Методика подрезания уздечки языка (френотомии)
Добавил пользователь Евгений Кузнецов Обновлено: 21.11.2025
Подъязычная уздечка - перепонка, которая находится под языком и соединяет язык с подъязычным пространством.
Как определить, достаточной ли длины подъязычная уздечка?
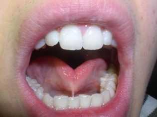
У разных людей подъязычная связка (уздечка) может быть разной длины. Попросите ребенка поднять язык вверх к твердому небу. При нормальной длине подъязычной уздечки ребенок свободно поднимает язык к твердому небу. При короткой подъязычной уздечке ребенок не может вытянуть язык вперед и поднять язык вверх к твердому небу. Когда ребенок будет тянуть язык вверх, вы увидите: как подъязычная связка, ограничивая подъем языка, натягивается, резче обозначается, рельефнее выступает под языком, становится тоньше.
Другой причиной того, что ребенок не может поднять язык вверх, является то, что мышцы языка у ребенка не достаточно сильные и малоподвижные. Тогда вы увидите, как он не справляется именно мышцами, тогда язык дрожит, отклоняется в сторону, дергается, опускается вниз.
В норме: в 5 лет уздечка в растянутом состоянии должна быть не менее 8мм. Средняя длина уздечки 1,5 см.
Чем это грозит?
Короткая подъязычная уздечка:
- может вызывать затруднение движения языка, т.к.не дает ему возможности высоко подниматься. В этом случае страдают так называемые "верхние звуки", т.е. нарушается произношение таких звуков, как Ш, Ж, Ч, Щ, Р, Рь;
- может приводить к смещению центра языка, его несимметричному развитию и малой подвижности, что препятствует формированию правильной артикуляционной позы некоторых звуков;
- может быть и причиной нарушения звукопроизношения;
- в некоторых случаях, может провоцировать проблемы с формированием нижней челюсти, т.е. могут отклоняться зубы и оголяться шейки зубов. Есть риск развития пародонтита и гингивита. Поэтому нужна консультация ортодонта.
Что делать?
1. Оперативное вмешательство
2. Растяжение подъязычной уздечки
Даже если уздечка несколько укорочена (равна 8 мм), то лучше ее растягивать, чем оперировать, так как эта процедура в некоторой степени болезненна и неприятна для малыша!
Веские показания к подрезанию подъязычной уздечки:
1. Короткую уздечку языка лучше подрезать в раннем возрасте до года.
Показание к проведению операции, если ребенок при кормлении:
• ребенок плохо сосет грудь из-за того, что укороченная уздечка мешает плотно обхватить сосок матери;
• при сосании чмокает и плачет.
2. В более старшем возрасте показанием является, когда из-за укороченной уздечки у ребенка смещается зубной ряд и формируется неправильный прикус.
3. Трудности произношения звуков, только в отдельных случаях требует оперативного вмешательства.
В 90% случаев при нарушении 1-4 звуков короткая уздечка языка легко растягивается при помощи специальных упражнений артикуляционной гимнастики.
Методы и приемы для того, чтобы растянуть подъязычную связку (уздечку)
Звуки, требующие заметного подъёма кончика языка вверх ([р], [ш], [ж]) ставятся после полного вытягивания у ребёнка подъязычной связки.
Звуки ([л], [ч], [щ], [т’], [д’]) можно начинать ставить, когда уздечка ещё не до конца растянулась, но уже есть некоторый подъём вверх кончика языка.
Нормативному произношению прочих звуков русского языка короткая уздечка не препятствует.
Рекомендуется начинать растягивать уздечку еще в раннем возрасте. Всем детям рекомендуется выполнять гимнастику для языка - это поможет избежать массы проблем в 5-7 лет (речь о произношении).
Методы подрезания уздечки языка у детей


О патологии
Во рту каждого человека есть три тяжа или так называемых уздечек. Одна соединяет верхнюю губу с верхним рядом десен, вторая аналогично соединяет с челюстью нижнюю губу. Третья — подъязычная. Эта уздечка соединяет язык с дном ротовой полости, обеспечивая ему в норме подвижное соединение. Она не мешает высовывать язык, шевелить им, произносить звуки речи, совершать сосательные и глотательные движения.
Однако примерно один из тысячи новорожденных появляется на свет с аномалией развития этого подъязычного тяжа. В большинстве случаев связка укорачивается по наследственным причинам, потому что у кого-то из родственников малыша была аналогичная проблема. Ненаследственные виды аномалии встречаются реже, и их появление специалисты склонны связывать с негативным воздействием на плод в первом триместре беременности — прием медикаментов будущей мамой, проживание в экологически неблагоприятных регионах, вирусные заболевания на сроке до 12 недель, курение, прием алкогольных напитков, сильный стресс и так далее.

Аномальная уздечка в медицине называется анкилоглоссией. Более короткая связка ограничивает подъем и движения языка. Могут страдать сосательные и глотательные функции, позднее, если не принять мер в раннем возрасте, могут формироваться нарушения звуковоспроизведения, произношения, слюнотечение, неправильный прикус. У мальчиков патология, по статистике, выявляется почти в 3 раза чаще, чем у девочек.
В четверти случаев проблема выявляется в первые же дни жизни малыша, еще в родильном доме. Короткая связка не дает крохе правильно захватывать и удерживать сосок, кормление превращается в настоящее испытание для матери и ребенка. Малыш часто остается голодным, поскольку не может высасывать нужное ему количество молока. Облегчить себе процесс питания груднички стараются, прикусывая сосок деснами, что приводит к травмированию соска, образованию глубоких кровоточащих трещин.
Если не выявить аномалию в раннем грудном возрасте, в будущем вероятны и другие проблемы — короткая или очень плотная, сросшаяся с мышцами языка связка не даст ребенку нормально произносить звуки, речь будет неразборчивой. При формировании неправильного прикуса не исключены проблемы с пережевыванием и глотанием пищи, что может привести к заболеваниям желудочно-кишечного тракта.
Поэтому анкилоглоссия нуждается в ранней коррекции, желательно в доречевой период.

