «Современные проблемы детской офтальмологии».- Санкт-Петербург.- «Пиастр».- 2005.- с.183-184.
8. Хватова А.В., Катаргина Л.А., Коголева Л.В., Дементьева Г.М. и др. Активные и рубцовые стадии ретинопатии недоношенных. Диагностика и контроль за лечением. // Пособие для врачей. - М., 1998. - 16 с.
9. Хватова А.В., Катаргина Л.А., Дементьева Г.М., Коголева Л.В., Фролова М.И., Скрипец П.П. Эффективность выявления и профилактического лечения ретинопатии недоношенных. // Вестн. офтальмол.-2000.- №5.- с.34-37.
10. Noonan C.P., Clarс D. I. Trends in the management of stage 3 retinopathy of prematurity. // Br. J. Ophthalmol. - V.80. - P. 278-281.
Скрининг, мониторинг и лазерное лечение ретинопатии недоношенных
Ретинопатия недоношенных (РН) - это тяжелая витреоретинальная патология глаза, развивающаяся только у недоношенных младенцев, под воздействием ряда факторов, нарушающих нормальное созревание сосудов сетчатки [1].
Пользователи протокола - врачи-офтальмологи стационара, детские офтальмологи, офтальмохирурги - специалисты по глазному дну, врачи-неонатологи.

Автоматизация клиники: быстро и недорого!
- Подключено 300 клиник из 4 стран
- 800 RUB / 4500 KZT / 27 BYN - 1 рабочее место в месяц

Автоматизация клиники: быстро и недорого!
- Подключено 300 клиник из 4 стран
- 1 место - 800 RUB / 4500 KZT / 27 BYN в месяц
Мне интересно! Свяжитесь со мной
Классификация
Единая пересмотренная Международная классификация ретинопатии недоношенных (Revisited International Classification of the Retinopathy of Prematurity, 2005 г.) [3,4,5].
Локализация патологического процесса в активной фазе РН характеризуется в 3 зонах, располагающихся концентрично ДЗН. Границы каждой зоны характеризуется по отношению к диску зрительного нерва (рисунок 1).
- Зона I - представляет собой окружность, радиус которой равен удвоенному расстоянию от центра ДЗН до центра макулы.
- Зона II - от края первой зоны до зубчатой линии с назальной области (на 3-х часах в правом глазу и на 9-ти часах в левом).
- Зона III - оставшаяся серповидная область сетчатки, расположенная с темпоральной стороны периферичнее Зоны II.
Условно Зоны II и III рассматриваются как взаимно исключающие, так как анатомические ориентиры в некоторых случаях сложны для распознавания. Если васкуляризация сетчатки достигает зубчатой линии с носовой стороны, имеющиеся изменения с височной стороны определяются как в зоне III. Если в этом нельзя быть до конца уверенным, то предполагается, как зона II.

Рисунок 1 - Изображение локализации и протяженности ретинопатии недоношенных.
Распространенность ретинопатии недоношенных оценивается по часовым меридианам с 1-го по 12-й, при этом 12-ти часовой сектор распространяется от 12 часов до 1 часа (рисунок 1).
Стадия 1: демаркационная линия - появление тонкой белесоватой демаркационной линии, которая отделяет аваскулярную зону сетчатки от васкулярной. Линия характеризует собой скопление веретенообразных клеток. Сосуды в области демаркационной линии расширены и извиты.
Стадия 2: вал - объемный, проминирующий над плоскостью сетчатки вал, меняющий цвет от белого до розового. Сосуды за валом резко расширены и извиты, отмечается их увеличение. Изолированные пучки неоваскулярной ткани - «попкорн» - могут быть центральнее вала.
Стадия 3: гребень с экстраретинальной фиброваскулярной пролиферацией - экстраретинальная фиброваскулярная пролиферация или неоваскуляризация от гребня в стекловидное тело, пролиферативные изменения заднего края гребня, вызывают его истрепанность. По тяжести стадия 3 подразделяется на слабую (3а), среднюю (3b) и сильную (3с), в зависимости от распространения экстраретинальной фиброваскулярной ткани, инфильтрирующей стекловидное тело.
Стадия 4: частичная отслойка сетчатки. Стадия 4а - частичная отслойка сетчатки без захвата макулярной зоны (экстрафовеальная), 4b - частичная отслойка сетчатки захватывает область макулы и носит экссудативно-тракционный характер.
