Методика удаления поднижнечелюстной слюнной железы
Добавил пользователь Евгений Кузнецов Обновлено: 01.01.2026
Слюнные железы отвечают за выработку и выделение в ротовую полость слюны - прозрачной бесцветной жидкости, смачивающей и очищающей полость рта. Слюна важна для пищеварения (в ней содержатся ферменты), восприятия вкуса и защиты зубов от микроорганизмов (слюна обладает бактерицидными свойствами).
Слюнные железы могут быть большими - таких выделяется три симметричных пары: околоушные, подъязычные и поднижнечелюстные. Кроме них существует множество малых слюнных желез, расположенных в слизистых оболочках щек, губи нёба.
В слюнных железах могут протекать воспалительные и объемные процессы различной выраженности и степени интенсивности, при некоторых из них единственным эффективным лечением будет хирургическое.
Показания к удалению слюнных желез
Слюнная железа подлежит удалению в следующих случаях:
- закупорка протока;
- образование кисты;
- развитие доброкачественных новообразований;
- рак слюнной железы.
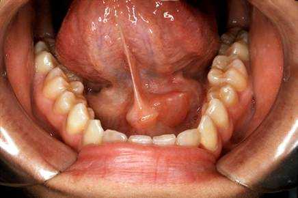
Закупорка протока слюнной железы происходит тогда, когда известковые отложения в протоке образовывают конкремент («камень»), которые препятствует оттоку секрета железы. Вследствие этого пациент ощущает боль в районе воспаленной железы, отмечается её увеличение в размерах. Возможно присоединение к воспалительному процессу вторичной инфекции.
Киста - это капсула, заполненная жидким содержимым, которая возникает на месте слюнной железы. Для кисты характерны те же проявления, что и для закупорки протока слюнной железы. Характерной особенностью кист слюнных желез является тенденция к прогрессирующему росту.
Доброкачественные новообразования, обычно это аденома слюнной железы, также склонны к росту и могут достигать столь крупных размеров, что деформируют овал лица, приводя к появлению заметных косметических дефектов внешности. Растущая опухоль сдавливает окружающие ткани, что может вызывать проблемы в их работе.
Рак (аденокарценома) слюнной железы очень опасен для здоровья, так как склонен к быстрому росту, проникновению в близлежащие органы и отделению метастаз.
Хирургическое лечение болезней слюнной железы
При закупорке слюнных желез конкрементами, в некоторых случаях возможно эндоскопическое удаление камня и сохранение железы. Такая манипуляция не требует госпитализации пациента и проводится под местной анестезией. Чаще всего закупорка протоки камнем происходит в поднижнечелюстной слюнной железе.
Однако в большинстве случаев извлечение конкремента нецелесообразно, а потому удаляется либо часть железы (частичная паротидэктомия), либо же вся железа вместе с протокой, близлежащими тканями и нервами (радикальная паротидэктомия, обычно проводится при раковых опухолях). Для проведения операции пациент погружается в наркоз.
Удаление поднижнечелюстной и подъязычной слюнных желез занимает менее часа, удаление околоушной - от часа до двух. Связано это с тем, что удаление околоушной железы, через которую проходит лицевой нерв, является более сложной операцией. Повреждение лицевого нерва, а точнее нижней его ветви, которая располагается в зоне вмешательства, недопустимо, так как может привести к нарушению иннервации части лица.
Если речь идет об удалении железы с опухолью, стараются провести иссечение и близлежащих тканей, чтобы не оставить клеток новообразования, способных привести к рецидиву. Препарат, полученный в результате иссечения, направляется в лабораторию для проведения гистологического анализа. Это позволит определить, была опухоль доброкачественной или злокачественной.
Реабилитация после удаления слюнных желез
Пациенты после удаления слюнной железы могут находиться одни стуки в стационаре. Для устранения послеоперационных болевых ощущений назначаются обезболивающие препараты в виде таблеток, внутримышечных или внутривенных инъекций. Пациент после операции должен соблюдать покой, избегать физических нагрузок, в течение двух недель отказываться от посещения сауны или бани. Соблюдение этих рекомендаций способствует быстрому заживлению раны.
Если в ходе операции был задет лицевой нерв, у пациента может «провиснуть» уголок рта со стороны удаленной железы. Восстановить иннервацию помогают регулярные упражнения на протяжении нескольких недель, однако в некоторых случаях парез остается.