Показания к операции
Хирургическая коррекция длины подъязычной связки может осуществляться несколькими методами. В раннем возрасте проводится простая операция под названием «френулотомия». После 5 лет, если коррекция не была проведена ранее, проводится френулопластика. Показаниями к оперативному лечению служат:
- наличие у ребенка тяжелого ограничения подвижности языка, при котором функциональные особенно сильно нарушены — ребенок не может полноценно есть, пить, глотать, сосать;
- наличие у ребенка особых типов анкилоглоссии с широкой и очень плотной уздечкой, которая лишена эластичности, сращена с мышечными волокнами язычка;
- возраст ребенка от 5 лет.

При обнаружении проблемы в родильном доме, подрезание считается оптимальным выходом из ситуации. В дальнейшем целесообразность операции решается исключительно врачом. Например, при легкой степени, если уздечка укорочена незначительно, она достаточно эластична и не мешает ребенку нормально питаться, часто помогают занятия с логопедом, и подрезать ребенку уздечку не требуется.
Если ограничение подвижности языка носит средний или тяжелый характер, обычно рекомендуется оперативное лечение. Его же врач может посоветовать и в том случае, если консервативное лечение, к которому прибегли родители, не возымело нужного эффекта.
Операция рекомендуется, если:
- у ребенка-грудничка нарушен захват соска материнской груди, затруднено грудное вскармливание;
- ребенок медленно набирает вес, есть признаки гипотрофии;
- началось формирование неправильного прикуса;
- происходит смещение зубного ряда.

Существует и ряд противопоказаний и ограничений, при которых вопрос о проведении необходимой малышу операции может быть отложен на время. С операцией не будут спешить, если у ребенка имеются онкологические заболевания, нарушения свертываемости крови, острый инфекционный процесс, воспалительный процесс любой локализации, стоматологические заболевания. В этих случаях операция проводится после предварительной терапии основного заболевания, если не показано иное.

Как проводится операция?
Самый легкий метод устранения проблемы с укороченной подъязычной связкой — подрезка в роддоме. В первые дни жизни крохи эту процедуру даже сложно назвать операцией. Френулотомия проводится хирургическими ножницами без анестезии в течение нескольких секунд. Уздечка в столь раннем возрасте не имеет кровеносных сосудов, нервных окончаний, ребенку подрезание не доставляет никаких неприятных ощущений — этот не больно и не страшно.
Сразу после подреза лингвальной уздечки ребенка прикладывают к материнской груди — проблема с сосанием и захватом соска в полном объеме устраняется без каких-либо отдаленных последствий. Поперечный разрез, сделанный новорожденному в роддоме, не ушивают, последующего лечения не назначают. Сама ранка заживает очень быстро и новорожденного никоим образом не беспокоит.
Если в роддоме патология выявлена не была и стала очевидной уже после того, как мама и малыш были выписаны из родильного дома, френулотомия может быть проведена в хирургическом кабинете поликлиники или детской больницы под местной анестезией — поперечный надрез проводится при помощи ножниц, скальпеля.
Наложения швов обычно не требуется, потери крови минимальны, восстановление проходит в домашних условиях быстро.

Если патология выявления в возрасте 2-3 лет, операция проводится уже в стационарных условиях. Это связано с тем, что меняется структура подъязычной связки — в ней появляются кровеносные сосуды, нервные окончания. Процедура френулотомии проходит под местным наркозом, после поперечного рассечения накладывается несколько саморассасывающихся швов.
Можно сделать операцию лазером - этот метод бескровный, щадящий, восстановление после него протекает быстрее. Цена лазерного удаления проблемы — от 2 до 5 тысяч рублей в зависимости от тяжести клинического случая.
Иногда вопрос о проведении операции возникает значительно позднее — после 5 лет. В этом возрасте проводится более сложное оперативное лечение — френулопластика подъязычной связки. Процедура представляет собой иссечение уздечки и ее последующую пластику — создание нормальной связки и фиксацию ее швами в нужном месте прикрепления. Иногда хирургу приходится не только обязательно подрезать уздечку, но и корректировать зубной ряд — все зависит от степени и тяжести анкилоглоссии. Операция проходит под общим наркозом, требует наложения швов и стационарного наблюдения.

Нарушенная речь ребенка после пластики самостоятельно восстановиться не может. В программу реабилитации обязательно включают логопедические занятия для исправления ранее сформированных речевых дефектов.
Подготовка к процедуре
В возрасте до 5 лет никакой существенной подготовки оперативное лечение укороченной подъязычной уздечки не требует. Сама операция считается малотравматичным вмешательством, не грозящим последствиями. Большинство малышей легко переносят процедуру, и восстановительный период протекает без осложнений.
Перед френулопластикой необходимо предварительное обследование, включающееся в себя анализы крови (общий и пробы на свертываемость крови), флюорографическое обследование (снимки челюсти).
Перед более легкой френулотомией малыша рекомендуется покормить, но не перекармливать. Легкое чувство сытости успокоит ребенка. Если операция проходит под общим наркозом в стационаре, кушать перед ней не рекомендуется.
Мамам специалисты советуют обратить внимание на психологические аспекты, особенно если ребенок уже вышел из грудного возраста. Не нужно «накручивать» себя, следует сохранять спокойствие. Если мама будет спокойной и уверенной, то и ребенок не будет испытывать сильного стресса.