Стадия 5: тотальная отслойка сетчатки - как правило, имеет воронкообразную форму. Различают открытую, полузакрытую и закрытую формы воронкообразной отслойки.
«Плюс» болезнь - признак, указывающий на тяжелое течение активной РН. Характеризуется расширением вен и извитостью артерий заднего полюса сетчатки в двух квадрантах глазного дна, которая может нарастать по тяжести, сопровождаться расширением сосудов радужки, неоваскуляризацией радужной оболочки, ригидностью зрачка и помутнением стекловидного тела.
Пре-плюс болезнь (далее «пре+» болезнь) - промежуточная стадия, которая предшествует развитию «плюс» болезни и характеризуется сосудистой активностью заболевания. Характерно расширение и извитость сосудов сетчатки, недостаточно выраженных для диагноза «плюс» болезнь, но которые не считаются нормальными.
Задняя агрессивная ретинопатия недоношенных (ЗАРН) - быстро прогрессирующая форма заболевания характеризуется злокачественным, молниеносным течением. К клиническим признакам ЗАРН относятся: задняя локализация патологического процесса (как правило в зоне I, а также в задней зоне II), резкое расширение и извитость сосудов во всех 4 квадрантах, наличие шунтов по всей области сетчатки и быстрое развитие экстраретинальной пролиферации, минуя классический переход I к III стадии. ЗАРН может проявляться только плоской сетью неоваскуляризации, обманчивыми чертами соединения васкуляризированной и неваскуляризированной сетчатки и может быть легко «просмотрена». ЗАРН типично распространяется циркулярно и часто сопровождается циркулярным сосудом. При отсутствии лечения быстро прогрессирует до V стадии РН.
Критерии регрессии активной РН: отсутствие нарастания тяжести заболевания, полное или частичное регрессирование, редукция «пре-плюс»/«плюс» болезни, переход сосудов через демаркационную линию и начало процесса замещения активных проявлений РН рубцовой тканью. Изменение цвета вала от лососево-розового до белого. Перечисленные признаки должны отмечаться, по крайней мере, на двух последовательных осмотрах.
Диагностика
II. МЕТОДЫ, ПОДХОДЫ И ПРОЦЕДУРЫ ДИАГНОСТИКИ И ЛЕЧЕНИЯ
Офтальмологический осмотр недоношенных новорожденных в группе риска проводится методом бинокулярной непрямой офтальмоскопии и/или цифровой ретиноскопии.
- все недоношенные новорожденные, рожденные с массой тела до 2000 грамм и гестационным возрастом до 34 недель,
- новорожденные, рожденные с массой тела более 2000 грамм, с отягощенным пери- и неонатальным анамнезом, тяжелым соматическим состоянием и имеющие признаки высокого риска развития ретинопатии недоношенных.
Скрининг (первичный офтальмологический осмотр) РН Осуществляется недоношенным новорожденным в группе риска:
Мониторинг РН (серия осмотров глазного дна) Проводится среди детей группы риска по РН и осуществляется до тех пор, пока не потребуется лазерное лечение и/или исчезнет риск прогрессирования заболевания.
Количество и частота осмотров при мониторинге РН зависят от состояния глазного дна: - 1 раз в 3 дня: при подозрении на заднюю агрессивную РН, «плюс» и «пре-плюс» болезни, любой стадии РН в зоне I - 1 раз в неделю: васкуляризация сетчатки заканчивается с зоне I и задней зоне II, РН 2-3 стадии в зоне II - III без признаков «плюс» и «пре-плюс» болезни - 1 раз в 2 недели: При всех других обстоятельствах, пока не будут достигнуты критерии прекращения скрининга.
4. Клинико-лабораторные исследования ребенка: общий анализ крови, общий анализ мочи, электрокардиограмма, коагулограмма (протромбиновый индекс), микрореакция, кровь на ВИЧ, биохимический анализ крови: АЛТ, АСТ, общий и прямой билирубин, ИФА крови на маркеры гепатитов В и С, баканализ из конъюнктивальной полости.
5. Клинико-лабораторные исследования мамы (для совместной госпитализации): микрореакция, мазок из зева, бак посев кала на патогенную флору, флюрография, кал на я/глист.