Если в ходе операции хирург приходит к выводу, что опухоль поразила лицевой нерв - производится полное его удаление, чтобы не допустить дальнейшего распространения злокачественного новообразования. У таких пациентов паралич части лицевых мышц остается.
У пациентов, перенесших удаление околоушной слюнной железы возможно временное онемение ушной раковины со стороны удаленной железы. В таких случаях важно беречь ухо от холода, чтобы не отморозить его.
Хирургическое удаление одной из слюнных желез не спровоцирует развития заметного ощущения сухости во рту.
В клинике «Оксфорд Медикал» операцию по удалению слюнных желез проводят квалифицированные челюстно-лицевые хирурги в условиях современных новых операционных. Реабилитация пациентов происходит в комфортабельных палатах, рассчитанных на пребывание одного или двух пациентов.
Удаление камня слюнной железы

Удаление камня слюнной железы - это процедура, показанная при образовании крупных камней в слюнной железе. Образование камней в слюнной железе - относительно редкое явление, которое, однако, может иметь серьезные последствия. На ранних этапах возможно самостоятельное выведение камня из протока железы. Если же образовавшийся камень стал достаточно крупным, чтобы её заблокировать и мешать нормальному оттоку слюны, может быть показано хирургическое вмешательство. Сиалоскопия Наиболее популярным и современным методом хирургического удаления является сиалоскопия. Данный вид операций относительно новый и стал доступен только с появлением новейших технологий в сфере медицины. Связано это с тем, что слюнные железы достаточно сложны по своему строению, а диаметр их отверстий не превышает 0,5 мм.
Современный эндоскоп представляет собой тонкое устройство с миниатюрными системами диаметром от 0,8 миллиметров и набор еще более тонких инструментов для произведения сложных медицинских манипуляций. Использование эндоскопа позволяет избежать рассечения слюнной железы (раньше это было единственным способом обнаружить и изъять зубной камень). С помощью эндоскопа врач может увидеть происходящее внутри слюнной железы и тончайшими инструментами извлечь из неё слюнной камень.
Сиалолитотрипсия
Достаточно современный и довольно эффективный метод для удаления слюнного камня, находящегося в протоках. Этот метод подразумевает удаление камня с помощью ультразвука. Камень дробится на части, а затем остатки его вымываются из протока после промывания. Дренирование не требуется.
Хирургический метод
Применяется практически во всех случаях образования камня в ушной слюнной железе. Суть метода в том, чтобы с помощью разреза осуществить доступ к месту образования камня, а затем извлечь его оттуда. Если операция проводится на подчелюстной слюнной железе, доступ осуществляется через слизистую оболочку ротовой полости.
Консервативный метод, в противовес хирургическому, осуществляется крайне редко и уместен только на начальных стадиях развития заболевания. Суть метода заключается в назначении специальных медикаментозных препаратов, которые улучшат отток слюны, а также могут стимулировать полное растворение слюнного камня.
Если хирургическое лечение камня слюнной железы оказалось неэффективным из-за его большого размера или ряда сопутствующих факторов, может быть показано полное удаление слюнной железы. Однако такие операции проводятся очень редко. В большинстве случаев - по причине ряда сопутствующих факторов.
Подготовка к операции
Предварительная подготовка имеет большое значение, поскольку при ее нарушении хирургическое вмешательство может оказаться неэффективным. Процедура подготовки состоит в сборе анамнеза, а также в необходимости провести такие диагностические процедуры:
- Рентгенографию слюнной железы;
- КТ или МРТ слюнной железы;
- Ультразвуковое исследование слюнной железы;
- Сиалографию (это процедура, в ходе которой в слюнный проток вводится рентгенконтрастные вещества, помогающие увидеть наличие в протоках слюнного камня и место его расположения. После этого делается рентгеновский снимок.)
Процедуру удаления , в зависимости от локализации поврежденной слюнной железы, могут проводить как амбулаторно, так и в стационаре. Амбулаторному лечению подлежат поднижечелюстной и околоушной протоки. В условиях стационара оперируют внутрижелезистые отделы околоушной железы.