Как проходит восстановление?
После проведенного подрезания уздечки язычка процесс реабилитации обычно проходит быстро — на него уходит от 2-3 до 7 дней. После более сложной операции френулопластики реабилитационный период может занять до полутора недель.
Соблюдение всех врачебных рекомендаций поможет более быстрому восстановлению. В первую очередь родители должны следить за гигиеной полости рта — ребенок должен полоскать ротовую полость антисептическими растворами, тщательно чистить зубки, следует избегать попадания инфекции - для этого нужно следить, чтобы ребенок не брал в рот руки или посторонние предметы.
Если вы заметите, что место оперативного вмешательство покрылось легким белым налетом, впадать в панику не стоит — это не признак воспаления, а начальная стадия формирования рубца. Следует продолжать полоскания и сохранять спокойствие. Если же появятся признаки покраснения, гнойного желтоватого или зеленоватого налета, отечность, болезненность во рту, следует незамедлительно посетить врача - не исключено, что присоединилась инфекция.

В период восстановления ребенку не рекомендуется есть слишком жесткую пищу, требующую долгого и тщательного пережевывания, не следует употреблять сладости, ведь сахар — отличная среда для размножения болезнетворных бактерий. Во избежание появления болезненных ощущений не стоит давать малышу кислое, соленое, газированные напитки.
Грудничка важно как можно раньше после френулотомии приложить к груди — состав грудного молока и антитела, содержащиеся в нем, будут способствовать быстрому заживлению ранки без последствий.
Дети, вступившие в речевой период развития, в процессе реабилитации должны меньше говорить. Постарайтесь объяснить ребенку, что это интересная игра — молчанка. Придумайте тихие игры, чтобы язычные мышцы не напрягались. После заживления рубца посетите с ребенком логопеда для получения индивидуального реабилитационного курса — упражнений и гимнастики, поскольку сам собой правильно говорить малыш не станет даже после успешно проведенного оперативного лечения.

Делать или нет?
Вот мы и подошли к главному вопросу — соглашаться на операцию или нет. Решить его нужно с лечащим врачом. Если доктор настаивает, то бояться нечего — френулотомия является нужным вмешательством, которое поможет ребенку в дальнейшем развиваться нормально и не испытывать проблем в общении, обучении, питании.
Конечно, чем раньше будет проведена такая операция, тем лучше для всех. Анкилоглоссия сама собой не пройдет, не «перерастется» со временем, как думают некоторые мамы и папы. Если такая проблема имеется, решать ее придется в любом случае. Если операцию делать не хочется, и сама проблема не носит тяжелого характера, до 3 лет есть время, чтобы попытаться растянуть связку логопедическими упражнениями, артикуляционной гимнастикой. В большинстве случаев это неплохо помогает. Но потом, если проблема так и не решится, не стоит упорствовать — оперативная коррекция при данной аномалии не такая страшная, как кажется родителям.

Если же патология изначально тяжелая или средней степени тяжести, не тратьте свое время и силы на логопедические методы, проведите оперативное лечение как можно раньше, до того, как ребенок вступит в период активного формирования речи.
В сети немало отзывов родителей, которые решились на операцию ребенку и не пожалели об этом.
Пластика уздечки детям

О короткой уздечке у малыша многие мамы узнают от педиатра сразу после рождения малютки. Иногда такая патология настолько серьезная, что мешает младенцу сосать мамину грудь или получать питание из бутылочки. Коррекция уздечки - это несложная процедура, которая обычно легко переносится как новорожденными и грудничками, так и более взрослыми детьми. Если же не сделать подрезание верхней или нижней уздечки в запущенных случаях, то аномалия может стать причиной опасных последствий.
Зачем проводят процедуру?
Уздечкой называют небольшую перемычку во рту, в норме почти незаметную, расположенную по центру верхней и нижней челюстей. Верхняя уздечка находится под губой, что сверху, на 6-8 мм выше шеек зубов верхней челюсти. Положение нижней уздечки - между языком и нижней челюстью.
Эта перемычка выполняет многие функции, среди которых движения мышц лица, удержание языка, сосание груди, выговаривание звуков.
При патологиях развития длина уздечки меньше нормы, а нижняя уздечка может крепиться к концу языка. Такое состояние называется анкилоглоссия. Оно чревато нарушениями прикуса и проблемами с развитием челюсти.


Как понять, что стоит показать ребенка врачу?
У новорожденных патология уздечки выявляется во ходе кормлений. Детки с этой проблемой плохо сосут молоко, быстро устают, часто прикладываются к груди, но бросают ее и плачут. Когда малыш сосет, мама может увидеть, что половина молока выливается, а также услышать цокающий звук. Неразвитость языка, а также неприятные ощущения при приеме пищи являются следствием того, что малыши с анкилоглоссией почти не набирают ни в весе, ни в росте. Детки на искусственном вскармливании испытывают те же самые трудности.
У детей, которые постраше, определить чересчур малую уздечку можно при осмотре у педиатра, стоматолога или при посещении логопеда. Специалист предложит ребенку дотянуться концом языка до верхнего неба - если маленький пациент выполнит задание без проблем, то длина нижней уздечки в норме.
Отклонения можно заподозрить, если ребенок жалуется на дискомфорт при жевании или проглатывании еды, если у него нарушен прикус или же он неправильно произносит губные звуки.
У одних деток короткая уздечка обусловлена генетической предрасположенностью, у других - воздействием внешних факторов (вирусных болезней во время вынашивания, позднего токсикоза, хронических патологий у матери, интоксикаций в 1 триместре и так далее). Если патология передалась по наследству, то она была и у близких родственников малыша.