Цифровая ретиноскопия недоношенных детей проводится с помощью широкопольной педиатрической ретинальной камеры с использованием стерильного мягкого пружинного векорасширителя.
Обязательным условием непрямой офтальмоскопии и цифровой ретиноскопии является наличие максимально возможного медикаментозного мидриаза.
- Бинокулярная непрямая офтальмоскопия и/или цифровая ретиноскопия: характерные для активной РН изменения соответствующие локализации, стадии, протяженности и тяжести заболевания.
- УЗИ глаза: вспомогательный метод исследования, может быть частично информативным при непрозрачности оптических сред вследствие кровоизлияния в стекловидное тело.
Показания для консультации узких специалистов: с целью минимизации рисков для безопасного проведения анестезиологического пособия необходимы заключения соответствующих специалистов.
Дифференциальный диагноз
Лейкокория, экзофтальм, выворот пигментной каймы, опухолевые узелки в радужке, расширение зрачка, псевдогипопион при распаде опухоли. Дифференциальным признаком ретинобластомы может служить ее наследственная предрасположенность. Кроме этого, двустороннее поражение, характерное для РН, фиксируется лишь у 19,2% больных с ретинобластомой, при этом, обычно существует интервал между поражением глаз, который может достигать нескольких лет.
Рентгенологические признаки ретинобластомы включают наличие очагов обызвествления в опухоли, расширение и затемнение глазницы, а также увеличение зрительного отверстия при прорастании опухоли в полость черепа. При РН рентгенологическое исследование не дает результатов.
Цели лазеркоагуляции аваскулярной сетчатки при активной РН: предотвращение тракционного синдрома и развития экссудативно-тракционной при классическом течении РН, а также вулканообразной отслойки сетчатки при ЗАРН.
Медикаментозное лечение: возможны применение антиоксидантной терапии, ангиопротекторной терапии при кровоизлияниях в стекловидное тело и сетчатку, пептидных биорегуляторов с целью попытки стабилизировать прогрессирование РН.
- препараты для расширения зрачка (М-холиноблокаторы короткого и длительного действия, альфа-адреномиметики)
- местные анестетики для эпибульбарной анестезии (проксиметокаин 0,5% глазные капли, оксибупрокаин 0,4% глазные капли)
Лазерная коагуляция бессосудистой сетчатки при активной РН - единственный метод лечения классической и задней агрессивной ретинопатии недоношенных в активной стадии (преимущества лазерной коагуляции сетчатки (ЛКС): прицельная обработка аваскулярной зоны; точный визуальный контроль за ходом вмешательства; возможность коагуляции центрально расположенных аваскулярных зон; точность дозирования энергетического воздействия; индивидуальный подбор энергетических параметров; меньшая травматизация тканей глаза).
ЛКС бессосудистой сетчатки при активной РН проводится квалифицированным офтальмохирургом, имеющим специализацию в области диагностики и лечения РН в условиях высокоспециализированного стационара с возможностью динамического наблюдения за состоянием ребенка неонатологом. Предпочитаются седация с анальгезией, медикаментозным параличом и вентиляцией легких в условиях неонатологического отделения или общая анестезия в условиях операционной.
Проводится транспупиллярная диодная или аргоновая лазеркоагуляция бессосудистой сетчатки. Доступ к сетчатке осуществляется за счет выведения лазерного излучения через налобный бинокулярный офтальмоскоп (НБО) и фокусировки с помощью асферической линзы 20,0 Д и/или 28,0 Д. В качестве лазеркоагуляторов используют диодные лазерные аппараты с длиной волны 532 нм и 810 нм, оснащенные налобным бинокулярным офтальмоскопом.
Почти сливная (расстояние между коагулятами равное 0,5-1,0 диаметра ширине коагулятов) лазерная коагуляции должна проводиться по всей бессосудистой сетчатке. От вала до крайней периферии (зубчатой линии) [14,15]. Интенсивность коагуляции должна соответствовать 2-й степени по классификации F. L’Esperance (1983). Число коагулятов всегда зависит от протяженности «вала», ширины аваскулярной зоны и признаков активности ретинопатии недоношенных.
Местная антибактериальная и противовоспалительная терапия, инстилляция мидриатиков короткого действия проводится в послеоперационном периоде в сроки от 2 недель до 1 месяца для купирования послеоперационного воспаления и профилактики осложнений.