Возможные осложнения
Большинство возможных осложнений при операции на слюнной железе связаны с повреждением ветви лицевого нерва. Если правила асептики при проведении операции были нарушены, возможны осложнения гнойного характера. Если удалялись крупные камни, впоследствии могут образоваться стриктуры (сужения протоков).
Даже в случае, когда проведенная операция была успешна, возможны рецидивы - повторное образование слюнных камней.
2019 © Хорошая стоматология — сеть стоматологических клиник.
Стоматологические услуги около м. Верхние Лихоборы, м. Митино, м. Тушинская, м. Речной вокзал, м. Отрадное, м. Щелковская
Данная страница носит информационно-справочный характер и не является публичной офертой.
Удаление подчелюстной слюнной железы

Слюнная железа участвует во многих важных процессах, происходящих в человеческом организме. В частности, выделяемые ею ферменты участвуют в пищеварительном процессе, осуществляя первичное расщепление углеводов. Операция по удалению поднижнечелюстной железы производится в случае тяжелых патологий различного характера. Процедура удаления железы имеет свою специфику, обусловленную расположением и функционированием органа, поэтому проводится только опытными хирургами.
Показания
Показаниями к удалению подчелюстной слюнной железы являются:
- хронический сиалоаденит (воспаление);
- доброкачественные или злокачественные опухоли;
- множественный кистоз;
- слюннокаменная болезнь;
- тяжелая травма железы;
- полная закупорка слюновыводящих протоков с невозможностью восстановления их проходимости.
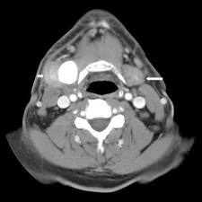
В зависимости от диагноза, перед операцией назначаются различные исследования — УЗИ, компьютерная или магнитно-резонансная томография, рентгенография легких. В случае опухоли также необходима биопсия для выяснения характера образования. Слюннокаменная болезнь исследуется с помощью контрастной сиалографии.
Подготовка к операции и особенности ее проведения
Предоперационная подготовка включает в себя:
- сдачу лабораторных анализов;
- отмену кроворазжижающих препаратов (как минимум за неделю до процедуры);
- изменение рациона за три дня до операции — исключение алкоголя, острой и грубой пищи, горячих напитков.
- Также перед операцией запрещено курение.
Удаление подчелюстной слюнной железы — сложная и специфическая операция, поскольку анатомическое ее расположение вблизи нервных и сосудистых сплетений, мышц и других органов связано с рисками серьезных осложнений. Подобная процедура может проводиться только опытными специалистами - хирургами-стоматологами либо челюстно-лицевыми хирургами.
В случае злокачественной опухоли, в особенности при ее прорастании за пределы железы, орган удаляется вместе с пораженными тканями близлежащих мышц и лимфоузлов. В остальных случаях удаляются только ткани железы.
Операция по удалению подчелюстной слюнной железы может быть проведена несколькими способами:
- Традиционный способ - хирургическое иссечение тканей с удалением патологической железы. Этот вид операций не требует специфического оборудования, чем обусловлена его меньшая стоимость и быстрота в проведении. Послеоперационные раны достаточно большие, сроки снятия швов коррелируют от 1 до 3 недель.
- Микрохирургическая эндоскопическая операция, при которой не требуется больших пересечений тканей — все действия проводятся с помощью манипуляторов, а наблюдение осуществляется с помощью зонда, передающего изображение на экран. Большим достоинством данного вида операций является точечное воздействие, благодаря чему при слюнокаменной болезни, доброкачественных опухолях и кистозе железы нет необходимости в ее полном удалении — иссекается только небольшой ее участок. После операции остаются небольшие следы, швы снимаются через несколько дней. Минусом данного метода является его высокая стоимость.
Проведение операции по удалению слюнной железы
При традиционном методе операции пациент принимает положение лежа с запрокинутой и отведенной в сторону головой. Операция предусматривает местную инфильтрационную анестезию. На поднижнечелюстном участке делаются несколько параллельных разрезов, ткани поднимаются, и обнаруживается капсула слюнной железы, которая вскрывается, а ткани железы крайне осторожно извлекаются и удаляются. При срастании злокачественной опухоли с близлежащими тканями последние также удаляются. После этого накладываются швы.