Кто направляет на операцию?
Если мама заподозрила короткую уздечку у грудничка или малыша постарше, ей следует рассказать о своих переживаниях педиатру, который направит кроху на осмотр челюстно-лицевого хирурга или же стоматолога-ортодонта. Необходимость операции определяют именно такие специалисты вместе с логопедом.
Показаниями к пластике являются такие ситуации:
- новорожденный не может нормально питаться, плохо сосет и неправильно прикладывается к груди;
- малая уздечка вызвала логопедические нарушения, которые не корректируются упражнениями;
- у ребенка начал формироваться неправильный прикус, резцы наклонены внутрь, зубы сместились;
- ребенку тяжело глотать слюну и пищу;
- особенности уздечки провоцируют болезни пародонта (из-за малой длины она действует на десны, вследствие чего шейки зубов обнажаются, десны воспаляются);
- из-за короткой уздечки начала появляться щель между передними зубами, нарушилась симметрия лица, искривилась улыбка.
Если не откорректировать нижнюю короткую уздечку, это может сказаться на прикусе, речи и пищеварении ребенка.
Патология может стать причиной храпа, частых простуд, воспалительных болезней ротоглотки.


Для диагностики степени нарушений используют пятибалльную шкалу. В соответствии с ней при совсем малых отклонениях операция не нужна, а дети старше года могут выполнять определенные упражнения.
В каком возрасте оперируют?
Ограничений по возрасту в случае с операцией подобного плана не существует. Она может проводиться как у недавно появившегося на свет малыша, так и у школьника или даже у взрослого.
Тяжелое нарушение обнаруживается сразу после рождения и корректируется как можно быстрее. Легкая и средняя степени нарушения зачастую диагностируется у детей 3-5 лет, когда выявляются проблемы в стоматологии или с речевыми навыками.
Если коррекция требуется грудничку, малыша не надо надолго разлучать с мамой, ведь сама процедура очень быстрая. Врачи отмечают, что маленькие дети переносят операцию легче, поэтому при выявлении анкилоглоссии у новорожденного пластику делают в первые месяцы жизни.
Детям постарше делать коррекцию сложнее, так как при процедуре надо не двигаться. По этой причине операцию нередко откладывают на возраст 5-8 лет. В этот период как раз происходит смена молочных зубов, и становится ясно, действительно ли без операции не обойтись. У некоторых детей по мере роста челюсти уздечка меняется, и необходимость в подрезке отпадает.
Однако иногда ожидание может привести к серьезным нарушениям речи, из-за чего ребенку потребуется длительное время работать с логопедом. Поэтому, если короткая уздечка влияет на прикус и произношение, некоторые врачи настаивают на лечении под общим наркозом.
![]()
Где делают операцию?
В зависимости от возраста пациента пластику уздечки могут делать как в роддоме, так и в стоматологической клинике или в хирургическом отделении стационара. Процедура не занимает много времени и не требует длительного пребывания в больнице. Сразу после оперативной коррекции ребенка отпускают домой.
Когда операцию не проводят?
Для проведения пластики уздечки имеются и некоторые противопоказания, например:
- острое инфекционное заболевание;
- злокачественная опухоль (не только в области рта);
- болезнь крови;
- тяжелая неврологическая патология;
- остеомиелит;
- психический недуг;
- системное заболевание;
- пульпит или другое заболевание зубов.
Подрезать уздечку допустимо лишь полностью здоровому ребенку.
Подготовка
Учитывая противопоказания, до операции надо провести некоторые обследования, среди которых общие анализы, коагулограмма, рентген и так далее. При выявлении кариеса и других проблем их следует сначала вылечить, а потом уже получить направление на пластику.
Перед процедурой ребенку следует объяснить ее необходимость и кратко рассказать, что его ожидает, чтобы операция не стала сильным стрессом. При необходимости дают растительные успокаивающие средства. Также нужно покормить маленького пациента, ведь после подрезания в течение некоторого времени принимать пищу будет запрещено. Непосредственно перед хирургическим лечением выполняют очистку ротовой полости.

Как проводят процедуру?
Существует несколько видов операций, проводимых при короткой уздечке.
- При френулотомии уздечку подрезают поперек, а затем ушивают края. Такая манипуляция востребована при очень узкой, практически прозрачной уздечке.
- При френулоэктомии натянутая ткань иссекается. Этот вид операции используют при очень широкой уздечке.
- При френулопластике используют участок слизистой оболочки, который подшивают к короткой уздечке. Иссечение при подобной процедуре может проводиться в виде буквы Y или Z.
Для детей старше 5 лет обычно используют местную анестезию - уздечку обрабатывают обезболивающим препаратом, после чего ножницами или скальпелем осуществляют надрез. Швы накладываются не всем пациентам, все зависит от выбранной техники операции.
В последнее время набирает популярность лазерное подрезание уздечки, которое является микрохирургической операцией. В отзывах такую коррекцию называют безопасной, отмечая, что после нее практически не бывает осложнений. При использовании лазера длительность операции составляет всего несколько минут, швы не накладывают, а период заживления очень короткий. Такая пластика часто используется у самых маленьких пациентов, поскольку она обеспечивает практически безболезненный подрез, не провоцируя кровотечения и вторичного инфицирования.