При повышении внутриглазного давления проводится местная гипотензивная терапия (инстилляция глазных капель, способствующих снижению внутриглазного давления).
Послеоперационное наблюдение преследует две цели: определение потребности в повторном вмешательстве и мониторинг регресса заболевания.
Первый осмотр после лазерной коагуляции сетчатки при РН проводится на 5-7 сутки после операции. Еженедельные осмотры, по меньшей мере, продолжаются до выявления признаков снижения активности заболевания или ее регресса.
Повторное вмешательство требуется, если нет признаков регрессии активной РН. Повторное вмешательство обычно проводится через 10-14 дней после лечения, при отсутствии регресса РН.
Индикаторы эффективности лечения и безопасности методов диагностики и лечения, описанных в протоколе:
- исчезновении извитости, нормализации калибра ретинальных сосудов и начального регресса артериовенозных шунтов;
- продолжавшийся рост ретинальных сосудов в зону лазерной коагуляции (ранее аваскулярную зону);
- на 14 сутки рассасывание и исчезновение ретинальных кровоизлияний, начальное уплощение демаркационного «вала», изменение его цвета до бледно-серого;
Лазеркоагуляция сетчатки у детей с тяжелыми стадиями активной ретинопатии недоношенных
На современном этапе развития отрасли здравоохранения проблема ретинопатии недоношенных остается актуальной, а поиск новых технологий в диагностике и лечении такой особой группы пациентов, как недоношенные дети, - необходимым и востребованным. За 2015 г. только в Московской области родилось почти 4 тыс. недоношенных детей, из них более 200 младенцев - с экстремально низкой массой тела (ЭНМТ) при рождении, у которых риск развития ретинопатии наиболее высок и чаще наблюдается неблагоприятный тип течения заболевания [2].
В то же время остаются нерешенными вопросы своевременного выявления и направления детей с прогрессирующей ретинопатией недоношенных, требующих незамедлительного лечения, что зачастую связано с нехваткой квалифицированных кадров, тяжелым соматическим состоянием недоношенных детей в первые месяцы жизни, трудоемкостью осмотра периферии глазного дна 4.
В связи с этим частота первичного выявления детей с тяжелыми постпороговыми стадиями активной ретинопатии недоношенных остается достаточно высокой, что требует разработки и модификации тактики лечения пациентов из этой группы.
Разработать тактику ведения детей с тяжелыми стадиями активной ретинопатии недоношенных.
Материал и методы.
Под нашим наблюдением находилось 197 детей с активными стадиями ретинопатии недоношенных, из них 132 детям потребовалось лазерное лечение. В 48 случаях (96 глаз) была выявлена тяжелая постпороговая стадия активной ретинопатии недоношенных (наличие высокого вала с экстраретинальной пролиферацией протяженностью 6 и более непрерывных или 9 и более суммарных часовых меридианов в сочетании с «плюс-болезнью»).
Анализ гестационного возраста и массы тела при рождении в данной группе пациентов представлен в табл.
Средний гестационный возраст составил 29,1±2,3 недели, масса тела при рождении - 1050±280 г. Средний возраст на момент операции - 36,3±1,5 недели.
Учитывая характер течения заболевания и риск прогрессирования процесса с развитием тракционной отслойки сетчатки при проведении коагуляции в стандартном объеме, нами предложена модифицированная методика коагуляции тяжелых постпороговых стадий активной ретинопатии недоношенных [1].
Модификация методики заключалась в расширении объема коагуляции с нанесением лазерных аппликаций центральнее вала и оптимизации параметров лазерного излучения.
Для уточнения стадии и степени активности процесса детям из группы наблюдения проводились бинокулярная офтальмоскопия, цифровая ретиноскопия и флуоресцентная ангиография (ФАГ на широкоугольной педиатрической ретинальной камере «Retcam-3»), В-сканирование и ультразвуковая биомикроскопия (УБМ).
Предварительно все дети были осмотрены педиатром и анестезиологом, получено письменное информированное согласие родителей на проведение ряда обследований под масочным севофлюрановым наркозом.
Все пациенты с подтвержденной активной постпороговой ретинопатией недоношенных разделены на 2 группы.