При проведении эндоскопической операции может быть использована как местная, так и общая анестезия. Через небольшие проколы в ткани вводятся манипуляторы и видео-зонд, проецирующий на экран все проводимые действия. Когда манипуляторы достигают железы, с их помощью делаются небольшие разрезы, через которые извлекаются патологические ткани. Затем эндоскопы извлекаются, а на места проколов накладываются швы.
Послеоперационный уход за местом оперативного вмешательства подразумевает:
- гигиену — в раны не должна попасть вода или грязь;
- особенную диету — рацион будет состоять из полужидкой теплой пищи, никаких горячих или холодных напитков, никакого алкоголя;
- запрет на курение;
- особую обработку — швы рекомендуется регулярно обрабатывать антисептиками, а ротовую полость после каждого приема пищи следует полоскать смесью антисептика с водой.
В случае соблюдения всех рекомендаций лечащего врача полное заживление ран наступает через несколько месяцев.
Операции на слюнных железах

У человека есть три пары слюнных желёз. Эти секреторные органы находятся около ушей, под нижней челюстью и под языком. Также в полости рта присутствуют малые слюнные железы. Как и любой орган, они подвержены воспалению (данное состояние называется сиаладенит) и риску возникновения в них опухолей. При таких заболеваниях единственным вариантом эффективного лечения может стать операция по удалению слюнной железы либо ее части. В зависимости от вида патологии, обращение к челюстно-лицевому хирургу может быть как плановым, так и экстренным. В любом случае, оно должно быть своевременным, чтобы минимизировать риск осложнений.
Для чего нужна операция на слюнных железах?
Нужно понимать, что хирургическое вмешательство на слюнных железах зачастую является самым эффективным и быстрым методом лечения. Однако страх перед операцией иногда настолько велик, что человек откладывает ее до состояний, требующих экстренных вмешательств. Это не только затягивает период выздоровления, но и подвергает риску жизнь пациента.
Важно знать, что существуют патологии, при которых операции на слюнных железах являются наиболее безопасной и результативной формой лечения. А время, потраченное на другие методы без эффекта улучшения, может стать причиной отягощения состояния.
Показания к проведению операций на слюнных железах
Показаниями к проведению хирургических операций на слюнных железах являются некоторые виды заболеваний, а также осложнения имеющихся патологических процессов. Оперативное лечение показано при нагноении любого воспалительного процесса в слюнных железах с образованием абсцесса и свищей, а также при формировании стриктур (сужений) протоков желез.
К патологиям, при которых операции на слюнных железах являются основным методом лечения, относятся:
Калькулезный сиаладенит — заболевание, связанное с закупоркой протоков слюнных желез камнем;
Кисты слюнных желез — опухолеподобные образования, возникающие в результате нарушения проходимости выводных протоков после травмы или воспалительных процессов;
Доброкачественные опухоли слюнных желёз(аденомы, фибромы, липомы и др.);
Злокачественные опухоли (злокачественная плеоморфная аденома и различные карциномы);
Часто рецидивирующий хронический паренхиматозный сиаладенит с полной деструкцией железы;
Противопоказания к операциям на слюнных железах
Противопоказанием к хирургическому лечению слюнных желез является наличие у больного острых функциональных нарушений сердечно-сосудистой, мочевыделительной системы, желудочно-кишечного тракта, а также тяжёлых сопутствующих заболеваний, которые могут осложниться в результате операции (бронхиальная астма, гипертоническая болезнь, сахарный диабет).
Не проводится операция на слюнной железе пациентам с сильным истощением (кахексией) вследствие наличия неоперабельной злокачественной опухоли с множественными метастазами. Наличие аллергии на препараты, используемые при наркозе, также может быть противопоказанием.
Подготовка к операции на слюнных железах

Подготовка к операции на слюнных железах включает обследование больного амбулаторно перед поступлением в отделение челюстно-лицевой хирургии (при плановой госпитализации) либо непосредственно в стационаре (в случае экстренного поступления). Оно проводится для выявления индивидуальных особенностей состояния больного с целью правильного подбора лечения и определения прогноза послеоперационного течения заболевания. Для этого используются клинические, лабораторные, инструментальные методы обследования. Клинические включают сбор анамнеза (опрос для получения информации об истории болезни) и осмотр пациента с пальпацией желез.
анализ крови общий и биохимический (ОАК и БАК);
общий анализ мочи (ОАМ);
коагулограмму (исследование факторов свертывания крови);
серологические исследования (на наличие сифилиса, гепатитов В и С, ВИЧ);
определение группы крови и резус-фактора;
цитологическое исследование слюны.