Отличия в технике пластики нижней и верхней уздечек незначительные. Они больше касаются периода восстановления, так как после удаления или разрезания уздечки вверху заживление более быстрое и легкое. Что же касается операции на нижней челюсти, то риск осложнений выше, поэтому многим детям после усечения подъязычной уздечки назначаются противовоспалительные средства.
Реабилитация
Младенцев первого года жизни можно прикладывать к груди уже спустя несколько часов после подрезания уздечки. Вскоре после манипуляции малютки уже не чувствуют никакого дискомфорта, нормально питаются и начинают набирать вес.
У деток старше года реабилитационный период тоже недлительный, но в случае наличия логопедических нарушений потребуются занятия с логопедом. Если до операции у ребенка была диастема, на ее устранение необходимо некоторое время (несколько месяцев).
В целом после пластики уздечки рекомендуют:
- ничего не есть в течение 2 часов, пока на поверхности разрезанной ткани формируется новый эпителий;
- отказаться на несколько дней (до рубцевания надрезов) от продуктов, которые могут вызвать дискомфорт: горячих, соленых, кислых, очень твердых, с острым вкусом;
- в течение 2-4 дней стоит кормить ребенка протертой и хорошо измельченной едой, меньше разговаривать;
- полоскать рот после каждого приема пищи растворами с антисептическими свойствами, например «Фурацилином» или ромашковым отваром;
- выполнять упражнения, которые покажет логопед, чтобы укрепить мышцы лица и правильно поставить губные звуки;
- чистить зубы щеткой с мягкими щетинками;
- своевременно явиться на контрольный осмотр специалиста, который убедится, что заживление проходит по плану.