В основную группу вошли 24 пациента, лазеркоагуляция которым проводилась в паттерновом режиме по модифицированной методике одномоментно.
В группу контроля были включены 22 ребенка. Лазеркоагуляция в этой группе проводилась в 2 этапа, первым этапом проведена стандартная лазеркоагуляция аваскулярных зон сетчатки на сканирующем полуавтоматическом офтальмокоагуляторе Паскаль (рис. 1). Вторым этапом проводилась дополнительная лазеркоагуляция васкулярной сетчатки перед валом экстраретинальной пролиферации в случае прогрессирования процесса.
Все пациенты были сопоставимы по возрасту на момент операции, массе тела при рождении, гестационному сроку и степени выраженности клинических проявлений.
В основной группе после применения модифицированной методики лазеркоагуляции у всех 24 пациентов (48 глаз - 100%) достигнута стабилизация и регресс заболевания через 2 недели после операции. При осмотре через 3 мес. выявлено полное исчезновение признаков экстраретинальной пролиферации, сепарация витреоретинальных тяжей в зоне вала пролиферации, рост концевых сосудов между лазеркоагулятами.
В группе контроля в 10 случаях (10 глаз, 5 детей - 23%) после проведения лазеркоагуляции сетчатки в стандартном объёме при осмотре через 2 недели после операции стабилизация процесса отсутствовала, отмечался продолженный рост экстраретинальной пролиферации, сохранялся высокий вал пролиферации с приподнятостью сетчатки центральнее вала. После проведения второго этапа лазеркоагуляции по модифицированной методике перед валом регресс заболевания достигнут на 9 глазах (рис. 2а-г). В одном случае в связи с прогрессированием заболевания была проведена витреоретинальная операция.
У 17 детей (34 глаза) регресс заболевания достигнут после проведения первого этапа лазеркоагуляции в сроки 2 недели после операции, второй этап не проводился.
Полученные результаты исследования позволяют рекомендовать применение модифицированной методики лазерного лечения при выявлении тяжелых стадий активной ретинопатии недоношенных.
Эффективность лазеркоагуляции аваскулярных зон сетчатки в стандартном объеме в постпороговых стадиях значительно снижена, что ведет к высокому риску дальнейшего прогрессирования заболевания с развитием тракционной отслойки сетчатки.
Предложенная модифицированная технология лазерного лечения недоношенных детей позволяет повысить число благоприятных исходов РН, а также значительно сократить время и количество наркозных пособий у данной тяжелой категории пациентов.
Ретинопатия недоношенных
Ретинопатия недоношенных - вазопролиферативное поражение сетчатки, обусловленное незрелостью структур глаза у детей, рожденных раньше срока. Ретинопатия недоношенных характеризуется нарушением нормального васкулогенеза и нередко самопроизвольно регрессирует; в остальных случаях сопровождается помутнением стекловидного тела, миопией, астигматизмом, косоглазием, катарактой, глаукомой, тракционной отслойкой сетчатки. Ретинопатия диагностируется в ходе осмотра недоношенного ребенка детским офтальмологом с помощью офтальмоскопии, УЗИ глаза, электроретинографии, зрительных ВП. Лечение ретинопатии недоношенных может включать крио- или лазеркоагуляцию сетчатки, витрэктомию, склеропломбирование.
Общие сведения
Ретинопатия недоношенных - нарушение процессов васкуляризации сетчатки у детей, имеющих низкий гестационный возраст. Частота ретинопатии недоношенных в неонатологии и детской офтальмологии тесно коррелирует со степенью зрелости организма ребенка: так, у детей с массой тела менее 1500 г патология сетчатки развивается в 40-50% случаев; менее 1000 г - в 52-73%; а у глубоко недоношенных детей с массой тела менее 750 г - в 81-95% случаев. Парадоксальность ситуации заключается в том, что совершенствование условий выхаживания детей с экстремально низкой массой тела приводит к увеличению случаев ретинопатии недоношенных, которая в развитых странах становится ведущей причиной слепоты у детей.
Причины ретинопатии недоношенных
Нормальный васкулогенез (рост сосудов) сетчатки у плода начинается с 16 недели внутриутробного развития и завершается к 40 неделям гестации. Т. о., чем меньше гестационный возраст ребенка, тем больше в его сетчатке содержится аваскулярных зон. Наиболее подвержены возникновению ретинопатии недоношенных дети, рожденные от преждевременных родов ранее 34-ой недели гестации с массой тела менее 2000 г.