К инструментальным методам относятся:
В ходе сбора анамнеза при подготовке к операции на слюнной железе важно выяснить, какие сопутствующие заболевания имеет больной, и какие лекарства он при этом принимает. В связи с этим необходимо получить консультации узких специалистов по показаниям и заключение терапевта.
Справка! Анализы позволяют определить интенсивность воспалительного процесса и проявления интоксикации, а также назначить лечение для коррекции этого состояния. Каждое исследование имеет свой «срок годности»: ОАК, БАК, ОАМ, ЭКГ, коагулограмма — 10 дней, серологические исследования от 3 до 6 месяцев, флюорография — 1 год.
В случае тяжелого течения процесса, приведшего к операции на слюнных железах, пациенту показано проведение дезинтоксикационных мероприятий совместно с симптоматическим лечением. При необходимости, выполняется коррекция нарушений в системе гемостаза и микроциркуляции. Подготовка перед операциями на околоушных железах (при аденомах и др.) должна включать подготовку психического состояния больного, так как после операции может возникнуть парез мимической мускулатуры, что довольно тяжело переносится больными психологически.
Проведение операции на слюнных железах

Все операции проводятся по определённым для каждого вида патологии техникам с использованием местной или общей анестезии. Чаще в хирургическом лечении нуждаются околоушные и поднижнечелюстные, железы под языком воспаляются и поражаются опухолью реже.
При вскрытии гнойно-некротического очага с помощью специального разреза проводится удаление некротизированных тканей, поддерживающих инфекцию, для предупреждения ее дальнейшего распространения, а также выполняется дренирование очага трубчатыми дренажами.
Объем операции на слюнной железе при лечении калькулёзного сиаладенита будет зависеть от:
места нахождения камня (в протоке или в железе);
характера изменений в железе, произошедших под влиянием наличия камня;
вида железы, в которой возник процесс (околоушная, поднижнечелюстная или подъязычная);
общего состояния организма с учётом возраста и сопутствующих заболеваний.
Из поднижнечелюстного протока слюнной камень может удаляться под местным обезболиванием через рассечение слизистой оболочки дна полости рта. Рану после этого зашивают и не дренируют. Иногда требуется экстирпация поднижнечелюстной железы. Такая операция на слюнной железе проводится под общим либо местным наркозом, делается разрез кожи параллельно краю нижней челюсти. Выделяют железу осторожно, учитывая, что рядом находится лицевая артерия. Для профилактики гематомы после зашивания на рану накладывают давящую повязку на 5-6 дней.
При операции по удалению камня из протока околоушной слюнной железы делают разрез слизистой оболочки щеки под анестезией, а при локализации камня в жевательном или преджевательном отделах железы делают внеротовой разрез, тщательно отделяя ветви лицевого нерва, удаляют камень и послойно зашивают рану.
Для радикального удаления доброкачественных опухолей околоушной железы используется частичная, субтотальная или тотальная паротидэктомия (операция по удалению околоушной слюнной железы) с выделением ветвей лицевого нерва. В ходе операции при аденоме слюнной железы сначала обнаруживают лицевой нерв, а затем удаляют определённую часть (частичная и субтотальная) или всю околоушную железу единым блоком с опухолью (тотальная паротидэктомия). Операция проводится под общим наркозом, рану зашивают, не дренируют, на область раны накладывается асептическая давящая повязка на пять-шесть дней
Основным методом хирургического вмешательства при злокачественных опухолях слюнных желёз является паротидэктомия с или без сохранения лицевого нерва. Операция проводится под общей анестезией, до и после операции возможно назначение химиотерапии. До операции — для уменьшения размера опухоли, после операции — для уменьшения риска рецидивов и метастазирования.
Важно! Для восстановления нормального функционирования слюнной железы после осложненных стенозами, свищами сиаладенитов может проводится пластика (восстановление) и бужирование (расширение) протоков. Эти операции на слюнных железах могут осуществляться как через поверхностное иссечение, так и с помощью эндоскопических методик.