В некоторых случаях потребуется дополнительная обработка места хирургического вмешательства, например, если ребенок жалуется, что ему больно или рана плохо заживает.
Возможные осложнения
Как правило, какие-то отрицательные последствия после пластики уздечки отсутствуют, если не учитывать сам период восстановления. Согласно отзывам, операция в большинстве случаев проходит быстро и без особых трудностей. Однако иногда возможно образование рубца, из-за чего приходится повторно рассекать уздечку. Если же манипуляция была проведена у деток с молочными зубами, после пластики в отдельных случаях возможно искривление коренных зубов.
В течение нескольких дней после лечения многие дети жалуются на некоторый дискомфорт. Он связан с измененными движениями языка и губ. Зачастую к тому времени, как послеоперационная ранка заживает, пациенты адаптируются и все неприятные ощущения проходят.
Про короткую уздечку языка смотрите в видео.
Короткая уздечка губы
Весь контент iLive проверяется медицинскими экспертами, чтобы обеспечить максимально возможную точность и соответствие фактам.
У нас есть строгие правила по выбору источников информации и мы ссылаемся только на авторитетные сайты, академические исследовательские институты и, по возможности, доказанные медицинские исследования. Обратите внимание, что цифры в скобках ([1], [2] и т. д.) являются интерактивными ссылками на такие исследования.
Если вы считаете, что какой-либо из наших материалов является неточным, устаревшим или иным образом сомнительным, выберите его и нажмите Ctrl + Enter.
Короткая уздечка губы (верхней или нижней) - не заболевание, а анатомо-топографическая особенность строения преддверия полости рта, которую относят к структурным отклонениям мягких тканей ротовой полости.
Код по МКБ-10
Причины короткой уздечки губы
Причины короткой уздечки губы кроются в нарушениях формирования слизистой оболочки ротовой полости и врожденной анатомической аномалии преддверия полости рта. Как и в случаях со строением скелетных структур лицевой части черепа, этиологию нарушения формирования мышечных и слизистых тканей предопределяют эндогенные (наследственные) и различные внешние факторы риска в течение первых двух месяцев внутриутробного развития (когда у эмбриона формируется лицевой скелет и полость рта).
Уздечки губ (frenulum labii) находятся в преддверии полости рта (vestibulum oris), которое со всех сторон ограничено щеками, зубами и слизистой оболочкой альвеолярной части десен обеих челюстей. Покрытие преддверия - это состоящая из многослойного плоского эпителия слизистая оболочка.
Уздечки обеих губ представляют собой тонкие треугольные тяжи (перемычки) из слизистой ткани, расположенные вертикально - между серединой каждой из губ и серединой соответствующей десны, точнее, альвеолярным отростком челюсти. Уздечки являются эластичным «конструктивным» элементом преддверия ротовой полости и служат ограничителями подвижности губ.
Патогенез
В большинстве случаев патогенез дефекта связан с тем, что соединение уздечки с десной находится ниже основания десневого сосочка между двумя передними резцами (то есть слишком близко к зубам). Кроме того, бывают анатомические разновидности самой уздечки: искажение формы, утолщение и уплотнение слизистой ткани, укорочение гребня (свободной стороны перемычки).
Симптомы короткой уздечки губы
Явные симптомы короткой уздечки верней губы: верхняя губа малоподвижна и полностью не может прикрыть верхний ряд зубов, трудности при смыкании губ (отчего рот остается приоткрытым).
Специфичной может быть положение одной из губ при улыбке, с невозможность открыть оба зубных ряда.
Первые признаки того, что у грудного ребенка короткая уздечка верхней или нижней губы, проявляются существенными затруднениями при сосании. Кормящая мама должна обращать внимание на то, как малыш берет грудь, насколько быстро устает от сосания, как быстро снова становится голодным, достаточно ли прибавляет в весе. Обычно данный дефект выявляют врачи-неонатологи сразу после рождения ребенка, ставят в известность мать и в ее присутствии устраняют дефект путем подрезания уздечки.
Осложнения и последствия
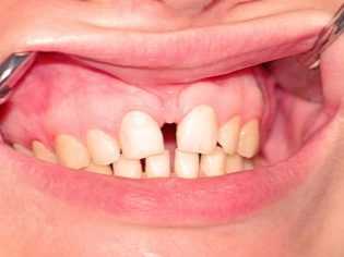
Достаточно часто короткая уздечка под верхней губой вызывает или увеличивает диастему - промежуток между верхними центральными резцами, а также щели между всеми зубами верней челюсти - тремы зубов. При этом зубы становятся более чувствительными из-за нарушения прилегания ткани альвеол к корням зубов; гораздо легче зубы поражает кариес. А проблемы с дикцией выражаются в трудностях с произнесение губных и губно-зубных согласных звуков (б, р, м, в, ф).
Кроме образования щели между нижними передними зубами, наиболее распространенные последствия и осложнения при короткой уздечке нижней губы заключаются в формировании неправильного прикуса у ребенка после появлении молочных зубов - с фронтальным выдвижением нижнего зубного ряда.
Когда короткая уздечка нижней губы у взрослых, происходит постепенное сокращение объема мягких тканей возле зубов нижнего ряда (рецессия десны), что сопровождается оголением шеек нижних передних зубов. Часто между десной и зубом образуются углубления (десневые карманы), которые становятся предпосылкой для развития пародонтита.
Диагностика короткой уздечки губы
Диагностика короткой уздечки губы (верхней или нижней) проводится при визуальном осмотре полости рта, в ходе которого стоматолог, врач-ортодонт или логопед четко видят, на каком расстоянии от основания десневого сосочка между двумя передними резца (верхнего или нижнего зубного ряда) находится место слияния тяжа с десной. Нормой считается расстояние в пределах 5-8 мм.
К кому обратиться?
Лечение короткой уздечки губы
Единственный метод, с помощью которого осуществляется лечение короткой уздечки губы - хирургический.
Данная операция называется френулотомией или френэктомией. Френулотомия заключается в подрезании короткой уздечки губы ножницами либо в иссечении части ткани скальпелем (с наложением шва). Вмешательство требует местной анестезии, сопровождается незначительным кровотечением, после операции отмечаются боль и отечность. Рубец на месте подрезания или иссечения, как правило, рассасывается.
А френэктомия - это медицинская процедура, проводимая с помощью лазера при минимальной седации с нанесение анестетика на слизистую оболочку. Кровотечение при данном методе практически отсутствует; боль, отечность и образование рубцовой ткани носят индивидуальный характер, но в любом случае все заживает в более короткие сроки, чем при френулотомии.
Специалисты подчеркивают, что короткая уздечка под верхней губой у ребенка может быть подрезана либо непосредственно после рождения, либо в шести-восьмилетнем возрасте - когда молочные передние резцы сменятся постоянными. До этого подрезание уздечки не делают, чтобы не нарушить формирования верхнечелюстной дуги и не спровоцировать развитие неправильного прикуса.
Если у ребенка короткая уздечка нижней губы, по френулотомию допустимо проводить при молочном прикусе (но не ранее трехлетнего возраста), однако врачи советуют дождаться прорезывания постоянных резцов.