Развитие сосудов сетчатки регулируется различными медиаторами - факторами роста, из которых наиболее значимы и изучены фактор роста сосудистого эндотелия, фактор роста фибробластов и инсулиноподобный фактор. Нарушению регуляции нормального ангиогенеза и развитию ретинопатии у недоношенных способствуют условия, вызывающие изменение парциального давления кислорода и углекислого газа в крови. Дело в том, что метаболические процессы в сетчатке осуществляются посредством гликолиза, т. е. расщепления глюкозы, протекающего без участия кислорода. Поэтому длительное пребывание ребенка на ИВЛ, кислородотерапия, колебания в режиме назначения сурфактантов и т. п. способствуют развитию ретинопатии недоношенных.
Дополнительными факторами риска, влияющими на возникновение ретинопатии недоношенных, служат гипоксия плода, внутриутробные инфекции, синдром дыхательных расстройств, внутричерепные родовые травмы, сепсис, анемия новорожденных и др. Одним из вероятных триггеров развития ретинопатии является воздействие на незрелую сетчатку недоношенного избыточной освещенности, тогда как в норме ангиогенез сетчатки протекает внутриутробно в отсутствии светового воздействия.
Патогенез ретинопатии недоношенных связан как с нарушением образования новых сосудов сетчатки, так и с изменением уже сформировавшихся сосудистых трактов. При ретинопатии недоношенных образование сосудов в аваскулярных зонах периферии сетчатки прекращается, а новообразованные сосуды начинают прорастать в стекловидное тело, что в дальнейшем приводит к кровоизлияниям, новообразованию глиальной ткани, натяжению и тракционной отслойке сетчатки.
Классификация ретинопатии недоношенных
Принятая в мировой практике классификация ретинопатии недоношенных выделяет в течении заболевания активную и рубцовую (регрессивную) фазы. Активная фаза ретинопатии недоношенных, в зависимости от локализации и выраженности сосудистых изменений, подразделяется на 5 стадий:
- I стадия - образование демаркационной линии - узкой границы, отделяющей васкулярную (сосудистую) часть сетчатки от аваскулярной (бессосудистой).
- II стадия - формирование на месте демаркационной линии возвышения - демаркационного вала (гребня). Сосуды врастают в вал и могут образовывать небольшие участки неоваскуляризации.
- III стадия - в области вала появляется экстраретинальная фиброваскулярная пролиферация. Соединительная ткань и сосуды разрастаются по поверхности сетчатки и проникают в стекловидное тело.
- IV стадия - соответствует частичной отслойке сетчатки, обусловленной экссудативно-тракционным механизмом. Данная стадия ретинопатии недоношенных подразделяется на подстадии: IVa - без отслойки макулы и IVб — с вовлечением в отслойку макулярной зоны.
- V стадия - тотальное отслоение сетчатки воронкообразной формы (с узким, широким или закрытым профилем воронки).
В 70-80% случаев I и II стадии ретинопатии недоношенных самопроизвольно регрессируют, оставляя минимальные остаточные изменения на глазном дне. III стадия является «пороговой» и служит основанием для проведения профилактической коагуляции сетчатки. IV и V стадии ретинопатии недоношенных расцениваются как терминальные из-за неблагоприятного прогноза в отношении зрительных функций.
В большинстве случаев при ретинопатии недоношенных наблюдается последовательное, постадийное развитие изменений, однако возможен молниеносный вариант («плюс»-болезнь), характеризующийся злокачественным, быстрым течением.
Продолжительность активной стадии ретинопатии недоношенных составляет 3-6 месяцев. Если в течение этого времени не произошло спонтанного регресса изменений, наступает фаза рубцевания с развитием остаточных явлений. В этой стадии у ребенка могут развиваться микрофтальм, близорукость, косоглазие и амблиопия, поздняя отслойка сетчатки, фиброз стекловидного тела, осложненная катаракта, вторичная глаукома, субатрофия глазного яблока.
Объективные офтальмологические данные являются единственными проявлениями ретинопатии недоношенных, особенно в ее активной фазе, поэтому одновременно могут расцениваться как симптомы заболевания.