Послеоперационный период
Послеоперационный период включает:
наблюдение за состоянием больного;
проведение противовоспалительной, дезинтоксикационной и обезболивающей терапии;
назначение антибактериальной терапии, при наличии риска бактериальных осложнений;
уход за постоперационной раной;
проведение общеукрепляющих мероприятий для повышения резистентности организма.
В первые дни после операции на слюнных железах рекомендован постельный режим. Далее необходимо начинать двигаться для профилактики тромбозов и активации моторики кишечника. Также рекомендуется слюногонная подкисленная диета для рассасывания инфильтрата, физиотерапевтические процедуры (УВЧ). Для профилактики развития повторных заболеваний в послеоперационные дни необходимо тщательно соблюдать гигиену полости рта.
Справка! Для снятия интоксикации, улучшения микроциркуляции в тканях и вымывания в кровяное русло всех бактерий, токсинов и продуктов распада, назначают специальные препараты. Также в качестве детоксикации может применяться гемосорбция — своеобразный метод фильтрации крови через сорбенты.
Уход за раной осуществляется посредством антимикробной обработки раны при помощи соединений йода и перевязки. Давящая повязка позволит избежать гематом, а проведённая антибиотикотерапия и асептическая обработка раны предотвратит нагноение послеоперационной раны. Снятие швов проводят на 7-10 день после операции на слюнной железе. После стихания воспалительных процессов в ране для профилактики образования гипертрофических рубцов применяются препараты, ускоряющие заживление раны. Для повышения общей резистентности организма используются различные лекарственные препараты на растительной основе и витаминные добавки.
После паротидэктомии может возникать временный парез мимической мускулатуры лица в результате неврита лицевого нерва. Зачастую он проходит сам в течение нескольких недель после операции на слюнных железах. Послеоперационное нарушение чувствительности кожи возле ушей и ушной раковины наблюдается практически у всех больных после удаления околоушной железы и также самостоятельно восстанавливается с течением времени.
Иногда происходит парез мышц глаза, когда веко перестаёт смыкаться. При этом выздоровление наступает в более поздние сроки от 2 до 5 месяцев. В таких случаях проводится медикаментозное лечение, миогимнастика в сочетании с миоэлектростимуляцией.
После возвращения из стационара следует ограничить физические нагрузки, интенсивные занятия спортом. Необходимо правильно сбалансированно питаться, питание должно включать достаточное количество витаминов для усиления иммунитета организма и повышения его общей сопротивляемости.
В заключение хочется еще раз отметить важность проведения своевременного оперативного вмешательства для предотвращения серьезных осложнений. Самолечение, отказ от хирургического лечения в пользу консервативного при определенных патологиях не только не принесет результата, но и подвергнет опасности здоровье человека.
1 Сентябрь 2022
Подчелюстная железа
Удаление поджелудочной железы является важной хирургической процедурой. Это одна из двух наиболее крупных слюнных желез в организме человека, другая — околоушная железа. Наиболее распространенная причина удаления железы связана с рецидивирующими инфекциями и / или завалами, которые вызывают отёк (хронический сиалолитиаз). Другая причина — наличие аномальной массы, содержащейся в железе (доброкачественная или злокачественная).
Поджелудочная железа и воспаление железистых протоков являются причинами набухания и как следствие боли и дискомфорта. Когда происходит блокировка, происходит обратный поток, в результате чего слюна накапливается за окклюзией. Когда это происходит, слюнные железы раздуваются по размеру. Со временем (например, между приемами пищи) организм возобновляет производство слюны, и слюна сжимается вперед и назад до следующей еды, которая активирует железу и вырабатывает больше слюны, что приводит к развитие отека.
Начальное (хирургическое) лечение заключается в следующем:
Применяйте горячие компрессы в расширенной области рта два-три раза в день. После применения теплого компресса сделайте очень мягкий (ортогональный) массаж в опухших областях.
Перемешайте сухие и кислые конфеты. Такие конфеты стимулируют выработку слюны.
Увеличьте потребление воды до двух литров в день. Старайтесь избегать употребления кофеина, поскольку он действует как мочегонное средство и может обезвоживать организм.
Железа может заразиться, а может и нет. Если есть воспаление, ваш врач назначит антибиотик обычно в течение 3-недельного периода. Используйте антибиотик, как указано, и заполните полную программу, даже если симптомы отступают.

В течение 3-4 недель, железа медленно получает свою нормальную форму. Если вышеуказанные меры предосторожности не помогают, хирургическое удаление является следующим шагом.