Операция подрезания уздечки языка у детей и взрослых: как происходит, упражнения после процедуры
Подрезание уздечки языка - это хирургическая операция, которая выполняется на уздечке с целью исправления аномалий ее развития. Вмешательство в данной области может представлять собой одну из трех операций. Первая - классическое поперечное рассечение уздечки с целью ее удлинения - френулотомия («френ» - уздечка, «томия» - разрезание). Второй вариант - френулоэктомия, которая представляет собой клиновидное иссечение уздечки языка. И третий вид вмешательства - френулопластика - изменение формы, размеров, месторасположения уздечки путем пластики местных тканей. Стоит заметить, что термины с корнем «френ» применяются не только к операциям на слизистом тяже языка. Коррекция любой уздечки (верхней губы, полового члена и т.д.) может иметь название с френулотомия, френулопластика и т.д. Поэтому, данное понятие всегда требует уточнения. Поскольку в данной статье речь идет только об уздечке языка, то в дальнейшем термины будут использоваться без толкования.
Показания
Показаниями к проведению операций на уздечке языка являются некоторые аномалии ее развития. Слизистый тяж может быть коротким или прикрепляться слишком близко к кончику языка. Клинически это проявляется различными функциональными нарушениями в зависимости от возрастных данных человека. В грудном возрасте ребенок не может сосать грудь, кормление длится очень долго или вообще не начинается. Малыш попросту отказывается от груди, начинает плакать и долго не засыпает. В итоге, увеличения массы тела не происходит, рост ребенка замедляется. Хотя, при обследовании других органов и систем патологий, как правило, не определяется. В любом случае, перед проведением операции обязательно ребенка должен осмотреть педиатр.
В периоде от 2 до 5 лет при укороченной уздечке языка (анкилоглоссии) начинают формироваться различные речевые дефекты. Нарушается произношение звуков «р» и «л», речь становится неразборчивой и сложной для восприятия. Но, если речевой дефект обнаружили раньше, чем укороченную уздечку языка, то стоит проверить все возможные причины нарушения функции речи. Ведь далеко не всегда это связано с лингвальной уздечкой. Иногда дефекты речи спровоцированы неправильным прикусом, нарушениями работы центральной нервной системы и височно-нижнечелюстного сустава. Поэтому, ребенка должен осмотреть стоматолог, врач-логопед и педиатр. И если проблема заключается только в укороченной уздечке языка, то назначается комплекс массажных процедур. В случае, если миогимнастика не дала положительных результатов, то выполняется один из двух видов френулопластики.
В подростковом возрасте, когда должно происходить активное развитие костей лицевого скелета, короткая уздечка языка может сдерживать рост нижней челюсти. В это сложно поверить, если своими глазами не увидеть последствия укороченной уздечки. Человеку свойственно воспринимать костную ткань как самую мощную и сильную в организме. По этой логике именно костные структуры должны управлять мышечным ростом, а не наоборот. Однако, в природе все иначе, мышечная и соединительная ткани обладают поразительными силовыми способностями. И если они формируются неправильно, то это влечет за собой нарушения развития костных образований. При короткой уздечке языка нижняя челюсть начинает отставать в развитии и визуально выглядит укороченной. Если посмотреть на человека в профиль, то будет заметно, что верхняя челюсть «длиннее», а нижняя короче. При улыбке можно увидеть, что верхние резцы находятся в более переднем положении, чем нижние (на 0.5 см и более). Такая форма прикуса усугубляет существующие нарушения и провоцирует появление других. За счет того, что резцы не контактируют между собой, жевательная нагрузка распределяется на другие зубы. Это способствует перегрузке жевательных зубов и является фактором риска развития пародонтита. Также, на нижней челюсти, вероятнее всего, не будет хватать места для всех зубов. В итоге, некоторые из них будут наклонены в сторону полости рта или в сторону губ, а некоторые будут повернуты вокруг своей оси. В целом зубной ряд будет суженным и укороченным. Для определения причины и оценки тяжести этих нарушений потребуется консультация ортодонта. Также, при укороченной нижней челюсти будут наблюдаться нарушения осанки и походки. Ну и конечно же, немаловажными фактором является снижение эстетических показателей при уменьшенной нижней челюсти. Но, все это можно предотвратить, если вовремя выявить нарушения развития уздечки языка и качественно провести ее коррекцию.
Специальная подготовка к операции грудного ребенка не требуется. В таком возрасте уздечка имеет бессосудистую структуру и не содержит нервных окончаний. Поэтому, операция будет бескровной, безболезненной и продлится лишь несколько секунд. Стоит обратить внимание на эмоциональное состояние ребенка. Ведь самая распространенная причина отмены операции - это беспрерывный плач грудничка. При этом выполнить даже самую простую операцию будет невозможно. Поэтому, перед операцией ребенок должен быть сыт, спокоен и немного сонлив. Даже если он спит, то это станет только положительным моментом. В такой ситуации хирург сможет провести операцию максимально незаметно для малыша.
Если укороченная уздечка у ребенка не была удлинена естественным и хирургическим путем до конца грудного периода, то после 1 года жизни она уже будет содержать определенное количество сосудов и нервных окончаний. Учитывая тот факт, что уздечка языка начнет активно расти, кровоснабжаться и иннервироваться, проведение френулотомии уже не будет показано. Скорее всего хирург предложит один из вариантов френулопластики. При этом оперативное вмешательство будет проведено под общим обезболиванием. Это связано с тем, операция френулопластики является более радикальной, чем обычная френулотомия. В добавок к этому, слизистый тяж имеет нервные окончания и сосуды, что провоцирует боль и кровотечение. Бесспорно, наркоз не является полезной процедурой для детского организма. Однако, он позволяет выполнить операцию, придерживаясь протокола. Анестезиолог выберет анестетик и рассчитает точную дозировку, которая будет оптимальной для данного человека. Младший медицинский персонал будет ассистировать хирургу и контролировать общее состояние ребенка. А врач выполнит все необходимые манипуляции, направленные на удлинение уздечки под языком.
В детском, подростковом и взрослом возрасте проведение френулопластики возможно с использованием инфильтрационной анестезии. Если речь идет о ребенке 6-10 лет, то перед операцией потребуется специальная психологическая подготовка. Ребенок не только должен быть готов к усидчивому поведению на хирургическом приеме. Но и обязан будет перенести боль, которая возникнет при выполнении анестезии. Часто встречаются случаи, когда ребенку делают укол с обезболивающим, и после ее проведения маленький пациент уже отказывается от дальнейших манипуляций врача. Поэтому, не нужно обманывать ребенка и говорить фразы «врач ничего делать не будет», «это совсем не больно», «мы только посмотрим». Если вы соврете ребенку, то следующий стоматологический прием может не состояться в ближайшие годы. Необходимо максимально отвлекать ребенка от медицинских манипуляций. Его зрение должно быть сфокусировано не на хирурге, который держит в руках шприц, а на мультиках в телевизоре, птицах за окном, игрушках и т.д. Слышать он должен не комментарии младшего медицинского персонала о количестве анестетика и выборе скальпеля, а загадки, вопросы, рассказы, адаптированные для детского восприятия. Этим может заниматься ассистент стоматолога. Также важно поддерживать тактильный контакт с ребенком. Постоянно прикасаясь его рукам, плечам, можно отвлечь ребенка от манипуляций хирурга в полости рта.
Пренебрегать вышеперечисленными правилами нельзя, так как хирургические вмешательства часто вызывают стрессы даже у взрослых людей. А ребенок, которому свойственно преувеличивать и фантазировать, воспринимает стоматологические манипуляции еще более опасно.
Техника проведения подрезания уздечки языка
Подрезание уздечки языка новорожденному проводится без какой-либо медикаментозной подготовки и анестезии. Врач хирургическими ножницами выполняет поперечный надрез на уздечке - и на этом операция заканчивается. Стоит сказать, что для ребенка эти манипуляции абсолютно безболезненны. Это связано с тем, что тонкий слизистый тяж практически не имеет нервных окончаний, что исключает болевую чувствительность. Единственное, что необходимо сделать, это доставить ребенка в хирургический кабинет в комфортных для него условиях. Если младенец будет эмоционально стабилен, то трудностей ни у вас, ни у хирурга не возникнет. Никаких послеоперационных процедур проводить не стоит. Повреждения сосудов и нервов нет, рана отсутствует, присоединение инфекции исключено. Слишком холодного, горячего и острого ребенок в таком возрасте априорно не употребляет. Поэтому такие рекомендации также будут неуместными.
Когда френулотомия по возрастным показателям уже не показана, выполняется френулопластика, которая может проводиться по двум основным техникам. Первая методика (Y -подобная френулопластика): хирургическими ножницами рассекают уздечку в поперечном направлении. Слизистую выше разреза пронизывают иглой с шовным материалом (кетгут). Удерживая язык за нити, его поднимают вверх и вытягивают вперед. После этого ножницами удлиняют рану в продольном направлении и рассекают подлежащие мягкие ткани. Образуется рана ромбовидной формы. Завершается операция наложением швов. Второй тип оперативного вмешательства имеет название Z-подобная френулопластика. Она заключается в том, что вместо продольного разреза выполняется Z-образный. Таким образом можно получить два треугольных лоскута. Поворачивая их на 60°, разрез можно превратить в горизонтально направленный. После этого проводится ушивание раны.
Френулоэктомия может проводиться путем клиновидного иссечения уздечки языка и ушивания раны. Однако, чаще всего этот вид операции выполняется с помощью лазерной установки. Использование такого оборудования объясняется многочисленными преимуществами. Первое - минимальное количество анестетика. При подрезании уздечки языка лазером большое количество обезболивающего вещества использовать не нужно, достаточно ¼ дозы. Это позволяет сохранить начальную форму и подвижность мягких тканей, что обеспечит точность выполнения операции. Второе преимущество - удобство работы. Связано оно с тем, что сила воздействия лазера на мягкие ткани всегда одинаковая и определяется настройками установки. А глубина разреза режущими инструментами всегда зависит от приложенной силы хирурга. Поэтому, работая с лазером, специалист имеет возможность фокусироваться только на направлении лазерного потока. А беспокоиться о резком повреждении глубь лежащих тканей врачу не приходится. Третье преимущество - безопасность. При работе хирургическими ножницами или скальпелем инструменты всегда находятся в полости рта пациента. И любое движение больного может стать причиной серьезного ранения мягких тканей полости рта. А если учитывать, что большинство детей склонны бояться хирургических вмешательств, то любой неожиданный испуг может повлечь за собой резкие движения головы ребенка. Но, работа лазерной установки полностью контролируется врачом с помощью ножной педали. Если ребенок испугался и неожиданно начал двигаться, врач мгновенно среагирует, отпустит педаль и лазер перестанет работать. Четвертое преимущество лазерной фрэнэктомии - отсутствие необходимости наложения швов. Накладывание швов - это длительная и ответственная манипуляция. При ее выполнении важно правильно выбрать толщину и материал хирургической нити. Необходимо тщательно ушить рану и не оставить зазоров, важно произвести умеренное. Для выполнения всех этих задач нужно время, опыт и спокойствие пациента. К сожалению, эти факторы не всегда существуют одновременно. Если же говорить о лазерной фрэнэктомии, то она не требует наложения швов, а заживление происходит быстрее, чем при выполнении классической хирургической операции. Пятое преимущество - положительное отношение детей к лазерной стоматологии. Этот фактор играет очень большую роль при выполнении фрэнэктомии пациентам детского возраста. Когда они узнают о том, что им будут подрезать уздечку лазером, то большинство из них ждут операции с немалым интересом. У стоматолога ребенок получает специальные защитные очки, которые вместе с лазерной установкой выглядят очень футуристическими. В итоге, операция проходит безболезненно и комфортно для маленького пациента.
Противопоказания к проведению
Специальных противопоказаний к проведению операции подрезания уздечки языка не существует. Любые хирургические операции не выполняются при наличии у пациента активно протекающих воспалительных заболеваний. При патологиях эндокринной, сердечно-сосудистой системы рассматривается вопрос об индивидуальной медикаментозной подготовке. Если ее проведение возможно, то оперативное вмешательство также будет выполнено. В некоторых ситуациях проведение операции невозможно под местным обезболиванием. Психические заболевания, боязнь врачей и медицинских вмешательств, аллергии на местные анестетики могут присутствовать у людей любого возраста. Поэтому, если даже простая операция является крайне необходимой, то возможно ее выполнение под наркозом. Что же касается конкретно подрезания уздечки языка, то ее не рекомендуется проводить до прохождения курса миогимнастических процедур. Ведь если физическая нагрузка уздечки поспособствует ее растягиванию, то оперативное вмешательство не понадобится.
Читайте также:
- Поверхностная пластинка широкой фасции бедра. Глубокая пластинка широкой фасции бедра. Топография широкой фасции. Подкожная щель ( hiatus saphenus ).
- Внешняя регуляция насосной функции сердца. Вегетативная регуляция сердца
- Буллезная эмфизема легких при туберкулезе. Диагностика буллезной эмфиземы легких
- Классификация рака маточных труб
- Двухрядная реконструкция вращательной манжеты плечевого сустава (методика SutureBridge) при полном разрыве