Диагностика ретинопатии недоношенных
Для выявления ретинопатии обследованию детского офтальмолога подлежат все недоношенные через 3-4 недели после рождения. В более раннем возрасте признаки ретинопатии недоношенных еще не проявляются, однако при офтальмологическом осмотре может быть выявлена другая врожденная патология глаза: глаукома, катаракта, увеит, ретинобластома.
Дальнейшая тактика предполагает динамическое наблюдение недоношенного ребенка офтальмологом каждые 2 недели (при незавершенной васкуляризации сетчатки) либо еженедельно (при первых признаках ретинопатии), либо 1 раз в 2-3 дня (при «плюс»-болезни). Осмотры недоношенных детей проводятся в присутствии неонатолога и анестезиолога-реаниматолога.
Основным методом выявления ретинопатии недоношенных служит непрямая офтальмоскопия, осуществляемая после предварительного расширения зрачка (мидриаза). С помощью УЗИ глаза дополнительно выявляются экстраретинальные признаки ретинопатии недоношенных в III-IV стадиях. С целью дифференциальной диагностики ретинопатии недоношенных и патологии ЗН (аномалий развития или атрофии зрительного нерва) выполняется исследование зрительных ВП, электроретинография ребенку. Для исключения ретинобластомы информативны УЗИ и диафаноскопия.
Для оценки степени отслойки сетчатки предлагается использовать оптическую когерентную томографию.
Лечение ретинопатии недоношенных
В I-II стадии ретинопатии недоношенных лечение не показано. В III стадии с целью предупреждения прогрессирования ретинопатии недоношенных до терминальных стадий проводится профилактическая лазеркоагуляция либо криокоагуляция аваскулярной зоны сетчатки (не позднее 72 часов от момента выявления экстраретинальной пролиферации).
Эффективность профилактического коагуляционного лечения при ретинопатии недоношенных составляет 60-98%. Среди местных осложнений хирургических процедур встречаются ожоги глаз, гифема, преретинальные мембраны, иридоциклиты, окклюзия центральной артерии сетчатки. Общесоматические осложнения могут включать апноэ, цианоз, брадикардию или тахикардию.
Оценка результативности коагуляционного лечения ретинопатии недоношенных проводится спустя 10-14 дней. При стабилизации или регрессе процесса лечение расценивается как эффективное; в случае продолжающейся эктраретинальной пролиферации возможно повторение крио- или лазеркоагуляции.
В регрессивном и послеоперационном периоде назначаются инстилляции лекарственных препаратов (дизинфицирующих, антиоксидантных, противовоспалительных), физиотерапевтическое воздействие (электрофорез, магнитостимуляция, электроокулостимуляция).
В случае дальнейшего прогрессирования ретинопатии недоношенных до IV-V стадий возникает необходимость проведения витрэктомии (ленсвитрэктомии) или циркулярного пломбирования склеры (экстрасклерального пломбирования).
Прогноз и профилактика ретинопатии недоношенных
У большинства детей ретинопатия недоношенных не прогрессирует дальше I-II стадии, изменения сетчатки подвергаются обратному развитию; при этом сохраняется достаточно высокая острота зрения. Тем не менее, у половины из них к 6-10 годам выявляются аномалии рефракции (близорукость, дальнозоркость, астигматизм), глазодвигательные нарушения (косоглазие, нистагм). При прогрессировании ретинопатии недоношенных до IV-V стадии или молниеносной форме заболевания прогноз на сохранение зрительной функции неблагоприятный.
Профилактика ретинопатии недоношенных - это, прежде всего, профилактика преждевременных родов; проведение терапии, направленной на пролонгирование беременности; правильное выхаживание недоношенных, их динамическое наблюдение детским офтальмологом. Дети, перенесшие ретинопатию недоношенных, в старшем возрасте должны проходить регулярное офтальмологическое обследование, включающее визометрию, рефрактометрию, электрофизиологические исследования, компьютерную периметрию и др.
Читайте также:
- Перерыв дуги аорты у ребенка. Гемодинамика при атрезии дуги аорты.
- Глаза ребенка при врожденной ветряной оспе
- Техника латерального доступа к локтевой кости
- Острые нарушения ритма и проводимости сердца. Диагностика нарушений ритма сердца.
- Причины язвенного некротизирующего энтероколита (ЯНЭК) у недоношенных новорожденных детей