Если есть ненормальная масса, она может не измениться по размеру или даже исчезнуть. В отличие от закупорки, опухоль из-за массы не изменяется в зависимости от потребления пищи. Большинство масс, выращенных в подчелюстной железе, вызваны доброкачественными опухолями, такими как афтома или опухоль Вартина. Эти опухоли обычно безболезненны и легко перемещаются при пальпации. Даже если они доброкачественны, опухоли должны быть удалены, потому что они не будут лечить себя сами и будут продолжать расти со временем, вызывая искажение лица. Обычно после десятилетий эти доброкачественные опухоли также могут развиваться в рак (карцинома в плевральной аденоме).
К сожалению, некоторые массы могут быть раковыми и включать мукоэпидермоидную карциному, базально-клеточную карциному и метастазы от рака кожи (наиболее распространена плоскоклеточная карцинома). Если есть боль, онемение над подбородком или зубами, языком или ртом, или паралич лица, вероятность того, что масса является злокачественной, увеличивается.
Как правило, подчелюстное массовое тестирование включает в себя компьютерную томографию, а также пункцию тонкой иглой (FNA) из самой массы. Получение FNA полезно для определения степени хирургического удаления. При обнаружении злокачественности требуется более обширная хирургическая процедура, включая полное удаление железы, а также окружающих лимфатических узлов (лимфатическая очистка).
Общее беспокойство пациентов относительно хирургии заключается в том, повлияет ли это на производство их слюны. Ответ НЕТ.
Сиалолитотомия


В тех случаях, когда есть камень в протоке подчелюстной железы, есть вариант, который вы можете попробовать перед удалением всей железы, - это процедура, называемая салиототомией. По сути, можно удалить только сам камень. Если камень находится вблизи ротового отверстия, то эту процедуру можно выполнить в местной анестезиологической клинике.
Если камень находится на расстоянии более 1,5 см от отверстия в канале, процедура должна выполняться в операционной, под общей анестезией. В этом случае обычно маленький катетер остается на месте, чтобы препятствовать закрытию просвета от рубцовой ткани и удаляется примерно через 5 дней.

Опасности этого процесса включают инфекцию и кровотечение. Редким риском этого процесса является развитие рубцовой ткани канала, что приводит к рецидивирующему отеку железы. Существует также небольшой риск онемения во рту.
Удаление подчелюстных желез

В случаях, когда салиототомия не может использоваться в качестве варианта или если существует реальная масса, следует удалить всю железу. Это достигается за счет сокращения примерно 3 см. под телом нижней челюсти длиной около 4-5 см. Анатомически, сальник готовят путем тщательного лигирования больших сосудов и предотвращения повреждения нервов. Порок обнаруживается и его лигируют. Разрез закрывают пластиковым швом. Весь процесс занимает около 1-2 часов.


В зависимости от того, как проходит хирургия и насколько здоровым является пациент, он может покинуть клинику в тот же день или на следующий день. Хирургический дренаж обычно удаляют в течение 24 часов и швы через 5-7 дней после операции. Боль после операции минимальна, и в большинстве случаев людям даже не нужны болеутоляющие средства. Пациенты могут есть по своему усмотрению, но любое упражнение или поднятие тяжестей запрещено в первые 1-2 недели после операции.
Хирургический риски включают в себя кровотечение и инфекцию. Однако редкие риски субъядерной абляции включают постоянный паралич губ, постоянный паралич языка и онемение в нижней части ротового отверстия.
Почему это происходит? Потому что нервы, которые идут на обод, язык и гортань, проходят через подглазу и подвергаются риску травмы.
Иногда может быть временное повреждение нервов, и их функция может возвращаться со временем (недели или месяцы), но в некоторых случаях она, возможно, никогда не вернется. Использование радиоволновой диатермии для проведения сосудистого лигирования и мониторинга на базальной нервной проводимости с нейростимулятором значительно снижает внутриоперационный и послеоперационный риск.
Эндоскопическая сальниоскопия
Эндоскопия поджелудочной железы выполняется путем интроспекции, приводящей к минимальным (если есть) разрезам в области рта или горла.
Если у вас имеются проблемы с субчелюстной железой, обратитесь в нашу клинику, чтобы назначить встречу.
Читайте также:
